Размеры и линии таза, тазобедренного сустава в норме
Добавил пользователь Евгений Кузнецов Обновлено: 21.11.2025
Главная » Все конференции » Архив конференций / Conferences' Archive » Весенняя научная сессия кафедры анатомии человека Саратовского ГМУ им. В.И. Разумовского - 2014 » Показатели минеральной плотности костной ткани и электронейромиографической активности у пациентов с диспластическим коксартрозом различной степени выраженности
Показатели минеральной плотности костной ткани и электронейромиографической активности у пациентов с диспластическим коксартрозом различной степени выраженности
Юсупов К.С., Анисимова Е.А., Анисимов Д.И.
ФБГУ «Саратовский НИИТО» Минздрава России; ГБОУ ВПО «Саратовский ГМУ им. В.И. Разумовского» Минздрава России
Резюме
Цель: определить показатели минеральной плотности костной ткани и электронейромиографические показатели при дисплатическом коксартрозе различной степени выраженности. Методы. Денситометрия, определение электронейромиографических показателей. Результаты. Не выявлено прямой зависимости снижения минеральной плотности костной ткани от степени выраженности диспластического коксартроза. Снижение ЭНМГ-показателей периферических нервов нижних конечностей пациентов с ДКА свидетельствуют о поражении нервных стволов не только на уровне бедра и голени, но и на уровне корешков спинномозговых нервов.
Ключевые слова
диспластический коксартроз, минеральная плотность костной ткани, электронейромиографические показатели
Статья
К.С. Юсупов - ФБГУ «Саратовский НИИТО» Минздрава России, врач травматолог-ортопед; Е.А. Анисимова - ГБОУ ВПО «Саратовский ГМУ им. В.И. Разумовского» Минздрава России; Д.И. Анисимов - ФБГУ «Саратовский НИИТО» Минздрава России, врач травматолог-ортопед.
Введение. Диспластический коксартроз - постоянно прогрессирующее заболевание вследствие врожденных дефектов соединительной ткани и недоразвития тазобедренного сустава, при котором выраженная деформация вертлужной впадины и проксимального отдела бедренной кости приводит к дисконгруэнтности и биомеханической неполноценности сустава 2. В свою очередь, именно анатомо-биомеханическая несостоятельность суставных поверхностей приводит к развитию вторичного артроза преимущественно у лиц старше 30 лет[7].
Crowe et al. (1979) предложили классификацию [8], которая основывается на оценке уровня краниального смещения головки бедренной кости и включает четыре типа. Авторы исходили из того, что на рентгенограмме нормальных тазобедренных суставов нижняя граница фигуры слезы и место перехода головки бедра в шейку находятся на одном уровне, а высота головки составляет 20% высоты таза. При I типе по Crowe проксимальное смещение головки составляет до 50% высоты головки или до 10% высоты таза, при II типе - 50-75% высоты головки или 10-15% высоты таза, при III типе - 75-100% или 15-20% соответственно.
IV тип Crowe характеризуется проксимальным смещением головки более 100% или больше 20% высоты таза. Благодаря цифровым параметрам, классификация Crowe является понятной и однозначной, однако она не полностью учитывает изменения вертлужной впадины в зависимости от степени дисплазии, что важно для планирования установки вертлужного компонента протеза (рис. 1, 2).

Рис. 1. Схема классификация диспластического коксартроза по Crowe I-IV типов по сравнению с нормальным взаимоотношением костных элементов тазобедренного сустава

Минеральная плотность костной ткани, определяемая при денситометрии, может иметь нормальные показатели, однако количество больных с остеопенией и остеопорозом увеличивается при более выраженной степени диспластического коксартроза.
В зависимости от степени выраженности диспластического коксартроза изменяются и электронейромиографические показатели.
Цель: определить показатели минеральной плотности костной ткани и электронейромиографические показатели при дисплатическом коксартрозе различной степени выраженности.
Методы. Все пациенты были разделены на три группы в соответствии со степенью тяжести диспластического коксартроза (ДКА) согласно классификации Crowe [8] и проводимым методам лечения. В 1-ю группу вошли 35 человек с ДКА I-II типа Crowe (при I типе проксимальное смещение головки составляет до 50% высоты головки или до 10% высоты таза, при II типе - 50-75% высоты головки или 10-15% высоты таза), которым проводилась операция тотального эндопротезирования (ТЭП) по стандартной методике. 2-ю группу составили 29 пациентов с ДКА III типа Crowe (смещение головки составляет 75-100% или 15-20% высоты таза), которым выполняли ТЭП с применением укрепляющих антипротрузионных колец у 16 пациентов и ТЭП в сочетании с артропластикой вертлужной впадины по разработанному в ФГБУ «СарНИИТО» способу (патент № 236918, опубл. 20.08.2010 г.). В 3-ю группу отнесли 42 больных с ДКА IV типа Crowe (характеризуется проксимальным смещением головки более 100% или больше 20% высоты таза), прооперированных комбинированным методом - ТЭП в сочетании с двойной V-образной подвертельной остеотомией, разработанным автором Пат. №2518141, опубл. 10.06.14, заявка № 2013118381, от 19.04.13 Бюл № 16).
Следует отметить, что во всех группах преобладали женщины, что свидетельствует о предрасположенности женского пола к диспластическим изменениям суставов [9].
Для оценки минеральной плотности костной ткани (МПКТ) применяли «золотой стандарт» - двухэнергетическую рентгеновскую абсорбциометрию (DEXA) на рентгеновском денситометре Prodigy фирмы «GE LUNAR Corporation» производства Великобритании (рег. № 2002/126, действ. до 12.2013 г.) с использованием кадмий-цинк-теллуридовой детекторной матрицы, на специальном столе. Положение пациента при исследовании - на спине с ротацией стоп кнутри на 15°, определение МПКТ проводили в проксимальном отделе бедренной кости, поясничном отделе позвоночника, по программе «Все тело» (рис. 3).

Рис. 3. Определение МПКТ по стандартным зонам (1 - поясничный отдел, 2 - шейка бедренной кости)
Доза облучения, получаемая пациентом за одно обследование, составляла 0,05 мЗв. Сравнительная оценка полученных результатов производилась по Т-критерию от пиковой костной массы у лиц соответствующего пола в стандартных единицах (SD): Т-критерий до -1SD - норма; Т-критерий от -1 SD до -2,5 SD - остеопения; Т-критерий меньше -2,5 SD - остеопороз.
В предоперационном периоде у всех пациентов проводили электронейромиографическое (ЭНМГ) и электромиографическое (ЭМГ) исследования на электромиографе «Keypoint» фирмы «АлпайнБиомедАпС» производства Дания с принадлежностями (рег. удостоверение ФС № 2009/04288 от 13.05.2009 г.)
Статистический анализ результатов обследования пациентов проведен с помощью программного пакета AtteStat для Microsoft Excel. В статистическом исследовании ставили следующие задачи: 1. Сравнить показатели анализируемых выборок пациентов и здоровых людей. 2. Сравнить показатели выборок пациентов до- и после лечения. 3. Оценить эффективность проводимого лечения. Нормальность распределения показателей определяли с помощью критерия Шапиро-Уилка и графического анализа. Для решения поставленных задач использовали непараметрические критерии, поскольку объем каждой выборки был менее 100 случаев. Различие между независимыми выборками определяли с помощью критерия Манна-Уитни. Сравнение показателей в динамике лечения пациентов и эффективность лечения проводили с помощью Т-критерия Вилкоксона парных сравнений.
Результаты. 49,1% пациентов всех групп наблюдения имели нормальные показатели Т-критерия независимо от типа ДКА, даже наличие тяжелых изменений в области такого крупного сустава практически не коррелирует со степенью изменений МПКТ (табл. 1).
В то же время, большее количество пациентов со сниженной МПКТ имеется во 2-й и 3-й группах исследования, причем регистрировали локальное снижение МПКТ в шейках обоих ТБС.
У пациентов с ДКА типа I-II Crowe практически все ЭНМГ-показатели нервов нижних конечностей имели значимые отклонения от возрастной нормы. Так, на стороне диспластического ТБС амплитуда М-ответа прямой мышцы бедра не превышала 2,2±0,5 мВ, что составляло снижение на 75,6% от нормальных показателей, на противоположной стороне соответствовала нижней границе нормы. Средний показатель времени проведения импульса на уровне проксимального отрезка (латентный период ЛП F-волн) соответствовал 27,7±4,0 мс и на 7,9±1,5 мс превышали значения контралатеральной стороны (табл. 2).
У большей части пациентов 1-й группы - 27 человек (77,1%) выявлены изменения показателей малоберцового нерва. Существенной разницы в средних значениях амплитуды М-ответа между сторонами не выявлено, однако достоверное снижение от возрастной нормы составило 55,1%. На стороне диспластичного ТБС регистрировано снижение показателя СПИ эфф на уровне голени до 46,4±1,6 м/с, но признаков демиелинизирующего поражения на уровне проксимальных отрезков и корешков L5 выявлено не было. Антидромные ответы мотонейронов спинного мозга носили нерегулярный характер.
При исследовании афферентной проводимости большеберцового нерва нередко регистрировались дополнительные, фиксированные волны, что расценивалось как признак многоуровневого и/или локального поражения на протяжении седалищного нерва и/или корешка S1 спинного мозга.
У 12 (34,2%) пациентов с ДКА I-II типа Crowe при исследовании афферентной проводимости нервов между М- и F-волнами регистрировалась А-волна, с латентным периодом от 19,7 до 26,3 мс. Значительные достоверные схожие изменения показателей функции большеберцового, малоберцового и бедренного нервов выявлены и у пациентов 2-й и 3-й групп наблюдений, что позволило интерпретировать их результаты как одно исследование.
Сопоставление значений амплитуды М-ответа бедренного, малоберцового и большеберцового нервов у пациентов всех групп наблюдения приведено на рисунке 4.

Рис. 4. Сопоставление данных М-ответа бедренного, малоберцового и большеберцового нервов пациентов 1-3-й групп с показателем возрастной нормы
При межгрупповом сравнении ЭНМГ-показателей бедренного нерва выявлено, что во 2-й и 3-й группах наблюдения средние значения М-ответа прямой мышцы бедра на стороне диспластичного ТБС были в 2 раза выше, чем в 1-й группе, а снижение относительно показателя возрастной нормы составляло 56,7%. У пациентов 2-й и 3-й групп показатели проводимости на уровне проксимальных отрезков были выше, что свидетельствовало о патологической возбудимости нервных волокон.
Отмечено снижение показателей ЭНМГ малоберцового нерва у больных 2-й и 3-й групп с обеих сторон, однако, они сопоставимы с результатами исследования пациентов 1-й группы, а снижение показателя от возрастной нормы составляло 55,1%. Все это свидетельствует о нарушении компенсаторных механизмов на уровне поясничного отдела позвоночника, а также с контралатеральной стороны.
ЭНМГ-данные большеберцового нерва у пациентов 2-й и 3-й групп в большинстве случаев соответствовали норме и были практически в 2 раза выше аналогичных показателей пациентов 1-й группы, особенно на стороне контрлатерального ТБС, характеризуя меньшую вовлеченность в патологический процесс, снижение полученных значений относительно возрастной нормы было до 29,7%.
Достоверно повышенными регистрированы ЭНМГ-показатели проводимости на уровне проксимальных отрезков, так ЛП F-волн были на 4-6 мс меньше в сравнении с 1-й группой, что указывало на менее выраженные поражения корешков первого крестцового спинномозгового нерва (S1).
Большую выраженность изменений данных нейрофизиологического исследования пациентов 2-й и 3-й групп на противоположной диспластичному ТБС стороне можно объяснить наличием сопутствующей патологией пояснично-крестцового отдела позвоночника с корешковыми поражениями и развитием очагов миофиброза в поясничной и ягодичной группе мышц.
При изучении ЭНМГ-показателей наличие А-волны является признаком локального коллатерального разрастания аксонов в ответ на компрессию проксимальных стволов, что свидетельствует о хронической невропатии седалищного нерва, на фоне поражения корешка спинного мозга [10].
Заключение. Таким образом, исходные ЭНМГ-показатели периферических нервов нижних конечностей пациентов с ДКА свидетельствуют о поражении нервных стволов не только на уровне бедра и голени, но и на уровне корешков спинномозговых нервов. Длительно существующий болевой синдром, ограничение физической нагрузки, укорочение конечности приводили к появлению сложных компенсаторно-приспособительных механизмов с вовлечением поясничного отела позвоночника и развитию миелорадикулопатий.
При анализе результатов нейрофизиологического мониторинга выявлено, что в большинстве случаев поражение периферических нервов нижних конечностей у пациентов с ДКА носило двусторонний характер и более выражено у пациентов 1-й группы.
В то же время, перераспределение нагрузки на противоположную конечность в течение длительного времени способствует возникновению стойких неврологических нарушений и миофасцикулярных синдромов с формированием тригерных точек, что объективно подтверждалось более значимыми патологическими сдвигами ЭНМГ-показателей контралатеральной стороны у пациентов 2-й и 3-й групп.
Конфликт интересов. Работа выполнена в рамках программы НИР ФБГУ «Саратовский НИИТО» Минздрава России.
Возможности ультразвуковой диагностики патологий тазобедренных суставов у детей в первые 6 месяцев жизни

Содержит актуальную клиническую информацию по ультрасонографии и ориентирован на врачей ультразвуковой диагностики, выходит с 1996 года.
Введение
Анатомически правильное строение тазобедренного сустава у детей первых дней жизни позволяет в дальнейшем ребенку удерживать туловище в вертикальном положении, ограничивать разгибание в тазобедренном суставе, обеспечивая правильную походку, возможность справляться с физическими нагрузками [1]. Тазобедренный сустав - это чашеобразный сустав (разновидность шаровидного), образован суставной поверхностью головки бедренной кости, которая покрыта гиалиновым хрящом на всем протяжении (кроме ямки) и вертлужной впадиной тазовой кости, покрытой хрящом только в области полулунной поверхности, а на остальном протяжении выполнена жировой клетчаткой и покрыта синовиальной мембраной [2].
Врожденная дисплазия тазобедренных суставов проявляется повышенной подвижностью, слабостью связочного аппарата, несформировавшейся вертлужной впадиной тазовой кости (плоская), в результате чего головка бедренной кости не занимает правильное положение в вертлужной впадине. Дисплазия проявляется к концу первого года жизни, когда ребенок начинает ходить (движения асимметричны и затруднены). Вывих тазобедренного сустава резко ограничивает движения и приводит к развитию калечащей походки, нарушению осанки с последующим искривлением позвоночника.
Проведение своевременного ультразвукового исследования (УЗИ) тазобедренных суставов у детей первых 3 мес жизни позволяет визуализировать структуры сустава, которые еще не подверглись оссификации. У детей в возрасте от 3 до 6 мес УЗИ дает возможность определения сроков оссификации без лучевой нагрузки, выявить дисплазию, определить правильную тактику лечения, провести курс терапии и наблюдать за развитием суставов в динамике.
Материалы и методы
УЗИ тазобедренных суставов было проведено 395 детям в возрасте до 6 мес по методу Г. Рейнгарда [3] с одновременной оценкой развития костно-хрящевого соотношения сустава, определением сонографических типов тазобедренных суставов.
Результаты
В ходе обследования тазобедренных суставов у 395 детей были выявлены следующие типы тазобедренных суставов.
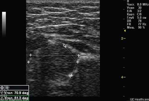
По результатам УЗИ у 286 (72,41%) детей диагностированы типы 1а и 1б тазобедренных суставов (по Г. Рейнгарду). Клинически и сонографически типы 1а и 1б соответствуют возрасту ребенка - это здоровые суставы. Костная часть вертлужной впадины хорошо определяется, костный эркер слегка сглажен или прямоугольный, хрящевая часть крыши охватывает головку бедренной кости, костно-хрящевое соотношение больше или равно 2/3. Угол α больше или равен 60°. Угол β меньше 55° - тип 1а (рис. 1); угол β больше 55° - тип 1б.

Рис. 1. Тазобедренный сустав тип 1а.
1 - угол α=70,9°;
2 - угол β=51,2°.
У 35 (4,81%) детей выявлена простая двусторонняя дисплазия тазобедренных суставов, без пространственных нарушений (рис. 2). В результате данной патологии происходит задержка сроков оссификации (формирования ядра), которая связана с пониженным содержанием кальция в организме ребенка (впоследствии при увеличении физической нагрузки на суставы, когда ребенок после 6 мес начинает сидеть и стоять, может произойти деформация головки бедренной кости).

Рис. 2. Простая дисплазия - задержка сроков оссификации без пространственных нарушений (ребенок 5 мес).
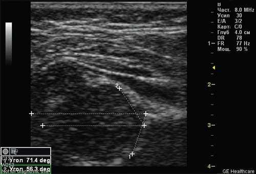
Тип 2а тазобедренных суставов (рис. 3) диагностирован у 46 (11,6%) детей. Это вариант физиологической задержки развития тазобедренных суставов у детей в возрасте до 12 нед, при котором угол α меньше 59°, но больше 50°, соответственно угол β больше 60°.

Рис. 3. Тазобедренный сустав тип 2а.
1 - угол α=55,9°;
2 - угол β=69,2°.
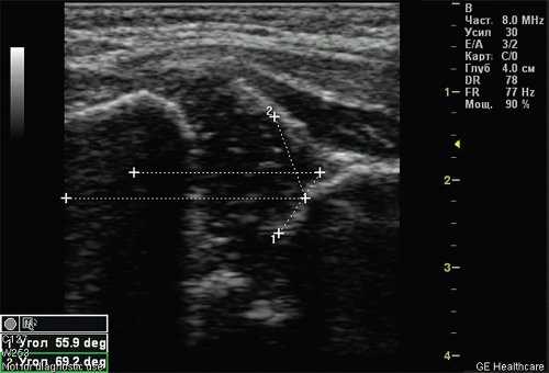
Тип 2б тазобедренных суставов выявлен у 25 (6,33%) детей - дисплазия тазобедренных суставов у детей старше 3 мес (рис. 4). Костная вертлужная впадина недостаточно развита, костный эркер закруглен, костнохрящевое соотношение меньше 2/3, хрящевая часть крыши охватывает головку бедренной кости. Угол α меньше 59°, но больше 50°, угол β больше 60°.

Рис. 4. Тазобедренный сустав тип 2б.
1 - угол α=53,4°;
2 - угол β=62,6°.
Тип 2с тазобедренных суставов (рис. 5) обнаружен у 2 (0,51%) детей. Это вариант тяжелой дисплазии в любом возрасте. Все составляющие сустава недоразвиты. Костная часть вертлужной впадины уплощена, костный эркер закруглен или плоский, хрящевая часть вертлужной впадины расширена, но еще охватывает головку бедра. Угол α меньше 49°, но больше 43°, угол β больше 65°, но меньше 72°. Такой тип суставов без соответствующего лечения, влечет прогрессирующее децентрирование головки бедра.

Рис. 5. Тазобедренный сустав тип 2с.
1 - угол α=46,0°;
2 - угол β=71,6°.
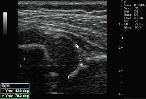
У 1 (0,25%) ребенка выявлен 3а тип тазобедренного сустава - врожденный вывих бедра (рис. 6). Костная часть вертлужной впадины и эркер плоские, хрящевая часть вертлужной впадины смещается краниально, так как головка бедра не может быть зафиксирована в вертлужной впадине, происходит ее децентрация. Структура хрящевой части крыши не изменена. Угол α меньше 43°.

Рис. 6. Тазобедренный сустав тип 3а.
1 - угол α=42,9°;
2 - угол β=79,3°.
Все 106 детей, с выявленной патологией, были направлены на консультацию к врачу-ортопеду. После курса физиотерапии, широкого пеленания, при необходимости, на контрольном УЗИ (50 детей), были выявлены следующие изменения:
- Из 8 детей с простой двусторонней дисплазией тазобедренных суставов, без пространственных нарушений, с задержкой сроков оссификации, у 2 изменений не наблюдалось, а у 6 детей сроки оссификации соответствовали возрасту.
- Из 25 детей с тазобедренными суставами типа 2а после проведенного курса лечения у 10 установлен тип 1а, у 7 - тип 1б, у 3 - тип 2б, у 5 детей имела место простая двусторонняя дисплазия тазобедренных суставов, без пространственных нарушений, с задержкой сроков оссификации.
- Из 17 детей с тазобедренными суставами типа 2б после проведенного курсалечения у 5 установлен тип 1а, у 7 - тип 1б, у 1 - тип 2б, у 4 детей сохранялась простая двусторонняя дисплазия тазобедренных суставов, без пространственных нарушений, с задержкой сроков оссификации.
В результате 35 (70%) детей со своевременно диагностированной патологией после проведенной терапии имеют здоровые суставы 1-го типа, 15 (30%) детей, с сохранившейся патологией были направлены на повторный курс терапии.
Заключение
Проведенное исследование подтверждает необходимость УЗИ тазобедренных суставов детям в возрасте до 6 мес в амбулаторных условиях, позволяющего избежать неоправданной лучевой нагрузки. Использование полученной информации дает возможность своевременного проведения корректирующей терапии для всех типов тазобедренных суставов в раннем периоде с последующим правильным их формированием.
Литература
- МакНелли Ю. Ультразвуковые исследования костномышечной системы: Практическое руководство. Издательский дом Видар-М, 2007. 400 с.
- Синельников Р.Д., Синельников Я.Р. Атлас анатомии человека.Учебное пособие. 2-е издание, стереотипное. В 4-х томах. Т. 1. М.: Медицина, 1996. 344 с.
- Рейнгард Г. Сонография тазобедренных суставов новорожденных. Диагностические и терапевтические аспекты: Руководство. 5-е издание // Сонографические типы тазобедренных суставов / Изд-во Том. ун-та, 2005. 196 с.
Журнал "SonoAce Ultrasound"
Какова же величина торсии бедренной кости и какое значение она имеет в клинике?
Статья содержит информацию о биомеханике развития параметров костей таза и бедренных костей у детей и взрослых, что особенно необходимо для врачей- ортопедов и травматологов, занимающихся лечением повреждений и заболеваний проксимального отдела бедренной кости. Представлена система рентгенологического и клинического обследования угловых величин (антеторсии, ретроторсии и шеечно-диафизарного угла), необходимых при планировании оперативных вмешательств по коррекции деформаций у детей, остеосинтезу при переломах шейки бедренной кости и эндопротезированию тазобедренного сустава, исходя из индивидуальных форм кости каждого пациента.
Ключевые слова: биомеханика, торсия, остеосинтез, эндопротез.
KH.Z. GAPHAROV
Kazan State Medical Academy
Republican Clinical Hospital of the Ministry of Health of the Republic of Tatarstan
Size of femoral bond torsion and its significance in treatment
This article provides information on the biomechanics of development parameters of pelvic bones and femoral bones of children and adults which is especially important for orthopedists and traumatologists who treat injuries and diseases of proximal section of femoral bone. The article presents a system of X-ray and clinical examination of angular values (antetorsion, retrotorsion and neck-shaft angle) necessary for planning surgery to correct deformities in children, osteosynthesis of subcapital fractures and hip replacement, based on individual forms of each patient’s bone.
Key words: biomechanics, torsion, osteosynthesis, endoprosthesis.
Выявить причину скручивания бедренной кости у человека в эмбриональном периоде развития впервые пытался Friedlander (1901) (приводится по Коваль Л.Е. [1]). Он обнаружил, что у эмбриона бедренная кость имеет отрицательную торсию (-10°), а сами бедра отведены на 45° и согнуты почти под прямым углом. При дальнейшем развитии торсии поперечная ось мыщелков бедренной кости в связи с преобладанием силы внутренних ротаторов совершает винтообразное вращение снаружи внутрь так, что в определенный момент развития (эмбр. 36 мм) принимает положение, параллельное оси шейки.
Торсионное развитие бедренной кости изучал также Le Damany. [2], использовав обширный материал, включающий человеческие эмбрионы, плоды, бедренные кости новорожденных детей и взрослых. Он пришел к выводу, что до 4 мес. эмбрионального развития торсия бедренной кости равна 0° с незначительными колебаниями в сторону как антеторсии, так и ретроторсии. Затем наступает быстрое увеличение торсии, достигающее к концу беременности 40-45°. Автор считает, что при эмбриональном развитии торсии бедренной кости обусловливаются давлением стенок матки на кости плода, которые при согнутом положении бедра упираются нижними концами в верхнюю переднюю ось подвздошной кости. Он предполагает, что деторсия бедренной кости после рождения зависит в основном от вертикальной походки человека и усиливается при включении в работу разгибателей бедра. Последние, вращая бедренную кость вокруг напряженной подвздошно-бедренной связки, упирают ее головку в переднюю стенку капсулы тазобедренного сустава и таким образом вращают ее кзади. В итоге торсия бедренной кости уменьшается за счет отгибания назад верхнего эпифизарного хряща.
На значение механических факторов в возникновении торсии бедренной кости указывал позже Lanz [3]. Он подтвердил данные Le Damany [2] о том, что исходными в торсии являются отрицательные, а не нулевые значения угла. Торсия же бедренной кости вызывается скручиванием на 90° нижней конечности в целом в тот период развития плода, когда возможность ротации в тазобедренных суставах минимальна. Такое вращение конечности заканчивается гораздо раньше того времени, в которое торсия бедренной кости достигает своего минимума или максимума. Дальнейшее увеличение торсии обусловлено тягой наружных ротаторов бедра, превосходящих по силе внутренние почти в три раза, а торсия бедренной кости происходит за счет скручивания компактного вещества.
Выводы данных Lanz [3] нашли подтверждение в более совершенных исследованиях Aitmann [4], который применил метод реконструкции при изучении эмбрионов и молодых экземпляров ряда амфибий, птиц, млекопитающих. Торсия бедренной кости, по мнению автора, явление, присущее исключительно человеку. Однако она обусловлена не механическими факторами, как предполагал Le Damany [2]. Здесь особое значение приобретает унаследование вертикальной походки и преобладание мышц, вращающих бедро кнаружи.
Brand [5] писал, что антеторсия шейки бедренной кости проявляется благодаря внутреннему скручиванию ее диафиза, и особенно в области дистального эпифиза из-за усиленной торсии бедра сгибателями и аддукторами. Grunwald [6] отмечал, что торсия бедренной кости определяется наклоном вертлужной впадины. В дальнейшем предположение было детально изучено им, что привело его к убеждению, что антеторсия зависит от дорзального изменения впадины.
Lanz [3] показал, что торсия происходит в связи с действием сил мышц проксимальных наружных и внутренних дистальных ротаторов бедра, поэтому в конце беременности ось шейки бедра к фронтальной плоскости перемещается и находится под углом 45°. В то же время поперечная ось мыщелков бедра образует с фронтальной плоскостью угол 15°. Процесс торсии бедренной кости продолжается и после рождения ребенка. К периоду зрелости угол шейки и головки бедра к фронтальной плоскости уменьшается до 6°, а дистальный конец поворачивается, пересекая фронтальную плоскость кзади, формируя с ней угол 6°. Если оба мыщелка бедра расположены строго во фронтальной плоскости, то весь проксимальный конец поворачивается соответственно кпереди на 12° (физиологическая антеторсия).
De Cuveland [6] обратил внимание на функции тех волокон большой ягодичной мышцы, которые вместе с m. tensor f. lata осуществляют внутреннюю ротацию при максимальном сгибании конечности в тазобедренном суставе и тем самым способствуют продолжению внутренней ротации, начавшейся внутриутробно.
Из отечественных авторов К.А. Механик [7] отметил, что в возникновении отклонения шейки бедра важную роль играет не только мышечно-динамический, но и статический фактор. Влияние этих факторов на скручивание бедра вокруг своей оси было подробно описано в ряде работ Л.Е. Коваль [1]. Е.С. Тихоненков и др. [8] считают, что причинами образования антеторсии шейки бедра у плодов являются тяга мышц области тазобедренного сустава, поворот нижних конечностей внутрь и давление стенок матки. Увеличение антеторсии шейки бедра представляет собой физиологический процесс, в основе которого лежит более ярко выраженное сагиттальное расположение вертлужной впадины у плодов. Это подтверждается также и другими исследованиями [9].
Установлено что угловые величины проксимального отдела бедра у домашних птиц и животных неодинаковы [10, 11]. Угол антеторсии шейки бедра у гуся был отрицательным, у индейки — равен нулю, а у поросенка — 18º. Таким образом, антеторсия шейки бедра присуща не только человеку, но и некоторым видам животных.
Величина угла антеторсии у плодов второй половины внутриутробной жизни составляет, по мнению И.А. Кузнецовой [12], 24,6°, С.А. Цимерман и Л.П. Афанасьевой [13] — от 8 до 60°, 3.И. Шнейдерова [14] — от 12 до 45°, Х.З. Гафарова [15], М.К. Гончаровой и соавт. [16] — от 8 до 45°, Le Damany [2] — от 30 до 60°, Brandt [5] — от 13 до 36°, Howorth [17] — от 20 до 40°, Stanislavljevic, Mitschell [18] — от 25 до 30°, Sommerville [19] — 45°.
Цель исследования
Учитывая неоднозначные данные источников по торсии бедра, проведены антропометрические исследования костей таза и нижних конечностей у детей различного возраста и взрослых для обеспечения точного планирования операций на проксимальном отделе бедренной кости у детей и остеосинтеза шейки бедра, эндопротезирования тазобедренного сустава.
Материал и методы исследования
В процессе рентгенологических исследований нами установлено, что в норме у всех людей до прекращения роста головки бедра ее ростковая пластинка во фронтальной плоскости располагается перпендикулярно к механической оси нагрузки туловища, несмотря на разные размеры костей таза и бедер. Перпендикулярность ростковой пластинки относительно механической оси нагрузки во фронтальной и сагиттальной плоскостях у людей всех возрастов свидетельствует, по нашему мнению, о существовании закономерности пропорционального развития параметров костей таза и бедренного сегмента. Такое предположение послужило основанием для более подробного изучения индивидуальных пропорций между различными параметрами упомянутых выше костей с целью разработки обоснованных критериев коррекции ШДУ, анте- и ретроторсии проксимального отдела бедренной кости при оперативных вмешательствах по поводу разного вида патологии в области тазобедренного сустава. Для этого были изучены анатомические препараты и сухие человеческие скелеты всех возрастов (78 скелетов: от 7-месячных плодов до 82 лет). Проанализировано свыше 1500 рентгенограмм костей таза вместе с бедренными сегментами с патологией в области тазобедренного сустава на здоровой стороне у детей и взрослых. Установлено, что если на передне-задней рентгенограмме тазобедренных суставов, снятых в параллельном положении конечностей и их внутренней ротации на величину угла антеторсии, продлить оси шеек бедренных костей в медиальном направлении, то у всех здоровых детей и у взрослых они пересекутся в середине верхней площадки первого крестцового позвонка. Образованный таким образом угол обращен вершиной к середине верхней площадки S1. Этот угол назван нами углом ориентации шеек бедренных костей (УОШ). На рис. 1 он обозначен ABC (приведена скиаграмма костей таза и бедер у 7-летнего ребенка в норме).
Скиаграмма костей таза и бедер у 7-летнего ребенка в норме

По нашим наблюдениям, ростковая пластинка головки бедра перпендикулярна не к оси шейки, а к оси нагрузки массы тела, проходящей через тазовые кости, так как механическая ось нагрузки тела и ось шейки бедра не совпадают. Нагрузка от массы тела передается подвздошным костям через боковую часть крестца, которая образована слиянием его поперечных отростков. Здесь самая широкая часть крестца, сочленяющаяся с подвздошными костями своими ушковидными поверхностями. Поэтому нагрузка от массы тела к подвздошным костям может передаваться только по оси, проходящей через ушковидные поверхности крестца к дугообразным линиям подвздошных костей, от них через крышу вертлужных впадин — к головкам бедер. Ось от крестца до головки бедра имеет не только условную, но и реальную анатомическую топографию. Дугообразная линия подвздошной кости служит ребром жестокости. Линия, соединяющая ушковидную поверхность крестца с ростковой пластинкой головки бедра, нами названа механической осью. Механическая ось нагрузки введена на основании рентгенологических и антропометрических исследований. При этом обнаружено, что шейка бедра в норме расположена оптимально (в биомеханическом смысле) в направлении воздействия всех статических и динамических сил. Такое утверждение базируется на том, что варизация шейки бедра у детей до 115-120° при многих операциях не сохраняется в указанных пределах, а со временем наступает некоторая вальгизация. И это именно на тот угол, под которым должна находиться ростковая пластинка относительно механической оси нагрузки, то есть результирующей силы отводящих и приводящих мышц бедра. Поэтому вальгизация будет продолжаться до тех пор, пока пластинка не станет перпендикулярной к механической оси нагрузки.
Восстановление нормального ШДУ происходит у детей, оперированных по поводу болезни Пертеса или врожденного вывиха бедра даже при варизации шейки до-110-115°. Спустя 1-2 года наблюдается полная нормализация этого угла соответственно возрасту за счет постепенного поворота ростковой пластинки относительно осевой нагрузки. В последующем рост шейки бедра определяется направлением ростковой пластинки. Ко времени закрытия зон роста заканчиваются полная перестройка и функциональная адаптация нижних конечностей. Осуществляется формирование оптимальной величины ШДУ в биомеханическом отношении. Умеренная же варизация шейки бедра связана с общим остеопорозом костей и снижением тонуса мышц, отмечается она только в пожилом и старческом возрастах.
Ходьба ребенка в течение 3-4 месяцев в отводящих шинах после вправления врожденного вывиха приводит к вальгизации шейки бедра на 10-15°. Из этого следует, что ростковая пластинка, установленная под острым углом относительно механической оси нагрузки, оказывается нагруженной неравномерно по ее поверхности вследствие неправильного распределения статических и динамических сил, поэтому пластинка поворачивается в положение, близкое к горизонтальному, перпендикулярно к механической оси нагрузки, в результате чего развивается вальгусная деформация шейки бедра
На рис. 1 оси нагрузки oт веса тела обозначены линиями ОС и О1А. В норме они всегда перпендикулярны к серединам ростковых пластинок. Ось нагрузки не совпадает с осью шейки бедра, а ось нагрузки и ось шейки бедра, пересекаясь между собой в середине ростковой пластинки в точке С, образуют соответствующий каждому возрасту угол оси нагрузки (УОН, углы на рисунке обозначены ОСБ и 01АБ). Величины углов оси нагрузки, вычисленные нами в зависимости от возраста у здоровых людей, совпадают с величиной эпифизарного угла, описанного Glogowski (1962). Упомянутый нами угол оси нагрузки определяет правильность ориентации шейки бедра и ростковой пластинки относительно механической оси нагрузки ОС. Сила Р является равнодействующей сил натяжения отводящих То и коротких ротаторов, с одной стороны, и приводящих мышц Тп бедра, с другой. Направления этих сил пересекаются в точке М на уровне малого вертела, а направления равнодействующих сил натяжения других мощных мышц, таких, как большая ягодичная и подвздошно-поясничная, совпадают с направлением оси нагрузки от веса тела.
Таким образом, в норме существует полное равновесие мышц абдукторов и аддукторов, сгибателей и разгибателей, прикрепляющихся к проксимальному концу бедренной кости. В процессе развития костей таза в высоту и ширину наступает изменение направления действия сил мышц и оси нагрузки от веса тела. Пропорционально размерам костей таза при торсионном развитии бедренной кости ростковая пластинка, ориентируясь перпендикулярно к оси нагрузки, изменяет положение проксимального отдела бедренной кости. При этом активную роль играет уравновешенное натяжение мышц соответственно пропорциональному изменению их костных рычагов. Следовательно, в норме у всех людей различного возраста до полного закрытия зоны роста головки бедра ее ростковая пластинка во фронтальной плоскости располагается перпендикулярно к механической оси нагрузки туловища, несмотря на разницу в размерах костей таза и бедер.
Для выявления пропорциональной зависимости в развитии костей таза и бедер нами измерены:
1. Межгребневой размер (сокращенно — МРГ) — расстояние между наиболее отдаленными точками крыльев подвздошных костей.
2. Межацетабулярное расстояние (MAP) —дистанция между днами вертлужных впадин на скелетах, между наружными краями фигур «слезы» на рентгенограммах.
3. Высота таза (ВТ) — расстояние между крышей вертлужной впадины и верхним краем позвонка S1 по вертикали.
4. Угол ориентации шеек бедренных костей, вершина угла лежит на середине верхнего края S1.
5. Угол оси нагрузки (УОН) — угол, заключенный между осью шейки бедра и осью нагрузки. Для этого на рентгенограмме костей таза оси шеек бедренных костей продолжают в медиальном направлении до пересечения, затем от середины ростковой пластинки головки бедра восстанавливают перпендикуляр к середине ушковидной суставной поверхности наружной части крестца.
6. Угол, образованный от пересечения осей шеек бедер (УОШ), на рис. 1 обозначен углом АВС.
7. Межацетабулярно-крестцовое расстояние (МАКР, измерение его возможно только на скелетах) — дистанция между отвесом, спущенным от мыса крестца, и межацетабулярной (MAP) линией, проведенной через центры вертлужных впадин.
8. Длина бедра (ДБ) — расстояние от большого вертела до поверхности дистального его эпифиза.
9. Длина шейки бедра (ДШБ) — расстояние от суставной поверхности головки по середине шейки до наружного края наружной кортикальной пластины диафиза бедра.
10. Угол ретрофлексии шейки бедра (УР измеряется только на скелетах) — угол, образованный пересечением осей, которые проведены по нашей методике (X.3. Гафаров (1), по середине головки и шейки бедра с одной стороны, и большого вертела с другой, по горизонтальной плоскости.
11. Антеторсия бедренной кости (AT) — угол между осью шейки и поперечной осью мыщелков бедра. Для измерения этого угла бедренную кость скелета плотно укладывают задними поверхностями мыщелков на горизонтальную плоскость и замеряют угол между осью ее шейки и плоскостью [9].
12. Шеечно-диафизарный угол (ШДУ) (измеряется на скелетах и на препаратах) — угол между продольными осями шейки и диафизом бедренной кости. На рентгенограммах измерения проводили по методике Я.Б. Куценок, Д.Е. Коваль (1976) [9].
13. Угол приведения бедра (УПБ) — угол между продольной осью диафиза и суставной поверхностью мыщелков бедренной кости, поставленной мыщелками на горизонтальную плоскость. На рентгенограмме этот угол находят после проведения осей по середине диафиза и по высоте мыщелков бедренной кости.
Результаты измерений средних размеров костей таза и бедра на скелетах и на рентгенограммах у здоровых людей различного возраста приведены в табл. 1.
Средние размеры костей таза и бедра на скелетах и рентгенограммах у здоровых людей различного возраста
Изменчивость и сопряженность морфометрических параметров костных структур тазобедренного сустава
Анисимова Е.А., Зайцев В.А.*, Анисимов Д.И.*, Попрыга Д.В.**, Попов А.Н.
ГБОУ ВПО Саратовский ГМУ им. В.И. Разумовского Минздрава России; * ФГБУ Саратовский НИИТО Минздрава России; ** ГУЗ ОКБ г. Саратова Минздрава России
Цель: провести сравнительный анализ параметров костных структур тазобедренного сустава взрослых людей без признаков дисплазии и при диспластическом коксартрозе. Методы. Методами прямой остеометрии и рентгенометрии на препаратах тазовых и бедренных костей (n=78), КТ-граммах (n=72) взрослых людей без признаков дисплазии тазобедренного сустава и КТ-граммах пациентов с диспластическим коксартрозом (n=74) определяли линейные и угловые размеры вертлужной впадины и проксимального конца бедренной кости. Результаты. При диспластическом коксартрозе значительно уменьшаются ширина проксимального эпифиза, высота головки и ацетабулярный индекс; увеличиваются ШДУ, угол Шарпа, вариабельность признаков и количество статистически значимых корреляций. Заключение. Диспластические изменения одних костных структур сустава неизбежно приводят к закономерному изменению других.
Введение
Авторы: Е.А. Анисимова - ГБОУ ВПО Саратовский ГМУ им. В.И. Разумовского Минздрава России, кафедра анатомии человека, профессор, доктор медицинских наук; В.А. Зайцев - ФГБУ Саратовский НИИТО Минздрава России, врач травматолог-ортопед; Д.И. Анисимов - ФГБУ Саратовский НИИТО Минздрава России, врач травматолог-ортопед, кандидат медицинских наук; Д.В. Попрыга - ГУЗ ОКБ г. Саратова Минздрава России, заведующий отделением хирургическое отделение координации донорства органов и тканей человека, заведующий отделением, кандидат медицинских наук; А.Н. Попов - ГБОУ ВПО Саратовский ГМУ им. В.И. Разумовского Минздрава России, кафедра анатомии человека, аспирант.
Дисплазия тазобедренного сустава (ТБС) - врожденная неполноценность сустава в результате нарушения развития структур сустава, приводящая к нарушению конфигурации сустава, развитию подвывиха или вывиха головки бедренной кости (БК) [1]. У девочек данная патология встречается чаще (80 % выявленных случаев), семейные случаи заболевания составляют примерно треть. Дисплазия тазобедренного сустава в 10 раз чаще встречается у тех детей, родители которых имели признаки врожденного вывиха бедра. Врожденный вывих бедра выявляется в 10 раз чаще у родившихся при тазовом предлежании плода, чаще при первых родах. Часто дисплазия выявляется при медикаментозной коррекции беременности, при беременности, осложненной токсикозом. Левый сустав поражается в 60% наблюдений, правый - в 20%, оба - в 20% [2, 3]. Если вывих бедренной кости не устранен, то, следуя известному биологическому закону «функция определяет форму», растущие кости таза и бедренная кость изменяются, приспосабливаясь к новым условиям нагрузки. Головка бедренной кости уплощается и теряет обычную форму шара. Вертлужная впадина, не занятая головкой, уменьшается в размерах, а в области крыла подвздошной кости формируется новая суставная впадина - неоартроз, который может пациентам с не устраненным по каким-то причинам врожденным вывихом бедра заменить сустав, хотя и неполноценный, до известной степени это является самоизлечением [4].
Дисплазия тазобедренного сустава может проявляться не только в виде изменения формы и размеров вертлужной впадины (ацетабулярная дисплазия), но и в виде неправильного развития проксимального отдела бедренной кости (бедренная дисплазия) [5]. Форма проксимального отдела БК чаще всего описывается шеечно-диафизарным углом (ШДУ) [5], который образован во фронтальной плоскости срединной осью диафиза и осью, проведенной через центры головки и шейки БК. В зависимости от величины этого угла, учитывая насколько он соответствует возрастной норме, различают нормальную форму проксимального отдела БК, дисплазию с увеличением этого угла — coxa valga, дисплазию с уменьшением этого угла — coxa vara. Дисплазия БК приводит к нарушению архитектоники костной ткани, перестраивается и компактное, и губчатое вещество, изменяется форма и размеры костномозговой полости (МП) бедренной кости [4, 6].
Диспластический коксартроз (ДКА) развивается на фоне дисплазии ТБС чаще в возрасте 25-55 лет, на фоне гормональной перестройки организма при беременности и в послеродовом периоде, а также на фоне гиподинамии и снижения функционального состояния мышц, приводящих в движение ТБС [1].
провести сравнительный анализ параметров костных структур тазобедренного сустава взрослых людей без признаков дисплазии и при диспластическом коксартрозе.
Материал и методы
Материалом исследования послужили паспортизированные мацерированные костные препараты тазовых и бедренных от скелетов взрослых людей в возрасте от 21 до 75 лет (мужчин - 42, женщин - 36; средний возраст=42,5±0,7 года) из коллекции научного музея кафедры анатомии человека СГМУ им. В.И. Разумовского; рентгено-, КТ- и МРТ-граммы пациентов в возрасте от 22 до 70 лет (муж. - 30, жен. - 42; средний возраст=44,25±0,7 года) без признаков повреждений и системных заболеваний опорно-двигательного аппарата (для формирования нормативной базы данных) и с ДКА II-IV типов (n=74, муж. - 30, жен. - 44; средний возраст=45,2±0,8 года) из архива СарНИИТО. Применяли классический метод прямой остеометрии, а также рентгенометрии. Измеряли ширину шейки (ШШ), высоту головки (ВГ), межвертельный диаметр (МД), шеечно-диафизарный угол (ШДУ), ацетабулярный угол (угол Шарпа, АУ), ацетабулярный индекс - отношение глубины ВВ к поперечному диаметру входа в ВВ (АИ), ширину проксимального эпифиза.
Результаты исследования обрабатывали вариационно-статистическим методом, применяли метод описательной статистики, определяли амплитуду (min-max), среднюю (M), ошибку средней (m), стандартное отклонение (σ), медиану (Me), доверительный интервал (ДИ), 25 и 75%-ный процентили; применяли корреляционный, регрессионный анализы, вычисляли коэффициент вариации. Для определения достоверности различий использовали параметрические и непараметрические методы; различия считали статистически значимыми при 95, 99, и 99,9%-ных порогах вероятности.
Результаты
Сравнительный анализ параметров костных структур ТБС при ДКА с нормативными данными показал, что шеечно-диафизарный угол БК без признаков дисплазии в среднем составляет 130,9±0,9°, при ДКА он увеличивается до 135,4±2,1° (А от 127 до 151°) (р=0,02); увеличивается также угол Шарпа (ацетабулярный угол, АУ) от 38,9±0,5° в норме (N) до 44,5±1,4° при ДКА (А от 36,1 до 54,4°) (р=0,00003) (табл. 1).
Значительно уменьшается ширина проксимального эпифиза БК от 90,6±1,7 мм в норме до 79,8±2,6 мм при ДКА (А от 66,3 до 96,5 мм) (р=0,0012), высота головки БК от 46,6±0,7 мм в норме до 41,8±1,1 мм при ДКА (А от 35,8 до 47,2 мм) (р=0,004) и ацетабулярный индекс от 0,60±0,01 в норме до 0,45±0,01 при ДКА (р=0,0001). Ширина шейки и межвертельный диаметр с появлением диспластических признаков изменяются незначительно (р=0,2).
Вариабельность признаков ТБС при ДКА в основном выше (Сv от 5,3 до 22,2%) по сравнению с нормой (Сv от 3,7 до 16,7%).
В выборке без признаков дисплазии тесные прямые корреляции имеются между межвертельным диаметром (МД) и шириной шейки (ШШ) (r=0,81), значительные между МД и высотой головки (ВГ) БК (r=0,67); между ВГ и ШШ связь значительная прямая (r=0,58).
При ДКА уровень этих связей изменяется мало, однако проявляются новые корреляции: ШДУ проявляет значительные прямые связи с ацетабулярным индексом (r=0,53) и средние обратные с шириной шейки (r=-48) и высотой головки (r=-0,33); межвертельный диаметр имеет прямые тесные корреляции с шириной шейки (r=0,79) и высотой головки (r=0,75) и обратные значительные с ацетабулярным индексом (r=-0,55) и с углом Шарпа (r=-0,53) (рис. 1-3); ширина шейки значительно положительно связана с высотой головки (r=0,65), отрицательно с ацетабулярным индексом (r=-0,55) и имеет обратную среднюю связь с углом Шарпа (r=-0,37); угол Шарпа имеет обратную значительную корреляцию с межвертельным диаметром (r=-0,53) и обратные средние связи с шириной шейки, высотой головки и ацетабулярным индексом (r от 0,37 до 0,41) (табл. 2).
При ДКА уменьшение межвертельного диаметра БК влечет увеличение угла Шарпа и уменьшение размеров головки и шейки БК (рис. 1).

Рис. 1. Связи межвертельного диаметра с размерами проксимального эпифиза бедренной кости и ацетабулярным углом при диспластическом коксартрозе
При увеличении межвертельного диаметра высота головки увеличивается в меньшей степени, чем ширина шейки, такие взаимоотношения параметров свойственны для ТБС без признаков дисплазии (рис. 2). При ДКА сила сопряженности меняется, изменение величины межвертельного диаметра приводит к значимым изменениях обоих размеров (рис. 3).

Рис. 2. Зависимость размеров проксимального эпифиза бедренной кости от межвертельного диаметра в норме

Рис. 3. Зависимость размеров проксимального эпифиза бедренной кости от межвертельного диаметра при диспластическом коксартрозе
Таким образом, диспластические изменения одного элемента сустава влекут за собой закономерную перестройку других.
Эндопротезирование при диспластическом коксартрозе, после операций на тазобедренном суставе в анамнезе, при деформациях проксимального отдела бедренной кости большинство авторов относят к эндопротезированию тазобедренного сустава в сложных случаях (нестандартных, особых, нетипичных и др.) [4, 6]. В таких случаях крайне затруднено предоперационное планирование, выбор эндопротеза, значительно возрастает риск интраоперационных осложнений, неправильной ориентации имплантов. В выборе тактики ТЭП необходимо ориентироваться на морфологические особенности костных структур ТБС, степень дисплазии ВВ, проксимального отдела БК, степень сужения костномозговой полоски БК 8.
Заключение
При диспластическом коксартрозе происходит увеличение ШДУ (в среднем на 13%), угла Шарпа (в среднем на 17%), межвертельного диаметра и ширины шейки (на 4-4,5%); уменьшение ширины проксимального эпифиза (в среднем на 12%), высоты головки (в среднем на 10%) по сравнению с нормативными данными. Также увеличивается количество статистически значимых (на 95%-ном уровне) различной направленности сильных и значительных связей параметров и вариабельность признаков.
Конфликт интересов. Работа выполнена в рамках диссертационного исследования.
Литература
Таблицы
Таблица 1. Сравнительная характеристика размеров костных структур тазобедренного сустава при диспластическом коксартрозе и в норме
Рентгенодиагностика коксартроза: самые распространенные ошибки
Болезни суставов нужно не только правильно лечить; сначала их нужно правильно диагностировать. К сожалению, с рентгенодиагностикой коксартроза дело обстоит неважно. И даже качественные рентгеновские снимки не являются гарантией того, что пациенту:
а) поставят правильный диагноз;
б) правильно определят стадию артроза.
Ниже мы рассмотрим самые распространенные диагностические ошибки.
Снимок 1. На этом рентгеновском снимке изображен здоровый тазобедренный сустав. Мы можем здесь увидеть:
- правильную округлую форму головки бедренной кости;
- нормальных размеров суставную щель, т. е. достаточное расстояние между головкой бедренной кости и сочленяющейся с ней вертлужной впадиной.

Здоровый тазобедренный сустав. Фотография из архива доктора Евдокименко
Тем не менее этому пациенту почему-то поставили диагноз «коксартроз второй стадии» и приговорили к операции по замене сустава.
На самом деле никакого коксартроза у пациента не было и в помине. Да, он жаловался на боли в бедре, но эти боли были вызваны грыжей межпозвоночного диска и защемлением бедренного нерва (что впоследствии подтвердила томограмма позвоночника). Соответственно, операция по замене сустава пациенту была не нужна, а боли в бедре прошли после успешного лечения грыжи диска.
Возникает резонный вопрос: почему врач, проводивший описание рентгеновских снимков, так сильно оплошал и поставил диагноз «коксартроз второй стадии»?
Для меня ответ очевиден: рентгенолог поликлиники не имел достаточной квалификации в диагностике артрозов (может быть, потому, что артрология, т. е. наука о болезнях суставов, до сих пор очень плохо преподается в институтах). И видимо, рентгенолог рассуждал так: раз уж пациента направили на рентген тазобедренных суставов, значит, он чем-то болен.
А поскольку, по мнению этого рентгенолога, самая частая болезнь тазобедренных суставов — артроз, значит, так и запишем: у пациента коксартроз, для верности добавим: второй стадии. То, что таким образом он приговаривает пациента к операции по замене сустава, рентгенолога едва ли волновало.
Чудовищно, но, к сожалению, с такими ошибками рентгенологов мне приходится сталкиваться постоянно: чуть ли не ежедневно ко мне на прием приходят люди, которым поставили диагноз «коксартроз», а у них нет даже намека на «болезнь» и боли вызваны либо синдромом грушевидной мышцы, либо трохантеритом, либо грыжей межпозвоночного диска.
Но бывают диагностические ошибки и «в другую сторону», когда пациента лечат от несуществующей болезни позвоночника, предполагая, что боли в ноге вызваны защемлением нерва, и не видят прогрессирующий артроз тазобедренного сустава. Такой случай представлен ниже.
Снимок 2. Пациент обратился к врачу по поводу боли в правом паху и правом бедре, возникающей только при ходьбе или вставании со стула.

Коксартроз 2-й стадии. Фотография из архива доктора Евдокименко
Врач, осматривающий пациента, подошел к своему делу весьма формально: он осмотрел только спину больного, а ноги смотреть не стал. И хотя спина пациента была в полном порядке, вердикт медика был таким: «остеохондроз позвоночника».
В результате пациента 2 года (!) лечили от несуществующего остеохондроза. Но поскольку пациенту становилось только хуже, его, наконец, отправили на обследование. И провели, помимо прочего, рентген тазобедренных суставов. После получения рентгеновских снимков врачи наконец смогли (спустя 2 года) поставить правильный диагноз: «коксартроз».
Вот что мы видим на снимке пациента:
- головка бедренной кости «подтянулась» к вертлужной впадине, расстояние между костями совсем небольшое (уменьшение размеров суставной щели). Это говорит о том, что суставной хрящ, покрывающий сочленяющиеся части костей, стал гораздо тоньше (как вы помните, на рентгене сам хрящ не виден);
- оставшись без «хрящевого амортизатора», головка бедренной кости стала деформироваться, частично расплющиваться. Она теперь не такая идеально-круглая, как должна быть.
Такие рентгенологические изменения соответствуют коксартрозу второй стадии.
Снимок 3. Здесь представлен снимок пациентки, которой диагноз «коксартроз» поставили вовремя, еще на первой стадии болезни. Но, несмотря на своевременно поставленный серьезный диагноз, сама пациентка очень безалаберно отнеслась к своему здоровью и 5 лет игнорировала назначенное врачами правильное лечение. Вот что представлял ее сустав через 5 лет:
- суставной хрящ разрушен почти полностью (нет расстояния между костями, головка бедренной кости почти полностью «вклинилась» в вертлужную впадину);
- головка бедренной кости сильно деформирована, цвет верхней части головки на рентгене выглядит светлее (признак микроперелома костных балок из-за повышенного давления на верхнюю часть головки).

Коксартроз 3-й стадии. Фотография из архива доктора Евдокименко
Все эти рентгенологические признаки соответствуют коксартрозу третьей стадии. Третья стадия коксартроза была также подтверждена во время осмотра пациентки. К сожалению, из-за того, что пациентка халатно отнеслась к своему здоровью и не стала лечиться вовремя, ей пришлось идти на операцию по замене тазобедренного сустава.
Статья доктора Евдокименко© для книги «Боль в ногах», опубликована в 2004 году.
Отредактирована в 2012 г. Все права защищены.
Читайте также:
- Излучение тепловой энергии. Реакция организма на переохлаждение
- Оценка давления в легочной артерии. Конечное диастолическое давление в левом желудочке
- Поражение глаз отравляющими веществами общетоксического действия. Особенности
- Отравление морскими животными и их лечение
- Промывание околоносовых пазух. Техника
