Пример лечения холестеатомы верхушки пирамиды височной кости
Добавил пользователь Владимир З. Обновлено: 01.01.2026
Московский научно-практический центр оториноларингологии Департамента здравоохранения Москвы
Московский научно-практический центр оториноларингологии ДЗ Москвы
Федеральный медико-биологический Центр им. А.И. Бурназяна ФМБА России, Москва, Россия, 123098
Хирургическое лечение холестеатомы пирамиды височной кости
Журнал: Вестник оториноларингологии. 2015;80(3): 57‑60
Кратко представлена эпидемиология, классификация, диагностика и современные тенденции хирургического лечения холестеатомы пирамиды височной кости. Описан клинический случай диагностики и хирургического лечения холестеатомы верхушки пирамиды височной кости.
Из всех заболеваний верхушки пирамиды височной кости холестеатома встречается в 3,4—9% случаев. Наиболее часто (в 60%) в этой зоне выявляется холестероловая гранулема. В то же время имеются случаи диагностики мукоцеле, арахноидальных кист, менингиомы, хордомы, ксантомы, кавернозной гемангиомы, аневризм внутренней сонной артерии, фиброзной дисплазии, хондросаркомы и метастатической карциномы. Может симулировать заболевание верхушки пирамиды и асимметричная пневматизация этой локализации [1—5].
Среди больных с холестеатомой височной кости у 2,9% встречается холестеатома пирамиды височной кости. Холестеатома этой локализации может быть первичной (врожденной), происходящей из остатков эмбриональной или аберрантной эпителиальной ткани, или вторичной вследствие инвазии холестеатомы из среднего уха или сосцевидного отростка. Вторичная холестеатома выявляется у 58%, а первичная — у 12% пациентов [2, 6]. В зависимости от локализации холестеатомы в пирамиде височной кости по классификации M. Sanna [7] выделяют пять ее видов: супралабиринтная, инфралабиринтная, массивная лабиринтная, инфралабиринтная с апикальным распространением и апикальная [7]. Наиболее часто встречается супралабиринтная (26,7—67%), массивная лабиринтная (20—38%) и инфралабиринтная (7—40%) холестеатомы [1, 6, 8].
При холестеатоме пирамиды височной кости часто наблюдается бессимптомное течение при значительном ее объеме. В зависимости от локализации ранними симптомами могут быть выраженное снижение слуха или глухота (у 9—69%), дисфункция лицевого нерва (у 29—53%), оторея (у 66,7%), периферическое головокружение (у 33,3%) или центральные неврологические осложнения вследствие эрозии рядом расположенных важных анатомических структур [1, 2, 6, 8, 9].
Применение в диагностике высокоинформативных методов исследования: мультиспиральной компьютерной томографии (МСКТ) и магнитно-резонансоной томографии (МРТ) с контрастным усилением, в том числе в non- EPY режиме, позволяет определить локализацию, распространение холестеатомы и на дооперационном этапе планировать хирургический подход.
В литературе имеются единичные обзоры, посвященные диагностике и хирургии холестеатомы пирамиды височной кости, освещающие значительное количество клинических случаев [1, 6, 8—11]. Основными задачами операции являются тотальное макроскопическое удаление холестеатомы, сохранение ствола лицевого нерва, предупреждение ликвореи и менингита и сохранение слуховой функции. Поэтому современный алгоритм выбора хирургического подхода строится на локализации холестеатомы, состоянии слуховой функции и лицевого нерва. Большинство авторов отдают предпочтение закрытым вариантам с облитерацией зоны операции и ушиванием наружного слухового прохода по Rambo, учитывая современные средства реабилитации слуха. Так, при супралабиринтной холестеатоме и нормальном слухе используют транстемпоральный супралабиринтный подход через среднюю черепную ямку, а при сенсоневральной тугоухости — выполняют субтотальную петрозэктомию транслабиринтным и транскохлеарным подходом. При инфралабиринтной холестеатоме и нормальном слухе применяют субтотальную петрозэктомию трансмастоидальным и ретролабиринтным подходами, а при сенсоневральной тугоухости — транслабиринтным и транскохлеарным подходами [6, 11, 12]. В то же время стремление сохранить слух после операции в ущерб радикальному удалению холестеатомы может привести к резидуальной патологии и необходимости повторного вмешательства. В тех случаях, когда холестеатома распространяется медиальнее капсулы лабиринта, сохранить слух невозможно, и на выбор хирургического подхода влияет состояние лицевого нерва. При этих локализациях холестеатомы при сохранной функции лицевого нерва применяют транслабиринтный и транскохлеарный или инфратемпоральный доступы, а при дисфункции лицевого нерва — транскохлеарный. Для лечения дисфункции лицевого нерва в зависимости от места компрессии выполняют декомпрессию ствола нерва, нейропластику или VII—XII анастомоз одновременно (или на втором этапе) [1, 6, 10]. Лучшие результаты операции отмечают при длительности дисфункции лицевого нерва менее 12 мес. В результате лечения глухота оперированного уха наблюдается у 18—83%, рецидив холестеатомы в разные сроки — у 2—19% и интракраниальные осложнения у 2—6% больных [6, 8].
В последние годы некоторые авторы выполняют модифицированную субтотальную петрозэктомию различными подходами, в зависимости от локализации холестеатомы, с тимпанооссикулопластикой для сохранения или улучшения функции слуха. По их данным, преимуществами открытой реконструкции являются функциональный результат, ранняя диагностика рецидива холестеатомы и менее сложная ревизионная хирургия в условиях необлитерированной полости. При этой методике после удаления холестеатомы пирамиды височной кости у 90% пациентов выполнялась тимпанопластика и у 52% — оссикулопластика. В результате операции слух улучшился у 38% пациентов, сохранился на прежнем уровне — у 29% и у 33% отмечено его ухудшение [8].
В нашей стране хирургией пирамиды височной кости занимаются преимущественно нейрохирурги. Однако и их возможности ограничены при распространенной холестеатоме пирамиды височной кости.
Представляем случай диагностики и хирургического лечения холестеатомы верхушки пирамиды височной кости.
Пациентка М., 32 года, обратилась в отделение нейрохирургии клиники ФГБУ ФМБЦ им. А.И. Бурназяна с жалобами на отсутствие слуха на правое ухо, периодические выделения из него, асимметрию лица.
Из анамнеза известно, что пациентка с детства страдает хроническим гнойным правосторонним средним отитом с периодическими обострениями в виде выделений из правого уха на фоне ОРВИ или попадания воды в ухо. Регулярно проводилась местная антибактериальная терапия с временным положительным эффектом. С 16-летнего возраста стала отмечать головокружения системного характера. В 2006 г. обратилась в клинику МОНИКИ, где выполнена КТ височных костей, по данным которой выявлено новообразование правой пирамиды височной кости. В той же клинике выполнена санирующая операция на правой височной кости с удалением задней стенки слухового прохода. В послеоперационном периоде головокружения купировались, но сохранялись выделения из этого уха. В 2009 г. стала отмечать подергивание мышц правой половины лица, эпизоды по типу гемифациального спазма до нескольких раз в день. В НИИ нейрохирургии им. Н.Н. Бурденко выполнена ретросигмовидным доступом операция на пирамиде височной кости с удалением холестеатомы правой пирамиды височной кости. После операции у пациентки полностью восстановилась функция лицевого нерва справа. Однако в 2012 г. у пациентки вновь развился парез лицевого нерва справа. Обратилась в отделение нейрохирургии клиники ФМБЦ им. А.И. Бурназяна для обследования и лечения.
При поступлении: общее состояние больной удовлетворительное. Температура тела нормальная. Кожные покровы обычной окраски. В легких дыхание везикулярное, без хрипов. АД — 120/80 мм рт.ст. Пульс 90 в 1 мин, ритмичный, удовлетворительных свойств.
При осмотре имеются спокойные, безболезненные послеоперационные рубцы в правой заушной и ретросигмовидной области. При отомикроскопии справа — наружный слуховой проход широкий, свободный, без отделяемого. Барабанная перепонка сохранена только в передних отделах. Слизистая оболочка в мезогипотимпануме утолщенная, полипозно-измененная. Полость в мастоидальном отделе небольшая, покрыта утолщенной слизистой оболочкой без эпидермиса. Слуховая труба проходима по Вальсальва. Слева наружный слуховой проход широкий, свободный. Барабанная перепонка серого цвета, опознавательные знаки дифференцируются.
В неврологическом статусе: сознание ясное. Контактная. Менингеальных знаков нет. Гипостезия в зоне иннервации V нерва справа (больше по 1—2 ветвям), корнеальный рефлекс снижен справа. Определяется грубый парез правого лицевого нерва справа (V степень по шкале House—Brackmann). Координаторные пробы выполняла удовлетворительно.
При тональной пороговой аудиометрии (ТПА) выявлена правосторонняя глухота. Слух слева в пределах возрастной нормы.
По данным электронейромиографии отмечались признаки умеренного поражения правого лицевого нерва по смешанному типу (аксональному и демиелинизирующему), проводимость по всем ветвям составляла 30—40% от нормы по типу неврита.

Рис. 1. КТ височных костей пациентки М. а — коронарная проекция: деструктивная полость в пирамиде височной кости, заполненная субстратом неоднородной плотности, капсула лабиринта значительно разрушена на уровне базального и апикального завитков улитки, латерального и верхнего полукружных каналов; б — аксиальная проекция: деструктивная полость с разрушением задней грани пирамиды, передневерхней и нижней поверхности.
По результатам МРТ головного мозга правая пирамида височной кости деформирована, увеличена в объеме, выполнена субстратом размером до 5,5—2,8—3 см, распространяющимся на область внутреннего слухового прохода, заднего полукружного канала, медиальные отделы барабанной полости, сосцевидный отросток. Описанный субстрат изо-гипоинтенсивен в режиме Т1, гиперинтенсивен — в Т2 и non-EPI DWI (рис. 2). Заключение: признаки рецидива холестеатомы с деструктивными изменениями структур внутреннего и среднего уха на фоне хронических воспалительных изменений.

Рис. 2. Магнитно-резонансная томография головного мозга пациентки М. Деформированная, увеличенная в объеме пирамида височной кости выполнена мягкотканым субстратом.
Учитывая анамнез заболевания, ранее выполненные операции, клинические проявления (глухота, явления периферического пареза лицевого нерва) и локализацию процесса по данным КТ височных костей и МРТ, свидетельствующие о массивной лабиринтной холестеатоме, пациентке была выполнена реоперация. Транслабиринтным подходом произведена субтотальная петрозэктомия (частичная лабиринтэктомия) с удалением холестеатомы и пластикой дефекта височной кости жиром. При ревизии определялась послеоперационная неэпидермизированная мастоидальная полость, которая была заполнена утолщенной слизистой оболочкой. В барабанной полости также определялась утолщенная полипозная слизистая оболочка. Барабанная перепонка сохранена только в передних отделах. Цепь слуховых косточек отсутствовала. За счет удаления перилабиринтных клеток, заднего верхнего и латерального полукружных каналов был открыт широкий доступ в сторону верхушки пирамиды, где выявлена большая холестеатома, распространявшаяся от верхушки сосцевидного отростка до верхушки пирамиды височной кости. Выявлено обнажение луковицы яремной вены, мозговых оболочек задней черепной ямки, нисходящей части канала лицевого нерва. Холестеатома удалена с образованием большой полости внутри пирамиды височной кости. При удалении холестеатомы из области внутреннего слухового прохода (который не дифференцировался) отмечалась ликворея. Эпидермальные оболочки оставлены на луковице яремной вены, у верхушки пирамиды височной кости, под улиткой. Произведена герметизация твердой мозговой оболочки двухкомпонентным фибриновым клеем. В область верхушки пирамиды височной кости уложена подкожно-жировая клетчатка, которая была взята с передней брюшной стенки. Выполнена пластика полости свободным миофасциальным лоскутом. В барабанную полость, под остатки барабанной перепонки, уложена аутофасция. Слуховой проход не ушивался для возможности контроля за созданной полостью.
По данным гистологического исследования удаленного образования от 29.07.14: в присланном материале бесструктурные холестеатомные массы и мелкий пласт многослойного плоского эпителия с рыхлой подэпителиальной стромой с кровоизлияниями.
При наблюдении в послеоперационном периоде отмечена длительная эпителизация послеоперационной полости и сохранение пареза правого лицевого нерва (V степень по шкале House—Brackmann). Неврологический статус — без отрицательной динамики.
Представленный случай свидетельствует о возможности успешного применения транслабиринтного подхода для удаления холестеатомы верхушки пирамиды височной совместно с нейрохирургами.
Петрозит
Петрозит - это воспалительный процесс, локализованный в области пирамиды (каменистой части) височной кости, реже поражающий исключительно её верхушку и протекающий по типу остеита или остеомиелита. Характерными проявлениями заболевания являются синдром Градениго (боли, гноетечение, нейропатия) в сочетании со снижением слуха, лихорадкой. Диагностика основывается на данных клинической картины, результатах лабораторных анализов, рентгенологического исследования, КТ, МРТ височных костей. Осуществляется комплексное лечение, выполняются дренирующие хирургические операции на фоне массивной антибактериальной терапии.
МКБ-10

Общие сведения
Петрозит является осложнением гнойно-воспалительных заболеваний наружного и среднего уха. Иногда развивается после хирургических вмешательств на сосцевидном отростке. Встречается преимущественно у лиц с выраженной пневматизацией пирамиды височной кости, которые составляют около 30% всего населения. Благодаря широкому применению антибиотиков в оториноларингологической практике в последние годы петрозит наблюдается очень редко, осложняет течение 1-5% случаев отитов. По частоте встречаемости занимает 25 место среди всех осложнений патологии среднего уха. Мужчины болеют в 1,5 раза чаще женщин.

Причины петрозита
Возбудителями болезни чаще всего становятся пневмококки, гемолитические стрептококки и синегнойная палочка. Реже этиологическим фактором являются другие представители кокковой микрофлоры. Описаны единичные случаи височного остеомиелита, вызванного микобактериями туберкулёза. Петрозит у таких пациентов развивался на фоне генерализованного специфического процесса. Очень редко заболевание индуцируется грибками. Распространению инфекции способствуют высокая вирулентность микроорганизмов. К факторам риска развития тяжёлой патологии относятся:
- Гиперпневматизация височной кости. Чаще страдают пациенты с высокой степенью пневматизации пирамиды. Наиболее тяжело болезнь протекает при диплоэтическом (спонгиозном) строении костной ткани, когда в каменистой части присутствует большое количество мелких ячеек, заполненных воздухом.
- Иммунодефицитные состояния, гиповитаминозы. Петрозит осложняет течение отитов, мастоидитов при нарушении функций факторов общей и локальной иммунной защиты. У детей данную патологию часто провоцирует снижение местного иммунитета на фоне ветряной оспы, краснухи или кори. Основным предрасполагающим фактором у взрослых служит сахарный диабет. Развитию болезни способствует общее истощение больного, недостаток витаминов в рационе.
Патогенез
Ячейки височной кости, окружающие лабиринт, сообщаются со средним ухом посредством узких извилистых клеточных ходов. При значительном снижении сопротивляемости организма инфекция распространяется по этим ходам или гематогенным путём. Развивается остеомиелит. Отток гноя затруднён, еще больше ухудшается при формировании грануляций. Происходит гнойное расплавление костной ткани. В зависимости от варианта пневматизации воспаление охватывает всю пирамиду или ее отдельные участки. При изолированном поражении верхушки формируется петроапицит.
В гнойно-воспалительный процесс вовлекается головной мозг и его оболочки. Апицит приводит к возникновению ограниченного верхушечного лептоменингита либо, распространяясь дальше по верхней части пирамиды, вызывает воспаление оболочек мозга в области средней и задней черепных ямок. В результате могут развиваться тромбозы кавернозного синуса, нейропатии III - VI, IX - XII черепно-мозговых нервов. Петрозит с поражением нижней поверхности костной структуры провоцирует прорыв гноя в носоглотку.
Классификация
Остеомиелит может охватывать пирамиду полностью или только её верхушку. Петрозит бывает передним, локализованным в передних надлабиринтном и подлабиринтном, а также прекохлеарном пространствах и задним, провоцирующим воспаление в задних над- и подлабиринтных ячейках и транслабиринтном участке. По клиническому течению выделяют следующие формы заболевания:
- Молниеносная. Возникает у грудных детей. Характеризуется бурным распространением инфекции с гангренозным поражением окружающих мягких тканей, 90% летальностью. Протекает по типу септикопиемии.
- Острая. Развивается в детском возрасте. При этой форме наблюдаются прорывы гноя в полость черепа и носоглотку, венозные тромбозы и поражения вестибулярного аппарата.
- Подострая. Наиболее распространенный вариант. Выявляется у молодых взрослых и в пожилом возрасте. Характерно чередование периодов ремиссии с обострениями, постепенное вовлечение в патологический процесс черепных нервов.
Симптомы петрозита
Первые симптомы осложнения появляются на 3-4 неделе острого среднего отита или в послеоперационном периоде после хирургического вмешательства на среднем ухе, сосцевидном отростке. Классический петрозит проявляется триадой Градениго, включающей в себя резкие боли со стороны поражения, гноетечение из уха и нейропатию отводящего нерва, однако из-за антибиотикотерапии часто определяются не все характерные для данной триады симптомы. Иногда клиническая картина дополняется другими проявлениями болезни.
Петрозит манифестирует болевым синдромом. Боль локализуется на стороне поражения, обычно ощущается глубоко в ухе или ретроорбитально. Гемикраниалгия усиливается в ночное время, может носить приступообразный характер, иррадиировать в зубы, затылок и область лба. Другим патогномоничным признаком патологии является оторея. Присутствует обильное гноетечение из больного уха, выделения могут быть зловонными. На возможность развития височного остеомиелита указывает внезапное появление массивной отореи после радикальной операции или антромастоидотомии.
Парез VI черепно-мозгового нерва становится причиной нарушения подвижности глазного яблока. Наблюдается косоглазие, диплопия. Возможно поражение других черепных нервов. У пациентов выявляется опущение века, офтальмоплегия и прочие неврологические симптомы. Значительно снижается слух. Иногда петрозит сопровождается прорывом гноя в лабиринт. В процесс вовлекается преддверно-улитковый нерв, возникают головокружения, нарушения равновесия.
Симптомы общей интоксикации обычно резко выражены. Температура тела у детей и молодых взрослых повышается до фебрильных и гипертермических значений. У пожилых людей чаще наблюдается субфебрилитет. Присутствует общая слабость, утомляемость. Даже при отсутствии болей настроение пациента снижено, отмечается подавленность. По мере прогрессирования болезни сознание нарушается вплоть до коматозного состояния.
Осложнения
Исходом неврита слухового нерва становится нейросенсорная тугоухость. Иногда наступает полная глухота. Другим осложнением петрозита, сопровождающимся выраженным снижением слуха, является лабиринтит. Изредка встречается поражение зрительного нерва со слепотой на один или оба глаза. Распространение инфекции по нижней поверхности пирамиды приводит к образованию натёчных абсцессов носоглотки, шейных клетчаточных пространств и средостения.
Диагностика
Диагностический поиск при подозрении на петрозит осуществляет врач-оториноларинголог. При сборе анамнеза уточняются предшествующие операции на ЛОР-органах, длительность течения отита, учитывается наличие сопутствующей патологии. Осмотр выявляет отёчность мягких тканей заушной области, признаки отореи. При пальпации ушной раковины и соответствующей половины головы наблюдается резкая болезненность. Визуально определяются симптомы парезов черепных нервов, нистагм. Окончательный диагноз устанавливается на основании результатов следующих процедур:
- Эндоскопия.Отоскопия позволяет выявить достоверные признаки воспаления в области наружного слухового прохода, среднего уха. Определяется отёк и помутнение барабанных перепонок, в большинстве случаев присутствуют перфорации, слуховые проходы заполнены гноем. Осуществляется забор гнойного отделяемого.
- Лабораторные исследования. Лейкоцитоз, нейтрофильный сдвиг формулы периферической крови отражают наличие воспаления в организме. Исследование спинномозговой жидкости позволяет подтвердить или исключить гнойный менингит. С помощью культурального метода выявляется возбудитель заболевания, определяется его чувствительность к антибиотикам.
- Визуализационные методики.Рентгенография височных костей по Стенверсу визуализирует зоны воспаления и расплавления костной ткани. КТ, МРТ дают возможность более точно локализовать патологический процесс, выявить внутримозговые осложнения. С помощью этих методик осуществляется дифференциальная диагностика петрозита с новообразованиями височной кости. С этой же целью иногда выполняется радиоизотопное сканирование костей черепа.
Вспомогательными методами диагностики являются аудиометрия, камертональное исследование, которые используются для определения степени снижения слуха. Петрозит следует дифференцировать с доброкачественными и злокачественными опухолями черепа и головного мозга, аневризмой сонной артерии, гистиоцитозом Х. Пациентов консультируют онкологи, нейрохирурги. В неясных случаях выполняется биопсия каменистой части виска.
Лечение петрозита
Пациенты с диагностированным петрозитом подлежат госпитализации в отделение оториноларингологии. Выбор тактики лечения зависит от распространённости процесса, наличия осложнений. Несмотря на несколько описанных в зарубежной литературе случаев успешного консервативного лечения заболевания, предпочтение отдаётся комплексному подходу к ведению пациента. Оперативные вмешательства сочетаются с массивной антибактериальной терапией.
Консервативная терапия
Основу фармакологического лечения остеомиелита височной кости составляет антибактериальная терапия. Оптимально назначение медикаментов с учетом результатов определения чувствительности микрофлоры к антибиотикам. При отсутствии такого исследования лечение назначается эмпирически. Обычно применяются защищённые аминопенициллины, цефалоспорины 3-4 поколения, линкозамиды. Препараты вводятся в высоких дозах, парентерально. Одновременно осуществляется коррекция уровня глюкозы крови, проводится общеукрепляющая терапия.
Согласно публикациям некоторых зарубежных авторов, неосложнённый петрозит можно полностью излечить консервативными методами. Описано несколько случаев выздоровления пациентов с полным восстановлением функции отводящего нерва. Такие больные нуждаются в постоянном медицинском наблюдении, регулярном динамическом рентгеновском контроле. Однако чаще консервативное лечение применяется перед оперативным вмешательством и после него.
Хирургическое лечение.
Оперативное вмешательство показано при отсутствии положительного эффекта от проводимой антибактериальной терапии. В целях профилактики жизнеугрожающих состояний многие специалисты рекомендуют сразу после постановки диагноза активно наладить отток гноя из поражённого участка кости. Для этого выполняется антромастоидотомия или общеполостная операция. При вторичном послеоперационном нагноении для улучшения оттока гноя рекомендуется тщательно прочистить и расширить свищевые каналы. При неэффективности такого лечения височная кость подвергается частичной резекции.
Прогноз и профилактика
Своевременное выявление и ранее начало лечения заболевания ведёт к полному выздоровлению больного с обратным развитием нейропатий. Прогноз значительно ухудшается при присоединении внутримозговых осложнений, параличах нескольких черепных нервов. Молниеносная форма болезни обычно заканчивается гибелью пациента. Профилактические мероприятия сводятся к адекватному лечению заболеваний уха, мастоидитов.
1. Петрозит, осложнённый тромбозом кавернозного синуса, менингитом/ Красножен В.Н. Андреева И.Г.// Вестник оториноларингологии - 2015 - №4.
4. Petrositis With Bilateral Abducens Nerve Palsies complicated by Acute Otitis Media/ Kyu Young Choi, Su-Kyoung Park// Clinical and Experimental Otorhinolaryngology - 2014.
Пример лечения холестеатомы верхушки пирамиды височной кости
Рецидив холестеатомы выявлен по данным МРТ в режиме non-EPI DWI у 5 (15,6%) пациентов: у 1 — через 1 год после операции, у 3 — через 2 года и у 1 — через 3 года.
ХПВК височной кости встречается редко и отличается длительным «немым» течением, большими размерами, значительным разрушением окружающей костной ткани, дислокацией структур полости черепа, что может приводить к угрожающим жизни осложнениям.
В диагностике ХПВК височной кости основополагающими являются МСКТ височных костей и МРТ. Режим non-EPI DWI позволяет на ранних стадиях выявлять патологический процесс, что важно в диагностике рекуррентных и резидуальных холестеатом после хирургического лечения.
Многими исследователями отмечена необходимость применения практической классификации ХПВК для ее стандартизации, выбора адекватного объема операции, прогнозирования ее успеха, вероятности рецидива [2, 7, 14]. Мы в своей работе применяли классификацию M. Sanna, при которой выделяют пять видов ХПВК [7, 11, 15]. В зависимости от локализации планируется хирургический подход, который позволяет радикально удалить холестеатому по возможности с сохранением функции слуха, ЛН и минимизацией послеоперационных осложнений. Хирургическое лечение показано для всех видов ХПВК. Ранняя диагностика и, соответственно, более ранее хирургическое лечение могут способствовать сохранению функции ЛН и даже ее улучшению, а также при некоторых видах ХПВК сохранить функцию слуха. Однако сохранение слуха возможно только при ограниченных холестеатомах супралабиринтной локализации. В остальных случаях сохранить капсулу лабиринта практически невозможно из-за необходимости радикального удаления холестеатомы [3].
Основные хирургические подходы к латеральному основанию черепа — транмастоидальные или субтемпоральные (через СЧЯ). Трансмастоидальные подходы, в свою очередь, подразделяются на транскохлеарный, модифицированный транскохлеарный и трансотический (transotic approach). Первые два вида подходов подразумевают декомпрессию и транспозицию ЛН кзади, и во всех трех вариантах доступа необходимо выполнить лабиринтэктомию, удаление улитки, блокировку тимпанального устья слуховой трубы и ушивание НСП. При трансотическом подходе выполняют декомпрессию ЛН без его транспозиции [1, 3, 7].
Многие хирурги основываются на своем собственном опыте и предпочтениях при планировании хирургического доступа. В некоторых работах описаны такие доступы, как модифицированная субтотальная петрозэктомия с пластикой полости подкожной жировой клетчаткой без ушивания НСП; трансмастоидально-инфралабиринтный подход со скелетированием ЛН при удалении инфралабиринтной ХПВК и открытым ведением трепанационной полости с сохранением функции ЛН [16, 17]. При супралабиринтной холестеатоме с распространением к ВСП описан трансмастоидальный подход с доступом к ВСП через ВПК [18]. Субтемпоральный подход с эндоскопической ассистенцией некоторыми хирургами выполняется при супралабиринтной и инфралабиринтной ХПВК, а некоторыми — при апикальной и массивной ХПВК [19, 20]. Однако большинство хирургов придерживаются систематизированных подходов к удалению ХПВК.
При супралабиринтной холестеатоме возможно выполнение расширенной антромастоидотомии для сохранения функции слуха. Однако эта позиция обсуждается. Некоторые хирурги при этой локализации рекомендуют выполнение более расширенного трансотического подхода с ушиванием НСП [3]. В нашей клинике мы выполняем расширенную антромастоидотомию с удалением задней стенки НСП, с частичной лабиринтэктомией при распространении во ВСП у пациентов с сохраненной функцией слуха.
При распространенной ХПВК без вовлечения улитки применяют модифицированный транслабиринтный подход с ушиванием НСП, при котором одновременно можно планировать ипсилатеральную кохлеарную имплантацию (КИ) при сохранении функции слухового нерва [3].
В большинстве случаев при инфралабиринтной и инфралабиринтно-апикальной ХПВК удобен трансотический подход, при котором становится возможным радикальное удаление холестеатомы с сохранением функции ЛН. Этот подход в 1978 г. описан U. Fisch. При нем выполняют декомпрессию ЛН от шилососцевидного отверстия до коленчатого ганглия без его транспозиции [21].
В нашем исследовании этот вариант доступа применен у 9 пациентов, причем у 5 пациентов — с развитием пареза ЛН в раннем послеоперационном периоде, с улучшением функции через 10,5 мес до III степени HB и с дальнейшей положительной динамикой.
При массивной ХПВК и с распространением ее в основную пазуху, носоглотку, скат выполняют модифицированный транскохлеарный подход, который модифицирован M. Sanna, а разработан U. Fish и W.E. Hitselberger в 1976 г. и заключается в декомпрессии и полной транспозиции ЛН кзади [22, 23]. Чаще этот доступ выполняют при уже измененной функции ЛН [3]. При этом варианте хирургического доступа осуществляют оптимальную ревизию и радикальное удаление массивных и распространенных ХПВК верхушки пирамиды, мостомозжечкового угла и препонтинной цистерны. При этом доступе изменение хода ЛН приводит к послеоперационному параличу, восстановление которого, как правило, происходит только до III степени по HB [11].
Предоперационная функция ЛН непосредственно влияет на выбор хирургического доступа. При сохраненной функции или периферическом парезе I—II степени по HB планируется трансотический подход и ожидается достаточно хороший послеоперационный результат. При грубом парезе выполняют модифицированный транскохлеарный подход с транспозицией ЛН при распространенных ХПВК. При интраоперационном пересечении ЛН с нормальной дооперационной функцией осуществляют пластику «конец в конец» или пересадку икроножного нерва. При грубом нарушении функции ЛН длительностью менее 1 года с изменением ствола ЛН, которое определяется интраоперационно, выполняют пересадку икроножного нерва, а длительностью более 1 года — пластику ЛН посредством создания анастомоза с подъязычным или жевательным нервом [11, 24]. При длительности пареза ЛН менее 1 года с сохранением ствола ЛН прогнозируется достаточно хорошее восстановление его функции [7, 11, 25].
Одной из причин пареза ЛН после операции помимо реактивных явлений, обусловленных выполнением декомпрессии, может быть нарушение кровообращения в зоне коленчатого узла из-за повреждения глубоких каменистых артерий в ходе вмешательства [3, 11]. Чаще отмечается нарушение функции ЛН при распространении процесса в лабиринтный отдел и область коленчатого узла и при манипуляциях в этих зонах. Объясняется это тем, что ствол нерва в этих областях более тонкий, с менее плотным эпиневрием и периневрием, чем в тимпанальном и мастоидальном отделах [7].
При обнажении ТМО СЧЯ и ЗЧЯ процессом матрикс холестеатомы часто бывает плотно спаян с ней. Удаление матрикса холестеатомы с ТМО выполняют при помощи микрохирургичекого распатора и бипополярного коагулятора. При этом могут возникнуть микротравмы, приводящие к ликворее, которая купируется введением свободных мышечных лоскутов в субарахноидальное пространство и пластикой полости подкожной жировой клетчаткой [3]. При интраоперационной ликворее мы чаще использовали пластины губки тахокомб, биологический фибринтромбиновый клей и пломбировку полости подкожной жировой клетчаткой. В обязательном порядке блокировали устье слуховой трубы аутофасциальным трансплантатом и костным воском.
При деструкции костного канала вертикальной и горизонтальной порции ВСА возможно выполнение трансотического подхода, а при всей горизонтальной — транскохлеарного подхода, что позволяет полностью визуализаровать ВСА и удалить холестеатому. Адвентиция ВСА, как правило, плотная, и при хорошей ее визуализации можно безопасно радикально удалить матрикс холестатомы. Ревизию области ВСА лучше проводить с эндоскопической ассистенцией [11].
Удаление матрикса холестеатомы со стенки сигмовидного синуса и ЛЯВ должно быть крайне деликатным, так как они достаточно тонкие. Перед хирургическим вмешательством необходимо оценить состоятельность этих структур с противоположной стороны. При нормальном венозном оттоке с противоположной стороны при повреждении стенки ЛЯВ и/или сигмовидного синуса для тампонирования используют хирургическую марлю Surgicel [3].
Заключение
Результаты исследования свидетельствуют о длительном бессимптомном течении холестеатомы пирамиды височной кости, сопровождающемся деструктивным процессом в пирамиде височных костей. Объем хирургического лечения определяется данными мультиспиральной компьютерной томографии височных костей, магнитно-резонансной томографии и операционными находками, а также зависит от функции слуха и лицевого нерва. Хирургическое лечение в описанном выше объеме позволило сохранить функцию слуха и лицевого нерва, а при ухудшении функции лицевого нерва после хирургического лечения наблюдалось постепенное его улучшение в период 3—10,5 мес с дальнейшей положительной динамикой.
ФГАОУ ВО Первый МГМУ им. И.М. Сеченова Минздрава России (Сеченовский Университет)
- SPIN РИНЦ: 9040-5720
- Scopus AuthorID: 6602512088
- ORCID: 0000-0001-7414-1293
Первый Московский государственный медицинский университет им. И.М. Сеченова Минздрава России (Сеченовский Университет)
ООО «Поликлиника 101»
Опыт хирургического лечения пациента с холестеатомой пирамиды височной кости
Журнал: Вестник оториноларингологии. 2020;85(5): 103‑105
В статье описан клинический случай холестеатомы пирамиды височной кости, приводящей к массивной деструкции окружающих структур. Обращается внимание на важность своевременной диагностики данной патологии с применением объективных методов визуализации для выбора оптимального хирургического доступа, позволяющего полностью удалить данное образование.
Дата принятия в печать:
Холестеатома височной кости остается одной из самых актуальных тем отиатрии. Поражение пирамиды височной кости холестеатомным процессом встречается в 2,9% случаев [1]. При этом примерно в 1,29% случаев наблюдается интракраниальное распространение и развитие серьезных осложнений. Холестеатома пирамиды височной кости может быть как первичной, когда на ранних этапах эмбриогенеза происходит формирование эктодермального зачатка в «неправильном» месте, так и вторичной — вследствие инвазивного роста ее матрикса по клеточной системе височной кости. Последнее обусловлено его повышенной пролиферативной активностью, синтезом большого количества провоспалительных цитокинов (интерлейкины, ФНО-альфа). При этом отмечается экспрессия адгезивных белков, рецепторов к эпидермальному фактору роста [2].
Инвазивная холестеатома по своей локальной «агрессии» вызывает выраженную деструкцию подлежащей костной ткани, распространение патологического процесса за пределы височной кости с возможным развитием внутричерепных осложнений. Ранняя диагностика данной патологии имеет прогностическое значение и позволяет избежать серьезных осложнений [3]. Сложность своевременного выявления обусловлена бессимптомным течением холестеатомы пирамиды височной кости [4]. Болезнь может проявляться внезапно, когда уже имеются выраженные деструктивные изменения. Ранними симптомами могут быть поражение лицевого нерва, глубокая сенсоневральная тугоухость, вестибулярные и центральные неврологические нарушения [5, 6].
На начальном этапе супралабиринтная инвазия холестеатомы может проявляться изолированным поражением лицевого нерва. При этом снижение слуха и вестибулярные нарушения возникают несколько позже, после распространения патологического процесса во внутренний слуховой проход [7]. В случае инфралабиринтной инвазии холестеатомы симптоматики может и не быть, при этом матрикс располагается в гипотимпануме, прорастает на стенки внутренней сонной артерии (ее вертикальной порции) и луковицы яремной вены, а также на твердую мозговую оболочку задней черепной ямки. Выраженная сенсоневральная тугоухость отмечается, когда имеет место инфралабиринтно-аппикальная или аппикальная инвазия холестеатомы при деструкции внутреннего слухового прохода и поражении его структур. Массивная холестеатома вызывает разрушение всех клеток височной кости и капсулы лабиринта, проявляется нарушением слуха и функции лицевого нерва, вестибулярной симптоматикой [8].
В диагностике холестеатомы височной кости основную роль играют лучевые методы исследования (КТ, МРТ в режиме Non EPI DWI), которые позволяют оценить локализацию патологического процесса, наличие костно-деструктивных изменений, границы его распространения [9].
Основной целью хирургического лечения пациентов с холестеатомой пирамиды височной кости является полная санация патологического очага. Однако следует подчеркнуть, что не всегда удается решить эту задачу в связи с инвазивным ростом матрикса и распространением в области, окружающие височную кость [10]. В таких случаях матрикс холестеатомы может обладать более «агрессивными» свойствами, вызывая рецидив заболевания и обширные разрушения.
В качестве примера приводим клинический случай инвазивной холестеатомы пирамиды височной кости.
В клинику болезней уха, горла и носа Сеченовского Университета обратился пациент Л., 27 лет, по поводу внезапно возникшей асимметрии левой половины лица. Из анамнеза известно, что пациенту за рубежом в возрасте 10 лет была выполнена санирующая операция с тимпанопластикой слева. В протоколе операции было указано, что холестеатома удалена неполностью в связи с распространением матрикса в область проекции внутренней сонной артерии. Пациенту было рекомендовано проведение повторной операции после проведения КТ височных костей с ангиографией в специализированном учреждении. Со слов пациента, на протяжении последующих 17 лет после первой операции он не отмечал гноетечения из левого уха и не обращался к ЛОР-врачу.
При поступлении в клинику: общее состояние пациента удовлетворительное. Температура тела нормальная. Кожные покровы обычной окраски. В легких дыхание везикулярное, без хрипов. АД 130/70 мм рт.ст. Пульс 80 в 1 мин, ритмичный.
Левая заушная область не изменена, имеется тонкий послеоперационный рубец. При отомикроскопии слева — наружный слуховой проход широкий, отделяемого нет. Барабанная перепонка серого цвета, перфорации нет. При проведении пробы Вальсальвы слуховая труба проходима. Справа — наружный слуховой проход широкий, свободный. Барабанная перепонка серого цвета, опознавательные знаки дифференцируются. Слуховая труба проходима.
В неврологическом статусе: сознание ясное. Менингеальных знаков нет. Определяется парез мимической мускулатуры лица слева (нарушение функции лицевого нерва V степени по шкале House—Brackmann). Вестибулярные пробы без отклонений.
При тональной пороговой аудиометрии (ТПА) выявлена левосторонняя глухота. Слух справа в пределах возрастной нормы.
По результатам МРТ/РКТ височных костей: левая височная кость тотально заполнена патологическим субстратом с поражением пирамиды. Имеются деструктивные изменения височной кости: задняя грань пирамиды разрушена на протяжении 10 мм, передневерхняя — протяженностью до 15 мм, нижняя поверхность — до 25 мм. Капсула лабиринта значительно разрушена на уровне базального и среднего завитков улитки. Костная стенка лабиринтной части канала лицевого нерва не прослеживается, стенка тимпанального и мастоидального отделов сохранена. Отмечалось разрушение стенки канала внутренней сонной артерии. После внутривенного контрастирования не было отмечено деформации стенки сосуда.
Заключение: признаки рецидива холестеатомы пирамиды височной кости слева. Врожденная холестеатома?

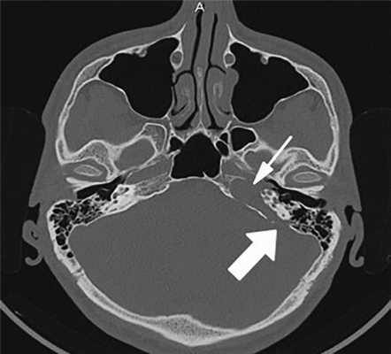
Рис. 1. КТ пациента с холестеатомой левой височной кости — деструкция костной стенки внутренней сонной артерии (маленькая стрелка), базального и среднего завитков улитки, задней грани пирамиды (большая стрелка).
С учетом анамнестических данных, клинической симптоматики и объективных методов визуализации пациенту была выполнена реоперация транслабиринтно-транскохлеарным доступом. При ревизии отмечалось инфралабиринтное распространение холестеатомы в преддверие, в область проекции внутреннего слухового прохода, в барабанную полость с секвестрацией улитки и прорастанием под нее и распространением в область верхушки пирамиды височной кости. Цепь слуховых косточек отсутствовала. По ходу распространения матрикса холестеатомы вскрыты задний, латеральный и частично верхний полукружные каналы, верхние лабиринтные, супрамеатальные, ретролабиринтные клетки и преддверие — произведен доступ к внутреннему слуховому проходу (структуры не определялись, были окутаны эпидермисом). Лицевой нерв идентифицирован в лабиринтном отделе, в тимпанальном отделе обнажен, в мастоидальном — выделена костная стенка, истончена и смещена кпереди — произведен доступ к инфралабиринтному пространству. Выявлено обнажение луковицы яремной вены и внутренней сонной артерии, твердой мозговой оболочки задней и средней черепных ямок, прорастание эпидермиса, который был полностью отсепарован от подлежащих структур. Матрикс холестеатомы отсепарован в области внутреннего слухового прохода, отмечалась умеренная ликворея, в грануляционно-эпидермальной массе идентифицирован интрамеатальный отдел лицевого нерва, и в данном отделе эпидермис был полностью отсепарован от лицевого нерва. Ликворея остановлена тампонадой данной области мышечно-жировым лоскутом. Полость заполнена фрагментами аутожира, кожа наружного слухового прохода ушита наглухо. По данным гистологического исследования — холестеатомные массы с рыхлой подэпителиальной стромой.

Рис. 2. Выделены сигмовидный синус (большая стрелка), срединная пластинка черепной ямки (изогнутая стрелка), холестеатома (пунктирная стрелка), канал лицевого нерва (маленькая стрелка).
При наблюдении в послеоперационном периоде отмечалось сохранение дисфункции лицевого нерва на прежнем уровне (V степень по шкале House—Brackmann). Неврологический статус без изменений.
Данный клинический пример наглядно демонстрирует значимость своевременного выявления холестеатомы височной кости и необходимость объективных методов диагностики, включая КТ и МРТ. Правильная оценка результатов обследования позволяет классифицировать холестеатому пирамиды височной кости, и, исходя из этого, выбрать наиболее оптимальную тактику хирургического вмешательства для полного удаления холестеатомы, предупреждения развития осложнений и предотвращения рецидивов заболевания.
Холестеатома уха
Холестеатома уха — это опухолевидное инкапсулированное образование среднего уха, состоящее преимущественно из клеток слущенного эпителия и кристаллов холестерина. Различают истинную (врожденную) и ложную холестеатому уха. Проявляется заболевание ощущением распирания и болями в ухе, снижением слуха смешанного типа, небольшим количеством имеющих гнилостный запах выделений из уха. Холестеатома уха диагностируется при помощи рентгенографии и КТ черепа, отоскопии, зондирования и промывания барабанной полости, исследований вестибулярного и слухового анализаторов. Лечение холестеатомы уха в большинстве случаев заключается в радикальном хирургическом удалении. Иногда возможно промывание надбарабанной полости с расположенной в ней холестеатомой.



Холестеатома - эмбриональное или (чаще) приобретенное псевдоопухолевое образование, происходящее из тканей среднего уха. В 90% случаев она появляется на фоне хронического гнойного среднего отита. В популяции частота гнойный отитов, осложненных холестеатомой, составляет 0,01%. Заболеванием чаще страдают дети старше 10 лет и взрослые 20-30 лет. У детей патология протекает более агрессивно с многократными рецидивами.

Причины
Холестеатома уха может иметь врожденный характер. В таких случаях она носит название истинной. Благодаря гладкой, напоминающей поверхность жемчужины, капсуле истинную холестеатому уха называют еще «жемчужной опухолью». Она возникает вследствие эмбриональных нарушений и располагается в пирамиде височной кости. Истинная холестеатома может также находиться в других костях черепа, в боковой цистерне и желудочках головного мозга.
Ложная холестеатома уха образуется в результате длительно протекающих отитов или как последствие травмы уха. Считается, что образование ложной холестеатомы уха возможно 2 путями. В первом случае происходит врастание плоского эпителия наружного слухового прохода в полость среднего уха через краевой разрыв барабанной перепонки. Второй механизм образования холестеатомы уха реализуется при нарушении проходимости слуховой трубы в связи с евстахиитом. В результате пониженного давления в барабанной полости происходит втяжение в нее части барабанной перепонки. Когда втяжение становится достаточно глубоким, в нем начинает накапливаться кератин и слущенный эпителий, что ведет к развитию холестеатомы уха.
Холестеатома уха не является истинной опухолью уха, хотя по своему внешнему виду и характеру роста напоминает опухолевое образование. Холестеатома уха имеет слоистую структуру. Сверху она покрыта капсулой из соединительной ткани, под которой находится ороговевающий плоский эпителий. Средний слой холестеатомы уха представлен наложенными одна на другую пластинами слущенного эпителия и расположенными между ними кристаллами холестерина. Центральную часть холестеатомы уха или ее ядро занимает имеющий гнилостный запах беловатый детрит.
Холестеатома уха может быть единичным образованием или представляет собой скопление большого количества узелков, имеющих плотную консистенцию и размер от 3 мм. Холестеатома уха выделяет специфические химические вещества, которые приводят к резорбции окружающих холестеатому костных тканей с образованием гладкостенной полости. Кроме того, эти вещества оказывают токсическое воздействие на рецепторный аппарат внутреннего уха, вызывая расстройство звуковосприятия и реактивный лабиринтит.
Симптомы холестеатомы уха
В начальном периоде холестеатома уха может иметь бессимптомное течение. Затем пациент начинает предъявлять жалобы на чувство распирания в ухе, появление тупой, давящей, ноющей или стреляющей ушной боли. Происходит понижение слуха. Возможны головные боли, при развитии лабиринтита — головокружения. Наблюдаются выделения из уха, которые обычно имеют гнилостный запах и носят скудный характер. Отличительной особенностью является обнаружение в отделяемом небольших комочков белого цвета.
При холестеатоме уха тугоухость имеет смешанный характер. С одной стороны она обусловлена нарушением звукопроведения в связи с ограничением подвижности слуховых косточек, а с другой — расстройством звуковосприятия в результате токсического поражения рецепторов лабиринта проникающими в него агрессивными выделениями холестеатомы.
Разрушая рядом расположенные костные образования, холестеатома уха увеличивается в размерах. Так она со временем заполняет ячейки сосцевидного отростка, доходит до капсулы лабиринта и способна разрушить его полукружные канальцы с образованием фистулы лабиринта. При разрушении коркового слоя сосцевидного отростка холестеатома уха выходит под кожу сосцевидной области.
Разрушение стенки косного канала лицевого нерва ведет к развитию пареза лицевого нерва, стенки сигмовидного синуса — к его тромбозу. Зачастую холестеатома уха достигает размера грецкого ореха и имеет расходящиеся в различных направлениях отростки. При этом она образует гигантскую полость, похожую на полость, остающуюся после общеполостной операции на ухе.
Старая холестеатома уха включает содержащие токсическую жидкость кисты, прорыв которых в подпаутинное пространство приводит к развитию асептического менингита, в вещество головного мозга — к появлению менингоэнцефалита. Эти осложнения могут привести к гибели больного от отека головного мозга. Обострение среднего отита часто сопровождается гнойным распадом холестеатомы уха, обуславливающим развитие гнойного лабиринтита и менингита, околосинусового и экстрадурального абсцесса, абсцесса головного мозга, отогенного сепсиса.
К диагностике холестеатомы уха могут привлекаться не только врачи-отоларингологи, но также неврологи и нейрохирурги. В современной отоларингологии используется комплекс визуализирующих и функциональных методик:
- Рентгенография височных костей. На рентгенограммах в проекции по Майеру, Шюллеру или Стенверсу холестеатома определяется как имеющая среднюю плотность однородная тень, которая находится в круглой патологической полости с гладкими и четко визуализирующимися краями. Более точную визуальную картину образования получают при проведении КТ и МСКТ черепа.

КТ височных костей. Деструкция сосцевидного отростка, сосцевидной пещеры, пирамиды и среднего уха правой височной кости, обусловленная холестеатомой
- Эндоскопия уха. При отоскопии возможно обнаружение краевой перфорации барабанной перепонки, признаков деструкции костной части слухового прохода, обусловленных разрастанием холестеатомы. При наличии краевой перфорации производят зондирование полости среднего уха пуговчатым зондом и промывание надбарабанного пространства. О наличии деструктивного процесса свидетельствует шероховатая при прощупывании поверхность кости. В пользу холестеатомы уха говорит присутствие в промывных водах включений и чешуек эпидермиса.
- Исследование слухового анализатора. Дополнительно у пациентов с холестеатомой уха проводят исследование слуха и вестибулярного анализатора. Аудиометрия выявляет снижение слуха, пороговая аудиометрия — смешанный тип тугоухости. Производят также исследование камертоном, определение проходимости слуховой трубы, электрокохлеографию, акустическую импедансометрию, отоакустическую эмиссию, вестибулометрию, электронистагмографию, стабилографию, непрямую отолитометрию.
- Неврологическая диагностика. В диагностике осложнений может применяться неврологический осмотр, МРТ головного мозга, люмбальная пункция и др.

МРТ головы. Гиперинтенсивный сигнал в области сосцевидной пещеры, сосцевидного отростка и пирамиды правой височной кости (холестеатома)
Холестеатому уха необходимо дифференцировать от опухолей и инородных тел уха, кохлеарного неврита, серной пробки, гломусной опухоли, адгезивного среднего отита, специфических гранулем при туберкулезе и сифилисе.
Лечение холестеатомы уха
Консервативная тактика
Консервативное лечение возможно лишь в случае небольшой холестеатомы уха, находящейся в надбарабанном пространстве. Терапия таких холестеатом заключается в промывании надбарабанного пространства растворами протеолитических ферментов и борной кислоты. Начинают и заканчивают процедуру промыванием полости изотоническим раствором. Подобную манипуляцию проводят ежедневно в течение недели.
Хирургическое лечение
При неэффективности консервативного лечения, большом размере холестеатомы уха, наличии осложнений показано радикальное удаление образования. В зависимости от распространенности холестеатомы хирургическое вмешательство может включать:
- санирующую операцию на среднем ухе;
- лабиринтотомию;
- транслабиринтное вскрытие пирамиды височной кости;
- тимпанпластику, мастоидопластику, мирингопластику и пр.
В случае своевременного выявления, последовательного консервативного или радикального хирургического лечения холестеатомы прогноз благоприятный. В отдельных случаях возможны рецидивы процесса. В запущенных стадиях возможно развитие тугоухости, жизнеугрожающих внутричерепных осложнений. Профилактика холестеатомы заключается в предупреждении ХГСО, своевременном лечении воспаления среднего уха.
Читайте также:
- Гиперестезия (повышенная чувствительность зубов): причины, симптомы и лечение
- Синдром Гланцманна-Заланда (Glanzmann-Saland)
- Хронический отит с краевым прободением перепонки. Опасность перфорации барабанной перепонки с краю
- Синдром Гриньоло (Grignolo)
- Остановка сердечной деятельности. Тактика при остановке сердечной деятельности.
