Недостаточность клапанов сердца: причины, симптомы и лечение
Добавил пользователь Евгений Кузнецов Обновлено: 09.01.2026
Несмотря на достижения современной медицины, пороки сердца сейчас представляют собой распространенную патологию, требующую пристального внимания врачей-кардиологов. Тем более это применимо к стенозу митрального клапана, который может существенно ухудшить жизнь пациента и вызвать развитие тяжелых осложнений, вплоть до летального исхода.
Митральный клапан представлен участком соединительнотканных внутренних структур сердца, который осуществляет функции разделения тока крови между левыми предсердием и желудочком. Другими словами, клапан напоминает дверцу, чьи створки смыкаются в период сокращения желудочка и изгнания крови из его полости, и раскрываются во время тока крови в желудочек. Этот механизм предусматривает поочередное расслабление сердечных камер, в то же время обеспечивая непрерывный кровяной поток внутри сердца.
При развитии патологического процесса на тканях клапана функция его нарушается, и внутрисердечный ток крови нарушается. Этот процесс может быть представлен двумя формами, а также их сочетанием - недостаточностью клапана и стенозом клапанного кольца. В первом случае створки не закрываются герметично, и, таким образом, не удерживают кровь в полости левого желудочка, а во втором - площадь клапанного кольца уменьшается вследствие сращения створок (норма - 4-6 см 2 ). Последний вариант называется митральным стенозом, при котором становится меньше левое атриовентрикулярное (предсердно-желудочковое) отверстие.
сердце в норме и стеноз митрального клапана
Митральный стеноз встречается в основном у лиц старшей возрастной категории (55-65 лет), составляет порядка 90% от всех случаев пороков приобретенного характера и развивается гораздо чаще аортального стеноза.
Видео: митральный стеноз - медицинская анимация
Причины заболевания
Митральный стеноз, как правило, является приобретенной патологией. Крайне редко диагностируется сужение клапанного кольца врожденного характера, но в таких случаях оно почти всегда сочетается с другими тяжелыми врожденными пороками сердца, которые не вызывают сложностей в постановке диагноза.

Основной причиной приобретенного сужения клапанного кольца является ревматизм. Это тяжелое заболевание, возникающее в результате ангины, частых тонзиллитов, хронических фарингитов, а также скарлатины и гнойничковой инфекции кожи. Все эти болезни вызываются гемолитическим стрептококком. Тяжесть ревматической лихорадки состоит в том, что в организме вырабатываются антитела против собственных тканей сердца, суставов, головного мозга и кожи (развиваются ревмокардит, артрит, малая хорея и кольцевидная эритема). При ревмокардите аутоиммунное воспаление возникает на створках клапанов, которые замещаются грубой рубцовой тканью и спаиваются между собой, приводя к сращению отверстия - к ревматическому стенозу митрального клапана.
Другой распространенной причиной порока является бактериальный, или инфекционный эндокардит. Чаще всего он вызывается теми же стрептококками, а также другими микроорганизмами, попадающими в системный кровоток у лиц со сниженным иммунитетом, ВИЧ-инфицированных, у пациентов, употребляющих наркотики внутривенно.
Какие симптомы должны насторожить пациента?
Обычно период времени между перенесенной острой ревматической лихорадкой, которая возникает через 2-4 недели после стрептококковой инфекции, и первыми клиническими проявлениями порока составляет не менее пяти лет.

К первым симптомам в начальной стадии заболевания, или при незначительном митральном стенозе, когда площадь митрального отверстия составляет более 3 см 2 , относятся:
- Повышенная утомляемость,
- Резкая общая слабость,
- Цианотичный (с голубым оттенком) румянец на щеках - «митральный румянец»,
- Ощущение сердцебиения и перебоев в работе сердца при психо-эмоциональных или физических нагрузках, а также в покое,
- Одышка при ходьбе на значительные расстояния.
Дальнейшие симптомы развиваются по мере прогрессирования стеноза, который может быть умеренным (площадь клапанного кольца 2.3-2.9 см 2 ), выраженным (1.7-2.2 см 2 ) и критическим (1.0-1.6 см 2 ), и во многом определяются стадией сердечной недостаточности и нарушения кровообращения.
Так, в первой стадии, пациент отмечает одышку, приступы сердцебиения и болей в грудной клетке, обусловленные только значительными физическими нагрузками, например, ходьбой на дальние расстояния или подъемом по лестнице пешком.
Во второй стадии нарушения кровообращения описанные признаки беспокоят больного при выполнении меньших нагрузок, а также отмечается венозный застой в капиллярах и венах одного из кругов кровообращения - малого (сосуды легких) или большого (сосуды внутренних органов). Проявляется это приступами одышки, особенно в положении лежа, сухим кашлем, значительными отеками голеней и стоп, болевым синдромом в брюшной полости из-за венозного полнокровия в печени и т. д.
В третьей стадии болезни во время обычной бытовой активности (завязывание шнурков, приготовление завтрака, передвижение по дому) пациент отмечает возникновение приступов одышки. Кроме этого, характерно нарастание отеков конечностей, лица, скопление жидкости в брюшной и грудной полостях, вследствие чего живот увеличивается в объеме, а сдавление легких жидкостью только усугубляет одышку. Кожа пациента приобретает синеватый оттенок - развивается цианоз вследствие снижения уровня кислорода в крови.
В четвертой, самой тяжелой, или терминальной, стадии все вышеописанные жалобы возникают в состоянии полного покоя. Сердце уже не может выполнять функцию перекачивания крови по организму, внутренние органы испытывают дефицит в питательных веществах и кислороде, и развивается дистрофия внутренних органов. Вследствие того, что кровь практически не движется по сосудам, а застаивается в легких и во внутренних органах, возникают отеки всего тела - анасарка. Естественным завершением данной стадии без лечения является летальный исход.
В целом, первые стадии процесса без лечения от начала клинических проявлений занимают разный промежуток времени, в основном 10-20 лет, и характеризуются медленным течением. Однако, если развивается застой крови в обоих кругах кровообращения, отмечается быстрое прогрессирование хронической сердечной недостаточности. В медицине описаны единичные случаи продолжительности жизни с нелеченным пороком около 40 лет.
Как диагностировать митральный стеноз?
Если пациент заметил у себя вышеописанные симптомы, он должен как можно быстрее обратиться к врачу терапевту или кардиологу. Врач может заподозрить диагноз еще во время осмотра пациента, например, выслушать с помощью фонендоскопа шумы при митральном стенозе в точке проекции митрального клапана (под левым соском), или услышать хрипы застойного характера в легких.


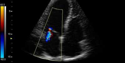
снижение выброса из ЛЖ - признак митральной недостаточности
Тем не менее, подтвердить стеноз митрального отверстия достоверно можно только с помощью визуализирующих методов исследования, в частности, с помощью эхокардиоскопии, или УЗИ сердца. Данный метод позволяет оценить площадь митрального кольца и степень утолщения (гипертрофии) предсердий, увидеть утолщенные, спаянные створки, измерить давление в сердечных камерах. Одним из главных показателей, оцениваемых при митральном стенозе, является фракция выброса (ФВ), показывающая кровяной объем, изгоняемый в аорту и далее по сосудам всего организма Нормальный показатель ФВ составляет не менее 55%, при митральном стенозе может существенно снижаться, достигая критических значений - 20-30% при тяжелом стенозе.
Кроме УЗИ сердца, пациенту показаны:
- ЭКГ,
- Пробы с физической нагрузкой - тредмил тест, велоэргометрия,
- Лицам, имеющим ишемию миокарда, может проводиться коронароангиография с целью оценки необходимости вмешательства на коронарных сосудах,
- Осмотр ревматолога при ревматической лихорадке в анамнезе,
- Осмотр стоматолога, ЛОР-врача, гинеколога для женщин и уролога для мужчин с целью обнаружения и ликвидации очагов хронических инфекций (кариозные зубы, хронические воспалительные процессы в носоглотке и др, способные привести к развитию бак. эндокардита).
В любом случае, стартовое обследование пациента с подозрением на митральный стеноз начинается только после первичной консультации терапевта или кардиолога.
Медикаментозное лечение заболевания
Лечение митрального порока подразделяется на консервативное и хирургическое. Эти два метода применяются параллельно, так как до операции и после нее особенно важна медикаментозная поддержка пациента.
К медикаментозной терапии относится назначение следующих групп препаратов:
- Бета-адреноблокаторы - препараты, снижающие нагрузку на сердце благодаря урежению сердечного ритма и снижению сосудистого сопротивления, особенно когда в сосудах застаивается кровь. Чаще назначаются конкор, коронал, эгилок и др.
- Ингибиторы АПФ - «защищают» сосуды, сердце, мозг и почки от негативного влияния повышенного сосудистого сопротивления. Применяют периндоприл, лизиноприл и др.
- Блокаторы АРА II - понижают артериальное давление, что немаловажно для пациентов со стенозом, имеющих сопутствующую гипертонию. Чаще применяют лозартан (лориста, лозап) и валсартан (валз).
- Препараты, оказывающие антиагрегантное и антикоагулянтное действие - препятствуют повышенному тромбообразованию в кровяном русле, применяются у пациентов со стенокардией, инфарктом в анамнезе, а также с мерцательной аритмией. Назначают аспирин Кардио, ацекардол, тромбоАсс, варфарин, клопидогрель, ксарелто и многие другие.
- Мочегонные препараты - одна из важнейших групп при наличии хронической сердечной недостаточности, так как они предупреждают задержку жидкости в артериях и венах, и снижают постнагрузку на сердце. Оправдано применение индапамида, верошпирона, диувера и др.
- Сердечные гликозиды - показаны при снижении сократительной функции левого желудочка, а также у лиц с постоянной мерцательной аритмией. В основном назначается дигоксин.
В каждом случае применяется индивидуальная схема лечения, определяемая кардиологом в зависимости от проявлений порока и данных эхокардиоскопии.
Хирургическое лечение митрального стеноза
В зависимости от степени стеноза и стадии ХСН операция может быть показана или противопоказана.
При незначительном стенозе операция не является жизненно необходимой, и допускается консервативное ведение пациента. При площади клапанного отверстия менее 3 кв. см. (умеренный, выраженный и критический стеноз) предпочтительно провести операцию на митральном клапане.
Итак, при стенозе митрального отверстия могут быть проведены следующие виды операций:
Баллонная вальвулопластика
Метод баллонной митральной вальвулопластики применяется в следующих случаях:
- Любая степень сужения клапанного кольца в случае отсутствия кальцификации створок и без тромбов в полости левого предсердия, а также бессимптомный критический стеноз,
- Стеноз с сопутствующей мерцательной аритмией,
- Отсутствие митральной регургитации по данным УЗИ,
- Отсутствие сочетанных и комбинированных тяжелых пороков сердца (патологии нескольких клапанов одновременно),
- Отсутствие сопутствующей ишемической болезни сердца, требующей проведения аорто-коронарного шунтирования.

Технически данная операция проводится так - после введения седативных препаратов внутривенно осуществляется доступ к бедренной артерии, через которую посредством проводника (интродьюсера) по вене в сердце вводится катетер с небольшим баллоном на конце. Баллон после достижения уровня стеноза раздувается, разрушая спайки и сращения между створками клапана, после чего извлекается. Операция занимает не более двух часов и практически безболезненна.

вариант открытой операции на клапане с удалением участка ревматического фиброза
Открытая комиссуротомия
Метод открытой комиссуротомии показан в случае наличия вышеперечисленных состояний, исключающих возможность проведения баллонной вальвулопластики. Основное показание - митральный стеноз 2-4 степени. Операция проводится под общим наркозом на открытом сердце, и осуществляется посредством рассечения суженного клапана скальпелем.
Протезирование клапана
Операция по замене (протезированию) клапана показана в тех случаях, когда имеется грубое поражение створок, не подлежащее обычному хирургическому вмешательству. Используются механические и биологические (из свиного сердца) трансплантанты.
Операция в большинстве случаев проводится по квоте, получить которую можно уже через несколько недель после подачи необходимых документов. В случае самостоятельной оплаты операции пациентом стоимость может варьировать в пределах 100-300 тысяч рублей, если речь идет о протезировании митрального клапана. Технически подобное лечение доступно практически во всех крупных городах России.
Образ жизни с митральным стенозом

Образ жизни с незначительным малосимптомным митральным стенозом не требует какой-либо коррекции, за исключением таких пунктов, как:
- Соблюдение диеты,
- Регулярное посещение врача,
- Исключение экстремальных физических нагрузок,
- Постоянный прием назначенных препаратов.
Более выраженный стеноз до операции может принести немало неудобств пациенту, так как необходимо беречь сердце и исключить любые значимые нагрузки, приносящие дискомфорт. Поэтому хирургическое лечение помогает улучшить качество жизни, но требует более ответственного подхода к образу жизни после операции, в частности, еще более строгого выполнения врачебных рекомендаций, а также частого посещения врача с целью проведения эхокардиоскопии (сначала ежемесячно, затем раз в полгода и в дальнейшем раз в год).
Возможны ли осложнения?
До операции в случае выраженного стеноза и при наличии сердечной недостаточности риск возникновения серьезных нарушений ритма и тромбоэмболических осложнений довольно велик.
После операции данный риск сводится к минимуму, но в редких случаях возможно возникновение таких неблагоприятных состояний, как инфицирование постоперационной раны, кровотечение из раны в случае открытой операции, повторное развитие стеноза (рестеноз). Профилактикой является качественное проведение вмешательства, а также своевременное назначение антибиотиков и других необходимых препаратов.
Прогноз
Прогноз определяется степенью стеноза и стадией хронической сердечной недостаточности. При 2-4 степени стеноза в сочетании с 3-4 стадией ХСН прогноз неблагоприятный. Хирургическое вмешательство в этом случае позволяет изменить прогноз в благоприятную сторону и несравнимо улучшить качество жизни пациента.
Регургитация клапанов: митральная, трикуспидальная, аортальная
Термин «регургитация» довольно часто встречается в обиходе врачей различных специальностей - кардиологов, терапевтов, функциональных диагностов. Многие пациенты слышали его не один раз, однако плохо представляют себе, что же это означает и чем грозит. Стоит ли бояться наличия регургитации и как ее лечить, каких последствий ожидать и как выявить? Эти и многие другие вопросы попробуем выяснить.
Регургитация - это не что иное, как обратный ток крови из одной камеры сердца в другую. Другими словами, во время сокращения сердечной мышцы определенный объем крови по различным причинам возвращается в ту полость сердца, из которой пришел. Регургитация не является самостоятельным заболеванием и потому не считается диагнозом, но она характеризует другие патологические состояния и изменения (пороки сердца, например).
Поскольку кровь непрерывно движется из одного отдела сердца в другой, поступая из сосудов легких и уходя в большой круг кровообращения, то термин «регургитация» применим в отношении всех четырех клапанов, на которых возможно возникновение обратного тока. В зависимости от объема крови, которая возвращается обратно, принято выделять степени регургитации, определяющие и клинические проявления этого феномена.
Подробное описание регургитации, выделение ее степеней и обнаружение у большого числа людей стало возможным с применением ультразвукового исследования сердца (эхокардиография), хотя само понятие известно довольно давно. Выслушивание сердца дает субъективную информацию, а потому судить о степени выраженности возврата крови не позволяет, при этом наличие регургитации не вызывает сомнений разве что в тяжелых случаях. Использование ультразвука с допплером дает возможность увидеть в режиме реального времени сокращения сердца, как движутся створки клапанов и куда при этом устремляется струя крови.
Кратко об анатомии…
Для того чтобы лучше понять сущность регургитации, необходимо вспомнить некоторые моменты строения сердца, которые большинство из нас благополучно забыли, изучив когда-то в школе на уроках биологии.
Сердце представляет собой полый мышечный орган, имеющий четыре камеры (два предсердия и два желудочка). Между камерами сердца и сосудистым руслом располагаются клапаны, осуществляющие функцию «ворот», пропускающих кровь только в одном направлении. Этот механизм обеспечивает адекватный кровоток из одного круга в другой за счет ритмичного сокращения сердечной мышцы, проталкивающей кровь внутри сердца и в сосуды.

Митральный клапан располагается между левыми предсердием и желудочком и состоит из двух створок. Поскольку левая половина сердца наиболее функционально отягощена, работает с большой нагрузкой и под высоким давлением, то часто именно здесь происходят различные сбои и патологические изменения, а митральный клапан часто вовлекается в этот процесс.
Трикуспидальный, или трехстворчатый, клапан лежит на пути из правого предсердия в правый желудочек. Уже понятно из его названия, что анатомически он представляет собой три смыкающиеся створки. Чаще всего поражение его носит вторичный характер при уже имеющейся патологии левых отделов сердца.
Клапаны легочной артерии и аорты несут в себе по три створки и находятся в местах соединения указанных сосудов с полостями сердца. Аортальный клапан расположен на пути тока крови из левого желудочка в аорту, легочной артерии - из правого желудочка в легочный ствол.
При нормальном состоянии клапанного аппарата и миокарда в момент сокращения той или иной полости створки клапанов плотно смыкаются, не допуская обратного течения крови. При разнообразных поражениях сердца этот механизм может нарушаться.
Иногда в литературе и в заключениях врачей можно встретить упоминание о так называемой физиологической регургирации, под которой подразумевается незначительное изменение кровотока у створок клапанов. По сути дела, при этом происходит «завихрение» крови у клапанного отверстия, а створки и миокард при этом вполне здоровы. Это изменение не оказывает влияния на кровообращение в целом и не вызывает клинических проявлений.
Физиологической можно считать регургитацию 0-1 степени на трикуспидальном клапане, у створок митрального, которая нередко диагностируется у худощавых высоких людей, а по некоторым данным имеется у 70% здоровых людей. Такая особенность кровотока в сердце никоим образом не сказывается на самочувствии и может быть выявлена случайно при обследовании по поводу других заболеваний.
Как правило, патологический обратный ток крови сквозь клапаны возникает тогда, когда их створки не смыкаются плотно в момент сокращения миокарда. Причинами могут быть не только повреждения самих створок, но и папиллярных мышц, сухожильных хорд, участвующих в механизме движения клапана, растяжение клапанного кольца, патология самого миокарда.
Митральная регургитация
Митральная регургитация отчетливо наблюдается при недостаточности клапана или пролапсе. В момент сокращения мышцы левого желудочка определенный объем крови возвращается в левое предсердие сквозь недостаточно закрытый митральный клапан (МК). В этот же момент левое предсердие наполняется кровью, притекающей из легких по легочным венам. Такое переполнение предсердия избытком крови приводит к перерастяжению и увеличению давления (перегрузка объемом). Избыток крови при сокращении предсердий проникает в левый желудочек, который вынужден с большей силой выталкивать большее количество крови в аорту, вследствие чего он утолщается, а затем расширяется (дилатация).
Какое-то время нарушения внутрисердечной гемодинамики могут оставаться незаметными для больного, поскольку сердце как может, компенсирует кровоток за счет расширения и гипертрофии своих полостей.
При митральной регургитации 1 степени клинические признаки ее отсутствуют долгие годы, а при значительном объеме возврата крови в предсердие, оно расширяется, легочные вены переполняются излишком крови и проявляются признаки легочной гипертензии.
Среди причин митральной недостаточности, являющейся по частоте вторым приобретенным пороком сердца после изменений клапана аорты, можно выделить:
- Ревматизм;
- Пролапс;
- Атеросклероз, отложение солей кальция на створках МК;
- Некоторые болезни соединительной ткани, аутоиммунные процессы, обменные нарушения (синдром Марфана, ревматоидный артрит, амилоидоз);
- Ишемическая болезнь сердца (особенно инфаркт с поражением сосочковых мышц и сухожильных хорд).
При митральной регургитации 1 степени единственным признаком может быть наличие шума в области верхушки сердца, выявляемого аускультативно, при этом жалоб пациент не предъявляет, а проявления нарушений кровообращения отсутствуют. Эхокардиография (УЗИ) позволяет обнаружить незначительное расхождение створок с минимальными нарушениями кровотока.

Регургитация митрального клапана 2 степени сопровождает более выраженную степень недостаточности, а струя крови, возвращающейся обратно в предсердие, доходит до его середины. Если величина возврата крови превышает четверть от общего ее количества, находящегося в полости левого желудочка, то обнаруживаются признаки застоя по малому кругу и характерные симптомы.
О з степени регургитации говорят, когда а случае значительных дефектов митрального клапана кровь, перетекающая обратно, доходит до задней стенки левого предсердия.
Когда миокард не справляется с избыточным объемом содержимого в полостях, развивается легочная гипертензия, ведущая, в свою очередь, к перегрузке правой половины сердца, следствием чего становится недостаточность кровообращения и по большому кругу.
При 4 степени регургитации характерными симптомами выраженных нарушений кровотока внутри сердца и повышения давления в малом круге кровообращения являются одышка, аритмии, возможно возникновение сердечной астмы и даже отека легкого. В запущенных случаях сердечной недостаточности к признакам поражения легочного кровотока присоединяются отечность, синюшность кожных покровов, слабость, утомляемость, склонность к аритмиям (мерцание предсердий), боли в сердце. Во многом проявления митральной регургитации выраженной степени определяются заболеванием, приведшим к поражению клапана или миокарда.

Отдельно стоит сказать о пролапсе митрального клапана (ПМК), довольно часто сопровождающемся регургитацией разной степени. Пролапс в последние годы стал фигурировать в диагнозах, хотя раньше такое понятие встречалось довольно редко. Во многом такое положение дел связано с появлением методов визуализации - ультразвукового исследования сердца, которое позволяет проследить движение створок МК при сердечных сокращениях. С применением допплера стало возможным устанавливать точную степень возврата крови в левое предсердие.
ПМК характерен для лиц высоких, худощавых, часто обнаруживается у подростков случайно при обследовании перед призывом в армию или прохождении других медкомиссий. Чаще всего такое явление не сопровождается какими-либо нарушениями и никак не отражается на образе жизни и самочувствии, поэтому пугаться сразу не стоит.
Далеко не всегда выявляется пролапс митрального клапана с регургитацией, степень ее в большинстве случаев ограничивается первой или даже нулевой, но, вместе с тем, такая особенность функционирования сердца может сопровождаться экстрасистолией и нарушениями проводимости нервных импульсов по миокарду.
В случае обнаружения ПМК малых степеней можно ограничиться наблюдением кардиолога, а лечение не требуется вовсе.
Аортальная регургитация
Обратный ток крови на аортальном клапане возникает при его недостаточности либо поражении начального отдела аорты, когда при наличии воспалительного процесса расширяется ее просвет и диаметр клапанного кольца. Наиболее частыми причинами таких изменений считаются:
- Ревматическое поражение;
- Инфекционный эндокардит с воспалением створок, перфорацией;
- Врожденные пороки развития;
- Воспалительные процессы восходящего отдела аорты (сифилис, аортит при ревматоидном артрите, болезни Бехтерева и т. д.).
Такие распространенные и всем известные заболевания как артериальная гипертензия и атеросклероз также могут приводить к изменениям клапанных створок, аорты, левого желудочка сердца.

Аортальная регургитация сопровождается возвратом крови в левый желудочек, который переполняется излишним объемом, в то время как количество крови, поступающей в аорту и далее в большой круг кровообращения, может уменьшаться. Сердце, пытаясь компенсировать недостаток кровотока и выталкивая излишки крови в аорту, увеличивается в объеме. Долгое время, особенно при регургитации 1 ст., такой приспособительный механизм позволяет поддерживать нормальную гемодинамику, а симптомов нарушений не возникает на протяжении многих лет.
По мере увеличения массы левого желудочка, увеличивается и его потребность в кислороде и питательных веществах, которыми не в состоянии обеспечить коронарные артерии. Кроме того, количество артериальной крови, выталкиваемой в аорту, становится все меньше, а, значит, и в сосуды сердца ее будет приходить недостаточно. Все это создает предпосылки для гипоксии и ишемии, выливающихся в кардиосклероз (разрастание соединительной ткани).
При прогрессировании аортальной регургитации, нагрузка на левую половину сердца достигает максимальной степени, стенка миокарда не может гипертрофироваться до бесконечности и происходит ее растяжение. В дальнейшем события развиваются аналогичным образом, как и при поражении митрального клапана (легочная гипертензия, застой в малом и большом кругах, сердечная недостаточность).
Больные могут предъявлять жалобы на сердцебиение, одышку, слабость, бледность. Характерной чертой этого порока является появление приступов стенокардии, связанной с неадекватностью коронарного кровообращения.
Трикуспидальная регургитация
Поражение трехстворчатого клапана (ТК) в изолированном виде встречается довольно редко. Как правило, недостаточность его с регургитацией является следствием выраженных изменений левой половины сердца (относительная недостаточность ТК), когда большое давление в малом круге кровообращения препятствует адекватному сердечному выбросу в легочную артерию, несущую кровь для обогащения кислородом в легкие.

Трикуспидальная регургитация приводит к нарушению полного опорожнения правой половины сердца, адекватного венозного возврата по полым венам и, соответственно, появляется застой в венозной части большого круга кровообращения.
Для недостаточности трехстворчатого клапана с регургитацией довольно характерно возникновение мерцательной аритмии, синюшности кожных покровов, отечного синдрома, набухания шейных вен, увеличения печени и других признаков хронической недостаточности кровообращения.
Регургитация клапана легочной артерии
Поражение створок легочного клапана может носить врожденный характер, проявляясь еще в детском возрасте, либо приобретенный вследствие атеросклероза, сифилитического поражения, изменений створок при септическом эндокардите. Нередко поражение клапана легочной артерии с недостаточностью и регургитацией встречается при уже имеющейся легочной гипертензии, заболеваниях легких, поражениях других клапанов сердца (митральный стеноз).

Минимальная регургитация на клапане легочной артерии не приводит к существенным гемодинамическим расстройствам, в то время как значительный возврат крови в правый желудочек, а затем и в предсердие, вызывают гипертрофию и последующую дилатацию (расширение) полостей правой половины сердца. Такие изменения проявляются выраженной сердечной недостаточностью в большом круге и венозным застоем.
Пульмональная регургитация проявляется всевозможными аритмиями, одышкой, цианозом, выраженными отеками, скоплением жидкости в брюшной полости, изменением печени вплоть до цирроза и другими признаками. При врожденной патологии клапанов симптомы нарушения кровообращения возникают уже в раннем детском возрасте и нередко носят необратимый и тяжелый характер.
Особенности регургитации у детей
В детском возрасте весьма важно правильное развитие и функционирование сердца и кровеносной системы, но нарушения, к сожалению, нередки. Наиболее часто пороки клапанов с недостаточностью и возвратом крови у детей обусловлены врожденными аномалиями развития (тетрада Фалло, гипоплазия клапана легочной артерии, дефекты перегородок между предсердиями и желудочками и др.).

Выраженная регургитация при неправильном строении сердца проявляется практически сразу после рождения ребенка симптомами дыхательных расстройств, синюшностью, правожелудочковой недостаточностью. Часто значительные нарушения заканчиваются фатально, поэтому каждой будущей маме нужно не только заботиться о своем здоровье до предполагаемой беременности, но и своевременно посещать специалиста УЗ-диагностики во время вынашивания плода.
Возможности современной диагностики
Медицина не стоит на месте, а диагностика заболеваний становится все более достоверной и качественной. Применение ультразвука позволило сделать значительные успехи в обнаружении ряда заболеваний. Дополнение ультразвукового исследования сердца (ЭхоКГ) допплерографией дает возможность оценить характер кровотока по сосудам и полостям сердца, движение створок клапанов в момент сокращений миокарда, установить степень регургитации и т. д. Пожалуй, ЭхоКГ - это наиболее достоверный и информативный метод диагностики сердечной патологии в режиме реального времени и в то же время являющийся доступным и недорогим.

митральная регургитация на ЭхоКГ
Помимо УЗИ, косвенные признаки регургитации можно обнаружить на ЭКГ, при тщательной аускультации сердца и оценке симптоматики.
Чрезвычайно важно выявление нарушений клапанного аппарата сердца с регургитацией не только у взрослых, но и в период внутриутробного развития. Практика ультразвукового исследования беременных женщин на разных сроках позволяет обнаружить наличие пороков, не вызывающих сомнений уже при первичном обследовании, а также диагностировать регургитацию, являющуюся косвенным признаком возможных хромосомных аномалий или формирующихся дефектов клапанов. Динамическое наблюдение женщин группы риска дает возможность своевременно установить наличие серьезной патологии у плода и решить вопрос целесообразности сохранения беременности.
Лечение
Тактика лечения регургитации определяется причиной, ее вызвавшей, степенью выраженности, наличием сердечной недостаточности и сопутствующей патологии.
Возможна как хирургическая коррекция нарушений строения клапанов (различные виды пластики, протезирование), так и медикаментозная консервативная терапия, направленная на нормализацию кровотока в органах, борьбу с аритмией и недостаточностью кровообращения. Большинство больных с выраженной регургитацией и поражением обоих кругов кровообращения нуждаются в постоянном контроле со стороны кардиолога, назначении мочегонных препаратов, бета-адреноблокаторов, гипотензивных и антиаритмических средств, которые подберет специалист.

При митральном пролапсе малой степени, приклапанной регургитации другой локализации достаточно динамического наблюдения врача и своевременного обследования в случае усугубления состояния.
Прогноз клапанной регургитации зависит от многих факторов: ее степени, причины, возраста пациента, наличия заболеваний других органов и т. д. При заботливом отношении к своему здоровью и регулярном посещении врача незначительная регургитация не грозит осложнениями, а при выраженных изменениях коррекция их, в том числе хирургическая, позволяет продлить пациентам жизнь.
Недостаточность митрального клапана - симптомы и лечение
Что такое недостаточность митрального клапана? Причины возникновения, диагностику и методы лечения разберем в статье доктора Верещагиной Натальи Валентиновны, терапевта со стажем в 29 лет.
Над статьей доктора Верещагиной Натальи Валентиновны работали литературный редактор Вера Васина , научный редактор Сергей Федосов и шеф-редактор Лада Родчанина
Определение болезни. Причины заболевания
Недостаточность митрального клапана — порок, при котором из-за неполного смыкания створок клапана возникает обратный ток крови (регургитация) из левого желудочка в левое предсердие [8] .

Патология проявляется слабостью, головокружением, ощущением нехватки кислорода и утомлением, так как при заболевании нарушается кровоснабжение головного мозга. Без лечения тяжёлая регургитация митрального клапана может стать причиной сердечной недостаточности и нарушений сердечного ритма (аритмии).
Причины митральной недостаточности:
- ;
- бактериальный эндокардит;
- отложение солей кальция в тканях клапана;
- заболевания соединительной ткани — ревматоидный артрит, системная красная волчанка, склеродермия, синдромы Марфана и Элерса-Данло;
- травматический отрыв створок клапана при тяжёлой физической нагрузке;
- травмы при хирургических операциях на клапане;
- утолщение створок клапана;
- опухоли предсердия;
- лучевая терапия [8] .
Митральная недостаточность находится на первом месте среди всех приобретённых клапанных пороков сердца. Патология редко встречается изолированно, зачастую она сочетается с митральным стенозом и с пороками аортального клапана. Распространённость недостаточности митрального клапана в сочетании с пролапсом митрального клапана среди населения составляет 2-6 % [15] .
При обнаружении схожих симптомов проконсультируйтесь у врача. Не занимайтесь самолечением - это опасно для вашего здоровья!
Симптомы недостаточности митрального клапана
Симптомы заболевания:
- общая слабость и головокружение;
- учащённое сердцебиение;
- одышка, возникающая даже при незначительных нагрузках;
- ноющие, давящие и колющие боли в сердце, которые могут отдавать в левое плечо и руку;
- "неудовлетворённость вдохом" — больной делает один вдох за другим, но ощущает нехватку воздуха и впадает в панику;
- частые простудные заболевания;
- кровотечения из носа и дёсен, длительные менструации у женщин;
- ухудшение памяти, панические атаки, тревога, мнительность (это связано с нехваткой снабжения головного мозга кислорода, нарушением обменных процессов и замедлением передачи импульсов между нейронами);
- дрожь в теле;
- частое появление синяков;
- дискомфорт при нахождении в закрытом и душном помещении, возможны обмороки;
Постоянная тревога часто приводит пациента на консультацию к психиатру или неврологу. Очень важно не допустить таких больных в профессиональный спорт, так как чрезмерные нагрузки могут вызвать смерть на тренировках и соревнованиях.
У пациенток с митральной недостаточностью во время беременности возможны перебои в работе сердца, особенно нежелательные при родах, но в основном беременность протекает без осложнений [3] [4] .
Патогенез недостаточности митрального клапана
Сердце человека состоит из четырёх камер: правое и левое предсердия, правый и левый желудочки. Между предсердиями и желудочками расположены входные клапаны — трикуспидальный и митральный. На выходе из желудочков находятся похожие по строению выходные клапаны — лёгочный и аортальный.

Клапаны имеют створки, которые открываются и закрываются во время сердечных сокращений. Иногда клапаны не открываются или не закрываются должным образом, при этом нарушается ток крови.
Митральный клапан состоит из двух створок и открывается, позволяя крови течь в левый желудочек. Затем клапан закрывается, чтобы кровь не текла обратно в левое предсердие. При митральной недостаточности этот клапан закрывается неплотно, в результате чего кровь попадает обратно в левое предсердие.
В патогенезе первичной или врождённой недостаточности митрального клапана важную роль играет хронический дефицит ионов магния. Нехватка магния приводит к тому, что фибробласты вырабатывают неполноценные эластин, коллаген и фибронектин, а также к нарушению свойств ферментов, регулирующих обмен коллагена. В результате нарушается строение и функции соединительных тканей сердца [14] .
Вторичная форма митральной недостаточности возникает в результате перенесённых заболеваний и травм. При патологии происходит расширение полости левого желудочка, прогибание створок митрального клапана, дисфункция сосочков мышц и разрыв сухожильных хорд, соединяющих клапаны с сосочковыми мышцами. Иногда причиной развития вторичной недостаточности митрального клапана становится кальциноз клапанного фиброзного кольца. Кальциноз митрального кольца — это хронический дегенеративный процесс, при котором происходит отложение кальция в кольце клапана. Митральное кольцо при кальцификации становится утолщённым и менее гибким. Хотя изначально кальциноз митрального клапана считался возрастным дегенеративным процессом, накапливаются данные о том, что его развитию способствуют атеросклероз и генетически обусловленные нарушения кальций-фосфорного обмена [16] .

Классификация и стадии развития недостаточности митрального клапана
В течении заболевания выделяют три периода:
- Компенсация дефекта клапана усиленной работой левого предсердия и левого желудочка. Это продолжительный период хорошего самочувствия, но уже на этой стадии начинают появляться первые характерные симптомы: слабость, головокружение, частые простудные заболевания, чувство нехватки воздуха, перебои в работе сердца, одышка.
- Развитие венозной митральной недостаточности. Больные жалуются на одышку и учащённое сердцебиение. При интенсивной физической нагрузке наблюдаются приступы сильной одышки и кровохарканье.
- Одышка уменьшается, но пациент ощущает тяжесть в правом подреберье. Появляются отёки, уменьшается количество мочи, набухают шейные вены. Кровохарканье усиливается, развивается отёк лёгких, возникают нарушения сердечного ритма (мерцательная аритмия и наджелудочковая экстрасистолия) и тромбоэмболические осложнения.
С учётом выраженности обратного тока крови выделяют четыре степени митральной недостаточности: с незначительной митральной регургитацией, с умеренной, выраженной и тяжёлой.
Стадии митральной недостаточности:
- Митральный возврат крови составляет 20-25 %. На этой стадии пациент здоров.
- Митральный возврат крови в пределах 25-50 % от систолического объёма крови. Развивается застой крови в лёгких второй степени. Появляются кашель, одышка, перебои в работе сердца.
- Выраженная недостаточность митрального клапана. Возврат крови в левое предсердие составляет 50-90 %. Возникают кашель, кровохарканье, приступы удушья, увеличивается печень, появляются отёки [8] .
Осложнения недостаточности митрального клапана
Осложнения порока:
- Кровохарканье и отёк лёгких. Проявляется одышкой, затруднённым вдохом, влажным кашлем. В мокроте появляется кровь. Температура тела повышается до субфебрильных ( 37-38 °C ) и фебрильных ( 38-39 °C ) значений. Необходима срочная госпитализация в отделение реанимации.
- Нарушения сердечного ритма в виде мерцательной аритмии и наджелудочковой экстрасистолии. Проявляются перебоями в работе сердца, головокружением, слабостью, обмороками. Требуется госпитализация в отделение кардиологии.
- Тромбоэмболические осложнения (тромбоз левого предсердия, сосудов кишечника, почек, головного мозга). Последствия будут зависеть от локализации тромба. При тромбозе сосудов головного мозга возможен инсульт. Если тромб находится в почках и сосудах кишечника, то пациент испытывает острые боли в животе. Необходима госпитализация в отделение реанимации [8][9] .

Диагностика недостаточности митрального клапана
При сборе анамнеза кардиолог уточняет:
- ощущает ли пациент нехватку воздуха при вдохе;
- беспокоят ли перебои в работе сердца;
- возникает ли одышка при незначительных физических нагрузках;
- мучает ли тревога, страх смерти, панические атаки.
При аускультации ("выслушивании" сердца) выявляется систолический шум у верхушки и над основанием сердца. Важное значение для диагностики митральной недостаточности имеет фонокардиография (ФКГ). ФКГ - это метод исследования работы сердечной мышцы, который основан на регистрации и последующем анализе звуков, возникающих во время работы сердца .
Другой важный инструментальный метод диагностики — эхокардиография (Эхо-КГ) . Эхо-КГ — это безболезненное ультразвуковое исследование, которое позволяет исследовать работу сердца в реальном времени. Эхокардиография покажет уменьшение эластичности клапана, его повреждение, размер отверстия митрального клапана и расстояние между его створками. Также при исследовании можно увидеть разрыв папиллярной мышцы и провисание клапанных створок в полость левого предсердия [4] [8] [9] .

Лечение недостаточности митрального клапана
При обострении заболевания необходим постельный режим. Также следует принимать препараты, содержащие магний и B6 по две таблетки три раза в день (например, "Магнелис").
Обязательно следует проводить лечение и профилактику осложнений. Для предупреждения тромбоэмболии пациентам старше 30-40 лет назначают препарат "Тромбо АСС", препятствующий тромбообразованию .
Если беспокоит частый пульс (более 80 ударов в минуту), то назначаются бета-адреноблокаторы, диуретики, антикоагулянты, нитроглицерин.
Если пациент страдает от приступов тревоги, то в качестве симптоматической терапии можно рекомендовать короткий курс феназепама на ночь.
Если развивается сердечная недостаточность и нарушается сердечный ритм, то проводят лечение бета-адреноблокаторами, диуретиками, ингибиторами ангиотензинпревращающего фермента, антикоагулянтами, блокаторами кальциевых каналов.
При значительной недостаточности митрального клапана показано оперативное лечение.
Основные хирургические методы коррекции митральной недостаточности:
- пластика митрального клапана;
- протезирование с частичным или полным сохранением хордального аппарата;
- протезирование без сохранения хордального аппарата.
Своевременное хирургическое вмешательство позволяет достичь хороших результатов и не допустить развитие осложнений.

Прогноз. Профилактика
При соблюдении рекомендаций врача прогноз благоприятный.
Для профилактики осложнений следует:
- ежегодно проходить осмотр у терапевта и кардиолога и проводить эхокардиографию сердца (Эхо-КГ);
- принимать препараты магния, а для предупреждения тромбоэмболии — антикоагулянты;
- исключить тяжёлые физические нагрузки, переохлаждение и перегрев;
- снизить эмоциональные перегрузки;
- отдыхать в дневные часы;
- при тревожных расстройствах принимать успокоительные препараты, освоить методы аутотренинга и расслабления мышц;
- проходить санаторно-курортное лечение [4] .
При ревматизме и после перенесённой ангины для профилактики недостаточности митрального клапана назначают антибиотик "Бициллин-3". Препарат подавляет развитие стрептококковой и стафилококковой инфекций.
После 40 лет всем пациентам, страдающим недостаточностью митрального клапана, необходимо контролировать уровни фибриногена, РФМК (растворимых фибринмономерных комплексов), D-димера (продукта распада фибрина). Эти анализы нужны для предотвращения тромбоэмболии лёгочной артерии и артерий внутренних органов. При повышении вышеуказанных показателей назначают антикоагулянты.
Если недостаточность митрального клапана обнаружена у ребёнка и его беспокоит слабость, головокружение, расстройство внимания, то рекомендуется временно перейти на домашнее обучение. Таким детям следует избегать чрезмерных физических нагрузок, им разрешена только лечебная физкультура.
Если при проведении Эхо-КГ обнаружено сильное прогибание створок клапана, то необходима консультация у кардиохирурга. Восстановление клапана или его замена могут потребоваться при эндокардите, сердечной недостаточности, нарушениях ритма, сильных болях в грудной клетке, признаках застоя в лёгочной системе (одышке, уменьшении объёма вдоха и ощущении нехватки воздуха).
Недостаточность клапанов сердца: виды, причины, течение, лечение
Почему мы привыкли считать ревматизм столь опасным заболеванием? Потому что основная роль в формировании пороков сердца (ПС) принадлежит именно ему, на долю других факторов (инфекции, травмы, опухоль, коллагенозы) выпадает значительно меньше. В связи с этим недостаточность клапанов сердца мы чаще всего рассматриваем как осложнение этой патологии.

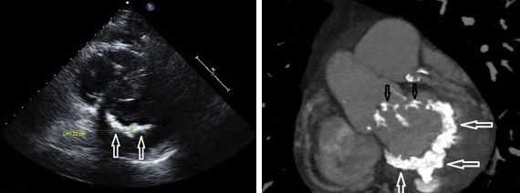
ревматический эндокардит - главная причина поражения клапанов сердца
Воспалительный процесс соединительной ткани, вызываемый β-гемолитическим стрептококком, дебютировав, быстро добирается до сердца, где наносит непоправимый вред его клапанам, изменяя их морфологическую структуру. Вследствие этих превращений суживается отверстие (предсердно-желудочковое), что называется стенозом или укорачиваются створки сердечных клапанов (явление, именуемое недостаточностью). Чаще всего страдает левый предсердно-желудочковый клапан, который привычнее для всех называть митральным (МК). Если у детей на фоне ревматизма преимущественно развивается стеноз аортального или МК, то у взрослых в большей степени превалирует недостаточность митрального клапана (НМК), лидирующая среди других приобретенных сердечных пороков.
Рисунок: клапанный аппарат в строении сердца

Не обязательно в клапане дело

Недостаточность митрального клапана представляет собой такое состояние, когда его створки в силу каких-то причин перестают полностью закрываться и в момент сокращения (систолы) желудочков позволяют крови вернуться назад в левое предсердие (митральная регургитация). НМК редко протекает отдельно от других ПС (не превышает 3% случаев), в основном, ее сопровождает митральный стеноз или аортальные пороки. В качестве обособленной или преобладающей формы митральная недостаточность больше предпочитает мужской пол.
У отдельных пациентов может присутствовать вариант, называемый относительной недостаточностью. При ней двухстворчатый клапан остается патологически неизмененным, а митральная регургитация имеет место. Ее создают сосочковые мышцы, фиброзное кольцо, сухожильные хорды, которые нарушают слаженную работу митрального комплекса. К формированию относительной недостаточности могут привести диффузные поражения и изменение сократительной способности сердечной мышцы левого желудочка (ЛЖ), расширение его полости и растяжение клапанного кольца в значительной степени (сужение кольца - формирует относительный стеноз). Любые патологические процессы, способствующие расширению ЛЖ (дилатационная кардиомиопатия, аортальный порок, артериальная гипертензия) могут привести к развитию относительной недостаточности.
Почему возвращается кровь?
Морфологические метаморфозы (уменьшение длины, появление морщинистости, разрушение структуры за счет кальциноза (отложения солей кальция) в клапанную ткань, деформация створок) приводят к потере клапаном способности плотно закрываться и препятствовать обратному току крови в левое предсердие (клапанная недостаточность с митральной регургитацией). Нередко вместе с изменением самого клапана укорачиваются и деформируются сухожильные хорды и сосочковые мышцы, то есть, для митральной недостаточности не только нельзя исключить, но и следует учитывать возможное сочетание с патологией подклапанного аппарата.
Причиной недостаточности митрального клапана в подавляющем большинстве случаев является ревматический эндокардит, хотя иногда дать старт новой тяжелой болезни может и другая патология:
- Инфаркт миокарда;
- Кардиосклероз;
- Травма;
- Опухоль сердца (миксома), расположенная в определенном месте;
- Некоторые из врожденных аномалий;
- Синдром Марфана;
- Диффузные заболевания соединительной ткани (ревматоидный артрит, СКВ, системная склеродермия).

Создавшаяся ситуация создает неблагоприятные условия для функционирования ЛЖ, ведь на него падает огромная нагрузка, однако природная сила левого желудочка длительное время помогает ему компенсировать кровоток в большом круге, поэтому пациент еще довольно долго продолжает считать себя здоровым.
Разумеется, такое положение дел ЛЖ не будет выдерживать до бесконечности, поэтому по истечении какого-то промежутка времени (у всех по-разному) его сократительная способность начинает падать, что проявляется симптомами застоя в легких. Как ответная реакция на повышенное давление в малом круге кровообращения (легочная гипертензия), растягивается устье легочной артерии (ЛА) и на фоне этого развивается относительная недостаточность клапана легочной артерии. Кстати, касательно клапана легочной артерии: преимущественно его недостаточность бывает относительной и обусловленной расширением устья ЛА.
Кроме легочной гипертензии и всего из нее вытекающего, происходит гипертрофия правых отделов сердца, стремящихся обеспечить адекватный кровоток. Постепенно правый желудочек гипертрофируется, позже расширяется (дилатируется), а для большого круга кровообращения наступает тяжелая стадия декомпенсации.
Степени, стадии, жалобы

Недостаточность митрального клапана классифицируют по следующим признакам:
- Происхождение заболевания (ревматическая лихорадка, атеросклероз, бактериальный эндокардит, сифилис);
- Состояние общей гемодинамики (компенсация за счет отдельных полостей сердца и декомпенсация, когда сердце исчерпало свои возможности);
- Степень выраженности (нарушение внутрисердечной гемодинамики).
Кардиохирурги с учетом жалоб больного и объективных клинических данных применяют более мелкую градацию степени выраженности и делят течение митральной недостаточности на 5 стадий, которые мы попытаемся представить во взаимосвязи со степенями тяжести:
- При 1 степени (1-2 стадии) порок существенно не изменяет гемодинамику внутри сердца. На первых порах пациент особо не замечает развития болезни, продолжает трудиться и нести привычную физическую нагрузку, однако с течением времени начинает отмечать появление одышки при выполнении работы, подъеме на этаж, быстрой ходьбе. Сделанная в поликлинике электрокардиограмма регистрирует признаки гипертрофии миокарда левых отделов сердца (желудочка и предсердия) - они сигнализируют, что пока справляются и компенсируют порок, но работают, как говорят, на износ.
- Умеренная недостаточность (2 степень, 3 стадия) проявляется развитием дилатации гипертрофированных левых камер сердца, в малом круге появляется первые признаки венозного застоя. Больной в числе основных жалоб отмечает постоянную одышку, снижение трудоспособности, приступы учащенного сердцебиения, кардиалгии.
- Появление устойчивых признаков декомпенсации (тахикардия, отеки, застой не только в легких, но и в других органах, гепатомегалия, приступы сердечной астмы, сухой или с небольшим количеством мокроты, иногда с прожилками крови, кашель), формирование относительной недостаточности трикуспидального клапана, гипертрофия правого желудочка - характерные особенности 3 степени (4 стадия) тяжести НМК. Развитие последующих событий (5 стадия) приводит к необратимым изменениям (тяжелая недостаточность кровообращения, дистрофические процессы во многих органах).
Видео: симптомы недостаточности митрального клапана
От степени тяжести и стадии процесса зависит лечение митральной недостаточности. Пациенты, имеющие подобную патологию, находятся на учете под пристальным вниманием кардиоревматолога, который:
- Занимается предупреждением обострений ревматизма (бициллин по схеме, противовоспалительные нестероидные препараты);
- Старается не допустить развития сердечной недостаточности (при появлении признаков - диуретики, ингибиторы АПФ, бета-блокаторы и др.);
- Проводит лечение мерцательной аритмии (верапамил, дигоксин);
- Осуществляет профилактику тромбоэмболий путем назначения антиагрегантов.
В случае тяжелого течения НМК при условии, что от момента возникновения гемодинамических нарушений прошло совсем немного времени, поэтому они еще не успели закрепиться и нанести непоправимый вред, для пациента существует перспектива решить проблему с помощью хирургического вмешательство (проведение вальвулопластики, операция по протезированию сердечного клапана).

Спутница или сама по себе? (недостаточность трикуспидального клапана)
Если читатель заметил, то было отмечено, что в далеко зашедших стадиях митральной недостаточности в патологический процесс начинают включаться другие клапаны и камеры сердца. Например, высокая частота встречаемости относительной недостаточности трехстворчатого клапана обусловлена ее комбинацией с митральными пороками в большинстве случаев из-за того, что в 4 стадии НМК наблюдается значительное увеличение полости правого желудочка. Это недостаточность трикуспидального клапана (НТК), которую легко распознать невооруженным глазом.
Некоторые особенности внешнего вида, свойственные для тяжелой правожелудочковой недостаточности, как правило, выдают больного:
- Набухшие вены на шее;
- Синеватый оттенок кожных покровов верхних и нижних конечностей, кончика носа, синие до черноты губы (акроцианоз);
- Дыхание частое даже при незначительной нагрузке (человеку практически постоянно не хватает воздуха);
- Потеря аппетита (для больного еда становится дополнительной нагрузкой), боли в эпигастрии, тошнота;
- Увеличение живота из-за развития асцита.
Относительная НТК распространена довольно широко среди пациентов, имеющих проблемы с митральным клапаном (об органической НТК такого сказать нельзя). Между тем, в изолированной форме она протекает лишь в отдельных случаях.
Расширение правого желудочка и увеличение его полости на фоне резко выраженной недостаточности ПЖ (из-за чего весь сыр-бор) чаще всего является результатом:
- Пороков сердца ревматического и врожденного происхождения.
- Далеко зашедшей артериальной гипертензии, когда сосудистые изменения уже сформировали сердечную недостаточность.
- Атеросклеротического кардиосклероза.

Недостаточность трехстворчатого клапана, вызванная его органическим поражением, как было отмечено выше, не относится к часто встречаемым вариантам. Провоцировать ее развитие может тот же ревматизм, эндокардит инфекционного происхождения (иной раз наблюдается у шприцевых наркоманов, использующих вену для введения наркотиков), врожденный дефект, называемый болезнью Эбштейна (смещение трехстворчатого клапана).
ЛЖ выходит из строя (недостаточность аортального клапана)
Причиной неправильного движения крови в аорту после систолы левого желудочка может стать стеноз устья аорты или недостаточность аортального клапана в момент расслабления сердца (диастолы), который не может нормально закрыться, чтобы не позволить крови вернуться назад в ЛЖ (аортальная регургитация). В 50% случаев эти два порока (стеноз и недостаточность) сочетаются между собой и с пороком митрального клапана, являясь, как правило, следствием ревматизма. Следует отметить, что такое «счастье» в большей мере сваливается на сердце, принадлежащее лицам мужского пола.

Из-за несостоятельности створок клапана аорты из такого крупного сосуда, во время расслабления сердца перетекает внушительный объем крови, что, естественно, приводит к перегрузке, гипертрофии и растяжению ЛЖ, а заодно к снижению кровообращения в периферических сосудах. Правда, многие годы эта проблема остается незамеченной, потому что обладающий значительными компенсаторными возможностями ЛЖ, увеличивая систолический выброс, справляется со своей основной функцией и поддерживает изгнание крови в аорту на должном уровне. Но при этом страдает сам. В конечном итоге сила этого «труженика» иссякает, он начинает сдаваться, что хорошо видно, когда проявления левожелудочковой недостаточности выходят наружу. Все это не может не отражаться на состоянии правого желудочка, который тоже начинает выходить из строя. Однако и этого для болезни оказывается мало, от ее воздействия страдает коронарное кровообращение, постепенно растягивается устье аорты.
Чья вина?
Как уже отмечалось, в развитии патологического изменения клапана аорты чаще всего обвиняют ревматическую лихорадку. Кроме этого, нелишне вспомнить и других виновников аортальной недостаточности:
- Эндокардит инфекционного происхождения, которому принадлежит партия «первой скрипки» в формировании болезни в чистом виде;
- Аортит различной природы и, в первую очередь, сифилитический;
- Артрит ревматоидный;
- Анкилозирующий спондилоартрит;
- Травма или врожденный порок в очень-очень редких случаях.
Относительная недостаточность аортального клапана иной раз идет параллельно аневризме аорты, синдрому Марфана, гипертонической болезни.
Узнать и лечить?
Вряд ли пациент сможет распознать у себя недостаточность клапана аорты 1 степени. Существование патологии, годами не заявляющее о себе, позволяет пациенту продолжать нести при необходимости значительные физические нагрузки, а также заниматься такими видами спорта, которые требуют выносливости, поэтому человеку даже вспомнить трудно, когда и с чего началась болезнь, однако можно заметить, как она начинает развиваться:
- Самым ранним вестником неблагополучия можно считать появление ощущения пульсации всего тела (сокращения сердца доходят до головы, рук, ног, позвоночного столба). Человек удивлен и обескуражен, он, глядя на часы, без лишних движений может сосчитать количество ударов в минуту.
- Стали приходить внезапные, ничем не объяснимые головокружения, а приступы тахикардии стали посещать даже в спокойном состоянии;
- Через некоторое время данные явления не только не исчезли, но набрали новые обороты, и вот уже трудно стало преодолевать лестничный марш, а ночной периодически прерывают мучительные приступы сердечной астмы.
- Стенокардия, ранее неведомая человеку, стала беспокоить все чаще и чаще, не глядя на молодой возраст, причем нитроглицерин ожидаемого эффекта не дает.
- Появилась артериальная гипертензия, однако поднимается только верхнее давление, нижнее, наоборот, снижается, иногда его трудно уловить, правда, на поздних этапах болезни диастолическое давление имеет тенденцию к увеличению.
Лечение аортальной недостаточности требует специализированных стационарных условий, однако даже госпитализация не всегда дает результаты, которые хотелось бы видеть. Традиционная терапия сердечной недостаточности мочегонными, бета-блокаторами, ингибиторами АПФ и антагонистами кальция помогает мало, сердечные гликозиды в этой ситуации требуют особой осторожности, ведь снижение ЧСС может еще больше нарушить периферическое кровообращение.
Замена износившегося артериального клапана на искусственный (механический или биологический имплантант СК) больше приветствуется в случаях «чистого» порока, когда изменения коснулись только аортального клапана, а признаки декомпенсации только появились. Непростая задача для кардиохирургов…
Пару слов о детях
Среди клапанных пороков у детей чаще всего можно встретить стеноз клапана легочной артерии, имеющий 10% от всех врожденных аномалий, на долю стеноза аортального клапана выпадает вдвое меньше (5%).

Недостаточность клапанов сердца у детей, как и у взрослых, преимущественно является следствием ревматической лихорадки, которая у малышей в первую очередь формирует аортальные пороки.
К малым аномалиям сердца причисляют всем известный, но вызывающий много вопросов своеобразный симптомокомплекс, диагностируемый преимущественно у детей - пролапс митрального клапана (ПМК). Сущность этого феномена состоит в нарушении функционирования сердечного клапана за счет прогибания (пролабирования) его створок в полость ЛП во время систолы желудочков. Кстати, пролабирование может быть замечено за любым из сердечных клапанов и даже за несколькими сразу (например, митральный + трикуспидальный). Одновременное прогибание нескольких клапанов усугубляет ситуацию, поскольку в подобных случаях формируются значительные гемодинамические расстройства.
Читайте также:
- Показания и противопоказания для внутрикостных инфузий у новорожденных детей
- Лечение IV стадии ретинопатии недоношенных новорожденных. Тракционная отслойка сетчатки (ТОС)
- Лечение повреждения сухожилий разгибателей на тыле кисти и в пределах запястья
- Некоторые специфические опухоли головного мозга
- Страшные попутчики случайных связей. Как защитить себя от нежелательных инфекций?
