МРТ, КТ при эндометриозе толстой кишки
Добавил пользователь Евгений Кузнецов Обновлено: 21.01.2026
Под эндометриозом понимается наличие очагов эндометрия вне полости матки, преимущественно в брюшной полости, на поверхности яичников. Эндометриоз является эстроген-зависимым заболеванием, которое наблюдается у 10% женщин, в основном детородного возраста. Наиболее частыми симптомами эндометриоза являются нарушение менструальной, половой, репродуктивной функции, боль в области таза, хотя заболевание может также протекать бессимптомно. Симптоматика зависит от локализации эндометриоза, глубины инвазии и наличия осложнений (спаек).
Золотым стандартом диагностики заболевания является лапароскопия. МРТ — вспомогательный метод, используемый с целью оценки распространенности и глубины эндометриоидной инфильтрации, особенно, если лапароскопическое вмешательство ограничено из-за спаек. В этой статье основной упор будет сделан на диагностику и оценку изменений при эндометриозе перед оперативным вмешательством на основании МРТ.
Сделать МРТ малого таза в Санкт-Петербурге
Аденомиоз и эндометриоз — в чем разница? В широком смысле термин эндометриоз означает разрастание клеток эндометрия (внутреннего слоя матки) вне самого эндометрия, в том числе, в миометрии (мышечном слое матки). Такое поражение миометрия называется аденомиозом. В противоположность ему, поражение наружных слоев матки со стороны брюшины не называется аденомиозом.
Стадирование эндометриоза
Стадия болезни зависит от степени выраженности поражения и наличия осложнений. Классификация эндометриоза, разработанная Американским сообществом репродуктивной медицины, предусматривает разделение поражений при на несколько категорий в соответствии с локализацией и глубиной инвазии, а также наряду со степенью облитерации Дугласова кармана и выраженностью спаек. Согласно изменениям, обнаруживаемым при лапароскопии, выделяют 4 стадии, начиная от легкого (1-я стадия) и заканчивая тяжелым (4-я стадия). При этом стадия соотносится с возможностью наступления беременности, но не с выраженностью болевой симптоматики.
Как диагностируется эндометриоз
Диагностика эндометриоза у женщин включает несколько шагов.
Первым шагом в диагностике болезни является сбор анамнеза и физикальное обследование. Анамнез и клинические признаки эндометриоза могут быть неспецифическими, однако в некоторых случаях можно обнаружить узловое объемное образование в полости таза, болезненное при пальпации, отражающее эндометриоидную инфильтрацию и фиброзные изменения в области Дугласового кармана. Также может наблюдаться повышение уровня маркера крови СА-125.
При клиническом подозрении на заболевание применяются методы лучевой диагностики. Обычно первым исследованием, назначаемым при подозрении на эндометриоз, является УЗИ таза. МРТ показывает эндометриоз не хуже, чем УЗИ, и позволяет детализировать патологические изменения, уточнить размеры и расположение очагов.
Золотым стандартом диагностики эндометриоза является лапароскопическое исследование — это наиболее чувствительный метод, позволяющий обнаружить поверхностные очаги поражения брюшины. Тем не менее, лапороскопическое вмешательство является инвазивной процедурой, что ограничивает ее применение. Лапароскопия может сочетаться с хирургическим лечением (коагуляцией или резекцией эндометриомы) и устранением спаек.
Эндометриоз: симптомы и признаки
Типичным клиническим симптомом эндометриоза является периодическая боль, связанная с менструациями, однако характер боли может быть постоянным, кроме того, болевая симптоматика может отсутствовать вовсе. Кроме болевой симптоматики признаком заболевания может стать нарушение фертильности. Самыми ранними видимыми изменениями при эндометриозе являются белесые бляшки на брюшине; при аутопсии или исследовании резектата обнаруживаются очаги эндометрия в виде мелких субсерозных узелков, выглядящих коричневыми. Эти очаги, которые можно обнаружить при лапароскопическом исследовании, носят название «пороховых ожогов» («ожогов порохом»). Через некоторое время из-за повторяющихся кровоизлияний возникает выраженный фиброз вокруг очагов эндометрия, что приводит к формированию спаек с придатками матки или кишечником, а также к облитерации Дугласова кармана.
При вовлечении яичников они могут увеличиваться и кистозно изменяться, заполняясь кровью, тем самым образуя «шоколадные кисты» (эндометриомы), которые могут достигать большого размера и становиться множественными. Эндометриальная выстилка со временем облитерируется, вследствие чего в некоторых случаях могут возникать затруднения при дифференциальной диагностике эндометриомы и геморрагической кисты. Стенка эндометриомы утолщается и замещается фиброзной тканью с отложениями гемосидерина. Из-за высокого содержания железа в кистах появляется возможность отличить их от других образований на МРТ, а также распознать раковые опухоли, которые развиваются у некоторых пациенток при эндометриозе.
Где располагаются очаги эндрметриоза
На изображении проиллюстрированы наиболее частые локализации эндометриоза.

1. Эндометриома (эндометриоидная киста) яичника
2. Позадишеечный (ретроцервикальный) эндометриоз
3. Глубокий эндометриоз кишечника
4. Эндометриоз мочевого пузыря
5. Эндометриоз брюшной стенки
Поверхностный эндометриоз
При поверхностном эндометриозе, который также носит название синдром Sampson, поверхностно расположенные бляшки разбросаны по брюшине, яичникам и маточным связкам. У пациенток такой формой болезни имеется тенденция к минимальной симптоматике в сочетании с меньшей выраженностью структурных изменений в тазу. При лапароскопии участки эктопического эндометрия могут выглядеть как поверхностный ожог от пороховых газов или огнестрельное ранение.

Лапароскопия при эндометриозе: видна мелкая поверхностная эндометриоидная бляшка на брюшине малого таза
На МРТ эти очаги чаще не видны, поскольку являются тонкими и плоскими, из-за чего их невозможно обнаружить. Ни МРТ, ни трансвагинальное УЗИ не обладают достаточной чувствительностью для визуализации подобных изменений. И, только когда они достигают размера 5 мм либо принимают вид геморрагической кисты с гиперинтенсивным сигналом на Т1 и гипоинтенсивным сигналом на Т2 взвешенных изображениях, появляется возможность их обнаружить.

Эндометриоз на МРТ: фото в режимах Т2 (слева) и Т1 (справа). Поверхностные очаги эндометриоза в серозной оболочке, выстилающей органы малого таза
Глубокий эндометриоз таза
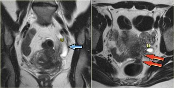
При глубоком эндометриозе таза, также называемом синдромом Cullen, эндометрий инфильтрирует ткани, расположенные в глубине от брюшины — субперитонеально. Симптоматика при этом выражена в большей степени и соотносится с локализацией и глубиной инвазией. МРТ используется с целью диагностики глубоких инфильтративных поражений, а также для оценки распространенности заболевания. Картирование очагов заболевания перед оперативным вмешательством является важным моментом, позволяющим решить вопрос о наличии показаний к хирургическому лечению и, если таковые имеются, спланировать вмешательство. Вот почему точное и подробное описание МРТ малого таза при эндометриозе крайне важно: оно является руководством для хирурга: ему перед операцией нужно знать, в каких местах искать пораженные ткани. Если после прохождения МРТ малого таза вы не получили адекватное описание, можно получить второе мнение рентгенолога, который специализируется на данном вопросе.

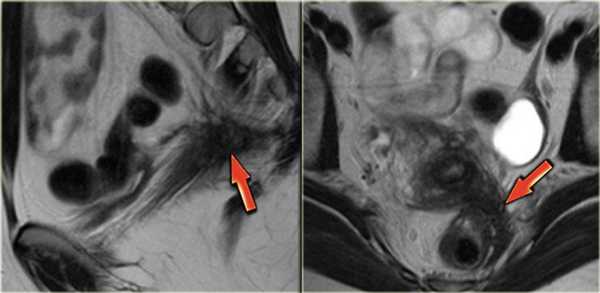
На сагиттальных Т2 взвешенных томограммах определяется эндометриоидная инфильтрация прямой кишки и мочевого пузыря
Эндометриоз тазовых карманов брюшины
Эктопический эндометрий чаще всего локализуется в карманах брюшины в области таза. Эндометриоидная инфильтрация легко обнаруживается при лапароскопическом исследовании, т. к. обуславливает обтурацию Дугласова кармана, отчасти также спровоцированную спайками со стороны передней стенки прямой кишки. Из-за этого феномена создается ложное впечатление об экстраперитонеальной локализации данной патологии. Следовательно, впечатление о локализации эндометриоза в прямокишечно-влагалищной перегородке может быть ошибочным, поскольку она располагается каудальнее заднего свода влагалища, и, в соответствии с нормальной анатомией, не может быть первичной зоной, в которой развивается эндометриоз. Дифференциальная диагностика нормальной анатомии и поражения Дугласова кармана легче осуществляется при помощи МРТ.

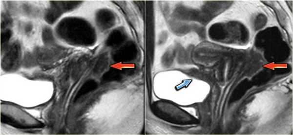
Как выглядит эндометриоз на МРТ? На сагиттальной Т2 взвешенной МР-томограмме определяется глубокий инфильтративный эндометриоз в прямокишечно-маточном углублении с поражением стенки прямой кишки
Ретроцервикальный эндометриоз
Места прикрепления крестцово-маточных связок и задний свод являются наиболее типичными местами локализации изменений при эндометриозе. Клинически у данных пациенток часто имеют место жалобы на болезненный половой акт.


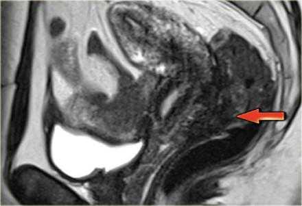
Ретроцервикальный эндометриоз: симптомы на МРТ. В режиме Т2 на МР-томограммах определяется поражение мест прикрепления крестцово-маточных связок

Типичная МРТ-картина при эндометриозе. На Т2 взвешенных МР-томограммах определяется поражение левой крестцово-маточной связки
Эндометриоз кишечника
Поражение кишечника наблюдается у 4-37% женщин с данным заболеванием. Первым методом исследования при подозрении на вовлечение кишечника является трансвагинальное УЗИ. Кроме того, для определения глубины инвазии стенки кишки, протяженности поражения и расстояния до ануса может использоваться МРТ.

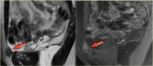
Покажет ли МРТ эндометриоз? На Т2 взвешенных сагиттальных МР-томограммах визуализируются два патологических веерообразных участка, дающих гипоинтенсивный сигнал (красные стрелки). Эти изменения типичны для эндометриоза с инфильтрацией стенки кишечника. Также определяется подслизистый отек, характеризующийся гиперинтенсивным сигналом со стороны отделов стенки кишки, расположенных ближе к просвету

Эндометриоз на МРТ малого таза. В случае циркулярного поражения эндометриоидная инфильтрация может приводить к сужению просвета кишечника. У пациенток при этом возможно изменение формы каловых масс (они становятся узкими в виде «карандаша») либо запоры. На Т2 взвешенных сагиттальных МР-томограммах определяется стеноз прямой кишки на ограниченном участке вследствие циркулярной инфильтрации
Поражение мочевого пузыря при эндометриозе
Поражение органов мочевыделительной системы происходит только у 4% пациенток, при этом в 90% случаев вовлекается мочевой пузырь.

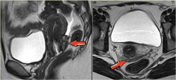
На Т2 взвешенных МР-томограммах определяются признаки эндометриоза с поражением стенки мочевого пузыря

На сагиттальных Т2 взвешенных МР-томограммах определяется поражение стенки мочевого пузыря на всю ее толщину, обусловленное эндометриозом, дающей изоинтенсивный сигнал по сравнению с мышцами; видны также гиперинтенсивные очаги, сопоставимые с расширенными эндометриальными железами. На Т1 взвешенной МР-томограмме с жироподавлением в зоне кровоизлияния визуализируются множественные мелкие кисты, дающие гиперинтенсивный сигнал
Спайки в малом тазу при эндометриозе
Заболевание часто осложняется формированием спаек, которые на МРТ могут выглядеть в виде спикулообразных тяжей, характеризующихся сигналом низкой или средней интенсивности на Т1 и Т2 взвешенных томограммах. Спайки могут фиксировать тазовые органы, приводя к задней дислокации матки и яичников, верхнему смещению заднего свода влагалища, а также ангуляции петель кишечника, что может приводить к гидронефрозу, хотя в большинстве случаев гидронефроз обусловлен вторичным фиброзом.

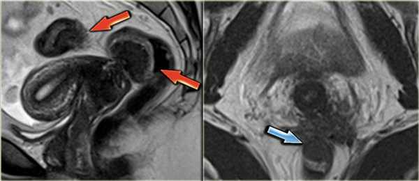
На Т1 и Т2 взвешенных томограммах у пациентки с эндометриозом визуализируются «целующиеся» яичники, расположенные вплотную друг к другу из-за множественных спаек. Также видны небольшая геморрагическая киста в левом яичнике и поверхностная геморрагическая бляшка, дающие гиперинтенсивный сигнал (красные стрелки)

Эндометриоз, осложненный гидронефрозом. На Т2 взвешенных томограммах определяется дилятация левого мочеточника в его дистальных отделах, обусловленная выраженной глубокой эндометриоидной инфильтрацией с поражением левой крестцово-маточной связки и распространением на сигмовидную кишку
Эндометриома
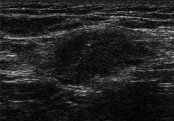
Эндометриоидные кисты яичников, также называемые «шоколадными кистами», возникают при внедрении ткани эндометрия с наружной поверхности яичника в его глубокие отделы. При этом кровь в течение каждого менструального цикла не может выйти наружу и накапливается в яичнике, формируя эндометриому, представляющую собой сложное кистозное образование яичника, которое часто имеет толстую стенку и однородное содержимое. При трансвагинальном УЗИ эндометриома может выглядеть как толстостенное кистозное образование с невыраженными эхогенными включениями.

Cлева: фотография, полученная при УЗИ, справа: фотография эндометриоидной кисты, сделанная во время оперативного вмешательства
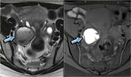
При МР-исследовании эндометриома представляет собой единичное образование (либо множественные образования) с однородным гиперинтенсивным сигналом на Т1 взвешенных томограммах и при использовании последовательностей Т1 с жироподавлением, которые помогают в дифференциальной диагностике эндометриом и зрелых кистозных тератом, обычно содержащих жировую ткань. На Т2 ВИ эндометриомы могут давать гипоинтенсивный сигнал (в виде «слабой тени»), а также промежуточный или гиперинтенсивный сигнал. Характеристики сигнала отражают содержание крови в кисте. Эндометриомы обычно имеют толстую капсулу из фиброзной ткани с низкой интенсивностью сигнала на Т2, обусловленную макрофагами, заполненными гемосидерином.

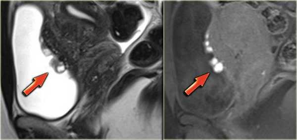
МРТ-признаки эндометриоидной кисты. На Т2 взвешенной и Т1 взвешенной МР-томограммах с жироподавлением визуализируется эндометриома, дающая гипоинтенсивный сигнал на Т2 («слабая тень») с уровнями «жидкость-жидкость» (слева), и гиперинтенсивным сигналом на Т1 с жироподавлением (справа)

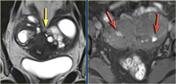
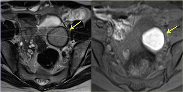
На МР-томограммах, выполненных пациентке с эндометриомой правого яичника (желтая стрелка) образование дает промежуточный по интенсивности сигнал на Т2 ВИ и гиперинтенсивный на Т1 ВИ с жироподавлением. Дополнительно видны признаки гидросальпинкса с высокой интенсивностью сигнала на Т2 ВИ и гипоинтенсивным сигналом на Т1 с жироподавлением (красная стрелка), а также лейомиома матки, гипоинтенсивная на Т2 ВИ и с промежуточным по интенсивности сигналом на Т1 с жироподавлением (голубая стрелка)

На МРТ в режимах Т2 ВИ и Т1 ВИ с жироподавлением определяется эндометриоидная киста левого яичника, стенка которого характеризуется гипоинтенсивным сигналом на Т2 и Т1 ВИ из-за содержания гемосидерина
Дифференциальная диагностика эндометриоидной кисты яичника
При подозрении на этот вид кисты яичника необходимо исключить следующие состояния:
- Функциональные геморрагические кисты
- Фибротекому
- Зрелую кистозную тератому
- Кистозное новообразование яичника
- Абсцесс яичника

Эндометриоз брюшной стенки
Согласно результатам исследований, эктопическая ткань эндометрия может обнаруживаться в различных нетипичных местах вне полости таза, например, в грудной полости. Брюшная стенка является излюбленной локализацией внетазового эндометриоза, ее поражение обычно связано с кесаревым сечением.

На УЗИ визуализируется солидное гипоэхогенное образование в брюшной стенке, в котором при энергетической допплерографии часто обнаруживается внутренний кровоток. Эти УЗ-признаки не являются специфическими, вследствие чего в дифференциально-диагностический ряд необходимо включать широкий спектр заболеваний, в т. ч. опухолевого характера (саркома, десмоидная опухоль, метастазы) и неопухолевых поражений (гранулема шва, грыжа, гематома или абсцесс). Тем не менее, эндометриоз брюшной стенки в первую очередь необходимо предполагать у пациенток с объемными образованиями данной локализации вблизи шва после кесарева сечения
КТ- и МР-признаки эндометриоза брюшной стенки не являются специфичными: и при КТ, и при МРТ обнаруживается солидное образование в брюшной стенке, накапливающее контраст.

Эндометриоз передней брюшной стенки: фото МРТ. Очаг поражения обладает интенсивностью сигнала, сравнимой с мышцами, содержит также мелкие гиперинтенсивные очажки, отображающие расширенные эндометриальные железы. Они характеризуются слегка более интенсивным сигналом по сравнению с мышцами на Т1 ВИ с жироподавлением (стрелка)

На аксиальной Т2 ВИ МР-томограмме продемонстрирован другой пример поражения брюшной стенки.
Сделать МРТ при эндометриозе в Санкт-Петербурге
ВТОРОЕ МНЕНИЕ ПРИ ЭНДОМЕТРИОЗЕ
В случаях, когда результаты МРТ малого таза дают неоднозначный или противоречивый результат, полезным может являться второе мнение. Повторная расшифровка МРТ малого таза при эндометриозе позволяет решить ряд задач:
Эндометриоз кишечника - симптомы и лечение
Что такое эндометриоз кишечника? Причины возникновения, диагностику и методы лечения разберем в статье доктора Агапова Михаила Андреевича, проктолога со стажем в 17 лет.
Над статьей доктора Агапова Михаила Андреевича работали литературный редактор Вера Васина , научный редактор Павел Резницкий и шеф-редактор Маргарита Тихонова

Определение болезни. Причины заболевания
Эндометриоз кишечника (Endometriosis of intestine) — это заболевание, при котором в кишечнике разрастаются ткани внутренней слизистой оболочки матки [1] . Проявляется запорами, болью в заднем проходе в покое и при дефекации, прожилками крови в стуле, болезненными и нерегулярными менструациями [3] .
Эндометриоз может поражать различные органы: яичники, маточные трубы, желудочно-кишечный тракт, мочевой пузырь, а также лёгочную плевру и перикард, окружающий сердце [2] .
Если клетки эндометрия расположены в толще матки, такое состояние называют аденомиозом, эндометриоз неполовых органов, в том числе кишечника, — экстрагенитальным эндометриозом и эндометриальной гетеротопией.
Распространённость эндометриоза
Эндометриозом страдают примерно 10 % женщин, в основном в возрасте 17-45 лет. Заболевание может протекать бессимптомно, поэтому точную распространённость оценить сложно [4] [5] .
Среди женщин с бесплодием эндометриоз встречается в 25-50 % случаев [7] . Эндометриоз кишечника развивается реже и рассматривается не как отдельное заболевание, а как форма болезни.
Причины эндометриоза кишечника
Точная причина эндометриоза неизвестна, болезнь возникает при одновременном воздействии нескольких факторов. В последние годы обсуждается возможная роль в развитии эндометриоза генетических мутаций, стволовых клеток, факторов внешней среды и гормональных расстройств, например избытка эстрогена и дефицита прогестерона.
К факторам риска относятся:
- раннее начало менструаций (в 11 лет и ранее);
- непродолжительный менструальный цикл (менее 26-27 дней);
- низкий вес при рождении; ;
- гормональные нарушения;
- случаи эндометриоза в семье, например у мамы или сестры;
- хронические заболевания органов малого таза: эндометрит, сальпингит и сальпингоофорит [1][9] .
При обнаружении схожих симптомов проконсультируйтесь у врача. Не занимайтесь самолечением - это опасно для вашего здоровья!
Симптомы эндометриоза кишечника
Эндометриоз кишечника практически всегда сочетается с другими формами эндометриоза, поэтому их симптомы схожи.
Заподозрить заболевание можно при следующих признаках:
- — боль не исчезает или почти не уменьшается при приёме комбинированных оральных контрацептивов (КОК) и нестероидных противовоспалительных препаратов (НПВП);
- нерегулярные менструации и скудные кровянистые выделения до и после менструации (более двух дней); и кровотечение после него; ;
- диарея, запор, тошнота, боли при дефекации, спазмы в кишечнике, вздутие живота;
- раннее насыщение — чувство, что желудок переполняется сразу после начала приёма пищи;
- частые мочеиспускания с болью или без неё, особенно в период менструации;
- эндометриоидные кисты в малом тазу [8][10] .
Патогенез эндометриоза кишечника
Эндометрий — это внутренняя выстилка матки, которая необходима для нормального течения беременности. Его ткань гормонально чувствительная, поэтому толщина эндометрия меняется в течение всего менструального цикла.
В начале цикла, т. е. после окончания менструации, эндометрий тонкий и состоит из активно делящихся клеток, которые восстанавливают внутреннюю выстилку матки.
К середине цикла слой эндометрия становится достаточно толстым и содержит много слизистых желёз и кровеносных сосудов. Именно в это время матка готова к имплантации оплодотворённой яйцеклетки. Если оплодотворения не произошло, при менструации большая часть эндометрия отторгается в виде кровянистых выделений.
Существуют несколько теорий возникновения эндометриоза:
- Имплантационная теория — при менструации часть клеток эндометрия не выходит из полости матки, а попадает через маточные трубы в брюшную полость. Если они не погибают, то остаются на поверхности внутренних органов, в том числе и кишечника [1][11] .
- Превращение нормальных клеток брюшной полости в эндометрий — клетки в очагах эндометриоза появляются не из полости матки, а превращаются из нормальных клеток брюшины, так как они имеют общую клетку-предшественника [1][12] .
- Эмбриональная теория — клетки в очагах эндометриоза являются остатками зародышевых тканей, которые в норме полностью исчезают при внутриутробном развитии. При эндометриозе эти клетки по неизвестным причинам сохраняются и начинают расти под действием стимулирующих факторов, например высокого уровня эстрогенов в определённые дни цикла [1][13] .
Существуют и другие теории эндометриоза, но они основаны на трёх вышеперечисленных.
При эндометриозе в организме возникают изменения, которые не всегда можно выявить при обследовании даже в специализированной клинике. Эти нарушения связаны с активацией перекисной системы окисления, цитокиновыми и клеточными иммунными реакциями. Зачастую их выявляют в ходе научных исследований, для постановки диагноза в клинической практике они не применяются [14] .
К таким изменениям относятся:
- гормональные нарушения, например увеличение уровня эстрогенов и дефицит прогестерона;
- признаки хронического воспаления (окислительный стресс);
- нарушения иммунитета, при которых снижается сопротивляемость к инфекции или может развиться аллергия.
Классификация и стадии развития эндометриоза кишечника
Заболевание не имеет собственной классификации, стадии болезни тоже не выделяют. Однако оно входит в общую классификацию эндометриоза по локализации поражения: относится к экстрагенитальному эндометриозу, т. е. возникающему вне половых органов.
Эндометриоз кишечника также является частным случаем в классификации эндометриоидных кист яичников и позадиматочного (ретроцервикального) эндометриоза [15] .
Классификация эндометриоидных кист яичников:
- I стадия — точечные поражения на поверхности яичников или брюшины малого таза;
- II стадия — киста яичника размером 5-6 см и очаги эндометриоза в брюшине малого таза;
- III стадия — кисты обоих яичников, частичное вовлечение кишечника;
- IV стадия — двусторонние крупные кисты яичников с переходом на мочевой пузырь, прямую и сигмовидную кишку [8] .
Классификация ретроцервикального эндометриоза:
- I стадия — очаги эндометриоза возникают между прямой кишкой и влагалищем;
- II стадия — прорастают в шейку матки или стенку влагалища, развиваются на поверхности кишечника;
- III стадия — распространяются на связки матки и мышечный слой кишечника (на половину толщины стенки);
- IV стадия — прорастают в слизистую оболочку кишечника (на всю толщину стенки).
Осложнения эндометриоза кишечника
Заболевание может привести к серьёзным осложнениям, таким как:
- — развивается при полной или частичной закупорке кишки очагом эндометриоза. При заболевании не отходят стул и газы, возникает вздутие живота. Требуется экстренная операция.
- Кишечное кровотечение — появляется, если очаг эндометриоза прорастает в сосуды слизистой оболочки кишки. В стуле появляются примеси крови, обильное кровотечение из прямой кишки может возникать и без дефекации. Нужно немедленного обратиться за медицинской помощью. Врач подберёт препараты для остановки кровотечения и назначит время для проведения операции.
- Перфорация кишки (частичный разрыв стенки кишки) — встречается крайне редко, проявляется резкой болью в животе с невозможностью глубоко вдохнуть и нормально двигаться. Требует экстренной операции. , реже мочевым пузырём, — канал, соединяющий полости тела, развивается, если стенки кишки сильно поражены. Проявляется отхождением газов и кала из влагалища и уретры при мочеиспускании. Требует хирургического лечения.
Бесплодие, разрывы и перекруты эндометриоидных кист являются общими осложнениями для всех форм эндометриоза и обычно рассматриваются отдельно.
Симптомы разрыва и перекрута кисты могут быть умеренными или ярко выраженными. К ним относятся:
- резкие, тянущие и ноющие боли внизу живота;
- внезапная слабость, бледность, холодный пот и головокружение[1][8] .
Диагностика эндометриоза кишечника
Диагноз устанавливается на основании сбора жалоб и анамнеза, осмотра и инструментальных методов: УЗИ и МРТ органов малого таза, диагностической лапароскопии [4] [5] [8] .
Сбор анамнеза
Обращаясь к врачу, в том числе к гинекологу, нужно рассказать обо всех симптомах: диарее, запоре, тошноте, боли при дефекации, спазмах в кишечнике, вздутии живота и раннем насыщении [1] [8] .
Частые мочеиспускания с болью или без неё (особенно при менструации) указывают на распространение эндометриоза, в том числе и в кишечник [8] .
Осмотр
Гинекологическое исследование при эндометриозе кишечника не всегда информативно.
Могут выявляться следующие изменения:
- фиксированная и резко смещённая матка;
- наличие узлов в маточно-крестцовой области, утолщение, напряжение и/или образования вокруг матки;
- укорочение и напряжение сводов влагалища;
- наличие мелкобугристого образования позади влагалища;
- боль и ограничение подвижности слизистой кишечника во время пальцевой пробы [5][8] .
Лабораторная диагностика
Специфическая лабораторная диагностика эндометриоза не разработана. Повышенный уровень онкомаркера СА-125 может быть признаком эндометриоза, но заболевание встречается и при нормальных его значениях (менее 35 МЕ/мл) [8] [16] .
Инструментальная диагностика
Для первичной диагностики эндометриоза рекомендовано провести ультразвуковое исследование (УЗИ) органов малого таза через влагалище [5] [8] . Если на УЗИ видно, что очаги эндометриоза сильно распространены и есть признаки поражения прямой кишки и/или мочевого пузыря, выполняют магнитно-резонансную томографию малого таза (МРТ).
МРТ позволяет наиболее детально обследовать мягкие ткани малого таза. Её также применяют, чтобы выявить поражение нижних отделов сигмовидной кишки [8] . Эти отделы могут быть расположены в малом тазу и тесно контактировать с его содержимым — в этом случае МРТ покажет, насколько кишка поражена эндометриозом. При более высоком расположении в просвете кишки появляются газы и метод уже не будет информативным.
Если очаги эндометриоза проросли в стенки толстой кишки, рекомендована колоноскопия. Во время процедуры можно обнаружить области, где просвет кишки сужен, и участки с признаками прорастания эндометриоза [5] . Колоноскопия — это не рутинный метод обследования, её применяют при распространённом эндометриозе в первые дни менструального цикла.
Наиболее информативным методом является лапароскопия — операция, при которой брюшную полость и малый таз обследуют с помощью специальной видеокамеры (лапароскопа). Требует полного эндотрахеального наркоза с искусственной вентиляцией лёгких. Обычно лапароскопия проводится при эндометриозе в малом тазу, но если очаги случайно обнаружены на кишке, их обычно удаляют [1] [5] [8] [16] .
Дифференциальная диагностика
Со схожими симптомами могут протекать следующие заболевания:
- Синдром раздражённого кишечника — проявляется спазмами в животе, расстройством стула и плохим аппетитом. Диагноз ставит гастроэнтеролог, предварительно исключив патологии желудочно-кишечного тракта. — из прямой кишки выделяется кровь, возникает дискомфорт в заднем проходе. При этих симптомах нужно обратиться к проктологу. — сопровождается дискомфортом или болью в прямой кишке и частыми позывами к дефекации. Также требуется консультация проктолога. — проявляется различными признаками, от болей в животе и слизи в стуле до кишечных свищей и системных нарушений: гепатита, холангита, склерита и конъюнктивита. При подозрении на болезнь Крона нужно обследоваться у гастроэнтеролога и провести колоноскопию с биопсией слизистой оболочки кишки. — симптомы схожи с болезнью Крона. Часто появляется кровь в кале по типу «малинового желе». Также нужно пройти обследование у гастроэнтеролога, колоноскопию с биопсией слизистой оболочки кишки.
- Спаечная болезнь брюшины — проявляется запорами, вздутием, дискомфортом и болями в животе после приёма пищи, при нагрузках или во время полового акта. Обычно развивается в результате операций на брюшной полости или травм живота. Рекомендуется посетить хирурга, чтобы исключить другие возможные болезни.
Лечение эндометриоза кишечника
При эндометриозе кишечника очаги обычно есть и в других органах, поэтому лечение должно быть комплексным [5] [8] [16] .
Медикаментозное лечение
Для лечения эндометриоза применяют обезболивающие и гормональные препараты. Гормональная терапия подавляет менструацию, поэтому при планировании беременности лекарства назначают циклами. Если женщина не собирается в ближайшее время заводить ребёнка, то препараты применяют постоянно под контролем врача, так как возможны побочные эффекты. Также можно установить гормональную внутриматочную спираль на 5 лет.
Хирургическое лечение
Операция проводится при распространённом эндометриозе и при развитии осложнений.
Возможные виды хирургического лечения эндометриоза кишки:
- «выстригание», или шейвинг очагов на поверхности кишки, — проводится, если эндометриоз не полностью пророс в стенки кишечника;
- удаление части стенки кишки с очагом эндометриоза — рекомендуется при глубоком врастании, в сложных случаях на стенки кишки накладывают швы;
- удаление протяжённого участка кишки (5-25 см и более) — проводится при выраженном или множественном поражении кишки, её разрыве или кровотечении; при обширном вовлечении прямой кишки может потребоваться вывести временную колостому (примерно на месяц) [5] .
Возможные осложнения операций:
- кровотечение — может потребоваться повторная операция;
- перитонит, или воспаление брюшины, — всегда требует повторной операции;
- нагноение ран.
Осложнения могут развиваться при инфицировании раны, несостоятельности швов, использовании устаревшего и повреждённого оборудования.
Реабилитация после операции
Операция обычно проводится лапароскопическим доступом, поэтому восстановление происходит достаточно быстро, в течение 2-3 недель. В первые 14 дней после операции нежелательно есть свежие овощи и фрукты, грубую клетчатку и хлеб. Рекомендуется употреблять молочные и мясные продукты, икру, яйца, запечённые овощи и фрукты, пить кисели и компоты. В течение месяца после операции нельзя поднимать тяжести более 5 кг.
План реабилитации врач составляет индивидуально, учитывая особенности пациентки и объём операции.
Другие виды лечения
Не доказана эффективность специальных диет, витаминов, пищевых и минеральных добавок.
Чтобы уменьшить тазовую боль и улучшить качество жизни, полезно заниматься йогой и спортом. Иногда при болях рекомендуют акупунктуру [8] .
Прогноз. Профилактика
Эндометриоз кишечника — это хроническое заболевание, которое не пройдёт самостоятельно. При болезни требуется тщательное лечение и наблюдение: врача нужно посещать раз в 3-6 месяцев. Частота консультаций зависит от выраженности симптомов и побочных действий гормональной терапии.
Если эндометриоз не лечить, значительно снижается качество жизни: развивается хронический болевой синдром и депрессия, сильные боли препятствуют полноценной сексуальной жизни.
Эндометриоз — это одна из самых частых причин женского бесплодия [1] . При эндометриозе 3-4-й стадии беременность наступает не более чем у 10-15 % пациенток [8] .
Своевременное лечение эндометриоза и тщательное наблюдение за пациентками позволяет снизить риск онкологических заболеваний половой системы [8] .
Специфическая профилактика эндометриоза не разработана [5] .
К факторам, которые предположительно снижают риск развития эндометриоза, относятся:
Эндометриоз - симптомы и лечение
Что такое эндометриоз? Причины возникновения, диагностику и методы лечения разберем в статье доктора Лубнина Дмитрия Михайловича, гинеколога со стажем в 22 года.
Над статьей доктора Лубнина Дмитрия Михайловича работали литературный редактор Елена Бережная , научный редактор Сергей Федосов
Эндометриоз — хроническое заболевание женской репродуктивной системы, характеризующееся прорастанием ткани слизистой оболочки полости матки — эндометрия — за ее пределы. Эндометриоз проявляется хроническим болевым синдромом и бесплодием.
Наиболее часто эндометриоидная ткань, структурно несколько отличающаяся от ткани обычного эндометрия, располагается на брюшине малого таза, яичниках, маточных трубах и связках матки. [1] Может наблюдаться поражение смежных органов: толстой кишки, мочевого пузыря, мочеточников. Также эндометриоидные очаги обнаруживаются на шейке матки, влагалище и наружных половых органах. Эндометриоз может проникать за пределы репродуктивной системы женщины — в легкие, почки, камеру глаза, а также обнаруживаться в послеоперационных рубцах на передней брюшной стенке и пупке. Отдельно выделяют эндометриоз матки — аденомиоз. При этом эндометриоидная ткань “прорастает” в мышцу матки, способствуя образованию в ней “ходов”, “очагов” и “узлов”.

Причины эндометриоза
Причины развития эндометриоза до сих пор неизвестны. Если верить первой из трех существующих теорий, ткань эндометрия во время менструации через маточные трубы попадает в брюшную полость и там имплантируется на брюшине, покрывающей внутренние органы. [3]
Вторая теория предполагает превращение эпителия в эндометриоидную ткань, [4] третья предполагает, что частицы эндометрия могут попадать в различные органы и ткани через кровеносную или лимфатическую системы.
Есть данные о роли наследственности в развитии эндометриоза, [5] это заболевание чаще встречается у женщин, родственники которых также страдали от эндометриоза.
Факторы риска
- Малое количество родов, поздние первые роды;
- Раннее начало менструаций;
- Короткий период между менструациями, длинный период менструаций;
- Низкий вес;
- Злоупотребление алкоголем;
- Аномалии матки, затрудняющие отток менструальной крови.
Эндометриоз развивается только во время репродуктивного периода и не встречается у пожилых женщин.
Описаны лишь единичные случаи заболевания до начала месячных и после менопаузы. При беременности и в лактационный период проявления эндометриоза временно прекращаются. [7]
Эндометриоз встречается у 5-6% женщин в общей популяции и у более чем 50% женщин, страдающих бесплодием.
Эндометриоз и миома матки
Эндометриоз и миома матки — частые гинекологические заболевания у женщин. Оба заболевания независимо друг от друга снижают фертильность. Существуют гипотезы, что эндометриоз и миома могут возникать под влиянием одних и тех же гормональных факторов, и поэтому часто встречаются вместе [18] .
Симптомы эндометриоза
Самым частым симптомом эндометриоза является боль, причем в 70% случаев она связана с менструацией. Менструальный цикл при этом не нарушается.
Наружный генитальный эндометриоз и его симптомы
К нему относятся:
- эндометриоз яичников;
- эндометриоз шейки матки и ретроцервикальный (позадишеечный) эндометриоз;
- эндометриоз маточных труб;
- эндометриоз влагалища, промежности и влагалищной части шейки матки.
В 25% случаев протекание заболевания проходит бессимптомно. Обычно наблюдаются боли ноющего, дергающего, режущего характера, которые локализуются внизу живота, нижних отделах спины, крестце, иррадирующие в ногу, прямую кишку. Наиболее часто они наблюдаются до и во время менструации, но могут продолжаться в течение всего цикла. Основные жалобы пациенток — болезненные ощущения во время половой жизни, при мочеиспускании и дефекации. [2] Кроме того, проявлением эндометриоза могут быть мажущие кровянистые выделениями за несколько дней до менструации и после нее. Аденомиоз характеризуется очень болезненными и обильными менструациями.
Экстрагенитальный эндометриоз
Экстрагенитальные формы эндометриоза могут проявляться по-разному: например, очаги в легких могут вызвать кровохарканье, в камере глаза — кровавые слезы, в почке или мочевом пузыре — кровь в моче. Наличие эндометриоза в коже проявляется образованием инфильтратов или пузырьков синюшного цвета, которые часто проявляются локальной болезненностью. Все проявления экстрагенитального эндометриоза, как правило, наблюдаются во время менструации, а в остальное время могут быть бессимптомными.
Кроме описанных выше проявлений есть и другие симптомы: повышенная утомляемость, запоры, диарея, вздутие живота и тошнота, особенно во время менструации.
Стадия заболевания не влияет на выраженность болевого синдрома. Так, может быть очень интенсивная боль при минимальной распространенности эндометриоза и наоборот — при множественном поражении не быть никаких симптомов.
Патогенез эндометриоза
Очаги эндометриоза представляют из себя небольшие образования различного цвета: черные, темно-синие, красные, белые, желтые и бесцветные, состоящие из ткани, которая похожа на ткань нормальной слизистой оболочки матки и у которой также имеется реакция на колебания гормонов во время менструального цикла в виде “миниатюрных менструаций”. В результате в месте расположения эндометриоидных очагов возникает воспаление с последующим формированием рубцовой ткани. Еще одним проявлением такого воспаления являются спайки, возникающие в брюшной полости, нарушающие расположение внутренних органов, стягивая их между собой. Отдельно выделяются “инфильтративные формы” эндометриоза, при которых наблюдается прорастание эндометриоидной ткани в соседние органы (толстую кишку, мочевой пузырь, мочеточники, задний свод влагалища — ретроцервикальный эндометриоз).
При аденомиозе (эндометриозе матки) ткань эндометрия прорастает в подлежащий мышечный слой матки, образуя в ткани ходы, очаги и узлы. Мышечная ткань гипертрофируется, а сама матка при этом может увеличиваться в размере.
Проявлением эндометриоза яичника является образование “эндометриоидных” кист — округлых образований, выстланных изнутри эндометриоидной тканью. Происходящие в ней миниатюрные менструации приводят к тому, что в кисте накапливаются менструальные выделения, которые и обуславливают ее рост. Сконцентрированные менструальные выделения напоминают шоколад, поэтому такие кисты еще называют “шоколадными”. Размер эндометриоидных кист может достигать 10 сантиметров и более, но, как правило, они диагностируются при меньших размерах.
Классификация и стадии развития эндометриоза
Существуют следующие формы эндометриоза: [14]
- Наружный генитальный эндометриоз (эндометриодные очаги располагаются на брюшине малого таза: трубах, яичниках, связках матки);
- Эндометриоидная киста яичника (разновидность наружного генитального эндометриоза);
- Ретроцервикальный эндометриоз (разновидность наружного генитального эндометриоза) инфильтративный вариант, при котором эндометриоидная ткань располагается за маткой и может прорастать в задний свод влагалища и кишку;
- Аденомиоз — эндометриоз матки;
- Экстрагенитальный эндометриоз — это очень редкая форма эндометриоза, при которой очаги эндометриоза обнаруживаются в легких, почках, камере глаза, послеоперационных рубцах, пупке, на коже промежности.
- Малые формы эндометриоза — к ним относятся единичные очаги на тазовой брюшине и на яичниках без формирования эндометриом и спаек.
Для наружного генитального эндометриоза разработана хирургическая классификация по степени распространенности патологического процесса в малом тазу и выраженности спаечного процесса. Выделяют 4 стадии от минимального поражения до крайне выраженного.
Аденомиоз матки также разделяют на три стадии: 1 стадия — прорастание одной трети стенки матки, 2-я — половина стенки; 3-я — полное прорастание стенки матки вплоть до серозной оболочки. [13]
Осложнения эндометриоза
Эндометриоз и бесплодие
Наиболее частое и существенное осложнение эндометриоза — бесплодие, которое встречается в среднем у 50% пациенток с этим заболеванием. [10] К бесплодию могут приводить два фактора. Во-первых, в результате образования спаек возможно повреждение маточных труб, нарушающее их проходимость. Вторым механизмом, препятствующим зачатию, могут быть развивающиеся нарушения в иммунной системе брюшной полости, что приводит к повреждению сперматозоидов и яйцеклетки. Эти механизмы до конца не изучены.
Можно ли забеременеть при эндометриозе
Влияет ли аденомиоз на возможность наступления беременности, до конца неизвестно. Репродуктологи отмечают, что наличие аденомиоза может снижать шансы на наступление беременности в циклах ЭКО.
Половина пациенток с эндометриозом, несмотря на наличие этого заболевания, спокойно беременеют без какого-либо лечения.
Поражение других органов
Инфильтративные формы эндометриоза могут повреждать кишечник и мочеточники, приводя к нарушению функции этих органов. Возможна стриктура (сужение) мочеточника с нарушением оттока мочи из почки с последующим развитием гидронефроза.
Осложнением аденомиоза является железодефицитная анемия, которая развивается в результате обильных менструальных кровопотерь.
Может ли эндометриоз перерасти в рак
Очаги эндометриоза в раковые опухоли не перерождаются.
Диагностика эндометриоза
Заподозрить наличие эндометриоза можно уже по жалобам пациентки, то есть на основании расспроса о характере и локализации болей и их связи с менструальным циклом. Во время осмотра на кресле можно выявить точки локальной болезненности: при ретроцервикальном эндометриозе в заднем своде влагалища пальпируются болезненные “шипики” — характерный признак этой формы эндометриоза. При наличии аденомиоза матка может быть увеличена в размере, иметь характерную шаровидную форму. Крупные эндометриоидные кисты проявят себя увеличением придатков матки.
Патоморфология
При осмотре шейки и наружных половых органов можно обнаружить характерные “темно синие глазки”, указывающие на присутствие эндометриоидных очагов.
Ультразвуковое исследование
УЗИ — первичный метод диагностики эндометриоза, который позволяет выявить аденомиоз и эндометриоидные кисты яичника. УЗИ-диагностика этих заболеваний, как правило, не вызывает трудностей, так как существуют специфические эхографические признаки. Наружный генитальный эндометриоз при УЗИ выявить невозможно, за исключением инфильтративных форм (ретроцервикальный эндометриоз), а также кожных локализаций.
Возможности МРТ требуются не так часто, в основном для подтверждения наличия аденомиоза матки и чтобы выявить инфильтративные формы эндометриоза.
Лабораторная диагностика эндометриоза
Специфических маркеров для диагностики эндометриоза не существует. Известно, что онкомаркер СА125 может быть повышен при эндометриозе, особенно при аденомиозе, но этот маркер не специфический, его повышение возможно и при множестве других патологических состояний, поэтому им не пользуются для диагностики эндометриоза. [6]
Диагностическая лапароскопия при эндометриозе
Как правило, эндометриоз диагностируют с помощью лапароскопии. Введение в брюшную полость специальной камеры позволяет под увеличением увидеть очаги эндометриоза и оценить его распространенность. [8] Для подтверждения диагноза из очагов берут биопсию, так как визуального подтверждения не всегда бывает достаточно. [1]
Гистероскопия
Гистероскопия (осмотр полости матки с использованием миниатюрной камеры) позволяет выявить наличие в стенках “эндометриоидных ходов”, подтверждающих наличие аденомиоза, но этот метод в целом не очень информативный и необходимый, так как наличие аденомиоза легко выявляется при УЗИ, кроме того, гистероскопия не позволяет оценить степень распространенности патологического процесса, а УЗИ — позволяет.
Роль психологического фактора в диагностике
Женщины, страдающие эндометриозом, склонны к волнениям, настроены пессимистично и сосредоточены на болезненных переживаниях. Они требовательны, раздражительны и часто недовольны проводимым лечением, что может приводить к трудностям при общении с врачом [17] .
Лечение эндометриоза
Полностью вылечить эндометриоз сегодня невозможно. Это заболевание самостоятельно прекращается после наступления менопаузы. Во время репродуктивного периода возможно ликвидировать симптомы, убрать проявления заболевания (очаги, кисты, инфильтративную ткань), но добиться полного излечения пока невозможно.
Основные задачи лечениия эндометриоза:
- Избавление пациентки от болевого синдрома
- Устранение проявлений заболевания, если они влияют на работу внутренних органов (яичников, кишечника, мочевого пузыря, маточных труб)
- Решение проблемы бесплодия, если предполагается, что его причиной является эндометриоз
- Прекращение обильных болезненных менструаций (при аденомиозе)
- Обеспечение профилактики прогрессирования заболевания, рецидивов заболевания после проведенного лечения
Лечение наружного генитального эндометриоза
Консервативное лечение эндометриоза. Болевой синдром можно купировать даже простым назначением контрацептивов в пролонгированном режиме, то есть без перерывов на менструацию.
Если приёма контрацептивов оказывается недостаточно, возможно проведение курса гормонотерапии препаратами, создающими в организме женщины искусственную менопаузу (агонисты ГнРГ — золадекс, диферелин, бусерелин), длительность такого курса обычно составляет не более 6 месяцев. После окончания этого курса назначается препарат, содержащий специальный модифицированный гормон — гестаген (Визанна), который принимается в непрерывном режиме, обеспечивая отсутствие рецидива заболевания. Увы, но препарат приходится принимать или до плановой беременности, или до менопаузы, так как без подобной поддерживающей терапии проявления эндометриоза довольно быстро возвращаются.
Хирургическое лечение эндометриоза. При неэффективности медикаментозного лечения проводят лапароскопическую деструкцию очагов эндометриоза, после которой назначается описанная выше схема лечения, так как только хирургического устранения эндометриоза недостаточно — у заболевания повышенный риск рецидива.
Хирургическое лечение эндометриоза следует ставить на первое место, если пациентка изначально обращается с проблемой бесплодия. Лапароскопия позволяет не только подтвердить диагноз, но и удалить очаги, разделить спайки и по возможности восстановить проходимость маточных труб (если будет выявлено их повреждение). [9]
Лечение эндометриоза народными методами может негативно повлиять на здоровье женщины из-за отказа от терапии с доказанной эффективностью.
Лечение эндометриоидных кист яичника
Эндометриоидные кисты яичника удаляют только лапароскопическим доступом, медикаментозное лечение в отношении этой формы заболевания неэффективно. Удалению подлежат не все кисты, а только кисты, размер которых более 3-4 см. Кисты меньшего размера не влияют на работу яичника, а их рост можно сдерживать приемом контрацептивов или препаратом Визанна. [15] Наличие таких кист не влияет на возможность беременности и вынашивания, они не растут во время беременности.
Важно помнить, что хирургическое удаление эндометриоидных кист является наиболее частой причиной снижения овариального резерва яичников, проще говоря, времени их работы. Это связано с неизбежным повреждением здоровой части яичника во время удаления кисты. Поэтому удаление маленьких, неопасных кист наносит больше вреда женщине, чем пользы. Нередки случаи, когда после удаления эндометриоидных кист женщина сталкивается с преждевременным прекращением работы яичников, особенно это трагично, если пациентка имеет планы на беременность.
После удаления эндометриоидных кист также назначается противорецидивное лечение — препарат Визанна или гормональные контрацептивы в непрерывном режиме. [15] [16]
Лечение инфильтративных форм эндометриоза
Удаляются только хирургическим путем, нередко с привлечением хирургов других специальностей (абдоминальных хирургов, урологов), особенно если имеет место прорастание эндометриоидной ткани в смежные органы. Как и во всех случаях хирургического лечения эндометриоза, после операции назначается медикаментозная терапия (Визанна, КОК) до менопаузы. [15] [16]
Лечение аденомиоза
Хирургическое лечение аденомиоза практически не применяется, так как из матки крайне затруднительно вырезать измененную ткань, не имеющую четких границ с неизмененной мышцей.
Медикаментозное лечение аденомиоза заключается в создании искусственной менопаузы препаратами группы ГнРГ (Золадекс, Бусерелин, Диферелин и т.д.) [11] в течение 6 месяцев и далее, введение внутриматочной гормон-содержащей спирали “Мирена”, которая устанавливается на пять с половиной лет или назначении препарата Визанна — длительно, вплоть до менопаузы. [15] Основной задачей такого лечения является прекращение обильных и болезненных менструаций, вылечить аденомиоз подобным способом невозможно.
Достаточно эффективным методом лечения аденомиоза является эмболизация маточных артерий. [12] Суть методики заключается в следующем: посредством пункции бедренной артерии в сосудистое русло вводят специальный катетер, который под контролем рентгена проводится сначала в левую, потом в правую маточную артерии. При установке катетера в маточной артерии по нему вводят взвесь из специальных шариков, которые забивают просвет патологически разросшихся сосудов. В результате эндометриоидная ткань погибает, матка уменьшается в размере до нормальной величины, прекращаются обильные и болезненные менструации. Эффективность эмболизации маточных артерий при лечении аденомиоза достигает 82%. [12] После проведения ЭМА, в отличии от других методов лечения, в дальнейшем не требуется принимать никаких дополнительных препаратов. В настоящий момент эмболизацию маточных артерий можно считать самым эффективным методом лечения аденомиоза и отдавать ему предпочтение в первую очередь.
Эндометриоз, увы, неизлечимое заболевание, которое прекращается только после наступления менопаузы. У части пациентов эндометриоз протекает бессимптомно, к примеру, его просто обнаруживают во время лапароскопии или во время УЗИ. В таких случаях прогноз благоприятный. В остальных случаях лечение в основном симптоматическое и длительное, основная задача — довести пациентку до менопаузы.
Специфической профилактики эндометриоза не существует, однако известно, что длительный прием гормональных контрацептивов может снизить вероятность развития этого заболевания. [16]
Читайте также:
- Случай тубоотита после острого двустороннего верхнечелюстного риносинусита
- Этапы и техника удаления пахового лимфоузла
- Ангиопульмонологические методы исследования. Ангиопульмонография
- Преобразование энергии раздражителя в рецепторах. Рецепторный потенциал. Абсолютный порог. Длительность ощущения. Адаптация рецепторов.
- Пенетрантность и экспрессивность. Что такое?
