КТ при плоскоклеточном раке носа и околоносовых пазух
Добавил пользователь Евгений Кузнецов Обновлено: 14.12.2025
КТ околоносовых пазух - послойное рентгенологическое сканирование придаточных пазух носа. Позволяет оценить расположение, структуру и толщину костей, размер и форму полостей, проходимость носовых ходов. Применяется для диагностики воспалительных процессов, опухолей и опухолеподобных образований, а также для выявления аномалий строения и дегенеративных изменений носовых костей и околоносовых пазух. Процедура неинвазивная, если не показано внутривенное введение контрастного вещества. Стоимость варьируются в зависимости от необходимости контрастирования и записи на цифровой носитель.
Стоимость КТ околоносовых пазух в Москве
- без учета контраста ~ 4 442р. 620 цен
- с контрастом ~ 9 536р. 87 цен
Обеспечение болюсного контрастирования, динамического контрастирования, контрастной перфузии или ангиографии одной зоны во время проведения КТ или КТ ангиографии

Продолжительность КТ придаточных пазух составляет около 10 минут. Серии снимков расшифровываются врачом-рентгенологом, интерпретация занимает примерно 30-60 минут. Результат исследования представляется пациенту в распечатанном виде, дополнительно возможна запись на любой цифровой носитель (CD-диск, USB). Важно понимать, что рентгенолог не проводит диагностику, а лишь составляет свое экспертное заключение по результатам КТ. Диагноз выставляет врач-оториноларинголог или другой специалист, выдавший направление на исследование.
Показания
Процедура показана при подозрении на опухоли, полипы и кисты околоносовых пазух, дает четкое представление о структуре и границах неоплазии. В некоторых случаях манипуляция проводится при жалобах на головные боли, причина которых не обнаруживается иными способами (например, на ЭЭГ). Показанием для назначения КТ придаточных пазух могут быть упорные носовые кровотечения, не находящие объяснения по результатам риноскопии и других исследований. Сканирование может выполняться при воспалительных заболеваниях околоносовых пазух. Методика применяется при недостаточной информативности стандартной рентгенограммы, а также при планировании оперативного вмешательства на пазухах.
Противопоказания
Противопоказания к КТ околоносовых пазух делятся на абсолютные и относительные. Процедура абсолютно противопоказана при беременности. По техническим причинам применение методики невозможно в случаях, когда вес пациента превышает конструктивные возможности аппаратуры (120-130 или 200 кг). В список относительных противопоказаний входят возраст до 12 лет и период лактации. Исследование с использованием контрастных йодсодержащих препаратов не выполняется при непереносимости йода, выраженной почечной и печеночной недостаточности, сахарном диабете.
Подготовка к КТ
Манипуляция осуществляется по направлению оториноларинголога, иногда - невролога (например, при мигрени) и других специалистов. Как правило, перед процедурой выполняется стандартная рентгенография пазух, КТ назначается уже по результатам снимка. При проведении бесконтрастного исследования специальная подготовка не требуется. Контрастное сканирование выполняется натощак после определения функционального состояния печени и почек. Непосредственно перед томографией необходимо снять все металлические предметы (заколки, часы и др.).
Рак полости носа и околоносовых пазух
Рак полости носа и околоносовых пазух - злокачественные опухоли, поражающие носовую полость, верхнечелюстные, лобные, решетчатую или клиновидную придаточные пазухи. Проявляется ощущением давления, затруднением носового дыхания, выделениями из носа и носовыми кровотечениями. В ряде случаев отмечаются онемение и ощущение мурашек на коже лица, экзофтальм, лицевые деформации и выпадение зубов. Диагноз рака околоносовых пазух и носовой полости устанавливается с учетом анамнеза, данных внешнего осмотра, риноскопии, рентгенографии, КТ, МРТ и результатов биопсии. Лечение оперативное в сочетании с предоперационной радиотерапией и химиотерапией.
Общие сведения
Рак полости носа и околоносовых пазух - новообразования эпителиального происхождения, локализующиеся в носовой полости и придаточных синусах. Составляют 1,5% от общего количества онкологических заболеваний. Обычно поражают людей старше 40 лет. Мужчины болеют чаще женщин. Рак околоносовых пазух в 75% случаев возникает в зоне верхнечелюстного синуса, в 10-15% - в носовой полости и основной (решетчатой) пазухе, в 1-2% - в зоне клиновидного и лобного синусов. Рак полости носа и придаточных синусов распространяется на близлежащие ткани, включая костные структуры, метастазирует в регионарные лимфоузлы, но очень редко дает отдаленные метастазы. Лечение осуществляют специалисты в сфере онкологии, отоларингологии и челюстно-лицевой хирургии.
Причины
Причина рака полости носа пока не выяснена, но установлены три группы факторов, способствующих развитию данной патологии: профессиональные вредности, хронические воспалительные процессы и вредные привычки. Риск развития рака околоносовых пазух и носовой полости повышается при постоянном контакте с вредными веществами, вдыхаемыми в процессе выполнения профессиональных обязанностей. Наибольшая вероятность возникновения онкологических поражений наблюдается у пациентов, занимающихся деревообработкой, обработкой кожи и производством никеля. Особенно значим контакт с химическими соединениями, используемыми при производстве мебели. По статистике, у краснодеревщиков рак полости носа и придаточных пазух становится причиной гибели в 6,6 раз чаще, чем в среднем по популяции.
Большую роль в развитии рака околоносовых пазух и полости носа играет курение. Некоторые специалисты в числе факторов риска указывают употребление алкоголя. Вероятность развития этой группы заболеваний увеличивается при хроническом рините, риносинусите, гайморите (воспалении надчелюстных пазух), фронтите (воспалении лобных пазух), сфеноидите (воспалении клиновидной пазухи) и этмоидите (воспалении решетчатого лабиринта). Имеет значение национальность пациентов - рак околоносовых пазух и носовой полости чаще выявляется у жителей Китая и Средней Азии.
Классификация
В связи с особенностями локализации выделяют пять видов данной патологии: рак полости носа и четыре типа рака околоносовых пазух: верхнечелюстной, фронтальной, основной и решетчатой. С учетом особенностей гистологического строения различают семь разновидностей опухоли: плоскоклеточный, переходноклеточный, мукоэпидермоидный, аденокистозный и недифференцированный рак, аденокарцинома и прочие виды рака.
При определении прогноза и тактики лечения используют сложную классификацию TNM, в которой отражены особенности каждой стадии рака околоносовых пазух (прорастание тканей, уровень поражения тех или иных близлежащих органов) с учетом локализации. В клинической практике нередко пользуются упрощенной классификацией:
- 1 стадия - рак полости носа и околоносовых пазух не распространяется на костные структуры, регионарные лимфоузлы не задействованы.
- 2 стадия - новообразование распространяется на костные стенки, но не выходит за пределы пазухи, лимфоузлы интактны.
- 3 стадия - рак околоносовых пазух и носовой полости разрушает кость и прорастает в соседние полости, есть метастазы в регионарных лимфоузлах.
- 4 стадия - опухоль прорастает скуловые кости, нижнюю челюсть и кожу лица. Регионарные лимфоузлы теряют подвижность, спаиваются с окружающими тканями с образованием инфильтратов или распадом.
Из-за редкого отдаленного метастазирования в этой классификации не отражен вариант рака околоносовых пазух с гематогенными метастазами.
Симптомы рака полости носа
Симптомы этой группы болезней отличаются большим разнообразием. Картина заболевания определяется локализацией, размером и видом новообразования. На начальных стадиях обычно наблюдается бессимптомное течение или скудные проявления, напоминающие хронический ринит либо синусит. Пациенты с раком околоносовых пазух предъявляют жалобы на боль в зоне придаточных пазух, головную боль, заложенность носа и носовые выделения. Некоторые больные отмечают снижение обоняния. Иногда первым признаком болезни становится увеличение регионарных лимфоузлов.
Остальные проявления обусловлены локализацией рака полости носа и околоносовых пазух и повреждением близлежащих анатомических структур. При опухолях внутренних отделов гайморовой пазухи наблюдаются боль в верхней челюсти, отдающая в ухо либо висок, сильная головная боль, выделения и кровотечения из соответствующей половины носа. При новообразованиях в задненаружном отделе верхнечелюстного синуса возможны затруднения при приеме пищи, вызванные прорастанием рака околоносовой пазухи в жевательные мышцы.
Опухоли передненижнего отдела гайморовой пазухи могут распространяться на верхнюю челюсть и твердое небо, вызывая интенсивную зубную боль, потерю зубов и образование язв на деснах. При прорастании таких новообразований в жевательные мышцы и височно-нижнечелюстной сустав выявляются затруднения при попытке открыть рот. При поражении мягких тканей лица отмечаются лицевые деформации. Отек век, слезотечение, сужение глаза или экзофтальм характерны для рака околоносовой пазухи, локализующегося в верхней части задневнутренней зоны верхнечелюстного синуса. Рак лобных пазух проявляется резко выраженными болями в области лба, отеком век, смещением глаза и деформацией лица.
Диагностика
Диагноз рака околоносовых пазух и полости носа основывается на жалобах, данных анамнеза, результатах осмотра и дополнительных исследований. При сборе анамнеза отоларинголог выясняет наличие вредных привычек, профессиональных вредностей и хронических воспалительных заболеваний. При внешнем осмотре врач обращает внимание на деформации лица, состояние век, наличие одностороннего экзофтальма, возможность свободных движений нижней челюстью и т. д.
Рак полости носа обнаруживаются при проведении риноскопии. Фарингоскопия позволяет выявлять вторичные изменения, обусловленные прорастанием рака околоносовых пазух в ротовую полость и полость носоглотки. Наряду с фарингоскопией осуществляют фиброскопию, в процессе которой специалист изучает поверхность носоглотки и берет с измененного участка образец ткани для гистологического исследования. При расположении опухоли в придаточном синусе врач выполняет пункцию с забором материала.
Всех пациентов с подозрением на рак полости носа и придаточных пазух направляют на обзорную рентгенографию соответствующей области. При возможности проводят рентгенографию с использованием контрастного вещества, КТ и МРТ. При подозрении на прорастание рака околоносовых пазух в полость черепа назначают рентгенографию черепа. В некоторых случаях осуществляют диагностическую гайморотомию. Для выявления гематогенных метастазов выполняют рентгенографию грудной клетки и УЗИ брюшной полости.
Лечение
Лечебная тактика при раке околоносовых пазух и носовой полости определяется индивидуально с учетом локализации, размера, гистологического типа и распространенности новообразования. Как правило, используют комбинированную терапию, включающую в себя хирургическое вмешательство, химиотерапию и радиотерапию. В предоперационном периоде пациентам с раком полости носа и околоносовых синусов назначают дистанционную телегамматерапию и химиотерапию. Операцию проводят через 3 недели после окончания химио- и радиотерапии.
Объем хирургического вмешательства зависит от вовлечения различных органов и анатомических структур. В ряде случаев при раке околоносовых пазух приходится выполнять экзентерацию глазницы, удаление верхней челюсти и другие травматичные операции. При прорастании новообразования в полость черепа к участию в оперативном лечении привлекают нейрохирурга. В послеоперационном периоде назначают антибиотики и сосудосуживающие средства, проводят радио- и химиотерапию. При серьезных косметических дефектах осуществляют пластические операции в отдаленном периоде. При распространенном и рецидивирующем раке полости носа и синусов лечение консервативное.
Прогноз
Прогноз при раке околоносовых пазух и носовой полости в первую очередь зависит от стадии заболевания. На 1-2 стадии средняя пятилетняя выживаемость после хирургического удаления новообразования составляет 75%. Применение комбинированной терапии позволяет повысить этот показатель до 83-84%. На 3-4 стадиях выживаемость резко снижается. При метастазах в регионарных лимфатических узлах до 5 лет с момента постановки диагноза удается дожить всего 37% пациентов, получавших комбинированную терапию. При использовании только лучевой терапии или только оперативного вмешательства пятилетняя выживаемость на этой стадии по различным данным колеблется от 18 до 35%. Трехлетняя выживаемость на 4 стадии составляет чуть более 30%.
Злокачественные опухоли полости носа и придаточных пазух
Рак полости носа и придаточных пазух - злокачественная опухоль чаще эпителиального характера, поражающая верхние дыхательные пути до носоглотки, а так же гайморовой, лобной, основной пазух и клетки решетчатого лабиринта.
Злокачественные опухоли полости носа и придаточных пазух

Автоматизация клиники: быстро и недорого!
- Подключено 300 клиник из 4 стран
- 800 RUB / 4500 KZT / 27 BYN - 1 рабочее место в месяц

Автоматизация клиники: быстро и недорого!
- Подключено 300 клиник из 4 стран
- 1 место - 800 RUB / 4500 KZT / 27 BYN в месяц
Мне интересно! Свяжитесь со мной
Основными симптомами заболевания являются: затруднение дыхания носом, гнойные выделения из носа, боли в зубах, смещение глазного яблока, деформация лица и твердого нёба.
Опухоли полости носа. В полости носа наблюдаются как первичные, так и вторичные новообразования (прорастающие из окружающих полостей). Несмотря на доступность осмотру, большинство больных поступают на лечение с распространенными процессами, т.к. длительно лечатся по поводу хронических заболеваний.
Опухоли верхнечелюстной пазухи. От момента начала заболевания до появления первых признаков опухоли этой локализации проходит от 6 до 10 месяцев. Большое значение при этом имеет исходное место роста опухоли в пазухе: верхняя, нижняя, медиальная и другие стенки. Позднее всех появляются жалобы при опухолях, расположенных на задней стенке пазухи, т.к. они прорастают в крылонёбную ямку.
Опухоли решетчатого лабиринта. Изолированные поражения решетчатой пазухи наблюдаются редко (8-10%), обычно опухоли диагностируются уже при прорастании в окружающие образования. При этом чаще поражаются полость носа, верхнечелюстная пазуха, орбита, основная пазуха, носоглотка.
Основными первыми жалобами больных являются затруднение дыхания носом, гнойные выделения, припухлость в области внутреннего угла орбиты, экзофтальм.
Опухоли лобных пазух встречаются редко. Наиболее ранними проявлениями могут быть припухлость тканей лобной области или верхневнутренней стенки орбиты, экзофтальм. Эти опухоли обычно диагностируют как гнойный фронтит. Ошибка обнаруживается во время операции по поводу фронтита.
Опухоли основной пазухи. Обычно эта пазуха поражается вторично. При первичном поражении больные жалуются на тупые головные боли в затылке, что характерно для гипертонии. Диагностируют эти заболевания поздно, когда опухоли прорастают в носоглотку или основание черепа и приводят к поражению отводящего нерва, птозу, диплопии и др.
Т2 - опухоль, эрозирующая или разрушающая внутренние структуры, включая твердое нёбо и/или средний носовой ход.
Т3 - опухоль распространяется на любую из следующих структур: подкожная клетчатка щеки, задняя стенка гайморовой пазухи, нижняя или медиальная стенка орбиты, клетки решетчатой кости, крылонёбная ямка.
Т4а - опухоль распространяется на любую из следующих структур: передние отделы орбиты, кожу щеки, крыловидные пластинки, подвисочную ямку. Решетчатую пластинку, основную или лобные пазухи.
Т4b - опухоль распространяется на любую из следующих структур: верхушку глазницы, твердую мозговую оболочку, мозг, среднюю черепную ямку, черепные нервы, кроме места разделения тройничного нерва V2, носоглотку, скат.
Т1 - опухоль находится в пределах одной части носовой полости или клеток решетчатой кости с или без разрушения кости.
Т2 - опухоль распространяется на две части одного органа или на смежный отдел в пределах назоэтмоидального комплекса с или без инвазии кости.
Т3 - опухоль распространяется на медиальную стенку или нижнюю стенку орбиты, верхнечелюстную пазуху, небо или решетчатую пластинку.
Т4а - опухоль распространяется на любую из следующих структур: на передние отделы орбиты, кожу носа или щеки, крыловидные пластинки основной кости, лобную или основную пазухи, минимальное прорастание в переднюю черепную ямку.
Т4b - опухоль распространяется на любую из следующих структур: верхушку глазницы, твердую мозговую оболочку, мозг, среднюю черепную ямку, черепные нервы, кроме V2.
Регионарными лимфатическими узлами для носа и придаточных пазух являются подчелюстные, подбородочные и глубокие шейные лимфатические узлы,
расположенные вдоль сосудисто-нервного пучка шеи. Однако злокачественные опухоли полости носа и придаточных пазух метастазируют относительно редко.
N1 - метастазы в одном лимфатическом узле на стороне поражения до 3 см и менее в наибольшем измерении.
N2 - метастазы в одном или нескольких лимфатических узлах на стороне поражения до 6 см в наибольшем измерении или метастазы в лимфатических узлах шеи с обеих сторон, или с противоположной стороны до 6 см в наибольшем измерении.
N2b - метастазы в нескольких лимфатических узлах на стороне поражения до 6 см в наибольшем измерении.
N2с - метастазы в лимфатических узлах с обеих сторон или с противоположной стороны до 6 см в наибольшем измерении.
Определения R-классификации применимы ко всем локализациям опухолей головы и шеи. Эти определения следующие:
Все локализации:
N1 Односторонний одиночный лимфоузел 3 см
N2 (а) односторонний одиночный лимфоузел 3 до 6 см
(б) односторонние множественные лимфатические узлы 6 см
(с) двусторонние, контрлатеральные лимфоузлы 6 см
N3 6 см
Факторы и группы риска
I-II стадия - жалобы на затрудненное носовое дыхания, кровоточивость из носа, обильное слизистое отделяемое из полости носа, возможно появление опухолевого образования в просвете полости носа, возможны головные боли.
Деформация лица, возможно появление опухолевого образования в просвете полости носа, головные боли, возможно экзофтальм.
На КТ или рентгенографии определяется - дополнительное опухолевое образование в полости носа, или в одной из придаточных пазух носа, при второй стадии возможна деструкция участка костной ткани.
III стадия - жалобы на затрудненное носовое дыхания, кровоточивость из носа, обильное слизистое отделяемое из полости носа, зловонный запах, деформация лица, возможно появление опухолевого образования в просвете полости носа, головные боли, возможно экзофтальм.
На КТ или рентгенографии определяется - дополнительное опухолевое образование, занимающее полость носа, распространяющееся на медиальную стенку или нижнюю стенку орбиты, верхнечелюстную пазуху, небо или решетчатую пластинку.
IV стадия - жалобы на отсутствие носового дыхания, кровоточивость из носа, обильное слизистое отделяемое из полости носа, зловонный запах, деформация лица, опухолевое образование в проекции верхнечелюстной пазухи, возможно появление опухолевого образования в просвете полости носа, головные боли, возможно экзофтальм.
На КТ или рентгенографии определяется дополнительное опухолевое образование, занимающее полость носа распространяющееся на любую из следующих структур: на передние отделы орбиты, кожу носа или щеки, крыловидные пластинки основной кости, лобную или основную пазухи, минимальное прорастание в переднюю черепную ямку, верхушку глазницы, твердую мозговую оболочку, мозг, среднюю черепную ямку, черепные нервы, кроме V2.
На основании жалоб, анамнеза, клинико-инструментального обследования необходима консультация онколога.
Обнаружение затемнения полости, разрушения кости и др. является основанием для более углубленного исследования:
9. Общий анализ крови, общий анализ мочи, биохимический анализ крови, определение группы крови и Rh-фактора, анализ крови на RW , ВИЧ.
Дифференциальный диагноз
Периодически появляется чувство тяжести в соответствующей половине головы, чувство распирания в области верхней челюсти. Гомогенное затемнение верхнечелюстной пазухи.
Медленно увеличивающаяся деформация. Отсутствие болей. Множественные округлые очаги просветления округлой формы, разного размера.
Схемы химиотерапии, применяющиеся при лечении рака полости носа и придаточных пазух носа, могут включать следующие комбинации препаратов:
При проведении как неоадъювантной, так и адъювантной полихимиотерапии возможно применение следующих схем и комбинаций химиопрепаратов:
- рецидивирующий или метастатический плоскоклеточный рак головы и шеи в случае неэффективности предшествующей химиотерапии на основе препаратов платины;
- монотерапия рецидивирующего или метастатического плоскоклеточного рака головы и шеи при неэффективности предшествующей химиотерапии.
Цетуксимаб вводят 1 раз в неделю в начальной дозе 400 мг/м 2 (первая инфузия) в виде 120-минутной инфузии и далее в дозе 250 мг/м 2 в виде 60-минутной инфузии. При применении Цетуксимаба в сочетании с лучевой терапией, лечение цетуксимабом рекомендуется начинать за 7 дней до начала лучевого лечения и продолжать еженедельные введения препарата до окончания лучевой терапии. У пациентов с рецидивирующим или метастатическим плоскоклеточным раком головы и шеи в комбинации с химиотерапией на основе препаратов платины (до 6 циклов) Цетуксимаб используется как поддерживающая терапия до появления признаков прогрессирования заболевания. Химиотерапия начинается не ранее чем через 1 час после окончания инфузии Цетуксимабом.
В случае развития кожных реакций на введение Цетуксимаба терапию можно возобновить с применением препарата в редуцированных дозах (200 мг/м 2 после второго возникновения реакции и 150 мг/м 2 - после третьего).
Больным с новообразованиями данной локализации показано только комбинированное лечение с предоперационной лучевой или химиолучевой терапией. При распространенных опухолях верхней челюсти лечение целесообразно начинать с системной или регионарной химиотерапии. Через несколько дней после окончания химиотерапии начинают дистанционную лучевую терапию до СОД 40-50 гр. (2 гр./день).
После 2-3 недельного перерыва выполняют хирургическое вмешательство в необходимом объеме (от резекций различных стенок и частей верхней челюстной пазухи до расширенных резекций с окружающими тканями и органами). При распространенном раке решетчатого лабиринта показана системная химиотерапия или проводится только предоперационное лучевое лечение СОД 40-60 гр. с последующим хирургическим вмешательством наружным доступом (ринотомия по Муру).
При раке лобной и основной пазух без прорастания в череп тоже показано комбинированное лечение. При прорастании опухолей в полость черепа необходимо дополнительное обследование для решения вопроса о возможности краниоорбитальных или краниофациальных резекций.
При опухолях верхнечелюстной пазухи облучение проводится с переднего и бокового полей на стороне поражения. При облучении с бокового поля создается наклон его на 5-10° кзади, что позволяет исключить из зоны облучения глаз на противоположной стороне. Для исключения попадания языка и нижней челюсти в зону облучения лечение следует проводить с открытым ртом (фиксирующее приспособление).
При поражении верхнечелюстной пазухи в зону облучения включается вся верхняя челюсть - верхняя граница поля проходит выше нижнеглазничного края, а при прорастании опухоли в орбиту в зону облучения включаются также нижние отделы орбиты или вся орбита. Нижняя граница поля устанавливается с учётом инвазии новообразования в сторону полости рта и щеки + 1 см клинически неизмененных тканей.
Задняя граница бокового поля зависит от степени распространения опухоли в область бугра челюсти и крылонёбной ямки. Расположение медиальной границы переднего поля обусловлено распространением опухоли в полость носа и по твёрдому нёбу. Если опухоль не прорастает в полость носа и не распространяется до средней линии твёрдого нёба, медиальная граница проходит по средней линии. Зоны регионарного метастазирования шеи облучаются с передних или переднезадних полей.
Лечение рака придаточных пазух носа в зависимости от стадии:
I-II стадии (Т1-2 N0). Лечение комбинированное: оперативное вмешательство различными доступами с послеоперационной дистанционной лучевой терапией в СОД 40-50 гр. на очаг. При низкодифференцированных опухолях - облучение зоны регионарных метастазов на стороне опухоли в СОД 50 гр., неоадьювантные курсы полихимиотерапии с последующим оперативным лечением.
III стадия (Т1-2 N1 M0). Лечение комбинированное: предоперационная химиотерапия, дистанционная лучевая терапия в СОД 40-50 гр. на первичный очаг + операция наружным доступом. Зоны регионарного метастазирования на стороне опухоли облучаются в СОД 40-50 гр. В случае недостаточной эффективности лучевого лечения - радикальная шейная диссекция.
III-IVА стадии (Т3-4а N0-3 M0). Лечение комплексное: неоадьювантные курсы полихимиотерапии, дистанционная лучевая терапия в СОД 40-50 гр. на очаг и 50 гр. на зону регионарных лимфатических узлов на стороне поражения (N0). Операция на первичном очаге и при наличие регионарных метастазов радикальная шейная диссекция.
КЛКТ придаточных пазух носа в Москве
КЛКТ придаточных пазух носа - объемная компьютерная томография придаточных синусов, выполняемая с помощью направленного конусного рентгеновского пучка. Позволяет получить трехплоскостное цифровое изображение исследуемой области в истинном масштабе, благодаря чему специалист имеет возможность изучать анатомические особенности и патологические процессы в пазухах. Показаниями к КЛКТ служат диагностика гайморита (в том числе одонтогенной этиологии), полипов околоносовых пазух, переломов стенок пазух, а также планирование манипуляций и хирургических вмешательств на ЛОР-органах и контроль их эффективности. КЛКТ придаточных пазух носа имеет ряд преимуществ перед стандартной рентгенографией и КТ: меньшая лучевая нагрузка, отсутствие погрешностей при сканировании, короткое время процедуры.

КЛКТ придаточных пазух носа считается относительно новой методикой в диагностике патологий ЛОР-органов, период ее широкого применения составляет не более полутора десятков лет. Она является естественным развитием такого лучевого метода диагностики, как компьютерная томография, поэтому имеет схожие физические принципы работы. Как и обычная КТ, КЛКТ придаточных пазух носа производится посредством просвечивания тканей пучком рентгеновских лучей, который движется вокруг исследуемой области тела. Прошедший через ткани луч попадает на детектор, модулируя в нем сложный сигнал, обрабатываемый компьютером, который и формирует окончательное изображение. С этой точки зрения КЛКТ придаточных пазух носа полностью тождественна всем вариантам компьютерной томографии - традиционной, спиральной и мультиспиральной.
Отличия КЛКТ придаточных пазух носа от вышеперечисленных техник заключаются в нескольких ключевых параметрах работы. Во-первых, рентгеновский пучок при данной технологии формируется не узким и веерообразным, а в виде конуса. Во-вторых, при разнообразных техниках компьютерной томографии применяется множество детекторов, которые регистрируют изменения узконаправленного веерообразного пучка, а при КЛКТ придаточных пазух носа применяется лишь один детектор круглой формы, размеры которого соответствуют диаметру пучка конической формы. Все это требует совершенно иных принципов математической обработки полученного сигнала и дополнительных вычислительных мощностей. Поэтому широкое распространение КЛКТ придаточных пазух носа стало возможным только после создания достаточно мощных компьютеров.
Основными преимуществами КЛКТ придаточных пазух носа перед другими техниками являются более тщательная визуализация анатомического строения исследуемой области по причине ее реконструкции на основании 150-300 и более снимков. Резко снижается количество артефактов и искажений, что значительно повышает диагностическую ценность метода. Немаловажным является тот факт, что КЛКТ придаточных пазух носа создает намного меньшую лучевую нагрузку (на уровне 30-200 мкЗв) на организм пациента по сравнению с техниками традиционной компьютерной томографии. Другие рентгенологические методы исследования пазух носа (например, обычная рентгенограмма) при более высокой или сопоставимой лучевой нагрузке дают намного меньше диагностической информации, нежели КЛКТ. Контрастные методы (гайморография) имеют некоторые преимущества перед данной техникой, однако требуют достаточно серьезной подготовки, сопряжены с риском инфицирования и доступны в отношении только крупных и поверхностно расположенных синусов (фронтального, верхнечелюстного).
Чаще всего показанием к проведению КЛКТ придаточных пазух носа является подозрение на наличие ЛОР-заболеваний воспалительного или неопластического генеза. Кроме того, при помощи данной методики может производиться выявление врожденных аномалий развития околоносовых синусов. Если имеется необходимость улучшения визуализации мягких тканей исследуемых анатомических структур (слизистой оболочки пазух и их возможных новообразований), возможно применение контраста. Высокая точность и детальность изображений, получаемых при КЛКТ, позволяет наиболее эффективно использовать данную технику при планировании хирургических вмешательств, а также оценивать их результаты и контролировать процесс восстановления. Дополнительным аргументом в пользу более широкого использования в этой сфере именно КЛКТ придаточных пазух носа является относительно низкая лучевая нагрузка на организм. Это позволяет применять КЛКТ неоднократно, что иногда требуется для подтверждения эффективности консервативного или хирургического лечения.
Наиболее частым поводом для проведения КЛКТ придаточных пазух носа становятся симптомы воспалительного поражения слизистой оболочек синусов - заложенность носа, распирающие боли в области верхней челюсти или лба. Иногда головные боли неясного генеза могут быть обусловлены воспалением этмоидальной (пещеристой) пазухи. Помимо выявления признаков воспаления, при КЛКТ придаточных пазух носа оценивают степень утолщения слизистой оболочки, определяют наличие или отсутствие в полостях экссудата, гранулезных разрастаний. Иногда причиной воспаления синусов может быть неопластический процесс (опухоль) слизистой оболочки - конусно-лучевая компьютерная томография является практически единственным методом, который позволяет дифференцировать синусит и ранние этапы злокачественных опухолей пазух.
Учитывая высокую точность КЛКТ придаточных пазух носа и относительную низкую лучевую нагрузку при этом исследовании, ее с успехом применяют для определения эффективности терапии. Например, с ее помощью выясняют степень уменьшения толщины и отека слизистой оболочки, наличие или отсутствие экссудата после его удаления. Также данная методика назначается для оценки эффективности хирургического лечения после коррекции врожденных аномалий развития синусов, удаления кист или опухолей. В некоторых случаях КЛКТ придаточных пазух носа применяется в стоматологии для выявления одонтогенных осложнений после тяжелых воспалительных процессов в области верхней челюсти или протезирования зубов.
Противопоказаний к проведению КЛКТ достаточно мало, они во многом аналогичны таковым при проведении обычной компьютерной томографии. Абсолютными противопоказаниями к исследованию являются только ранний возраст (из-за невозможности обеспечить неподвижность грудного младенца во время процедуры), недостаточная функция почек или аллергия на контрастные препараты (при назначении КЛКТ с контрастом). Беременность рассматривается в качестве противопоказания, но, учитывая пониженную лучевую нагрузку, использовать КЛКТ придаточных пазух носа разрешается в случае, когда необходимость манипуляции превышает потенциальные риски от ее проведения. Многие специалисты считают, что назначение этой процедуры должно быть запрещено на протяжении первого триместра вынашивания ребенка.
Подготовка к КЛКТ
Как правило, проведению КЛКТ придаточных пазух носа предшествует обычная рентгенография черепа в прямой и боковой проекциях для оценки состояния ЛОР-органов. Если при этом исследовании выявляются нарушения в зоне синусов (наличие экссудата, воспалительные изменения, признаки полипов или опухолей) - показано углубленное обследование. Особых мер подготовки к КЛКТ придаточных пазух носа не требуется, процедура может производиться в любое время суток. Требований к состоянию здоровья пациента также нет (за исключением случаев, когда необходимо контрастирование). Обязательными условиями проведения контрастной КЛКТ являются отсутствие аллергии на йодсодержащие препараты и нормальная функциональная активность почек.
Методика проведения
КЛКТ придаточных пазух носа производится на разновидности компьютерного томографа, имеющего коллиматорно суженный рентгеновский пучок, особый детектор и компьютерное оборудование со специальным программным обеспечением. Одной из главных характеристик аппарата для КЛКТ является размер зоны сканирования, зависящий от диаметра рентгеновского пучка и размера детектора. Для исследования придаточных пазух носа этот показатель может составлять 50х50 мм, более обширные зоны необходимы для изучения структуры всего черепа. В зависимости от модификации аппарата больной может находиться в сидячем или лежачем положении, голова его должна быть строго неподвижна во время сканирования.
Интерпретация результатов
Из-за значительного разнообразия анатомического строения придаточных пазух носа у разных людей и при различном возрасте обследуемых каких-либо стандартизированных результатов КЛКТ не существует. Как правило, описываются размеры и симметричность (при парных синусах) полостей, наличие или отсутствие грубых аномалий их развития. Особое внимание при КЛКТ придаточных пазух носа уделяется состоянию слизистых оболочек, выстилающих внутреннюю поверхность синусов - их утолщение может свидетельствовать о воспалении различного генеза, а неравномерность может быть признаком неопластического процесса. Для более тщательного исследования при риске развития новообразований могут применять контрастные методики.
При помощи КЛКТ придаточных пазух носа также могут выявляться различные осложнения воспалительных процессов в ЛОР-органах, способные затрагивать содержимое глазниц, головной мозг и его оболочки. В этом случае на снимках в различных проекциях определяются дефекты костных стенок синусов, участки остеомаляции или гнойного расплавления. Аналогичные изменения на КЛКТ придаточных пазух носа в области нижней стенки верхнечелюстного синуса во многих случаях говорят об одонтогенной природе патологического очага.
Стоимость КЛКТ придаточных пазух носа в Москве
Цена процедуры различается в зависимости от многих факторов - срочности выполнения (например, при травмах лица может потребоваться экстренное исследование), типа оборудования, использования контраста и ряда других. В государственных медицинских учреждениях данная методика в настоящий момент применяется достаточно редко, тогда как в ряде частных клиник КЛКТ в области исследования ЛОР-органов уверенно вытесняет традиционные техники компьютерной томографии. Это обстоятельство несколько повышает конечную стоимость сканирования, как и использование контраста. Цена КЛКТ в Москве может быть несколько выше стоимости компьютерной томографии и, тем более, других рентгенологических исследований, однако преимущества методики нивелируют указанную разницу.
КТ носоглотки

КТ носоглотки - неинвазивное усовершенствованное рентгенологическое исследование, которое позволяет дать оценку неопластическим болезням носа, околоносовых пазух, парафарингеального пространства. Компьютерная томография - преимущественный по сравнению с МРТ способ визуализации зон с тонкими костными структурами (околоносовые пазухи, орбита). Для диагностики патологических процессов в областях с преобладанием мягких тканей необходимо выполнение контрастирования или проведение магнитно-резонансного сканирования. Компьютерная томография носоглотки выдает последовательные объемные изображения, выстраиваемые с помощью специальной программы. Это значительно упрощает диагностику и позволяет быстро и точно установить причину недуга.
Что показывает КТ носоглотки и пазух носа?

Анатомическое строение носоглотки и гортани
Носоглотка может быть вовлечена в ряд патологических процессов, врожденных или приобретенных. Киста Торнвальдта, базальные энцефалоцеле, эпидермоиды, дермоиды, гамартромы, аденоиды развивают неприятную симптоматику, которая требует своевременной установки диагноза и соответствующего лечения. В носоглотку и пазухи носа могут распространяться патологии из соседних областей. Ранняя диагностика особенно важна в определении злокачественных опухолевых процессов, ведь радикальная терапия осуществима на начальных стадиях заболевания.
КТ носоглотки и пазух носа показывает:
Воспаление. Поражение аденоидов (разрастание лимфоидной ткани), распространение патогенной микрофлоры из пазух носа или из очага остеомиелита основания черепа, грибковые или гранулематозные инфекции (туберкулез, сифилис) можно предположить по результатам исследования. Данные патологии развиваются на фоне иммуносупрессивных состояний (ВИЧ, сахарный диабет, получение терапии, подавляющей иммунитет и пр.). Компьютерное сканирование является радиологическим исследованием выбора при оценке околоносовых пазух у пациента с синуситами.
Новообразования. Назофарингеальная карцинома - наиболее часто встречающаяся опухоль в носоглотке, составляет около 80% известных злокачественных поражений. Второе место занимают лимфомы. К редким злокачественным новообразованиям относят меланомы, рабдомиосаркомы, опухоли слюнных желез. Доброкачественное течение имеет ювенильная назофарингеальная ангиофиброма, гемангиома, инвертируемая (переходно-клеточная) папиллома. По данным КТ носоглотки рентгенолог может только предположить опухолевый процесс, окончательный диагноз устанавливают по результатам патоморфологического исследования.
Врожденные аномалии. Атрезия хоан нарушает процесс формирования носа и околоносовых пазух. На томограммах видно, если формирующие лицевой скелет структуры соединены неполно или разобщены, что привело к пороку развития. Аномалии: агенезия (отсутствие какого-либо элемента наружного носа или внутренних структур), гипергенезия (избыток тканей), дисгенезия (ассиметрия, искривление) и пр.) видны у ребенка с рождения. КТ носоглотки у детей выполняют в качестве предоперационной диагностики.
Компьютерная томография незаменима при получении травмы, инородном теле в носовой пазухе, носоглотке или гортани, так как быстрота получения результата помогает сэкономить время. Онкологи могут назначить компьютерное сканирование для отслеживания динамики после терапии, так как КТ может показывать даже мельчайшие изменения.
Как делают КТ носоглотки

Положение пациента при исследовании на компьютерном томографе
В Санкт-Петербурге сделать КТ носоглотки можно в диагностическом центре “Магнит”. Исследование проводят по предварительной записи или по экстренным показаниям в день обращения, что нужно согласовать заранее. Перед диагностикой выясняют сопутствующие заболевания, собирают аллергоанамнез (при планируемом контрастировании). Техник укладывает пациента на стол, придает необходимое положение, обеспечивает неподвижность. Наблюдение ведется из смежной комнаты с окном. Общение с персоналом осуществляется по громкой связи. Процедура запускается с помощью специальной кнопки, и стол томографа скользит вглубь тоннеля. Вокруг тела начинают вращаться датчики, полученная информация автоматически передается на компьютер. Если выполняют КТ носоглотки с контрастированием, в середине исследования внутривенно вводят радиофармпрепарат. Длительность диагностической процедуры - 15-20 минут. Каких-либо болевых ощущений нет. После окончания можно заняться привычными делами. Лучевая нагрузка при КТ на современных томографах минимальна и не приводит к развитию неблагоприятных последствий. Полученная в результате исследования информация может быть сохранена на любой электронный носитель или распечатана.
КТ или МРТ носоглотки, что лучше?

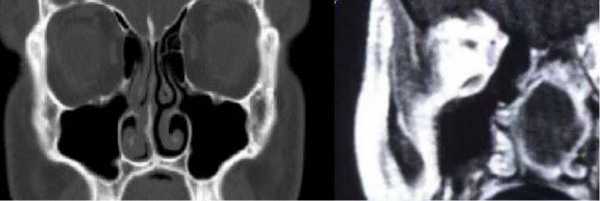
КТ (справа) и МРТ (слева) носовых пазух в коронарной проекции - фото
МРТ не подразумевает использование радиации для диагностики, поэтому более широко применяется у беременных женщин и детей. К каждому исследованию есть перечень показаний и противопоказаний, но оба метода визуализации в большинстве наблюдений являются взаимодополняющими. КТ показана для пациентов с кардиостимуляторами, имплантами, так как магнитное поле может привести к поломке приборов.
Для оценки опухолей придаточных пазух чаще проводят и КТ, и МРТ. Компьютерная томография обеспечивает качественную визуализацию деталей костной ткани, анатомические ориентиры у основания черепа. Магнитно-резонансное сканирование, по сравнению с КТ, лучше дифференцирует опухоль мягких тканей от воспалительного или геморрагического процесса, внутричерепные осложнения и метастатическую инвазию. При лимфоаденопатии шеи более показательна КТ. Чтобы избежать ненужных затратных исследований, лучше, если конкретный тип диагностики указывает лечащий врач. Если Вы решили пройти исследование самостоятельно, специалисты центра “Магнит” подскажут подходящий с учетом конкретной ситуации способ визуализации.
Подготовка к исследованию носоглотки
Какой-либо глобальной подготовки к компьютерной томографии носоглотки и придаточных пазух носа не требуется. Предыдущие результаты исследований, выписки из стационара лучше принести с собой. Металлические предметы, включая ювелирные изделия, очки, заколки, зубные протезы, оказывают влияние на качество снимков. Поэтому вышеперечисленное лучше оставить дома или удалить до обследования.
Если планируется КТ с контрастированием, необходимо предоставить результат анализа крови на креатинин, не более чем 10-дневной давности. В диагностическом центре “Магнит” (Санкт-Петербург) это тестирование можно пройти непосредственно перед КТ. Для этого нужно явиться в клинику за 15 минут до начала диагностической процедуры.
Введение контраста иногда сопровождаться развитием вегетативных симптомов, уменьшить их проявления можно с помощью неплотного перекуса за 40 минут до сканирования. Пациенты с СД, принимающие Метформин и его аналоги, должны воздержаться от сахароснижающей терапии за 48 часов до диагностики: отмену препарата необходимо обязательно согласовать с эндокринологом! Кормящим мамам следует сделать запас молока на 2 раза, а для предотвращения мастита сцеживаться.
Показания и противопоказания

Перед КТ носоглотки скажите врачу о беременности, аллергии на йодсодержащий контраст
Если в результате обычной рентгенографии диагноз вызывает сомнения или требует уточнения, обосновано сделать КТ носоглотки. Исследование проводят в качестве предоперационной подготовки для оценки важных анатомических ориентиров и их вариаций. Перечислим жалобы, при которых показано проведение КТ:
тризм (неспособность нормально открыть рот за счет мышечного спазма);
кровянистые выделения из носа (из одной ноздри);
необъяснимые носовые кровотечения;
постоянная ринорея с неустановленной причиной;
боль в носу, заложенность;
аденоидный тип лица;
пальпируемые (увеличенные) регионарные лимфоузлы;
КТ носоглотки и гортани чаще выполняют пациентам для контроля стадии опухолевого процесса уже диагностированного и леченного рака носоглотки. Симптомы, при которых обоснована диагностика:
затруднение при приеме пищи или глотании;
чувство инородного тела в горле;
дискомфорт (онемение) в нижней части лица;
хрипота/изменение качества голоса;
боль в шее, ушах или челюстях.
Противопоказания к нативному КТ - детский возраст и беременность, к контрастированному компьютерному сканированию добавляются реакции гиперчувствительности на радиофармпрепарат и заболевания почек с повышением уровня креатинина. Для пациентов с выраженной степенью ожирения (больше 150 кг) закрытая КТ технически невыполнима, так как объем тела превышает размер тоннеля томографа.
КТ носоглотки ребенку

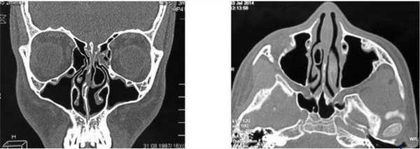
КТ околоносовых пазух ребенка с врожденной изолированной расщелиной неба во фронтальной и аксиальной проекциях - фото
Рентгенологические исследования в детском возрасте выполняют исключительно по жизненным показаниям, если результаты иных способов диагностики (эндоскопия, МРТ) требуют уточнения. Решение принимается коллегиально врачами нескольких специальностей. КТ носоглотки детям до 12 лет чаще проводят в отделениях лучевой диагностики при педиатрических клиниках. Не стоит отказываться от диагностики из-за ложных соображений о вреде для здоровья. В некоторых ситуациях (травма, подозрение на опухоль) последствия бездействия хуже выполненного КТ.
Фото томографии носоглотки
По результатам КТ любые вопросы можно задать рентгенологу, но окончательный диагноз установит лечащий врач с учетом совокупности данных выполненных исследований. Для специалиста фото томографии носоглотки привычно, опытный глаз может отличить норму от грубой патологии. Представим и Вашему вниманию снимки с объяснениями, чтобы понять суть одного из современных способов диагностики - компьютерной томографии:

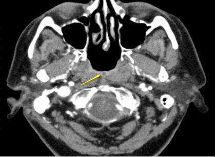
Фото - Рак носоглотки, с распространением на окологлоточное пространство (стрелкой указана зона инвазии)
Читайте также:
