Метафизарная дисплазия (тип МакКьюсика): атлас фотографий
Добавил пользователь Владимир З. Обновлено: 22.11.2025
Дисплазии - эндогенные нарушения формирования кости.
Дисплазии позвоночника - условное обобщающее понятие, используемое для обозначения различных вариантов порочного развития позвонков. В отличие от Аномалий позвонков, относящихся к эмбрио- и фетопатиям, дисплазии позвоночника могут развиваться на протяжении большого периода времени, в том числе в постнатальном периоде и после окончания роста. Клинические проявления дисплазии во многом зависят от условий формирования и существования организма.
Локализация зоны нарушенного формирования кости при дисплазиях определяется по рентгеноанатомической схеме Ph. Rubin (1964), выделяющей следующие отделы трубчатой кости:
- эпифиз (epiphysis)
- физис (physis) или собственно ростковая зона
- метафиз (metaphysis)
- диафиз (diaphysis)
Соответственно этим зонам М.В. Волков выделил эпифизарные, физарные, метафизарные, диафизарные и смешанные поражения. Кроме того, с учетом системного характера патологии, выделяются дисплазии, протекающие с обязательным наличием вертебрального синдрома (системные спондилодисплазии) и дисплазии, при которых поражение позвоночника возможно, но не обязательно. В таблице 24 приведены характерные особенности вертебрального синдрома при различных вариантах системных дисплазии.
Таблица 24. Виды и клинико-лучевые особенности дисплазий скелета
Хондродисплазия метафизарная тип Мак-Кьюсика ген RMRP м.
Ген RMRP (RNA component of mitochondrial RNA-processing endoribonuclease) расположен на хромосоме 9 в регионе 9р13.3. Ген является нетранслируемым.
Мутации в данном гене приводят также к развитию метафизарной дисплазии с гипотрихозом, анаукситической дисплазии.
Метафизарная хондродисплазия (MIM) - форма карликовости с короткими конечностями, возникающей в результате скелетной дисплазии.
Синтезирующаяся с гена РНК входит в состав митохондриальной эндорибонуклеазы. Мутации в гене ведут к уменьшению клеточного роста в результате повреждения сборки рибосом и в результате изменения циклин-зависимой регуляции клеточного цикла.
Клиническая картина включает в себя: неполное разгибание в локтевом суставе, килевидную грудную клетка, искривление ног, удлинение малоберцовой кости относительно большеберцовой. У больных наблюдаются укорочение и утолщение кистей, разболтанные суставы кистей и стоп, недоразвитые ногти. При рентгенологическом исследовании выявляются изменения, названные метафизарным дизостозом: расширенные метафизы с фестончатым, неровно склерозированным краем. Биопсия выявляет гипоплазию хрящей. Волосы у больных тонкие, короткие, редкие, светлые. Поражаются также брови и ресницы. У многих больных имеются иммунологические дефекты, нарушается как клеточный, так и гуморальный иммунитет. Они чувствительны к инфекциям, могут иметь лимфопению, нейтропению, анемию. У некоторых больных нарушается кишечное всасывание, а также у них повышен риск опухолеобразования, преимущественно лимфом.
Отмечается внутриутробное отставание в росте. Конечности короткие, в основном укорочены кисти и стопы, пальцы короткие и толстые. В некоторых случаях отмечаются небольшое искривление нижних конечностей, генерализованная разболтанность суставов, подвывих или вывих головки лучевой кости. Волосы, брови и ресницы редкие, тонкие и светлые. При этом заболевании могут наблюдаться анемия, нарушение всасывания в кишечнике, снижение клеточного иммунитета.
Осложнениями синдрома являются артриты, килевидная деформация грудной клетки вследствие раннего закрытия швов грудины и эквиноварусные деформации стоп. К характерным рентгенологическим признакам относится расширение метафизов в области коленных суставов и средних фаланг кистей и стоп, а также умеренное уплощение и недоразвитие тел позвонков (у взрослых эти изменения исчезают).
Хондродисплазия метафизарная тип Мак-Кьюсика
Метафизарная хондродисплазия (хряще-волосяная гипоплазия, СНН; тип Мак-Кьюсика, MIM 250250) - форма карликовости с короткими конечностями, возникающей в результате скелетной дисплазии. Скелетные особенности включают неполное разгибание в локтевом суставе, килевидная грудная клетка, искривление ног, удлинение малоберцовой кости относительно большеберцовой. У больных наблюдаются укорочение и утолщение кистей, разболтанные суставы кистей и стоп, недоразвитые ногти. При рентгенологическом исследовании выявляются изменения, названные метафизарным дизостозом: расширенные метафизы с фестончатым, неровно склерозированным краем. Биопсия выявляет гипоплазию хрящей. Волосы у больных тонкие, короткие, редкие, светлые. Поражаются также брови и ресницы. У многих больных имеются иммунологические дефекты, нарушается как клеточный, так и гуморальный иммунитет. Они чувствительны к инфекциям, могут иметь лимфопению, нейтропению, анемию. У некоторых больных нарушается кишечное всасывание, а также у них повышен риск опухолеобразования, преимущественно лимфом.
Метафизарная хондродисплазия типа Мак-Кьюсика наследуется по аутосомно-рецессивному типу, встречается с частотой 1:23000 новорожденных.
К метафизарной хондродисплазии приводят мутации в гене RMRP (RNA component of mitochondrial RNA-processing endoribonuclease, OMIM 157660). Ген картирован на хромосоме 9р21-р12 и является нетранслируемым. Синтезирующаяся с него РНК входит в состав митохондриальной эндорибонуклеазы. Мутации в гене ведут к уменьшению клеточного роста в результате повреждения сборки рибосом и в результате изменения циклин-зависимой регуляции клеточного цикла. Мутации, выявляемые у больных хондродисплазией типа Мак-Кьюсика, можно разделить на два типа. Одни мутации представляют собой дупликации или вставки от 6 до 30 нуклеотидов между ТАТА box и сайтом инициации транскрипции и изменяют транскрипцию гена. Другие мутации являются однонуклеотидными заменами или изменениями, затрагивающими не менее двух нуклеотидов, эти изменения затрагивают высоко консервативные остатки транскрибируемой последовательности. Наиболее частой заменой является транзиция A-G в положении 70.
В Центре Молекулярной Генетики проводится поиск мутаций в гене RMRP методом прямого автоматического секвенирования.
Краниометафизарная дисплазия
Краниометафизарная дисплазия - наследственное состояние из группы остеохондродисплазий, характеризующееся аномалиями развития черепа и метафизов костей конечностей. Симптомами данного заболевания являются гипертелоризм, пороки развития лица, нередко уродующие больного, аномальное формирование носовых ходов с нарушением их проходимости, иногда головные боли и искривления конечностей. Диагностика краниометафизарной дисплазии осуществляется на основании изучения настоящего статуса пациента, рентгенологических данных и результатов молекулярно-генетических исследований. Специфического лечения данной патологии не существует, используют симптоматическую терапию, в некоторых случаях проводят хирургические вмешательства для облегчения дыхания пациента и улучшения его внешнего вида.
Общие сведения
Краниометафизарная дисплазия - группа наследственных заболеваний, которые приводят к порокам развития костей лицевого и мозгового отделов черепа различной степени выраженности в сочетании с аномалией метафизов длинных трубчатых костей и другими нарушениями. Ранее это состояние относили в одну группу с болезнью Пайла (множественная метафизарная дисплазия, краниометафизарная дисплазия Пайла), однако в настоящее время его выделяют в отдельную нозологическую единицу. Это связано с тем, что при данном заболевании превалирующими являются именно аномалии строения черепа (деформации, гиперостозы и склерозы костей), тогда как патологии иных отделов скелета выражены слабо. Существуют две основные формы краниометафизарной дисплазии, отличающиеся между собой механизмом наследования (аутосомно-доминантный и аутосомно-рецессивный типы), клиническими проявлениями и выраженностью нарушений. За счет наследования посредством аутосом патология с равной долей вероятности поражает как мужчин, так и женщин. Встречаемость краниометафизарной дисплазии точно не установлена, доминантный тип регистрируется во много раз чаще рецессивного.
Причины краниометафизарной дисплазии
Основной причиной более частой, но более легкой аутосомно-доминантной формы краниометафизарной дисплазии становятся мутации в гене ANKH, располагающемся на 5-й хромосоме. Ген кодирует белок, который является мембранным переносчиком пирофосфата, участвующего в угнетении процессов обызвествления костной ткани и ее резорбции. В результате генетического дефекта у белка-переносчика изменяется структура, и он становится неспособным полноценно выполнять свои функции, что приводит к краниометафизарной дисплазии. На клеточном уровне это проявляется аномальным изменением активности остеокластов, развитием склероза и гиперостоза главным образом костей черепа. Также может нарушаться конфигурация основных отверстий основания черепа, что становится причиной компрессии некоторых сосудов и нервов и во многом определяет остальные симптомы краниометафизарной дисплазии (нарушения слуха, головные боли, поражения тройничного и лицевого нервов). В генетике известны и другие заболевания, обусловленные поражением гена ANKH, в частности - наследственная псевдоподагра или семейный хондрокальциноз.
Намного более редкая аутосомно-рецессивная форма краниометафизарной дисплазии обусловлена дефектом гена GJA1, локализованного на 7-й хромосоме. Продуктом его экспрессии является белок под названием коннексин 43, принимающий активное участие в формировании межклеточных (межщелевых) контактов во многих тканях, что позволяет клеткам обмениваться низкомолекулярными соединениями. Патогенез развития краниометафизарной дисплазии при миссенс-мутации c716G>A неизвестен, основная проблема сводится к выявлению причин изолированного поражения костей черепа и метафизов костей при относительном отсутствии патологий других органов. Учитывая, что наибольшее количество коннексина 43 у человека находится в сердечной ткани, вопрос отсутствия патологий сердца при данной мутации на сегодняшний день представляет собой загадку для большинства врачей-генетиков. Так же, как и в случае аутосомно-доминантной формы краниометафизарной дисплазии, при этом типе заболевания наблюдаются многочисленные вторичные нарушения, обусловленные воздействием измененных костей и отверстий на нервные структуры.
Симптомы краниометафизарной дисплазии
Аутосомно-доминантный тип краниометафизарной дисплазии характеризуется более легким течением, нередко при рождении ребенка никаких симптомов заболевания не выявляется. Лишь к первому году жизни возникает гипертелоризм с расширением переносицы вследствие гиперостоза носовых костей. В дальнейшем краниометафизарная дисплазия приводит к сужению носовых ходов и нарушению их проходимости, поэтому у больных нередко приоткрыт рот из-за нарушенного носового дыхания. К 6-7 годам может начать определяться увеличение метафизов длинных трубчатых костей, что внешне проявляется увеличением размеров коленных и локтевых суставов. Примерно у половины больных краниометафизарной дисплазией развиваются нарушения слуха различной выраженности вплоть до полной глухоты - чаще всего это обусловлено компрессией слухового нерва в костном канале. Из-за сдавления нервов возникают и другие неврологические нарушения, возможны расстройства чувствительности на лице, невралгия тройничного нерва и головные боли.
Краниометафизарная дисплазия аутосомно-рецессивного типа характеризуется намного более выраженными пороками развития костей черепа и конечностей, признаки патологии часто выявляются сразу после рождения ребенка. У больных присутствует выраженный гипертелоризм, черты лица зачастую крайне несимметричны, деформации переносицы и носа могут приобретать признаки уродства. В ряде случаев наблюдаются макроцефалия, нижнечелюстной прогнатизм, другие нарушения прикуса и расположения зубов. По мере роста больного аномалии костей черепа могут усугубляться. Метафизы костей конечностей резко расширены, что нередко обуславливает вторичные деформации (например, Х-образное искривление ног). Как и в предыдущем варианте, при этой форме краниометафизарной дисплазии часто возникают разнообразные неврологические нарушения, вызванные сдавлением и травматизацией черепно-мозговых нервов. Они могут проявляться глухотой, нарушениями зрения, расстройствами кожной чувствительности на лице, парезом мимической мускулатуры и головными болями. Существуют отдельные описания больных, одновременно страдающих краниометафизарной дисплазией и умственной отсталостью, однако достоверных данных о взаимосвязи этих двух состояний на сегодняшний день нет.
Диагностика и лечение краниометафизарной дисплазии
Диагностика краниометафизарной дисплазии основывается на данных осмотра пациента, изучении его наследственного анамнеза, результатах рентгенологических исследований и молекулярно-генетических анализов. При осмотре определяются различные по выраженности аномалии развития костей черепа, что отражается на чертах лица больного. При этом аутосомно-доминантная форма, особенно у маленьких детей, довольно слабо проявляет себя в отношении этого симптома. При обоих типах краниометафизарной дисплазии практически всегда присутствуют гипертелоризм, расширение переносицы за счет разрастания носовых костей по направлению к скулам, сужение или непроходимость носовых ходов. В рамках физикального осмотра и дополнительных исследований могут быть также выявлены неврологические нарушения: снижение или отсутствие слуха, снижение зрения, симптомы со стороны тройничного и лицевого нервов.
Намного больше информации при краниометафизарной дисплазии дают рентгенологические методы исследования скелета. На рентгенограммах черепа при аутосомно-доминантной форме заболевания определяются уплотнение костной ткани в области затылочной кости, склероз основания черепа, пониженная пневматизация синусов и ячеек височной кости. В ряде случаев может выявляться склероз межкостных швов и расширение метафизов трубчатых костей. При аутосомно-рецессивном типе краниометафизарной дисплазии на рентгенограммах обнаруживаются схожие, но намного более выраженные нарушения, например - полное отсутствие околоносовых пазух, резкое сужение и иногда заполнение костной тканью отверстий черепно-мозговых нервов. Кроме того, наблюдается склероз не только основания, но и свода черепа, в ряде случаев определяются значительные деформации костей лицевого отдела. Немного сильнее, чем при доминантном типе, выражены расширение и склероз метафизов трубчатых костей.
Изучение наследственного анамнеза и генетическая диагностика также активно используются для определения краниометафизарной дисплазии. При этом можно сначала установить тип наследования заболевания, что позволяет скорректировать молекулярно-генетический анализ для поиска мутаций в конкретном гене. Для этого применяют метод прямого секвенирования генов ANKH и GJA1.
Специфического лечения краниометафизарной дисплазии не существует, назначают симптоматическую терапию с привлечением разнообразных хирургических техник. Последние, в частности, могут улучшить проходимость носовых ходов для облегчения дыхания. Уменьшить выраженность неврологической симптоматики можно путем расширения отверстий соответствующих черепно-мозговых нервов. Кроме того, пластические хирурги способны минимизировать выраженность эстетических дефектов при краниометафизарной дисплазии. Для улучшения слуха используют слуховые аппараты.
Прогноз и профилактика краниометафизарной дисплазии
Во многих случаях прогноз краниометафизарной дисплазии аутосомно-доминантного типа относительно выживаемости больного благоприятный - ни аномалии черепа, ни вторичные неврологические нарушения не приводят к тяжелым последствиям. Возникающие в детстве патологии слуха или зрения могут медленно прогрессировать до 20-30 лет, после этого ухудшений обычно не происходит. Аутосомно-рецессивный тип краниометафизарной дисплазии характеризуется более неблагоприятным прогнозом, поскольку костные нарушения черепа при этом состоянии имеют тенденцию к усугублению и могут с каждым годом все сильнее травмировать нервы. В некоторых случаях это приводит к параличам и расстройствам со стороны вегетативной нервной системы. Профилактика краниометафизарной дисплазии не разработана, для уменьшения риска развития осложнений при наличии такого состояния необходимо проводить регулярное обследование у невролога.
Метафизарная дисплазия

Метафизарная дисплазия - тяжелое и редкое заболевание костной ткани. У пациентов наблюдаются нарушения в строении стволов длинных костей и их метафизов, формирование широкого основания. По мере развития форма начинает напоминать лодочное весло, увеличивается губчатый внутренний слой. Пациенты с подобной патологией часто сталкиваются с деформацией скелета, патологическими переломами и другими осложнениями, угрожающими жизни и здоровью.

Общие сведения о болезни
Метафизарная дисплазия плохо изучена врачами, но доказана ее наследственная передача. Болезнь приводит к порокам развития костной ткани скелета, при которой наблюдается аномальное строение метафиза в длинных трубчатых костях. В зависимости от симптомов, тяжести поражения опорно-двигательной системы врачи выделяют несколько основных форм.
Все формы метафизарной дисплазии передаются двумя механизмами наследования:
- аутосомно-рецессивным;
- аутосомно-доминантным.
Это влияет на проявление, симптоматику и тип заболевания. Патология с одинаковой частотой встречается среди мужчин и женщин, в большинстве случаев проявляется в первые годы жизни. Некоторые типы болезни отличаются высокой степенью летальности.
Основные причины метафизарной дисплазии
У специалистов недостаточно информации о путях передачи заболевания. В большинстве случаев при изучении генетического материала и сборе анамнеза выявляется аутосомно-доминантная форма, которая связана с мутацией гена SFRP4 в 5 хромосоме. Он отвечает за кодирование белков, переносящих пирофосфат. Активное вещество необходимо для полноценных и активных процессов резорбции костной ткани. При его недостатке плотность кости уменьшается до критического уровня, меняются ее структура и форма.
Мутация белка-переносчика пирофосфата приводит к аномальному строению трубчатых длинных костей скелета. На генетическом уровне меняется процесс активности остеокластов.
Аутосомно-рецессивная форма болезни встречается реже, связана с аномалией генов в 7-й хромосоме. Мутация приводит к поражению белка, который принимает участие в формировании межклеточных контактов в костной ткани. Нарушается процесс передачи информации низкомолекулярными соединениями. Но врачам не удается до конца понять причину избирательного поражения метафиза костей.
Для аутосомно-рецессивной формы характерно поражение внутренних органов и тканей, в которых также присутствуют мутировавшие белки. У пациентов чаще наблюдаются вторичные нарушения, связанные с патологическим ростом костей и давлением на нервные окончания.
Метафизарная дисплазия у детей при аутосомно-рецессивной форме наследования проявляется, когда оба родителя являются носителями мутированного гена.

Виды заболевания
При метафизарной дисплазии происходит генетическое нарушение в строении костей скелета. При этом практически не меняется форма черепа, не возникают мутации нижней или верхней челюсти, характерные для краниометафизарной формы.
Заболевание сложно обнаружить без рентгенологического исследования. Среди характерных признаков - конусообразное расширение в трубчатых костях нижних конечностей. Они по форме начинают напоминать стеклянные колбы, используемые в лабораториях.
В некоторых медицинских источниках метафизарная дисплазия носит название "болезнь Пайла" - в честь ученого, который впервые описал патологию в 1931 году. На сегодняшний день существует 8 основных типов. Они различаются внешними симптомами и характером течения болезни:
- тип Янсена;
- Шмидта;
- МакКьюзика;
- метафизарная анадисплазия;
- дисплазия Швахмана-Даймонда;
- дисплазия с дефицитом аденозинд-дофаминазы по типу Шпар;
- метафизарная хондродисплазия (болезнь Пайла);
- метафизарная акроскифодисплазия.
Установить вид заболевания помогает комплексное обследование, включающее генетическое исследование биологического материала пациента.

Симптомы метафизарной дисплазии
Характерным признаком заболевания является сильное смещение трубчатых костей при одновременном и значительном расширении колбы Эрленмейера в ногах. Особенно симптомы выражены при поражении бедренной части. При метафизарной дисплазии негативные изменения в строении черепа минимальны. В редких случаях сильно выступают лобные доли над глазницами, создавая асимметричное строение лица.
При заболевании наблюдаются расширение грудной клетки, неправильное строение таза с искривлением, поражением тазобедренного сустава. Меняется угол наклона нижней челюсти, плечевые кости также по ширине превышают норму.
У многих больных сильная степень искривления позвоночника, тяжелые формы сколиоза. Даже в детском возрасте плотность костной ткани значительно меньше нормы, что приводит к остеопорозу. Кости становятся слишком хрупкими, с трудом выдерживают вес тела при ходьбе и активных движениях. Это основная причина частых патологических переломов ребер и нижних конечностей.
Не менее распространены симптомы метафизарной дисплазии:
- тяжелые формы кариеса с многочисленным поражением зубов в пришеечной части;
- аномальное строение околоносовых, лобных пазух;
- ограничение подвижности верхних конечностей в локтевом суставе;
- сильная мышечная слабость;
- гипотонус нижних конечностей;
- неправильный прикус;
- плоскостопие.
При некоторых формах заболевания быстро прогрессирует сколиоз. Происходит сдавливание нервных окончаний спинного мозга, которые иннервируют внутренние органы. Это одна из причин проблем с сердечно-сосудистой и эндокринной системами, органами пищеварения, головных и мышечных болей.

Метафизарная дисплазия типа Янсена
Крайне редкое заболевание: на сегодняшний день достоверно описано не более 10 случаев патологии. Среди характерных признаков, указывающих на этот тип болезни:
- широко расставленные глаза;
- развитие экзофтальма;
- неестественно широкая и укороченная переносица;
- недоразвитие нижней челюсти, которое приводит к неправильному прикусу, проблемам с зубами;
- низкий рост, связанный с укорочением бедренной кости.
При дисплазии Янсена происходит тяжелое поражение тазобедренных и коленных суставов. Постепенно нарастают сгибательные контрактуры в суставах нижних конечностей, что создает трудности в ходьбе, меняет походку, приводит к хромоте. Средний рост пациентов не превышает 120−125 см.
Искривление позвоночника прогрессирует по мере взросления, приводит к неестественному положению тела. Человек ходит, сильно наклонившись вперед, руки свисают, кисти могут доставать до колен. Суставы сильно увеличены в размере за счет патологического строения метафизов.
При метафизарной дисплазии Янсена показано хирургическое вмешательство. Необходимо восстановить оси конечностей для улучшения походки. Корректирующее вмешательство помогает повысить выносливость и улучшить качество жизни больного. Таким пациентам противопоказаны занятия спортом, связанные с переносом тяжестей, длительные пешие прогулки.
Метафизарная дисплазия типа Шмидта
При этом виде заболевании пациенты значительно отстают в росте. Наблюдается выраженная деформация нижних конечностей. Первые симптомы проявляются уже на 1-2-м году жизни. У детей появляется "утиная походка", сильная хромота. Они отказываются от активных игр, могут жаловаться на боли в коленных или тазобедренных суставах.
У пациента с типом Шмидта наблюдаются следующие патологии:
- выраженный поясничный лордоз;
- варусная деформация бедер;
- О-образная форма ног.

При диагностике врачи обращают внимание на характерное поражение проксимального отдела шейки бедра. Кости имеют неправильную форму, недостаточную плотность, низкое содержание кальция и микроэлементов. На рентгеновских снимках заметны неровные контуры, расширенные участки эпифизов.
При метафизарной дисплазии Шмидта не наблюдается поражение внутренних органов и систем. У больных практически отсутствуют аномалии в строении черепа и лица. Основное поражение приходится на нижние конечности и позвоночный столб.
По мере взросления проводится хирургическая коррекция. Она позволяет устранить выраженные деформации костей, сохранить здоровье суставов. При необходимости выполняется эндопротезирование.
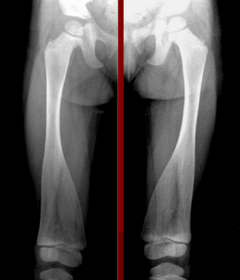
Метафизарная дисплазия МакКьюзика
Метафизарная хондродисплазия Мак-Кьюсика (гипоплазия хряща и волос) - редкое заболевание, которое является причиной карликовости. У пациентов наблюдается сильное укорочение конечностей (до 20 см), что связано с дисплазией скелета.
Также для заболевания характерна предрасположенность к онкологическим опухолям, низкий уровень иммунитета. Основные признаки дисплазии МакКьюзика:
- короткие конечности;
- аномально низкий рост человека;
- тонкие светлые волосы, брови и ресницы;
- высокая степень растяжимости суставов рук и ног;
- заболевания позвоночника (сколиоз, лордоз, кифоз);
- дефектный иммунитет, связанный с недостатком антител.

Заболевание передается аутосомно-рецессивным путем. Пациенты часто страдают от клеточного иммунодефицита. Кроме карликовости и патологического строения скелета, у них наблюдается повышенная восприимчивость к вирусным, инфекционным заболеваниям, которые протекают с особой степенью тяжести. Дети с метафизарной дисплазией МакКьюзика часто погибают в раннем возрасте от обычной простуды или ветряной оспы.
Для пациентов с типом MакКьюзика характерны хроническая анемия, патологии кишечника. На рентгеновских снимках заметно увеличение метафизов в области коленного сустава. В детском возрасте нередко встречается двояковыпуклое строение позвонков, которое постепенно исчезает после взросления.
Акроскифодисплазия
У пациентов с этим типом заболевания отмечается сильная задержка роста. При этом метафизарные части трубчатых костей аномально большие, особенно в нижних конечностях. Одновременно нарушено строение диафиза в бедрах, развивается вальгусное искривление ног.
У больных наблюдается сильная косолапость, умеренная деформация трубчатых костей рук и фаланг кистей. Нередко заболевание приводит к брахидактилии, психомоторной задержке развития.
Некоторые дети появляются с аномально короткими ребрами, что приводит к врожденной асфиксии. Отмечаются укорочение основания черепа, аномалии развития гениталий, желудочно-кишечного тракта, анального отверстия, желудка. Некоторые патологические изменения несовместимы с жизнью.
Дисплазия Швахмана-Даймонда
При заболевании происходит поражение скелета человека, кроме того, возникают изменения в работе поджелудочной железы: снижается выработка ферментов, ответственных за расщепление жиров. Из-за патологического строения возникают дисфункция костного мозга, сколиоз и другие заболевания позвоночного столба.
Среди характерных симптомов:
- низкий рост;
- хроническая анемия;
- тяжелые патологии печени;
- гематологические нарушения;
- низкий уровень лейкоцитов.
Первые признаки проявляются на 5-6-м месяце жизни ребенка. У детей с синдромом Швахмана-Даймонда критически снижено количество тромбоцитов, эритроцитов. Они часто болеют простудными заболеваниями, бактериальными инфекциями, пневмониями, страдают хроническим средним отитом.
При недостаточности и липоматозе поджелудочной железы возникают проблемы с усвоением жиров, требующие постоянной медикаментозной терапии. При постоянном наблюдении врачей пациенты доживают до 18−20 лет.

Метафизарная дисплазия типа Спарк (Шпар)
Это одно из нескольких расстройств, которые раньше называли метафизарным дизостозом. Редкое заболевание, при котором у человека изогнуты ноги, возникает низкорослая карликовость. В некоторых случаях сгибание колен настолько сильно, что требует хирургической коррекции.
Тип Спарк по симптоматике и течению болезни во многом напоминает метафизарную дисплазию Шмидта. Патология имеет аутосомно-рецессивное наследование.
Болезнь Пайла
В отличие от других форм метафизарной дисплазии при болезни Пайла наблюдается аномальный рост трубчатых костей. У пациента появляется выраженная деформация коленных суставов, сколиоз 1-2-й степени. Уже в 8−9 лет у детей развиваются дисплазия тазобедренных суставов, поражение метафизов большеберцовых костей. Среди характерных симптомов:
- позднее выпадение молочных зубов, дисплазия эмали, увеличенные межзубные промежутки, склонность к кариесу;
- высокий рост;
- черный акантоз по линии роста волос;
- повышенная сухость кожного покрова;
- стрии в области сгибания суставов;
- конусовидные пальцы.
Такие дети значительно опережают в росте сверстников, часто сталкиваются с патологическими переломами в раннем возрасте. У многих пациентов наблюдаются патологии эндокринной системы, диффузный зоб. По мере роста больные жалуются на боли в суставах, которые ограничивают движения. Развиваются артроз и другие дегенеративные заболевания, влияющие на общее самочувствие.

Методы лечения
При некоторых формах метафизарной дисплазии у пациентов отмечается сильный дефицит костной массы. После определения плотности кости врач может порекомендовать курсы минерализующих препаратов на основе кальция, фтора, магния, витамина D. Они не меняют структуру, но снижают риск патологических переломов.
Любая медикаментозная терапия при метафизарной дисплазии носит вспомогательный характер, применяется для устранения симптомов. В современной медицине не существует препаратов, способных остановить патологическое изменение метафизарных частей костей. При болезни Пайла необходимо дополнительно отслеживать гормональный фон, корректировать его уровень.
При частых вывихах и подвывихах тазобедренного сустава рекомендуется ношение специальных протезов. Пациентам индивидуально изготавливают ортопедическую обувь для коррекции укороченной конечности. Для замедления развития сколиоза требуется корсет и постоянная лечебная физкультура. При отсутствии эффекта назначается операция.

Хирургическое лечение
Корригирующая остеотомия показана при деформации кости, помогает избавиться от дефекта и искривления кости. Она заключается в создании искусственного перелома, после которого отломки фиксируют в анатомически правильном положении.
Корригирующая остеотомия позволяет правильно распределить нагрузки на суставы и кости, снижает риск патологических переломов. Во время манипуляции хирурги могут убрать костные наросты, которые образовались при неправильном срастании, восстановить функциональность конечностей и позвоночника.
Операция проводится под общей анестезией. Хирург осторожно распиливает кость, после чего укрепляет и соединяет фрагменты с помощью наружной или внутренней фиксации. Если необходимо удлинить конечность, используется аппарат Илизарова.
Реабилитация занимает от 3 месяцев до года, позволяет избавиться от О и Х-образной деформации нижних конечностей, тяжелой степени кифоза, лордоза или сколиоза. Некоторым пациентам с тяжелой формой метафизарной дисплазии рекомендуется операция по устранению стеноза спинного мозга и суставных контрактур.
После операции для сохранения эффекта назначается комплексная реабилитация. Она может включать: лечебную физкультуру и массаж, физиотерапию для устранения мышечного напряжения или гипотонуса.
Прогноз для больного зависит от типа метафизарной дисплазии. Некоторые виды приводят к гибели плода во время беременности, имеют высокую степень летальности. Многие патологии при правильно подобранном лечении и проведении операции позволяют пациенту активно работать, вести обычный образ жизни.
Читайте также:
- Аутоиммунные гемолитические анемии
- Пневмокониозы. Признаки и диагностика пневмокониозов легких.
- Фильтрация жидкости через стенку капилляра. Факторы влияющие на движение жидкости через стенку капилляра
- Объемные образования придатков матки. Источники экстраовариальных образований
- Противопоказания к экстраплевральному пневмотораксу. Прямые показания к экстраплевральному пневмотораксу
