КТ при оперированном мочевом пузыре
Добавил пользователь Евгений Кузнецов Обновлено: 01.01.2026
В клинике СОЮЗ вы можете сделать МРТ мочевого пузыря - нативное или с контрастом. Мы используем новейшее оборудование 2019 года, с помощью которого обеспечивается высокая информативность исследования. МРТ - один из самых точных методов диагностики, который позволяет выявлять заболевания мочевого пузыря даже на ранней стадии.
Стоимость: 7500 рублей
Ограничения: вес свыше 250 кг
Длительность обследования: 20-30 минут (до 50 минут при введение контраста).
Подготовка к обследованию: нет.
Противопоказания: есть.
Подготовка заключения: в течение часа или можно получить по почте.
Области применения
Чаще всего МРТ мочевого пузыря применяется для диагностики рака. Метод позволяет оценить:
размеры, количество, расположение опухолей;
состояние окружающей мочевой пузырь клетчатки, брюшной стенки, расположенных рядом органов, лимфоузлов;
отличить инвазивную форму рака от неинвазивной;
выявить очаги прорастания опухоли в соседние анатомические структуры.
Диагноз устанавливается с помощью других методов (цистоскопия и биопсия). МРТ используется как уточняющий тест. Он позволяет определить стадию рака, чтобы выбрать лучшие варианты лечения.
После операции МРТ используется, чтобы оценить результаты вмешательства, а затем исследование периодически проводится для раннего выявления рецидива.
Другие патологии мочевого пузыря, которые можно выявить:
осложнения после операций;
врожденные аномалии развития;
При каких симптомах может быть назначено исследование
В онкологии МРТ назначают при уже установленном диагнозе.
Для диагностики других патологий поводом для обследования могут стать симптомы, происхождение которых не удалось установить при использовании других диагностических тестов: УЗИ, цистоскопия, анализы мочи и т.д.
МРТ может быть назначена при:
боли в нижней части живота;
появлении крови в моче;
Как проходит исследование
МРТ проводится при наполненном мочевом пузыре.
Человек ложится на процедурный стол, и должен лежать на нем неподвижно в течение всего исследования. Обычно оно занимает не менее 30 минут. В клинике СОЮЗ используется качественный томограф, поэтому в случае незначительных движений высокая четкость снимков сохраняется.
Если МРТ проводится с контрастированием, его вводят внутривенно. Перед этим в процедурном кабинете устанавливается катетер в локтевую вену.
Во время сканирования человек не чувствует боли и не имеет никаких других субъективных ощущений. Он лишь может слышать шум работающего аппарата. В любой момент человек может обратиться к врачу через аудиосвязь.
Преимущества
Основные преимущества МРТ:
неинвазивное безболезненное исследование;
врач может осмотреть не только полость мочевого пузыря, но и стенку органа, а также ткани, располагающиеся в непосредственной близости от мочевого пузыря, включая лимфоузлы;
более высокая точность исследования по сравнению с УЗИ;
в отличие от КТ, нет лучевой нагрузки, поэтому исследование лучше подходит для наблюдения за пациентами после лечения рака мочевого пузыря, с целью раннего обнаружения рецидива;
возможность углубленного исследования интересующих врача областей с использованием ультратонких срезов (до 1 мм);
возможность повышения точности исследования с использованием специальных методик проведения МРТ мочевого пузыря: динамическое контрастирование, диффузионно-взвешенные изображения.
МРТ может выполняться с контрастированием или без него. В онкологии более информативны исследования с внутривенным введением контраста. Они более достоверно отличают опухолевые ткани от неизмененной стенки мочевого пузыря.
Противопоказания
МРТ - безопасный метод диагностики патологии мочевого пузыря. Он может применяться в любом возрасте. Исследование при необходимости может быть проведено ребенку, беременной или кормящей женщине.
Единственным ограничением является наличие в теле металлических имплантов. В таких ситуациях вместо МРТ проводят КТ или другое исследование.
При проведении исследования с контрастом противопоказаниями являются почечная и печеночная недостаточность, а также аллергия на используемый препарат.
Относительное противопоказание - избыточный вес. Но в клинике СОЮЗ используется качественный томограф, на котором можно обследовать пациентов с массой тела до 250 кг.
В процессе сканирования человек должен длительное время неподвижно лежать на процедурном столе. Если он страдает от боли или клаустрофобии, исследование может быть выполнено под седацией (во сне).
Куда обратиться
Чтобы исследовать мочевой пузырь с помощью МРТ, обратитесь в нашу клинику. Мы проводим диагностику на американском томографе General Electric Signa Voyager. Несколько причин, почему лучше сделать исследование в клинике СОЮЗ:
высокая четкость изображений;
возможность проведения специальных методик МРТ, повышающих информативность в диагностике заболеваний мочевого пузыря;
прохождение исследования в удобное время по предварительной записи;
нет большой очереди - обычно сделать МРТ можно в день обращения;
комфортный процедурный стол, минимальный уровень шума, возможность нахождения рядом сопровождающего лица.
Записаться на МРТ можно по телефону или через форму на сайте. Вы получите результаты в день проведения исследования. Обычно заключение и диск с записью результатов выдается в течение 1-1,5 часов.
Что покажет МСКТ мочевого пузыря
Магнитно-резонансная и компьютерная томография мочевого пузыря относятся к безболезненным и неинвазивным методам диагностики. Как КТ, так и МРТ мочевого пузыря могут проводиться с контрастированием или без него. Использование контраста увеличивает четкость и видимость тканей и структуры. Контрастное вещество вводится внутривенно. При МРТ мочевого пузыря с контрастом используется
КТ мочевого пузыря и почек хорошо показывает размер органов, их форму, расположение и соответствие нормам. Такая диагностика назначается при подозрении на:
- новообразования и воспаления;
- мочекаменную болезнь; ;
- врожденные аномалии;
- травмы и перфорации мочевого пузыря.
А также для подготовки к операции либо оценки эффективности химио- и радиотерапии при лечении рака мочевого пузыря.

Сведение об исследовании
- Продолжительность: 7-15 минут
- Требование к подготовке: Есть
- Назначение врача: Не требуется
- Применение контраста: По рекомендации врача
- Противопоказания и ограничения: Есть
- Рекомендуемая мощность аппарата: 12 срезов и выше
- Время выдачи результатов: 30-40 минут
- Что входит в стоимость: заключение + запись снимков
Показания
Список основных симптомов и показаний для проведения МСКТ мочевого пузыря включает появление у пациента острой или тупой боли неясного характера в нижней части живота, задержку, затрудненное либо слишком частое мочеиспускание. Также эта форма диагностики используется как метод дообследования пациентов с неясными результатами УЗИ, когда есть подозрение на опухолевый процесс и нужно уточнить его локацию, характер и злокачественный потенциал.
МСКТ не проводится при беременности. При назначении компьютерной томографии почек с контрастом следует исключить аллергическую реакцию на йод. Иногда проблематично проведение диагностики с контрастным усилением для лиц, имеющих почечную и печеночную недостаточность. Если почки по результатам анализа на креатинин не справятся с дополнительной нагрузкой от контрастного препарата, врачи предложат применение альтернативных способов исследования: экспертного УЗИ или МРТ мочевого пузыря.
Подготовка
Подготовка к МРТ мочевого пузыря совпадает с требованиями подготовки к КТ органов малого таза. За сутки до обследования необходимо снизить газообразование в кишечнике путем перехода на легкое питание и отказа от алкоголя и кофе. В день осмотра прием пищи должен быть прекращен не менее, чем за 6 часов до процедуры. За несколько часов перед томографией следует выпить пол-литра чистой воды, так как качественная мультиспиральная диагностика проводится при условии умерено полного мочевого пузыря.
Как делают КТ мочевого пузыря
Сначала обследуемого приглашают пройти в диагностический кабинет и занять лежачее положение на кушетке томографа. Затем пациент перемещается под сканирующее кольцо гентри, и запускается программа скрининга. При сканировании делаются множественные послойные изображения срезов органов в различных проекциях, а компьютер накладывает друг на друга эти сканы и формирует трехмерную проекцию исследуемой области.
Во время компьютерной томографии мочевого пузыря пациент не испытывает дискомфорта, а вся процедура занимает 5 минут. Если проводится МСКТ с контрастированием, возможен легкий привкус металла во рту из-за контраста.
После исследования рентгенолог делает рентгенологическое описание и выдает пациенту свое экспертное заключение и снимки на пленочных или цифровых носителях.
КТ или МРТ мочевого пузыря
Магнитно-резонансная и компьютерная томография мочевого пузыря относятся к безболезненным и неинвазивным методам диагностики. Как КТ, так и МРТ мочевого пузыря может проводиться с контрастированием или без него. Использование контраста увеличивает четкость и видимость тканей и структуры. Контрастное вещество вводится внутривенно. При МРТ мочевого пузыря с контрастом используется контраст на базе гадолиния, а при КТ мочевого пузыря с контрастом в состав контрастного вещества входит йод. Йодосодержащий контраст имеет более токсичную формулу, поэтому чаще вызывает аллергическую реакцию.
Подготовительные этапы к КТ и МРТ мочевого пузыря примерно одинаковы, а вот продолжительность сканирования различна. МСКТ занимает 5 минут, тогда как МР сканирование потребует от пациента 20 минут неподвижного лежания.
Магнитно-резонансная томография не несет в себе никакого облучения. Она использует для получения изображения эффект ядерного магнитного резонанса. КТ - это лучевой метод диагностики. Средняя нагрузка на организм при одном обследовании составляет 5-7 мЗв, поэтому диагностические центры стараются проводить мультиспиральную КТ при наличии направления от врача или соответствующих показаний.
КТ мочевого пузыря
КТ мочевого пузыря - надежный и точный метод исследования, применяемый в дифференциальной диагностике заболеваний органов малого таза. Компьютерная томография основана на применении рентгеновских лучей и способности тканей человеческого тела поглощать их с разной интенсивностью. В процессе сканирования врач получает серию послойных изображений просвечиваемой области, что позволяет диагностировать малейшие патологические изменения мочеполовой системы.
Что покажет КТ мочевого пузыря
В процессе компьютерной томографии врач получает возможность оценить форму, размер и границы обследуемого органа, выделить особенности структуры и патологические изменения строения. Сканирование мочеполовой системы с помощью томографа выявляет следующие заболевания:
наличие камней в просвете мочеточника, почечной лоханке и полости мочевого пузыря;
патологическое расширение или, наоборот, стеноз мочеточников;
воспалительные изменения стенок мочевого пузыря и окружающих тканей;
эрозии, язвы слизистой оболочки мочевого пузыря;
новообразования в области органов мочеполовой системы;
травматические поражения стенок органа.
КТ мочевого пузыря, усиленное контрастированием, визуализирует кровоснабжение рассматриваемой области, состояние кровеносных сосудов и лимфатической системы. В результате получения тонких срезов изучаемых тканей врач фиксирует малейшие изменения в них и выявляет заболевания на ранних сроках.
КТ мочевого пузыря и простаты
В дифференцировании заболеваний мужской мочеполовой системы мультиспиральная компьютерная томография имеет большое значение. В процессе обследования пациента помещают на передвижной стол, который проходит через кольцевую часть томографа, где находится рентгеновская трубка и специальные датчики для считывания информации. Излучатели внутри аппарата совершают круговые движения, что, в совокупности с перемещением стола, обеспечивает спиральное сканирование рассматриваемых тканей.
Полученные в процессе КТ мочевого пузыря послойные снимки томограф транслирует на экран компьютера, где, при необходимости, сложная компьютерная программа воссоздает 3D-изображение изучаемой зоны.
Такое подробное исследование позволяет обнаружить аномалии развития и патологические процессы, протекающие в тканях мочевого пузыря и простаты, визуализирует состояние слизистой оболочки мочеиспускательного канала и паренхимы железы, определяет границы, размеры органов, изменения формы и структуры.
КТ мочевого пузыря и простаты назначают при наличии симптомов:
нарушения процесса мочеиспускания;
наличие в моче примесей (кровь, соли, белок) при неясной этиологии;
боли внизу живота, иррадиирующие в пах;
нарушения эректильной функции;
травмы в области малого таза.
Исследование проводят перед хирургическим вмешательством, с целью определить локализацию и объем предстоящих действий, а также в послеоперационном периоде для оценки восстановления тканей.
С помощью мультиспиральной КТ выявляют и дифференцируют патологические процессы, протекающие в тканях мочеполовой системы, и локализуют травматические поражения этой области.
Заболевания, которые диагностируют при КТ мочевого пузыря и простаты:
воспалительные явления (острый и хронический простатит, цистит);
новообразования (кисты, полипы, аденома, рак) мочевого пузыря и простаты;
метастазы в эти органы;
лимфаденопатия регионарных узлов;
травматические поражения предстательной железы и мочевого пузыря, перфорации полых органов;
наличие камней и инородных тел в полости пузыря;
сосудистые патологии в рассматриваемой области.
Ранняя диагностика патологических процессов способствует результативности лечения и гарантирует благоприятный прогноз в большинстве случаев.
Компьютерная томография с контрастированием
Для повышения точности и информативности КТ обследование мочевого пузыря проводится с рентгеноконтрастным веществом. Данный метод диагностики назначают при подозрении на наличие опухолей в мягких тканях и полости пузыря, сосудистых патологиях и дистрофических процессах. В качестве красящего раствора используют препараты йода, которые хорошо поглощают ионизирующее излучение.
КТ мочевого пузыря с контрастированием проводят в два этапа: вначале пациенту делают серию нативных снимков, после чего в кровеносное русло вводят контрастный раствор. В результате визуализации сети сосудов на снимках видны изменения в мягких тканях, новообразования и аномалии кровоснабжения рассматриваемой зоны.
Существует ряд противопоказаний к проведению кт мочевого пузыря с контрастированием:
детский возраст до 12 лет;
некоторые заболевания щитовидной железы;
индивидуальная непереносимость препаратов йода.
Беременным женщинам категорически противопоказаны обследования с применением ионизирующего излучения. Процедуру компьютерной томографии в этом случае заменяют аналогичным методом диагностики, безопасным для здоровья будущего малыша.
При дисфункции почек, сопровождающейся почечной недостаточностью, возрастает период выведения контрастного раствора из организма, что усиливает токсичность препарата и негативно сказывается на общем состоянии пациента.
Заболевания щитовидной железы приводят к нарушению обмена веществ, патологическим изменениям гуморальной регуляции жизнедеятельности и другим серьезным последствиям. Введение препаратов йода при КТ мочевого пузыря может негативно влиять на состояние эндокринной системы, значительно усугубив ситуацию.
В остальных случаях препараты йода практически безвредны и при нормальном функционировании выделительной системы выводятся из организма в течение 1-2 суток.
Что лучше − КТ или МРТ мочевого пузыря?
КТ мочевого пузыря отличается высокой информативностью при выявлении новообразований и воспалительных явлений, позволяет сократить время обследования. Цена на процедуру значительно ниже, чем стоимость МРТ аналогичной области. Но использование рентгеновского излучения имеет ряд противопоказаний и, в некоторых случаях, целесообразно проведение магнитно-резонансной томографии.
МРТ безопасно для организма: магнитное поле не оказывает патологического воздействия на клетки человеческого тела. Данный метод диагностики дает возможность оценить структуру и строение мягких тканей, отражает малейшие изменения в них и по информативности превосходит КТ мочевого пузыря. К минусам относят значительную продолжительность процедуры и высокую стоимость (подробнее о ценах на инструментальные методы обследования можно узнать на сайтах медико-диагностических центров).
Какой из методов целесообразнее использовать в каждом конкретном случае решает врач на основании показаний и клинической картины болезни.
Как подготовиться к КТ обследованию мочевого пузыря
КТ мочевого пузыря проводят натощак, при опорожненном кишечнике. Для этого перед процедурой следует отказаться от приема пищи (за 4-5 часов до обследования).
С целью профилактики метеоризма в течение 2-3 дней перед томографией соблюдают диету, препятствующую повышению газообразования. Из рациона убирают бобовые, кисломолочные продукты, дрожжевое тесто, свежие фрукты и овощи. Четкое изображение получается при наполненном мочевом пузыре, поэтому перед процедурой необходимо воздержаться от посещения туалета. Рекомендуют за 10-15 минут до проведения обследования выпить 0,5 литра воды без газа.
Проведение контрастной КТ мочевого пузыря требует дополнительной подготовки. Перед введением йодного раствора необходимо сдать анализ крови на уровень креатинина. Содержание его выше нормы говорит о дисфункции почек и почечной недостаточности, что является противопоказанием к проведению процедуры.
КТ мочевыводящих путей
В клинике СОЮЗ вы можете сделать компьютерную томографию мочевого пузыря. У нас используется качественное диагностическое оборудование: исследование проводится на американском томографе GE CT540. Он выполняет сканирование исследуемых областей тела буквально за несколько секунд и даёт низкую лучевую нагрузку на организм пациента.
Когда стоит сделать КТ мочевыводящих путей
Компьютерная томография мочевыводящих путей может быть выполнена при наличии у пациента таких симптомов:
- недержание мочи;
- задержка мочи;
- хронические боли в надлонной области;
- кровь в моче в сочетании с другими клиническими и лабораторными признаками патологии мочевого пузыря;
- травмы таза.
КТ с контрастом используется при диагностированном раке мочевого пузыря - для уточнения стадии патологии и выбора лучшей терапевтической тактики.
Методика применяется при установленном диагнозе мочекаменной болезни, для определения химического состава, размеров и расположения камней. КТ делают при планировании чрескожной операции по удалению конкрементов, так как эта процедура позволяет выбрать лучший операционный доступ.
Что видит врач на КТ
На КТ врач может оценить:
- размеры мочевого пузыря;
- толщину его стенок;
- четкость контуров стенок;
- устья мочеточников;
- наличие в полости мочевого пузыря конкрементов или объемных образований.
КТ в диагностике рака мочевого пузыря
Одна из основных областей применения КТ - это онкоурология. Методика не всегда позволяет точно оценить конфигурацию опухоли при наличии инвазивного компонента (прорастания в мышечный слой), но она незаменима в диагностике местнораспространенной формы рака. С помощью компьютерной томографии:
- выявляются метастазы в регионарных лимфатических узлах с точностью 97%;
- обнаруживается распространение онкологического процесса на соседние органы с точностью 87%.
По результатам КТ врач может оценить толщину и плотность стенки мочевого пузыря. Если нет четкой границы между наружным контуром органа и располагающейся рядом клетчаткой, это говорит о прорастании рака за пределы мочевого пузыря (внепузырная инфильтрация рака).
Что лучше: КТ или МРТ
КТ и МРТ не являются полностью взаимозаменяемыми методами исследования мочевыводящих путей. Каждая методика имеет свои преимущества и недостатки. Бывает так, что одному пациенту требуется и КТ, и МРТ.
Преимущества компьютерной томографии мочевыводящих путей:
- На КТ мочевого пузыря цена ниже.
- Исследование проводится быстрее и не противопоказано при наличии в теле металлических имплантов (в том числе металлических стентов в мочеточниках).
- КТ имеет высокую точность в оценке распространенности рака мочевого пузыря.
- Метод незаменим в диагностике мочекаменной болезни, так как визуализирует плотные ткани лучше, чем МРТ. На КТ со 100% точностью можно определить расположение, размеры и химический состав камней в мочевыделительной системе.
У МРТ тоже есть ряд преимуществ, в том числе в диагностике рака мочевого пузыря. В частности, метод позволяет лучше визуализировать мягкие ткани. Он с высокой точностью определяет, является утолщение стенки мочевого пузыря результатом онкологического процесса, воспаления или гипертрофии мышечного слоя органа. МРТ чувствительнее, чем КТ при обнаружении рецидивов рака, особенно в области треугольника Льето (на дне мочевого пузыря).
На МРТ мочевого пузыря цена выше, чем на компьютерную томографию. Но в онкоурологии эта методика в целом точнее. Если МРТ проводится с контрастированием, то позволяет обнаружить даже опухоли минимальных размеров и своевременно диагностировать рецидив рака после хирургического лечения.
Как проходит КТ мочевыводящих путей
КТ проходит при наполненном мочевом пузыре. Поэтому за час до исследования пациенту рекомендуют выпить 2 стакана жидкости. Если у человека установлен катетер, то через него возможно ретроградное введение стерильной воды в мочевой пузырь через мочевыводящие пути непосредственно перед проведением компьютерной томографии.
Многим пациентам проводится КТ с контрастированием. Контраст может быть введен внутривенно или непосредственно в мочевой пузырь. Чаще его вводят внутривенно. Контрастное вещество может накапливаться в опухолевой ткани, что повышает эффективность диагностики рака.
Сделать КТ вы можете в клинике СОЮЗ. Мы выполняем это исследование быстро, безболезненно, безопасно для здоровья, с высокой информативностью и диагностической точностью. Вы получите заключение в день проведения исследования.
КТ мочевыделительной системы

В современной медицине высоко ценятся методы диагностики, которые за короткий промежуток времени предоставляют большой объем информации. Особую значимость приобретают указанные характеристики при исследовании состояния мочевыделительной системы, патология которой не всегда проявляется яркой клинической картиной. Компьютерная томография почек и мочеточников позволяет за один сеанс оценить структуру и степень патологических изменений органов, косвенно анализируя их функции.
Что показывает КТ мочевыделительной системы
В основу компьютерной томографии положен принцип X-лучей, как в обычном рентгене. В отличии от последнего, КТ является более совершенным методом. В тело человека под разными углами входят узконаправленные пучки, которые на выходе фиксируются специальными датчиками. Поскольку эти лучи задерживаются в организме плотными, рентгенконтрастными, структурами, их результирующая сила различна. Полученную информацию компьютер обрабатывает и выдает снимок - томограмму, на которой видны «срезы» человеческого тела на всех уровнях и отображены отличающиеся по своей структуре образования.

Снимок КТ почек
Обычный рентгеновский снимок не позволяет визуально отличить мышечную и жировую ткань, на нем видны только кости и другие твердые структуры. Компьютерная томограмма, благодаря специальной обработке, позволяет дифференцировать плотность всех органов, попавших на снимок.
На КТ мочевыделительной системы оценивают состояние сразу нескольких органов:
почек: паренхимы и чашечно-лоханочной системы;
сосудов почечной ножки;
регионарных лимфатических узлов.
Помимо самой мочевыделительной системы, на томограмме определяются поясничные
позвонки, петли кишечника. Компьютерная томография позволяет оценить размеры органов, их расположение, наличие травм, опухолей, камней. Воспаление определяют по косвенным признакам и однозначно утверждать о его наличии можно только после сдачи анализа мочи, прохождения ультразвукового исследования органов забрюшинного пространства.
КТ мочевыделительной системы с контрастированием
В некоторых случаях появляется необходимость получить более детальную информацию о состоянии отдельных органов, их функции, кровоснабжении. Благодаря контрасту КТ органов мочевыделительной системы становится более ярким, четким, иногда даже отображаются образования незаметные ранее. Часто удается выявить рентгенонегативные мочевые камни, сужения, деформации мочеточника, чашечно-лоханочного аппарата.
Поскольку мочеполовая система является труднодоступной для исследования, компьютерную томографию в данной области практически всегда проводят с использованием контрастных средств. Помимо значительных диагностических преимуществ, подобная техника может вызвать некоторое количество проблем. Введение контрастного вещества производят внутривенно, а почки его отфильтровывают из крови, тем самым «подсвечивая» всю мочевыделительную систему на томограмме.
Контраст является йодсодержащим соединением и может вызывать ряд осложнений, чаще всего - аллергические реакции. Индикатор создает дополнительную нагрузку на почки, что может быть опасно при снижении их функции.

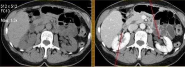
КТ почек без контраста (слева) и с контрастом (справа): стрелками указаны сосуды в воротах почек
Что входит в исследование мочевыделительной системы
КТ мочевыделительной системы включает в себя исследование состояния сразу нескольких органов. Наибольший диагностический вес занимает информация о состоянии почек и мочевого пузыря, как самых крупных и наиболее часто «болеющих» органов. Собираются данные о состоянии мочеточников, надпочечников, лимфатических узлов. Тела позвонков и петли кишечника, попадающие в зону проведения томографии, изучаются в последнюю очередь и часто не дают какой-либо необходимой информации, связанной с заболеванием мочевыделительной системы.
При исследовании почек на компьютерной томограмме оценивается их размер, расположение, форма. Часто орган имеет врожденные аномалии развития, которые могут никак себя не проявлять и диагностироваться случайно. Любые болезни почек приводят к изменению их структуры, а опухоли и вовсе видны как отдельные образования. Надпочечники чаще страдают от новообразований. Чашечно-лоханочная система и мочеточники подвержены мочекаменной болезни и травмам, что также отлично визуализируется на снимке. Мочевой пузырь может содержать в себе полипы или конкременты, повреждаться при внешних воздействиях, вплоть до разрывов органа. Оценка состояния регионарных лимфатических узлов требуется для определения стадии онкологического процесса.
Показания и противопоказания
КТ мочевыделительной системы обладает показаниями и противопоказаниями. Прибегать к процедуре следует при:
подозрении на мочекаменную болезнь. КТ позволяет определить наличие, размер и локализацию камней, косвенно судить о их составе. Больше информации удается получить при использовании контраста;
воспалительных процессах в почках, чашечно-лоханочной системе, мочеточниках, мочевом пузыре. По данным исследования можно судить о степени распространенности процесса, его остром или хроническом характере;
новообразованиях: оценивается их локализация, размер, вовлеченность окружающих органов и тканей. По косвенным признакам (прорастание в соседние структуры, поражение лимфоузлов) можно предполагать доброкачественный или злокачественный характер опухоли. Контрастные вещества также предоставляют больший объем о новообразованиях;
врожденных аномалиях развития мочевыделительной системы. От 10 до 30% людей обладает данными особенностями. В подавляющем большинстве случаев аномалии никак себя не проявляют клинически. Иногда они способствуют развитию инфекционно-воспалительных процессов, образованию камней;
травмах и их последствиях.

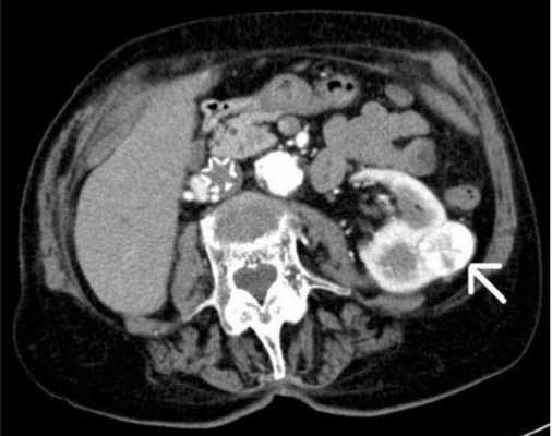
Опухоль левой почки, выявленная на КТ мочевыделительной системы с контрастом (указана стрелкой)
Противопоказания к проведению компьютерной томографии:
масса тела более 150 кг.
При использовании контрастного усиления спектр ограничений расширяется:
непереносимость самого препарата и йодсодержащих веществ;
повышение функции щитовидной железы;
прием пероральных сахароснижающих препаратов (метформин).
Как делают КТ мочевыделительной системы
Проведение любой компьютерной томографии является абсолютно безболезненной процедурой. КТ мочевыделительной системы занимает максимум 15 минут. Если производят введение контраста, то продолжительность может увеличиться еще на 5 - 10 минут.
На протяжении всей процедуры пациент лежит на спине на столе томографа. Контрастное вещество, при необходимости, вводят внутривенно. Датчики аппарата проходят над областью поясницы и таза, не затрагивая все остальные участки тела. Процедура совершенно безболезненна и не доставляет дискомфортных ощущений.
Все полученные данные обрабатываются специальной программой в графические изображения и выдаются на разных носителях: на снимке и на диске. Результаты компьютерной томографии почек и мочеточников оценивает врач, который описывает полученный снимок и выносит заключение.
Как подготовиться к КТ мочевыделительной системы
Правильная подготовка к проведению любой диагностической процедуры - залог ее качества и результативности. КТ мочевыделительной системы проводится на полный мочевой пузырь - это необходимо для достоверной оценки состояния мочевыводящих путей. Чтобы достичь тугого наполнения, достаточно выпить стакан воды за 1 - 2 часа до проведения исследования и не ходить в туалет. Еще один важный пункт - голод на протяжении как минимум 4 часов до томографии.
В случаях, когда требуется введение контраста, следует предварительно оценить функцию почек - сдать анализ крови на креатинин. Результат должен быть свежим, сделанным не более 10 дней назад. Цифры креатинина позволяют рассчитать скорость клубочковой фильтрации - основной показатель функции почек, наличия почечной недостаточности.
КТ или МРТ мочевыделительной системы
Несмотря на некую схожесть между компьютерной и магнитно-резонансной томографией, эти методы диагностики обладают значительными различиями. КТ лучше визуализирует плотные, рентгенконтрастные структуры: большинство камней, инородные тела, кости. Контраст позволяет судить о состоянии мочевыводящих путей. МРТ хорошо визуализирует мягкие ткани и больше подходит для диагностики воспалительных процессов, опухолей, безопасен для беременных женщин. МРТ нельзя проводить людям с любыми имплантами (искусственные суставы, кардиостимулятор, инсулиновые помпы, спицы, пластины, прочие инородные тела), тогда как КТ таких ограничений не имеет.

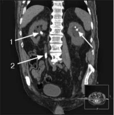
Конкременты в чашечно-лоханочной системе и мочеточнике, выявленные на КТ (указаны стрелками)
КТ мочевыделительной системы в центре “МАГНИТ”
В нашем центре компьютерная томография выполняется на современном немецком томографе Сименс, оказывающем одну из самых низких лучевых нагрузок на организм пациента. Результаты выдаются уже в день обследования, а врач, проводивший исследование, подробно объясняет пациенту суть выявленных изменений.
Читайте также:
