Показатели функционального состояния легких. Функциональная операбельность
Добавил пользователь Евгений Кузнецов Обновлено: 01.01.2026
На примере клинических случаев рассмотрены преимущества использования метода предоперационного определения индивидуальной морфо-функциональной операбельности хирургического пациента в зависимости от достижения определённого порога толерантности к нагрузке. Для прогнозирования периоперационных кардио-пульмональных осложнений применяют строго дозируемый велоэргометрический тест в виде трёхступенчатой физической нагрузки мощностью 50, 75 и 100 Вт с периодами отдыха до восстановления исходных параметров АД (мм рт.ст.) и ЧСС (в мин). Сочетанная первичная критическая реакция энергетического, а затем и патологический рост a-v разницы по кислороду в ответ на кардио-респираторный нагрузочный тест, позволяют идентифицировать порог толерантности к нагрузке, разделяя морфо-функциональную операбельность на низкую, среднюю и высокую. Представлен алгоритм использования метода, который заключается в трёхэтапности, повышении безопасности кардио-респираторного нагрузочного тестирования на каждом этапе исследования с использованием точного прямого признака оценки изменения метаболизма.
Ключевые слова
Предоперационное определение риска возникновения периоперационных кардио-респираторных осложнений, энергетический обмен.
Статья
Известен метод предоперационного определения риска возникновения периоперационных кардио-пульмональных осложнений (Пригородов М.В., 2018), который включает выполнение пациентом кардио-респираторного нагрузочного теста (Пригородов М.В., 2009). От привычных проб с физической нагрузкой (Poldermans D. et al., 2009; Guazzi M. et al., 2012; Kristensen, S.D. et al., 2014) кардио-респираторный нагрузочный тест отличается тем, что кроме стандартной оценки ответной реакции на нагрузку по общепринятым критериям ВОЗ (1971) - ЭКГ, ЧСС и артериального давления (АД в мм рт. ст.) в процессе ее выполнения регистрируют показатели первичной автономной реакции энергетического обмена с достижением критического уровня 1,14-1,92 ккал/мин в сочетании с патологическим повышением a-v разницы по кислороду 60-107 мл О2 /1000 мл крови, что отражает достижение порога толерантности к нагрузки.
В энциклопедическом словарь медицинских терминов В.И. Покровский (2005) даёт следующее определение морфологии функциональной - раздел медицины, изучающий связь структуры и функции органов, тканей, клеток и их органоидов. Под операбельностью, С.И. Ожегов, Н.Ю. Шведова (1999) понимают состояние больного, позволяющее провести хирургическое лечение или возможность оперировать больного. Тогда как P. Schlimmer (1987) считает, что операбельность это возможность выполнения хирургической операции с целью излечения пациента, независимо от возможности удаления опухоли. Из сказанного авторами можно сформировать термин морфо-функциональная операбельность, отражающий возможность пациента перенести предстоящее оперативное вмешательство в определённой анатомической зоне. Для анализа состояния неравновесной системы целесообразно проводить исследования на трёх этапах (Николис Г., Пригожин И., 1979; Князева Е.Н., Курдюмов С.П., 2002).
Недостаток данных методов: кардио-респираторное тестирование пациент выполняет на двух этапах - 50 и 75 Вт, с периодами отдыха между ними до восстановления исходных параметров гемодинамики - ЧСС и системного АД. При таком варианте кардио-респираторного нагрузочного тестирования не оценивают индивидуальную морфо-функциональную операбельность хирургического пациента в зависимости от достижения определённого порога толерантности к нагрузке.
Предлагаемый метод предоперационного определения морфо-функциональной операбельности заключается в трёхэтапности, повышении безопасности кардио-респираторного нагрузочного тестирования на каждом этапе исследования с использованием точного прямого признака оценки изменения метаболизма. Он достигается тем, что пациенты хирургического профиля выполняют велоэргометрический тест в виде трёхступенчатой физической нагрузки, причем первая ступень физической нагрузки составляет 50 Вт в течение трех мин, вторая ступень физической нагрузки - 75 Вт в течение двух мин, третья ступень физической нагрузки - 100 Вт в течение одной мин, после каждой ступени нагрузки пациенту предоставляется отдых до восстановления исходных параметров АД и ЧСС. При этом до и после выполнения теста определяют энергетическую потребность и артерио-венозную (a-v) разницу по кислороду, и сочетанное достижение значений энергетической потребности от 1,14 до 1,92 ккал/мин и a-v разницы по кислороду от 60 до 107 мл О2/1000 мл крови устанавливают порог толерантности к нагрузке, который расценивают как низкую морфо-функциональную операбельность на I ступени нагрузки, среднюю - на II ступени нагрузки и высокую - на III ступени нагрузки. Проводят контроль состояния пациента согласно критериям ВОЗ (1971), фиксируют показатели кардио-респираторной системы на протяжении всего теста, энергетический и кислородный обмен до и после теста. Вызванный кардио-респираторным нагрузочным тестом первичный автономный подъём энергетического обмена с достижением критического диапазона 1,14-1,92 ккал/мин в сочетании с патологическим повышением a-v разницы по кислороду от 60 до 107 мл О2 /1000 мл крови устанавливает порог толерантности к нагрузке с точной градацией пациентов на три ступени морфо-функциональной операбельности.
С целью демонстрации преимуществ использования метода предоперационного определения морфо-функциональной операбельности приводим случаи из клинической практики.
Пациент П. В.И., 76 лет. Рост 170 см, масса тела 70 кг. Диагноз: периферический рак правого легкого S3. Проведен кардио-респираторный нагрузочный тест за сутки до травматичной операции по следующей методике: 1 ступень велоэргометрической нагрузки мощностью 50 Вт в течение 3-х мин, 1-й отдых до восстановления исходных показателей АД (мм рт. ст.) и ЧСС (в мин); 2 ступень нагрузки мощностью 75 Вт в течение 2-х мин, 2-й отдых до восстановления исходных показателей АД (мм рт. ст.) и ЧСС (в мин); 3 ступень нагрузки мощностью 100 Вт в течение 1-й мин, 3-й отдых до восстановления исходных показателей АД (мм рт. ст.) и ЧСС (в мин). Контролировали самочувствие, субъективную реакцию пациента и выполняли мониторинг, учитывая общепринятые критерии ВОЗ (1971). Показатели кардио-респираторной системы изучали во время тестирования, а параметры энергетического и кислородного обмена фиксировали до и после выполнения теста. Получен сочетанный рост энергетического и кислородного обмена: энергетическая потребность составила 1,50 ккал/мин и a-v разница по О2 - 48 мл О2 /1000 мл крови. Полученные в ответ на кардио-респираторный нагрузочный тест названные параметры указывали на достижение порога толерантности к нагрузке 100 Вт, что соответствовало высокой морфо-функциональной операбельности. Особенностей, критических инцидентов и осложнений во время выполненной физической нагрузки не было отмечено. Выполнена операция под сочетанной анестезией с ИВЛ: пневмонэктомия справа. В периоперационном периоде критических инцидентов и осложнений не наблюдали. При выполнении кардио-респираторного нагрузочного тестирования отмечается его трёхэтапность и безопасность, повышается чувствительность оценки изменения метаболизма в виде сочетанного первичного критического сдвига вначале энергетического, а затем и патологического повышения a-v разницы по кислороду, определяется порог толерантности к нагрузке с последующей градацией на низкую, среднюю и высокую морфо-функциональную операбельность. Физическая нагрузка проводится под стандартным физиологическим, клиническим и инструментальным контролем, но с обязательным изучением сочетанной реакции и энергетического и кислородного обмена, с разделением на определённую морфофункциональную операбельность.
Пациент П. Ю.И., 62 лет. Рост 182 см, масса тела 99 кг. Диагноз: центральный рак нижней доли правого легкого. За сутки до предполагаемого травматичного оперативного вмешательства проведен кардио-респираторный нагрузочный тест: 1 ступень велоэргометрической нагрузки мощностью 50 Вт в течение 3-х мин, 1-й отдых до восстановления исходных показателей АД (мм рт. ст.) и ЧСС (в мин). Контролировали самочувствие, субъективную реакцию пациента и выполняли мониторинг, учитывая общепринятые критерии ВОЗ (1971). Показатели кардио-респираторной системы изучали во время кардио-респираторного нагрузочного тестирования, а параметры и энергетического и кислородного обмена фиксировали до и после выполнения теста. Сочетанный рост вначале энергетического - 1,20 ккал/мин, а затем и кислородного обмена - 71 мл О2 /1000 мл крови определил порог толерантности к нагрузке 50 Вт, который соответствовал низкой морфо-функциональной операбельности. Особенностей, критических инцидентов и осложнений во время проведенной физической нагрузки не было зафиксировано. Решено провести лечебную премедикацию, направленную на повышение морфо-функционального состояния кардио-респираторной системы. При этом отмечается безопасность тестирования, целесообразность сочетанной оценки первичного критического изменения вначале энергетического обмена, а затем патологического уровня a-v разницы по кислороду, позволяющие определить достижение порога толерантности к нагрузке с установлением уровня морфо-функциональной операбельности. Через 7 суток после выполнения лечебных мероприятий повторили дозированную физическую нагрузку за сутки до предполагаемого оперативного вмешательства, которая показала следующее.
Пациент П. Ю.И., 62 лет. Рост 182 см, масса тела 99 кг. Диагноз: центральный рак нижней доли правого легкого. Через 7 суток после лечебной премедикации и за сутки до оперативного вмешательства проведен кардио-респираторный нагрузочный тест по следующей методике: 1 ступень велоэргометрической нагрузки мощностью 50 Вт в течение 3-х мин, 1-й отдых до восстановления исходных показателей АД (мм рт. ст.) и ЧСС (в мин); 2 ступень нагрузки мощностью 75 Вт в течение 2-х мин, 2-й отдых до восстановления исходных показателей АД (мм рт. ст.) и ЧСС (в мин). Контролировали самочувствие, субъективную реакцию пациента и выполняли мониторинг, учитывая общепринятые критерии ВОЗ (1971). Показатели кардио-респираторной системы изучали во время кардио-респираторного нагрузочного тестирования, а параметры и энергетического и кислородного обмена фиксировали до и после выполнения теста. Нагрузка 75 Вт вызвала сочетанный рост вначале энергетического1,40 ккал/мин, а затем и кислородного обмена 55 мл О2 /1000 мл крови, что отражало достижение порога толерантности к нагрузке, с указанием на среднюю морфо-функциональную операбельность. Особенностей, критических инцидентов и осложнений во время проведения физической нагрузки не было зафиксировано. Выполнена операция под сочетанной анестезией с ИВЛ: резекция нижней доли правого легкого. После операции возник пароксизм фибрилляции предсердий по типу тахисистолии, с последующей гипотонией АД 100/60 мм рт. ст., который быстро купировали болюсным введением раствора кордарона в дозе 150 мг, с последующим профилактическим назначением данного антиаритмического средства. При выполнении нагрузочного тестирования при мощности 1-й нагрузки 50 Вт в течении 3-мин и второй в течении 2-мин 75 Вт с периодами отдыха после них, до восстановления исходного уровня АД (мм рт. ст.) и ЧСС (в мин) отмечается этапность, безопасность, целесообразность сочетанной оценки первичного критического изменения энергетического, установление патологического уровня a-v разницы по кислороду, отражающие достижение порога толерантности, указывающего на среднюю морфо-функциональную операбельность.
Физическая нагрузка проводится под стандартным физиологическим, клиническим и инструментальным контролем, но с обязательным изучением сочетанной реакции и энергетического и кислородного обмена.
Функциональная операбельность
В любой хирургии имеются следующие основополагающие понятия: резектабельность - возможность удалить больной орган и операбельность - возможность пациента перенести операцию.
В последние годы необходимость оценки функциональной операбельности становится все более очевидной, что обусловлено тем, что изолированной патологии легких становится все меньше. Обычно у пациентов, страдающих хирургической патологией легких, выявляется сердечная и сосудистая патология, нередки язвенная болезнь и патология печени, что значительно увеличивает риск послеоперационных осложнений при неподготовленной операции.
Для определения риска послеоперационных осложнений и летальности используются различные шкалы, ни одна из которых не позволяет полностью прогнозировать исход, однако определяет вероятность наступления послеоперационных осложнений.
Для оценки функциональной операбельности необходимо всестороннее обследование больного: сердечно-сосудистой, дыхательной, пищеварительной систем.
При исследовании данных систем используются такие методы как:
- спирография (бодиплетизмография) - при необходимости с пробой
- исследование диффузионной способности легких (по показаниям)

- ЭКГ-мониторинг (по показаниям)

- коронарография и ангиография церебральных артерий и артерий нижних конечностей (по показаниям)

- Эхокардиография и УЗДГ сосудов (артерий нижних конечностей, брахиоцефальных артерий, вен нижних конечностей - по показаниям).

- нагрузочные тесты (6-минутный, лестничный, СРЕТ)
- сцинтиграфия (по показаниям)
- оценка тяжести сопутствующей патологии (индекс Чарльсона)
- оценка функционального статуса пациента (ASA, ECOG, шкала Карновского)
На основании обследования вычисляются такие показатели, как прогнозируемые послеоперационные ОФВ1, DLCOи VO2max(ппоОФВ1, ппоVO2maxи ппоDLCO).
Определение операбельности производится по результатам обследования больного в соответствии с рекомендациями ESTS, BTSи ATS (европейского, британского и американского торакальных сообществ). В последнее время также используется шкала Thoracoscore, предложенная французскими врачами для оценки риска хирургического лечения у пациентов с патологией легких.
В нашем Центре имеется возможность всестороннего обследования функционального статуса пациента и оценки функциональной операбельности, что обусловлено наличием врачей различных специальностей в структуре многопрофильного стационара СПбГБУЗ «ГМПБ №2». На основании углубленных научных исследований, проведенных врачами нашего Центра, разработаны четкие алгоритмы оценки функциональной операбельности, надежные критерии для оценки риска хирургических операций. Использование этих параметров в нашей повседневной врачебной практике позволило существенно снизить послеоперационную летальность и частоту осложнений.
Рак легких. Симптомы, лечение, диагностика, операция.

Диагноз «рак легких» пугает, устрашает и обескураживает, но в этой статье мы попытаемся объяснить, почему этот действительно серьезный диагноз не должен заставить пациента опустить руки и сдаться, расскажем, как можно добиться хороших результатов лечения и в каких случаях после радикального лечения можно на многие годы забыть об этом заболевании.
Первым и основным условием эффективного лечения рака легкого является максимально быстрое обращение за медицинской помощью к врачам-специалистам. В соответствующем разделе этой статьи мы подробно обсудим способы лечения рака легкого, но забегая вперед, скажем, что хирургическая операция - самый эффективный метод лечения рака легкого. Но в нашей стране основной проблемой становится тот факт, что зачастую от момента появления опухоли в организме до обращения больного к торакальному хирургу проходит слишком много времени. Настолько много, что, когда пациент доходит до хирурга делать операцию уже поздно… Конечно «виновата» в этом и сама опухоль: рак легкого длительное время может протекать бессимптомно, рано давать метастазы. Но и наши пациенты в силу особенностей российского менталитета не обращают внимание на грозные симптомы, терпят до последнего, не хотят расстраивать близких и избегают обращения к врачам. С другой стороны после выявления опухоли (при флюорографии, рентгенографии, компьютерной томографии, бронхоскопии) обескураженному, потерянному пациенту и его родственникам предстоит пройти бесчисленное количество «комиссий» и «консультаций». Кто-то не выдержит этих бесконечных скитаний по кабинетам и махнет на все рукой, кому-то повезет и спустя 2-3 месяца его возьмут на лечение. Но 2-3 месяца для рака легкого - это непозволительная роскошь. За это время опухоль может увеличиться в размерах, дать метастазы и стать хирургически неудалимой (рис. 4). Именно поэтому в нашем Центре созданы все условия для того, чтобы максимально сократить путь больного от диагноза к лечению. Если мы видим, что у больного раком легкого есть шанс на радикальную операцию, то такие больные госпитализируются в наш Центр без очереди: от момента первой консультации до поступления в больницу проходит не более недели. Уже в стационаре в течение 10-12 дней проводится комплексное и всестороннее обследование больного, после чего принимается окончательное решение об оптимальном для конкретного пациента способе лечения.
Итак, какие же этапы обследования и лечения предстоит пройти больному с грозным диагнозом «рак легкого» для того чтобы добиться максимального результата? Условно все лечебно-диагностические методы можно разделить на три группы: подтверждение диагноза «рак легкого», определение стадии опухоли, выбор и проведение необходимого лечения.
• Подтверждение диагноза «рак».
Диагноз «рак легкого» часто устанавливается на основании данных рентгенографии, компьютерной томографии (КТ), позитронной эмиссионной томографии (ПЭТ). В качестве синонимов этого диагноза специалисты лучевой диагностики нередко используют термины «новообразование», «Neo», «Са» и т.д. (рис. 1, рис.2, рис.3).

Рис. 1. Рис. ПЭТ-КТ всего тела - современный высокоточный метод диагностики рака легкого и определения степени распространенности опухоли.
Рис. 2. КТ-картина периферической опухоли левого легкого. В ходе обследования у пациента выявлены множественные метастазы в лимфоузлах средостения, больному было проведено химио-лучевое лечение.

Рис. 3. Позитронная эмиссионная томография пациента О., 72 лет с большой периферической опухолью верхней доли правого легкого. При биопсии - плоскоклеточный рак. При видеомедиастиноскопии - метастазов в лимфоузлах средостения не выявлено. В апреле 2007 года пациент успешно прооперирован в нашем Центре в объеме расширенной верхней лобэктомии справа. При контрольном осмотре в 2013 году состояние больного удовлетворительное признаков, рецидива опухоли нет.
Однако, несмотря на высокую точность современных методов обследования, диагноз «рак легкого» остается предварительным и неокончательным (хоть и высоковероятным), до тех пора пока не выполнена надежная биопсия опухоли, то есть не получен кусочек новообразования для подробного исследования под микроскопом. Только после обнаружения в этом «кусочке» опухолевых клеток диагноз становится окончательным.
В нашем Центре используются современные малоинвазивные способы биопсии, которые позволяют установить диагноз как при опухолях крупных бронхов (центральный рак), так и при опухолях расположенных в периферических участках легкого. Основную роль в биопсии опухолей легких играет фибробронхоскопия, в том числе чрезбронхиальная (рис. 4, рис.5). Иногда приходится прибегать к различным способам чрезкожной игловой биопсии. В редких случаях ни один из современных методов диагностики не позволяет подобраться к неудобно расположенной опухоли. В таких ситуациях после полного обследования (включая КТ, ПЭТ, фибробронхоскопию) биопсия опухоли выполняется уже во время лечебно-диагностической операции.
Рис. 4. Фибробронхоскопия больного М., 59 лет с центральным раком левого легкого. Опухоль распространяется на трахею и хирургически неудалима. Для восстановления и поддержания просвета дыхательных путей в нашем Центре больному установлен саморасправляющийся стент в трахею, после чего пациент направлен на химиолучевое лечение.


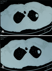
Рис. 5. У пациента К., 65 лет при компьютерной томографии выявлено периферическое образование в верхней доле левого легкого (А, Б). Для окончательной установки диагноза выполнена бронхоскопия с чрезбронхиальной биопсией (В), при которой подтверждена аденокарцинома (злокачественная опухоль) легкого. В марте 2013 года пациент успешно прооперирован в нашем Центре - выполнена расширенная видеоторакоскопическая верхняя лобэктомия слева.
• Определение стадии опухоли.
Пожалуй, ключевым моментом в предоперационном обследовании пациентов со злокачественными опухолями является определение стадии заболевания, то есть оценка степени распространенности рака (прорастание в окружающие органы, метастазы в лимфатические узлы и отдаленные органы). Именно стадия опухоли определяет прогноз и диктует выбор оптимальной тактики лечения. При раке легкого вопросы стадирования особенно остры и актуальны, так как цена решения о выполнении/невыполнении операции очень высока, а значит, от того насколько правильно и точно проведено стадирование зависит адекватность и эффективность лечения. Для предоперационного стадирования пациентов с раком легкого в нашем Центре разработан алгоритм, который согласуется с европейскими рекомендациями. У некоторых пациентов сочетание данных компьютерной томографии и позитронной эмиссионной томографии достаточно для определения стадии рака, однако в большинстве случаев для точного знания стадии необходимо прибегать к небольшой диагностической операции - видеомедиастиноскопии (рис. 6). Эта процедура нужна для биопсии лимфатических узлов средостения. Нами накоплен и проанализирован крупнейший в городе опыт использования видеомедиастиноскопии при раке легкого. Результаты нашего исследования показали, что выполнение видеомедиастиноскопии перед большой операцией на легком позволяет улучшить отдаленные результаты лечения.

Рис. 6. Видеомедиастиноскопия - диагностическая операция, по результатам которой выбирается тактика лечения, определяется целесообразность хирургического лечения. А - введение медиастиноскопа в средостение через маленький разрез кожи на шее. Б - выполнение биопсии лимфоузлов под контролем видеоизображения. В - эндоскопическая картина во время операции: 1 - левый главный бронх, 2 - правый главный бронх, 3 - бифуркационные лимфоузлы, 4 - легочная артерия. Г - операция завершается наложением косметичного внутрикожного шва, практически незаметного на коже.
В лечении рака легкого используются хирургическая операция, лучевая терапия, химиотерапия. Наиболее эффективным методом лечения при I-II стадии опухоли является хирургическое вмешательство, в ходе которого хирурги удаляют больную часть (долю) легкого или все легкое, а также лимфатические узлы средостения. При ранних стадиях рака легкого 5-летняя выживаемость после операции составляет 75-80 %. Для уменьшения травматичности необходимой больному операции в нашем Центре широко используются видеоторакоскопические вмешательства, которые позволяют существенно уменьшить операционную травму, послеоперационный болевой синдром, снизить частоту осложнений и существенно сократить восстановительный период.
При определении показаний к операции важно учитывать не только распространенность опухоли, но и возможность организма больного перенести необходимый объем операции, что в торакальной хирургии называется «функциональная операбельность». Мы уделяем большое внимание определению функциональной операбельности, для чего используются различные методы для оценки функциональных резервов организма.
В нашем Центре результаты обследования каждого пациента представляется на клиническом разборе и онкологической комиссии, где после подробного обсуждения выносится окончательное решение. Если оптимальным для больного является хирургическое лечение, операция незамедлительно выполняется торакальными хирургами нашего Центра (рис. 7). В тех случаях, когда вместо операции или после хирургического вмешательства пациенту необходима химиолучевая терапия, мы направляем больного в ведущие онкологические центры нашего города.

Рис. 7. Малоинвазивная радикальная операция при раке легкого - видеоторакоскопическая нижняя лобэктомия слева, выделение легочной артерии.
Чтобы записаться на консультацию к врачу по поводу диагностики и лечения рака легких в нашем центре -
Показатели функционального состояния легких. Функциональная операбельность
Цель исследования. Усовершенствовать способ определения функциональной операбельности при одновременных двусторонних резекциях легких путем упрощения прогнозирования объема ОФВ1 после операции. Материалы и методы. Для достижения поставленной цели были изучены истории болезни 259 пациентов, оперированных по поводу двустороннего деструктивного туберкулеза легких. Основную группу составили 129 пациентов, у которых были применены мини-инвазивные методы хирургического лечения. В группу сравнения вошли 130 пациентов, оперированных из стандартных доступов по общепринятым методикам. Разработанный способ прогнозирования функциональной операбельности при одновременных двусторонних резекциях легких включает спирографическое определение объема форсированного выдоха за 1 с до операции, математический расчет ОФВ1 после операции, интегральную оценку показателей вентиляции и перфузии легких на основании радиоизотопного исследования объема перфузии удаленных и оставленных сегментов легкого. Результаты. После 175 резекций и 32 торакопластик в группе сравнения ОДН диагностирована в 7 случаях, ЛСН - у 4 больных. В основной группе после 105 резекций и 34 торакопластик ОДН наблюдалась в 1 случае, ЛСН - также в 1. Сопоставление осложнений с клиническим состоянием до операции, состоянием ФВД и сердечной деятельности показало, что во всех случаях можно было отметить характерный ряд факторов, с учетом значений которых можно объективно прогнозировать развитие осложнений. В результате проведенных исследований установлено, что в прогнозе ОДН и ЛСН основное значение имеют показатели ЖЕЛ, МВЛ, ОФВ1. Выводы. Совершенствование способа определения функциональной операбельности, содержащего подсчет показателей ФВД методом спирографии и легочной перфузии с помощью радиоизотопного сканирования легких, а также изучения содержания газов в крови и электрокардиографических показателей позволяет достоверно спрогнозировать возникновение острой дыхательной и легочно-сердечной недостаточности в послеоперационном периоде у пациентов с двусторонним туберкулезом легких.
1. Елипашаев А.А., Елькин А.В., Шпрыков А.С. Эффективность экономных резекций легких у больных с лекарственно устойчивым туберкулезом // Туберкулез и болезни легких. 2015. № 4. С. 467-468.
2. Перельман М.И., Отс О.Н., Агкацев Т.В. Хирургическое лечение туберкулеза при устойчивости микобактерии к химиопрепаратам // Consilium Medicum. 2011. T. 13. № 3. С. 5-10.
3. Дьяченко Т.Ю. Математическое и физиологическое моделирование послеоперационного газообмена для прогноза операбельности легочных больных: дис. . канд. мед. наук. Москва, 1992. 212 с.
4. Yusuf N., Rauf C.P., Yusuf N. Surgery in pleuro-pulmonary tuberculosis: On the comeback trail. Astrocyte. 2017. vol. 4. no. 2. P. 111-124. DOI: 10.4103/astrocyte.astrocyte_67_17.
5. Shiraishi Y. Surgical treatment of multidrug-resistant tuberculosis. Kekkaku. 2010. vol. 85. no. 5. P. 258-260.
Наиболее тяжелым осложнением раннего послеоперационного периода в легочной хирургии является острая дыхательная недостаточность и прогрессирующее нарушение газообмена. Для прогноза функционирования дыхательной системы после резекции легкого необходимо оценить функциональные потери в результате операции и компенсаторные возможности организма [1].
Как правило, с этой целью используется метод определения функционального состояния удаленных и оставленных после операции сегментов легкого, включающий раздельное изучение функции правого и левого легкого, а также отдельных долей легкого [2, 3].
Однако особенности протекания раннего послеоперационного периода, а также функцию сегментов легкого, оставшихся после операции, невозможно прогнозировать только на основании прямых результатов суммарных и раздельных методов исследования функции, поскольку последние не дают необходимой информации о компенсаторных возможностях организма. С целью оценки возможностей пациента для компенсаторной перестройки системы дыхания более прогрессивным является метод прогноза функционирования легких после операции, в частности математический метод прогнозирования, основанный на установлении эмпирической связи между отдельными показателями системы дыхания до и после операции. Такой метод дает возможность определить степень восстановления функции дыхания после удаления пораженной доли легкого 5.
Известен способ прогнозирования функциональной операбельности при одновременных двусторонних резекциях легких, содержащий спирографическое определения ОФВ1 до операции и математический расчет ОФВ1 после операции. Расчет производится по формуле
ОФВ1 п/о = [1 - (bn) / (42 - n) х ОФВ1 д/о],
где ОФВ1 п / о - объем форсированного выдоха за первую секунду после операции;
ОФВ1 д/о - объем форсированного выдоха за первую секунду до операции;
b - общее число субсегментов в удаленной части легкого;
n - количество субсегментов с обструкцией.
Существенными недостатками указанного способа прогнозирования функциональной операбельности являются: невозможность до операции установить количество субсегментов с обструкцией, так как у фтизиатрических больных зона нарушения кровообращения в легких часто значительно превышает объем анатомических изменений. В этой связи при расчете используют данные по предполагаемому объему удаленных участков легкого, и применяемая математическая формула сложная и громоздкая. Также в данном способе прогнозирования не учитывается объем капиллярного кровотока в сегментах, так как формула не предусматривает использование данных радиоизотопного сканирования.
Цель исследования: усовершенствовать способ определения функциональной операбельности при одновременных двусторонних резекциях легких путем упрощения прогнозирования объема ОФВ1 после операции.
Материалы и методы исследования
Для достижения поставленной цели были изучены истории болезни 259 пациентов, оперированных по поводу двустороннего деструктивного туберкулеза легких. Основную группу составили 129 пациентов, у которых были применены мини-инвазивные методы хирургического лечения. В группу сравнения вошли 130 пациентов, оперированных из стандартных доступов по общепринятым методикам.
Проведенный анализ данных по половому и возрастному составу не выявил существенных различий в исследуемых группах (р > 0,05). Сопоставляемые клинические группы по формам туберкулеза, длительности заболевания, функциональным показателям, наличию, характеру и степени тяжести сопутствующей патологии различались недостоверно (р > 0,05).
Также недостоверными оказались различия в клинических группах при сравнении основных показателей распространенности и степени тяжести туберкулеза.
Нами была поставлена задача прогнозирования объема ОФВ1 после операции путем определения объема инфузии сегментов, которые удаляются и остаются, на основании результатов радиоизотопного сканирования легких (рис. 1).

Рис. 1. Радиоизотопное сканирование легких
Разработанный нами способ прогнозирования функциональной операбельности при одновременных двусторонних резекциях легких включает спирографическое определение объема форсированного выдоха за 1 с до операции, математический расчет ОФВ1 после операции, интегральную оценку показателей вентиляции и перфузии легких на основании радиоизотопного исследования объема перфузии удаленных и оставленных сегментов легкого. Объем ОФВ1 после операции рассчитывают по формуле
ОФВ1 п/о = ОФВ1 д/о х V / 100, (3.3)
где ОФВ1 п/о - объем форсированного выдоха за 1 с после операции;
ОФВ1 д/о - форсированного выдоха за 1 с до операции;
V - объем кровотока оставшихся долей легкого (в % к общему объему кровотока в легких).
Применение в качестве главного фактора расчета послеоперационных функциональных возможностей системы дыхания регионального кровотока обусловлено тем, что у фтизиатрических больных зона нарушения кровообращения в легких часто значительно превышает объем анатомических изменений. Это связано с диссеминацией казеозных очагов и зон пневмофиброза, пневмосклероза легочной ткани и сосудов вследствие хронического воспалительного процесса.
Результаты радиоизотопного метода исследования регионального кровотока, используемые в предложенной формуле, позволяют оценить не только функциональное состояние легочной ткани, но и установить до операции функциональную полноценность остающихся после резекции сегментов легкого.
Функциональная операбельность - это функциональная переносимость операции, решение вопроса о возможности функциональных систем легких пациента перенести предстоящую операцию. То есть функциональная операбельность - это проблема прогнозирования, для решения которой необходим анализ результатов комплексного обследования пациента перед оперативным вмешательством.
Расширение показаний к хирургическому лечению больных двусторонним туберкулезом легких неотвратимо повышает частоту послеоперационных осложнений, наиболее опасными из которых являются острая дыхательная недостаточность (ОДН) и легочно-сердечная недостаточность (ЛСН). С нашей точки зрения, в патогенезе ОДН после операции на легких помимо традиционных причин (ателектаз, пневмония и другие), существенное значение имеет плохая послеоперационная адаптация вследствие низких показателей ФВД. Именно прогнозирование уровня некоторых показателей ФВД в послеоперационном периоде дает возможность предотвратить развитие ОДН и ЛСН.
Результаты исследования и их обсуждение
С целью прогнозирования ОДН и ЛСН после резекционных и коллапсохирургических вмешательств по исходным функциональным показателям легких и сердца нами была изучена частота развития ОДН и ЛСН у пациентов обеих клинических групп. После 175 резекций и 32 торакопластик в группе сравнения ОДН диагностирована в 7 случаях, ЛСН - у 4 больных. В основной группе после 105 резекций и 34 торакопластик ОДН наблюдалась в 1 случае, ЛСН - также в 1. Сопоставление осложнений с клиническим состоянием до операции, состоянием ФВД и сердечной деятельности показало, что во всех случаях можно было отметить характерный ряд факторов, с учетом значений которых можно объективно прогнозировать развитие осложнений. В результате проведенных исследований установлено, что в прогнозе ОДН и ЛСН основное значение имеют показатели ЖЕЛ, МВЛ, ОФВ1. С целью установления оптимальных функциональных маркеров нами изучена динамика изменений показателей изменений внешнего дыхания и газов крови у больных в зависимости от вида и объема оперативных вмешательств. При выполнении одномоментной двусторонней резекции легких (ОДРЛ) наиболее чувствительным показателем явился ОФВ1, динамика которого прямо пропорциональна объему резецированной легочной паренхимы (табл. 1).
Так, градиент падения ОФВ1 через 10 суток после ОДРЛ колебался от 5,0 ± 1,2 (P ± mр %) при суммарном объеме резекции в 3 сегмента до 20,2 ± 1,6 при резекции 6 и более сегментов. Такой глубины падения не наблюдалось при исследовании показателей ЖЕЛ и МВЛ. Снижение ОФВ1 в данном случае отражает обструктивные сдвиги и в определенной степени зависит от мышечного усилия, которое прилагает пациент. Из табл. 2 видно, что показатель ОФВ1 снижался на 3-4 % от исходного значения, а отклонения ЖЕЛ и МВЛ от исходного значения составляли 25-32 %.
Динамика показателей ФВД в зависимости от объема операции при одномоментной двусторонней резекции легких
Научная электронная библиотека

Полноценность функционального состояния дыхательной системы является одним из важных элементов системы адаптации организма ребенка к факторам окружающей среды, так как обеспечивает непрерывный обмен воздуха между легочными альвеолами и окружающей атмосферой и может служить маркером выявления функциональных резервов (Сетко Н.П., Вахмистрова А.В., 2009).
Комплексность изучения функции внешнего дыхания не только по жизненной ёмкости лёгких, но и по десятку других показателей, таких как объём форсированного выдоха, объем форсированного выдоха за 0,5 секунды и первую секунду, резервный объём выдоха, индекс Тиффно, пиковая объемная скорость и т.д., в настоящее время возможна благодаря появлению на рынке производства медицинской техники современных микропроцессорных портативных спирографов. Такие приборы позволяют определить механические свойства аппарата вентиляции лёгких человека, в основу работы которых положена «Унифицированная методика проведения и оценки функционального исследования механических свойств аппарата вентиляции человека», утвержденная в 1996 г. Председателем секции пульмонологии МЗ РФ Н.В. Путовым в переработанной и дополненной редакции 1999 года. Спирографы позволяют провести качественную и количественную оценку изменений функционального состояния лёгких при массовых и эпидемиологических обследованиях детей и подростков.
Современные спирографы определяют следующие показатели вентиляции легких:
1. Показатели по тесту форсированного выдоха
1.1. Объем форсированного выдоха, ФЖЕЛ (л) - разница между объемами воздуха в легких в точках начала и конца маневра ФЖЕЛ.
1.2. Объем форсированного выдоха за первую секунду, ОФВ1 (л).
1.3. Резервный объем выдоха, РОфвыд - максимальный объем, который можно дополнительно выдохнуть после спокойного выдоха.
1.4. Резервный объем вдоха, РОфвд - максимальный объем, который можно дополнительно вдохнуть после спокойного вдоха.
1.5. Объем форсированного выдоха за первые 0,5 секунды, ОФВО,5 (л).
1.6. Индекс Тиффно - ОФВ1/ЖЕЛ %.
1.7. Пиковая объемная скорость, ПОС (л/с) - максимальная скорость потока, достигаемая в процессе форсированного выдоха).
1.8. Мгновенная объемная скорость в момент выдоха 25 % ФЖЕЛ, МОС25 (л/с).
1.9. Мгновенная объемная скорость в момент выдоха 50 % ФЖЕЛ, МОС50 (л/с).
1.10. Мгновенная объемная скорость в момент выдоха 75 % ФЖЕЛ, МОС75 (л/с).
1.11. Средняя объемная скорость выдоха, определяемая в процессе выдоха от 25 до 75 % ФЖЕЛ, СОС 25-75 л/с.
1.12. Объем форсированного выдоха до достижения ПОС, ОФВ ПОС (л).
1.13. Отношение ОФВПОС к ФЖЕЛ, ОФВПОС/ФЖЕЛ.
1.14. Время достижения пиковой объемной скорости, ТПОС (с).
1.15. Время форсированного выдоха, ТФЖЕЛ (с).
2. Показатели по тесту измерения жизненной емкости легких.
2.1. Жизненная емкость легких, ЖЕЛ, (л) - разница между объемами воздуха в легких при полном вдохе и полном выдохе.
2.2. Резервный объем вдоха, Ровд - максимальный объем, который можно дополнительно вдохнуть после спокойного вдоха.
2.3. Резервный объем выдоха, РОвыд - максимальный объем, который можно дополнительно выдохнуть после спокойного выдоха.
2.4. Дыхательный объем, ДО - объем, который выдыхается и вдыхается при спокойном дыхании.
2.5. Емкость вдоха, Евд - сумма ДО и Ровд.
3. Показатели по тесту минутного объема дыхания.
3.1. Дыхательный объем - средний объем воздуха, проходящий через легкие за один цикл вдоха-выдоха, при выполнении теста измерения минутного объема дыхания МОД.
3.2. Средняя частота дыхания в тесте МОД, ЧД.
3.3. Минутный объем дыхания, МОД - определяется как ДО?ЧД.
4. Показатели по тесту максимальной вентиляции легких.
4.1. Дыхательный объем, ДО мвл (л) - максимальный объем воздуха, проходящий через легкие за один цикл вдоха-выдоха при проведении теста максимальной вентиляции легких.
4.2. Максимальная частота дыхания в тесте МВЛ, ЧД мвл.
4.3. Максимальная вентиляция легких, МВЛ - определяется как ДО МВЛ?ЧД мвл.
Кроме того современные спирографы обеспечивают построение графиков процедур вдоха-выдоха: «поток-объём», «поток-время», «объём-время», а также приведение измеренных и вычисленных объёмных и скоростных показателей к стандартным газовым условиям (BTPS).
Встроенные микропроцессоры в спирографы позволяют выводить результаты обследования на лазерный принтер через интерфейсы USB или в нового поколения спирографов уже встроен принтер, печатающий результаты на термопленке.
Портативность, автоматический расчет показателей делает современные спирографы удобными и эффективными измерительными средствами в условиях массовых скриннинговых исследованиях, а возможность измерения и вычисления порядка 30 показателей механических свойств аппарата вентиляции лёгких человека и автоматическое формирование общего заключения интерпретации полученных результатов определяет его научную и практическую ценность в плане всестороннего изучения функционального состояния дыхательной системы в рамках эффективной донозологической диагностики здоровья детского и подросткового населения.
Читайте также:
