Метастазы опухоли почки. Кисты почек у детей
Добавил пользователь Евгений Кузнецов Обновлено: 28.01.2026
Рак легкого - это злокачественная опухоль, источником которой являются клетки бронхиального и альвеолярного эпителия. Это опасное заболевание характеризуется неконтролируемым ростом клеток в тканях лёгкого, склонностью к метастазированию. При отсутствии лечения опухолевый процесс может распространиться за пределы легкого в близлежащие или отдаленные органы. В зависимости от характеристик опухолеобразующих клеток, основными типами рака легких являются мелкоклеточный рак легкого (МРЛ) и немелкоклеточный рак лёгкого (НМРЛ).
По данным ВОЗ эта болезнь занимает одну из лидирующих позиций неинфекционных заболеваний, ставших причиной смерти до 70 лет.
Классификация
По месту первичного очага классифицируют виды опухоли легкого.
Центральный рак локализирован в проксимальных (центральных) отделах бронхиального дерева. Первые признаки рака легких (симптомы), которые должны насторожить, в этом случае выражены ярко:
- сухой продолжительный кашель, не поддающийся лечению.
- начинается кровохарканье с присоединением мокроты.
- закупорка просвета бронха опухолевыми массами приводит к одышке даже в состоянии покоя. В некоторых случаях возможно повышение температуры.

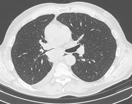
Фото 1 — Центральный рак правого нижнедолевого бронха (1) с обтурацией и метастазами (2) в бифуркационные лимфатические узлы
Периферический рак постепенно сформировывается в боковых отделах легких, медленно прорастая и ничем себя не обнаруживая. Данная опухоль легкого симптомы долгое время может не давать, они появляются при значительном местном распространении, вовлечении соседних органов и структур, прорастания бронхов. Диагностика рака легких этого типа локализации чаще всего возможна при профилактическом обследовании (рентгенографии или компьютерной томографии).

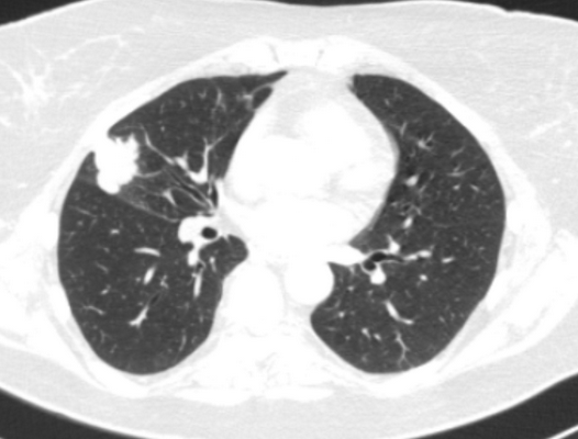
Фото 2 — Периферический рак (1) верхней доли правого легкого
Причины
Причиной рака легких, в подавляющем большинстве случаев (до 85%), становится долгосрочное табакокурение. В 10-15-процентной вероятностью заболевание проявляется у людей, которые не имеют этой вредной привычки. В этом случае можно отметить сочетание генетических факторов и воздействие радона, асбеста, вторичного табачного дыма или других форм загрязнения воздуха.
Диагностика
Онкология легких обычно выявляется при рентгенографическом исследовании грудной клетки и компьютерно-томографическом сканировании (КТ). Диагноз подтверждается биопсией, которая обычно выполняется при трахеобронхоскопии или под КТ контролем.

Профилактика
Профилактикой рака легкого является снижение влияния факторов риска:
- отказ от курения, в том числе и «пассивного» (вдыхание табачного дыма от находящегося рядом курящего человека),
- применение средств индивидуальной защиты (маски, респираторы) при работе с вредными материалами.
Лечение
Лечение онкологии легких и отдаленные результаты зависят от типа рака, степени распространения (стадии), а также общего состояния здоровья человека. При немелкоклеточном раке легкого применяют:
- хирургический
- химиотерапевтический
- лучевой методы лечения
Для мелкоклеточного рака легкого характерна лучшая чувствительность к медикаментозной и лучевой терапии.
Хирургический метод лечения рака легкого
— основной радикальный способ при 1-3 стадии болезни. Операции, выполняемые при данном заболевании классифицируются:
- по объему резекции (лобэктомии (удаление доли легкого), билобэктомии (удаление двух долей легкого), пневмонэктомии (удаление целого легкого)),

Фото 3 — Лобэктомия
Фото 4 — Пневмонэктомия
- по объему удаления лимфатических узлов грудной полости (стандартные, расширенные, сверхрасширенные),
- по наличию резекции соседних органов и структур (комбинированные операции проводятся при прорастании опухоли в перикард, трахею, верхнюю полую вену, пищевод, аорту, предсердие, грудную стенку, позвоночник). Помимо оперативного лечения возможно применение комплексного подхода, включающего лучевую и химиотерпию.

При лечении местнораспространенного злокачественного образования с переходом на главный бронх и лёгочную артерию, в тех случаях, где раньше единственным вариантом оперативного лечения являлась пневмонэктомия, сейчас возможно выполнение органосохранных операций. В этом случае иссекается пораженный участок главного бронха с последующим восстановлением непрерывности (бронхопластические и ангиопластические лобэктомии)

Фото 5 — Схема верхней бронхопластической лобэктомии
Лучевая терапия рака лёгкого
На сегодняшний день активное внедрение получают такие современные методы радиотерапии, как IMRT (радиационная терапия с возможностью изменения дозы излучения), 3Д конформная лучевая терапия (трехмерное компьютерное планирование избирательного облучения) стереотаксическая (точно сфокусированная) лучевая терапия. В проведении этих манипуляций, помимо онкологов, участвуют медицинские физики, врачи-радиологи, физики-дозиметристы и др. специалисты.
- пациентам с резектабельной опухолью лёгкого, которым оперативное лечение выполнить невозможно ввиду противопоказаний со стороны сердечно-сосудистой системы или по другим причинам;
- как альтернатива хирургическому вмешательству;
- для снижения риска рецидива при поражении лимфаузлов средостения, положительном крае резекции по данным гистологического исследования.
Химиотерапия
Планирование курса лечения немелкоклеточного рака лёгкого включает в себя использование фармакологических средств. Применяется в целях профилактики: адъювантная (вспомогательная), послеоперационная химиотерапия при 2-3 стадии заболевания и в терапевтическом курсе.
В зависимости от гистологического типа опухоли, стадии заболевания и предполагаемой чувствительности к воздействию, разработаны различные схемы применения химиопрепаратов.
Таргетная терапия (англ. target - мишень, цель)
Отдельный вид фармакологического лечения, заключающийся в назначении препаратов-ингибиторов, действующих только на опухолевые клетки, в которых выделены различные нарушения, задерживающих или даже блокирующих дальнейший рост.
- ингибиторы тирозинкиназы (гефитиниб, эрлотиниб, афатиниб) используются в лечении больных, в опухолевой ткани которых выявлены мутации в гене EGFR.
- При отрицательном статусе EGFR-мутации — ингибиторы ALK (кризотиниб, алектиниб).
Существуют таргетные препараты, для назначения которых не требуется выявление каких-либо нарушений в опухолевых клетках. К ним относятся бевацизумаб (ингибитор VEGF), ниволюмаб и пембролизумаб (анти PDL1 антитела).
Прогноз жизни
Прогноз онкологии легких при НМРЛ включает симптоматику, размер опухоли (> 3 см), неплоскоклеточный гистологический вариант, степень распространения (стадию), метастазирование в лимфаузлы и сосудистую инвазию. Неоперабельность заболевания, выраженная клиника и потеря веса более, чем на 10% — дают более низкие результаты. Прогностические факторы при мелкоклеточном раке легкого включают в себя статус состояния, пол, стадию заболевания и вовлеченность центральной нервной системы или печени во время диагностики.
Для немелкоклеточного рака легкого прогноз жизни, при полной хирургической резекции стадии IA (ранняя стадия заболевания) — 70% пятилетняя выживаемость.
Нефробластомы у детей: что необходимо знать
Нефробластома (опухоль Вильмса, WT) является наиболее распространенной опухолью почки у детей, которая может проявляться как в виде единичного узла, так и в виде мультифокального одностороннего поражения либо двусторонней опухоли.
В структуре злокачественных опухолей у детей нефробластома занимает четвертое место, следуя за гемобластозами, опухолями ЦНС и саркомами мягких тканей. Нефробластома составляет примерно 7-8 % всех злокачественных опухолей у детей.
Согласно данным Американского онкологического общества, ежегодно в США выявляется 500-600 новых случаев нефробластомы у детей, или 5 % от всех злокачественных опухолей. По данным детского канцер-субрегистра Республики Беларусь, ежегодно регистрируется 8-9 новых случаев нефробластомы на 1 млн детского населения, что также составляет 5 % от всех злокачественных опухолей. У 78 % детей опухоль диагностируется в возрасте 1-5 лет, пик заболеваемости приходится на 3-4-й год. У взрослых нефробластомы встречаются редко.
История вопроса

Первым описал нефробластому немецкий патологоанатом и хирург Макс Вильмс. Едва ли он осознавал, что его диссертация «Смешанные опухоли почки» (1899) свяжет его имя с самой распространенной опухолью почки у детей. В своей работе он исследовал 9 (в основном больших по своим размерам) опухолей у детей в возрасте от 11 недель до 11 лет. Макс Вильмс описал опухоль как образование с округлыми клетками (миосаркома) с содержанием эпителиальных структур, в которых было установлено сходство с эмбриональной почкой. Он подозревал, что компонент, названный им круглоклеточной саркомой, представляет собой опухолевые эмбриональные клетки с потенциалом дифференцировки в мезенхиму и эпителий почки, и предположил его происхождение от «бластемы почки», связав онкогенез этих опухолей с почечной эмбриологией.
В первой половине 20-го века хирургическое лечение было единственным методом терапии, частый летальный исход был отчасти обусловлен большими размерами опухоли. Ранняя попытка (1916) лечения неоперабельной нефробластомы при помощи рентгеновского облучения показала, что рентгеновские лучи могут уменьшить опухоль, и это дало первоначальный успех, но метод не получил широкого распространения. Постепенно методы хирургического лечения улучшались, что позволяло спасти часть детей, в частности с небольшими размерами опухоли. Прорыв произошел при комбинировании хирургического лечения с облучением и химиотерапией, о чем в 1956 году сообщила Сидни Фарбер с коллегами, в результате чего 2-летняя выживаемость составила 81 %. Следующим шагом стало создание двух основных исследовательских групп — NWTS и SIOP, которые оказали огромное влияние на успех лечения нефробластомы.
Национальная группа по исследованию опухоли Вильмса (NWTS, National Wilms Tumor Study Group, США), основанная в 1969 году, собрала большое количество пациентов и провела несколько клинических рандомизированных исследований, направленных на оптимизацию лечения для различных групп риска нефробластомы и определения возможных генетических факторов риска. Классификация нефробластомы культового патологоанатома Брюса Беквита, который твердо связал гистопатологию с прогнозами лечения и выявил опухоли с благоприятной или неблагоприятной морфологией, по-прежнему действительна для опухолей без предоперационного лечения.
В Европе небольшая группа преданных своему делу французских врачей в 1961 году открыла клуб детских онкологов, который в 1969 году был преобразован в SIOP — международное общество детских онкологов, членами которого сегодня являются медицинские специалисты из более чем 100 стран мира. SIOP сотрудничает с Группой изучения детского рака Соединенного Королевства (UKCCSG) и немецким Обществом детской онкологии и гематологии (GPOH).
Белорусские детские онкогематологи для лечения нефробластомы в прошлом использовали клинические протоколы как SIOP, так и NWTS. В настоящий момент для лечения детей применяется последний передовой протокол ренальной исследовательской группы SIOP — SIOP RTSG Umbrella, который объединил в себе протокольное лечение наиболее часто встречающихся злокачественных опухолей почек у детей.
Этиология и патогенез
Обычно нефробластома возникает спорадически, в 2 % случаев имеет семейный характер. В норме участки метанефрогенной бластемы, формирующие секреторный аппарат почки (клубочки, извитые канальцы), должны исчезать после 36-й недели беременности, однако у 1 % детей при рождении часть бластемы остается функционирующей. Эти фокусы бластемы описываются как нефрогенные остатки, которые определяются как участки с повышенным риском развития опухоли Вильмса. Судьба нефрогенных остатков двояка: они могут регрессировать или давать малигнизацию, постепенно трансформируясь в нефробластому.
Нефробластома нередко является одним из симптомов врожденных пороков и генетических синдромов. Врожденные аномалии выявляются в 12-15 % случаев опухоли Вильмса. Наиболее часто диагностируются следующие из них: аниридия, гемигипертрофия, синдром Беквита — Видемана, аномалия мочеполового тракта, WARG-синдром, синдром Дениса — Драша.
В начале 1970-х годов американский генетик Альфред Кнудсон, используя предыдущие разработки на гене Rb, предложил две модели туморогенеза при опухоли Вильмса. В первом случае имеет место развитие спорадической нефробластомы, при которой в нефробласте оба аллеля гена WT (Wilms tumor) повреждаются двумя независимыми соматическими мутациями; происходит полная инактивация данного гена, что приводит к развитию опухоли. Мутация носит гомозиготный характер, обнаруживается только в клетках опухоли и не наследуется. Наследственная форма нефробластомы характеризуется передачей мутированной копии гена WT из поколения в поколение. Каждый нефробласт гетерозиготного носителя мутации уже имеет инактивированный аллель WT. Таким образом, для развития нефробластомы достаточно всего одной соматической мутации, затрагивающей оставшуюся копию гена.
В настоящее время эта модель, оставаясь правильной по сути, представляется излишне упрощенной: в патогенез нефробластомы может быть вовлечено множество других генетических поломок.
Клиническая картина
Наиболее частый признак опухоли Вильмса — определяемая пальпаторно опухоль в брюшной полости. Нефробластома может длительное время протекать бессимптомно. Иногда отмечаются боли в животе. Гематурия может выявляться при микроскопическом исследовании. Гипертензия отмечается приблизительно у 25 % пациентов.
Гистологическое строение и классификация
Опухоли почки характеризуются гистологической гетерогенностью. Около 80 % случаев нефробластомы составляют классический вариант опухоли. Гистологическое стадирование предусматривает выделение 3 степеней злокачественности опухолей почки у детей, связанных с прогнозом заболевания. Стадирование применимо для опухолей, которые получали предоперационную химиотерапию, и опухолей, лечение которых началось с хирургического удаления.
Без предоперационной химиотерапии:
- низкий риск: мезобластическая нефрома, кистозная частично дифференцированная нефробластома;
- средний риск: неанапластические варианты нефробластомы, фокальная анаплазия;
- высокий риск: нефробластома — диффузная анаплазия, светлоклеточная саркома почки, рабдоидная опухоль почки.
С предоперационной химиотерапией:
- низкий риск: мезобластическая нефрома, кистозная частично дифференцированная нефробластома, полностью некротизированная нефробластома;
- средний риск: нефробластомы — эпителиальный, стромальный, смешанный, регрессивный типы, нейробластома — фокальная анаплазия;
- высокий риск: нефробластома — бластемный тип, диффузная анаплазия, светлоклеточная саркома почки, рабдоидная опухоль почки.
Клиническое стадирование
В настоящее время группы SIOP и NWTS используют единую систему стадирования нефробластомы, которая является определяющей для лечения:
- 1-я стадия — опухоль локализуется в пределах почки, возможно полное удаление;
- 2-я стадия — опухоль выходит за пределы почки, возможно полное удаление, в т. ч. прорастание капсулы почки, с распространением в околопочечную клетчатку и/или в ворота почки, поражение регионарных лимфатических узлов (стадия II N+); поражение внепочечных сосудов; поражение мочеточника;
- 3-я стадия — опухоль распространяется за пределы почки, возможно неполное удаление, в т. ч. в случае инцизионной или аспирационной биопсии, пред- или интраоперационный разрыв, метастазы по брюшине, поражение внутрибрюшных лимфоузлов (за исключением регионарных), опухолевый выпот в брюшную полость, нерадикальное удаление;
- 4-я стадия — наличие отдаленных метастазов;
- 5-я стадия — двусторонняя нефробластома; варианты двусторонних нефробластом включают: А — поражение одного из полюсов обеих почек; Б — поражение одной почки с вовлечением ворот в опухолевый процесс (тотальное или субтотальное) и одного из полюсов второй почки; С — поражение обеих почек с вовлечением в процесс ворот (тотальное или субтотальное).
Диагностика
Как и при других злокачественных опухолях, диагностика нефробластомы основана на морфологическом заключении. Однако в отношении нефробластомы допускается исключение из традиционного правила «проведение биопсии перед началом химиолучевой терапии».
Во время биопсии возникает нарушение целостности псевдокапсулы, и заключенный в псевдокапсулу опухолевый детрит, имеющий кашицеобразный характер, рассеивается по брюшной полости или по ходу иглы, что увеличивает распространенность опухоли, изменяет клиническую стадию заболевания (автоматически переводит в 3-ю стадию) и ухудшает прогноз. Поэтому у пациентов старше 6 месяцев и младше 16 лет диагноз нефробластомы устанавливают при консервативном обследовании.
Диагностика первичной опухоли основана на выявлении типичных признаков нефробластомы и исключении других заболеваний. В круг дифференциальных диагнозов входят пороки развития почки, гидронефроз, нейрогенные опухоли и другие опухоли забрюшинного пространства, опухоли печени, гамартома. Диагностика нефробластомы и определение стадии включает лабораторные и инструментальные исследования, такие как общеклинические анализы: общий анализ крови и мочи, биохимическое исследование крови, коагулограмма, онкомаркеры, исследование катехоламинов в моче.
Инструментальные методы обследования
- УЗИ органов брюшной полости и забрюшинного пространства — выявление опухоли в трех измерениях и определение объема опухоли. При УЗИ может быть визуализирован опухолевый тромб в нижней полой вене.
- Компьютерная томография органов брюшной полости и забрюшинного пространства с оральным и внутривенным контрастированием (см. рис. 1).
- Магнитно-резонансная томография брюшной полости и забрюшинного пространства без и с контрастным усилением (дает дополнительную информацию о распространенности и связи опухоли с окружающими органами).
- Ангиография выполняется при сомнениях в диагнозе. На ангиограммах обнаруживается патологическая сеть сосудов, выявляется источник кровоснабжения. Ангиографически возможно визуализировать опухолевый тромб в нижней полой вене.
- Радиоизотопное исследование почек — реносцинтиграфия, которая позволяет оценить как суммарную функцию почек, так и отдельно функцию каждой из них.
- Диагностика метастазов включает рентгенографию грудной клетки; при подозрении на метастазы в легкие — КТ органов грудной клетки. УЗИ брюшной полости и забрюшинного пространства также оценивает метастазы в регионарные лимфоузлы, печень, другие органы и ткани, выпот в брюшную полость.

Рисунок 1. КТ брюшной полости ребенка с большой нефробластомой с метастазами в печень.
Лечение
Стандартным является комплексное лечение: химиотерапия, хирургическое лечение и лучевая терапия.
Химиотерапия: согласно протоколу SIOP, в течение 4 недель пациент получает предоперационную химиотерапию препаратами винкристин, дактиномицин для 2-3-й стадии; для 4-й стадии препаратами винкристин, дактиномицин, доксорубицин в течение 6 недель. Пациенты с 5-й стадией стадируются локально для каждой почки, и в зависимости от локальной стадии определяется режим предоперационной терапии.
Целью предоперационной химиотерапии является уменьшение размеров опухоли, что снижает риск интраоперационного разрыва псевдокапсулы, регресса метастазов. На 5-й неделе лечения при 2-3-й стадии и на 7-й неделе при 4-й стадии проводится предоперационное обследование, включающее общеклинические и инструментальные исследования, оценку ответа опухоли на химиотерапию.
Затем выполняется хирургическое лечение — радикальное удаление опухоли в объеме туморнефроуретерэктомии либо же резекции почки, биопсия регионарных лимфоузлов, метастазэктомия.
После операции и получения морфологического заключения проводится послеоперационное рестадирование, и в зависимости от гистологического варианта опухоли, поражения лимфоузлов, наличия метастазов либо же их тотального регресса/некроза определяется тактика послеоперационного лечения, которое может включать различные комбинации химиотерапевтических препаратов и добавление лучевой терапии в течение 26-34 недель.
Прогноз нефробластомы при выполнении программной терапии является хорошим. Выживаемость зависит от стадии заболевания и гистологического варианта. Независимо от прогностических факторов 90 % больных выздоравливают.
Общая выживаемость пациентов с нефробластомой в Республике Беларусь — 92 %, бессобытийная выживаемость — 90 %, что соответствует результатам лечения групп NWTS и SIOP.
Случай из практики
Девочка, 4 года. Мама обратила внимание на наличие дополнительного образования в животе. В связи с этим ребенок был госпитализирован в одну из областных клиник, проведено обследование, обнаружена опухоль брюшной полости. Ребенок переведен в РНПЦ ДОГИ для дообследования.

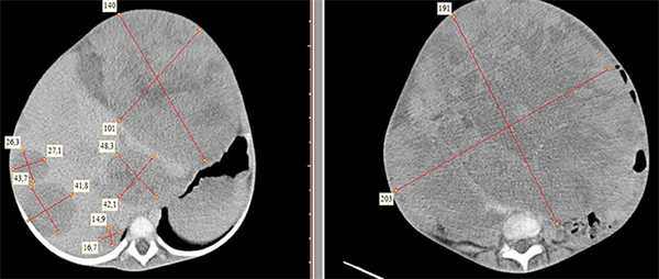
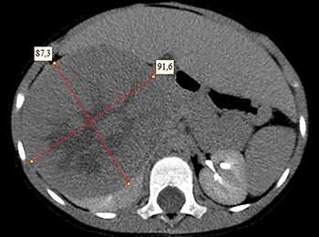
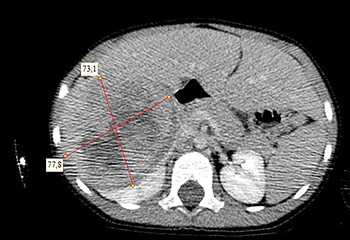
Клинически: при пальпации опухоль в проекции правой почки до 12 см в диаметре. Общеклинические исследования в пределах возрастной нормы. При КТ органов брюшной и грудной полости: КТ-картина объемного образования правой почки без признаков интрапульмональных метастазов (см. рис. 2). УЗИ брюшной полости: в проекции правой почки солидно-кистозное образование 101ґ114ґ99 мм, объемом 500 мл, васкуляризация активная, интактная часть почки 57ґ12ґ40 мм. Объемное образование правой почки — опухоль Вильмса. Предварительный диагноз: опухоль Вильмса правой почки, 2-я стадия.

Ребенку проведена предоперационная химиотерапия. На 5-й неделе лечения КТ-контроль показал уменьшение опухоли в размерах до 90ґ80ґ100 мм (см. рис. 3).
Выполнена операция: лапаротомия, удаление опухоли правой почки с ее резекцией. Гистологическое заключение: классическая нефробластома, промежуточная группа риска (см. рис. 4).
Послеоперационная программа включала еженедельное введение трех препаратов: винкристин, дактиномицин, доксорубицин на протяжении 27 недель. Девочка перенесла лечение удовлетворительно, без осложнений, находится в ремиссии более 5 лет.

Рисунок 4. Интраоперационная фотография: резецированная почка (справа), опухолевый узел (слева).

Иван Августинович, врач-онколог-хирург операционного блока РНПЦ детской онкологии, гематологии и иммунологии. 16.05.2022 Фото носит иллюстративный характер. Из открытых источников.
Рак почки
Рак почки - это злокачественная опухоль, которая чаще всего представляет собой почечноклеточную карциному. Реже встречается переходноклеточный рак - злокачественные опухоли, развивающиеся из эпителия, выстилающего почечные чашечки и лоханки. В настоящее время эти злокачественные опухоли зачастую удается диагностировать на ранних стадиях за счет широкого применения компьютерной томографии и магнитно-резонансной томографии.

Второй характеристикой опухоли почки, как впрочем и большинства других опухолей, является потеря спецификации клетки - так как клетка быстро делится, она просто не успевает специализироваться. Таким образом, опухоль почки в первом приближении можно характеризовать, как массу клеток, бесконтрольно делящихся и потерявших способность к специализации. Чем меньше специализирована клетка опухоли для выполнения своей функции, чем быстрее она делится и чем больше его способность к распространению по кровеносным и лимфатическим сосудам, тем опухоль злокачественнее.
Почти 90 % опухолей почки злокачественны. Оставшиеся 10 процентов приходятся на ангиомиолипомы и другие, гораздо более редкие доброкачественные опухоли почки. Между тем, даже доброкачественные опухоли почки вполне могут быть опасны для здоровья. Например, ангиомиолипома может повредить сосуды почки, вызывая кровотечение. Что же касается злокачественных опухолей или рака почки, то тут мы сталкиваемся с повреждением функционирующей почечной ткани, ее сосудов и кровотечением, с метастазированием в кости, легкие, головной мозг и, соответственно, нестерпимыми болями.
Метастазы рака почки
Метастазирование — это распространение опухоли по кровеносным или лимфатическим сосудам. Опухоли, как и всему живому в организме, требуется питание, обеспечиваемое сосудами. Вот в эти сосуды и попадают 1-2 клетки из основной опухоли, которые распространяются на различные органы. Для рака почки характерно метастазирование в кости и легкие, а также в печень, надпочечники и головной мозг.
Как часто и у кого встречается
Причины рака почки
Основными факторами, увеличивающими риски развития рака почки являются:
- Курение — повышает вероятность развития почечно-клеточного рака по сравнению с некурящими людьми.
- Артериальная гипертензия.
- Ожирение. Также повышает вероятность развития почечно-клеточного рака по сравнению с теми, у кого нет избыточной массы тела.
- Сахарный диабет.
- Длительный прием мочегонных препаратов.
Симптомы рака почки: когда нужно посетить врача?
В некоторых случаях рак почки удается выявить на ранних стадиях, когда опухолевые клетки не распространяются за пределы органа. Но зачастую заболевание диагностируют на более поздних стадиях. Во-первых, это связано с тем, что рак почки может очень долго протекать бессимптомно. Во-вторых, для этого типа рака на данный момент не существует рекомендованных скрининговых исследований.
Все симптомы можно разделить на ренальные (связанные с поражением почек) и экстраренальные.
Среди ренальных проявлений рака почки наиболее характерны три:
- Гематурия (примесь крови в моче) - самый распространенный и зачастую первый симптом. Он возникает более, чем у половины пациентов с раком почки. Моча приобретает красный цвет, при этом боль не беспокоит либо носит острый характер и возникает после гематурии. Этим злокачественная опухоль отличается от неопухолевых заболеваний почки, например, мочекаменной болезни, при которой обычно сначала возникает боль, а потом появляется примесь крови в моче. Гематурия периодически исчезает, но через некоторое время снова появляется, причем промежутки между кровотечениями сокращаются. Количество крови в моче не зависит от размеров опухоли.
- Боли беспокоят около половины пациентов. Острая боль после гематурии возникает из-за того, что сгустки крови перекрывают просвет мочеточника. Тупые сильные боли зачастую говорят о плохом прогнозе.
- Пальпируемая опухоль - симптом, который выявляет врач во время осмотра примерно у трети пациентов.
Все три симптома одновременно встречаются у одного из десяти пациентов с раком почки. Обычно при этом выявляют запущенные опухоли.
Среди экстраренальных симптомов в первую очередь стоит отметить повышение температуры тела. У 5% больных лихорадка - единственное проявление заболевания. У некоторых пациентов повышается артериальное давление, отмечается покраснение лица из-за увеличения количества эритроцитов в крови, у мужчин - расширение вен мошонки (варикоцеле). На поздних стадиях снижается аппетит, пациент теряет вес без видимой причины, постоянно ощущает утомление, недомогание.

При подозрении на рак почки пациенту назначают общий анализ мочи, общий и биохимический анализы крови.
Один из наиболее информативных методов диагностики рака почки - компьютерная томография. Она помогает оценить размер, форму и локализацию злокачественного новообразования, обнаружить очаги в лимфатических узлах и других анатомических структурах за пределами почек. Исследование нередко дополняют внутривенным контрастированием. Введение контраста противопоказано при нарушении функции почек.
Магнитно-резонансную томографию применяют реже, чем КТ. Она показана, когда пациенту нельзя проводить компьютерную томографию с контрастом, если имеется подозрение на прорастание опухоли в нижнюю полую вену или другие крупные сосуды, для обнаружения метастатических очагов в головном и спинном мозге.

Ангиография - рентгенография с контрастирование сосудов, почки. Она помогает в диагностике заболевания и планировании хирургического лечения.
Позитронно-эмиссионная томография помогает обнаружить вторичные очаги рака в различных частях тела. Суть метода в том, что в организм пациента вводят вещество, которое обладает слабой радиоактивностью и накапливается в опухолевых клетках. Затем выполняют снимки с помощью специального аппарата, и на них опухолевые очаги хорошо видны.
В отличие от других онкологических заболеваний, биопсия при раке почки проводится редко. Обычно результатов других исследований хватает для того, чтобы принять решение о необходимости хирургического вмешательства. Уже после операции удаленную опухоль направляют в лабораторию, чтобы подтвердить диагноз. Биопсию проводят, если другие исследования не позволяют разобраться, показана ли операция. В случаях, когда хирургическое вмешательство противопоказано, исследование опухолевой ткани помогает определиться с тактикой лечения.
Всегда ли нужна операция при раке почки?

Сколько живут после операции по поводу рака почки?
Это зависит главным образом от стадии, на которой была диагностирована опухоль, и начато лечение. Пятилетняя выживаемость (процент пациентов, оставшихся в живых спустя 5 лет) наиболее высока для I стадии и составляет 81%. На II и III стадиях она, соответственно, составляет 74 и 53%. При IV стадии — 8%.
Как врач определяет стадию рака почки и на чем основывается, предлагая тот или иной метод лечения?
Стадия рака почки зависит от размеров и расположения опухоли. Так, рак почки первой стадии — это опухоль меньше 7 см, не выходящая за пределы почки. Рак почки второй стадии — это опухоль меньше 10 см, также не выходящая за пределы почки. А вот рак почки третьей стадии — это уже опухоль любых размеров, ограниченная почкой, либо повреждающая надпочечник, почечную вену, но имеющую метастаз в ближайших лимфатических узлах. Рак почки четвертой стадии может быть любых размеров, однако при этой стадии опухоль либо выходит за пределы почечной фасции, либо имеются больше одного метастаза в ближайших лимфатических узлах, либо имеются метастазы в легкие, кости, печень или головной мозг.
Стадию рака почки определяют в соответствии с международной классификацией TNM. Рядом с каждой из трех букв аббревиатуры указывают индекс, описывающий характеристики первичной опухоли (T), поражение регионарных лимфатических узлов (N), наличие отдаленных метастазов (M):
T1 — опухоль, находящаяся в пределах границ почки и имеющая наибольший диаметр не более 4 см (T1a) или 4-7 см (T1b).
T2 — опухоль, находящаяся в пределах границ почки и имеющая наибольший диаметр 7-10 см (T2a) или более 10 см (T1b).
T3 — злокачественное новообразование распространяется на почечную вену и ее ветви, на надпочечник на одноименной стороне, паранефральную клетчатку, не прорастая фасцию Героты (T3a), на нижнюю полую вену ниже (T3b) или выше (T3c) диафрагмы или врастает в стенку вены.
T4 — опухоль распространяется за пределы фасции Героты.
N0 — опухолевые очаги в регионарных лимфоузлах отсутствуют.
N1 — обнаруживается опухолевый очаг в одном лимфоузле.
N2 — обнаруживаются опухолевые очаги в двух и более регионарных лимфоузлах.
M0 — отдаленных метастазов нет.
M1 — отдаленные метастазы присутствуют.
В зависимости от значений T, N и M, выделяют четыре стадии рака почки:
- Стадия I: опухоль в почке не более 7 см (T1), лимфоузлы не поражены, отдаленных метастазов нет.
- Стадия II: первичная опухоль более 7 см (T2), отсутствуют очаги поражения в лимфатических узлах и отдаленные метастазы.
- Стадия III: злокачественная опухоль распространяется на соседние структуры (T3) и/или поражен один регионарный лимфатический узел (N1).
Стадия IV: опухоль распространяется на соседние структуры (T4), либо поражено 2 и более регионарных лимфоузла (N2), либо обнаружены отдаленные метастазы (M1).
Почему в одном случае при опухоли почки размером в 2 см предлагается удаление почки, а в другом случае опухоль достигает 5 см, но врач говорит о возможности удаления только опухоли с сохранением почки?
Опухоль почки размером 2 см может быть расположена вблизи почечных сосудов и ее удаление технически может быть невозможным. Однако данные литературы указывают, что если нет метастазов в лимфатические узлы и отдаленные органы, то опухоль почки до 7 см можно удалять с сохранением почки, что, безусловно, лучше полного удаления почки и инвалидизации пациента.
Как лечат злокачественные опухоли почки?
Условно методы можно разделить на хирургические и терапевтические. Что касается хирургических методов - то это традиционная «открытая» хирургия, когда путем большого разреза хирург получает доступ к почке и удаляет либо опухоль (резекция опухоли почки), либо почку с подлежащими структурами (радикальная нефрэктомия).

В нашу практику введена радиочастотная аблация опухоли почки — способ лечения рака почки у пациентов, которые по тем или иным причинам не перенесут «открытую» или лапароскопическую операцию. Суть метода заключается в введении особого инструмента в опухоль почки под контролем УЗИ и деструкции этой опухоли. Для выполнения радиочастотной абляции не требуется большого разреза, так как толщина инструмента не превышает 3-4-х мм. Данный метод позволяет избавить от опухоли так называемых «неоперабельных» пациентов.
Что касается терапевтических методов, то необходимо констатировать, что химиотерапия и облучение, применяемая в онкологии для лечения опухолей других органов, неэффективны в лечении рака почки. Однако для лечения рака почки 3 и 4 стадии мы применяем современную иммунотерапию и таргетную терапию. В каждом случае к лечению пациента с метастатическим раком почки мы имеем возможность привлечь ведущих отечественных специалистов, а также получить «второе мнение» из университетских клиник Австрии, Германии, США и Израиля.
Лечение на разных стадиях
Выбор тактики лечения при раке почки в первую очередь определяется стадией опухоли и состоянием здоровья пациента.
При стадиях I и II возможно хирургическое лечение. Стандартным вариантом считается нефрэктомия. К органосохраняющим операциям прибегают реже, в частности, при опухолях в единственной почке. Кроме того, на выбор объема операции влияет размер опухоли. Также удаляют близлежащие лимфатические сосуды, особенно если они увеличены, окружающую жировую клетчатку.
При III стадии рака почки основным методом лечения также является нефрэктомия, при этом должны быть удалены все регионарные метастазы. Если опухоль прорастает в почечную или нижнюю полую вену или мигрирует в их просвете в виде опухолевого тромба, пораженные ткани также нужно удалить, при этом может потребоваться подключение пациента к аппарату искусственного кровообращения.
При высоком риске рецидива после операции применяют адъювантную терапию таргетным препаратом сунитинибом. Пациенты получают его в течение года.
Если хирургическое вмешательство противопоказано, прибегают к радиочастотной аблации, эмболизации.
На IV стадии подходы к лечению могут быть разными, в зависимости от степени распространения рака в организме. В некоторых случаях возможно хирургическое лечение, в том числе циторедуктивные операции, во время которых хирурги не могут убрать опухоль полностью, но стараются удалить как можно больший ее объем. В редких случаев возможно удаление основной опухоли в почке и единичных вторичных очагов в других органах. После операции назначают курс таргетной терапии, иммунотерапии.
При неоперабельном раке почки основными методами лечения становятся иммунотерапия и таргетная терапия.

Симптомы рака почки: когда нужно посетить врача?
Все симптомы можно разделить на ренальные (связанные с поражением почек) и экстраренальные.
- Гематурия (примесь крови в моче) - самый распространенный и зачастую первый симптом. Он возникает более чем у половины пациентов с раком почки. Моча приобретает красный цвет, при этом боль не беспокоит либо носит острый характер и возникает после гематурии. Этим злокачественная опухоль отличается от неопухолевых заболеваний почки, например, мочекаменной болезни, при которой обычно сначала возникает боль, а потом появляется примесь крови в моче. Гематурия периодически исчезает, но через некоторое время снова появляется, причем, промежутки между кровотечениями сокращаются. Количество крови в моче не зависит от размеров опухоли.
- Боли беспокоят около половины пациентов. Острая боль после гематурии возникает из-за того, что сгустки крови перекрывают просвет мочеточника. Тупые сильные боли зачастую говорят о плохом прогнозе.
- Пальпируемая опухоль - симптом, который выявляет врач во время осмотра примерно у трети пациентов.
Все три симптома одновременно встречаются у одного из десяти пациентов с раком почкеи. Обычно при этом выявляют запущенные опухоли.
Читайте также:
- Сухожильные нити сердца. Поражения сердца при эндокардите
- Седалищный нерв ( n. ischiadicus ). Топография седалищного нерва. Ветви седалищного нерва.
- Потенциал действия. Временной ход потенциала действия. Реполяризация.
- Синдром Борриеса (Borries)
- Пиковые периоды травматизма артистов балета. Педагогические причины травм у танцоров
