Пигментные пятна и невусы конъюнктивы у ребенка
Добавил пользователь Евгений Кузнецов Обновлено: 01.11.2025
Национальный центр офтальмологии им. акад. Зарифы Алиевой Минздрава Азербайджанской Республики, Джавадхана ул., 32/15, Баку, Азербайджанская Республика, AZ1114
Национальный центр офтальмологии им. акад. Зарифы Алиевой
Невусы конъюнктивы как риск развития меланомы
Журнал: Вестник офтальмологии. 2016;132(3): 21‑25
Невусы конъюнктивы — наиболее распространенные опухоли данной локализации. Чаще бывают односторонними, однако редко может встречаться и билатеральная локализация невусов конъюнктивы. По клиническому течению невусы подразделяют на стационарные и прогрессирующие, голубой невус и первичный приобретенный меланоз. При беременности и в пубертатном периоде может быть изменение окраски, но если это происходит в постпубертатном периоде, то должна настораживать возможная малигнизация невуса. Гистопатологически невусы состоят из скопления меланоцитов, расположенных в строме, близко к базальному слою. Цель — изучить роль своевременного хирургического вмешательства при невусах конъюнктивы и слезного мясца в профилактике дальнейшего развития меланомы. Материал и методы. С 2009 по 2013 г. были обследованы 52 больных, возраст которых составлял от 2 до 65 лет. Из них 48 пациентов с невусом конъюнктивы и слезного мясца, 1 больная с меланомой слезного мясца, 3 человека с меланомой конъюнктивы. Результаты. Больные со стационарным невусом находятся под динамическим наблюдением. Среди прооперированных пациентов мы не наблюдали ни одного рецидива. Наиболее существенной особенностью меланом является высокая метастатическая активность. Причем метастазы могут быть обнаружены как при диагностике первичного очага, так и спустя годы после установления диагноза. Поэтому все больные с меланомой находятся на пожизненном диспансерном учете. Заключение. Своевременное удаление прогрессирующих невусов конъюнктивы и слезного мясца может предотвратить их малигнизацию и развитие меланом, исход которых может быть крайне неблагоприятным для больного.
Невусы конъюнктивы — наиболее распространенные опухоли данной локализации. Чаще бывают односторонними, однако редко может встречаться и билатеральная локализация невусов конъюнктивы. По клиническому течению невусы подразделяют на стационарные и прогрессирующие, голубой невус и первичный приобретенный меланоз [1]. Обычно располагаются около лимба в интрапальпебральной зоне. Цвет невусов может изменяться от светло- до темно-коричневого, реже бывают беспигментные невусы. Некоторые невусы могут содержать мелкие прозрачные кисты. При беременности и в пубертатном периоде может быть изменение окраски, но если это происходит в постпубертантном периоде, то должна настораживать возможная малигнизация невуса.
Сведения о частоте возникновения меланомы разноречивы. По данным З.Л. Стенько (1971), чуть более 40% меланом конъюнктивы развиваются из предшествующих невусов. F. Jacobiec и соавт. (1989) полагают, что малигнизируется около 20% невусов. По данным J. Shields [13], только 1% невусов конъюнктивы может озлокачествляться. Однако в малигнизации опухолей конъюнктивы большую роль играют ультрафиолетовые лучи. Известно, что Азербайджан — южная страна с повышенной инсоляцией. Поэтому данная патология в этой стране требует к себе настороженного отношения.
К сожалению, мы можем привести примеры того, как невусы перерождались в меланому. Признаками малигнизации невуса являются распыление пигмента, изменение его окраски, появление васкуляризации, распространение на конъюнктиву век, слезное мясцо, область лимба [1, 2].
Гистопатологически невусы состоят из скопления меланоцитов, расположенных в строме, близко к базальному слою [3]. Наиболее рациональным является тотальная эксцизия невуса, если обнаруживается тесный контакт с подлежащей сферой, возможно удаление вместе с тонким верхним слоем склеры [4].
Цель исследования — изучить роль своевременного хирургического лечения невусов конъюнктивы и слезного мясца в профилактике дальнейшего развития меланомы.
Материал и методы
С 2009 по 2013 г. нами обследованы 52 пациента с пигментными опухолями конъюнктивы. Возраст больных составлял от 2 до 65 лет. Из них 48 пациентов имели невус конъюнктивы и слезного мясца, 1 больная — меланому слезного мясца, 3 человека — меланому конъюнктивы.
Из 48 больных 16 имели прогрессирующий невус конъюнктивы, 5 — невус слезного мясца, 27 — стационарный невус (рис. 1).

Рис. 1. Соотношение встречаемости невусов конъюнктивы и слезного мясца.
Всем больным проведено общее офтальмологическое обследование, включающее визометрию (знаковый проектор Huvits, CCP-3100, Koрея), тонометрию (пневмотонометр TOMEY FT-1000, Япония), биомикроскопию (щелевая лампа TOMEY TSL-5000, Япония), офтальмоскопию (фундус-линза 78 дптр OCULYAR, США), а также B-скан, оптическую когерентную томографию (ОКТ) переднего отдела глаза. При исследовании прицельно изучали структуру самого образования, обращали внимание на цвет, контуры, характер границ опухоли, характеристику поверхности, наличие пигмента и его распыления, состояние окружающих тканей и лимба при локализации образования в непосредственной близости от него, наличие распространения на роговицу (рис. 2). Образования измеряли с помощью обычной линейки. Традиционно оценивали минимальный и максимальный диаметры основания образования. Ультразвуковую биомикроскопию использовали у пациентов с новообразованиями конъюнктивы с целью определения толщины опухоли, получения полной характеристики ее структуры, информации о состоянии подлежащих тканей. Исследование проводили при помощи ультразвукового аппарата фирмы «TOSHIBA» Nemo XG SSA-580A. Использовали датчик с частотой 8 мГц. ОКТ применяли у больных с опухолями конъюнктивы, распространяющимися на роговицу, с целью определения глубины поражения роговицы (рис. 3). Исследование проводили на приборе Visante OCT («Carl Zeiss», Германия).

Рис. 2. Прогрессирующий невус конъюнктивы.

Рис. 3. Оптическая когерентная томограмма переднего отрезка глаза с меланомой конъюнктивы с распространением на роговицу.
Цитологическое исследование проводили всем пациентам при подозрении на злокачественные опухоли конъюнктивы. Материал для цитологического исследования получали путем мазка-отпечатка с разных участков поверхности опухоли на обезжиренное предметное стекло. В качестве красителей использовали гематоксилин и эозин.
Гистологические исследования операционного материала выполнены всем пациентам, которым проводили хирургическое иссечение опухолей придаточного аппарата. Исследовали количество митозов, степень лимфоцитарной инфильтрации, митотическую активность, содержание пигмента, а также определяли, какие структуры поражены опухолью (макроскопически и гистологически), степень терапевтического патоморфоза и отстояние опухолевых клеток от краев резекции.
В случае подозрения на меланому конъюнктивы, дающую дистантные и отдаленные метастазы, больному проводили специальное онкологическое обследование, позволяющее выявить стадию онкологического процесса и выбрать верную тактику ведения лечения.
С этой целью использовали рентгенографию, компьютерную томографию, ядерно-магнитную томографию, ультразвуковые методы исследования. Рентгенографию грудной клетки проводили с целью выявления метастазов в легких.
Ультразвуковое исследование (УЗИ) было использовано для скрининга дистантных метастазов органов брюшной полости. Этот метод не имеет лучевой нагрузки, более доступен, поэтому успешно применялся.
Эксцизия опухоли в пределах здоровой ткани с использованием микрохирургической техники с пластикой конъюнктивы проведена 12 пациентам с прогрессирующим невусом. У 1 пациента 6 лет была инвазия в верхние слои склеры, в связи с чем выполнена поверхностная склерэктомия, 4 человека отказались от оперативного вмешательства, 2 из них находятся под наблюдением. Были прооперированы 4 больных с невусом слезного мясца, 1 больной также отказался от операции. Хирургическое лечение было выполнено 3 пациентам с меланомой конъюнктивы. При ее удалении интраоперационно использовали 0,04% раствор митомицина. В ходе операции проводили отграничительную коагуляцию образования, отступив 3—4 мм от его видимых границ, с последующим его иссечением по наружной границе коагуляционного вала. После этого ложе подлежало дополнительной коагуляции. Пластику дефекта конъюнктивы проводили путем перемещения местных тканей, накладывая необходимое количество швов (викрил 8−0). В качестве адъювантной терапии использовали интерферон α-2β (рис. 4). Один пациент с меланомой слезного мясца был отправлен на лечение за рубеж (рис. 5).

Рис. 4. Фотография пациента с меланомой. а — до операции; б — после операции.

Рис. 5. Фотография пациента с меланомой слезного мясца.
Результаты и обсуждение
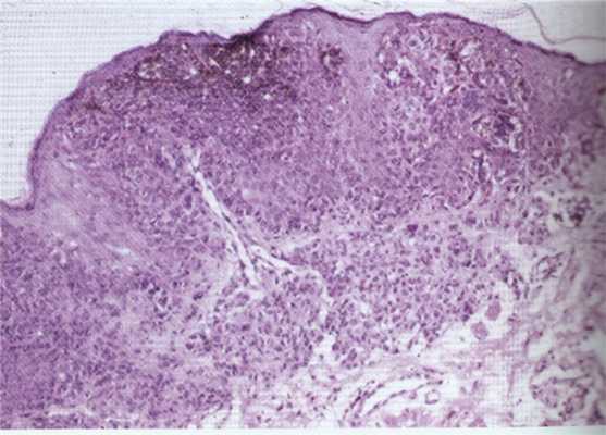
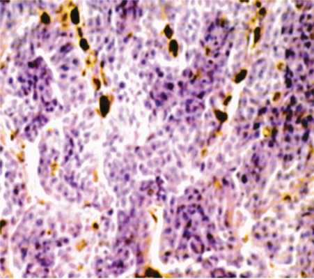
Больные со стационарным невусом находились под наблюдением, за время которого у одного больного появились признаки прогрессирования образования, а именно увеличение его размеров, покраснение, утолщение и некоторое усиление интенсивности окраски. Распыления пигмента не наблюдали. Как и другим больным с прогрессирующим невусом, ему была проведена операция удаления опухоли. За 5 лет наблюдения среди прооперированных пациентов мы не наблюдали ни одного рецидива. В первые недели послеоперационного периода наблюдалась гиперемия с формированием нежного конъюнктивального рубца. Изменений рефракции у больных также не отмечалось. Диагноз больных с невусом, с меланомой конъюнктивы во всех случаях был гистологически верифицирован. В гистопрепаратах невусов были обнаружены пролиферирующие меланоциты, которые формировали клеточные гнезда в базальном слое конъюнктивального эпителия (рис. 6). В препаратах удаленных меланом присутствовали веретеноклеточные, полигональные клетки, ограниченные эпителием конъюнктивы (рис. 7). Края резекции опухоли во всех препаратах интактны. В послеоперационном периоде больные на протяжении 5 нед получали интерферон α2-β в виде субконъюнктивальных инъекций 1 раз в неделю, а также в виде ежедневных трехкратных инстилляций. Препарат применяли с целью усиления местного клеточного иммунитета. В результате у 2 больных наблюдали кратковременное повышение температуры и общее недомогание, которое легко устранялось применением пероральных противовоспалительных нестероидных препаратов. Больным с меланомой на протяжении одного года после операции каждые 3 мес обязательно проводили УЗИ внутренних органов, исследование содержания ферментов печени в крови с целью своевременного выявления возможных метастазов, а также рентгенографию легких 1 раз в 6 мес. На протяжении последующих 4 лет больные были переведены на диспансерный учет 1 раз в 6 мес. Нужно отметить, что эти пациенты находятся на диспансерном учете пожизненно. За время наблюдения, который составил 4 года, мы не отмечали у них рецидивов или отдаленных метастазов. Рецидив невуса наступает при неполном его удалении. Гистологические исследования показали, что остающиеся невусные клетки индуцируют пролиферацию дендритических меланоцитов с образованием типичных невусных гнезд [5, 6]. Прогностически важными факторами для меланомы являются локализация опухоли, толщина опухоли, глубина инвазии меланомой подконъюнктивального слоя или слезного мясца, высокая митотическая активность, отсутствие лимфоидной инфильтрации, редкая встречаемость мелких полигональных клеток [7, 8]. Более благоприятное течение заболевания отмечается при локализации меланомы в области лимба [9]. Отсутствие рецидивов у наших больных объясняется радикальным удалением опухоли, что было подтверждено гистологически [10]. Локализация опухоли только на бульбарной конъюнктиве и в области лимба, отсутствие распространения на склеру и своды также улучшили витальный прогноз [11]. Злокачественная меланома чаще возникает у взрослых и пожилых. Меланома может возникнуть de novo или на фоне предшествующего меланоза или невуса. Особо опасными в этом отношении являются прогрессирующий невус и первичный приобретенный невус с грубой атипией мелких веретенообразных или эпителиоидных клеток. Из невуса меланома возникает в 20—30% случаев [12]. Злокачественных вариантов голубого невуса в литературе не описано [1]. Важным моментом в ходе наших наблюдений является то, что все 3 больных с меланомой конъюнктивы и 1 больная с меланомой слезного мясца в анамнезе отмечали в глазу «родинку», которая долгие годы их не беспокоила. Известно, что меланомы слезного мясца отличаются крайне высокой злокачественностью [13]. Поэтому его банальное удаление даже в пределах здоровой ткани может закончиться тяжелыми последствиями для больного. Методом лечения меланом слезного мясца является экзентерация или протонотерапия [14]. Учитывая высокую остроту зрения, отсутствие распространения в орбиту, больной была предложена протонотерапия, для проведения которой она была направлена в НИИ глазных болезней им. Гельмгольца в Москве. Наиболее существенной особенностью меланом является высокая метастатическая активность [8, 14]. Причем они могут быть обнаружены как при диагностике первичного очага, так и спустя годы после установления диагноза. Поэтому все больные с меланомой находятся на пожизненном диспансерном учете.

Рис. 6. Гистопрепарат невуса конъюнктивы.

Рис. 7. Гистопрепарат меланомы конъюнктивы.
Выводы
1. Невусы из-за риска развития меланомы могут представлять серьезную онкологическую угрозу.
2. Количество солнечных дней в Азербайджане и большая занятость людей в сельском хозяйстве (продолжительность пребывания на солнце) повышают риск малигнизации невусов. Поэтому они должны быть под наблюдением врача.
3. При изменении окраски, размеров, появлении воспалительных изменений невус должен быть удален. Удаление должно осуществляться в пределах здоровых тканей, если имеет место инвазия в нижележащие ткани, то удалению должны подвергаться также и верхние слои склеры.
4. Своевременное удаление прогрессирующих невусов конъюнктивы и слезного мясца может предотвратить их малигнизацию и развитие меланом, исход которых может быть крайне неблагоприятным для больного.
Пигментация роговицы глаза. Причины цветовых пятен роговицы глаза, виды и возможное лечение

Пигментация роговицы глаза (невус) от обычного родимого пятна отличается лишь тем, что расположена на глазном яблоке. Так же, как и на теле, родинка на глазу может появиться в любом возрасте и изменяться в течение жизни по размеру и цвету. Однако, чаще всего ребёнок рождается уже с маленьким пигментированным пятном на радужке глаза. Явление это несимметричное. Пятно может быль округлым или иметь форму сектора с центром в середине зрачка, располагается родинка на роговице или на белке глаза. Приобретённые пигментные пятна на роговице обычно связаны с изменениями гормонального фона.
За цвет глаз, так же как и на коже, отвечает пигмент меланин. Цвет родимых пятен в глазу бывает коричневый, желтоватый, чёрный, розовый. Замечено, что светлокожие и светловолосые люди чаще бывают обладателями глазных родинок.
Чаще всего пигментация роговицы глаза не опасна. Однако, нужно следить и обратиться к врачу, если за короткий срок в пигментации произойдут значительные изменения. Это может быть признаком перерождения доброкачественного образования в меланому глаза.
2. Виды пигментных пятен
По расположению пятна делятся на невусы конъюнктивы (видны на слизистой оболочке глаза) и невусы хориоидеи (выявляются только при диагностике глаза, поскольку расположены на глазном дне).
По структуре пигментные пятна глаза делят на три группы:
- сосудистые пятна (красноватые или розовые пятна, образовавшиеся из сосудов глаза);
- пигментный невус (скопления пигмента меланина коричневого, желтоватого или чёрного цвета);
- кистовидный невус (узел из лимфатических сосудов, чаще бесцветная область, делающая картину рисунка роговицы похожей на соты или пузырьки).
3. На что следует обратить внимание?
Родинки глаза никак не влияют на зрение. Тем не менее, пятно в глазу требует особого внимания и консультации офтальмолога. В норме края невуса чётко очерчены, поверхность бархатистая на вид, форма и цвет существенно не меняются. Если рост и изменения пятна становятся заметными, необходимо пройти ряд обследований, при необходимости — лечения или даже удаления пигментного пятна. Также тревожными симптомами должны стать:
- ухудшение зрения;
- ограничение поля зрения;
- ощущение постороннего предмета в глазу.
Даже если невус в глазу стабилен и не доставляет человеку никакого беспокойства, нужно помнить, что, как любую родинку, крайне нежелательно подвергать его ультрафиолетовому излучению и иным воздействиям, провоцирующим мутации. В солнечную погоду очень желательно защищать глаза темными очками ли хотя бы носить головные уборы с козырьком.
4. Методы лечения
Если по каким-то причинам совместно с врачом принято решение удалить пигмент на роговице глаза, — современная медицина предлагает щадящие методы. До недавнего времени родинки глаза оперировались только с помощью микроскальпелей и радиоскальпелей под микроскопом. В настоящее время широко применяется лазерная коагуляция. Процедура стала максимально безопасной для близлежащих тканей, безболезненной и эффективной: достигается идеальный косметический результат.
Заболевания Жалобы и симптомы- Высокая температура тела
- Иммунитет снижен
- Боли различной локализации
- Резкое снижение или набор веса
- Плохая работы желудка тракта
- Частые ОРЗ, ОРВИ
- Слабость, головокружение, недомогания
Если вы обнаружили у себя подобные симптомы, возможно, это сигнал заболевания, поэтому рекомендуем проконсультироваться с нашим специалистом.
Диагностика- ЭКГ (электрокардиограмма)
- Общий анализ крови
- Биохимический анализ крови
- Общий анализ мочи
- Пульсоксиметрия
- Консультация терапевта - от 1500 р.
- Биохимический анализ крови (стандартная, 10 показателей) - 2470 р.
- Биохимический анализ крови (расширенаяая, 14 показателей) - 3565 р.
- Общий анализ крови - 675 р.
- ЭКГ (электрокардиография) - 1500 р.
- Общий анализ мочи - 320 р.
- Пульсоксиметрия - 500 р.
Мы стараемся оперативно обновлять данные по ценам, но, во избежание недоразумений, просьба уточнять цены в клинике.
Данный прайс-лист не является офертой. Медицинские услуги предоставляются на основании договора.
Опухоли конъюнктивы
Опухоли конъюнктивы - доброкачественные и злокачественные новообразования тонкой прозрачной оболочки глаза, покрывающей переднюю часть склеры и внутреннюю поверхность век. Проявляются косметическим дефектом. Возможны нарушения зрения. Злокачественные опухоли конъюнктивы способны к прорастанию окружающих тканей и метастазированию. Диагноз устанавливается офтальмологом с учетом жалоб и результатов осмотра структур глаза. Лечение - традиционное хирургическое вмешательство, лазерная эксцизия, лазерная коагуляция, электрокоагуляция, криотерапия, местная медикаментозная терапия.

Общие сведения
Опухоли конъюнктивы - группа эпителиальных, пигментных, сосудистых опухолей, исходящих из конъюнктивальной оболочки. Доброкачественные опухоли чаще выявляются в детском возрасте, нередко носят врожденный характер. Злокачественные и предраковые поражения преимущественно диагностируются у людей пожилого и старческого возраста. В большинстве случаев опухоли конъюнктивы происходят из эпителиальных или пигментных клеток, реже - из субэпителиальных слоев. Прогноз, как правило, благоприятный для жизни (за исключением меланомы), однако некоторые новообразования, в том числе и доброкачественные, могут становиться причиной нарушений зрения и изменений структур глаза. Лечение осуществляют специалисты в области онкологии и офтальмологии.

Доброкачественные опухоли конъюнктивы
Папиллома - достаточно распространенная опухоль конъюнктивы эпителиального происхождения. Возникает в первые дни жизни. Представляет собой одиночные или множественные мягкие узелки с большим количеством мелких сосудов, придающих новообразованиям красноватую или розоватую окраску. Опухоли конъюнктивы располагаются на тонкой, часто кровоточащей ножке. Склонны к рецидивированию. Редко подвергаются злокачественному перерождению. Лечение - оперативное вмешательство, криодеструкция, при множественных папилломах - лазерная вапоризация или аппликации митомицина.
Стационарный невус - еще одна часто встречающаяся опухоль конъюнктивы. Происходит из меланинсодержащих клеток. Составляет около 20% от общего количества доброкачественных новообразований этой оболочки глаза. Обычно возникает в детском возрасте. Пигментная опухоль конъюнктивы выглядит как плоское гладкое пятно желтоватого или коричневатого цвета с четкими контурами. У трети невусов пигментация отсутствует. При отсутствии роста и признаков озлокачествления лечение не требуется.
Дермоид (дермоидная киста конъюнктивы, липодермоид) - врожденная кистозная опухоль конъюнктивы, содержащая элементы эктодермы. Как и стационарные невусы, составляет около 20% от общего количества доброкачественных новообразований конъюнктивы. Может быть одно- или двухсторонней. Обычно локализуется снаружи от роговицы. Представляет собой овальный эластичный узел желтоватой окраски. Может прорастать роговицу. Дермоиды большого размера могут ограничивать движения глазного яблока. Лечение - хирургическое иссечение.
Гемангиома - опухоль конъюнктивы сосудистого происхождения. Имеет врожденный характер. Как правило, располагается во внутреннем углу глаза. Выглядит как скопление сильно извитых синюшных сосудов. На ранних стадиях показано удаление лазером, в последующем - электрокоагуляция.
Лимфангиома - редкая опухоль конъюнктивы, происходящая из стенок лимфатических сосудов. Обычно выявляется у взрослых. Представляет собой эластичное подвижное образование обычной или розовато-желтой окраски, не меняющее объем при надавливании. Эта опухоль конъюнктивы склонна к медленному, но неуклонному росту. При отсутствии лечения может достигать больших размеров, препятствовать нормальным движениям глазного яблока и становиться причиной грубых косметических дефектов. После удаления может рецидивировать. Лечение хирургическое.
Переходные опухоли конъюнктивы
Эпителиома Боуэна - облигатное предраковое поражение конъюнктивы эпителиального происхождения. Как правило, возникает в зрелом возрасте. Локализуется рядом с лимбом. На начальных стадиях опухоль конъюнктивы представляет собой плоскую либо слегка выдающуюся светло-серую бляшку. В последующем становится более массивной, больше возвышается над поверхностью, приобретает перламутровый оттенок. Может прорастать роговицу. Лечение - хирургическое вмешательство (возможно в сочетании с пред- и послеоперационной обработкой митомицином), короткодистанционная рентгенотерапия.
Приобретенный меланоз - предраковая пигментная опухоль конъюнктивы. Обычно возникает в возрасте 40-50 лет. Выглядит как плоское темное пятно с четкими контурами. Может поражать значительную часть конъюнктивы и переходить на роговицу. Продолжительность и особенности течения этой опухоли конъюнктивы существенно варьируют. Иногда отмечается спонтанное выздоровление. У 25-75% больных наблюдается озлокачествление. Лечение - электрокоагуляция, лазерная коагуляция, при появлении признаков малигнизации - лучевая терапия.
Прогрессирующий невус - предраковая опухоль конъюнктивы, происходящая из пигментных клеток. Цвет новообразования может различаться от темно-коричневого до светло-желтого или розоватого. Наблюдается увеличение размера, появление пестрой окраски (чередования пигментированных и непигментированных областей), размытость контуров и увеличение количества сосудов. Лечение оперативное.
Злокачественные опухоли конъюнктивы
Рак конъюнктивы - первичная злокачественная опухоль конъюнктивы, обычно возникающая на фоне предраковых заболеваний. Диагностируется редко, поражает преимущественно людей старшего возраста. Мужчины болеют чаще женщин. Фактором риска является постоянная чрезмерная инсоляция. По внешнему виду опухоль конъюнктивы может напоминать болезнь Боуэна или ороговевающую папиллому. Представляет собой сероватую или белесоватую пленку, пронизанную телеангиэктазиями, либо скопление узелков розоватой окраски. В процессе роста опухоль конъюнктивы распространяется на близлежащие ткани, может прорастать орбиту, давать метастазы в шейные и околоушные лимфоузлы.
Рак также может локализоваться на внутренней стороне века. Такие новообразования протекают более злокачественно по сравнению с опухолями конъюнктивы, расположенными в области склеры. На начальных стадиях узел растет внутриконъюнктивально, вызывая утолщение и уплотнение века. В последующем возможно изъязвление. При прогрессировании опухоль конъюнктивы распространяется на слезное мясцо, роговицу и конъюнктиву склеры, но не прорастает тарзальную пластинку.
Диагноз устанавливается на основании осмотра и результатов биопсии. Ограниченные узлы небольшого размера подлежат оперативному удалению. Возможно использование диатермокоагуляции. При больших опухолях конъюнктивы применяют рентгенотерапию или бета-терапию. При поражении орбиты выполняют экзентерацию глазницы. Прогноз достаточно благоприятный. При опухолях, не распространяющихся на орбиту, отсутствие рецидивов в течение 5 лет после окончания лечения отмечается у 50-80% пациентов.
Меланома - злокачественная опухоль конъюнктивы, возникающая на фоне приобретенного меланоза (75%), прогрессирующего невуса (20%) или неизмененных тканей. Представляет собой гладкое или бугристое опухолевидное образование. Может быть пигментированной (желтоватой, коричневой) либо лишенной пигмента. Обычно располагается у внутреннего угла глаза или недалеко от лимба. При осмотре на щелевой лампе обнаруживаются пигментированные «дорожки», расходящиеся за пределы опухоли конъюнктивы.
При прогрессировании может давать начало новым узлам в области конъюнктивы, прорастать склеру и орбиту, а также метастазировать в регионарные лимфоузлы и отдаленные органы. Лечение оперативное. На ранних этапах выполняют удаление опухоли конъюнктивы с окружающими тканями, при прорастании склеры осуществляют энуклеацию глазного яблока, при прорастании орбиты - экзентерацию глазницы. Применяют рентгенотерапию и химиотерапию. Прогноз в большинстве случаев неблагоприятный.
Невус Беккера ( Волосяной эпидермальный невус , Меланоз Беккера , Пигментная волосяная гамартома )
Невус Беккера - это пигментное образование кожи, которое имеет доброкачественное течение и низкий риск перерождения в меланому. Точные причины появления невуса не установлены, среди предрасполагающих факторов называют генетические дефекты, внутриутробные патологии, заболевания соединительной ткани. Патология проявляется полигональной пигментацией на теле, верхних конечностях, которая сопровождается патологическим оволосением. Для диагностики назначают клинический осмотр у дерматолога, цифровую дерматоскопию, гистологическое исследование ткани. Задача лечения - избавиться от косметического дефекта малоинвазивными или хирургическими способами.
МКБ-10



Болезнь названа в честь американского дерматолога С. Беккера, который описал типичную клиническую картину в 1949 году. В медицинской литературе патология имеет несколько синонимичных наименований: волосяной эпидермальный невус, меланоз Беккера, пигментная волосяная гамартома. Изредка синдром носит двойную фамилию Беккера-Рейтера, чтобы подчеркнуть заслуги немецкого дерматолога, дополнившего сведения о заболевании. В практической дерматологии этот тип невуса встречается у 0,5% мужчин и 0,1% женщин, пик диагностики приходится на детский и юношеский возраст.

Причины
Этиологические факторы заболевания точно не определены. В дерматологии описаны семейные случаи меланоза Беккера, поэтому рассматриваются теории о наследственном происхождении дерматоза или внутриутробной аномалии развития. Часть авторов отмечают схожесть заболевания с эпидермальным невусом Сименса - гамартомой туловища. Возможные предрасполагающие факторы:
- Осложненная беременность. Появлению невуса способствуют нарушения уровня прогестинов и эстрогенов, мочеполовые инфекции у матери, воздействие тератогенных факторов. Риск развития патологии повышается у детей, рожденных от матерей с экстрагенитальными хроническими заболеваниями, длительными интоксикациями.
- Воздействие УФ-лучей. Манифестацию кожной симптоматики связывают с избыточным влиянием ультрафиолета, что бывает при проживании в теплых регионах страны, частых и длительных прогулках, чрезмерном загаре. Корреляция между инсоляцией и невусами лучше всего прослеживается в подростковом периоде.
- Соматические заболевания. Невус Беккера зачастую сочетается со склеродермией, мышечными дисплазиями, красным плоским лишаем. Описаны ассоциации заболевания с кольцевидной гранулемой, лимфангиомой, базалиомой.
Патогенез
Для невуса Беккера типичны множественные изменения в дермальных тканях. Определяется гиперкератоз и акантоз, реже встречаются роговые кисты. Заболевание не относится к типичным пигментным невусам, поскольку в дерме отсутствуют невусные клетки, количество меланоцитов не увеличено. Повышение меланоцитарной активности и уровня меланина в кератиноцитах обуславливают внешние проявления болезни.

Симптомы невуса Беккера
Половина случаев болезни проявляет себя у детей младше 10 лет, еще 25% случаев - в возрастном диапазоне 10-15 лет. Реже невус Беккера манифестирует в юношеском и молодом возрасте. У 80% больных патология проявляется очаговой пятнистой гиперпигментацией, которая сопровождается гиперкератозом. Пятна имеют неправильную форму, расположены четко на одной половине тела (до срединной линии). Излюбленная локализация: верхний плечевой пояс, плечи и предплечья.
Сначала на коже появляются небольшие коричневые пятна. Постепенно они группируются в очаги неправильной формы и достигают 20 см в диаметре. Зачастую высыпания располагаются вдоль линий Лангера. По краям новообразования возникают дополнительные пигментированные островки, которые сливаются с первичным очагом. К окончанию пубертата у 56% пациентов высыпание покрывается волосами, которые достигают нескольких сантиметров в длину.
В центре пигментированного очага кожа становится грубой и сморщенной, однако выросты и другие настораживающие изменения отсутствуют. В большинстве случаев невус Беккера остается без изменений на протяжении всей жизни. На фоне гормональных факторов оволосение может распространяться на непигментированные участки кожи, что вызывает дискомфорт у больных.
Осложнения
Невус Беккера характеризуется доброкачественным течением. Он крайне редко сопровождается кровотечением и изъязвлением, случаи малигнизации не описаны, поэтому болезнь считается меланомонеопасной. Значимую медико-социальную проблему представляет косметический дефект, который вызывает у пациентов психологические проблемы, стеснение при ношении купальников, дискомфорт во время интимной близости.
Особого внимания врачей-дерматологов заслуживает Беккер-невус синдром, который встречается только у женщин. Помимо типичных кожных изменений наблюдается односторонняя гипоплазия молочной железы на стороне поражения. Также характерно укорочение верхней конечности и недоразвитие костно-мышечных структур грудной клетки с той же стороны. Изредка синдром сопровождается spina bifida.
Диагностика
Первичное обследование пациента проводится врачом-дерматологом. Необходимо выяснить, как давно появился невус, как изменялся его внешний вид с течением времени. Решающее значение для постановки диагноза имеет клинический осмотр поверхности кожи: оценка формы, размера и расположения гиперпигментированных участков, наличия волос на коже и других особенностей. Дополнительную информацию дают следующие диагностические методы:
- Цифровая дерматоскопия. При осмотре кожи под многократным увеличением удается рассмотреть наружную поверхность невуса Беккера, исключить признаки малигнизации и других патологических процессов. Создание карты родинок и пигментных пятен позволяет контролировать течение болезни у конкретного пациента.
- Гистологическая диагностика. Исследование образца ткани под микроскопом требуется для верификации диагноза при нетипичном течении заболевания. К патогномоничным признакам относят повышение активности меланоцитов без увеличения их числа, отсутствие специфических для невуса клеток в дерме.
- Консультация генетика. Поскольку невус Беккера изредка сопровождается наследственными синдромами и внутриутробными пороками развития, требуется расширенная диагностика. В генетическом центре проводят полное обследование пациента и его ближайших родственников, по показаниям осуществляют кариотипирование, молекулярно-генетические исследования.
Дифференциальная диагностика
Меланоз Беккера по внешнему виду дифференцируют с гигантским меланоцитарным невусом, который возникает с рождения, имеет более насыщенный окрас и бугристую поверхность. Также по клиническим признакам исключают синдром Олбрайта-Мак-Кьюна-Штернберга, характеризующийся пигментацией цвета кофе с молоком и отсутствием оволосения пораженных участков. При гистологическом анализе проводится дифференциальная диагностика с пигментными невусами.

Лечение невуса Беккера
Малоинвазивные методы
Учитывая доброкачественный характер и безвредность заболевания, медицинская помощь требуется только для устранения косметического недостатка. Лечение проводится по желанию пациента. Способы борьбы с пигментацией подбираются индивидуально с учетом размеров, локализации и внешнего вида новообразования. К самым эффективным методикам относятся следующие:
Пациентам с невусом Беккера рекомендуют избегать длительной инсоляции и загара в опасные полуденные часы. В солнечные дни желательно наносить солнцезащитные кремы на открытые участки тела с пигментацией. Новообразование не стоит подвергать травматизации, постоянному трению одеждой, косметологическим процедурам, за исключением назначенных дерматологом.
Хирургическое лечение
При неэффективности или невозможности проведения малоинвазивных процедур рассматривают возможность оперативного удаления гиперпигментированных участков. К хирургическому вмешательству прибегают редко, поскольку оно оставляет видимые шрамы и требует широкого иссечения кожи по правилам онкологической настороженности. Операции используются при больших размерах невуса Беккера и дают 100% безрецидивное излечение.
Прогноз и профилактика
Невус Беккера отличается благоприятным прогнозом, поскольку он практически никогда не трансформируется в меланому. При этом у части пациентов развиваются психологические проблемы, особенно при большом размере пигментации и ее видимости для окружающих. Поскольку этиологические факторы патологии окончательно не изучены, первичные превентивные меры не разработаны. Пациентам показано регулярное наблюдение у дерматолога для контроля течения невуса.
1. Невусы у детей: органоидные эпидермальные невусы: клиническая картина, диагностика, лечение/ О.Б. Тамразова// Журнал «Педиатрия» им. Г.Н. Сперанского. - 2020. - №4.
2. Невус Беккера в практике дерматолога/ Ш.М. Гайнулин// Клиническая дерматология и венерология. - 2012. - №10.
Невус Ота
Невус Ота — темно-синее единичное пятно неправильной формы или группа сливающихся между собой пятен, которые располагаются в районе глаза, щеки и верхней челюсти. Как правило, носит односторонний характер. Пигментация может захватывать оболочки и склеры глаза, слизистые носа и глотки. Невус Ота относится к меланомоопасным пигментным невусам, хотя случаи его малигнизации довольно редки. Пациентам рекомендовано диспансерное наблюдение у дерматолога. Хирургическое лечение проводится при выявлении признаков озлокачествления невуса.

Невус Ота носит название по фамилии японского офтальмолога, который впервые подробно описал его. Другие названия невуса: глазо-кожный меланоз, окуло-дермальный меланоцитоз, факоматоз Ота-Сато. Невус Ота, как и монгольское пятно, встречается в основном у людей монголоидной расы. Отмечены отдельные случаи его возникновения у лиц негроидной и европеоидной рас.
Симптомы невуса Ота
Невус Ота представляет собой темно-синюю или черно-синюшнюю пигментацию кожи виска, нижнего века, скуловой области, верхней челюсти и щеки. Чаще всего локализуется с одной стороны лица, в редких случаях бывает двусторонним. Пигментация имеет равномерную окраску и может быть в виде единого пятна или состоять из нескольких переходящих друг в друга пятен. Встречаются невусы с различной интенсивностью окрашивания, от слабо заметной пигментации до уродливой яркой синевы.
Типичной является сопровождающая невус Ота пигментация радужной оболочки, склеры и конъюнктивы глаза, которая носит синюшний или коричневый оттенок. В отдельных клинических случаях наблюдается распространение пигментации на кайму губ, слизистую оболочку неба, горла, гортани и даже носа. Не смотря на то, что локализация невуса совпадает с зоной иннервации I и II ветвей тройничного нерва и может распространяться на структуры глаза, он не сопровождается никакими неврологическими или зрительными расстройствами.
Невус Ота бывает врожденным, появляется в раннем детском возрасте или в пубертатном периоде. В отличие от монгольского пятна, невус Ота не исчезает со временем, а остается на всю жизнь. В редких случаях невус Ота может подвергаться злокачественной трансформации с развитием меланомы кожи. При этом, как правило, в области невуса происходят видимые изменения: потемнение или осветление его окраски, неравномерность цвета, покраснение на границе невуса, размывание его контура, появление бугристостей, трещин или эрозий на его поверхности.
Диагностика невуса Ота
Диагностика осуществляется на основании типичной картины и локализации невуса, его дифференцировки от монгольского пятна, гигантского пигментного невуса, меланомы. Проводится сиаскопия пигментного образования, дерматоскопия, при необходимости - биопсия. Гистологическое исследование выявляет наличие меланоцитов в глубоких слоях дермы.
Лечение невуса Ота
В большинстве случаев невус Ота является косметической проблемой и требует постоянного применения маскирующих средств и макияжа. Учитывая редкие случаи малигнизации невуса и трудности его удаления в связи с локализацией на лице, современная дерматология, как правило, не проводит хирургическое лечение невуса Ота. Хороший косметический эффект дает удаление лазером. Необходимо постоянное наблюдение пациента у дерматолога для раннего выявления признаков перерождения невуса в меланому.
Изменение цвета, резкий рост пигментации или ее изъязвление, как правило, свидетельствуют о злокачественной трансформации (малигнизации) невуса. В таких случаях требуется срочное хирургическое вмешательство и рентгенотерапия образования.
Читайте также:
