Лучевая диагностика церебрального абсцесса - признаки на КТ, МРТ
Добавил пользователь Валентин П. Обновлено: 01.11.2025
Категории МКБ: Внутричерепное нетравматическое кровоизлияние у плода и новорожденного (P52), Демиелинизирующие болезни центральной нервной системы (G35-G37), Другие нарушения церебрального статуса у новорожденного (P91), Поражения плода и новорожденного, обусловленные воздействием вредных веществ, проникающих через плаценту или грудное молоко (P04), Поражения плода и новорожденного, обусловленные другими осложнениями родов и родоразрешения (P03), Поражения плода и новорожденного, обусловленные неуточненными состояниями, осложняющими беременность (P01.9), Поражения плода и новорожденного, обусловленные осложнениями беременности у матери (P01), Поражения плода и новорожденного, обусловленные осложнениями со стороны плаценты, пуповины и плодных оболочек (P02), Расстройства, связанные с продолжительностью беременности и ростом плода (P05-P08), Родовая травма (P10-P15), Судороги новорожденного (P90)
Общая информация
Краткое описание
УТВЕРЖДЕНО
Постановление
Министерства здравоохранения
Республики Беларусь
23.08.2019 № 87
КЛИНИЧЕСКИЙ ПРОТОКОЛ «Лучевая диагностика заболеваний головного мозга у детей»
1. Настоящий клинический протокол устанавливает общие требования к лучевой диагностике заболеваний головного мозга (заболевания и пороки развития центральной нервной системы) у детей в стационарных условиях.
2. Требования настоящего клинического протокола являются обязательными для юридических лиц и индивидуальных предпринимателей, осуществляющих медицинскую деятельность в порядке, установленном законодательством.
3. Для целей настоящего клинического протокола используются основные термины и их определения в значениях, установленных Законом Республики Беларусь от 18 июня 1993 г. № 2435-XII «О здравоохранении», а также следующие термины и их определения: нейросонография (далее - НСГ) - скринирующий метод визуализации структур головного мозга на основе использования высокочастотных звуковых волн до закрытия родничка у детей; магнитно-резонансная томография (далее - МРТ) - метод визуализации, применяемый в радиологии, для получения детального изображения внутренних структур на основе использования постоянного магнитного поля; компьютерная томография (далее - КТ) - метод визуализации на основе использования рентгеновского излучения и его компьютерной обработки.
4. Направление пациентов с заболеваниями головного мозга для оказания им медицинской помощи в стационарных условиях осуществляется в соответствии с пунктами 6-13 Инструкции о порядке направления пациентов для получения медицинской помощи в организации здравоохранения, утвержденной постановлением Министерства здравоохранения Республики Беларусь от 2 ноября 2005 г. № 44.
5. Лучевая диагностика проводится для уточнения диагноза и динамического наблюдения ранее полученных патологических результатов. Кратность обследования определяется состоянием пациента и значимостью изменений, выявленных при помощи методов нейровизуализации, для коррекции лечения и дополнительного обследования.
Диагностика (стационар)
ИСПОЛЬЗОВАНИЕ НСГ В КАЧЕСТВЕ МЕТОДА НЕЙРОВИЗУАЛИЗАЦИИ ДЛЯ ДИАГНОСТИКИ ЗАБОЛЕВАНИЙ ГОЛОВНОГО МОЗГА У ДЕТЕЙ В СТАЦИОНАРНЫХ УСЛОВИЯХ
6. НСГ применяется в качестве метода лучевой диагностики заболеваний головного мозга у детей в стационарных условиях организаций здравоохранения районного, межрайонного, областного и республиканского уровня.
7. НСГ используется при лучевой диагностике нозологических форм заболеваний со следующими шифрами по Международной статистической классификации болезней и проблем, связанных со здоровьем, десятого пересмотра (далее - МКБ-10):
P01.0-P01.9 Поражения плода и новорожденного, обусловленные осложнениями беременности у матери;
P02.0-P02.9 Поражения плода и новорожденного, обусловленные осложнениями со стороны плаценты, пуповины и плодных оболочек;
P03.0-P03.9 Поражения плода и новорожденного, обусловленные другими осложнениями родов и родоразрешения;
P04.0-P04.9 Поражения плода и новорожденного, обусловленные воздействием вредных веществ, проникающих через плаценту или грудное молоко;
P05-P08 Расстройства, связанные с продолжительностью беременности и ростом плода;
P10-P15 Родовая травма;
P52 Внутричерепное нетравматическое кровоизлияние у плода и новорожденного;
Р90 Судороги новорожденного;
P91 Другие нарушения церебрального статуса новорожденного.
8. НСГ осуществляют в первые 5-6 дней жизни, в 1 месяц жизни, далее - по медицинским показаниям.
9. Показания к НСГ у детей первого года жизни: недоношенность;
наличие факторов риска перинатального поражения головного мозга; неврологическая симптоматика поражения головного мозга; внутричерепная родовая травма;
воспалительные заболевания головного мозга (менингоэнцефалит, менингит); наличие 5 и более стигм дизэмбриогенеза; ДЦП и высокий риск его формирования.
10. Показания к повторной НСГ у детей первого года жизни: отсутствие положительной динамики или ухудшение состояния ребенка с наличием факторов риска перинатального поражения головного мозга; неврологической симптоматикой поражения головного мозга; внутричерепной родовой травмой; воспалительными заболеваниями головного мозга; наличием стигм дизэмбриогенеза на фоне проводимого лечения; у недоношенных детей с экстремально низкой и очень низкой массой тела при рождении - контроль за развитием внутрижелудочковых кровоизлияний, перивентрикулярных кровоизлияний, гидроцефалии.
11. Форма протокола НСГ приведена в приложении 1.
ИСПОЛЬЗОВАНИЕ МРТ В КАЧЕСТВЕ МЕТОДА НЕЙРОВИЗУАЛИЗАЦИИ ДЛЯ ДИАГНОСТИКИ ЗАБОЛЕВАНИЙ ГОЛОВНОГО МОЗГА У ДЕТЕЙ В СТАЦИОНАРНЫХ УСЛОВИЯХ
12. МРТ применяется в качестве метода лучевой диагностики заболеваний головного мозга у детей в стационарных условиях организаций здравоохранения межрайонного, областного и республиканского уровня.
13. МРТ используется при лучевой диагностике нозологических форм заболеваний со следующими шифрами по МКБ-10:
G35-G37 Демиелинизирующие болезни центральной нервной системы;
G40 Эпилепсия;
G80.0-G80.9 Детский церебральный паралич;
G81.0-G81.9 Гемиплегия;
G82.0-G82.5 Параплегия и тетраплегия;
G91.0-G91.9 Гидроцефалия;
C71.0-C71.9 Злокачественное новообразование головного мозга;
D33.0-D33.2 Доброкачественное новообразование головного мозга;
P10.0-P10.9 Разрыв внутричерепных тканей и кровоизлияние вследствие родовой травмы;
P52.0-P52.9 Внутрижелудочковое (нетравматическое) кровоизлияние;
Q00-Q07 Врожденные аномалии (пороки развития) нервной системы; Q 28.2 Артериовенозный порок развития церебральных сосудов; Q85.0-Q85.9 Факоматозы, не классифицированные в других рубриках.
14. МРТ осуществляется по медицинским показаниям в плановом порядке.
15. Показания для проведения МРТ:
детям первого года жизни однократно для детализации выявленных при НСГ
патологических структурных изменений; при внутричерепных кровоизлияниях;
уточнение характеристик артериовенозного порока развития церебральных сосудов,
выявленного по результатам компьютерной томографии; уточнение характеристик опухоли, выявленной по результатам КТ.
16. Показания для проведения повторной МРТ детям:
несоответствие тяжести клинического состояния ребенка патологическим изменениям, выявленным при НСГ, первичной КТ или МРТ; при прогрессирующем ухудшении неврологического состояния ребенка; для исключения объемных образований; для исключения демиелинизирующего процесса.
17. Противопоказания для проведения МРТ детям:
электронные импланты среднего уха; ферромагнитные импланты и конструкции; наличие кардиостимулятора.
18. Форма протокола МРТ головного мозга приведена в приложении 2.
ИСПОЛЬЗОВАНИЕ КТ В КАЧЕСТВЕ МЕТОДА НЕЙРОВИЗУАЛИЗАЦИИ ДЛЯ ДИАГНОСТИКИ ЗАБОЛЕВАНИЙ ГОЛОВНОГО МОЗГА У ДЕТЕЙ В СТАЦИОНАРНЫХ УСЛОВИЯХ
19. КТ применяется в качестве метода лучевой диагностики заболеваний головного мозга у детей в стационарных условиях организаций здравоохранения межрайонного, областного и республиканского уровня.
20. КТ используется при лучевой диагностике нозологических форм заболеваний со следующими шифрами по МКБ-10:
G80.0-G80.9 Детский церебральный паралич;
G81.0-G81.9 Гемиплегия;
G82.0-G82.5 Параплегия и тетраплегия;
G91.0-G91.9 Гидроцефалия;
P10 Разрыв внутричерепных тканей и кровоизлияние вследствие родовой травмы;
P52.0-P52.9 Внутрижелудочковое (нетравматическое) кровоизлияние; Q00-Q07 Врожденные аномалии (пороки развития) нервной системы; S06.0-S06.9 Внутричерепная травма.
21. КТ осуществляется по медицинским показаниям в плановом порядке и экстренном порядке.
22. Показания для проведения КТ детям: диагностика нарушений целостности костей черепа при черепно-мозговых травмах; визуализация кальцификатов;
визуализация внутричерепных кровоизлияний в остром периоде; оценка состояния ликворных пространств; для исключения порока развития головного мозга;
очаговая неврологическая симптоматика поражения головного мозга; прогрессирование внутричерепной гипертензии; уточнение причины смещения срединных структур, обнаруженного с помощью НСГ
(для исключения наличия оболочечного и внутримозгового кровоизлияния, опухоли); несоответствие тяжести клинического состояния ребенка патологическим
изменениям при НСГ.
23. Показания для проведения КТ (МРТ) с контрастированием (применяются рентгеноконтрастные средства):
объемные образования; сосудистые мальформации; демиелинизирующий процесс; воспалительные заболевания головного мозга и оболочек (менингит, энцефалит); динамическое наблюдение за пациентами с объемными образованиями; сосудистыми мальформациями; демиелинизирующим процессом; воспалительными заболеваниями головного мозга и оболочек (менингитом, энцефалитом); оценка эффективности лечебных мероприятий; оценка перфузии головного мозга.
24. Противопоказания для проведения КТ (МРТ) с контрастированием у детей: аллергическая реакция на контрастный препарат в анамнезе; острая почечная недостаточность; хроническая болезнь почек (стадия 2-4);
хроническая печеночная недостаточность (стадия декомпенсации, терминальная стадия); тиреотоксикоз.
25. Экстренные показания для проведения КТ у детей (в течение 12 часов после манифестации клинической картины):
черепно-мозговая травма; мозговые кровоизлияния; острое нарушение мозгового кровообращения.
26. Медикаментозная седация (медикаментозный сон) при проведении КТ (МРТ) у детей применяется в случаях, когда необходимо обеспечить неподвижность пациента во время всего исследования, а пациент самостоятельно не способен находиться в неподвижном состоянии.
27. Для применения пролонгированной инфузии лекарственных средств при МРТ исследованиях используют шприцевые дозаторы, предназначенные для эксплуатации в условиях мощного магнитного поля.
28. Подготовка пациента к КТ (МРТ) исследованию:
28.1. перед исследованием обязательно соблюдение временных ориентиров по приему пищи: твердая пища - как минимум за 6 часов (лучше - за 8 часов); вода - за 2-3 часа, грудное молоко - за 4 часа до исследования;
28.2. перед исследованием осуществляется объективный осмотр пациента анестезиологом со сбором анамнеза.
29. Для введения пациента в состояние медикаментозного сна применяются следующие группы лекарственных средств:
производные бензодиазепина;
средства для неингаляционной общей анестезии;
наркозные неингаляционные средства.
30. Для оценки уровня седации (медикаментозного сна) используются мониторинг витальных функций (частота сердечных сокращений, частота дыхания, кислородная сатурация) и специальные шкалы Ramsay и Cook.
31. При КТ (МРТ) - исследованиях проводится динамическое наблюдение за оксигенацией, вентиляцией и кровообращением с использованием пульсоксиметрии и ЭКГ-мониторинга.
32. Форма протокола рентгеновской КТ головного мозга приведена в приложении 3.
Абсцесс головного мозга
Абсцесс головного мозга — очаговое скопление гноя в веществе головного мозга и является жизнеугрожающим состоянием, требующим незамедлительного лечения и быстрой идентификации при помощи инструментальных методов исследования.
Эпидемиология.
- Заболеваемость: примерно 1:100 000 в год
- М:Ж=2,3:1
- К группе высокого риска относятся пациенты с иммунодефицитом, СПИДом, а также больные, которым проводилась трансплантация костного мозга или органов.
Классификация
По этиологии:
- риногенные абсцессы мозга (вследствие гнойных ринитов, синуситов)
- отогенные абсцессы мозга (вследствие гнойных отитов, лабиринтитов, евстахиитов, мастоидитов)
- абсцессы в результате черепно-мозговой травмы
- метастатические абсцессы в результате гнойных поражений других органов, преимущественно лёгких.
По расположению очага абсцесса:
- абсцесс височной доли
- абсцесс мозжечка
- абсцесс лобной доли
- абсцесс теменной
- абсцесс затылочной доли
Клинические проявления.
Клинические проявления неспецифичны в тех случаях, когда нет убедительных данных за воспалительный процесс или сепсис.
Повышение ВЧД, судороги и фокальные неврологические нарушения - наиболее частые симптомы. В худших случаях многие абсцессы распространяются на вентрикулярную систему, что приводит к внезапному быстрому ухудшению состояния больного, и соответственно предвещает неблагоприятный исход.

Патология.
Абсцесс головного мозга является следствием роста патогенных микроорганизмов в паренхиме головного мозга, изначально приводящих к церебриту, а в дальнейшем - к формированию абсцесса.
Наиболее частым этиологическим фактором является прямое распространение инфекции (синусит, воспалительный процесс в среднем ухе), реже - гематогенная диссеминация. Еще реже абсцесс головного мозга формируется после травмы или хирургических манипуляций.
Выделяют 4 стадии абсцесса, как патоморфологически, так и радиологическими:
• ранний церебрит
• поздний церебрит
• ранняя инкапсуляция
• поздняя инкапсуляция
Факторы риска:
Факторы риска при гематогенной диссеминации включают в себя:
• левосторонний сброс крови при врожденных пороках сердца или легочная артериовенозной мальформация или фистуле
• бактериальный эндокардит (при внутривенном введении лекарств)
• заболевания легких (абсцесс легкого, бронхоэктазы, эмпиема)
• синоназальные инфекции
• зубной абсцесс
• сепсис
Микробиология:
• Streptococcus sp: 35-50%, особенно S. pneumoniae
• стерильный - 25 %
• смешанный: варьирует в зависимости от источника в пределах 10-90%
• Staphylococcus aureus и S. epidermidis - при нейрохирургических операциях
• Гр (-) флора - чаще у младенцев
• листерия - у беременных и пожилых
• у новорожденных - стрептококк группы B и кишечная палочка
Наиболее частые возбудителя у пациентов с иммунодефицитом:
• Toxoplasma gondii
• Nocardia asteroides
• Candida albicans
• Listeria monocytogenes
• Mycobacterium sp
• Aspergillus fumigatus
Радиографические признаки:
Картина абсцесса и на КТ, и на МРТ имеет схожие признаки, хотя МРТ способна лучше отличить абсцессы от очагов поражения с кольцевым усилением.
По стадиям:
1. Ранний церебрит:
• может быть невидимым на КТ;
• плохо отграниченная кортикальная или субкортикальная гиподенсивная область с масс-эффектом и отсутствием контрастного усиления (или со слабым усилением)
2. Поздний церебрит:
• очаг поражения с кольцевидным усилением и гиподенсивным центром, лучше определяемый по сравнению с 1-ой стадией
3. Ранняя инкапсуляция:
• пораженная область с четким кольцевидным контрастным усилением, которая имеет гиподенсивное внешнее кольцо и гиперденсивное внутреннее (симптом «двойного кольца») - в большинстве случаев
4. Поздняя инкапсуляция:
• очаг с кольцевидным контрастным усилением с утонченной капсулой и уменьшенной гиподенсивной центральной полостью;
КТ
У пациентов с подозрением на абсцесс должны получены пре- и постконтрастные изображения при невозможности выполнения МРТ.
Типичные признаки:
• изо- или гиперденсивное кольцо ткани равномерной толщины
• центральное низкое затухание (жидкость/гной)
• окружающая область низкой плотности (вазогенный отек)
• вентрикулит
• обструктивная гидроцефалия возможна при внутрижелудочковом прорыве
МРТ
МРТ - более чувствительный и в совокупности с МРС и DWI более специфичный метод диагностики церебральных абсцессов.
1. Т1:
• низкая интенсивность центральной области (гиперинтенсивна по отношению к ЦСЖ)
• низкая интенсивность периферических областей (вазогенный отек)
• кольцевидное усиление
• может быть вентрикулит
2. Т2/FLAIR:
• высокая интенсивность центральной области (гипоинтенсивна по отношению к ЦСЖ, не ослабляется на FLAIR)
• высокая интенсивность периферических областей (вазогенный отек)
• капсула абсцесса может выглядеть как тонкий обод низкой интенсивности
3. DWI/ADC:
• высокий DWI-сигнал обычно в центре
• представляет истинную ограниченную диффузию (низкий сигнал на ADC, обычно -650+/-160 * 10^-6 mm^2/s)
• периферическая или неоднородная ограниченная диффузия; данная находка не является такой постоянной, поскольку около половины очагов с кольцевидным усилением могут не являться абсцессами
• значения ADC возрастают при успешном лечении
4. SWI:
• низкая интенсивность обода: замкнутый в 90%, гладкий в 75%; в большинстве случаев совпадает с ободом при контрастном усилении
• симптом «двойного кольца»: гиперинтенсивная линия, расположенная внутри низкоинтенсивного обода
Абсцесс головного мозга ( Церебральный абсцесс )
Абсцесс головного мозга — это ограниченное скопление гноя в полости черепа. Различают три вида абсцессов: внутримозговые, субдуральные и эпидуральные. Симптомы абсцесса головного мозга зависят от его месторасположения и размеров. Они не являются специфичными и могут составлять клинику любого объемного образования. Диагностируется абсцесс головного мозга по данным КТ или МРТ головного мозга. При абсцессах небольшого размера подлежат консервативному лечению. Абсцессы, расположенные вблизи желудочков головного мозга, а также вызывающие резкий подъем внутричерепного давления, требуют хирургического вмешательства, при невозможности его проведения - стереотаксической пункции абсцесса.
МКБ-10
Общие сведения
Абсцесс головного мозга — это ограниченное скопление гноя в полости черепа. Различают три вида абсцессов: внутримозговые (скопление гноя в веществе мозга); субдуральные (расположенные под твердой мозговой оболочкой); эпидуральные (локализованные над твердой мозговой оболочкой). Основными путями проникновения инфекции в полость черепа являются: гематогенный; открытая проникающая черепно-мозговая травма; гнойно-воспалительные процессы в придаточных пазухах носа, среднем и внутреннем ухе; инфицирование раны после нейрохирургических вмешательств.
Причины
Среди выделенных возбудителей гематогенных абсцессов головного мозга преобладают стрептококки, часто в ассоциации с бактериотидами (Bacteroides spp.). Для гематогенных и отогенных абсцессов характерны Enterobacteriaceae (в том числе Proteus vulgaris). При открытой проникающей черепно-мозговой травме в патогенезе абсцесса мозга преобладают стафилококки (St. aureus), реже Enterobacteriaceae.
При различных иммунодефицитных состояниях (иммунодепрессивная терапия после трансплантации органов и тканей, ВИЧ-инфекция) из посева содержимого абсцесса головного мозга выделяют Aspergillus fumigatus. Однако идентифицировать возбудителя инфекции в содержимом абсцесса мозга довольно часто не представляется возможным, так как в 25-30 % случаев посевы содержимого абсцесса оказываются стерильными. Болезнь провоцируется следующими патологическими состояниями:
- Воспалительные процессы в легких. Чаще всего причиной образования гематогенных абсцессов головного мозга являются бронхоэктатическая болезнь, эмпиема плевры, хроническая пневмония, абсцесс легкого). Бактериальным эмболом становится фрагмент инфицированного тромба, который попадет в большой круг кровообращения и потоком крови разносится в сосуды мозга, где фиксируется в мелких сосудах (прекапилляре, капилляре или артериоле). Незначительную роль в патогенезе абсцессов могут играть хронический (или острый) бактериальный эндокардит, инфекции ЖКТ и сепсис.
- Черепно-мозговая травма. В случае открытой проникающей ЧМТ абсцесс мозга развивается вследствие прямого попадания инфекции в полость черепа. В мирное время доля таких абсцессов составляет 15-20%. В условиях боевых действий она возрастает в разы (минно-взрывные ранения, огнестрельные ранения).
- ЛОР-патологии. При гнойно-воспалительных процессах в придаточных пазухах носа (синуситы), среднем и внутреннем ухе возможны два пути распространения инфекции: ретроградный — по синусам твердой мозговой оболочки и мозговым венам; и непосредственное проникновение инфекции через твердую оболочку мозга. Во втором случае отграниченный очаг воспаления первоначально формируется в мозговых оболочках, а затем — в прилежащем отделе мозга.
- Послеоперационные осложнения. Абсцессы мозга, формирующиеся на фоне интракраниальных инфекционных осложнений после нейрохирургических вмешательств (вентрикулиты, менингиты), возникают, как правило, у тяжелых, ослабленных больных.
- Другие заболевания. Незначительную роль в патогенезе гематогенных абсцессов могут играть хронический (или острый) бактериальный эндокардит, инфекции ЖКТ и сепсис.
Патогенез
Формирование абсцесса мозга проходит в несколько этапов.
- 1-3 сутки. Развивается ограниченное воспаление мозговой ткани — энцефалит (ранний церебрит). На данном этапе воспалительный процесс обратим. Возможно как спонтанное его разрешение, так и под влиянием антибактериальной терапии.
- 4-9 сутки. В результате недостаточных защитных механизмов или в случае неверного лечения воспалительный процесс прогрессирует, в его центре полость, заполненная гноем, способная к увеличению.
- 10-13 сутки. На этой стадии вокруг гнойного очага формируется защитная капсула из соединительной ткани, которая препятствует распространению гнойного процесса.
- Третья неделя. Капсула окончательно уплотняется, вокруг нее формируется зона глиоза. В дальнейшем развитие ситуации зависит от вирулентности флоры, реактивности организма и адекватности лечебно-диагностических мероприятий. Возможно обратное развитие абсцесса мозга, но чаще увеличение его внутреннего объема или образование новых очагов воспаления по периферии капсулы.
Симптомы абсцесса головного мозга
На сегодняшний день патогномоничная симптоматика не выявлена. Клиническая картина при абсцессах головного мозга схожа с клинической картиной объемного образования, когда клинические симптомы могут варьироваться от головной боли до тяжелейших общемозговых симптомов, сопряженных с угнетением сознания и выраженными очаговыми симптомами поражения головного мозга.
В некоторых случаях первым проявлением болезни становится эпилептиформный припадок. Могут наблюдаться менингеальные симптомы (при субдуральных процессах, эмпиеме). Эпидуральные абсцессы головного мозга зачастую ассоциируются с остеомиелитом костей черепа. Наблюдается прогредиентное нарастание симптоматики.
Диагностика
Для диагностирования абсцесса головного мозга огромное значение имеет тщательный сбор анамнеза (наличие очагов гнойной инфекции, острое инфекционное начало). Наличие воспалительного процесса, сопряженного с появлением и усугублением неврологических симптомов — основание для дополнительного нейровизуализационного обследования.
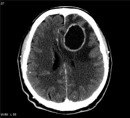
Точность диагностирования с помощью КТ головного мозга зависит от стадии формирования абсцесса. На ранних стадиях заболевания диагностика затруднена. На этапе раннего энцефалита (1-3 сутки) КТ определяет зону сниженной плотности неправильной формы. Введенное контрастное вещество накапливается неравномерно, преимущественно периферических отделах очага, реже в центре.
На более поздних этапах энцефалита контуры очага приобретают ровные округлые очертания. Контрастное вещество распределяется равномерно, по всей периферии очага; плотность центральной зоны очага при этом не меняется. Однако на повторной КТ (через 30-40 минут) определяется диффузия контраста в центр капсулы, а также наличие его и в периферической зоне, что не характерно для злокачественных новообразований.
Инкапсулированный абсцесс мозга на КТ имеет вид округлого объемного образования с четкими ровными контурами повышенной плотности (фиброзная капсула). В центре капсулы зона пониженной плотности (гной), по периферии видна зона отека. Введенное контрастное вещество накапливается в виде кольца (по контуру фиброзной капсулы) с небольшой прилежащей зоной глиоза.
На повторной КТ (через 30-40 минут) контрастное вещество не определяется. При исследовании результатов компьютерной томографии следует учесть, что противовоспалительные препараты (глюкокортикостероиды, салицилаты) в значительной степени влияют на скопление контраста в энцефалитическом очаге.
МРТ головного мозга — более точный метод диагностирования. При проведении МРТ на первых стадиях формирования абсцесса мозга (1-9 сутки) энцефалитический очаг выглядит: на Т1-взвешенных изображениях — гипоинтенсивным, на Т2-взвешенных изображениях — гиперинтенсивным. МРТ на поздней (капсулированной) стадии абсцесса головного мозга: на Т1-взвешенных изображениях абсцесс выглядит, как зона пониженного сигнала в центре и на периферии (в зоне отека), а по контуру капсулы сигнал гиперинтенсивный. На Т2-взвешенных изображениях центр абсцесса изо- или гипоинтенсивный, в периферической зоне (зоне отека) гиперинтенсивный. Контур капсулы четко очерчен.
Дифференциальная диагностика абсцесса головного мозга должна проводиться с первичными глиальными и метастатическими опухолями полушарий мозга. При сомнениях в диагнозе следует проводить МЗ-спектроскопия. В таком случае дифференциация будет основываться на различном содержании аминокислот и лактата в опухолях и абсцессах головного мозга.
Иные способы диагностики и дифференциальной диагностики абсцесса головного мозга малоинформативны. Увеличение СОЭ, повышенное содержание С-реактивного белка в крови, лейкоцитоз, лихорадка — симптомокомплекс практически любых воспалительных процессов, включая внутричерепные. Бакпосевы крови при абсцессах головного мозга в 80-90% стерильны.
Лечение абсцесса головного мозга
На энцефалитической стадии абсцесса (анамнез - до 2 недель), а также в случае небольшого абсцесса головного мозга (до 3 см в диаметре) рекомендовано консервативное лечение, основой которого должна стать эмпирическая антибактериальная терапия. В некоторых случаях возможно проведение стереотаксической биопсии в целях окончательной верификации диагноза и выделения возбудителя.
Абсцессы, вызывающие дислокацию мозга и повышение внутричерепного давления, а также локализованные в зоне желудочковой системы (попадание гноя в желудочковую систему зачастую приводит к летальным исходам) — абсолютные показания к хирургическому вмешательству. Травматические абсцессы головного мозга, расположенные в зоне инородного тела также подлежат хирургическому лечению, так как данный воспалительный процесс не поддается консервативному лечению. Несмотря на неблагоприятный прогноз, грибковые абсцессы также являются абсолютным показанием к хирургическому вмешательству.
Противопоказанием к хирургическому лечению являются абсцессы мозга, расположенные в жизненно важных и глубинных структурах (зрительный бугор, ствол мозга, подкорковые ядра). В таких случаях возможно проведение стереотаксического метода лечения: пункция абсцесса мозга и его опорожнение с последующим промыванием полости и введением антибактериальных препаратов. Возможно как однократное, так и многократное (через установленный на несколько суток катетер) промывание полости.
Тяжелые соматические заболевания не являются абсолютным противопоказанием к проведению хирургического лечения, так как стереотаксическая операция может проводиться и под местной анестезией. Абсолютным противопоказанием к проведению операции может быть только крайне тяжелое состояние пациента (терминальная кома), так как в таких случаях любое оперативное вмешательство противопоказано.
Медикаментозное лечение
Целью эмпирической (в отсутствии посева или при невозможности выделения возбудителя) антибактериальной терапии является покрытие максимально возможного спектра возбудителей. Рекомендуемые программы лечения:
- При абсцессе головного мозга без ЧМТ или нейрохирургического вмешательства в анамнезе показан следующий алгоритм лечения: ванкомицин; цефалоспорины III поколения (цефотаксим, цефтриаксон, цефиксим); метронидазол. В случае посттравматического абсцесса головного мозга метронидазол заменяют на рифампицин.
- Возбудителем абсцесса головного мозга у пациентов с иммунодефицитными состояниями (кроме ВИЧ) чаще всего является Cryptococcus neoformans, реже Сandida spp или Aspergillius spp. Поэтому в данных случаях назначают амфоретицин В или липосомальный амфоретицин В. После исчезновения абсцесса (по данным нейровиуализационных исследований) применяют флуконазол в течение 10 недель, впоследствии дозу уменьшают вдвое и оставляют в качестве поддерживающей.
- У пациентов с ВИЧ возбудителем абсцесса головного мозга чаще всего является Toxoplasma gondii, поэтому эмпирическое лечение больных должно включать в себя сульфадиазин с пириметамином.
После выделения возбудителя из посева лечение необходимо изменить, учитывая антибиотикограмму. В случае стерильного посева следует продолжить эмпирическую антибактериальную терапию. Продолжительность интенсивной антибактериальной терапии — не менее 6 недель, после этого рекомендуется сменить антибиотики на пероральные и продолжить лечение еще 6 недель.
Назначение глюкокортикоидов оправдано только в случае адекватной антибактериальной терапии, так как только при положительном прогнозе глюкокортикоиды могут вызвать уменьшение выраженности и обратное развитие капсулы абсцесса головного мозга. В иных случаях их применение может вызвать распространение воспалительного процесса за пределы первичного очага.
Хирургическое лечение
Основными методами хирургического лечения внутримозговых абсцессов являются простое или приточно-отточное дренирование. Их суть заключается в установке в полость абсцесса катетера, через который осуществляется эвакуация гноя с последующим введением антибактериальных препаратов. Возможна установка второго катетера меньшего диаметра (на несколько суток), через который проводится инфузия раствора для промывания (чаще всего, 0,9 % раствора хлорида натрия). Дренирование абсцесса необходимо сопровождать антибактериальной терапией (сначала эмпирической, далее — с учетом чувствительности к антибиотикам выделенного патогена).
Стереотаксическая аспирация содержимого абсцесса без установки дренажа — альтернативный метод хирургического лечения абсцесса головного мозга. Главные его преимущества — снисходительные требования к квалификации медперсонала (для контроля над функционированием приточно-отточной системы необходимы пристальное внимание и специальные знания) и меньший риск вторичного инфицирования. Однако в 70% использования данного метода возникает необходимость повторных аспираций.
В случае множественных абсцессов головного мозга необходимо в первую очередь дренировать очаг, наиболее опасный в отношении осложнений (прорыв гноя в желудочковую систему, дислокация мозга), а также наиболее значимый в клинической картине. В случае эмпиемы или субдурального абсцесса головного мозга применяют дренирование, не используя приточно-отточную систему.
Прогноз при абсцессе головного мозга
В прогнозировании абсцессов головного мозга большое значение имеет возможность выделить возбудителя из посева и определить его чувствительность к антибиотикам, только в этом случае возможно проведение адекватной патогенетической терапии. Кроме этого, исход заболевания зависит от количества абсцессов, реактивности организма, адекватности и своевременности лечебных мероприятий. Процент летальных исходов при абсцессах головного мозга — 10%, инвалидизации — 50%. Почти у трети выживших пациентов последствием заболевания становится эпилептический синдром.
При субдуральных эмпиемах прогнозы менее благоприятны из-за отсутствия границ гнойного очага, так это свидетельствует высокой вирулентности возбудителя, либо о минимальной сопротивляемости пациента. Летальность в таких случаях — до 50%. Грибковые эмпиемы в сочетании с иммунодефицитными состояниями в большинстве случаев (до 95%) приводят к летальному исходу.
Эпидуральные эмпиемы и абсцессы головного мозга обычно имеют благоприятный прогноз. Проникновение инфекции через неповрежденную твердую мозговую оболочку практически исключено. Санация остеомиелитического очага позволяет устранить эпидуральную эмпиему. Своевременное и адекватное лечение первичных гнойных процессов, а также полноценная первичная обработка ран при ЧМТ позволяют в значительной степени снизить возможность развития абсцесса головного мозга.
1. Абсцессы головного мозга: диагностика и лечение/ Ырысов К.Б., Арстанбеков Н.А., Мамашарипов К.М.// Наука и новые технологии - 2011 - № 6
2. Современная терапия абсцесса головного мозга/ Амчеславский В.Г. , Шиманский В.Н. , Шатворян Б.Р. // РМЖ (Русский медицинский журнал) - 2000 - №13
3. Диагностика абсцессов головного мозга/Султанов Б.М., Ырысов К.Б., Мамашарипов К.М.// Вестник КГМА им. И.К. Ахунбаева. - 2012 - № 1
Абсцессы на МРТ
Под абсцессом понимают воспалительный процесс, ограниченный капсулой и развивающийся в результате попадания инфекции в органы или ткани. Абсцессы могут локализоваться в любой области организма, но чаще всего они располагаются в головном мозге и печени. Рассмотрим данные виды абсцессов.
Как правило, абсцесс головного мозга является осложнением основного заболевания. Так, инфекция может попасть в головной мозг при открытой черепно-мозговой травме, гнойном синусите или отите, фурункулах носогубного треугольника, менингите, сепсисе (заражении крови) или инфицировании раны после операции.
Выделяют три вида абсцессов в зависимости от их локализации:
- внутримозговые (в случае скопления гноя в веществе мозга);
- субдуральные (при скоплении гноя под твердой мозговой оболочкой);
- эпидуральные (в случае локализации гноя над твердой мозговой оболочкой).
Клиническая картина абсцесса головного мозга разнообразна: высокая температура, интенсивные головные боли, связанные с повышением внутричерепного давления. В тяжелых случаях может развиться спутанность сознания, которая выражается в неразборчивости или бессмысленности речи, а также жизнеугрожающие судороги, парезы или параличи (слабость и затруднение движения) рук и ног.
Абсцесс головного мозга и МРТ

Подтвердит или опровергнет диагноз абсцесса головного мозга МРТ-диагностика. Магнитно-резонансная томография показывает изменения в веществе головного мозга на ранней стадии развития воспалительного процесса (церебрите). Данная стадия длится всего 3-5 дней, и за этот промежуток времени капсула абсцесса не успевает сформироваться.
На поздней стадии церебрита (от 5 до 14 дней) на фоне перифокального* отека головного мозга формируется участок некроза (полость, заполненная гноем). В ходе МРТ хорошо виден центральный некроз и сопровождающая его зона отека.
После 14-го дня формируется капсула абсцесса с обширной зоной отека вокруг него. МР-томография хорошо дифференцирует сам абсцесс, его капсулу и сопровождающий перифокальный отек. Чаще всего абсцессы головного мозга приходится дифференцировать с метастазами кистозного типа: основой в дифференциальной МРТ-диагностике этих состояний являются диффузионно-взвешенные изображения.
При МРТ отсутствует ионизирующее излучение, свойственное КТ и рентгенографии, поэтому МР-томография является абсолютно безопасной для здоровья человека процедурой. На этапе контроля лечения абсцесса МРТ может использоваться так часто, как этого требует здоровье пациента.
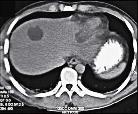
Абсцессы печени

Абсцессы печени могут быть пиогенными* или обусловленными амебиазом (инфекцией, поражающей толстую кишку с образованиями язв на ее оболочке) и микозом (грибковой инфекцией). При абсцессе печени пациент испытывает боли в правом боку, а в некоторых случаях болевые ощущения сопровождаются лихорадкой.
Абсцессы печени проходят три стадии развития, и МР-картина варьируется в зависимости от них. В первые 10 дней возникает некроз с мелкими участками разжижения. К 10-15-му дню некротический детрит рассасывается (на его месте теперь преобладает жидкость). После 15 дней еще сохраняется небольшое количество детрита, окруженного толстой фиброзной стенкой. МРТ дает возможность визуализировать заболевание на всех этапах.
Абсцесс печени и МРТ
Магнитно-резонансная томография позволяет идентифицировать абсцесс, локализовать его и определить размеры. Специальный режим диффузионно-взвешенных изображений придает абсцессу яркий МР-сигнал, а на ИКД-картах* - низкий.
Кроме того, МРТ позволяет оценивать динамику процесса в ходе лечения, ведь даже при своевременной терапии для излечения больших абсцессов могут потребоваться месяцы.
Нередко абсцессы сопровождаются тромбозом печеночных вен или воспалением желчного пузыря. По этой причине при абсцессе печени важно исключить его взаимодействие с желчными путями. Комплексное исследование органов брюшной полости и забрюшинного пространства позволит лечащему врачу оценить состояние не только печени, но и окружающих тканей.
Опытные врачи

Врач высшей категории

Пашкова Анна Александровна
Кандидат медицинских наук



Александров Тимофей Александрович

Томограф экспертного класса

- Напряженность магнитного
поля — 1,5 Тл (высокопольный) - Высокое качество изображения
- Тонкие срезы
- Все виды МРТ-исследований
Как проходит процедура МРТ-исследования
Запись исследования на ваш выбор*| на диск | на пленку | на флешку |
Частые вопросы о МРТ-исследованиях

Артефакты (от лат. artefactum) - это погрешности, допущенные человеком, в процессе исследования. Артефакты значительно ухудшают качество изображения. Существует обширная группа физиологических (другими словами, относящихся к поведению человека) артефактов: двигательные, дыхательные, артефакты от глотания, моргания, случайных неуправляемых движений (тремор, гипертонус). Все артефакты, связанные с человеческим фактором, легко преодолеваются, если человек в процессе исследования полностью расслаблен, дышит ровно и свободно, без глубоких глотательных движений и частых морганий. Однако в медицинской практике нередки случаи использования легкого наркоза.
Магнитно-резонансная томография не имеет возрастных ограничений, поэтому ее можно проводить детям с самого рождения. Но ввиду того, что во время процедуры МРТ необходимо соблюдать неподвижность, обследование маленьких детей проводится в условиях анестезиологического пособия (поверхностного наркоза). В нашем центре исследование под наркозом не осуществляется, поэтому мы обследуем детей исключительно с семилетнего возраста.
Все противопоказания к проведению МРТ можно разделить на абсолютные и относительные.
Абсолютными противопоказаниями к проведению МРТ являются следующие особенности пациента: наличие у него кардиостимулятора (водителя ритма сердца) и других вживляемых электронных устройств, присутствие ферримагнитных (железосодержащих) и электрических протезов стремечка (после реконструктивных операций на среднем ухе), гемостатических клипс после операций на сосудах головного мозга, брюшной полости или легких, металлических осколков в области глазницы, крупных осколков, дроби или пуль вблизи сосудисто-нервных пучков и жизненно важных органов, а также беременность до трех месяцев.
К относительным противопоказаниям относятся: клаустрофобия (боязнь замкнутого пространства), наличие в теле пациента массивных не ферримагнитных металлических конструкций и протезов, наличие ВМС (внутриматочной спирали). Кроме того, все пациенты с магнитосовместимыми (не ферримагнитными) металлическими конструкциями могут обследоваться только по прошествии месяца после проведенного оперативного вмешательства.
Направление врача - необязательное условие посещения центра МРТ. Нам важна Ваша забота о своем здоровье, согласие на проведение обследования, а также отсутствие противопоказаний для проведения МРТ.
Любому человеку знакома головная боль, но если она повторяется подозрительно часто, безусловно, это нельзя оставить без внимания. Мы рекомендуем пациенту с сильными головными болями пройти МРТ головного мозга и его сосудов. В отдельных случаях этого может быть недостаточно, потому как не всегда причина головных болей связана именно с патологией головного мозга. Головные боли могут быть следствием шейного остеохондроза, поэтому наши специалисты дополнительно советуют пройти МРТ шейного отдела позвоночника и сосудов шеи.
Средняя продолжительность одного исследования в нашем центре составляет от 10 до 20 минут, однако, все зависит от выявленных изменений: иногда для уточнения заболевания врач-рентгенолог может расширить протокол исследования и прибегнуть к использованию контрастного усиления. В таких случаях время исследования увеличивается.
Магнитно-резонансная томография - это полностью безвредный и безопасный метод лучевой диагностики. В основе получения изображения МРТ отсутствует ионизирующие излучение, свойственное методу компьютерной томографии (КТ). Но существуют противопоказания, с которыми необходимо ознакомиться, перед тем как записаться на обследование.
Абсолютным противопоказанием к МРТ является беременность до трех месяцев. При подозрении на ургентные (угрожающие жизни) заболевания женщины решение о проведении МРТ в ранние сроки беременности принимает врач-гинеколог.
В нашем центре можно пройти МРТ во время беременности во втором и третьем триместре - для этого необходимо предоставить направление от лечащего врача, назначившего МРТ, а также справку от акушера-гинеколога о том, что проведение магнитно-резонансной томографии разрешено.
Диагностика абсцесса на снимках МРТ и КТ головного мозга
Что такое абсцесс головного мозга и как он развивается
Абсцесс головного мозга - скопление гноя в паренхиме ГМ.
- Заболеваемость: примерно 1:100 000 в год
- М:Ж=2,3:1
- К группе высокого риска относятся пациенты с иммунодефицитом, СПИДом и больные, которым проводилась трансплантация костного мозга или органов.
- В половине случаев происходит прямое распространение инфекции (синусит, воспаление среднего уха)
- 25% - гематогенные
- Другие причины: посттравматические абсцессы, инородные тела (дренажи ЦСЖ).
- Обычно смешанная флора
- Часто стрептококки и стафилококки.
- Граница между серым и белым веществом (кортикомедуллярный стык)
- Часто лобная и теменная доли.
Клинические проявления
Абсцесс головного мозга имеет специфические симптомы , а именно классическую триаду (лихорадка, головная боль и очаговая неврологическая симптоматика) встречается менее чем у 50% больных.
Какой метод диагностики абсцесса мозга выбрать: МРТ, КТ, ангиографию
Что покажут снимки КТ и МРТ головного мозга при абсцессе мозга
Картина зависит от стадии заболевания (ранний и поздний церебрит, стадия ранней и поздней капсулы).
Первая стадия (ранний церебрит, 3—5-й день): При КТ обычно видна субкортикальная гиподенсная зона в белом веществе, а на Т2-ВИ - гиперинтенсивный очаг
- Контрастное усиление очага наблюдается не всегда
- Неотчетливо визуализируются очаги, накапливающие КС.
Вторая стадия (поздний церебрит, от 4-го дня до 2-й недели): Центральный гиподенсный участок при КТ и гиперинтенсивный очаг на Т2-ВИ (некроз)
- Краевое контрастное усиление
- Перифокальная гиперинтенсивная зона на Т2-ВИ (перифокальный отек).
Третья стадия (начало образования капсулы, 2-я неделя):
- Центральный гиподенсный участок при КТ и гиперинтенсивный очаг на Т2-ВИ (некроз)
- В зоне центрального некроза часто наблюдается снижение ИКД
- На изображениях, взвешенных по протонной плотности, и Т2-ВИ виден изоинтенсивный или гипоинтенсивный ободок (капсула абсцесса)
- Характерно отчетливое контрастное усиление в виде кольца, толщина которого вблизи поверхности мозга больше, чем около эпендимы (капсула абсцесса)
- Часто имеются дочерние абсцессы.
Четвертая стадия (стадия сформированной капсулы, недели-месяцы): В дальнейшем капсула спадается
- Отек и объемное воздействие уменьшаются
- Контрастное усиление (рубцевание) может сохраняться на протяжении нескольких месяцев
- Абсцессы у больных с иммунодефицитом: капсула тоньше, и менее выражено контрастное усиление
- Глюкокортикоиды уменьшают отек мозга и объемное воздействие
Что хотел бы знать лечащий врач
- Дочерние абсцессы
- Локализация
- Размер
- Динамика картины в процессе лечения
Какие заболевания имеют симптомы, схожие с абсцессом головного мозга
Метастазы и мультифокальные глиальные опухоли высокой степени анаплазии:
- Относительный регионарный церебральный объем крови (орЦОК) на перфузионных изображениях как минимум в 2 раза выше, чем в нормальном белом веществе.
- ИКД в зоне некроза обычно повышен
- МРС: высокие концентрации лактата в опухолевых кистах, аминокислот - в нелеченых абсцессах; высокая концентрация общего холина исключает очаговое воспалительное поражение; однако низкая концентрация общего холина не является показателем очагового воспаления.
Паразитарные заболевания, к примеру, токсоплазмоз:
- Часто страдают лица с иммунодефицитом
- Результаты исследования ЦСЖ
Лучевой некроз:
Гематома в фазе рассасывания:
- На Т2*-ВИ визуализируется кровь
- В анамнезе — кровоизлияние в мозг
Тромбированная аневризма:
- Обычно локализуется в виллизиевом круге
- Другое клиническое течение
Лечение
Лечение абсцесса головного мозга осуществляется по нескольким направлениям:
- Показания к дренированию абсцесса: размер абсцесса более 2,5 см или наличие объемного воздействия
- Дополнительная антибиотикотерапия в соответствии с антибиотикограммой
- Антибиотикотерапия является единственным методом лечения при наличии сопутствующего менингита, эпендиматита, гидроцефалии и факторов риска, являющихся противопоказанием к операции
- Лечение продолжается в течение 6-8 нед.
Врачи каких специальностей диагностируют и лечат абсцесс мозга
- Невропатолог (описание неврологической симптоматики)
- Нейхорирург (выбор тактики лечения)
- Врач функциональной диагностики (дифференциальный диагноз с другими заболеваниями ГМ)
Прогноз
Возможные осложнения
- Самым частым клиническим осложнением является эпилепсия.

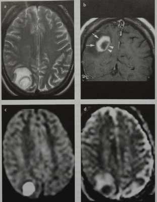
Абсцесс головного мозга. МРТ, Т2-ВИ в аксиальной плоскости (а), Т1 -ВИ во фронтальной плоскости после введения КС (Ь), диффузионно-взвешенные изображения в аксиальной плоскости (с) и карта ИКД (d).В правых теменной и затылочной долях визуализируется
Читайте также:
