Пролапс митрального клапана: что это и чем опасен диагноз, симптомы и лечение
Добавил пользователь Евгений Кузнецов Обновлено: 21.11.2025
Информацию из данного раздела нельзя использовать для самодиагностики и самолечения. В случае боли или иного обострения заболевания диагностические исследования должен назначать только лечащий врач. Для постановки диагноза и правильного назначения лечения следует обращаться к Вашему лечащему врачу.
Для корректной оценки результатов ваших анализов в динамике предпочтительно делать исследования в одной и той же лаборатории, так как в разных лабораториях для выполнения одноименных анализов могут применяться разные методы исследования и единицы измерения.
Пролапс митрального клапана: причины появления, симптомы, диагностика и способы лечения.
Определение
Пролапсом митрального клапана называют его патологическое изменение, при котором одна или обе створки во время сокращения желудочка выпячиваются или провисают в полость левого предсердия. Патология относится к порокам сердца.
Митральный клапан располагается между левым предсердием и левым желудочком. В норме во время сокращения предсердия клапан открыт и кровь поступает в желудочек. Затем клапан закрывается и происходит сокращение желудочка, за счет которого кровь выбрасывается в аорту. Митральный клапан состоит из двух створок, которые выполняют функцию «запирания» и поддерживаются сухожильными нитями (хордами). При патологии пролабирование (прогибание) не дает створкам клапана нормально сомкнуться во время сокращения левого желудочка, в результате чего часть крови поступает обратно в предсердие.

По величине обратного потока крови, который называется регургитацией, судят о выраженности данной патологии.
При разрыве поврежденной хорды часть створки клапана западает в предсердие, что обычно вызывает тяжелую регургитацию.
Причины появления пролапса митрального клапана
Пролапс митрального клапана чаще всего возникает из-за миксоматозной дегенерации (избыточного растяжения) тканей клапана и сухожильных хорд. При этом слой коллагеновых волокон истончается, сухожильные хорды удлиняются и ослабевают, а створки клапана расширяются и становятся растяжимыми. Эти изменения приводят к провисанию створок.
Миксоматозная дегенерация также может быть вызвана патологией соединительной ткани (например, при синдроме Марфана, синдроме Элерса-Данло, поликистозе почек у взрослых, при несовершенном остеогенезе, эластической псевдоксантоме, системной красной волчанке, узелковом полиартериите) и мышечной дистрофией. Пролапс митрального клапана часто встречается у людей с болезнью Грейвса, гипомастией, болезнью Виллебранда, серповидно-клеточной анемией и ревматической болезнью сердца.
Первичный пролапс (идиопатический) является следствием врожденной дисплазии соединительной ткани, сформировавшейся у новорожденного в период внутриутробного развития. Диспластический процесс является следствием влияния на плод различных патологий, перенесенных беременной женщиной:
- бактериальных, вирусных или грибковых инфекций;
- токсических поражений организма;
- системных заболеваний.
Вторичный пролапс митрального клапана проявляется на фоне острых и хронических заболеваний, перенесенных пациентом:
- ишемической болезни сердца, инфаркта миокарда;
- инфекционного эндокардита;
- ревматической болезни сердца;
- кардиомиопатии;
- миокардита;
- гипертиреоза;
- вегетативной дисфункцим сердечно-сосудистой системы;
- гипертрофии левого желудочка.
Пролапс митрального клапана встречается у людей любого возраста и пола, но в то же время женщины страдают от него намного чаще, чем представители сильного пола. В ряде случаев патология манифестирует в подростковом возрасте в период активного роста.
Классификация заболевания
Классификация пролапса митрального клапана основывается на выраженности провисания створки митрального клапана в левое предсердие по данным трансторакальной эхокардиографии:
1-я степень (легкая) - клапан провисает в полость предсердия менее чем на 5 мм;
2-я степень (умеренная) - отмечается пролабирование створок от 5 до 10 мм;
3-я степень (значительная) - створки провисают более чем на 10 мм.
По степени митральной регургитации (обратного движения крови из левого желудочка в левое предсердие):
I степень - обратное движение крови остается на уровне створок;
II степень - волна регургитации возвращается до середины левого предсердия;
III степень - волна регургитации проходит более половины предсердия;
IV степень - обратный заброс крови заполняет все предсердие.
В зависимости от факторов развития пролапс классифицируют как первичный (врожденный) или вторичный (вызванный другим заболеванием).
В зависимости от клинического течения пролапс бывает:
- стабильный;
- нестабильный;
- прогрессирующий;
- регрессирующий.
Симптомы пролапса митрального клапана
У одних пациентов с пролапсом митрального клапана не наблюдается никаких симптомов, у других появляются жалобы на неспецифические симптомы (например, боль в груди, одышку, отеки, головокружение, предобморочное состояние, мигрень, тревожность, повышенную утомляемость, непереносимость физических нагрузок), которые появляются внезапно и также внезапно исчезают.
У некоторых пациентов наблюдается падение артериального давления при переходе в вертикальное положение (ортостатическая гипотензия). Пациенты могут страдать от депрессивных расстройств и астении.
Аритмии при пролапсе митрального клапана встречаются в 16-79% случаев на фоне стрессовых ситуаций, волнения, физической нагрузки, при употреблении чая или кофе. Учащенное сердцебиение может быть признаком доброкачественных аритмий (предсердной экстрасистолии, пароксизмальной предсердной тахикардии, желудочковой экстрасистолии, сложной желудочковой эктопии).
Симптомы вторичного пролапса сочетаются с признаками основной патологии: ревмокардитом, пороками сердца, синдромом Марфана и др.
Дети с врожденным пролапсом митрального клапана нередко имеют сопутствующую патологию, спровоцированную дефектом соединительной ткани:
- пупочные и паховые грыжи;
- плоскостопие, гипермобильность суставов;
- сколиоз, деформации грудной клетки;
- близорукость, косоглазие;
- нефроптоз, варикоцеле.
Пролапс митрального клапана в подавляющем большинстве случаев выявляется с помощью неинвазивных обследований:
- опроса больного, сбора анамнеза и жалоб;
- аускультативного обследования, когда врач выслушивает сердце с помощью стетоскопа и может уловить определенный, характерный для болезни щелчок и/или систолический шум над верхушкой сердца в положении пациента стоя. В положении сидя или лежа эти звуки уменьшаются;
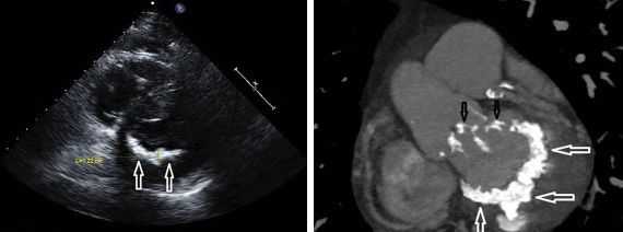
- эхокардиографии с допплер-анализом - ключевых исследований в диагностике пролапса митрального клапана, которые позволяют определить степень пролабирования клапанных створок и объем крови, поступающей в левый желудочек при регургитации;
Исследование, позволяющее оценить функциональные и органические изменения сердца, его сократимость, а также состояние клапанного аппарата.
Пролапс митрального клапана
Митральный клапан расположен между левым предсердием и левым желудочком.
Пролапс митрального клапана (ПМК) — это порок сердца, при котором происходит прогибание створок митрального клапана в левое предсердие во время сокращения левого желудочка. В норме во время сокращения предсердия клапан открыт и кровь поступает в желудочек. Затем клапан закрывается и происходит сокращение желудочка за счет которого кровь выбрасывается в аорту. При ПМК пролабирование «прогибание» створок клапана во время сокращения левого желудочка приводит к тому, что часть крови поступает обратно в предсердие. Клинические признаки ПМК проявляются только при выраженном обратном забросе крови. Этот порок обычно встречается у молодых людей, чаще у женщин в возрасте от 14 до 30 лет. В большинстве случаев ПМК протекает бессимптомно, не приводит к нарушениям работы сердца и является случайной диагностической находкой при проведении эхокаридиографии сердца (ЭХО-КГ). В редких случаях величина обратного заброса крови велика и требуется коррекция порока, вплоть до хирургического вмешательства.
Причины заболевания
Причина ПМК до конца не ясна. Известно, что ПМК часто наблюдается у пациентов, имеющих наследственные заболевания с дисплазией соединительной ткани. Например, при синдромах Элерса - Данло, Марфана, несовершенном остеогенезе.
Симптомы ПМК
В большинстве случаев пролапс митрального клапана протекает бессимптомно и его выявляют случайно при профилактическом обследовании.
К симптомам ПМК можно отнести:
- боли в левой половине грудной клетки (боли не связаны с физической нагрузкой и не купирующиеся при приеме нитроглицерина);
- чувство нехватки воздуха (возникает желание сделать глубокий, полноценный вдох);
- чувство частого сердцебиения или наоборот редкого биения сердца;
- головокружения, обмороки и предобморочные состояния;
- незначительное «беспричинное» повышение температуры;
- утренние и ночные головные боли.
Перечисленные симптомы не являются специфичными. Однако, при обследовании молодых людей с подобными жалобами часто выявляется ПМК.
Диагностика пролапса митрального клапана
При аускультации сердца терапевт или кардиолог может услышать характерный шум. При подозрении на порок сердца пациента направляют на электрокардиографию (ЭКГ) и эхокардиографию сердца (ЭХО-КГ).
Лечение
При бессимптомном те¬чении пролапса митрального клапана без признаков недостаточности митрального клапана нет необходимости в проведении лечения. Рекомендуют контрольное ЭХО-КГ 1 раз в год, наблюдение у кардиолога, отказ от употребления крепкого чая, кофе, алкоголя, курения.
Активное лечение необходимо лишь в том случае, когда пролапс сопровождается нарушениями ритма сердца и болями в сердце. В этом случае могут потребоваться специальные лекарственные препараты, которые назначит кардиолог.
При наличии митральной недостаточности в некоторых случаях показано выполнение пластики или протезирования клапана.
Осложнения
ПМК в большинстве случаев протекает благоприятно, однако иногда может приводить к серьезным осложнениям:
- митральная недостаточность;
- инфекционный эндокардит;
- аритмии.
Перед началом применения любого препарата посоветуйтесь со специалистом и ознакомьтесь с инструкцией по применению.
Недостаточность митрального клапана - симптомы и лечение
Что такое недостаточность митрального клапана? Причины возникновения, диагностику и методы лечения разберем в статье доктора Верещагиной Натальи Валентиновны, терапевта со стажем в 29 лет.
Над статьей доктора Верещагиной Натальи Валентиновны работали литературный редактор Вера Васина , научный редактор Сергей Федосов и шеф-редактор Лада Родчанина
Определение болезни. Причины заболевания
Недостаточность митрального клапана — порок, при котором из-за неполного смыкания створок клапана возникает обратный ток крови (регургитация) из левого желудочка в левое предсердие [8] .

Патология проявляется слабостью, головокружением, ощущением нехватки кислорода и утомлением, так как при заболевании нарушается кровоснабжение головного мозга. Без лечения тяжёлая регургитация митрального клапана может стать причиной сердечной недостаточности и нарушений сердечного ритма (аритмии).
Причины митральной недостаточности:
- ;
- бактериальный эндокардит;
- отложение солей кальция в тканях клапана;
- заболевания соединительной ткани — ревматоидный артрит, системная красная волчанка, склеродермия, синдромы Марфана и Элерса-Данло;
- травматический отрыв створок клапана при тяжёлой физической нагрузке;
- травмы при хирургических операциях на клапане;
- утолщение створок клапана;
- опухоли предсердия;
- лучевая терапия [8] .
Митральная недостаточность находится на первом месте среди всех приобретённых клапанных пороков сердца. Патология редко встречается изолированно, зачастую она сочетается с митральным стенозом и с пороками аортального клапана. Распространённость недостаточности митрального клапана в сочетании с пролапсом митрального клапана среди населения составляет 2-6 % [15] .
При обнаружении схожих симптомов проконсультируйтесь у врача. Не занимайтесь самолечением - это опасно для вашего здоровья!
Симптомы недостаточности митрального клапана
Симптомы заболевания:
- общая слабость и головокружение;
- учащённое сердцебиение;
- одышка, возникающая даже при незначительных нагрузках;
- ноющие, давящие и колющие боли в сердце, которые могут отдавать в левое плечо и руку;
- "неудовлетворённость вдохом" — больной делает один вдох за другим, но ощущает нехватку воздуха и впадает в панику;
- частые простудные заболевания;
- кровотечения из носа и дёсен, длительные менструации у женщин;
- ухудшение памяти, панические атаки, тревога, мнительность (это связано с нехваткой снабжения головного мозга кислорода, нарушением обменных процессов и замедлением передачи импульсов между нейронами);
- дрожь в теле;
- частое появление синяков;
- дискомфорт при нахождении в закрытом и душном помещении, возможны обмороки;
Постоянная тревога часто приводит пациента на консультацию к психиатру или неврологу. Очень важно не допустить таких больных в профессиональный спорт, так как чрезмерные нагрузки могут вызвать смерть на тренировках и соревнованиях.
У пациенток с митральной недостаточностью во время беременности возможны перебои в работе сердца, особенно нежелательные при родах, но в основном беременность протекает без осложнений [3] [4] .
Патогенез недостаточности митрального клапана
Сердце человека состоит из четырёх камер: правое и левое предсердия, правый и левый желудочки. Между предсердиями и желудочками расположены входные клапаны — трикуспидальный и митральный. На выходе из желудочков находятся похожие по строению выходные клапаны — лёгочный и аортальный.

Клапаны имеют створки, которые открываются и закрываются во время сердечных сокращений. Иногда клапаны не открываются или не закрываются должным образом, при этом нарушается ток крови.
Митральный клапан состоит из двух створок и открывается, позволяя крови течь в левый желудочек. Затем клапан закрывается, чтобы кровь не текла обратно в левое предсердие. При митральной недостаточности этот клапан закрывается неплотно, в результате чего кровь попадает обратно в левое предсердие.
В патогенезе первичной или врождённой недостаточности митрального клапана важную роль играет хронический дефицит ионов магния. Нехватка магния приводит к тому, что фибробласты вырабатывают неполноценные эластин, коллаген и фибронектин, а также к нарушению свойств ферментов, регулирующих обмен коллагена. В результате нарушается строение и функции соединительных тканей сердца [14] .
Вторичная форма митральной недостаточности возникает в результате перенесённых заболеваний и травм. При патологии происходит расширение полости левого желудочка, прогибание створок митрального клапана, дисфункция сосочков мышц и разрыв сухожильных хорд, соединяющих клапаны с сосочковыми мышцами. Иногда причиной развития вторичной недостаточности митрального клапана становится кальциноз клапанного фиброзного кольца. Кальциноз митрального кольца — это хронический дегенеративный процесс, при котором происходит отложение кальция в кольце клапана. Митральное кольцо при кальцификации становится утолщённым и менее гибким. Хотя изначально кальциноз митрального клапана считался возрастным дегенеративным процессом, накапливаются данные о том, что его развитию способствуют атеросклероз и генетически обусловленные нарушения кальций-фосфорного обмена [16] .

Классификация и стадии развития недостаточности митрального клапана
В течении заболевания выделяют три периода:
- Компенсация дефекта клапана усиленной работой левого предсердия и левого желудочка. Это продолжительный период хорошего самочувствия, но уже на этой стадии начинают появляться первые характерные симптомы: слабость, головокружение, частые простудные заболевания, чувство нехватки воздуха, перебои в работе сердца, одышка.
- Развитие венозной митральной недостаточности. Больные жалуются на одышку и учащённое сердцебиение. При интенсивной физической нагрузке наблюдаются приступы сильной одышки и кровохарканье.
- Одышка уменьшается, но пациент ощущает тяжесть в правом подреберье. Появляются отёки, уменьшается количество мочи, набухают шейные вены. Кровохарканье усиливается, развивается отёк лёгких, возникают нарушения сердечного ритма (мерцательная аритмия и наджелудочковая экстрасистолия) и тромбоэмболические осложнения.
С учётом выраженности обратного тока крови выделяют четыре степени митральной недостаточности: с незначительной митральной регургитацией, с умеренной, выраженной и тяжёлой.
Стадии митральной недостаточности:
- Митральный возврат крови составляет 20-25 %. На этой стадии пациент здоров.
- Митральный возврат крови в пределах 25-50 % от систолического объёма крови. Развивается застой крови в лёгких второй степени. Появляются кашель, одышка, перебои в работе сердца.
- Выраженная недостаточность митрального клапана. Возврат крови в левое предсердие составляет 50-90 %. Возникают кашель, кровохарканье, приступы удушья, увеличивается печень, появляются отёки [8] .
Осложнения недостаточности митрального клапана
Осложнения порока:
- Кровохарканье и отёк лёгких. Проявляется одышкой, затруднённым вдохом, влажным кашлем. В мокроте появляется кровь. Температура тела повышается до субфебрильных ( 37-38 °C ) и фебрильных ( 38-39 °C ) значений. Необходима срочная госпитализация в отделение реанимации.
- Нарушения сердечного ритма в виде мерцательной аритмии и наджелудочковой экстрасистолии. Проявляются перебоями в работе сердца, головокружением, слабостью, обмороками. Требуется госпитализация в отделение кардиологии.
- Тромбоэмболические осложнения (тромбоз левого предсердия, сосудов кишечника, почек, головного мозга). Последствия будут зависеть от локализации тромба. При тромбозе сосудов головного мозга возможен инсульт. Если тромб находится в почках и сосудах кишечника, то пациент испытывает острые боли в животе. Необходима госпитализация в отделение реанимации [8][9] .

Диагностика недостаточности митрального клапана
При сборе анамнеза кардиолог уточняет:
- ощущает ли пациент нехватку воздуха при вдохе;
- беспокоят ли перебои в работе сердца;
- возникает ли одышка при незначительных физических нагрузках;
- мучает ли тревога, страх смерти, панические атаки.
При аускультации ("выслушивании" сердца) выявляется систолический шум у верхушки и над основанием сердца. Важное значение для диагностики митральной недостаточности имеет фонокардиография (ФКГ). ФКГ - это метод исследования работы сердечной мышцы, который основан на регистрации и последующем анализе звуков, возникающих во время работы сердца .
Другой важный инструментальный метод диагностики — эхокардиография (Эхо-КГ) . Эхо-КГ — это безболезненное ультразвуковое исследование, которое позволяет исследовать работу сердца в реальном времени. Эхокардиография покажет уменьшение эластичности клапана, его повреждение, размер отверстия митрального клапана и расстояние между его створками. Также при исследовании можно увидеть разрыв папиллярной мышцы и провисание клапанных створок в полость левого предсердия [4] [8] [9] .

Лечение недостаточности митрального клапана
При обострении заболевания необходим постельный режим. Также следует принимать препараты, содержащие магний и B6 по две таблетки три раза в день (например, "Магнелис").
Обязательно следует проводить лечение и профилактику осложнений. Для предупреждения тромбоэмболии пациентам старше 30-40 лет назначают препарат "Тромбо АСС", препятствующий тромбообразованию .
Если беспокоит частый пульс (более 80 ударов в минуту), то назначаются бета-адреноблокаторы, диуретики, антикоагулянты, нитроглицерин.
Если пациент страдает от приступов тревоги, то в качестве симптоматической терапии можно рекомендовать короткий курс феназепама на ночь.
Если развивается сердечная недостаточность и нарушается сердечный ритм, то проводят лечение бета-адреноблокаторами, диуретиками, ингибиторами ангиотензинпревращающего фермента, антикоагулянтами, блокаторами кальциевых каналов.
При значительной недостаточности митрального клапана показано оперативное лечение.
Основные хирургические методы коррекции митральной недостаточности:
- пластика митрального клапана;
- протезирование с частичным или полным сохранением хордального аппарата;
- протезирование без сохранения хордального аппарата.
Своевременное хирургическое вмешательство позволяет достичь хороших результатов и не допустить развитие осложнений.

Прогноз. Профилактика
При соблюдении рекомендаций врача прогноз благоприятный.
Для профилактики осложнений следует:
- ежегодно проходить осмотр у терапевта и кардиолога и проводить эхокардиографию сердца (Эхо-КГ);
- принимать препараты магния, а для предупреждения тромбоэмболии — антикоагулянты;
- исключить тяжёлые физические нагрузки, переохлаждение и перегрев;
- снизить эмоциональные перегрузки;
- отдыхать в дневные часы;
- при тревожных расстройствах принимать успокоительные препараты, освоить методы аутотренинга и расслабления мышц;
- проходить санаторно-курортное лечение [4] .
При ревматизме и после перенесённой ангины для профилактики недостаточности митрального клапана назначают антибиотик "Бициллин-3". Препарат подавляет развитие стрептококковой и стафилококковой инфекций.
После 40 лет всем пациентам, страдающим недостаточностью митрального клапана, необходимо контролировать уровни фибриногена, РФМК (растворимых фибринмономерных комплексов), D-димера (продукта распада фибрина). Эти анализы нужны для предотвращения тромбоэмболии лёгочной артерии и артерий внутренних органов. При повышении вышеуказанных показателей назначают антикоагулянты.
Если недостаточность митрального клапана обнаружена у ребёнка и его беспокоит слабость, головокружение, расстройство внимания, то рекомендуется временно перейти на домашнее обучение. Таким детям следует избегать чрезмерных физических нагрузок, им разрешена только лечебная физкультура.
Если при проведении Эхо-КГ обнаружено сильное прогибание створок клапана, то необходима консультация у кардиохирурга. Восстановление клапана или его замена могут потребоваться при эндокардите, сердечной недостаточности, нарушениях ритма, сильных болях в грудной клетке, признаках застоя в лёгочной системе (одышке, уменьшении объёма вдоха и ощущении нехватки воздуха).

Чаще всего это врожденное отклонение, которое не требует специального лечения. У некоторых людей при пролапсе митрального клапана наблюдаются нарушения ритма сердца. Это может потребовать как медикаментозного, так и хирургического лечения.
Общие сведения
Прежде, чем говорить о такой патологии, как пролапс митрального клапана (ПМК), разберемся с некоторыми терминами, которые помогут нам лучше понять о чём идёт речь.
Из курса школьной биологии, кто-то может быть помнит, что сердце представляет собой мышечный орган, работающий по типу насоса. Благодаря сокращениям кровь движется по всем остальным сосудам.
Состоит сердце из четырех камер - двух желудочков (правый и левый) и двух предсердий (правое и левое). Камеры сообщены между собой системой клапанов, что обеспечивает движение крови из одной камеры в другую в определенном направлении.
Один из главных клапанов — митральный, располагается между левым предсердием и левым желудочком. Это двустворчатый клапан, который открыт во время сокращения левого предсердия, что позволяет крови попасть в левый желудочек. Как только это происходит, клапан закрывается, и кровь уже не может попасть обратно. Она движется дальше - в аорту.
При ряде нарушений происходит выпячивание (пролапс) митрального клапана в сторону предсердия (чего в норме быть не должно). Это приводит к тому, что часть крови из левого желудочка забрасывается назад, в левое предсердие. Это явление также известно как регургитация - движение жидкостей (и газов) в направлении, противоположном нормальному.
Согласно статистическим данным, пролапс митрального клапана встречается у 5-20% населения разных стран. Такой разброс данных объясняют как различным уровнем выявляемости и регистрации ПМК в странах, так и склонностью к ПМК у разных рас. Так, если у европейцев частота ПМК составляет более 3%, то у жителей стран Ближнего Востока - это 2,7%, а у жителей Китая - 2,2%. Патология встречается и среди практически здоровых молодых людей, в частности, среди спортсменов. Фремингемское исследование показывает, что у женщин створки митрального клапана пролабируют несколько чаще, чем у мужчин.
Причины ПМК
Передняя и задняя створки митрального клапана закреплены и натянуты сухожильными хордами, которые отходят от папиллярных мышц левого желудочка. Недостаточность митрального клапана обусловлена разрушением коллагеновых волокон как самих створок, так и сухожильных хорд. При этом, вместо волокон, скапливается мукоидное (или миксоматозное) вещество. В этой связи процесс называют миксоматозной дегенерацией.
При миксоматозной дегенерации сухожильные хорды истончаются и удлиняются, а створки клапана становятся широкими и растяжимыми. Это и приводит к пролапсу при сокращении левого желудочка. Если же поврежденная сухожильная хорда разрывается, то это приводит к западанию створки клапана в предсердие. На этом фоне отмечается тяжелая регургитация.
Миксоматозная дегенерация створок клапана, как правило, носит наследственный характер. Подобные нарушения возможны и при наследственных заболеваниях соединительной ткани. Например, это синдром Морфана, узелковый полиартериит, мышечная дистрофия, болезнь Виллебранда, ревматическая болезнь сердца и другие.
Классификация ПМК
Существует несколько классификаций ПМК в зависимости от различных параметров: происхождения, уровня регургитации и размера прогиба. Рассмотрим детальнее виды ПМК.
Врожденный ПМК
ПМК врожденного характера формируется еще в период внутриутробного развития плода. Эта аномалия связана с нарушением анатомо-функциональных особенностей соединительной ткани. Примечательно, что данная патология, как правило, никак не проявляет себя и не приводит к серьезным нарушениям.
Некоторые пациенты с врожденным ПМК испытывают боль в области сердца, головные боли и головокружения, расстройство сна, обморок, страдают от одышки и ряда других. Как правило, подобные симптомы при врожденном ПМК возникают внезапно, и так же исчезают. Одним из триггеров таких симптомов при ПМК служит стресс.
Пациенты с врожденными ПМК обычно не требуют специального лечения. Главное условие - регулярное обследование. Если проявления врожденного ПМК будут значительны, то врач может назначить лекарства для коррекции работы сердца.
Приобретенная форма
Приобретенный ПМК возникает в силу различных сердечно-сосудистых патологий. Среди них - ишемия, эндокардит (инфекционное поражение сердечной мышцы), инфаркт миокарда и даже травмы груди (хотя и встречается крайне редко).
Как и в случае с врожденным пролапсом митрального клапана, приобретенный ПМК редко дает о себе знать. Поэтому часто его обнаруживают случайно, при обращении пациента по поводу вышеупомянутых заболеваний.
Тяжелые формы приобретенного пролапса митрального клапана могут давать о себе знать одышкой при физических нагрузках (иногда даже в покое). Лечебная тактика в данном случае зависит как причинного заболевания, выраженности пролапса, возраста и ряда других особенностей.
Классификация ПМК по степени регургитации и размеру прогиба створок
Существуют и другие классификации ПМК. В зависимости от степени регургитации различают 3 степени патологии:
- I степень - при обратном токе кровь остается на уровне створок митрального клапана.
- II степень - кровь возвращается назад до половины предсердия.
- III - при обратном токе крови заполняется практически все предсердие.
В зависимости от размера прогиба створок митрального клапана различают еще 3 степени ПМК:
- I степень - когда створки прогибаются до 5 мм.
- II степень - с прогибанием до 9 мм (умеренная степень ПМК).
- III - размер прогиба составляет 10 мм и больше (значительная степень ПМК).
Симптомы

Источник: BrianAJackson / Depositphotos
В большинстве случаев пролапс митрального клапана протекает бессимптомно. Особенно это касается врожденных форм заболевания. При выраженных формах ПМК у человека могут наблюдаться следующие симптомы:
- Нарушение сердечного ритма. Это наиболее распространенный косвенный признак ПМК. Сердце буквально замирает, ощущается отсутствие ритмичности в работе сердца.
- Боли в области сердца. Чаще всего боли в груди на фоне ПМК возникают на фоне стресса, а не от физической работы. Длительность болевых ощущений варьирует - от нескольких секунд и до нескольких часов.
- Одышка. Даже в состоянии покоя у человека с ПМК могут возникать ситуации, когда невозможно сделать полный вдох.
- Головные боли, головокружение, иногда обмороки.
- Ощущение слабости и повышенная утомляемость.
- Панические атаки (редко).
Когда обратиться к врачу
Вышеперечисленные симптомы являются поводом для обращения за медицинской помощью. Часто ПМК выявляют у детей, поскольку патология, как правило, носит врожденный характер. В таких случаях следует регулярно наблюдаться у врача-кардиолога. Со временем степень пролапса может увеличиться. Важно это установить как можно скорее.
Диагностика

Источник: photography33 / Depositphotos
Установить диагноз «пролапс митрального клапана» можно с помощью эхокардиографии и допплеровской эхокардиографии. Эти методы используют ультразвук для визуализации сердца, клапанов и крупных сосудов.
Другие методы исследования не столь информативны, и используются реже. Например, при аускультации (физическом выслушивании звуков сердца) при ПМК врач может обнаружить шумы, что потребует проведение дополнительных исследований. Изменения на электрокардиограмме также неспецифичны и у большинства пациентов с ПМК не имеют отклонений от нормы.
Лечение ПМК
Многим пациентам с пролапсом митрального клапана не нужно никакого специального лечения. Часто врачи лишь рекомендуют таким пациентам регулярно наблюдаться и вести здоровый образ жизни (в частности, отказаться от вредных привычек).
Лечение может потребоваться в том случае, когда пролапс митрального клапана сопровождается значительными нарушениями ритма сердца. В таких ситуациях назначаются лекарственные препараты, регулирующие работу сердца. Так, при желудочковой и наджелудочковой аритмии, пациентам обычно назначают бета-блокаторы. При этом целесообразность назначения препаратов должен определить врач. При этом для пациентов с незначительными нарушениями сердечного ритма бета-блокаторы не назначают.
При тяжелых нарушениях работы митрального клапана пациенту может быть рекомендовано хирургическое вмешательство. Например, это такие операции как пластика митрального клапана (вальвулопластика) или его протезирование. Такие операции улучшают прогнозы, а также снижают вероятность развития инфекционного эндокардита (воспаления внутренней оболочки сердца).
Некоторым пациентам с тяжелыми формами аритмии проводят радиочастотную абляцию дополнительных проводящих путей. Некоторым пациентам, у которых был эпизод остановки сердца, проводят операцию по установке имплантируемого кардиовертер-дефибриллятора. Это устройство, которое выполняет роль стимулятора, а также предотвращает внезапную остановку работы сердца.
Прогноз и профилактика
В большинстве случаев при пролапсе митрального клапана прогноз благоприятный. Многие пациенты доживают до старости, так и не приступив к специфическому лечению. В данном случае крайне важными являются регулярные осмотры у врача (каждые 1-2 года) для отслеживания динамики патологического процесса.
Пациентам с ПМК следует предметно обсудить с врачом степени допустимых физических нагрузок. Для улучшения прогноза и качества жизни при ПМК следует отказаться от вредных привычек, наладить режим труда и отдыха, а также уделить внимание психическому здоровью. Напомним, что стресс является одним из ключевых триггеров возникновения неблагоприятной симптоматики при ПМК.
В особых условиях пролапс митрального клапана существенно повышает риск внезапной сердечной смерти. Лица с признаками высокого риска были идентифицированы как молодые женщины с двулопастным ПМК и результатами электрокардиограммы с частыми сложными эктопиями, изменениями волны ST-T и инверсиями нижней волны T.
Заключение
Чаще всего пролапс митрального клапана не требует никакого лечения. При тяжелых формах заболевания пациенту могут быть прописаны лекарства. В некоторых случаях показано и хирургическое вмешательство.
Пролапс митрального клапана (ПМК) - причины, симптомы и лечение.

Пролапс митрального клапана (ПМК) - это сердечная аномалия, одна из самых распространённых патологий сердца. При наличии данной патологии створки митрального клапана провисают/выпячиваются в полость предсердия, это происходит в момент сокращения левого желудочка сердца. В результате такой сердечной аномалии может происходить регургитация, когда часть крови возвращается в левое предсердие. Данная патология относиться к доброкачественным (в отличие от пороков сердца, например), но также может иметь серьезные неприятные последствия, к сожалению. Регургитация тяжелой степени может стать причиной инвалидности. В одних случаях пролапс митрального клапана требует серьезного лечение (медикаментозного или даже хирургического), в других - врачи ограничиваются лишь наблюдением за пациентом, человек должен регулярно проходить обследования и следить за своим образом жизни.
Очень часто человек не знает о том, что у него есть ПМК и обнаруживается данная аномалия в процессе медицинского обследования по какому-то другому вопросу, так как симптомы данного заболевания часто носят не специфический характер: головная боль, утомляемость, головокружения, кардиальные боли. Поэтому очень важно при наличии проблем со здоровьем, даже если это легкая утомляемость или недомогание, которые при этом носит длительный характер, не откладывать визит к врачу.
Пролапс митрального клапана: причины
Существуют 2 вида пролапса митрального клапана - первичный и вторичный, согласно происхождению патологии.
Причинами первичного пролапса митрального клапана являются генетические дефекты. Данный вопрос еще не до конца изучен, но есть свидетельства того, что ПМК - заболевание, которое передается по наследству. Кроме того, повлиять на возможность развития у человека ПМК могут отрицательные факторы, оказывающие негативное действие на плод еще в утробе матери. К таким факторам относятся перенесенные вирусные заболевания матери в процессе беременности, гестоз, плохое экологическое окружение.
Первичный ПМК подразделяется на:
- Пролапс митрального клапана как самостоятельная болезнь.
- Пролапс митрального клапана как проявление нарушения развития соединительной ткани (дисплазия соединительной ткани, синдром Марфана, синдром Элерса-Данло). В данном случае патология, помимо ПМК, может проявляться гипермобильностью суставов, искривлениями позвоночника, деформацией грудной клетки, у человека часто происходят вывихи и подвывихи суставов, и другими симптомами.
Причинами вторичного ПМК являются другие заболевания, именно на их фоне и возникает вторичный пролапс сердца:
- врожденные пороки сердца;
- приобретенные пороки сердца;
- ИШБ (ишемическая болезнь сердца);
- миокардиты;
- ревматическая болезнь сердца;
- кардиомиопатия.
Патогенез ПМК.
Митральный клапан разделяет полости желудочка сердца и его левого предсердия. Когда митральный клапан находится в норме, то его створки «отклонены» вниз в момент расслабление миокарда и наполнения полостей сердца кровью и наоборот - створки «подняты» вверх в момент сокращения предсердий, левое предсердно-желудочковое отверстие закрыты. При ПМК клапан работает неверно: в фазу сокращения предсердий створки клапана «прогибаются» в полость левого предсердия, а так быть не должно. Ведь по этой причине атриовентрикулярное отверстие полностью либо частично перекрывается и возникает обратное движение крови из левого желудочка в левое предсердие (митральная регургитация).
В случае наличия у человека пролапса митрального клапана может уменьшаться способность сердечной мышцы к сокращению, что в свою очередь может привести к возникновению недостаточность кровообращения; также может отмечаться наличие артериальной гипотензии, пограничной легочной гипертензии, нарушение обмена веществ и дисфункция вегетативной нервной системы.
Пролапс митрального клапана: симптомы.
Пролапс митрального клапана может протекать как с ярко выраженными симптомами, так и абсолютно «тихо», не давая о себе знать. Необходимо обращать внимание на сигналы организма, в том числе на «простые» головную боль, усталость, не списывать их, например, на стресс, не пропускать их мимо и находить причину.
У детей и подростков довольно часто болезнь протекает именно бессимптомно или сопровождается лишь незначительным дискомфортном в области грудной клетки. Также при наличии первичного ПМК у детей обнаруживаются болезни, которые свидетельствуют о нарушении развития соединительной ткани:
- сколиоз;
- деформация грудной клетки;
- гипермобильность суставов;
- дисплазия тазобедренных суставов;
- плоскостопие;
- грыжи (пупочные, паховые);
- нефроптоз и др.
Вместе с тем можно выделить характерные для пролапса митрального клапана симптомы:
- пониженное артериальное давление, как следствие - головокружения;
- частое сердцебиение;
- чувство, что сердце работает «с перебоями»;
- предобморочное состояние, которое проявляется, в том числе, чувством тошноты, мушками перед глазами;
- давящая или сжимающая (иногда колющая) боль за грудиной или в грудной клетке (ее левой части) - может появляться как от физической нагрузки, стресса, так и без определенной причины;
- ощущение постоянной усталости, проблемы с дыханием (затруднено), отеки ног, боль в правом боку (причина боли - увеличение печени).
Вторичный ПМК дополняется также симптомами и основной болезни пациента - синдромом Марфана, пороками сердца (врожденными), ревмокардитом.
Степени пролапса митрального клапана (классификация).
Пролапс митрального клапана классифицируется на первичный и вторичный (согласного происхождению болезни), на пролапс передней, задней и обеих створок клапана (согласно локализации.
Согласно выраженности определяются 3 степени ПМК
- I степень — створки клапана «выпадают» на 3-6 мм., смыкание створок митрального клапана - полное (по этой причине ПМК I степени может проходить бессимптомно).
- II степень — створки клапана «выпадают» на 7-9 мм., створки митрального клапана смыкаются неплотно, присутствует обратный заброс крови из желудочка в предсердие (ретургитация).
- III степень — створки клапана «выпадают» свыше 9 мм.
Кроме того, врачи отдельно классифицируют степень выраженности митральной регургитации (обратное движение крови из левого желудочка в левое предсердие):
- I степень — обратное движение крови случается на уровне створок;
- II степень — волна регургитации доходит до середины левого предсердия;
- III степень — волна регургитации проходит более половины предсердия;
- IV степень — волна регургитации доходит до противоположного конца предсердия.
Диагностика ПМК.
Пролапс митрального клапана в подавляющем большинстве случаев выявляется с помощью неинвазивных обследований, окончательный диагноз устанавливается с помощью эхокардиография, также используется ряд других исследований:
- Опрос больного на жалобы, сбор анамнеза.
- Общий анализ крови.
- Биохимический анализ крови.
- Аускультативное обследование. Врач выслушивает сердце с помощью стетоскопа и может уловить определенный, характерный для болезни щелчок и/или систолический шум над верхушкой сердца - в положении пациента стоя, в положении сидя или лежа эти звуки уменьшаются.
- Электрокардиография (ЭКГ). На ней врач может увидеть неспецифические изменения сегмента ST и зубца Т в отведениях III и aVF, а также "синдром укороченного PQ") наджелудочковые тахикардии.
- Эхокардиография (УЗИ сердца). Здесь врач может обнаружить такие признаки болезни, как провисание створок митрального клапана (задней или сразу обеих) в полость левого предсердия в середине систолы, в позднюю систолу или во всю систолу. Эхокардиография - это одно из самых важных обследований в диагностике ПМК у пациента.
- Рентгенограмма грудной клетки. На ней могут быть признаки сглаженного лордоза (но также может быть и в норме).
- МРТ (грудной клетки).
После всех исследований кардиолог назначает необходимое лечение.
Пролапс митрального клапана: лечение.
Лечение ПМК может назначить только кардиолог, требуется оно в том случае, если человек имеет боли в сердце и присутствует нарушение сердечного ритма.
Факторы, влияющие на необходимость лечения:
- степень «выпадения» створки клапана;
- наличие ретургитации;
- наличие осложнений.
При ПМК I степени и отсутствии у человека каких-либо осложнений, боли, неприятных ощущений - лечение не требуется. Однако необходим отказ от курения, потребления кофе в больших количествах; важно постоянно посещать врача и обследоваться.
При ПМК I степени с регургитацией I степени и ПМК II и III степени (особенно если выявлены нарушения сердечного ритма и/или недостаточность кровообращения) - назначается медикаментозная терапия. Кроме того, в сложных случаях назначается хирургическое лечение.
Также для пациентов с диагнозом ПМК рекомендуется:
- отказаться от излишних физических нагрузок, избегать переутомления; физические нагрузки должны быть умеренные;
- отказаться от курения, алкоголя, не пить кофе и крепкий чай;
- соблюдать режим сна;
- сбалансированно питаться.
Может ли исчезнуть пролапс митрального клапана?
Пролапс митрального клапана: осложнения:
- нарушения сердечного ритма (одно из самых распространенных осложнений);
- ишемический инсульт;
- воспаление миокарда;
- изменения сосудов с нарушением кровообращения в мозгу.
ПМК: прогноз и профилактика.
В целом прогноз по ПМК достаточно благоприятный, главное - постоянное клиническое наблюдение за больным для определения степени недостаточности митрального клапана. Часто пролапс митрального клапана не влияет на физическую активность (среди людей с ПМК есть профессиональные спортсмены, танцоры и т.д.), однако есть признаки, выявление которых является «тревожным звоночком» и приводят к запрету на активные анаэробные нагрузки:
- синдром удлинённого QT;
- синдром Марфана;
- потеря сознания в анамнезе (без причины);
- дисфункция левого желудочка;
- приступы предсердной тахикардии;
- серьёзная митральная недостаточность.
Всем пациентам с ПМК необходимо следить за состоянием своего здоровья, избегать частых инфекции и обязательно заниматься их лечением при возникновении.
Профилактикой ПМК является отсутствие неблагоприятного воздействия на здоровье беременной женщины и развивающийся в утробе плод, своевременная диагностика и лечение заболеваний, которые повреждают клапанный аппарат сердца.
Ни в коем случае не пренебрегайте диагнозом ПМК и всегда строго следуйте рекомендациям врача!
Читайте также:
