Примеры метастаза в диск зрительного нерва
Добавил пользователь Евгений Кузнецов Обновлено: 01.01.2026
Меланома хориоидеи — это пигментная опухоль злокачественного характера собственной сосудистой оболочки глаза (хориоидеи). Данная опухоль является одной из самых частых внутриглазных новообразований. Меланома хориоидеи является основной причиной смертности и инвалидизации онкобольных с поражением органа зрения. Заболевание может протекать практически бессимптомно, но при этом имеет высокую склонность к метастазированию, поэтому проблема ее выявления на начальных стадиях является крайне актуальной.
Этиологические факторы
Большинство случаев меланомы хориоидеи являются спорадическими, то есть обусловлены теми или иными мутациями клетки-предшественницы меланоцитарного звена, которая может дать начало патологическому опухолевому клону. Кроме того, есть предположение о наследственной причине данного заболевания. Воздействие такого типичного провоцирующего фактора для меланомы кожи, как повышенная инсоляция, для этой опухоли также не исключается.
В группе риска находятся пожилые люди (средний возраст манифестации опухоли — 60 лет). Немного чаще болеют мужчины. Склонны к появлению меланомы хориоидеи обладатели светлой кожи и волос, невусов и веснушек.
Клиническая картина
Жалобы пациентов зависят от размера и локализации меланомы хориоидеи, а также от наличия сопутствующих осложнений, к которым относятся: отслойка сетчатки вторичного характера, появление дегенеративных процессов в сетчатке, помутнение хрусталика.
На первичном приеме у офтальмолога обычно определяется снижение остроты зрения, появление перед глазом слепых участков (скотом), гемианопсий (выпадения половин поля зрения). В случае позднего обращения, больные жалуются на боль в глазу (вторичная глаукома), расширение сети сосудов. Также на склере может определяться пигментное пятно (экстраокулярный рост новообразования).
Стадии развития меланомы хориоидеи
Согласно международной классификации различают 4 стадии развития данной опухоли. Критерии распространенности опухолевого процесса:
- Т1 — размер меланомы 10 мм и менее, толщина — 2,5 мм и менее.
- Т2 — размер новообразования 10-16 мм, наибольшая толщина составляет 2,5-10 мм.
- Т3 — размером 16 мм и/или толщина более 10 мм без распространения за пределы глазного яблока.
- Т4 — наибольший размер опухоли 16 мм и/или толщина более 10 мм с распространением за пределы глазного яблока.
Также выделены 4 клинические стадии меланомы хориоидеи. Для каждой из них характерны определенные симптомы заболевания:
- Для первой, так называемой стадии «спокойного глаза», свойственно отсутствие ярких клинических проявлений и жалоб. Возможно наличие помутнения сетчатки, также могут определяться дефекты поля зрения.
- Вторая стадия характеризуется появлением боли в глазах, воспаления, покраснения глазного яблока, отека век.
- На третьей стадии меланома хориоидеи выходит за границы глазного яблока, формируется экзофтальм, склера теряет целостность.
- Четвертая стадия сопровождается генерализацией процесса. Общее состояние пациента ухудшается. Больные жалуются на сильную боль, снижается масса тела, нарастает интоксикация. Появляются метастазы меланомы внутренних органов: печени, легких, костей. Поражение того или иного органа провоцирует появление соответствующих симптомов. Может выявляться дальнейшее снижение остроты зрения, чувство пелены или тумана перед глазами. Данные проявления вызываются кровотечениями в стекловидное тело, помутнением хрусталика.
Симптомы второй и третьей стадии меланомы хориоидеи ярко выражены при расположении опухоли в центральной или парацентральной части глазного дна. Для периферической локализации новообразования характерно длительное отсутствие субъективных ощущений. В этом случае меланома выявляется либо случайно, либо на стадии распада опухоли и ее вторичных проявлений.

Виды меланомы глаза
Разработана классификация меланомы хориоидеи по морфологическому признаку. В зависимости от клеточной структуры, выделяют следующие типы данной опухоли:
- Веретеноклеточный.
- Эпителиоидный.
- Смешанный (микстмеланома).
- Фасцикулярный.
- Некротический.
Данная классификация имеет определенные недостатки, так как некротическая меланома хориоидеи определяется клинически, а вот определить ее клеточную принадлежность из-за обширного некроза невозможно. Веретенообразный и фасцикулярный тип имеют сходный прогноз. В связи с этим, в настоящее время морфологически принято выделять только 2 типа: веретеноклеточный и эпителиоидный. Смешанная форма занимает промежуточное положение. Ее прогноз зависит от преобладания тех или иных клеток. Наименее благоприятной прогностически считается эпителиоидноклеточная меланома хориоидеи.
Диагностика
Учитывая клинические особенности меланомы хориоидеи, ее диагностика, особенно на начальных этапах, представляет определенные трудности. Помимо анализа жалоб больного и клинико-анамнестических данных, учитываются результаты следующих инструментальных исследований:
- Биомикроскопии.
- Офтальмоскопии.
- Ультразвукового исследования глаза.
- Диафаноскопии и др.
Меланома хориоидеи является новообразованием с высоким риском появления метастазов. Поэтому при обследовании пациента необходимо использовать также методы диагностики метастатических очагов: УЗИ органов брюшной полости и лимфатических узлов, рентгенографию легких, КТ, МРТ.

Способы лечения меланомы хориоидеи
Выделяют органосохраняющие методы лечения данной опухоли и хирургический метод без сохранения глаза. В случаях, когда не удается сохранить глаз, производят энуклеацию — изолированное удаление глазного яблока или экзентерацию — иссечение вместе с глазным яблоком всего содержимого орбитальной полости.
Показания к энуклеации:
- Опухоль значительного размера.
- Распространение меланомы на диск зрительного нерва.
- Полное отсутствие зрительной функции.
- Экстрабульбарный рост опухоли.
- Вторичная глаукома.
После удаления глазного яблока, проводится имплантация внутреннего протеза и последующее наружное протезирование. Эти меры позволяют не только достичь хорошего косметического результата, но и препятствуют деформации лица.

К органосохраняющим методам лечения меланомы хориоидеи относятся:
Лучевая терапия. В зависимости от способа подведения излучения, лучевую терапию при данном заболевании проводят контактным или дистанционным способом. Контактное облучение, или брахитерапия, представляет собой имплантацию радиоактивных элементов вблизи очага меланомы.
Показания к проведению брахитерапии:
- Отсутствие признаков распада.
- Диаметр новообразования до 15 мм.
- Отстояние от диска зрительного нерва не менее 2 диаметров самого диска.
Брахитерапия является самым эффективным методом органосохраняющего лечения при меланоме хориоидеи. Его применение способно снизить вероятность образования метастазов опухоли.

В составе системного лечения, актуально проведение иммунной терапии. Также при оказании помощи больным с меланомой хориоидеи в поздних стадиях учитываются особенности ее метастазирования. Для данной опухоли характерно изолированное поражение печени метастазами. В таких случаях с успехом применяется химиоэмболизация данного органа.
Такой распространенный метод лечения меланомы кожи, как таргетная терапия, при меланоме хориоидеи не применяется, так как при данном виде опухоли отсутствуют специфичные BRAF-мутации.
Профилактика и диспансерное наблюдение
Рекомендовано пожизненное наблюдение за больными, которые получали лечение меланомы хориоидеи. После проведения лучевой терапии и удаления новообразования, офтальмолог должен осматривать пациентов каждые полгода в течение 2 лет, а далее — 1 раз в год. С целью раннего выявления метастазов назначают УЗИ органов брюшной полости и рентгенографию легких 1-2 раза в год.
Прогноз для жизни при меланоме хориоидеи
Продолжительность жизни при данном виде рака зависит от локализации и размера опухоли, возраста пациента, морфологии новообразования, проведенного лечения и других особенностей. Пятилетняя выживаемость на начальных стадиях меланомы хориодиеи после применения органосохраняющих радикальных методов составляет 93%, десятилетняя — 89%. На поздних стадиях, при выявлении метастазов печени медиана выживаемости составляет лишь 4-6 месяцев. Для пациентов с метастатическим поражением других органов годичная выживаемость составляет 76%.
Примеры метастаза в диск зрительного нерва
предоставляем актуальную медицинскую информацию от ведущих специалистов, помогая врачам в ежедневной работе
Для цитирования: Анализ диска зрительного нерва на уровне современных технологий. Клиническая офтальмология. 2011;12(1):14.
Modern techniques in the analysis of the disc of the optic nerve
Tambov department of FGU «MNTK «Eye Microsurgery» named after Fedorov S.N. of Rosmedbiotechnology», Tambov
Authors describe the sequence of the development of computer program which allows analyzing of optic nerve disc parameters in general and in six sectors, taking into consideration an individual disc square. This program compared to HRT 2 or 3 allows revealing more subtle initial changes of parameters.
В последние годы наблюдается рост метастатических опухолей органа зрения, что, по всей вероятности, связано с увеличением продолжительности жизни онкологических больных [3]. Есть мнение, что процент прижизненной диагностики внутриглазных метастазов в несколько раз ниже, чем при аутопсийных исследованиях. Так, Eliasi-Rad В. с соавторами (1996 г.) при вскрытии 741 больных, умерших от рака, у 93 (12,6%) обнаружили внутриглазные метастазы [1]. Возможно, и эти данные не отражают частоту метастатического поражения органа зрения, так как далеко не каждый больной, умерший от злокачественной опухоли, подвергается вскрытию, а если вскрытие и производится, то глазное яблоко часто исключается из гистологического исследования, то есть истинная частота метастазов в глаз и орбиту может быть значительно выше. Существует даже точка зрения, что в наши дни метастатический рак хориоидеи является одной из наиболее часто встречающихся внутриглазных опухолей [2]. Последнее утверждение сомнительно, но очевидно, что офтальмологи выявляют далеко не все случаи метастатического поражения органа зрения, и значительная часть бессимптомно протекающих метастазов так и остается не выявленной.
Наиболее частыми первичными опухолями, при которых возникают метастазы в орган зрения, являются рак молочной железы, рак легкого и кожная меланома. С меньшей частотой, но практически все виды опухолей могут метастазировать в глаз и орбиту. По нашим данным, больные с метастазами рака молочной железы составляют 67,5% среди всех пациентов с метастатическим поражением органа зрения. Второе место по частоте метастазирования в глаз и орбиту занимает рак легкого - 14,4%. Совокупность всех остальных первичных опухолей (кожная меланома, рак кишечника, желудка, щитовидной и предстательной желез, матки, яичников и т.д.) составляет 18,1% (табл.).
Следует особо подчеркнуть, что метастатическое поражение органа зрения может быть первым проявлением скрыто протекающей первичной опухоли, что по нашим данным составляет около 11%. это особенно характерно для рака легкого.
Возможность выявления метастаза в орган зрения раньше первичной опухоли обязывает офтальмологов изучать особенности клинического проявления метастатических опухолей. Клиническая картина метастатической опухоли зависит от поражения определенного отдела органа зрения и гистогенеза первичной опухоли.
Метастатические опухоли глаза и орбиты при раке молочной железы, как правило, возникают через 2-4 года с момента диагностики первичной опухоли. Возможно развитие внутриглазного метастаза даже через 10-11 лет с момента диагностики рака молочной железы. При раке легкого и других злокачественных опухолях метастатическое поражение органа зрения развивается значительно раньше: в 77% случаев в течение первого года с момента диагностики первичной опухоли.
Среди метастазов в орган зрения солидных опухолей преобладают внутриглазные опухоли (рис. 1). В основном наблюдается поражение задних отделов сосудистой оболочки - хориоидеи. По нашим данным, метастазы в радужку и цилиарное тело возникают приблизительно в 10 раз реже, чем метастазы в хориоидею.
Метастатические опухоли радужки при раке молочной железы выглядят, как рыхлые белые или желтоватые образования с нечеткими границами, вызывающие в той или иной степени деформацию зрачка (рис. 2). Внешне они напоминают воспалительную гранулему или беспигментную лейомиому, но, в отличие от последних, характеризуются локальным расширением эпибульбарных сосудов на стороне поражения радужки, быстрыми темпами роста опухоли и отсутствием клеточного выпота в стекловидное тело. Метастаз рака легкого выглядит в виде слабо васкуляризированной опухоли с бугристой поверхностью и напоминает беспигментную меланому. Необходимо обратить внимание на то, что на поверхности метастатической опухоли, в отличие от первичных опухолей радужки, как правило, не видно сосудов. Нередко наблюдается многофокусное поражение радужки. Мы наблюдали у одной больной метастаз рака молочной железы в виде узкой полоски желтоватой ткани вдоль всего угла передней камеры, что привело к развитию вторичной некомпенсированной глаукомы. У другой больной метастаз кожной меланомы выглядел в виде диффузной инфильтрации радужки пигментированной тканью с формированием задних синехий. Метастатическое поражение радужки и цилиарного тела в 80% случаев сопровождается развитием вторичной глаукомы или иридоциклитом с “сальными” преципитатами на эндотелии.
Метастатическая опухоль хориоидеи, как правило, характеризуется быстрыми темпами роста и нарастанием симптоматики. Основным симптомом хориоидальных метастазов является снижение остроты зрения. Это обусловлено преимущественной локализацией метастатической опухоли в центральных отделах глазного дна. При отсутствии лечения в случае отказа больных или несвоевременной диагностики хориоидального метастаза у 13 больных мы наблюдали быстрое (в течение 1 месяца) значительное увеличение размеров опухоли и выраженное снижение остроты зрения от 0,8-1,0 до светоощущения.
Следует отметить, что приблизительно у 10% больных метастазы в хориоидею не сопровождаются какими-либо субъективными жалобами и выявляются случайно при осмотре.
На ранних стадиях метастаз в хориоидею выглядит как желтовато-беловатый рыхлый очаг с нечеткими границами. Для хориоидальных метастазов рака молочной железы характерно увеличение опухоли по площади, при незначительном росте в высоту - “стелющаяся опухоль” (рис. 3). При юкстапапиллярной локализации метастатической опухоли ее нередко принимают за переднюю ишемическую нейропатию. По мере роста опухоли появляется вторичная отслойка сетчатки, как правило, с выраженным транссудатом (рис. 4). Отслойка сетчатки возникает не только над опухолью, но и в отдалении от нее. В этих случаях внимательный осмотр всех отделов глазного дна помогает избежать ошибочного диагноза первичной отслойки сетчатки. Метастатическая опухоль бывает похожей на гемангиому хориоидеи, но, в отличие от нее, характеризуется быстрыми темпами роста. При раке легкого, щитовидной железы, кишечника, как правило, формируется умеренно проминирующий узел неправильной формы, нередко “двугорбый” или “трехгорбый”. Узловую форму роста метастатической опухоли при раке легкого или щитовидной железы приходится дифференцировать с беспигментной меланомой хориоидеи. Кровоизлияния на поверхности опухоли, гемофтальм встречаются редко. Кровоизлияние в стекловидное тело затрудняет диагностику, и диагноз метастатического рака хориоидеи устанавливается только при морфологическом исследовании удаленного глаза.
Нередко наблюдается многофокусное поражение хориоидеи. У каждого пятого больного с хориоидальными метастазами выявляется поражение обоих глаз. Учитывая это, необходимо проводить тщательный осмотр обоих глаз с широким зрачком.
При ультразвуковом исследовании метастазов отмечается небольшая плотность опухоли, малая ее проминенция (до 3 мм) при относительно большом диаметре. Мы ни разу не встретили грибовидную форму опухоли и не отметили экскавацию склеры, столь характерную для первичной меланомы хориоидеи.
Для метастазов в орбиту рака молочной железы характерно, как правило, медленное течение. Пристеночное расположение опухоли приводит к смещению глаза в контрлатеральную сторону. Постепенно развивается экзофтальм. Субъективно больных беспокоит диплопия из-за ограничения подвижности глаза. Нередко появляется образование, которое больные сами прощупывают под одной из стенок орбиты. Опухоль, доступная пальпации, имеет, как правило, плотную консистенцию, бугристую поверхность, спаяна с подлежащими тканями. Описанная выше клиническая картина характерна для аденокарциномы или инфильтративного протокового рака молочной железы. Метастаз скиррозной формы рака молочной железы имеет иную клиническую картину. Опухоль - более плотная, быстро прорастает в прилежащие ткани. Очень рано развивается офтальмоплегия в сочетании с энофтальмом. Метастатические опухоли рака желудка, легкого, щитовидной железы характеризуются, как правило, быстрым (в течение 1-2 мес) развитием симптомов, присущих злокачественной опухоли орбиты: появлением экзофтальма, чаще осевого, невоспалительного отека век, хемоза. Нередко развивается застойный диск зрительного нерва с последующим снижением остроты зрения.
Метастатические опухоли придаточного аппарата глаза встречаются крайне редко, и их клинические проявления плохо изучены. На ранних этапах заболевания метастатическое поражение век выглядит, как обычный халязион. У онкологических больных халязионы следует подвергать хирургическому лечению с обязательным направлением удаленного материала на гистологическое исследование. Определяющая роль в диагностике метастаза принадлежит морфологическому исследованию биоптата.
Таким образом, для метастатических опухолей радужки характерны следующие клинические признаки: слабая васкуляризация, возможность многофокусного поражения, быстрые темпы роста и раннее развитие вторичной глаукомы и иридоциклита.
Для хориоидального метастаза типичны небольшая плотность опухолевого узла, относительно маленькая проминенция опухоли при значительном ее диаметре, преимущественная локализация в парамакулярных и парапапиллярных отделах, возможность развития на глазном дне нескольких опухолевых узлов, вовлечение в опухолевый процесс обоих глаз.
При метастатическом поражении тканей орбиты преимущественно развивается безболезненный экзофтальм со смещением глаза. Рано появляются офтальмоплегия и диплопия. Для скирра молочной железы характерно развитие энофтальма в сочетании с офтальмоплегией и затруднением репозиции - “вколоченный глаз”.
Метастатическая опухоль должна быть включена в дифференциально-диагностический ряд заболеваний при обследовании больных с внутриглазной гипертензией, иридоциклитом, при подозрении на вторичную отслойку сетчатки, при синдроме одностороннего экзофтальма.
Знание клинических особенностей метастатических опухолей и тщательно собранный анамнез помогают своевременной диагностике метастатического поражения органа зрения. Ранняя диагностика и своевременное лечение метастатических опухолей позволяют предупредить слепоту и развитие болевого синдрома, обусловленного вторичной глаукомой, и улучшить качество жизни наиболее тяжелой категории онкологических больных с метастатическим поражением органа зрения.
Литература
1. Eliassi-Rad B., Albert D.M., Green W.R. Frequency of ocular metastases in patients dying of cancer in eye bank populations. // Br.J. of Ophthalmol. - 1996. - vol. 80 (2). - р. 125-128.
2. Maran R., Grinbaum A., Ashkenazi I. [Ocular metastatic carcinoma- rare or common?]. // Harefuah. - 1994. - vol. 129 (9). - p. 510-513, 563.
3. McCartney A. Intraocular metastasis. // Br. J. of Ophthalmol. - 1993. - vol. 77. - p.133.
4. Nelson C., Hertzberg B., Klintworth G. A historic study of 716 unselected eyes in patients with cancer of the time of death. // Ann J. Ophthalmol.- 1983. -vol.- 95. - p. 788-793.
Для цитирования: Анатомические особенности диска зрительного нерва. Клиническая офтальмология. 2001;2(3):111.
Anatomic peculiarities of the optic nerve disc Kasyumova M.S.
Kasyumova M.S.
Optic nerve disc on it’s tissue architecture belongs to amyelinic nerve structures and is conditionally divided into 3 parts: surface lamina, prelaminar and laminar parts. Surface lamina is blood supplied from central retinal arteria. Prelaminar part - at the expence of capillars of peripapilar chorioidal network. Laminar and retrolaminar parts of the disc are blood supplied from branches of Cinn-Galer circle with branches of peripapilar chorioidal vessels and partly from branches of posterior short ciliar vessels. There is a big variability in the embranchment of posterior short ciliar vessels both in their quantity and in topography of entering the posterior pole of the eye. Blood outflow is carried out by central retinal vein and to the peripapilar chorioidal veins which carry the blood to the venae varticosae. Ultrastructure of disc vessels’ walls turned out to be similar to these of retinal and central nerve system capillars.
Сосудистая патология зрительного нерва (ЗН) и на сегодняшний день остается одной из наименее изученных проблем офтальмологии в связи со сложностью его структурно-функционального строения [1].
Клинико-морфологические, электрофизиологические исследования значительно расширили наши представления об анатомии диска зрительного нерва (ДЗН), но благодаря современным неинвазивным диагностическим технологиям стали возможными изучение более тонких структур и прижизненная оценка изменений в них на более высоком уровне [8,9]. Однако в связи с этим стали появляться новые данные, не согласующиеся с прежними представлениями. В этой статье предпринята попытка создания целостной картины строения ДЗН с учетом современных изысканий.
Диском зрительного нерва называют интраокулярную часть зрительного нерва, который образуется аксонами оптикоганглионарных невроцитов [2,3]. Поскольку слой нервных волокон и вся сетчатка по мере приближения к нему утолщаются, это место несколько выступает внутрь глаза в виде сосочка [7]. Общее количество аксонов ганглиозных клеток в ЗН от 564 776 до 1 200 000 [10], но с возрастом оно уменьшается. Топография их отличается строгой закономерностью. От макулярной области сетчатки в средне-височную часть ДЗН идет короткий, но плотный пучок аксонов, который оттесняет дуговые волокна, исходящие от верхне- и нижневисочных квадрантов сетчатки, в соответствующие его сегменты [7]. При этом в самом центре папилло-макулярного пучка два аксона несут информацию от одной колбочки, расположенной в фовеольной зоне 2°. В периферических участках ЗН каждый аксон несет информацию от значительно большего количества фоторецепторов. На периферии сетчатки соотношение фоторецепторов и ганглиозных клеток составляет 1000:1 [7,10]. Радиальные волокна, отходящие от верхне-и нижненосовых квадрантов сетчатки, занимают в ДЗН сегменты той же пространственной ориентации. Затем собранные в нем волокна делают дугообразный загиб (на 90°) и в виде обособленных пучков формируют начальную часть ЗН.
По данным ряда авторов [1,2,3,5,6,7,11], ДЗН имеет длину около 1 мм, диаметр 1,75-2,0 мм, площадь - 2-3 мм. Он локализуется медиальнее заднего полюса глаза на 2,5-4 мм и на 0,5-1 мм книзу от него [2,7], или на 15° кнутри и на 3° кверху от заднего полюса глаза [3,5]. Соответственно проекции ДЗН в пространство, в височной половине поля зрения каждого глаза имеется слепое пятно (физиологическая скотома).
Более точную характеристику биометрических показателей ДЗН получили при использовании трехмерной оптической томографии и ультразвукового сканирования [9]. При УЗ-сканировании ширина продольного УЗ-сечения внутриглазной части ДЗН составляет 1,85±0,05 мм; ширина ретробульбарной части ЗН в 5 мм от ДЗН - 3,45±0,15 мм; на расстоянии в 20 мм - 5,0±0,25 мм. По данным трехмерной оптической томографии горизонтальный диаметр ДЗН - 1,826±0,03 мм; вертикальный диаметр - 1,772±0,04 мм; площадь ДЗН - 2,522±0,06 мм2; площадь экскавации - 0,727±0,05 мм2; площадь ободочной рамки - 1,801±0,03 мм2; глубина экскавации - 0,531±0,05 мм; высота - 0,662±0,08 мм; объем экскавации - 0,622±0,06 мм3.
Область ДЗН условно делится на 4 зоны: 1 - непосредственно диск (диаметр - 1,5 мм); 2 - юкстапапиллярная (диаметр около 1,7 мм); 3 - парапапиллярная (диаметр - 2,1 мм); 4 - перипапиллярная (диаметр - 3,1 мм) [5].
Внешний вид ДЗН и размер его физиологической экскавации зависят от размера склерального канала и угла, под которым этот канал расположен по отношению к глазу. Четкость границ ДЗН определяется углом входа ЗН в склеру. Если ЗН входит в склеру под острым углом, то пигментный эпителий сетчатки оканчивается впереди края канала, образуя полукольцо хориоидеи и склеры. Если угол превышает 90°, то один край диска кажется крутым, а противоположный - пологим. Если сосудистая оболочка отстоит от края ЗН, он окружен склеральным полукольцом. Иногда край диска имеет черную окантовку из-за скопления меланина [3].
По данным некоторых авторов [2,6,7,11], по тканевой структуре ДЗН относится к так называемым безмякотным нервным волокнам. В нем отсутствуют олигодендроглия и микроглия. Зато ДЗН богато снабжен сосудами и опорными элементами. Нейроглия ДЗН состоит из астроцитов, обладающих длинными отростками, которые окружают все пучки нервных волокон и, проникая в них, сопровождают каждое волоконце. Они принимают также участие в формировании решетчатой опорной структуры ДЗН и отделяют его от соседних тканей. Граница между безмякотной и мякотной частями ЗН совпадает с наружной поверхностью решетчатой пластинки, т.е. находится еще внутри глаза [4,5].
Части ДЗН
Разные авторы [1,2,4,6,7,11] по-разному называют части безмякотного отдела ЗН, но, в сущности, они соответствуют друг другу и отражают особенности ангиоархитектоники зрительного нерва. ДЗН делится на 3 части, и сюда же можно отнести и 4-ую часть зрительного нерва, находящуюся непосредственно за решетчатой пластинкой.
1. Поверхностная пластинка ДЗН (его ретинальная часть), представляющая из себя слой поверхностных нервных волокон в виде кольца. Височная половина ниже носовой, поскольку в ней тоньше слой нервных волокон. Височные волокна образуют в середине ДЗН углубление либо в виде воронки (именуется сосудистой), либо в форме котла (физиологическая экскавация). Здесь проходят сосуды сетчатки, которые покрыты тонким чехлом из глии, образующие на дне физиологической экскавации соединительнотканный тяж. От стекловидного тела поверхностная часть ДЗН отделена несплошной глиальной мембраной [7,11].
2. Хориоидальная или преламинарная часть ДЗН. Она находится на уровне собственно сосудистой оболочки и состоит из упомянутых выше пучков нервных волокон, покрытых астроглиальной тканью с поперечными ответвлениями. Они образуют решетчатую структуру. Базальная пластинка хориоидеи имеет в этом месте округлой формы отверстие, которое каналом соединено с решетчатой пластинкой склеры. Длина этого хориосклерального канала 0,5 мм, диаметр внутреннего отверстия около 1,5 мм, наружного - несколько больше. Этот слой ДЗН снабжен густой сетью капилляров. А.П. Нестеров приводит несколько типов хориосклерального канала ДЗН: расширяющийся или суживающийся кзади; расширяющийся или суживающийся в средней части; цилиндрический и косой. Эти особенности могут объяснить некоторые вопросы патогенеза развития сосудистых нарушений в ДЗН [6,7].
3. Склеральная или ламинарная часть ДЗН. Она представлена волокнами, заключенными в канальцы решетчатой пластинки. Решетчатая пластинка делится на переднюю (хориоидальную) и заднюю (склеральную) части. В решетчатой пластинке имеется сеть соединительнотканных (коллагеновых) перекладин - трабекул, образующих при пересечении септы полигональной формы, через которые проходят пучки нервных волокон. Общее число пучков достигает 400. Средняя толщина трабекул в склеральной части решетчатой пластинки около 17 мкм. В каждой трабекуле заключен капилляр диаметром 5-10 мкм. Источником происхождения этих капилляров в хориоидальной части трабекул являются терминальные артериолы, отходящие от перипапиллярной хориоидеи или от круга Цинна-Галлера. Трабекулы задней части решетчатой пластинки содержат капилляры, происходящие из круга Цинна-Галлера. Центральная артерия сетчатки в кровоснабжении решетчатой пластинки не участвует [4,11,12].
4. Постламинарная часть ЗН (ретроламинарная) представляет собой часть ЗН примыкающую к решетчатой пластинке. Она в 2 раза толще ДЗН и диаметр ее составляет 3-4 мм [1,12].
Кровоснабжение ДЗН
Кровоснабжение ДЗН описано в работах многих авторов [1,2,4,6,7,9,11,12] и обобщенно может быть представлено следующим образом. Поверхностный слой нервных волокон ДЗН получает питание частично из центральной артерии сетчатки (ЦАС) или, точнее, из ветвей артериол сетчатки, проходящих в перипапиллярной области. Темпоральный сектор этого слоя снабжается веточками из хориоидальных сосудов.
Преламинарная часть снабжается кровью из капилляров перипапиллярных хориоидальных сосудов. Хотя эти сосуды не относятся к сосудам концевого типа, анастомозы между ними недостаточные и кровоснабжение носит сегментарный характер. Капилляры проходят в указанных выше глиальных перегородках, содержащих астроциты и окружающих пучки нервных волокон. Наиболее значительно кровоснабжается зона папилломакулярного пучка. Считается, что здесь принимают участие также веточки задних циллиарных артерий, идущих от решетчатой пластинки [4,11,12].
Ламинарная часть ДЗН получает питание из терминальных артериол перипапиллярной хориоидеи или от круга Цинна-Галлера. Необходимо отметить отсутствие достаточной информации в литературе об анатомо-функциональных особенностях этой сосудистой сети. При невыраженности или отсутствии данного круга питание задней части решетчатой пластинки происходит из системы задних коротких цилиарных артерий (ЗКЦА).
Ретроламинарная часть ДЗН получает кровь в основном из ветвей сосудистого сплетения мягкой мозговой оболочки. Это сплетение образовано возвратными артериальными ветвями перипапиллярной хориоидеи, артериолами круга Цинна-Галлера и ветвями ЗКЦА. Необходимо отметить, что возвратные ветви начинаются внутри глазного яблока и, следовательно, подвержены действию внутриглазного давления.
Таким образом, основным источником кровоснабжения переднего отдела зрительного нерва является система задних коротких циллиарных артерий. ЗКЦА при различных вариантах ветвления в количестве от 3 до 8 подходят к глазному яблоку вокруг ДЗН (иногда почти вплотную). Некоторые авторы [11], основываясь на результатах многолетних исследований, утверждают, что задние циллиарные артерии могут отходить от глазничной артерии в количестве от 1 до 5, а затем, ветвясь, давать до 20 веточек задних коротких циллиарных артерий. Эти артерии можно разделить на 2 группы: параоптическую и дистальную. Первая входит у ДЗН, вторая - между задними длинными циллиарными и параоптическими артериями. Имеются сведения о наличии анастомозов между циллиарными артериями и ЦАС. Если в дальнейшем подтвердится наличие этих анастомозов, то это существенно повлияет на картину патогенеза ишемических нейропатий. При этом можно будет исследовать существование порочного круга или «системы обкрадывания», возникающей при острой гипотензии. Совместное отхождение циллиарных артерий и ЦАС обеспечивает равные условия гемодинамики в исходном пункте. В циллиарных артериях скорость кровотока и диастолическая его часть выше, чем в ретинальных артериях, что говорит о более низком сопротивлении сосудистого ложа, чем ретинального. В зависимости от входа этих артерий разделяют верхнюю, среднюю и нижнюю группы параоптических ЗКЦА. Однако необходимо оценивать кровообращение в головке зрительного нерва с учетом высокой индивидуальной вариабельности, так как имеется значительная вариабельность в ветвлении ЗКЦА как по их количеству, так и по топографии вхождения в задний полюс глаза [8,9,11]. Но это не дает объяснения феномену двустороннего поражения при передних ишемических нейропатиях.
Весь отток крови из переднего отдела зрительного нерва осуществляется главным образом через центральную вену сетчатки. Из преламинарной части отток частично происходит в перипапиллярные хориоидальные вены, несущие кровь в вортикозные вены. Этот путь венозного оттока может иметь некоторое значение в случаях окклюзии центральной вены сетчатки позади решетчатой пластинки [4]. Еще одним путем оттока, но не крови, а ликвора является глазнично-лицевой ликворолимфатический путь из межвлагалищного пространства зрительного нерва в подчелюстные лимфатические узлы [2].
Применение ФАГД позволило выделить два сосудистых сплетения в диске зрительного нерва - поверхностное и глубокое. Поверхностное - образовано ретинальными сосудами, отходящими от ЦАС. Глубокое - снабжает кровью ДЗН и образовано капиллярами, происходящими из хориоидальных сосудов системы ЗКЦА [4]. Капиллярная сеть на периферии ДЗН более скудная. В сосудах зрительного нерва отмечается ауторегуляция кровотока [1]. По данным некоторых авторов [4], поверхностное сплетение ДЗН не участвует в его кровоснабжении. Однако известно множество случаев одновременного побледнения ДЗН при окклюзии центральной артерии сетчатки и, наоборот, при тотальной передней ишемической нейропатии - появления симптома «вишневой косточки» в макулярной области.
В ретробульбарной части зрительного нерва выявляются все звенья микроциркуляторного русла: артериолы, прекапилляры, капилляры, посткапилляры и венулы. Обращает на себя внимание извитость артериол, преобладание венозного компонента и наличие множества венуло-венулярных анастомозов. Встречаются также артерио-венулярные шунты. Капилляры образуют преимущественно сетевые конструкции [1].
Ультраструктура стенок капилляров ДЗН оказалась сходной с капиллярами сетчатки и центральной нервной системы [1,4,6]. В отличие от хориокапилляров они непроницаемы и имеют одиночный слой эндотелиальных клеток без фенестров [4]. Между слоями основной мембраны в прекапиллярных, капиллярных и посткапиллярных сосудах распределены интрамуральные перициты. Эти клетки имеют темное ядро и цитоплазматические отростки. Возможно, они происходят из зародышевой сосудистой мезенхимы и являются продолжением мышечных клеток артериол. Существует мнение, что они ингибируют неоваскулогенез и имеют свойства гладкомышечных клеток, способных к сокращению [5]. По-видимому, при нарушении иннервации сосудов происходит их распад, что вызывает дегенеративные процессы в стенке сосудов, их запустевание и облитерацию. Однако вопросы о роли перицитов и строения стенки сосудов ДЗН требуют дальнейшего разрешения.
Заключение
Нам кажется, что для изучения патогенеза любого процесса в ДЗН необходимо учитывать следующие его анатомические особенности:
1. Особое строение решетчатой пластинки.
2. Индивидуальные особенности прохождения ЦАС через ДЗН и наличие анастомозов ее.
3. Распределение задних коротких циллиарных артерий, их количество и анастомозы по отношению к межневральным септам.
4. Особенности строения круга Галлера-Цинна
5. Изменения стенок сосудов, наличие восходящего облитерирующего процесса или изменение качественного состава крови и др.
Таким образом, анатомическое строение диска зрительного нерва, его кровоснабжение имеют очень сложную структуру и индивидуальную вариабельность. Несмотря на большое количество трудов в этой области, до сих пор остаются нерешенными некоторые вопросы морфологии, физиологии и гистологии зрительного нерва с точки зрения развития в нем сосудистых нарушений.
Литература
1. Антонова А.И. Острые сосудистые оптические нейропатии, обусловленные атеросклерозом (Особенности патогенеза, клинического течения и лечения) // Автореф. Дис. .докт. мед. наук. - Донецк., 1987. - 407 с. С. 18-20.
2. Каган И.И., Канюков В.Н. Клиническая анатомия органа зрения. - С.-П. Эскулап, 1999. - 190 с. С.105-108
3. Кацнельсон Л.А., Лысенко B.C., Балишанская Т.И. Клинический атлас патологии глазного дна. М.: Гэотар медицина. - 1998. - 152 с. С.22-23.
4. Кацнельсон Л.А., Форофонова Т.И., Бунин А.Я. Сосудистые заболевания глаз. - М.: Медицина, 1990.- 270 с, С. 13-15.
5. Кацнельсон Л.А, Танковский В.Э. Тромбозы вен сетчатки (клинико-организационное исследование). М. - 2000. - С. 16.
6. Нестеров А.П. Первичная глаукома. - М.: Медицина, 1982. -288с.
7. Сомов Е.Е. Клиническая анатомия органа зрения человека. С.-П.: 1997.-С. 61-66.
8. Харлап С.И. Анатомо-диагностические параллели состояния сосудов глаза и орбитального пространства по результатам цветового допплеровского картирования.// Вестн. Офтальмологии. - 2000. - є1. - С.45 - 48.
9. Харлап С.И., Лихникевич Е.Н., Першин К.Б., Пашинова Н.Ф., Ширшиков Ю.К. Топография и ангиоархитектоника зрительного нерва по данным ультразвуковых методов исследования и трехмерного оптического анализа.// Вестн. Офтальмологии. - 2001.-є1.-С.15-19.
10. Шамшинова А.М., Волков В.В. Функциональные методы исследования в офтальмологии. - М.: Медицина, 1999. - С.12.
11. Hayreh S. Structure and blood supply of the optic nerve // Glaucome: conception disease / Ed. K. Heilman, U. Richardson. - Philadelphia, 1978, p. 78-96.
12. lsayama Y., Hiramatsu K., Asakwa S. Et al/ Posterior ischemic optic neuropathy. 1. Blood supply of the optic nerve // Ophthalmologica (Basel). - 1983. - Vol. 186. - P. 194-203.
НИИ нейрохирургии им. акад. Н.Н. Бурденко РАМН, Москва
ФГБУ "НИИ нейрохирургии им. Н.Н. Бурденко" РАМН, Москва
ФГБУ "НИИ нейрохирургии им. акад. Н.Н. Бурденко" РАМН, Москва
Московский клинический научно-практический центр Департамента здравоохранения Москвы, Москва, Россия
Метастаз рака молочной железы в зрительный нерв: наблюдение из практики и обзор литературы
Журнал: Журнал «Вопросы нейрохирургии» имени Н.Н. Бурденко. 2013;77(3): 42‑48
Черекаев В.А., Ласунин Н.В., Степанян М.А., Ротин Д.Л., Григорьева Н.Н., Ветлова Е.Р., Лобанова Н.В. Метастаз рака молочной железы в зрительный нерв: наблюдение из практики и обзор литературы. Журнал «Вопросы нейрохирургии» имени Н.Н. Бурденко. 2013;77(3):42‑48.
Cherekaev VA, Lasunin NV, Stepanian MA, Rotin DL, Grigor'eva NN, Vetlova ER, Lobanova NV. Breast carcinoma metastasis to the optic nerve: case report and review of literature. Zhurnal Voprosy Neirokhirurgii Imeni N.N. Burdenko. 2013;77(3):42‑48. (In Russ., In Engl.).
Метастатическое поражение зрительных нервов - очень редкая патология. При обзоре литературы нами была найдена информация только о 12 случаях метастазирования рака молочной железы в зрительный нерв. Мы описываем случай изолированного метастазирования рака молочной железы в зрительный нерв через 8 лет после радикальной мастэктомии. Клиническая картина заболевания была представлена прогрессирующим снижением остроты зрения на правый глаз в течение 3 мес. По данным КТ и МРТ, в области верхушки мышечной воронки правой орбиты визуализирована опухоль, связанная со зрительным нервом, распространяющаяся в зрительный канал, умеренно накапливающая контрастное вещество. Пациентка оперирована с предварительным диагнозом менингиомы оболочки зрительного нерва. Опухоль прорастала зрительный нерв и была удалена вместе с ним. По результатам гистологического исследования, морфологическая картина удаленной опухоли соответствовала метастазу рака молочной железы. В послеоперационном периоде пациентка прошла курс стереотаксической радиотерапии. Пациентка скончалась через 2,5 года после хирургического вмешательства от диссеминации опухолевого процесса.
При злокачественных опухолях различных органов метастазы в глаз и в зрительный нерв встречаются нередко. По данным разных авторов, частота метастатического поражения глаза и зрительного нерва составляет от 7 до 12%. Чаще всего в глаз метастазируют рак молочной железы и легких, однако описаны также метастазы рака предстательной железы, меланомы, опухолей гастроинтестинального тракта, почек. Изолированные метастазы в зрительный нерв и его оболочки встречаются крайне редко. С начала ХХ века в литературе опубликованы единичные наблюдения метастазов рака молочной железы (РМЖ) в зрительный нерв. За период 1902—1981 гг. описано 15 наблюдений с изолированными метастазами в зрительный нерв, из которых лишь у 4 были метастазы РМЖ [4]. С 1981 по 2005 г. описано 7 новых случаев метастазирования аденокарциномы молочной железы в зрительный нерв [15]. За последние 5 лет описано только 1 наблюдение изолированного метастатического поражения зрительного нерва у пациентки, ранее оперированной по поводу РМЖ [9]. Из-за низкой частоты встречаемости данной патологии, а также схожести рентгенологической картины и клинических проявлений метастатического поражения зрительного нерва и менингиом оболочек зрительного нерва дифференциальная диагностика часто затруднительна.
В связи с редкостью наблюдения считаем целесообразным привести описание случая одиночного метастаза РМЖ в зрительный нерв спустя 8 лет после радикальной мастэктомии.
Больная П., 48 лет. В августе 1998 г. выявлен РМЖ Т3N1М0—IIIА стадия. 19.11.98 г. выполнена радикальная мастэктомия слева по Маддену, после которой проведена лучевая терапия с СОД 40 Гр, а также 5 курсов полихимиотерапии по схеме CAF. В мае 2001 г. отмечено прогрессирование заболевания: выявлены метастазы в надключичные и подключичные лимфатические узлы слева. В июне—июле 2001 г. проведено 3 курса полихимиотерапии по схеме EAP.
Через 8 лет после мастэктомии в феврале 2006 г. на фоне интенсивной головной боли пациентка отметила ухудшение зрения на правый глаз. В течение следующих 3 мес наблюдалось прогрессивное сужение поля зрения правого глаза за счет височной половины, снижение остроты зрения. При обследовании в мае 2006 г. — предметное зрение на правый глаз отсутствовало.
Осмотр нейроофтальмолога: острота зрения справа снижена до уровня светоощущения, слева — в норме. Справа экзофтальм до 2 мм, полуптоз, глазное яблоко слегка отклонено кверху и кнаружи на 2—3°. Корнеальный рефлекс справа снижен, правосторонний умеренный мидриаз. Прямая и содружественная реакция зрачка на свет справа отсутствует. Движения правого глазного яблока ограничены во всех направлениях. При исследовании глазного дна правого глаза отмечено побледнение диска зрительного нерва.
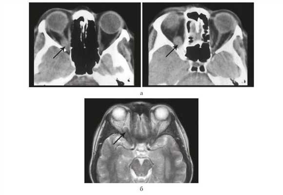
По данным КТ и МРТ головного мозга и глазниц выявлено округлое объемное образование в области канала зрительного нерва, интенсивно и гомогенно накапливающее контрастное вещество (рис. 1).

Рисунок 1. КТ (а), МРТ (б) орбит. В задних отделах правой глазницы определяется овальной формы опухоль (стрелка), плотно охватывающая зрительный нерв и распространяющаяся в канал зрительного нерва.
С предварительным диагнозом «менингиома оболочек зрительного нерва» пациентка была госпитализирована в Институт нейрохирургии и подготовлена к хирургическому вмешательству. 13.07.06 проведено удаление краниоорбитальной опухоли справа.
Выполнен разрез мягких тканей в правой лобно-височной области, отслоена височная мышца, скелетирована подлежащая кость. Сформирован и удален супраорбитальный лоскут, включавший верхнелатеральные отделы орбитального кольца с прилежащими отделами крыши глазницы и чешуи лобной и височной костей. Резецированы наружные отделы крыльев основной кости, открыта верхняя глазничная щель. Произведена резекция утолщенного переднего наклоненного отростка, открыт зрительный канал. Оболочка зрительного нерва в канале по виду не изменена. Рассечена надкостница глазницы, в области верхушки мышечной воронки выявлено новообразование серовато-желтого цвета, тяжистого строения, инфильтрировавшее прилежащие ткани глазницы. При выделении новообразования иссечена пораженная верхняя косая мышца, пересечен выходивший из опухоли носоресничный нерв. При выделении переднего полюса опухоли выявлен выходивший из нее зрительный нерв (рис. 2).

Рисунок 2. Интраоперационный снимок. Определяется ксантохромной окраски метастаз и растянутый над ним зрительный нерв (стрелки). При попытке отделения опухоли от зрительного нерва выявлено, что она прорастает его оболочку. Произведено пересечение зрительного нерва в месте выхода его из переднего полюса опухоли, затем по мере коагуляции и иссечения инфильтрированных тканей глазницы связанный с нервом узел опухоли выделен до входа в зрительный канал. В проекции передней трети зрительного канала инфильтрированная часть зрительного нерва переходила в нормальную. Произведена коагуляция и пересечение внутриканальной части зрительного нерва на этом уровне, и опухоль удалена вместе с пораженным зрительным нервом. Затем иссечены инфильтрированные участки верхней и латеральной прямых мышц. При осмотре зрительного канала дальнейшего интракраниального распространения опухоли не выявлено. При срочной биопсии - «злокачественная опухоль». Выполнена пластика основания черепа с применением фрагментов жировой клетчатки глазницы и лоскутом надкостницы на ножке из лобно-теменной области. После установки и фиксации костного лоскута наложены послойные швы на мягкие ткани раны.
В послеоперационном периоде справа глазодвигательные нарушения наросли до тотальной офтальмоплегии, возник полный птоз и потеря зрения до амавроза.
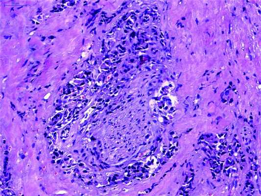
По данным гистологического исследования операционного материала, морфологическая картина соответствовала метастазу РМЖ (рис. 3).

Рисунок 3. Метастаз РМЖ в зрительном нерве. Окраска гематоксилином и эозином. ×200.
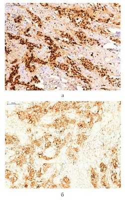
С целью уточнения диагноза проведено иммуногистохимическое исследование. Опухолевые клетки экспрессируют цитокератин 7 и 5/6, рецепторы эстрогена и прогестерона, Her-2-neu, GCDFP-15, не экспрессируют цитокератин 20, TTF-1, виллин, синаптофизин, виментин, CDХ-2, HMB-45, Melan A, GFAP. На основании гистологической картины и иммунофенотипа опухоли ее следует расценивать как метастаз рака с первичной локализацией опухоли в молочной железе (рис. 4).

Рисунок 4. Метастаз РМЖ в зрительном нерве. а — иммуногистохимическая реакция с рецепторами эстрогенов. ×200; б — иммуногистохимическая реакция с рецептором гена Her-2-neu (Cerb-B2). ×400.
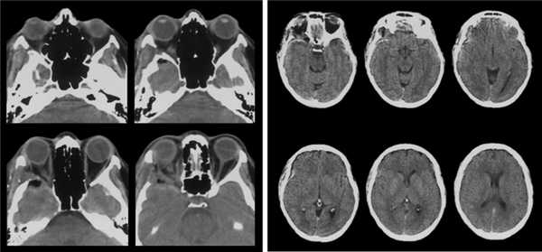
В раннем послеоперационном периоде выполнена КТ головного мозга и орбит, по результатам которой остаточной опухолевой ткани не определяется (рис. 5).

Рисунок 5. КТ орбит в раннем послеоперационном периоде. Визуализируются послеоперационные изменения в глазнице, остаточной опухолевой ткани нет.
С 03.05.07 по 15.06.07 больной проведен курс стереотаксической радиотерапии на область удаленного метастаза. Голова фиксировалась термопластической маской с усилением BrainLab. Трехмерное планирование проводилось с использованием данных топометрической КТ и МРТ с контрастным усилением на специализированной компьютерной системе BrainScan. Объем мишени, включенный в 80% изодозную кривую, составил 33,40 см 3 . Доза облучения в изоцентре составила 60 Гр за 30 сеансов. Облучение осуществлялось на линейном ускорителе Novalis c микромноголепестковым коллиматором. Энергия излучения 6 МэВ. Облучение проводилось с семи конформных статических полей. Больная перенесла лечение удовлетворительно.
Пациентка скончалась спустя 2,5 года после нейрохирургического вмешательства (через 11 лет после постановки диагноза РМЖ и мастэктомии) от распространенности онкологического процесса.
Частота метастазирования злокачественных опухолей в глаз и зрительный нерв, по данным разных авторов [1, 29], варьирует от 2 до 12%. Чаще всего среди них встречаются метастазы РМЖ, составляющие от 25 до 48% [21, 29].
Несмотря на относительно частое метастатическое поражение глаза, изолированное поражение зрительного нерва встречается крайне редко. В 1974 г. A. Ferry и R. Font сообщили о 3 (1,3%) случаях метастазирования карцином в зрительный нерв в серии из 227 больных с метастатическим поражением орбиты и глаза. При этом метастаз РМЖ был обнаружен только у одной пациентки (0,4%) [15].
При анализе литературы нами было найдено 12 случаев метастатического поражения зрительного нерва.

представлен список данных больных, включая собственное наблюдение.
Метастазы РМЖ в глаз и в зрительный нерв возникают в относительно молодом трудоспособном возрасте. Средний возраст известных 13 больных с метастазами РМЖ в зрительный нерв составил 48 лет (31—70 лет). Большинство из них (8 пациентов) были моложе 50 лет.
В 11 случаях из 13 одностороннее поражение зрительного нерва: левостороннее — у 7 больных, правостороннее — у 4. Билатеральное поражение зрительных нервов наблюдалось только в одном случае. У одного пациента метастаз располагался в области зрительной хиазмы [3]. В подавляющем большинстве случаев (10 из 13) основным симптомом поражения зрительного нерва была потеря зрения. У больной с поражением хиазмы отмечалась битемпоральная гемианопсия. В наблюдении R. Font и A. Ferry [15] клиническая картина не описывается. У одного пациента из офтальмологических симптомов был только экзофтальм со стороны поражения. Отмечено по одному наблюдению сочетания зрительных нарушений с экзофтальмом, с болью в глазном яблоке и с окклюзией центральной вены сетчатки [4, 9].
При офтальмологическом обследовании выявлялись: нормальное глазное дно, отек диска зрительного нерва, отслойка сетчатки [19, 20, 28]. Таким образом, результаты фундоскопии не показали какой-либо закономерности [6].
У 6 больных к моменту выявления метастаза в зрительный нерв были другие признаки онкологического заболевания в виде локорегиональных метастазов — у 2 больных и дистальных метастазов — у 4.
В 12 случаях был известен онкологический анамнез. Метастазы в зрительный нерв возникали в среднем через 4,7 года (6 мес —13 лет) после удаления первичного очага.
Точная дооперационная диагностика метастазов РМЖ в зрительный нерв сложна. Несмотря на то что в 12 из 13 случаев к моменту клинического проявления метастаза в зрительный нерв был известен онкологический анамнез, только в 2 (15,4%) был правильно установлен предоперационный диагноз. В 5 случаях диагноз не был установлен, в 1 — подозревался ретробульбарный неврит, в 5 — предполагалась менингиома оболочек зрительного нерва.
Менингиомы оболочек зрительного нерва, как и метастазы РМЖ, встречаются преимущественно у женщин среднего возраста, чаще вызывают одностороннее поражение [8, 27]. Частота двусторонних поражений зрительных нервов сопоставима: двустороннее поражение при менингиомах встречается в 5% случаев, при метастазах — в 7,7% [9, 20].
Основные клинические проявления при метастатическом поражении зрительного нерва и при менингиомах оболочек зрительного нерва схожи: прогрессивное снижение остроты зрения, экзофтальм [12, 25]. Однако при менингиомах, в отличие от метастазов, наблюдается более медленное развитие клинической картины (к моменту возникновения зрительных нарушений проявляются отек век, птоз, глазодвигательные нарушения, связанные с поражением структур верхней глазничной щели) [12]. Отличается также фундоскопическая картина: если метастазы развиваются относительно быстро и на глазном дне изменения или не успевают развиваться, или имеют более острый характер в виде геморрагий, тромбоза вен сетчатки, объемных образований, то при менингиомах в связи с медленным ростом опухоли на первое место выступают признаки застоя и атрофии [13, 19, 25].
Известно, что у больных с аденокарциномой молочной железы вероятность возникновения менингиомы в 1,5—1,9 раза выше, чем в общей популяции [9]. С другой стороны, менингиомы наряду с глиомами зрительного нерва являются наиболее часто встречаемыми опухолями зрительного нерва. По данным некоторых авторов [25, 26], частота возникновения метастазов в зрительный нерв составляет 0,4%, в то время как менингиомы и глиомы составляют по 14% опухолей данной локализации. Однако если глиомы рентгенологически можно легко отличить от метастазов, то менингиомы и метастазы имеют большое рентгенологическое сходство [15, 19].
КТ и МРТ обладают высокой чувствительностью, но низкой специфичностью в диагностике метастазов и менингиом зрительного нерва [11, 12].
Эти методы позволяют выявить точную локализацию процесса, но не позволяют установить гистологический диагноз, так как МРТ- и КТ-характеристики метастазов РМЖ и менингиом оболочек зрительного нерва как в нативном режиме, так и при внутривенном контрастировании схожи. Менингиомы в 60—90% изоинтенсивны и в 10—30% гипоинтенсивны в T1-взвешенных изображениях. В T2-взвешенных изображениях 30—45% менингиом гипоинтенсивны, тогда как 50% изоинтенсивны. Метастатические карциномы изоинтенсивны или умеренно гиперинтенсивны в T1 и гипоинтенсивны в T2. При внутривенном контрастировании отмечается гомогенное равномерное накопление контрастного вещества в обеих опухолях [10—12].
Достоверно установить диагноз, точно определить характер опухоли и выбрать оптимальную тактику лечения можно только после биопсии опухоли на основании морфологического и иммуногистохимического исследований.
Учитывая описанные выше сходства между двумя патологиями, неслучайно, что в приведенном нами наблюдении метастаз в зрительный нерв, выявленный через 8 лет после удаления первичного очага при отсутствии других проявлений онкологического процесса, первоначально был диагностирован как «менингиома оболочек зрительного нерва».
При менингиоме радикальное удаление позволяет излечить пациента [29]. Наличие метастаза в глазное яблоко или зрительный нерв является прогностически неблагоприятным фактором, указывающим на прогрессирование онкологического процесса. Удаление метастатической опухоли позволяет обеспечить локальный контроль опухоли, однако практически не влияет на продолжительность жизни [4, 16, 28].
Прогноз при метастатическом поражении глаза и/или зрительного нерва неблагоприятный. Средняя продолжительность жизни после выявления метастаза в глаз составляет 13 мес, а в сетчатку и в зрительный нерв — около 9 мес [5]. Максимальная продолжительность жизни наблюдается в группе больных с метастазами РМЖ и составляет 15—16 мес с момента удаления метастаза [14, 20].
Заключение
Метастазы РМЖ в зрительный нерв являются редкой патологией, прогностически неблагоприятной как для жизни, так и для зрения. Метастазы в зрительный нерв имеют клиническое и рентгенологическое сходство с менингиомами оболочек зрительного нерва. Патогномоничных признаков, позволяющих отличить метастазы РМЖ от первичных опухолей зрительного нерва, не существует, что значительно усложняет предоперационную диагностику. Корректной дооперационной диагностике могут способствовать онкологический анамнез, наличие других метастазов, картина острых изменений на глазном дне при фундоскопии, наличие опухоли на глазном дне, а также медленно развивающиеся симптомы поражения верхней глазничной щели, опережающие зрительные нарушения при менингиомах оболочек зрительного нерва. Тем не менее у пациента как с отягощенным онкологическим анамнезом, так и без такового диагноз достоверно может быть установлен только на основе патоморфологического и иммуногистохимического исследований.
Комментарий
Чаще всего метастазы рака молочной железы в зрительный нерв приходится дифференцировать от менингиомы оболочек зрительного нерва. Сложность диагностики обусловлена тем, что ни один из существующих методов диагностики не обладает абсолютной чувствительностью в плане дифференциальной диагностики.
Описанный случай наряду с другими подобными наблюдениями подчеркивает важность полноценной комплексной диагностики новообразований у больных с онкологическим анамнезом.
Читайте также:
- ЭКГ при трансмуральном инфаркте. ЭКГ при инфаркте переднеперегородочной области
- Дрожжи. Дрожжеподобные грибы. Бластоконидии. Плесневые грибы. Рост плесневых грибов. Диморфизм грибов.
- Развитие и изменения эндоплазматического ретикулума (ЭПР)
- Оценка коэффициента теплопередачи кожи. Вазоконстрикция
- Хроническая гранулематозная болезнь сетчатки у ребенка
