Местная противовоспалительная терапия парадонтита. НПВП при заболеваниях парадонта
Добавил пользователь Евгений Кузнецов Обновлено: 13.12.2025
Болезни пародонта - это обобщающий термин, используемый для описания инфекционного воспалительного процесса, который может поражать один структурный элемент или комплекс составных элементов пародонта. Структуры, поддерживающие зуб, представлены альвеолярной костью, периодонтальной связкой и цементом корня. Заболевания пародонта в основном спровоцированы действием зубного налета или микробной биопленкой, представляющей собой гетерогенную структуру из патогенных микроорганизмов. Более 500 видов микроорганизмов считаются потенциальными этиологическими агентами, провоцирующими поражение тканей пародонта. Кроме них, вирусы и грибки тоже играют не последнюю роль в патогенетическом процессе. При возникновении и прогрессировании заболевания патогенные микроорганизмы колонизируют область десен, окружающую зуб, а вследствие их воздействия на ткани начинает формироваться пародонтальный карман. В глубоких пародонтальных карманах можно найти до 109 разновидностей бактерий, но несмотря на потенциал многих патогенов, которые ассоциируются с заболеваниями пародонта, лишь небольшое их количество связано с активной фазой заболевания.

Socransky и коллеги разделили патогенные микроорганизмы, участвующие в прогрессировании заболевания на две основные группы: "красный" и "оранжевый" комплексы. Красный комплекс включает в себя следующие грамотрицательные анаэробные бактерии: Porphyromonas gingivalis, Treponema denticola и Tanneralla forsythia, в то время как оранжевый комплекс состоит из Prevotella nigrescens, Peptostreptococcus micros, Campylobacter rectus, Centruroides gracilis, Campylobacter showae, Eubacterium nodatum и Streptococcus constellatus. Кроме них, с болезнями пародонта тесно ассоциируются Aggregatibacter actinomycetemcomitans и Eikenella corrodens. В результате многочисленных исследований было установлено, что для достижения успешного результата лечения, один из аспектов терапии должен быть направлен именно на нейтрализацию данных бактерий, жизнедеятельность которых напрямую связана с протеканием заболевания.
Антибиотики
Системная антибиотикотерапия должна рассматриваться как один из приемлемых вариантов лечения пациентов с пародонтитом. Данный подход актуален для пациентов, резистентных к обычной терапии заболевания, или у которых наблюдаются следующие проблемы со здоровьем: наличие абсцесса, компромиссное или ослабленное состояние иммунитета, неконтролируемый сахарный диабет, присутствие признаков и симптомов системных поражений, лихорадки и лимфаденопатии. Выбор наиболее подходящего системного антибиотика должен основываться на результатах культивирования микроорганизмов и тестирования их чувствительности к определенному препарату. Таким образом, удается узнать, во-первых, какие микроорганизмы присутствуют в области поражения, и, во-вторых, подобрать наиболее эффективный и действующий агент. Но следует помнить, что системная антибиотикотерапия не должна быть единственным методом лечения, а лишь представлять собой сегмент комплексного подхода обследования, диагностики и разработки адекватной системной терапии. Антибиотикотерапия, как и какой-либо другой метод лечения, имеет свои преимущества и недостатки. Поскольку прием данных препаратов является довольно таки известным методом лечения, пациенты, как правило, понимают основные ключевые моменты данного лечения, и без проблем соглашаются на предложенный алгоритм курса медикаментов. Но вместе с тем, пациенты часто могут путать официальные основные наименования лекарств, забывать дозу, время или даже сам факт их приема, нарушая тем самым эффект их действия. Системные антибиотики могут вызывать побочные эффекты и нарушения функционирования желудочно-кишечной системы в форме диареи или абдоминальных спазмов. Другие возможные негативные влияния препаратов связаны с аллергическими реакциями и возникновением резистентности бактерий к антибиотикам при их длительном и неконтролируемом приеме. Бактериальная резистентность является серьезной проблемой в медицине, поскольку она формирует ряд других научно-клинических дилемм относительно терапевтического соотношения риска лечения против потенциальной пользы от приема антибиотиков.
Системные антибиотики достигают тканей пародонта путем транссудации из сыворотки крови, после чего проходят через соединительный эпителий и выстилку десневого кармана, чтобы попасть в область десневой борозды. Эффективная концентрация антибиотика при достижении им десневой борозды во время курсового приема отличается от таковой в любой другой системе тканей или органе с признаками инфицирования, что связано со специфической структурой пародонта. Существует ряд уже хорошо апробированных схем приема антибиотиков для лечения заболеваний пародонта, которые, как правило, используются в сочетании с механическим удалением над- и поддесневых отложений и бактериального налета. Данный подход в комплексе с эффективной домашней гигиеной полости рта направлен на снижение бактериальной нагрузки в области тканей десны выше и ниже маргинальной границы. Некоторые врачи обычно назначают схемы антибиотикотерапии для лечения и управления заболеваниями пародонта на основе амоксициллина (375 мг) и метронидазола (500 мг) при приеме препаратов 3 раза в день в течение 7 дней в сочетании с проведением скейлинга ротовой полости и полной очисткой области корней в первые 48 часов. Такой подход помогает достичь уменьшения глубины карманов и снизить уровень кровотечения, что было обнаружено при сравнении результатов лечения в исследуемой и контрольной группах. Альтернативная схема лечения предусматривает прием азитромицина (500 мг) в течение 3 дней до проведения процедуры полного удаления зубного камня и очистки поверхности корней, чтобы уменьшить количество бактерий красного комплекса и снизить показатели гингивального индекса. При отсутствии возможностей проведения посева культуры бактерий и определения их чувствительности к антибиотикам, можно пользоваться эмпирическим принципом назначения препаратов для лечения пародонтита. Обоснованные варианты лечения включают в себя комбинацию амоксициллина и метронидазола (250 мг - 500 мг каждого) с приемом препаратов 3 раза в день в течение 8 дней, или комбинацию метронидазола и ципрофлоксацина (500 мг) в течение 8 дней по 2 раза в сутки.
Местная антибиотикотерапия является альтернативным адъюватным вариантом лечения, который также может применятся в ходе лечения поражений пародонта. Суть процедуры состоит в доставке антибиотика непосредственно в пародонтальный карман - то есть прямо в место колонизации патогенных бактерий, при этом концентрация антибиотика в области поражения по сравнению с системным приемом заметно увеличивается. Другим преимуществом является отсутствие потенциальных нарушений расстройств желудочно-кишечного тракта и аллергических реакций. Первым антибиотиком, используемым для местного лечения, был Actisite (пародонтальный тетрациклин). Он состоял из нерезорбируемых, пропитанных тетрациклином, волокон, которые помещались непосредственно в пародонтальный карман и оставались там в течение 10 дней - вплоть до следующего визита к стоматологу. Со временем проходило усовершенствование препаратов и методов их доставки в область пародонтального поражения. Таким образом, был разработан Atridox (Denmat), который является первым резорбируемым антибиотиком местного действия, состоящим из гелевой формы доксициклина. Данный препарат вводится в карман с помощью шприца, и при контакте со слюной - затвердевает, приобретая восковую консистенцию. Таким образом, антибиотик может выделятся из затвердевшей фазы на протяжении 21 дня. Arestin (Orapharma) также является представителем местных рассасывающихся препаратов антибактериального действия, который состоит из гранул миноциклина в форме порошка. Поставляется он в виде ампул, заряженных в шприц. Порошок вводится непосредственно в пародонтальный карман, высокий уровень его терапевтического действия продолжается в течении 14 дней, а сам препарат остается в кармане на протяжении 28 суток. Исследования доказали, что использование антибиотиков местного действия вместе с процедурой полного удаления зубного камня и очисткой поверхности корней позволяет добиться клинически эффективных результатов: наблюдается уменьшение глубины карманов и частичное восстановление нарушенного биологического прикрепления.
Противомикробные ополаскиватели полости рта
Противомикробные полоскания являются хорошо известными и приемлемыми процедурами, эффективно дополняющими комплексное лечение воспаления тканей десен. Примерами аргументированного их использования являются ситуации, когда пациент не в состоянии обеспечить оптимальный уход за полостью рта с помощью обычных гигиенических средств в домашних условиях, например, в послеоперационный период. Чтобы правильно выбрать ротовой ополаскиватель, который бы эффективно справлялся с воспалением десен и в то же время с профилактикой зубного налета, нужно узнать имеет ли он Сертификат одобрения Американской стоматологической ассоциацией. Если да, то данный продукт прошел через ряд клинических, биологических и лабораторных испытаний, которые доказали его противовоспалительную и антибактериальную эффективность. Однако, следует понимать, что данная оценка является рекомендательной, но никак не директивной в отношении препарата. Единственными ополаскивателями, доступными на рынке с соответствующей оценкой Ассоциации, являются представители с фенольными составляющими, по типу Listerine и других аналогичных версий. Золотым стандартом среди антимикробных ополаскивателей также считается хлоргексидин глюконат (0,12%), который в США отпускается лишь по рецепту и известен под коммерческими названиями Peridex и PerioGuard (Colgate-Palmolive). Хлоргексидин является наиболее эффективным антимикробным ополаскивателем, снижающим число бактерий и обеспечивающим эффективное лечение гингивита. Препарат более эффективен в отношении грамположительных бактерий и дрожжей, и менее эффективен в борьбе с грам-отрицательными патогенами. Его обычно назначают в послеоперационный период для снижения бактериальной нагрузки в период заживления. Хлоргексидин имеет высокую субстантивность, что обеспечивает его пролонгированное действие. Некоторые побочные эффекты, связанные с использованием хлоргексидина, включают потенциальное окрашивание зубов и спинки языка; изменение вкусовых восприятий; риск возможного образования наддесневого камня, формирование признаков мукозита и десквамации эпителия. Другими противомикробными ополаскивателями, доступными для широких масс, но менее часто рекомендованными специалистами, являются производные четвертичного аммония, такие как Cepacol (Reckitt Benckiser). Продукты на основе сангвинарина, по типу Viadent, больше широко не доступны на рынке. Продукты на основе оксигенатов, как пероксид водорода, рекомендуется чаще использовать в форме пасты. Они владеют противовоспалительными свойствами, благодаря которым уменьшаются признаки кровотечения. Последнее является важным критическим показателем для оценки воспаления пародонта. Однако данные представители имеют лишь небольшое влияние на уровень бактериальной контаминации, а в последнее время все чаще высказывается мнение об их возможном канцерогенном потенциале. Триклозан является еще одним антимикробным агентом, поставляющимся в форме зубных паст и ополаскивателей. Тем не менее, согласно данных исследований, он тоже демонстрирует минимальное влияние на микробную флору полости рта, а безопасность его использования до сих пор находится под вопросом.
Противовоспалительные агенты
Мы должны помнить, что заболевания пародонта имеют инфекционную природу, а воспалительные явления являются иммунным ответом организма на микробную контаминацию. В воспаленных тканях процесс размножения патогенных бактерий происходит быстрее, что приводит к прогрессированию патологических и разрушительных эффектов воспалительного процесса, посредством активации клеток иммунной системы организма (макрофагов и их предшественников, моноцитов, лимфоцитов, и полиморфноядерных лейкоцитов, таких как нейтрофилы). Компоненты микробной структуры, по типу липополисахарида, который находится в стенках клеток грамотрицательных анаэробных микроорганизмов, активируют макрофаги для продуцирования и секретирования провоспалительных цитокинов, таких как интерлейкин-1 (IL-1) и фактор некроза опухолей-альфа (TNF-alpha). Интерлейкин-1 стимулирует резорбцию кости, а также способствует высвобождению PGE2 клетками фибробластов, которые являются основными и наиболее распространенными типами клеток соединительной ткани. Фибробласты синтезируют коллаген - основной структурный белок соединительной ткани, который является также основным компонентом волокон десны и кости. Данные клетки и клетки воспалительной реакции (нейтрофилы и макрофаги) синтезируют матриксные металлопротеиназы (ММР), которые представляют собой ферменты или белки, участвующие в ряде биологических реакций. Например, ММР-1 и ММР-8 являются ферментами, которые принимают участие в деградации коллагена, что значительно ослабляет структуру пародонта. Активация иммунной системы по своей сути является защитной реакцией организма - ответом на бактериальную инвазию, однако в ходе механизма реализации иммунного ответа происходит разрушение тканей самого организма-хозяина. Данный феномен связан с высвобождением цитокинов, провоспалительных медиаторов и ММР, поскольку данные агенты действуют не только локально на ткани пародонта, но попадая в кровоток могут вызвать и нежелательные системные эффекты.
ММР являются группой протеолитических ферментов, обнаруженных в тканях пародонта, которые в своем составе имеют коллагеназу и желатиназу. Функция данных ферментов состоит в ремоделировании внеклеточного матрикса. Поскольку исследователями было обнаружено, что доксициклин имеет антиколлагенлитические свойства, они предложили использовать его в качестве модуляторного агента для лечения пародонтита. Субантимикробные дозы доксициклина (20 мг дважды в день) являются эффективными для ингибирования активности коллагеназы, и в то же время никак не влияют на фактор антимикробной резистентности при его использовании в сочетании с полным удалением зубного камня и очисткой поверхности корней. Такой подход обеспечивает максимальный эффект для восстановления биологического прикрепления тканей и снижения глубины пародонтальных карманов.
Пероральные лекарственные средства
Нестероидные противовоспалительные препараты (НПВП) также были изучены в качестве ингибиторов реакции организма хозяина при лечении заболеваний пародонта. Механизм их действия состоит в предотвращении продукции простагландинов. Простагландин Е2 (PGE2) напрямую ассоциирован с процессами воспаления и резорбции костной ткани, что подтверждено его верификацией в пораженных пародонтальных участках. В ходе изучения различных НПВП (флурбипрофен, ибупрофен, кеторолак, напроксен, аспирин), которые вводились системно или локально, было обнаружено, что при их сочетании с процедурой полного удаления зубного камня и очисткой поверхности корней, удавалось сохранить имеющуюся высоту альвеолярного гребня, предупреждая его резорбцию. Бисфосфонаты представляют собой класс препаратов, ингибирующих резорбцию альвеолярной кости, которые также были использованы в качестве хост-модулирующих агентов при лечении заболеваний пародонта. Исследования показали, что бисфосфонаты при использовании в сочетании с полной очисткой полости рта, обеспечивают снижение глубины пародонтальных карманов и уровня кровотечения во время зондирования, а также улучшают восстановление биологического прикрепления и обеспечивают сохранение высоты альвеолярного гребня. Однако, несмотря на потенциальные преимущества бисфосфонатов, исследования показали, что длительное применение и высокие дозы препаратов инициируют остеонекроз челюстей. Очевидно, что для аргументированных выводов необходимо проведение дальнейших более детализированных исследований, которые помогут определить соотношение потенциальной пользы препаратов и относительного риска осложнений в процессе лечения пародонтита.
Хост-модулирующая терапия
Локальное применение хост-модулирующих агентов, таких как эмалевые матриксные протеины, костные морфогенетические белки и тромбоцитарные факторы роста, может быть довольно эффективным в ходе комплексного лечения пародонтита. Эмалевые матриксные протеины доступны в форме препарата Emdogain (Straumann) и успешно используются в ходе восстановления пародонтальных дефектов. Данные белки играют роль модуляторов заживления, стимулируя регенерацию всех пародонтальных компонентов поддерживающего аппарата зуба. Костные морфогенетические белки способствуют модуляции и дифференциации мезенхимальных клеток в клетки-предшественники костной ткани. Они действуют в качестве каркаса, на который может наращиваться новая костная ткань, и часто используются при направленной костной регенерации во время аугментации альвеолярного гребня. Наконец, тромбоцитарные факторы роста усиливают хемотаксис нейтрофилов и моноцитов, стимулируют пролиферацию фибробластов, а соответственно и синтез внеклеточного матрикса, а также повышают уровень дифференциации мезенхимальных клеток-предшественников, фибробластов и эндотелиальных клеток. Именно тромбоцитарные факторы роста наиболее часто используется при хирургических вмешательствах на тканях пародонта с целью ускорения их регенерации.
Выводы
Новые знания относительно хост-бактериальных взаимодействий и иммунных реакций организма, которые провоцируют поражение тканей пародонта, станут полезными для разработки более новых и эффективных концепций лечения пародонтита с использованием системных и местных антибиотиков, антимикробных ополаскивателей и принципов хост-модулирующей терапии. Результаты дальнейших исследований могут пролить свет на вспомогательную адьювантную терапию, которая может быть использована для коррекции алгоритмов лечения с целью достижения наиболее успешного эффекта комплексной терапии поражений поддерживающего аппарата зуба.
Анализ эффективности препаратов для лечения патологии пародонта
И. В. Зеленский
главный врач детской стоматологической поликлиники, соискатель кафедры стоматологии общей практики и детской стоматологии ФГБОУ ВО «Ставропольский государственный медицинский университет» Минздрава России
Б. Б. Сысуев
д. ф. н., доцент кафедры фармакологии Пятигорского медико-фармацевтического института ФГБОУ ВО «Волгоградский государственный медицинский университет» Министерства здравоохранения России
В. А. Зеленский
д. м. н., профессор, заведующий кафедрой стоматологии общей и детской стоматологии ФГБОУ ВО «Ставропольский государственный медицинский университет» Минздрава России
А. А. Долгалев
д. м. н., доцент кафедры стоматологии общей практики и детской стоматологии ФГБОУ ВО «Ставропольский государственный медицинский университет» Минздрава России
Патология пародонта и кариозное поражение зубов являются наиболее распространенными стоматологическими заболеваниями. Клиническое течение пародонтопатии имеет характерные особенности: латентный период развития в начальной стадии, затем острое течение, но чаще хроническое с регулярными обострениями. В начальной стадии патологию пародонта сложно диагностировать, так как симптоматика выражена не ярко, а при хроническом течении процесса купирование его сопряжено с определенными трудностями. Тяжелые формы пародонтита, приводящие к потере зубов, отмечаются у 15-20 % людей среднего возраста (35-44 года).
Базовым этапом лечения заболеваний пародонта является терапевтическое лечение без применения хирургических методов. Значительное место отводится медикаментозной терапии, в частности местной, с использованием антисептических, антибактериальных, противовоспалительных и десенсибилизирующих препаратов. Также широко применяются лекарственные средства, нормализующие микроциркуляцию и тканевый обмен, усиливающие регенерацию, иммуномодуляцию, обладающие сорбентной и антиоксидантной активностью и т. д. Клиника заболеваний пародонта — особенности этиологии и патогенеза, анатомо-физиологического строения тканей и течения патологического процесса — определяет выбор лекарственных форм и биоактивных компонентов для оптимизации лечения. Перманентный поиск вспомогательных веществ, способных повысить эффективность лечения патологии пародонта, весьма актуален.
Цель исследования: провести научный анализ особенностей применения существующих лекарственных форм, медикаментов и медицинских изделий, используемых в лечении заболеваний пародонта.
Материалы и методы
Исследование проводилось с использованием информационно-поисковых и библиотечных баз данных (eLIBRARY, Cyberleninca, Scopus, PubMed), технической информации, представленной производителями лекарственных средств и медицинских изделий. Методы исследования, использованные в работе, — информационный, аналитический, описательный.
Результаты и обсуждение
Эффективность терапии определяется формой и состоянием лекарственного препарата, способами его применения, которые обеспечивают достижение оптимального лечебного эффекта. К физиологическим особенностям ротовой полости относится обильная саливация, которая значительно снижает концентрацию вещества в зоне нанесения, сокращает время экспозиции медикамента и тем самым снижает лечебный эффект. Кроме того, применение некоторых средств из-за специфики формы и органолептических характеристик не всегда позитивно воспринимается пациентом и представляет определенную проблему. Заболевания пародонта носят хронический характер, и купирование процесса или его стабилизация возможны только при комплексном подходе к лечению с применением определенных лекарственных форм, средств и лечебно-профилактических мероприятий.
Современные средства, используемые для лечения заболеваний пародонта, представлены растворами, настойками и экстрактами, гелями, пастами, самоклеящимися повязками, рассасывающимися лечебными пластинами. Лекарственные формы имеют характерные положительные особенности и свои недостатки, это создает предпосылки для их дальнейшего совершенствования.
Растворы и ополаскиватели
Растворы используются для орошений слизистой полости рта, что особенно эффективно при начальных формах краевого пародонтита (гингивите), при подготовке к удалению поддесневых зубных отложений, при антисептической обработке пародонтальных карманов. В форме растворов используются антисептики: йод (раствор Люголя), 0,2-2,0 % раствор хлоргексидина (например, «БелСол» жидкость-концентрат № 2, жидкость для антисептической обработки), 0,05 % раствор мирамистина, 3 % раствор перекиси водорода. К водным растворам антимикробного и противовоспалительного действия относятся: настойка календулы, настойка прополиса, жидкие экстракты «Ротокан» и «Стоматофит». При заболеваниях пародонта в качестве противовоспалительного средства также рекомендован раствор «ОКИ» для местного применения, содержащий кетопрофена лизиновую соль.
Инстилляция полости рта ополаскивателями оказывает благотворное действие на поверхность слизистой оболочки, в том числе и в труднодоступных местах и межзубных промежутках. Лечебно-профилактическое действие жидких средств гигиены полости рта, представленных на современном фармацевтическом и косметическом рынке эликсирами, ополаскивателями, освежителями, бальзамами и т. п., проявляется в антимикробном эффекте.
При использовании растворов лекарственное средство, как правило, размывается секретом слюны и десневой жидкости, это снижает его концентрацию в очаге воспаления и приводит к попаданию в желудочно-кишечный тракт. Так, в исследованиях установлено, что при использовании геля «Поликатан» в сочетании с общепринятой терапией число случаев нормализации микрофлоры на 23-31 % больше в сравнении с применением водной формы препарата.
Пролонгирование действия растворов возможно за счет введения вязких полимеров — например, раствора «Гиалудент» с хлоргексидином (раствор на основе хлоргексидина и гиалуроната натрия) для антисептической обработки пародонтальных карманов. Гиалуроновая кислота создает депо препарата в месте аппликации и постепенно освобождает хлоргексидин.
Гели и повязки
Стоматологические гели для лечения патологии парадонта занимают значительное место. Это такие препараты, как «Метрогил Дента», «Гиалудент с хлоргексидином», «ФторАсепт», «Диклоран®Дента», «Холисал», «Регенирин» и др. Использование гидрофильных гелеобразователей (производных целлюлозы, карбомера, камедей природного происхождения) в основе стоматологических гелей способствует усилению адгезивности, фокусированию действия активных компонентов препарата с пролонгацией фармакологического эффекта. Кроме того, они обладают хорошими тиксотропными свойствами, текучестью и высокой проницаемостью. Вышеперечисленные стоматологические гели свободно реализуются через аптечные сети, самостоятельное их использование для аппликации допустимо в домашних условиях.
Перспективной основой стоматологических гелей является вещество тизоль: оно удобно для аппликации, не повреждает слизистую, нетоксично, имеет высокую адгезивную способность. Препарат «Тизоль», используемый в «линейной» технике, наносится тонким слоем на десневую поверхность — через 30-60 секунд нанесенный слой превращается в тонкую прозрачную пленку, которую пациент практически не ощущает.
Лечебные пародонтальные повязки применяют с целью пролонгации действия лекарственного вещества в пародонтальных карманах. Они обладают противовоспалительным эффектом, стимулируют регенерацию тканей пародонта после хирургических вмешательств и в процессе терапевтического лечения. Пародонтальные лечебные повязки преимущественно имеют мазевую основу, фармакологическая пропись представлена противовоспалительными препаратами, антибиотиками, витаминами и иммуностимуляторами.
Применение лечебных повязок увеличивает время экспозиции лекарственных препаратов на пародонтальных тканях до 2 и более часов. Недостаткам их использования считаются нарушение трофики тканей с развитием пролежней, явления мацерации, дискомфорта и неприятные вкусовые ощущения, вплоть до тошноты.
Пасты
В комплексе реабилитационных мероприятий после глубокого кюретажа и операций на тканях пародонта используются пластичные самотвердеющие пасты. Лечебные пасты «Септо-пак» и «Парасепт» рекомендуют применять для защиты лекарственных компонентов, внесенных в десневой карман, от вымывания слюной. Такие защитные компрессы наносятся на пародонтальные ткани в течение 2-3 минут, окончательное отверждение пасты происходит через 20-30 минут.
Лечебно-профилактические пасты-повязки «Витадонт» и «ППА1-РАД» стимулируют репаративные процессы в тканях пародонта, способствуют заживлению травматических и иных повреждений слизистой оболочки полости рта. Время экспозиции пасты-повязки иногда длится несколько часов, и это не позволяет использовать ее в качестве изолирующей.
К противовоспалительным средствам, используемым в лечении патологии пародонта, относятся также дентальная адгезивная паста «Солкосерил» и стоматологический бальзам «Асепта», приготовленные на основе пектина и производных целлюлозы. При локальном нанесении на слизистую оболочку десны эти препараты набухают за счет своей основы и фиксируются, тем самым лечебное действие пролонгируется до 15-30 минут. Недостатком формы является необходимость предварительного подсушивания десны (при нанесении на невысушенную поверхность возможно уменьшение продолжительности действия) и необходимость смачивания водой бальзама после нанесения.
Пленки и пластины
Стоматологические пленки или саморассасывающиеся пластины также являются эффективными средствами местной антимикробной и противовоспалительной терапии. Основа саморассасывающихся пластин «КП-Пласт» «КП-Пласт-фито», «КП-Пласт-вита», «КП-Пласт-антимикробный», «Пластины ЦМ-1» представлена природными полисахаридами. Кроме этого используются стоматологические самоклеящиеся пленки «Диплен Дента» и коллагеновые пластины «Фармадонт».
Накладываются они непосредственно на пораженный участок слизистой, выделение лекарственных компонентов пролонгированное, для разных составов, длится от 2 до 12 часов. Преимуществами стоматологических пленок считаются точность дозировки, постоянная концентрация биологически активных веществ в течение времени экспозиции, прочная фиксация к влажным и твердым тканям, достаточная газопроницаемость для нормального протекания репаративных процессов, удобство применения, что дает возможность самостоятельного использования пациентами.
Хорошая адгезия пленок и пластин обеспечивает входящий в их состав полимер (желатин, коллаген, поливиниловый спирт). Пластины, соприкасаясь с влажной десной, впитывают слюну и постепенно превращаются в гель, фиксируясь на поверхности десны. Особенностью пленок «Диплен-Дента» является наличие двух слоев — гидрофильного и гидрофобного. Гидрофильный слой (гидрофильная сторона) обладает способностью приклеиваться к влажной слизистой оболочке. Наружный гидрофобный слой пластичен, хорошо моделируется на поверхности слизистой рта и изолирует пораженный участок от внешних механических, химических и бактериальных воздействий.
Грязи и минеральные соли
В настоящее время налажен выпуск десневых аппликаторов на основе лечебных грязей (сакской иловосульфидной и тамбуканской). Они высоко гигиеничны, с хорошей сохранностью активного компонента, удобны в применении, что позволяет их использовать не только в стоматологических кабинетах санаториев, но и в домашних условиях. При орошении ротовой полости минеральной водой с рапой, бишофитом и другими природными солями растворению подвергаются элементы ороговевшего эпителия, вымывается содержимое патологических пародонтальных карманов, улучшаются крово- и лимфообращение тканей пародонтального комплекса и, как следствие, проявляется противовоспалительный эффект. Актуальным направлением являются разработка и производство стоматологических гелей и средств гигиены полости рта на основе природных минеральных солей для расширения возможности их применения в лечении заболеваний пародонта.
Заключение
Таким образом, кроме пролонгированного, дозированного, постоянного терапевтического воздействия на ткани пародонтального комплекса, что достигается использованием различных гелеобразователей (тизоль), входящих в состав гелей, паст, стоматологических пленок, средства гигиены и ухода за ротовой полостью должны быть удобны в применении.
Зеленский Илья Владимирович, главный врач детской стоматологической поликлиники, соискатель кафедры стоматологии общей практики и детской стоматологии ФГБОУ ВО «Ставропольский государственный медицинский университет» Минздрава России, Россия, Ставрополь
Zelensky I.V., Chief Doctor of the Children’s Dental Polyclinic of the Stavropol State Medical University of the Ministry of Health of Russia, Russia, Stavropol
Сысуев Борис Борисович, доктор фарм. наук, профессор кафедры фармацевтической технологии и фармакологии; профессор кафедры экономики и организации здравоохранения и фармации, Россия, Пятигорск
Sisuev B.B., Doctor of Pharmaceutical Sciences, Professor of the Department of Pharmaceutical Technology and Pharmacology; Professor of the Department of Economics and Organization of Health and Pharmacy, Russia, Pyatigorsk
Зеленский Владимир Александрович, профессор, заведующий кафедрой стоматологии общей и детской стоматологии ФГБОУ ВО «Ставропольский государственный медицинский университет» Минздрава России, Россия, Ставрополь
Zelensky V. A., Professor, Head of the Department of General and Children’s Dentistry of the Stavropol State Medical University of the Ministry of Health of Russia, Russia, Stavropol
Долгалев Александр Александрович, доцент кафедры стоматологии общей практики и детской стоматологии ФГБОУ ВО «Ставропольский государственный медицинский университет» Минздрава России, Россия, Ставрополь
Dolgalev A.A., Professor, Department of General and Children’s Dentistry of the Staropol State Medical University of the Ministry of Health of Russia, Russia, Stavropol
355003, Россия, Ставрополь, ул. Мира, 310
Analysis of the effectiveness of drugs for the treatment of periodontal disease
Общее лечение заболеваний пародонта.
М.О. Нагаева) на основании требований Государственного образовательного стандарта высшего профессионального образования по специальности 060105 «Стоматология» (2000г.), учебного плана (2004г.), типовой программы «Стоматология терапевтическая»
Утверждено на заседании кафедры терапевтической стоматологии
Курс 4, семестр 7.
Модуль №5. Заболевания пародонта.
Значение темы: комплексное лечение включает в себя сочетанное применение различных методов и средств. Важная роль, исходя из этиологии заболеваний, отводится общему лечению. Для достижения положительного результата необходимо знать группы лекарственных препаратов, применяемых для общего лечения заболеваний пародонта и уметь их применять.
Цель занятия:
Изучить цели общего лечения болезней пародонта, познакомиться с группами лекарственных препаратов и механизмом их действия, познакомиться с показаниями и противопоказаниями к их применению при различных заболеваниях пародонта. Научиться выписывать рецепты.
План изучения темы:
1.Вступление -5 мин.
3.Разбор теоретических вопросов (форма презентации темы) - 20 мин.
4.Выполнение практической работы - 120 мин.
5.Выходной контроль (устный опрос, тесты) - 15 мин.
6.Заключение - 5 мин.
Самостоятельная работа студентов.
А) Вопросы базовых дисциплин:
Механизм действия противомикробных препаратов.
Перечислите группы противомикробных препаратов.
Витамины и механизм их биологической активности.
Механизм действия десенсибилизирующих средств.
Препараты, стимулирующие специфическую и неспецифическую резистентность организма, механизм их действия.
Б) Задание на проверку и коррекцию исходного уровня знаний:
В) Структура содержания темы:
Цели общего лечения болезней пародонта.
Перечислите группы лекарственных веществ, применяемых для общего лечения болезней пародонта.
Лекарственные средства, оказывающие влияние на различные звенья этиопатогенеза воспалительного процесса в пародонте.
Антибиотики, механизм их действия, показания к применению, основные параметры для выбора антибиотика (доксицикдин, линкомицин, клиндамицин, сумамед, офлоксацин, метронидазол). Противогрибковые антибиотики (нистатин).
Десенсибилизирующие средства, антигистаминные препараты (димедрол, пипольфен, диазолин, фенкарол, тайегил, супра-стин, гисталонг), механизм их действия и способы применения.
Витаминотерапия (витамин С, А, Е, Р; поливитамины: компливит, юникап).
Стимулирующая терапия, показания и противопоказания к применению, механизм действия (перидол, инсадол, вадурил, имудон) .
Студенты ведут приём больных с заболеваниями пародонта, ставят диагноз и назначают общее лечение по показаниям, выписывают рецепты, заполняют медицинскую документацию.
Основная цель общего лечения - ликвидация воспалительного процесса, который начинается в десне и распространяется на все ткани пародонта. Лечение должно проводиться комплексно, целенаправленно, строго индивидуализировано. Основные направления фармакотерапии заболеваний пародонта - воздействие на микроорганизмы зубной бляшки и повышение защитных сил организма. Для воздействия на микрофлору зубной бляшки применяют антимикробные средства. Для повышения защитных (иммунных) сил организма используют общеукрепляющую и стимулирующую терапию.
Антибиотики - вещества, являющиеся продуктами жизнедеятельности микроорганизмов, подавляющие рост и развитие определенных групп других микроорганизмов.
Применение нестероидных противовоспалительных препаратов в комплексном лечении эндодонто-пародонтальных поражений
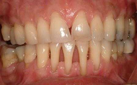
Эндодонто-пародонтальные поражения (ЭПП) - сложная проблема современной стоматологии, так как их диагностика и лечение требуют от врача знаний в области пародонтологии и эндодонтии (рис. 1, 2).
Рис. 1. ЭПП в области зубов 24 и 25.

Рис. 2. ЭПП в области зуба 35.

Спецификой лечения ЭПП является необходимость одновременного устранения патогенной микрофлоры из системы корневых каналов и пародонтального кармана, так как именно это определяет успех лечения. В комплексе мероприятий по лечению ЭПП мы проводили первичное или повторное эндодонтическое лечение (по показаниям), профессиональную гигиену и обработку пародонтальных карманов с использованием газообразного озона. Озон - трехатомный кислород, который при контакте с атмосферным воздухом разлагается на двух- и одноатомный кислород, являющийся сильнейшим окислителем, который превосходит по силе гипохлорит натрия, и уничтожающий все известные вирусы и бактерии, что делает его наиболее эффективным антибактериальным средством в клинической стоматологии, имеющимся на сегодняшний день. Механизм антибактериального действия озона заключается в избирательном воздействии одноатомного кислорода на клеточную мембрану бактерий, что приводит к ее разрушению и гибели микроорганизма. Кроме того, молекула озона обладает значительно меньшими размерами по сравнению с молекулой любого антисептического препарата, а значит - лучшей проникающей способностью.
Мы наблюдали 40 пациентов (11 мужчин и 29 женщин) в возрасте от 37 до 62 лет с ЭПП, которым применяли комплексное эндодонтическое и пародонтологическое лечение. В результате проведения первичного или повторного эндодонтического лечения болевой синдром (БС) не возник ни у одного пациента, а на этапах пародонтологических вмешательств БС был отмечен у 10 (25%) пациентов с пародонтальными поражениями и вторичным поражением пульпы. У пациентов с эндодонтическими поражениями, вторичным вовлечением пародонта БС после лечения отсутствовал или носил кратковременный слабовыраженный характер.
В целях уменьшения выраженности БС, профилактики возникновения отека и обеспечения более комфортного периода после проведенного лечения в комплекс назначений мы включили нестероидный противовоспалительный препарат (НПВП) Кеторол. Применение Кеторола в стоматологической практике обусловлено его выраженным обезболивающим эффектом, противовоспалительным и умеренным жаропонижающим действием. Механизм действия Кеторола связан с подавлением активности циклооксигеназы (фермента, регулирующего синтез простагландинов), простациклина, тромбоксана А2 из арахидоновой кислоты, которые принимают участие в возникновении лихорадочного состояния и БС. Во многих исследованиях было показано, что назначение НПВП перед началом лечения дает значительное преимущество, поскольку такая фармакотерапия является патогенетически обоснованной. В нашей практике мы назначаем первую таблетку Кеторола непосредственно после завершения лечения, до окончания действия местного обезболивания. Для купирования БС необходимо было принимать Кеторол 2 раза в течение суток после вмешательства (по 10 мг).
Оценку эффективности лечения ЭПП мы проводили на основании клинических и рентгенологических критериев (рис. 3): наличие жалоб на боли при накусывании, подвижность, гноетечение из кармана или фистулы; на основании рентгенограмм оценивали состояние костной ткани пародонта и периапикальной области.
Рис. 3. а - ЭПП в области зуба 47; б - восстановление костной ткани в периапикальной области зуба 47 и стабилизация уровня костной ткани альвеолярного отростка после проведенного лечения.

В течение первых 3 мес из-за отсутствия положительной динамики после эндодонтического лечения было удалено 12,5% от всех пролеченных зубов. При оценке рентгенологической картины на прицельных рентгенограммах положительная динамика в виде практически полного восстановления костной ткани в периапикальной области отмечена в 35% случаев, а в виде уменьшения периапикального очага - в 50%. У зубов верхней челюсти и зубов с поражением фуркации положительной динамики не выявлено.
Комплексное эндодонто-пародонтологическое лечение позволяет добиться восстановления костной ткани в периапикальной области и прекращения ее воспалительной резорбции, а назначение НПВП Кеторол в период после лечения способствует купированию БС.
Автор: М.К.Макеева, отделение пародонтологии ФГБУ ЦНИИ стоматологии и челюстно-лицевой хирургии Минздрава России, Москва
Лечение пародонтита
Воспаление десен, или пародонтит, находится в числе самых распространенных стоматологических заболеваний. Эта патология полости рта может возникать на почве как хронических болезней, так и локальных травматических повреждений.

Основной признак пародонтита - острый воспалительный процесс тканей десны. Отсутствие лечения может приводить к развитию тяжелых форм заболевания, характеризующихся выпадением и смещением зубов.
Как лечить пародонтит десен: эффективные методы
Выбор способа лечения пародонтита десен зависит от того, насколько серьезен воспалительный процесс, какова степень изменения костной ткани, уровень подвижности зубов и т.д. Чем сильнее прогрессирует заболевание, тем более долгим и сложным будет лечение.
Профилактика и лечение пародонтита в домашних условиях
Наиболее эффективным методом лечения практически любого заболевания, в том числе и пародонтита, является его профилактика. Существуют несложные способы профилактики, которые можно применять дома. Их использование позволит предотвратить возникновение симптомов пародонтита и избежать необходимости медикаментозного и хирургического лечения.
Главное, что необходимо делать для профилактики любых патологий полости рта - неукоснительно соблюдать принципы гигиены зубов:
- дважды в день чистить зубы лечебно-профилактической зубной пастой с использованием щетки средней жесткости;
- после трапезы удалять остатки еды с помощью зубной нити.
- успокаивающее воздействие на десны оказывает ополаскиватель с антибактериальным эффектом, например, Асепта на основе экстракта мелиссы, календулы или зверобоя;
- необходимо регулярно употреблять твердую и растительную пищу, обеспечивая достаточную жевательную нагрузку на зубы;
- одной из причин развития пародонтита является недостаток в рационе витаминов А, С и витаминов группы В. Для профилактики заболевания рекомендуется принимать витаминный комплекс, содержащий достаточное количество указанных витаминов;
- следует дважды в год посещать стоматолога и делать профилактическую чистку зубов. Своевременное удаление зубного налета и зубного камня позволит избежать воспаления десен и дальнейшего развития патологии.
Кровоточат десны - обратитесь к пародонтологу
Если вы заметили у себя малейшие симптомы пародонтита, сразу же отправляйтесь к врачу. Первым признаком является регулярная кровоточивость десен после механического воздействия.
При однократном кровотечении нет повода для серьезного беспокойства: для укрепления десен можно сменить зубную пасту на специальное средство для лечения и профилактики пародонтита, воспользоваться укрепляющим гелем или бальзамом. Но если кровотечения становятся регулярными, вам нужно показаться специалисту.
Если запустить заболевание, может потребоваться удаление некоторых зубов. Поэтому чем раньше проведена диагностика и начато лечение, тем больше шансов полностью избавиться от пародонтита без негативных последствий.
Острый и хронический пародонтит: симптомы и лечение
Как уже было сказано, план лечения будет зависеть от тяжести воспаления и от того, насколько широко оно распространилось. Пародонтит, затрагивающий несколько зубов, является локализованным, пародонтит, затрагивающий большинство зубов (или все), носит генерализованный характер.
Острый пародонтит, имеющий ярко выраженные симптомы, возникает реже хронического и обычно поражает один-два зуба. Нередко он обусловлен травмой зуба или тканей пародонта, неправильной установкой коронки или пломбы. Данный вид заболевания часто протекает агрессивно, вызывая быстрое разрушение костных и мышечных тканей.
Если патология имеет хронический характер, то фазы обострения сменяются фазами ремиссии. При этом хронический пародонтит медленно и неуклонно прогрессирует от начальной стадии к тяжелой. Данная форма патологии может быть вызвана как местными факторами (например, травмой полости рта), так и общими.
Профессиональная гигиена для эффективного лечения пародонтита
В абсолютном большинстве случае развитие этого заболевания связано с недостаточной гигиеной полости рта. Околозубные ткани воспаляются из-за обширных зубных отложений, поэтому первое, что необходимо сделать для лечения пародонтита, - выполнить профессиональную чистку.
Эта процедура включает следующие этапы::
- удаление зубных отложений
- полировка зубной поверхности
- обработка зуба защитным лаком.
Современные методы чистки бережно воздействуют на эмаль и вызывают минимум неприятных ощущений. Также на этапе удаления зубного камня и зубного налета следует начать подготовку к лечению кариеса и удалению безнадежно пораженных зубов.
Медикаментозное лечение пародонтита
Следующий этап лечения - снятие воспаления и устранение кровоточивости десен для предотвращения дальнейшего развития заболевания. Данная цель достигается посредством медикаментозной терапии.
Лекарственные препараты для лечения пародонтита делятся на местные и общие:
- местные средства применяются для обработки пораженных участков. Сюда входят ополаскиватели, антисептические растворы, противовоспалительные гели и бальзамы. Также к местным средствам лечения относятся лечебно-профилактические зубные пасты, которые могут использоваться как дополнение к основной терапии;
- препараты общего действия, представляющие собой комбинации антибиотиков в виде таблеток или внутримышечных инъекций.
Неинвазивное лечение пародонтита также может включать физиотерапию. Вспомогательные процедуры с использованием лазера или электрофореза помогут быстрее устранить воспаление.
Хирургические методы
Лечение пародонтита хирургическим путем - это наиболее радикальный метод. Но на поздних стадиях заболевания необходимо устранить пародонтальные карманы и удалить нежизнеспособные зубы. Осуществить это можно только хирургическими методами.
Степень вмешательства зависит от тяжести патологии. В некоторых случаях добиться положительного результата можно, просто депульпировав зуб для удаления болезнетворных бактерий. Также применяется процедура шинирования зубов (соединения подвижных зубов с соседними зубами для обеспечения неподвижности) и другие методы.
Отдельным этапом хирургического лечения является протезирование. Это делается для восстановления работоспособности зубных рядов, равномерного распределения жевательной нагрузки, предотвращения смещения и дальнейшей потери зубов. В некоторых случаях может использоваться временный протез, служащий для оперативной разгрузки жевательных поверхностей и устранения подвижности на этапе восстановления.
Лечение и профилактика пародонтита в домашних условиях
После успешного лечения пародонтита необходимо уделять гигиене полости рта усиленное внимание. Для этого следует:
- регулярно посещать стоматолога для удаления зубного налета и зубного камня;
- устранять кариес и пломбировать зубные каналы при малейших проявлениях патологических процессов;
- использовать средства гигиены, предназначенные для профилактики заболеваний десен;
- после каждого приема пищи использовать зубную нить и ополаскиватель с антисептиком;
- соблюдать прочие правила профилактики пародонтита.
Асепта Parodontal - специализированные средства для лечения пародонтита
Компания "Асепта" разработала целый комплекс препаратов для лечения и профилактики заболеваний десен. В него входит:
- , способствующая устранению воспаления и кровоточивости десен. Содержит уникальный комплекс лекарственных экстрактов и активных компонентов;
Заботьтесь о своем здоровье с помощью профессиональных средств гигиены!
Клинические исследования
По результатам клинического использования серии средств «Асепта»: у обследованных пациентов уже на первом контрольном осмотре (через 1-2 дня) применения средств линии «Асепта» отмечается уменьшение жалоб на дискомфорт в деснах. При осмотре отмечается гиперемия и кровоточивость десневых сосочков. На 7-ой день жалобы на кровоточивость десны сохранилась у меньшей части пациентов.
При осмотре отмечено уменьшение гиперемии и отечности десны, но сохранение кровоточивости при зондировании. На 14 день у 2 пациентов сохранялись жалобы на кровоточивость десны при чистке зубов, при осмотре отмечалось значительное уменьшение гиперемии и отечности десны. После заключительного применения геля с прополисом выявлена нормализация клинических проявлений, которая проявляется отсутствием кровоточивости при чистке зубов и зондировании.
Улучшение динамики показателей позволяет рекомендовать линию средств «Асепта» для местного лечения воспалительных заболеваний пародонта.
Клинический опыт применения серии средств «Асепта»
Фукс Елена Ивановна ассистент кафедры терапевтической и детской стоматологии
Государственное бюджетное образовательное учреждение высшего профессионального образования Рязанский государственный медицинский университет имени академика И.П. Павлова Министерства здравоохранения и социального развития Российской Федерации (ГБОУ ВПО РязГМУ Минздравсоцразвития России)
Использование адгезивного бальзама «Асепта®» при лечении воспалительных заболеваний пародонта
Л.Ю. ОРЕХОВА*, д-р мед. наук, профессор, завкафедрой В.В. ТЭЦ**, д-р мед. наук, профессор, завкафедрой С.Б. УЛИТОВСКИЙ*, д-р мед. наук, профессор А.А. ЛЕОНТЬЕВ*, врач-стоматолог А.А. ДОМОРАД**, О.М. ЯКОВЛЕВА**
СПбГМУ им. акад. И.П. Павлова, Санкт-Петербург — *Кафедра терапевтической стоматологии, **Кафедра микробиологии
Статья "Лечение и особенности гигиены при пародонтите легкой и средней степени тяжести"
С.Б. Улитовский зав. кафедрой ПФС, профессор, д.м.н., А.А. Леонтьев доцент кафедры ПФС, к.м.н.
ПСПбГМУ им. И.П. Павлова
Читайте также:
