Приемы моделирования окклюзии. Варианты артикуляторов
Добавил пользователь Владимир З. Обновлено: 15.01.2026
Моделирование окклюзионной поверхности предполагает:
• правильное расположение моделей челюстей в пространстве между рамами артикулятора в соответствии с расположением челюстей у пациента в лицевом скелете;
• соответствие резцовых и суставных путей у пациента и в артикуляторе.
Основные принципы реконструкции окклюзионной поверхности:
• жевательное давление должно распределяться по оси зуба;
• ширина зуба должна быть больше окклюзионной поверхности;
• избегать плоскостных контактов зубов;
• на небной поверхности верхних резцов и клыков должны быть вогнутые площадки;
• в области центральных фиссур и краевых ямок следует создавать небольшой горизонтальный участок для беспрепятственного движения опорного бугорка («свободная центральная окклюзия»);
• эффективное «клыковое и резцовое ведение», чтобы при боковых и передней окклюзиях разобщались боковые зубы;
• эффективное «клыковое ведение» — немедленное разобщение боковых зубов в самом начале бокового смещения нижней челюсти;
• до моделирования боковых зубов при отсутствии «клыкового ведения» в боковой окклюзии, «резцового ведения» в передней окклюзии необходимо произвести коррекцию
и реконструкцию резцов и клыков.
В центральной окклюзии должен быть легкий контакт резцов. При обширной или полной реконструкции окклюзии, прежде чем препарировать естественные зубы, рекомендуется производить диагностическое восковое моделирование в артикуляторе. Это помогает определить особенности и объем препарирования, составить план лечения.
«Окклюзионный компас»используется для облегчения воспроизведения движения бугорков по противолежащим фиссурам и краевым ямкам. Переднее движение обозначается черным цветом, переднебоковое — желтым, движение в рабочую сторону (латеротрузия) — голубым, движение на балансирующей стороне (медиотрузия) — зеленым цветом (рис. 11.2).

Рис. 11.2.«Окклюзионный компас» — траектории основных движений бугорков зубов по противолежащим фиссурам и краевым ямкам.
а — «окклюзионные компасы» на зубах верхней и нижней челюстей; б — верхний левый первый моляр; в — нижний левый первый моляр: 1 — черной точкой в центре круга обозначен центр «окклюзионного компаса», 2 — черной стрелкой — путь переднего движения нижней челюсти, 3 — голубой стрелкой — путь рабочего движения (латеротрузия), 4 — зеленой стрелкой — путь движения бугорка зуба противолежащего зуба балансирующей стороны (медиотрузия), 5 — желтой стрелкой — путь переднебокового движения, 6 — красная зона около голубой стрелки — зона возможного смещения из положения центрального соотношения при движении нижней челюсти на стороне латеротрузии (голубая стрелка); 7 — оранжевая зона около зеленой стрелки — начальное боковое движение на стороне медиотрузии.
«Окклюзионный компас» отмечается на зубе, где будет производиться моделирование; центр его расположен в области центральной фиссуры. На нижних молярах переднее движение направлено назад; движение в рабочую сторону перпендикулярно переднему движению и проходит между язычными бугорками; движение в балансирующую сторону происходит под углом 45° относительно переднего движения между средним и дистальным щечными бугорками. На верхних молярах линии «окклюзионного компаса» — зеркальное изображение таковых на нижних молярах.
Бугорки всех зубов не должны быть расположены на линиях «окклюзионного компаса».
Предусматриваются моделировка площадки вокруг центра «компаса» и возможность беспрепятственного скольжения бугорков по противолежащим фиссурам и краевым ямкам, что особенно важно при групповых контактах жевательных зубов в боковых окклюзиях.
Инструменты и материалы
Для моделирования окклюзионной поверхности из воска используют инструменты, предложенные P. Thomas. Это изогнутые зонды 1 и 2 для забора воска и моделирования, гладилки для уточнения моделировки.
Для забора воска нагревают изогнутую часть зонда на пламени горелки, при этом инструмент находится ниже верхушки пламени на 1 см (рис. 11.3, а). Затем зондом касаются воска, чтобы его капля прилипла к инструменту (рис. 11.3, б, в). Изогнутую часть зонда повторно нагревают, чтобы капля расплавленного воска стекала на кончик зонда. Эту каплю наносят на заранее размеченное место зуба, например на место расположения бугра. Когда воск начинает остывать, зонд медленно поднимают и вытягивают конус нужной высоты (рис. 11.3, г).
Для учебных целей при моделировании каждого элемента окклюзионной поверхности можно использовать воск разного цвета (рис. 11.4).

Рис. 11.3.Метод поэтапного моделирования элементов окклюзионной поверхности [Meyer G., Asselmeyer Th., 1982].
а — нагрев зонда на пламени горелки; б — прикосновение нагретого зонда к моделировочному воску; в — повторное нагревание изогнутой части зонда (капля расплавленного воска стекает на кончик зонд1; г — каплю воска наносят на подготовленное и размеченное место на зубе.
Разметка и подготовка моделей.
Основой реконструкции окклюзионной поверхности является определение места расположения бугорков. Для этого производят разметку модели.
В месте расположения бугорков устанавливают восковые конусы — основы будущих бугорков.
Для определения места расположения конусов используют анатомическую форму интактных соседних зубов (рис. 11.5). Если соседние зубы отсутствуют или разрушены, место расположения конусов бугорков определяют с помощью «окклюзионного компаса». Для этого проводят срединно-сагиттальную линию на моделях верхней (по шву твердого неба и нижней челюстей, сложив их в положении центральной окклюзии. Параллельно срединной линии проводят линию, обозначающую направление переднего движения нижней челюсти через центр окклюзионной поверхности. Эта линия черного цвета. Перпендикулярно к линии переднего движения нижней челюсти проходят пути боковых движений зубов рабочей стороны, отмечаемые синей линией. Зеленой линией отмечают путь каждого опорного бугорка на балансирующей стороне (рис. 11.6, а, б). Конусы бугорков, которые будут устанавливаться, не должны располагаться на отмеченных линиях.

Рис. 11.4. Использование воска разного цвета для учебного моделирования элементов окклюзионной поверхности верхних (1 и нижних (2) зубов [McHorris W., 1983].
Красные точки — вершины конусов бугорков; голубые зоны — треугольные валики; желтые полоски — краевые валики вокруг окклюзионной поверхности; желтые зоны — краевые ямки; зеленые зоны — наружные, мезиальные и дистальные скаты бугорков, а — верхние левые боковые зубы; б — нижние левые боковые зубы.
При нанесении керамики на металлический каркас культя зуба перекрывается, поэтому линии «окклюзионного компаса» целесообразно перенести (продолжить) на гипсовую модель у шеек зубов.
После нанесения слоя дентина, опакера и их обжига формируют дентиновой массой основные бугорки так, чтобы они располагались кпереди и кзади от отмеченных линий. Например, при моделировании окклюзионной поверхности первого левого верхнего моляра передненебный бугорок моделируют кзади от зеленой линии, заднещечный — кзади, переднещечный — кпереди от синей линии. Затем проверяют контакты бугорков зубов в артикуляторе. После обжига фарфоровой массы остается достаточно места для нанесения прозрачной массы.
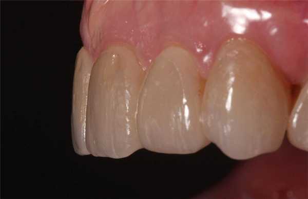
После моделировки бугорков создают остальные элементы окклюзионной поверхности (рис. 11.5, 3).
При учебном моделировании на моделях челюстей с интактными зубными рядами после установки моделей в артикулятор и их разметки срезают окклюзионную поверхность. Расстояние между срезанной окклюзионной поверхностью и противолежащими интактными зубами должно быть равномерным и не менее 2,5 мм. Если срезают зубы с моделей обеих челюстей и планируют на них встречные коронки, то это расстояние должно быть не менее 4 мм.
Последовательность моделирования элементов окклюзионной поверхности.
Перед началом моделирования на поверхность гипса наносят тонкий слой расплавленного воска для лучшей адгезии воска к моделируемой поверхности. Если зуб препарирован ранее, то по окружности культи зуба наносят воск для получения площадки, на которой можно было бы моделировать элементы окклюзионной поверхности.
• установка конусов бугорков нужной длины и их ориентация на противолежащие фиссуры и крае вые ямки;
• моделирование центральных фиссур и краевых ямок в участках контакта вершин конусов с противолежащими фиссурами и краевыми ямками. В области этих контактов формируют площадки для «свободной центральной окклюзии»;
• моделирование краевых валиков, ограничивающих по периферии окклюзионную поверхность каждого зуба;
• моделирование скатов бугорков;
• окончательное моделирование рельефа окклюзионной поверхности, проверка смоделированных элементов в центральной окклюзии и при движениях нижней челюсти.
Установка конусов бугорков.
Длина конусов бугорков соответствует окклюзионным кривым (сагиттальной и трансверсальной). Вершины конусов бугорков всех зубов направлены в краевые ямки и фиссуры противолежащих зубов (рис. 11.5).

Рис. 11.5.Моделирование окклюзионной поверхности керамикой с учетом «окклюзионного компаса» [Reichel К., 1998].
а, б — через центр зуба проведена линия, параллельная срединной линии (шов твердого неба); в — в соответствии с отмеченной линией на поверхности зуба и модели проведены линии «окклюзионного компаса», установлены все 4 конуса бугорков; желтым цветом обозначен переднещечный бугорок, синим — заднещечный бугорок, зеленым — передненебный и белым — задненебный бугорки; г — первый верхний левый моляр, окклюзионная поверхность которого смоделирована с учетом «окклюзионного компаса».
При передней и боковых окклюзиях должен отсутствовать контакт конусов. Если такой контакт имеется, то конус либо высок, либо неправильно расположен.
Щечные конусы бугорков нижних зубов расположены к середине зуба ближе, чем язычные. Язычные конусы бугорков нижних зубов расположены очень близко к язычной поверхности зубов, они меньше, чем щечные, и в переднезаднем направлении далеко отстоят друг от друга, создавая «пролет» для прохождения противолежащих бугорков. Щечные конусы бугорков верхних зубов (неопорные, защитные бугорки) по сравнению с язычными имеют у основания меньший диаметр. Они близко расположены к щечной поверхности зубов (0,5 мм).
Рис. 11.6. Соответствие конусов опорных бугорков верхних и нижних зубов краевым ямкам и центральным фиссурам. Отсутствие их контакта друг с другом в положениях центральной, передней и боковых окклюзиях проверяется в артикуляторе.
Небные конусы бугорков верхних зубов (опорные бугорки) устанавливают следующим образом:
• мезиальные небные конусы моляров моделируют очень близко к центру зуба, основание мезиального конуса — напротив ямки, разделяющей щечные бугорки. Дистальные небные конусы бугорков верхних моляров устанавливают в середине между мезиальными небными конусами и дистальной поверхностью моляров;
• вершина конуса каждого верх
него премоляра должна быть направлена к дистальной ямке противолежащего моляра;
• вершина переднего небного конуса каждого моляра должна быть
направлена в центральную фиссуру, заднего небного конуса — в краевую ямку двух соседних противолежащих моляров;
• при моделировании встречных коронок рекомендуется сначала устанавливать конусы верхних зубов;
• длина конуса небного бугорка первого верхнего премоляра должна быть на 1 мм короче длины щечного конуса. Оба конуса второго премоляра одинаковой длины. Передне небный конус верхнего первого моляра на 1 мм длиннее переднещечного.
Моделирование центральных фиссур и краевых ямок.Вершина каждого опорного бугорка имеет соответствующую контактную поверхность на противоположной челюсти, что создает стабильную центральную окклюзию. Для того чтобы смоделировать эти опорные зоны, напротив вершины каждого опорного конуса в области фиссур и краевых ямок наносят воск до тех пор, пока при смыкании челюстей в артикуляторе не будет получен контакт конуса и воска. На этом этапе моделирования учитывается концепция «свободной центральной окклюзии».
Соответственно переднему движению нижней челюсти в артикуляторе на зубы верхней челюсти добавляют воск в области фиссур и краевых ямок сзади, а на зубы нижней челюсти — спереди от уже смоделированных «центральных опор».
Моделирование краевых валиков по периферии окклюзионной поверхности.
Восковые конусы, расположенные на месте опорных и неопорных бугорков, соединяют восковым краевым валиком с ранее созданными «центральными опорами». Особенность моделирования верхних моляров в том, что краевой валик от передненебного бугорка идет в центр окклюзионной поверхности и создает дистальное ограничение окклюзионной площадки. Таким образом получается функционально обусловленная асимметричная форма верхнего моляра (рис. 11.7).
Моделирование уточняют при всех движениях нижней челюсти в артикуляторе для исключения преждевременных суперконтактов.
Папиллярные узоры пальцев рук - маркер спортивных способностей: дерматоглифические признаки формируются на 3-5 месяце беременности, не изменяются в течение жизни.

Общие условия выбора системы дренажа: Система дренажа выбирается в зависимости от характера защищаемого.

Организация стока поверхностных вод: Наибольшее количество влаги на земном шаре испаряется с поверхности морей и океанов (88‰).

© cyberpedia.su 2017-2020 - Не является автором материалов. Исключительное право сохранено за автором текста.
Если вы не хотите, чтобы данный материал был у нас на сайте, перейдите по ссылке: Нарушение авторских прав. Мы поможем в написании вашей работы!
Системный подход в изготовлении полных съемных протезов
Так уже исторически сложилось в стоматологии, что врачи почти никогда не ассоциируют полные съемные протезы с высоким уровнем эстетики, и располагают их на диаметрально противоположном конце пирамиды потребностей при лечении пациентов с полной адентией по сравнению с другими конструкциями. Но на сегодняшний день применение имплантатов позволило свести эти два аспекта в единую систему координат. Полные протезы с опорой на дентальных имплантатах являются достаточно эффективным вариантом лечения пациентов с полной или частичной адентией, обеспечивая достаточно прогнозированный и успешный вариант реабилитации. Но, как некогда заключили доктор Уолтер «Джек» Турбифил, DDS, «использование имплантатов никогда не избавит стоматолога от необходимости убедиться в соответствии протеза всем физиологическим и механическим критериям».

Реабилитация полностью беззубого пациента сопряжена со множеством проблем. Положение зубов, эстетические параметры, фонетическая функция, окклюзионная плоскость, вертикальная составляющая прикуса и положение мыщелков сустава определяются согласно каноническим ортопедическим принципам. Но большинство данных принципов, к сожалению, нивелируется при состоянии полной адентии. Даже если пациент уже некоторое время пользуется определенной конструкцией протеза, то и ее не стоит расценивать как некоторую референтную определяющую, поскольку старые протезы очень редко связаны с тем, чего пациент на самом деле хочет. Кроме того, в ходе лечения пациентов с полной адентией стоматолог сталкивается с проблемами психологического характера, связанными с потерей пациентом зубов, развитием ксеростомии и нейромышечных нарушений. Это также является одной из причин, почему стоматологи часто уклоняются от лечения больных с полным отсутствием зубов.
Пошаговый аналоговый протокол изготовления конструкций полных съемных протезов почти не изменился с момента его изобретения. По имеющимся оттискам отливаются модели, на которых техник моделируют восковый базис и прикусные валики - вот и все. На этом этапе для правильного определения надлежащей позиции передних зубов, передачи данных о вертикальной составляющей прикуса и положении сустава крайне важна надлежащая коммуникация между врачом-стоматологом и зубным техником. Даже при условии применения в работе цифровых технологий клиницист должен уметь оценить фонетическую функцию у пациента, проверить эстетические параметры и скорректировать потенциальные нарушения в конструкции протеза. При использовании конструкций полных съемных протезов в качестве временных или постоянных реставраций, или даже в качестве диагностических конструкций, протокол их изготовления требует определенного уровня систематичности в своей реализации. Последний должен включать:
- Регистрацию положения режущего края зубов верхней челюсти
- Регистрацию положения режущего края зубов нижней челюсти
- Определение надлежащей вертикальной составляющей прикуса
- Регистрацию центрального соотношения
- Соответствующую установку гипсовых моделей в артикулятор
- Проверку фонетической функции
Отправной точкой для изготовления полного съемного протеза является определение вертикального и горизонтального положения передних зубов верхней челюсти. Это достигается за счет использования пластинки базисного воска и воскового валика (фото 1).
Фото 1. Восковый валик верхней челюсти с маркировкой срединной линии и высокой линии улыбки.

Восковой валик контурируется и корригируется по форме, чтобы соответствовать положению окружающих структур, включая:
- Горизонтальное и вертикальное положение режущего края зубов верхней челюсти
- Среднюю линию верхней челюсти
- Щечные коридоры
- Окклюзионную плоскость верхней челюсти
- Высокую линию улыбки
Чтобы проверить правильность положения, можно зафиксировать их в восковом базисе (фото 2). Для подтверждения правильности положения зубов врач должен проверить произношение пациентом звуков «Ф» и «В»: при этом пациент должен касаться передними верхними зубами линии перехода влажной части нижней губы в сухую. Для регистрации данного положения врач может попросить пациента сосчитать до 50 или 60 в голос. С диагностической целью врач также может получить фотографии положения воскового базиса и зубов в состоянии покоя, при высокой улыбке, а также - в профиль. Дополнительно можно записать несколько видео пациента в ходе разговора, после чего все эти данные можно передать зубному технику.
Фото 2. Вид воскового валика с установленными зубами 8 и 9.

После определения надлежащего положения режущего края зубов верхней челюсти необходимо зарегистрировать позицию режущего края зубов нижней челюсти. Для этого используют пластинку базисного воска и восковый валик (фото 3). Высота воскового валика в переднем участке нижней челюсти должна составлять 18 мм от уровня преддверья до прогнозированного положения режущего края резцов. Для того, чтобы исключить ограничения при артикуляции нижней челюсти, дистальные части воскового валика делают ниже окклюзионной плоскости, после чего на валике формируют надрезы для соединения с восковым валиком верхней челюсти. По сути, применение специального воска в проекции передних зубов нижней челюсти является начальной точкой следующего этапа - определения вертикальной составляющей прикуса.
Фото 3. Использование специальной порции желтого воска для проверки фонетической функции с высотой равной 18 мм от преддверья полости рта.

Определение вертикальной составляющей прикуса
С целью регистрации вертикального положения прикуса используется именно звук «С», поскольку таковой формируется при повторяющемся движении челюсти независимо от того, имеются у пациента зубы, или нет. Программирование мышц для произношения данного звука обеспечивается на протяжении всего периода формирования и роста. Траектория данного движения зависит от класса скелетного соотношения, имеющегося у пациента. Например, при 2 классе скелетных соотношений нижней челюсти приходиться преодолеть сравнительно большее расстояние для произношения звука «С», нежели при 1 классе.
После регистрации надлежащего положения передних зубов верхней челюсти восковой валик фиксируется на нижнюю челюсть, и врач просит пациента сосчитать до 60 или 70. Клиницист наблюдает за движениями нижней челюсти и корректирует нижний восковый валик до тех пор, пока пациент не сможет четко произнести звук «С». Если во время произношения звука «С», восковый валик нижней челюсти ударяется по передний зубам на верхней челюсти, то его можно несколько срезать. Также можно модифицировать конфигурацию валика в язычно-вестибулярном направлении (фото 4).
Фото 4. Вид в профиль: передние зубы установлены в верхнем восковом валике, а на нижнем валике установлена порция воска для проверки фонетической функции.

Еще одним фактором, определяющим вертикальный параметр окклюзии, является доступное «заднее пространство для произношения». Последнее представляет собой промежуток между задними зубами в момент, когда нижняя челюсть передвигается вперед для произношения звука «С». Величина промежутка между задними зубами также будет варьировать в зависимости от класса скелетного соотношения, отмечающегося у пациента: у пациента со 2 классом соотношений величина такового будет больше, чем у пациента с 1 классом. Если же при произношении звука «С» задние зубы полностью соприкасаются, то это значит, что вертикальный размер окклюзии является слишком большим. Метод оценки надлежащего вертикального пространства для произношения, который нацелен на регистрацию параметра высоты прикуса, не стоит путать с методом регистрации свободного пространства в положении центрального соотношения. Свободное пространство в положении центрального соотношения представляет собой пространство между окклюзионными поверхностями верхних и нижних зубов в состоянии, когда мышцы нижней челюсти полностью расслаблены, в то же время при оценке надлежащего вертикального пространства для произношения мышцы являются активными. Положение челюсти в состоянии покоя является крайне вариабельным, и, следовательно, не может быть использовано для определения высоты прикуса (фото 5).
Фото 5. Измерение вертикальной составляющей прикуса в состоянии окклюзии и высота прикуса в состоянии покоя.

После того как врач зафиксировал соотношение зубов при произношении звука «С», он может установить вертикальный параметр окклюзии, уменьшив вертикальное пространство для произношения на несколько миллиметров. Если же этого не сделать, то зубы будут нефизиологично контактировать во время фонетической функции.
Регистрации центрального соотношения
Центральное соотношение определяется как «челюстно-нижнечелюстное соотношение, не зависящее от контакта с зубами, при котором мыщелки сустава контактируют с самой тонкой бессосудистой частью суставных дисков в передне-верхнем положении напротив заднего ската суставных бугров». Данное положение является повторяющимся и воспроизводимым. При протезировании полными съемными протезами важно восстановить прикус пациента в гармонии с центральным соотношением при соответствующей высоте прикуса. Это минимизирует возможность развития дефектных окклюзионных контактов, которые могут провоцировать развитие болезненных ощущений и нарушать ретенцию и стабильность протезов. Перед регистрацией центрального соотношения таковое должно быть первично установленным самим пациентом. Для этого врачом проводится бимануальная манипуляция с нагрузкой мыщелков тремя возрастающими уровнями силы (фото 6). После каждого уровня нагрузки врач спрашивает пациента о наличиеи каких-либо признаков напряжений или болезненности в области сустава. При отсутствии таковых на каждом уровне нагрузке врач констатирует достижение положения центрального соотношения. В ходе проведения данной диагностической манипуляции восковые валики не вводятся в ротовую полость пациента, поскольку центральное соотношение не зависит от контакта зубов.
Фото 6. Техника бимануальной манипуляции.

После проверки центрального соотношения оно регистрируется при помощи специальных аппаратов. Наиболее точным из таких является прибор для трассировки готической дуги. Данный аппарат характеризуется наличием ряда преимуществ, в том числе то, что он позволяет избавиться от физических помех на восковых валиках, стабилизирует базисные пластины и устанавливает мыщелки в центральном соотношение во время функциональных движений.
При работе с трассировщиком готической дуги предпочтительно использовать отдельный набор базисных пластин. Базисная пластина верхней челюсти удерживает ударную пластину (фото 7), а базисная пластина нижней челюсти - удерживает штифт (фото 8).
Фото 7. Фиксация ударной плоскости на восковом валике верхней челюсти для контроля движений готической дуги.

Фото 8. Фиксация трассирующего пина на восковом валике нижней челюсти для контроля движений готической дуги.

После установки базисных пластин внутрь ротовой полости пациента просят переместить нижнюю челюсть вперед и назад, вправо, а затем назад, влево и затем назад. Эта серия движений повторяется несколько раз, и нацелена на тренировку пациента, позволяя депрограммировать мышцы, чтобы гарантировать позиционирование мыщелков в центральном соотношении. После этого ударную пластину покрывают перманентным черным маркером, и пациента просят снова выполнить функциональные движения для трассировки. Когда штифт находится в точке пересечения трех линий трассировки, это значит, что челюсть находится в центральном положении (фото 9). С помощью бора на ударной пластине в точке пересечения этих линий формируется ямка. Затем пациента просят передвинуть нижнюю челюсть назад до тех пор, пока штифт не попадет в ямку. При таком фиксированном положении между пластинками вводят материл для регистрации прикуса, который позволит зафиксировать достигнутое пространственное положение челюстей.
Фото 9. Трассировка движений готической дуги: в области пересечений устанавливается центральное соотношение.

Фиксация моделей в артикуляторе
Фото 10. Вид вилки лицевой дуги с восковой композицией протеза.

Сначала в артикуляторе фиксируют модель верхней челюсти. После этого устанавливают базисные пластинки з регистратом движений готической дуги, что позволяет правильно сопоставить нижнюю челюсть. Штифт артикулятора при этом устанавливают на отметке «ноль». После этого удаляют трассировщик движений готической дуги и соединяют восковые композиции. Штифт артикулятора на данном этапе корректируют таким образом, чтобы порция воска, которая использовалась для проверки фонетической функции, не контактировала с восковым валиком верхней челюсти (фото 11).
Фото 11. Отсутствие контакта между порциями воскового материала при формировании надлежащей окклюзионной схемы.

Данное положение штифта отображает корректный параметр вертикальной составляющей прикуса, который был диагностирован у пациента. Учитывая данный критерий, зубной техник проводит установку зуба по лингвализированной окклюзионной схеме для достижения баланса между билатеральной сбалансированной окклюзией и центральным соотношением. Лингвализированная окклюзионная схема не предусматривает контакта передних зубов, именно поэтому штифт артикулятора устанавливается так, чтобы вышеупомянутые части восковой композиции не контактировали.
Проверка фонетической функции
На этапе примерки протеза обязательно проверяют параметры эстетики и фонетической функции. Пациента несколько раз просят произнести звук «С» и оценивают изменения соотношения челюстей. Такой подход способствует достижению более прогнозированных и успешных результатов.
Выводы
Реабилитация пациентов с полной адентией является непростой клинической задачей. Однако при реализации вышеописанного систематического подхода врачу удается добиться надлежащего восстановления функции, эстетики и фонетики в результате проведенного лечения (фото 12).
Фото 12. Вид окончательных конструкций полных съемных протезов в ротовой полости.

Данный подход также можно использовать при реабилитации пациентов съемными конструкциями на имплантатах, поскольку адаптивная способность таковых несколько ниже, чем обычных съемных протезов, учитывая стабильность установленных внутрикостных опор.
Цифровая лицевая дуга и дентолицевой анализатор: от 2D к 3D анализу улыбки
Протоколы цифровой работы в стоматологии становятся все более популярными как среди клиницистов, так и среди зубных техников, так что внедрением CAD/CAM в повседневную стоматологическую практику уже никого не удивишь. Оцифровка данных, получение результатов КЛКТ и сканирование моделей - это только первый этап диагностики, который в дальнейшем имеет ключевое значение для планирования ятрогенных вмешательств, моделирования дизайнов протетических конструкций и их производства с уникально высокой точностью. В последние десятилетия клиницисты и зубные техники в своем большинстве использовали механические артикуляторы для имитации шарнирных и эксцентричных движений нижней челюсти, при этом проверяя точность будущих реставраций с помощью восковых и композитных аналогов. Лицевые дуги были разработаны специально для того, чтобы скопировать ориентацию верхней челюсти относительно центра ротации суставных мыщелков в трех взаимоперпендикулярных плоскостях, чтобы в дальнейшем перенести их в структуру артикулятора.

Фото 1. Цифровая модель, импортированная в exocad: красные линии, иллюстрируют положение центральной линии и окклюзионной плоскости.

Panadent представила упрощенную систему для переноса соотношения моделей челюстей в аналоговый артикулятор, которая называется Kois Dento-Facial Analyzer (DFA). Система Dento-Facial Analyzer была разработана доктором Коисом и впоследствии продана как технология компании Panadent (Калифорния), которая представляет собой окклюзионную подставку, которая непосредственно фиксируется магнитом артикулятора Panadent. После этого несколько компаний скопировали технологию и разработали аналогичные окклюзионные подставки и для своих артикуляторов. Устройство в основном состоит из Fox-плоскости с регулируемым срединным стержнем (фото 2). Оттискная ложка присоединена к плоскости для регистрации положения верхней челюсти с использованием оттискного материала, таким образом, удается перенести позицию окклюзионной плоскости и срединной линии в трех плоскостях на аналоговой артикулятор, в котором, в свою очередь, регистрационная пластинка фиксируется посредством магнита (фото 3-4).
Фото 2. Пациент с аппаратом Kois Dento-Facial Analyzer System.

Фото 3. Оттиск в Kois Dento-Facial Analyzer System.

Фото 4. Окклюзионная площадка с оттисков в Kois Dento-Facial Analyzer System.

Данный подход позволяет фиксировать модели на определённом расстоянии в 100 мм, что, по данным докторам Коиса, является средней аксиально-режущей длиной. Такой же показатель используется при реализации принципов равностороннего треугольника Бонвилла и сферической теории Монсона.
Для переноса этой же информации в цифровой среде также было предложено множество подходов и разных программ, которые, однако требовали огромных временных затрат и были слишком сложными в использовании. Большинство имеющихся на сегодня сканеров лица являются не только достаточно дорогими (около 5000 долларов США), но и обеспечивают получение достаточно качественной сетки изображения, которая могла бы быть использована для дальнейшего сопоставления со сканами моделей. Кроме того, лицевые сканеры также могут регистрировать цветовые параметры исследуемого объекта, что, в свою очередь, может ввести врача в заблуждение относительно того, насколько качественным является полученное изображение. С другой стороны, сканеры, которые работают без функции регистрации цвета, характеризуются наличием типичных графических дисторций, и всегда воссоздают реальную форму объекта (фото 5).
Кроме того, при сканировании лица всегда надо отмечать референтные точки, относительно которых буде проводиться сопоставление моделей, что еще больше усложняет процесс использования цифровых видов артикуляционных систем.
Метод, который описанный в этой статье, позволяет преодолеть все вышеупомянутые проблемы, поскольку предоставляет возможности для выравнивая цифровых моделей в виртуальном артикуляторе посредством использования сканов прикусных блоков вместе с DFA.
Методика состоит из следующих этапов:
Фото 5. Сравнение цифровых сканов лица с использованием функции регистрации цвета и без нее.

Фото 6. Сопоставление цифровых моделей в окклюзии.

Фото 7. Сопоставление цифровых моделей по прикусному блоку.

Фото 8. Перенос данных о положении серединной линии и окклюзионной плоскости.

Фото 9-10. Вид ориентации модели относительно горизонтальной плоскости цифрового артикулятора.


Помимо основного выравнивания, у врача есть два разных способа установки корреляции переднезаднего размера цифровой модели в виртуальном артикуляторе. Первый вариант доступен, если у клинициста присутствует набор КЛКТ-данных сканирования всего черепа пациента (широкое поле съемки приблизительно 20 × 18 см со стандартным разрешением). Расстояние от центра вращения суставных мыщелков до центральных резцов может быть измерено и воспроизведено в модуле артикулятора (фото 11); модуль exocad DICOM для просмотра данных КЛКТ можно использовать для измерения необходимых параметров и их сравнения с данными, полученными в ходе сканирования модели верхней челюсти.
Фото 11. Ориентация модели в артикуляторе по расстоянию от центра ротации суставных мыщелков до центральных резцов.

Второй вариант сравнения переднезаднего размера цифровой модели предполагает учет среднего расстояния по оси, которое, по данным исследований доктора Kois, составляет около 100-110 мм. Именно таковой является среднее антропометрическое расстояние от центра вращения суставных мыщелков до режущего края центральных резцов верхней челюсти; это расстояние традиционно используется в моделях артикулятора Panadent PCF и PSH вместе с разработанной окклюзионной подставкой для магнитной фиксации оттиска, полученного с использованием Kois DFA. Инструмент 3-мерной линейки предоставляется в большинстве CAD-программ, и позволяет установить величину необходимых расстояний, и следовательно - необходимое положение модели.
Данный подход является крайне полезным в случаях восстановления эстетического профиля в области передних зубов, поскольку позволяет учесть трехмерные параметры дизайна улыбки. Преимущество трехмерного моделирования составляющих улыбки состоит в том, что при желании пациента можно изменить любую составляющую цифровой модели без необходимости перерабатывать ее на воске. Таким образом, врач экономит и свое время, и время зубного техника. Кроме того, вышеописанная методика позволяет проводить суперимпозицию цифровых фотографий или видео с высоким разрешением на тот объем данных, который используется в ходе планирования и лечения пациента. Иными словами, врачу удается проверить качество выполненной работы «вживую» еще до начала производства окончательных протетических реставраций.
Преимущества цифровой фотографии перед лицевыми сканерами состоит в том, что с помощью фотоаппарата можно зарегистрировать ежесекундную улыбку пациента, в то время как для ее «запечатления» при помощи сканера с той же целью может понадобиться гораздо больше времени, которое, однако тоже измеряется в секундах. Но ведь истинная улыбка - это непосредственная улыбка в определенный момент, а не форсированная диагностическая позиция. Еще одним преимуществом использования цифровой восковой модели является возможность визуализации и измерения необходимого объема реставрационного материала со всех сторон зубов. Таким образом, врач четко может оценить необходимый объем редукции ткани, минимизировав влияние ятрогенного вмешательства.
Клинический случай
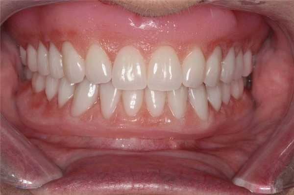
Фото 12-13. Фотография зубов пациентки до лечения.


На следующих этапах проводили реализацию протокола сопоставления всех полученных цифровых данных, который был описан выше. Двумерные изображения пациента были импортированы и наложены по референтным точкам для получения трёхмерной функциональной виртуальной восковой модели, на которой проводили повышение уровня режущих краев в области резцов и премоляров. Виртуальная репродукция зубов проводилась с использованием библиотеки шаблонов-зубов. Шаблоны зубов, предложенные системой exocad, также можно корректировать по цвету, таким образом, достигая максимальной индивидуализации протокола реабилитации (фото 14). Дизайн коронок определялся посредством применения функции модуля цифрового артикулятора с имитацией экскурсионных движений нижней челюсти (фото 15).
Фото 14. Трехмерный дизайн улыбки.

Фото 15. Виртуальный артикулятор.

Виртуальный трехмерный дизайн будущей улыбки был репрезентирован пациентке в ходе ее второго визита. Таким образом, ей была предоставлена возможность внести некоторые изменения в вид будущих реставраций, исходя из собственных субъективных пожеланий. Однако, вид ее улыбки, который был смоделирован в цифровой среде, ей полностью понравился, так что врач приступил к этапу принтинга восковой репродукции (MoonRay S, SprintRay, Лос-Анджелес, Калифорния, США) и изготовлению оттискного шаблона для получения композитного аналога будущих реставраций (Integrity, Dentsply Sirona, Йорк, Пенсильвания, США, фото 16).
Фото 16. Оттиск сделан по восковой репродукции.

Композитный аналог выполняет сразу 2 функции. Первая - это роль эстетического и функционального прототипа будущих реставраций, который позволяет пациенту почувствовать, как протетические конструкции будут выглядеть в ротовой полости. Вторая функция - это выполнение роли временных конструкций, которая заключается в выполнении функции контролирующего шаблона во время проведения препарирования (фото 17).
Фото 17. Композитный аналог используется в качестве контролирующего шаблона в ходе препарирования зубов.



Фото 20. IPS Empress CAD - блоки для фрезеровки.
Фото 21. Отфрезерованные IPS Empress CAD - виниры.
Пациентка была чрезвычайно довольна полученным результатом лечения (фото 22-25). С целью повышения срока функционирования конструкции ей также были изготовлены окклюзионные каппы. На момент мониторинга через 1 год после лечения никаких осложнений отмечено не было.
Фото 22. Вид зафиксированных виниров сбоку.

Фото 23. Окклюзионный вид зафиксированных виниров.

Фото 24. Фронтальный вид улыбки пациента после лечения.

Фото 25. Латеральный вид улыбки пациента после лечения.

По предложенной авторами статьи технике можно проводить перенос позиции восковых валиков от беззубых пациентов в структуру артикулятора. Логично, выполнение такой задачи требует большей аккуратности и точности выполнения отдельных этапов протокола. Использование аппарата DFA аргументировано простотой его применения. Таким образом, предложенная техника может быть легко имплементирована в работу стоматологических клиник и зуботехнических лабораторий, а ее дальнейшее усовершенствование будет нацелено на улучшение и автоматизацию этапа сопоставления набора цифровых данных в унифицированную комплексную модель. Также следует уделить больше внимания аспекту анализа движений нижней челюсти относительно референтных точек лица, ведь копирование естественных артикуляционных траекторий позволит добиться полной индивидуализации алгоритма стоматологической реабилитации.
Цифровая передача данных из лицевой дуги посредством технологии DFA представляет собой предсказуемый, быстрый и простой способ сопоставления цифровых моделей в виртуальном артикуляторе без необходимости использования дорогого программного обеспечения.
Использование артикулятора для получения идеального расположения прикуса
Привлекательная белоснежная улыбка, здоровые зубы, крепкие десны и идеальное расположение прикуса - это, безусловно, залог успеха и высокого качества жизни! Красивая улыбка с идеальным расположением прикуса вызывает восхищение окружающих и добавляет уверенности в себе.
Челюсть человека имеет важное значение, ведь основная функция зубочелюстной системы - это жевание. Многие стоматологические проблемы могут доставлять не только дискомфорт, но и приводить к трудностям с пережевыванием пищи, и как следствие, к изменению рациона питания, возникновению проблем со здоровьем, в частности, с желудочно-кишечным трактом.
Расположение прикуса человека
Устранить стоматологические проблемы, восстановить жевательную функцию, произвести замещение утраченных или разрушенных зубов протезами - это только половина дела. При проведении сложных стоматологических операций необходимо учесть индивидуальные особенности челюсти, а именно траекторию движений нижней челюсти.
Траектория движений нижней челюсти у каждого человека индивидуальна и зависит от формы зубов человека, состояния и особенностей височно-нижнечелюстного сустава, изменяющегося при потере зубов, неправильном протезировании, которое в свою очередь может повлечь множество проблем:
Записаться к Стоматологу

Фомина Анастасия Станиславовна
Стоматолог
31 год стажа

Ростовенко Инна Ивановна
Стоматолог
17 лет стажа

Анисимова Наталья Юрьевна
Стоматолог
28 лет стажа
Беляева Ляйля Мансуровна
Стоматолог
14 лет стажа

Пономарева Людмила Владимировна
Ортодонт
25 лет стажа

Жолудева Галина Григорьевна
Ортодонт
36 лет стажа

Шушаникова Анжелика Александровна
Стоматолог
18 лет стажа

Никоноров Дмитрий Александрович
Стоматолог
21 год стажа

Чернышова Наталия Юрьевна
Стоматолог
11 лет стажа

Юрченко Наталья Викторовна
- Частые головные боли;
- Артрит;
- Артроз;
- Дискомфорт при пережевывании;
- Неприятные ощущения и боли при пережевывании, произношении слов, открывании рта и многое другое.
При протезировании зубов необходимо учитывать индивидуальные особенности челюсти человека, что, естественно, ни один специалист-стоматолог не сможет определить зрительно на глаз. Для того чтобы точно узнать индивидуальные особенности челюсти приходит на помощь специальная аппаратура - индивидуальный артикулятор и лицевая дуга.
При лечении зубов и проведении сложных операций Ваш стоматолог должен учитывать индивидуальные особенности челюсти.
Стоматологи центра Дентал Имплант превосходно владеют методикой использования системы индивидуального артикулятора и лицевой дуги, благодаря которой можно узнать единственно верное расположение каждого зуба в зубной дуге!
Что такое артикулятор и лицевая дуга?
Артикулятор - это аппарат, применяемый в стоматологии, и позволяющий воспроизвести всевозможные движения нижней челюсти: открывание, закрывание, движения в переднем, заднем и боковых направлениях. Использование артикулятора в стоматологии имеет важное значение, поскольку при изготовлении зубных протезов необходимо произвести правильную постановку искусственных зубов, чего можно добиться только при помощи специальных артикуляторов.
Лицевая дуга - это приспособление, которое позволяет определить у пациента положение верхней челюсти относительно ориентиров челюсти, а затем перенести его в артикулятор.
Артикуляр позволяет воспроизвести движения нижней челюсти относительно верхней челюсти.
Для чего применяются артикуляторы?
Артикуляторы в стоматологии могут применяться для различных целей:
- Выбор метода окклюзионной коррекции;
- Диагностическое сошлифовывание зубов;
- Определение наличия супраконтактов на зубах;
- Диагностика окклюзии;
- При планировании всех видов стоматологического лечения;
- Для изготовления съемных и несъемных конструкций протезов и другое.
При изготовлении сложных ортопедических конструкций, когда прикус человека полностью реконструируется, необходимо воссоздавать правильные индивидуальные движения, для чего и применяются артикуляторы.
Применение артикуляторов при протезировании - это не модное решение продвинутых стоматологических центров, это необходимость, которая позволяет получить более качественный и точный результат!
Какие существуют артикуляторы?
Существует большой выбор артикуляторов от самых разных производителей, но все артикуляторы делятся на 4 основных типа:
- Простые шарнирные артикуляторы, которые используются в качестве наглядного пособия для студентов.
- Среднеанатомические или линейно-плоскостные артикуляторы используются для изготовления одиночных коронок, полного съемного протеза.
- Полурегулируемые артикуляторы позволяют воспроизводить суставные и резцовые пути.
- Полностью регулируемые или универсальные артикуляторы могут настраиваться по индивидуальным данным положения челюстей, которые переносятся в артикулятор при помощи лицевой дуги.
Выбор типа артикулятора зависит от уровня и объема работ, которые планируется проводить в стоматологической практике. Изготовление ортопедических конструкций большой протяженности, тотальных реставраций, анализ патологических и аномальных прикусов связаны с необходимостью оценки вертикальных и горизонтальных соотношений челюстей в универсальном или полностью регулируемом артикуляторе.
Переносить положения модели верхней челюсти в артикулятор можно при помощи переносного столика, переносной штанги для непрямой загипсовки или через установку лицевой дуги с прикусной вилкой и переходным устройством в артикулятор.
Использование артикулятора с лицевой дугой
Использование артикулятора с самого начала зуботехнических работ разной сложности позволяет учитывать индивидуальные движения нижней челюсти, требуется только небольшая подгонка в полости рта.
Важно, чтобы Ваш стоматолог в совершенстве владел методикой использования индивидуального артикулятора. Стоматологи центра Дентал Имплант имеют огромный опыт в применении артикулятора для решения многих зубных проблем!
Верхняя челюсть каждого человека имеет индивидуальное расположение по отношению к височно-нижнечелюстным суставам. Узнать и учесть расположение верхней челюсти человека при выполнении сложного лечения полости рта помогает лицевая дуга, которая крепится на голову пациента при помощи винтов и специального прикусного материала.
Стоматолог устанавливает лицевую дугу по специальным ориентирам, вставляет ушные выступы в наружные слуховые проходы, а носовой упор - в переносицу. Лицевая дуга имеет накусочную плоскость или ее еще называют «вилкой», которая вместе со слепочной массой-регистратором располагается в полости рта и прижимается к зубам верхней челюсти.
После того, как расположение индивидуального прикуса будет отмечено на слепочной массе-регистраторе, стоматолог снимает с пациента лицевую дугу, конструкция вынимается из ушей и рта человека. Затем лицевая дуга устанавливается в артикулятор, что помогает стоматологу правильно сориентировать модель верхней челюсти пациента.
В стоматологическом центре Дентал Имплант специалисты проводят все виды лечения при помощи артикулятора и лицевой дуги от фирмы KAVO (Германия).
Преимущества использования артикулятора и лицевой дуги
Использование артикулятора и лицевой дуги позволяет провести качественное лечение полости рта пациента, что избавит человека от возможного дискомфорта, последствий и осложнений. Выполнение сложных хирургических операций с учетом индивидуального расположения прикуса пациента дает возможность точно воссоздать естественную и эстетичную улыбку.
Артикулятор и лицевая дуга позволяют создавать качественные зубные протезы, ношение которых не потребует длительного периода адаптации.
Использование артикулятора и лицевой дуги в центре Дентал Имплант
Выбирая медицинский центр и стоматолога, который будет выполнять сложную стоматологическую операцию, необходимо ориентироваться на следующие факторы:
- Прежде всего, стоматологический центр должен отличаться высоким качеством выполняемых услуг. Все хирургические вмешательства, выполняемые в стоматологической клинике Дентал Имплант, производятся с учетом индивидуальных особенностей расположения прикуса пациента, с использованием артикулятора и лицевой дуги.
- Стоматологический центр Дентал Имплант оборудован самым современным и точным оборудованием. Специалисты клиники в своей работе используют артикуляторы и лицевую дугу немецкой фирмы KAVO. Особого внимания удостоен опытный и внимательный стоматолог Камалян Ашот Владимирович, за плечами которого имеется тысячи успешно проведенных стоматологических операций с использованием артикулятора.
- Центр Дентал Имплант располагается в живописном районе Москвы, в 5 минутах ходьбы от см.м. Братиславская.
- Стоматологический центр Дентал Имплант Братиславская располагает приятной атмосферой, доступными ценами, лояльной ценовой политикой и высоким качеством предоставляемых услуг.
- Специалисты клиники Дентал Имплант абсолютно безболезненно избавят Вас от зубной боли, сделают Вашу улыбку привлекательной и здоровой!
Стоматологический центр Дентал Имплант на Братиславской рад предоставить своим клиентам широкий спектр стоматологических процедур, начиная от отбеливания и заканчивая протезированием и имплантацией зубов.
Чтобы оценить качество предоставляемых услуг и сделать окончательный выбор - звоните по телефонам в Москве:
Артикуляторы: применение, виды, состав
Артикулятор - это стоматологический аппарат, позволяющий воспроизводить различные движения нижней челюсти. Данная процедура необходима при протезировании зубов для изготовлении зубного протеза.
Чтобы проводить сложные стоматологические операции, в особенности связанные с протезированием, необходимо учесть такую важную индивидуальную особенность челюстей, как траектория движения нижней челюсти.
При потере зубов, неправильном прикусе, или по каким-то другим причинам траектория движения челюсти может отклоняться от нормальной, и если этого не учесть, то протезирование повлечет за собой головные боли, дискомфорт при пережевывании и другие неприятные последствия.
Чтобы определить траекторию движения нижней челюсти и применяются специальные приборы - артикуляторы.

Когда нужны артикуляторы
Артикулятор нужен стоматологу, если ему требуется изготовить:
- Протезы - съемные, частично-съемные и несъемные
- Коронки
- Прикусные шаблоны и другие ортодонтические конструкции
Также артикуляторы применяются, чтобы спланировать сложное стоматологическое лечение. Именно с помощью артикуляторы можно создать качественные стоматологические конструкции, к которым пациенту не придется слишком долго адаптироваться.
Виды артикуляторов
В зависимости от того, насколько точно артикулятор позволяет настроить суставные и резцовые пути, он может относиться к одному из трех видов.
Среднеанатомические артикуляторы
У среднеанатомического артикулятора суставные и резцовые углы полностью фиксированные. Такие артикуляторы обычно применяются, если нужно произвести протезирование полностью беззубой челюсти.
Полурегулируемые артикуляторы
Механизмы этих артикуляторов можно настраивать либо по средним данным, либо по углам, полученным у пациента при помощи других приборов.
Полностью регулируемые артикуляторы
Чтобы настроить такой артикулятор, нужны аксио-графические или пантографические записи траектории движения нижней челюсти. Обычно такие сложные артикуляторы применяют, если необходима полная реконструкция окклюзии. Впрочем, из-за сложности настройки даже в этом случае на практике нередко применяют полурегулируемые артикуляторы.
Типы суставного механизма полурегулируемых артикуляторов
Acorn
В артикуляторах этого типа подвижный шарик, имитирующий суставную головку, располагается на нижней раме устройства, а ямка, в которой шарик перемещается, находится наверху. Такие артикуляторы используются чаще всего и обладают рядом преимуществ:
- У суставного механизма есть сменные модули и различные направляющие элементы, чтобы настроить артикулятор индивидуально под пациента
- Настройка такого артикулятора производится достаточно просто
- Артикулятор соответствует человеческой анатомии, так что по нему гораздо проще понять механику движения нижней челюсти
У артикуляторов этого типа есть только один недостаток - необходимость давления на верхнюю рамку, чтобы суставные головки на нижней стороне не приподнимались без опоры, увеличивая тем самым межальвеолярное расстояние. Впрочем, у многих современных артикуляторов этого недостатка нет.
Non-Acorn
В этих артикуляторах, наоборот, шарик располагается на верхней раме прибора, а колея, в которой он перемещается, на нижней. У артикуляторов этого типа есть одно серьезное преимущество - надежность фиксации головок в положении центральной окклюзии. А вот недостатков у них несколько больше:
- Невозможно поменять форму суставного бугорка и суставной головки
- Сложно устанавливать углы Беннетта, необходимые для настройки
- Артикулятор не соответствует анатомии человека
Обычно артикуляторы Non-Arcon применяют таким образом - сначала производятся все измерения артикуляторами Arcon, а затем они переносятся на артикуляторы Non-Arcon, с которым, когда они настроены, удобнее работать.
Читайте также:
