Проверка конструкций протеза. Исправление ошибок протезирования.
Добавил пользователь Валентин П. Обновлено: 21.11.2025
Любая протезная конструкция для зубов должна обладать хорошей фиксацией, потому что без надежного прикрепления пользоваться ей будет невозможно. Искусственная «челюсть» будет слетать и мешать при разговоре. В таком случае человек не может нормально питаться и вести активную социальную жизнь.
Фиксация зубных протезов заложена в основе их конструкции. Врач-стоматолог при проектировании руководствуется клинической ситуацией. На надежность посадки влияет расположение оставшихся зубов, состояние слизистой оболочки, костной ткани.
Однако даже плотная посадка на челюсти со временем ослабляется, пациенту требуются дополнительные фиксирующие средства, а в некоторых случаях конструкцию переделывают.
Методы фиксации протезов
Для каждого вида зубного протеза предусмотрен свой способ прикрепления.
Принципиальный признак деления — возможность снять конструкцию, поэтому фиксация протеза на челюсти бывает:
Важным аспектом является количество отсутствующих зубов. Можно восстановить все зубные единицы сразу или только некоторые. Методы фиксации для полных и неполных протезных конструкций различаются.
Съемный неполный протез прикрепляется к слизистой оболочке и оставшимся зубам, как к опоре. Поэтому у таких реставраций должны быть приспособления для сцепления с опорными единицами, к примеру:
- кламмеры («крючки»);
- аттачмены (замки);
- телескопические коронки;
- магниты;
- балочные системы.
При полной адентии челюсти съемный аппарат не имеет крючков и замков, а фиксируется путем присасывания базиса к слизистой оболочке. Базис удерживается благодаря клапанному механизму.
Система крепления несъемного протеза:
- на опорные зубы — например, зубной мост удерживается на соседних зубных единицах;
- на имплантаты, вживляемые в костную ткань.
Средства для фиксации протезов
Для улучшения фиксирования съемных протезов при полной или частичной потере зубов применяют различные дополнительные средства. К ним относятся:
- кремы,
- гели,
- порошки,
- прокладки (полоски, пленки, вкладыши).
Улучшают адгезию базиса к слизистой оболочке. Средство наносят на внутреннюю часть пластины. За счет слюны вещество разбухает и создает липкий слой между протезным базисом и тканями полости рта.
Крем от геля отличается более плотной, густой текстурой. Обладатели съемных конструкций выбирают продукцию Корега, Protefix, President и Lacalut. Средства этой категории удерживают базис в среднем на 12 ч. Есть кремы с пролонгированным действием, например, President Garant, — до 36 ч.
В состав порошков входит альгинат натрия — это то вещество, которое содержится в оттискных массах для создания слепков. Порошок наносят на протез, смачивают водой и плотно прижимают к челюсти. При застывании порошок точно повторяет рельеф протезного ложа. Надежная фиксация сохраняется в течение 12 ч.
Выпускаются на верхнюю и нижнюю челюсть. Прокладки защищают слизистую оболочки от натертостей и воспалительных явлений, а также способствуют улучшению фиксирования. Их применяют на этапе адаптации к новой протезной конструкции.

Перед наложением на протезную поверхность вкладыш смачивают теплой водой. Прокладки Protefix, по заверениям производителя, обеспечивают надежное прикрепление на 8 ч. Бренд Fittydent предлагает фиксирующие вкладыши — это то же самое, что и прокладка. Обещанный срок фиксации — 12 ч.
Тот же принцип работы, что и у прокладок. Отличие в том, что пленку нужно вырезать самостоятельно под размер базиса.
Показания и противопоказания
Показания для фиксирующих средств
- неудовлетворительная фиксация съемных зубных аппаратов;
- натирание в период привыкания;
- попадание остатков пищи под базис.
Противопоказания
- аллергическая реакция на компоненты средства.
Преимущества и недостатки
- Надежное прикрепление к слизистой без горизонтального смещения.
- Сокращение периода адаптации.
- Защита от попадания частичек пищи.
- Более комфортное ношение протеза.
- Крема и прокладки растворяются под действием горячей пищи или напитков, фруктовых кислот.
- Ароматические добавки могут изменять вкус еды.
- У некоторых пациентов наблюдается непереносимость компонентов крема.
Фиксация несъемных протезов
Несъемные конструкции фиксируются на постоянную основу, то есть снять их самостоятельно невозможно. К таким ним относятся зубные коронки, виниры, мостовидные конструкции.
Опора на зубы
Зубные коронки, вкладки и накладки (виниры) устанавливают на стоматологический цемент непосредственно на эмаль и дентин. Никаких дополнительных средств для фиксации им не требуется.
Установка мостовидного протеза проходит на опорных зубах, которые подобно опорам моста удерживают полые коронки и промежуточную часть с искусственными зубами. Минус в том, что опоры необходимо обтачивать.
Опора на имплантаты
Зубной мост может крепиться к имплантатам. Они заменяют классические мостовидные и съемные конструкции.

Например, несъемный покрывной протез для имплантации по технологии All-on-4, заменяет полную съемную конструкцию. Главное преимущество — надежное прикрепление к челюсти. Человек может полноценно жевать и разговаривать без стеснения.
Зубные коронки и протезы на имплантатах могут фиксироваться двумя способами:
- С помощью винта — в имплантате и коронке есть шахта, в которую вкручивают винт.
- Крепление на цемент.
Конструкцию на цементе не получится снять без повреждения, поэтому предпочтительнее устанавливать коронки на винты.
Степень крепления несъемных коронок и мостов зависит от:
- качества подготовки полости рта к протезированию,
- мастерства зубного техника,
- качества материала,
- индивидуальной гигиены.
Фиксация съемных протезов
Съемные конструкции при частичной или полной адентии прикрепляются разными методами.
Съемные протезы при частичном отсутствии зубов
Для частичных протезов применяются различные дополнительные приспособления.
- Кламмеры. Это металлические крючки, которые обхватывают соседние единицы. Особая конструкция кламмера не допускает вертикальных и горизонтальных смещений базиса, а также удерживает его на своем месте. Недостаток кламмеров в том, что их можно сломать по неосторожности.
- Аттачмены. Представляют собой систему замков. На оставшиеся опоры устанавливают матрицу, которая соединяется с патрицей на протезе. Это очень надежное крепление.
- Телескопические коронки. Работают по принципу телескопа — на опорный зуб ставят внутреннюю коронку, а на протез — внешнюю. Такой способ обеспечивает сильную фиксацию.
- Магнитная фиксация. Один из пары магнитов устанавливают в протез, а другой — на зубы или имплантаты. Разнополюсные магниты притягиваются друг к другу и создают удерживающий эффект. Однако магниты плохо справляются с горизонтальным смещением конструкции.
- Балочная система. Одна из вариаций системы аттачменов, однако вместо замков устанавливается балка, которая служит матрицей. На протезе имеется патрица. Также балка может держаться на имплантатах. Такой вариант применяют для полностью беззубой челюсти.
В каждом клиническом случае врач подбирает оптимальный способ. Одним из наиболее надежных считается замковая система аттачменов — особенно если замки изготовлены индивидуально для пациента.
Съемные протезы при полном отсутствии зубов
Фиксация на беззубой челюсти представляет собой сложную клиническую задачу, ведь естественной опоры не осталось. Осложняет ситуацию то, что при длительном отсутствии зубных единиц костная ткань атрофируется.
За счет чего удерживается искусственная «челюсть» при полной адентии? Как правило, это сочетанное действие следующих факторов.
- Силы адгезии. Протез прилипает к слизистой оболочке за счет омывания слюной и создания влажной прослойки. Сама слизистая оболочка также обладает некоторой увлажненностью. Однако одной адгезии недостаточно.
- Клапанный механизм. Каплевидный край базиса создает особое функциональное образование — клапан. При надевании протеза слизистая оболочка полости рта прижимается, а затем восстанавливает свою форму. За счет этого наблюдается разница в давлении и создается подобие вакуума. Конструкция присасывается к слизистой.
- Анатомические характеристики. Выступающие структуры полости рта способствуют удержанию. Однако при атрофии костной ткани этот фактор теряет значение, что значительно ухудшает фиксацию.
Мнение эксперта
Ковалёв Алан ВадимовичСтоматолог-ортопед, Хирург-Имплантолог, Пародонтолог
Фиксация на нижней челюсти не представляет трудностей. Конструкция не испытывает сил гравитации и не спадает. Кроме того, сама форма зубного ряда предполагает больше точек соприкосновения с челюстной костью (анатомическая ретенция). Поэтому конструкции на нижней челюсти реже спадают и не вызывают дискомфорт.
С верхней челюстью возникает больше проблем, особенно если произошла значительная атрофия. Плоское небо не дает никакой анатомической ретенции, поэтому конструкция легко спадает.
Многие пациенты используют средства для улучшения адгезии, так как со временем рельеф протезного ложа меняется. Это происходит из-за атрофии костной ткани.
Неправильное протезирование зубов, или Основные ошибки врачей
Одной из главных причин неправильного протезирования зубов является человеческий фактор. При создании зубного протеза (будь то единичная коронка или полный съемный протез) участвуют как минимум два человека — стоматолог-ортопед и зубной техник. Очень важно, чтобы оба специалиста были квалифицированными и процесс тщательно контролировался на всех этапах. Лучше всего, чтобы у клиники была собственная дентальная лаборатория, тогда врачи могут тесно работать с зубными техниками.
1. Неправильная форма протеза
Чаще всего встречающаяся ошибка — это неудачно подогнанная форма протеза. Причиной может быть как некачественно снятый ортопедом слепок, так и ошибка техника. Как следствие, между десной и коронкой образуется значительная щель, в которую постоянно могут забиваться налет и кусочки пищи, вызывая гниение. Либо коронка или протез могут натирать и травмировать десну, что может привести к образованию пролежней. К сожалению, протез в таких случаях нередко приходится полностью переделывать, хотя иногда вопрос возможно решить подгонкой готового.

2. Совмещение различных металлов
Довольно редко допускаемая врачами ошибка — это совмещение во рту несовпадающих металлов, из-за которых развивается гальваническая реакция. Фактически, в полости рта пациента образуется непрерывный, хотя и слабый, электрический ток, из-за которого может появиться неприятный несмываемый привкус во рту, а в сложных случаях — головная боль и раздражение мягких тканей.

Неправильная конфигурация сложных протезов
Самые неприятные ошибки, как правило, связаны с конфигурацией сложных протезов — например, когда врач решает объединить в одну конструкцию (мостовидный протез) имплантат и свой корень зуба. Это свидетельствует о полном непрофессионализме врача, так как такие конструкции абсолютно недопустимы. Полностью прижившиеся дентальные имплантаты совершенно неподвижны в кости, в то время как зуб — живая структура, склонная к подвижности, поэтому попытки использовать их как опору для одного протеза заканчиваются очень неприятно - иногда даже потерей как имплантата, так и зуба.
Тем не менее стоит отметить, что общий уровень квалификации стоматологов в нашей стране в последние годы повышается, так что услуга протезирования поддерживается на должном уровне. Однако к выбору ортопеда все же следует подходить ответственно: не стесняться искать информацию и отзывы о враче, посещать консультации разных докторов, чтобы услышать все мнения и варианты решения вашей проблемы.
Узнайте больше на консультации.
Позвоните нам 8 (351) 731-11-11
и приветливые администраторы подберут для Вас удобное время.
Данный сайт носит исключительно информационный характер и предназначен для образовательных целей, посетители сайта не должны использовать материалы, размещенные на сайте, в качестве медицинских рекомендаций
Коррекция зубных протезов — как правильно проводить
Коррекция протезов подразумевает подгонку созданных или еще не законченных изделий для условий пациента. Подразумевается изменение геометрии для получения идеального прилегания искусственной конструкции к мягким тканям и зубам. Когда закончено изготовление коронок вкладок и виниров из бескаркасной керамики и альтернатив, необходимо удостовериться в соответствии их изначальным требованиям.

В процессе изготовления подгонка может потребоваться для удаления дефектов или при ошибках в моделировании, некоторые вещества склонны деформироваться, расширяться при выпуске протеза, что так же необходимо компенсировать. Другой вариант - это коррекция при проявлении возрастных изменений формы или структуры тканей, после травм.

Подгонка может проводиться буквально в течение одного приема, сложные случаи потребуют отправки протеза в зуботехническую лабораторию.
Эксперты отмечают, что самостоятельный ремонт конструкций может быть вреден и даже опасен, без необходимой квалификации структуру можно испортить, вплоть до невозможности восстановления. Даже склеивать конструкции не рекомендуется, так как клеевые составы без специального рецепта могут быть вредны для здоровья.

Когда необходима коррекция
Проще всего определить необходимость ремонта по внешним признакам, наиболее очевидны следующие:
— явные переломы. Если конструкция переломилась, например, из-за удара или съемный компонент был раздавлен, необходимо убедиться в возможности восстановления. Некоторые виды полимеров плохо соединяются и склеиваются, металлические структуры проще, так как обычно без труда паяются;
— смещения и деформации. Даже небольшой изгиб из-за механического воздействия сложно устранить, если гнуть собственными силами, можно испортить изделие еще сильнее. Прежнее положение получить для идеального прилегания практически невозможно;
— трещины. Минимальные трещинки - это уже повод обратиться к технику, так как при постоянных нагрузках они разрастаются вплоть до поломки конструкции;

— несоответствия, появление несвойственных щелей или деформаций между основной частью и имитациями зубов. Часто композиты, то есть изделия, совмещающие отдельные вещества для восстанавливаемых единиц и базы, разъединяются, что требует вмешательства специалиста. Обычно причиной этого явления становится разница в коэффициентах расширения или недобросовестный подход при создании конструкции.
Подгонка так же может потребоваться в связи с возрастными изменениями полости рта. При отсутствии единиц рядов мягкие ткани могут проседать, соседние единицы смещаться в сторону свободного пространства. Костные ткани без нагрузки так же склонны атрофироваться и эти эффекты по-разному проявляются для различных видов восстанавливающих структур.

Изредка корректировка необходима и для современных высокоточных методов реставрации, например, если нужна незначительная подгонка стандартного абатмента под индивидуальные особенности ротовой полости.
Негативных проявлений при ношении конструкций с отклонениями множество:
— неприятные ощущения, которые могут сопровождаться болью;
— мягкие ткани могут стираться, вплоть до ран, кровотечений;
— деформациям подвергаются и кости, что в запущенных случаях может довести до необходимости хирургического вмешательства.
Чтобы своевременно выявить и устранить опасные отклонения, необходимо не реже раза в 12 месяцев обращаться к стоматологу. Некоторые вредные изменения не сопровождаются болью или дискомфортом, заметить их сможет только опытный специалист.

Некоторые протезы имеют встроенные регулировки, но для их настройки необходим визит к врачу так же. Для получения оптимальных характеристик необходимо знать допуски и усилия фиксации креплений. Абразивные материалы в ортопедической стоматологии - это один из самых распространенных вариантов для обработки компонентов.
Простейшая методика
Проще всего откорректировать выступающие участки, которые не дадут плотного и правильного смыкания при питании и общении, а так же в спокойном состоянии.
Например, артикуляционная коррекция, которая распространена при подгонке съемных систем:
— конструкция устанавливается в положении, типичном для эксплуатации;
— плотность соединения рядов оценивается визуально для поиска очевидных проблем;
— между рядами укладывается артикуляционная бумага;
— пациент с силой смыкает зубы, двигает челюстью в горизонтальной плоскости в нескольких направлениях;

— точки поверхностей, которые требуется удалить, окрашиваются бумагой;
— при помощи абразивного инструмента цветные отметки сошлифовываются;
— проводится повторная проверка, при необходимости этапы повторяются.
Принцип работает в отношении твердых веществ, из которых изготавливаются структуры. Базисы обычно исполняются из более мягких и податливых материалов, как пластик, с ним работать необходимо иначе:
— протез устанавливается на место и извлекается через некоторое время;
— стоматолог осматривает мягкие ткани, отмечая потревоженные искусственной конструкцией, они покрываются специальным химическим карандашом;

— протез снова одевается и клиент делает несколько жевательных движений, при которых основная нагрузка идет именно на базис и опорные единицы;
— протез снимается, участки, оказывающие воздействие на мягкие ткани, окрашиваются;
— проводится заглаживание резиновым кругом и повторная примерка с оценкой прилегания;
— при необходимости процедуры повторяются.
Важно исключить серьезное вмешательство в изделие, чтобы не изменить структуру до появления пустот между живыми тканями и искусственными. Пришлифовывание должно быть минимальным.

Если имеются металлические компоненты, их осматривать нужно с особой осторожностью. Крючки и элементы каркаса или восстановленные единицы могут легко травмировать десны или слизистые оболочки вплоть до глубоких порезов. Компоненты подгибаются до получения безопасной формы, после чего обязательно отполировать участок, на который воздействовал инструмент. Это позволит убрать появившиеся острые края и исключить травмирование пациента. Выполненные на основе cad cam 3d изделия корректировать приходится редко, так как станок изначально выполняет их с высокой точностью.
Распространенные поломки
Съемные структуры могут переломиться пополам, что в основном происходит по базису и не затрагивает единицы. Причиной в основном становится слабая разгрузка средней части конструкции, разорбация альвеолярных гребней. Для восстановления половинки фиксируются в точном положении с помощью воска, располагается все на полированной поверхности, чтобы исключить смещения. Для максимальной точности совмещения применяют штифты или пластмассовые прутки.

Участок разрыва тщательно очищается и создается поверхность с большим числом насечек и углублений, что повышает сцепление с полимером, который будет заливаться. Полученная полость заполняется пластиком, соответствующим по характеристикам использованному для базиса. После застывания он обрабатывается до получения необходимого рельефа.
Часто элементы откалываются при падениях на твердую плоскость. Проще всего восстановить изделие при сохранении отломанной части, принцип аналогичен предыдущему. Сложнее отремонтировать, если кусок потерян. В этом случае придется создавать слепок, восстанавливать форму утраченной детали и фиксировать ее на основе.

Достаточно трудоемким процессом является возвращение на место сломанных или полностью потерянных единиц. Участок полностью освобождается от остатков зуба, формируется отверстие для установки нового зуба, он выполняется по отливке, из гипса параллельно подготавливается ключ, который необходим для сохранения точной позиции и соотношения зубов во рту. Зуб устанавливается, после чего участок обрабатывается для получения гладкой поверхности. Сложнее всего обрабатывать коронки цельнокерамические и из диоксида циркония, так как поверхность имеет высокую твердость.
| Вариант проведенных работ: | Средняя стоимость ремонта: |
| Коррекция съемного пластинчатого протеза | от 500 рублей |
| Приварка зубов съемного пластинчатого (полного и частичного) протеза | от 1000 рублей |
| Перебазировка съемного пластинчатого (полного и частичного) протеза | от 800 рублей |
| Приварка кламмера съемного пластинчатого (полного и частичного) протеза | от 1000 рублей |
| Ремонт съемного пластиночного протеза при сколах, трещинах и аналогичных проблемах | от 1200 рублей |
Коррекция поверхности полного съемного протеза может потребоваться в нескольких случаях:
— выявлены травмы слизистой оболочки;
— под поверхностью скапливается пища;
— ослабла или пропала ретенция.
Перед работой техник должен убедиться в нескольких аспектах: необходимо удостовериться в правильности определения окклюзии (центральной, боковой), ткани должны быть готовы к проведению операций, то есть как минимум не иметь повреждений. Так же потребуется адекватное расширение в периферии. Чтобы добиться этих пунктов, ношение исключается на двое суток, после чего начинается обработка и проверки.

На базисе удаляются поднутрения, подгоняются боковые грани, сглаживается края, создаются условия для заполнения материалом, его сцеплением с поверхностью. При использовании оттискного материала в противоположной стенке создается отверстие, необходимое для выхода излишков состава.

Новый оттиск позволяет получить представление об окклюзии и ее соотношениях. Новый пластик заливается по месту, процесс ведется в воде, разогретой до 45 градусов. В финале поверхность шлифуется и полируется для получения необходимой частоты и усиления силы присасывания.
Еще один вариант работы в рамках коррекции - это перепаковка. Суть процесса в замене базиса, но без влияния на существующие окклюзионные соотношения. Необходимо это при порах в существующей основе или повреждениях. Оттиск получают за счет созданной конструкции.

Точное соотношение челюстей формируется при помощи окклюзионных и резцовых индексов, дупликатора. Единицы снимаются без смещений и фиксируются в исходном положении, после чего формируется новый базис, отливаемый из выбранного полимера. Проводится чистка, старый материал удаляется полностью.
После завершения работы необходима подгонка в полости рта, за счет нее удается сохранить полученные формы и обеспечить идеальное прилегание конструкции при эксплуатации. Примерка проходит в несколько этапов, которые чередуются с корректировкой.
Как ремонтировать зубной протез
Протезирование не заканчивается установкой конструкций, возвращающих функции естественных элементов ротовой полости. Важной частью работ является ремонт, который периодически приходится проводить специалистам в условиях лабораторий. Имплантационные системы в стоматологии редко вызывают проблемы, но сломаться могут из-за ошибки специалиста или самого пациента.

Причин проблем может быть несколько, это и чисто технические трудности, связанные с ошибками зубных техников или врачей, и неряшливое отношение к своим новым зубам. Рассмотрим подробнее основные особенности и проблемы, с которыми сталкиваются эксперты при проведении восстановительных работ.
Основные проблемы и их причины
Изначально создать прочный и надежный протез - это один из первостепенных пунктов для стоматолога и техника. С этой целью применяют высокопрочные полимеры, металлы, керамику и композиты на их основе. Процессы обработки в процессе реализации конструкции так же учитывают возможные изменения, деформацию, усадку или трансформацию структуры.

Тем не менее, постоянные нагрузки в повседневном режиме приводят к сколам, трещинам, стиранию и аналогичным неприятным последствиям. Если эти изменения произошли позже установленного минимального срока службы, то это нормально, раньше проявиться они могут по ряду причин:
— слабые стороны материала;
— неточности в работе зубного техника;
— неряшливое отношение со стороны пациента.
Часто причиной проблем становится сам материал, особенно если применяется бюджетный вариант по той или иной причине. Суть может быть даже не в недостатке средств у пациента, а индивидуальных особенностях, когда прочие структуры просто не приживаются. Если выбранное вещество не достаточно гибкое, эластичное и прочное, то малейший удар или неправильная нагрузка может привести к проблемам.

После окончания периода гарантированной эксплуатации некоторые материалы могут изменить свое состояние и структуру в худшую сторону, что связано с постоянным воздействием ферментов, например. Еще одна причина - это поликонденсация, то есть при формировании изделия из него естественным образом испаряется слишком много влаги.
Разумеется, никто не отменял человеческий фактор, потому иногда грешат стоматологи. Особенно сложно при ошибках с титановыми основаниями.
Эксперты могут допустить некоторые ошибки в работе, как:
— модель из глины будет сформирована не полностью;
— в слепке остались капли слюны, что не позволит оформить идеально точную копию;
— припасовка проведена с отклонениями от нормы;
— окклюзия зафиксирована с неточностями;
— базис может прилегать к мягким тканям не полностью, что приводит к неоптимальному распределению нагрузки при эксплуатации.

Не исключены ошибки в работе зубного техника на любом из лабораторных этапов. Чаще всего выявляются такие проблемы:
— даже если слепок снят правильно, в лабораторных условиях техник может его неправильно приклеить;
— в процессе припасовки кламмеры многократно изгибаются, что изначально может нарушить структуру металла и прочих компонентов, после чего они быстро выйдут из строя;
— шлифовка уже готовых деталей осуществлена с недочетами, невнимательно или не полностью по всей поверхности;
— при обработке полученные края оказались тоньше запланированного и оптимальных значений;
— при полимеризации не были выдержаны необходимые условия. Этот аспект очень важен, так как ряд материалов в процессе создания протеза должны подвергаться продолжительному воздействию высоких температур и прочих факторов, малейшие отклонения режима способны исказить структуру. Некоторые методики требуют использования высокоточных приборов и систем;
— перед монтажом имитаций зубов с некоторых участков основы не был удален воск;
— состав материала так же важен, например, при использовании композитов, их структура должна отличаться высокой точностью процентного содержания компонентов;
— формовка проводилась в несоответствующих норме условиях.

Справедливости ради отметим, что чаще всего ошибки допускает именно пациент, уже при эксплуатации. Необходимо строго соблюдать условия ношения, обслуживания, временные промежутки между сеансами посещения лечащего врача. Гигиена имеет первостепенное значение, причем регулярная, нужно осторожно извлекать и устанавливать систему, избегать падения и механических воздействий при использовании. Пластиковые абатменты самые хрупкие, но и используются в основном временно.
Проблемы с бюгелями
Сам класс бюгельных систем - это достаточно надежные и прочные изделия, так как каркас конструкции представляет собой металлическую дугу.

Однако, недочеты перечисленного выше формата легко приводят к некоторым проблемам:
— протез может сильно измениться в отношении цвета, это происходит из-за естественных процессов окисления или поглощение поверхностью красящих компонентов, если речь идет об имитациях единиц зубных рядов. Проблема легко устраняется посещением лаборатории, где техник проводит чистку специальным оборудованием. Оплатить в этом случае придется не много, в районе тысячи рублей, но в качестве дополнения к более глобальному ремонту может обойтись значительно дешевле. На процесс уходит в районе часа;
— в основном материале может появиться трещина или даже детали разломятся. Эксперт аккуратно заклеивает участок, для чего используются современные качественные составы, гарантирующие прочность и надежность в самых неблагоприятных условиях. На работу уходит в зависимости от сложности в пределах 1,5-2 часов. Разумеется, более сложная проблема обойдется дороже, как минимум 2200 рублей;
— имитации природных зубов могут выпасть со своих посадочных мест. Если потерянные детали удалось найти и они целы, то их при минимальной обработке можно установить на место. Если перелом и скол, то уже потребуется восстановление элемента. В случе потери придется начинать работу по моделированию единицы с нуля, это значительно дороже. За примерно два часа работы придется отдать 2,5-4 тысячи;

— если поврежден седловой участок, его можно восстановить воском, операция достаточно проста и проходит быстро. Однако, место достаточно уязвимое и необходимо внимание к деталям, потому придется заплатить дороже, в районе двух тысяч;
— крепления не редко страдают при небрежном отношении и несоблюдении ряда требований. Конкретные цифры по времени проведения работы и стоимости зависят от сложности проблемы. Например, заменить втулки, расположенные на участке фиксаторов достаточно простая работа, обойдется от 600 рублей до пары тысяч, а вот приварить кламмер сложнее - это уже 0,5-6 тысяч.

Важно учесть, что реальные сроки и цифры могут отличаться от указанных. Есть зависимость от ценовой политики клиники, региона проведения операции и сложности ситуации. Срок отмеченный характерен при срочном обращении и необходимости заняться работой в первую очередь, за это может потребоваться доплатить. Никакие сплавы для изготовления бюгельных протезов не гарантируют долговечности конструкции, если не соблюдаются требования эксплуатации.
Нейлон
По основным недостаткам и поломкам, которые могут возникать в процессе эксплуатации, нейлон мало отличается от аналогов. Однако, материал обладает особой структурой, которая с трудом поддается восстановлению. Для проведения работ необходимо строгое соблюдение методик и наличие качественной аппаратуры.

В итоге ряд операций вообще реализовать невозможно из-за специфических параметров вещества, а другие требуют повышенных затрат со стороны клиента. Относительно цен особенно заметна разница при сопоставлении с акрилом. Перечислим основные недостатки:
— повреждение или утрата одного/нескольких единиц ротовой полости. В этом случае замена компонентов на нейлоновом базисе обойдется в среднем около 3-5 тысяч рублей;

— перебазировка требует дополнительных затрат времени из-за сложности. Даже если эксперты зуботехнической лаборатории возьмутся за заказ в экстренном режиме, то занять его реализация может более суток. Отдать по итогам деятельности придется увесистые 4-6 тысяч, но это не предел в данном случае;
— если пострадали крепления, которые обеспечивают фиксацию и неподвижность конструкции при эксплуатации за счет сохранившихся зубов, то используется клей. Специальные составы могут быть на основе геля, процедура обойдется примерно в 2000-3000 рублей;

— когда система, полностью закрывающая челюсть, деформируется или ломается, ее можно модернизировать. С этой целью мастера используют специальные металлические сетки для усиления. В зависимости от сложности конкретного случая меняется ценник, в среднем разброс составляет 2,5-5 тысяч.
Различные полимеры используются для выпуска многочисленных конструкций для протезирования, например, выжигаемых абатментов, создаваемых на базе веществ, которые при сгорании не дают зольного остатка.
Несъемные системы протезирования
Несъемные детали являются распространенным вариантом, потому довольно часто в лаборатории обращаются пациенты с испорченными компонентами, нуждающимися в ремонте. Это не значит, что врачи постоянно делают ошибки, на самом деле связана ситуация с большим числом пользователей. Наиболее востребованы во всех сферах коронки и мостовидные структуры.

Коронки представляют собой колпачки на имплантаты или сохранившиеся обточенные природные единицы. Проблем с ними не так много, этот либо потеря при выпадении, либо сколы или трещины, либо серьезное изменение цвета относительно оригинала. В первом случае потребуется повторить комплексное вмешательство, чтобы разработать и создать единицу с нуля. Время изготовления бюгельного протеза больше, чем требуется на ремонт, но не все дефекты можно устранить в принципе.
Ремонт при механических повреждениях оценивается по сложности и только после этого можно получить представление о ценнике. Реже всего сложности возникают с титановыми или диоксид циркониевыми компонентами, так как это очень надежные и прочные вещества, срок эксплуатации которых достигает 10-15 лет и более.

С металлопластика может отслоиться покрытие из полимера, восстановление обходится достаточно дешево и быстро (в среднем тысяча-две). Если применяется керамика, возможны сколы, их ремонтируют за счет приклеивания недостающей части.
Применяется специальный клеевой состав, обладающий очень высокой однородностью и силой соединения поверхностей. После схватывания состава деталь обрабатывается, чтобы выровнять поверхность и придать ей законченный вид. Незначительные кусочки восстанавливаются послойным наложением композита, который идентичен остальной структуре в плане цвета. Ценник в этом случае стартует с полутора тысяч и растет в связи со степенью сложности.

Мосты отличаются стандартным набором внештатных ситуаций, которые приводят к необходимости восстановления.
Методики приведения протеза в нормальное состояние аналогичны предыдущим типам и всей сфере продукции в целом:
— искусственный элемент может выпасть и потеряться. На поверхность в этом случае накладывается композитное сырье в несколько слоев, после чего участок сглаживается, чтобы при работе не было дискомфорта. Если деталь была утрачена полностью, то процесс обойдется многократно дороже и займет приличное количество времени. Средняя цена стартует от трех тысяч и заканчивается на отметке в пять-шесть;

— может измениться цвет, для возвращения которого необходима чистка. Проводится она на профессиональном уровне с задействованием передовой техники. За счет трудоемкости расход составит до двух тысяч рублей;
— поломка крепежей обычно не является серьезной трудностью и структура восстанавливается до первоначального уровня без особых проблем. Цена находится в районе 2-х тысяч;
— проблемы с опорными единицами. Это довольно серьезная трудность, при которой за ремонт техники берутся редко, обычно необходимо полностью менять конфигурацию протеза (снова слепки и моделирование с подгонкой). Ценник соответствующий, но дешевле заказа новой системы. Преимущества коронок из диоксида циркония в высокой прочности, но при поломке восстановить их не представляется возможным.
Собственными силами?
Справедливости ради нужно указать, что некоторые простейшие случаи поломки можно устранить в домашних условиях с применением доступных средств. Для этого ряд производителей предлагают качественные клеевые составы, способные вернуть изначальный вид при любой проблеме со сколами или схожими механическими повреждениями.

Это актуально, например, если вы находитесь в условиях, когда полностью отсутствует возможность обратиться в клинику.
При любых обстоятельствах следует в ближайшее время посетить врача, так как поломка обычно указывает на необходимость более серьезного вмешательства или исправления компонентов. Именно из-за таких причин специалисты настоятельно не рекомендуют выполнять работу в быту.
Из простых ситуаций, когда самостоятельно можно без ущерба привести конструкцию в норму, выделим деформацию кламмера на базе металлической проволоки минимальной толщины. Вернуть в исходное положение можно просто подогнув, извлекая протез изо рта. Если кламмер располагается вплотную к базису, то операция должна реализовываться с предельной осторожностью.

В любом случае вы лишаетесь гарантийного обслуживания при таком стечении обстоятельств. Даже если нет заключенного договора, то исправление ваших возможных ошибок может потребовать еще больше времени и средств, чем это было бы при обращении в центр сразу.
Но и в случае отсутствия гарантии лучше довериться профессионалам и взять документ об обязательном обслуживании на будущее, чтобы исключить дискомфорт при длительном ожидании возвращения протеза из лаборатории.
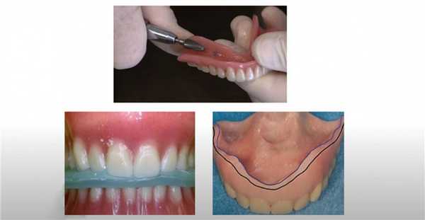
Перебазировка съемного протеза
А вы знаете, что делать, если съемный протез начал расшатываться? Многие пациенты пренебрегают регулярной перебазировкой. Вместо этого, они пытаются зафиксировать искусственную челюсть на большее количество клея или засунуть протез подальше в рот. В этой статье расскажем, почему это было бы ошибкой. Мы собрали самую важную информацию о перебазировании зубных протезов (обязательной и плановой).
При адентии альвеолярный отросток опускается из-за отсутствия стимуляции от зубов. Нарушается плотность посадки, возникают проблемы с жеванием. Немедленно обратитесь к стоматологу, если съемная челюсть расшаталась.
Что это такое?
Перебазирование съемного зубного протеза - это стоматологическая технология восстановления поверхности, которая соприкасается с деснами, чтобы он фиксировался плотно. Заключается в добавлении нового полимерного материала на установочную поверхность для заполнения пространства между контуром каркаса и измененным альвеолярным гребнем.
Врач работает только с базисом, не затрагивает остальные части конструкции. Перебазировка предотвращает избыточное давление протеза на мягкие ткани десны. Результат процедуры - стабилизация съемной челюсти, восстановление прикуса, пропадает дискомфорт во время еды.
Мы предупреждаем всех пациентов со съемными протезами, что периодически необходимо оценивать и исправлять прилегание базиса к десневому гребню. Это рутинная процедура, ее нужно делать регулярно раз в 6 месяцев на контрольном осмотре. Если регулярно не перебазировать, вы рискуете получить повреждение или раздражение слизистой. Обслуживание ортопедической конструкции продлит срок службы, исключит поломки, способствует правильному распределению жевательной нагрузки на челюсть
Показания для коррекции
Как понять, что нужно перебазировать челюсть? Обратиться к врачу нужно, если базис плохо фиксируется к подлежащим тканям десны. А также при нарушении эстетики, центрального отношения между челюстями и тем более при дискомфорте.
Индикатор необходимости процедуры:
- постоянный дискомфорт - челюсть выпадает или смещается, давит, натирает десны;
- деформировались фиксирующие элементы - замки или кламмеры не удерживают частичный протез на опорных зубах;
- заметны эстетические дефекты поверхности - трещины или пористость (но базис еще не сломан);
- нарушено строение или количество зубов - увеличились межзубные промежутки;
- продолжается атрофия кости - десневой гребень уменьшается из-за чего базису не хватает «упора».
Процедура показана для всех видов съемных протезов, а также для условно-съемных с опорой на импланты. Коррекцию лучше делать раз в 6 месяцев даже если нет дискомфорта.
Только несъемные протезы на имплантах не нуждаются в корректировке, потому что они стабилизируют костную ткань, равномерно распределяют жевательную нагрузку.
Противопоказания
Протез можно подгонять только в здоровой полости рта, поэтому перебазировку не проводят при:
- не устраненной боли или воспалении;
- сломанных или изношенных зубах;
- заболевании слизистой десны;
- аллергии на полимеры и пластмассу.
Когда перебазировка не поможет, а нужен новый протез?
Перебазирование не подходит для стабилизации, если базис сильно поврежден или сломан, а также выпадают коронки. При нарушении целостности требуется полная замена искусственной челюсти.
Как делают перебазировку протеза?

Повторную перенастройку зубов можно классифицировать по функциональному признаку:
- Мягкая перебазировка (клинический метод).
Показана пациентам с тонким биотипом десны или повышенной чувствительностью мягких тканей. Для коррекции используют мягкий эластичный материал - силикон или акриловая смола. Они работают, как «амортизатор», поглощают окклюзионную нагрузку. Как правило, мягкое перебазирование назначают тем, кто недавно начал носить протез. Часто проводят клиническим способом за 1 день, когда нужна небольшая корректировка или частичная перенастройка базиса.

Недостаток процедуры - мягкий материал менее прочный, потребуется частая замена (от 30 дней до 2 лет в зависимости от долгосрочности состава).
Разновидность перенастройки базиса с использованием неэластичных материалов из твердых смол. Например, полиметилметакрилат - из него делают основную поверхность челюсти.

Суть процедуры - с базиса снимают тонкий слой, наносят на него оттискной материал. Каркас вводят в рот, как будто делают слепок, чтобы масса приняла точную форму десны. Затем его отправляют в лабораторию для нанесения нового акрила.
Процедура дороже мягкой корректировки, но протез будет служить дольше, точнее посадка.
Показана при воспалении десен от протеза. Во время временной перебазировки врач наносит на базис материал с медикаментами (может содержать обезболивающее или антибиотик). Пациент может носить челюсть пока не будет изготовлена новая или до того, как сделают жесткую перенастройку базиса.
Цены перебазировки зубов
Стоимость перебазировки зубного протеза зависит от метода стабилизации, выбранного материала, а также сложности работы. Помните - стоимость перебазирования, как «оплата обслуживания», ее нужно включать в бюджет при планировании съемного протезирования.
| Перебазировка съемного протеза | 6 500 ₽ |
| Оттиск C-силикон (1 челюсть) | 1 500 ₽ |
| Оттиск A-силикон (1 челюсть) | 2 400 ₽ |
Материалы для перебазирования съемных протезов
Показан для лечения при недостаточной фиксации базиса к десне, наличии подвижного гребня, воспалении слизистой.
Как правило, используют силикон, потому что он совместим с традиционными материалами базиса. Силикон не выделяет вредные вещества, имитирует поверхность десны и не меняет цвет. Он эластичный и упругий, поэтому жевательная нагрузка амортизируется по поверхности десны. При воспалении или ране рекомендуют мягкие материалы, потому что они без пор, имеют гидрофильную поверхность, которая защищает ткани от инфекции.
Показан для выравнивания неровностей между базисом и слизистой протезного ложа. Используют материал аналогичный базису, чтобы не вызывал аллергию, имел нейтральные вкусовые свойства.
Сравнение жесткой и мягкой перебазировки исходя из свойств материалов:
| Тип перебазировки | Мягкая прокладка | Жесткая перебазировка |
|---|---|---|
| Какие протезы можно перебазировать? | полные, частичные постоянные конструкции, иммедиат-бабочка | не подходит для конструкций типа «бабочка» и временных протезов |
| Применение с лечебными целями | при воспалении десны, подвижности альвеолярного отростка, после установки имплантов | после операций или для заживления воспалений, ран |
| Срок службы | от 30 дней до 2 лет | Длительный эффект |
| Результат коррекции | улучшение фиксации при атрофии, повышение комфорта при ношении, удлинение краев базиса, устранение протезного стоматита | такие же, как у мягких материалов, но также подходит для расширения каркаса и послойной припасовки |
Вопросы и ответы
Нельзя пробовать регулировать или ремонтировать ортопедическую конструкцию в домашних условиях. Даже при наличии набора для починки есть риск безвозвратно повредить конструкцию. Клей или пластмасса, которую продают без рецепта, часто содержат вредные химические вещества. Если искусственная челюсть сломалась или расшаталась, запишитесь на прием к стоматологу. Как правило, ремонт или корректировку проводят за 1 день.
Мягкая корректировка может прослужить до 2 лет, а жесткая до 10 лет. Как правило, более длительное использование не возможно, потребуется замена съемного протеза.
Клинический способ занимает около 30 минут. Для лабораторного метода требуется 1-3 дня.
Важно соблюдать требования по уходу и хранению. А также регулярно посещать стоматолога раз в 6 месяцев для проверки прилегания, а также степени атрофии челюстной кости.
Нет - процедура не включается в гарантию, потому что является индивидуальной необходимостью.
Читайте также:
