КТ, МРТ при внутричерепном идиопатическом воспалительном псевдотуморе
Добавил пользователь Владимир З. Обновлено: 21.11.2025
Идиопатическая внутричерепная гипертензия (ИВГ), также известная как псевдотумор головного мозга - синдром с симптомами повышенного внутричерепного давления при отсутствии объемного образования или гидроцефалии. Перевод [22].
Терминология
Устаревший термин доброкачественная внутричерепная гипертензия нежелательно использовать по той причине, что в некоторых случаях данный синдром характеризуется агрессивной клинической картиной и прогрессирующей потерей зрения.
Интересно, что по мере появления данных о наличии у пациентов с идиопатической внутричерепной гипертензией стеноза венозных синусов некоторые авторы в настоящее время выступает за возвращение к более старому термину - псевдотумор головного мозга, поскольку в данном случае внутричерепная гипертензия не является идиопатической. Альтернативным решением данного вопроса является перенос таких пациентов в группу больных вторичной внутричерепной гипертензией [15].
Эпидемиология
Наиболее часто ИВГ страдают женщины среднего возраста, страдающие ожирением, хотя этиологическую связь между ожирением у женщин и ИВГ еще предстоит выяснить. Реже данный синдром встречается у мужчин (обычно пожилых), еще реже - у тучных [15]. Среди детей ИВГ встречается крайне редко [15].
Клиническая картина
Наиболее характерны головные боли, нарушения зрения (транзиторная или прогрессирующая потеря зрения), синхронный с пульсом тиннитус, фотопсия и глазная боль [15].
Отек диска зрительного нерва встречается не всегда; может быть односторонним (включая синдром псевдо-Фостер-Кеннеди), что делает окончательный диагноз не столь однозначным [6]. При неврологическом осмотре может быть паралич 6 пары черепно-мозговых нервов.
Менингоцеле со вторичным истеканием ликвора может проявляться в виде ринореи, отореи и реккурентным бактериальным менингитом [7,9]. У таких пациентов ИВГ часто проявляется только после восстановления твердомозговой оболочки, что связано, по-видимому, с нормализацией внутричерепного давления при истечении ликвора [9].
Патология
Этиопатогенез ИВГ до конца не изучен. Предполагается вовлечение различных механизмов в развитие данного синдрома - снижение абсорбции ликвора, увеличение продукции ликвора, увеличение внутрисосудистого объема, повышение внутричерепного венозного давления и гормональные нарушения [1,15].
Взаимосвязь с другими патологиями
ИВГ ассоциирована с такими патологиями, как:
- эндокринные заболевания
- адреналовая недостаточность
- болезнь Кушинга
- гипопаратиреоз
- гипотиреоз
- избыточный прием тироксина у детей
- доксициклин [2]
Диагностика
КТ/МРТ
Проведение КТ или МРТ головного мозга у пациентов с ИВГ является обязательным этапом диагностики для исключения таких причин повышения внутричерепного давления, как опухоли ГМ, тромбоз венозных синусов, гидроцефалия и т.д.
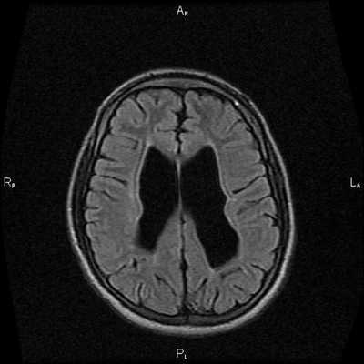
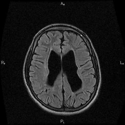
При отсутствии причин внутричерепной гипертензии имеется ряд радиологических признаков, говорящих в пользу ИВГ [3, 6 - 9, 15]:
- зрительные нервы
- значительное расширение субарахноидальных пространств нервов (45%)
- вертикальная извитость зрительных нервов (40%)
- отек диска зрительного нерва
- уплощение заднего полюса склеры (80%)
- интраокулярная протрузия головки зрительного нерва
- (70%)
- увеличенные меккелевы полости [9, 18]
- менингоцеле малого размера в области височной кости и большого крыла клиновидной кости [9]
- расширенные ликворосодержащие пространства глазодвигательного нерва в латеральной стенке кавернозного синуса [18]
- латеральные сегменты поперечных синусов
- нет признаков текущего/прошлого венозного тромбоза [8]
Если костные изменения являются постоянными, то остальные - динамические и обратимы при лечении [3].
Очень важно принимать во внимание возраст и пол пациентов при оценке выявленных изменений, поскольку у пожилых, особенно у мужчин, «пустое» турецкое седло в некоторых случаях может быть вариантом возрастной нормы.
Лечение и прогноз
В лечении ИВГ применяются люмбальная пункция, использование диуретиков (ацетазоламид) и люмбоперитониальное шунтирование. У пациентов с прогрессирующей потерей зрения проводится иссечение оболочки зрительного нерва.
Стентирование венозных синусов уже использовалось в ряде случаев, и в данный момент проводятся его клинические испытания [13, 14]. Однако, данный вопрос является противоречивым, поскольку необходимо выяснить, является ли стеноз причиной или следствием ИВГ [11,12]. Также имеются данные о спонтанном разрешении стеноза [6].
История и этимология
Впервые ИВГ была описана в 1893 году Генрихом Квинке как «meningitis serosa». Термин «псевдотумор головного мозга» был введен позднее 1904, а в 1955 году получила название «доброкачественной идиопатической гипертензией» (не стоит путать с доброкачественной внутричерепной гипотензией) [15].
Дифференциальный диагноз
При наличии внутричерепной гипертензии и отека диска зрительного нерва необходимо помнить и о других возможных причинах. Варианты венозной обструкции (тромбоз венозных синусов или нарушения венозного оттока в шее) могут характеризоваться подобными внутричерепными радиологическими проявлениями.
В дополнение к сказанному, у пациентов с выраженной эктопией миндалин мозжечка проявления практически идентичны таковым при аномалии Киари I, что дополнительно осложняется схожими демографическими особенностями и схожими клиническими проявлениями. По мнению некоторых авторов было выдвинуто предположение, что некоторые случаи симптоматической внутричерепной гипертензии являются следствием аномалии Киари I. Поэтому необходимо сделать все возможное для различения данных патологий, поскольку тактика лечения для каждой из них различается, а декомпрессия задней черепной ямки у пациентов с ИВГ может иметь неблагоприятный исход [21].
Литература
Silbergleit R, Junck L, Gebarski SS, Hatfield MK. Idiopathic intracranial hypertension (pseudotumor cerebri): MR imaging. (1989) Radiology. 170 (1 Pt 1): 207-9. doi:10.1148/radiology.170.1.2909098 - Pubmed
Digre KB. Not so benign intracranial hypertension. (2003) BMJ (Clinical research ed.). 326 (7390): 613-4. doi:10.1136/bmj.326.7390.613 - Pubmed
Zagardo MT, Cail WS, Kelman SE, Rothman MI. Reversible empty sella in idiopathic intracranial hypertension: an indicator of successful therapy?. (1996) AJNR. American journal of neuroradiology. 17 (10): 1953-6. Pubmed
Higgins JN, Cousins C, Owler BK, Sarkies N, Pickard JD. Idiopathic intracranial hypertension: 12 cases treated by venous sinus stenting. (2003) Journal of neurology, neurosurgery, and psychiatry. 74 (12): 1662-6. Pubmed
De Lucia D, Napolitano M, Di Micco P, Niglio A, Fontanella A, Di lorio G. Benign intracranial hypertension associated to blood coagulation derangements. (2006) Thrombosis journal. 4: 21. doi:10.1186/1477-9560-4-21 - Pubmed
Suzuki H, Takanashi J, Kobayashi K, Nagasawa K, Tashima K, Kohno Y. MR imaging of idiopathic intracranial hypertension. (2001) AJNR. American journal of neuroradiology. 22 (1): 196-9. Pubmed
Schuknecht B, Simmen D, Briner HR, Holzmann D. Nontraumatic skull base defects with spontaneous CSF rhinorrhea and arachnoid herniation: imaging findings and correlation with endoscopic sinus surgery in 27 patients. (2008) AJNR. American journal of neuroradiology. 29 (3): 542-9. doi:10.3174/ajnr.A0840 - Pubmed
James L. Leach, Robert B. Fortuna, Blaise V. Jones, Mary F. Gaskill-Shipley. Imaging of Cerebral Venous Thrombosis: Current Techniques, Spectrum of Findings, and Diagnostic Pitfalls1. (2006) RadioGraphics. 26 Suppl 1: S19-41; discussion S42-3. doi:10.1148/rg.26si055174 - Pubmed
Rohr A, Dörner L, Stingele R, Buhl R, Alfke K, Jansen O. Reversibility of venous sinus obstruction in idiopathic intracranial hypertension. (2007) AJNR. American journal of neuroradiology. 28 (4): 656-9. Pubmed
Scoffings , Pickard and Higgins. Resolution of transverse sinus stenoses immediately after CSF withdrawal in idiopathic intracranial hypertension J Neurol Neurosurg Psychiatry 2007;78:8 911-912
Degnan AJ, Levy LM. Pseudotumor cerebri: brief review of clinical syndrome and imaging findings. (2011) AJNR. American journal of neuroradiology. 32 (11): 1986-93. doi:10.3174/ajnr.A2404 - Pubmed
Aiken AH, Hoots JA, Saindane AM, Hudgins PA. Incidence of cerebellar tonsillar ectopia in idiopathic intracranial hypertension: a mimic of the Chiari I malformation. (2012) AJNR. American journal of neuroradiology. 33 (10): 1901-6. doi:10.3174/ajnr.A3068 - Pubmed
Factors Determining the Clinical Significance of an “Empty” Sella Turcica Amit M. Saindane, Paolo P. Lim, Ashley Aiken, Zhengjia Chen, and Patricia A. Hudgins American Journal of Roentgenology 2013 200:5, 1125-1131
San Millán D, Kohler R. Enlarged CSF spaces in pseudotumor cerebri. (2014) AJR. American journal of roentgenology. 203 (4): W457-8. doi:10.2214/AJR.14.12787 - Pubmed
Bejjani GK. Association of the Adult Chiari Malformation and Idiopathic Intracranial Hypertension: more than a coincidence. (2003) Medical hypotheses. 60 (6): 859-63. Pubmed
Fukuoka T, Nishimura Y, Hara M, Haimoto S, Eguchi K, Yoshikawa S, Wakabayashi T, Ginsberg HJ. Chiari Type 1 Malformation-induced Intracranial Hypertension with Diffuse Brain Edema Treated with Foramen Magnum Decompression: A Case Report. (2017) NMC case report journal. 4 (4): 115-120. doi:10.2176/nmccrj.cr.2016-0278 - Pubmed
Alnemari A, Mansour TR, Gregory S, Miller WK, Buehler M, Gaudin D. Chiari I malformation with underlying pseudotumor cerebri: Poor symptom relief following posterior decompression surgery. (2017) International journal of surgery case reports. 38: 136-141. doi:10.1016/j.ijscr.2017.07.039 - Pubmed
КТ, МРТ при внутричерепном идиопатическом воспалительном псевдотуморе
В статье представлены результаты наблюдения 43 клинических случаев больных с псевдотуморозным вариантом течения острой очаговой демиелинизации и рассеянного склероза. У 32 больных диагноз был уточнен на основании гистологического исследования биопсийного и операционного материала, 11 пациентам диагноз поставлен в результате проведения комплексного исследования и динамического наблюдения. Описаны алгоритм обследования и тактика ведения больных с псевдотуморозным вариантом течения острой очаговой демиелинизации и рассеянного склероза.
![]()
Целью исследования является определение клинических особенностей и морфологических признаков псевдотуморозного варианта течения рассеянного склероза и острой очаговой демиелинизации.
Материалы и методы исследования
В настоящей работе представлены результаты исследования 43 больных с псевдотуморозным вариантом течения РС и острой очаговой демиелинизации. У 32 больных диагноз был уточнен на основании гистологического исследования биопсийного или операционного материала, 11 пациентам диагноз был поставлен в результате проведения комплексного исследования и динамического наблюдения. В нашем исследовании 28 пациентов являлись лицами женского пола, 15 - мужского. Возраст больных колебался от 6 до 67 лет, средний возраст составил 30,9 года. При этом основную массу больных (62 %) составили лица в возрасте от 19 до 40 лет.
У 32 больных (74 %) в НИИ нейрохирургии РАМН им. Н.Н.Бурденко, а также в ряде больниц Москвы и других городов РФ была выполнена стереотаксическая операция (22) или операция удаления предполагаемой опухоли ЦНС (10). При последующем гистологическом исследовании биопсийного и операционного материала диагноз опухоли мозга исключен, однако были выявлены признаки демиелинизирующего процесса. В последующем больные были направлены для дальнейшего наблюдения и лечения в Научный центр неврологии (НЦН) РАМН.
У 11 больных из 43 (26 %) с псевдотуморозным вариантом течения демиелинизирующих заболеваний оперативное вмешательство не проводилось. Диагноз у этих лиц был установлен в НЦН РАМН в результате динамического наблюдения с проведением повторных МРТ и исследованием зрительных, слуховых и соматосенсорных вызванных потенциалов. При этом у 8 больных этой группы в дебюте заболевания был выявлен один опухолеподобный очаг в белом веществе головного или спинного мозга, а у 3 пациентов такой очаг выявлялся на фоне многоочагового поражения белого вещества головного мозга.
Клиническая диагностика демиелинизирующего заболевания с псевдотуморозным вариантом его течения базировалась на клинической картине болезни, данных МРТ исследования, а у 32 больных - на результатах гистологического исследования биопсийного или операционного материала, полученного из патологического очага.
В лаборатории патологической анатомии НЦН РАМН проведено детальное исследование биопсийного и операционного материала, полученного соответственно при проведении стереотаксической операции у 22 больных и удалении объемного образования головного или спинного мозга у 10 больных. Исследовались гистологические срезы, доставленные в лабораторию, окрашенные гематоксилином и эозином, а также по методу ван Гизона. В ряде случаев исследовались гистологические срезы, которые были получены с парафиновых блоков, доставленных в лабораторию. Эти срезы окрашивались лаксолевым прочным голубым для выявления миелина и по модифицированному методу Ниссля для выявления нейронов и элементов глии.
Результаты исследования и их обсуждение
32 пациента, которым с целью уточнения диагноза была проведена хирургическая операция, разделены на 3 группы в зависимости от времени развития псевдотуморозного течения демиелинизирующего заболевания. Первую группу составили 19 пациентов, среди которых 13 больных являлись лицами женского пола и 6 - мужского пола; возраст больных - от 6 до 59 лет. У этих больных в дебюте заболевания развился псевдотуморозный вариант течения острой очаговой демиелинизации, при этом солитарный опухолеподобный очаг (по данным МРТ) в одном из полушарий головного мозга был выявлен у 18 пациентов, в спинном мозге - у 1 пациентки. Локализация псевдотуморозного очага отмечалась преимущественно в белом веществе теменной доли - 11 случаев. В белом веществе лобно-височной области очаг выявлялся у 4 пациентов, в белом веществе в области подкорковых узлов или вблизи боковых желудочков - у 2, в среднем мозге - у 1, в белом веществе спинного мозга на уровне 2-7 шейных сегментов - у 1. У всех больных с очаговым поражением головного мозга отмечалось подострое (в течение нескольких дней) развитие общемозговых симптомов, которые в 60 % случаев были представлены головной болью, в 40 % - тошнотой и рвотой. У почти половины пациентов также наблюдались когнитивные нарушения, такие как нарушение памяти, внимания, ориентировки в пространстве и времени. У половины больных имелись признаки очагового поражения полушария большого мозга, такие как гемипарез (от минимальных двигательных нарушений до плегии), гемигипестезия; у некоторых пациентов выявлены моторная афазия, парез лицевой мускулатуры, гомонимная гемианопсия, эпи-синдром. В 12 случаях первой группы проведено исследование биопсийного материала, полученного при стереотаксической операции из очага поражения; в 7 случаях исследовался операционный материал, полученный при удалении предполагаемой опухоли головного или спинного мозга. При микроскопическом исследовании во всех случаях признаки опухоли не выявлены, но обнаружены признаки демиелинизирующего процесса. Пульс-терапия метилпреднизолоном в дозе 1000 мг в течение 5 дней начата сразу же после получения результатов гистологического исследования, при этом у 14 больных (из 19) наблюдалась значительно выраженная ремиссия. У 5 больных улучшение состояния наступило спонтанно.
Вторую группу составили 10 пациентов, у которых очаговая неврологическая симптоматика наблюдалась также в дебюте демиелинизирующего заболевания с псевдотуморозным вариантом его течения, однако при проведении МРТ головного и спинного мозга у этих лиц, наряду с объемным образованием, были выявлены и другие очаги, которые не имели клинического звучания. Среди этих больных было 6 женщин и 4 мужчин в возрасте от 21 до 67 лет. С целью установления характера патологических изменений в мозге у 8 больных была проведена стереотаксическая операция, а у 2 больных - операция удаления предполагаемой опухоли головного мозга с последующим гистологическим исследованием биопсийного и операционного материала. В результате гистологического исследования во всех случаях признаков опухоли не выявлено, но обнаружены признаки демиелинизирующего процесса. Локализация псевдотуморозного очага отмечалась преимущественно в теменной области - 6 случаев, у 4 пациентов - в лобно-височной области, у 1 пациента в спинном мозге на уровне 4-6 шейных сегментов. У всех пациентов второй группы, как и у больных первой группы, отмечалось подострое (в течение нескольких дней) развитие общемозговых симптомов. У большинства пациентов имелись признаки очагового поражения полушария мозга, такие как гемипарез (от минимальных двигательных нарушений до плегии) и гемигипестезия, моторная афазия, реже возникали парез лицевой мускулатуры, когнитивные нарушения, эпи-синдром. В результате проведения пульс-терапии метилпреднизолоном у 7 больных наблюдалась положительная динамика в виде уменьшения неврологического дефицита; у 3 больных ремиссия наступила спонтанно.
Третью группу составили 3 больных с достоверным РС в возрасте 24, 26 и 27 лет, у двоих из которых псевдотуморозный вариант течения возник при очередном обострении заболевания (достоверный РС), у одной - в рамках злокачественной формы РС (вариант Марбурга). Псевдотуморозный вариант течения РС у двух больных развился подостро через 2 года и 5 лет от начала болезни, у больной с вариантом Марбурга он развивался подостро в течение 3,5 месяцев. У пациентов наблюдалась очаговая неврологическая симптоматика в виде чувствительных и двигательных нарушений, снижения зрения, нарушений мочеиспускания. При проведении МРТ головного и спинного мозга у 2 больных выявлялись очаги, характерные для демиелинизирующего заболевания, в том числе псевдотуморозный очаг, возникший при очередном его обострении у 2 больных и при злокачественной форме РС (вариант Марбурга) - у 1 больной. У 2 пациентов проведена стереотаксическая операция с целью получения биопсии объемного образования головного или спинного мозга, у одной больной было выполнено оперативное вмешательство, в результате которого удален псевдотуморозный очаг головного мозга, ошибочно расцениваемый как опухоль мозга. При гистологическом исследовании биопсийного и операционного материала обнаружены признаки демиелинизирующего процесса. Во всех случаях проводилась пульс-терапия метилпреднизолоном с положительным результатом. Больной с вариантом Марбурга также предпринята пульс-терапия метилпреднизолоном в суммарной дозе 7 грамм, дополнительно были проведены 3 сеанса плазмафереза и 2 курса митоксантрона в дозе 10 и 8 мг/м2. На фоне лечения постепенно наблюдалась положительная динамика.
При гистологическом исследовании операционного и биопсийного материала из псевдотуморозных очагов были обнаружены характерные для острого демиелинизирующего процесса изменения, выраженные в различной степени. Во всех случаях имелись лимфоцитарные инфильтраты, в том числе массивные, которые располагались преимущественно вокруг венул и капилляров. Во всех участках демиелинизации обнаружены также многочисленные липофаги, содержащие продукты деструкции миелина, пролиферация и гипертрофия астроцитов, которые располагались среди липофагов. Непостоянными признаками демиелинизирующего процесса являлись аксональные сфероиды, гипертрофированные микроглиоциты и отек вещества мозга. Отдельные аксональные сфероиды, т.е. фрагменты распавшихся аксонов, обнаруживались среди липофагов в 58 % случаев. При этом в некоторых биоптатах аксональные сфероиды были поглощены макрофагами (аксофагами). Частота обнаружения отека вещества мозга, возникающего как в участках демиелинизации, так и в перифокальной зоне, составила 60 %. На границе участков демиелинизации с сохранной тканью мозга, наряду с ее отеком, определялись полнокровие сосудов, пролиферация и гипертрофия астроцитов, среди которых менее чем в половине случаев (45 %) располагались гипертрофированные микроглиоциты.
Таким образом, в результате проведенного исследования нами четко определены дебютные формы псевдотуморозного варианта течения демиелинизирующего заболевания, которые подробно не изучались другими исследователями. Установлено, что псевдотуморозный вариант течения РС и острой очаговой демиелинизации может развиваться в рамках клинически изолированного синдрома при солитарном или многоочаговом поражении белого вещества мозга, а также при очередном обострении РС.
Нами также установлено, что псевдотуморозный вариант течения РС и острой очаговой демиелинизации наиболее часто возникал у лиц в возрасте от 19 до 40 лет (62 %), среди которых преобладали лица женского пола (65 %), при этом отмечалась преимущественно полушарная локализация очага демиелинизации с подострым развитием неврологической симптоматики. Установленные нами особенности псевдотуморозного варианта течения демиелинизирующего заболевания, имеющие клиническое значение, в целом согласуются с данными литературы [5, 6]. При морфологическом исследовании биоптатов были выявлены изменения ткани мозга, характерные для типичных бляшек РС, основными гистологическими признаками которых являются деструкция миелиновых волокон с уборкой продуктов их распада липофагами, пролиферация и гипертрофия астроцитов, продуцирующих глиальные волокна, периваскулярные лимфоцитарные инфильтраты и отек ткани мозга в очагах демиелинизации и в перифокальной области. Также установлено, что тяжелые изменения аксонов с их распадом возникают уже на самых ранних этапах развития демиелинизирующего заболевания.
Выводы
При получении спорных данных КТ и МРТ в дебюте псевдотуморозного варианта течения рассеянного склероза и острой очаговой демиелинизации рекомендуется комплексное обследование пациента, включающее выполнение высокопольной МРТ головного и спинного мозга с контрастным усилением, а также метода вызванных потенциалов мозга. В случае развития псевдотуморозного варианта течения демиелинизирующих заболеваний в рамках клинически изолированного синдрома при субклиническом многоочаговом поражении мозга или при достоверном РС целесообразно проведение пульс-терапии метилпреднизолоном; только при отсутствии эффекта от проведенной терапии рекомендуется выполнение диагностической стереотаксической биопсии мозга.
Список литературы
Рецензенты:
Гулевская Т.С., д.м.н., профессор, зав. лабораторией патологической анатомии НЦ неврологии РАМН, г. Москва;
Переседова А.В., д.м.н., старший научный сотрудник VI неврологического отделения НЦ неврологии РАМН, г. Москва.
Псевдотумор орбиты
Псевдотумор орбиты - гетерогенная группа заболеваний глазницы, включающая первичный идиопатический миозит, дакриоаденит, локальный и диффузный васкулит. Общими клиническими проявлениями всех форм являются экзофтальм, боль в области глазницы, отек и гиперемия век. Диагностика псевдотумора орбиты включает проведение наружного осмотра и пальпации, офтальмоскопии, визиометрии, компьютерной томографии, гистоморфологического и цитологического исследования. Тактика консервативной терапии заключается в назначении курса кортикостероидов в виде ретробульбарных инъекций. При отсутствии эффекта от медикаментозного лечения псевдотумора орбиты проводится орбитотомия.
![Псевдотумор орбиты]()
Общие сведения
Псевдотумор орбиты рассматривают как полиэтиологическую группу патологий органа зрения неспецифической воспалительной природы. Понятие «псевдотумор» ввел в 1970 году немецкий ученый Ф. Бирх-Хиршфельд. В то время данным термином обозначали все объемные новообразования глазницы неонкологической природы, приводящие к клиническим проявлениям экзофтальма. Значительный вклад в изучение таких процессов внесли офтальмологи Дж. Кеннердель и С. Дрезнер, которые предложили первую морфологическую классификацию данной патологии. Согласно статистическим данным, распространенность псевдотумора орбиты среди всех заболеваний глазницы составляет 5-12%. Болезнь наиболее часто встречается в возрасте 30-50 лет, описаны случаи развития в более молодом возрасте (11,5%). Данные патологические образования чаще диагностируют у лиц женского пола (54%).
Причины псевдотумора орбиты
Псевдотумор орбиты является полиэтиологическим заболеванием. Причиной его развития могут выступать аутоиммунные нарушения в организме больного. В ряде случаев патология возникает у пациентов с красной волчанкой, гранулематозом Вегенера, узелковым периартериитом, болезнью Грейвса, Хашимото или Шегрена. Псевдоопухоль воспалительной природы часто является проявлением болезни Бенье-Бека-Шаумана. При поражении органоспецифического аллеля DRB10401 саркоидоз клинически проявляется образованием гранулем в глазнице. Псевдотумор орбиты может развиваться у пациентов с системным мультифокальным фибросклерозом и быть одним из первых симптомов данной патологии.
Поражение артериол и венул при псевдотуморе орбиты не всегда связано с системными воспалительными процессами. Гистологическое исследование сосудов новообразования позволило сделать вывод о развитии местного васкулита. Причиной является очаговая гипоксия тканей. При этом вокруг сосудов артериального русла могут формироваться небольшие инфильтраты воспалительной природы, что подтверждает данную теорию развития. В ряде случаев псевдотумор орбиты протекает в форме диффузного неспецифического воспаления глазницы.
Симптомы псевдотумора орбиты
Клинически псевдотумор орбиты подразделяют на первичный идиопатический миозит орбиты, дакриоаденит, локальный и диффузный васкулит. Особенности течения зависят от формы патологии, в большинстве случаев для заболевания характерно острое начало. Общими клиническими проявлениями для всех форм псевдотумора орбиты являются отечность и гиперемия век, болевые ощущения в области проекции глазницы с иррадиацией в лобную долю. Позже присоединяется экзофтальм, который свидетельствует о резком увеличении псевдотумора орбиты в объеме. Для патологии характерен хемоз бульбарной конъюнктивы.
При первичном идиопатическом миозите на фоне полного благополучия возникает отечность век. Пациенты предъявляют жалобы на выраженную болезненность при движениях глаз. Одним из первых симптомов заболевания является диплопия, после которой появляется экзофтальм. В течение нескольких недель развиваются такие осложнения экзофтальма, как страбизм, лагофтальм, кератопатии. Вследствие компрессии зрительного нерва возможно тотальное снижение остроты зрения. Болевой синдром с локализацией в орбите и голове самостоятельно не проходит, тяжело поддается купированию анальгетиками. При данной форме псевдотумора орбиты репозиция глаза на фоне его полной неподвижности затруднена.
Дакриоаденит характеризуется воспалением слезной железы. Эта форма псевдотумора орбиты имеет менее тяжелое течение. Пациенты предъявляют жалобы на отек и птоз век. Экзофтальм выражен слабо. Боль определяется при нажатии в месте проекции слезной железы. Местный васкулит глазницы ранее рассматривали как гранулему или лимфогранулематоз. Заболевание имеет локальную и диффузную формы, характеризуется быстрым прогрессированием. Клинически проявляется гиперемией век, покраснением бульбарной конъюнктивы. На фоне относительно слабо выраженного экзофтальма наблюдается ограничение подвижности глазного яблока. Снижение остроты зрения возможно при развитии псевдотумора орбиты в области вершины глазницы.
Как следствие псевдотумора орбиты у большинства пациентов развиваются склеротические изменения глазницы. У больных на стадии склероза также возникает экзофтальм разной степени выраженности. Возможно снижение остроты зрения вплоть до полной слепоты в результате атрофии зрительного нерва. В редких случаях стадия склероза сопровождается обострениями, которые проявляются отеком век, ощущением инородного тела в глазнице, болевым синдромом.
Диагностика псевдотумора орбиты
Диагностика псевдотумора орбиты основывается на анамнестических данных, результатах наружного осмотра и пальпации, офтальмоскопии, визиометрии, компьютерной томографии (КТ), гистоморфологического и цитологического исследования. При помощи компьютерной томографии удается провести дифференциальную диагностику онкологического процесса с псевдотумором орбиты. На КТ орбит визуализируются расширенные экстраокулярные мышцы, определяются неровность контура по всей длине. Мышечная ткань, как правило, повышенной плотности и прилегает к клетчатке, расположенной в ретробульбарном пространстве. При первичном идиопатическом миозите визометрия позволяет оценить степень снижения остроты зрения. В ходе офтальмоскопии обнаруживается застойный диск зрительного нерва с признаками атрофии.
Методом пальпаторного исследования при дакриоадените определяется плотная подвижная ткань с гладкой поверхностью в зоне проекции слезной железы. Для дифференциации данного вида псевдотумора орбиты с эпителиальной опухолью необходимо проведение тонкоигольчатой аспирационной биопсии с последующим цитологическим исследованием пунктата. При микроскопическом исследовании мазка в случае дакриоаденита визуализируются лимфоциты, плеоморфные клетки и фрагменты волокнистой ткани. Методом КТ определяется повышение плотности тканей, окружающих псевдотумор орбиты, совместно с увеличением размера слезной железы.
В случае васкулита как одного из проявлений псевдотумора орбиты при офтальмоскопии можно выявить застойный диск зрительного нерва. При этом данные визиометрии указывают на снижение остроты зрения. На КТ визуализируются участки повышенной плотности с четким ровным контуром, которые не прилежат к мышечной ткани и зрительному нерву. В случае склеротических изменений ретробульбарная клетчатка имеет вид неоднородной ткани высокой плотности с нечеткими границами и вовлечением в патологический процесс оптического нерва.
Лечение псевдотумора орбиты
Тактика лечения псевдотумора орбиты зависит от формы патологии и тяжести течения процесса. Консервативная терапия сводится к назначению неспецифической противовоспалительной терапии с применением кортикостероидных средств. При этом кортикостероиды вводят в виде ретробульбарных инъекций. Системное или местное введение глюкокортикостероидов может спровоцировать развитие зависимости от стероидов, резистентности к препаратам данного ряда, отек периорбитальной клетчатки. Специалистами в сфере офтальмологии рекомендовано систематически повторять курс лечения с целью профилактики рецидивов псевдотумора орбиты. Вспомогательными методами являются импульсная электромагнитная терапия, физиотерапевтические и лучевые (телегамматерапия) методы воздействия. Импульсная электромагнитотерапия показана пациентам, принимающим глюкокортикоиды. Телегамматерапия применяется с целью купирования болевого синдрома в области глазницы.
Хирургическое лечение псевдотумора орбиты необходимо в случае отсутствия эффекта от консервативной терапии, прогрессирования склеротических процессов с выраженным болевым синдромом. Оперативное вмешательство может осуществляться с использованием трансконъюнктивального, транскутанного или костного доступа. Часто требуется проведение костнопластической орбитотомии. Тактика оперативного вмешательства зависит от данных, полученных в ходе компьютерной томографии.
Прогноз и профилактика псевдотумора орбиты
Специфических мер по профилактике развития псевдотумора орбиты не разработано. Пациентам с данной патологией в анамнезе необходимо через каждые 6-8 месяцев повторять курс кортикостероидного лечения с целью предотвращения развития рецидивов. Также раз в полгода рекомендовано проходить осмотр у офтальмолога. Обязательно проведение визиометрии, офтальмоскопии и биомикроскопии. Прогноз для жизни и трудоспособности при псевдотуморе орбиты в случае своевременной диагностики и лечения благоприятный. В тоже время патология склонна к прогрессированию и развитию рецидивов, что при отсутствии адекватной терапии может привести к потере зрения и инвалидизации пациента.
Показывает ли МРТ внутричерепное давление
Все клиники сети ЦМРТ оснащены современным высокоточным оборудованием. МРТ и другие виды диагностики проводят опытные и квалифицированные специалисты.
Консультация специалиста после диагностики со скидкой 50%.
![изображение]()
Внутричерепная гипертензия — патологическое состояние, при котором выявляется повышенное внутричерепное давление. Формируется при новообразованиях в мозговой ткани, черепно-мозговой травме, кровотечениях и других недугах. Для постановки диагноза с помощью инструментальных исследований следует записаться на прием к неврологу.
Рассказывает специалист ЦМРТ
Дата публикации: 10 Ноября 2021 года
Дата проверки: 30 Ноября 2021 года
Содержание статьи
Что такое внутричерепное давление
Череп представляет собой плотную костную структуру, защищающую головной мозг. Внутри присутствует большое количество крови и цереброспинальной жидкости, циркулирующей по желудочкам и специальным полостям. Все перечисленные анатомические структуры оказывают воздействие на костные стенки и формируют давление. В норме измерение ВЧД показывает результат от 8 до 15 мм рт. ст.
Что нужно знать о внутричерепном давлении
Существуют множество факторов, влияющих на циркуляцию крови и ликвора в черепном пространстве. Поскольку показатель ВЧД часто меняется, важно знать, как его проверять. Самостоятельно провести измерение не получится, поэтому при обнаружении патологических признаков потребуется неврологический осмотр. Часто врачи оценивают показатель ВЧД по косвенным признакам.
Диагностику проводят при обнаружении следующих симптомов:
- сильной головной боли
- болезненности в области глаз
- распирающих ощущений в области черепа
- нарушения сна
- тошноты и рвоты
Если цефалгия и другие нарушения долго не проходят, следует обратиться к специалисту. Врач расскажет, как меряют внутричерепное давление и снижают его при наличии патологии.
Причины повышенного внутричерепного давления
Увеличение показателя ВЧД возникает преимущественно по следующим причинам:
- присутствие объемного патологического образования в мозговых тканях (например, аневризмы или опухоли)
- отечность мозговых тканей на фоне воспалительного процесса, инфекции, интоксикации или других изменений в организме
- увеличение объема крови в органе из-за нарушения кровообращения
- ликвородинамические расстройства, характеризующиеся увеличением объема цереброспинальной жидкости
Проверить ВЧД недостаточно. Для установления причин его изменения требуются инструментальные и лабораторные исследования.
Показывает ли МРТ внутричерепное давление?
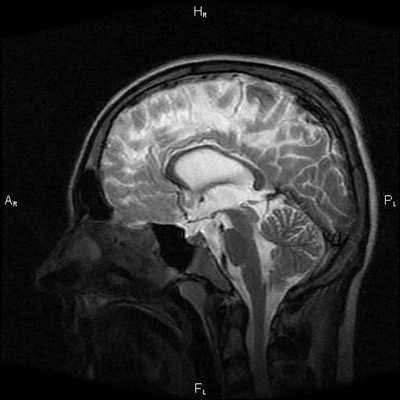
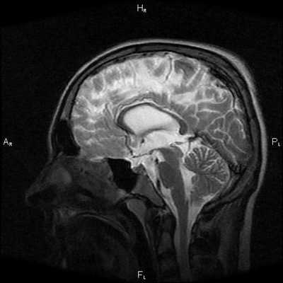
Этот высокотехнологичный метод визуализации анатомических структур, не связанный с воздействием рентгеновского излучения, позволяет безопасно и с высокой эффективностью определить этот диагностический показатель у пациента. МР-диагностика определяет высокое внутричерепное давление по следующим «маркерам»: частично пустое турецкое седло, расширенные оболочки зрительных нервов, уплощенные задние части глазных яблок, щелевидные желудочки.
Такой способ исследования помогает специалисту определить причину формирования заболевания и подобрать схему лечения. МРТ головы дифференцирует состояние от других патологий со схожей клинической картиной.
Какая МРТ покажет высокое внутричерепное давление?
Если доктор обнаруживает симптоматику такой патологии или просто хочет проверить показатель, назначается магнитно-резонансная томография головного мозга и его сосудистых структур. МР-ангиография при необходимости дополнительно выявит сгусток крови в венозном синусе, вызывающий закупорку.
Пациентка Ш. 83 лет
Проблема: жалобы на снижение памяти, повышенную утомляемость. Пациентка была направлена на МРТ головного мозга с целью исключения различных патологий.
Врач ЦМРТ
При МРТ головного мозга установлено: МРТ признаки хронической недостаточности мозгового кровообращения; выраженная открытая внутренняя гидроцефалия, свидетельствующая о признаках атрофических изменений в головном мозге.
![МРТ снимок внутричерепного давления]()
![МРТ снимок внутричерепного давления]()
Особенности проведения МРТ при внутричерепной гипертензии
Специалист предварительно объясняет пациенту правила подготовки. При использовании контраста предварительно нужно воздержаться от питания за несколько часов до исследования. Исключается наличие противопоказаний. Врач помогает больному расположиться на столе томографа и проводит фиксацию.
Во время сканирования рентгенолог находится в отдельном кабинете и проводит анализ получаемых данных. Обычно вся процедура занимает не более 45 минут. При необходимости дополнительно применяют контрастирование.
Описание МРТ- снимка в ЦМРТ
В клинике ЦМРТ результаты исследования можно получить уже в течение часа после прохождения процедуры. Доступна услуга «Второе мнение» — специалисты центре проводят расшифровку исследования, проведенного ранее для уточнения, подтверждения или опровержение диагноза. Это позволяет оценить тактику лечения и при необходимости внести коррективы.
Идиопатическая внутричерепная гипертензия
![]()
Введение
Идиопатическая внутричерепная гипертензия (ВЧГ) является заболеванием неясной этиологии, которое преимущественно поражает женщин детородного возраста, страдающих ожирением. Первичной проблемой является хронически повышенное внутричерепное давление (ВЧД), и самое важное неврологическое проявление — это отёк зрительного нерва, что может привести к вторичной прогрессирующей атрофии зрительного нерва, потере зрения и возможной слепоте.Хотя идиопатическая внутричерепная гипертензия и доброкачественная внутричерепная гипертензия являются синонимами в литературе, первое обозначение более предпочтительно.
Признаки и симптомы
Пациенты с ВЧГ обычно проявляют следующие симптомы, связанные с повышенным ВЧД и отёком зрительного нерва. Симптомы ВЧГ могут быть следующие:
Головные боли (обычно неспецифические, с варьирующим типом, местом и частотой проявления);
Ухудшение зрения (обычно страдает зрительное поле, но редко бывает и потеря остроты зрения);
Диплопия (обычно горизонтальная из-за паралича шестой пары черепных нервов, но редко бывает и вертикальная);
Пульсирующий звон в ушах;
Корешковая боль (обычно в руках, редкий симптом).
Редко пациенты с повышенным ВЧД и отеком зрительного нерва могут не проявлять никаких симптомов.
Зрительные симптомы отёка зрительного нерва могут быть следующие:
Временное ухудшение зрения, как правило при переходе в горизонтальное положение;
Прогрессирующая потеря периферического зрения на одном или обоих глазах (что связано с поражением нервных волокон и увеличением слепого пятна);
Размывание и искажение (метаморфопсия) центрального зрения из-за отека макулы или оптической нейропатии;
Внезапная потеря зрения (например при скоротечной ВЧГ).
Неспецифические симптомы ВЧГ могут включать в себя головокружение, тошноту, рвоту, фотопсии и ретробульбарную боль.
Наиболее значимым физическим симптомом является билатеральный отёк зрительного диска, вторично за повышением ВЧД. Редко, в более выраженных случаях, может ухудшаться макулярное (центральное) зрение. К значимым симптомам также относится паралич VI пары черепных нервов.
Плохими прогностическими признаками являются атрофический отёк зрительного нерва вместе с субретинальным излиянием. Отёк зрительного нерва, который не подвергается лечению, приводит к прогрессированию потери периферического зрения и поражению нервных волокон.
Редко внезапная потеря центрального зрения обусловлена ишемической оптической нейропатией или окклюзией сосудов.
Зрительные функциональные тесты являются наиболее важными в неврологическом обследовании для диагностики и наблюдения пациентов с ВЧГ. В такие тесты входят:
Офтальмоскопия, фотография зрительного нерва и, в некоторых случаях, оптическая когерентная томография;
Формальная оценка зрительного поля;
Обследование подвижности глазного яблока.
Диагностика
Как правило, лабораторные исследования не являются обязательными, но некоторые авторы советуют сдавать анализы крови в зависимости от клинической картины, включая следующие исследования:
Развёрнутый анализ крови;
Полный профиль прокоагулянтов (только у пациентов с предшествующей историей болезни, включающей тромбозы или данные МРТ, указывающие на окклюзию синусов твёрдой мозговой оболочки при магнито-резонансной венографии).
Исследования с использованием нейровизуализации необходимы, чтобы исключить вероятность поражения мозга до проведения люмбальной пункции. Кроме того, важно исключить возможность тромбоза синуса твёрдой оболочки. В итоге наиболее предпочтительным методом является МРТ головного мозга с контрастом (например гадолинием). По крайней мере, в начале исследования пациента, можно провести компьютерную томографию, чтобы исключить повреждение мозга, если МРТ недоступно.
Как только поражение мозга исключено, обычно пациенту назначается люмбальная пункция, которая включает в себя следующие исследования:
обнаружение повышенного давления ликвора,
количественный электрофорез белков,
наличие аэробной бактериальной культуры,
наличие кислотоустойчивых бацилл,
криптококковый антиген (особенно у пациентов с ВИЧ),
маркеры сифилиса (например, быстрый плазменный реагин),
опухолевые маркеры и цитологическое исследование (у пациентов с наличием рака в истории болезни или с клиническими признаками, указывающими на злокачественность).
Ведение пациентов с ВЧГ
Целью терапии является сохранение функции зрительно нерва при одновременном лечении ВЧД.
Фармакологическая терапия может быть следующей:
Ацетазоламид (наиболее эффективное средство для снижения ВЧД) и фуросемид, реже другие диуретики;
Для профилактики головной боли — амитриптилин, пропранолол, другие средства против мигрени, или топирамат;
Кортикостероиды для снижения ВЧД при ВЧГ воспалительной этиологии или как дополнительное средство при терапии ацетазоламидом.
Как правило терапия кортикостероидами применяется только на краткосрочной основе и только у пациентов имеющих выраженную потерю зрительной функции, так как в отсроченной перспективе кортикостероиды могут вызвать набор веса тела и вынужденный отказ от их применения в терапии.
Если зрительная функция ухудшается при вышеописанной максимально возможной медикаментозной терапии, следует серьёзно рассмотреть вариант хирургического вмешательства . Таковыми могут быть:
Иссечение оболочки зрительного нерва, вынужденная мера для декомпрессии жидкости, окружающей нерв;
Установка люмбоперитонеального или вентрикулоперитонеального шунта;
Стентирование внутричерепного венозго синуса.
Лечение ВЧГ с повторяющимися люмбальными пункциями является для нас интересным только в историческом аспекте, так как объём ликвора быстро восстанавливается. Однако в некоторых случаях, когда пациенты отказываются или по каким-то причинам не могу пройти хирургическую терапию, люмбальная пункция оказывается применимой (например беременные женщины). В частности использование люмбальной пункции может быть использовано для случаев когда ВЧД возрастает быстро и нужно принять меры до того как проведение операции будет возможно.
Мета-анализы, сравнивающие эти методы, говорят о следующем:
252 операции по декомпрессии оболочек зрительного нерва: визуальные дефекты улучшены или устранены в 80% случаев.
31 операция по установке вентрикулоперитонеального шунта: визуальные дефекты улучшены или устранены в 38,7% случаев.
44 операции по установке люмбоперитонеального шунта: визуальные дефекты улучшены или устранены в 44,6% случаев.
17 операций по установке внутричерепных венозных стентов: визуальные дефекты улучшились или были устранены в 47% случаев.
Конечно же существуют различные выгоды и риски, связанные с каждым из этих вмешательств.
В долгосрочной перспективе базой для лечения пациентов с ВЧГ является снижение веса тела. Ограничения физической активности не требуется, даже напротив, настоятельно рекомендуется диета в сочетании с программой физических упражнений.
Некоторые пациенты с ВЧГ показывают значительное улучшение при применении бариатрической хирургии (раздел хирургии, занимающийся лечением ожирения).
Читайте также:






