Пример диагностики нарушения слуха при рассеянном склерозе
Добавил пользователь Евгений Кузнецов Обновлено: 02.11.2025
Что такое отосклероз? Причины возникновения, диагностику и методы лечения разберем в статье доктора Боденко Анны Анатольевны, ЛОРа со стажем в 23 года.
Над статьей доктора Боденко Анны Анатольевны работали литературный редактор Вера Васина , научный редактор Ольга Медведева и шеф-редактор Маргарита Тихонова
Определение болезни. Причины заболевания
Отосклероз (Otosclerosis) — это разрастание костной ткани внутри уха, из-за которого снижается слух и появляется шум в ушах.
При заболевании нарушается подвижность стремечка (слуховой косточки среднего уха), из-за чего гасится звуковая волна, которая должна проходить через барабанную перепонку, стремечко и поступать в мозг. В результате человек перестаёт нормально воспринимать звуки. Слух при этом снижается постепенно, часто пациенты не сразу замечают изменения.
При болезни поражены оба уха, но хуже слышит только одно, лишь при обследовании выясняется, что процесс двусторонний [1] [9] .

Отосклероз — это системное заболевание, при котором поражается не только внутреннее ухо, но и затылочная кость, позвоночник и кисти.
Распространённость отосклероза
Отосклероз с изменениями в среднем ухе, но без клинических проявлений выявляют у 10 % населения, со снижением слуха — у 1 %. Обычно заболевание начинается в возрасте от 15 до 45 лет, но может развиться и в раннем детстве. Чаще, в 80-85 % случаев, отосклерозом болеют женщины [1] [2] .
Причины отосклероза
Отосклероз относят к генетическим болезням с аутосомно-доминантным типом наследования. Если у родственников снижен слух, то вероятность развития заболевания значительно выше, но этот риск реализуется не более чем в 40 % случаев [1] .
Как правило, отосклероз прогрессирует при гормональных перестройках: в период полового созревания, при беременности, после родов, во время менопаузы. Поэтому гораздо чаще заболевание возникает у женщин, чем у мужчин [2] .
При обнаружении схожих симптомов проконсультируйтесь у врача. Не занимайтесь самолечением - это опасно для вашего здоровья!
Симптомы отосклероза
Основные симптомы отосклероза:
- снижение слуха;
- шум в ушах;
- головокружение и нарушение равновесия.
Слух снижается у всех пациентов с отосклерозом. В первую очередь начинает неразборчиво звучать чужая речь. В начале заболевания тугоухость односторонняя, затем становится двусторонней, но лучше слышащее ухо кажется человеку здоровым.
Особенности тугоухости, по которым можно заподозрить отосклероз:
- симптом Виллизия — слух парадоксально улучшается в шумной обстановке, например в трамвае или метро;
- симптом Шира — речь сложнее разобрать при глотании и жевании;
- симптомы Тойнби и Урбанчича — Вальбе — речь становится неразборчивой при одновременном разговоре нескольких людей и напряжённом внимании.
Слух при отосклерозе снижается постепенно, выраженная глухота развивается в среднем в течение 9-10 лет от начала заболевания. В редких случаях встречаются молниеносные формы, при которых повреждаются нервные элементы внутреннего уха, из-за чего за несколько месяцев развивается почти полная глухота. Также встречаются затянувшиеся формы, которые долго развиваются и проявляются в пожилом возрасте [1] .
Шум в ушах возникает у 75-93 человек из 100 больных отосклерозом [2] . Этот симптом иногда не беспокоит пациентов, но может стать основной жалобой и тревожить сильнее, чем снижение слуха. В начале заболевания ушной шум возникает только в тишине, но с ухудшением слуха он усиливается и становится постоянным. Шум при отосклерозе чаще всего низкотональный: напоминает звуки падающей воды, прибоя, шелест листвы, гул проводов, может походить на жужжание, шипение или щёлканье. Иногда он настолько сильный, что лишает сна, аппетита и доводит до отчаяния. Шум может нарастать под влиянием алкоголя, переутомления, после физической работы, спортивных занятий, волнений, во время насморка [2] .
Головокружение при отосклерозе встречается достаточно редко. Может проявляться как ощущением неустойчивости, так и приступами системного головокружения. Симптом возникает в определённом положении, например при повороте или запрокидывании головы, быстром наклоне и резком вставании с постели.
Патогенез отосклероза
Ушной лабиринт в отличие от остальных костей со временем не твердеет и в норме остаётся таким, как при внутриутробном развитии. При возникновении отосклеротического очага лабиринтная кость выходит из этого первичного, «застывшего » состояния и образуется зрелая, плотная кость.
Отосклеротический очаг — это участок вновь образованной губчатой ткани, чётко отграниченный от плотной капсулы лабиринта и пронизанный множеством сосудистых каналов [1] .
Отосклеротический процесс развивается как в основании стремечка и окружающей его связки, так и в костном лабиринте в целом. Очаги отосклероза чаще всего возникают в области окна преддверия и улитки, капсуле улитки и значительно реже в полукружных каналах. Более чем у трети больных такие очаги появляются в нескольких местах костного лабиринта, в том числе в завитке улитки и даже во внутреннем слуховом проходе [2] . В капсуле лабиринта очаги располагаются в мозаичном порядке, но полностью капсулу никогда не замещают.

Отосклеротический процесс проходит четыре стадии:
- Происходит частичное окостенение кольцевой связки основания стремечка.
- В основании стремени развивается отосклеротический очаг, непоражённая часть основания атрофируется.
- Костные изменения приобретают характер остеомы — доброкачественной опухоли, развивающейся из костной ткани. Процесс распространяется и захватывает половину основания стремени.
- Отосклеротический процесс поражает всё основание стремени, выходит за его пределы и полностью обездвиживает стремя.
Существует много гипотез, которые объясняют механизмы развития отосклероза.
Можно выделить четыре основные группы:
- Гипотезы, согласно которым отосклероз развивается из-за механических и других физических факторов, например при работе без наушников в шумных условиях.
- Отосклероз рассматривается как наследственное или наследственно-конституциональное заболевание.
- Причиной отосклероза считается нарушение работы эндокринных органов, в первую очередь регулирующих минеральный обмен: надпочечников, гипофиза, паращитовидных и половых желёз.
- Отосклероз рассматривается как симптом других заболеваний. Предполагается, что его развитию способствуют некоторые нервно-трофические нарушения и отклонения в работе костной, сосудистой и вегетативной системы.
Точные причины отосклероза и факторы, провоцирующие его развитие, пока неизвестны [1] .
Классификация и стадии развития отосклероза
Отосклероз классифицируют по форме нарастания симптомов, локализации очага и периодам болезни. Также выделяют несколько стадий развития и периодов течения заболевания.
Стадии отосклероза:
- Гистологическая стадия (протекает без симптомов) — здоровая костная ткань замещается губчатой костью. Затем незрелая губчатая кость рассасывается и превращается в плотную зрелую кость.
- Клиническая стадия — отосклеротический процесс переходит на кольцевидную связку основания стремени и ограничивает его подвижность. Постепенно ухудшается проведение звуков в среднем ухе, что проявляется снижением слуха.
Три периода течения болезни:
- Начальный период — снижается слух, возникает шум в одном ухе, появляются гистологические изменения со стороны второго уха.
- Выраженное проявление основных симптомов — значительно ухудшается слух, появляются симптомы поражения второго уха.
- Терминальный период — глубокое поражение звуковоспринимающего аппарата (внутреннего уха, слухового нерва, центральных отделов слухового анализатора) [1][9] .
По нарастанию симптомов различают:
- Быструю форму — встречается у 11 % пациентов. Обычно наблюдается в подростковом возрасте, а также у людей с наследственной предрасположенностью к развитию отосклероза. Выраженная тугоухость у таких пациентов развивается за несколько месяцев или за год.
- Медленную форму — встречается у 68 % больных. Слух ухудшается медленно, глухота возникает в течение 9-10 лет.
- Скачкообразную форму — развивается у 21 % пациентов. При такой форме периоды стабилизации и значительного ухудшения слуха сменяют друг друга, но полностью слух никогда не восстанавливается [1] .
В зависимости от локализации очагов отосклероза выделяют:
- Тимпанальную форму — ограничена или полностью исчезает подвижность основания стремени, из-за чего нарушается звукопроведение. Прогноз при этой форме наиболее благоприятен, операция позволяет достичь хорошего эффекта.
- Кохлеарную форму — очаг отосклероза расположен в улитке, из-за чего снижается звуковосприятие. Это одна из самых неблагоприятных форм — она практически не лечится из-за развития сенсоневральной тугоухости.
- Смешанную форму — страдает звукопроведение и частично звуковосприятие. Лечение позволяет частично восстановить слух.
Осложнения отосклероза
При отосклерозе неотвратимо, порой достаточно быстро, снижается слух, что приводит к глухоте и инвалидности. От возникшей тугоухости и глухоты можно избавиться с помощью слуховых аппаратов и хирургического лечения [11] .
Диагностика отосклероза
Диагноз отосклероза устанавливают на основании анамнеза, симптомов, течения болезни и инструментальных исследований.
Сбор анамнеза
Отосклероз может встречаться в нескольких поколениях, поэтому врач спросит о снижении слуха у родственников. Диагноз у них может быть не подтверждён, но ухудшение слуха у членов семьи, особенно прогрессирующее и выраженное, может свидетельствовать о наследственном характере заболевания.
В начале болезни пациенты жалуются на нарастающее снижение слуха и шум в одном ухе, затем вовлекается и второе ухо.
Заподозрить отосклероз позволяют особенности снижения слуха: парадоксальное улучшение слуха в шумной обстановке, снижение разборчивости речи при глотании или разговоре нескольких людей. Шум в ухе при отосклерозе тоже достаточно специфичен — напоминает гул проводов, шум ветра или падающей воды.
Основные клинические критерии отосклероза: двусторонняя кондуктивная тугоухость, нормальные барабанные перепонки и хорошая проходимость слуховых труб [2] . При кондуктивной тугоухости звуковые волны плохо проходят от наружного уха к барабанной перепонке, слуховым косточкам среднего уха и внутреннему уху.
Инструментальные исследования
Диагностика отосклероза начинается с аудиометрии и акустической импедансометрии. Если с помощью этих методов выявлены отклонения, то проводится мультиспиральная или конусно-лучевая компьютерная томография.
Тональная пороговая аудиометрия — это наиболее простой и доступный метод, который позволяет заподозрить наличие отосклероза. При аудиометрии определяют пороги слуха, т. е. звуки наименьшей интенсивности, которые человек способен услышать на разных частотах. Аудиометрические кривые будут различаться в зависимости от формы отосклероза.
Акустическая импедансометрия — это комплекс исследований, с помощью которого оценивают передачу звуковых колебаний, и тем самым определяют состояние среднего уха. Именно этот метод позволяет подтвердить диагноз. Импедансометрия включает тимпанометрию и исследование слухового рефлекса.
Тимпанометрия — это исследование подвижности барабанной перепонки под давлением воздуха в слуховом проходе. При отосклерозе тимпанометрическая кривая практически не изменяется, но её амплитуда может немного снизиться.

Характерным признаком заболевания является отсутствие или инверсия акустического рефлекса [10] . Акустический рефлекс — это сокращение под воздействием звука стременной мышцы среднего уха, при очень сильном звуке сокращаются ещё и мышцы, натягивающие барабанную перепонку.
Компьютерная томография височных костей высокого разрешения (КТ) — это высокоинформативный объективный метод диагностики отосклероза. КТ позволяет точно визуализировать структуры височных костей, выявлять расположение, распространённость очагов и активность отосклероза. Также можно выявить очаги как пониженной, так и повышенной плотности.
КТ-сканирование играет важную роль при диагностике перед кохлеарной имплантацией: позволяет оценить состояние связочного аппарата и слуховых косточек, определить объём, тактику и прогноз операции. Диагностическая чувствительность КТ височных костей составляет 80-95 % [3] .
Конусно-лучевая КТ височных костей — инновационная технология, которую проводят с помощью тонкого прерывистого конического пучка рентгеновского излучения. Конусно-лучевая КТ отличается от мультиспиральной КТ по форме рентгеновского луча. При конусно-лучевой КТ ниже лучевая нагрузка, цена исследования также ниже, при этом чувствительность метода составляет 100 %. Аппараты КЛКТ есть в государственных и частных медицинских учреждениях.
Магнитно-резонансная томография височных костей (МРТ) позволяет определить состояние жидкостных сред внутреннего уха и нервов внутреннего слухового прохода, что особенно важно при распространении процесса в просвет лабиринта. Также с помощью МРТ можно исключить сопутствующую ретрокохлеарную патологию: невриному слухового нерва, нейрофиброматоз II типа, изменения головного мозга [3] [8] .
Рентген височных костей при отосклерозе не информативен, так как не может показать мелкие структуры среднего уха и строение височной кости.
Лабораторная диагностика
Анализы при диагностике отосклероза сдавать не нужно. Они могут потребоваться только при подготовке к операции.
Дифференциальная диагностика
Отосклероз следует отличать от адгезивного среднего отита, нейросенсорной тугоухости, травмы слуховых косточек и врождённых аномалий среднего уха [9] .
Лечение отосклероза
Цель лечения — улучшить слух и предотвратить дальнейшее прогрессирование болезни. Применяются консервативные и хирургические методы.
Консервативное лечение
Медикаментозное лечение позволяет уменьшить шум в ушах, показано при активном отосклеротическом процессе [3] . Основная терапия — это бифосфонаты в сочетании с фторидом натрия, витамином D и препаратами кальция. Наиболее эффективны азотсодержащие бифосфонаты 3-го поколения, но в России пока используются азотсодержащие бифосфонаты 1-2-го поколений [3] .
Медикаментозная терапия проводится в течение трёх месяцев: месяц приёма препаратов, перерыв на месяц, снова месяц приёма. Если положительной динамики нет, то назначают ещё 1-2 курса. Эффективность медикаментозной терапии контролируют с помощью КТ височных костей.
К побочным эффектам бифосфонатов относятся боли в верхней части живота, запор, диарея и метеоризм. Фторид натрия может провоцировать боль в суставах, дискомфорт в желудке, тошноту, рвоту, гастрит, язвенную болезнь, миелопатию, отложение кальция в связках и боли в костях.
Чтобы усилить эффект, лечение иногда дополняют электрофорезом фторида натрия с сульфатом магния на область уха [7] . Но научных доказательств эффективности этого метода пока недостаточно.
При лечении отосклероза врач постоянно контролирует состояние пациента. Проверка слуха (аудиометрия) проводится через 6 месяцев после начала лечения, а затем раз в год. Если слух продолжает ухудшаться, может потребоваться хирургическое лечение [3] .
Когда речь собеседника звучит неразборчиво или не воспринимается совсем, рекомендуется носить слуховой аппарат.
Хирургическое лечение
Основной метод хирургического лечения отосклероза — это стапедэктомия со стапедопластикой (удаление стремени и замена его протезом). Заметного и стойкого улучшения слуха удаётся достичь у большинства пациентов.
Во время операции частично или полностью удаляют стремя и вживляют тефлоновые, керамико-танталовые, титановые протезы или свой хрящ, который берут с задней поверхности ушной раковины. Операция обычно проводится под местной анестезией.

Чтобы уменьшить риск кровотечения и повреждения окружающих тканей, стремя удаляют с помощью лазера.
После хирургического лечения рекомендуется в течение 3-4 месяцев избегать тяжёлых физических нагрузок, резких движений головой, не бегать, не прыгать, не подвергать уши резким перепадам давления, громким звукам, шуму, сильно не сморкаться, избегать перегрева и переохлаждения, беречься от острых респираторных заболеваний. В течение 7-8 месяцев нельзя летать на самолёте.
При несоблюдении этих рекомендаций могут развиться осложнения. К возможным осложнениям после операции относятся фистула лабиринта и самопроизвольная ампутация длинного отростка наковальни. Чтобы устранить их, потребуется повторная операция.
Кохлеарная имплантация
При развитии тугоухости IV степени и глухоты спатедэктомия с протезированием не эффективны. Восстановить слух у таких пациентов можно с помощью кохлеарной имплантации — установки устройства, которое преобразует внешние импульсы в сигналы, понятные нервной системе [5] [6] . После установки имплант настраивает аудиолог. Чтобы пациент смог адаптироваться к новым слуховым ощущениям и научился снова узнавать звуки и речь, необходимо заниматься с сурдопедагогом и логопедом.

Прогноз. Профилактика
В большинстве случаев прогноз при отосклерозе относительно благоприятный: даже при развитии тугоухости и глухоте слух после операции улучшается, как правило, у 80-90 % пациентов [11] .
Специфической профилактики отосклероза не существует, но есть правила, которые позволяют замедлить развитие болезни.
Эти правила просты, но эффективны:
- нужно стараться вести спокойный образ жизни, избегать стрессовых ситуаций;
- чаще гулять на свежем воздухе, особенно по лесу, больше времени проводить на даче, в сельской местности;
- есть больше растительной пищи и продуктов, содержащих витамин Д (печень, желток, сливочное масло, рыбий жир);
- отказаться от длительного загара — продолжительное солнечное облучение негативно влияет на состояние кожи, вызывает перегрев тела, при этом снижается иммунитет и нарушается работа эндокринных желёз;
- обследоваться у ЛОР-врача не реже раза в год [1] .
Если у родственников были проблемы со слухом, то для профилактики нужно посетить ЛОР-врача.
Первые симптомы рассеянного склероза
Рассеянный склероз — непредсказуемое заболевание. Долгое время оно может протекать без каких-либо проявлений. В некоторых случаях возникают неспецифические симптомы, характерные для многих неврологических заболеваний. Несмотря на разнообразие симптомов, выделяют ряд признаков, которые сигнализируют о начале развития рассеянного склероза.

С течением времени симптомы рассеянного склероза могут видоизменяться, а также угасать или нарастать в зависимости от активности очагов [1].
На что обращать внимание?
Считается, что ни одно другое неврологическое заболевание не проявляется таким разнообразием симптомов, как рассеянный склероз (РС). Более того, нет двух больных РС с одинаковыми симптомами. Это происходит потому, что у каждого болезнь распространяет свои очаги поражения абсолютно индивидуально, поскольку процесс демиелинизации способен захватывать как головной, так и спинной мозг с разной степенью выраженности и в разной последовательности [1].
Когда рассеянный склероз атакует миелиновую оболочку, она начинает постепенно разрушаться, оставляя нервные волокна незащищенными. «Оголенные» нервные нити, лишенные защиты, с трудом передают информацию. Появляется определенный симптом, связанный с этими повреждениями. Но если миелин уничтожен не до конца, возникает процесс частичной ремиелинизации, и симптом может то исчезать, то появляться вновь. Когда же нервное волокно разрушается полностью, симптом остается с больным окончательно. Поэтому, если у больного исчезли симптомы, это не повод забыть о недуге и прекратить лечение. Ведь процесс разрушения миелина может продолжаться без видимых проявлений и привести к более серьезным нарушениям [1].
Часто при дебюте рассеянного склероза больной не связывает различные возникающие и исчезающие симптомы с какой-то болезнью. Ведь многие симптомы рассеянного склероза являются неспецифичными (например, головокружение, онемение или слабость) и могут проявляться при целом ряде заболеваний, не всегда связанных с демиелинизирующим процессом. Эта особенность симптоматики часто является причиной поздней диагностики рассеянного склероза. Может рассеянный склероз никак не проявляться клинически, бывают случаи, когда на МРТ уже определяются выраженные изменения, а симптомы проявляются слабо или не возникают совсем [1].
Встречаются случаи, когда в дебюте рассеянного склероза пациент длительное время обращает внимание только на общее чувство усталости, связывая это с нагрузками или стрессом. Часто у больного проявляется лишь одно отклонение. Реже пациентов беспокоит несколько различных симптомов одновременно. Это говорит о более длительном течении болезни [1].
Однако существуют специфические симптомы рассеянного склероза, при помощи которых врачи сразу могут диагностировать болезнь. К ним относятся нарушения зрения и синдром Лермитта [2, 3].
Несмотря на обширность и разнообразие симптоматики, проявления рассеянного склероза можно разделить на следующие группы [2, 3]:
1. Классические симптомы, характерные для рассеянного склероза:
- поражение зрительного нерва (проявляется снижением остроты зрения на один глаз, ощущением «пелены» перед одним глазом, расплывчатость), которое может сопровождаться головными болями;
- синдром Лермитта (чувство «прострела», распространяющееся вниз по позвоночнику, в руки и в ноги при сгибании шеи вперед).
2. Симптомы, часто встречающиеся при рассеянном склерозе:
- спонтанные движения глазных яблок (нистагм);
- раздвоение видимых предметов на один глаз (монокулярная диплопия) или на два глаза (бинокулярная диплопия);
- слабость и чувство неловкости в конечности;
- онемение конечностей;
- тяжесть в ногах;
- постоянная усталость;
- недержание мочи или императивные (внезапные и сильные) позывы к мочеиспусканию.
3. Симптомы, редко встречающиеся при рассеянном склерозе:
- нарушения слуха и речи;
- невралгия (поражение периферических нервов) тройничного или лицевого нервов;
- эпилептические припадки;
- дыхательные нарушения;
- лицевые миокимии (мышечные подергивания одной или нескольких групп мышц).
В большинстве случаев симптомы рассеянного склероза сопровождаются различными психоэмоциональными расстройствами. Больной становится раздражительным, постоянно чувствует усталость, испытывает перепады настроения, ему становится трудно запоминать информацию. Иногда человек погружается в состояние депрессии или, наоборот, впадает в эйфорию [4].
Некоторые пациенты обращаются с жалобами на множество недомоганий, которые могут меняться время от времени. К примеру, в течение одной недели человек может ощутить несколько признаков рассеянного склероза: сперва симптомы диплопии, затем слабость в мышцах, после — ощущение онемения конечностей [4].
Так как иммунная система атакует нервные волокна по всему организму, поражения возникают в различных участках нервной системы. Важно, что с течением времени симптомы могут видоизменяться, а также угасать или нарастать в зависимости от активности очагов. Без надлежащего лечения больной рискует получить множественные отклонения, проявляющиеся абсолютно разными симптомами [4].
Таким образом, появление любого из вышеперечисленных симптомов должно послужить поводом для обращения к врачу с целью детальной диагностики и уточнения диагноза. В то же время диагноз рассеянный склероз не устанавливается только на основании симптоматики. Для точного определения диагноза применяются специальные критерии МакДональда, обязательно включающие МРТ-исследования [5].
Комментарий врача Тотолян Натальи Агафоновны
Комментарий о том, на что в первую очередь предстоит обратить внимание и каковы первые клинические проявления (первые симптомы рассеянного склероза), дает один из ведущих специалистов в лечении рассеянного склероза Наталья Агафоновна Тотолян.
Нарушение слуха при рассеянном склерозе
У пациентов с рассеянным склерозом не редко встречаются эпизоды слуховых нарушений. Острое нарушение слуха может быть признаком обострения или дебюта РС. В статье мы рассмотрим возможные причины снижения слуха, диагностику рассеянного склероза при слуховых нарушениях, а также особенности нарушений слуха при РС.

Эпизоды слуховых нарушений не редкость у пациентов c рассеянным склерозом (РС) [1]. Причины этих симптомов могут быть самыми разными. Но важно помнить, что в 3,5% случаев острое нарушение слуха может оказаться признаком обострения или дебюта РС 4. А при этой болезни время назначения лечения очень значимо [2].
Возможные причины снижения слуха
Рассеянный склероз — это хроническое заболевание, при котором страдают нервные клетки в самых разных частях головного и спинного мозга [5]. Аутоиммунное воспаление может возникнуть и в тех структурах, которые отвечают за слух. Например, в самих слуховых нервах, их ядрах или в «слуховых» зонах продолговатого мозга — нижних холмах четверохолмия и медиальных коленчатых телах [2].
Но в каждом случае слуховых нарушений нужно уточнить причину — виноват РС или какое-то другое заболевание. Это особенно актуально, когда тугоухость становится единственным симптомом дебюта рассеянного склероза.
Нарушение слуха могут вызывать болезни, не имеющие никакого отношения к РС. Это, например [2, 4, 6]:
- инфекции среднего или внутреннего уха;
- сосудистые болезни головного мозга;
- нейроинфекции;
- опухоли головного мозга;
- невриномы слуховых и лицевых нервов;
- последствия радиохирургии в области уха;
- расстройства из спектра нейромиелита;
- синдром Сусака и другие.
Чтобы выявить истинную причину слуховых нарушений, нужна тщательная диагностика. Поиск начинается с клинического осмотра невролога и отоларинголога [5].
Особенности нарушений слуха при РС
Клинически слуховые нарушения при рассеянном склерозе, как правило, проявляются следующим образом:
- Диапазон слуховых жалоб может быть очень широким — от чувства небольшой заложенности в ухе до внезапно возникшей глухоты. Иногда пациента беспокоит шум в одном или обоих ушах, снижение слуха то с одной, то с другой стороны. Встречается также повышенная чувствительность к разным звукам, нетерпимость к шуму [7].
- Наиболее часто снижение слуха сочетается с головокружением, нарушением походки, дискомфортом при жевании и глотании, затруднением точных движений рук, например при письме или вязании [7]. Сочетание с нарушением равновесия встречается у 39-70% пациентов. Может появиться нистагм — самопроизвольные движения глазных яблок [8].
- В более редких случаях, примерно у 1% пациентов, снижение слуха появляется как единственный симптом 4. Такое начало РС трудно распознать, поскольку врачи в первую очередь думают о более банальных причинах потери слуха.
Интересный факт
Описана ситуация [2], когда пациентку в течение 9 лет беспокоили только снижение слуха и шум в ушах. Отоларингологом был поставлен диагноз «двусторонний кохлеарный неврит». Несмотря на лечение, слух не восстанавливался.
Через 9 лет, после психоэмоционального стресса у женщины появились другие неврологические нарушения — слабость в одной ноге, проблемы с мочеиспусканием. Пациентку госпитализировали с подозрением на инсульт. В стационаре врачи сделали МРТ и обнаружили характерные для рассеянного склероза очаги.
Когда подтвердился диагноз РС, было назначено специфическое лечение. Благодаря терапии слух удалось частично восстановить.
Для успеха терапии важно вовремя распознать РС и выявить признаки его активности. Поэтому при появлении нейросенсорной тугоухости нужно обратиться к врачу и пройти обследование [5].
Диагностика РС при слуховых нарушениях
Помимо клинического осмотра невролога и отоларинголога, важную информацию дают МРТ и анализ акустического обследования. Они помогают заподозрить РС и обосновать поиск критериев Макдональда [2, 5, 7].
Данные МРТ
При РС на снимках магнитно-резонансной томографии могут обнаружиться очаги демиелинизации [5]. Контрастирование гадолинием помогает отличить свежие поражения от старых. В новых очагах, где еще течет воспаление, контраст сильнее накапливается, участки выглядят ярче. Наличие таких очагов говорит об активности процесса.
Исследование также помогает выявить наличие опухолей, некоторых признаков других болезней, не относящихся к РС. Но в ряде случаев МРТ может вообще не выявить никакой патологии, даже если есть аутоиммунное заболевание [7].
Акустическое обследование
Наиболее часто для диагностики нарушений слуха используют следующие методы [7, 8]:
- Исследование акустических стволовых вызванных потенциалов (АСВП) — дает врачу информацию о сохранности и работе слуховых нервов и путей передачи акустических сигналов.
- Аудиометрия — выявляет, насколько слух пациента чувствителен к звукам разных частот.
- Тимпанометрия и акустическая рефлексометрия — дают представление о здоровье тканей среднего уха, степени подвижности барабанной перепонки, проводимости слуховых косточек, защитной реакции мышц, окружающих слуховые косточки.
При рассеянном склерозе результаты акустических измерений помогают понять, связано ли нарушение слуха с ЛОР-заболеванием. Возможно, причина тугоухости связана с нарушением передачи нервных импульсов от слуховых нервов к мозгу [7].
Лечение и прогноз слуховых нарушений при РС
При РС успех лечения во многом зависит от того, насколько рано пациент обратился к врачу при нарушении слуха, как тщательно проведено обследование. Несвоевременная диагностика и неадекватная терапия могут привести к стойким слуховым нарушениям [2]. При рано поставленном диагнозе и вовремя назначенном лечении рассеянного склероза можно получить хороший эффект, вплоть до полного восстановления слуха 1.
Выводы
Подводя итоги, можно сказать, что:
- слуховые нарушения, к сожалению, могут оказаться проявлением рассеянного склероза;
- иногда это только снижение слуха, но чаще тугоухость сочетается с другими неврологическими симптомами;
- все случаи нейросенсорной тугоухости нуждаются в тщательной дифференциальной диагностике;
- при своевременно выявленном рассеянном склерозе лечение имеет хорошие шансы на восстановление слуха.
По мнению большинства ученых, при остром нарушении слуха нужны госпитализация и проведение необходимого обследования в стационаре [2].
Рассеянный склероз - симптомы и лечение
Что такое рассеянный склероз? Причины возникновения, диагностику и методы лечения разберем в статье доктора Новикова Юрия Олеговича, мануального терапевта со стажем в 41 год.
Над статьей доктора Новикова Юрия Олеговича работали литературный редактор Маргарита Тихонова , научный редактор Сергей Федосов
Рассеянный склероз (РС) является одним из частых хронических аутоиммунных заболеваний центральной нервной системы (ЦНС).

Распространенность РС высока и делится на зоны с высокой, умеренной и низкой встречаемости заболевания. Высокая распространённость отмечена в Северной Америке и Северо-Западной Европе.
В мире выявлено около 2 млн больных РС. В нашей стране в различных областях количество заболвших РС колеблется от 2 до 70 больных на 100 000 человек, причём значительно реже болезнь встречается в Средней Азии и Закавказье. В крупных промышленных районах и городах заболеваемость выше, чем в сельской местности, у лиц мужского и женского пола она одинакова.
- начало болезни в молодом возрасте, обычно между 20 и 35 годами (в отдельных случаях заболевают люди и более молодого, и более старшего возраста);
- многосимтомность;
- полиморфизм (многообразность) проявлений;
- прогрессирующее течение с весьма типичной наклонностью к ремиссиям и новым обострениям. [1][2]
Причина возникновения РС точно не установлена. Высказывалось мнение об инфекционной природе этого заболевания. Такое предположение основывается на случае острого развития заболевания с повышением температуры и свойственными инфекционным заболеваниям изменениям ликвора и крови, а также патоморфологических данных.
В настоящее время известно, что возбудителем РС может являться нейтропный фильтрующийся вирус, идентичный вирусу рассеянного энцефаломиелита. Исследователи из Гарвардской медицинской школы обнаружили, что риск рассеянного склероза увеличивается в 32 раза после заражения вирусом Эпштейна - Барр . Также учёные установили, что вероятность развития РАС не повышалась при инфицировании цитомегаловирусом и вирусом герпеса [17] .

В основе демиелинизации (избирательного поражения головного мозга) лежит аутоиммунный процесс. Пути передачи инфекции не выяснены. Заражения непосредственно от больного не происходит. Возможность контактного пути распространения болезни следует считать маловероятным. [3] [4]
Симптомы рассеянного склероза
При всём многообразии и изменчивости расстройств, свойственных РС, можно выделить основную, наиболее частую, типичную его форму—цереброспинальную.
Обычно заболевание цереброспинальной формой РС начинается в молодом возрасте. Эта форма характеризуется:
- сочетанием пирамидных и мозжечковых расстройств;
- нередким поражением зрительных нервов;
- иногда преходящей диплопией (раздвоение видимых объектов);
- ремиттирующим течением (повторные ремиссии).
Развитие пирамидных и мозжечковых расстройств обусловлено частым образованием очагов воспаления в боковых столбах спинного мозга, мозговом стволе и ножках мозжечка.

Наиболее ранними симптомами являются:
- утрата брюшных рефлексов;
- утомляемость и слабость ног;
- лёгкое интенционное дрожание в руках;
- нистагм (неконтролируемое ритмичное движение глаз).
Офтальмологические проявления
Нередко начальным изолированным расстройством является поражение зрения, развивающееся по типу так называемого ретробульбарного неврита (острое воспаление зрительного нерва). При этом возникает слепота или скотома (слепой участок в поле зрения) того или иного глаза.

Поскольку процесс локализуется не в соске зрительного нерва, а в его стволе (ретробульбарно), то на глазном дне в течение иногда довольно длительного срока изменений не обнаруживается.
При значительном поражении поперечника зрительного нерва утрачивается прямая реакция зрачка слепого глаза на свет при сохранённой реакции сужения его в случае освещения другого глаза (содружественная реакция зрачка).
Для ретробульбарного неврита при РС характерно выпадение центральных полей зрения (центральная скотома), так как бляшки развиваются обычно внутри ствола зрительного нерва. В отличие от этого при ретробульбарном неврите сифилитической этиологии или при воспалении придаточных полостей носа чаще наблюдается концентрическое сужение полей зрения, так как воспалительный процесс развивается с наружной поверхности зрительного нерва — с его оболочек.

Через известный срок при РС обнаруживаются изменения глазного дна — побледнение соска зрительного нерва (атрофия). Типичным для РС является преимущественное побледнение височных половин сосков зрительных нервов. Утрата зрения может быть полной или частичной, одно- или двусторонней. Через некоторое время обычно наступает улучшение, но процесс может и нарастать. Двусторонняя слепота отмечается редко.
Мозжечковые и пирамидные расстройства
Наиболее ранними мозжечковыми расстройствами является:
- интенционное дрожание в руках, обнаруживаемое при пальце-носовой пробе;
- расстройство почерка;
- нистагм глазных яблок при отведении в стороны.
Резко выраженный нистагм (иногда не только горизонтальный, но и вертикальный или ротаторный), зависящий от пораженпя мозжечка, расстройства речи (скандированная речь) и дрожание головы или туловища являются уже признаком далеко зашедшего процесса.

Развиваются и другие мозжечковые симптомы — адиадохокинез (невозможность быстрой смены противоположных движений — сгибания или вращения), шаткая походка и др.
Иногда, наряду с выраженными симптомами пирамидного поражения, отмечаются и симптомы поражения периферического двигательного неврона: утрата сухожильных рефлексов конечностей, атрофии мышц.

Нарушения чувствительности не столь выражены, как двигательные расстройства. Своеобразной парестезией (ощущение жжения, мурашек, покалывания) при РС является возникающее при резком сгибании головы к груди ощущение электрического тока, как бы пробегающего по позвоночнику вниз, с иррадиацией в ноги, иногда в руки. В некоторых случаях наблюдаются нарушения суставно-мышечного и вибрационного чувства в нижних конечностях. Значительно реже расстраивается поверхностная чувствительность.
Из черепномозговых нервов, кроме зрительных, чаще поражаются отводящий и глазодвигательный нервы. Паралич глазных мышц обычно имеет преходящий характер и выражается лишь диплопией, которая может быть начальным симптомом заболевания.

Нередки поражения тройничного, лицевого и подъязычного нервов. Развитие склеротических бляшек в надъядерных отделах кортико-нуклеарного пути может стать причиной возникновения псевдобульбарного синдрома, а в мозговом стволе — развития бульбарных симптомов (симптомы поражения черепных нервов).
Нарушения функций тазовых органов являются нередкими симптомами РС. Встречаются следующие нарушения:
- императивные (внезапные и неподавляемые) позывы, учащения, задержки мочи и стула;
- недержание, неполное опорожнение мочевого пузыря, приводящее к уросепсису — характерны для боле поздних стадий.
Нередки нарушения функции половой системы. Эти проблемы могут одновременно являться функциональными нарушениями тазовых органов, а также могут быть самостоятельными симптомами.
Психические нарушения редки. Деменция и выраженные формы психического расстройства свойственны лишь поздним периодам заболевания и обусловлены множественными и распространенными очагами в коре и подкорковых образованиях больших полушарий.
Патогенез рассеянного склероза
Для того, чтобы понять механизм развития РС, необходимо ознакомиться с патологической анатомией данного заболевания.
При микроскопическом исследовании обнаруживаются заметные и достаточно характерные изменения, выявляемые с наибольшим постоянством в спинном мозгу, мозговом стволе и полушариях головного мозга. Видны множественные бляшки различной величины (от точечных до весьма массивных, которые, к примеру, занимают весь поперечник спинного мозга), рассеянные преимущественно в белом веществе. Такая множественность и разбросанность очаговых изменений и определяет название болезни.

Отдельные бляшки имеют округлую форму, они нередко сливаются и создают изменения сложных очертаний. Цвет бляшек на разрезе розовато-серый (недавно образовавшиеся очаги) или серый, желтоватый (старые очаги).

При разрезе бляшки определяется их большая плотность по сравлению с нормальной мозговой тканью. Эти уплотнения, склерозирование бляшек дало возможность охарактеризовать заболевание как склероз.
При микроскопии на первый план выступают изменения миелиновых волокон. В области очага, бляшки, в белом веществе наблюдаются в той или иной степени распад миелиновой оболочки, покрывающей нервные волокна центральных проводников, причём осевой цилиндр нередко остаётся неповреждённым.

В остром периоде, при наличии отёка и инфильтрации, в очаге поражения нарушается проводимость по нервным волокнам. В дальнейшем, при условии гибели осевых цилиндров, возникают необратимые, стойкие выпадения.
После периода острого воспаления оказывается, что осевые цилиндры частично сохраняют свою целостность и проводимость, иногда даже наблюдается ремиелинизация нервных волокон. В результате наблюдается не только ремиссия, но даже и вполне удовлетворительное восстановление отдельных утраченных ранее функций, что очень характерно для РС.

Образование новых воспалительных очагов определяет ухудшение и возникновение новых симптомов. [2] [5]
Классификация и стадии развития рассеянного склероза
Строгой и общепринятой классификации РС нет. Некоторые авторы предлагают подразделять РС по клиническому течению, другие по локализации процесса. [9]
По характеру течения выделяют:
- ремитирующую форму — характеризуется редкими обострениями, чередующимися с ремиссиями, иногда длящимися годами, причём поражённые участки мозга восстанавливаются как частично, так и полностью;
- первично прогрессирующую — незаметное начало и медленное, но необратимое нарастание симптоматики;
- вторично-прогрессирующую — сначала напоминает ремитирующую, но на поздних стадиях характерен переход в прогрессирующую форму;
- прогрессирующе-ремитирующую — редкая форма, когда заболевание, начинаясь с ремитирующего течения, переходит в первично-прогрессирующее.

По локализации поражения мозга:
- церебральная — страдает пирамидная система;
- стволовая — наиболее тяжёлая форма РС, быстро приводящая больного к инвалидности;
- мозжечковая — церебеллярные нарушения, часто сочетается с поражением ствола мозга;
- оптическая — страдает зрительная система;
- спинальная — поражается спинной мозг, возникают тазовые расстройства и спастический нижний парапарез;
- цереброспинальная форма — наиболее распространённая, характеризуется большим количеством склеротических бляшек в головном и спинном мозге, клинически выявляются мозжечковые и церебральные нарушения, патология зрительной, вестибулярной и глазодвигательной систем.
По стадиям РС делят на:
- острую стадию, которая длиться первые две недели обострения;
- подострую, длящуюся два месяца от начала обострения и является переходной стадией к хроническому прогрессированию заболевания;
- стадию стабилизации, при которой в течение трёх месяцев не наблюдается обострений.
Осложнения рассеянного склероза
Серьёзными осложнениями, особенно при спинальных формах, являются пролежни и глубокие нарушения тазовых органов.

Неблагоприятно могут протекать также острые и подострые случаи с поражением жизненно важных отделов мозгового ствола.
Неврологический статус пациента напрямую зависит от его иммунитета. Зачастую появляется повышенная утомляемость, развивается мышечная слабость, головокружение. В стадии прогрессирования отмечается атаксия (нарушение координации и произвольных движений), значительное уменьшение физических и особенно двигательных возможностей конечностей с развитием спастики (двигательные нарушения в связи с повышенным тонусом мышц).
Весьма часто резко снижается острота зрения, теряется чёткость изображения, уменьшаются поля зрения, происходит искажение цветов, диплопия, развивается амблиопия и стабизм (косоглазие).
У пациентов зачастую возникает раздражительность, неустойчивость настроения, в некоторых случаях эйфория, неадекватное отношение к своему состоянию.
При РС нередки когнитивные нарушения — снижение памяти, концентрации внимания, нарушение пространственной ориентации.
Также при РС появляются тазовые нарушения — задержка мочеиспускания и длительные запоры, впоследствии больной теряет возможность контролировать процессы опорожнения кишечника и мочевого пузыря. В результате неполного опорожнения мочевого пузыря возникают урологические заболевания, вплоть до уросепсиса.
Вышеперечисленные осложнения требуют особого внимания, так как именно они могут стать причиной смертельного исхода для больного. [15] [16]
Диагностика рассеянного склероза
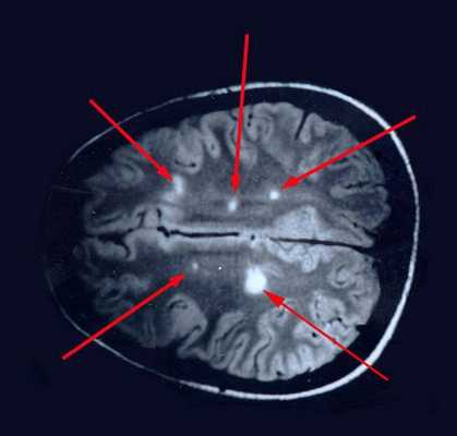
При вероятном РС, наряду с полным неврологическим осмотром, необходимо проводить исследование головного и спинного мозга при помощи МРТ. Этот способ исследования является наиболее информативным дополнительным методом диагностики. С его помощью можно обнаружить участки изменённой плотности в белом веществе головного мозга (очаги демиелинизации и глиоз). [10]

Исследование зрительных вызванных потенциалов, применяемое для определения степени сохранности некоторых проводящих путей, может также являться одним ранних диагностических критериев.
При изучении ликвора информативным считается метод изоэлектрического фокусирования спинномозговой жидкости, позволяющий выделить олигоклональные группы IgG.
Для диагностики РС широко используются критерии, предложенные Международной экспертной группой. [11]
Шум в ушах — один из ранних симптомов рассеянного склероза

С начал XXI века прослеживается стойкая тенденция роста числа людей, страдающих рассеянным склерозом. Это очень серьезная патология из категории демиелинизирующих заболеваний центральной нервной системы.
Среди первых проявлений часто встречаются проявления со стороны органа слуха и равновесия - кохлеовестибулярные нарушения: шум в ушах, головокружение, ослабление слуха.
Общая характеристика патологии
В структуре неврологической заболеваемости, рассеянный склероз занимает далеко не последнее место. К сожалению, точные цифры предоставить сложно, так как патология достаточно редко выявляется, маскируется под другие расстройства.
Причиной патологических явлений служит разрушение оболочки нервных волокон, состоящей из миелина. Из-за этого нервные сигналы:
- Замедляются.
- Теряют направленность
- Не доходят до точки назначения.
Стимулируют ненужные нейроны.
В последние 20 лет отмечается значительное омоложение - рассеянный склероз (РС) обнаруживают у молодых людей возрастом чуть за 16 лет. Причины такой тенденции еще до конца не изучены.
Главная провоцирующая роль отводится клеткам иммунитета, которые и начинают повреждать миелиновые оболочки аксонов.
Без специализированного лечения, демиелинизация нервных волокон приводит к значительным неврологическим расстройствам, утрате качества жизни.

Среди причин инвалидизации, рассеянный склероз лишь немного уступает острым и хроническим нарушениям мозгового кровообращения.
Клинические проявления - головокружение, шум в ушах
Специфической клиники, как таковой, рассеянный склероз не имеет. На себя обращают внимание неврологические жалобы, связанные с нарушением проведения нервных импульсов по в головном, а затем и спинном мозгу.
- Головокружение.
- Шум в ушах с одной или обеих сторон.
- Ослабление слуха. Полная глухота развиваеся редко.
- Шаткость походки.
- Ощущения онемения в области головы, рук, ног.
- Утрата чувствительности отдельных участков тела.
- Двоение в глазах.
Проблема в том, что описанные выше симптомы могут встречаться при некоторых других демиелинизирующих заболеваниях нервной системы.
Подозревать раннюю стадию рассеянного склероза нужно, если головокружение и шум в ушах обнаруживаются у молодого человека, имеют преходящий характер, часто отмечаются одновременно.
Какие еще есть причины шума и головокружения?
Если ориентироваться только на внешние проявления, то РС можно спутать с некоторыми другими заболеваниями. Так, нарушения равновесия и походки, преходящую утрату чувствительности можно встретить при разнородных нозологиях:
- Болезнь Коновалова-Вильсона - генетическая аномалия обмена меди.
- Нейросифилис.
- Боковой амиотрофический склероз.
- Прогрессирующая мультифокальная лейкоэнцефалопатия.
- Острый рассеянный энцефаломиелит.
- Синдром Гийена-Барре.
- Полиомиелит.
- Туберкулез, токсоплазмоз и другие.
Без применения особых методик, установить точный диагноз на ранних стадиях развития заболевания, когда неврологический дефицит можно свести к минимуму, - невозможно.
Дифдиагностика рассеянного склероза
Диагностический алгоритм, применяемый в клинике восстановительной неврологии «Тиннитус Нейро» основан на наиболее прогрессивных подходах:

- Клинические анализы крови и мочи для оценки общего состояния, наличия воспалительных процессов.
- Биохимия крови.
- Показатели иммунного статуса организма.
- Комплексное вестибулологическое исследование - пальцевые пробы, поза Ромберга.
- Оценка динамического равновесия.
- Тест на шейный позиционный нистагм.
- Стабилометрические пробы с применением компьютерного анализа результатов.
Перечень анализов и тестов очень широкий, однако, чтоб подтвердить или опровергнуть наличие рассеянного склероза у одного пациента с шумом в ушах и головокружением, требуется лишь несколько методик.
Список обследований всегда составляется индивидуально, а результаты позволяют всесторонне оценить тяжесть вызванных болезнью повреждений.
По этим данным можно установить стадию процесса, активность. И соответственно, разработать индивидуальный план лечения каждого отдельного пациента.
Лечение острой фазы
Шум в ушах, сочетающийся с головокружением, выходит на первый план у почти 60% больных с активным рассеянным склерозом. В таких случаях своевременная диагностика и качественный анализ полученных данных позволяют до минимума снизить выраженность остаточных явлений после стихания атаки болезни.
Так как заболевание носит аутоиммунный характер, назначаются:
- Глюкокортикоидные средства. Если необходимо - то в режиме «пульс-терапии», когда одномоментно вводятся большие дозы гормонов.
- Препараты бета-интерферонов.
- Другие специальные иммуномодуляторы.
- Противовоспалительные.
Терапевтическая схема зависит от многих факторов и в клинике «Тиннитус Нейро» составляется индивидуально. Благодаря уникальному опыту специалистов, удается в короткие сроки острые проявления снять и перевести процесс в неактивную стадию.
Лечение фазы ремиссии
На этом этапе медицинские мероприятия призваны как можно дольше продлить ремиссию.
С противорецидивной целью назначаются:
- Препараты интерферонов.
- Цитостатики.
- Витамины.
- Метаболики и нейропротекторы.
- Сеансы транскраниальной стимуляции коры электромагнитными полями.
- Физиотерапевтические методики.
- Лечебная физкультура.
Почему лечить рассеянный склероз лучше у профессионалов?
В клинике восстановительной неврологии, лечение пациентов с рассеянным склерозом направлено не только на то, чтоб предотвратить новую атаку.

Мы также помогаем максимально устранить возникший неврологический дефицит, избавить от головокружений, шума в ушах, восстановить слух и вернуть нормальное качество жизни.
Читайте также:
- Массивная стимуляция симпатической нервной системы. Стимуляция парасимпатической нервной системы
- Электрокардиография
- Частота ( эпидемиология ) преждевременных родов. Причины ( этиология ) преждевременных родов.
- Энцефалиты у детей. Полисезонные энцефалиты
- Чем полезно кокосовое масло? Масло кокоса в косметологии
