Проводящие пути эмбриона. Формирование проводящих путей плода
Добавил пользователь Валентин П. Обновлено: 12.12.2025
Доступная, качественная и высокотехнологичная медицинская помощь женщине и ребенку, содействие сохранению и восстановлению репродуктивного здоровья в семье и как следствие - снижение материнских и перинатальных потерь, детской инвалидности.
Внимание!
На сегодняшний день Перинатальный центр остается одним из медицинских учреждений, не перепрофилированных для лечения пациентов с коронавирусной инфекцией.
В период сложившейся эпидемиологической обстановки хотим обратить внимание, что у нас одноместные палаты, а это значит:
- вы сможете проводить время со своим малышом только наедине;
- ежедневный осмотр врачами малыша и мамы проводится в индивидуальном порядке в палате;
- отсутствуют контакты с другими пациентами;
- запрещены посещения родственниками;
- питание по графику с разграничением по времени;
- уникальная современная вентиляционная система, в каждой палате установлен фильтр тонкой очистки (Hepa H13),что дает 99% очистку воздуха от вирусов, бактерий и токсичной пыли.
При входе всем пациентам проводят измерение температуры тела, в случае повышения температуры более 37˚С пациент в Перинатальный центр не допускается.
Данные меры исключают риск заражения коронавирусной инфекцией.
ВНИМАНИЕ.
Мы рады пригласить будущих мам в Областной перинатальный центр для подписания диспансерных книжек (на сроке после 28 недель).
Весь комплекс медицинских услуг по родоразрешению Вы сможете получить по полису ОМС.
⚡⚡⚡ Закрытие на плановую дезинфекцию акушерских стационаров ГБУЗ ЯО «Областной перинатальный центр» запланировано на период с 08:00 17 октября по 08:00 31 октября 2022 года.
В период закрытия будет осуществляться прием:
- беременных и рожениц до 33 недель 6 дней включительно,
- пациенток гинекологического профиля для плановых оперативных вмешательств.
Беременные высокой группы риска в сроках 34 недели и более, а также пациентки гинекологического профиля для оказания экстренной помощи, в указанные период, госпитализируются в Клиническую больницу №9.
Основание: приказ Департамента здравоохранения и фармации Ярославской области от 11.10.2022 №1277.
P.S. В декабре 2022 года закрытия на дезинфекцию не будет.
С учетом эпидемиологической ситуации, в настоящее время продолжает действовать ограничение на посещения пациентов стационарных отделений Перинатального центра.
Департамент здравоохранения и фармации Ярославской области информирует, что в рамках реализации типового пилотного проекта «Репродуктивное здоровье», утверждённого Заместителем Председателя Правительства Российской Федерации Голиковой Т.А. от 25 ноября 2021 года № 12752п-П12, продолжается проведение регулярных встреч граждан с экспертами по проблемным вопросам репродуктивного здоровья.
Встречи проводятся каждую субботу на канале «Репродуктивное здоровье», который доступен по ссылкам:
График просветительского проекта «Репродуктивное здоровье» на август - декабрь 2022 год
№ п/п
Дата
Время
Эксперт
Наименование темы
Ожирение как междисциплинарная проблема. Профилактика и коррекция нарушений пищевого поведения. Правильное питание и психологические аспекты нарушений женского здоровья.
Современные возможности лекарственного и хирургического лечения нарушений мужского репродуктивного здоровья. Вспомогательные репродуктивные технологии при мужском бесплодии.
Беременность, роды и аборты у подростков. Особенности профилактического осмотра несовершеннолетних. Современные методы контрацепции для подростков и молодежи.
Миома матки: бессимптомная, симптомная. Семейные формы. Возможные варианты обследования и лечения.
Последствия перенесенного COVID-19 у женщин (постковидный синдром).
Рак предстательной железы и стереотипы мужского репродуктивного здоровья. Возможности современной медицины и правильное отношение к своему здоровью.
ВИЧ, гепатит и беременность. Профилактика ВИЧ и гепатита среди молодежи.
Доброкачественная дисплазия молочных желез. Предраковые заболевания и факторы риска развития злокачественных новообразований молочной железы. Что надо знать: простые ответы на вопросы женщин.
«Письма к сыну»: о каких эндокринных аспектах репродуктивного здоровья нам необходимо рассказывать подросткам
Репродуктивное здоровье онкопациентов: возможности стать родителями реальны.
Профилактика послеродовой депрессии, в том числе в период ограниченного социального общения. Постковидный синдром.
Планирование семьи при сахарном диабете и патологии щитовидной железы: на что обратить внимание.
Онкология и беременность: сохранение репродуктивной функции, подготовка и ведение беременности при онкозаболеваниях.
Подростковая беременность: аборт нельзя родить. Где поставить знак препинания или что делать в непростой ситуации?
Современная эстетическая и пластическая гинекология. Единство красоты, сексуальности и психологического комфорта.
Мы то, что мы едим. Питание и мужская фертильность. Что и как необходимо есть, пить для сохранения фертильности?
Медико-генетическое консультирование при планировании беременности. Вспомогательные репродуктивные технологии, программы помощи семьям. Неэффективность ВРТ и пути преодоления.
Не только гены: роль родителей в формировании детского ожирения. Влияние ожирения на соматическое, психологическое и социальное благополучие детей и подростков.
Новые возможности в медицине и репродукции (генетика, иммунология, клеточные технологии, эндокринология, репродуктивная хирургия, гинекология, урология, онкология).
⚡⚡⚡ Партнерские роды возобновились.
На основании п. 811. Постановления Главного Государственного санитарного врача РФ от 28.01.2021 №4 «Об утверждении санитарных правил и норм СанПиН 3.3686-21 «Санитарно-эпидемиологические требования по профилактике инфекционных болезней» партнёр, присутствующий при партнерских родах, обязан предоставить результат обследования на туберкулез (флюорографию органов грудной клетки) давностью не более 1 года.
Кроме того, будущему отцу нужно при себе иметь паспорт, сменную обувь (чистые резиновые сланцы), сменную чистую одежду (футболку и штаны), можно пару чистых носовых платков, пачку влажных антибактериальных салфеток и маленькую бутылочку с питьевой водой.
⚡⚡⚡ Информация для сопровождающих лиц
⚡⚡⚡ Информация для пациентов с бесплодием, нуждающихся в проведении ВРТ
В соответствие с приказом Минздрава РФ от 31.07.2020 №803н «О порядке использования вспомогательных репродуктивных технологий, противопоказаниях и ограничениях к их применению», который вступил в силу 01.01.2021, наличие показаний к проведению программ ВРТ осуществляет лечащий врач. Он же оформляет направление на проведение лечение бесплодия методом ЭКО.
Плацента и ее роль в развитии беременности

Идеальный инструмент для пренатальных исследований. Уникальное качество изображения и весь спектр диагностических программ для экспертной оценки здоровья женщины.
С самого начала беременности и вплоть до ее окончания формируется и функционирует система мать-плацента-плод. Важнейшим компонентом этой системы является плацента, которая представляет собой комплексный орган, в формировании которого принимают участие производные трофобласта и эмбриобласта, а также децидуальная ткань. Функция плаценты, в первую очередь, направлена на обеспечение достаточных условий для физиологического течения беременности и нормального развития плода. К этим функциям относятся: дыхательная, питательная, выделительная, защитная, эндокринная. Все метаболические, гормональные, иммунные процессы во время беременности обеспечиваются через сосудистую систему матери и плода. Несмотря на то, что кровь матери и плода не смешивается, так как их разделяет плацентарный барьер, все необходимые питательные вещества и кислород плод получает из крови матери. Основным структурным компонентом плаценты является ворсинчатое дерево.
Схема структуры плаценты и маточно плацентарного кровообращения

1 - артерии пуповины
2 - стволовая ворсина
3 - децидуальная перегородка
4 - децидуальный слой
5 - миометрий
6 - вены
7 - спиральные артерии
8 - хорион
9 - амнион
10 - межворсинчатое пространство
11 - вена пуповины
12 - котиледон
Зрелая плацента представляет собой дискообразную структуру диаметром 15-20 см и толщиной 2,5 - 3,5 см. Ее масса достигает 500-600 гр. Материнская поверхность плаценты, которая обращена в сторону стенки матки, имеет шероховатую поверхность, образованную структурами базальной части децидуальной оболочки. Плодовая поверхность плаценты, которая обращена в сторону плода, покрыта амниотической оболочкой. Под ней видны сосуды, которые идут от места прикрепления пуповины к краю плаценты. Строение плодовой части плаценты представлено многочисленными ворсинами хориона, которые объединяются в структурные образования - котиледоны. Каждый котиледон образован стволовой ворсиной с разветвлениями, содержащими сосуды плода. Центральная часть котиледона образует полость, которая окружена множеством ворсин. В зрелой плаценте насчитывается от 30 до 50 котиледонов. Котиледон плаценты условно сравним с деревом, в котором опорная ворсина I порядка является его стволом, ворсины II и III порядка - крупными и мелкими ветвями, промежуточные ворсины - маленькими ветками, а терминальные ворсины - листьями. Котиледоны отделены друг от друга перегородками (септами), исходящими из базальной пластины.
Межворсинчатое пространство с плодовой стороны образовано хориальной пластиной и прикрепленными к ней ворсинами, а с материнской стороны оно ограничено базальной пластиной, децидуальной оболочкой и отходящими от неё перегородками (септами). Большинство ворсин плаценты свободно погружены в межворсинчатое пространство и омываются материнской кровью. Различают также и якорные ворсины, которые фиксируются к базальной децидуальной оболочке и обеспечивают прикрепление плаценты к стенке матки.
Схема циркуляции крови в организме плода
1 - верхняя полая вена
2 - овальное отверстие
3 - нижняя полая вена
4 - венозный проток
5 - портальный синус
6 - воротная вена
7 - вена пуповины
8 - артерии пуповины
9 - плацента
10 - надчревные артерии
11 - артериальный проток
Спиральные артерии, которые являются конечными ветвями маточной и яичниковой артерий, питающих беременную матку, открываются в межворсинчатое пространство 120-150 устьями, обеспечивая постоянный приток материнской крови, богатой кислородом, в межворсинчатое пространство. За счет разницы давления, которое выше в материнском артериальном русле по сравнению с межворсинчатым пространством, кровь, насыщенная кислородом, из устьев спиральных артерий направляется через центр котиледона к ворсинам, омывает их, достигает хориальной пластины и по разделительным септам возвращается в материнский кровоток через венозные устья. При этом кровоток матери и плода отделены друг от друга. Т.е. кровь матери и плода не смешивается между собой.
Переход газов крови, питательных веществ, продуктов метаболизма и других субстанций из материнской крови в плодовую и обратно осуществляется в момент контакта ворсин с кровью матери через плацентарный барьер. Он образован наружным эпителиальным слоем ворсины, стромой ворсины и стенкой кровеносного капилляра, расположенного внутри каждой ворсины. По этому капилляру течет кровь плода. Насыщаясь таким образом кислородом, кровь плода из капилляров ворсин собирается в более крупные сосуды, которые в конечном итоге объединяются в вену пуповины, по которой насыщенная кислородом кровь оттекает к плоду. Отдав кислород и питательные вещества в организме плода, кровь, обедненная кислородом и богатая углекислым газом, оттекает от плода по двум артериям пуповины к плаценте, где эти сосуды делятся радиально в соответствии с количеством котиледонов. В результате дальнейшего ветвления сосудов внутри котиледонов кровь плода вновь попадает в капилляры ворсин и вновь насыщается кислородом, и цикл повторяется. За счет перехода через плацентарный барьер газов крови и питательных веществ реализуется дыхательная, питательная и выделительная функция плаценты. При этом в кровоток плода попадает кислород и выводится углекислый газ и другие продукты метаболизма плода. Одновременно в сторону плода осуществляется транспорт белков, липидов, углеводов, микроэлементов, витаминов, ферментов и многого другого.
Схема строения плацентарного барьера
1 - эндотелий капилляров терминальных ворсин
2 - капилляр ворсины
3 - строма ворсины
4 - эпителиальный покров ворсин
Плацента осуществляет важную защитную (барьерную функцию) посредством плацентарного барьера, который обладает избирательной проницаемостью в двух направлениях. При нормальном течении беременности проницаемость плацентарного барьера увеличивается до 32 -34 недель беременности, после чего определенным образом снижается. Однако, к сожалению, через плацентарный барьер сравнительно легко проникают в плодовый кровоток достаточно большое количество лекарственных препаратов, никотин, алкоголь, наркотические вещества, пестициды, другие токсические химические вещества, а также целый ряд возбудителей инфекционных заболеваний, что оказывает неблагоприятное воздействие на плод. Кроме того, под воздействием патогенных факторов барьерная функция плаценты нарушается еще в большей степени.
Плацента анатомически и функционально связана с амнионом (водная оболочка), который окружает плод. Амнион представляет собой тонкую мембрану, которая выстилает поверхность плаценты, обращенной к плоду, переходит на пуповину и сливается с кожей плода в области пупочного кольца. Амнион активно участвует в обмене околоплодных вод, в ряде обменных процессов, а также выполняет и защитную функцию.
Плаценту и плод соединяет пуповина, которая представляет собой шнуровидное образование. Пуповина содержит две артерии и одну вену. По двум артериям пуповины течет обедненная кислородом кровь от плода к плаценте. По вене пуповины к плоду течет кровь, обогащенная кислородом. Сосуды пуповины окружены студенистым веществом, которое получило название "вартонов студень". Эта субстанция обеспечивает упругость пуповины, защищает сосуды и обеспечивает питание сосудистой стенки. Пуповина может прикрепляться (чаще всего) в центре плаценты и реже сбоку пуповины или к оболочкам. Длина пуповины при доношенной беременности в среднем составляет около 50 см.
Плацента, плодные оболочки и пуповина вместе образуют послед, который изгоняется из матки после рождения ребенка.
УЗИ сканер WS80
Эмбриология

Эмбриология человека - это направление науки, занимающееся изучением развития зародыша, то есть организма на ранних стадиях развития до рождения. Знания в области эмбриологии человека необходимы всем врачам, особенно работающим в направлении педиатрии и акушерства.
Знания эмбриологии оказывают помощь при диагностике нарушений в системе мать-плод, выявлении болезней детей после рождения, а также выявлении причин уродств.
На сегодняшний день знания в сфере эмбриологии применяют для выявления и ликвидации причин бесплодия, разработки противозачаточных препаратов, трансплантации фетальных органов. Приобрели актуальность проблемы трансплантации зародыша в матку, экстракорпорального оплодотворения и культивирования яйцеклеток.
Эмбриология изучает несколько стадий развития зародыша:
- оплодотворение с дальнейшим образованием зиготы;
- дробление и образование бластоцисты;
- гаструляцию - процесс образования зародышевых листов и осевых органов;
- органогенез и гистогенез внезародышевых и зародышевых органов;
- системогенез.
Внутриутробное развитие делится на три основных периода:
- начальный - первая неделя;
- зародышевый - вторая-восьмая недели;
- плодный - начинается с девятой недели и завершается рождением ребенка.
В среднем внутриутробное развитие человека продолжается 280 суток.
Эмбриология: стадия оплодотворения и образования зиготы
Оплодотворение - процесс слияния мужских и женских половых клеток, в результате которого восстанавливается диплоидный набор хромосом и возникает новая клетка - оплодотворенная яйцеклетка (зигота). Для возможности оплодотворения концентрация в эякуляте сперматозоидов должна соответствовать 20-200 млн/мл, а их общее количество - 150 млн/мл.
Процесс оплодотворения состоит из трех фаз:
- дистантного взаимодействия и сближения гамет;
- контактного взаимодействия с активацией яйцеклетки;
- проникновения сперматозоида в яйцеклетку с последующей сингамией (слиянием).
Дистантное взаимодействие обеспечивает хемотаксис - совокупность специфических факторов, отвечающих за повышение вероятности встречи мужских и женских половых клеток. В этом процессе важную роль играют вырабатываемые половыми клетками химические вещества.
Сразу после эякуляции происходит процесс капацитации - сперматозоиды под воздействием секрета женских половых путей приобретают оплодотворяющую способность. На механизм капацитации большое влияние оказывают гормональные факторы (например, прогестерон), активизирующие секрецию маточных труб.
Оплодотворение происходит в маточных трубах, ему предшествует осеменение, обусловленное хемотаксисом.
При контактном взаимодействии сперматозоиды приближаются к яйцеклетке, а затем вступают в контакт с ее оболочкой.
Далее происходит процесс проникновения головки и хвоста спермия в овоплазму. На периферии овоплазмы образуется оболочка оплодотворения.
В организме женщины в течение 12 часов после сближения мужского и женского пронуклеусов образуется одноклеточный зародыш - зигота.
Эмбриология: стадия дробления и образования бластоцисты
Дробление - это последовательный процесс деления зиготы без роста бластомеров. У человека дробление полное, асинхронное и неравномерное.
После первого дробления в организме женщины образуются два бластомера. Один из бластомеров обладает более крупными размерами и темной окраской, второй - светлый и более мелкий.
Из крупного бластомера происходит образование зародыша и большинства провизорных органов: плодной части плаценты и соединительной ткани хориона, желточного мешка, амниона, аллантоиса. Из второго бластомера развивается трофобласт.
Образование бластулы
Мелкие клетки в процессе дробления делятся быстрее крупных и обрастают их снаружи. Таким образом, образуется морула - скопление клеток. Внутри нее расположены крупные клетки, названные эмбриобластом, а снаружи мелкие клетки, названные трофобластом.
В ходе деления клеток морула увеличивается в размерах, клетками зародыша начинает секретироваться жидкость и накапливаться под трофобластом.
В дальнейшем объем жидкости увеличивается, образуется полость внутри зародыша, наполненная такой жидкостью, эмбриобласт оттесняется к периферии и прилипает к трофобласту. Образуется бластоциста.
Трофобласт образует выросты - ворсинки, вследствие чего поверхность бластулы неровная. Трофобласт - это первый провизорный орган, образующийся у зародыша. В дальнейшем трофобласт войдет в состав плаценты. Посредством трофобласта происходит имплантация зародыша в слизистую оболочку матки.
Эмбриология: стадия гаструляции
В результате перемещения клеток после образования бластулы образуется гаструла - двуслойный зародыш. Процесс образования гаструлы назван гаструляцией.
В процессе гаструляции происходит интенсивное перемещение клеток - будущие зачатки тканей перемещаются в соответствии с планом структурной организации будущего полноценного организма.
На стадии гаструляции зародыш состоит из зародышевых листков - разделенных пластов клеток. Наружный слой - эктодерма, внутренний - энтодерма. У позвоночных животных образуется третий слой (средний) - мезодерма.
Из эктодермы развиваются:
- эпителий кожи;
- нервная система;
- эмаль зубов;
- органы чувств.
Из энтодермы развиваются:
- эпителий легких;
- пищеварительные железы;
- эпителий средней кишки.
Из мезодермы развиваются:
- кровеносная система;
- соединительная и мышечная ткани;
- половые железы;
- почки и др.
Выделяют несколько способов гаструляции:
- инвагинация - осуществляется путем втягивания в бластоцель стенки бластулы;
- деляминация - в эпителиальный пласт эктодермы преобразуются клетки, располагающиеся снаружи, а оставшиеся формируют энтодерму. Деляминация характерна для кишечнополостных;
- эпиболия - обрастание клетками при неполном дроблении внутренней массы желтка или обрастание клеток другими быстро делящимися клетками;
- иммиграция - миграция внутрь бластоцеля части клеток стенки бластулы;
- инволюция - вворачивание наружного пласта клеток, увеличивающего в размерах, внутрь зародыша.
Эмбриология: стадия гистогенеза и органогенеза внезародышевых и зародышевых органов
Органогенез - совокупность процессов, приводящих к формированию зачатков органов и их последующей дифференциации в процессе эмбрионального развития.
В органогенезе выделяют:
- нейруляцию - процесс образования нейрулы. В нейруле закладывается мезодерма, состоящая, в свою очередь, из зародышевых листков и осевого комплекса органов - хорды, нервной трубки и кишки. Клетки комплекса органов влияют друг на друга. Такое влияние носит название эмбриональной индукции.
- гистогенез - ряд процессов, обеспечивающих образование и восстановление тканей в ходе онтогенеза.
На сегодняшний день эмбриология стала одним из важнейших направлений науки. В медицине ее применение не ограничивается областью гистологии и анатомии. Эмбриология имеет важное значение в развитии профилактической медицины, направленной на разработку и тестирование новых медицинских препаратов, борьбу с наследственными заболеваниями. Эмбриология имеет большие перспективы, связанные с развитием генетики и ряда других наук.
Также эмбриология тесно связана с ЭКО, так как эмбриологический период является одним из важнейших этапов программы экстракорпорального оплодотворения.
Клиническая эмбриология изучает причины нарушений эмбрионального развития, механизмы развития уродств, а также способы влияния на эмбриогенез.
Разработки в области ЭКО стали возможными благодаря использованию высокотехнологической медицины и развитию клинической эмбриологии. Исход экстракорпорального оплодотворения в большой степени зависит от знаний и опыта специалиста-эмбриолога.
Этапы развития и строение нервной трубки у человека

Внутриутробное развитие младенца сравни превращению: из двух маленьких клеток формируется целый организм со сложными системами и нервной регуляцией.
Закладываемая на 19-22 день развития плода нервная трубка обеспечит в дальнейшем всю его мыслительную деятельность, отличающую человека от животных.
Что такое нервная трубка?
Нервной трубкой называют основу будущей нервной системы, формирующейся у плода, которая развивается из наружного клеточного слоя (зародышевого листка — эктодермы) наряду с кожей, в то время как из энтодермы формируется пищеварительная система.
Закладка нервной трубки плода начинается на третьей неделе его развития. Сначала появляется нервная пластинка, затем на ее краях формируются небольшие возвышения, называемые нервными валиками, по центру которых возникает желоб. Он в дальнейшем послужит полостью для органа. Примерно на 24 день пластинка начинает скручиваться и валики смыкаются, образуется форма трубки.

Спереди она расширяется, формируя мозговые пузыри, а остальная часть станет в дальнейшем спинным мозгом. От валиков постепенно отделяются частички ганглиозной пластинки, из которых потом сформируются узлы спинного мозга и ответвления вегетативной части нервной системы. Увидеть появление спинномозговых ганглий у зародыша можно уже через 1,5-2 месяца.
Клетки, образующиеся в ганглиозной пластинке, постепенно перемещаются к ганглиям в симпатическом стволе, мозговому слою надпочечников и стенкам будущего кишечника.
Окончательная сформированность трубки возникает на сроке в 5-8 недель, когда закладывается развитие всех органов плода. В этот момент у младенца формируются сердце, легкие, органы чувств, конечности и прочие системы. Усложняется и сама трубка.
Строение и слои
В процессе развития нервной системы в трубке возникает три слоя:
- эпендимный или внутренний;
- мантийный или промежуточный;
- краевая вуаль или наружный слой.

Первый слой служит основой для нейронов и глиоцитов нервной системы. Часть нейронов переходит в периферическую часть органа, образуя мантийный слой, а остальные формируют клетки глии.
Важнейшие из них - эпендимоциты выстилают внутреннюю часть трубки, которая затем разовьется в центральный спинномозговой канал и стенки желудочков головного мозга.
Во внутреннем слое выделяют отдельные функциональные зоны, которые со временем переходят одна в другую. Зона деления содержит клетки, среди которых находящиеся ближе к центру протягивают отростки к наружному краю и перемещают туда тело нейрона, содержащее ядро.
В нем в это время происходит синтез ДНК, после чего частицы возвращаются на свое место. Клетки же, «сидящие» на нижнем краю, делятся на две.
На участке миграции эти половинки взаимодействуют. Одна из них опять начинает делиться, а другая, используя ее, перемещается к промежуточному слою.
Промежуточный слой возникает благодаря нейробластам - клеткам мигрантам, не потерявшим способность к делению и крепящимся к внутренней части слоя.
Нейробласты постепенно образуют аксоны, которые направляют в наружный слой, формируя таким образом дендритное дерево и превращаясь в нейроны. Не закрепленные клетки преобразуются в спонгиобласты. Из промежуточного слоя формируется такая часть спинномозговой ткани, как серое вещество.
Слой снаружи состоит из отростков нейронов, содержащихся в мантийном слое, и кровеносных сосудов. Он выступает основой для развития белого вещества в мозге.

Формирование спинного мозга
Процесс образования зачатков нервной ткани называется нейруляцией. Основу спинного мозга составляет большая половина трубки, которая не была задействована в образовании головного мозга. Постоянное разделение клеток, находящихся на противоположных концах приводит к образованию формы, напоминающей песочные часы, состоящие из крыловидной (это верхнее утолщение) и базальной пластинки (или нижнее утолщение).
Из первой постепенно образуются задние ответвления спинного мозга, а из второй - передние. Начинается процесс дифференциации. Происходит он благодаря перемещению нейробластов за пределы краевой вуали.
В спинном мозге, в отличие от отделов головного, клетки не «уходят» за краевую зону, что обеспечивает сохранность разделения слоев у человека в дальнейшем: на центральный канал, серое и белое вещество.
Образование нервной трубки в онтогенезе человека происходит за счет «включения» определенных групп генов. Так, для формирования крыловидной пластинки должен активироваться ген Pax, а для базальной он подавляется.
Причины и последствия неправильного развития нервной трубки у плода
Формирование трубки у плода представляет собой сложный и многогранный процесс, сбой хотя бы в одном элементе приводит к тяжелым дефектам развития органа. Они поражают мозг ребенка и его позвоночник, ведь связь нервной трубки и хорды очень плотная.
Образуются дефекты в ситуациях, когда закладка нервной трубки происходит не полностью либо она не закрывается. При этом может возникать:
- Расщепление позвоночника. Оно формируется у основания столба, там образуется отверстие, через которое спинной мозг будет выходить наружу.
- Анэнцефалия образуется в верхнем отделе нервной трубки и приводит к несформированности некоторых элементов головного мозга и развития черепа зародыша.
- Мальформация Киари проявляется «протеканием» мозговой ткани в канал позвоночника.
- Энцефалоцеле проявляется в частичном выходе мозга и мембран сквозь черепные кости.
Причины образования подобных дефектов пока точно не установлены. В какой-то момент онтогенез дает сбой, что в дальнейшем приводит к нарушению всей системы. Поскольку закладывается трубка в поздней гаструле и завершается этот этап на 25 день, механизм его толком не изучен.
Известно, что на вероятность появления дефектов влияют наследственные факторы и заболевания, затрагивающие нервную систему.
Влияет на формирование проблемы и условия окружающей обстановки, а также состояния матери. К негативным моментам, повышающим риск возникновения дефектов нервной трубки можно отнести:
- радиационное облучение;
- отравление мышьяком или свинцом;
- длительная лихорадка у женщины на начальных стадиях беременности;
- недостаток питания;
- вирусные инфекции;
- гипервитаминоз витамина А;
- лишний вес или диабет у матери;
- недостаток фолиевой кислоты у беременной женщины;
- прием женщиной некоторых препаратов.
Состояние матери - первый фактор, который влияет на закладку у плода трубки. Если женщина находится в экологически неблагоприятном районе, где в воздух и воду могут поступать вредные вещества (пестициды, выхлопные газы, нефтепродукты и прочее), она вдыхает их, а вместе с кровью эти продукты попадают в организм младенца.
Для взрослого человека риск меньше, поскольку его организм уже сформирован и способен переработать большинство опасных веществ. В организме зародыша механизмы защиты еще не работают и любое вредное воздействие способно нарушить течение процессов и привести к развитию патологии, в том числе изменению состояния трубки.
Неправильное питание также сказывается отрицательно. Недостаток питательных веществ приводит к нарушению процессов формирования органов, так же как и переизбыток биологически активных компонентов вроде витаминов.

Симптомы дефектов
При наличии дефектов нервной трубки малыш может погибнуть еще не родившись, или в первые часы после рождения. Подобное наблюдается при энцефалоцеле.
Если ребенок появился на свет жизнеспособным, у него могут появляться следующие симптомы:
- физиологическая деформация (появление спинномозговой ткани в районе поясницы);
- нарушение функции тазовых органов;
- паралич и судороги;
- боль при движении;
- снижение чувствительности органов;
- нарушение развития.
Обнаружить проблемы можно и в период внутриутробного развития. Сделать это может врач на УЗИ диагностике, которая происходит на стадии 20-22 недель.
Симптомы последствий аномалии в развитии:
- Скрытое несращение позвоночника, расположенное в области поясницы и крестца. Оно не имеет клинических симптомов, обнаруживается обычно случайно на рентгеновском обследовании. При этом не проявляются изменения на коже, за исключением редких пигментных пятен или жировичков. Последствиями подобного дефекта являются нарушения осанки, слабость мышц ног, деформация стоп, боль в пояснице, недержание мочи.
- Открытое расщепление проявляется в виде появления кисты — твердой мозговой оболочки, в ней содержится спинномозговая жидкость. Последствия ее зависят от числа пораженных позвонков. Если задето 3-5 штук, то у больного проявляются нарушения мочевыделительной системы, слабость мышц. При поражении 6-8 позвонков просвечивает выпячивание, у пациента может произойти разрыв мешка кисты и протекание жидкости.
- Несращение позвоночника и окружающих его мягких тканей приводит к неполному развитию спинного мозга и часто не совместимо с жизнью.
Чаще всего такие отклонения затрагивают поясничный отдел, и крайне редко грудной или шейный. Это связано с вероятностью выживания плода. Поражение шейного отдела часто несовместимо с жизнью, поэтому заканчивается выкидышем.
Лечение и профилактика неправильного развития
В период развития плода женщина должна проходить обследования, которые помогут обнаружить патологии развития. Если дефект обнаружен, и женщина решила сохранить ребенка, ей назначается кесарево сечение. Рождение малыша естественным путем невозможно, поскольку прохождение через родовые пути может привести к дополнительному травмированию спинного мозга.
Также в период вынашивания будущей маме может назначаться специальная лекарственная терапия, помогающая компенсировать нехватку полезных веществ и частично разрешить проблему.
Младенца сразу осматривает неонатолог и детский нейрохирург. В зависимости от состояния ребенка ему назначается лечение. Чаще всего оно происходит в хирургической форме.
Ребенку оперативным способом удаляют грыжевой дефект, восстанавливают физиологически правильное состояние спинного мозга и ушивают окружающие ткани. Проводить операцию желательно сразу после рождения, когда вероятность заражения инфекцией минимальна.
Так как формирование нервной трубки происходит в момент внутриутробного развития, повлиять на ее исправление в будущем сложно.
Поэтому беременной женщине важно позаботиться о профилактике патологии:
- регулярно проходить обследования;
- заботиться о собственном здоровье;
- правильно питаться;
- постараться избегать стрессов и воздействия других негативных факторов.
Нервная трубка - важный элемент развития плода, от которого зависит возможность выживания ребенка.
Пренатальная диагностика уриномы как осложнения обструктивной уропатии

Точная и уверенная диагностика. Многофункциональная ультразвуковая система для проведения исследований с экспертной диагностической точностью.
Введение
Врожденные пороки развития (ВПР) мочеполовой системы относятся к наиболее частым ВПР, выявляемым во время беременности (1-4 на 1000 беременностей [1]), и составляют 15-20 % в структуре пренатально диагностируемых ВПР [2]. Подавляющее большинство ВПР мочеполовой системы представлено обструктивными уропатиями. Это группа заболеваний, которые характеризуются наличием структурного или функционального препятствия нормальному оттоку мочи, приводящего к нарушению функции почек. При затруднении оттока мочи развивается расширение почечной лоханки (пиелоэктазия) или расширение не только лоханки, но и чашечек (гидронефроз).
Частота гидронефроза составляет 2,5-2,8 на 1000 плодов [3]. В подавляющем большинстве случаев подобные изменения являются преходящими (до 48 %) или физиологическими (до 15 %) и только около трети случаев врожденного гидронефроза вызваны наличием патологии мочевыводящих путей, к которой относится обструктивное поражение лоханочно-мочеточникового или пузырно-мочеточникового соустья, мегауретер, дисгенезия клоаки, пузырно-мочеточниковый рефлюкс, задние уретральные клапаны, мегацистис-микроколон-интестинальный гипоперистальтический синдром и др. Степень выраженности гидронефроза обусловлена его этиологией: чем выше уровень обструкции, тем выраженнее гидронефротическая трансформация почки. Дополнительными факторами при прогнозировании работы почки являются срок беременности, при котором возникла обструктивная уропатия, а также причины гидронефроза.
При обструкции на уровне лоханочномочеточникового соустья (ОЛМС) функция почки страдает в большей степени, нежели при других причинах гидронефроза. Характерными ультразвуковыми признаками обструкции высокого уровня являются расширение лоханки свыше 15 мм при отсутствии расширенного мочеточника и нормальные размеры мочевого пузыря.
ОЛМС практически всегда сопровождается выраженным гидронефрозом и развитием осложнений. Одним из таких осложнений является разрыв почечной лоханки и формирование уриномы или мочевого асцита.
Уринома представляет собой инкапсулированное скопление жидкости, вызванное экстравазацией мочи через периренальные пространства или разрывом почки и ее фасции. Наиболее частой причиной возникновения урином являются ОЛМС или задние уретральные клапаны. Дополнительными причинами являются мегауретер или (редко) пузырно-мочеточниковый рефлюкс [4]. Предполагается, что возникновение уриномы является защитным механизмом от повышения внутрипочечного давления, вызванного затруднением оттока мочи. Экстравазация мочи под почечную фасцию или в забрюшинное пространство способствует снижению давления, тем самым предохраняя почку от диспластических изменений. Существует и альтернативная гипотеза: наличие уриномы уже отражает тот факт, что развивающаяся почка подверглась воздействию высокого давления (достаточно высокого, чтобы привести к разрыву собирательной системы почки), и является одним из факторов, обусловливающих дисплазию почки и нарушение ее работы. Изолированная уринома, вызванная ОЛМС, почти всегда приводит к необратимому повреждению ипсилатеральной почки [5].
Ультразвуковым признаком уриномы является кистозное образование эллипсоидной формы или в виде полумесяца, прилегающее к почке или позвоночнику. Уриномы больших размеров могут принимать различные формы, растягивая и смещая почку. При этом направление смещения почки указывает на то, исходит ли уринома из переднего или заднего паранефрального пространства. Уриномы небольших размеров могут имитировать расширенную чашечку или лоханку, однако тщательная оценка коры почки помогает в проведении дифференциального диагноза.
Клиническое наблюдение 1
Пациентка Б., 32 лет, проходила плановое скрининговое обследование в 21-22 нед беременности, во время которого было обнаружено образование брюшной полости плода и назначен контрольный осмотр в срок 22-23 нед. После контрольного осмотра женщина была направлена в медико-генетическое отделение МОНИИАГ с диагнозом: "Киста левой почки? Образование в брюшной полости?".
Настоящая беременность от первого брака, по счету вторая. Супруги соматически здоровы, профессиональных вредностей не имеют, наследственность не отягощена. В анамнезе одни нормальные роды, ребенок здоров. На учете в женской консультации пациентка состояла с 7 нед. Беременность протекала без осложнений. Результаты скрининга I триместра патологии не выявили.
При ультразвуковом исследовании обнаружен один живой плод. Гестационный срок составил 22,1 нед. Фетометрические показатели соответствовали данному сроку. Патологических изменений плаценты и околоплодных вод не было выявлено.
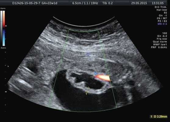
Лоханка правой почки была расширена до 13 мм, паренхима истончена и гиперэхогенна, кортикомедуллярная дифференцировка отсутствовала. При ЦДК кровоток в паренхиме не визуализировался. Вокруг правой почки по всему ее периметру определялось анэхогенное образование размером 56×20×26 мм (рис. 1, 2). Мочеточники с обеих сторон не визуализировались. Изменения левой почки отсутствовали. Мочевой пузырь был удовлетворительного наполнения и опорожнения. Оба надпочечника визуализировались.

Рис. 1. Образование вокруг правой почки плода.

Рис. 2. Истончение паренхимы правой почки плода с отсутствием кровотока в режиме ЦДК.
Изменений по остальным органам и системам не выявлено.
Клиническое наблюдение 2
Пациентка Х., 39 лет, после проведения планового скринингового исследования в 19-20 нед беременности по месту жительства обратилась в медико-генетическое отделение МОНИИАГ с направляющим диагнозом: "Киста забрюшинного пространства".
Настоящая беременность от первого брака, по счету третья. Супруги соматически здоровы, профессиональных вредностей не имеют, наследственность не отягощена. В анамнезе двое нормальных родов, оба ребенка здоровы. На учете в женской консультации пациентка состояла с 10 нед. Беременность протекала без осложнений. Результаты скрининга I триместра отклонений не выявили.
При ультразвуковом исследовании обнаружен один живой плод мужского пола. Гестационный срок составил 20,2 нед. Фетометрические показатели соответствовали данному сроку. Патологических изменений плаценты и околоплодных вод не было выявлено.
Левая почка была увеличена до 31×19×25 мм, преимущественно за счет анэхогенного образования с однородным содержимым до 16 мм в диаметре. Образование исходило из верхнего полюса почки и располагалось под ее капсулой. Сама почка была смещена книзу. При этом лоханка была незначительно расширена - до 4 мм, в то время как чашечки расширены не были. Левый мочеточник не визуализировался (рис. 3).

Рис. 3. Кистозное образование у верхнего полюса левой почки плода.
Область правой почки занимало округлое тонкостенное анэхогенное образование до 36 мм в диаметре. Правая почка была уменьшена в размерах до 17×9×20 мм, смещена и располагалась, распластываясь в виде полумесяца по задней поверхности образования (рис. 4). Правый мочеточник не визуализировался. Паренхима обеих почек была повышенной эхогенности, кортикомедуллярная дифференцировка почечных слоев нечеткая.

Рис. 4. Образование возле правой почки и расширенный мочевой пузырь плода.
Надпочечники с обеих сторон были интактны. Мочевой пузырь был увеличен до 20 мм в диаметре, с утолщенными стенками и в процессе динамического осмотра не опорожнялся (рис. 5). Изменений по остальным органам и системам не было выявлено.

Рис. 5. Расширенный мочевой пузырь плода.
В представленных клинических наблюдениях надпочечники были интактны, а выявленные образования визуализировались непосредственно рядом с почками. В наблюдении 1 контуры образования повторяли контуры капсулы почки, а в наблюдении 2 образование слева имело общую с почкой капсулу. В связи с этим мы сделали вывод о том, что данные образования исходят из почек и являются следствием обструктивной уропатии.
В первом наблюдении, принимая во внимание контуры образования и его локализацию, расширение лоханки и изменения почечной паренхимы, был поставлен диагноз: "Беременность 22,1 нед. ВПР мочеполовой системы: УЗ-признаки уриномы правой почки на фоне обструктивной уропатии". Поскольку изменения второй почки и мочевого пузыря отсутствовали, правосторонняя обструктивная уропатия была наиболее вероятной причиной возникновения уриномы.
Во втором наблюдении поражение почек было двусторонним. Изменения левой почки были характерными ультразвуковыми проявлениями уриномы. Наличие кистозного образования, тесно прилегающего к почке, незначительное расширение лоханки и нечеткая кортикомедуллярная дифференцировка свидетельствовали о воздействии на почку высокого давления из-за нарушения оттока мочи с последующим разрывом почечной паренхимы и формированием уриномы.
Ультразвуковые изменения правой почки были более выраженными. По заднему краю образования диаметром 36 мм была распластана сама почка. Мочеточники с обеих сторон не визуализировались ни на одном из своих участков вплоть до места впадения в мочевой пузырь. Нормальное количество околоплодных вод, мужской пол плода, отсутствие расширенных мочеточников на фоне относительно небольшого увеличения размеров мочевого пузыря позволили нам исключить атрезию уретры, синдром задних уретральных клапанов и мегацистис-микроколон-интестинальный гипоперистальтический синдром и предположить наличие обструктивного поражения мочевыводящих путей на высоком уровне.
На основании выявленных изменений был поставлен диагноз: "Беременность 20,2 нед. ВПР мочеполовой системы: УЗ-признаки обструктивной уропатии - двусторонняя уринома, мегацистис".
Учитывая большие размеры урином как в первом, так и во втором наблюдениях, в качестве причины возникновения обструктивной уропатии мы предположили одностороннее отсутствие или атрезию мочеточника у обоих плодов.
ОЛМС встречается преимущественно у мальчиков (соотношение мальчиков и девочек составляет 3:1). До 40 % случаев поражение двустороннее, у 10 % плодов выявляются экстраренальные изменения [6]. ОЛМС может быть как функциональным (чаще всего), так и анатомическим. К последним можно отнести стеноз, атрезию мочеточника или его врожденное отсутствие (агенезию).
Агенезия мочеточника встречается крайне редко и обычно сочетается с отсутствием почки или ее дисплазией и может быть как одно-, так и двусторонней. Чаще встречается атрезия мочеточника, которая возникает вследствие нарушения или отсутствия канализации растущего мочеточникового зачатка и может локализоваться на разных уровнях: в лоханочно-мочеточниковом, пузырно-мочеточниковом сегментах или на уровне пересечения мочеточников подвздошными сосудами. Атрезия сопровождается гидронефрозом и дисплазией почки. Мочеточник чаще всего заканчивается слепо и резко расширяется выше уровня атрезии, но может иметь вид фиброзного тяжа [7].
Первый случай врожденного отсутствия мочеточника описан в 1907 г. D. Allen и H. Parker [8]. Однако диагноз ставился уже по данным аутопсии. Пренатальная диагностика агенезии мочеточника крайне затруднительна. На сегодняшний день в литературе описан только один случай диагностики агенезии мочеточника в 29 нед у плода с левосторонним образованием около левой почки до 5 см в диаметре и многоводием [9]. Несмотря на неоднократные попытки амниоредукции и дренирования уриномы, в 33 нед произошли преждевременные роды и через 20 мин новорожденная девочка умерла. На аутопсии был подтвержден диагноз: "уринома больших размеров" - и установлена точная причина ОЛМС - отсутствие левого мочеточника.
В наблюдении 2 семья приняла решение о досрочном прекращении беременности, однако отказалась от последующего патолого-анатомического исследования плода, в связи с чем наше предположение о генезе ОЛМС осталось неподтвержденным. Двусторонняя атрезия или агенезия мочеточников является летальным пороком. При одностороннем поражении прогноз обусловлен характером осложнений. По данным J. Hutcheson и соавт. [10], развитие уриномы является менее благоприятным в отношении сохранности почечной функции, чем развитие мочевого асцита. Важными являются и размеры уриномы. При уриноме больших размеров прогноз для плода чаще всего неблагоприятный. В первую очередь это связано с потерей функции пораженной почки как результатом воздействия высокого давления на почечную ткань. Так, в случае, представленном A. Ghidini и соавт. [11], описывается правосторонняя уринома большого размера (3,5×5,5 см), которая спонтанно исчезла вскоре после родов, и ультразвуковые признаки изменения мочевыводящих путей отсутствовали, однако спустя год у ребенка была выявлена инволюция правой почки.
Дополнительным фактором, усугубляющим прогноз при уриноме больших размеров, является гипоплазия легких. Этому способствует выраженный длительный подъем купола диафрагмы в результате повышенного внутрибрюшного давления, а также развивающееся в некоторых случаях маловодие [10].
Представленные клинические наблюдения отражают разнообразие ультразвуковых проявлений уриномы: от жидкостного образования, расположенного вокруг неизмененной по форме почки и повторяющего ее контуры, до образования, растягивающего и смещающего почку в разных направлениях. Уриномы могут достигать больших размеров и быть как одно‑, так и двусторонними. Их необходимо дифференцировать с опухолями почек, надпочечников и забрюшинного пространства, кистами почек, брыжейки и желудочно-кишечного тракта. Однако выявление связи образования с почкой и оценка почечной капсулы, а также наличие наиболее вероятных причин формирования урином (ОЛМС, задние уретральные клапаны) позволяют поставить правильный диагноз.
Заключение
Причина развития ОЛМС и возникновения уриномы чаще всего недоступна для пренатальной диагностики, однако, помимо наиболее известных этиологических факторов, врачу, проводящему исследование, необходимо помнить и о таких редких врожденных пороках развития, как атрезия или агенезия мочеточника, особенно в случае больших размеров уриномы.
Литература
УЗИ сканер HS70
Читайте также:
