Постлучевые изменения на рентгенограмме, КТ грудной клетки
Добавил пользователь Валентин П. Обновлено: 01.01.2026
Компьютерная томография основана на ионизирующем рентгеновском излучении. Сканирование на томографе с возможностью построения 3D-реконструкций внутренних органов, сосудов и костей — высокоточный метод обследования, предпочтительный в ряде сложных ситуаций: после инсультов, при пневмониях, подозрении на онкологию. Однако такое обследование нельзя проходить часто.
В этой статье мы разберем, в чем заключается вред рентгеновского излучения и как уменьшить его влияние, если норма допустимого была превышена.
Чем вредно ионизирующее (рентгеновское) облучение?
По данным актуальных исследований библиотек РИНЦ и PubMed, а также в соответствии с действующими нормами радиационной безопасности населения РФ (НРБ), не рекомендуется облучается более чем на 15-20 мЗв в год. На новых КТ-аппаратах (МСКТ), в зависимости от исследуемых зон, это около 5-8 сканирований. На аппаратах старого образца из-за меньшего количества чувствительных датчиков, срезов и большего времени сканирования лучевая нагрузка выше.
После КТ радиоактивные элементы не сохраняются и не накапливаются в организме человека. X-ray лучи сканируют только зону интереса, и это длится 30-45 секунд.
Организм человека содержит необходимые ему химические элементы — водород, железо, калий и др. Распад этих элементов — тоже в своем роде является радиоактивным процессом, который происходит ежесекундно, на протяжении всей жизни человека. Некоторое количество радиации человек получает из атмосферы, воды, от природных радионуклидов. Это называется естественным радиационным фоном.
Доза радиации, полученная пациентом в рамках медицинских обследований не велика — это справедливо как для рентгена, так и для КТ. Однако организм каждого человека по-разному реагирует на воздействие x-ray излучения: если одни пациенты сравнительно легко переносят лучевую нагрузку, равную 50 мЗв, то для других аналогичной по воздействию будет нагрузка 15 мЗв.
Поскольку норма относительна, а порог, при котором негативного воздействия гарантированно не произойдет, отсутствует, принято считать, все виды исследований с применением ионизирующего излучения потенциально вредны. Организм взрослого человека более резистентен к радиации, а дети более чувствительны. Однако у некоторых пациентов имеются отягчающие факторы в анамнезе или индивидуальные особенности организма.
Например, по одним данным считается, что у годовалого ребенка, которому проводится КТ брюшной полости, пожизненный риск онкологии возрастает на 0,18%. Однако если ту же процедуру проходит взрослый или пожилой человек, то этот риск будет существенно ниже. Считается, что регулярное дозированное рентгеновское облучение даже полезно, поскольку организм адаптируется к лучевой нагрузке, и его защитные силы возрастают.
По данным другого исследования, проводимого на когортной группе детей в период с 1996 по 2010 гг. в США, «ежегодно по стране 4 миллиона детских компьютерных томографов головы, живота / таза, грудной клетки или позвоночника вызовут 4870 случаев рака. Этот процент уменьшится, если сократить количество исследований, доза облучения в которых превышает 20 мВз».*
*“The use of computed tomography in pediatrics and the associated radiation exposure and estimated cancer risk”, 2013 (Diana L Miglioretti , Eric Johnson, Andrew Williams, Robert T Greenlee)
Избыток радиации может стать спусковым механизмом для онкологии, дегенеративных нейрозаболеваний (болезнь Альцгеймера, болезнь Паркинсона). Беременным женщинам (даже если факт беременности еще не подтвержден, но существует вероятность вынашивания плода на данный момент) противопоказано дополнительное радиационное воздействие, то есть делать КТ в этот период можно только по жизненным показаниям, из-за риска тератогенного воздействия ионизирующего излучения на формирующийся плод.
Большинство медиков сегодня склоняются к мнению, что польза целесообразной компьютерной томографии несомненно превышает вред, однако уровень лучевого воздействия на организм, даже с целью медицинской диагностики, следует сводить к минимуму. Например, для наблюдения изменений легочных лимфоузлов или камней в почках диагностические изображения могут быть получены при дозе на 50-75 % ниже, чем при использовании стандартных протоколов. То есть в некоторых случаях могут быть применены низкодозные КТ-протоколы.
Метод КТ-диагностики для выявления фиброза легких
Когда заживление протекает неправильно, могут возникать рубцовые изменения, приводящие к тому, что орган не может функционировать в полном объеме.
Соответственно, фиброз легких представляет собой рубцовые изменения ткани легких. Количество клеток, способных насыщать кровь кислородом, уменьшается. Следовательно, снижается дыхательная эффективность — развивается дыхательная недостаточность, приводящая к интоксикации, сначала при нагрузке, при усугублении течения заболевания — в покое, а далее — даже во сне. Рубцовая ткань в легких не только обладает пониженными функциональными свойствами, но и служит прекрасной средой для развития присоединенных инфекций, например, таких как бактериальная (пневмококковая или стафилококковая) пневмония.
Фиброз легких — это исход воспаления тканей во время интерстициального (то есть с поражением межклеточной соединительной ткани) заболевания легких. К причинам развития подобного заболевания могут относиться травмы легких, высокая загрязненность окружающей среды, курение, вдыхание наркотических веществ, плесени, органической, асбестовой, кварцевой и угольной пыли, инфекционные, аутоиммунные, вирусные заболевания и их осложнения — бронхит, туберкулез, пневмония, COVID-19 и многое другое.
Еще недавно синонимом самих интерстициальных заболеваний был пневмофиброз, но, к счастью, было установлено, что не все варианты таких заболеваний легких являются фиброзирующими.
Самый сложный и практически не поддающийся лечению — первичный, или идиопатический фиброз легких — быстро прогрессирующее фиброзирующее заболевание легких, причина которого неизвестна.
Симптомы фиброза легких
Легочный фиброз характеризуется симптомами одышки и сухого кашля (редко продуктивного — с мокротой) при физической нагрузке, непрекращающейся болью в области грудной клетки, быстрой утомляемостью на фоне затрудненного дыхания, похудением без изменения диеты. При аускультации легких (выслушивании с помощью фонендоскопа) выявляются ранние (в фазе вдоха) инспираторные, то есть дыхательные хрипы, чаще всего локализующиеся в нижних задних зонах легких.
Фиброз может развиваться как в одном легком, так и в двух одновременно. Также возможны очаговая и тотальная формы фиброза. При тотальной форме зачастую требуется оперативное вмешательство, так как поражена большая часть легких. При очаговой форме изменения носят локальный характер.
КТ-диагностика фиброза легких
Золотой стандарт диагностики фиброза легких — компьютерная томография высокого разрешения. КТ-диагностика легочного фиброза позволяет достоверно выявить степень поражения легких, определить локализацию рубцовой ткани. Этот метод диагностики признан одним из самых чувствительных неинвазивных методов выявления легочного фиброза. Так, проведенные сравнительные исследования уже в 1990 году показали, что фиброз легких с помощью компьютерной томографии в режиме высокого разрешения (КТВР) был обнаружен в 91% случаев и только в 39% — с использованием рентгенографии органов грудной клетки.
При наличии фиброза легких в серьезной стадии на КТ виден паттерн (термин, принятый для обозначения патологических признаков в медицине) так называемого «сотового» легкого — это состояние видно на сканах как однотипные, расположенные в несколько рядов кисты, содержащие воздух, в пораженных частях одного или обоих легких. На ранних стадиях легочного фиброза подобная картина не наблюдается, поэтому потребовался поиск признаков на КТ, позволяющих выявить болезнь в ее начале. Одним из таких признаков оказалось наличие на снимках картины «матового стекла» — очагов незначительного уплотнения легочной ткани. Также специфические признаки фиброза у пациента можно обнаружить при проведении КТ легких с функциональными пробами. Так, один из признаков — субплевральное усиление периферического легочного интерстиция — ранее считался признаком отсутствия патологии. Подобные изменения практически невозможно отследить при помощи других методов аппаратной диагностики.
На данный момент точность методов КТ-диагностики растет благодаря введению новых протоколов исследований и тщательного изучения результатов многочисленных исследований. При этом ведущая роль в диагностическом процессе отводится врачу-рентгенологу, который трактует видимые изменения как легочный фиброз или его отсутствие. Поиск ранних лучевых признаков фиброзирующей болезни легких — ключевой момент для своевременного назначения противофибротической терапии.
Также именно мультисрезовая КТ при поставленном диагнозе используется для оценки скорости прогрессирования заболевания, выявления благоприятного и неблагоприятного типов фиброзных изменений, успеха лечения и правильности подбора терапевтический препаратов.
Что показывает КТ грудной клетки, подготовка, показания и противопоказания

КТ органов грудной клетки - усовершенствованный способ рентгенографической визуализации, который использует излучение для создания детальных изображений грудины, грудино-ключичных суставов, ребер, прилежащих мягких тканей и органов (в первую очередь, легких).
Исследование проводят, если после выполненной обычной рентгенографии причина жалоб осталась неясной или есть подозрение на патологический процесс в данной области. Компьютерная томография органов грудной клетки может быть выполнена в качестве альтернативы МРТ, если у пациента есть противопоказания к проведению магнитно-резонансного сканирования. Для лучшей визуализации возможно введение контрастного вещества. Основным преимуществом КТ является его способность одновременно демонстрировать кости, мягкие ткани (при контрастировании) и кровеносные сосуды.
Что показывает КТ грудной клетки

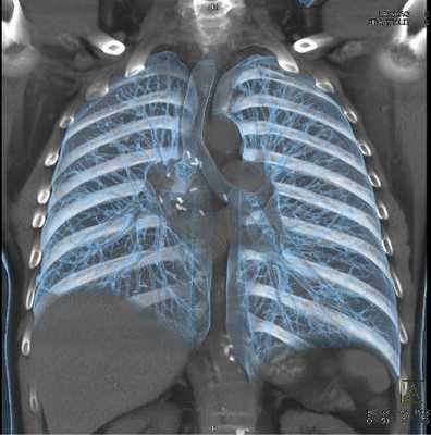
Мультиспиральная КТ грудной клетки, 3D-реконструкция
Специалисты выделяют в средостении три области: центральное (сосудистое пространство с перикардом и его содержимым, сосудами и лимфатическими узлами), переднее (жировая клетчатка, вилочковая железа, внутренние грудные артерии и лимфоидные ткани) и заднее (трахея, пищевод, нисходящая часть грудной аорты, лимфоузлы и паравертебральные пространства грудной клетки). Соответственно, все патологические процессы, которые протекают в данных зонах, могут быть видны.
Грудина, ребра и их сочленения - основные структуры передней стенки грудной клетки - подвержены различным анатомическим аномалиям и патологическим процессам, которые в некоторых случаях требуют лечения. Врач обосновано направит на диагностическую процедуру, если у пациента имеет место необъяснимый длительный кашель, загрудинные боли, кровохарканье, увеличение регионарных лимфоузлов, ограничение в движении плеча, скованность в области грудного отдела позвоночника и др. КТ органов грудной клетки и средостения может показать следующие изменения:
Остеоартроз (остеоартрит) - распространенная патология, затрагивающая чаще грудино-ключичные суставы. На компьютерной томограмме, в отличие от рентгенограммы, можно увидеть субхондральный склероз, кисты, сужение суставной щели и изменения в волокнистой хрящевой ткани диска. Серонегативные артриты, подагра и некоторые иные заболевания также могут затрагивать соединения отделов грудины между собой и с окружающими костными структурами, что убедительно видно на КТ.
Ранняя диагностика септического артрита грудино-ключичного сустава важна для своевременного начала лечения, так как существует высокий риск осложнений - целлюлита, остеомиелита, медиастинита, септического шока. В запущенных случаях можно увидеть абсцесс и формирование свищевого хода. Изменения, которые видны при КТ органов грудной клетки, включают воспалительные процессы в твердых структурах (разрушение суставных поверхностей, расширение суставной щели), в органах и тканях (диффузная инфильтрация, скопление жидкости, газа, размытость границ, реактивное увеличение лимфоузлов). Осложнившуюся пневмонию, плеврит, абсцесс легкого и мягких тканей грудной клетки можно диагностировать с помощью КТ. Исследование также показывает изменения со стороны сердца и клапанного аппарата.
Острые и травматические состояния.
В результате сильного физического воздействия (чаще - вследствие ДТП) возникают один или несколько переломов грудины. Компьютерная томография позволяет диагностировать сочетанные травмы (повреждения ребер, грудного отдела позвоночника, легких и сердца) и осложнения (легочные ателектазы, гемо- и пневмоторакс, гемоперикард). Спонтанные переломы грудины возникают при наличии новообразования (множественная миелома, метастазирование), остеопороза и могут имитировать острые коронарные заболевания. С помощью КТ грудной клетки возможна диагностика врожденных аномалий сосудов или приобретенных патологий: тромбоэмболии легочной артерии, диссекции аорты и пр. По данным КТ ОГК выявляют причины ишемии, дисфункцию сердечных клапанов.
После выполнения стернотомии (операция обеспечивает лучший доступ к сердцу) есть вероятность осложнений: расхождения краев раны, вторичный остеомиелит грудины или ребер, медиастинит и медиастинальная гематома, плевральный выпот. После хирургических вмешательств на сердце и сосудах могут развиться неблагоприятные последствия (инфицирование электродов кардиостимулятора, инфекционно-воспалительные осложнения и пр.). Эти состояния с помощью КТ дифференцируют с нормальными послеоперационными изменениями. У таких пациентов выполняют компьютерное сканирование в динамике. Осложнения могут присутствовать и после вмешательств на легких и прочих структурах. В экстренных ситуациях преимущество КТ - быстрота получения результатов.
Новообразования и метастазирование.
Большинство неопластических процессов грудины носит метастатический характер, что объясняется прямым проникновением из соседних органов или гематогенным путем. Рак молочной и щитовидной желез, легкого, почки, толстой кишки и лимфомы - самые распространенные источники метастазов грудины. КТ грудной клетки с контрастом - золотой стандарт в диагностике рака легких, позволяет увидеть изменения на начальной стадии, при которой возможно радикальное лечение. Компьютерное сканирование показывает также новообразования средостения, которые многообразны по морфологии и генезу. Наиболее часто встречаются тимомы, кисты, нейрогенные опухоли, злокачественные лимфомы. С помощью сканирования при дисфагии можно предположить рак пищевода, но во всех случаях окнчательный диагноз подтверждает морфологическое исследование.
Нередко пациенты задают вопрос: “Что сделать - КТ или МРТ органов грудной клетки?” К каждому исследованию есть свои показания и противопоказания, но способы часто являются взаимодополняющими. Специалисты диагностического центра могут подсказать, что предпочтительнее в каждом конкретном случае, но лучше, если на руках будет направление от лечащего врача.
Как делают КТ органов грудной клетки

Положение пациента во время КТ грудной клетки
На диагностическую процедуру необходимо предварительно записаться, но возможно выполнение в день обращения, по жизненным показаниям. Современные КТ-сканеры могут исследовать большие участки тела всего за несколько секунд, что особенно подходит для пациентов, испытывающих трудности с длительной неподвижностью и маленьких детей. Рентген-техник размещает пациента на столе, для обеспечения неподвижности возможно использование фиксирующих ремней и подушек. Излишняя мобильность приводит к появлению размытости на изображениях. Наблюдение за ходом процедуры ведется из смежного кабинета, через стекло. Для экстренных случаев есть кнопка связи с персоналом. Стол с пациентом скользит вглубь томографа, вокруг тела начинает вращаться множество рентгеновских датчиков, передавая изображения поперечного сечения грудной клетки на экран монитора. Снимки с помощью специальной компьютерной программы могут быть переформатированы в другие плоскости. Полученные в результате диагностики данные легко перенести на любой носитель или распечатать. Неприятных ощущений во время КТ органов грудной клетки и средостения нет, технический шум, который производит работающее оборудование, можно нивелировать, если воспользоваться наушниками. Сканирование длится менее минуты, вся процедура с подготовкой и укладкой занимает не более получаса.
Для улучшения визуализации в некоторых случаях (преимущественно, в диагностике злокачественных новообразований и для оценки динамики после проведения химиолучевой терапии) выполняют КТ органов грудной клетки с контрастом. Препарат вводят внутривенно, перед этим обязательно оценивают уровень креатинина в крови. Усиленная радиофармпрепаратом компьютерная томография помогает уточнить диагноз при туберкулезе (количество очагов, их расположение, состояние лимфоузлов), но окончательная верификация происходит после оценки результатов комплексного обследования (пробы Манту, диаскинтеста, и, при необходимости, биопсии). Воспаление и повреждение паренхимы легких обычно хорошо видны на КТ без контрастного усиления. Если есть опасения по поводу осложнений, радиофармпрепарат может помочь дополнительно определить степень выраженности патологического процесса.
КТ органов грудной клетки детям проводят исключительно по жизненным показаниям в специальных диагностических центрах при педиатрических клиниках.
Подготовка к исследованию

Перед прохождением диагностики убедитесь в отсутствии противопоказаний
Каких-либо длительных мероприятий подготовка к КТ грудины не подразумевает, для нативного исследования достаточно выбрать удобную одежду без металла, снять украшения. Если предстоит введение контрастного вещества, за 40-50 минут до начала процедуры необходимо неплотно перекусить, что поможет предотвратить или уменьшить вегетативные реакции (легкую тошноту, слюнотечение, головокружение). Пациенты, страдающие сахарным диабетом и принимающие Метформин, по согласованию с эндокринологом должны отказаться от препарата за 48 часов до процедуры. Во время лактации рекомендуют сделать запас молока на два кормления.
Показания и противопоказания к КТ грудины
КТ грудины входит в компьютерное сканирование грудной клетки. Диагностика не является рутинным методом обследования и выполняется, если причина заболевания остается неясной или изменения на рентгенограммах требуют уточнения.
Перечислим основные показания к КТ грудины и грудной клетки:
подозрение на патологический процесс в легких, плевре, сердце, грудине, суставах, средостении;
пред- и послеоперационное обследование;
определение зоны для лучевого воздействия при злокачественных новообразованиях соответствующей области;
отслеживание динамики после проведенного лечения.
Противопоказания к КТ грудины и грудной полости
Современная аппаратура позволяет минимизировать лучевую нагрузку по сравнению с обычной рентгенографией в 1,5-2 раза: КТ ОГК безопасна для большинства людей. Исключение - беременные женщины и дети в возрасте до 14 лет. По техническим причинам диагностическая процедура невыполнима у пациентов с выраженным ожирением (выше 150 кг).
Противопоказания к выполнению контрастирования:
хроническая почечная недостаточность с повышением уровня креатинина;
Введение индикаторного препарата недопустимо, если во время или после предыдущего контрастирования развилась серьезная реакция гиперчувствительности по типу отека Квинке или анафилаксии. Небольшая тошнота, металлический привкус, головокружение, приливы жара рассматриваются как вариант нормы и не являются противопоказаниями к КТ с усилением.
Фото томографии грудной клетки
Расшифровка снимков происходит в тот же день. Полученные изображения анализирует врач-рентгенолог, который и выдает заключение. Определить верный диагноз непросто, ведь среди нескольких десятков оттенков черного, серого и белого необходимо вычленить несоответствующий норме и интерпретировать результат. Представим Вашему вниманию несколько фото томографии грудной клетки:

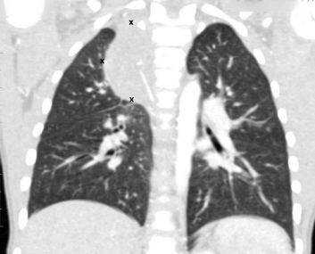
КТ без контраста у пациента с интерстициальным заболеванием легких в анамнезе и трансплантацией правого легкого показывает суженный участок анастомоза правого бронха (красная стрелка). Собственное левое легкое уменьшено в размерах, с признаками бронхоэктазов, бронхиолоэктазов (черная стрелка). Сужение центрального дыхательного пути на выдохе у трансплантированного легкого (синяя стрелка).

Выпот (красные стрелки) в обеих плевральных полостях.
Воспаление легочной ткани при лучевой терапии

Воспалительный процесс, развивающийся в альвеолах и легочном интерстиции под воздействием высоких доз ионизирующего излучения, называется постлучевым пневмонитом. Как правило, с таким заболеванием сталкиваются люди, получающие лучевую терапию по поводу онкологии. С клинической точки зрения данное воспаление проявляется приступами кашля и одышки, болью в груди, нарушением общего состояния и так далее. Прогноз при этом состоянии будет напрямую зависеть от площади поражения легочной ткани. При правильно подобранной терапии возникшие патологические очаги, имеющие небольшие размеры, зачастую претерпевают обратное развитие. Исходом запущенного постлучевого пневмонита становится массивный пневмофиброз, приводящий к выраженному нарушению дыхательной функции.
Постлучевой пневмонит также нередко называют радиационной пневмонией. По различным данным, с таким воспалением сталкиваются от пятнадцати до шестидесяти процентов людей, получающих лучевую терапию по поводу рака молочной железы или легких. Примерно в четырех процентах случаев это заболевание приобретает крайне тяжелое течение и приводит к летальному исходу. Стоит заметить, что иногда данный патологический процесс имеет скрытое течение и обнаруживается только при детальном обследовании. Как мы уже сказали, постлучевой пневмонит в запущенных случаях приводит к пневмофиброзу. Массивные склеротические изменения зачастую становятся причиной хронического легочного сердца и даже острой дыхательной недостаточности, которая угрожает жизни пациента.
Как известно, предельная переносимость легочной ткани находится в пределах от тридцати пяти до сорока грей. В среднем при проведении лучевой терапии по повод рака легких или молочной железы используется доза от семидесяти до восьмидесяти грей. В том случае, если ткани попадают под воздействие большей дозы ионизирующего излучения, в них развивается воспаление, которое в последующем и приводит к склеротическим изменениям.
Помимо дозы, существует ряд и других предрасполагающих факторов для развития данной болезни. В первую очередь — это возраст пациента. Согласно статистике, люди старше шестидесяти лет примерно в полтора раза чаще сталкиваются с постлучевыми осложнениями, нежели пациенты, находящиеся в возрастном диапазоне от сорока до шестидесяти лет. Кроме этого, дети в гораздо большей степени подвержены возникновению такого патологического процесса.
Еще один важный фактор — это локализация фокуса облучения. Как показывает статистика, с данным воспалением значительно чаще сталкиваются люди, у которых фокус облучения захватывает периферическую часть легких. В том случае, если лучевая терапия сочетается с химиотерапией или хирургическим лечением, вероятность развития этого заболевания вырастает в несколько раз.
Первоначально под воздействием ионизирующего излучения отмечается повреждение стенок альвеол и нарушение выработки сурфактанта. При такой болезни происходит спадение альвеол, образование тромбов и повышение проницаемости сосудистых стенок. Происходящие изменения приводят к выраженному нарушению газообмена. Спустя некоторое количество времени на месте погибших клеток начинает образовываться соединительная ткань. Наиболее выражены признаки фиброза в области межальвеолярных перегородок.
В классификацию постлучевого пневмонита включены четыре его степени тяжести. При первой степени клинические признаки выражены минимально. Жизненная емкость легких снижена не более чем на двадцать пять процентов. Вторая степень устанавливается тогда, когда симптомы приобретают более выраженный характер. Снижение жизненной емкости легких составляет уже от двадцати пяти до пятидесяти процентов. При рентгенографическом исследовании определяются очаговые затемнения. Третья степень характеризуется выраженными дыхательными нарушениями. Тени на рентгенограмме соответствуют зоне облучения. Данное воспаление, имеющее четвертую степень, подразумевает под собой снижение жизненной емкости легких более чем на семьдесят пять процентов.
Симптомы при постлучевом пневмоните

Наиболее ранним симптомом при постлучевом пневмоните является кашель. Он может иметь различный характер, вплоть до мучительных приступов. В некоторых случаях кашель является сухим, а в других — сопровождается отхождением обильной слизистой мокроты. Иногда в мокроте можно определить прожилки крови. Еще одним характерным клиническим проявлением является одышка. Ее характер также значительно различается в каждом конкретном случае. При легком течении заболевания она возникает при физической нагрузке, а при тяжелом — присутствует даже в состоянии покоя.
Дополнительно обнаруживаются такие симптомы, как боль, локализующаяся в грудной клетке, и нарушение общего состояния больного человека. Стоит заметить, что боль в груди присутствует не всегда. В некоторых случаях она появляется эпизодически, а в других — становится постоянной. Пациент указывает на слабость, быструю утомляемость, головные боли и повышение температуры тела.
Диагностика и лечение болезни

Данная болезнь может быть заподозрена уже на основании сопутствующих жалоб в совокупности с имеющимися сведениями о проведенной лучевой терапии. План обследования включает в себя физикальное исследование, рентгенографию легких, общий анализ крови. Наиболее информативным методом является компьютерная томография, которая позволит точнее определить границы поражения.
При таком воспалении назначается комплексное лечение. Прежде всего, используются ингаляционные глюкокортикостероиды, назначающиеся коротким курсом. Дополнительно назначаются антикоагулянты, ангиопротекторы, отхаркивающие средства, витамины. При подозрении на присоединение вторичной инфекционной флоры применяются антибактериальные препараты. Также показаны физиотерапевтические процедуры, дыхательная гимнастика и так далее.
Профилактика развития воспаления
Основными методами профилактики являются рациональный подбор дозы ионизирующего излучения, систематический контроль за показателями крови и общим состоянием больного человека при проведении лучевой терапии.

Ответив на вопросы теста, вы узнаете, подвержены ли одному из самых распространенных недугов курильщиков — хронической обструктивной болезни лёгких (ХОБЛ).
КТ органов грудной клетки, что показывает, с контрастом или без

КТ органов грудной клетки - высокоинформативное рентгенологическое исследование, которое позволяет установить диагноз в самых тяжелых случаях. Врач назначает компьютерное сканирование, если есть жалобы со стороны сердца, легких, костно-суставных структур данной области, подозрение на опухолевый процесс и пр. КТ грудной клетки может выполняться нативно (без усиления), этого достаточно для оценки легких, но необходимость четкой визуализации сосудов, новообразований и степени их инвазии (проникновения в соседние ткани) подразумевает введение контрастного препарата.
Что показывает КТ
КТ органов грудной клетки показывает патологические процессы в средостении, легких, последствия травм, состояние лимфоидной ткани, индивидуальные анатомические особенности, которые помогают в планировании операции и пр. С помощью КТ можно наблюдать за болезнью в динамике, в том числе после выполненной терапии.
МРТ или КТ органов грудной клетки
Часто пациентов волнует вопрос: “Что лучше - КТ или МРТ?” Специалисты считают, что эти два исследования дополняют друг друга. Компьютерное сканирование подразумевает использование рентгеновского облучения, а при МРТ изображения получают благодаря магнитному полю. Лучевая нагрузка на организм нежелательна в период гестации и в детском возрасте до 14 лет, а магнитно-резонансное обследование невозможно сделать пациентам с установленными имплантами (кардиостимуляторами, инсулиновыми помпами, ортопротезами и пр.). КТ длится несколько минут, что делает ее незаменимой в ургентных ситуациях - при травмах, кровотечении, сердечно-сосудистых катастрофах.
В КТ органов грудной клетки входит оценка следующих органов и структур:
трахеи, бронхов, легких и плевры;
сердца и сосудов;
грудины, ребер и грудного отдела позвоночника;
Эти же структуры видны на МР-томограммах, но в диагностике патологий костной ткани КТ остается исследованием выбора.

В клинике “Магнит” установлен современный и безопасный томограф Siemens Somatom Emotion (16-срезовой)
В назначенное время пациента укладывают на стол томографа в горизонтальное положение. Для обеспечения неподвижности могут использовать фиксирующие ремни и валики, это необходимо для предотвращения артефактов (дефектов) на пленках, которые затрудняют диагностику. Если КТ органов грудной клетки (ОГК) выполняют с контрастированием - вводят внутривенно фармпрепарат одномоментно или болюсно (с помощью инжектора, который подает усилитель в определенные фазы исследования).
Стол перемещает пациента вглубь томографа, внутри кольца которого вокруг исследуемой области начинают вращаться датчики, улавливающие ответ органов и систем на ионизирующий поток частиц, испускаемых лучевой трубкой. Данные передаются на компьютер, а специальная программа выстраивает изображения. Современная МСКТ (мультиспиральная компьютерная томография), использующая множество детекторов, позволяет минимизировать лучевую нагрузку, что делает безопасным прохождение обследования для большинства пациентов. Болевых ощущений нет, для нивелирования механического шума от работы оборудования можно воспользоваться наушниками. Общение с персоналом проходит по громкой связи, под рукой есть ”тревожная кнопка”. Исследование занимает 15-20 минут, после КТ органов грудной клетки пациент может заниматься привычными делами.
КТ органов грудной клетки при туберкулезе
Очаговые изменения на КТ легких, подозрительные на туберкулезное поражение (выделено красным)
Туберкулез поражает пациентов любого возраста и пола, легкие вовлекаются в процесс наиболее часто. Болезнь считают социально опасной, так как при несвоевременной диагностике открытой формы (выделение микобактерий в окружающую среду при кашле) высок риск инфицирования окружающих людей. КТ органов грудной клетки при туберкулезе назначают в следующих ситуациях:
скрининговая рентгенография показала подозрительные на рассматриваемую патологию изменения;
у пациента положительные результаты лабораторных анализов на туберкулез (проба Манту, диаскинтест) при неоднозначных признаках на флюорограмме;
отслеживание динамики после проведенной специфической терапии;
в качестве предоперационной диагностики для выявления анатомических особенностей кровоснабжения и иннервации очагов, локализации патологии.
КТ органов грудной клетки с контрастированием

Болюсное контрастирование позволяет получить высококачественные томограммы, обеспечивая поступление препарата в нужные фазы исследования
Введение контраста при КТ - необходимая мера, если запланировано исследовать сосуды, мягкие ткани, выяснить местоположение опухоли и ее взаимоотношения с близлежащими структурами или метастазирование. МРТ для диагностики неопластических процессов предпочтительнее, но компьютерная томография помогает установить причину, когда к проведению магнитного сканирования есть противопоказания. КТ органов грудной клетки с контрастом способствует получению более информативных томограмм для оценки патологий сосудов. Выполнить дифференциальную диагностику заболеваний, анализируя результаты снимков, полученных после усиления, легче. Врачам часто приходится по данным КТ ОГК различать изменения, типичные для туберкулезной каверны, от раковой опухоли, бронхоплевральный свищ от абсцесса легкого, эмфизему от напряженной кисты и пр.
Подготовка к КТ органов грудной клетки с контрастом:
сдача анализа крови на уровень креатинина (можно сделать экспресс-методом за дополнительную плату перед исследованием в диагностическом центре “Магнит”);
перерыв в приеме сахароснижающих препаратов (Метформин и его аналоги) после разрешения эндокринолога;
отказ от лактации на 12 часов после выполнения КТ органов грудной клетки с введением контраста и предварительный запас молока на два последующих кормления.
КТ органов грудной клетки средостения
В центральной части грудной полости может развиваться множество патологий, которым необходима рентгенологическая оценка. КТ органов средостения - синонимичное название компьютерного сканирования грудной клетки: на томограммах видны все структуры, заключенные внутри реберно-грудинного каркаса.
КТ органов грудной клетки детям

КТ детям проводят в исключительных ситуациях, угрожающих жизни
Низкодозовую КТ органов грудной клетки детям выполняют по жизненным показаниям, если другие, не связанные с рентгеновским облучением, способы визуализации недоступны. Направление на КТ ребенку выдает консилиум врачей, чаще диагностику выполняют во время госпитализации в профильные педиатрические клиники. Основные причины для прохождения компьютерной томографии у детей:
опухоль органов грудной полости;
легочная форма туберкулеза;
диагностика врожденных пороков развития респираторных путей;
вдыхание инородного тела.
Обеспечение неподвижности во время исследования в несознательном возрасте требует выполнения седации. Диагностическая процедура проходит под наблюдением реаниматолога-анестезиолога.

Неплотный прием пищи предотвратит неприятные ощущения, которые могут развиться на введение контрастного препарата
Нативная КТ ОГК в экстренной ситуации может выполняться без всякой подготовки, но напомним о некоторых нюансах, которые сделают диагностическую процедуру более комфортной и информативной:
Одежда. Учитывая, что придется несколько минут лежать на столе, для удобства выберите просторное платье, свободные брюки и свитер. Если после КТ необходимо вернуться на работу, подразумевающую дресс-код, перед исследованием можно переодеться в специальный одноразовый халат. Все металлические детали (включая украшения, косточки бюстгальтера, пирсинг) приводят к появлению артефактов, поэтому их снимают перед процедурой.
Еда. Не стоит объедаться перед исследованием. На это есть две причины: переполненный желудок приведет к дискомфорту, сдавит органы грудной полости и сделает невозможным введение контраста из-за риска рвоты. Даже если Вы идете на КТ ОГК без усиления, часто после оценки нативных томограмм (при визуализации подозрительных объектов), может потребоваться контрастирование. Нельзя приходить на обследование голодным: фармпрепарат провоцирует развитие у некоторых людей вегетативных реакций: тошноты, слюноотечения, головокружения, поэтому оптимальным будет легкий завтрак.
Все выписные эпикризы, результаты предыдущих исследований и направление от врача возьмите с собой.
Показания и противопоказания

Врач перед направлением на рентгеновское исследование учитывает соотношение риска и пользы от диагностики
Показания к КТ органов грудной клетки - жалобы со стороны легких и органов и структур средостения, которые нельзя трактовать однозначно после оценки результатов первичных исследований: рентгенографии, УЗИ и пр. КТ ОГК можно сделать в качестве дополнительной диагностики, если есть:
кровохарканье, одышка, снижение дыхательных экскурсий грудной клетки, кашель, хрипы;
ограничение подвижности и боль в суставах плечевого пояса, грудного отдела позвоночника, пальпируемые образования и посттравматические боли в области грудной клетки, крепитации ребер (характерный хрустящий звук при переломах) и пр.;
затрудненность при глотании, в случае подозрения на стеноз пищевода;
загрудинные боли, усиливающиеся при движении, чувство нехватки воздуха;
увеличение шейных, надключичных и подключичных лимфатических узлов.
Противопоказания
Компьютерная томография не является преимущественным исследованием для беременных и детей младше 14 лет. КТ с контрастом стараются не проводить этой категории лиц и пациентам с отягощенным анамнезом, в который входит:
гиперфункция щитовидной железы;
аллергия на йодсодержащие вещества;
урологическая и нефрологическая патология с нарушением функции почек;
сердечно-сосудистые заболевания в стадии декомпенсации.
Результат КТ ОГК будет готов через 90-120 минут, в диагностическом центре “Магнит” в СПб полученные данные в сомнительных ситуациях оцениваются коллегиально. Представим на обозрение несколько томограмм, которые демонстрируют патологические процессы в грудной клетке:

КТ органов грудной клетки демонстрирует опухоль средостения (границы выделены маркерами)
Читайте также:
