Лучевая диагностика внутренней и наружной резорбции зуба
Добавил пользователь Владимир З. Обновлено: 22.01.2026
Центральный научно-исследовательский институт стоматологии и челюстно-лицевой хирургии, Москва, Россия
Кафедра реконструктивной хирургической стоматологии и имплантологии факультета последипломного образования ГБОУ ВПО "Московский государственный медико-стоматологический университет им. А.И. Евдокимова" Минздрава России
Клинико-рентгенологический анализ структур кератинизированной десны и наружной кортикальной пластинки в области рецессий
Цель исследования — сравнение клинических и рентгенологических показателей кератинизированной десны (КД) и наружной кортикальной пластинки альвеолярного отростка в области идентичных зубов с рецессиями (исследуемая группа зубов) и без рецессий (контрольная группа). Обследованы 60 зубов (резцы, клыки, премоляры) у 25 пациентов. Толщина десны в области зубов с рецессиями была достоверно меньше, чем в контрольной группе: соответственно 0,85 [0,7; 0,95] мм и 0,95 [0,8; 1] мм (p
Распространено мнение, что факторами, предрасполагающими к формированию рецессий десны, являются анатомо-морфологические особенности строения кортикальной пластинки альвеолярного отростка, высота и толщина прикрепленной кератинизированной десны [1].
Кератинизированная десна (КД) и входящая в ее состав прикрепленная десна (ПД) являются барьерной зоной и обеспечивают защитную функцию.
Высота зоны прикрепленной кератинизированной десны (ПКД) вариабельна и индивидуальна. Хотя ее точный размер, необходимый для поддержания здорового состояния пародонта, остается спорным, большинство специалистов склоняются к тому, что высота КД должна составлять ≥2 мм, высота ПД ≥1 мм [2]. Это условие особенно важно для пациентов с недостаточным уровнем гигиены [3—7].
Другой важный параметр КД, который в значительной мере определяет риск развития рецессии — толщина. По мнению N. Claffey, D. Shanley (1986), большее значение для защиты пародонта имеет толщина КД [8—10]. При определении толщины десны ряд авторов склоняются к тому, что если этот показатель ≥1 мм, десну следует считать толстой, при толщине ≤1 мм — тонкой [11—15]. Хотя дифференциальному определению этого важного клинического параметра посвящено значительное число более предметных исследований, анализ этих 2 основных параметров при разном клиническом состоянии десневого края, в первую очередь — в области шеек зубов, и является одной из задач данного исследования.
При изучении параметров ПКД и ее возможной роли в развитии рецессии стоит принимать во внимание и особенности соотношения вершины альвеолярного гребня и десневого края. G. Coslet и соавт. (1977) изучали вопросы пассивного прорезывания зубов и формирования зубодесневого соединения и предложили классификационную систему, учитывающую отношение уровня десневого края к костному гребню [16]. Позже J. Kois (1996) исследовал параметры зубодесневого комплекса. Автор указал, что имеется несколько типов расположения альвеолярного гребня относительно десневого края: нормальный, низкий и высокий [17, 18].
Наличие костного дефекта или резорбции наружной кортикальной пластинки альвеолярного отростка вследствие воздействия внешних и внутренних факторов также может являться одним из анатомических факторов развития рецессии [1].
Поскольку ряд перечисленных показателей остаются либо недостаточно изученными, либо носят противоречивый характер, их изучение с применением новых технологий — в частности, с помощью конусно-лучевой компьютерной томографии (КЛКТ) — и явилось предметом данной работы.
Цель исследования — сравнить клинические и рентгенологические показатели КД и наружной кортикальной пластинки альвеолярного отростка в области идентичных зубов с рецессиями и без рецессий десны.
Материал и методы

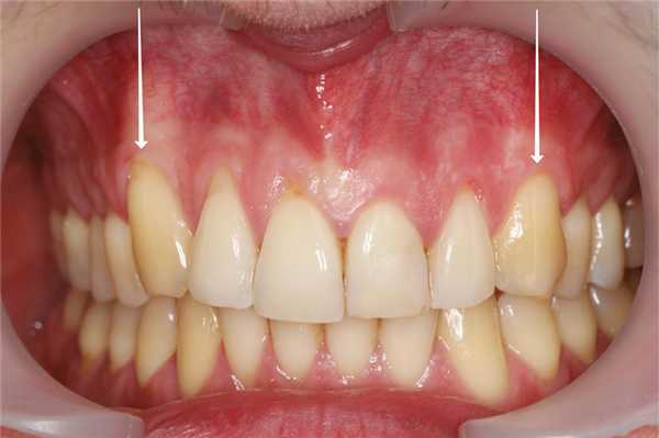
В исследование были включены 25 пациентов с диагнозом локальной рецессии, с клинической картиной, при которой отмечалась рецессия только у одного из идентичных зубов (рис. 1). Рис. 1. Исследование проводили у каждого пациента в области идентичных зубов. В данном случае: зуб 1.3 с рецессией, 2.3 — без рецессии. Исследовали 30 зубов, имеющих рецессию от 1,0 до 4,8 мм. Контрольная группа включала в себя 30 идентичных зубов с противоположной стороны, не имеющих рецессии (6 зубов имели минимальную потерю прикрепления — до 0,5 мм). Возраст пациентов составлял от 21 года до 36 лет, среди них было 13 женщин и 12 мужчин.

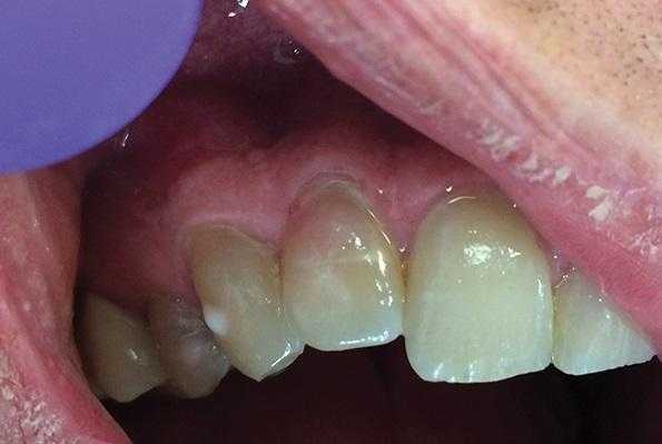
В большинстве случаев при определении таких клинических параметров, как высота КД и глубина рецессии, исследователи используют градуированный зонд или штангенциркули Кастровьехо с разрешающей способностью от 0,5 до 1 мм. Мы использовали стоматологическую гладилку, на которую нанесли лазерную насечку (рис. 2), Рис. 2. Масштабирование фотографий и расчет показателей высоты КД и величины рецессии. имеющую шаг 0,2 мм (200 мк), в целях повышения точности исследования. Глаз человека как естественный оптический прибор имеет определенную разрешающую способность [19], но работа с такими малыми величинами имеет значительную погрешность, поэтому для измерения мы использовали следующую методику: после окрашивания десны раствором Шиллера рядом с исследуемым участком прикладывали стоматологическую гладилку с лазерной насечкой. После фотографирования объекта в режиме макросъемки и масштабирования фотографий проводили расчет и фиксировали показатели измерения (рис. 2).
Клиническое исследование по описанной выше методике включало в себя определение величины рецессии и высоты КД.
КЛКТ проводили на конусно-лучевом компьютерном томографе J. Morita Accuitomo 170, поле сканирования (FOV — field of view) — 8×8 см, угол ротации — 360, размер воксела (Voxel) — 0,16 мм.
С целью улучшения визуализации анатомических образований на компьютерном томографе при проведении сканирования применяли внутриротовой ретрактор соответствующего размера. Таким образом, отодвигая мягкие ткани губ и щек, исключали наслаивание теней и получали точную визуализацию анатомических образований пародонта.
В ходе КЛКТ-исследования определяли следующие параметры:

— толщину десневого края (на рис. 3: Рис. 3. Сравнение исследуемых параметров. толщина десны);
— расстояние от десневого края до края наружной кортикальной пластинки (десневой край — альвеолярный гребень);
— расстояние от эмалево-цементной границы (ЭЦГ) до края наружной кортикальной пластинки (ЭЦГ — альвеолярный гребень).
Перед оценкой данных проводили настройку коррекции яркости и контрастности для максимальной визуализации вестибулярной костной пластинки, а также центрирование осей координат по вертикальной оси зуба для стандартизации прохождения среза.
Для повышения точности исследования проводили 3 вестибуло-оральных реформата относительно центральной оси с шагом 0,5 мм.
Для статистической обработки пользовались непараметрическими методами. При сравнении показателей в группах применяли тест Манна—Уитни. Различия считались достоверными при p
Результаты и обсуждение
Полученные клинические и рентгенологические показатели статистически обработаны и представлены на рис. 3.
В исследуемой группе зубов медиана глубины клинической рецессии составила 2 [1,8; 2,6] мм. В контрольной группе данный показатель равнялся 0,2 [0; 0,3] мм, поскольку несколько зубов имели потерю прикрепления до 0,5 мм (см. рис. 3). По данному параметру выявлены достоверные различия между группами (p<0,05).

Толщина десны в исследуемой группе была меньше, чем в контрольной: соответственно 0,85 [0,7; 0,95] мм и 0,95 [0,8; 1] мм (см. рис. 3). В группах выявлены достоверные различия (p <0,05). Кроме того, толщина десневого края в обеих группах составляла менее 1 мм и по этому параметру можно считать десну «тонкой» (см. рис. 4). Рис. 4. Измерение толщины десны; использование ретрактора позволяет отодвинуть мягкие ткани губ от альвеолярного отростка.
При исследовании параметра «десневой край — альвеолярный гребень» в исследуемой и контрольной группах медиана составила соответственно 3,2 [3,02; 5,66] мм и 3,87 [2,92; 4,7] мм (см. рис. 3). Таким образом, в обеих группах имело место «низкое» положение альвеолярного гребня (расстояние от десневого края до альвеолярного гребня >3 мм, по классификации G. Coslet и соавт. (1977). По данному параметру достоверных различий между группами не выявлено.
Медиана параметра «ЭЦГ — альвеолярный гребень» в области зубов, имеющих клинически определяемую рецессию, составила 5,8 [4,65; 7,24] мм. В контрольной группе этот показатель составил 4,47 [4; 4,7] мм (см. рис. 3). По данному показателю группы достоверно различались (p<0,05).
Еще в 1972 г. N. Lang и H. Loе пришли к выводу, что высота ПКД, необходимая для сохранения удовлетворительного состояния пародонта, должна быть >2 мм [20]. Позже другие исследователи оспорили эту концепцию и показали, что здоровое состояние десны можно поддерживать практически без прикрепленной десны, но при наличии хорошего уровня гигиены [21, 22]. Этой же точки зрения придерживаются и другие авторы, утверждая, что даже подвижная альвеолярная слизистая оболочка способна долгое время поддерживать пародонт в здоровом состоянии при соблюдении оптимальных условий гигиены полости рта [23, 24]. По мнению А.И. Грудянова [25], главным критерием состоятельности зоны ПКД является отсутствие ишемизации при внешних воздействиях независимо от ее высоты. Однако другие работы подтверждают значимость достаточного количества ПКД как защитной зоны [26—29]. D. Kim и R. Neiva (2015) провели обзор работ по данной тематике и пришли к выводу, что оптимальная зона КД должна составлять ≥2 мм, при этом зона ПД должна быть ≥1 мм.
В проведенной работе высота КД в области исследуемой группы зубов составляла 1,58 [0,9; 1,9] мм; в контрольной группе она составляла 3 [2; 3,4] мм (см. рис. 3) (p<0,05); выявлена также статистически достоверная корреляционная зависимость между высотой КД и величиной рецессии — 0,64 (p <0,0001). Если учесть, что мукогингивальная линия генетически детерминирована и относительно стабильна, следовательно, зона КД уменьшается из-за апикального смещения десневого края, т. е. в результате рецессии (см. рис. 7, 8). Рис. 7. Измерение высоты КД; зуб 1.3 (слева): клиническая рецессия составляет 1,6 мм, высота КД — 1,6 мм; зуб 2.3 (справа) без рецессии, высота КД — 3.0 мм. Рис. 8. Представлен вариант визуального сопоставления клинических данных и данных КЛКТ зубов 1.3 (исследуемая группа, слева) и 2.3 (контрольная группа, справа). Таким образом, на основании нашей ретроспективной оценки можно предположить, что достаточная высота КД при ее толщине <1 мм не обеспечила полной стабильности десневого края и под воздействием дополнительных факторов привела к рецессии. При этом надо учитывать, что в большинстве исследуемых случаев имело место низкое положение альвеолярного гребня.

Рис. 5. Измерение расстояния от ЭЦГ до альвеолярного гребня в области зуба 2.3 (без рецессии). В данном случае показатели на 3 реформатах составили: 2,72; 3,04; 3,20 мм.

Рис. 6. Измерение расстояния от ЭЦГ до альвеолярного гребня в области зуба 1.3 (клиническая рецессия — 1,6 мм). В данном случае показатели на 3 реформатах составили: 4,28; 4,48; 4,64 мм.
Для оценки таких параметров, как толщина кортикальной пластинки, толщина десны, большое значение имеет разрешающая способность томографа. Учитывая незначительный размер исследуемых структур в нашем исследовании, важно понимать, что использование томографов с низкой разрешающей способностью дает значительную погрешность и снижает научную ценность исследования. Более того, как показывают клинические наблюдения, во время проведения операций при отслаивании лоскута костный край может значительно истончаться и определить границу можно только с использованием увеличительной оптики.
Увеличение показателя «расстояние ЭЦГ — альвеолярный гребень» в исследуемой группе предположительно является следствием анатомических особенностей кортикальной пластинки, ее недоразвития или резорбции под воздействием внешних факторов, что и явилось основой возникновения рецессии. При этом следует учитывать, что в большинстве исследуемых случаев имело место низкое положение альвеолярного гребня, а толщина десны составляла
Сложность диагностического процесса при исследовании данной патологии определяет необходимость разработки протокола КЛКТ-обследования пациентов с риском развития рецессий. Бесспорно, что данные КЛКТ значительно улучшают визуализацию анатомических структур пародонта, но зачастую врачам-практикам не ясно, как влияет полученная информация на планирование объема и выбор лечебных манипуляций. Данное исследование показывает важность тесного взаимодействия пародонтолога-хирурга и врача-рентгенолога. Для разработки протокола исследования пациентов с рецессиями, дефицитом КД, тонким биотипом необходимы дальнейшее изучение этого направления, уточнение и проверка эффективности метода в разных клинических ситуациях.
Авторы заявляют об отсутствии конфликта интересов.
Сведения об авторах
Зорина Оксана Александровна — д.м.н., проф., Центральный научно-исследовательский институт стоматологии и челюстно-лицевой хирургии Минздрава России, заведующая терапевтической стоматологией; 119991, Москва, ул. Тимура Фрунзе, 16;
Резорбция корня зуба - симптомы и лечение
Что такое резорбция корня зуба? Причины возникновения, диагностику и методы лечения разберем в статье доктора Шумяковой Евгении Александровны, стоматолога со стажем в 6 лет.
Над статьей доктора Шумяковой Евгении Александровны работали литературный редактор Юлия Липовская , научный редактор Елена Страндстрем и шеф-редактор Маргарита Тихонова

Определение болезни. Причины заболевания
Резорбция корня зуба (root resorption) — это процесс, при котором рассасываются основные твёрдые ткани зуба —дентин и/или цемент [1] .
![Резорбция корня зуба [33]](https://probolezny.ru/media/bolezny/rezorbciya-kornya-zuba/rezorbciya-kornya-zuba-33_s.jpg)
При резорбции пациент не чувствует никаких изменений. Обычно поражение какого-либо участка зуба обнаруживается случайно при рентгенологическом исследовании.
Резорбция может быть физиологической и патологической:
- при физиологическом процессе рассасываются корни молочных зубов в период смены прикуса у детей;
- при патологической резорбции разрушаются ткани постоянного зуба у взрослого пациента.
В зависимости от того, где находится очаг поражения, выделяют два вида патологической резорбции:
- наружную (внешнюю), когда процесс начинается с поверхности корня;
- внутреннюю, когда рассасывание корня начинается со стороны пульпы.
Без лечения внутренняя резорбция может перейти во внешнюю с образованием перфорации (отверстия в зубе) и вызвать перелом зуба, поэтому необходимо вовремя диагностировать и лечить это заболевание [3] .
Причины резорбции корня зуба
Наиболее частые причины резорбции корня:
- Локальная инфекция, например хронический пульпит.
- Травма:
- острая — трещина или неполный вывих зуба, например из-за падения лицом вниз или хирургического вмешательства рядом с корневой системой;
- хроническая — длительное давление на зуб из-за неправильного расположения зуба в зубном ряду или некорректного лечения: неправильной установки внутриканального штифта при эндодонтическом лечении (лечении корневых каналов) или брекет-системы при ортодонтическом лечении [17] .
- Соматические заболевания: [28] ;
- патологии эндокринной системы (гиперпаратиреоз , сахарный диабет) [29] ;
- вирусные заболевания [30] ;
Также встречаются случаи идиопатической резорбции, когда не удаётся установить причину [31] [32] .
Причина внутренней резорбции — воспаление или повреждение пульпы. Чаще всего из-за травмы, ортодонтического вмешательства, бруксизма, травмы при удалении зубных камней. Однако даже при наличии большого очага инфекции резорбция может не возникнуть, так как её развитие зависит от многих факторов.
Наружная резорбция может быть вызвана внутриканальным отбеливанием, при котором отбеливающее вещество с перекисью водорода закладывают в канал зуба.
Распространённость резорбции корня зуба
Точная распространённость патологической резорбции неизвестна. Распределения по возрасту тоже нет, так как причины её появления не связаны с возрастом человека.
При обнаружении схожих симптомов проконсультируйтесь у врача. Не занимайтесь самолечением - это опасно для вашего здоровья!
Симптомы резорбции корня зуба
В большинстве случаев патологическая резорбция корня зуба протекает бессимптомно. Но иногда можно заметить некоторые изменения. Например, внутренняя резорбция проявляется при увеличении процесса: пульпа из нормальной превращается в ткань с гранулёмами, из-за воспаления она видна через дентин — на зубе появляется розовое пятно. Со временем воспалённая пульпа отмирает, и розовый цвет сменяется серым.
![Розовое пятно на зубе [19]](https://probolezny.ru/media/bolezny/rezorbciya-kornya-zuba/rozovoe-pyatno-na-zube-19_s.jpg)
Когда из-за резорбции верхушка корня становится короче, зуб может стать подвижным. Если внутренняя резорбция переходит во внешнюю, образуется перфорация (отверстие в зубе). Перфорация корневого канала внешне может проявиться отёчностью или уплотнением на десне в области над перфорацией.
Если резорбция прогрессирует, у пациента возникает боль при накусывании, реакция на изменение температуры, кровоточивость дёсен. Если присоединяется воспаление в области периодонтальной связки (периодонта) , зубы становятся подвижными [4] .
Патогенез резорбции корня зуба
Количество костной ткани корня зуба контролируют клетки-остеобласты и остеокласты: остеобласты создают новую костную ткань, а остеокласты разрушают старую. Резорбция, как физиологическая, так и патологическая, происходит благодаря остеокластам [5] . Этот процесс запускается, когда остеокласты становятся более активными, чем остеобласты [10] [11] .
В здоровом организме есть защитные структуры, которые не допускают резорбцию зубов: цемент и периодонтальная связка предотвращают наружную резорбцию корня, а предентин, покрывающий внутреннюю поверхность корневого канала, — внутреннюю. Остеокласты не «прилипают» к этим поверхностям. Повреждение цемента, периодонтальной связки и предентина, например в результате травмы, позволяет остеокластам прикрепиться к внутренней или наружной поверхности корня, с этого момента и начинаются процессы резорбции дентина или цемента зуба.

Точное происхождение и стимуляция остеокластов окончательно не изучены , но есть некоторые теории:
- Остеобласты. В активации остеокластов огромную роль играют остеобласты. Они вырабатывают молекулы, которые активируют остеокласты и способствуют резорбции.
- Наследственный фактор. Пациенты с нарушениями в гене интерлейкина предрасположены к резорбции. Интерлейкин-1В является медиатором воспаления. Доказано, что он тесно связан с резорбцией твёрдых тканей зуба [14][15] .
- Бактерии. Пусковым агентом в активации остеокластов и запуске процессов резорбции могут быть бактерии (например, при бактериальном воспалении пульпы или других воспалительных реакциях), которые меняют Ph среды в кислую сторону [16] . Бактериальные токсины привлекают лейкоциты. В присутствии определённых токсинов лейкоциты преобразуются в остеокласты [18] . Костная ткань разрушается за счёт активности ферментов (коллагеназы, матрикс-металлопротеиназы и цистеин-протеиназы). Считается, что эти ферменты изначально заложены остеобластами в структуру дентина или кости, но активируются они только при контакте с остеокластами, когда изменяется Ph [20][21] .
- Внутриканальное отбеливание. Может быть пусковым механизмом в процессах наружной резорбции. Перекись водорода может перемещаться через дентинные канальцы в цемент и запускать процессы разрушения цемента и периодонта.
- Травма. Когда происходит травма зубов, внутри пульпы развивается кровотечение с образованием сгустков. Эти сгустки замещаются грануляционной тканью с остеокластами.
Классификация и стадии развития резорбции корня зуба
Типы резорбции:
Типы патологической резорбции:
Типы наружной резорбции:
- Поверхностная резорбция. Как правило, затрагивает только цемент зуба. Этот процесс может начаться при поверхностном повреждении зуба из-за травмы или ортодонтического лечения. Повреждения маленькие и нечасто выявляются. Резорбции подвергается прежде всего верхушка корня зуба. Очень редко повреждения обнаруживают со стороны полости рта и с внешней стороны. Жевание не нарушается. При устранении причины, которая запускает резорбцию, например после окончания ортодонтического лечения, участок резорбции восстанавливается самостоятельно. Поверхностные резорбции встречаются чаще, чем воспалительные и заместительные.
- Воспалительная резорбция. Это самый быстрый и агрессивный тип наружной резорбции. Причиной обычно является инфекция в пульпе. Наружная воспалительная резорбция поражает большую площадь твёрдых тканей зуба.
- Заместительная резорбция (анкилоз). При этом типе резорбции ткань зуба замещается костью, в результате чего зуб теряет физиологическую подвижность. Это хронический процесс, который чаще всего происходит после вывиха зуба и его реплантации, т. е. возвращения в лунку. Причиной считается повреждение периодонта на наружной поверхности корня. Заместительная резорбция со временем не исчезает и приводит к полному замещению тканей зуба. Процесс заместительной резорбции может быть в состоянии ремиссии, такую резорбцию называют транзиторной. Если зуб полностью замещается костью, говорят о прогрессирующей резорбции.
- Инвазивная цервикальная резорбция. Это один из вариантов наружной резорбции, который начинается с шейки зуба. Встречается очень редко. Процесс может возникать на любом зубе. Причиной является повреждение цемента в области шейки зуба в результате травмы, ортодонтического лечения или внутрикоронального отбеливания. Без лечения инвазивная резорбция приводит к разрушению и значительной потере твёрдых тканей зубов [4][25] .

Осложнения резорбции корня зуба
Осложнением резорбции можно считать состояние зуба, при котором появляются клинические симптомы. Если резорбция становится заметна невооружённым глазом или начинает влиять на чувствительность зубов, то чаще всего на этом этапе восстановить корень уже невозможно, зуб придётся удалить.
Внутренняя резорбция без соответствующего лечения переходит во внешнюю и приводит к перелому зуба [3] .

Диагностика резорбции корня зуба
Резорбция корня зуба протекает бессимптомно, пациент ни на что не жалуется. При осмотре можно диагностировать цервикальную резорбцию, если в толще эмали видно розовое пятно.
Часто резорбцию выявляют случайно при рентгенологическом исследовании по другому поводу [23] . На рентгенограмме внутренняя и внешняя резорбция будут выглядеть по-разному.
Рентгенологические признаки наружной и внутренней резорбции корня зуба

Воспалительная и заместительная резорбция рентгенологически очень похожи. Но при заместительной резорбции из-за образования кости на снимке не видно просветления в области периодонтальной щели.
Рентгеновское обследование зубов (дентальные рентгенограммы) — самым простой, быстрый и доступный метод диагностики. Но в сложных случаях, когда не удаётся поставить диагноз, лучше использовать компьютерную томографию (КТ). Этот метод более информативный [22] [23] [26] .
Лечение резорбции корня зуба
Лечение направлено на устранение причин резорбции и её последствий, а также на восстановление функции зуба.
При резорбции корня нет стандартного протокола лечения. Метод будет зависеть от многих факторов: вида резорбции, величины поражения, состояния пульпы и наличия адекватного доступа.
Внутренняя резорбция. Эта форма болезни лечится пломбированием корневых каналов гуттаперчей с применением минерал триоксид агрегата (МТА) и композитных герметиков.
Часто врачи применяют при лечении резорбции временные пломбировочные материалы, содержащие кальций. Однако такое пломбирование каналов на долгий период (больше трёх месяцев) может снизить эластичность дентина и привести к образованию трещин корня зуба [32] .
При внутренней резорбции с перфорацией, которая сообщается с ротовой полостью, проводится хирургическое лечение: выкраивается и отслаивается слизисто-надкостичный лоскут, с помощью алмазного бора удаляется патологически изменённая ткань в области резорбции. Отверстие в корне зуба закрывается специальным материалом, затем слизисто-надкостничный лоскут ушивается. Период восстановления тканей у каждого человека индивидуальный, но в среднем он составляет 2 - 3 недели.
Наружная воспалительная резорбция. При лечении такой резорбции обязательно нужно устранить причину её появления — инфекцию. Для этого необходимо тщательно механически и медикаментозно обработать и запломбировать корневые каналы. Можно на три недели поставить временную пломбу с кальцием. При воспалении в корневых каналах местно возникает сдвиг Ph в кислую сторону, а временная пломба с кальцием создаёт щелочную среду и тем самым уничтожает бактерии. Процесс может сопровождаться небольшой ноющей болью.
Заместительная резорбция. Остановить этот тип резорбции невозможно. Скорость замещения зуба костной тканью зависит от возраста: чем моложе пациент, тем быстрее будет протекать резорбция. У взрослых зуб может много лет сохранять свои функции прежде, чем полностью будет замещён. Рекомендуется придерживаться выжидательной тактики. Когда коронка зуба будет держаться только за счёт зубо-десневого прикрепления, её нужно будет удалить, затем установить имплантат [6] [27] .
Чтобы предотвратить или задержать развитие заместительной резорбции после полного вывиха зуба и реплантации, перед возвращением зуба в лунку на корень можно нанести препарат Emdogain [8] .
Цервикальная резорбция. Наиболее эффективным методом лечения цервикальной резорбции является удаление поражённой ткани. После этого дефект зуба обрабатывают по принципам препарирования кариозных полостей и восстанавливают анатомическую форму зуба [19] .
Этот вид резорбции лечится с помощью «сэндвич-техники» с использованием стеклоиономерных цементов и композитных материалов, а также с применением МТА ( минерал триоксид агрегата) как дезинфицирующего и биосовместимого материала, который положительно влияет на результат лечения.
Прогноз. Профилактика
Наиболее благоприятный прогноз при лечении внутренней резорбции, которая не сообщается с ротовой полостью. Рецидив может произойти при попадании инфекции в герметично запломбированный канал.
Все виды наружной резорбции хуже поддаются лечению, рецидивы случаются чаще, поэтому и прогноз менее благоприятный. Когда именно может развиться рецидив, сказать невозможно, каждый случай индивидуален.
Профилактика резорбции корня зуба
Своевременное и адекватное эндодонтическое лечение травмированного зуба может предотвратить воспалительную резорбцию. Также лечение корневых каналов помогает не допустить потерю костной ткани и появление перфораций корня зуба.
Если процесс запущен, есть перфорация и утрачено большое количество тканей, перед эндодонтическим лечением лучше восстановить их целостность с помощью МТА или биокерамики [31] .
Диагностика инвазивной цервикальной резорбции
Для многих практикующих врачей стоматологические заболевания резорбтивной природы остаются патологиями, покрытыми тайной, не до конца понятными и загадочными. Исторически сложилось так, что при изучении данных поражений они чаще всего представлялись, как таковые, которые возникали в результате действия определенных факторов внешней или же внутренней среды.

Классически предполагалось, что внутренняя резорбция витальных зубов развивается из-за травматического поражения пульпы (фото 1), а внешняя резорбция случается строго в девитальных зубах (фото 2). К последней могут привести травма периодонтальной связки вследствие воздействия внешних факторов, давления, которое возникает в результате прорезывания зубов, или же патологии развития (фото 3). Иногда внешняя резорбция наблюдается после проведенного ортодонтического лечения, которое провоцирует повышении активности остеокластов в области цемента и дентина верхушки корня. Большинство врачей конечно же полагаются на знания, полученные в ходе предварительного обучения, но некоторые все же интересуются динамикой развития доказательных фактов относительно тех или иных стоматологических патологий.
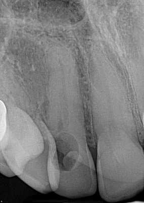
Фото 1. Рентгенограмма, демонстрирующая пример внутренней резорбции корня.

Фото 2. Рентгенограмма, демонстрирующая пример внешней воспалительной резорбции корня.

Фото 3. Рентгенограмма, демонстрирующая пример резорбции по причине давления.

В течение последних двух десятилетий в стоматологической литературе была представлено значительное количество публикаций, описывающих уникальные случаи внешней резорбции полностью витальных зубов в области шейки. Следовательно, данную разновидность патологии пришлось добавить к двум уже ранее известным (фото 4). Иногда термины для описания данного вида поражения носят лишь субъективный характер, но для четкого понимания в данной статье будет использоваться название инвазивная пришеечная резорбция корня (ИПРК), поскольку именно такое название данной патологии дал доктор Geoffrey S. Heithersay, который и описал ее первично. В данной статье будет рассмотрены как клинические, так и рентгенологические признаки резорбции, а также аспекты, связанные с ее этиологией, патофизиологией и лечением.
Фото 4. Рентгенограмма, демонстрирующая пример инвазивной пришеечной резорбции.

Актуальность темы
Учитывая уникальный характер ИПРК, важно обеспечить полное понимание основных принципов развития данного процесса. Независимо от его проявления, резорбция представляет собой потерю твердых тканей зуба, вызванную действием иммунно-опосредованных клеток с кластической активностью. В нормальных условиях активность данных клеток предотвращается наличием неминерализированных слоев тканей, присутствующих, как в цементе, так и в дентине. При нарушении целостности данных слоев посредством травм, инфекций или других факторов, создаются условия, при которых кластические клетки могут начать проявлять свою активность. Клетки, ответственные за ИПКР, происходят из прикрепленного или соединительного эпителия у основания десневой борозды. Учитывая такое происхождение, становиться понятным почему патология чаще всего затрагивает область шейки зуба. Исключения, однако, отмечаются в областях потери пародонтального прикрепления или в области зубов, которые находятся в процессе прорезывания - в таких случаях уровень десневой борозды снижается в апикальном направлении (фото 5 - 6).
Фото 5. В данном случае очаг ИПКР развился на апикальном участке зуба (в большинстве случаев развивается в области шейки зуба), что спровоцировало миграцию пародонтального соединения. Патология развилась через год после лечения зуба по причине вывиха.

Фото 6. В данном случае очаг ИПКР развился на апикальном участке зуба (в большинстве случаев развивается в области шейки зуба), что спровоцировало миграцию пародонтального соединения. Патология развилась через год после лечения зуба по причине вывиха.

Клетки прикрепляются к структуре зуба в областях потери прецемента, тем самым обеспечивая инвазию фиброваскулярной ткани, и, таким образом, развивается деградация минерализованных структур корня зуба. Если не предотвратить инвазию эпителия или бактериальную контаминацию дефекта, то надеяться на восстановление костной ткани из смежных структур уже не приходится. Хотя аналогичная гистологически идентифицированная замещающая резорбция, может развиваться и в ходе восстановления участков ИПРК после потери пародонтологического прикрепления. Предентин, который окружает пульпу, как и прецемент, служит защитным слоем, ограничивающим внедрение резорбтивных тканей в пространство пульпы. Конечно, такая защита не является вечной, и рано или поздно без лечения пульпа все-таки поражается патологическим процессом. Поэтому, распространение ИПРК происходит чаще всего вокруг пульпы без ее непосредственного поражения, в корональном или апикальном направлении относительного первичного очага.
Этиология
С развитием ИПКР связан ряд этиологических факторов, прямую причинность которых реально еще предстоит доказать. Наиболее предполагаемыми из них являются предварительное ортодонтического лечения, травматическое поражение, ортогнатическая хирургия, внутрикоронковые реставрации и отбеливание девитальных зубов. Большинство из этих факторов, провоцируют повреждение цемента в области шейки зуба, вызывая, таким образом, физическую или химическую травмы. Другие привычки пациента, как например игра на духовых инструментах с деревянным мундштуком, также могут формировать условия, которые по своей сути мало чем отличаются от состояния после ортодонтического вмешательства. Такие привычки могут вызывать повреждение и патологическую стираемость в области фронтальных зубов. Прием бисфосфонатов системного действия также ассоциировано с развитием ИПКР, поскольку данные препараты доказательно влияют на изменения метаболизма в кости, а значит - и на активность костных клеток. Кроме того, была предложена также вирусная этиология развития ИПКР. Одонтокластическая резорбция часто встречается у кошек после их инфицирования Feline Herpesvirus 1 (FeHV-1), а признаки данного поражения очень уж похожи с ИПКР, которая диагностируется у людей. Небольшое исследование пациентов с множественными поражениями ИПКР показало, что у 100% испытуемых были обнаружены положительные результаты на наличие FeHV-1, что подтверждает актуальность вышеупомянутой теории. Механизм развития ИПКР также может иметь генетическую природу, поскольку часто наблюдается у членов одной семьи. Во многих случаях связь ИПКР с какими-либо факторами установить так и не удалось, следовательно, заболевание в подобных ситуациях может быть диагностировано как идиопатическое.
Диагностика
В большинстве случаев ИПКР является бессимптомной патологией и таковой, которую сложно диагностировать. Поражения часто идентифицируются в ходе рутинного рентгенографического обследования при лечении других стоматологических заболеваний. Иногда врач может обнаружить область ИПКР в ходе ретракции мягких тканей для выполнения реставрации. В ходе зондирования часто можно обнаружить наличие полости, или же меловидную поверхность поражения ниже десневого края. Более прогрессивные поражения могут проявляться достаточно широкой и хорошо визуализируемой полостью темной пигментации. Подобные дефекты часто заполняются мягкими окружающими тканями, которые легко кровоточат при зондировании. Поскольку слой предентина до определенного времени защищает пульпу, она долгое время остаётся ненарушенной, а развитие пульпита или некроза наблюдается крайне редко, даже при самых запущенных стадиях ИПКР. Симптомы воспаления периодонтальной связки, по типу реакции на перкуссию или чувствительность при пальпации, как и формирование пародонтальных карманов, как правило, отсутствуют.
Иногда поражение проявляется клинически очевидным образом. На фото 7-10 представлен случай, когда пациент сам отметил розовую дисколорацию в пришеечном отделе правого бокового резца. Хотя чувствительность пульпы была нормальной, было обнаружено перфорирующее поражение вдоль дистально-щечной стороны зуба. Хотя предварительно считалось, что наличие розовых дисколораций свидетельствует о внутренней резорбции зуба, на самом деле в большинстве таких случаев клинически диагностируют ИПКР.
Фото 7. Случай ИПКР в области 10 зуба с формированием розовой дисколорации.

Фото 8. Подтверждение диагноза ИПКР на рентгенограмме.

Фото 9. Подтверждение диагноза на КТ-срезе.

Фото 10. Распространение ИПКТ в парапульпарном апикальном направлении (срез КЛКТ).

По причине принципов получения рентгенологических изображений, двухмерной природы рентгенограмм и значительного перекрытия нескольких анатомических образований, периапикальные снимки, или снимки по типу bitewing, часто не являются достаточно чувствительными для диагностики ИПКР. Также информативность данных методов при ИПКР часто связана с объемом потери твердых тканей зуба. Конусно-лучевая компьютерная томография (CBCT) является особенно полезной на ранних этапах регистрации очага поражения, хотя учитывая, что данный метод редко используется с целью скрининга, ИПКР снова-таки часто диагностируется как дополнительная находка при диагностике каких-то других заболеваний или при планировании комплексных алгоритмов лечения. Пародонтальная потеря костной ткани крайне редко отмечается в области внешней пришеечной резорбции.
При рентгенологической идентификации ИПКР чаще всего напоминает кариозный дефект V класса. При локализации поражений со щечной или язычной сторон из-за графического наложения на область пульпы зуба они могут вызывать некую размытость ее контура. По мере развития патологии она прогрессируют к пульповой камере, не вызывая прямого воздействия на пульпу. В большинстве случаев, даже среди обширных поражений, твердые ткани, окружающие пульпу, часто выглядят почти неповрежденными, что на рентгенограмме проявляется в форме тонкой рентгеноконтрастной линии между дефектом ИПКР и пульпой зуба.
Повреждения ИПКР классифицируются в зависимости от степени их инвазии и распространения, при этом поражение класса 1 представляют собой небольшие и четко определенные дефекты, локализованные только в области пришеечного дентина; поражения класса 2 представляют собой несколько более крупные, но все же четко ограниченные очаги поражения, локализованные в области шейки и приближающиеся к пульпе; поражения класса 3 - еще более крупные и менее четко выраженные поражения, которые распространяются в корональную треть корневой структуры зуба; поражения класса 4 являются очагами патологии, которые выходят за пределы корональной трети корня. Поражения 1-го и 2-го классов могут характеризоваться более четко выраженной радиолюминесценцией, особенно когда они присутствуют с мезиальной или дистальной сторон зуба, в то время, как очаги классов 3 и 4 уже отличаются размытыми краями и тонким контуром проекции вокруг эндодонтического пространства. Схема классификации ИПКР изображена на фото 11.
Фото 11. Клиническая классификация ИПКР по Heithersay.

Лечение
Исследования показывают, что лечение ранних поражений ИПКР обеспечивает вполне прогнозируемый результат; в то время как обширные формы патологии контролировать все сложнее. Лечение дефектов требует хирургического вмешательства, проведения полной очистки области поражения посредством трихлоруксусной кислоты (ТХК), и дальнейшего восстановления. Как и при других вмешательствах врачу нужно учитывать доступ к дефекту. Например, поражения, расположенные со щечной стороны корня, являются более доступными, в то время как апроксимальная локализация дефекта значительно утрудняет доступ. Применение TХК на протяжении 1-4 минут позволяет полностью избавится от остаточных клеток, проявляющих кластическую активность - таким образом, врач обеспечивает своеобразную профилактику рецидива ИПКР. TХК является чрезвычайно едким и реактивным веществом, которые может повредить окружающие мягкие ткани, поэтому для обеспечения надлежащей изоляции врачам рекомендуется использовать глицериновый гель с целью защиты близнаходящихся тканей пародонта. После аппликации ТХК область следует промыть стерильной водой или физиологическим раствором, после чего высушить, и восстановить подходящим реставрационным материалом (например, стеклоиономером модифицированным композитным смолой). В зависимости от локализации дефекта может понадобится проведение соответствующих хирургических вмешательств с целью обеспечения доступа и формирования соответствующего лоскута. Поражения класса 1, как правило, обходятся без необходимости проведения эндодонтического вмешательства, в то время как все другие типы ИПКР могут требовать параллельного проведения процедуры лечения корневого канала. Поражения 4 класса вообще характеризуются весьма неблагоприятным прогнозом, учитывая объем такого дефекта. С клинической точки зрения, подобные зубы не поддаются лечению. Если они асимптоматичны их можно мониторить определенное время, поскольку есть шанс костного замещения имеющегося дефекта до некоторой степени. С другой стороны, удалить такой зуб всегда успеется, а риск компрометации им локального состояния пародонта довольно невелик.
Учитывая локализацию и подобность ИПКР V классу кариозных дефектов или внутреннему типу резорбции, нужно обеспечить адекватную дифференциальную диагностику данного процесса. Проницательный клиницист должен учитывать всю имеющуюся клиническую и рентгенографическую картину, включая потенциальные этиологические факторы, локализацию и соотношение клинических данных с результатами КЛКТ-исследования. ИПКР отличается сохранением интактного состояния стенок дефекта, их твердой консистенцией, пока до ИПКР вторично не подключится кариозный процесс. Кровотечение тканей в ходе препарирования полости при отсутствии признаков перфорации пульповой камеры также должно наводить на мысли о возможной внешней резорбции. В таком случае врач должен обеспечить полную физическую и химическую очистку дефекта от кластических клеток с дополнительным использованием ИПКР. Области внешней резорбции рентгенографически визуализируются как участки поражения вокруг пульпы зуба, которые часто имеют пришеечную локализацию. Перфорации в случаях ИПКР вызывают расширение области пародонтальной связки и потеряю окружающей костной ткани, что, в принципе, для классических случаев ИПКР не характерно.
Выводы
ИПКР является уникальным диагнозом, который отличается от классических случаев внутренней или внешней резорбции корня. Своеобразная патофизиология данного процесса четко определяет ее отличия, а также помогает выбрать адекватный алгоритм вмешательств для лечения. Ранние формы поражений могут быть успешно пролечены посредством химико-механических процедур, тогда как поздние формы патологий требуют мониторинга с надеждой на развитие процесса костного ремоделирования. Современные исследования и технологии улучшили не только наше понимание о ИПКР, но и имеющиеся в нашем распоряжении клинические и рентгенографические инструменты диагностики данной патологии, что позволило врачам признать ИПКР как независимую клиническую патологию.
Авторы:
Brooke Blicher, DMD
Rebekah Lucier Pryles, DMD
Компьютерная томография в эндодонтии: образец современного лечения
Рентгенография является важным аспектом успешной диагностики одонтогенной и неодонтогенной патологии, лечении пульповой камеры и корневых каналов через коронковый доступ, биомеханической обработки корневых каналов, окончательной обтурации каналов и оценки проведенного лечения. Изображения требуются на протяжении всего эндодонтического лечения. Получение снимка до вмешательства требуется для правильной оценки твердых тканей зуба и альвеолярного отростка, а также степени патологического повреждения и постановки верного диагноза. Далее получение изображений на протяжении всего лечения также является необходимым. Изготовление снимка по окончанию лечения позволяет оценить проведенные манипуляции. Kells впервые сообщил об использование токопроводящего проводника в корневом канале в «радиограмме» в 1899 году.

С тех пор радиология всегда играла ключевую роль в эндодонтии. Теперь, столетие спустя, на основе первых попыток были изобретены компьютерная томография (КТ) и микро-КТ, а презентация в 1996 конусно-лучевой компьютерной томографии (КЛКТ) позволила получать 3D изображения, так необходимые в стоматологической практике.
Эта новая возможность получения изображения в трехмерном измерении значительно повысила уровень терапии в стоматологии по всему миру. КЛКТ постепенно становится золотым стандартом в обеспечении точной постановки диагноза, составления плана лечения и проведения лечения. Конусно-лучевая техника на настоящий момент имеет множество областей применения в стоматологии, это и планирование имплантации, хирургическая оценка патологии, оценка ВНЧС, выявление роста и развития для ортодонтических целей, дооперативная, оперативная и послеоперативная оценка при краниофациальной травме, краниофациальная реконструкция и хирургия полости рта. Вдобавок, КЛКТ используется для выявления точной локализации инородного тела в мягких тканях, выявлении расщепленной губы и неба, а также глубины кариозного поражения. КЛКТ становится типичным инструментом в деятельности хирурга, особенно имплантолога.
Ограниченность двухмерных изображений
Изображение, полученное на обычном радиографе представляет собой двухмерную (2D) интерпретацию трехмерного (3D) объекта. Характеристики трехмерного объекта, такие как сложная дентальная анатомия и строение окружающих тканей, могут быть трудно различимы в качестве «теней» 2D снимка, что может привести к неправильному эндодонтическому лечению. При анализе 2D снимка все изображения весьма вольно интерпретируются, внося аспект субъективности. Ограниченность дентальной рентгенографии также может быть обусловлена ошибкой рентгенолога. Любые неточности в получении изображения, начиная от неправильной ангуляции и заканчивая неверной конфигурацией зуба по отношению к сенсору, могут приводить к ошибкам при интерпретации снимков. Такие изображения плохого качества имеют артефакты и способствуют неправильной постановке диагноза. Многие исследователи, в том числе Goldman, подтвердили низкую корреляцию (47%) среди всех специалистов, проводивших лечение периапикальной патологии, прибегая к дентальной рентгенографии.
Конусно-лучевая компьютерная томография
КЛКТ используется в стоматологии начиная с 1981 года. В отличие от обычного КТ, которое создает изображение на разных слоях, КЛКТ создает изображение в 3D пикселях называемых воксель. Так как эти воксели являются изотропичными, объект тщательно измеряется в различных направлениях. Это позволяет визуализировать геометрически неискаженное изображение челюстно-лицевой области, которое возможно просматривать при разных углах. Вдобавок для обеспечения высокого разрешения изображения, КЛКТ доступно для просмотра с разных точек (FOV) для применения в различных ситуациях. В эндодонтии аппарат с ограниченным FOV обычно является достаточным. Обычно, чем меньше объем скана, чем выше пространственное разрешение изображения. Так как ранний симптом периапикальной патологии это прерывистость твердой пластинки и расширение периодонтальной щели, оптимальным разрешением при получении КЛКТ изображения, применяемом в эндодонтии, не должно превышать 200 нм - средняя ширина периодонтального пространства. 3D Accuitomo (K Morita, Corporation, Kyoto, Japan) - первая из малых FOV систем - обеспечивает разрешение в 0,125 мм. Orthophos XG3D (Sirons Germany) также обеспечивает получение FOV 5*5 специально для эндодонтических целей.
КЛКТ дает гораздо меньшую радиационную нагрузку, чем обычный КТ. Экспозиционная доза при проведении цифровой радиографии сравнима с получение обычных диагностических панорамных или прицельных снимков. Получение изображений для всей полости рта облучает примерно на 150 usv. Очевидно, что скан КЛКТ одного зуба с высоким разрешением, примененный в диагностическом процессе, заменяет 3 прицельных снимка. Трудно представить, что экспозиционная доза может быть более важным моментом, чем получение КЛКТ в благоразумной манере для получения информации, которая просто недоступно при работе с другими приборами.
КЛКТ в эндодонтии
1. Оценка морфологии корневого канала
Успех эндодонтического лечения зависит от обнаружения всех корневых каналов, а затем их оценки, очистки, обработке и обтурации. Частота встречаемости второго мезиобуккального канала (MB2) в верхних первых молярах варьирует от 69% до 93% в зависимости от выбранного метода исследования. Эта вариабельность возникает в букколингвальной плоскости, где наложение анатомических структур препятствует определению структур с малой разницей в плотности тени. Обычная рентгенография в самом лучшем случае может выявить только 55% этих конфигураций.
Ramamurthy и Matherene описывают ограниченность 2D изображений для определения MB2 каналов (Фото 1).
Фото 1: изображение MB2 в обоих первых молярах

Исследование, проведенное Neelkantan среди индийской популяции, обнаружило, что MB2 канал наиболее типичен для первого верхнего моляра по сравнению со вторым. Также IV анатомический тип канала встречается чаще, чем в монголоидной популяции.
Baratto Filho исследовали внутреннюю морфологию удаленных первых моляров верхней челюсти, сравнивая с данными, полученными при осмотре в микроскоп и при получении изображений КЛКТ ex vivo. Отчеты показали наличие 4-х каналов в 67,14% зубов и дополнительные корневые каналы в 92,85 % случаев в мезиобуккальном корне. Клиническая оценка показала слегка сниженный общий показатель (53,26%), но повышенный показатель выявления MB2 (95,63%), в то время как применение КЛКТ показало 37,05%. Ученые сделали вывод, что КЛКТ является хорошим методом для начальной оценки внутренней морфологии первого верхнего моляр, но для выявления устьев самым оптимальным способом является применение микроскопа. КЛКТ также применялся для выявления высокой встречаемости дистолингвального канала у Тайванцев, выявления аномалий в системе корневых каналов нижних премоляров, и помощи в выявлении искривлении корня (Фото 2).
Фото 2: Аксиальное изображение каналов C-формы во вторых молярах

С изобретением нового программного обеспечения для КЛКТ Orthophps CG3D/Galelios (Sirona, Germany) рабочая длина каналов также стала осуществляема. Но точность этих данных в клинической работе еще должна быть подтверждена (Фото 3).
Фото 3: Инструмент для измерения длинны корневого канала

2. Патологии в периапикальных тканях
Наиболее частым патологическим состоянием, затрагивающим зубы является воспалительные процессы пульпы и периапикальных областей. Технология КЛКТ теперь предоставляет клиницисту возможность обозревать нужную зону в трех различных плоскостях, тем самым получая 3D информацию. Поражения, заключенные в губчатом веществе кости с малым количеством или отсутствием кортикальной пластинки, на обычной пленке могут быть диагностированы с большим трудом. Lofthag-Hansen, Stavropoulos и Wenzel сравнили точность получаемых данных при КЛКТ с ограниченным FOV и обычными снимками.
Ученые сообщили, что КЛКТ предоставляет более точные диагностические данные (61%) по сравнения с цифровыми (39%) и обычными (44%) рентгенограммами. Но, несмотря на то, что данные КЛКТ являются более точными, исследователи не призывают к полному вытеснению обычной внутриротовой рентгенографии для выявления периапикальных изменений в обычной клинической практике из-за финансовой и вредностной составляющих. Estrela и коллеги предложили использовать периапикальные индексы, основанные на КЛКТ, для идентификации патологий (Фото 4-6).
Фото 4: Периапикальная киста в переднем сегменте нижней челюсти
А: 3D изображение, показывающее большую кистозную полость
B: Изображение секционного распила, показывающее утрату кортикальной пластинки
C: Аксиальный вид, демонстрирующий утрату кортикальной пластинки с лабиальной стороны и интактную пластинку с лингвальной.

Фото 5: Хронические периапикальные абсцессы около первого правого нижнего моляра

Фото 6: Поражение периодонтальных тканей около левого верхнего второго моляра

Система индексов КЛКТ состоит из 6 ступеней (0-5), исходящих из определения самого большого размера повреждения в каком либо из измерений, и принятие в расчет расширение и разрушение кортикальной кости.
Применяя данный индекс, Low пришел к выводу, что в обнаружение периапикальных патологий лучше использовать КЛКТ недели обычную рентгенографию.
КЛКТ с градиентом теней может оказать помощь в дифференциальном диагнозе кисты и гранулемы. В целом способность выявлять патологии у КЛКТ так же высока, как и у простой КТ. Этот способ может стать важным для пациентов, обращающихся с болевым синдромом или с неточно локализованными жалобами в области ранее леченных или не леченных зубов, на обычном рентгене которых патология не выявляется.
3. Переломы корня
Достаточно тщательно изучена польза и важность КЛКТ в процессе постановки диагноза и ведения зубоальвеолярной травмы, особенно переломах корня, люксации, смещения и переломе альвеолярного отростка.
КЛКТ найдено применение конкретно при диагностике перелома корня зубов.
(Фото 7,8) Высокая важность КЛКТ в определении вертикальных и горизонтальных переломов корня были также описаны в литературе. Элиминация наложения анатомических структур позволяет клиницисту четко анализировать перелом. Вдобавок, 3D реконструкция может быть осуществлена как зубочелюстной системы, так и альвеолярной кости.
Фото 7: Перелом корня в эндодонтически леченом верхнем правом втором моляре
А: ОПГ, показывающая ранее леченые каналы верхнего правого первого моляра
B: Аксиальное изображение, демонстрирующее линию перелома по небному корню
С: Секционный снимок, показывающий косую линию перелома небного корня

Фото 8: горизонтальный перелом правого верхнего центрального моляра
А: 3D изображение, демонстрирующее линию перелома у соединения средней и апикальной трети корня
B: Аксиальный снимок, показывающий горизонтальную линию перелома в передней части верхнего правого центрального резца
С: Косая линия отлома, распространяющаяся от мезиального каря центрального резца на секционном снимке.

4. Резорбция корня
Резорбция корня это утрата твердых тканей зуба в результате активности остеокластов. Это может происходить в рамках физиологического или патологического процесса. Корневая резорбция может быть классифицирована на внешнюю и внутреннюю, в зависимости от локализации процесса относительно поверхности корня. Первые данные о внутренней резорбции получены в 1830. В сравнении с внешней резорбцией внутренняя является весьма редким процессом, этиология которого до конца не изучена. Точность КЛКТ при определении дефектов поверхности хоть и является более высокой по сравнению со стандартной техникой, но, все же, не идеальна и повышается при повышении разрешения вокселей снимка. КЛКТ также показала свою состоятельность при оценке постортодонтической апикальной резорбции, в частности корней латеральных резцов верхней челюсти при импактных клыках.
На КЛКТ внешняя резорбция проявляется как неравномерная рентгенопрозрачность и интактный канал зуба, внутренняя же резорбция выглядит как четкий очаг без прослеживания корневого канала.
КЛКТ с успехом применяется для определения внутренней резорбции и дифференциации ее от внешней. Обычная рентгенография часто не может выявить верный объем распространения, локализации и источник резорбтивного процесса. КЛКТ помогает в определении с тактикой лечения, а также предлагает составить верный прогноз на основе активности и распространенности поражения. И лечение, и результат лечения таким образом становятся более предсказуемыми.
5. Послеоперационная оценка
Мониторинг заживляющего процесса апикальных поражений является важным аспектом в послеоперационном этапе эндодонтии. Также адекватная обтурация корневого канала - это важная детерминанта эндодонтического успеха. Можно заявить, что КЛКТ весьма полезна как при начале лечения, так и при отслеживании последующего состояния зуба. Sogur сообщает, что изображения, полученные при обычном рентгенологическом исследовании в послеоперационном периоде являются более информативными, чем КЛКТ. Этот факт ученый объясняет наличием большого количества артефактов на снимках КЛКТ, обусловленных присутствием гуттаперчи и силлера в каналах (Фото 9).
Фото 9: Артефакты обтурированных корневых каналов

Применение КЛКТ в определение точного места перфорации и ее роли в дальнейшем плане лечения проиллюстрировал Young (Фото 10).
Фото 10: Перфорация корня, хорошо заметная на аксиальном снимке

Преоперативная оценка периапикальных тканей является важным этапом для предотвращения осложнений. Близкое расположение апекса к нижнечелюстному каналу, ментальному отверстию и гайморовой пазухе может быть оценено именно на снимках КЛКТ. Rigolone был первым, кто описал важность КЛКТ для планирования эндодонтического вмешательства.
Важность КЛКТ для апикальной хирургии зубов, близко прилежащих к верхнечелюстной пазухе, последовательно была показана Nakata, который продемонстрировал клинический случай локализации перирадикулярной патологии у конкретного корня. Tsurumachi и Honda описали применение КЛКТ в локализации отломка эндодонтического инструмента, прошедшего в верхнечелюстную пазуху.
Заключение
Несмотря на очевидные преимущества технологии КЛКТ в стоматологии, можно также отметить и некоторые недостатки и ограничения. Технология КЛКТ на настоящий момент не является широко доступной. Постепенно с внедрением и осваиванием специалистами КЛКТ станет более распространенным способом диагностики. Хотя эта техника находится на рынке уже несколько лет, она продолжает оставаться дорогостоящей. Для большинства эндодонтических манипуляций достаточно только малое FOV 4*4 мм.
Лимитирование FOV позволяет не только сократить дозу облучения, время сканирования и артефакты, но также сфокусироваться на структурах, знакомых стоматологам. Что же ожидается в будущем касательно эндодонтии к КЛКТ? Захотят ли стоматологи сами приобретать аппарат или получать снимки специального радиолога из центра, не известно. Совершенно ясно только одно: все больше и больше стоматологов внедряют в свою практику применение КЛКТ.
Автор: Sushma Prashant Jaju, BDS, MDS
Operative Dentistry and Endodontics, Dentocare multispeciality Dental Clinic, Nashik, Maharashtra, India
Читайте также:
