Наботовы кисты шейки матки: причины, современное лечение
Добавил пользователь Владимир З. Обновлено: 22.01.2026
Киста шейки матки обнаруживается у женщины достаточно часто. Не стоит пугаться этого диагноза, хотя при отсутствии лечения он может вызвать серьезные осложнения. Важно не запускать болезнь, а следовать указаниям лечащего врача.
[dcb > Что такое киста на шейке матки
Кисты — пустоты, которые образуются в различных тканях. На шейке матки возникает различные кисты:
- Травматические.
- Опухолевые.
- Паразитарные.
- Воспалительные.
- Ретенционные.
Эти разновидности напрямую связаны с причиной, по которой они возникают.
Причины
Причинами возникновения кист на шейке матки могут быть:
- Травмы при родах, абортах, а также оперативных вмешательствах на матке.
- Период менопаузы у женщины, когда эпителий сам по себе истончается, и железы становятся уязвимы для внешнего воздействия.
- Установка внутриматочной спирали.
- Инфекционно-воспалительные процессы в матке.
- Проблемы с обменом веществ.
- Эндокринные заболевания.
Это основные причины, в каждом конкретном случае лечащий врач сам определяет, что послужило толчком для образования кист.
Разновидности
Кистозные образования могут быть:
- Эндометриоидные, которые образуются из клеток эндометрия, когда он врастает в шейку матки.
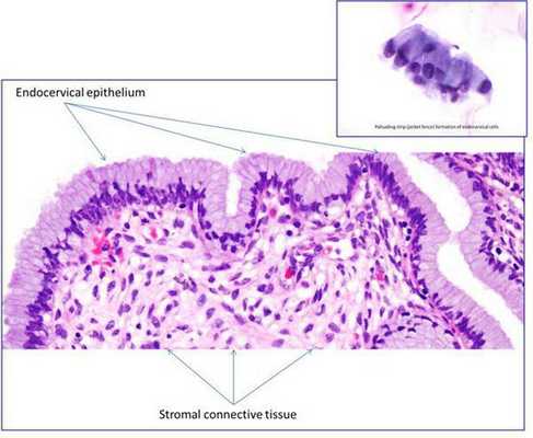
- Наботовы кисты, которые образуются в результате патологических изменений в эпителии шейки матки или в наботовых железах.
Наботовы железы — специальные железы, которые вырабатывают слизь. Она создает пробку, которая препятствует проникновению инфекции внутрь матки. Если железы закупорены, слизь накапливается, и получаются пустоты в набухших железах.
Симптомы заболевания
Основными симптомами, на которые следует обратить внимание и сходить к врачу являются:
- Кровотечения не во время менструации.
- Боль резкая и острая внизу живота.
- Болезненные ощущения во время сексуального контакта.
- Выделения из влагалища, если они не сопровождаются половым возбуждением.
Важно понимать, что эти симптомы чаще всего проявляются уже в запущенной стадии болезни. На ранних сроках развития кисты себя не проявляют, а потому женщине необходимо регулярно посещать гинеколога для профилактики.
Диагностика заболевания
Киста просто диагностируется для этого нет необходимости использовать сложные инструменты. Первоначальный диагноз ставится на основе осмотра при помощи гинекологического зеркала. Затем часто назначается кольпоскопия — осмотр подозрительного участка при помощи увеличительного прибора, который подсвечивает затемненные участки.
Для выявления причин, вызвавших патологию проводится УЗИ шейки матки, а также ряд других исследований:
- Общий анализ крови и мочи.
- Анализ крови на ЗППП.
- Анализ крови на гормоны.
- Проверка крови на онкомаркеры.
- Бактериальный посев.
- Гистологическое обследование.
Все эти обследования проводятся для уточнения основного диагноза, поскольку непосредственно кисты виды при простом гинекологическом осмотре.
Ультразвуковое сканирование быстро обнаруживает кисту, отследить ее образование можно и при пальпации. Но для многих женщин остается вопрос: что такое киста и когда она может стать опасной?
Осложнения и причины их возникновения
Наиболее распространённые осложнения при кистозных образованиях:
- Шеечное бесплодие, которое проявляется за счет того, что сильно сужается цервикальная полость.
- Абсцесс на месте железы.
- Прерывание беременности.
- Деформация шейки матки.
Чтобы избежать осложнений рекомендуется вовремя обратиться к специалисту и начать лечение.
Методы лечения кист
Для лечения используется несколько методов. Выбирает лечащий врач в зависимости от стадии заболевания и степени развития кист.
- Химическое прижигание — шейку матки после обезболиванию прижигают специальными препаратами с содержанием уксусной или азотной кислоты.
- Электрокоагуляция — также прижигание, но при помощи электрического тока. Используется для лечения уже рожавших женщин, поскольку после процедуры могут возникать рубцы.
- Криокоагуляция — использование жидкого азота для прижигания.
- Лазерное удаление — специалист при помощи лазера удаляет кисту. Используется у нерожавших женщин, поскольку операция бескровная и не оставляет рубцов.
- Радиоволновое удаление — прокалывается киста и удаляется слизь. После этого обрабатывается радиоволнами высокой частоты. Обезболивание не нужно.
После удаления кисты пациентке назначается медикаментозное лечение антисептиками и противовоспалительными препаратами.
При четком соблюдении всех рекомендаций врача прогноз благоприятный. Новообразования в виде кисты редко перерастают в рак. Согласно статистике кисты шейки матки диагностируется 10-15% женщин.
Выводы
Для того, чтобы вовремя диагностировать кисту и не попасть в процент тех, у кого развиваются осложнения, рекомендуется регулярно проходить профилактические осмотры у гинеколога. Для этого можно посетить нашу клинику, где работают высококвалифицированные специалисты с большим опытом работы. В клинике есть все необходимое оборудование, которое поможет провести лабораторные исследования и диагностировать кисту на ранних стадиях.
Эрозия шейки матки - симптомы и лечение
Что такое эрозия шейки матки? Причины возникновения, диагностику и методы лечения разберем в статье доктора Лубнина Дмитрия Михайловича, гинеколога со стажем в 22 года.
Над статьей доктора Лубнина Дмитрия Михайловича работали литературный редактор Елена Бережная , научный редактор Сергей Федосов
Определение болезни. Причины заболевания
Эрозия шейки матки не является заболеванием. Это физиологическое явление, при котором цилиндрический эпителий, выстилающий канал шейки матки, выходит за пределы канала и располагается снаружи шейки. Шейка матки является неотъемлемой частью матки — входом в ее полость, по форме она напоминает узкое горлышко у фляжки. Часть шейки расположена во влагалище, ее покрывает многослойный плоский неороговевающий эпителий, по сути, кожа, только без плотного наружного слоя. На стыке канала шейки он встречается с сочным цилиндрическим эпителием, имеющим железы для производства слизи. Это зона трансформации. Когда эта зона смещается наружу, цилиндрический эпителий виден на поверхности шейки матки в виде ярко-красного пятна, окружающего вход в шейку. Подобный вид придает эрозии кислая среда влагалища, оказывающая раздражающее действие на нежный цилиндрический эпителий.

Что такое эктопия и эктропион
Термин "эктопия" заменил устаревший термин "эрозия", однако последний иногда ещё используется врачами.
Эктропион — это осложнённая форма эктопии шейки матки, выворот внутренней части шейки матки в полость влагалища
Как возникает эрозия шейки матки
Причины появления эрозии шейки матки неизвестны. На Западе она считается нормальным физиологическим явлением, не требующим вмешательства, в то время как в Китае эрозия шейки матки признана разновидностью хронического цервицита и часто подлежит лечению. [1] Считается, что раннее начало половой жизни (до 16-17 лет) также провоцирует ее появление, так как шейка матки еще незрелая в этом возрасте, и зона трансформации в норме может выступать за пределы канала шейки матки, что приводит к ее травматизации во время полового акта.
Эрозия шейки матки выявляется у 80 % сексуально активных молодых женщин, а ее распространенность снижается между 30-40 годами. Поскольку причины эрозии шейки матки до сих пор не совсем понятны, существует предположение о том, что она может быть связана с гормональными колебаниями. В пользу этой версии свидетельствует тот факт, что эрозия наиболее часто встречается у девочек-подростков и беременных женщин. [2]
Ранее считалось, что эрозия значительно более распространена у женщин, принимающих оральные контрацептивы, чем у тех, кто использует барьерные методы контрацепции. [3] Ряд современных исследователей связывают возникновение эрозии шейки матки с использованием не только оральных контрацептивов, но и внутриматочных, так как считается, что те склонны к травматизации шейки матки. Не исключается и инфекционная природа эрозии шейки матки, в частности, виновниками ее возникновения в ряде случаев называются Chlamydia trachomatis [4] , Neisseria gonorrhea [5] и вирус простого герпеса [6]
Чем опасна эрозия шейки матки
Эрозия (эктопия) шейки матки никакой опасности для организма женщины не несёт. Истинная эрозия шейки матки встречается редко, чаще всего это следствие травмы или воспаления на шейке, но может быть и следствием дисплазии шейки матки. Если истинная эрозия является следствием воспаления или травмы — она проходит в процессе лечения этих заболеваний самостоятельно. Если эрозия является проявлением дисплазии (чаще всего в довольно запущенных случаях), она иссекается при эксцизии или конизации шейки.
При обнаружении схожих симптомов проконсультируйтесь у врача. Не занимайтесь самолечением - это опасно для вашего здоровья!
Симптомы эрозии шейки матки
Эрозия шейки матки проявляется в основном обильными слизистыми выделениями из половых путей, а также контактными кровянистыми выделениями, возникающими после полового акта.
Причиной появления выделений является избыточное образование слизи цилиндрическим эпителием. Контактные кровотечения возникают из-за травматизации поверхностных тонкостенных сосудов, которые могут располагаться на эрозированной поверхности шейки матки. Примерно у четверти женщин, которые отмечают жалобы на посткоитальное кровотечение, была диагностирована эрозия шейки матки. [7]
Что может чувствовать женщина
В подавляющем большинстве случаев эрозия шейки матки протекает безболезненно и бессимптомно.
Патогенез эрозии шейки матки
Эрозия шейки матки — чаще всего врожденное состояние. Во время созревания репродуктивной системы цилиндрический эпителий изначально расположен снаружи шейки и по мере созревания уходит в канал шейки матки. Вероятно, не всегда этот процесс завершается до начала половой жизни, которая может влиять на скорость его завершения. Наличие эрозии также связывают с приемом контрацептивов, с периодом беременности. Предполагается, что это связано с воздействием эстрогенов на шейку матки. Наличие воспалительного процесса в канале шейки матки также может поддерживать наличие эрозии, препятствуя ее исчезновению.

Классификация и стадии развития эрозии шейки матки
Виды эрозии:
- врожденная (эктопия, псевдоэрозия);
- истинная, возникающая как проявление заболевания шейки матки, являющаяся изолированным дефектом на шейке матки и имеющая отношение к более серьезным заболеваниям.
Эрозия шейки матки по данным кольпоскопии

Осложнения эрозии шейки матки
Цилиндрический эпителий за счет особенностей своего строения легче восприимчив к развитию в нем воспаления, которое вызывают условно патогенные микроорганизмы и инфекции, передающиеся половым путем. При этом развивается такое состояние как цервицит — воспаление канала шейки матки. Цервицит может быть причиной длительного существования эрозии.
Эрозия шейки матки сама по себе не имеет никакого значения в развитии дисплазии шейки матки и рака шейки матки. Эти опасные заболевания развиваются на шейке матки независимо от наличия эрозии.
В процессе самостоятельного заживления эрозии или после проведения ее деструкции многослойный плоский эпителий нарастает на цилиндрический, в результате перекрывается часть выводных протоков желез. В результате формируются кисты на шейке матки, которые еще называются “наботовы кисты”. Они бывают различного размера и совершенно не опасны, лечить их не надо.

Эрозия шейки матки при беременности
Эрозия шейки матки часто встречается у беременных женщин и является одной из основных причин появления кровянистых выделений во время беременности. Такое кровотечение возникает из небольших поверхностных сосудов эрозии и совершенно неопасно.
Диагностика эрозии шейки матки
Эрозия шейки матки легко выявляется при ее осмотре на кресле с использованием зеркала, она выглядит как ярко-красное пятно различного размера вокруг входа в канал шейки матки. На следующем этапе проводится кольпоскопия — исследование шейки матки под микроскопом с применением окрасок.
Осмотр
В этом исследовании есть три этапа:
- просто осмотр шейки под микроскопом;
- осмотр после окраски уксусной кислотой;
- осмотр после окраски люголем.

Кольпоскопия
Это исследование совершенно безболезненное. Кольпоскопия позволяет выявить на шейке признаки, характерные для различных заболеваний, которые не видны при обычном осмотре.

Необходимые лабораторные исследования
Третьим обязательным методом обследования является цитологический мазок с шейки матки, желательно выполнять так называемую “жидкостную цитологию”, такой вариант анализа является более информативным и точным. Цитологическое исследование позволяет не только подтвердить диагноз эрозия, но и исключить или выявить наличие атипических клеток, характерных для дисплазии шейки матки.
При отсутствии в результатах кольпоскопии и цитологического мазка патологических элементов, присущих дисплазии шейки матки, показаний для проведения биопсии шейки матки нет.

Лечение эрозии шейки матки
Нужно ли лечить эрозию
В подавляющем большинстве случаев показаний для лечения эрозии шейки матки нет, она сама исчезает со временем. Процесс ее заживления еще называют словом “эпителизация”, то есть при этом процессе на цилиндрический эпителий нарастает многослойный плоский, и граница между этими эпителиями отодвигается ко входу в канал шейки матки.
Лечение эрозии до беременности
Большая часть исследователей сходится во мнении, что эрозия в лечении не нуждается, если протекает бессимптомно и не доставляет женщине неудобств. [9] Хотя большинство современных методов лечения в значительной степени способствуют регрессии эрозии шейки матки, некоторые симптомы могут так и не исчезнуть после лечения. [10]
Последствия эрозии шейки матки. Почему нельзя запускать патологию
Поскольку наличие эрозии шейки матки может значительно повысить восприимчивость шеечного эпителия к инфекциям, среди которых хламидии, папиломавирус, цитомегаловирус и даже ВИЧ, понимание этиологических факторов, которые способствуют возникновению эрозии шейки матки, является важным направлением для исследований. [11]
В пользу необходимости лечения эрозии шейки матки говорит тот факт, что при наличии эрозии увеличивается секреция шеечной слизи, что может доставлять женщине значительные неудобства. Кроме того, в очень редких случаях некоторые связывают с эрозией шейки матки, помимо посткоительных кровотечений, болезненные ощущения в области малого таза. [8]
Радиоволновое лечение и лазерная вапоризация
Лечение эрозии шейки матки предполагает деструкцию цилиндрического эпителия на той части шейки матки, где он располагаться не должен. Оптимально выполнить прижигание эрозии шейки матки радиоволновым прибором (Фотек, Сургитрон) или лазером.

Описание метода прижигания эрозии шейки матки
Существует только два показания для лечения эрозии шейки матки: наличие большого количества обильных слизистых выделений из половых путей, а также появление контактных кровянистых выделений (после полового акта или в результате физической активности).
Прижигание эрозии радиоволновым прибором или лазером — это быстрая безболезненная амбулаторная процедура, которая занимает 10-15 минут. Если возникла необходимость прижечь эрозию, то бояться этого не нужно. Современные методы лечения не оказывают никакого отрицательного воздействия на шейку с точки зрения перспективы беременности и родов.
Химическая коагуляция
Химические методы (например, с помощью "Солковагина") трудоёмки и требуют нескольких посещений врача, в то время как радиоволна или лазер справляются с задачей за одну процедуру.
Диатермокоагуляция и криокоагуляция
Методы устарели и для лечения эрозии шейки матки больше не применяются.
Медикаментозное лечение
Медикаментозное лечение при эрозии шейки матки не проводят. Исключение — ситуация, когда причиной истинной эрозии является воспаление. В таком случае принимают препараты, необходимые для устранения основного заболевания, а эрозия в процессе лечения проходит самостоятельно.
В чем опасность несвоевременного прижигания эрозии
Никакой опасности для организма существование эктопии не создаёт. Наоборот, прижигание эктопии без показаний приводит к переводу переходной зоны шейки матки в канал, что не позволяет следить за изменениями эпителия в этой зоне.
Рекомендации после проведённого прижигания
После прижигания эктопии шейки матки рекомендуется воздержаться от половой жизни, активного спорта и посещения бани на 40 дней.
А возможна ли беременность после прижигания
Репродуктивная функция после прижигания эрозии не нарушается.
Лечение эрозии народными средствами
Народные методы лечения не проверяют в ходе клинических исследований, поэтому их безопасность и эффективность не доказаны.
Прогноз. Профилактика
Прогноз у эрозии шейки матки всегда благоприятный. Так как она чаще всего выявляется у женщин, рано начавших половую жизнь, профилактикой этого явления может быть только рекомендация воздержаться от столь раннего дебюта (речь идет о возрасте до 15-17 лет).
Эктопия шейки матки ( Железистомышечная гиперплазия шейки матки , Ложная эрозия шейки матки , Псевдоэрозия шейки матки , Эндоцервикоз )
Эктопия шейки матки — это атипичное расположение цилиндрического (кубического) эпителия, выстилающего цервикальный канал изнутри, на влагалищной порции шейки матки, в норме покрытой плоским эпителием. Неосложненная эктопия шейки матки не дает клиники; при осложненной отмечаются бели, контактные кровянистые выделения, зуд в области гениталий, диспареуния. Эктопия шейки матки обнаруживается при гинекологическом осмотре; диагноз уточняется с помощью расширенной кольпоскопии, цитологического исследования соскоба, при необходимости - биопсии. Лечение неосложненной эктопии не проводится; при осложненных формах назначается этиотропная терапия, выполняется деструкция измененных очагов.
МКБ-10


Общие сведения
Для обозначения эктопии шейки матки гинекология нередко использует термины псевдоэрозия, ложная эрозия, эндоцервикоз, железистомышечная гиперплазия. В норме влагалищную часть шейки матки, доступную осмотру в зеркалах, снаружи покрывает многослойный плоский эпителий, тогда как изнутри шеечный канал имеет выстилку из цилиндрического эпителия. При эктопии шейки матки граница перехода цилиндрического эпителия в плоский смещается в область наружного зева, располагаясь по его окружности или локально.
Эктопия шейки матки выявляется у 40% женщин; у 11,3% пациенток данная особенность является врожденной. Максимальная частота эктопии шейки матки (40-50%) наблюдается у женщин младше 30 лет. Сама по себе эктопия никогда не переходит в рак шейки матки, однако на ее фоне вероятность развития злокачественного процесса повышается.

В пубертатном и раннем репродуктивном периоде эктопия шейки матки расценивается как функциональная особенность, в основе которой лежит относительная гиперэстрогения. Выявление псевдоэрозии при беременности также считается физиологическим состоянием, обусловленным изменением гормональной функции яичников. Различные теории, объясняющие возникновение эктопии шейки матки, связывают этот процесс с дисгормональными, воспалительными, иммунологическими, травматическими факторами.
- Теория воспаления. Образование эктопии объясняет рецидивирующими вагинитами и эндоцервицитами, вызываемыми стрептококками, кишечной палочкой, возбудителями ИППП (микоплазмоза, гарднереллеза, уреаплазмоза, хламидиоза, папилломавирусной инфекции) и др. Патологические выделения, воздействующие на влагалищную часть шейки матки, вызывают десквамацию плоского эпителия с образованием на его месте истинной эрозии. В течение 1-2 недель эпителий эндоцервикса распространяется на поверхность эрозии, покрывая ее, и на месте последней образуется участок эктопии. Инфицированию шейки матки способствуют: родовые травмы, повреждения шейки при выполнении медицинских абортов, травматизация при использовании барьерной контрацепции и спермицидных средств.
- Иммунологическая теория. Рассматривает в качестве ведущего этиологического момента снижение общих защитных функций. К образованию приобретенной эктопии шейки матки предрасполагает ранняя половая жизнь, частая смена половых партнеров, наличие хронической экстрагенитальной патологии (сахарного диабета и др.), многократные роды, курение.
- Гормональная концепция. Связывает развитие эктопии шейки матки с дисфункцией яичников. Подмечено, что эктопия шейки матки часто встречается при эндометриозе, фиброме, гиперплазии стромы яичников, нарушениях менструального цикла, раннем становлении менархе и др. состояниях, обусловленных гиперэстрогенией.
Патоморфология
Гистологически различают железистую, папиллярную эктопию шейки матки и псевдоэрозию с плоскоклеточной метаплазией. При железистой эктопии выявляются скопления желез с разветвленной сетью железистых ходов, признаки воспаления. При папиллярной эктопии имеет место разрастание компонентов стромы и образование сосочковых структур, покрытых цилиндрическим эпителием.
Заживление эктопии шейки матки сопровождается обратным замещением цилиндрического эпителия клетками зрелого плоского эпителия, т. е. формированием зоны трансформации. В этот процесс вовлекаются резервные клетки, которые в результате дифференцировки сначала превращаются в незрелый, а затем зрелый метапластический эпителий.
Проведение кольпоскопии позволяет различать незаконченные и законченные зоны трансформации. При неблагоприятных воздействиях клеточная метаплазия может обрываться, приводя к рецидиву эктопии шейки матки. В случае перекрытия метапластическим слоем клеток устья шеечных желез формируются ретенционные кисты шейки матки (наботовы кисты).
Классификация
По происхождению различают врожденную и приобретенную эктопию шейки матки. В случае нарушения взаимоотношений эпителиальных и стромальных элементов шейки матки эктопия трактуется как эктропион. Характер течения псевдоэрозии может быть рецидивирующим; клиническая форма — неосложненной и осложненной.
- Неосложненная. Современная кольпоскопическая номенклатура рассматривает неосложненную эктопию шейки матки как нормальные данные и вариант физиологического состояния.
- Осложненная. Такое течение эктопии шейки матки, как правило, связано с кольпитами и цервицитами, вызванными инфекцией.
Симптомы эктопии шейки матки
Неосложненная эктопия шейки матки не вызывает симптоматики и, как правило, диагностируется при профилактическом осмотре гинеколога. В 80% случаев наблюдаются осложненные формы эктопии шейки матки, сочетающиеся с воспалениями или предраковыми изменениями (дисплазией, лейкоплакией, полипами шейки матки). При наличии эндоцервицита или кольпита отмечается выделение белей, зуд, диспаурения, контактные кровотечения. Первичные нарушения, приводящие к эктопии шейки матки, могут вызывать расстройства менструального цикла или бесплодие.
Диагностика
Наличие врожденной эктопии шейки матки, как правило, устанавливается при первичном обращении к гинекологу. В случае диагностики приобретенной псевдоэрозии учитывается ее образование на ранее неизмененной поверхности шейки матки.
- Гинекологическое исследование. При визуальном осмотре на кресле в области наружного зева виден ярко-красный очаг эктопии, имеющий неправильные очертания. Прикосновение инструментом к участку псевдоэрозии может вызывать легкую кровоточивость.
- Кольпоскопия. При выявлении эктопии шейки матки показано проведение расширенной кольпоскопии. В процессе исследования выявляется атипичный участок, представленный цилиндрическим эпителием и зонами трансформации. В 40% случаев при проведении пробы Шиллера определяется аномальная кольпоскопическая картина: лейкоплакия, мозаика, пунктация, йоднегативные зоны. Обнаружение данных признаков диктует необходимость углубленного обследования пациентки.

- Анализы. В ходе диагностики выполняется микроскопия, бактериологический посев, ПЦР-исследование отделяемого шейки матки. Обязательным при эктопии шейки матки является цитологическое исследование соскоба, которое позволяет выявить наличие клеток плоского и цилиндрического эпителия, признаков воспаления.
- Биопсия. В случае выявления аномальной кольпоскопической и цитологической картины требуется проведение биопсии шейки матки или раздельного диагностического выскабливания (РДВ) с гистологическим исследованием.
Для изучения функции яичников выполняются функциональные тесты, исследуется гормональный статус. При выявлении гормональных нарушений осуществляется консультация гинеколога-эндокринолога. Дифференциальную диагностику эктопии проводят с истинной эрозией и раком шейки матки.
Лечение эктопии шейки матки
При неосложненной врожденной эктопии шейки матки лечение не проводится; за пациенткой устанавливается динамическое наблюдение, позволяющее своевременно выявить отклонения в развитии псевдоэрозии. Лечение осложненных форм эктопии шейки матки проводится с учетом имеющихся изменений. Назначается этиотропная противовирусная и противовоспалительная терапия, производится грамотный подбор контрацепции, коррекция иммунных и гормональных нарушений.
После купирования инфекционного процесса выполняется деструкция очагов эктопии шейки матки методами криогенного воздействия, радиохирургии, лазерной коагуляции, диатермокоагуляции, химической коагуляции. При выявлении ov. Nabothi производится вскрытие кист шейки матки. В случае обнаружения лейкоплакии, дисплазии, полипов, эндометриоза шейки матки показано соответствующее лечение данных состояний.
Прогноз и профилактика
При выявлении псевдоэрозии для исключения развития патологических предраковых процессов показан регулярный кольпоцитологический контроль. При эктопии шейки матки прогноз благоприятный. Предупредить развитие эктопии шейки матки позволяет проведение профилактических медицинских осмотров, коррекции нарушений иммунного и гормонального гомеостаза, своевременное лечение половых инфекций и воспалений, повышение культуры сексуальных отношений, щадящее выполнение гинекологических манипуляций.
Наботовы кисты шейки матки ( Ретенционные кисты шейки матки )
Наботовы кисты шейки матки - это доброкачественные образования, которые формируются при закупорке просвета желез цервикса и скоплении в них слизистых выделений. Патологии может предшествовать псевдоэрозия. Клинические проявления обычно отсутствуют. Содержимое кист иногда становится питательной средой для микроорганизмов, что приводит к присоединению воспаления, сопровождающегося симптомами цервицита. Диагностика основана на данных гинекологического осмотра, кольпоскопии, биопсии и УЗИ малого таза. Лечение проводится методами деструкции, при инфицированных кистах показана антибиотикотерапия.

Наботовы (ретенционные) кисты могут встречаться в любом возрасте. У молодых нерожавших девушек они часто сочетаются с эктропионом. В фертильном возрасте у женщин, живущих активной половой жизнью, на фоне цервицита и вагинита нередко диагностируются ретенционные кисты шейки. После наступления климакса из-за снижения уровня эстрогенов и развития атрофических процессов во влагалище могут формироваться множественные мелкие наботовы кисты, которые сочетаются с лейкоплакией, гипоплазией шейки и диффузной или очаговой атрофией цервикса.
Наботовы кисты не возникают на здоровой неизмененной шейке матки. Патологии предшествует появление зоны метаплазии, замещение нормального многослойного эпителия влагалищной части цервикса цилиндрическими клетками, характерными для шеечного канала. При сохранении провоцирующих факторов наботовы кисты могут рецидивировать. Основными причинами патологии являются:
- Эктопия шейки. В норме стык цилиндрического и многослойного эпителия находится у наружного зева. Смещение границы на экзоцервикс сопровождается процессами пролиферации, во время которой прорастание эпителиальных клеток в железы вызывает их закупорку и нарушение оттока слизи.
- Цервицит. Воспаление шейки матки приводит к отеку, изменению механизма слущивания эпителия, сосудистой реакции. Устья желез сужаются, могут закупориваться, что ведет к формированию наботовых кист. Их содержимое служит средой для размножения патогенных микроорганизмов и поддерживает хроническое воспаление.
- Гормональные изменения. Нарушение баланса половых стероидов выражено в предклимактерическом периоде, а также при различных патологиях в репродуктивном возрасте. Это становится причиной появления зоны трансформации на шейке, в которой происходит перестройка клеток, создаются условия для формирования наботовых кист.
- Травмы цервикса. После неудачных вмешательств, разрывов шейки во время родов эпителиальные клетки способны смещаться из цервикального канала на влагалищную порцию цервикса. Далее запускаются процессы пролиферации, которые могут стать причиной нарушения оттока секрета желез.
Патогенез
В норме шейка снаружи покрыта многослойным эпителием, а цервикальный канал выстилают цилиндрические клетки. Под влиянием гормональных изменений, при воспалении и травмах зона стыка тканей смещается с наружного зева на поверхность шейки, формируется псевдоэрозия. У молодых женщин она может иметь физиологическое происхождение. На этом участке происходят процессы пролиферации тканей, направленные на устранение дефекта.
В цилиндрическом эпителии имеются множественные ходы желез, которые синтезируют слизистый секрет. Зона эктопии нестабильна, в ней запускается восстановление нормального эпителиального покрова. Если эпидермизация происходит за счет разрастания многослойного эпителия по поверхности эктопии, то он перекрывает протоки желез. Выделения скапливаются внутри, ведут к кистозному расширению и образованию наботовых кист.
Вокруг кист возникает перифокальное воспаление, расширяются и пролиферируют сосуды. Стимулируется образование метапластического эпителия, который не относится к патологически измененным тканям, но в присутствии вируса папилломы человека увеличивает риск развития дисплазии и рака. Этот участок тканей около наботовых кист уязвим для любых инфекций. В сами кистозные полости могут проникать возбудители хламидиоза, гонореи и других заболеваний.
Симптомы
Наботовы кисты шейки матки у большинства женщин протекают бессимптомно и становятся случайной находкой при посещении гинеколога. Новообразования минимального размера не ощущаются, не влияют на половую жизнь или способность к зачатию. Крупные кисты способны деформировать шейку матки. В этом случае могут беспокоить тянущие боли внизу живота, над лоном, болезненность во время полового акта.
Патологические бели, слизистые или гноевидные выделения появляются при сочетании наботовых кист с цервицитом или вагинитом. При неспецифической инфекции цвет выделений колеблется от желто-зеленого до серого. Иногда они обильные или умеренные по количеству, вызывают зуд, жжение и раздражение преддверия влагалища. Есть вероятность распространения инфекции восходящим путем в матку и придатки.
Осложнения
Ретенционные кисты редко приводят к тяжелым осложнениям, но при инфицировании становятся очагом, поддерживающим хроническое воспаление. Часто осложняются хламидиозом, при проникновении хламидии киста становится резервуаром для сохранения микроорганизма. Женщины, которые прошли лечение от половых инфекций, на фоне самостоятельного вскрытия кисты могут столкнуться с реинфекцией, что потребует нового курса лечения.
Для диагностики наботовых ообразований пациентка должна обратиться к акушеру-гинекологу. Часто кистозные узелки внешне напоминают преинвазивную форму рака шейки матки, в подобных случаях требуется осмотр онколога. При сочетании с гонореей и другими венерическими болезнями назначается консультация венеролога. Применяют следующие методы диагностики:
- Гинекологический осмотр. При осмотре в зеркалах врач может заметить на слизистой шейки матки ближе к внутреннему зеву единичные или множественные узелки белесого либо бледно-розового цвета. При воспалении ткань вокруг наботовых кист гиперемирована, из шейки появляются выделения.
- Мазок из влагалища. Помогает определить воспалительный процесс, состав микрофлоры. При наличии большого количества лейкоцитов, преобладании кокковой флоры показано противовоспалительное лечение.
- РАР-тест. Мазок на онкоцитологию отражает состояние клеток в области эктопии. В норме должны определяться эпителиальные клетки нормального строения, правильной формы. Настораживает изменение ядерно-цитоплазматического соотношения, появление атипичных клеток и другие признаки дисплазии.
- Кольпоскопия. При осмотре можно выявить наботовы кисты минимального размера. Расширенная кольпоскопия свидетельствует о смещении зоны стыка эпителия на влагалищную часть шейки. При инфекционных процессах отмечаются характерные изменения сосудистого рисунка, снижение количества гликогена.
- Биопсия. Показана при подозрении на дисплазию шейки матки, которая может сопровождать псевдоэрозию и кистозные образования. Проводится во время расширенной кольпоскопии, для гистологического исследования берутся образцы из подозрительных участков.
- Гинекологическое УЗИ. Необходимый этап диагностики при жалобах женщины на боли над лоном, диспареунию. Предпочтение отдается влагалищному исследованию, которое позволяет наиболее точно изучить стояние внутренних половых органов.
Лечение наботовых кист шейки матки
Необходимость лечения кист на цервиксе вызывает споры гинекологов. Многие специалисты утверждают, что при единичных образованиях минимального размера лечение не показано, необходимо регулярное наблюдение, профилактика воспалительных процессов. Согласно другому мнению, наботовы кисты являются провоцирующим фактором для развития инфекционных болезней, служат питательной средой и резервуаром для патогенных бактерий, поэтому требуют удаления.
Консервативная терапия
Лечение проводится амбулаторно под наблюдением врача женской консультации. При подтвержденном воспалении цервикса используют лекарства, предназначенные для борьбы с инфекцией. Предпочтение отдается местным средствам, по показаниям могут применяться системные препараты. Основные направления медикаментозной терапии:
- Антисептики. Для обработки влагалища показаны свечи с антисептиками. Эффективен хлоргексидин, препараты йода (при отсутствии аллергии) в форме влагалищных суппозиториев. Продолжительность курса лечения зависит от выраженности симптомов.
- Антибиотики. Антибактериальные препараты в виде комбинированных свечей помогают при неспецифическом цервиците в сочетании с ретенционными кистами. Системные антибиотики назначаются при специфических инфекциях - хламидиозе, гонорее, трихомониазе.
- Лактобактерии. Рекомендуются после курса антибиотикотерапии образований наботовых желез для восстановления состава нормальной микрофлоры влагалища. В состав некоторых препаратов входят эстрогены, что улучшает процесс колонизации бактериями слизистой оболочки.
Деструктивное лечение
Разрушение капсулы наботовой кисты позволяет удалить ее содержимое, затем производится устранение субстрата для ее формирования - зоны смещенного эпителия. Методы деструкции подбираются индивидуально, определяются возрастом женщины и ее репродуктивными планами. Молодым и нерожавшим рекомендуются щадящие методы, не вызывающие рубцевания шейки матки. Лечение проводят следующими способами:
- Химическое прижигание. Используются ферментные препараты, которые провоцируют химическое повреждение поверхностного слоя тканей шейки матки, разрушают кистозные полости и псевдоэрозию. В отдаленном периоде рубец не формируется, но существует риск рецидива.
- Криодеструкция. После прокола наботовой кисты на ее ложе воздействуют круглым наконечником, заполненным жидким азотом. Возникает холодовой ожог, который постепенно заживает с образованием здоровых тканей.
- Радиоволновой метод. Применяется аппарат «Сургитрон». Вскрытую наботову кисту обрабатывают радиоволнами, которые коагулируют сосуды и ложе. Метод высокоэффективен, не приводит к развитию осложнений, может использоваться у женщин любого возраста.
- Лазерная коагуляция. Прижигание наботовых кист и эрозированной поверхности шейки матки происходит безболезненно. Здоровые ткани не повреждаются, инструмент не соприкасается с поверхностью цервикса, поэтому нет риска инфицирования и последующих осложнений. Период восстановления короткий, рубцевания не происходит.
- Электрокоагуляция. Достаточно травматичная манипуляция, которая применяется у женщин, не планирующих иметь детей. Кисту вскрывают, ее полость и измененные ткани шейки прижигают электрокоагулятором. При заживлении есть риск формирования рубцов, стриктуры цервикального канала.
- Конизация шейки матки. Процедура используется для лечения наботовой кисты шейки матки только при ее сочетании с дисплазией 2-3 степени. Метод заключается в удалении шеечного фрагмента в форме конуса, направленного вершиной к полости матки. Процедура проводится в условиях операционной под общей анестезией.
При своевременном обращении к врачу прогноз при наботовых кистах благоприятный. После лечения происходит восстановление эпителиального покрова, развитие деформации или рубцовых изменений шейки матки нехарактерно.
Профилактика заключается в предупреждении формирования псевдоэрозии и ее инфицирования. Для этого нужно избегать случайных половых контактов, во время секса пользоваться презервативом, своевременно проводить лечение вульвовагинита. Женщинам репродуктивного возраста и девушкам, живущим половой жизнью, необходимо посещать гинеколога для профилактического осмотра не менее одного раза в год.
2. Гинекология. Национальное руководство/ под ред. Кулакова В.И., Савельевой Г.М., Манухина И.Б. - 2009.
3. Фоновые заболевания шейки матки. Диагностика и лечение. Учебное пособие для студентов старших курсов/ сост.: Сахаутдинова И.В., Янбаев Д.Ш., Хайбуллина А.Р., Зулкарнеева Э.М. - 2013.
Наботовы кисты шейки матки: что будет, если не удалять

Кисты эндоцервикса или наботовы (от лат ovuli naboti) встречаются на влагалищной поверхности шейки матки у 15-20% женщин репродуктивного возраста. Пациентки, узнав о диагнозе, сразу же задаются вопросом, нужно ли удалять эти образования или они сами рассосутся. Вот, что говорят об этой патологии гинекологи.
Прием гинеколога — 1000 руб. УЗИ малого таза — 1000 руб. Консультация врача по результатам УЗИ, анализов — всего 500 руб. (по желанию пациента).
Как образуются наботовы кисты
Причина возникновения этих кист — закупорка желез шейки матки (эндоцервикса), мешающая оттоку жидкости. В результате слизь скапливается, образуя пузырьки, наполненные жидким содержимым. При закупорке нескольких железистых протоков возникает множественное кистозное поражение, делающее шейку матки бугристой.

Нарушение оттока из желез провоцируют:
- Воспалительные процессы в матке и влагалище, приводящие к разрушению плоского эпителия шейки и замещению его цилиндрическим, которого в норме там быть не должно. Клетки ткани, не предназначенной для контакта с влажной кислой средой влагалища, раздражаются и воспаляются. В них нарушается отток секрета, приводящий к появлению кист.
- Роды и хирургические вмешательства сопровождающиеся травматизацией шейки. Эпителий срастается неправильно, и ткань, которая должна остаться внутри, оказывается снаружи. , имеющая практически такой же механизм возникновения. Часто эти два заболевания сочетаются. Иногда кисты образуются после лечения эрозии устаревшими методами, например, электрокоагуляцией или хирургическим способом. После радиоволнового лечения эрозии таких осложнений не бывает.
Как выглядят наботовы кисты
Наботовы кисты шейки матки похожи на пузырьки, покрывающие слизистую. Самые крупные из них могут выпирать в цервикальный канал. Мельчайшие кисточки обнаруживаются только после окраски шейки раствором Люголя во время осмотра с кольпоскопом — расширенной кольпоскопии с пробами . Для подтверждения диагноза врачи иногда берут образец тканей для исследования (биопсии).
Какие симптомы дают наботовы кисты
Заболевание часто протекает бессимптомно, обнаруживаясь при гинекологическом осмотре . Иногда при механическом воздействии, например, при половом акте, наботовы кисты разрываются с выделением обильной белой слизи, скопившейся в протоках желез.
Большое количество кист приводит к деформации шейки и ее обширному воспалению, проявляющемуся желтовато-гнойными выделениями и болями внизу живота . Воспалительный процесс провоцируется микробами, скопившимися в кистозных образованиях.
Нелеченные кисты могут достигать размера 2,5-3 мм, вызывая дискомфорт при половой жизни и приводя к болезненным менструациям . Крупные кисты нарушают проходимость цервикального канала, мешая вытеканию менструальной крови.
Вероятность ракового перерождения кист эндоцервикса отсутствует - пока таких случаев зафиксировано не было.
Обследование перед лечением
Причины возникновения кисты выявляются аппаратными и лабораторными методами исследования. Гинеколог назначит:
- на биохимию; ; ; ;
- мазок на чистоту флоры ; ; , и др.
Не стоит отказываться от анализов, так как кисты сопровождаются другими гинекологическими заболеваниями или становятся их осложнением.
Наботовы кисты шейки матки и беременность
Крупные кисты мешают проникновению сперматозоидов в матку, становясь причиной женского бесплодия . При наступлении беременности из-за гормональной перестройки организма, приводящей к увеличению интенсивности выделения слизи, размер «пузырей» увеличивается. Образования в этот период не удаляют, чтобы не спровоцировать выкидыш. Лечение откладывают до рождения ребенка.
В первые месяцы беременности наботовы кисты не влияют на вынашивание, но в дальнейшем начинаются проблемы. Крупные образования, деформирующие шеечные ткани, могут спровоцировать раннее открытие шейки и преждевременные роды.
Во время родовой деятельности при раскрытии кистозно измененной шейки, возникают разрывы, вызванные снижением растяжимости тканей. Пузыри лопаются, образуются долго незаживающие ранки - открытые ворота для болезнетворных микробов. Поэтому от кист эндоцервикса нужно избавляться на этапе планирования беременности.
Лечение наботовых кист
Сами по себе эти образования не рассасываются и не исчезают, поэтому наботовы кисты, особенно большого размера, удаляют, избавляясь от источника инфекции в половых путях. К тому же, при этой патологии нельзя устанавливать внутриматочную спираль .
Лечить наботовы кисты народными средствами бессмысленно. Наоборот, введение во влагалище тампонов и бесконтрольные спринцевания приводят к росту старых и появлению «свежих» новообразований.
Перед удалением наботовы кисты шейки матки прокалывают, давая содержимому вытечь. Остатки убирают при помощи лазерной или радиоволновой коагуляции (запаивание сосудов), не вызывающей боли, выраженной травматизации тканей и кровотечений.
Удаляют подобные клеточные образования современными методиками:
- электрокоагуляцией (эл. током);
- криокоагуляцией (охлаждение жидким азотом);
- иссечением лазером;,
- эндоскопическим методом (микроинструменты, оснащенные микроскопом и подсветкий);
- радиоволновой терапией — новейшая методика.
Как именно удалять наботову кисту решает гинеколог . Врач подбирает метод индивидуально, учитывая размер образования и особенности организма. Если есть выбор, лучше предпочесть радионож, так как после него не возникает кровотечений и осложнений. Методика подходит даже для нерожавших женщин.
Поскольку шейка матки не содержит нервных окончаний, процедура проходит безболезненно. Небольшому количеству пациенток, обладающих чувствительностью в шеечной области, делается местная анестезия или общий наркоз.
Процедура проводится после окончания очередных месячных. Эпителий восстанавливается до начала следующего менструального цикла.
После операции необходим прием лекарств: антибиотиков, антисептиков, витаминов и противовоспалительных средств.
Профилактика: как избежать проблем
Профилактика болезни заключается в своевременном лечении эрозий, воспалений, ЗППП (ИППП) и других гинекологических патологий.
Где удаляют наботовы кисты в Санкт-Петербурге
Пройти обследование и удалить любую кисту радиоволновым или лазерным методом в СПБ можно в специализированной клинике Диана. В медцентре есть новейший радионож с коагулятором , кольпоскоп и экспертный аппарат УЗИ . Стоимость приема гинеколога — 1000 руб.
Читайте также:
