Продольные сочетанные ранения груди и живота - варианты, характеристика
Добавил пользователь Владимир З. Обновлено: 01.01.2026
Травмы живота - обширная группа тяжелых повреждений, в большинстве случаев представляющих угрозу для жизни пациента. Могут быть как закрытыми, так и открытыми. Открытые чаще всего возникают вследствие ножевых ранений, хотя возможны и другие причины (падение на острый предмет, огнестрельное ранение). Причиной закрытых травм обычно становятся падения с высоты, автомобильные катастрофы, несчастные случаи на производстве и т. д. Тяжесть повреждения при открытой и закрытой травме живота может варьироваться, но особую проблему представляют закрытые травмы. В этом случае из-за отсутствия раны и внешнего кровотечения, а также из-за сопутствующего таким повреждениям травматического шока или тяжелого состояния больного нередко возникают трудности на этапе первичной диагностики. При подозрении на травму живота необходима срочная доставка больного в специализированное медицинское учреждение. Лечение обычно хирургическое.
МКБ-10
Общие сведения
Травма живота - закрытое или открытое повреждение области живота как с нарушением, так и без нарушения целостности внутренних органов. Любая травма живота должна рассматриваться, как серьезное повреждение, требующее немедленного обследования и лечения в условиях стационара, поскольку в таких случаях существует высокий риск развития кровотечения и/или перитонита, представляющих непосредственную опасность для жизни больного.
Классификация травм живота
В отечественной травматологии используется следующая классификация травм живота. Закрытые травмы живота:
- Без повреждения внутренних органов - ушибы брюшной стенки.
- С повреждением внутренних органов за пределами брюшной полости. При этом чаще повреждаются мочевой пузырь, почки и некоторые отделы толстого кишечника.
- С повреждением органов брюшной полости.
- С внутрибрюшным кровотечением. Возникают при травме брыжейки кишечника, сосудов сальника, селезенки и печени.
- С угрозой быстрого развития перитонита. Сюда относятся травмы живота с разрывом полых органов - желудка и кишечника.
- С сочетанными повреждениями паренхиматозных и полых органов.
Открытые травмы живота:
- Непроникающие.
- Проникающие без повреждения внутренних органов.
- Проникающие с повреждением внутренних органов.
Кроме того, травмы живота могут быть изолированными (одно повреждение), множественными (несколько повреждений, например, множественные раны в области живота) и сочетанными (сочетающимися с повреждением других органов и систем).
Открытые травмы живота
Открытое повреждение может быть нанесено огнестрельным оружием, холодным оружием или вторичным снарядом.
Резаные раны наносятся ножом. Резаные раны имеют форму линии и достаточно большую протяженность. Края ровные. Нередко такие травмы живота сопровождаются значительным наружным кровотечением вследствие пересечения большого количества сосудов. При обширных повреждениях возможна эвентрация - состояние, при котором орган брюшной полости выпадает в рану.
Колотые раны могут быть нанесены тонким ножом, штыком, узким стилетом, ножницами, шилом или столовой вилкой. Колотые раны отличаются тонким раневым каналом, обычно слабо кровоточат. При этом возможна большая глубина раневого канала и серьезные повреждения внутренних органов. Представляют серьезную угрозу, поскольку пациент, видя небольшую рану, может недооценить опасность и слишком поздно обратиться за помощью.
Рубленые раны возникают при ударе топором. Они большие с достаточно неровными краями, с обильным кровотечением и обширным повреждением мягких тканей.
Рваные раны образуются при нападении животных или повреждении механизмами вследствие производственной травмы (например, при контакте с лопастью вентилятора). Это - самые тяжелые, обширные и травматичные раны. Ткани и органы в таких случаях имеют множественные повреждения с раздавливаниями и разрывами. Кроме того, как правило, рваные раны сопровождаются сильным загрязнением тканей.
Огнестрельные раны также относятся к группе особенно тяжелых повреждений, поскольку сопровождаются не только образованием раневого канала, но и контузией ткани на расстоянии примерно в 30 раз превышающем диаметр пули или дробины. Из-за контузии ткани и органы растягиваются, сжимаются, расслаиваются или разрываются. Кроме того, травма живота при огнестрельном ранении может быть неявной, поскольку входные отверстия в 50% случаев располагаются не на передней брюшной стенке, а в других местах (например, на боку или в области поясницы).
При повреждении вторичным снарядом (металлической деталью, осколком стекла и т. д.) возникают рвано-ушибленные раны. Такая травма живота характерна для несчастных случаев на производстве и автомобильных катастроф.
Закрытые (тупые) травмы живота
Ушиб брюшной стенки сопровождается болью и локальным отеком области повреждения. Возможны кровоизлияния и ссадины. Боль усиливается при акте дефекации, чихании, кашле и изменении положения тела.
Разрыв мышц и фасций брюшной стенки проявляется теми же симптомами, однако, боль в этом случае более сильная, поэтому возможно развитие динамической кишечной непроходимости вследствие рефлекторного пареза кишечника. Необходимо дополнительное обследование для исключения разрывов паренхиматозных и полых органов.
Разрыв тонкой кишки обычно возникает при прямом ударе в область живота. Сопровождается усиливающейся и распространяющейся болью в животе, напряжением мышц брюшной стенки, учащением пульса и рвотой. Возможно развитие травматического шока.
Разрыв толстой кишки по симптоматике напоминает разрывы тонкой кишки, однако при этом нередко выявляется напряжение брюшной стенки и признаки внутрибрюшного кровотечения. Шок развивается чаще, чем при разрывах тонкой кишки.
Повреждение печени возникает при травме живота достаточно часто. Возможны как подкапсульные трещины или разрывы, так и полный отрыв отдельных частей печени. Такая травма печени в подавляющем большинстве случаев сопровождается обильным внутренним кровотечением. Состояние больного тяжелое, возможна потеря сознания. При сохраненном сознании пациент жалуется на боли в правом подреберье, которые могут иррадиировать в правую надключичную область. Кожа бледная, пульс и дыхание учащенное, артериальное давление снижено. Признаки травматического шока.
Повреждение селезенки - наиболее распространенное повреждение при тупой травме живота, составляет 30% от общего числа травм с нарушением целостности органов брюшной полости. Может быть первичным (симптомы появляются сразу после травмы) или вторичным ( симптомы возникают через несколько дней или даже недель). Вторичные разрывы селезенки обычно наблюдаются у детей.
При небольших разрывах кровотечение останавливается из-за образования кровяного сгустка. При крупных повреждениях возникает обильное внутреннее кровотечение со скоплением крови в брюшной полости (гемоперитонеум). Состояние тяжелое, шок, падение давления, учащение пульса и дыхания. Пациента беспокоят боли в левом подреберье, возможна иррадиация в левое плечо. Боль уменьшается в положении на левом боку с согнутыми и подтянутыми к животу ногами.
Повреждения поджелудочной железы. Обычно возникают при тяжелых травмах живота и нередко сочетаются с повреждением других органов (кишечника, печени, почек и селезенки). Возможно сотрясение поджелудочной железы, ее ушиб или разрыв. Пациент жалуется на резкие боли в подложечной области. Состояние тяжелое, живот вздут, мышцы передней брюшной стенки напряжены, пульс учащен, артериальное давление снижено.
Повреждение почки при тупой травме живота встречается достаточно редко. Это связано с месторасположением органа, лежащего в забрюшинном пространстве и со всех сторон окруженного другими органами и тканями. При ушибе или сотрясении появляется боль в поясничной области, макрогематурия (выделение мочи с кровью) и повышение температуры. Более тяжелые повреждения почек (размозжения или разрывы) обычно возникают при тяжелой травме живота и сочетаются с повреждением других органов. Характерно шоковое состояние, боль, напряжение мышц в поясничной области и подреберье на стороне поврежденной почки, падение артериального давления, тахикардия.
Разрыв мочевого пузыря может быть внебрюшинным или внутрибрюшинным. Причиной становится тупая травма живота при наполненном мочевом пузыре. Для внебрюшинного разрыва характерны ложные позывы на мочеиспускание, боль и отек промежности. Возможно выделение малого количества мочи с кровью.
Внутрибрюшинный разрыв мочевого пузыря сопровождается болью внизу живота и частыми ложными позывами на мочеиспускание. Из-за мочи, излившейся в брюшную полость, развивается перитонит. Живот мягкий, умеренно болезненный при пальпации, отмечается вздутие и ослабление кишечной перистальтики.
Диагностика травмы живота
Подозрение на травму живота является показанием к немедленной доставке пациента в стационар для диагностики и дальнейшего лечения. В такой ситуации крайне важно как можно быстрее оценить характер повреждений и в первую очередь - выявить кровотечение, которое может угрожать жизни пациента.
При поступлении во всех случаях обязательно выполняются анализы крови и мочи, проводится определение группы крови и резус-фактора. Остальные методы исследования выбираются индивидуально с учетом клинических проявлений и тяжести состояния пациента.
С появлением современных, более точных методов исследования рентгенография брюшной полости при травме живота частично утратила свое диагностическое значение. Тем не менее, ее можно применять для выявления разрывов полых органов. Проведение рентгенологического исследования также показано при огнестрельных ранениях (для определения места расположения инородных тел - пуль или дроби) и при подозрении на сопутствующий перелом таза или повреждение грудной клетки.
Доступным и информативным методом исследования является УЗИ, позволяющее диагностировать внутрибрюшное кровотечение и обнаруживать подкапсульные повреждения органов, которые могут стать источником кровотечения в будущем.
При наличии соответствующего оборудования для обследования пациента с травмой живота используют компьютерную томографию, которая позволяет детально изучить структуру и состояние внутренних органов, выявив даже небольшие повреждения и незначительное кровотечение.
При подозрении на разрыв мочевого пузыря показана катетеризация - подтверждением диагноза является малое количество кровянистой мочи, выделяющейся через катетер. В сомнительных случаях необходимо проведение восходящей цистографии, при которой обнаруживается наличие рентгенконтрастного раствора в околопузырной клетчатке.
Одним из самых эффективных методов диагностики при травме живота является лапароскопия. В брюшную полость через небольшой разрез вводится эндоскоп, через который можно непосредственно увидеть внутренние органы, оценить степень их подтверждения и четко определить показания к операции. В ряде случаев лапароскопия является не только диагностической, но и лечебной методикой, при помощи которой можно остановить кровотечение и удалить кровь из брюшной полости.
Лечение травм живота
Открытые раны являются показанием к экстренной операции. При поверхностных ранах, не проникающих в брюшную полость, выполняется обычная первичная хирургическая обработка с промыванием полости раны, иссечением нежизнеспособных и сильно загрязненных тканей и наложением швов. При проникающих ранениях характер оперативного вмешательства зависит от наличия повреждений каких-либо органов.
Ушибы брюшной стенки, а также разрывы мышц и фасций лечатся консервативно. Назначается постельный режим, холод и физиотерапия. При крупных гематомах может понадобиться пункция или вскрытие и дренирование гематомы.
Разрывы паренхиматозных и полых органов, а также внутрибрюшные кровотечения являются показанием к экстренной операции. Под общим наркозом выполняется срединная лапаротомия. Через широкий разрез хирург тщательно осматривает органы брюшной полости, выявляет и устраняет повреждения. В послеоперационном периоде при травме живота назначаются анальгетики, проводится антибиотикотерапия. При необходимости в ходе операции и в послеоперационном периоде выполняется переливание крови и кровезаменителей.
3. Современная хирургическая тактика при травматических абдоминальных повреждениях / Гареев Р.Н., Фаязов Р.Р., Тимербулатов В.М., Мехдиев Д.И., Ярмухаметов И.М., Фахретдинов Д.З., Халиков А.А., Нгуен Х.К. // Медицинский вестник Башкортостана - 2012 -Т.7, №4
4. Диагностика и хирургическая тактика при закрытой травме живота / Томнюк Н.Д., Рябков И.А., Жиго П.Т., Кембель В.Р. // Бюллетень ВСНЦ СО РАМН - 2007 - №4
Продольные сочетанные ранения груди и живота - варианты, характеристика

Сравнительные исследования локализации и общих морфологических особенностей разрывов печени показали, что в результате тупой травмы формируются различные разрывы печени: местные основные (первичные) и дополнительные (вторичные), а также отдаленные - центральные, противоударные и периферические (см. рисунок). Рисунок 1. Частота образования местных и отдаленных разрывов печени при различных условиях причинения тупой травмы живота.
1. При сдавлении тела (20 наблюдений) в направлении спереди кзади местные разрывы формировались на передней части диафрагмальной поверхности печени. Они были множественные, дугообразные, размером до 2×2 см, глубиной до 1,5 см, с неровными краями и закругленными концами. На дне разрывов определялись крупные тканевые перемычки. Местные основные разрывы составили 5%, дополнительные - 10% и диагностировались по наличию сопутствующих повреждений пристеночной брюшины в результате выраженной травматизации ребер. Отдаленные разрывы были постоянными при данном механизме травмы. Множественные центральные разрывы располагались продольно, имели средние размеры до 6×5 см. Периферические локализовались на задней части диафрагмальной поверхности органа и были представлены множественными разнонаправленными криволинейными или щелевидными разрывами как на правой, так и на левой долях печени. Они имели мелкозубчатые края и закругленные концы, крупные тканевые перемычки в дне.
При действии давящей силы в направлении сзади кпереди повреждался задний край диафрагмальной поверхности печени и ее висцеральная поверхность в результате интенсивного придавливания печени к передней брюшной стенке. Таким образом, локализация местных и отдаленных разрывов печени позволяет установить факт и ориентировочное направление сдавления тела пострадавшего.
2. Исследование случаев железнодорожной травмы - столкновение пострадавших с поездом (при массивном ударе спереди кзади). Во всех 20 наблюдениях отмечали грубое разрушение ткани печени (местные разрывы) передней и центральной частей диафрагмальных поверхностей обеих долей. Разрушение органа приближалось к неправильной звездчатой форме за счет множественных пересекающихся друг с другом разрывов большой протяженности, проникающих в глубину органа до 6 см. Края разрывов крупнозубчатые, несопоставимые, концы закругленные. Крупные тканевые перемычки располагались в дне и в краях разрывов, размеры которых составляли до 16×12 см. От концов местных разрывов, расположенных на диафрагмальной поверхности, отходили отдаленные неглубокие щелевидные противоударные и периферические трещины (разрывы) длиной от 2,5 до 6,5 см, заканчивающиеся на висцеральной поверхности печени, в том числе и на участках, противоположных месту приложения силы. Такие разрывы отмечены в 10 (50%) случаях. Во всех наблюдениях в толще паренхимы располагались продольные щелевидные центральные разрывы (до 2×3 см), заполненные свертками крови.
При массивных ударах сзади разрывы имели сходные морфологические характеристики, при этом местные разрывы располагались на диафрагмальных поверхностях обеих долей печени.
Таким образом, значительная выраженность сочетанных повреждений в органах и тканях груди и живота при железнодорожной травме позволяет рассматривать морфологические свойства разрывов печени в качестве эталонных морфологических эквивалентов действия неограниченной травмирующей поверхности, действующей с очень большой силой. Разрушение части ткани печени, вызванное вторичным повреждающим действием отломков ребер, затрудняло оценку рельефа стенок выявляемых разрывов.
3. У водителей легковых автомобилей при ДТП во всех 50 (100%) случаях отмечали образование крупных единичных местных основных разрывов. Они располагались на передней части и куполе диафрагмальной поверхности в продольном направлении, были зигзагообразными либо древовидными, с неровными краями, закругленными концами, тканевыми перемычками в дне разрывов, размером до 14×1,5 см и глубиной до 1 см. Местные дополнительные разрывы были множественными, локализовались на диафрагмальной поверхности печени за пределами местного основного разрыва. Это дугообразные разрывы размером до 2×2 см и глубиной до 1,5 см имели неровные края и закругленные концы, крупные тканевые перемычки в дне. Центральные, противоударные и периферические разрывы зафиксированы в 25 (50%) случаях. Центральные разрывы чаще были множественными (до 4), щелевидными и располагались в продольном направлении, наибольшие размеры до 6×5 см. Противоударные разрывы наблюдали в сагиттальной плоскости, на участках печени противоположных месту приложения травмирующей силы. Они были линейные, имели крупнозубчатые края, закругленные концы, крупные тканевые перемычки в дне; наибольшие размеры их до 9,0×1,5×2,5 см. Периферические разрывы линейные, глубиной до 2 см и длиной до 2-10 см, имели мелкозубчатые края, закругленные концы, крупные тканевые перемычки в дне.
4. При дорожно-транспортных происшествиях, в случаях значительных ударов тупой ограниченной травмирующей поверхностью, у пешеходов возникали местные основные разрывы печени, которые имели большую глубину (до 3 см), неправильную звездчатую форму, располагались на нижнем крае, диафрагмальной или висцеральной поверхности печени. Края разрывов были крупнозубчатыми, несопоставимыми между собой, концы закругленными. Крупные тканевые перемычки располагались в дне и по краям разрывов размером от 1,5×0,5 до 16×1 см и глубиной до 2,5 см.
В части случаев (25%) отмечали образование местных дополнительных и отдаленных разрывов паренхимы.
Частная морфология местных основных разрывов печени при действии ограниченной травмирующей поверхности с большой силой позволяет использовать ее для сравнительного исследования при диагностике указанных условий травмы.
5. При ударе ногой по передней поверхности живота у пострадавших формировались местные основные разрывы паренхимы печени с подкапсульными кровоизлияниями на нижнем крае правой доли, распространяющиеся на диафрагмальную и висцеральную поверхности. Указанные разрывы имели относительно большую протяженность (до 16×1 см) и глубину (до 2,5 см), были единичными, чаще щелевидные или зигзагообразные, с неровными краями, закругленными концами, тканевыми перемычками в дне разрывов.
В большинстве наблюдений с противоположной стороны выявляли поверхностные короткие противоударные разрывы - линейные или дугообразные, которые имели сравнительно ровные края и острые концы, мелкие тканевые перемычки в дне.
Для этого вида травмы менее типичны были центральные и периферические разрывы печени - 5 (25%) наблюдений.
Отсутствие либо меньшая выраженность повреждений в органах и тканях груди и живота по сравнению с транспортной травмой указывает на существенно меньшую травмирующую силу, что позволяет провести сравнительное исследование характера местных основных разрывов для поиска морфологических эквивалентов параметров приложенной силы.
6. В случаях удара рукой по передней поверхности живота образовывались единичные неглубокие местные основные разрывы на нижнем крае правой или левой доли, распространявшиеся на диафрагмальной и висцеральной поверхностях печени. Разрывы зигзагообразные, длиной до 3-4 см и глубиной до 2-4 см, с закругленными концами, мелкими тканевыми перемычками в дне, преимущественно у концов разрывов.
Образующиеся местные основные разрывы печени, вызванные ударным воздействием травмирующего предмета с ограниченной поверхностью, с силой, незначительно превышающей прочностные параметры ткани печени, позволяют использовать частную морфологию местных основных разрывов в качестве критерия травмирующей силы, способной вызвать начальное разрушение ткани печени.
7. При падении на живот во всех 20 случаях отмечали образование противоударных разрывов сзади на диафрагмальной поверхности правой доли печени. Разрывы зигзагообразные, множественные, имели поверхностный характер и располагались в переднезаднем направлении, размером от 1,5×0,5 до 16×1 см и глубиной до 2,5 см. Образование местных, центральных и периферических разрывов наблюдали в единичных случаях.
8. В результате экспериментальных ударов в 1-й группе наблюдений при силе удара 2000 Н или энергии удара 202,5 Дж формировались только отдаленные противоударные, периферические и центральные разрывы печени.
Противоударные разрывы наблюдались на висцеральной поверхности печени. Они были линейные, размером 6м2 см, имели закругленные концы, крупнозубчатые края, крупные тканевые перемычки в дне.
Периферические разрывы располагались вокруг противоударных, были зигзагообразные, длиной 3 см и глубиной 1 см, с мелкозубчатыми краями, закругленными концами, крупными тканевыми перемычками в дне.
В паренхиме левой доли на глубине до 4 см от поверхности органа выявляли единичные центральные разрывы в виде мелких трещин.
9. Экспериментальные повреждения печени во 2-й группе наблюдений формировались при силе удара 2650 Н или энергии удара 260,1 Дж. Местные основные и дополнительные разрывы располагались на висцеральной поверхности у нижнего края печени, были дугообразные, длиной 3,5 см и глубиной около 1,2 см, имели неровные края и тканевые перемычки в дне, различались между собой по наличию повреждений пристеночной брюшины в случаях дополнительных разрывов. Отдаленные противоударные разрывы локализовались на задней поверхности в виде коротких и протяженных (до 2,5 см) зигзагообразных разрывов паренхимы, наибольшей глубиной до 0,3 см, с неровными краями и мелкими тканевыми перемычками в дне. В глубине паренхимы правой доли выявляли небольшие центральные разрывы.
Кафедра хирургических болезней Азербайджанского медицинского университета, Азербайджанская Республика, Баку
К вопросу о классификации огнестрельных тангенциальных (торакоабдоминальных) ранений (с комментарием)
Журнал: Хирургия. Журнал им. Н.И. Пирогова. 2010;(8): 38‑43
Салахов З.А. К вопросу о классификации огнестрельных тангенциальных (торакоабдоминальных) ранений (с комментарием). Хирургия. Журнал им. Н.И. Пирогова. 2010;(8):38‑43.
Salakhov ZA. Classification of tangential (thoracoabdominal) gunshot wounds. Pirogov Russian Journal of Surgery = Khirurgiya. Zurnal im. N.I. Pirogova. 2010;(8):38‑43. (In Russ.).
Автор наблюдал 79 пострадавших с сочетанными огнестрельными пулевыми ранениями груди и живота. В 37 наблюдениях ранения были торакоабдоминальными, в 35 - абдоминоторакальными. Обращено внимание на 7 наблюдений продольных непроникающих ранений груди и живота. Раневой канал начинался в мягких тканях передней грудной стенки и проходил в толще передней брюшной стенки до промежности. Из-за высокой кинетической энергии пуль боковой удар вызвал большие повреждения ребер, легких и органов брюшной полости без повреждения диафрагмы. Автор относит такие ранения к тангенциальным торакоабдоминальным.
Во Второй мировой войне сочетанные повреждения груди и живота встречались в 4-20% всех ранений и летальность при этом составляла около 80%. Риск повреждения органов брюшной полости резко увеличивается при низком расположении ран груди. Левосторонние торакоабдоминальные ранения и ранения во фронтальной плоскости сопровождаются очень тяжелым клиническим течением, так как при этом больше вероятности ранения сердца, крупных сосудов и повреждений органов обеих плевральных полостей. При этом чаще всего встречаются ранения желудка, селезенки и левого изгиба ободочной кишки. При правосторонних повреждениях превалируют ранения печени, правой почки, правого изгиба ободочной кишки и поперечной ободочной кишки. Примерно в 40% наблюдений входное отверстие раневого канала находится на стенке живота, однако как нозологическая единица подобные виды ранений тоже классифицируются как торакоабдоминальные.
Большинство авторов считают, что не бывает торакоабдоминальных ранений без повреждений диафрагмы [1-5, 8]. Некоторые хирурги вообще полагают, что выделение касательных или тангенциальных огнестрельных торакоабдоминальных ранений противоречит принятой классификации и терминологии [7]. Однако в нашей практической работе в недавнем прошлом мы встретились с подобными повреждениями и считаем, что они должны найти свое место в классификации [6]. Цель публикации состоит в описании клинической картины и морфогенеза редко встречающихся форм сочетанных огнестрельных ранений груди и живота.
Материал и методы
В зависимости от доминантного патологического процесса во время повреждений оперативное вмешательство начиналось с грудной или брюшной полости. Во всех наблюдениях плевральная полость была предварительно дренирована стандартными трубками.
Полученная кровь из плевральной полости реинфузирована, если не были повреждены полые органы у 6 раненых. При превалировании повреждений органов груди оперативное вмешательство начиналось с торакотомии. При этом в 4 наблюдениях обнаружены ранения сердца и крупных сосудов, в 2 - межреберных артерий. После ушивания торакотомной раны этим пострадавшим была произведена лапаротомия, выполнены те или иные оперативные вмешательства в зависимости от повреждений органов.
В остальных 72 наблюдениях оперативные вмешательства начинали с лапаротомии, однако у 3 пострадавших в ходе лапаротомии были выявлены признаки тяжелых повреждений внутригрудных органов и структур: оперативное вмешательство заканчивалось торакотомией - у 2 больных выполнено прошивание поврежденных межреберных артерий, у 1 устранена тампонада сердца.
Повреждения органов брюшной полости при торакоабдоминальных ранениях наблюдались у всех раненых.

Как показано в табл. 1, изолированные ранения наблюдались у 24 больных, что составляет 30,4% всех торакоабдоминальных ранений, при этом у 15,3% пострадавших имелись повреждения внутренних органов. У 56 раненых повреждения внутренних органов имели сочетанный характер. Из них повреждения двух органов имелись у 38 (48,1%), повреждения трех органов - у 15 (19,0%), повреждения четырех органов - только у 3 (3,8%) раненых.
При торакоабдоминальных ранениях у 27 (34,2%) раненых выявлены такие осложнения, как травматический шок у 16 (20,3%), повторные кровотечения у 4 (5,1%), асфиксия различного происхождения у 2 (2,5%).

Тангенциальные (касательные) торакоабдоминальные ранения в нашей практике отмечены в 7 наблюдениях. Это произошло вследствие бокового удара огнестрельного оружия. Во всех наблюдениях в области груди и живота были глубокие линейные раны. Целостность париетальной плевры и брюшины не была нарушена. Таким образом, эти ранения были непроникающими (табл. 2).
Во всех наблюдениях тангенциальных ранений пострадавшие оперированы в срочном порядке. Центральные вены были катетеризированы, проведены комплекс противошоковых мероприятий и интенсивная терапия. После дренирования плевральной полости в стандартном порядке выполнена лапаротомия. В зависимости от ранения того или иного органа произведено соответствующее оперативное вмешательство. Оперативные вмешательства завершены дренированием брюшной полости и хирургической обработкой наружных ран (табл. 3).
Таким образом, касательные торакоабдоминальные ранения редко встречаются в повседневной практике. Некоторые исследователи вообще отрицают наличие подобных повреждений. Они считают, что нет торакоабдоминальных ранений без повреждений диафрагмы. Однако наша скромная практика доказывает возможность касательных торакоабдоминальных ранений без повреждения диафрагмы. Как при всех огнестрельных ранениях человеческого организма, при торакоабдоминальных ранениях раневой канал может быть в трех вариантах: сквозной, слепой и касательный. При касательных (тангенциальных) торакоабдоминальных ранениях методы оказания помощи и лечения должны быть идентичными.
Мы считаем, что описание такого вида касательных тангенциальных огнестрельных ранений облегчит оказание квалифицированной хирургической помощи и будет способствовать снижению уровня летальности при огнестрельных ранениях.
Комментарий
Повреждения органов брюшной полости вследствие бокового удара при огнестрельных непроникающих ранениях живота хорошо известны. Однако в данном случае речь идет о сочетанных повреждениях органов груди и живота одним ранящим снарядом, хотя и без повреждения диафрагмы.
Следует признать, что приведенные автором наблюдения не укладываются в существующее в настоящее время определение торакоабдоминальных ранений, основанное на накопленном опыте прошлых лет.
Исходя из этого опыта, торакоабдоминальные, абдоминоторакальные и одновременные (независимые друг от друга) ранения груди и живота относятся к группе сочетанных ранений.
Приведенные автором наблюдения следует отнести к еще одной разновидности сочетанных ранений груди и живота - продольным касательным непроникающим ранениям груди и живота с множественными повреждениями внутренних органов. К тангенциальным (т.е. касательным по отношению к окружности) такие ранения с продольным направлением также не относятся.
За последние два десятилетия отмечается неуклонный рост числа пострадавших с ранениями, что обусловлено резким ухудшением социально-экономической и криминальной обстановки, алкоголизмом и наркоманией [1]. Проблема приобрела особую актуальность после принятия в 1996 г. Государственной Думой закона РФ «Об оружии», который разрешил приобретение и использование огнестрельного оружия самообороны.
Следует подчеркнуть, что в России публикации результатов исследований 3 особенностей таких ранений принадлежат судебным медикам. В публикациях клиницистов, посвященных ранениям груди и живота, причиненным травматическим оружием, приводятся единичные наблюдения [5].

Наиболее часто встречаются ранения, нанесенные резиновыми пулями калибра 18 мм из бесствольных травматических пистолетов «Кордон», «Стражник» и ПБ-4 «Оса» (рис. 1, а). Рисунок 1. Наиболее распространенные виды травматического оружия. а - ПБ-4 («Оса»); б - ИЖ-79-9 ТМ («Макарыч»).
Бесствольное оружие «Оса» с резиновой пулей массой 8 г, снабженной стальным сердечником, имело до 2001 г. дульную энергию 110-120 Дж, что нередко причиняло серьезные повреждения вплоть до летального исхода, особенно при выстрелах с близкого расстояния [4]. С 2001 г. энергетическая характеристика боеприпаса к этому оружию была снижена до 80-85 Дж при одновременном увеличении массы пули до 11,6 г, что уменьшило опасность для жизни, но увеличило так называемый останавливающий эффект.
C 2004 г. широкое распространение получили пистолеты, сертифицированные как газовые, но с возможностью стрельбы резиновыми пулями калибра 9 мм, которые первоначально выпускались с дульной энергией от 35 до 70 Дж. Это пистолеты Иж-79-9 ТМ «Макарыч» российского производства (рис. 1, б), WASP-R (Чехия), «Хорхе» (Украина), «Grand-Power» (Словакия и РФ), «Steel» (Турция), «Викинг» (Германия и РФ). Однако в последующем производители постепенно увеличили энергетику некоторых видов патронов до 130 Дж, что усилило их поражающее действие и вызвало обоснованную тревогу правоохранительных органов [7].
Цель данной публикации состоит в изложении самого большого в стране опыта диагностики и лечения этого во многом неисследованного вида огнестрельных ранений гражданского населения из травматического оружия.
В течение 2000-2009 гг. в НИИ скорой помощи им. Н.В. Склифосовского поступили 483 пострадавших с огнестрельными ранениями из травматического оружия, в том числе 322 с изолированными и сочетанными ранениями шеи, груди и живота, что составило 66% общего количества пострадавших с ранениями из травматического оружия и 54,4% общего количества пострадавших со всеми огнестрельными ранениями шеи, груди и живота. Из 322 пострадавших было 308 (95%) мужчин и 14 (5%) женщин. Возраст раненых колебался от 16 до 69 лет, составляя в среднем 31,8±10,2 года. Наибольшее число пострадавших как среди мужчин, так и среди женщин составили лица в возрасте от 16 до 29 лет. Обращает на себя внимание увеличение в 9 раз числа ранений (90 наблюдений) в 2009 г. по сравнению с 2000 г. (10 наблюдений). В абсолютном большинстве наблюдений (98,8%) ранения имели криминальный характер, и только у 4 пациентов они были следствием аутоагрессии.
При ретроспективном анализе всех наблюдений выяснено, что в холодные месяцы года число ранений, нанесенных травматическим оружием, снижалось почти в 2 раза по сравнению с периодом теплой погоды, что, очевидно, связано не с частотой применения такого оружия, а со снижением его повреждающего действия при наличии плотной одежды.
В таблице представлены локализация и характер ранений в зависимости от вида травматического оружия. При этом у 225 пострадавших ранения были изолированными, у 97 (30%) они сочетались с ранениями других областей тела. Всего у 322 пострадавших было 359 ранений шеи, груди, живота.

Наиболее часто имелись сочетанные ранения: грудь+конечности (27), грудь+живот (11), грудь+ голова (8), шея+грудь (8), живот+конечности (4), шея+конечности (3). Остальные 36 наблюдений были представлены сочетанием поражения более двух анатомических областей (рис. 2). Рисунок 2. Пострадавший с одновременными ранениями из травматического оружия шеи, груди и плеча. 63% всех ранений приходились на ранения груди. Глубокие ранения шеи составили 28,6% всех ранений шеи, при выстрелах из оружия типа «Оса» такие ранения наблюдались у 35,7% против 19,4% пострадавших при выстрелах из оружия типа «Макарыч», проникающие ранения груди после стрельбы из «Осы» составили 7,3% против 3,7% при выстрелах из «Макарыча», а все проникающие ранения живота были нанесены пулями, выпущенными из оружия типа «Макарыч». Все наблюдения глубоких и проникающих ранений при стрельбе из оружия типа «Макарыч» встречались после 2005 г. (2006-2009).
Результаты

Внешний вид ран, нанесенных пулями из этих двух типов травматического оружия, также был различен. Если раны, нанесенные пулями из пистолета типа «Макарыч», были в основном округлой формы, от 0,9 до 1,5 см в диаметре с относительно ровными краями (рис. 3, а), Рисунок 3. Внешний вид ран, нанесенных травматическим оружием. Объяснения в тексте. то ранения пулями, выпущенными из «Осы», имели рваные края с большой зоной ушиба, диаметр их колебался от 2 до 3 см (рис. 3, б). При выстрелах с дальнего расстояния пули калибра как 9 мм, так и 18 мм причиняли поверхностные повреждения, которые были представлены зоной осаднения кожи, ушиба и подкожным кровоизлиянием (рис. 3, в, г).

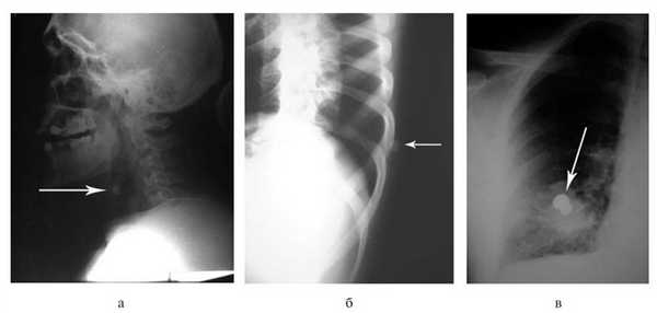
Поверхностные раны шеи требовали первичной хирургической обработки с экономным иссечением их краев. Инородных тел в тканях при этом не выявлено. При глубоком ранении (что определялось по внешнему виду раны) для исключения повреждения органов и структур шеи выполняли обзорную рентгенографию (рис. 4, а), Рисунок 4. Обзорные рентгенограммы пострадавших с ранениями из травматического оружия. Стрелками указаны инородные тела (пули). а - при ранении шеи; б - при непроникающем ранении груди; в - при проникающем ранении груди. затем продольную переднюю колотомию (21 наблюдение). При этом в 1 наблюдении обнаружено ранение трахеи и в 2 - повреждение ротоглотки. Инородные тела извлечены в 10 наблюдениях (пули из пистолета «Макарыч» - в 6, из «Осы» - в 4). Хирургическая обработка раневого канала являлась заключительным этапом вмешательства.
При поступлении пострадавших с ранениями груди и живота, причиненными травматическим оружием, выполняли обзорную рентгенографию. У 217 больных ранения были непроникающими (рис. 4, б). Следует подчеркнуть, что пули калибра 9 мм являются малоконтрастными и определение их локализации при рентгенологическом исследовании представляло определенную трудность.

У 13 раненых огнестрельные повреждения груди были проникающими (рис. 4, в). При отсутствии показаний к торакотомии вмешательство ограничивали первичной хирургической обработкой и дренированием плевральной полости (7 наблюдений). Несмотря на проникающие ранения, при рентгенологическом исследовании инородных тел (пуль) в этих наблюдениях выявлено не было. Двум больным этой группы в отсроченном порядке была выполнена торакоскопия в связи с выявленным инородным телом легкого или плевральной полости на рентгенограмме груди в послеоперационном периоде. В одном из этих наблюдений выполнены пневмотомия и удаление резиновой пули калибра 18 мм, ушивание раны легкого П-образными швами, санация и дренирование плевральной полости. В другом наблюдении резиновая пуля калибра 18 мм лежала в заднем костно-диафрагмальном синусе слева (рис. 5), Рисунок 5. Фотография при торакоскопии: в заднем синусе левой плевральной полости видна резиновая пуля калибра 18 мм. произведены ее удаление, санация и дренирование плевральной полости.
Торакотомия выполнена в 6 наблюдениях. У 2 больных показанием к ней явилась низкая локализация раны с подозрением на торакоабдоминальное ранение справа, при этом у одного из этих пациентов имелось касательное непроникающее ранение диафрагмы - пуля калибра 18 мм свободно лежала в плевральной полости, у другого - субплевральная гематома и гематома легкого без наличия инородного тела (по словам пострадавшего, выстрел был сделан из бесствольного оружия с близкого расстояния).
У одного пострадавшего с ранением левой половины груди пуля калибра 9 мм по данным предоперационного обследования находилась в области сердца. При торакотомии выявлено, что она лежала на передней стенке перикарда, не повреждая его. Одному пациенту левосторонняя торакотомия выполнена в связи с наличием множественных ранений груди с гемотораксом и инородным телом в ткани легкого, произведено удаление резиновой пули калибра 18 мм и ушивание раны легкого. Еще одному пострадавшему в связи с наличием обширной раны средней доли правого легкого во время торакотомии выполнены удаление резиновой пули калибра 9 мм и краевая резекция участка легочной ткани.
Заслуживают особого внимания 2 наблюдения.
Больной Ш., 26 лет, с огнестрельным ранением груди справа был доставлен бригадой скорой медицинской помощи в операционную НИИ скорой помощи им. Н.В. Склифосовского, минуя приемное отделение. Состояние больного тяжелое, он несколько заторможен, вял. С его слов, получил огнестрельное ранение от неизвестного человека. Рана овальной формы, размером 2,0×1,5×1,3 см, с пояском осаднения располагалась в четвертом межреберье справа по передней подмышечной линии. Признаки наружного кровотечения отсутствовали. АД 100/75 мм рт.ст., ЧСС 96 в минуту, ЧДД 23 в минуту. Дыхание справа внизу ослаблено, здесь же укорочение перкуторного звука. При рентгенографии и УЗИ отмечались признаки правостороннего гидропневмоторакса.
Через 15 мин после поступления больной был оперирован. Под местной анестезией выполнено дренирование правой плевральной полости, получено около 500 мл свежей крови, после чего отделение крови прекратилось, однако продолжалось поступление воздуха. Операция завершена первичной хирургической обработкой раны: при ревизии раневой канал в четвертом межреберье проникал в правую плевральную полость.

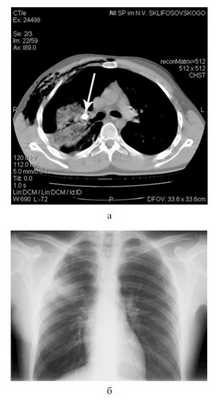
В связи с большим поступлением воздуха по дренажу сразу после этой операции пострадавшему выполнена КТ груди (рис. 6, а): Рисунок 6. Данные обследования пострадавшего Ш. а - компьютерная томограмма перед операцией; б - обзорная рентгенограмма груди перед выпиской из стационара. имелось инородное тело (пуля) в прикорневых отделах правого легкого, сдавливающее просвет верхнедолевого бронха. Травматическая инфильтрация II, III, VI, VII, VIII, IX, X сегментов правого легкого на фоне частичного коллабирования. Несмотря на наличие плеврального дренажа (по Бюлау), на фоне незначительного гемоторакса (230 см 3 ) имелся пневмоторакс большого объема (1100 см 3 ). Определялись эмфизема мягких тканей правой поверхности грудной стенки, перелом II и III ребер справа.
Под эндотрахеальным наркозом выполнена переднебоковая торакотомия в пятом межреберье справа. В плевральной полости около 400 мл крови. На переднебоковой поверхности верхней доли правого легкого в проекции III сегмента определяется рана диаметром 2 см, из которой обильно поступал воздух и немного крови. По краям дефекта имеется зона невентилируемой паренхимы легкого диаметром 3 см. В дне раны на глубине около 5 см находится инородное тело - пуля. Отмечается небольшое геморрагическое пропитывание ткани верхней доли легкого со стороны корня, кровотечения нет. Рана легкого расширена и пуля калибра 9 мм извлечена. В дне раны определялся сегментарный бронх (Б3) с боковым дефектом размером 3×6 мм с острыми углами. Дефект ушит нитью полидиоксанон 4/0 на атравматической игле. Дефект в легком послойно ушит викрилом 2/0. Гемостаз, аэростаз. Ателектазированные участки легкого расправлены. При дальнейшей ревизии выявлен перелом ребра в области огнестрельной раны с подтеканием крови. Произведено лигирование с прошиванием межреберной артерии. Плевральная полость дополнительно дренирована во втором межреберье по среднеключичной линии, рана грудной стенки послойно ушита. Интраоперационная кровопотеря около 1000 мл, кровь реинфузирована аппаратом Сell-saver.

При наличии ран живота выполняли их первичную хирургическую обработку с извлечением пули (рис. 7) Рисунок 7. Интраоперационная фотография: пуля калибра 9 мм в мягких тканях брюшной стенки. и в случае обнаружения проникающего характера повреждения производили срединную лапаротомию (3 наблюдения). При этом в одном наблюдении была повреждена серозная оболочка тонкой кишки, в другом имелся ушиб тонкой кишки (произведена резекция тонкой кишки и наложен энтероэнтероанастомоз) и в третьем - сквозное ранение левой доли печени, сопровождавшееся кровопотерей около 1600 мл.
Больной К., 27 лет, доставлен бригадой скорой медицинской помощи в операционную НИИ скорой помощи им. Н.В. Склифосовского, минуя приемное отделение, с диагнозом: огнестрельное торакоцервикальное ранение груди и слепое огнестрельное ранение живота из травматического оружия. Собрать анамнез в связи с алкогольным опьянением не представлялось возможным. Состояние больного тяжелое. Латеральнее и ниже левого грудиноключичного сочленения начиналась полоса осаднения кожи длиной около 5 см, шириной 1,2 см, следующая снизу вверх на шею и оканчивающаяся участком размозжения кожи шеи над передней ножкой левой грудиноключично-сосцевидной мышцы. Вторая рана диаметром 1-1,2 см с пояском осаднения и без признаков наружного кровотечения локализовалась в правой подреберной области. При УЗИ свободной жидкости в плевральных и брюшной полостях не выявлено.
Через 30 мин после поступления под эндотрахеальным наркозом иссечены края раны передней брюшной стенки. Раневой канал проходил спереди назад, сверху вниз и проникал в брюшную полость. Произведена срединная лапаротомия. В брюшной полости 1500 мл крови и сгустков. Кровь собрана аппаратом Cell-saver. При ревизии выявлено сквозное огнестрельное ранение IV сегмента печени: рана звездчатой формы, размером 7×5×7 см, с кровотечением. Рана ушита викрилом 2/0. Достигнут гемостаз. При дальнейшей ревизии повреждений других органов не обнаружено, инородное тело не найдено. Операция закончена санацией и дренированием брюшной полости, первичной хирургической обработкой касательной торакоцервикальной раны слева. Общая кровопотеря составила 1600 мл крови, реинфузировано 600 мл клеточного компонента.
Послеоперационный период протекал без осложнений. На 4-е сутки удалены дренажи из брюшной полости. Раны зажили первичным натяжением. При повторном УЗИ брюшной полости в IV сегменте печени лоцировалась неоднородная зона пониженной эхогенности с неровными контурами, размером 3,2×1,6×0,5 см, без признаков кровотока при цветовом допплеровском картировании. По передней поверхности печени в этом же месте имелись мелкие гипоэхогенные структуры и зона пониженной эхогенности размером 3,8×0,7 см. При рентгенографии брюшной полости инородное тело не обнаружено. Больной выписан на 11-е сутки в удовлетворительном состоянии.
У остальных пострадавших с проникающими ранениями живота пули удалены во время операции. У одного из них круглая пуля диаметром 9 мм свободно лежала между петлями тонкой кишки, у другого - такая же пуля, частично фрагментированная, была извлечена из полости малого таза.
Следует заметить, что 33 пострадавших с поверхностными ранениями шеи и непроникающими ранениями груди и живота по их настоянию после операции не были госпитализированы и направлены на амбулаторное лечение. Один больной с непроникающим ранением груди отказался от операции.
Из 288 госпитализированных у 12 (4%) развились послеоперационные осложнения в виде нагноения послеоперационной раны. Летальных исходов не было. Длительность пребывания в стационаре составила в среднем 7,4±2,4 койко-дня.
Таким образом, число огнестрельных ранений из травматического оружия за последние 10 лет выросло в 9 раз, преобладают ранения в летнее время.
Наиболее часто встречаются ранения груди (71%). Ранения шеи наблюдаются у 22%, живота - у 18% пострадавших.
При глубоком ранении шеи у каждого третьего пострадавшего имеется повреждение жизненно важных структур.
Глубокие ранения шеи и проникающие ранения груди чаще встречаются при использовании бесствольного травматического оружия типа «Оса», однако более тяжелые повреждения внутренних органов груди и живота в последние годы стали наблюдаться при ранениях пулями калибра 9 мм.
Повреждения грудной клетки ( Травмы грудной клетки )
Повреждения грудной клетки - травмы, при которых страдают кости, образующие каркас грудной клетки и/или органы, расположенные в грудной полости. Это - обширная и достаточно разнородная группа травматических повреждений, включающая в себя как переломы ребер, так и травмы жизненно важных органов (легких и сердца). Зачастую повреждения грудной клетки представляют непосредственную угрозу или потенциальную опасность для жизни пациента. Нередко сопровождаются кровопотерей различной тяжести и развитием острой дыхательной недостаточности, которые могут развиваться как сразу, так и спустя некоторое время после травмы. Поэтому все без исключения пациенты с повреждениями грудной клетки должны срочно направляться в специализированное мед. учреждение для обследования и дальнейшего лечения, которое, в зависимости от вида травмы, может быть либо консервативным, либо оперативным.

Повреждения грудной клетки - группа повреждений, включающая в себя травмы ребер, грудины и внутренних органов, расположенных в грудной полости. Такие травмы могут сильно различаться как по характеру, так и по тяжести, однако из-за потенциальной опасности для жизни пациента на начальном этапе всегда рассматриваются врачами, как серьезные, требующие детального обследования больного. Эта группа травм отличается высокой летальностью при отсутствии медицинской помощи и достаточно высоким процентом благоприятных исходов при своевременной доставке пациента в специализированное мед. учреждение. Смертность составляет 5-6%, при этом большинство смертельных случаев приходится на открытые повреждения (ранения), а также на множественные переломы ребер с разрывом легкого.
Классификация
Все повреждения грудной клетки подразделяются на две группы: закрытые и открытые. Отличительной особенностью закрытых повреждений является отсутствие раны. Такие повреждения делятся на:
- Сотрясения. Травмы, при которых видимые морфологические изменения грудной клетки отсутствуют.
- Ушибы. В эту группу включают ушибы ребер и мягких тканей, ушиб сердца, ушиб сосудов, ушибы и разрывы легких, гемоторакс и пневомоторакс, переломы грудины, ребер и грудных позвонков.
- Сдавления. Сюда относятся случаи травматической асфиксии, при которых грудь пациента сдавливается между двумя тупыми предметами, из-за чего возникает удушье.
При открытых повреждениях в области грудной клетки есть рана, которая может быть ножевой, огнестрельной и т. д. Открытые повреждения (ранения) подразделяются на:
- Непроникающие.
- Проникающие.
- Без повреждения внутренних органов, расположенных в грудной полости.
- С повреждением внутренних органов, расположенных в грудной полости.
- С повреждением костей (ребер, грудных позвонков или грудины).
- Без открытого пневмоторакса или с его наличием.
- Без открытого гемоторакса или с его наличием.
- Торакоабдоминальная травма (с одновременным нарушением целостности грудной полости, диафрагмы и брюшной полости).
С учетом характера повреждения также выделяют сквозные, слепые и касательные раны груди.
Причины
В мирное время закрытая травма грудной клетки встречается в травматологии намного чаще открытой. Ее основными причинами становятся автомобильные аварии (70%), падения с высоты (23%), производственные травмы, природные катастрофы, криминальные действия (избиение, драка) или бытовая травма. Чаще всего при закрытой травме выявляются повреждения легких (60%), ребер (45,4%), сердца (8%) и позвоночника (4,8%). Остальные органы страдают достаточно редко. Повреждения легких, межреберных сосудов, плевры, бронхов и легочных сосудов чаще имеет вторичный характер и развивается вследствие травматизации этих органов острыми концами сломанных ребер.
Открытые повреждения в мирное время встречаются нечасто и обычно возникают в результате ранения холодным оружием. Количество огнестрельных ранений резко увеличивается в военное время. Раны, нанесенные другим предметом (например, острым металлическим штырем или куском арматуры) могут возникнуть в результате производственной травмы, техногенной или природной катастрофы либо несчастного случая в быту.
Переломы ребер и грудины
Переломы ребер обычно возникают у взрослых пациентов. У детей и подростков наблюдаются очень редко вследствие чрезвычайной эластичности костных структур. С учетом механизма травмы все переломы ребер можно разделить на три группы: непрямые, прямые и отрывные. Наибольшее смещение отломков и, как следствие, высокая вероятность повреждения органов грудной полости острыми концами сломанных ребер, возникает при отрывных, двойных и множественных переломах.
Отломки ребер могут повреждать не только легкое и плевру, но и межреберные сосуды, вследствие чего возникает внутреннее кровотечение в плевральную полость и формируется гемоторакс. Если острый конец ребра протыкает легкое, воздух выходит в плевральную полость, и образуется пневмоторакс.
О переломе ребер свидетельствует резкая боль в месте повреждения и боль при сдавлении грудной клетки в переднезаднем направлении. Дыхание становится поверхностным. Пациенту легче находиться в сидячем, чем в лежачем положении. Основным методом инструментальной диагностики является рентгенография ребер. Лечение заключается в устранении болей, профилактике пневмонии и облегчении дыхания.
При неосложненном переломе одного ребра пациент находится на амбулаторном наблюдении. Перелом двух или более ребер является показанием для госпитализации. Больным назначают анальгетики и физиолечение, рекомендуют находиться в постели в положении полусидя. Для предупреждения застойных явлений в легких обязательно назначается дыхательная гимнастика. При множественных переломах ребер производится их оперативная иммобилизация.
Переломы грудины относительно редки. Сопровождаются болью, усиливающейся при кашле и глубоком дыхании. Пальпация резко болезненна. Для подтверждения диагноза выполняют боковую рентгенографию грудины. Лечение осуществляется в условиях стационара. При переломах без смещения назначается покой и обезболивающие препараты. При смещении выполняется репозиция на щите.
Ушибы, сотрясения и сдавления
Подобные повреждения грудной клетки встречаются реже, чем переломы ребер и возникают вследствие удара тупым предметом или форсированного сдавления между двумя крупными тупыми предметами. Ушиб грудной клетки сопровождается небольшой гематомой и умеренной болью. Обычно не требуют специального лечения. В отдельных случаях при сильном ушибе может возникнуть обширное кровоизлияние в ткани или полости грудной клетки, иногда сопровождающееся разрывом органов и тканей. Такая травма относится к категории тяжелых, требует неотложной госпитализации и может закончиться смертью больного.
При сотрясении грудной клетки наблюдается чрезвычайно тяжелый шок при отсутствии анатомических изменений. Состояние пациента тяжелое, дыхание неравномерное, болезненное, поверхностное. Пульс учащенный, неровный, едва уловимый. Конечности холодные, цианотичные. Необходима немедленная госпитализация, полный покой и вдыхание кислорода под давлением.
При сдавлении грудной клетки дыхательные движения нарушаются. Кровь оттекает от надплечий, верхней части груди, шеи и головы. Развивается удушье. Возможны нарушения сознания. Кожа перечисленных отделов тела синеет, на ней, а также на конъюнктиве и на слизистой полости рта образуются многочисленные мелкие кровоизлияния (экхимозы). Выявляется симптом декольте - отек и цианотичность верхней части туловища. Возможна временная потеря зрения и слуха, обусловленная кровоизлияниями и зрительный нерв, сетчатку, глазное яблоко и внутреннее ухо.
Пациента госпитализируют, рекомендуют находиться в покое в полусидячем положении. Для устранения болевого синдрома выполняют новокаиновые вагосимпатические блокады. Проводят санацию дыхательных путей, оксигенотерапию и, в некоторых случаях - искусственную вентиляцию легких.
Открытые повреждения
При непроникающих повреждениях грудной клетки состояние больных удовлетворительное. Лечение заключается в наложении повязки или ушивании раны. При проникающих ранениях состояние пациентов может значительно варьироваться и зависит от отсутствия или наличия гемопневмоторакса и сопутствующих повреждений внутренних органов и костного каркаса.
Гемоторакс при таких травмах развивается вследствие кровотечения в плевральную полость из поврежденных сосудов легкого и грудной стенки, пневмоторакс - из-за проникновения в плевральную полость воздуха из раненого легкого. При ранении легкого наблюдается кровохарканье, гемоторакс и подкожная эмфизема. Для уточнения диагноза выполняется рентгенография грудной клетки. Лечение хирургическое. Пациентов госпитализируют в специализированное отделение, где торакальные хирурги в экстренном порядке выполняют операцию и ушивание раны. Объем вмешательства зависит от характера травмы.
Гемоторакс
Гемоторакс (скопление крови в плевральной полости) образуется при кровотечении вследствие повреждения межреберных сосудов, легкого или внутренней грудной артерии. Выделяют малый (менее 500 мл), средний (от 500 до 1000 мл) и большой (более 1000 мл) гемоторакс. При малом состояние пациента не страдает или страдает незначительно. Возможно консервативное лечение. При среднем гемотораксе состояние больного умеренно или незначительно ухудшается, дыхание учащается. Может потребоваться как консервативное лечение, так и плевральная пункция.
При большом гемотораксе наблюдается шок, нарушение гемодинамики, сморщивание легкого и смещение органов средостения. Кожа больного цианотична, пульс учащен, дыхание тоже учащенное, поверхностное. Положение тела - вынужденное, сидячее, с опорой на руки. Необходима плевральная пункция, либо, если гемоторакс нарастает, - торакотомия для выявления и устранения источника кровотечения. Все пациенты с гемотораксом в обязательном порядке госпитализируются. Наблюдение включает в себя повторные рентгеноскопические или рентгенографические исследования для оценки динамики и определения дальнейшей тактики лечения.
Пневмоторакс
Пневмоторакс - это скопление воздуха, проникающего в плевральную полость из поврежденного легкого или из внешней среды. Выделяют три вида пневмоторакса: закрытый, открытый и клапанный. При закрытом пневмотораксе рана закрывается мягкими тканями. Количество воздуха ограничено и не увеличивается. Небольшое количество воздуха рассасывается самостоятельно, при умеренном может потребоваться плевральная пункция.
Помимо сдавления легкого на стороне повреждения пневмоторакс вызывает баллотирование средостения - маятникообразное движение органов при вдохах и выдохах. Сердце и сосуды смещаются, приток крови к сердцу уменьшается. Это еще больше утяжеляет состояние пациента. Все больные госпитализируются. Принимаются экстренные меры для устранения пневмоторакса. В последующем осуществляется динамическое наблюдение, выполняются повторные рентгеноскопии легких или рентгенографии.
Читайте также:
- Вальгусная деформация коленных суставов (genu valgum): атлас фотографий
- Костное вещество после облучения. Морфология костного вещества после облучения
- Как справиться с ПМС? Народные методы с предменструальным синдромом (ПМС) без лекарств
- Нарушения сознания, ориентировки у пациента
- Нижняя поверхность височной кости. Отверстия нижней поверхности височной кости
