Повышение чувствительности цветовой допплерографии. Цветовая допплерография на ранних сроках беременности
Добавил пользователь Евгений Кузнецов Обновлено: 31.10.2025

Если подошло время очередного скрининга, врач может назначить доплер УЗИ при беременности. Не все будущие мамы знают, зачем нужен этот дополнительный метод исследования, и волнуются — все ли в порядке с малышом. Переживать не нужно, доплер — это один из методов ультразвукового исследования, он оценивает не строение органов и тканей, а кровоток в крупных сосудах как плаценты, так и пуповины и тела ребёнка. Это исследование позволяет сделать вывод — получает ли малыш достаточное количество кислорода и питательных веществ.
Общие принципы исследования
Во время беременности доплерография может использоваться для оценки кровотока в матке матери или, чаще, кровообращения у плода. Ток крови в артериях имеет иной внешний вид, чем в венах. Венозный отток в основном равномерный, без изменений во время сердечного цикла, если только у плода нет неблагоприятной клинической ситуации, такой как ограничение внутриутробного развития.
Артериальный кровоток совсем другой. Независимо от оцениваемой артерии скорость крови, проходящей через артерию, будет изменяться в течение каждого сердечного цикла. Она будет максимальной, когда сердце первоначально выталкивает кровь из левого желудочка в период систолы. Затем желудочек снова начинает заполняться, что называется диастолой. На экране врач видит графики, которые сравнивает с нормативами, делая заключение после процедуры УЗИ.
Проведение доплер УЗИ при беременности

Доплеровское сканирование измеряет кровоток через пуповину и в различных частях тела ребёнка, таких как головной мозг и сердце. Это помогает оценить, получает ли он весь кислород и питательные вещества, в которых нуждается, через плаценту и пуповину. Доплер УЗИ при беременности проводится во время обычного исследования, так как используется то же оборудование. Большинство современных аппаратов, которые применяются в клиниках, имеют дополнительную возможность проведения доплерометрии.
Врач, проводящий сканирование, нанесет немного геля на живот будущей мамы и переместит датчик на кожу. Датчик посылает звуковые волны, которые отражаются от клеток крови в сосудах ребёнка, что позволяет отразить на экране в реальном времени кровообращение внутри сосудов. Врач видит, как течет кровь, с какой скоростью и в каком направлении. Это дает наиболее полное представление о том, как развивается малыш.
Доплер УЗИ при беременности займет всего несколько минут во время планового осмотра. Врач сразу же напишет заключение, отметив все нюансы, выявленные во время процедуры.
Безопасно ли доплеровское сканирование?
Как и любое ультразвуковое исследование, доплеровское сканирование безопасно, если его выполняет специалист на профессиональном оборудовании. Оно позволяет получить четкое представление о здоровье и особенностях развития, кровообращении ребёнка. Но доплерография не должна использоваться до 24 недель. Обычно она проводится в конце второго либо в третьем триместре.
Зачем нужно доплеровское сканирование?
Врач, наблюдающий будущую маму во время беременности, может порекомендовать сделать доплеровское сканирование, если есть определенные проблемы со здоровьем или выявлены отклонения в развитии плода. Также доктор рекомендует доплер, если у будущей мамы низкий или высокий ИМТ, она беременна близнецами, ранее были выкидыши, мертворождение или пороки развития плода.
Исследование показано, есть у матери имеется заболевание, например, диабет или высокое кровяное давление, у нее отрицательный резус-фактор, и есть риск конфликта, женщина курит. Доплерометрию рекомендуют, если рост ребёнка отклоняется от нормативных значений, он слишком маленький или, наоборот, крупный для своего срока.
Если вес и рост малыша очень малы, сканирование позволяет определить, нормально ли работает плацента и обеспечивает ли она ребёнка достаточным количеством кислорода и питательных веществ.
Что смотрит врач во время доплеровского сканирования?

Врач УЗИ будет проверять различные области, в зависимости от того, какая информация нужна о течении беременности и развитии ребёнка.
Доплерография маточных артерий. Это сосуды, по которым кровь поступает в матку. При исследовании оценивается, достаточное ли количество крови достигает плаценты. Растущему ребёнку нужно много питательных веществ и кислорода, чтобы его органы и ткани правильно формировались. Поэтому стенки маточных артерий должны быть эластичными, чтобы пропустить как можно больше крови. При беременности эти относительно маленькие артерии увеличиваются в размерах, чтобы через них протекало больше крови. Это называется снижением сопротивления. Если кровь не может легко проникнуть в плаценту, малыш недополучает необходимые ему питательные вещества и кислород через пуповину. Доплерография маточных артерий также показана, если высока вероятность развития преэклампсии, которая влияет на эффективность работы плаценты.
Доплерография пупочной артерии. Если врач считает, что ребёнок медленно растет, на него влияют резус-антитела, или женщина носит двойню, может понадобиться исследование пупочной артерии. Оценивается кровоток от тела ребёнка через пуповину к плаценте. Если при доплеровском сканировании пупочной артерии обнаружены какие-либо проблемы, врач может провести дополнительные доплеровские сканирования для анализа кровотока в мозге ребёнка и его аорте, которая является главной артерией в его теле.
Если какое-либо из сканирований показывает, что ребёнок не получает достаточного количества питательных веществ или кислорода, ваш врач может назначить необходимое лечение или посоветовать готовиться к родам раньше срока.
Зачем нужны частые УЗИ?
По мнению исследователей, дополнительные УЗИ, в том числе с доплером, проводимые в третьем триместре, могут помочь в выявлении пропущенных ранее аномалий в развитии плода. Недавно в журнале Ultrasound in Obstetrics & Gynecology были опубликованы результаты исследования с участием более 50 тысяч будущих матерей. Ученые сообщили, что у каждой 200-ой женщины были выявлены аномалии в развитии плода только дополнительных поздних исследованиях УЗИ, на сроке в 35-37 недель. При этом женщины проходили УЗИ и ранее, в положенные сроки первого и второго триместров.
Только около 68% пороков выявляются в ходе первых УЗИ, большинство из них подтверждаются при втором скрининге. Примерно 0,5% пороков все же пропускается и определяется уже ближе к родам.
Вредно ли УЗИ на ранних сроках беременности?

В современном акушерстве ультразвуковое исследование (УЗИ) — это один из самых информативных способов диагностики. В то же время бытует весьма распространенное мнение о том, что УЗИ на ранних сроках беременности может быть вредно. И многие женщины отказываются от проведения такой диагностики, переживая за здоровье ребёнка и успех вынашивания. Другие будущие мамы придерживаются абсолютно противоположной точки зрения, записываясь на УЗИ как можно чаще, надеясь держать развитие плода под контролем. На самом деле, обе эти крайности являются ошибочными.
Что такое УЗИ?
Чтобы разобраться, вредно ли УЗИ на ранних сроках беременности или можно проводить его регулярно без опаски, нужно понять, что собой представляет этот способ диагностики. Ультразвук является по своей сути очень высоким звуком — человеческое ухо не в состоянии его воспринимать. Ультразвуковые волны способны проникать сквозь препятствия, частично от них отражаясь. Прибор УЗИ продуцирует сигнал с высокой частотой колебания, после чего он с разной интенсивностью отражается от различных тканей. Его отражение фиксируется в виде картинки, это происходит благодаря преобразованию звуковой волны в цифровую форму. Изображение можно видеть в реальном времени.
Как влияет ультразвук на ткани?

Ультразвуковые волны влияют на живые ткани, вызывая термический (тепловой) и механический эффект. Термический эффект появляется при преобразовании акустической энергии в тепловую. Другими словами, УЗИ приводит к локальному повышению температуры. Уровень термического эффекта зависит от мощности ультразвука и длительности сканирования одной зоны (чем дольше проводится исследование, тем сильнее повышается температура).
Создание ультразвука сопровождается волнами давления, механическая энергия которых передается сканируемому объекту. Именно этим обусловлен механический эффект УЗИ. При длительном воздействии на ткани ультразвук приводит к кавитации в клетке — внутри нее появляются пузырьки газа, которые пульсируют с частотой ультразвука, могут расширяться и уменьшаться, что в свою очередь сопровождается ударными волнами.
Стоит подчеркнуть, что явный тепловой и механический эффект ультразвука можно получить лишь при непрерывном ультразвуковом воздействии на одну область. Также важную роль играет и мощность волн. Для того чтобы УЗИ беременных было безопасным для плода FDA (Food and Drug Administration) ввела определенные пределы показателей механического и теплового индекса, которые должны учитываться при проведении исследования. Поэтому современные машины УЗИ сконструированы таким образом, что не могут превышать безопасных границ выходной мощности. А специалисты, проводящие исследование, в свою очередь должны придерживаться принципа сниженной мощности и проводить обследование максимально быстро (в международной практике эта рекомендация скрывается за аббревиатурой ALARA (As Low As Reasonably Achievable - «настолько мало, настолько возможно в разумных пределах»).
На сегодняшний день ученые мира не могут однозначно ответить на вопрос, вредно ли УЗИ на ранних сроках беременности. Также нет доказательств и того, что диагностический ультразвук при разумном применении (с соблюдением норм механического и теплового индекса) может каким-либо образом навредить развитию плода. Специалисты придерживаются той точки зрения, что УЗИ отличается высокой степенью безопасности. Это подчеркивается и в рекомендациях ВОЗ (Всемирной Организации Здравоохранения) по ведению беременности во всех уголках мира. Считается, что проведение УЗИ в 1 триместре позволяет вовремя обнаружить некоторые патологии и состояния, которые могут потребовать адекватной коррекции.
Долгосрочное наблюдение за малышами, подвергавшимися ультразвуковому сканированию в материнской утробе на ранних сроках беременности, не показывает, что УЗИ способно нанести вред физическому либо умственному развитию. Тем не менее, стоит учитывать, что такие данные не могут быть на 100% верными, так как результат во многом зависит от количества проведенных УЗИ и продолжительности каждого сеанса диагностики.
Чем может навредить УЗИ?
В 2019 г. вышла статья канадских ученых (Kinesiology and Health Science, York University, Канада), в которой упоминается много результатов исследований разных лет о возможном вреде УЗИ на ранних сроках беременности. В частности, подчеркивается, что:
- эмбрион на ранних стадиях беременности проявляет особенную чувствительность к любым внешним изменениям, даже небольшое повышение температуры может привести к нарушениям развития;
- есть данные о том, что трансвагинальное УЗИ на ранних сроках беременности может повысить частоту гибели клеток у развивающегося человеческого плода;
- проведенные исследования показывают, что ультразвуковой допплер привел к гибели клеток печени плода крыс;
- результаты УЗИ на ранних сроках могут быть неправильно интерпретированы, что в свою очередь может повлечь за собой ненужные вмешательства, способные навредить нормальной беременности.
Когда же делать УЗИ на ранних сроках?

Большинство современных докторов мира придерживается той точки зрения, что УЗИ на ранних сроках беременности нужно делать только при наличии определенных показаний. В частности, такое исследование помогает:
- определить угрозу выкидыша;
- определить жизнеспособность плода (по наличию сердцебиения и пр.);
- удостовериться в маточной беременности.
Конечно же, УЗИ покажет сам факт беременности и может использоваться для определения количества эмбрионов. Но профилактическое проведение такого исследования — это не самая лучшая идея. Беременным женщинам стоит набраться терпения. Как правило, первое плановое УЗИ проводят в конце 1 триместра, когда ребёнок уже немного подрастет.
Стоит учитывать, что на ранних сроках беременности категорически не рекомендуется прибегать к таким методикам УЗИ-диагностики, как цветная допплерография, 3D или 4D УЗИ. Во-первых, на таком этапе вынашивания они являются малоинформативными, а во-вторых, характеризуются настройками достаточно высокой мощности.

Пройдите этот тест и узнайте, во сколько баллов - по десятибалльной шкале - можно оценить состояние вашего здоровья.
Допплерография - что такое допплеровское исследование? Когда оно проводится?

Допплерография - неинвазивный метод, используемый при диагностике заболеваний сосудов - артерий и вен. Исследование основано на физическом явлении — эффекте Доплера, способном продемонстрировать направление и скорость кровотока в сосудах.
Допплерография применяется в диагностике многочисленных заболеваний, а благодаря отсутствию побочных эффектов это обследование можно проводить любым больным.
Допплерография - что это такое?
Классическое ультразвуковое исследование включает в себя визуализацию органов или тканей с помощью ультразвуковых волн. Головка ультразвукового аппарата оснащена пьезоэлектрическими кристаллами, генерирующими ультразвуковые волны, распространяющиеся внутри тканей организма. На границе заданной среды они отражаются и возвращаются в датчик, а затем обрабатываются специальным программным обеспечением и представляются в графическом виде.
Допплеровское явление, используемое на УЗИ, позволяет использовать ультразвук в диагностике заболеваний кровеносных сосудов.
Эффект Доплера - что это такое?
Эффект Доплера — это физическое явление, включающее изменение частоты волны, посылаемой объектом относительно волны, записанной другим объектом, возникающее, если объекты движутся относительно друг друга.
Хотя это явление кажется очень специфичным, оно часто наблюдается в повседневной жизни. Отличный пример, объясняющий эффект Доплера, — пожарная машина, едущая с включенным сигналом мимо прохожего. Когда автомобиль приближается к прохожему, звук принимаемого сигнала имеет более высокую частоту, чем при удалении.
В случае проведения допплеровского ультразвукового исследования роль пожарной машины играют морфотические элементы крови, от которых отражается акустическая волна. Роль прохожего играет приемник, расположенный в ультразвуковой головке. Основываясь на изменении частоты волны, соответствующее программное обеспечение определяет направление и скорость кровотока относительно головки.
Существует несколько видов УЗИ с допплером:
- Допплерография с непрерывной волной или пульсирующей волной. Определяет, какие изменения происходят в интенсивности текучей крови, не выявляет окружающие ткани;
- Дуплексная допплерография. Выявляет кровеносные сосуды и окружающие ткани;
- Цветная допплерография. Изображение текущей крови представлено красным или синим цветом в зависимости от направления кровотока и его скорости.
Допплерография - что показывает обследование?
Одна из многочисленных задач крови — снабжение органов кислородом и питательными веществами и выведение из них продуктов метаболизма и углекислого газа. Кровь течет от сердца по артериям и направляется к органам, из которых возвращается к сердцу через венозные сосуды.
Многочисленные патологии могут нарушить кровоток по сосудам, что приводит к недостаточному снабжению клеток кислородом и питательными веществами, или может блокировать отток бедной кислородом венозной крови. Классическое УЗИ часто полезно при визуализации сосудов, но оно не выявляет кровоток, это возможно только при использовании эффекта Допплера.
Допплерография применяется при диагностике многочисленных патологий, затрагивающих сосудистую систему многих участков тела, а благодаря высокой доступности и отсутствию доказанной вредоносности, является одним из наиболее часто выполняемых тестов.
Допплерография сонных и позвоночных артерий
Сонные и позвоночные артерии отвечают за снабжение кровью головного мозга. Центральная нервная система крайне чувствительна к гипоксии, из-за чего даже кратковременные эпизоды ишемии головного мозга связаны со значительным риском необратимой потери нервных клеток. Сужение артерий, снабжающих кровью головной мозг, связано с повышенным риском ишемического инсульта.
Исследование кровотока внутри сонных и позвоночных артерий позволяет обнаружить сужение по ходу этих сосудов, и заранее начать соответствующую профилактику. Среди показаний к обследованию сонных и позвоночных артерий:
- гипертония,
- атеросклероз,
- сахарный диабет II типа,
- транзиторная ишемия,
- травмы шеи,
- инсульты у близких родственников.
Допплерография нижних конечностей
Допплерография вен нижних конечностей проводится при подозрении на тромбоз глубоких вен. Показания к ультразвуку вен включают отек, покраснение, боль и варикозное расширение вен в пределах нижних конечностей.
Изучение направления кровотока в венах направлено на применение лечения к пациентам, особенно подверженным тромбозам или противодействующим осложнениям, способным привести к гибели больного.
Допплерография подключичных артерий
Допплеровское ультразвуковое исследование подключичной артерии проводится при подозрении на так называемый синдром позвоночной артерии. В ходе этого заболевания из-за сужения начального отдела подключичной артерии перед отходом позвоночной артерии возникает ситуация, при которой кровь не течет по позвоночной артерии к головному мозгу, а отступает в участок подключичной артерии, расположенный за местом стеноза, и снабжает кислородом и питательными веществами верхнюю конечность.
Симптомы, возникающие в результате синдрома Вертебра, могут быть связаны как с ишемией верхних конечностей, так и с ишемией центральной нервной системы. Исследование в подключичной артерии позволяет определить место и степень стеноза и принять решение о применении лечения.
Допплерография - показания
Среди основных показаний к проведению допплеровского ультразвукового исследования - атеросклеротические изменения внутри артерий. Отложение атеросклеротических бляшек в стенках сосудов приводит к нарушениям кровотока и может стать причиной недостаточного снабжения органов и тканей кислородом и питательными веществами. Допплерография позволит оценить степень сужения сосудов атеросклеротической бляшкой и поможет в принятии решения о дальнейшем терапевтическом ведении.
Другие показания к допплерографии УЗИ:
- наличие варикозного расширения вен в нижних конечностях;
- оценка васкуляризации раковых поражений;
- выявление пороков сердца;
- дифференцировка опухолей;
- оценка мозгового кровообращения;
- мониторинг эффекта от лечения, связанного с реконструкцией сосудов;
- оценка состояния кровеносных сосудов у пациентов после травм.
Другая группа показаний к допплеровскому УЗИ - беременность. Применение этого вида ультразвукового исследования позволяет оценить потоки внутри сосудов плаценты и органов плода. Допплерография во время беременности рекомендуется, если существует повышенный риск преждевременных родов, выкидыша или нарушений развития плода, хотя в настоящее время оно часто выполняется во время стандартных осмотров.
Допплерография - подготовка и ход обследования
Большое преимущество ультразвукового исследования тот факт, что к нему не нужно готовиться специально.
В случае обследования, проводимого в области конечностей и шеи, следует надеть свободную одежду и снять ювелирные изделия, которые могут помешать обследованию. Если допплерография направлена на сосуды в брюшной полости, пациент должен прийти натощак.
Среди немногих противопоказаний для проведения ультразвукового исследования:
- повреждения кожи;
- сильная болезненность в пределах исследуемой области.
Ход диагностики несложный. Пациент обнажает область тела, подлежащую осмотру, и ложится на кушетку. Врач, проводящий обследование, наносит гель на головку ультразвукового аппарата и водит ей по области исследования. На мониторе появляется изображение и раздается звук, изображающий поток крови по кровеносным сосудам. Все обследование занимает около 15-20 минут.
Допплерография - интерпретация обследования
После обследования на основании сделанных измерений врач УЗИ интерпретирует результаты и на их основании определяет или исключает нарушения кровотока по сосудам. Интерпретация допплеровского ультразвукового исследования обычно не является проблемой для специалиста и результат сообщается сразу после обследования.
Допплерометрия плода выявляет патологии кровотока при беременности

Доплерометрия при беременности - это современный метод диагностики при помощи ультразвука, позволяющий объективно и полноценно исследовать кровообращение плода, плаценты и матки. По состоянию кровеносной системы можно оценить состояние плода, скорость его развития — не страдает ли малыш от недостатка кислорода, а также возможные патологические изменения. Допплерометрия плода — единственная методика, способная показать точное нахождение патологии сосудов (в матке, пуповине или плаценте).
Зачем и когда проводить допплерометрию при беременности
Сегодня заболевания сосудов — одна из наиболее распространенных проблем в медицинской практике. Своевременная диагностика позволяет выявить такие патологии еще на ранней стадии развития, а вместе с тем и многие факторы, способные вызвать развитие нарушений кровообращения.

Ценность процедуры заключается в её высокой информативности, благодаря чему врач способен выявить не только уже развившуюся патологию, но и практически незаметные доклинические симптомы болезни. Процедура назначается после полного формирования плаценты — не ранее 18 недель, чаще на 32-34 неделе в качестве плановой проверки.
При наличии даже незначительных подозрений на нарушения развития плода - УЗИ с доплером проводят на любом сроке. Доплер делают в комплексе со скрининговым УЗИ , при этом по ощущениям для беременной женщины процедура ничем не отличается от классического УЗ-обследования.
Суть метода
Этот способ изучения кровеносной системы основан на применении эффекта Доплера.
Для обследования используется такой же ультразвук, как и при обыкновенном ультразвуковом исследовании. Отличие заключается в особом датчике, работающем на основе допплеровского эффекта, и интерпретации полученных данных. При исследовании фиксируются ультразвуковые волны, отраженные не от статичных тканей, а от подвижных объектов - клеток крови, в результате чего частота отраженных лучей сильно изменяется в сравнении с изучаемыми. Аппарат обрабатывает полученные данные и создает двухмерное цветное изображение. Благодаря этому возможно оценить скорость и направление кровотока, анатомию и проходимость сосудов.
Длительность допплерографии составляет 20 - 40 минут. Она не имеет ни противопоказаний, ни осложнений, ни негативного воздействия на организм. Исследование совершенно безболезненное и безопасное.
Показания
Гинекологи рекомендуют проходить обследование с доплером 1-2 раза во время беременности вместе с плановыми УЗИ . Если же есть проблемы, доппплер плода нужно сделать в ближайшие сроки. В основном допплерометрия назначается при несоответствии размеров плода гестационному возрасту. Также процедура проводится в следующих случаях:
- осложнения в вынашивании ребенка;
- фетоплацентарная недостаточность;
- у матери присутствуют хронические и тяжелые заболевания (сахарный диабет, гипертония, анемия, системные заболевания);
- резус-конфликт беременной и ребенка;
- многоплодная беременность;
- неиммунная водянка плода;
- неправильное положение плода в матке;
- преждевременное созревание плаценты;
- обвитие шеи ребенка пуповиной, подозрение на гипоксию;
- выраженное маловодие / многоводие;
- гестоз (поздний токсикоз, сопровождающийся ухудшением работы почек, сосудов и мозга — появляется белок в моче, повышается давление);
- травмы живота у беременной;
- хромосомные патологии младенца;
- плод шевелится меньше обычного или шевеления не ощущаются вовсе;
- неудовлетворительные результаты кардиотокографии;
- осложнения в вынашивании предыдущей беременности (преждевременные роды, выкидыш и т.д.).
Также УЗИ плода с доплером нужно пройти в случаях, если матери нет 20 лет или ей более 35 лет.
Что выявляет допплерометрия плода
Допплер помогает своевременно выявить гипоксию плода и избежать проблемы еще до того, как ребёнку будет угрожать опасность, или же свести негативные последствия к минимуму. С его помощью врач может узнать причины обвития пуповиной и увидеть сколько раз и насколько туго обвита шея младенца. Без этой жизненно необходимой информации специалисты не смогут выбрать правильную тактику родов, что ставит под угрозу здоровье и жизнь ребенка.
Также с помощью доплера можно увидеть:
- состояние и ритм работы сердца плода в состоянии покоя и движения;
- состояние сердечных клапанов основных кровеносных сосудов, артерий и вен;
- скорость и объем кровотока периферийной кровеносной системы;
- кровообращение в пуповине и плаценте;
- состояние кровеносной системы, сердца и почек беременной.
Полученная информация позволяет врачу оценить:
- проходимость и состояние сосудистого русла, наличие отклонений, блокирующих кровоток плода;
- насыщение кровью и питательными веществами всех тканей ребенка;
- проходимость и состояние пуповины, обвитие шеи младенца;
- эффективность работы плаценты;
- состояние и работа кровеносной системы женщины в период беременности.

Подготовка и особенности проведения УЗИ плода с доплером
Процедура не требует никаких подготовительных мер: ни рацион питания, ни наполненность мочевого пузыря и желудка не оказывают влияния на результаты обследования. Единственная рекомендация — сделать перерыв в еде на пару часов до обследования.
Беременной нужно взять с собой следующее: направление и результаты прошлых анализов и обследований (УЗИ, КТГ, ЭКГ), обменную карту беременной. Бумажные салфетки и одноразовую пеленку или полотенце не нужны — в нашей клинике все предоставляется бесплатно.
Методика проведения допплерометрии аналогична трансабдоминальному УЗИ. Женщина ложится на кушетку спиной и оголяет живот. Врач наносит на исследуемый участок специальный гель для лучшей проходимости ультразвуковых волн и затем водит по нему датчиком, параллельно исследуя полученные данные на мониторе. Интерпретация результатов выдается женщине в тот же день.
Доплерометрию при беременности можно проводить несколькими способами:
- Ультразвуковой допплер - применяется для оценки направления, интенсивности, характера кровотока в сосудах.
- Дуплексное исследование - отличается от предыдущего метода большей точностью и информативностью. Применяется для оценки кровотока сосудов и их анатомии.
- Цветное картирование - состояние даже мельчайших сосудов и их проходимость кодируется цветом.
Расшифровка результатов допплерометрии плода
Оценка состояния кровоснабжения с помощью допплера формируется на основе следующих показателей:
- Систоло-диастолическое отношение - отношение максимальной и минимальной скорости кровотока;
- Индекс резистентности - отношение разницы максимальной и минимальной скорости кровотока к максимальной в период сжатия;
- Пульсационный индекс - отношение разницы максимальной и минимальной скорости кровотока к средней скорости за полный цикл сердца.
Допплерометрия плода: норма по неделям и прогноз при отклонениях
Чтобы расшифровка результатов прошла правильно и все отклонения были выявлены, необходимо сравнить полученные данные с нормативными значениями с учетом гестационного срока.
УЗДГ беременных: важнейшее исследование на поздних сроках

Ультразвуковая допплерография (УЗДГ) - метод диагностики, основанный на эффекте Доплера, который дает возможность дать оценку кровоснабжения различных органов и тканей. УЗДГ основан на изменении частоты ультразвуковых волн при отражении их от движущихся объектов.
СТОИМОСТЬ НЕКОТОРЫХ УСЛУГ ГИНЕКОЛОГА В НАШЕЙ КЛИНИКЕ В САНКТ-ПЕТЕРБУРГЕ

*Клиника имеет лицензию на оказание этих услуг
УЗДГ объединяет в себе стандартное УЗИ и эффект Доплера, тем самым позволяя рассмотреть состояние сосудов и движение крови по ним. Исследование особенно важно при беременности, ведь вся жизнедеятельность плода осуществляется именно с помощью кровотока.
Чем отличается УЗДГ при беременности от обычного УЗИ
В зависимости от применяемых режимов одновременно выделяют: дуплексное и триплексное УЗГД. Как правило, для оценки внутриутробного состояния плода используют дуплексную допплерографию. При нем обычное серошкальное УЗИ сочетается с одним из режимов допплерографии, который в режиме реального времени передает изображение.
При триплексном сканировании режим УЗИ объединяется с режимом допплерографии и с цветным картированием кровотока, что позволяет оценить анатомию сосуда и его проходимость.
Когда назначают
Однако есть показания, при которых врач назначает УЗДГ и на более ранних сроках, а именно:
- При патологии плаценты (отслойка, отставание либо быстрое созревание плаценты, образование внутриплацентарных тромбов);
- Результаты УЗИ показали несоответствие плода сроку беременности (гипотрофия плода);
- При гестозе (осложнения при беременности, которые связаны с отеками, повышенным давлением, судорогами, потерей белка с мочой);
- При многоплодной беременности;
- В случае заболеваний матери, которые связаны с патологией сосудов. Например: сахарный диабет, болезни почек, гипертония (стойкое повышение артериального давления), болезни почек, нарушения свертываемости крови;
- В случае прерывания предыдущей беременности (мертворождение, выкидыш). А также при осложнениях предыдущей беременности;
- Возраст беременной свыше 35-ти лет;
- После травм живота;
- По результатам УЗИ - плод обвит пуповиной.
Что показывает
УЗДГ показывает: как ощущает себя ребенок в утробе матери, оценивает кровоток в пуповине, в сердце и в других органах ребенка. Также оценивает работу плаценты и кровотока в маточных артериях. Качественно проведенное исследование позволяет выявить сердечные пороки.
Этот метод диагностики позволяет соотнести полученную информацию с нормативными таблицами, тем самым определив наличие или отсутствие патологий в развитии плода.
Расшифровка УЗГД при беременности
Если УЗГД проводит опытный врач, он расшифровывает результат на месте. В остальных случаях нужно отнести результаты лечащему акушеру-гинекологу.
Расшифровка УЗГД содержит следующие характеристики:
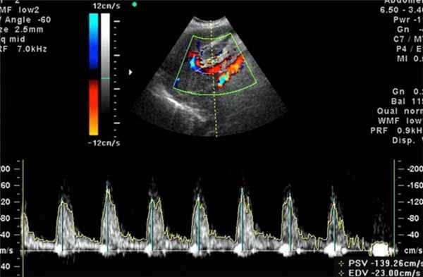
Систоло-диастолическое отношение в сосудах. СДО рассчитывается по формуле. Врач определяет соотношение максимальной скорости в сосуде в систолу и остаточной скорости - в диастолу. Показатель вычисляется для крупных сосудов матки, плода и пуповины. ДСО каждого сосуда меняется в зависимости от срока.
Норма СДО в артерии пуповины
Норма СДО в артериях матки в III триместре: 1,3-3,7
Индекс резистентности
ИР также рассчитывается по формуле. Гинеколог вычисляет отношение СДО к максимальной скорости движения крови в сосуде в систолу. Чем выше результат, тем хуже проходимость сосуда и тем больше сопротивление кровотока. Нормы УЗДГ при беременности по ИР зависят от сроков беременности, вида и диаметра сосуда.
1. Индекс резистентности в артериях матки в III триместре: 0,3-0,9.
2. Индекс резистентности в артериях пуповины:
| Срок, неделя | Индекс резистентности (ИР) |
| 16-19 | 0,78 |
| 20-22 | 0,74 |
| 23-25 | 0,71 |
Норма скорости кровотока в сосудах матки в III триместре в среднем: 60-71 см/секунду.
Пульсационный индекс
ПИ в III триместре должен составлять 0,4 -,64.
Результаты УЗГД дают возможность понять:
- не страдает ли плод от внутриутробной гипоксии, и если недостаток кислорода есть, то насколько состояние опасно;
- есть ли проблемы из-за конфликта по резус-фактору;
- степень повреждения сосудов матки, плаценты и плода из-за сахарного диабета, кардиальной патологии или гипертонической болезни женщины;
- есть ли проблемы развития при многоплодной беременности, как связаны и развиваются сосуды у близнецов.
Подготовка
Никакой специальной подготовки для проведения ультразвуковой допплерографии не требуется. Однако некоторые врачи отмечают, что лучше проводить УЗДГ через пару часов после еды. Это связано с тем, что после приема пищи, как правило, ребенок становится более активный. Это может исказить результаты исследования. Также не следует увлекаться продуктами, способными вызвать газообразование (овощи, фрукты).
Как проводится
Процедура совершенно безболезненна и полностью безопасна, но требует времени для выполнения. УЗГД займет 20-30 минут. Время проведения процедуры может увеличиться при наличии осложнений.
Для проведения исследования женщина ложится на спину, реже на бок. На оголенный живот наносится специальный гипоаллергенный гель, который обеспечивает нормальное прохождение ультразвуковой волны, и прикладывается датчик, вся информация поступает на экран. Врач обследует состояние маточных артерий, пуповину, среднюю мозговую артерию плода. Исследование: венозного протока, внутрисердечного кровотока ребенка, грудной аорты, почечных артерий, - выполняется при наличии показаний.
Заключение необходимо предоставить акушеру-гинекологу, который ведет беременность. Врач, обобщив результаты исследования, проводит общую оценку состояния плода и назначает лечение, при необходимости.
УЗДГ является это важный метод обследования. Выявление патологий на раннем сроке поможет назначить необходимое лечение. Если отклонения значительные и угрожают жизни ребенка - это показание для родоразрешения раньше срока.
Читайте также:
