КТ при первичном внутрикостном плоскоклеточном раке челюсти
Добавил пользователь Евгений Кузнецов Обновлено: 01.11.2025
Заболевание развивается, когда опухоль локализуется на слизистой оболочке альвеолярного отростка или мягких тканях дна полости рта c переходом на кость.
Эпидемиология
Частота поражения мягких тканей дна полости рта составляет 20% и слизистой альвеолярного отростка нижней челюсти 4% от всех злокачественных новообразований полости рта. Мужчины болеют в 5-7 раз чаще чем женщины. Большинство случаев встречается в возрасте 50-70 лет.
Факторы риска
Вредные привычки
Курение повышает риск заболеть раком полости рта в несколько раз. Причем в равной степени, опасно курение сигарет, сигар и трубок. Степень риска зависит от стажа курения, возраста курильщика и количества выкуриваемых сигарет. Повышает риск употребление крепких алкогольных напитков.
Состояние зубов
Большую роль играет неудовлетворительная гигиена полости рта. Кариозные зубы и плохо изготовленные протезы травмируют слизистую оболочку полости рта, что повышает вероятность развития предрака и рака полости рта.
К факторам риска также относят такие предраковые заболевания, как болезнь Боуэна, эритроплазия Кейра, язвенная лейкоплакия, паппилломатоз.
Классификация МКБ - 10:
С03.1 - нижний альвеолярный отросток и десна
С04 - дно полости рта



Клиническая картина
Часто больные обращаются к врачу, когда опухоль уже достигает больших размеров, отмечается распад новообразования, зловонный запах изо рта, кровотечение. Их также могут беспокоить припухлости или язвы во рту, расшатывание и выпадение зубов, кровоточивость слизистой оболочки полости рта. Позднее присоединяются жалобы на затрудненное открывание рта, трудность или невозможность приема пищи, обилие слюны, похудание.
Диагностика
- Тщательный клинический и инструментальный осмотр полости рта, пальпация.
- Соскоб, мазки с эрозированных или язвенных поверхностей для цитологического исследования.
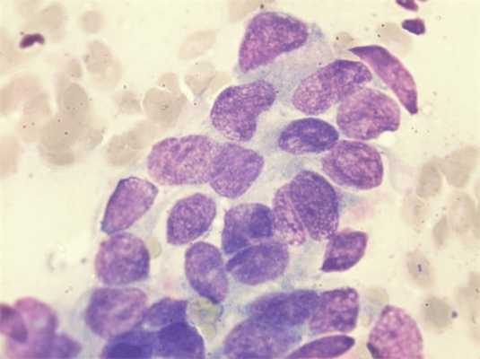
- Цитологическое исследование пунктата неизъязвленных опухолей и увеличенных лимфоузлов (рис. 1).

Рис.1 Цитологическое исследование
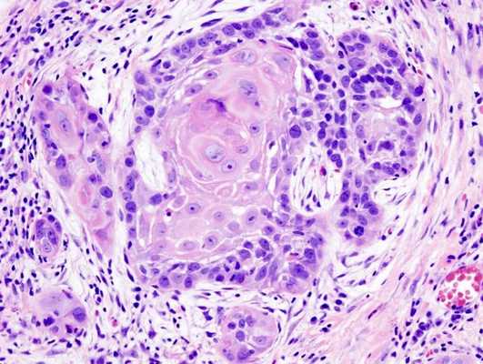
- Биопсия опухоли, гистологическое исследование (рис.2).

Рис.2 Гистологическое исследование. Плоскоклеточный рак
- рентгенологическое исследование нижней челюсти.
- УЗИ первичной опухоли при локализации процесса на дне полости рта.
- УЗИ области шеи - для выявления субклиничеких метастазов.
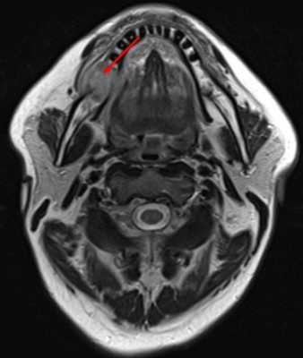
- КТ, МРТ с контрастным усилением или без (по показаниям) (рис.3.).

Рис.3 МРТ с внутривенным контрастированием
Тактика лечения
При T1-T2, N0 рекомендуется выполнение оперативного вмешательства с/без шейной лимфодиссекцией (в зависимости от толщины опухоли по данным УЗВТ) или в случае отказа пациента от оперативного вмешательства рекомендована лучевая терапия.
При T3N0, T1-3, N1-3, T4a любое N рекомендуется оперативное лечение с одно- или двухсторонней шейной лимфодиссекцией с последующей лучевой терапией.
Хирургическое лечение
Виды реконструкции нижней челюсти:
- пластика кожно-мышечным лоскутом с использованием кивательной мышцы;
- пластика торакодорзальным лоскуктом;
- ромбовидный шейный-лицевой кожно-мышечный лоскут;
- кожно-мышечный лоскут на коротких мышцах шеи;
- кожно-мышечный лоскут на большой подкожной мышцы шеи;
- пластика малоберцовой кости с микрососудистого анастомоза;
- пластика подвздошной костью;
- пластика участком ребра с микрососудистого анастамоза.
Лучевая терапия
Лучевая терапия проводится по радикальной программе.
Лекарственная терапия
- PF + Cet: Цисплатин + 5-фторурацил + цетуксимаб
- DС + Cet: Доцетаксел + цисплатин + цетуксимаб
- Pacli+Carbo+Cet: Паклитаксел + карбоплатин AUC + цетуксимаб
- Pacli+Carbo+Cet: Паклитаксел + карбоплатин AUC 2,0 + цетуксимаб
- PF :Цисплатин + 5-фторурацил. Карбоплатин AUC-5 + 5-фторурацил
- Pacli+Carbo: Паклитаксел + карбоплатин AUC-5-6. Паклитаксел + карбоплатин AUC-2
- DС: Доцетаксел + цисплатин
- Ниволумаб
- Пембролизумаб
Диспансерное наблюдение
В первый год физикальный осмотр и сбор жалоб рекомендуется проводить каждые 1-3 месяца, во второй год - каждые 2-6 месяцев, спустя 3-5 лет - 1 раз в 4-8 месяцев. Через 5 лет с момента операции обследования проводятся ежегодно или при появлении жалоб. У пациентов с высоким риском рецидива перерыв между обследованиями может быть сокращен.
Список литературы по теме:
- Ганцев Ш.Х. онкология - М, 2012 г - С.204-205.
- Опухоли головы и шеи: рук/ А.И. Пачес.- 5-е изд., доп. И перераб.-М.: Практическая медицина , 2013. -478 с.
- Клинические рекомендации Злокачественные новообразования полости рта. 2020г. - 62 с.
- WHO Classification of Head and Neck Tumours-International Agency for Research on Cancer. 2017. - 347 с.
- Shah. Head and Neck Surgery and Oncology 5 ed (2020) - 859 с.


Авторская публикация:
Косачев В.А.
Ординатор отделения опухолей головы и шеи
НМИЦ онкологии им Н.Н. Петрова

Под научной редакцией:
Раджабова З.А.
Заведующий отделением опухолей головы и шеи
НМИЦ онкологии им. Н.Н. Петрова,
врач-онколог, научный сотрудник, кандидат медицинских наук, доцент
Что вам необходимо сделать
Если вы хотите узнать побольше о бесплатных возможностях ФБГУ НМИЦ онкологии им. Н.Н. Петрова Минздрава России, получить очную или заочную консультацию по диагностике и лечению, записаться на приём, ознакомьтесь с информацией на официальном сайте.
Если вы хотите общаться с нами через социальные сети, обратите внимание на аккаунты в ВКонтакте и Одноклассники.
Рак верхней челюсти
Рак верхней челюсти - злокачественная опухоль, поражающая верхнечелюстную кость, характеризуется инфильтративным типом роста и регионарным метастазированием. Основными симптомами неоплазии являются заложенность носа, гнойно-кровянистые выделения, постоянная боль ноющего характера, патологическая подвижность интактных зубов, деформация альвеолярного отростка. Диагноз рак верхней челюсти выставляют, базируясь на жалобах пациента, данных физикального обследования, результатах рентгенографии, цитологического и патогистологического исследований. Лечение рака верхней челюсти комбинированное, резекции верхнечелюстной кости предшествует курс химио- или лучевой терапии.

Общие сведения
Рак верхней челюсти - первичное или метастатическое злокачественное новообразование, поражающее верхнюю челюсть. Среди пациентов, обратившихся в онкодиспансер, рак верхней челюсти диагностируют в три раза чаще, чем рак нижнечелюстной кости. На один случай саркомы верхней челюсти приходятся четыре случая рака той же локализации. Основную группу пациентов составляют люди среднего возраста (от 40 до 60 лет). В 65% случаев рак верхней челюсти выявляют после 50 лет. Наиболее часто опухоль развивается из слизистой оболочки гайморового синуса. Гистогенетически злокачественное новообразование верхней челюсти у 80% онкобольных является плоскоклеточным раком. Метастазирование рака верхней челюсти наблюдается поздно, метастазы обнаруживают у каждого третьего пациента.

Причины рака верхней челюсти
Наиболее часто причинами рака верхней челюсти являются хронические вялотекущие воспалительные заболевания гайморовых синусов. Реже злокачественная опухоль развивается непосредственно в костной ткани из эпителиальных островков Малассе, или прорастает в кость со слизистой оболочки полости рта, покрывающей небо, щеки, альвеолярный отросток. Высоки риски малигнизации в случае хронической травмы слизистой острыми краями разрушенных зубов, неотполированным базисом съемного протеза или выступающими ребристыми компонентами ортопедических или ортодонтических аппаратов.
Кроме первичного злокачественного новообразования в стоматологии описаны и вторичные формы, когда рак верхней челюсти развивался в результате метастазирования опухолей молочной, щитовидной желез, желудка у онкобольных пациентов. Метапластические изменения цилиндрического эпителия, выстилающего верхнечелюстной синус, возникают вследствие хронического гайморита. Образование гиперпластических разрастаний сопровождается малигнизацией ткани. Гистологически рак верхней челюсти в превалирующем большинстве случаев является плоскоклеточным ороговевающим. Реже обнаруживают аденокарциному, а также неороговевающий плоскоклеточный рак.
Классификация рака верхней челюсти
Различают следующие стадии рака верхней челюсти:
- 1 стадия. Опухоль локализуется в одной анатомической области. Деструктивные изменения кости отсутствуют.
- 2a стадия. Рак верхней челюсти не распространяется на соседние участки. В пределах анатомической области расположения новообразования присутствуют деструктивные изменения кости.
- 2b стадия. Рак верхней челюсти прорастает в смежные участки. На стороне поражения обнаруживают один неспаянный с окружающими тканями метастаз.
- 3a стадия. Рак верхней челюсти распространяется на орбиту, носовую полость. Признаки поражения выявляют на небе, альвеолярном отростке. Присутствует остеолиз костной ткани.
- 3b стадия. В ходе обследования выявляют односторонние или двухсторонние метастазы.
- 4a стадия. Рак верхней челюсти распространяется на носоглотку, основание черепа. На коже возникают изъязвления. Отдаленных метастазов нет.
- 4b стадия. Раком верхней челюсти поражаются смежные области. Также обнаруживают метастазы, спаянные с окружающими тканями.
Симптомы рака верхней челюсти
На начальных стадиях рак верхней челюсти протекает бессимптомно. В течение первых 2-3 месяцев больные связывают заложенность носа, наличие скудных серозных выделений с проявлениями хронического гайморита. Далее клиника рака верхней челюсти становится более явной. Симптоматика напрямую зависит от локализации патологического очага. Если злокачественное новообразование развивается в верхнем участке медиальной стенки, в патологический процесс вовлекаются слезный мешок и слезные ходы, что в дальнейшем приводит к возникновению признаков вторичного дакриоцистита. У больных отмечается усиленное слезотечение, соответствующее стороне поражения. Кожа в зоне внутреннего угла глаза становится отечной, гиперемированной.
При прогрессировании рака верхней челюсти разрушается нижнеглазничная стенка, вследствие чего развиваются экзофтальм и диплопия, падает острота зрения. Если новообразование локализуется в нижнем участке медиальной стенки, пациенты указывают на наличие бурых выделений из носа с неприятным гнилостным запахом. Присутствует ощущение тяжести, заложенности носа. Если рак верхней челюсти поражает переднюю стенку гайморового синуса, возникает выраженный болевой синдром в участке интактных премоляров или моляров. Далее присоединяется патологическая подвижность зубов.
Сильные невралгические боли наблюдаются и при локализации рака верхней челюсти в верхне-наружном квадранте. При распространении опухолевого процесса на участок жевательных мышц нарушается открывание рта. В результате компрессии венозного сплетения блокируется отток лимфы из ретробульбарной клетчатки, что в дальнейшем приводит к возникновению хемоза, экзофтальма. Стертая клиническая картина наблюдается при развитии рака верхней челюсти в нижнем участке внешней стенки гайморового синуса. Основные жалобы сходны с проявлениями хронического гайморита.
Диагностика рака верхней челюсти
Диагноз рак верхней челюсти ставят на основании жалоб пациента, данных анамнеза, результатов клинического, рентгенологического, цитологического и патогистологического исследований. На начальных стадиях клиника рака верхней челюсти сходна с хроническими гайморитом, этмоидитом. Если опухолевый процесс распространяется на костную ткань со слизистой оболочки неба, щеки или альвеолярного отростка, при обследовании врач-стоматолог выявляет исходный патологический очаг в ротовой полости.
При экзофитном типе роста опухоль представлена разрастаниями с признаками изъязвлений. Кратерообразная язвенная поверхность встречается при эндофитном росте злокачественного новообразования. На поздних стадиях рака верхней челюсти выявляют деформацию альвеолярного отростка, патологическую подвижность интактных зубов, отсутствие болевой и тактильной чувствительности в зоне локализации опухоли. Прорастание злокачественного новообразования в орбиту ведет к развитию экзофтальма, становится причиной потери зрения.
Рентгенографически при начальных стадиях рака верхней челюсти, развивающегося со слизистой оболочки гайморового синуса, выявляют завуалированность пазухи. В участке шва, соединяющего альвеолярный отросток со скуловой костью, а также в области нижнеглазничной щели обнаруживают деструктивные изменения кости, нехарактерные для хронического гайморита. На прицельной рентгенограмме определяют резорбцию костной ткани в зоне межзубных и межкорневых перегородок. На поздних стадиях резорбтивные процессы протекают по типу «тающего сахара» без признаков регенерации кости.
Для подтверждения диагноза рак верхней челюсти используют лабораторные исследования. О наличии злокачественной опухоли сигнализирует выявление в ходе цитологического анализа опухолевых клеток в промывных водах, полученных из верхнечелюстных синусов. При отсутствии дренажа через соустье гайморовой пазухи выполняют пункцию. Полученный материал направляют на патогистологическое исследование. Дифференцируют рак верхней челюсти с хроническим гайморитом, одонтогенной радикулярной кистой, хроническим остеомиелитом. Физикальное обследование проводят стоматолог-хирург, онколог, при необходимости отоларинголог.
Лечение рака верхней челюсти
Если рак верхней челюсти не распространился на основание черепа, лечение включает гамма-терапию или химиотерапию, сопровождающуюся введением лекарственных средств в регионарные артерии. Экстирпацию верхней челюсти проводят через 3 недели. После операции показана контактная лучевая терапия ложа удаленного новообразования. При подозрении на метастазирование рака верхней челюсти выполняют иссечение шейных лимфоузлов вместе с клетчаткой.
Наличие нескольких неспаянных с окружающими тканями метастазов или одного спаянного является прямым показанием к выполнению радикального вмешательства, заключающегося в удалении лимфоузлов вместе с подкожной клетчаткой, шейным отделом внутренней яремной вены, нижнечелюстной слюнной железой и грудино-ключично-сосковой мышцей. Операционный дефект восполняют с помощью пластиночного съемного протеза (при условии сохранения мягких тканей) или изготавливают эктопротез. Закрытие соустья ротовой полости с полостью носа осуществляется за счет пластинки-обтуратора. При наличии признаков вовлечения в патологический процесс основания черепа хирургическое вмешательство не осуществляют. Основой лечения рака верхней челюсти в данном случае является химиотерапия и лучевая терапия.
При раннем выявлении злокачественного новообразования прогноз благоприятный. На поздних стадиях рака верхней челюсти распространение опухолевых клеток на основание черепа сопровождается метастазированием. В этом случае прогноз для жизни неблагоприятный. После радикальной лимфаденэктомии ухудшается венозный отток, возникает стойкая деформация шеи, что негативно влияет на качество жизни пациентов.
Рак челюсти
Рак челюсти - злокачественное новообразование, происходящее из эпителиальной ткани. Клиническая картина определяется локализацией первичного очага поражения. Первые признаки неопластического новообразования верхней челюсти имеют сходство с симптомами хронического гайморита. При поражении нижнечелюстной кости интактные зубы приобретают подвижность 2-3 степени, возникает онемение нижней губы. Распространенный рак челюсти протекает с интенсивным болевым синдромом. Диагностика заболевания включает сбор жалоб, клинический осмотр, рентгенографию, патогистологическое исследование. Лечение рака челюсти комбинированное. Наряду с удалением опухоли показаны курсы лучевой терапии.
МКБ-10



Рак челюсти - патологический процесс первичного или вторичного происхождения, в основе которого лежит трансформация здоровых клеток костной ткани в опухолевые. Чаще диагностируют злокачественные новообразования верхней челюсти. В 60% случаев неопластический процесс развивается из эпителиальной ткани, выстилающей гайморовы синусы.
По гистологическому строению рак челюсти преимущественно является плоскоклеточным ороговевающим. Основная группа пациентов, обратившихся в клинику - люди в возрасте после 45-50 лет. В обследовании больного наряду с хирургом-онкологом принимают участие офтальмолог, оториноларинголог. Лечение злокачественного новообразования комбинированное. Прогноз при раке челюсти неблагоприятный, пятилетняя выживаемость наблюдается у 30% пациентов.

Причины
При центральном (истинном) раке челюсти опухоль берет свое начало из островков Малассе. Вторичные новообразования возникают при прорастании раковых клеток вглубь костной ткани из гайморового синуса, альвеолярного отростка, неба, боковых поверхностей языка, дна полости рта. Чаще всего неопластический процесс верхней челюсти развивается у пациентов на фоне хронического воспаления слизистой верхнечелюстной пазухи. Длительное течение гайморита приводит к трансформации клеток эпителиальной ткани.
Первопричинами вторичного рака челюсти также могут быть травмы слизистой, воздействие ионизирующего излучения, вредные привычки (курение, жевание наса), профессиональные вредности (работа в горячих цехах или запыленных помещениях), неправильное питание (чрезмерное употребления пряных, острых продуктов). Кроме того, существует риск развития рака челюсти метастатического происхождения у онкобольных пациентов с опухолями почек, желудка, легких.

КТ лицевого скелета. Патоморфологически подтвержденный плоскоклеточный рак альвеолярного отростка нижней челюсти справа с дефектом костной ткани.
Симптомы рака челюсти
В начальной стадии канцерогенеза жалобы, как правило, отсутствуют. При раке челюсти, происходящем из эпителия гайморового синуса, пациенты указывают на заложенность носа, затрудненное носовое дыхание, наличие слизистых выделений с примесью крови. При локализации первичной опухоли в области верхневнутреннего угла гайморового синуса кроме приведенных выше симптомов возникает утолщение, деформация нижнемедиальной стенки орбиты.
При раке челюсти, развившемся вследствие распространения клеток злокачественной опухоли в кость из латеральных отделов синуса, появляется онемение кожи и слизистой подглазничной зоны. Пациенты жалуются на сильные боли в участке моляров. При опухолях нижней челюсти может возникнуть парестезия нижней губы, тканей подбородка. Интактные зубы становятся подвижными. О III-IV стадии рака челюсти свидетельствуют развитие экзофтальма, нарушение открывания рта, присоединение неврологической симптоматики.
При неопластическом процессе костной ткани возникает деформация челюсти, высоки риски патологических переломов. При отсутствии должного лечения на коже могут появиться участки изъязвления. Если первичным очагом поражения при раке челюсти является злокачественная опухоль слизистой оболочки, при осмотре выявляют раковую язву или разрастания слизистой. Новообразование с эндофитным типом роста представляет собой кратерообразную язвенную поверхность с инфильтрированным дном и уплотненными краями. При экзофитных опухолях в полости рта обнаруживают грибовидные разрастания с выраженным инфильтратом у основания.
Диагностика рака челюсти основывается на анализе жалоб, данных физикального осмотра, а также рентгенологического, гистологического, радиоизотопного методов исследования. Во время внешнеротового осмотра пациентов с раком челюсти врач-стоматолог выявляет асимметрию, деформацию лица, возможно изъязвление кожных покровов. Нередко при раке челюсти диагностируют парестезию того участка, который соответствует локализации злокачественной опухоли. В ходе пальпаторного исследования обнаруживают утолщение кости. Зубы, находящиеся в участке поражения, подвижны. Вертикальная перкуссия положительная.
При раке челюсти вторичного происхождения на слизистой выявляют язву с признаками малигнизации или папиллярные разрастания, у основания которых пальпаторным методом определяется выраженный инфильтрат. Лимфоузлы у пациентов с раком челюсти увеличены, уплотнены, безболезненны.
Рентгенографически при раке челюсти обнаруживают диффузное разрежение кости. Репаративной, а также периостальной реакции не наблюдается. Для подтверждения диагноза показано цитологическое исследование материала, взятого с поверхности язвы. При первичном раке челюсти проводят патогистологический анализ трепанированного участка пораженной кости. Для выявления злокачественной опухоли также может быть использован радиоизотопный метод.
Дифференцируют рак челюсти с хроническим остеомиелитом, специфическими заболеваниями челюстей, доброкачественными и злокачественными одонтогенными и остеогенными опухолями. Пациента обследуют челюстно-лицевой хирург, онколог, офтальмолог, оториноларинголог.

КТ лицевого скелета. Вторичная карцинома нижней челюсти с субтотальной деструкцией ветви, угла и задних отделов тела.
Лечение рака челюсти
При выявлении рака челюсти применяют комбинированное лечение. Наряду с удалением новообразования проводят курс пред- и послеоперационной лучевой терапии. На подготовительном этапе в стоматологии показано снятие оттисков для изготовления протезов, замещающих дефект. Относительно подвижных зубов придерживаются консервативной тактики, так как после хирургического вмешательства возрастает риск диссеминации раковых клеток сетью лимфатических сосудов. Если при раке челюсти определяется несколько увеличенных подвижных шейных лимфоузлов или хотя бы один спаянный лимфоузел, приступают к проведению шейной диссекции.
В зависимости от клинической ситуации могут быть использованы операции Ванаха, Крайля или фасциально-футлярного иссечения. Пораженный участок костной ткани при раке челюсти резецируют вместе с надкостницей. При прорастании опухоли в смежные зоны проводят радикальную операцию, расширяя границы операционного поля. При распространении рака челюсти на основание черепа показано использование гамма-излучения. Прогноз при раке челюсти зависит от стадии заболевания, возраста, иммунного статуса больного, выбора метода лечения.
Рак ротоглотки
Злокачественная опухоль образуется из неороговевающих клеток эпителия на участке от мягкого неба до подъязычной кости.
Анатомическое строение
Ротоглотка - это продолжение носоглотки, средний отдел гортани. Она начинается от твердого неба и заканчивается у входа в гортань. Орган соединяется с полостью рта зевом, а отделяется небными дужками, мягким небом и спинкой языка. В этом отделе перекрещиваются пищеварительные и дыхательные пути. В состав ротоглотки входит:
- задняя треть языка (его корень);
- миндалины;
- задние и боковые стенки глотки. Задняя стенка находится на уровне третьего шейного позвонка. Боковые стенки соединяются с евстахиевыми трубами ушей.

Классификация
Опухоль в ротоглотке делится на три вида:
| Доброкачественные новообразования | Неопасные, но причиняют дискомфорт. Устраняются хирургически | Остеохондрома |
| Лейомиома | ||
| Эозинофильная гранулема | ||
| Остроконечная кондилома | ||
| Фиброма | ||
| Одонтогенные опухоли | ||
| Верруциформная ксантома | ||
| Гранулярно-клеточная опухоль | ||
| Пиогенная гранулема | ||
| Рабдомиома | ||
| Нейрофиброма | ||
| Шваннома | ||
| Кератоакантома | ||
| Папиллома | ||
| Липома | ||
| Предраковые состояния | Есть риск малигнизации, но иногда дисплазия самостоятельно регрессирует | Лейкоплакия. На слизистой возникают белесые или серые точки. Они выпячивают над поверхностью или остаются плоскими |
| Эритроплакия. Образуются красные пятна, которые кровоточат при легком прикосновении | ||
| Раковая опухоль, образующаяся из клеток неороговевающего эпителия | Врач индивидуально подбирает схему лечения | Карцинома, прорастающая только из поверхностного слоя эпителия. Диагностируется в 90% случаев, причем 60% связано с выявлением ВПЧ 16 или 18 штамма |
| Полиморфная низкосортная аденокарцинома | ||
| Аденоидная кистозная карцинома | ||
| Мукоэпидермальная карцинома | ||
| Лимфома |

Рисунок 1. Лейкоплакия

Рисунок 2.1. Эритроплакия

Рисунок 2.2. Эритроплакия
Классификация TNM



Причины возникновения
Заболеваемость раком ротоглотки достигла пика в 2015-2016 году. Диагноз ставился 13% заболевших от общего числа онкологических больных, при этом процент смертности достигал 7,5%. Смертность каждого второго больного обусловлена распространением раковых клеток в полости рта и глотки, а каждого третьего - распространением рака в гортани. На сегодняшний день заболеваемость снизилась и составляет 8,7%, но смертность остается по-прежнему высокой.
Основная причина рака ротоглотки - курение и употребление крепких спиртных напитков. Каждый третий больной является курильщиком со стажем. Токсические вещества в первую очередь проникают в глотку, систематически раздражая слизистую оболочку, разрушая костные структуры.
В группу риска входят:
- больные ВПЧ. Образование папиллом на слизистой рта и глотки может перерасти в онкологию, особенно при вирусе папилломы 16 штамма;
- пожилые люди;
- люди, которые подвергались мощному ультрафиолетовому излучению;
- ослабленный иммунитет. В эту группу относят ВИЧ-инфицированных, а также людей, которые длительное время проходили курс лечения иммуносупрессивными препаратами;
- больные врожденным дискрератозом и анемией Фанкони.
Симптомы
К сожалению, специфических признаков развития злокачественного новообразования в ротоглотке нет. Пациента должны насторожить следующие симптомы:
- длительно непроходящая боль в горле;
- ощущение инородного предмета в горле;
- дискомфорт при глотании пищи или слюны;
- сложность при пережевывании;
- белесые пятна на слизистой с красной каймой;
- онемение корня языка;
- шарик при пальпировании шеи;
- огрубевший или сиплый голос;
- неприятный запах изо рта;
- необоснованная потеря веса.
Коварство заболевания в латентном течении на первой стадии. Болезнь никак себя не проявляет, поэтому человек не обращается за медицинской помощью. Уже на 2-3 стадиях пальпируемый узелок на шее начинает болеть, ощущаться сильнее. Увеличиваются шейные лимфатические узлы. На 4 стадии рака ротоглотки нарушается дыхательный и глотательный процесс, опухоль распространяется на окружающие ткани. Болезнь обостряется кровохарканьем, стремительной потерей веса, истощением и анорексией. Иногда изо рта идет кровь. Если опухоль сдавила жевательные мышцы или нервные сплетения, движения мышц ограничивается.
Метастазы развиваются быстрее, чем сама опухоль.
После осмотра онколога и стоматолога назначается ряд обследований:
- анализ крови на ВПЧ. Исследование проводится методом ПЦР, секвенирования или ферментного анализа. Подтверждение вируса папилломы человека изменяет тактику лечения опухоли;
- эндоскопический осмотр гортани и ротоглотки методом ларинго- и фарингоскопии;
- цитологическое исследование. При ларингоскопии врач берет соскоб со слизистой и отправляет на анализ. Определяется клеточный состав опухоли;
- биопсия. Изъятый участок окрашивается эозином и гематоксилином, а затем наблюдается реакция на препарат;
- КТ/МРТ. Томография уточняет локализацию и размер опухоли;
- ПЭТ. Показывает распространенность опухоли на окружающие органы, а также метастазирование в органы грудной клетки.
Лечение
В зависимости от стадии заболевания и состояния больного врач назначает химиотерапию, лучевую терапию, операцию, таргетную терапию, иммунотерапию в комбинации друг с другом или отдельно.
Как правило, при операции врачи стараются сохранить орган, если раковые клетки не метастазировали. Если выявлены метастазы в лимфатических узлах, сосудах или клетки проросли в нервный ствол, проводится химиотерапия совместно с облучением. Таргетная терапия используется при раке ротоглотки, вызванном ВПЧ-ассоциированным плоскоклеточным раком. Исходя из практики, в этом случае результаты благоприятные.
После окончания курса лечения пациенты наблюдаются у онколога и стоматолога. Посещение врачей обязательно каждые 3-6 месяцев в течение первых двух лет. Следующие пять лет осмотр проводится раз в полгода-года. Последующие пять лет пациент посещает врача раз в год или чаще при недомогании. Во время посещения доктор анализирует состояние больного, учитывая результаты фиброскопии, ежегодной рентгенографии органов грудной клетки, УЗИ лимфатических узлов, органов малого таза и органов брюшной полости.
Профилактика
Предотвратить онкологию можно, выполняя ряд рекомендаций специалистов. Прежде всего, важно правильно ухаживать за полостью рта и своевременно посещать стоматолога. Врач дважды в год поддерживает чистоту зубов и следит за состоянием десен и мягких тканей.
Поскольку ВПЧ - весомый фактор в развитии рака ротоглотки, важно снизить риск заражения. Для этого необходимо исключить беспорядочные половые связи и ставить вакцину.
Специалисты рекомендуют отказаться от вредных привычек и полностью бросить курить. Сразу после еды необходимо ополаскивать полость рта, а зубы чистить дважды в день. Рациональное питание - залог здоровья, поэтому ежедневно следует потреблять больше овощей и фруктов, кушать цельнозерновой хлеб, а от переработанного мяса, бобовых и курятины лучше отказаться.
Список литературы:


Авторская публикация:
Керимова С. Н.
Ординатор отделения опухолей головы и шеи
НМИЦ онкологии им Н.Н. Петрова
Рак нижней челюсти

В настоящее время распространенность опухолей определяется в рамках ТNМ-классификации злокачественных опухолей, шестое издание, 2002 г. Классификация применима только для рака. Необходимо морфологическое подтверждение диагноза.
Регионарными лимфатическими узлами для нижней челюсти являются подчелюстные, глубокие шейные лимфатические узлы, расположенные вдоль сосудисто-нервного пучка шеи.
Определения R-классификации применимы ко всем локализациям опухолей головы и шеи. Эти определения следующие:
Факторы и группы риска
Диагностические критерии
I-II стадия - боли по ходу нижнечелюстного нерва, напоминающие боли при пульпите, патологическая подвижность зубов, язва на слизистой альвеолярного отростка.
Дифференциальная диагностика проводится с хроническим ларингитом, папилломой или фибромой гортани, лейкоплакией, дискератозы гортани, пахидермия.
Основаниями для консультации онколога является анамнез, клинико-рентгенологическая картина, морфологическая верификация.
III-IV стадия - боли по ходу нижнечелюстного нерва, напоминающие боли при пульпите, патологическая подвижность зубов, язва на слизистой альвеолярного отроска, деформация лица за счет инфильтрации в подбородочную, щечную области и дно полости рта, ограничение открывания рта. Наличие узлов на шее.
На R-граммах нижней челюсти - деструкция более одной анатомической части нижней челюсти с наличием патологического перелома.
9. Лабораторные исследования: общий анализ крови, биохимический анализ крови, общий анализ мочи, определение группы крови и Rh-фактора, анализ
Дифференциальный диагноз
Отсутствие болей. Множественные округлые очаги просветвления с четкими контурами, в который выстоит корень.
Грибовидное образование на слизистой альвеолярного отростка с выраженной ножкой. Костная ткань интактна.
Медленно нарастающая деформация в виде выпячивания или вздутия челюсти. Наличие очага резорбции костной ткани с четкими контурами.
Цели лечения - ликвидация опухолевого очага и метастазов.
Общие принципы лечения
Существуют три основных метода лечения злокачественных опухолей нижней челюсти - хирургический, лучевой и их сочетание. Все методы могут быть дополнены химиотерапией. Химиотерапия, как часть комбинированного лечения, улучшает 5-летнююю выживаемость у больных с локализованным процессом на 20-60%.
Морфологическая оценка ответа опухоли после 4-6 курсов предоперационной химиотерапии дает важную прогностическую информацию.
При опухолях, соответствующих Т1, эффективность хирургического метода лечения на первом этапе, по результатам последних мировых исследований, выше, чем при лучевой терапии, достигает 85-95% излеченности, также снижается риск возникновения рецидива опухоли. При опухолях, соответствующих Т2, также лечение следует начинать с резекции нижней челюсти с последующим проведением послеоперационной лучевой терапии. При наличии у больного противопоказаний к операции лечение начинается с лучевой терапии. При распространенном злокачественном новообразовании нижней челюсти Т3-4 производят резекцию опухоли в пределах здоровых тканей с первичной костной пластикой с иссечением шейной клетчатки с послеоперационным курсом
Лечение метастазов злокачественных новообразований в лимфатических узлах шеи
Наличие регионарных метастазов не препятствует консервативному лечению, т.к. метастазы этой локализации (N1-2) часто хорошо поддаются лучевому и химиолучевому лечению. Поэтому лимфатические узлы шеи с обеих сторон следует включать в зону облучения. При необходимости облучения лимфатических узлов нижних отделов шеи больным показано использование прямого поля с блоком. Нижний край прямого поля проходит на 1 см ниже нижнего края ключиц. При поражении надключичных лимфатических узлов должны облучаться лимфатические узлы верхнего средостения.
При наличии ограниченно смещаемых или несмещаемых метастазов, лечение целесообразно начинать с неоадъювантной полихимиотерапии и последующего лучевого лечения в дозе 40 гр. Дальнейшая тактика зависит от эффективности проведенной терапии.
В случае значительной или полной регрессии метастазов или их неоперабельности после указанной дозы облучение следует довести до СОД 60-70 гр.
При недостаточной регрессии увеличенных лимфатических узлов и их операбельности после 40 гр. необходимо производить фасцально-футлярное иссечение шейной клетчатки (ФФиШК) или операцию Крайля по показаниям.
Показаниями к выполнению фасциально-футлярной лимфодиссекции является наличие Н0, N1, N2а подвижных лимфоузлов без вовлечения в процесс внутренней яремной вены и кивательной мышцы.
Показаниями к проведению операции Крайля является наличие N1, N2а, б, с неподвижных, вколоченных лимфоузлов с вовлечением в опухолевый процесс внутренней яремной вены и кивательной мышцы.
В случае спаянности регионарного метастаза на шее с сосудами шеи больному необходимо дополнительное обследование (КТ шеи и ангиография), т.к. возможно проведение операции Крайля с резекцией артерии и ее пластическим замещением.
Лечение комбинированное: оперативное лечение и пред- или послеоперационная лучевая терапия. Лучевую терапию осуществляют методом дистанционной гамма-терапии. Лучевую терапию проводят ежедневно, число полей определяют в зависимости от размеров поражения и наличия регионарных метастазов. Суммарная доза составляет 40-50 гр. Небольшие опухоли, когда процесс ограничен одной анатомической частью органа, опухоль не прорастает в надкостницу, удаляют путем резекции челюсти с первичной костной аутопластикой. При центральном раке нижней челюсти, когда опухоль не прорастает в надкостницу и нет регионарных метастазов, производят резекцию в пределах здоровых тканей и осуществляют первичную костную пластику.
При наличии метастазов, резекцию нижней челюсти производят в едином блоке с иссечением шейной клетчатки. При саркоме производят широкую резекцию нижней челюсти с удалением подчелюстной слюнной железы. При распространении опухоли на соседние анатомические структуры резекцию нижней челюсти осуществляют с широким иссечением окружающих мягких тканей. Первичное пластическое замещение дефекта производят аутотрансплантантом взятым из ребра, малоберцовой или др. кости. Также могут использоваться титановые металлоконструкции. Злокачественные опухоли нижней челюсти малочувствительны к химиопрепаратам. Однако при саркомах, фиброзной гистиоцитоме позволяют перевести местнораспространенные опухоли в операбельное состояние.
Неоадъювантная химиотерапия состоит из двух идентичных курсов с трехнедельными перерывами между ними. Однако, если после первого курса химиотерапии регрессия опухоли менее 50%, продолжение химиотерапии нецелесообразно.
При проведении как неоадъювантной, так и адъювантной полихимиотерапии при раке гортаноглотки возможно применение следующих схем и комбинаций химиопрепаратов:
Читайте также:
