Профилактика кариеса корня зуба. Чистка корней зуба при зубных камнях
Добавил пользователь Евгений Кузнецов Обновлено: 21.11.2025
Кариес корня зуба — результат взаимодействия комплекса неблагоприятных факторов, ведущих к возникновению и прогрессированию процесса деминерализации в области корня зуба. Кариес корня является серьезной проблемой для стоматологов, так как способен свести к минимуму шансы на успех терапевтического лечения зуба, повлечь такие осложнения, как отлом коронковой части зуба, быстрое развитие эндодонтических осложнений и прочее. Склонность к циркулярному распространению патологического процесса может существенно затруднять оперативно-восстановительное лечение кариеса корня. В конечном итоге именно данная локализация кариозного поражения чаще всего ведет к потере зуба [9].
Самой типичной локализацией кариеса корня являются отделы зубных рядов с низким слюнным клиренсом (то есть хуже омываемые слюной). Во фронтальном отделе зубных рядов кариесу корня больше подвержены оголенные щечные поверхности корней верхних резцов, в боковой группе — моляры нижней челюсти [9].
Согласно прогнозам экспертов ВОЗ, проблема кариеса корня зуба среди населения старших возрастных групп неуклонно растет (Ткаченко О., 2014). Увеличение распространенности кариеса корня среди населения старших возрастных групп обусловлено ростом средней продолжительности жизни, неудовлетворительной гигиеной полости рта, недостатком эффективных методов профилактики рецессии десны, высокой частотой встречаемости болезней периодонта и т. п. [4]. Так, к ритической глубиной пародонтального кармана для возникновения данной нозологии является расстояние 2—4 мм от десневого края [2] .
R . J . Billings выделяет 3 группы основных факторов риска кариеса корня:
1. биологические факторы (состав зубного налета, уровень секреции слюны, рН слюны, буферная емкость слюны, наследственные факторы);
2. поведенческие факторы (гигиеническое поведение, общее осознание здоровья, привычки питания, социально-культурное поведение, психологическое сознание);
3. индивидуальные факторы (общее здоровье, проблемы мобильности, координации, понимания, проведенное периодонтологическое лечение, функциональные нарушения).
Однако узловым фактором риска в возникновении кариеса корня является не количество зубного налета, а его качественная характеристика. В то время как в микробиологическом соотношении при возникновении кариеса коронки зуба доминирует Strept ococcus mutans, при кариесе корня преобладают актиномицеты (Actinomyces viscosus, Actinomyces naeslandii, Actinomyces species) [ 3, 11].
Особенности развития кариеса корня и его лечения заключаются в пониженной минерализации ткани, близости пульпы, трудностях препарирования и выбора пломбировочного материала [10]. Следовательно, основная задача при лечении кариеса корня — грамотный подбор рационального пломбировочного материала и корректное восстановление формы корня, обеспечивающее хорошую гигиену.
В соответствии с принципом минимального вмешательства лечение кариозного пятна без дефекта твердых тканей зуба целесообразно проводить по возможности без пломбирования [4]. При этом рекомендуется использование фторсодержащих средств в сочетании с тщательной регулярной индивидуальной и профессиональной гигиеной полости рта. При наличии дефекта твердых тканей зуба проводится оперативное лечение.
Очень часто на приеме врачи работают только композиционными материалами, хотя в ряде случаев их использование неоправданно. Несмотря на высокую механическую прочность, устойчивость к истиранию, эстетичность и хорошую адаптацию к стенкам полости, они имеют ряд недостатков, среди которых полимеризационная усадка и деформация пломб большого объема с течением времени, недостаточная биосовместимость с твердыми тканями зуба, отсутствие кариесстатического эффекта, высокая стоимость [8].
Альтернативными материалами в целом ряде клинических ситуаций могут выступать стеклоиономерные цементы (СИЦ) [5].
Неоспоримыми преимуществами СИЦ являются [ 6, 7 ] :
1. Образование прочной химической связи с твердыми тканями зуба.
2. Биоактивность, кариесстатический и антибактериальный эффект.
Кариесстатический эффект обеспечивается во многом за счет пролонгированного выделения фтора из цементной массы. Этот процесс начинается сразу после пломбирования и продолжается не менее одного года. Диффузия фтора в окружающие ткани вызывает усиление их минерализации, способствует образованию фторапатитов в эмали и дентине. Это приводит к повышению кислотоустойчивости и снижению проницаемости дентина, ухудшению условий жизнедеятельности патогенных микроорганизмов и предотвращению развития рецидивного кариеса.
3. Низкий модуль упругости обеспечивает высокую эластичность, что позволяет СИЦ выдерживать окклюзионные нагрузки под пломбами и коронками, способствовать компенсации полимеризационной усадки композиционных материалов, а также устранять напряжения, возникающие в пришеечной области при микроизгибах зуба в процессе жевания.
4. Коэффициент температурного расширения СИЦ близок к коэффициенту температурного расширения тканей зуба, что важно для обеспечения долговременной герметичности на границе пломба/ткани зуба.
Однако стеклоиономерные цементы имеют и такой недостаток, как высокая опаковость, не позволяющая получать высокоэстетичные реставрации при применении одних СИЦ. В связи с этим компании, производящие стоматологические материалы, ведут поиск путей усовершенствования СИЦ, в том числе повышения их эстетичности.
Одним из таких СИЦ является «Ионолюкс» ( VOCO , Германия), особенность которого заключается в том, что в нем сочетаются стеклоиономерная и композитная части, обусловливающие его превосходные свойства. Так, за счет композитной составляющей у него улучшились эстетические качества, появилась возможность немедленной финишной обработки сразу после полимеризации, отмечены образование химической связи с композитами и очень низкая растворимость в воде.
В отличие от аналогов при работе с «Ионолюкс» нет необходимости проведения адгезивной подготовки твердых тканей зуба (например, отсутствует этап праймирования твердых тканей, обязательный у некоторых аналогичных материалов других производителей), так как он является самоадгезивным цементом. Общеизвестно, что чем больше механизмов отверждения имеет СИЦ, тем меньше он выделяет ионов фтора в окружающие ткани. Однако по выделению ионов фтора «Ионолюкс» не уступает классическим СИЦ, что особенно ценно на детском и геронтологическом приеме.
Клинический случай
Пациентка Г., 59 лет, обратилась с жалобами на эстетический дефект и боли в области 2.2 и 2.3 зубов при действии химических и температурных раздражителей (рис. 1).
Рис. 1. Исходная клиническая ситуация: зубы 2.2 и 2.3 — кариес цемента.
Пациентке было предложено проведение реставрации зубов 2.2 и 2.3, на которую она дала согласие. Также было рекомендовано провести ортопедическое лечение в связи с отсутствием большого количества зубов.
Предварительные этапы включали профессиональную, индивидуальную гигиену полости рта, обсуждение с пациенткой особенностей реставрации и взаимной ответственности за результаты работы.
Выбору оттенка цвета предшествовало механическое очищение вестибулярной поверхности зуба, симметричного реставрируемому, и рядом стоящих зубов с использованием щеточки и бесфтористой пасты (например, Klint , VOCO , Германия). Далее осуществляли подбор цвета путем сравнения цветовой шкалы, входящей в набор материала, с оттенком зубов. При выполнении данного этапа соблюдали условия оптимальной светоцветовой среды.
После обезболивания препарирование дефектов зубов 2.2 и 2.3 было проведено борами грушевидной и шаровидной формы. Для плавного перехода материала был создан скос эмали в сторону режущего края при помощи пламевидных боров мелкой зернистости (с красной или желтой полосами) (рис. 2).
Рис. 2. Зубы 2.2. и 2.3 после препарирования.
Для медикаментозной обработки сформированных полостей применялся 2%-ный раствор хлоргексидина. Затем в полость вносили стеклоиономерный цемент «Ионолюкс» в качестве базовой прокладки (рис. 3).
Рис. 3. Зуб 2.3: внесен стеклоиономерный цемент «Ионолюкс».
Далее проведена адгезивная подготовка твердых тканей зуба, включающая кондиционирование эмали гелем «Вокоцид» (35%-ная ортофосфорная кислота) и нанесение самопротравливающего бонда «Футурабонд НР» ( VOCO , Германия). Содержащаяся в «Футурабонде НР» суперстабильная эмульсия из наночастиц, полученных по запатентованной технологии «Сол-гель» ( Sol — gel ), позволяет наносить материал только одним слоем и фотополимеризовать в течение 10 секунд, что обеспечивает чрезвычайную прочность адгезии и удобство применения. Особенностью «Футурабонд НР» является то, что он выделяет фториды, которые предупреждают развитие вторичного кариеса.
В настоящее время считается, что самопротравливающие адгезивы идеально подходят для реставрации пришеечных дефектов твердых тканей зуба [3,4]. Дело в том, что с течением времени в области дна дефекта происходит гиперминерализация (дентиновый склероз), приводящая к закрытию просвета дентинных канальцев кристаллами минералов, затрудняющих доступ в эти участки адгезивных систем. Применение же самопротравливающих адгезивных систем позволяет трансформировать смазанный слой и одновременно декальцинировать поверхностный слой в области дефекта в сочетании с предварительным протравливанием границ скоса ортофосфорной кислотой.
В качестве реставрационной системы мы использовали «Адмиру» ( VOCO , Германия) — материал на основе ORMOCERL ®. Эта система включает микрогибридный композиционный материал «Адмира», жидкотекучий композит «Адмира Флоу» и дентино-эмалевый бонд 5-го поколения «Адмира Бонд». Однако если у обычного композита полимерная матрица является только органической и в процессе полимеризации дает усадку, то в материале «Адмира» матрица неорганически-органическая: ее основу составляет неорганический каркас на основе оксида кремния. Такая модификация смолы приводит к тому, что после полимеризации практически весь остаточный мономер удерживается на боковых цепочках, а не находится в свободном состоянии, как у обычных композитов. Поэтому «Адмира» является самым биосовместимым материалом, то есть риск развития аллергических реакций, особенно со стороны десневого края, сводится к минимуму. Кроме того, данная матрица более износоустойчива.
В настоящее время в России проходит регистрацию новый материал компании VOCO на основе одной керамики — «Адмира Фьюжн» (Admira Fusion). Благодаря инновационной комбинации уже проверенной наногибридной технологии с технологией ормокера (ORMOCER®) оксид кремния образует химическую основу как для наполнителя, так и для матрицы смолы. Эта единственная в своем роде технология Nano-ORMOCER® дает ряд преимуществ, а именно высокое содержание наполнителя, крайне низкую полимеризационную усадку и очень низкое усадочное напряжение (уровни полимеризационной усадки и полимеризационного стресса более чем на 50 % ниже по сравнению с обычными композитами). При этом «Адмира Фьюжн» отличается очень высокой устойчивостью цветового тона. Уровень конверсии частиц материала достигает 95—99 %, что практически совпадает с показателями композитов, используемых для непрямых реставраций ( Robert A . Lowe , 2016).
Аналогично проведена реставрация зуба 2.2 (рис. 4).
Рис. 4. Зубы 2.2 и 2.3: окончательный вид после реставрации.
Финишная обработка реставраций проводилась с использованием с истемы Safe End ( SSWHITE , США), включающей в себя твердосплавные 10-, 20- и 32-гранные карбидно-вольфрамовые боры. Бор с 10 лезвиями используется для удаления излишков материала и контурной обработки реставрации. Бор с 20 лезвиями обеспечивает получение гладкой поверхности, готовой к полировке. Боры эффективно удаляют композитный материал, максимально сохраняя при этом твердые ткани зуба. В отличие от других систем данные боры имеют различную длину, специально адаптированную к виду зуба и обрабатываемой области. Сужающаяся к концу форма боров Safe End идеально подходит для обработки границ перехода от композитного материала к поверхности эмали. Эти боры легко очищать перед дезинфекцией благодаря прямой форме лезвий.
Кроме того, твердосплавные финишные боры имеют преимущества по сравнению с мелкодисперсными алмазными:
они работают селективно («отличают» более мягкий композит от более твердой эмали, позволяя сохранить естественные структуры зуба);
обладают режущим, а не шлифующим механизмом действия, то есть удаляют материал в виде стружки, чем обеспечивают более гладкую поверхность по сравнению с алмазными борами;
имеют закругленный кончик, что позволяет проводить обработку без травмы маргинального края десны и круговой связки.
С целью снижения краевой проницаемости поверхности корней и для придания блеска реставрациям рекомендовано их покрытие наполненным светоотверждаемым лаком Easy Glaze ( VOCO , Германия).
Таким образом, для лечения кариеса корня и пломбирования поддесневых дефектов рекомендуется использовать стеклоиономерные цементы, которые обеспечивают хорошее прилегание материала к поверхности корня и изоляцию дентина от внешних кариесогенных факторов. Хотелось бы отметить высокую эффективность лечения кариеса корня с использованием стеклоиономерного цемента «Ионолюкс» как в «сэндвич»-технике, так и самостоятельно по сравнению с композициоными материалами.
Зубной камень - симптомы и лечение
Что такое зубной камень? Причины возникновения, диагностику и методы лечения разберем в статье доктора Сафроновой Евгении Леонидовны, стоматолога со стажем в 6 лет.
Над статьей доктора Сафроновой Евгении Леонидовны работали литературный редактор Юлия Липовская , научный редактор Сергей Федосов и шеф-редактор Лада Родчанина
Определение болезни. Причины заболевания
Зубной камень — это отвердевший зубной налёт, минерализованная бактериальная бляшка (биоплёнка). Она образуется на поверхности зубов из остатков пищи, погибших микроорганизмов, солей кальция, фосфора и железа.
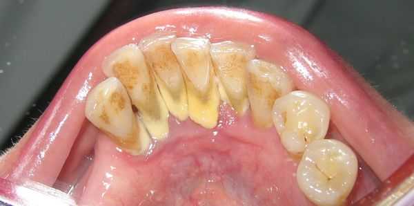
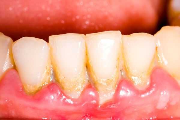
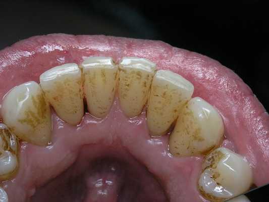
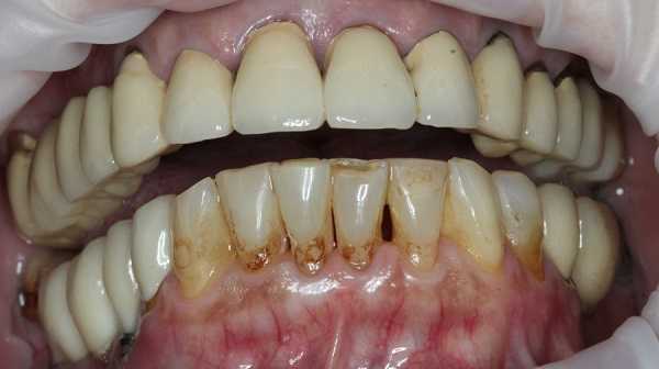
Этот вид зубных отложений обнаруживается при осмотре примерно у 80-90 % пациентов [14] [15] . Чаще всего зубной камень образуется на нижних резцах. Эти отложения имеют жёлтый или коричневый оттенок.
Если зубной камень расположен над десной, пациент может увидеть его самостоятельно невооружённым глазом. Камень, расположенный внутри десны, сможет обнаружить только врач-стоматолог при помощи специальных инструментов.

Главная причина образования зубного камня — плохая гигиена полости рта. Во время еды на зубах образуется мягкий зубной налёт, скапливаются остатки пищи, которые создают почву для развития бактерий. Лучше всего бактерии "растут" на легко усваиваемых углеводах, которые содержатся в мучных и сладких продуктах.
Мягкий зубной налёт (зубная бляшка, или микробная биоплёнка) интенсивнее всего скапливается там, где зубы не самоочищаются от пищи в процессе жевания. Зубной налёт со временем пропитывается минеральными компонентами и затвердевает.
Зубной налёт начинается активно образовываться после каждого приёма пищи. Микроорганизмы прикрепляются к поверхности зуба и создают довольно стабильную зубную бляшку. Бактерии размножаются, зубная бляшка растёт и опускается всё ниже в десневую бороздку. Со временем бляшка уплотняется и приобретает желтоватый цвет. По мере затвердевания доступ кислорода внутрь отложений прекращается, что способствует ещё большему размножению анаэробных бактерий.
Зубной налёт может появится на любом зубе, но более стойкие формы он приобретает рядом с большими слюнными железами, которые расположены у центральной группы нижних зубов под языком. Слюна содержит минеральные вещества, которые воздействуют на налёт. Постепенно он темнеет, становится более плотным и трансформируется в зубной камень, который уже невозможно очистить зубной щёткой.
У появления зубного налёта несколько причин:
- нерегулярная или недостаточно тщательная чистка зубов;
- обилие мягкой пищи в рационе;
- нарушение обмена веществ и солевого баланса в организме;
- неправильное положение зубов;
- наличие пломб, брекетов.
Причины образования зубных камней у детей
Образование зубного камня на молочных зубах встречается очень редко. Появлению зубного камня у детей и подростков могут способствовать хронические заболевания почек и анатомические особенности строения зубочелюстной системы [17] [18] .
При обнаружении схожих симптомов проконсультируйтесь у врача. Не занимайтесь самолечением - это опасно для вашего здоровья!
Симптомы зубного камня
Симптомы при наличии зубного камня связаны с процессом воспаления дёсен. Сами по себе отложения не вызывают болезненных ощущений, но когда зубной камень формируется в больших количествах и начинает травмировать дёсны, у пациента появляются жалобы.
Наличие зубного камня можно определить по следующим признакам:
- Неприятный запах изо рта из-за жизнедеятельности микроорганизмов, скапливающихся на зубах, — они производят летучие соединения серы с характерным запахом.
- Гиперемия и отёчность дёсен. Десны ярко-красного цвета, зубодёсневые сосочки увеличены в размерах и могут закрывать часть коронки зуба.
- Кровоточивость, которая чаще всего возникает при чистке зубов или когда пациент использует зубную нить. В более тяжёлых случаях дёсны начинают кровоточить при приёме пищи. Этот симптом иногда сопровождается болью в дёснах.
- Повышенная чувствительность отдельных зубов, связанная с процессом рецессии десны зубов. Из-за уменьшения тканей десны зубной корень оголяется, и зуб становится более восприимчивым к воздействиям и разной температуре пищи.
- Неудовлетворительная эстетика, наличие плотных тёмно-коричневых и желтоватых отложений. Наличие зубного камня значительно сказывается на виде улыбки и белизне зубов [3] .
Патогенез зубного камня
Зубная бляшка формируется, когда микроорганизмы прикрепляются к поверхности зуба. На зубах через несколько минут после приёма пищи начинается формирование плёнки (пелликулы), которая состоит из гликопротеинов слюны.
Через 4 часа в состав пелликулы добавляются бактерии стрептококки (Spreptococcus mitis, S.sanguis, S.anguis). Далее прикрепляются актиномицеты. На 2-4 день снижается количество стрептококков, увеличивается количество анаэробных бактерий. Через неделю присоединяются спирохеты и подвижные палочки.
Зубная бляшка завтердевает за счёт минералов, которые содержатся в слюне или десневой жидкости. Скорость минерализации зубной бляшки отличается у разных людей. У кого-то зубной камень образуется быстро, у кого-то с умеренной скоростью. У незначительного количества людей зубной камень не формируется вообще.
Также появлению зубного камня способствуют ортодонтические проблемы, такие как скученность зубов или поворот зубов по своей оси. Такие особенности создают благоприятные условия для минерализации — из-за неправильного расположения зубы тяжелее очищать от мягкого налёта [5] [8] [11] .
Классификация и стадии развития зубного камня
Зубной камень образуется из неорганического и органического компонента. В минеральную составляющую входит фосфат кальция, карбонат кальция, фосфат магния и другие металлы. Органический компонент содержит смесь белково-полисахаридный комплекса, эпителий, лейкоциты и микроорганизмы.
Зубной камень по локализации делится:
- наддесневой: расположен выше уровня десны. Чаще всего образуется в области передних нижних зубов, а также верхних первых моляров;
- поддесневой: расположен ниже уровня десны в пародонтальном кармане на поверхности корня зуба;
- каменный мост: твёрдый налёт охватывает поверхность нескольких зубов, расположенных рядом.
Зубной камень формируется в несколько стадий:
- Накопление минеральных компонентов и начальный рост кристаллов.
- Рост и совершенствование кристаллов.
- Насыщение кристаллов.
Зубные отложения на начальной стадии представляют собой мягкий зубной налёт, а на второй и третьей — зубной камень. На формирование твёрдого зубного камня уходит от нескольких месяцев до полугода.
Выделяют четыре вида прикрепления зубного камня к поверхности зуба:
- при помощи органической пелликулы на цементе (на специфической костной ткани, покрывающей корень и шейку зуба);
- при помощи органической пелликулы на эмали;
- фиксация на неровных поверхностях, например, на кариозном поражении или на месте разрушения костной ткани (лакунарной резорбции);
- тесная адаптация нижней поверхности камня к впадинам или выступам неповрежденной поверхности цемента и проникновения бактериального налёта в цемент [2][6] .
Осложнения зубного камня
Активное нарастание зубных камней в будущем обязательно приводит к воспалительным заболеваниям пародонта — сначала к гингивиту, а потом к пародонтиту.
Гингивит — это заболевание дёсен, которому сопутствует воспаление, отёчность и кровоточивость дёсен. Пациенты жалуются на неприятный запах изо рта, наличие зубных камней, налёт, появление крови при чистке зубов и во время приёма пищи. Гингивит образуется за счёт ферментатов и токсинов, выделяемых патогенными бактериями зубного налёта. При обследовании обнаруживаются зубные отложения, десна отёчные, кровоточат при зондировании, патологический зубодесневой карман отсутствует.

Прогрессирование гингивита в конечном счёте приводит к пародонтиту. При пародонтите в процесс воспаления вовлекается не только десна, но и костная ткань вокруг зуба. К типичным симптомам гингивита добавляются поддесневые зубные отложения, формирование патологических зубодесневых карманов глубиной 3-7 мм. На рентгенологическом исследовании обнаруживается уменьшение костной ткани в области межзубных перегородок.
При отсутствии лечения пародонтит может привезти к потере не только костной ткани, но и самих зубов.
Микробная биоплёнка, длительно существующая в полости рта, оказывает влияние не только на пародонт, но и на внутренние органы. В одном из исследований в Швеции, которое проводилось с 1985 по 2011 годы выяснилось, что риск возникновения сердечно-сосудистых заболеваний (в данном случае внимание заострялось на инфаркте миокарда) повышается при наличии зубного камня у больных [12] .
Зубной камень способствует развитию заболеваний дёсен, но не вызывает кариес и его осложнения. Как показывают клинические наблюдения, в тех местах, где располагается минерализованный налёт, как правило, нет кариеса [7] [12] .

Диагностика зубного камня
Диагностика зубного камня обычно не требует специфических видов исследования. Он обнаруживается в полости рта при осмотре и инструментальном обследовании.
При наличии зубного камня у пациентов во время осмотра обнаруживаются пять признаков воспаления пародонта:
- покраснение десны;
- отёчность десны;
- повышенная температура в области воспаленных тканей;
- боль при агрессивных процессах, например при язвенно-некротическом гингивите;
- подвижность зуба.
Наддесневой зубной камень располагается над десневым краем и хорошо визуализируется в полости рта при осмотре. Это белое или бело-жёлтое образование твёрдой глиноподобной консистенции. При зондировании достаточно легко отделяется от поверхности зуба.
Наддесневой зубной камень часто образуется в щёчных поверхностях верхних моляров и язычных поверхностях нижних передних зубов, потому как именно здесь скапливается больше всего слюны.
Поддесневой зубной камень располагается ниже уровня десневого края и может быть незаметен при обычном осмотре. Наличие таких зубных отложений определяют при помощи пародонтологического зонда. Также камень можно увидеть на рентгенологическом снимке ротовой полости. Поддесневой зубной камень имеет чёрный или тёмно-коричневый цвет, чаще всего он плотно прикреплён к поверхности зуба. Поддесневой камень опасен своим расположением — его наличие говорит о том, что десна уже начала отходить от зуба, и появился патологический зубодесневой карман.
Помимо обнаружения десневого камня при диагностике осматривается зубодесневое прикрепление. Если его нет, стоматолог определяет глубину патологического кармана.
При зондировании десневой борозды чаще всего появляется кровоточивость дёсен, что указывает на влияние наддесневых зубных отложений [6] .
Лечение зубного камня
Лечение зубного камня в зависимости от сложности случая может включать в себя несколько действий:
- полное снятие зубного камня во время гигиены полости рта в кабинете стоматолога;
- замена пломб, которые находятся в неудовлетворительном состоянии;
- ортодонтическое лечение для устранения дополнительных участков, на которых регулярно образовывался зубной камень из-за неправильного расположения зубов;
- лечение зубного камня и снятие налёта состоит из следующих этапов: удаления зубного камня с зуба, обработки полости рта антисептиком и полировки поверхности зуба.
Чистка зубов от камня может осуществляться ручным способом или при помощи специального аппарата — звукового или ультразвукового скалера.
Ручной, или механический, метод удаления зубного камня
К ручным инструментам относятся: ручные скалеры, экскаваторы, рашпили и долота, кюреты.
- скалеры — используются для снятия наддесневого зубного камня, бывают прямыми и изогнутыми;
- экскаваторы — используют для снятия камней большого размера;
- долота — применяют для разбивания «мостов» из зубного камня на фронтальных зубах;
- кюреты — это зоноспецифические инструменты для снятия поддесневого зубного камня;
- рашпили — используются для соскабливания отложений с поверхности зуба.

Чистка зубов ультразвуком
Звуковые и ультразвуковые скалеры помогают стоматологу быстро и легко удалить зубные отложения во время профессиональной чистки зубов.
При работе скалера наблюдается эффект кавитации (образуются и схлопываются пузырьки воздуха в потоке жидкости, что сопровождается гидравлическими ударами), инструмент вибрирует при контакте с зубом, что обеспечивает создание энергии, достаточной для снятия отложений. Важно, что при правильном использовании аппарата не происходит повреждения мягких и твёрдых тканей.
Перед ультразвуковой чисткой каменных мостов в том случае, если они плотно сцеплены с эмалью, используется химическое протравливание твердых зубных отложений. Это покрытие зубов щелочными и кислотными растворами, которые делают камень мягким.
Антисептическая обработка заключается в орошении полости рта 0,05 % раствором хлоргексидина. Некоторые виды скалеров позволяют снимать зубной камень сразу с подачей хлоргексидина. В обычных скалерах через наконечник подается вода.
После удаления зубного камня поверхность зубов полируется, чтобы создать неблагоприятные условия для закрепления мягкого налёта. Полировка осуществляется при помощи резиновых чашечек и щёточек с добавлением низкоабразивной пасты [4] [5] [9] .
Когда нельзя чистить зубы ультразвуком
Абсолютных противопоказаний к ультразвуковой чистке зубов нет, могут быть некоторые ограничения, которые врач учитывает после осмотра полости рта.
Метод пескоструйной обработки (Air Flow)
Метод Air Flow позволяет бережно избавиться от любого налёта на зубах. Процедура выполняется с помощью устройства, которое подаёт плотную струю из смеси воздуха, воды и веществ, очищающих поверхность зубов и десневые карманы.
Химический способ удаления зубного камня
Химический метод заключается в применении специального геля, размягчающего зубные камни. Эффективность этого метода ниже, чем у чистки ультразвуком.
Лазерная чистка
Лазер для снятия зубных отложений не используется.
Комбинированный метод
Комбинированный метод может сочетать Air Flow, ультразвук и химический методы.
Для чего необходима профессиональная чистка зубов
Профессиональная чистка нужна для удаления зубных отложений. Зубной камень идеально удерживает мягкий зубной налёт, поэтому без профессиональной чистки он увеличивается в размерах и может спровоцировать развитие болезней десён [8] [10] [11] .
Можно ли произвести удаление зубного камня самостоятельно
Зубной камень в домашних условиях удалить невозможно. Народные методы удаления зубного камня неэффективны, их применение может привести к необратимым последствиям.
Прогноз. Профилактика
После удаления зубной налёт может образоваться снова, если пациент не делает никаких изменений в уходе за зубами. Поэтому профилактика зубного камня и сопутствующих ему заболеваний десён прежде всего заключается в правильной личной гигиене полости рта.
Чистка зубов помогает ежедневно удалять микробную бляшку и предотвращать её разрастание на поверхности зубов. Без личной гигиены адекватное лечение заболеваний пародонта будет просто невозможно. Как упоминалось ранее, зубная бляшка является основной причиной развития заболеваний пародонта, и именно из неё формируется зубной камень.
Как выбрать щётку для чистки зубов
Прежде всего пациенту необходимо подобрать качественную зубную щётку, основной инструмент гигиены полости рта. На рынке представлен огромный выбор зубных щёток, различных по форме, размерам и дизайну. Рекомендуется использование щётки средней жёсткости с щетинками из нейлона с закруглёнными концами для меньшего травмирования дёсен. Рукоятку пациент выбирает на свой вкус. Американская стоматологическая ассоциация рекомендует менять зубную щётку раз в 3-4 месяца.
Пациентам, которые склонны к быстрому образованию камней, следует назначать специальные профилактические зубные пасты. Этот вид зубных паст содержит в своём составе пирофосфаты, которые уменьшают осаждение нового зубного камня на зубах.
Рекомендуется научиться чистке зубов в технике Bass, при которой особое внимание уделяется очистке зоны десневой борозды от мягкого зубного налёта. Это техника позволяет эффективно и нетравматично снять наддесневой налёт и получить доступ к поддесневому [16] .
Чистку в технике Bass стоит выполнять так:
- расположите щётку параллельно зубам, так, чтоб щетинки смотрели в сторону дёсен;
- наклоните щётку на 45 градусов и без нажима двигайте щетинками так, чтоб они попадали в десневую бороздку;
- лёгкими движениями направляйте щетинки под десневую ткань, по кругу или быстро двигая щёткой вперёд-назад 15-20 раз, после переходите к следующим зубам. Щётка должна покрывать 2-3 зуба одновременно;
- после того, как почистите всю переднюю поверхность зубов, продолжайте в той же технике чистить область со стороны языка;
- чтобы почистить внутренние поверхности передних зубов, поверните щётку щетинками вертикально;
- почистите жевательную поверхность моляров.

Помимо зубной щётки и зубной пасты следует назначать дополнительные средства гигиены полости рта. К ним относится следующее:
- Флосс для эффективного удаления налета на апроксимальных поверхностях зубов (поверхностях, контактирующих с соседними зубами своего ряда).
- Межзубные ёршики для межзубной чистки. Они также эффективно помогают избавиться от зубной бляшки.
- Ирригатор — устройство, которое помогает вымывать мягкий зубной налёт из труднодоступных мест, тем самым предупреждая минерализацию налёта. Помимо удаления налёта данный аппарат осуществляет гидромассаж дёсен.
Кроме личной гигиены полости рта рекомендовано проведение профессиональной чистки зубов раз в полгода у стоматолога.
Чем дольше существует зубной налёт и чем быстрее он развивается, тем выше вероятность появления осложнений, требующих серьёзного стоматологического вмешательства. Поэтому прогноз во многом зависит от того, как быстро пациент обратится к врачу для удаления зубного налёта и насколько ответственно будет поддерживать гигиену полости рта в дальнейшем. Помимо регулярной профессиональной чистки задача стоматолога в данном случае — это правильная мотивация пациента и рекомендации [1] .
Кариес корня зуба: этиология, классификация, диагностика, профилактика, лечение.
Кариес корня - прогрессирующее повреждение, обнаруживаемое в любом участке поверхности корня зуба, омываемой жидкостью рта. Согласно прогнозам экспертов ВОЗ, проблема кариеса корня зуба среди населения старших возрастных групп неуклонно растет.
Предрасполагающие факторы
Billings R.J. разделил основные факторы риска кариеса корня на 3 группы:
1. Биологические факторы (состав зубного налета, уровень секреции слюны, данные Ph слюны, буферная емкость слюны, наследственные факторы).
2. Поведенческие факторы (гигиеническое поведение, общее осознание здоровья, привычки питания, социально-культурное поведение, психологическое сознание).
3. Индивидуальные факторы (общее здоровье, проблемы мобильности, координации, понимания, проведенное периодонтологическое лечение, функциональные нарушения). Чем разнообразнее факторы риска, тем сильнее выражен кариес корня .
Результаты исследований
I. Statum, D.Banting, Burt B., Ismail A. показали, что с понижением концентрации фтора в питьевой воде интенсивность и распространенность кариеса корня достоверно возрастают . Fejerskov O., Nyvad B. высказали предположение о «местном действии» постоянного употребления фторированной воды . Jensen ME., Papas AS., Joshi A. И. др. сообщают, что углеводсодержащие продукты способны усугубить кариесогенную ситуацию на поверхности корня.
Влияние микроорганизмов зубного налета на твердые ткани корня практически аналогично таковому при развитии кариеса в области коронки зуба. Микроорганизмы зубного налета являются одним из ведущих факторов в развитии болезней периодонта, которые в свою очередь способствуют обнажению корневых поверхностей. Некоторые исследователи полагают, что есть различия между микроорганизмами, связанными с кариесом поверхности корня и кариесом коронки зуба. Особое внимание ученых привлекли микроорганизмы группы Actinomyces При ранних поражениях поверхности корня преобладают граммположительные микроорганизмы, обнаруживается Act. naeslundii. В запущенных случаях также присутствует преимущественно граммположительная флора, особенно Str. mutans, кроме того, много Prevotella, Bacteroides.
По данным L. Laurisch в мягком дентине находится больше Str. mutans и лактобацилл, чем в плотном дентине, а кожеподобные поражения имеют промежуточную микрофлору. Str. mutans и лактобациллы в большем количестве встречаются в придесневых и (или) глубоких полостях, чем в прикоронковых и (или) мелких. Овруцкий Г. Д. с соавторами также указывают на преобладание Act. viscosus, Act. naeslundii, Act. species(до 40-50%) в кариозных полостях поверхности корня, не отвергая при этом значительной роли Str. mutans, Str. sangvis.
По мнению Чепурковой О. А., видовой состав микрофлоры зубной бляшки у 96,6% пациентов с кариесом корня отличается от такового у пациентов без кариеса корня и представлен ассоциацией различных бактерий с Enterococcus faecalis.
Получены данные о положительной корреляции между низкой скоростью слюноотделения и частотой поражения корней зубов кариесом. Изучалась распространенность кариеса корня у лиц с заболеваниями, вызывающими гипосаливацию (синдром Шегрена) или требующими приема препаратов, понижающих слюноотделение (антидепрессанты, антиязвенные, кардиологические, антигистаминные, диуретики, антипсихотические и др.).
Для возникновения кариеса корня обязательным условием является наличие потери зубодесневого прикрепления. Следовательно, потеря прикрепления и предрасполагающие к этому неудовлетворительная гигиена рта, болезни периодонта, пожилой возраст, анатомические особенности зубочелюстной системы являются важными факторами риска, влияющими на окружение корня. В то же время, Muya R.J.и др. не обнаружили кариес корня у пациентов с обширной возрастной рецессией десны в некоторых группах населения. Авторы справедливо полагают, что рецессия десны не приводит к возникновению кариеса корня без воздействия необходимых для этого факторов окружающей среды.
Согласно данным Чепурковой О. А., наиболее вероятными факторами риска кариеса корня среди прочих являются: периодонтальный карман глубиной до 4мм, высокая кариесогенность зубного налета, плохая гигиена полости рта, низкая резистентность зубов к кариесу, съемные протезы с опорой на зубы без искусственных коронок, частый прием углеводов (более 9-ти раз в день), курение, возраст старше 45-ти лет, мужской пол, поражения ЖКТ, эндокринная патология . На более частое поражение кариесом корня мужчин указывают также Narhi TO., Vehkalahti, MM.
Рассматривался также вопрос о распространенности и интенсивности кариеса корня среди лиц с системной патологией (сахарный диабет, поражения желудочно-кишечного тракта, Синдром Шегрена, сердечно-сосудистые, психосоматические, онкологические и другие заболевания). Авторы не сообщают о прямом влиянии общей патологии на возникновение корневого кариеса, но не отрицают опосредованной роли системных заболеваний (через изменение свойств слюны, реактивности организма) в развитии кариеса корня.
Классификации кариеса корня зуба.
Рикота Ю.Н.
По глубине поражения тканей корня:
1. Начальный кариес- частичное разрушение при сохранении цементно-дентинной границы.
2. Поверхностный кариес - дефект глубиной не более 0,5 мм
3. Глубокий кариес- дефект глубиной более 0,5 мм
1. класс- кариес на контактных поверхностях корня
2. класс- кариес на вестибулярной (оральной) поверхности корня
Овруцкий Г.Д.
1. степень (начальный кариес) - поверхность мягкая, дефекта ткани нет.
2. степень (поверхностный кариес) - глубина дефекта до 0,5 мм
3. Степень (полостной кариес) - глубина дефекта более 0,5 мм
4. степень (пульпитный кариес) — дефект с вовлечением полости зуба
Fejerskov O.
1. Без деструкции поверхности
2. Поражение глубиной до 1 мм
3. Поражения глубиной более 1 мм
4. Поражения с подозрением проникновения в пульпу
По течению кариеса корня:
1. Активные поражения
2. Неактивные поражения
Laurisch L.
1. Отсутствие изменений обнаженной шейки зуба
2. Начальное изменение
3. Поверхностное мягкое изменение, глубина- на 0,5 мм в дентине
4. Полость глубиной более 0,5 мм
5. Полость с поражением пульпы (предположительным или фактическим)
1. «Придесневые» полости на корне зуба
2. «Коронковые» полости на корне зуба
Леуc П.А. ,Борисенко Л.Г.
1. Без образования полости
2. С образованием полости
1. Активное поражение
2. Приостановившийся кариес
3. Вторичный кариес (активный или неактивный)
4. Неуточненный
Диагностика кариеса корня зуба.
Для диагностики кариеса корня зуба используют традиционную схему обследования стоматологического больного. При кариесе корня зуба отмечают:
-отсутствие жалоб, что характерно для данной патологии (часто болевые ощущения возникают только при развитии воспаления пульпы зуба);
-жалобы на эстетический недостаток (при локализации полости на вестибулярной поверхности корней фронтальных зубов);
-дискомфорт при приеме пищи;
-болевые ощущения от термических, механических, химических раздражителей, исчезающие сразу после устранения раздражителя;
-жалобы, связанные с наличием у пациента болезней пародонта, приводящих к потере зубодесневого прикрепления.
Оценку состояния гигиены ротовой полости, зубных рядов, тканей периодонта и слизистой оболочки проводят по общепринятой методике. Кроме того, при обследовании пациентов с кариесом корня зуба рекомендуется определять индексы, характеризующие рецессию десны (S.Stahl, A.Morris, 1955), утерю зубодесневого прикрепления (Loss of attachment, Glaving, Loe, 1967), чувствительность дентина (КИДЧЗ, Дедова Л.Н., 2004), периферическое кровообращение (ИПК, Дедова Л.Н., 1982), количество налета в придесневой области (PLI, Silness, Loe, 1964). Это необходимо для оценки степени риска прогрессирования корневого кариеса у данного пациента.
Возможно также определение индекса RCI(Katz, 1982), который позволяет точнее оценить степень поражения открытых корневых поверхностей кариесом корня зуба. Индекс реминерализации (Федоров Ю. А., Дмитриева И. М., 1977, 1994) позволяет оценить минерализацию твердых тканей до и после консервативного лечения кариеса. Особое внимание необходимо уделять выявлению факторов, способствующих развитию рецессии десны (плохая гигиена рта, болезни пародонта, зубочелюстные аномалии, возраст, ятрогенная травма).
При обследовании пораженных тканей поверхности корня определяют локализацию, изменение цвета, плотности, рельефа тканей, глубину и площадь дефектов, наличие болезненности при зондировании корня. Разработан ряд требований, облегчающих диагностику кариеса корня зуба: обязательное удаление над- и поддесневого камня и мягкого зубного налета, устранение слюны с обследуемой поверхности корня, использование острого зонда (позволяет достичь высокой тактильной чувствительности и отличить пораженную поверхность от здоровой даже без видимого дефекта ткани).
При зондировании быстропрогрессирующих кариозных поражений поверхности корня обнаруживается размягченная или «кожистая» консистенция. Края кариозной полости острые, неровные .На любой стадии развития кариеса корня зуба, при условии тщательного удаления микробного зубного налета, деминерализация и даже кавитация может приостановиться. Исключение составляют глубокие полости, при которых невозможно достаточное очищение поверхности корня от зубного налета. Поверхность кариозных поражений корня в стадии ремиссии обычно гладкая, блестящая, твердая. Края полости гладкие, плотные. По данным современной литературы, степень пигментации не всегда дает достоверную информацию об активности кариеса.
Для выявления скрытых полостей на контактной поверхности корня и (или) под десной, для исключения периапикальных осложнений, а также для оценки состояния тканей периодонта используют рентгенологический метод исследования. При этом рекомендуют применять параллельный метод рентгенографии, bite-wing-рентгенограмму (интерпроксимальный метод), ортопантомограмму.
Профилактика
Доказательство определяющей роли бактериальной флоры в возникновении кариеса корня и идентификация вероятных возбудителей позволяют предложить следующую программу профилактики:
1. Профессиональная гигиена полости каждые три месяца, с обязательным полированием фторсодержащей пастой обнаженных поверхностей корней.
2. Покрытие обнажённых корневых поверхностей лаками, содержащими хлоргексидин и фтор (на 3-м,6-м,9-м месяцах лечения).
3. Полоскание 0,1 % водным раствором хлоргексидина по 10 мл 2 раза в день в течение 10 дней на 3-м, 6-м, 9-м месяцах лечения.
4. Орошение пародонтальных карманов 0,1 % водным раствором хлоргексидина на 3-м, 6-м, 9-месяце лечения.
5. Рассасывание в полости рта таблеток с фторидами и ксилолом два раза в день в течение 12 месяцев (по Emilson С. G., Ravald N., Birkhed D.)
6. Ежедневное пользование зубной пастой с фторидами и ксилолом, (по Emilson С. G., Ravald N., Birkhed D.)
Лечение и профилактика
После постановки диагноза кариеса корня зуба и выявления возможных факторов риска планируют лечебно-профилактические мероприятия для данного пациента. В том числе, в первую очередь проводят мотивацию пациента к поддержанию здоровья ротовой полости, дают рекомендации по гигиеническому уходу за зубами, советы по питанию.
В качестве вспомогательных гигиенических средств для очищения вогнутых поверхностей корня зуба таким пациентам рекомендуют межзубные ершики и однопучковые зубные щетки.
Пациентам с пониженным слюноотделением можно рекомендовать пасты, гели, ополаскиватели, содержащие вещества, имеющиеся в естественной слюне (лизоцим, лактоферрин, протеины слюны).
Одним из важнейших этапов лечения пациента с кариесом корня зуба является проведение мероприятий профессиональной гигиены ротовой полости .Кроме того, необходимо по возможности устранять факторы, приводящие к задержке зубного налета на коронках и обнаженных корнях зубов (нависающие края пломб, некачественные протезы, зубочелюстные аномалии и др.).
При начальном и поверхностном кариозном поражении в периоде ремиссии можно ограничиться профилактическими мероприятиями при условии соблюдения пациентом врачебных рекомендаций:
— применение фторсодержащих лаков и гелей с добавлением антисептика и без него. Высокую эффективность показали препараты, содержащие аминофторид, 0, 4% фторид олова, 0, 05-2% фторид натрия, 4% фторид титана в сочетании с антисептиками - 1-5% хлоргексидином, 1% тимолом, триклозаном, а также системы с контролируемым высвобождением фторидов В клинико-гистологическом исследовании была выявлена эффективность глубокого фторирования в терапии поверхностного кариеса корня зуба с применением дентин-герметизирующего ликвида, содержащего кристаллы фторидов особо высокой дисперсности и ионы меди.
— целесообразно использование фторидов в сочетании с препаратами кальция (10% раствор глюконата кальция и 0, 5-1% раствор фторида натрия в виде аппликаций, казеиновая фосфопептидная аморфная кальциево-фосфатная паста в сочетании с фторидом натрия).
— в практическом аспекте представляется вполне обоснованным и перспективным использование защитных силантов для открытого дентина, способных предупреждать стирание шеек зубов, понижать число кариесогенных ассоциаций микроорганизмов на корневых поверхностях устранять или снижать чувствительность дентина оголенных корней, выделять ионы фтора длительное время.
При глубоком кариесе корня зуба обязательно, а при поверхностном кариесе корня зуба по показаниям, следует проводить препарирование и пломбирование кариозных полостей .
В процессе препарирования и пломбирования кариозных поражений корня зуба, близко расположенных к десневому краю, необходимо решать следующие задачи:
-защита десны от механических и химических повреждений;
-ретракция десны для создания доступа к кариозной полости;
-обеспечение сухости операционного поля (защита от крови, десневой и ротовой жидкости, от экссудата из периодонтальных карманов).
Препарирование кариозных полостей при кариесе корня зуба имеет определенные особенности:
-исключение этапа раскрытия кариозной полости .
-проведение некрэктомии без профилактического иссечения интактных тканей;
-формирование дополнительной площадки на оральной поверхности корня зуба для улучшения доступа к кариозной полости на контактной поверхности корня зуба (по показаниям) ;
-препарирование края корневой полости с прямоугольным уступом для предотвращения истончения краев пломбы (по показаниям);
-формирование полости овальной формы ;
-создание ретенционных борозд в дентине на окклюзионной и придесневой стенках (по показаниям) ;
-создание скоса эмали (2-5мм), если часть полости расположена в области эмалево-цементной границы.
Вопрос выбора пломбировочных материалов для лечения кариеса корня зуба окончательно не решен. Это связано с трудностями в обеспечении доступа к корневым кариозным полостям (особенно апроксимальным), сложностями в достижении сухости операционного поля, с особенностями фиксации пломб к дентину и цементу, с наличием значительных нагрузок на сжатие-растяжение в придесневой области зуба.
В настоящее время наиболее приемлемыми для пломбирования полостей в области корня зуба считаются стеклоиономерные цементы, амальгамы, компомеры, композиты розовых расцветок (по показаниям) . Рикота Ю. Н.отмечает высокую эффективность вкладок (фарфор, нержавеющая сталь) для замещения дефектов в области корня зуба.
Выводы
1. Пациентов с потерей зубодесневого соединения и рецессией десны следует динамически наблюдать с применением современных методов диагностики кариеса корня.
2. Дифференцированное лечение кариеса корня зависит от уровня развития кариозного процесса.
3. Пациентам с болезнями периодонта необходимы профилактические мероприятия, направленные на уменьшение факторов риска кариеса корня зуба.
4. Сочетание множества предрасполагающих факторов оказывает влияние на степень риска возникновения кариеса корня.
Зубной камень

Зубной камень — бич современного человека, который на бегу употребляет простые углеводы и черный кофе. Если к этому прибавить вредную привычку вроде курения сигарет или айкоса — налет обеспечен.
Однако, зубной камень не остановится только на образовании желтого налета на эмали, от запущенной стадии не спастись народными средствами, она может нанести вред деснам и перейти в воспалительный процесс.
Что такое зубной камень

Микробы оседают на эмали в процессе потребления продуктов и пищеварения и размножаются под действием во влажной теплой среды возле десен. Если не удалить их в следующие пятнадцать часов, то начнется процесс минерализации этих организмов.
Через семь дней минерализация становится необратимой, а через полгода «погибшие» микроорганизмы превращаются в натуральный камень, оттенок которого варьируется от желтого до темно-коричневого.
Таким образом, зубной камень до 30 % состоит из органических соединений, а количество неорганических компонентов постепенно возрастает от 70 до 90 %.
Дополнительная информация. Необходимо понимать, что состав не является константой и меняется в зависимости от периода минерализации. Количество органики уменьшается с каждым днем затвердевания.
Помните, что уже через пару дней отсутствия тщательной гигиены пленка образует шершавую поверхность, привлекающую еще больше налета.
Кроме того, камню выгодно возникновение воспаления десен, так как при этом увеличивается количество зубодесневой жидкости, которая содержит необходимые соли и белки для увеличения колонии микроорганизмов и дальнейшей минерализации.
Причины возникновения

Поводами для возникновения зубного камня, от которого не избавиться в домашних условиях являются:
1. Недостаточная и некачественная гигиена полости рта не обеспечивает достаточное удаление микробов, которые начинают активно размножаться и «застывать»;
Обратите внимание! Сюда же относится неправильно подобранная паста, щетка, чистка зубов «на скорую руку», отсутствие в ритуалах зубной нити, ершиков, ополаскивателей или ирригаторов.
2. Твердый налет возникает из-за обильного употребления мягкой пищи и быстрых углеводов (мучных и кондитерских изделий). Они способствуют обильному слюноотделению, что обеспечивает благоприятную микрофлору для размножения бактерий;
3. Вредные привычки — курение, употребление алкогольных напитков (особенно красящих, типа красного вина), неправильное питание;
4. Нарушение обмена веществ, которое приводит к изменению состава слюны, повышению свободных ионов солей.
Совокупность одной или нескольких причин влияет на успех удаления зубного камня.
Зубной налет появляется на всех зубах, но наиболее популярными являются нижние зубы с внутренней стороны. Это объясняется близостью к большим слюнным железам.
Симптомы заболевания

Если человек невнимательно относится к гигиене своих зубов, вряд ли он рассматривает полость рта с фонариком, чтобы оценить степень запущенности ситуации.
Поэтому, определить наличие проблемы можно не только визуально, но и по косвенным признакам:
- кровоточивость десен — часто бывает абсолютно безболезненной и возникает только при чистке зубов (естественно, после воздействия зубной щетки на чувствительную десну, возникают неприятные ощущения);
- неприятный запах изо рта — если нет проблем с желудком, а запах присутствует, стоит задуматься, возможно, скопилось внушительное количество камня, так как активная жизнедеятельность микроорганизмов сопряжена с выделением соединений серы;
- отечность и болезненность десен — особенность накопления налета, о которой будет рассказано ниже, воздействует на мягкие ткани, развивая воспалительные процессы.
Важно! Снятие зубного камня очень важно проводить до начала рецессии десны — уменьшения мягких тканей, «опускания» или «поднятия» десны. Это приводит к оголению корня зуба и повышению чувствительности.
Виды зубного камня

По расположению отличают два вида налета:
- Наддесневой — видимый камень, располагается над десной, часто обнаруживают на передних нижних зубах с внутренней стороны и в области верхних моляров;
- Поддесневой — как следует из названия, налет, который расположен в пародонтальном кармане, в бороздке между зубом и десной, его нельзя увидеть невооруженным глазом;
- Каменный мост — микробы могут охватить эмаль нескольких зубов в ряд, наиболее запущенный случай.
Чистка зубного камня будет зависеть и от способа его прикрепления к поверхности:
- с включением в процесс пелликулы из органики на «цементе» (это специфическая ткань, покрывающая корневую часть зуба);
- с включением в процесс пелликулы из органики на эмали;
- синтез на неровных абразивных поверхностях, например при ранних стадиях кариозной болезни, или на местах скола (а также, как говорилось ранее, при образовании пищевого налета);
- прикрепление в впадинах и выступах между зубами на эмали или корне зуба.
Последствия зубного налета

Стоматологи знают, как убрать зубной камень, чтобы избежать разрушительного эффекта для улыбки.
Какие осложнения грозят?
- и гингивит — зубной камень, особенно поддесневой тип, оказывает прямое воздействие на ткани, способствуя размягчению и покраснению, затем карман между десной и зубом начинает увеличиваться, усиливая новообразование бактерий; — при котором задействуется и костная ткань, которая постепенно начинает разрушаться, что в конечном итоге приводит к полной потере зубов.
Поэтому важно вовремя обращать внимание на образование зубного камня и обратиться к стоматологическую клинику для его удаления.
Удаление зубного камня
Избавиться от грядущих заболеваний можно несколькими способами.
Ультразвук

Удаление зубного камня ультразвуком — наиболее распространенный и безопасный метод, который используют в стоматологиях на сегодняшний день.
Принцип действия заключается в мелкой быстрой вибрации наконечника аппарата — скалера. При соприкосновении с зубом, он создает достаточный резонанс для разрушения твердого налета.
Дополнительно насадка обрабатывает зубную поверхность раствором хлоргексидина или водой, чтобы таким образом отполировать поверхность для исключения прикрепления нового налета.
Преимущество заключается в минимальном воздействии на родную эмаль.
Air Flow

Фактически метод основан на разрушении налета направленной под высоким давлением тонкой струей, состоящей из воды и воздуха, неабразивных частиц.
При необходимости используются дополнительные антисептические вещества.
Лазер

Применяется редко ввиду дороговизны оборудования, а принцип действия тот же, что и у ультразвука — направленный луч разрушает камень, а воздух или вода «вымывают» его из зубных промежутков.
Механическая чистка

Иногда используют механический, то есть ручной метод чистки с использованием:
- ручных скалеров — металлические палочки с прямыми и изогнутыми насадками;
- эскаваторами — палочки с насадками, по типу лопаточек;
- долота — называется так именно из-за внешнего сходства с большим собратом;
- кюрет — тонкие металлические крючки;
- рашпилей — ребристая насадка предназначена для соскабливания.
Такой вид чистки достаточно неприятный, болезненный, зато самый действенный, особенно при сложных отложениях.
Однако, если врач будет неаккуратен, он может необратимым образом повредить эмаль зуба, поэтому важно выбрать стоматологическую клинику с профессионалами в области гигиенической чистки.
Какой способ выбрать

Процедура чистки чаще всего включает в себя несколько этапов, которые варьируются в зависимости от количества и качества налета. Но стандартный набор действий выглядит так:
- Ультразвук;
- Air-flow;
- Полирование щеткой;
- Реминерализующая терапия.
В завершении, врач отполирует поверхность зуба и покроет ее фтором для продления эффекта от манипуляций.
Как удаляют зубной камень в конкретном случае зависит от диагностики. Важно, чтобы стоматолог использовал микроскоп для выявления ранней стадии появления налета.
Как правило, даже наладив питание и гигиену полости рта, необходимо приходить на профилактический осмотр, включающий в себя профессиональную чистку каждый полгода. Это позволит избежать проблем с деснами, а также позволит своевременно выявить кариозную болезнь и другие нарушения.
Читайте также:
- Наложение шины на заднюю поверхность голени
- Головной мозг. Развитие головного мозга. Ствол головного мозга.
- Факторы роста органов желудочно-кишечного тракта
- Токсикометрия. Установление основных параметров токсичности
- Примеры флюоресцентной ангиографии и оптической когерентной томографии при гемангиобластоме сетчатки
