Лучевая диагностика патологии органов брюшной полости - статьи
Добавил пользователь Валентин П. Обновлено: 11.12.2025
Ключевые слова: боль в животе, лучевая диагностика.
Актуальность
Боли в животе у детей являются наиболее частой причиной обращения пациентов в хирургический стационар и являются ведущим, а зачастую единственным проявлением патологии органов брюшной полости. Данная симптоматика характерна для хирургических заболеваний органов брюшной полости — острый аппендицит, кишечная непроходимость, перитонит, травматические повреждения органов брюшной полости, врожденная и приобретенная патология мочевыводящих путей, пороки развития кишечника.
Целью данной работы является совершенствование методов лучевой диагностики при болях в животе.
Материалы иметоды.
За период 2015-2017г.г. в ЦДНМП с болями в животе обратилось 10678 детей. Возраст варьировался от 1 дня до 15 лет. Комплексное лучевое обследование при болях в животе включает в себя ультразвуковое исследование, рентгенологическое исследование, в том числе компьютерную томографию. Из общего числа обратившихся комплексное ультразвуковое исследование органов брюшной полости проведено было 9161 детям.
Результаты
Результаты диагностики распределились следующим образом:
у 609 детей выявлена дискинезия желчевыводящих путей;
3359 — воспалительные заболевания брюшной полости (мезадениты, аппендициты, холециститы).
75 — воспалительные заболевания желчевыводящих и мочевыводящих путей;
15 детей — с конкрементами в желчном пузыре;
25 детей — с конкрементами в мочевыводящих путях;
40 — врожденные пороки развития почек (гидронефрозы, дистопии почек, кисты, поликистозы и др.);
53 — травматические повреждения органов брюшной полости;
4985 — без патологических изменений органов брюшной полости;
Из обследованных детей у 19 обнаружены эхинококковые кисты печени. Для эхиноккокозов печени ультразвуковая картина была достаточно характерной — определялись отдельные кистозные полости размером от 2-3см до 10-12см в диаметре, с четкой капсулой. Стенка кисты состояла из фиброзной и хитиновой оболочек, содержимое — жидкостное. В некоторых случаях определялись дочерние пузыри из зародышевого слоя. Эхинококкоз печени в 3-х случаях сочетался с эхиноккокозом легких; у 1-го — почек. Таким образом, эхиноккокоз внутренних органов достоверно выявлялся при ультразвуковом обследовании.
У 4-х больных отмечался разрыв капсулы эхиноккоковой кисты и излитие содержимого в плевральную полость с развитием плеврита.
На рентгенологическое исследование мочевых путей направлено 65 детей. Результаты следующие:
24- гидронефроз почек, из них вторичный гидронефроз у 6ти;
5- ротация почек;
1- подковообразная почка;
3- гипоплазия почки;
7- удвоение почек;
25- конкременты почек;
Из 53 детей с травмой живота ультразвуковое исследование проводилось у 36: у двух выявлен разрыв печени, у одного — разрыв селезенки, у одного — разрыв печени и селезенки.
На УЗИ это проявлялось наличием повреждения целостности органа и свободной жидкостью в брюшной полости, у остальных — было вздутие петель кишечника.

Рис. 1. Подкапсульная гематома печени
Рентгенологически при разрывах полого органа — свободный газ, при разрывах паренхиматозных органов — свободная жидкость в нижних отделах брюшной полости, при тупой травме — вздутие петель кишечника, нечеткость контуров их и, иногда, неравномерное распределение, как петель, так и его содержимого.

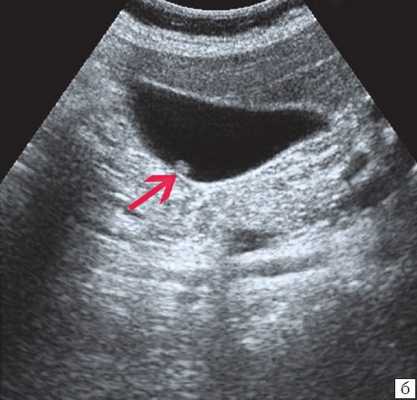
Рис.2 Травма живота: разрыв полого органа
Внутривенная урография по экстренным показаниям проводилась у 9 детей, в 2-х случаях диагностирован разрыв почки.
С целью дифференциальной диагностики и выбора оптимальной тактики лечения в 107 случаях была проведена компьютерная томография органов брюшной полости, забрюшинного пространства и таза. Данная группа по результатам исследования распределилась следующим образом:
Кистозные образования органов брюшной полости
и забрюшинного пространства
Количество
больных
единичные эхинококковые кисты печени (от 5 до 15см в диаметре)
множественные эхиноккоковые кисты печени /от 2 до 18 штук/
эхиноккоковые кисты с разрывом, отслойкой оболочки и нагноением содержимого
солитарные кисты селезенки
кисты поджелудочной железы
солитарные кисты почек
осложненные эхиноккоковые кисты почек
кисты брыжейки кишечника

Рис. 3. Киста правой доли печени

Рис. 4. Гигантская солитарная киста правой почки
Дети с онкологической патологией распределились следующим образом: 2 — опухоли печени, 8 — опухоль Вильмса, 9 — опухоль брюшной полости — все были направлены к профильным специалистам.
Проведение КТ исследований при травмах брюшной полости потребовалось только в 2-х случаях, где выявлены паранефральные гематомы, в 4-х случаях определялась гепатомегалия.
В 2-х случаях проведено МРТ исследование брюшной полости и забрюшинного пространства, в 1-ом случае с контрастированием, где было выявлено: 1 — гидронефроз, 1- киста селезенки, 1 — опухоль Вильямса.
Выводы:
- Дифференциальная диагностика болей в животе предполагает в первую очередь проведение ультразвукового обследования органов брюшной полости и малого таза.
- Рентгенологическое обследование проводится по строгим показаниям и является наиболее эффективным при травмах органов брюшной полости, а исследования с внутривенным введением контрастного вещества — при травмах и заболеваниях почек и мочевыводящих путей.
- Компьютерная томография проводится с целью дифференциальной диагностики, а при оперативном лечении — максимального уточнения предварительного диагноза.
- А. В. Холин, В. С. Саманов. Компьютерная томография при неотложных состояний у детей., С-Пб: «Гиппократ», 2007 г., 168с.
- А. Ю. Васильев, Е. Б. Ольхова. Ультразвуковая диагностика в неотложной детской практике. М: «ГЭОТАР-Медиа», 2008 г., 155с.
- С. С. Багненко, Г. Е. Труфанов. МРТ-диагностика очаговых заболеваний печени. ГЭОТАР-Медиа, 2017г., 128с.
Основные термины (генерируются автоматически): брюшная полость, ребенок, разрыв, дифференциальная диагностика, компьютерная томография, лучевая диагностика, малый таз, полый орган, свободная жидкость, травматическое повреждение органов.
Лучевая диагностика патологии желчного пузыря и желчевыводящих путей

Точная и уверенная диагностика. Многофункциональная ультразвуковая система для проведения исследований с экспертной диагностической точностью.
Введение
Заболевания желчного пузыря - это особый раздел в современной медицине, которому специалисты уделяют повышенное внимание 2. С одной стороны, патология желчного пузыря (например, полипы), может протекать совершенно бессимптомно, но имеет тенденцию к малигнизации 6. С другой стороны, некоторые заболевания, такие как конкременты желчного пузыря и желчевыводящих путей, сопровождаются сильными приступами болей и могут привести к тяжелым осложнениям. В результате длительного давления камнем на слизистую оболочку пузыря в ней могут возникнуть язвы и пролежни, образоваться дивертикулоподобные выпячивания, внутренние и наружные желчные свищи, перфоративные отверстия с развитием подпеченочного или поддиафрагмального абсцессов, желчного перитонита. Перемещение желчных камней может сопровождаться закупоркой пузырного протока, водянкой желчного пузыря или его эмпиемой. При обтурации камнем выходного отдела общего желчного протока наступает механическая желтуха. Длительное нахождение камня в желчных протоках и присоединение инфекции ведут к развитию холангита. Выпадение крупного желчного камня из желчного пузыря в кишку через образовавшееся соустье может привести к непроходимости кишечника [1, 3, 5-8, 10-12]. Поэтому своевременная диагностика заболеваний желчного пузыря и протоковой системы имеет очень важное значение.
Образование желчи в печени - процесс непрерывный, однако поступление ее в кишечник в норме происходит преимущественно в процессе пищеварения. Это обеспечивается резервуарной функцией желчного пузыря и его ритмическими сокращениями с последовательным расслаблением сфинктера Люткенса и далее сфинктера Одди, расположенного в месте впадения общего желчного протока в кишку (рис. 1).

1 - дно желчного пузыря;
2 - пузырный проток;
3 - собственная печеночная артерия;
4 - воротная вена;
5 - желудочно-печеночная связка;
6 - левая доля печени;
7 - хвостатая доля печени;
8 - нижняя полая вена;
9 - хвостатый отросток;
10 - шейка желчного пузыря;
11 - правая доля печени;
12 - тело желчного пузыря;
13 - квадратная доля печени.
Натощак желчный пузырь содержит 30-80 мл желчи, но он может концентрировать печеночной желчи в 5-10 раз больше. При застое желчи в пузыре ее количество может увеличиваться. У женщин желчный пузырь в состоянии функционального покоя имеет несколько больший объем, чем у мужчин, но сокращается быстрее. С возрастом сократительная функция желчного пузыря снижается.
Ультрасонография является одним из самых информативных и доступных инструментальных методов диагностики заболеваний желчного пузыря 7.
Акустические свойства ультразвука позволяют выявлять мельчайшие эхогенные структуры, находящиеся в желчном пузыре.
С помощью УЗИ значительно сокращается время диагностического поиска. В отличие от компьютерной томографии (КТ) и магнитно-резонансной томографии (МРТ) при УЗИ врач-исследователь сам непосредственно участвует в получении изображения, что имеет свои плюсы и минусы. Положительной является возможность более целенаправленного и детального исследования изучаемого объекта. Отрицательная сторона - качество изображения и его расшифровка в значительной степени зависят от опыта исследователя и правильности применяемых им методик.
Полипы в желчном пузыре имеются у 6% всего населения. В 80% случаев полипы в желчном пузыре отмечаются у рожавших женщин в возрасте после 30 лет. Так как полипы клинически себя никак не проявляют, диагностика их чаще всего случайна и происходит при проведении УЗИ у пациента по совершенно другим причинам 9.
Хотя причины появления полипов на стенках в желчного пузыря не установлены, а симптомы неочевидны, известны четыре типа таких образований. Наиболее часто по статистике в желчном пузыре у пациентов сегодня встречаются следующие типы [4, 5, 9].
Воспалительный полип желчного пузыря - является своего рода воспалительной реакцией самой слизистой оболочки желчного пузыря, проявляется у пациента в виде различных разрастаний грануляционной внутренней ткани пораженного органа.
Нередко врачи также ставят диагноз аденомы желчного пузыря. Так происходит потому, что это своего рода доброкачественная опухоль в виде полиповидного разрастания железистой ткани желчного пузыря больного.
Также следует отметить папиллому или полипоз желчного пузыря у некоторых пациентов. Такая папиллома представляет собой доброкачественную опухоль слизистой оболочки пузыря в виде различных по виду и структуре своеобразных папиллом или сосочковых разрастаний.
К самому распространенному типу относят так называемый холестериновый полип желчного пузыря, который представляет собой возвышение слизистой оболочки пузыря с холестриновыми отложениями на ней. Холестероз достаточно часто встречается среди пациентов, направленных на операцию с клиническим диагнозом "полипы" или "полипоз желчного пузыря", по некоторым данным от 42 до 95% случаев.
Ультрасонография является эффективным средством выявления полиповидной формы холестероза 4. Традиционной считается следующая сонографическая характеристика холестериновых полипов: неподвижные гиперэхогенные структуры, которые не дают акустической тени и прикрепляются к стенке желчного пузыря. Контуры таких образований, как правило, ровные, а размеры таких образований различны, чаще не превышают 10 мм (рис. 2).

a) Одиночный полип в желчном пузыре (гиперэхогенное пристеночное неподвижное образование, с ровными контурами, без акустической тени).

б) Одиночный полип в желчном пузыре.

в) Полиповидно-сетчатая форма холестероза, полипы размерами до 5 мм, повышенной эхогенности.

г) Одиночный полип в желчном пузыре.
Однако, по некоторым данным, размеры холестериновых полипов могут быть более 20 мм. Кроме того, полипы больших размеров (в 7% от общего числа) могут иметь пониженную эхогенность и фестончатый контур.
Мелкие холестериновые включения, образующие диффузную сеточку в толще подслизистого слоя размерами 1-2 мм, выглядят как локальное утолщение или уплотнение стенки желчного пузыря и в некоторых случаях (см. рис. 2) вызывают реверберацию (эхографический симптом "хвост кометы").
При распространенном холестерозе визуализируются множественные гиперэхогенные образования, дающие картину "земляничного" желчного пузыря (рис. 3).

а) Множественные полипы в желчном пузыре, картина "земляничного" желчного пузыря.

б) В режиме цветного допплеровского картирования кровоток не регистрируется.
Характер ножки полипа традиционно учитывается в онкологической практике как признак, ассоциированный со злокачественной природой образования. Вероятность возможной малигнизации больше, если у него имеется широкое основание, а не тонкая ножка. Однако необходимо принимать во внимание возможность ложноположительной диагностики широкого основания при полипах больших размеров из-за их ограниченной смещаемости в просвете желчного пузыря. Дрожание, напоминающее пламя свечи, наблюдается у полипов небольших размеров и вытянутой формы, и указывает на их тонкую ножку 7.
Желчнокаменная болезнь (cholelithiasis; калькулезный холецистит) - заболевание, обусловленное наличием конкрементов в желчном пузыре и желчных протоках. Частота образования желчных камней увеличивается с возрастом, достигая 45-50% у женщин старше 80 лет. У мужчин желчные камни встречаются в 3-5 раз реже, у детей - крайне редко. Только в 20% случаев желчные камни существуют бессимптомно ("немые" конкременты) [5].
Существует два основных механизма образования желчных камней: печеночнообменный и пузырно-воспалительный. Печеночно-обменный механизм заключается в формировании желчных камней вследствие таких факторов, как несбалансированное питание с преобладанием в рацио не грубодисперсных животных жиров (свиного, бараньего, говяжьего) в ущерб растительным; нейроэндокринные нарушения, например, связанные с дисфункцией эндокринной системы возрастного характера и гипофункцией щитовидной железы; поражения печеночной паренхимы токсического и инфекционного генеза; гиподинамия и застой желчи. В результате печень продуцирует литогенную желчь, т. е. способную образовывать холестериновые или смешанные камни. При пузырно-воспалительном механизме желчные камни формируются под влиянием воспалительного процесса в желчном пузыре, приводящего к физико-химическим сдвигам в составе желчи (дисхолии). Изменение рН желчи в кислую сторону, характерное для любого воспаления, приводит к уменьшению защитных свойств коллоидов, в частности белковых фракций желчи, переходу мицеллы билирубина из взвешенного состояния в кристаллическое. При этом образуется первичный кристаллизационный центр с последующим наслоением других ингредиентов желчи, слизи, эпителия и др.
Желчные камни - плотные образования, количество которых может составлять от одного до нескольких тысяч, размер - до нескольких сантиметров в диаметре, масса - до 30 г и более. В желчном пузыре чаще встречаются камни округлой формы, в общем желчном протоке - эллипсоидной или продолговатой, во внутрипеченочных протоках ветвистой. В зависимости от состава различают холестериновые, пигментно-холестериновые, холестериново-пигментно-известковые, пигментные и известковые камни; на распиле они имеют пигментное ядро и слоистое строение.
Клиническая картина желчнокаменной болезни многообразна [5-6, 10]. Условно выделяют хроническую болевую, хроническую рецидивирующую, диспептическую, стенокардитическую и ряд других клинических форм. Характерным ультразвуковым признаком конкремента в желчном пузыре является его акустическая тень. Такая тень возникает из-за высокой плотности камня по сравнению с мягкими тканями. Наличие или отсутствие тени помогает отличить камень от полипа желчного пузыря (рис. 4).

а) Одиночный конкремент желчного пузыря (подвижная гиперэхогенная структура, дающая четкую теневую дорожку).
Рентгенография брюшной полости
Рентген активно используется для диагностики заболеваний органов брюшной полости. Широко распространена обзорная рентгенография брюшной полости - рентгенографическое исследование без введения контрастного вещества, позволяющая получить общую картину состояния брюшной полости.
Органы брюшной полости: общая информация

Органы брюшной полости
Брюшная полость - это полость живота, которая ограничена сверху диафрагмой, спереди - брюшной стенкой, сзади - поясничной частью позвоночника, с боков - мышцами живота, снизу - подвздошными костями и диафрагмой таза. Внутри брюшной полости находятся органы пищеварительной системы - желудок, желчный пузырь, печень, кишечник, поджелудочная железа а также селезенка и органы мочевыделительной системы - почки и мочеточники.
Исследование поджелудочной железы, желчного пузыря, печени и селезенки обычно проводится с помощью методов ультразвуковой диагностики, которая оказывается в отношении этих органов наиболее информативной. Для исследования остальных органов брюшной полости применяются преимущественно иные методы диагностики, в том числе рентгенография.
Что показывает рентген брюшной полости?
Метод рентгендиагностики основан на том, что ткани различной плотности по-разному поглощают рентгеновские лучи. Более плотная, например, костная ткань хуже пропускает лучи, поэтому на снимке такая ткань оказывается светлее. Метод позволяет определить местоположение органов, их целостность, наличие инородных тел и новообразований.
Рентгенография брюшной полости показывает:
- как распределены газ и жидкость в брюшной полости, присутствует ли в брюшной полости свободная жидкость;
- присутствуют ли в брюшной полости инородные тела (проглоченные предметы в кишечнике, камни в желчном пузыре, камни в почках);
- имеются ли повреждения внутренних органов;
- имеет ли место внутрибрюшное кровотечение.

Рентген брюшной полости
С точки зрения оценки состояния конкретных органов обзорная рентгенография брюшной полости не очень информативна, однако она позволяет быстро определить, является ли картина патологической или нет. При разрыве стенки желудка или кишечника (прободение язвы или разрушении стенки опухолью) рентген покажет выходящий в свободную брюшную полость газ. С помощью рентгена брюшной полости можно диагностировать непроходимость кишечника и даже определить примерное место локализации проблемы.
Когда назначается рентген брюшной полости?
Обзорная рентгенография брюшной полости назначается при наличии жалоб на сильные боли в животе. Подобные боли могут наблюдаться при следующих заболеваниях:
- ; ; ;
- аппендицит;
- абсцессы и воспалительные заболевания органов брюшной полости;
- опухолевые процессы;
- ишемия кишечника; ;
- заворот кишечника.
Также обзорная рентгенография брюшной полости назначается при травмах живота.
Как проводится рентгенография брюшной полости?
Для обзорной рентгенографии брюшной полости специальной подготовки не требуется.
Рентгенография может быть выполнена как в одной, так и в двух проекциях (в положениях стоя и лежа). Иногда достаточно сделать рентген только в положении стоя (такая позиция позволяет лучше локализовать проблему при непроходимости кишечника, а также увидеть прободение желудка или кишечника).
Перед исследованием необходимо снять металлические предметы (украшения). Одежду снимать не надо. Во время рентгенографии надо будет какое-то время стоять неподвижно, а в момент, когда делается снимок, задержать дыхание.
Сделать рентген органов брюшной полости в Москве можно в рентгенологическом отделении любой из поликлиник АО «Семейный доктор».
Оставьте телефон -
и мы Вам перезвоним
Не занимайтесь самолечением. Обратитесь к нашим специалистам, которые правильно поставят диагноз и назначат лечение.
Компьютерная томография (КТ)
Компьютерная томография (КТ) - это метод диагностики, основанный на послойном исследовании структуры внутренних органов и систем; данные получаются с помощью рентгенологического оборудования, совмещенного с мощной компьютерной станцией, позволяющей проводить оперативный детальный анализ изображения.
Как устроен томограф

Компьютерная томография
Главная часть любого современного томографа это гентри - кольцо, внутри которого быстро вращается лучевая трубка, напротив которой расположены датчики. Пациент ложится на двигающийся стол, перемещающийся внутри этого кольца. Движение стола и рентгеновской трубки синхронизированы так, чтобы в результате считывание информации осуществлялось по спирали, обходящей тело пациента в области отдела, подлежащего исследованию, со всех сторон. Подобное исследование еще называется мультиспиральной компьютерной томогорафией (МСКТ). Приставка «мульти» означает, что в современных томографах датчики установлены не в один ряд (таких рядов может быть много). Это позволяет не только получать больше информации за один оборот лучевой трубки (что увеличивает скорость обследования и снижает лучевую нагрузку), но и отследить работу динамических органов и структур (сердца, грудной клетки, суставов в движении).
Преимущества компьютерной томографии (МСКТ) как метода диагностики
Компьютерная томография является одним из лучших неинвазивных (осуществляемых без повреждения тканей) диагностических методов. Высокая разрешающая способность МСКТ в сочетании с передовым программным обеспечением, позволяющим реконструировать очень тонкие срезы, визуализируют изменения, размеры которых не превышают даже нескольких миллиметров, что дает возможность обнаруживать заболевания на самых ранних стадиях.
В некоторых случаях проводится компьютерная томография с болюсным контрастированием. Современные томографы оборудованы встроенным автоматическим инъектором, с помощью которого через специальный катетер в локтевую вену вводится контрастное вещество. Работа инъектора синхронизирована с процессом сканирования. Болюсное контрастирование позволяет оценить характер накопления контрастного вещества, что расширяет возможности диагностики. В качестве контрастного вещества при болюсном контрастировании используются йодсодержащие препараты.
Важными преимуществами компьютерной томографии также являются:
- возможность получения объемных изображений внутренних органов;
- быстрота проведения (само исследование длится менее полминуты, дольше одеваться);
- комфорт (пациент не испытывает неприятных ощущений).
Что исследуется с помощью МСКТ (мультиспиральной компьютерной томографии)?

Компьютерные реконструкции
Мультиспиральная компьютерная томография используется для исследования следующих органов и областей организма:
- головной мозг. МСКТ головного мозга позволяет выявлять различные заболевания серого и белого вещества мозга, а также нарушения со стороны окружающих тканей, оболочек и сосудов. Могут быть выявлены аномалии развития, воспалительные очаги, доброкачественные и злокачественные новообразования, сосудистые расстройства, кровоизлияния, гематомы, геморрагические и ишемические инсульты;
- кости черепа. Востребованными исследованиями являются МСКТ лицевого отдела черепа и МСКТ височных костей, которая проводится с высокой детализацией костной ткани; . Реконструкция в двух и более проекциях дает возможность обнаружить причины заложенности носа и снижения обоняния, определить наличие гноя в пазухах, выявить полипы и дефекты носовых ходов. В рамках одного исследования может проводиться МСКТ пазух носа и височных костей.
- органы грудной клетки. МСКТ органов грудной клетки позволяет исследовать легкие, плевру, трахею и бронхи, органы средостения: пищевод, сердце, аорту, лимфатические узлы, молочные железы. С помощью МСКТ могут быть выявлены туберкулез, пневмония, доброкачественные и раковые опухоли различной локализации, аномалии развития, посттравматические изменения, сосудистые нарушения и другие заболевания;
- позвоночник. МСКТ позвоночника - более информативное исследование, чем обычная рентгенография. Оно позволяет получить объемную картину, увидеть позвоночник в различных проекциях, что расширяет возможности диагностики состояния межпозвоночных дисков, повреждений тел позвонков и отростков, состояния позвоночного столба.
- органы брюшной полости и забрюшинного пространства. МСКТ брюшной полости и забрюшинного пространства позволяет визуализировать мягкие ткани этой области. Исследуются печень, желчный пузырь, желчевыводящие пути, поджелудочная железа, селезенка, толстый и тонкий кишечник, почки, надпочечники, мочеточники, а также лимфоузлы и сосуды. Исследование позволяет оценить размер и положение органа, обнаружить патологические образования и диффузные изменения (очаг воспаления, абсцесс и т.п.). Если локализация проблем известна, проводится МСКТ конкретного органа - печени, желчного пузыря и поджелудочной железы; почек и надпочечников; или только надпочечников;
- кишечник. МСКТ позволяет проводить исследование кишечника с созданием объемной (3D) реконструкции изображения органа;
- органы малого таза. При МСКТ органов малого таза обследуются тазовые кости, мочевой пузырь, у женщин - матка и яичники, у мужчин - предстательная железа и семенные пузырьки;
- суставы. МСКТ суставов позволяет обнаружить патологические процессы, происходящие в костях и мягких тканях, составляющих сустав. Чаще всего исследуются тазобедренный и коленный суставы;
- сосуды. МСКТ дает возможность оценить состояние сосудов диаметром от 1 мм. Обследуются сосуды различных областей - головного мозга, шеи, нижних конечностей, аорта и подвздошные артерии;
- глазные орбиты. МСКТ глазных орбит позволяет выявить структурные нарушения глазного яблока, костной основы глазницы, глазодвигательных мышц, глазного нерва, слезных желез.
Компьютерная томография в «Семейном докторе»
В «Семейном докторе» используются томографы нового поколения GE OPTIMA CT660 производства GE Healthcare (подразделение корпорации General Electric, США). Данный аппарат делает 64 изображения-среза за один оборот, что значительно ускоряет процесс диагностики. Отличительной особенностью аппарата является его высокая разрешающая способность, позволяющая создавать качественную двухмерную (2D) и трехмерную (3D) реконструкцию изображений.
Другие преимущества GE OPTIMA CT660:
- улучшенная эргономика сканера, обеспечивающая пациенту максимальный комфорт;
- настройка параметров сканирования осуществляется в присутствии пациента, таки образом у него есть время, чтобы освоиться;
- диагностика проводится буквально за секунды, при этом доза облучения оптимизируется, чтобы обеспечить минимально возможную лучевую нагрузку.

МСКТ-исследование
Поликлиники, в которых оказываются услуги компьютерной томографии, можно посмотреть по ссылке>>>
Что нужно знать, направляясь на компьютерную томографию
Чтобы пройти МСКТ, необходимо направление от врача, в котором бы указывались область и цель исследования. При направлении на МСКТ с болюсным контрастированием также необходимо иметь на руках заключение аллерголога с разрешением на проведение исследования или рекомендациями о предварительной подготовке. Если у Вас на руках нет направления, Вы можете обратиться в любую из поликлиник «Семейного доктора», записавшись на прием к врачу-специалисту или врачу общей практики. Вас осмотрит опытный специалист, даст свои рекомендации и выпишет направление на МСКТ.
В зависимости от области исследования, Вам может потребоваться подготовка к прохождению МСКТ. Например, МСКТ печени и желчного пузыря делаются утром строго натощак. МСКТ почек или органов малого таза можно делать в течение дня, при этом допустим легкий завтрак. МСКТ головного мозга, носовых пазух, органов грудной клетки, костей и суставов можно делать в любое время, так как специальной подготовки к данным исследованиям не требуется.
Для более точного, индивидуального подбора программы проведения МСКТ и прицельной реконструкции изображений желательно иметь при себе все медицинские документы, отражающие историю заболевания. Возьмите с собой все имеющиеся у Вас результаты прошлых исследований (рентген, УЗИ, УЗЛГ, КТ, МРТ, ПЭТ). Весь ваш архив будет вам полностью возвращен вместе с результатами МСКТ.
Во время прохождения исследования Вам потребуется по указанию врача сохранять неподвижное положение и задержать дыхание на 10-20 секунд.
Компьютерная томография (КТ) органов брюшной полости

Компьютерная томография органов брюшной полости - способ исследования внутренних органов, часто применяемый в современной медицине. КТ-обследование появилось в диагностической сфере относительно недавно, в 70-х годах 20 столетия. В его основе лежит принцип проникающей способности рентгеновских лучей. Открытие рентгеновского излучения произошло в конце 19 века, после чего математические и технические исследования постепенно подводили учёных к разработке возможности осуществления сканирования человеческого тела рентгеновскими лучами, и преобразования полученной информации в материальные носители. Первые томографические аппараты коммерческого назначения были разработаны в 1971 году. С того времени методика компьютерной томографии совершенствуется с каждым годом.
Что такое КТ органов брюшной полости, для чего назначается
Своевременное диагностирование болезни работает как один из главных факторов успешности борьбы с ней. Для этого в арсенале врачей есть целый набор различных средств и техник обследований, например, ультразвуковое исследование, магнитно-резонансная и компьютерная томография. Последняя считается более точной и глубокой, чем УЗИ, и при этом стоит дешевле, чем МРТ, поэтому врачи обычно отдают ей предпочтение, когда необходимо получить данные не только о размере и расположении органа, но и о внутренней структуре глубинных тканей, полостей, образований.
Суть обследования состоит в том, что рентгеновские лучи, пронизывая тело человека, позволяют получить послойное изображение тканей органа с шагом от 0,5 до 10 миллиметров. Выведенная на монитор томографа информация даёт возможность отобразить объёмную картинку конкретного органа.
В некоторых случаях доктор назначает проведение КТ с контрастированием - для этого пациенту после сканирования вводится специальный препарат, проводится повторное сканирование, после чего на мониторе и на снимках визуализируется строение и структура органов в мельчайших подробностях.
КТ органов брюшной полости даёт изображение каждого органа в разрезе, при этом картинка не накладывается одна на другую. Компьютерная томограмма показывает наличие заболеваний желудочно-кишечного тракта и забрюшинного пространства, таких как: раковые опухоли, камни, инородные тела, травмы, кистозные образования.
Показания и запреты к проведению компьютерной томографии
Учитывая, что осуществление томографии напрямую связано с необходимостью облучать организм, такую процедуру проводят только по назначению врача в случаях, когда для этого существует объективная необходимость.
- определение необходимости хирургического вмешательства или уже назначенная операция: так доктор получает максимально точные данные о степени изменения органов и локализации такого изменения;
- появление острых болей, желтухи, резкой потери веса неизвестной этиологии;
- нарушение в работе мочевыводящей системы;
- расстройство пищеварительного процесса;
- подозрение на наличие новообразований;
- проявление заболеваний печени;
- подозрение на сосудистые нарушения;
- контроль за проведением назначенного лечения;
- появление симптомов поражения лимфатических узлов.
Некоторые состояния и патологии у человека полностью исключают возможность исследования органов брюшной полости с использованием компьютерного томографа. Например, при беременности и в период кормления грудью рентгеновское облучение применять категорически не рекомендуется - оно может навредить ребёнку.
Часть томографов имеет ограничение по весу пациента до 140-180 килограмм. Если масса тела превышает эту отметку, осуществление процедуры может оказаться под вопросом.
Проводить КТ органов брюшной полости, впрочем, как и других частей тела и органов, запрещено пациентам, возраст которых не достиг 3 лет. Дети младшего школьного возраста могут подвергаться сканированию с использованием томографа, однако, по возможности, лучше заменить этот метод исследования на более безвредные, например, МРТ.
Такие заболевания как сахарный диабет, острые воспаления почек, сердца, печени, крови, считаются относительными противопоказаниями при проведении исследования с контрастирующим веществом - при их наличии доктор на своё усмотрение решает, возможно ли осуществление процедуры.
Что касается компьютерной томографии с контрастированием, её противопоказания, также связанные с введением контрастного вещества, такие:
- диагностированная у пациента непереносимость йода и йодсодержащих препаратов;
- наличие в анамнезе аллергии или бронхиальной астмы в тяжёлых формах;
- гипертиреоз;
- диагностированная почечная или печёночная недостаточности в любых видах.
Процесс подготовки к КТ органов брюшной полости
К данному виду обследования медики выдвигают ряд особенных требований, касающихся питания, так как в процессе сканируются органы пищеварительного тракта.

Уже за несколько дней до запланированной томографии нужно полностью исключить из рациона продукты, способствующие усилению газообразования в кишечнике:
- , булочек, сдобы;
- молочных и кисломолочных продуктов;
- газированных напитков;
- продуктов, богатых грубой клетчаткой.
Кроме того, под запрет попадает алкоголь.
В день осуществления компьютерной томографии органов брюшной полости нельзя есть и пить минимум за 3-4 часа до начала процедуры, поэтому рекомендуется назначать её на утро или первую половину дня, чтобы пациенту не пришлось ходить голодным целый день.
Несоблюдение этих правил способно исказить результаты исследования - на снимках могут проявиться затемнения и пятна, которые не имеют отношения к наличию заболеваний.
Накануне вечером рекомендуется очистительная клизма или приём слабительного, чтобы очистить кишечник. В это время следует пить большое количество негазированной минеральной воды.
При планировании обследования с контрастом, предварительно необходимо сдать анализ на креатинин.
В случае, если осуществляется приём лекарственных препаратов, об этом нужно предупредить доктора. В некоторых случаях врач предписывает приём препаратов, задерживающих рентгеновские лучи - они, в некотором роде, выполняют роль контрастирующего вещества, если непосредственно контраст не планируется во время КТ.
При наличии с собой на процедуру нужно взять:
- направление доктора;
- выписку из медицинской карты;
- результаты ранее сделанных обследований и анализов (их может предписывать врач в рамках подготовки к КТ, или как часть общей диагностики организма).
Что показывает КТ органов брюшной полости без контрастирования
Такой тип томографии применяется чаще, чем КТ с контрастом, так как является более безвредным, стоит несколько дешевле и проводится проще, без двойного сканирования и манипуляций с введением контрастного вещества специальными шприцами или катетерами.
КТ без контраста даёт возможность оценить состояние брюшной полости и каждого органа по отдельности, проверить наличие аномалий развития, а также идентифицировать наличие камней в почках, жёлчном пузыре, жёлчных путях и мочеточнике, увеличение или уменьшение размера органов, изменения в их тканях.
Этот тип исследования помогает установить наличие и количество кальцификатов в артериях или поджелудочной железе, определить аневризму, цирроз, развитие злокачественных опухолей, распространение метастазов.
Для чего нужно введение контраста

Контрастирующее вещество содержит в составе йод. Распределившись по тканям органов, оно даёт возможность наиболее чётко визуализировать внутренние структуры этих тканей. Препарат вводится внутривенно, и распространяется по сосудам, окрашивая их, после чего накапливается в тканях, улучшая их отображение на снимках. Так как он транспортируется с кровью, самая высокая его концентрация создаётся в тканях и органах, богато снабжаемых кровью. По этой причине метод с контрастом используют при выявлении патологических очагов с усиленным притоком крови. Метод эффективен для обнаружения и изучения текстуры новообразований в органах брюшной полости, может выявить даже такие, которые не способна обнаружить КТ без контрастирования. В результате введения контраста, на снимке или мониторе будет отображаться и состояние сосудов, наличие в них патологических сужений и функциональных патологий.
В течение суток вещество полностью выводится из организма через почки.
Как происходит процедура компьютерной томографии органов брюшной полости
КТ обычно может проводиться как в условиях стационара, так и в поликлинике.
Если запланирована КТ органов брюшной полости с контрастом, перед началом сканирования пациенту вводится венозный катетер в локтевую вену. Этот механизм, с помощью автоматического инъектора, постепенно подаёт контрастный препарат в организм. В таком случае речь идёт о КТ с болюсным контрастированием. Возможно также использование шприца для введения контраста. Для обследования верхних отделов ЖКТ контраст вводится перорально, если нужно подробно изучить поджелудочную железу, почки или печень, контраст вводится парентерально - в вену.
Пациента помещают на столе томографа, просят занять наиболее удобную позицию. Особенно важно, чтобы человек не двигался в процессе, поэтому иногда его требуется зафиксировать ремнями. Врач может попросить задержать дыхание на непродолжительное время.
Длительность томографии составляет не более 30 минут. Всё это время пациент будет находиться под присмотром медицинского персонала. Врач-рентгенолог и рентгенлаборант находятся в соседнем помещении, однако могут видеть и слышать испытуемого, общаться с ним. После окончания процедуры пациенту могут назначить обильное питье для ускорения процесса выведения контраста.
Для тех людей, кто страдает от клаустрофобии, рекомендуется прохождение обследования на томографе открытого типа.
Изучение результатов КТ органов брюшной полости
После окончания обследования, пациенту выдают на руки снимки брюшной полости, цифровой носитель с сохранёнными результатами томографии, а также заключение врача-рентгенолога. Необходимо учитывать тот факт, что качество снимков напрямую зависит от чувствительности томографа, от тщательности соблюдения пациентом правил подготовки, от того, смог ли он оставаться неподвижным в процессе.
В случае, если все требования были выполнены, на снимке врач сможет обнаружить место, размеры и количество очагов воспаления, камней, новообразований, тромбоза, и иных нарушений, степень их распространения.
Преимущества компьютерной томографии перед другими типами обследований
Врачи, назначая КТ органов брюшной полости, акцентируют внимание на том, что процедура даёт высокое качество изображения органов, выявляет даже самые незначительные изменения во внутренних органах с самыми мелкими подробностями. В процессе испытуемый не испытывает боли или неприятных ощущений. Сама томография проводится быстро, и даёт очень маленькую лучевую нагрузку на организм. Процедура считается более информативной, чем, например, УЗИ.
Компьютерная томография органов брюшной полости - прогрессивный метод обследования внутренних органов и забрюшинного пространства, который позволяет получить послойные снимки структур тканей. Он отличается высокой точностью, безболезненностью и информативностью результатов. В результате проведения КТ, можно обнаружить первичные и вторичные объёмные образования, абсцессы, поражения забрюшинных узлов, травмы и аневризмы, распространение метастазов. Ценность полученной информации заключается в том, что с её помощью можно выявить патологии на самых ранних стадиях, разработать стратегию лечения, следить за эффективностью его проведения.
Специальность: терапевт, врач-рентгенолог, диетолог .
Общий стаж: 20 лет .
Место работы: ООО “СЛ Медикал Груп” г. Майкоп .
Образование: 1990-1996, Северо-Осетинская государственная медицинская академия .
Читайте также:
