КТ при абфракции зуба
Добавил пользователь Евгений Кузнецов Обновлено: 15.12.2025
Беспокоясь о своем здоровье и планируя диагностику челюсти с использованием компьютерного томографа, очень важно знать больше о самой процедуре и ее воздействии на организм. Задаваясь вопросом вредно ли КТ зубов для здоровья, пациенты хотят понимать насколько сильное облучение получат, и стоит ли диагностика того, чтобы встать под рентгеновские лучи. Разобравшись во всех нюансах, вы гарантированно сможете без страха записываться на компьютерную томографию.
Особенности облучения при КТ и не только
В основе работы томографа лежит воздействие рентгеновских лучей. Не зная всех особенностей процедуры и оборудования, некоторые до сих пор считают, что КТ зубов вредно для здоровья, поскольку организм подвергается облучению. При этом, мало кто помнит из школьного курса физики о том, что человек подвержен облучению повсеместно, даже за пределами рентген кабинета, например:
- На улице в ясные дни. Солнце - самый большой естественный источник излучения.
- Дома, находясь вблизи включенных бытовых приборов:
- телевизора;
- холодильника;
- разного рода гаджетов и т.д.
Чтобы понять какую лучевую нагрузку при КТ челюсти получает человек и вредно ли это, стоит немного больше узнать о самом излучении. Измеряется оно в зивертах (Зв), миллизивертах (мЗВ) и микрозивертах (мкЗв). Согласно нормам СанПиНа, безопасным для человека, проходящего медицинские профилактические исследования, являются:
- 1000 мкЗв в год для взрослого человека;
- 300-400 мкЗв в год для детей младше 15 лет.
С учетом того, что одно рентгеновское исследование выполняется с лучевой нагрузкой от 2-3 мкЗв (прицельный снимок) до 16-18 мкЗв (панорамный снимок челюсти), допустимо делать в год 300-500 прицельных снимков или 60-70 снимков челюсти. Данные цифры отображают усредненные данные без привязки к какому-то конкретному типу оборудования. Но и по ним видно, что это не вредно для организма - получать всего несколько микрозивертов за детальную диагностическую картину.
Лучевая нагрузка при КТ челюсти
Чтобы понять размер лучевой нагрузки и выяснить для себя как часто можно делать КТ зубов, чтобы было не вредно для здоровья, необходимо не просто ознакомиться с сухими цифрами данных. Нагляднее будет рассмотреть сравнение излучений от томографа с облучением в повседневной жизни:
- Просмотр любого телевизора на расстоянии от экрана меньше, чем 2,5 метра в течение 3 часов дает 0,5 миллизиверта (мЗв). Соответственно, пять дней просмотра ТВ по 3 часа равно той же лучевой нагрузке, которую можно получить при 1 рентгеновском снимке челюсти.
- Работа за компьютером/ноутбуком на протяжении более 3-х часов - это 1 мкЗв, что равно 1 прицельному снимку зуба.
- Полет на самолете из Петербурга в Омск, Сургут или Турцию занимает 3,5 часа. За это время будет получена лучевая нагрузка 10 мЗв, что приравнивается к 5 КТ снимкам.
И это, если не брать в расчет ежедневное воздействие на ваш организм излучения от холодильника, микроволновой печи и других регулярно используемых приборов. Приведенных примеров достаточно, чтобы вы поняли, что лучевая нагрузка от КТ челюсти мала и ее воздействие не так вредно для здоровья, как могло бы показаться. Зато результаты исследования помогут не только правильно диагностировать заболевания, но и грамотно проводить некоторые стоматологические операции, например, имплантацию.
От чего зависит доза облучения при КТ?
То, какое количество облучения получит человек при томографии зависит от трех основных факторов:
- Область сканирования. Речь не о том, прицельный это будет или панорамный снимок, а о части тела, которая подлежит исследованию. Научно доказано, что отдельные ткани организма по-разному реагируют на воздействие рентгеновских лучей. Одна из наименьших доз получается при исследовании зубочелюстной системы.
- Время сканирования. В расчет берется время, которое необходимо для получения данных КТ. Использование ультрасовременного оборудования позволяет уменьшить время воздействия рентгеновских лучей до нескольких миллисекунд.
- Вид оборудования. Поскольку томографы используются в разных областях медицины и для различных целей, они настроены на определенное время и интенсивность излучения. Самыми мощными считаются высокопольные томографы, известные больше, как МРТ. А щадящими являются небольшие по размеру дентальные (внутриротовые) портативные сканеры.
Производители медицинского стоматологического оборудования знают о том, что КТ зубов и челюстей требуется чаще, чем томография других органов. Именно поэтому используемые в современных клиниках аппараты оказывают минимально возможную лучевую нагрузку на организм, равную примерно 0,039-0,06 мЗв. Что позволяет не только повторять томографические исследования по несколько раз в месяц, но и проводить такую диагностику, как максимально безвредную для здоровья, даже детям.
Вредно ли КТ зубов для здоровья беременных?
Часто женщин интересует не только как часто можно делать КТ зубов, но и доступна ли эта диагностическая процедура для беременных. На этот вопрос эксперты дают следующие ответы:
- Первая половина срока. Компьютерная томография показана только в случае крайней необходимости. Например, если есть острая потребность выявления новообразований.
- Вторая половина срока. В этот период нет никаких ограничений и запретов на компьютерную томографию и получаемую при ней лучевую нагрузку для будущих мам.
Стоит понимать, что опытный врач никогда не отправит пациента на томографию без необходимости. Но, если при сборе клинической картины или во время лечения необходимо видеть то, что показывает КТ зубов и челюстей, бе6з рентгеновского сканирования не обойтись. Обязательно сообщите лечащему врачу, что вы в положении (если этого очевидно не заметно), чтобы он мог перенести КТ или назначить подходящее альтернативное диагностическое исследование, которое будет не вредно для здоровья будущей мамы и плода.
Оптимизация алгоритма эндодонтического лечения с использованием конусно-лучевой компьютерной томографии
Одной из наиболее важных и не полностью решенных задач терапевтической стоматологии является проблема диагностики и лечения больных с хроническими очагами инфекции периапикальной области. Несмотря на широкий выбор средств, применяемых в клинической практике, эндодонтическое лечение не всегда бывает эффективным и часто приводит к повторному развитию хронического воспаления.
Сталкиваясь с достаточно большими очагами деструкции костной ткани, в подавляющем большинстве случаев врачи-стоматологи сразу направляют пациентов на экстракцию зуба либо на операцию «резекции верхушки корня», даже не проводя эндодонтического лечения. На самом деле доказано, что истинная радикулярная киста — это довольно редкое патологическое состояние. Чаще доктор имеет дело с псевдокистой (застойная киста, киста-карман, pocket cyst ), которая представляет собой расслоившуюся гранулему, не имеющую замкнутой эпителиальной выстилки и оболочки.
А любая гранулема — это, по сути, реакция макроорганизма на наличие микроорганизмов в канале зуба, попытка ограничить и изолировать участок интоксикации и обеспечить наилучшие условия для борьбы с инфекцией. Итак, корневая киста, гранулема, кистогранулема — это участок расширения кровеносных сосудов с увеличенным содержанием макрофагов, фибробластов, коллагена и т. д., покрытый снаружи фиброзной капсулой. Если простерилизовать корневой канал, то интоксикация периапикальных тканей прекратится, давление внутри гранулемы упадет, изменится реакция среды, начнется периферический остеогенез, который завершится полной репарацией костного дефекта в периапексе [1].
Таким образом, сталкиваясь с обширными очагами периапикальной инфекции, врач-стоматолог должен в первую очередь провести качественное эндодонтическое лечение, и только невозможность проведения ортоградной ревизии корневых каналов и ухудшение состояния по данным радиомониторинга в отдаленные сроки могут стать показанием к хирургическому вмешательству.
Успешное эндодонтическое лечение требует от опытного клинициста правильной стратегии на всех этапах в процессе формирования, очищения и обтурации системы корневых каналов. Сложность анатомического строения системы корневых каналов всегда является испытанием для эндодонтиста. Поэтому, чтобы выбрать наиболее подходящий для конкретного случая способ лечения, врач должен полностью оценить морфологию зуба и конфигурацию корневых каналов на предоперационном этапе [3].
Важным методом диагностики состояния твердых тканей зуба, верхушечного периодонта и пародонта в клинической практике остается рентгенологическое исследование. Наиболее часто используется внутриротовая рентгенография и ортопантомография. Однако стандартные методики рентгенологического исследования не всегда дают достаточную информацию о топографо-анатомических особенностях строения зубов.
Только трехмерная радиодиагностика, представленная в стоматологии конусно-лучевой томографией, является на сегодняшний день самым достоверным и информативным методом лучевой диагностики в стоматологии [2]. Сегодня у врача-стоматолога есть прекрасная возможность достоверно и объективно оценивать микроанатомию системы корневых каналов, состояние периапикальной области, результаты репарации дефектов костной ткани после эндодонтического лечения. Фиксированные трехмерные изображения (скриншоты) предоставляют стоматологу гораздо больше объективной информации, чем суммационное двухмерное изображение.
В подтверждение вышесказанного приводим клинический случай лечения апикального периодонтита моляров нижней челюсти со сложным строением канально-корневых систем.
В мае 2014 г. в клинику обратилась пациентка В., 1966 г. р., с жалобами на сильную постоянную боль ноющего характера в области 4.7 зуба, которая усиливалась при жевании, ощущение «выросшего зуба». Внешний осмотр: лицо симметричное, кожные покровы челюстно-лицевой области без патологических изменений; подчелюстные лимфатические узлы справа увеличены (до 1 см), подвижные, не спаяны с подлежащими тканями, слегка болезненны.
St . localis : 4.7 зуб — коронковая часть зуба функциональна, на жевательной поверхности имеется обширная пломба из композитного материала с хорошим прилеганием, реставрация состоятельна, твердые ткани наддесневой части зуба не размягчены. Холодовый тест отрицательный. Перкуссия 4.7 зуба резко болезненна, подвижность 1-й степени. Слизистая оболочка в области 4.7 умеренно отечна, гиперемированна, пародонтального кармана нет.
Со слов пациентки, зуб ранее (5—6 лет тому назад) был лечен по поводу осложненного кариеса. На внутриротовой рентгенограмме визуализировались обширные очаги деструкции в периапикальной области медиальных и дистальных корней (рис. 1) . Пломбирование каналов оценено как неполное и неплотное. Ds : хронический апикальный периодонтит 4.7 зуба, стадия обострения. Также был поставлен предположительный диагноз «корневая киста».
Рис. 1. Внутриротовая рентгенограмма 4.7 зуба, preop.
В первое посещение под инфильтрационной анестезией при изоляции коффердама были снята реставрация с 4.7 зуба, распломбированы дистальные каналы, получен гнойный экссудат. После снятия острой боли пациентка была направлена на КЛКТ.
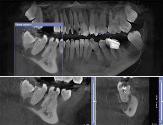
На томограммах и реконструктивных снимках было установлено, что 4.6, 4.7 зубы имеют особенность микроанатомии каналов. Мезиальные корни содержали по 2 канала, которые открывались отдельными апикальными отверстиями. В дистальных корнях обнаружили по 3 канала, которые сливались в одно апикальное отверстие. Причем третий (дистально-язычный) канал 4.7 зуба заканчивался на язычной стенке корня на уровне его середины (рис. 2) .
Рис. 2. КЛКТ. Аксиальные последовательные срезы 4.6, 4.7 зубов.
Качество пломбирования 4.7 зуба, по данным КЛКТ, было неудовлетворительным. В мезиально-щечном и дистальных каналах 4.7 зуба пломбировочный материал прослеживался в виде отдельных фрагментов (рис. 3) . Мезиально-язычный канал обтурирован неплотно, до апикальной стриктуры (рис. 4). Наблюдали признаки апикальной резорбции дистального корня (рис. 5) .
Рис. 3. КЛКТ, косо-сагиттальная и корональная томограммы мезиального корня 4.7 зуба. Выведен мезиально-щечный канал 4.7 зуба.
Рис. 4. КЛКТ, косо-сагиттальная и корональная томограммы мезиального корня 4.7 зуба. Выведен мезиально-язычный канал 4.7 зуба.
Рис. 5. КЛКТ, косо-сагиттальная и корональная томограммы дистального корня 4.7 зуба.
В периапикальной области обоих корней определялся обширный сливной очаг деструкции кости протяженностью 11х6 мм, который распространялся до кортикальной выстилки нижней челюсти канала с ее локальным разрушением (рис. 6) .
Рис. 6. КЛКТ, МПР. Прицельная визуализация апикальных очагов деструкции в обл. 4.7 зуба.
После уточнения анатомо-топографических особенностей системы корневого канала было проведено дальнейшее повторное эндодонтическое лечение зуба 4.7 с инструментальной обработкой 5 каналов, ирригацией 3%-ным раствором гипохлорита натрия, временным пломбированием каналов гидроокисью кальция ( Calasept ) на 2 надели. Каналы запломбированы гуттаперчей с эпоксидным силлером, коронковая часть восстановлена постоянной реставрацией.
Параллельно с этим на КТ была выявлена несостоятельность реставрации 4.6 зуба. Пациентке было рекомендовано провести его лечение. Однако она обратилась в клинику только через полгода с острой болью в области 4.6 зуба. После клинического обследования и анализа особенностей строения канально-корневой системы 4.6 зуба на КЛКТ (рис. 7) было проведено эндодонтическое лечение 5-канального нижнего правого первого моляра по поводу необратимого симптоматического периодонтита 4.6 зуба.
Рис. 7. КЛКТ, МПР. Прицельная визуализация дистального корня 4.6 зуба.
Через год пациентка была направлена на повторную КЛКТ с целью радиомониторинга.
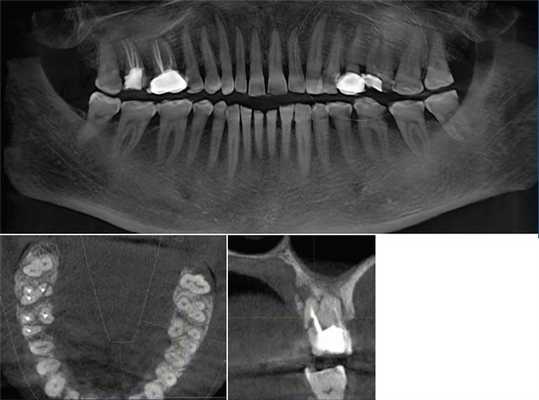
Описание рентгенологического исследования 4.6, 4.7 зубов в динамике. 4.6 зуб депульпирован. Коронковая часть восстановлена пломбой. Краевое прилегание не нарушено. Строение канально-корневой системы: 2 корня, 5 каналов. Все каналы заполнены пломбировочным материалом плотно, на всем протяжении. Пространство периодонтальной связки и периапикальные ткани не изменены. Твердая пластинка альвеолы прослеживается на всем протяжении (рис. 8, 9) .
Рис. 8. КЛКТ, МПР. Оценка качества обтурации каналов мезиального корня 4.6 зуба.
Рис. 9. КЛКТ, МПР. Оценка качества обтурации каналов дистального корня 4.6 зуба.
4.7 зуб депульпирован. Коронковая часть восстановлена пломбой. Краевое прилегание не нарушено. Строение канально-корневой системы: 2 корня, 5 каналов. Все каналы запломбированы гомогенно, полностью. Сохраняется краевая апикальная резорбция дистального корня. Наблюдается практически полная регенерация очага деструкции в проекции верхушек обоих корней. Имеется остаточное расширение апикального периодонта в области дистального апекса (рис. 10, 11) .
Рис. 10. КЛКТ. МПР. Оценка качества обтурации каналов мезиального корня 4.7 зуба и состояния периапикальных тканей.
Рис. 11. КЛКТ. МПР. Оценка качества обтурации каналов дистального корня 4.7 зуба и состояния периапикальных тканей.
Методы диагностических процедур подразумевают тщательную, насколько это возможно, оценку зуба, слизистой оболочки, подробно собранный анамнез, оценку анатомии корневых каналов, состояния периапикальной области в целом до начала лечения. При постановке точного диагноза важную роль играют, прежде всего, знание этиологии и понимание процессов патофизиологии заболеваний пульпы и пародонта [4, 5]. В представленном клиническом случае был поставлен предварительный диагноз «корневая киста 4.7 зуба». Диагноз был предположительным и ставился только на основании величины разрежения костной ткани. Гистологического исследования не проводилось, так как на плане лечения оно никак не отразилось бы.
К сожалению, в повседневной практике чаще всего хронические периодонтиты с большими очагами деструкции костной ткани не лечатся. Диагноз «корневая киста» многими стоматологами воспринимается как показание к удалению зуба. В большинстве случаев сохранение зуба, даже при обширной радиолюценции в области верхушки корня на рентгеновском изображении, не представляет особых сложностей. Ни наличие «кисты», ни размер деструктивного очага не должны являться причиной удаления зуба и вообще не должны влиять на метод лечения. При правильном алгоритме лечения очаги хронического воспаления в периодонте любого размера и корневые кисты в большинстве случаев подвергаются обратному развитию и полностью исчезают с течением времени.
По нашему мнению, алгоритм эндодонтического лечения должен включать конусно-лучевую компьютерную томографию, и она должна стать обязательной при оценке анатомо-топографических особенностей системы корневого канала, при оценке качества пломбирования корневых каналов, степени деструкции костной ткани и межзубных перегородок, оценке отдаленных результатов лечения, особенно при лечении зубов с обширными очагами инфекции.
КТ челюсти: что показывает, как делают, дозы облучения
Компьютерная томография зубов является важной частью диагностических мероприятий в стоматологической сфере. Это очень информативный способ, который позволяет увидеть особенности строения челюсти, зубного ряда, а также выявить патологические процессы. Раньше для этого применялся рентген, но КТ является более продвинутым диагностическим методом, позволяющим получить наиболее точную картину.
3D диагностика зубов проводится при помощи томографа. За одну процедуру можно получить подробную информацию, касающуюся состояния зубного ряда. Главная особенность этого метода - это трехмерный снимок, который позволяет увидеть исследуемый объект в полном объеме. Это крайне важно для постановки точного диагноза и составления подробной схемы лечения.
![Рентген носовых пазух]()
Содержание
Основные достоинства проведения томографии зубов
По сравнению с другими диагностическими методами, компьютерная томография обладает следующими преимуществами:
- Вся процедура длится не дольше 1 минуты.
- Высокий уровень информативности.
- КТ безопасен для здоровья пациента, поэтому при необходимости его можно проводить неоднократно.
- Высокое качество изображения на снимке позволяет хорошо рассмотреть особенности строения костных тканей.
- Получаемая доза облучения минимальна.
По окончании процедуры, получаемый 3D-снимок записывается на CD диск с универсальным программным обеспечением, которое устанавливается автоматически на компьютере лечащего врача с целью дальнейшей постановки диагноза.
![Рентген носовых пазух]()
Показания к проведению КТ
Информация, полученная после проведения КТ, необходима для решения целого ряда задач в области стоматологии.
Процедура проводится в следующих случаях:
- Повреждения челюсти после незначительных травм. Именно с помощью КТ можно определить вывихи и переломы.
- Выявление патологий в строении зубного ряда. Эта процедура повсеместно используется перед любым видом ортодонтической коррекции.
- Составление компьютерной модели челюсти для изготовления индивидуальной брекет-системы.
- В качестве подготовительной процедуры перед предстоящей операцией.
- Наличие новообразований в челюсти.
- Диагностика скрытого кариеса.
- Осложнения в зубных каналах.
- Контроль за успешностью проведенного ранее лечения.
КТ проводится перед имплантацией зубов, ведь на основе 3D-снимка подбирается подходящий имплант, проводится его установка и проверка качества проведенной процедуры.
Основные противопоказания
Во время процедуры на организм воздействует определенная доза радиации, поэтому компьютерная томография не проводится при беременности. Что касается женщин в период лактации, то проведение процедуры возможно, но после ее окончания запрещено кормить ребенка грудью в течение 24-48 часов.
Запрещено делать КТ зубов детям дошкольного возраста. В данном случае, используются альтернативные методы диагностики. Тоже самое касается пациентов с кардиостимулятором.
Вредно ли проводить КТ зубов?
Компьютерная томография основана на принципе прохождения рентгеновских лучей, с помощью которых производится ряд послойных снимков. Соответственно, определенная доза облучения при КТ челюсти присутствует. Она зависит от количества снимков и общей площади исследования.
При обследовании грудной клетки и брюшной полости этот показатель составляет 11-14 мЗв. Критический уровень для одной процедуры - 50 мЗв (предельно допустимая годовая доза - 150 мЗв). Если этот показатель будет превышен, то есть большой риск развития раковых опухолей.
Так вредно ли делать КТ зубов? Исследование этой области считается наиболее щадящим, ведь радиоактивная доза во время процедуры составляет всего 0,1-0,3 мЗв. Поэтому компьютерная томография абсолютно безопасна для здоровья пациентов (за исключением случаев противопоказаний).
Как часто можно делать КТ зубов без вреда для здоровья?
Несмотря на то, что при КТ зубов на организм воздействует минимальная доза облучения, злоупотреблять этой процедурой не нужно. Частота проведения зависит от меры необходимости в этом, но необходимо учитывать, что радиация способна накапливаться в организме человека. Поэтому стандартная периодичность процедур составляет - не чаще 2 раз в год.
Но бывают случаи, когда необходимо превысить допустимый лимит. На основании допустимой лучевой нагрузки, КТ лица и челюсти проводиться не чаще 1 раза в 2-3 месяца.
Основные правила подготовки
Особых требований, которые нужно неукоснительно соблюдать перед томографией зубной челюсти, не существует. Перед процедурой лучше не есть в течение трех часов.
Остальные требования стандартны, как и в случае с рентгеном. Нужно будет снять с себя все украшения и предметы, содержащие металл. Необходимо это для получения максимально точных результатов исследования.
Как делают КТ зубов в специализированных клиниках?
По сравнению со старым рентгеновским аппаратом, томограф намного более компактен. Компьютерная томография может проводиться лежа, стоя или сидя. Выбор зависит от физиологических особенностей человека, его возраста, а также типа самой патологии.
При конусно-лучевой компьютерной томографии голова пациента помещается между двумя сканерами. Для обеспечения максимальной неподвижности предусмотрены фиксаторы для челюсти, подбородка и висков. Чтобы понимать, как делается КТ зубов, опишем процедуру по этапам:
- Процедура проводится стоя, площадка для фиксации челюсти, подбородка и висков выставляется в соответствии с ростом пациента, перед процедурой надевается защитный свинцовый жилет. Голова кладется на специальную подставку томографа и прижимается к аппаратной стойке. И в этом положении фиксируется средствами стабилизации.
- После подготовки пациента, специалист включает томограф. Движущаяся часть устройства совершает вращения вокруг головы пациента. За всю процедуру получается порядка 200-300 снимков, которые сразу же отображаются на мониторе.
- Во время процедуры пациента может слышать шум - это вполне нормально и бояться этого не нужно. Когда он стихнет, не нужно сразу же убирать голову от площадки или делать другие движения, необходимо дождаться пока рентген-лаборант сообщит об окончании исследования и попросит вас выйти из зоны сканирования.
Во время процедуры пациент не испытывает боли или каких-либо неприятных ощущений. Единственный дискомфорт - это вынужденная необходимость сохранять обездвиженность. Также на время снимка в течении 10-20 сек., пациент может ощущать тепло исходящее от движущихся сканеров.
![Рентген носовых пазух]()
КТ челюсти: что показывает эта процедура?
Получаемый КТ снимок зубов представляет собой трехмерное изображение челюсти, которое получено с помощью аппаратного позиционирования и использования системы фиксации на трех точках.
Компьютерная томография зубов позволяет четко увидеть все патологические процессы и нарушения в строении костных тканей. С помощью этого исследования можно увидеть:
- Коронки и пломбы.
- Состояние околоносовых пазух носа.
- Расположение каналов, корней и непрорезавшихся моляров.
- Состояние ВНЧС.
- Различные патологии челюсти.
Высокая точность полученных результатов позволяет точно определить характер патологии. Если же КТ проводится для имплантации зубов, то послойные снимки позволяют получить максимально четкую картину состояния челюстно-лицевой области в разных проекциях. Специалист видит верхнечелюстные пазухи, каналы, ВНЧС и сосуды.
Данный вид исследования является наиболее точным источником информации о зубочелюстной системе. Только с помощью КТ можно правильно спланировать предстоящую процедуру имплантации. Если не использовать КТ, то велик риск установки имплантата меньшего размера, что приведет к излишней нагрузке на костные ткани.
![Рентген носовых пазух]()
Компьютерная томография после установки имплантов
Достаточно часто возникает вопрос - можно ли делать КТ с имплантами зубов? В отличие от магнитно-резонансной томографии, когда инородные тела могут «фонить», при проведении компьютерной томографии такой проблемы нет. Более того, она не просто разрешена, а рекомендована после проведенной имплантации.
КТ необходима в следующих случаях:
- Выявление причины шаткости установленной конструкции.
- Если нужно определить, прижился искусственный корень или нет.
- Определение качества проведенной имплантации. Это особенно нужно в том случае, если на предварительном этапе не проводилось компьютерное моделирование челюсти.
- Выявление осложнений, скрытых при визуальном осмотре.
Если у пациента установлены металлические коронки, то необходима предварительная консультация специалиста. Дело в том, что металлические элементы могут создать нежелательные оптические эффекты на снимках, что усложнит диагностику и постановку диагноза.
Что лучше - КТ или рентген?
Компьютерная томография считается одним из наиболее информативных методов диагностики, используемых в стоматологии. С помощью этого метода удается получить многослойное изображение исследуемой области. 3D-снимок намного более информативен по сравнению с обычным рентгеновским снимком, который дает только плоскостное изображение.
С точки зрения ценовой доступности, рентген предпочтительнее, но он не всегда позволяет получить точную картину состояния зубно-челюстной системы. Как показывает практика, если проводится КТ, то в 99% случаев удается точно определить причину возникшей зубной боли и другой симптоматики.
Компьютерная томография челюсти в Санкт-Петербурге
Если врач назначил вам КТ, но вы не хотите ждать и сидеть в очередях, то рентген-центры «ЛУЧ» предложат вам пройти это исследование на своих новейших томографах. Процедура занимает не больше минуты, абсолютно безболезненна и эффективна.
Компьютерная томография зубов
Компьютерная томография зубов (КТ) - это относительно новый для стоматологии метод рентгенологического обследования зубов, челюстей и мягких тканей лица, который позволяет получить трехмерный 3D снимок зубов пациента. Трехмерный снимок на экране компьютера возникает в результате объединения большого количества послойных двухмерных снимков в единое целое, что становится возможным благодаря сложному программному обеспечению.
Этот метод обычно значительно информативней традиционной двухмерной плоской рентгенографии зубов, но это относится только к снимкам с высоким разрешением. Аппараты компьютерной томографии стоят очень дорого, клиники стараются эксплуатировать их до последнего, и поэтому очень часто приходится видеть и малоинформативные снимки с небольшим разрешением.
Пример аппарата КТ для стоматологии -
![]()
![]()
К традиционной двухмерной рентгенографии относят -
Если снимок КТ сделан в хорошем разрешении, то в сравнении с двухмерными традиционными рентгеновскими снимками - трехмерная цифровая компьютерная томография безусловно позволяет во много раз повысить качество диагностики, снизить риск постановки неправильного диагноза. Все это обеспечивается более высоким разрешением таких снимков, а также возможностью послойно исследовать объект на экране компьютера.
Показания к проведению КТ зубов и челюстей -
- диагностика при лечении корневых каналов,
- поиск трещин и перфораций корня зуба,
- планирование имплантации зубов,
- по направлению ортодонта,
- диагностика воспаления пазух,
- диагностика заболеваний височно-нижнечелюстного сустава,
- диагностика опухолей костей и мягких тканей лица.
Типы аппаратов для проведения КТ -
Это очень важный момент! Существует несколько видов аппаратов для проведения КТ зубов и челюстей. Очень важно знать - на каком именно аппарате вам будут делать КТ, т.к. некоторые из них обладают слишком высокой лучевой нагрузкой, а другие просто не смогут дать качественного изображения (в зависимости от того - снимаете ли вы костную ткань или мягкие ткани лица).
- Пошаговая компьютерная томография зубов -
это один из первых типов томографов, которые появились очень давно. Его отличает низкое разрешение изображения, низкая четкость структур костной ткани. Кроме того, лучевая нагрузка за 1 полное обследование челюстно-лицевой области будет составлять 1500 мкЗв (это в 1,5 раза превышает безопасную дозу в 1000 мкЗв в год).
- Мульти-спиральная компьютерная томография (МСКТ) -
на спиральном томографе лучевая нагрузка намного меньше - около 300-400 мкЗв, но все-равно она достаточно опасна. Как и у пошаговых томографов здесь присутствует низкое разрешение изображения, низкая четкость структур костной ткани. Но при этом спиральные томографы лучше всего подходят для проведения исследования мягких тканей лица (слюнных желез, мышц, лимфоузлов).
Важно : для просмотра получаемых трехмерных снимков используются специальные программы, совместимые с персональным компьютером. Такие программы содержат набор инструментов для обработки изображения в 2D- и 3D-форматах. Системы компьютерной томографии даже одного типа будут отличаться друг от друга как минимум по удобству программного обеспечения, что в конечном итоге определяет возможности врача для анализа изображения.
Таким образом, эффективность даже суперсовременной конуснолучевой компьютерной томографии может быть разной, и зависеть от возможностей программного обеспечения (отличающимся у разных производителей КЛКТ). Поэтому важен не только выбор типа КТ, но и конкретного производителя.
Компьютерная томография зубов: видео
Какие аппараты для КТ зубов будут лучшими -
Эта статья написана практикующим стоматологом, специализирующимся на хирургии и имплантации зубов. Нам не хочется, чтобы нас обвиняли в рекламе конкретного производителя, но многолетний опыт проб и ошибок позволяет нам сделать однозначный выбор в пользу «SIRONA Galileos», а на второе место мы бы поставили аппарат «PICASSO».
Важно : если вы делаете снимок для имплантации, то обязательно снимок должен быть сделан с разметкой в области отсутствующих зубов (запомните эту фразу)! Без разметки ваш снимок будет малоинформативен и практически бесполезен, поэтому об этом вы должны договариваться еще до проведения КТ. Не менее важно, чтобы в идеале разметка была сделана не рентген-лаборантом (это подразумевает среднее мед.образование), а именно врачом-рентгенологом.
В этом случае можно быть уверенным, что разметка будет сделана правильно, и во время операции ни врача, ни пациента не будут ждать неприятные сюрпризы. Если вы живете в Москве, то такие правильные снимки с разметкой мы отправляем пациентов делать в один из медицинских центров Москвы (к конкретному врачу-рентгенологу, с которым мы давно сотрудничаем), либо в сеть центров рентгенодиагностики «Picasso».
Компьютерная томография челюсти: цена в Москве
Стоимость КТ зубов в Москве прежде всего будет зависеть от размера исследуемой области, типа используемого аппарата, а также от того - необходимо ли вам распечатывать снимок на пленке (это будет дороже) или достаточно записи снимка на CD-диск. На КТ зубов цена, указанная ниже, уже включает запись снимка на CD, а также письменный анализ снимка врачом-рентгенологом.
Конусно-лучевая компьютерная томография зубов: цена
- КТ области 6*6 см (3 зуба) - 1700 руб.
- КТ области 6*10 см (1 челюсть с одной стороны) - 2900 руб.
- КТ области 7.5*10.0 см (2 челюсти с одной стороны) - 3700 руб.
- КТ области 7,5*14,5 см (обе челюсти) - 4200 руб.
- КТ придаточных пазух носа - 3900 руб.
- КТ 13.00*14.5 см (обе челюсти, придаточные пазухи носа, ВНЧС) - 4500 руб.
- КТ обоих височно-нижнечелюстных суставов - 6000 рублей (а вот если такой снимок будет сделан не с помощью конусно-лучевой томографии, а при помощи более дешевого линейного томографа, то его цена будет около 1500 рублей).
Как проводится КТ зубов -
Процедура может проводиться стоя или лежа, что будет зависеть от типа используемого аппарата для компьютерной томографии. Рентгенолог поставит вас таким образом, чтобы лучи аппарата точно фокусировались на исследуемой области лица. Вам будет предложено не двигаться пока источник и детектор рентгеновского излучения вращаются вокруг вас. Обычно это может занять от 20 до 40 секунд - для полного обследования всех зубов и челюстей, и менее 10 секунд - когда необходимо изучить только небольшую область челюсти или несколько зубов.
Во время конусно-лучевой компьютерной томографии вокруг головы пациента будет вращаться источник излучения и его детектор. Источник и детектор рентгеновского излучения монтируются на противоположных сторонах и вращаются в унисон. Только за один оборот вокруг головы детектор может генерировать от 150 до 200 двумерных (двухмерных) изображений с высоким разрешением, которые затем комбинируются программным обеспечением в трехмерное 3D-изображение.
Как мне подготовиться к процедуре?
Исследование КТ для челюстно-лицевой области не требует специальной подготовки. Перед процедурой вас могут попросить снять все предметы, которые могут помешать работе аппарата: металлические предметы, ювелирные изделия, очки, шпильки для волос, слуховые аппараты. При наличии во рту съемных зубных протезов с металлическими элементами - их также будет необходимо снять.
Также нужно предупредить врача рентгенолога о наличии в полости рта несъемных металлокерамических и цельнометаллических коронок. Это необходимо, чтобы рентгенолог поменял настройки аппарата для уменьшения величины искажения изображений в результате присутствия металлических изделий во время исследования. Женщины также должны всегда сообщать, если есть малейшая вероятность того, что они беременны.
Важно : перед началом исследования рентгенолог должен обязательно надеть на вас просвинцованный фартук, который закрывает грудную клетку. Кроме того, важным моментом является то, что исследование должен проводить именно рентгенолог, а не обычная медсестра, которая выполняет его роль. Поэтому немаловажно спросить - имеет ли специалист удостоверение о повышении квалификации по специальности «Рентгенология в стоматологии», а также попросить предъявить его копию.
К сожалению, очень в России часто можно встретить ситуацию, когда в стоматологических клиниках (в том числе государственных) снимки делают обычные медсестры, без специальной подготовки. Это безусловно грозит увеличением лучевой нагрузки на пациента, некачественными снимками, которые раз за разом приходится переделывать. Надеемся, что статья: 3Д снимок зубов цена отзывы - оказалась Вам полезной!
Источники:
1. Стоматологическое образование автора статьи,
2. National Library of Medicine (USA),
3. «Лучевая диагностика в стоматологической имплантологии (Серова Н.),
4. « Конусно-лучевая томография в дентальной имплантологии (Нечаева Н. ).
Компьютерная томография в эндодонтии: образец современного лечения
Рентгенография является важным аспектом успешной диагностики одонтогенной и неодонтогенной патологии, лечении пульповой камеры и корневых каналов через коронковый доступ, биомеханической обработки корневых каналов, окончательной обтурации каналов и оценки проведенного лечения. Изображения требуются на протяжении всего эндодонтического лечения. Получение снимка до вмешательства требуется для правильной оценки твердых тканей зуба и альвеолярного отростка, а также степени патологического повреждения и постановки верного диагноза. Далее получение изображений на протяжении всего лечения также является необходимым. Изготовление снимка по окончанию лечения позволяет оценить проведенные манипуляции. Kells впервые сообщил об использование токопроводящего проводника в корневом канале в «радиограмме» в 1899 году.
![Компьютерная томография в эндодонтии: образец современного лечения]()
С тех пор радиология всегда играла ключевую роль в эндодонтии. Теперь, столетие спустя, на основе первых попыток были изобретены компьютерная томография (КТ) и микро-КТ, а презентация в 1996 конусно-лучевой компьютерной томографии (КЛКТ) позволила получать 3D изображения, так необходимые в стоматологической практике.
Эта новая возможность получения изображения в трехмерном измерении значительно повысила уровень терапии в стоматологии по всему миру. КЛКТ постепенно становится золотым стандартом в обеспечении точной постановки диагноза, составления плана лечения и проведения лечения. Конусно-лучевая техника на настоящий момент имеет множество областей применения в стоматологии, это и планирование имплантации, хирургическая оценка патологии, оценка ВНЧС, выявление роста и развития для ортодонтических целей, дооперативная, оперативная и послеоперативная оценка при краниофациальной травме, краниофациальная реконструкция и хирургия полости рта. Вдобавок, КЛКТ используется для выявления точной локализации инородного тела в мягких тканях, выявлении расщепленной губы и неба, а также глубины кариозного поражения. КЛКТ становится типичным инструментом в деятельности хирурга, особенно имплантолога.
Ограниченность двухмерных изображений
Изображение, полученное на обычном радиографе представляет собой двухмерную (2D) интерпретацию трехмерного (3D) объекта. Характеристики трехмерного объекта, такие как сложная дентальная анатомия и строение окружающих тканей, могут быть трудно различимы в качестве «теней» 2D снимка, что может привести к неправильному эндодонтическому лечению. При анализе 2D снимка все изображения весьма вольно интерпретируются, внося аспект субъективности. Ограниченность дентальной рентгенографии также может быть обусловлена ошибкой рентгенолога. Любые неточности в получении изображения, начиная от неправильной ангуляции и заканчивая неверной конфигурацией зуба по отношению к сенсору, могут приводить к ошибкам при интерпретации снимков. Такие изображения плохого качества имеют артефакты и способствуют неправильной постановке диагноза. Многие исследователи, в том числе Goldman, подтвердили низкую корреляцию (47%) среди всех специалистов, проводивших лечение периапикальной патологии, прибегая к дентальной рентгенографии.
Конусно-лучевая компьютерная томография
КЛКТ используется в стоматологии начиная с 1981 года. В отличие от обычного КТ, которое создает изображение на разных слоях, КЛКТ создает изображение в 3D пикселях называемых воксель. Так как эти воксели являются изотропичными, объект тщательно измеряется в различных направлениях. Это позволяет визуализировать геометрически неискаженное изображение челюстно-лицевой области, которое возможно просматривать при разных углах. Вдобавок для обеспечения высокого разрешения изображения, КЛКТ доступно для просмотра с разных точек (FOV) для применения в различных ситуациях. В эндодонтии аппарат с ограниченным FOV обычно является достаточным. Обычно, чем меньше объем скана, чем выше пространственное разрешение изображения. Так как ранний симптом периапикальной патологии это прерывистость твердой пластинки и расширение периодонтальной щели, оптимальным разрешением при получении КЛКТ изображения, применяемом в эндодонтии, не должно превышать 200 нм - средняя ширина периодонтального пространства. 3D Accuitomo (K Morita, Corporation, Kyoto, Japan) - первая из малых FOV систем - обеспечивает разрешение в 0,125 мм. Orthophos XG3D (Sirons Germany) также обеспечивает получение FOV 5*5 специально для эндодонтических целей.
КЛКТ дает гораздо меньшую радиационную нагрузку, чем обычный КТ. Экспозиционная доза при проведении цифровой радиографии сравнима с получение обычных диагностических панорамных или прицельных снимков. Получение изображений для всей полости рта облучает примерно на 150 usv. Очевидно, что скан КЛКТ одного зуба с высоким разрешением, примененный в диагностическом процессе, заменяет 3 прицельных снимка. Трудно представить, что экспозиционная доза может быть более важным моментом, чем получение КЛКТ в благоразумной манере для получения информации, которая просто недоступно при работе с другими приборами.
КЛКТ в эндодонтии
1. Оценка морфологии корневого канала
Успех эндодонтического лечения зависит от обнаружения всех корневых каналов, а затем их оценки, очистки, обработке и обтурации. Частота встречаемости второго мезиобуккального канала (MB2) в верхних первых молярах варьирует от 69% до 93% в зависимости от выбранного метода исследования. Эта вариабельность возникает в букколингвальной плоскости, где наложение анатомических структур препятствует определению структур с малой разницей в плотности тени. Обычная рентгенография в самом лучшем случае может выявить только 55% этих конфигураций.
Ramamurthy и Matherene описывают ограниченность 2D изображений для определения MB2 каналов (Фото 1).
Фото 1: изображение MB2 в обоих первых молярах
![]()
Исследование, проведенное Neelkantan среди индийской популяции, обнаружило, что MB2 канал наиболее типичен для первого верхнего моляра по сравнению со вторым. Также IV анатомический тип канала встречается чаще, чем в монголоидной популяции.
Baratto Filho исследовали внутреннюю морфологию удаленных первых моляров верхней челюсти, сравнивая с данными, полученными при осмотре в микроскоп и при получении изображений КЛКТ ex vivo. Отчеты показали наличие 4-х каналов в 67,14% зубов и дополнительные корневые каналы в 92,85 % случаев в мезиобуккальном корне. Клиническая оценка показала слегка сниженный общий показатель (53,26%), но повышенный показатель выявления MB2 (95,63%), в то время как применение КЛКТ показало 37,05%. Ученые сделали вывод, что КЛКТ является хорошим методом для начальной оценки внутренней морфологии первого верхнего моляр, но для выявления устьев самым оптимальным способом является применение микроскопа. КЛКТ также применялся для выявления высокой встречаемости дистолингвального канала у Тайванцев, выявления аномалий в системе корневых каналов нижних премоляров, и помощи в выявлении искривлении корня (Фото 2).
Фото 2: Аксиальное изображение каналов C-формы во вторых молярах
![]()
С изобретением нового программного обеспечения для КЛКТ Orthophps CG3D/Galelios (Sirona, Germany) рабочая длина каналов также стала осуществляема. Но точность этих данных в клинической работе еще должна быть подтверждена (Фото 3).
Фото 3: Инструмент для измерения длинны корневого канала
![]()
2. Патологии в периапикальных тканях
Наиболее частым патологическим состоянием, затрагивающим зубы является воспалительные процессы пульпы и периапикальных областей. Технология КЛКТ теперь предоставляет клиницисту возможность обозревать нужную зону в трех различных плоскостях, тем самым получая 3D информацию. Поражения, заключенные в губчатом веществе кости с малым количеством или отсутствием кортикальной пластинки, на обычной пленке могут быть диагностированы с большим трудом. Lofthag-Hansen, Stavropoulos и Wenzel сравнили точность получаемых данных при КЛКТ с ограниченным FOV и обычными снимками.
Ученые сообщили, что КЛКТ предоставляет более точные диагностические данные (61%) по сравнения с цифровыми (39%) и обычными (44%) рентгенограммами. Но, несмотря на то, что данные КЛКТ являются более точными, исследователи не призывают к полному вытеснению обычной внутриротовой рентгенографии для выявления периапикальных изменений в обычной клинической практике из-за финансовой и вредностной составляющих. Estrela и коллеги предложили использовать периапикальные индексы, основанные на КЛКТ, для идентификации патологий (Фото 4-6).
Фото 4: Периапикальная киста в переднем сегменте нижней челюсти
А: 3D изображение, показывающее большую кистозную полость
B: Изображение секционного распила, показывающее утрату кортикальной пластинки
C: Аксиальный вид, демонстрирующий утрату кортикальной пластинки с лабиальной стороны и интактную пластинку с лингвальной.![]()
Фото 5: Хронические периапикальные абсцессы около первого правого нижнего моляра
![]()
Фото 6: Поражение периодонтальных тканей около левого верхнего второго моляра
![]()
Система индексов КЛКТ состоит из 6 ступеней (0-5), исходящих из определения самого большого размера повреждения в каком либо из измерений, и принятие в расчет расширение и разрушение кортикальной кости.
Применяя данный индекс, Low пришел к выводу, что в обнаружение периапикальных патологий лучше использовать КЛКТ недели обычную рентгенографию.
КЛКТ с градиентом теней может оказать помощь в дифференциальном диагнозе кисты и гранулемы. В целом способность выявлять патологии у КЛКТ так же высока, как и у простой КТ. Этот способ может стать важным для пациентов, обращающихся с болевым синдромом или с неточно локализованными жалобами в области ранее леченных или не леченных зубов, на обычном рентгене которых патология не выявляется.
3. Переломы корня
Достаточно тщательно изучена польза и важность КЛКТ в процессе постановки диагноза и ведения зубоальвеолярной травмы, особенно переломах корня, люксации, смещения и переломе альвеолярного отростка.
КЛКТ найдено применение конкретно при диагностике перелома корня зубов.
(Фото 7,8) Высокая важность КЛКТ в определении вертикальных и горизонтальных переломов корня были также описаны в литературе. Элиминация наложения анатомических структур позволяет клиницисту четко анализировать перелом. Вдобавок, 3D реконструкция может быть осуществлена как зубочелюстной системы, так и альвеолярной кости.
Фото 7: Перелом корня в эндодонтически леченом верхнем правом втором моляре
А: ОПГ, показывающая ранее леченые каналы верхнего правого первого моляра
B: Аксиальное изображение, демонстрирующее линию перелома по небному корню
С: Секционный снимок, показывающий косую линию перелома небного корня![]()
Фото 8: горизонтальный перелом правого верхнего центрального моляра
А: 3D изображение, демонстрирующее линию перелома у соединения средней и апикальной трети корня
B: Аксиальный снимок, показывающий горизонтальную линию перелома в передней части верхнего правого центрального резца
С: Косая линия отлома, распространяющаяся от мезиального каря центрального резца на секционном снимке.![]()
4. Резорбция корня
Резорбция корня это утрата твердых тканей зуба в результате активности остеокластов. Это может происходить в рамках физиологического или патологического процесса. Корневая резорбция может быть классифицирована на внешнюю и внутреннюю, в зависимости от локализации процесса относительно поверхности корня. Первые данные о внутренней резорбции получены в 1830. В сравнении с внешней резорбцией внутренняя является весьма редким процессом, этиология которого до конца не изучена. Точность КЛКТ при определении дефектов поверхности хоть и является более высокой по сравнению со стандартной техникой, но, все же, не идеальна и повышается при повышении разрешения вокселей снимка. КЛКТ также показала свою состоятельность при оценке постортодонтической апикальной резорбции, в частности корней латеральных резцов верхней челюсти при импактных клыках.
На КЛКТ внешняя резорбция проявляется как неравномерная рентгенопрозрачность и интактный канал зуба, внутренняя же резорбция выглядит как четкий очаг без прослеживания корневого канала.
КЛКТ с успехом применяется для определения внутренней резорбции и дифференциации ее от внешней. Обычная рентгенография часто не может выявить верный объем распространения, локализации и источник резорбтивного процесса. КЛКТ помогает в определении с тактикой лечения, а также предлагает составить верный прогноз на основе активности и распространенности поражения. И лечение, и результат лечения таким образом становятся более предсказуемыми.
5. Послеоперационная оценка
Мониторинг заживляющего процесса апикальных поражений является важным аспектом в послеоперационном этапе эндодонтии. Также адекватная обтурация корневого канала - это важная детерминанта эндодонтического успеха. Можно заявить, что КЛКТ весьма полезна как при начале лечения, так и при отслеживании последующего состояния зуба. Sogur сообщает, что изображения, полученные при обычном рентгенологическом исследовании в послеоперационном периоде являются более информативными, чем КЛКТ. Этот факт ученый объясняет наличием большого количества артефактов на снимках КЛКТ, обусловленных присутствием гуттаперчи и силлера в каналах (Фото 9).
Фото 9: Артефакты обтурированных корневых каналов
![]()
Применение КЛКТ в определение точного места перфорации и ее роли в дальнейшем плане лечения проиллюстрировал Young (Фото 10).
Фото 10: Перфорация корня, хорошо заметная на аксиальном снимке
![]()
Преоперативная оценка периапикальных тканей является важным этапом для предотвращения осложнений. Близкое расположение апекса к нижнечелюстному каналу, ментальному отверстию и гайморовой пазухе может быть оценено именно на снимках КЛКТ. Rigolone был первым, кто описал важность КЛКТ для планирования эндодонтического вмешательства.
Важность КЛКТ для апикальной хирургии зубов, близко прилежащих к верхнечелюстной пазухе, последовательно была показана Nakata, который продемонстрировал клинический случай локализации перирадикулярной патологии у конкретного корня. Tsurumachi и Honda описали применение КЛКТ в локализации отломка эндодонтического инструмента, прошедшего в верхнечелюстную пазуху.
Заключение
Несмотря на очевидные преимущества технологии КЛКТ в стоматологии, можно также отметить и некоторые недостатки и ограничения. Технология КЛКТ на настоящий момент не является широко доступной. Постепенно с внедрением и осваиванием специалистами КЛКТ станет более распространенным способом диагностики. Хотя эта техника находится на рынке уже несколько лет, она продолжает оставаться дорогостоящей. Для большинства эндодонтических манипуляций достаточно только малое FOV 4*4 мм.
Лимитирование FOV позволяет не только сократить дозу облучения, время сканирования и артефакты, но также сфокусироваться на структурах, знакомых стоматологам. Что же ожидается в будущем касательно эндодонтии к КЛКТ? Захотят ли стоматологи сами приобретать аппарат или получать снимки специального радиолога из центра, не известно. Совершенно ясно только одно: все больше и больше стоматологов внедряют в свою практику применение КЛКТ.
Автор: Sushma Prashant Jaju, BDS, MDS
Operative Dentistry and Endodontics, Dentocare multispeciality Dental Clinic, Nashik, Maharashtra, IndiaЧитайте также:

















