Показания для МРТ головного мозга при головокружении. Головокружение и характерные изменения на МРТ
Добавил пользователь Владимир З. Обновлено: 22.11.2025
Чувство стреляющей боли возникает резко, внезапно, без видимых на то причин.
Признаки болезней головного мозга
Основой центральной нервной системы выступает головной и спинной мозг, которые.
Вазоневральный конфликт на МРТ
Нервная система обеспечивает восприятие всех сигналов: запах, вкус, зрительные.
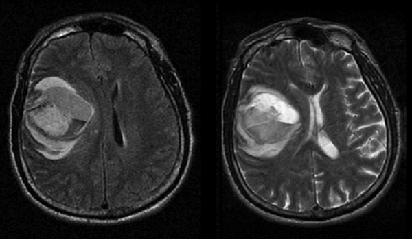
Опухоль головного мозга
МРТ при опухоли головного мозга дает возможность увидеть образование.
Как часто можно делать мрт
Как часто можно делать МРТ, зависит от органа, который нужно исследовать, а.
Записаться на МРТ головного мозга
Средняя цена
МРТ головного мозга от 3500 руб
Вам может быть интересно
Люди, занимающиеся спортом на профессиональном или любительском уровне, находятся в зоне риска. Этот вид деятельности находится на первом месте по числу травм острого и хронического характера. Особенно страдает опорно-двигательный аппарат, так как на него ложится основная нагрузка, приходятся прямые удары и другие приложенные силы, которые тело не всегда способно конструктивно выдержать.
Треть жизни офисного работника проходит в сидячем положении за компьютером. Такие люди редко успевают перекусить, ежедневно пребывают в стрессе и часто берут на себя больше обязанностей, чем могут осилить.
Травматизм стоит на первом месте в списке заболеваемости людей. Он считается главной причиной первичной инвалидности и гибели взрослого населения трудоспособного возраста, а также детей. Зачастую наивысший уровень травматизма приходится: у женщин на возраст от 30 до 59 лет и у мужчин в период с 20 до 49 лет.
В 2020 году мир поразила новая инфекция зооморфного бета-коронавируса COVID-19. Эта инфекция, передающаяся воздушно-капельным путем быстро достигла масштабов пандемии. Она опасна тяжелыми осложнениями, некоторые из них носят длительный характер и получили название "постковидный синдром".
Существует около 10 теорий этиологии остеохондроза. Они связаны с патологиями сосудов, гормональным дисбалансом, аутоиммунными процессами, повышенными механическими нагрузками, наследственной предрасположенностью. При юношеской форме этиофакторами становятся: быстрый рост, поднятие тяжестей, врожденная или приобретенная недостаточность хрящевой ткани, гиподинамия, неравномерные нагрузки.
Творческими способностями называется умение придумывать нестандартные или принципиально новые идеи, применять для решения задач привычные вещи необычным способом. Креативность является важным качеством при приеме на работу. Такие люди лучше ориентируются в разных обстоятельствах, легче воспринимают новое.
Показания для МРТ головного мозга при головокружении. Головокружение и характерные изменения на МРТ
или позвоните по телефону
Наши консультанты помогут в выборе клиники
Другие статьи
Простой способ предотвратить сахарный диабет, мигрень, гипертонию и остеопороз
Речь пойдёт о магнии в пище, воде и добавках. Это элемент, который широко.
Самое эффективное упражнение от простатита и аденомы: средство от ветерана
История, которую я сейчас рассказываю, основана на реальных событиях. Есть у.
Диагностика здоровья во время мобилизации
Что делать, если во время пребывания в запасе человек серьезно заболел, но не.
Кто попадает под мобилизацию по здоровью?
Имеют место случаи, когда в военном билете призывника отмечена основная.
Инсульт, который не видно на КТ
Важно понимать, что МРТ и КТ это принципиально разные исследования. И данный.
Показания для МРТ головного мозга у взрослых

Изображение головного мозга на МРТ снимках
Головной мозг человека - один из органов, выполняющий ряд важных функций в организме человека. Появление магнитно-резонансной томографии значительно облегчило процесс обследования и диагностики патологий, ставящих под угрозу жизнь пациентов. Существуют различные показания к МРТ головного мозга у взрослых. Только врач может распознать настораживающие симптомы заболеваний и назначить магнитно-резонансную томографию.
Метод отличается высокой информативностью и предназначен для получения точных снимков исследуемой области с целью подтверждения или опровержения предварительного диагноза. Без процедуры бывает сложно врачам определить природу патологических симптомов, беспокоящих пациента. Действие томографа основано на влиянии магнитных волн на молекулы воды, которые присутствуют во всех тканях человека. Реакции на высокочастотные импульсы регистрируют и обрабатывают с помощью программного обеспечения. Во время обследования магнитно-резонансный томограф делает срезы толщиной от 1 мм, что позволяет в деталях рассмотреть полученное изображение головного мозга на мониторе.
Качество визуализации области интереса выше, чем при компьютерном обследовании с помощью рентгеновских лучей. МРТ, в отличие от последнего, не имеет требований к периодичности проведения процедур. Благодаря магнитно-резонансной томографии головного мозга оценивают кровоток, состояние церебральных структур и оболочек, черепных нервов, сосудов. В процессе исследования может возникать потребность в повышении четкости изображения, так как увидеть патологию бывает трудно. Для улучшения визуализации вводят контрастное вещество на основе гадолиния. После распределения в межтканевой жидкости раствор накапливается в областях повышенного кровоснабжения, благодаря чему удается выявить скрытую патологию (чаще новообразование).
Метод обследования с помощью магнитных волн популярен в диагностике неврологических заболеваний, отличается неинвазивностью и безопасностью. Основные показания к МРТ головного мозга у взрослых лиц следующие:
- часто повторяющиеся головокружения;
- потери сознания;
- дезориентация в пространстве, изменения в поведении (в т.ч. при подозрении на психическое заболевание перед постановкой диагноза);
- резкое снижение остроты и/или сужение полей зрения, слуха, шум в ушах, мушки перед глазами;
- нарушения координации, речи и иных высших психических функций;
- подозрение на сосудистые патологии (аневризму, тромбоз, атеросклероз и пр.);
- эпилепсия или эпилептический синдром;
- перенесенный инсульт;
- постоянные головные боли;
- подозрение на наличие новообразований (добро- и злокачественных);
- состояние после травматических повреждений головы в подостром периоде и при хроническом характере патологии (от 14 дней);
- резкое ухудшение памяти;
- подозрение на инфекционную природу заболеваний (менингит, абсцесс и др.);
- нарушение чувствительности в туловище или в руках;
- парезы/параличи мышц;
- появление любых очаговых неврологических симптомов;
- пороки и аномалии развития внутричерепных мозговых структур;
- подозрение на демиелинизирующий или дегенеративный процесс (рассеянный склероз, болезнь Пика, Паркинсона и пр.).
В случае наличия любых вышеперечисленных симптомов, следует незамедлительно обратиться к доктору.

Изображение мозга на МРТ после кровоизлияния в опухоль
Своевременное обследование помогает выявить заболевание на ранних стадиях, что предотвращает развитие осложнений и дает шанс на быстрое излечение.
Когда нужно делать МРТ головного мозга?
Отвечая на вопрос для чего нужно МРТ головы, следует упомянуть, что поставить точный диагноз возможно только после проведения разностороннего обследования. При наличии неврологических признаков развития патологий, неэффективности проводимой терапии (отсутствие улучшения или явное ухудшение состояния) лечащий врач дает направление на диагностику с помощью магнитных волн. С помощью процедуры выявляют участки мозга с очагами воспаления, отслеживают вовлеченность в патологический процесс окружающих церебральных структур, уточняют течение дегенеративных процессов или количество фокусов демиелинизации, определяют степень прогрессирования заболевания головного мозга, размер и иные характеристики опухоли, присутствие метастазов. Часто МРТ используют для контроля состояния головного мозга после оперативных вмешательств и успешности проводимой терапии.
Магнитно-резонансную томографию головного мозга нужно делать, когда требуется подтвердить или опровергнуть предварительный диагноз:
- киста, опухоль, наличие метастазов;
- инсульт ишемической или геморрагической природы;
- последствия гематомы головного мозга в хронической стадии;
- аневризма,тромбоз, эмболия, вазоспазм;
- менингит, энцефалит и пр.;
- болезни Паркинсона, Альцгеймера и т.п.;
- склероз и другие патологии.
Кроме визуализации заболеваний мозга, магнитно-резонансная томография эффективна при оценке выраженности поражения различных отделов мозга, что позволяет сделать вывод о тяжести патологических процессов. Анализируя результаты МРТ, лечащий врач может отследить динамику состояния пострадавших вследствие разных патологий (менингит, инсульт, ишемия и пр.) структур. При эпилепсии и эписиндроме процедура позволяет обозначить пораженную область мозга. Бывают случаи, когда МРТ следует дополнять другими способами обследования . Для получения полной картины состояния сосудов головного мозга делают дополнительно УЗДГ или КТ-ангиографию. Для улучшения визуализации часто используют контрастное вещество. Последнее помогает более детально рассмотреть очаги поражения.
Не надо волноваться, если врач назначил магнитно-резонансную томографию. Что необходимо взять с собой для МРТ головного мозга детально рассказывает доктор (направление, удостоверение личности и результаты прошлых исследований).
Метод безболезненный и безопасный, во время процедуры больной не испытывает никаких неприятных ощущений.

Смоделированное изображение сосудов на мониторе после МРТ
Существуют абсолютные и относительные противопоказания к проведению данного сканирования. Почему не всем стоит делать процедуру, рассказываем ниже.
Категорически нельзя проводить МРТ в таких ситуациях:
- наличие в организме приборов, позволяющих поддерживать определенные функции органов (например, кардиостимуляторы, слуховые конструкции) - работа магнитного томографа оказывает негативное влияние на них, выводя из строя;
- установленные на сосудах головного мозга клипсы - во время обследования последние могут ослабить крепление, сместиться, что спровоцирует кровотечение;
- встроенные металлические имплантаты, пластины и пр. - есть риск изменения их положения под действием аппарата.
Относительными противопоказаниями к процедуре МРТ мозга считают:
- боязнь замкнутого пространства взрослыми - клаустрофобия может послужить возникновению неконтролируемого приступа паники. Предварительно нужно поговорить со специалистом об этой проблеме. Возможно, будут назначены успокоительные препараты для подавления нервной возбудимости;
- наличие на теле татуировок, в краске которых содержатся металлические частицы;
- ношение зубных коронок или брекетов взрослыми;
- беременность - влияние магнитных волн на плод до конца не изучено, поэтому этой категории пациентов рекомендовано воздержаться от магнитно-резонансной томографии, особенно в первом триместре. Можно ли МРТ головного мозга делать девушкам в положении решает только врач.
В медицинском центре «Магнит» во время обследования при необходимости используют специальный препарат, являющийся соединением гадолиния. Раствор обладает высокой подсвечивающей способностью, малой токсичностью и хорошей переносимостью среди больных. Редко (менее 1%) возникают индивидуальные реакции на препарат. Патологический участок на снимках МРТ виден четче, чем без применения контраста. Результаты сканирования дают возможность врачам поставить правильный диагноз и назначить эффективную схему лечения в каждом конкретном случае. Исследование занимает в общей сложности от 15 минут времени до получаса.
Что покажет МРТ при головокружении

Головокружение в практике врача-невролога является одной из частых жалоб. Некоторые данные медицинской статистики говорят, что это вторая по частоте причина обращения к врачу после головной боли. В 90% случаях, если пациент испытывает системные головокружения, невропатолог обязательно направит его на магнитно-резонансную томографию головы. А вот какое МРТ делать при головокружении, зависит от симптомов, сопутствующих этому состоянию, истории болезни и первичного диагноза. При головокружении направление на томографию может включать:
Что такое головокружение
- системное головокружение
- несистемное головокружение.
Головокружения также могут быть периферическими и центральными. Периферическое головокружение связано с поражением вестибулярного аппарата, связанного с внутренних ухом, лабиринтом, другими структурами, относящимися к ЛОР органам. Такое головокружение на практике встречается чаще, и его лечением занимается врач-отоларинголог. Центральное головокружение происходит от поражения нервных путей и структур головного мозга. Причин для этого довольно много - от инсульта, рассеянного склероза до травматических воздействий и опухолей, и в патогенезе этого недуга разбирается врач невролог.
БЕСПЛАТНАЯ
КОНСУЛЬТАЦИЯ О ДИАГНОСТИКЕ
Если сомневаетесь, запишитесь на бесплатную консультацию.
Или проконсультируйтесь по телефону
МРТ головы при головокружениях
Как правило, если Вы у себя наблюдаете головокружение, это может быть как простой реакцией организма на смену погоды, так и проявлением гораздо более грозного заболевания. Чтобы убедиться в том, что беспокоиться не о чем, лучше всего прийти на прием к неврологу или самостоятельно сделать базовую МРТ головного мозга и по его результатам, если нужно, записаться на консультацию к врачу. Существует множество заболеваний головного мозга. При этом всём многообразии патологических изменений есть общие закономерности развития болезни, обусловленные физиологией нервной ткани и течением типовых воспалительных процессов. Задача магнитно-резонансной диагностики головного мозга, опираясь на данные о структурных изменениях, сделать вывод в пользу конкретного заболевания, а также выявить причины его появления, построить прогноз и определить метод лечения в зависимости от стадии, формы и возможных осложнений.
У процесса магнитного резонанса есть большие диагностические возможности, на базе которых сконструирован магнитно-резонансный томограф. Работа его основана на изменении поведения молекул воды в магнитном поле. Как известно, молекула воды есть во всех внутренних структурах человека от крови до костей. Вода состоит из атомов кислорода и водорода. Ядро водорода имеет механический момент и, вследствие того, что это заряженная частица, оно может продуцировать электромагнитное поле. Эти сигналы улавливает томограф, оцифровывает и строит точные трехмерные изображения исследуемой области. Затем полученные томограммы интерпретирует рентгенолог, который в своем заключении описывает все обнаруженные аномалии и отклонения. Особенно эффективно магнитно-резонансная томография справляется с диагностикой большинства патологий головного мозга, поскольку мозг - это жидкая среда, насыщенная молекулами водорода. А это значит, что резонансный эффект при томографическом обследовании головы будет сильным, и МРТ снимки получатся очень четкими и информативными.
Противопоказания
Поскольку МР-установка - это, по сути, большой магнит, ей присущи все физические особенности магнита, а именно, притягивать металл. Поэтому, вход в диагностический кабинет, где стоит томограф, с металлом на теле или на теле запрещен. Например, Ваши металлические монетки, часы, очки, украшения легко выскочат из кармана и намертво пристанут к обшивке аппарата. Мощность магнитного поля томографа может даже сдвинуть металлические шифты, пластины, скобы, протезы в теле человека. А это грозит внутренним кровотечением.
Еще одна особенность магнитного поля - это способность выводить из строя любые электронные приборы. Поэтому, если Вам дороги ваш телефон, планшет, часы и другие гаджеты, лучше всего их оставить в комнате для подготовки к обследованию. По этой же причине МРТ исследование не делают людям со встроенными приборами жизнеобеспечения (кардиостимуляторы, инсулиновые помпы, ушные протезы). Иногда эмоциональное состояние и волнение пациента может стать причиной нерезультативного обследования. Для того, чтобы получились качественные МРТ снимки, пациент должен сохранять неподвижность в ходе сканирования. Если сильная боль или приступы клаустрофобии этому могут помешать, следует заранее принять обезболивающие и седативные препараты.
Читайте также:
