Реабилитация после артроскопической реконструкции вращательной манжеты плечевого сустава
Добавил пользователь Евгений Кузнецов Обновлено: 13.12.2025
В первые дни после операции проводится симптоматическая терапия, холод местно, профилактика осложнений, наблюдение оперировавшего врача, перевязки. После купирования болевого синдрома начинается первый этап восстановительного лечения. Физиотерапия. Лечебная физкультура.
Восстановительное лечение может проводится самостоятельно, под контролем лечащего врача, либо на базе специализированной реабилитационной клиники.
Общие рекомендации по восстановительному лечению:
1 Фиксация конечности при помощи ортезной повязки в положении умеренного отведения конечности, в течении 3-4, либо 4-6 недель после операции, в зависимости от характера патологии и типа проведенной операции.
2 Лечебная физкультура по периодам:
- 1-3 неделя (1й этап. Задача: поддержание тонуса мышц, стимулирование кровообращения в области плечевого сустава).
- Изотоническое напряжение мышц плечевого пояса, без движения руки, удержание напряжения в течение нескольких секунд, с последующим расслаблением.
- Движения пальцев кисти и движения в лучезапястном суставе.
- Сгибательно-разгибательные движения в локтевом суставе, не вызывающие болей.
- Динамические упражнения, поднятие надплечий, вращение, сведение лопаток.
-4-6 неделя (2й этап. Задачи: восстановление пассивных и начало активны движений в плечевом суставе, восстановление тонуса мышц плечевого пояса). Движения выполняются в безболезненном диапазоне. - Качательные движения в плечевом суставе. Упражнение выполняется, наклонив туловище вперед и свесив руку. Рука расслаблена, качательные движения в различных плоскостях, в безболезненном диапазоне.
- Движения в плечевом суставе, при помощи здоровой руки. Движения начинаются с безболезненного объема, постепенно увеличивая амплитуду движений. Усилие от здоровой руки к оперированному плечевому суставу передается при помощи гимнастической палки, или трости. Двумя руками берется гимнастическая палка, и за счет усилий здоровой руки, производятся движения в оперированном плечевом суставе.
-Поднимание руки кпереди, "взбираясь" пальцами кисти по стене. - Помогать движениям оперированной руки можно здоровой рукой, либо при помощи веревки переброшенной через блок.
- Использование тренажеров типа "штурвал" и "лыжные палки".
- Руки согнуты в локтевых суставах, кисти приведены к плечевым суставам. Выполняются круговые движения в безболезненном диапазоне.
- Постепенное увеличение объема движений, используя "скольжение" конечности по горизонтальной поверхности.
- Упражнения "умывание", "причесывание".
- Упражнения для укрепления мышц стабилизаторов лопатки. Упражнения выполняются лежа, либо прижавшись спиной к стене. При возможности, проводятся занятия с врачем реабилитологом.
Все движения выполняются с ограничением амплитуды движений, и не переходя болевой порог. Не разрешаются резкие, маховые, рывковые движения, ограничивается наружная ротация руки.
Занятия проводятся 2-3 раза в день, упражнения по 10-15 повторов.
Если сустав отекает, усиливается боль в суставе во время занятий, либо после упражнений, сустав не восстанавливается к утру - нагрузку необходимо уменьшить и проконсультироваться с врачом.
Оптимально проводить восстановительное лечение с участием врача лечебной физкультуры, либо на базе специализированного восстановительного цента .
Достаточно эффективной является механотерапия (CPM - терапия. Continues Passive Motion), использование аппаратов для пассивной разработки движений в плечевом суставе ("Артромот")
-Упражнения с использованием блоковых тренажеров, отягощений и резиновых амортизаторов. Выполняются стандартные упражнения для нагрузки на различные группы мышц плечевого пояса, с умеренным ограничением амплитуды движений и постепенным увеличением весов до средних.
- Упражнения в бассейне, с использованием сопротивления воды.
-Упражнения на координацию выполняются с использованием мячей или платформ. Это могут быть упражнения на удержание мяча прижатого к стене, или упражнения с упором на мяч или платформу. Подобные упражнения лучше начинать под контролем врача ЛФК.
-Имитация спортивных нагрузок (движения ракеткой, бросковые движения…) в медленном режиме, возможно с использованием резиновых амортизаторов. -Увеличение амплитуды движений до полного объема.
Ограничение спортивных нагрузок до 4-6 месяцев.
Эта схема восстановительного лечения носит рекомендательный характер, и должна уточняться с лечащим врачом в каждом конкретном случае, с учетом особенностей повреждения, вида операции и характера предполагаемых нагрузок.
Рекомендации по восстановительному лечению после артроскопической операции на коленом суставе.
Сроки госпитализации при артроскопическом лечении патологии коленного сустава могут быть различными. В настоящее время имеется тенденция к сокращению сроков пребывания в стационаре. Стационарный этап лечения, при большинстве операций на менисках составляет от нескольких часов до 1 суток, при артроскопической пластике крестообразных связок от 1 до 3 суток.
ПЕРИОД СТАЦИОНАРНОГО ЛЕЧЕНИЯ:
Интораоперационная антибиотикопрофилактика - однократное внутривенное введение антибиотика широкого спектра действия, при необходимости повторное введение через 24 часа.
Профилактика тромбоэмболический осложнений - компрессирующий трикотаж, или эластичное бинтование конечностей во время операции и в послеоперационном периоде (до 3-5 суток), введение препаратов низкомолекулярного гепарина (до 10 суток), таблетированные антикоагулянты.
Криотерапия в послеоперационном периоде - холод местно, с интервалами в 30-40 минут в течении 1-3 суток.
Обеспечение покоя сустава в раннем послеоперационном периоде. При необходимости проводится фиксация сустава ортезной повязкой Обычно конечность находится в прямом положении. При пластике крестообразных связок применяется фиксация сустава послеоперационным тутором, либо шарнирным ортезом в замкнутом положении (возможна фиксация в ортезе с углом сгибания 20 градусов).
Обезболивающая терапия, нестероидные противовоспалительные препараты (НПВС).
Лимфодренаж.
Лечебная физкультура по первому периоду
1 сутки - изометрическое напряжение мышц бедра, движения в голеностопном суставе.
2 сутки - удаляется дренаж, добавляются пассивные движения в коленном суставе, в безболезненном диапазоне, проводится активизация.
При активизации используется дополнительная опора /трость или костыли, в зависимости от степени разрешенной нагрузки на ногу
ПЕРИОД АМБУЛАТОРНОГО ЛЕЧЕНИЯ, 1-3 НЕДЕЛЯ:
Перевязки. Обычно осмотр травматолога и перевязки проводятся на 1 сутки после операции, 3-4 сутки, и 7-12 сутки. Проводится смена асептических повязок, при необходимости пункция сустава для эвакуации жидкости. Снятие швов выполняется на 7-12 сутки.
Использование противовоспалительных и сосудистых препаратов.
Эластичное бинтование конечности до 3-7 дней.
Криотерапия до 3 -5 дней.
Лимфодренаж.
В зависимости от типа выполненной операции разрешается та или иная степень активности.
После проведения менискэктомии ходьба с дозированной нагрузкой на ногу разрешается с первых суток после операции. Рекомендуется ограничение нагрузок, использование трости, либо костылей с опорой под локоть до 5-7 дней после операции. При выполнении шва мениска рекомендуется ходьба с костылями без опоры на ногу до 4 недель.
При пластике ПКС в раннем послеоперационном периоде так же рекомендуется ходьба с костылями (возможно использование костылей с опорой под локоть) до 3 недель. Вначале выполняется ходьба без нагрузки на ногу. Затем при ходьбе стопа (не носок) ставится на пол, но без переноса тяжести на оперированную конечность. При отсутствии болевого синдрома проводится постепенное увеличение осевой нагрузки на прямую ногу.
Дополнительная фиксация коленного сустава.
При операциях на мениске используется эластичное бинтование области сустава, или ношение мягкого (либо полужесткого) наколенника. При пластике ПКС применяется фиксация сустава послеоперационным шарнирным ортезом, с постепенным увеличением разрешенного угла сгибания. Движения можно начинать в сроки 3-5 дней после операции, угол разрешенного сгибания постепенно увеличивают до 90 градусов в течении 2-3 недели после операции. На ночь ортез можно блокировать в положении разгибания.
Электростимуляция мышц бедра (не обязательно).
Физиотерапия.
Легкий массаж, мобилизация надколенника путем его пассивного сдвигания вверх-вниз и в стороны.
Полное разгибание в коленном суставе в положении лежа (без переразгибания сустава!).
Пассивные движения в коленном суставе. Хороший эффект дает CPM - терапия (Continues Passive Motion), использование аппаратов «Артромот» для разработки пассивных движений в суставе.
Лечебная физкультура по периодам.
Продолжаются изометрические напряжение мышц сгибателей и разгибателей бедра, ягодичных мышц, движения стопой. Добавляются активные движения в коленном суставе, сгибание-разгибание в безболезненном диапазоне. Движения проводятся в "закрытом контуре", то есть таким образом, что бы пятка при движениях все время находилась в контакте с поверхностью. Например, лежа на спине, проводится сгибание в коленном суставе, так что бы пятка скользила по поверхности кушетки, можно помогать сгибанию руками, захватив нижнюю треть бедра. Добавляются упражнения для постепенного укрепления мышц конечности, но без значительных нагрузок и с учетом болевого синдрома: медленное поднятие прямой ноги, в положении лежа (носок на себя), и удержание на весу 5-7 секунд. Поднятие прямой ноги стоя. Упражнения со жгутом для икроножной мышцы. Возможны упражнения в бассейне. Занятия проводятся 2-3 раза в день, по 10-15 повторений.
Возможна ходьба с полной опорой на ногу (в ортезе), ходьба с одним костылем, либо без дополнительной опоры.
Разработка объема движений в суставе. Разрешенный объем сгибания более 90 градусов (до полного объема движений). К этому времени должно быть достигнуто полное разгибание и желательно сгибание 90 градусов в безболезненном режиме.
Формирование правильной походки. Ходить нужно медленно, не большими шагами, стараясь не прихрамывать на оперированную ногу.
Лечебная физкультура, направленная на укрепление мышц бедра. Занятия желательно проводить под контролем врача лечебной физкультуры и с учетом реакции сустава на нагрузку.
Занятия проводятся 2-3 раза в день, по 10-15 повторов. Поднятие и удержание прямой ноги (носок на себя). Не глубокие медленные пружинящие приседания (сгибание 30-40 градусов), упражнения с легким сопротивлением (резиновый жгут), велотренажер с минимальной нагрузкой и небольшим углом сгибания в суставе, укрепление приводящих и отводящих порций четырехглавой мышцы бедра, занятия в бассейне - маховые движения ногой, ходьба в воде.
Если сустав отекает, усиливается боль в суставе после упражнений, сустав не восстанавливается к утру - нагрузку необходимо уменьшить и проконсультироваться с лечащим врачом.
Возможна ходьба и упражнения в функциональном ортезе, с полным объемом движений.
Продолжение силовых тренировок. Велотренажер, активное сгибание и разгибание, привидение и отведение в с эластичным сопротивлением (резиновый жгут), не глубокие медленные приседания (сгибание до 60 градусов), занятия в бассейне, ходьба и бег в воде, возможно плавание стилем брасс. Возможны занятия на блоковых тренажерах, без использования тренажера нагружающего мышцы передней группы бедра.
Тренировки, направленные на координацию движений. Покачивание корпуса на полусогнутых ногах, шаг на ступеньку, упражнения на платформе, со страховкой, держась за опору.
Необходимо избегать резких разгибаний и переразгибаний ноги, маховый движений, прыжков, скручивающих нагрузок. Не смотря на уменьшение болей связка в это время находится в процессе перестройки, прочность ее снижена и сустав нуждаются в защите.
Ходьба без ограничений.
Продолжение упражнений направленных на укрепление мышц конечности, велотренажер, плавание, блоковые тренажеры, упражнения с платформой.
Тренировки, направленные на координацию движений - удержание равновесия на неустойчивой платформе на прямых и полусогнутых ногах, с открытыми и закрытыми глазами, удержание равновесия на надувной подушке, упражнения на 1 ноге, аккуратные выпады, боковые шаги.
4-6 МЕСЯЦ:
Продолжение занятий направленных на укрепление мышц и координацию движений.
Возможен бег трусцой по ровной поверхности.
Использование наколенника при нагрузках, опасности неловких движений (транспорт, поездки) и занятиях ЛФК.
Необходимо избегать преждевременных повышенных нагрузок, раннего возвращения к спорту, резких разгибаний ноги, особенно движений голени "навылет", прыжков, бега по жесткой или неровной поверхности, скручивающих нагрузок, падений, неконтролируемых движений во время спортивных упражнений.
Ограничение спортивных нагрузок после выполнения пластики ПКС необходимо до 4-6 месяцев.
Ограничение занятий контактными или игровыми видами спорта до 9-12 месяцев.
Так же хотелось бы подчеркнуть, что подбор программы реабилитации должен проводиться индивидуально и учитывать множество факторов. Это достаточно длительный и ответственный этап лечения, без проведения которого вряд ли удастся достигнуть хороших функциональных результатов лечения.
--// 05.2022 Узбекистан. Проведение показательных артроскопических операций на коленном и плечевом суставе. Институт ортопедии-травматологии, г.Ташкент. --// 05.2022 Выступление на 1 съезде травматологов-ортопедов Приволжского ФО, г.Нижний Новгород. --// Приглашенный эксперт 6 Международной образовательной школы "Артромастер" . г.Казань. 03.2022. Презентация авторской методики "Армирование плече-лопаточных связок при нестабильности плечевого сустава". -- //Выступление на конференции "Артромост" 2021, Москва. проведение матер класса -- //Ташкент, Самарканд / 11.2021. выступление на конференции и проведение показательных операций (см. репортаж на YouTub) -- //Евразийский ортопедический форум, онлайн клуб, вебинар 10.2021 "Первичный вывих плеча. Консервативное, либо оперативное лечение?" ---- // 05.2021 "Привычный вывих плеча, варианты продвинутых техник стабилизации". -- //Приглашенный эксперт, участие в форуме МРО РОРР "Онлайн диагностика 3.0" Москва. 04.2021. -- //Приглашенный эксперт 5 Международной образовательной школы "Артромастер" . г.Казань. 03.2021. -- На канале YouTube выложено новое видео "Артроскопический шов передней крестообразной связки" -- С января 2021 прием и оперативное лечение поровдятся на базе "Швейцарской университетской клиники" г.Москва.
Замена плечевого сустава: цена операции и имплантата
Плечо - самый подвижный сустав. Утрата нормального диапазона движений вследствие болезни или травмы сильно ухудшает качество жизни человека, а иногда даже ставит ее под угрозу.
Диагностика
При травме достаточно рентгеновского снимка, чтобы понять, насколько серьезно повреждение и какие меры необходимо принимать. Но иногда точно понять причину болей и нарушения подвижности по снимкам не представляется возможным, и не всегда проблема кроется в патологических процессах непосредственно в суставе.

Например, такое опухолевое образование как энходрома (доброкачественная опухоль из хрящевой ткани), может подобраться к нему, развиваясь в плечевой кости. Если причиной боли является сильно разросшаяся энходрома - операция плечевого сустава неизбежна.
В таких случаях в качестве диагностического метода назначается артроскопия - малоинвазивное вмешательство (разрез всего 4 мм). Во время процедуры врач может досконально рассмотреть состояние хрящей, связок, мышц, сухожилий, костной поверхности.При помощи артроскопии можно удалить поврежденные части хряща, воспаленные и поврежденные мягкие ткани, а также свободные тела в суставной жидкости.
Виды доступных для проведения данным методом операций:
- фиксация связок плеча при их повреждении;
- фиксация и сращивание сухожилий при защемлении;
- реконструкция вращательной манжеты;
- восстановление и совмещение костных образований в области суставной сумки при их смещении;
- лечение врожденных патологий у детей;
- удаление осколков при переломе;
- шлифовка и придание формы хрящевой прокладке при ее деформации;
- при бурситах: удаление утолщений из полости сумки и промывание антисептиком.

После процедуры заживление и реабилитация происходит в течение 2-х недель. Подобные виды малоинвазивного вмешательства доступны во всех регионах страны, поскольку аппарат не относится к категории сверхдорогих, а результат во многом определяется грамотностью хирурга.
Например, проводятся следующие артроскопические операции в Челябинске на плечо:
- тугоподвижность (адгезивный или слипчивый капсулит);
- устранение импинджмент-синдрома;
- восстановление вращательной манжеты;
- устранение нестабильности.
Эндопротезирование плечевого сустава
Современная медицина обладает большим арсеналом средств для лечения различного рода травматических повреждений плечевого сустава. Но иногда необходима его тотальная или частичная замена.
- остеонекроз - отмирание клеток головки кости;
- многооскольчатые сложные переломы и раскол головки;
- плохо сросшиеся старые переломы без возможности восстановления нормальной анатомии сустава;
- артрит;
- необратимые патологии вращательной манжеты;
- опухолевые заболевания.

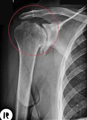
Артроз плечевого сустава на рентгене.
Виды протезирования
В зависимости от степени повреждения выделяют следующие виды эндопротезирования плеча:
- Поверхностное. Применяется, когда минимальны повреждения головки кости пациента и много костной ткани можно сохранить. Головка обтачивается специальным инструментом, на нее «сажается» имплантат, замещающий собой поверхность сустава.
- Однополюсное. Производится имплантация либо лопаточной впадины, либо костной головки.
- Полное. При этом меняются все соприкасающиеся части: и головка, и впадина. Причем возможны два варианта замены: имплантируются только суставные элементы или производится установка протезов на стержне с креплением в костной полости.
- Ревизионное. Выполняется в случае необходимости замены изношенного имплантата или его отдельных элементов. Также проводятся ревизионные вмешательства при развитии осложнений в виде отторжения, воспалений, нагноений.

На эндопротезирование плечевого сустава цена зависит от перечня услуг, оказываемых клиникой в рамках операции, способа оперативного вмешательства, метода фиксации протеза.
Виды эндопротезов и цены
Имплантаты на ножке по своему строению могут быть анатомическими и обратными. Анатомический состоит из трех частей: головка, ножка и впадина. Назван так, поскольку полностью повторяет структуру человеческого плеча и по биомеханике, и по форме.
Установка такого протеза возможна только в том случае, если вращательная манжета не повреждена. При замене используется продукция таких мировых производителей как DePuy, Zimmer, Smith&Nephew, Biomet, Aesculap — B. Braun.

Обратный или реверсивный используется, когда вращательная манжета не функционирует и нарушена стабильность. Тогда головка крепится к суставной впадине (гленоидальному компоненту), а вогнутый имплантат впадины на ножке фиксируется на плечевой кости.

Для однополюсного эндопротезирования используются гемипротезы, то есть заменяющие только одну часть сустава. По способу установки делятся на поверхностные и штыревые (внедряются в кость).
Также имплантаты могут быть цельными или сборными (модульными). Модульные позволяют за счет подбора различных размеров элементов корректировать при необходимости положение плеча. Существуют следующие способы крепления протезов к кости:
- бесцементный. Фиксация производится «вколачиванием». Подходит для имплантации в плотную костную ткань, способную надежно удерживать ножку;
- цементный. Ножка закрепляется с помощью специального раствора. Используется при недостатке или плохом качестве собственной костной ткани.
Ревизионное эндопротезирование в случае обширного поражения тканей, замены эндопротеза или сильного разрушения кости требует специального имплантата, который частично компенсировал бы функциональную недостаточность мышц. Например, Delta XTEND производства компании DePuy. Центр ротации у него смещен вниз и кнаружи, что увеличивает диапазон движений, сохраняя при этом стабильность сустава.
Цена на лечение
На протезы плечевого сустава цена достаточно высокая, начинается от 140 000 рублей. Плюс стоимость пребывания в стационаре, анализы, анестезия, имплантация и реабилитация. В таких случаях государство предусматривает бесплатное лечение по квотам. Квоту на проведение имплантации можно получить по месту постоянной прописки, имея полис ОМС.
Получение квоты
- Обратиться в свою клинику по месту жительства с целью получения направления в лечебное учреждение, предоставляющее услуги по эндопротезированию. Врач оформляет пакет документов для получения квотного талона.
- Эти документы предоставляются пациентом в местный территориальный орган здравоохранения, где при положительном решении выдается талон на бесплатное оказание высокотехнологичных видов помощи.
Из минусов бесплатного лечения: срок ожидания очереди может затянуться на год. Также замена плечевого сустава по квоте не предполагает выбора фирмы-производителя имплантата.
Что касается ревизионных операций, то бесплатное или платное удаление плечевого эндопротеза определяется степенью срочности вмешательства. Иногда нет времени на улаживание формальностей по сбору документов. Такая процедура обычно стоит дешевле первичного эндопротезирования.
Реабилитация после эндопротезирования плечевого сустава: упражнения и ЛФК
Высокоэффективная операция избавляет от инвалидности, дает возможность вновь возобновить нормальную силу, ритмичность, скоординированность, стабильность движений верхней конечности, что подтверждено многочисленными клиническими исследованиями. Благодаря эндопротезированию плечевого сустава становится доступным сгибание и разгибание соответствующей части опорно-двигательного аппарата, отведение и приведение, ротация внутрь и кнаружи. При этом, что особенно важно, движения во всех плоскостях осуществляются безболезненно и в полном объеме.

Рентген после эндопротезирования плечевого сустава
Если ранее человеку стоило больших трудов и страданий, к примеру, завести руку за голову или спину, отвести ее в сторону, поднять вверх или удержать даже самый легковесный предмет, то после установки эндопротеза обо всех этих трудностях реально забыть. Однако произвести исключительно замену сочленения недостаточно, пациенту необходимо после нее упорно работать над своим восстановлением, чтобы однозначно получить отличный положительный эффект от пройденного хирургического мероприятия.

Шрам после реверсивного эндопротезирования плечевого сустава
Максимальному возвращению двигательного потенциала способствует реабилитация после эндопротезирования плечевого сустава, которой отведена не менее значимая роль, чем самой операции. Только пройдя качественно весь путь послеоперационной реабилитации, человек может рассчитывать на благоприятный прогноз - восстановление функциональности прооперированного отдела на 95 %-100 %. Конечно, при условии, что и протезирование было выполнено без изъянов - на высшем профессиональном уровне.
Что касается качества непосредственно самой процедуры, вам его обеспечат, если вы оперируетесь в хорошей ортопедической клинике за границей, там весь процесс хирургии отработан и отточен до мелочей. Поэтому принципиально значимо, чтобы идеальное во всех смыслах этого слова эндопротезирование не было сделано зря, заниматься непрерывной разработкой нового плечевого сустава по всем правилам и нормам. Постоперационное лечение выполняется поэтапно по специально составленной схеме, занимает оно не меньше 3 месяцев.
Напутствие для пациента: обязательно к прочтению
Восстановительный режим соблюдается независимо от того, была ли использована тотальная замена всех рабочих элементов сустава, частичная, поверхностная или ревизионная имплантация. Общепринятая программа реабилитации после эндопротезирования плечевых суставов начинает выполняться с первых суток. С каждым пройденным днем, неделей и месяцем, прилежно исполняя медицинские рекомендации, вы будете замечать существенные сдвиги в восполнении утраченных функций подвижности. А все благодаря тому, что многочисленные мышцы, управляющие эндопротезом, стали приходить в состояние нормы.
Вы должны понимать, что вживленное устройство начинает действовать после того, как будут приведены в порядок мышечные ткани руки, в первую очередь те, которые «запускают» локомоторный механизм данного сочленения, а их достаточно большое количество. Плечелопаточный сегмент образуют такие мышцы, как:
- дельтовидная в ключичной, акромиальной, остистой части - отвечает за сгибание, отведение и разгибание плеча;
- широчайшая и большая круглая - обеспечивают внутреннюю ротацию;
- надостная, подостная, подлопаточная - обуславливают наружную ротацию.

Чтобы усовершенствовать перечисленные группы мышц, которые подверглись существенным дегенерациям на фоне суставного заболевания, вам необходимо будет выполнять специальный комплекс лечебной физкультуры по периодам и ходить на физиотерапевтические процедуры. Все мероприятия должны проходить под пристальным присмотром методиста по лечебной гимнастике, реабилитолога, физиотерапевта и врача-ортопеда!

Из положения лежа отведение руки за голову при помощи здоровой руки.
Упражнения ЛФК в самом начале назначаются пассивного типа с ассистенцией, то есть, когда вы здоровой рукой будете помогать эндопротезированной конечности выполнять ту или иную задачу. Если вам будет сложно это делать, специалист или ваш близкий родственник поначалу позаботятся о правильном исполнении требуемых нагрузок.

Движения рукой в наклоне сначала малой, а потом большей амплитуды.
Учтите и тот факт, что протезирование плечевого сустава не исключает постоперационные осложнения. Последствия способны развиться на любом из реабилитационных этапов, они проявляются преимущественно в виде:
- местного инфекционного абсцесса;
- нестабильности (расшатывания) имплантата;
- парапротезного вывиха;
- легочной пневмонии;
- ригидности, контрактуры плечевого пояса;
- образования кровяных сгустков в глубоких венах;
- хронического болевого синдрома.
Негативные реакции возникают нечасто, как правило, при неадекватно распланированной и примененной системе лечебно-восстановительных мероприятий, длительном пребывании в состоянии малой подвижности, а также при форсированных физнагрузках. Для предупреждения вышеперечисленных неблагополучных явлений еще в стационаре после протезирования плечевого сустава обеспечивается их грамотная профилактика:
- введение антибиотиков, антисептическая обработка операционной раны против активизации инфекции;
- терапия противотромбозными препаратами от формирования тромбов в сосудах;
- оптимальная иммобилизация конечности при помощи повязки-косынки с клиновидной подушкой, установленной в подмышечной впадине, бандажа или ортеза для благополучной регенерации мягких структур и репарации костных тканей;
- назначение с первых часов дыхательной гимнастики от легочного застоя и развития пневмонии;
- использование высокоэффективных тренировок строго по этапам, которые дозировано нагружают руку и не угрожают нарушением целостности искусственной конструкции;
- применение процедур физиотерапии, способствующих улучшению трофики околосуставных тканей, стимуляции кровообращения, устранению гематом, снятию отеков и болезненных признаков, избавлению от гипотонуса мышц и пр.
Реабилитационный цикл протекает гораздо легче, чем после суставного протезирования ног, поскольку он не сопряжен такими трудностями при ходьбе, принятии положения сидя и т. п. Но над замененным плечевым суставом, его мышечно-связочной системой работать в любом случае нужно, ведь именно эти функциональные зоны первые в ответе за двигательную состоятельность, стабилизацию верхних конечностей в целом. А руки, как известно, - это основной орган труда. Более того, они не последнюю роль занимают в контроле над регуляцией баланса тела в вертикальном положении.
Настройтесь на долгую и непрерывную работу, если хотите, чтобы протезированной руке вернулась здоровая работоспособность. Поверьте, другого пути нет! Реабилитация после такой сложной реконструктивной операции, как эндопротезирование плечевого сустава, крайне необходима. Первостепенно важно следовать тому графику физической активности, что порекомендовал вам лечащий врач, при этом помните о принципе постоянства и постепенности. А при всяких замеченных отклонениях, не являющихся нормой (усиление боли, уплотнение и покраснение кожи на плече, повышение температуры и др.), срочно сигнализируйте об этом доктору!
Ранняя восстановительная фаза
Начиная с первых суток и примерно до конца второй недели, физическая реабилитация обновленного плечевого сустава после эндопротезирования носит облегченный характер. Это означает то, что минимум на протяжении данного отрезка времени осуществляется очень бережная и щадящая разработка руки, так как кости, сухожилия, связки, мышцы находятся пока еще в процессе начальной регенерации. Сперва, как было сказано ранее, помогать выполнению определенных движений прооперированной конечностью нужно будет посредством противоположной руки. Основная доля занятий приходится на произведение несложных движений предплечьем, запястьем, пальцами руки.

Сжимание мячика или любого подходящего предмета кистью.
Примерно на 3-4 сутки уже включается пассивная механотерапия. Занятия проводятся на специализированном автоматическом тренажере, в который фиксируют проблемную конечность. Зарядка происходит по заданной программе, установленной с учетом допустимого диапазона движений в плечелопаточном суставе, положенного темпа и времени нагрузки. Тренажерный аппарат позволяет использовать встроенные программы на отведение/приведение, внутреннюю и внешнюю ротацию. Он также имеет встроенную функцию глубокой осцилляции. Данный способ заключается в локальном воздействии на травмированные участки электростатическими импульсами, что способствует:
- глубокой трофостимуляции;
- активизации тканевого метаболизма и кровоснабжения;
- обезболиванию и устранению отечности;
- повышению эластичности связочно-мышечных структур;
- улучшению подвижности проблемной области.
Стоит отметить, что это не единственная физиотерапевтическая тактика, оказывающая подобное терапевтическое действие. Пациенту также прописывают посещение процедур электромиостимуляции, лазеротерапии, УВЧ или других способов физиолечения, которые оказывают примерно аналогичное воздействие.

Шрам после поверхностной операции.
Ранняя реабилитация, эндопротезирование плечевого сустава всегда в послеоперационный период вызывает боль, после заметного сокращения болевого синдрома включает простые упражнения на растяжку. Как правило, их выполняют на специальной системе, снабженной подвесным тросом. Лечебный стретчинг в начальном периоде необходимо производить исключительно под контролем тренера по ЛФК.
Поздняя стадия восстановления
В зависимости от состояния больного, по истечении двух- или трехнедельного срока переходят к реализации программы позднего восстановления, которая базируется на более интенсивных занятиях. На предшествующем этапе вы уже достигли частичной коррекции функций руки и подготовили ее к продуктивным тренировкам. Обучение основным приемам активной разработки плечевого сустава рекомендуется, если протезирование, повторим, было проведено 2-3 недели назад.

Встать боком к стене и отводит руку в сторону.
Вам будет предложен комплекс активных физических упражнений, выполняемый сначала с небольшой нагрузкой, но ее постепенно нужно будет увеличивать. Все движения должны быть плавными и медленными. Вспомогательными тренажерами служат эластичная лента-эспандер, гимнастическая палка, турник, снаряды-утяжелители и другие спортивно-реабилитационные приспособления.

Встать спиной к стене и давить локтем в стену. Повторить 5-10 раз.
Ношение плечевого бандажа или фиксирующей косыночной повязки полностью отменяют спустя 3-4 недели. Также назначаются курсы традиционного массажа плеча и надплечья, гидромассажа, аквагимнастики, дополнительно рекомендуют плавание в бассейне.
Ни в коем случае нельзя назначать самостоятельно себе какие-либо виды тренировок на любом из этапов, предварительно не проконсультировавшись с компетентным специалистом и не получив от него детальных рекомендаций по методике их выполнения. Неразумные движения и безграмотный подход практически всегда становятся причиной преждевременного выхода из строя эндопротеза, в частности его вывиха и подвывиха. Тогда вам придется досрочно прекратить реабилитацию, а эндопротезирование плечевого сустава, вероятнее всего, пройти повторно.

Работа с эспандером.
Поздний реабилитационный этап, если вести отсчет со дня проделанной имплантации, заканчивается через 12-13 недель. Именно на этих сроках достигаются окончательно прочная фиксация протеза и полноценные двигательные возможности верхней конечности в соответствии с физиологическими стандартами. Однако и в дальнейшем рекомендуется продолжать заниматься ЛФК не менее 3 раз в неделю, чтобы не допустить ослабления костно-мышечного корсета. Осторожность, неспешность, мягкость и плавность движений в плече при спортивных нагрузках - основные требования, которые остаются неизменными в течение всей жизни.
Главные рекомендации после восстановления
Недопустимо перенагружать искусственный сустав длительными нагрузками, совершать интенсивные махи и вращения, производить резкие и сильные толчковые движения рукой, поднимать и переносить тяжелые предметы, тем более на плече. Вам нужно также научиться предвидеть и не допускать травмоопасных ситуаций. Если говорить о спортивных тренировках, которые безопасны и даже полезны, вам стоит предпочесть следующие виды спорта:
- плавание;
- скандинавскую ходьбу;
- спокойный бег;
- велоспорт с умеренной нагрузкой.
Следующий серьезный момент, который касается всех, у кого вместо родного сустава плеча стоит имплантат: если у вас возникло какое-либо инфекционное заболевание (простуда, кариес, пиелонефрит и пр.), немедленно обращайтесь к врачу соответствующей специализации! Обязательно сообщите о том, что вы прошли в прошлом протезирование плечевого сустава, и вам будет проведена экстренная антибактериальная терапия (употребление или уколы антибиотика). Почему пациент нуждается в безотлагательной помощи?
- Любая патогенная микрофлора, развившаяся в том или ином органе, способна стремительно вместе с током крови переместиться на околосуставные участки, где размещен имплантат.
- Заражение близлежащих структур бактериями, инфекциями, вирусными антигенами вызывает гнойно-воспалительный очаг с локализацией, как нетрудно догадаться, в совсем неподходящем месте.
- Если своевременно не предпринять адекватных мер по ликвидации патогенеза, прочность крепления протеза будет нарушена, устройство расшатается и уже не сможет функционировать нормально.
- Подобное осложнение лечится слишком тяжело, зачастую вообще не поддается терапевтическому воздействию, что становится вынужденной необходимостью снимать имплантат. Следующая замена возможна только после основательного искоренения возбудителя и отменной регенерации поврежденных тканей.
Также пациент должен приходить к лечащему врачу на плановые обследования каждые 5 недель в течение полугода. Затем визиты в больницу с целью медицинского осмотра, аппаратно-инструментальной диагностики прооперированного плеча и сдачи лабораторных тестов назначаются с периодичностью 1 раз в год.
- Аппаратные методы в отдаленные сроки предназначены для наблюдения за правильностью положения, глубиной посадки, целостностью протезной конструкции. Они основаны на применении способов рентгенографии.
- При помощи специальных угломеров, ощупывания и тестирования движений периодически выполняется оценка двигательного потенциала во всех физиологических направлениях исследуемой зоны.
- Целью лабораторных исследований преимущественно являются определение показателей кальциево-фосфорного обмена в человеческом организме, чтобы иметь достоверное представление о состоянии костей, о качестве процессов минерализации костной ткани. Как известно, эндопротез погружен именно в суставные кости, а их даже малейшие разрушения, деформации, трещины создают критическую ситуацию, связанную с расшатыванием и дестабилизацией компонентов аналога-сустава.
Если будут зафиксированы признаки остеопороза, прописывается прием лекарственных средств, улучшающих плотность костных структур, а также постоянная поддерживающая (профилактическая) терапия, проводимая курсами с определенными интервалами. Исследуемыми биологическими материалами для определения остеопороза являются кровь и моча. Возможно проведение рентгенологической денситометрии.
Чем раньше остеопорозные признаки обнаружатся, тем больше шансов проходить с новым суставом нормальное количество лет. Поэтому не пропускайте необходимые визиты к врачу и ежегодное прохождение важных анализов.
Заключение
Вы так долго мечтали, чтобы ваше качество жизни было таким же, как у здоровых людей и, наконец, вам предоставили хирурги такой уникальный шанс. Но, как вы поняли из нашей статьи, что не только умелая операция целиком и полностью решает данную медицинскую проблему, но и качественная реабилитация после эндопротезирования плечевого сустава, причем, пройденная от начала и до самого конца.
Отсюда вывод: проходить функционально-восстановительное лечение лучше в специализированных реабилитационных центрах, где вам организуют его на высочайшем профессиональном уровне, что позволит в дальнейшем безболезненно и в полном объеме лет 20 пользоваться новым сочленением.
Будьте ответственны и терпимы, не нарушайте послеоперационные правила, продиктованные квалифицированным медработником, идите без остановки к поставленной цели, внимательно следите за своим самочувствием - тогда все будет в абсолютном порядке.
Реабилитация после артроскопии плечевого сустава
Артроскопия - особый вид операции на плечевом суставе (ПС), в ходе которой в сустав вводят небольшую камеру (артроскоп). Камера передает изображение на монитор и помогает оперировать небольшими инструментами, введенными в сустав через миниатюрные разрезы. Операция может затрагивать мышцы, связки, хрящевую и костную части сустава. По сравнению с обычной, открытой, операцией на ПС, артроскопия менее болезненна и восстановление после нее проходит гораздо быстрее. Комплекс лечебно-восстановительных процедур, называемый реабилитацией, необходим для восстановления подвижности, силы и функционирования плеча после артроскопии.

Статью проверил
Дата публикации: 19 Марта 2021 года
Дата проверки: 19 Марта 2021 года
Дата обновления: 24 Октября 2022 года
Содержание статьи
Коротко о реабилитации
Реабилитация после артроскопии плечевого сустава направлена на:
- Устранение биомеханических повреждений после операции: восстановление нормального кровоснабжения и иннервации мышц-стабилизаторов (манжеты) плечевого сустава
- возвращение способности к занятию спортом
В связи с малоинвазивностью метода, восстановление организма после операции проходит достаточно быстро - в большинстве случаев пациенту можно ехать домой уже в день операции. Сам процесс реабилитации занимает от 6 до 12 недель, начинается уже через несколько часов после операции и продолжается в специализированных реабилитационных центрах, а также дома - в виде самостоятельных тренировок.
Обязательна ли реабилитация?
Реабилитация необходима для восстановления тонуса и силы мышц, стабилизирующих плечевой сустав, профилактики их атрофии. Без должных усилий, диапазон и свобода движения ПС восстановятся не полностью - это выразится в невозможности полностью поднять или отвести в сторону руку, в боли или дискомфорте при движениях.
Цитата от специалиста ЦМРТ
Исключительно информированность, владение техникой необходимых физических упражнений, регулярные тренировки и наблюдение у специалиста по реабилитации позволяют пациентам избежать осложнений и повторных травм плечевого сустава и достичь, или даже превзойти свои предоперационные уровни активности и физические показатели.
Этапы реабилитации
Программа реабилитации составляется специалистом с учетом особенностей повреждения, вида операции и характера предполагаемых нагрузок. Восстановление после артроскопии проходит в несколько этапов, с последовательным увеличением нагрузки на сустав и окружающие его мышцы, что приводит к их укреплению и постепенному заживлению.
1 этап. Послеоперационный
1 - 4 недели после операции:
- Посещение специалиста по реабилитации с первой недели после артроскопии;
- снижение отечности и боли в прооперированном плече;
- полное восстановление диапазона пассивных движений в суставе;
- поддержание тонуса мышц, стабилизирующих ПС;
- стимулирование кровообращения в области плечевого сустава.
Первые несколько недель после операции пациентам советуют носить ортезную повязку (плечевой бандаж) - повязка фиксирует прооперированную руку в полуотведенном положении, снижая воспаление и не давая травмировать сустав в процессе выполнения базовых бытовых задач. Восстанавливать пассивную (под воздействием внешней силы) подвижность плечевого сустава начинают с выполнения простых, индивидуально подобранных специалистом по реабилитации, упражнений:
- Статическое напряжение мышц плечевого пояса.
- Движения пальцами руки, движения кистью.
- Умеренные сгибательно-разгибательные движения в локтевом суставе
- Динамические упражнения: поднятие надплечий, вращение и сведение лопаток.
Первое время, при попытке выполнить какое-либо упражнение, мышцы плеча будут рефлекторно напрягаться, пытаясь предотвратить возможную травму. Это может выражаться в небольшом дискомфорте и тянущих ощущениях. Специалист по реабилитации поможет преодолеть рефлекторный страх и научит выполнять упражнения так, чтобы избежать повторной травмы.
Помимо лечебной физкультуры (ЛФК), реабилитация после артроскопии плечевого сустава может включать и другие процедуры:
Механотерапия (аппарат АРТРОМОТ ACTIVE-K).
Упражнения на лечебном аппарате, которые можно начинать уже в течение первых суток после операции под контролем специалиста по реабилитации. Работа на аппарате направлена на раннее безболезненное восстановление подвижности в оперированном плечевом суставе и укрепление мышц-стабилизаторов. Оказывает положительное влияние на координацию движений.
Нейромышечная электростимуляция.
Через кожу пациента подаются электрические импульсы, стимулирующие нервные окончания к передаче сигналов определенной группе мышц. Мышцы отвечают на импульс вибрацией или сокращением - так же, как при нормальной мышечной активности, например, при ходьбе или тренировке в спортзале. Это позволяет оптимизировать силу и тонус мышц, ослабить болевые ощущения.
Лечебный массаж.
Процедура уменьшает боль и отечность, улучшает приток крови в прооперированную конечность.
Кинезиологическое тейпирование.
Накладывание на кожу вокруг сустава специальных эластичных хлопковых лент на акриловой клеевой основе. Тейпы стабилизируют сустав и мышцы, увеличивая их диапазон движения и оказывая противоотечное действие.
Мануальная и кинезио- терапии.
Набор методов ЛФК, направленных на поддержание тонуса мышц-стабилизаторов плечевого сустава. Например, методики постизометрической релаксации мышц (ПИР) и проприоцептивное нервно-мышечная фасилитация (PNF-терапия).
Будет полезно уделить время и кардиотренировкам, например, занятиям на велотренажере. Однако, на первых порах, стоит воздержаться от бега - тряска при беге может негативно сказаться на заживлении плеча после артроскопии.
2 этап. Восстановительный
5 - 6 недели после операции:
- Посещение специалиста по реабилитации раз в 1-2 недели;
- начало восстановления активных движений в плечевом суставе;
- восстановление тонуса мышц плечевого пояса;
- восстановление чувства положения руки в пространстве (проприоцепции).
На втором этапе специалист по реабилитации обучает пациента упражнениям, нацеленным на восстановление активных движений - движений в плечевом суставе, осуществляемых за счет собственных мышц плечевого пояса. Темп, силу и амплитуду упражнений подбирают так, чтобы они были комфортны и безболезненны для пациента. Не разрешаются резкие, маховые, рывковые движения. Занятия стоит проводить 2-3 раза в день, каждое упражнение повторять 10-12 раз. Примеры упражнений:
- Качательные движения в плечевом суставе: наклониться вперед и свесить расслабленную руку. Раскачивать руку в различных плоскостях, избегая положений, доставляющих дискомфорт.
- “Скольжение” руки по горизонтальной поверхности с постепенным увеличением диапазона движения.
- Бытовые упражнения (причесывание, умывание и т.д.).
Выполнение упражнений необходимо приостановить если они вызывают отечность и / или усиление боли в суставе.
3 этап. Предтренировочный
7 - 12 недели после операции:
- Посещение специалиста по реабилитации раз в 2-3 недели;
- полное восстановление активного диапазона движения в плечевом суставе во всех плоскостях;продвинутое восстановление координации и проприоцепции.
По желанию пациента:
- Постепенное возвращение к силовым тренировкам;
- подготовка к возвращению в спорт.
К началу третьего этапа амплитуда движений пациента при выполнении упражнений увеличивается до полного объема. Вводятся:
- Упражнения в бассейне с использованием сопротивления воды;
- упражнения на координацию с использованием мячей и балансировочных платформ;
- упражнения на блоковых тренажерах с использованием отягощений и эластического сопротивления с постепенным увеличением нагрузки;
- элементы видов спорта, которыми пациент занимался до травмы.
Возвращение к спорту происходит постепенно, начиная с умеренных нагрузок, ограниченных короткими сессиями. Приблизительно через 6-12 месяцев пациент сможет вернуться к своим прежним показателям или даже превзойти их.
Где пройти реабилитацию после артроскопии плечевого сустава?
Пройти реабилитацию после артроскопии ПС можно в сети реабилитационных центров «Лаборатория движения». Свяжитесь с нами онлайн или по одному из телефонов на сайте.
Публикуем только проверенную информацию
Размещенные на сайте материалы написаны авторами с медицинским образованием и специалистами компании ЦМРТ
Рекомендуемые упражнения после артроскопического шва вращательной манжеты, оперативной реконструкции капсулы суставной губы (Bankart/SLAP), тенодеза длинной головки бицепса
Рука фиксирована в повязке. Сжатие эспандера ( 3-4 раза в день, по 10 минут). Данное упражнение необходимо выполнять с 1й недели после операции.
Упражнение № 2.
Часть повязки снимается (с предплечья), вторая часть, фиксирующая руку к туловищу остается. Выполняется сгибание и разгибание в локтевом суставе, без утяжеления. (3-4 раза в день по 10-15 минут).
Данное упражнение необходимо выполнять с 3й недели после операции, совместно с упр. № 1.
Упражнение № 3.
Повязка полностью снимается. Туловище наклоняется вперед, выполняются движения вперед-назад в плечевом суставе( маятник). ( 3-4 раза в день по 10-15 минут).
Данное упражнение необходимо выполнять с 6й недели после операции, совместно с упр. № 1, 2.
Упражнение № 4.
Повязка полностью снимается. На стол кладется бутылка с водой или скалка. Движением вперед-назад в плечевом суставе катаем скалку по столу. ( 3-4 раза в день по 10-15 минут).
Данное упражнение необходимо выполнять с 6й недели после операции, совместно с упр. № 3.
Упражнение № 5.
Повязка полностью снимается. Рука прижата к туловищу, согнута в локтевом суставе 90 градусов. В ладонь упирается скалка, выполняются пассивные отведения кнаружи.
Данное упражнение необходимо выполнять с 6й недели после операции, совместно с упр. № 3,4.
Упражнение № 6.
Повязка полностью снимается. выполняются отжимания от стены.
Данное упражнение необходимо выполнять с 6й недели после операции, совместно с упр. № 4,5.
Упражнение № 7.
Повязка полностью снимается. Поднятие резинки перед собой до угла 90 градусов.
Данное упражнение необходимо выполнять с 10й недели после операции, совместно с упр. № 4,5,6.
Упражнение № 8.
Повязка полностью снимается. Отведение руки с резинкой в сторону до угла 90 градусов.
Данное упражнение необходимо выполнять с 10й недели после операции, совместно с упр. № 4,5,6,7.
Упражнение № 9.
Повязка полностью снимается. Рука прижата к туловищу, согнута в локтевом суставе 90 градусов. Выполняется приведение предплечья с резинкой.
Данное упражнение необходимо выполнять с 10й недели после операции, совместно с упр. № 4,5,6,7,8.
Упражнение № 10.
Повязка полностью снимается. Рука прижата к туловищу, согнута в локтевом суставе 90 градусов. Выполняется отведение предплечья с резинкой.
Данное упражнение необходимо выполнять с 10й недели после операции, совместно с упр. № 4,5,6,7,8,9.
Читайте также:
