Редкие доброкачественные образования костей грудной клетки на КТ
Добавил пользователь Валентин П. Обновлено: 22.11.2025
Факультетская хирургическая клиника им. Н.Н. Бурденко Московской медицинской академии им. И.М. Сеченова
Впервые выявленные очаговые образования легких малого размера (до 2 см в диаметре). Динамическое наблюдение или операция?
Журнал: Хирургия. Журнал им. Н.И. Пирогова. 2016;(10): 57‑60
Введение. Патологические образования легких малого размера (до 2 см) в подавляющем большинстве случаев выявляются при проведении компьютерной томографии грудной клетки, выполняемой по различным причинам. Обнаруженные при таком обследовании очаговые образования в легочной ткани нередко остаются без внимания специалистов, что порой влечет за собой неутешительные результаты лечения данной категории больных. Угрожающим фактором в диагностике опухолей легких малого диаметра является их бессимптомность. Цель. Разработать алгоритм лечения у больных с выявленными образованиями легких до 2 см в диаметре. Материал и методы. Работа основана на результатах обследования и лечения 110 больных с патологическими образованиями легких малого диаметра, находившихся в Клинике факультетской хирургии им. Н.Н. Бурденко с 1997 по 2013 г. Всем пациентам были выполнены операции удаления участков легочной ткани из различных операционных доступов: 44 видеоторакоскопические резекции легкого, 43 миниторакотомии с видео сопровождением, 23 миниторакотомии. Результаты. У 25 пациентов был выявлен рак легкого, у 38 - доброкачественные опухоли (гамартомы и туберкуломы), у 10 больных - диссеминированный туберкулез, что потребовало незамедлительного лечения в специализированных стационарах. Вывод. При малых размерах образований (от 0,5 до 2 см) показано удаление их без морфологического подтверждения диагноза до операции. Оптимальный оперативный доступ для хирургического лечения пациентов с опухолями легких малого размера следует выбирать в зависимости от диаметра и количества патологических образований. При единичной опухоли легкого размером менее 0,5 см, впервые выявленной при компьютерной томографии, наиболее целесообразной тактикой будет динамическое наблюдение больного и проведение контрольной компьютерной томографии через 3-6-12 мес.
Одиночный очаг в легких (ООЛ) определяют как локальный участок уплотнения легочной ткани округлой или близкой к ней формы диаметром до 3 см [15]. Это международное определение отличается от традиционного отечественного представления о легочных очагах, источником которого является фтизиатрическая практика (в классификации туберкулеза легких размер очагов не превышает 1 см, а уплотнения большего размера определяются как инфильтраты, туберкуломы и другие виды изменений) [14, 15].
Патологические образования легких малого размера (до 2 см) в большинстве случаев выявляются при проведении компьютерной томографии грудной клетки, выполняемой по различным причинам [10, 11, 14, 16-18].
Некоторые характеристики объемных образований при КТ позволяют судить об их характере - доброкачественное или злокачественное, однако они не являются определяющими при постановке диагноза [19]. Также о характере образования можно судить по скорости его роста [20].
Между тем по результатам одного КТ-исследования часто трудно провести дифференциальную диагностику, требуются повторные исследования в динамике. При воспалительном процессе очаги исчезают через 1-2 мес. В случае атипичной железистой гиперплазии очаги не изменяются в течение нескольких лет. При аденокарциноме можно заметить увеличение размера и/или усиление плотности, а также сосудистую конвергенцию [11, 12].
Обнаруженные при таком обследовании очаговые образования в легочной ткани нередко остаются без внимания специалистов, что порой влечет за собой неутешительные результаты лечения этой категории больных.
Трудности точной диагностики очаговых образований легких хорошо известны - дифференциальную диагностику чаще всего приходится проводить между периферическим раком, доброкачественной опухолью (гамартохондрома и др.), туберкуломой, саркоидозом, метастатическими поражениями легкого [1-4, 6, 7, 10, 12].
По мнению С.В. Миллер и соавт. [8], диагностическая торакотомия является завершающим методом комплексного обследования больных с округлыми образованиями легких небольшого размера и обеспечивает действительно раннюю диагностику и своевременное хирургическое лечение. Следовательно, радикальное хирургическое вмешательство, предпринятое при округлом образовании в легком, генез которого неясен, является методом, позволяющим провести морфологическую верификацию ранней стадии злокачественной опухоли и выполнить органосохраняющую операцию.
Другие авторы считают, что в настоящее время не существует единого подхода к определению характера очаговых образований легких. Очевидно, что при высоком риске злокачественной опухоли оптимальный подход заключается в возможно более ранней морфологической верификации диагноза. В случае низкого риска злокачественного процесса более рационально проводить динамическое наблюдение [11].
Результатом этих действий может быть выделение группы пациентов с очевидно доброкачественным процессом, о чем свидетельствуют отсутствие динамики роста очага на протяжении 2 и более лет, наличие «доброкачественных» обызвествлений, включений жира (гамартома) или жидкости (киста) в очаге по данным КТ. В такой ситуации необходимо только наблюдение. Сюда же относятся случаи артериовенозных мальформаций и других сосудистых изменений, а также воспалительные процессы в легких (округлый туберкулезный инфильтрат, туберкулома, мицетома и др.), требующие специфического лечения [5, 9, 13].
Второй возможный результат - обнаружение признаков злокачественного процесса (очаг диаметром более 1 см с лучистыми неровными контурами, очаги по типу матового стекла и смешанного солидного типа, которые должны расцениваться как потенциально злокачественные), при которых необходима морфологическая верификация в условиях специализированного лечебного учреждения [12].
Ежегодно в России раком легкого заболевают свыше 63 тыс. человек, в том числе свыше 53 тыс. мужчин. У более 20 тыс. пациентов (34,2%) рак легкого выявляется в IV стадии, поэтому задача обнаружения злокачественных опухолей легких на ранних стадиях их развития чрезвычайно актуальна [2, 7, 8].
Угрожающим фактором при диагностике опухолей легких малого диаметра является их бессимптомность. Отсутствие жалоб, скудная клиническая картина заболевания, сложности с профилактикой и первичным выявлением очагов делают проблему образований легких до 2 см в диаметре актуальной для научных изысканий и практически значимой для сохранения здоровья и нередко жизни пациентов.
Материал и методы
Работа основана на результатах обследования и лечения 110 больных с патологическими образованиями легких малого диаметра, находившихся в Клинике факультетской хирургии им. Н.Н. Бурденко с 1997 по 2013 г. Мужчин было 63, женщин - 47. Возраст больных находился в пределах 19-74 лет.
У всех больных при рентгенологическом исследовании, включая компьютерную томографию, были впервые выявлены очаговые образования в легких размером от 0,5 до 2 см. Всем пациентам были выполнены операции удаления участков легочной ткани с опухолью из различных доступов: 44 видеоторакоскопические резекции легкого, 43 миниторакотомии с видеосопровождением, 23 миниторакотомии. Окончательный диагноз формулировали после планового гистологического исследования удаленного патологического образования легкого. Летальных исходов не было.
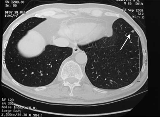
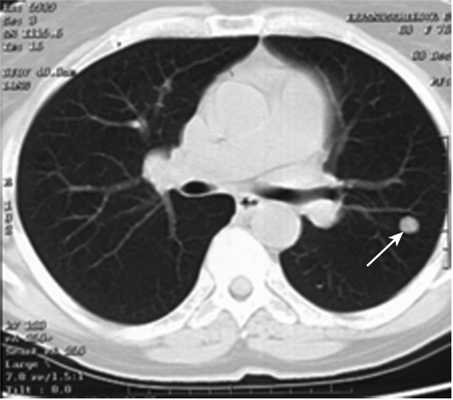
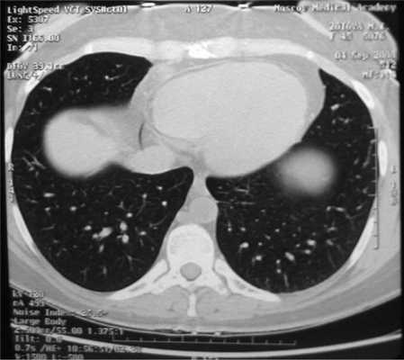
Все больные были разделены на группы в зависимости от размера очагового образования: 1-ю группу (диаметр ООЛ 0,5-1; рис. 1) составили 9 мужчин и 14 женщин, 2-ю группу (диаметр ООЛ 1-2 см; рис. 2) - 30 мужчин и 13 женщин, 3-ю группу (множественные ООЛ; рис. 3) - 27 мужчин и 17 женщин.

Рис. 1. Компьютерная томограмма груди пациента 1-й группы

Рис. 2. Компьютерная томограмма груди пациента 2-й группы.

Рис. 3. Компьютерная томограмма груди пациента 3-й группы.
Результаты и обсуждение
Больные 1-й группыбыли оперированы из миниторакотомного доступа, 2-й - из миниторакотомного доступа с видеоподдержкой, 3-й - из видеоторакоскопического доступа. Результаты гистологического исследования удаленных патологических образований представлены в таблице.

Данные гистологического исследования удаленных патологических образований
Очевидно, что в настоящее время остается нерешенным вопрос о показаниях и противопоказаниях к оперативному удалению одиночных образований легких размером от 0,5 до 1 см, диагностические алгоритмы у подобных пациентов также сформулированы нечетко. По нашим данным, злокачественное поражение легких и плевры в этой группе было диагностировано у 3 (13%) пациентов, доброкачественные опухоли - у 5 (21,7%).
Во 2-й группе у 13 пациентов был выявлен рак легкого. Доброкачественные опухоли (гамартомы) легкого имелись у 18 больных, у 7 пациентов была диагностирована туберкулома. Таким образом, в этой группе частота злокачественных и доброкачественных опухолей вместе с туберкуломами составила 88,4%.
У 9 (20,4%) пациентов 3-й группы были выявлены злокачественные поражения легких, у 10 (22,7%) - диссеминированный туберкулез, у 20 (45,5%) - саркоидоз, что потребовало незамедлительного лечения в специализированных стационарах.
Таким образом, диагностический алгоритм исследований у больных с впервые выявленными периферическими образованиями легких определяют данные мультиспиральной компьютерной томографии. При малом размере образований (от 0,5 до 2 см) показано их удаление без морфологического подтверждения диагноза до операции. Оптимальный оперативный доступ для хирургического лечения пациентов с опухолями легких малого размера следует выбирать в зависимости от диаметра и количества патологических образований. При единичной опухоли легкого размером менее 0,5 см, впервые выявленной при компьютерной томографии, наиболее целесообразной тактикой будет динамическое наблюдение больного и проведение контрольной компьютерной томографии через 3, 6, 12 мес.
Доброкачественные образования костей
Опухоли костей - относительно редко встречающаяся патология. Доброкачественные образования чаще встречаются у лиц молодого возраста, как правило локализуются в трубчатых костях, при этом поражение нижних конечностей обнаруживается в два раза чаще чем верхних.
Современная классификация доброкачественных опухолей костей:
1) Костеобразующие опухоли: остеома, остеоид-остеома, остеобластома
2) Хрящеобразующие опухоли: хондрома, хондробластома, остеохондрома
3) Гигантоклеточная опухоль
4) Сосудистые опухоли: гемангиома, лимфангиома
5) Другие соеденительнотканные опухоли: липома, фиброма
6) Прочие опухоли и опухолеподобные поражения: нейрофиброма, одонтома, солитарная костная киста, аневризмальная костная киста, неоссифицирующая фиброма, эозинофильная гранулема, фиброзная дисплазия.
Диагностика опухолевых образований костей затруднена из-за отсутствия явных ранних симптомов - болевой синдром не выражен или отсутствует; рост опухоли отсутствует или очень медленный, деформация кости без изменения окружающих мягких тканей.
Возможности различных лучевых методов диагностики заболеваний скелета в настоящее время значительно расширились. Однако на первом этапе всем пациентам необходимо проводить классическую рентгенографию в стандартных проекциях, в зависимости от области интереса, поскольку этот метод является базовым и самым доступным, и позволяет практически во всех случаях получить необходимую информацию, поставить правильный диагноз, не используя дорогостоящие и малодоступные методики визуализации, такие как КТ и МРТ.
Для доброкачественных опухолей костей характерны такие общие рентгенологические признаки: четкие контуры, ободок склероза, часто вздутие кости, отсутствие периостальной реакции, медленный рост, солитарный характер поражения.
Различают губчатую остеому, остеому, состоящую из коркового и губчатого вещества, и остеому из сплошного компактного вещества. Первые два вида наблюдаются на длинных трубчатых костях, компактные остеомы поражают плоские кости черепа.

Рентгенодиагностика спонгиозной и медуллярной остеомы:
- остеома всегда солитарна,
- форма шаровидная, шиповидная,
- опухоль сидит на кости на широкой правильной ножке,
- корковый слой при остеоме не нарушен.
- контуры гладкие, ровные,
- губчатая сеть кости и опухоли непрерывно переходит друг в друга.

Рентгенодиагностика компактной остеомы:
- округлая, шаровидная или яйцевидная форма,
- опухоль дает гомогенную бесструктурную тень.

Остеоид-остеома
- мужской пол поражается в 4 раза чаще,
- наблюдается преимущественно в возрасте 10-20 лет,
- локализация: кортикальный слой диафизов длинных трубчатых костей (б/берцовая и м/берцовая), в позвоночнике - в области дуг или остистых отростков,
- морфологически - отграниченное образование, «гнездо» располагающееся в компактной, или губчатой костной ткани и окруженное широкой зоной склеротически уплотненной кости,
- обызвествление остеоидной ткани более выражено в центре очага поражения - картина «яйца в гнезде»: очаг деструкции - «гнездо» -округлая, овальная форма, небольшая величина (поперечник 0,5-1 см.); зона склеротического уплотнения костной ткани - четко отграничивает «гнездо» опухоли, по периферии переходит в неизмененную структуру кости.

Остеохондрома
- кроме костной ткани содержит и хрящевую, покрывающую поверхность опухоли в виде шляпки,
- исходит из плечевой кости, из мета-эпифизов в области коленного сустава, в головке малоберцовой кости, грудной отдел позвоночника(исходит из дужек или отростков),
- опухоль сидит на широкой ножке и возвышается на кости в виде цветной капусты.
- поверхность ее бугристая, контуры резко очерчены,
- корковое вещество кости переходит на поверхность опухоли или выступает в середину нароста, рассыпаясь на отдельные костные прослойки, идущие в виде лучей к поверхности опухоли,
- рисунок ее не гомогенен, состоит из костных островков, веерообразных пучков и перегородок, лежащих среди светлого фона хряща,
- остеохондромы обладают высоким потенциалом озлокачествления.

- поражаются фаланги, пястные, плюсневые, реже запястные кости, отростки позвонков, передние концы верхних ребер, тазовый скелет, грудина и весьма редко - длинные трубчатые периферические кости,
- в малых цилиндрических костях хондромы гнездятся в диафизах и эпифизах, в больших трубчатых - только в метафизарных костях,
- как правило хрящевые опухоли множественны и чаще всего наблюдаются в числе одного или нескольких на фалангах рук и пястных костях,
- чаще процесс двусторонний, но не симметричный.

- опухоли шарообразны или овальны, расположены то центрально и вздувают кость изнутри, то эксцентрично и более поверхностно и связаны только с корковым веществом кости,
- опухоль состоит из прозрачного, хрящевого фона на котором видны островки, точечки из извести или костного вещества,
- наружные контуры гладкие и при доброкачественном течении не прерываются,
- на месте слияния опухолевых шаров костная перегородка иногда толстая, в других случаях истончена или отсутствует,
- при поражении эпифизарных хрящей приходится видеть торможение роста кости в длину или ее искривлении,
- нередко центрально расположенная хондрома осложняется патологическим переломом,
- корковый слой неравномерен и местами утолщен,
- при хондроме поверхность кости шероховата.

Гигантоклеточная опухоль
(остеобластокластома)
- состоит из клеток 2 типов- многоядерных гигантских и мелких одноядерных,
- поражаются люди в возрасте от 20 до 40 лет,
- локализация бедренная кость - дистальный конец, проксимальный конец б/берцовой кости, дистальный конец лучевой кости. Из плоских костей - тазовые кости и лопатка, очень редкая локализация в позвонках,
- одиночность и изолированность поражения,
- характерно расположение опухоли в эпиметафизраном отделе, который значительно вздут и деформирован, имеет вид крупнобугристого полушария, булавы,
- опухоль доходит до суставного хряща и обрывается,
- растет во всех направлениях, но главный рост происходит вдоль длинной оси кости в сторону с/3 диафиза кости,
- поперечник опухоли может увеличивать нормальный диаметр опухоли в 3-5 раз.

- ячеистый тип - опухоль состоит из отдельных камер, отделенных друг от друга полными и неполными перегородками (мыльные пузыри или неправильные соты),
- корковое вещество раздвигается, вздувается изнутри, истончается, надкостничных наслоений нет,
- при больших опухолях корковое вещество рассасывается и опухоль окружена со всех сторон тонкой скорлупой состоящая из стенок поверхностно расположенных ячеек.

- остеолитический тип - полное отсутствие ячеистого или трабекулярного рисунка, дефект кости вполне гомогенен,
- краевой блюдцеобразный дефект,
- корковый слой на пораженном месте рассасывается, а на границе с дефектом корка заострена, не подрыта и не имеет никаких периостальных наслоений,
- контуры дефекта резкие,
- патологические переломы в 12% случаев.
Это сосудистая опухоль, исходит из костного мозга тех костей, которые содержат красный костный мозг, может наблюдаться в любом возрасте и не зависит от пола, излюбленная локализация тела позвонков и плоские кости черепа, протекают бессимптомно.

При локализации гемангиомы в плоских костях свода черепа происходит:
- вздутие кости и разрушение коркового слоя, надкостница приподнимается опухолью,
- характерен структурный рисунок - из центра опухоли к ее поверхности лучеобразно или веерообразно рассыпаются тонкие и более грубые костные балки.

Рентгенологическая картина гемангиом в позвонках:
- вместо нормальной структуры позвонка выступают вертикальноидущие, а подчас и единичные, горизонтальные, поперечные, грубые колонки и трабекулы,
- видны отдельные овальные или округлые просветления, окаймленные плотной костной границей,
- тело позвонка имеет вид вздувшегося бочонка, часто в процесс вовлекаются дужки.

Фиброма
- вначале центральный очаг разрушения кости круглой формы, имеет бесструктурный гемогенный вид, окаймлен скорлупообразно истонченной костной коркой, без периостальной реакции,
- затем в центре опухоли появляется очаг обызвествления, связанный с периферией подчас радиарно расположенными линейными костными перемычками,
- возможны патологические переломы.

Адамантинома
- одонтогенное (зубное) эктодермальное происхождение, т.е. развивается из эмалевого органа и имеет типичное гистологическое строение,
- возникает в нижней челюсти, верхней челюсти, также в большеберцовой и локтевой костях,
- возникает в любом возрасте, но чаще у молодых людей (от 15 до 35 лет),
- очаг рассасывания костного вещества, растущий из глубины центральных участков нижней челюсти, корковый слой вздувается изнутри кнаружи и часто истончается,
- вначале дефект однородный, затем появляется крупная или мелкая ячеистость (за счет кистовидного перерождения опухолевой ткани).
Доброкачественные опухоли костей - патология, которой могут страдать и младенцы, и люди преклонного возраста. Большинство таких образований имеют благоприятный прогноз в плане качества жизни и малигнизации. Исключение здесь составляют случаи гигантоклеточной опухоли, которая способна к перерождению. Своевременное выявление и адекватное лечение позволяют избежать серьезного ухудшения здоровья пациента.
КСС. Костно-суставная система. Доброкачественные опухоли из других видов тканей
Учебное пособие подготовлено кафедрами рентгенологии (зав. кафедрой — проф. М. К. Михайлов) и рентгенологии-радиологии (зав кафедрой — проф. Г. И. Володина) Казанского государственного института усовершенствования врачей.
Другие доброкачественные опухоли.
Остеохондрома. Остеохондрома — одиночная, в редких случаях — множественная опухоль, состоящая из костной и хрящевой ткани. М. В. Волков отмечает, что разница между хондромой и остеохондромой — количественная в смысле степени оссификации опухоли.
М. В. Волков считает, что под остеохондромами именуются обызвествившиеся хондромы. «Когда речь идет об остеохондроме, чаще всего подразумевается оссифицирующая хондрома, хондрома с известковыми включениями». С подобной точкой зрения согласиться нельзя. Морфологическая картина истинных остеохондром описана Т. П. Виноградовой. Наши клинико-рентгенологические наблюдения выявили определенные различия в картине хондром и остеохондром. Остеохондромы, в отличие от хондром, преимущественно локализуются в длинных трубчатых костях (медиальная поверхность проксимального метафиза плечевой кости, дистальный метафиз, эпифиз бедренной кости, проксимальный метафиз большеберцовой и проксимальный метафиз, эпифиз малоберцовой кости и др.) и соединены с основной костью ножкой. Из плоских костей чаще других поражаются лопатка, ребра, кости таза. Остеохондрома может исходить из отростков позвонков и мелких костей.
Наши данные подтверждают имеющиеся в литературе сведения о преимущественной локализации остеохондром в длинных трубчатых костях и лопатке. Указанные локализации для хондром являются редкостью.
Рентгенологическая картина остеохондром достаточно типична. Однако нельзя полностью согласиться с описанием остеохондромы, представленной в руководстве С. А. Рейнберга «Остеохондрома лишь мало отличается от остеомы: она кроме костной содержит еще хрящевую ткань, покрывающую поверхность опухоли в виде шляпки». Подобное описание характеризует юношеские костно-хрящевые экзостозы (дисплазия).
Остеохондрома на рентгенограмме представлена в виде дополнительной тени, соединенной с костью ножкой или реже — широким основанием. Растет в сторону от сустава, медленно, но может достигать больших размеров. Контуры остеохондромы бугристые, неровные. Кортикальный слой в виде тонкой окаймляющей пластинки прослеживается на всем протяжении опухоли. Иногда корковое вещество лучеобразно направлено к поверхности опухоли. Обращает внимание сочетание мелких участков деструкции (хрящевая ткань) с наличием трабекулярного рисунка и массивных вкраплений известковых теней. При больших размерах остеохондром наблюдаются деформации соседних костей. Например, выраженное искривление и деформация кортикального слоя малоберцовой кости при больших размерах остеохондромы большеберцовой кости. Мы наблюдали также раздвигание и деформацию ребер при остеохондроме ребра у ребенка 11 лет.
Остеохондрому приходится дифференцировать с одиночными и множественными костно-хрящевыми экзостозами, которые относятся к дисплазиям. В длинных трубчатых костях костно-хрящевые экзостозы располагаются в области метафизов, и по мере роста как бы сдвигаются к диафизу. Костно-хрящевые экзостозы имеют многообразную форму, окружены компактной костной пластинкой, которая переходит с основной кости. Структура экзостозов напоминает структуру трубчатой кости. У линейных экзостозов с выраженной ножкой хрящевой «колпачок» определяется на его вершине; при шаровидной форме экзостоза хрящ находится по всей сферической поверхности. Он может обызвествляться, и на рентгенограммах определяются известковые включения, часто менее выраженные, чем при остеохондроме, В пользу костно-хрящевых экзостозов следует отнести полиоссальность. поражения и аномалии развития костей, часто наблюдающиеся при дисплазии.
Остеохондрома может озлокачествляться. Известны озлокачествления остеохондром лопатки и костей таза, остеохондром длинных трубчатых костей. Мы наблюдали малигнизацию остеохондром ребра (I), плечевой кости (I), короткой трубчатой кости стопы (I). Эти изменения характеризуются появлением сильной боли, разрушением кортикального слоя, выраженной деструкцией и дополнительной мягкотканной тенью за пределами остеохондромы. Лечение остеохондромы — хирургическое.
Доброкачественные опухоли из разновидностей соединительной ткани
К этой группе доброкачественных опухолей относятся редко встречающиеся новообразования — фиброма, липома и миксома.
Фиброма выявляется у лиц любого возраста, но преимущественно в детском и во втором — четвертом десятилетии жизни. Описаны фибромы верхней и нижней челюсти, длинных трубчатых костей, лопатки. Клинически фиброма проявляется болями и некоторой деформацией кости в области расположения опухоли. Рентгенологическая картина фибромы малотипична. Определяется незначительное вздутие кости за счет центрально, реже — эксцентрически расположенного очага деструкции костной ткани с тонким рисунком трабекул. Кортикальный слой истончен, но не прерывается. Иногда опухоль распространяется по всему длиннику диафиза, вызывая веретенообразную деформацию. Мы наблюдали три случая фибромы кости (подтверждено гистологическим исследованием), локализующиеся в проксимальном метадиафизе бедренной кости. Во всех случаях наступила деформация кости по типу «пастушьей палки». Отмечалось умеренное вздутие метадиафиза за счет очагов деструкции сливного характера с наличием трабекул. Кортикальный слой неравномерно истончен.
Дифференциальная диагностика фибром кости с монооссальными формами фиброзной дисплазии представляет трудности в связи с общностью ряда рентгенологических признаков.
Рентгенологическая картина при монооссальной форме фиброзной дисплазии отличается большим разнообразием. Процесс локализуется преимущественно в метафизах и диафизах трубчатых костей. Кость может быть вздутой, расширенной в поперечнике, искривленной. Участки разрежения костной ткани различных размеров и формы, иногда с ячеистой структурой, располагаются обычно эксцентрично в кортикальном слое; описаны также субкортикальные и субпериостальные локализации очагов. Часто обнаруживаются участки уплотнения кости. Кортикальный слой может быть компенсаторно утолщённым, но обычно истончается. Характерны волнистость, фестончатость внутреннего контура кортикального слоя и симптом «матового стекла» (структура очага). Течение фибром доброкачественное. Возможен патологический перелом.
Липома кости — очень редкая опухоль, локализующаяся в длинных трубчатых костях юкстакортикально и паростально. Каких-либо характерных клинико-рентгенологических признаков липома кости не имеет. На рентгенограммах определяется, по выражению С. А. Рейнберга, «нежное просветление». Решающее диагностическое значение приобретает морфологическое исследование.
Миксома кости — редкая опухоль, существование которой рядом авторов отрицается. Описаны миксомы в костях челюсти, в длинных и коротких трубчатых костях. При интерпретации рентгенограмм при миксоме кости создается впечатление о хондромиксоидной фиброме или хондробластоме.
Доброкачественная опухоль из хордальной ткани — хордома
Хордома развивается из персистирующих остатков хорды. Преимущественная локализация хордомы — это область сфеноокципитального сочленения и крестцово-копчиковый отдел позвоночника. Сведения о частоте отдельных форм хордомы весьма разноречивы.
Jaffe приводит следующие данные: кранильные хордомы — в 35%, вертебральные — в 10%, каудальные — 55%. По данным С. А. Рейнберга, 60% всех хордом определяется в области крестца, в частности, 40% У основания копчика и только небольшой процент хордом локализуется в области основания черепа.
Возраст больных разнообразный: редко — у детей и юношей; чаще — в зрелом возрасте. Мужчины заболевают чаще, чем женщины. Клинически хордома может быть доброкачественной и злокачественной. Некоторые авторы (С. А. Рейнберг) относят хордому к злокачественным новообразованиям.
Хордомы могут достигать больших размеров, особенно при их локализации в каудальном отделе позвоночника. Клиническая картина во многом зависит от направления роста хордомы. При росте в спинномозговой канал опухоль вызывает симптомы сдавления спинного мозга, конского хвоста и корешков нервов.
Рентгенологическая картина хордом характеризуется наличием очага деструкции, захватывающего ряд позвонков. Костный дефект представляется однородным, либо крупнокамерным за счет тонких костных полосок. Показаны боковые рентгенограммы крестца, на которых при хордоме определяется увеличение передне-заднего размера крестца за счет экспансивного роста опухоли. В отдельных случаях в опухоли прослеживаются небольшие костные включения, которые могут служить поводом для ошибочной диагностики тератом, особенно в детском возрасте. (В детском возрасте тератомы встречаются часто, их соотношение с хордомами, по данным М. В. Волкова, 60:2).
Лечение хордом — оперативное. В случаях нерадикального хирургического вмешательства могут возникать рецидивы опухоли.
Доброкачественные опухоли костей из сосудистой ткани
Ангиома. Сосудистые опухоли костей описаны в отечественной литературе в конце прошлого столетия (М. Ф. Матвеев, 1886 и П. И. Дьяконов, 1889). Различают капиллярные и венозные ангиомы. Макроскопический вид опухоли различается в зависимости от ее типа, что в определенной степени сказывается на разнообразии рентгено-морфологических вариантов ангиом.
Чаще всего ангиомы локализуются в позвонках и костях свода черепа. Внепозвоночные локализации ангиом редки (длинные трубчатые кости; кости таза, стопы, лопатки, челюсти). Ангиома может быть солитарной и множественной. Множественные ангиомы обычно локализуются в позвонках. Описаны сочетания ангиом костей с ангиомами кожи и реже — печени. Возраст больных, в котором выявляется опухоль, 35—45 лет. В то же время описаны редкие случаи ангиом в детском и старческом возрасте. В позвонках людей старческого возраста при аутопсии нередко находят ангиоматозные узелки на фоне остеопороза, но они не являются, как указывает Т. П. Виноградова, ангиомами.
Клиника зависит от локализации и ее распространенности. При ангиоме позвонка больных беспокоит локальная боль, утомляемость при ходьбе. В случаях значительного разрушения позвонка и компрессии его могут развиваться корешковые или спинномозговые симптомы. Мы наблюдали больных с ангиомами Т7 - 8 которые предъявляли жалобы на боли за грудиной и обследовались в терапевтических клиниках по поводу стенокардии. Ангиомы костей свода черепа вызывают головную боль в случаях деформации кости внутрь. При поражении основной кости может наблюдаться экзофтальм. Рентгенологическая картина ангиом позвонка весьма характерна. Кортикальный слой сохраняется, межпозвонковые диски не повреждаются. Структура позвонка при ангиоме представлена вертикально идущими утолщенными трабекулами с просветлениями между ними. Это наиболее частый вариант перестройки костной структуры тела позвонка при ангиоме. В отдельных случаях может наблюдаться остеопороз или мелко-ячеистая перестройка. Пораженный позвонок в некоторых случаях представляется деформированным по типу «бочонка». При ангиоме позвонка в процесс могут вовлекаться и дужки, которые на рентгенограммах представляются несколько утолщенными; выявляются те же структурные изменения, что и в теле позвонка.
При компрессии тела позвонка уменьшается его высота, уплотняется структура, и в этих случаях диагностика ангиом представляет определенные трудности. Возникает необходимость дифференциальной диагностики ангиомы позвонка и туберкулезного спондилита, а также метастаза рака. Сходными симптомами этих заболеваний является боль, картина компрессионного перелома, остеопороз. Однако при туберкулезном спондилите определяется очаг деструкции, прорыв очага некроза через краниальную или каудальную пластинку с вовлечением в процесс соседнего позвонка и деформацией межпозвонкового диска. При метастатическом поражении позвонка, помимо остеопороза выявляются очаги деструкции костной ткани с неровными контурами, нарушается кортикальный слой, но межпозвонковые диски, как и при ангиоме, не нарушаются.
В костях свода черепа ангиома представлена четко отграниченным участком перестройки костной структуры по мелкоячеистому типу. Чаще наблюдается незначительное вздутие кости, истончение и частичное разрушение наружной или внутренней костной пластинки и характерный лучеобразный структурный рисунок за счет различной толщины костных перекладин.
Реже гемангиома может локализоваться в ребрах. Как правило, поражается одно ребро, но описаны гемангиомы двух ребер, сочетание гемангиомы ребер и позвонков. В подавляющем большинстве случаев наблюдается поражение вертебрального отрезка ребра на протяжении 5—10 см. Пораженный участок ребра бывает незначительно веретенообразно утолщенным или резко вздутым. Кортикальный слой истончен. Костная структура перестроена по мелко-ячеистому типу. Размеры и форма ячеек значительно варьируют. Между ячейками костные перекладины имеют различную толщину. Они так же, как и ячейки преимущественно располагаются в продольном направлении, что создает на рентгенограммах продольную исчерченность. Ангиома в длинных трубчатых костях локализуется в метафизе и диафизе. Может поражаться весь длинник диафиза, который представляется неравномерно расширенным. Кортикальный слой на отдельных участках не прослеживается, контуры кости бывают неровными из-за выраженной реакции надкостницы. Структура кости перестроена по мелко-ячеистому типу с продольным расположением очагов деструкции с отдельными линейными участками склероза.
При ангиомах позвонков и костей свода черепа эффективной оказывается лучевая терапия. При динамических рентгенологических наблюдениях, особенно после второго курса лучевой терапии, отмечается некоторое уплотнение костной структуры. При ангиомах длинных трубчатых костей применяется оперативное лечение.
Эозинофильная гранулема
Описана Н. И. Таратыновым в 1913 году. Относят к Х ретикулезам (Lichtenstein), но есть все основания рассматривать ее в группе опухолей. Болеют преимущественно дети школьного возраста. Но нам приходилось наблюдать это заболевание у 2—3 летних детей, а также у лиц среднего возраста.
Клиническое течение процесса характеризуется наличием болезненного опухолевого образования в мягких тканях, достаточно плотного на ощупь, неподвижного, связанного с костью. В редких случаях может отмечаться субфебрильная температура тела и умеренная эозинофилия. Болезнь может протекать месяцами. В отдельных случаях поражение костей сочетается с одновременным поражением легких или кожи, что усугубляет клиническое течение заболевания. Локализация процесса разнообразна. Чаще поражаются плоские кости — кости свода черепа, таза, ребра. В костях таза эозинофильная гранулема может располагаться в верхней ветви лонной кости и в области симфиза. Могут поражаться длинные трубчатые кости и буквально все отделы скелета.
При локализации очага деструкции в диафизе длинных трубчатых костей возможна периостальная реакция.
Рентгенологическая картина весьма характерна. Определяется деструкция кости. Очаги деструкции одиночные и множественные, часто сливного характера. Может быть поражена одна кость или несколько костей одновременно. Форма очагов деструкции разнообразная — округлая, неправильно овальная, но чаще картообразная. Диаметр очагов деструкции от 0,5 до 5 и более см. В случаях сливного характера очагов деструкции могут прослеживаться костные перемычки. Контуры очагов деструкции, как правило, четкие. Очаги деструкции в отдельных случаях могут быть окаймлены ободком склероза. Очаги деструкции исходят из костного мозга, но быстро изнутри прорастают и компактную ткань. Кортикальный слой неравномерно истончается.
Морфо-рентгенологическая динамика эозинофильной гранулемы может быть представлена следующим образом: первоначально в зоне костномозгового канала или диплоэ определяется участок остеопороза — разрежение костной структуры с довольно четкими контурами. Эти изменения протекают бессимптомно. В этот период больные не обращаются еще за помощью. По истечении времени, участок остеопороза сменяет развившийся участок деструкции.
После проведенной лучевой терапии начинает восстанавливаться костная структура и в благоприятных случаях спустя 12—13 месяцев после дистанционной гамма-терапии очаг деструкции полностью замещается костной тканью. При дифференциальной диагностике эозинофильной гранулемы наибольшее практическое значение имеют воспалительные процессы — первично хронический остеомиелит.
При костной форме ксантоматоза выражена триада симптомов. Помимо очагов деструкции костной ткани в плоских костях, отмечается несахарный диабет и пучеглазие. Очаги деструкции в плоских костях распространяются как на наружную, так и на внутреннюю пластинку. Очаги деструкции обычно множественные с четкими контурами.
Доброкачественные опухоли легких
1. Что такое доброкачественная опухоль легких и ее симптомы?
Опухоли легких во многих случаях не являются злокачественными, т.е диагноз рак легких при наличии опухоли ставится не всегда. Нередко опухоль легких имеет характер доброкачественной.
Узелки и точки в легких можно увидеть на рентгеновском снимке или компьютерной томографии. Они представляют собой плотные небольшие участки ткани круглой или овальной формы, окруженные здоровыми тканями легких. Узелок может быть один или несколько.
По статистике, новообразования в легких чаще всего оказываются доброкачественными, если:
- Пациент моложе 40 лет;
- Он не курит
- В узелке обнаружено содержание кальция;
- Узелок небольшого размера.
Доброкачественная опухоль легких появляется в результате аномального роста тканей и может развиваться в различных частях легких. Определить, является ли опухоль легких доброкачественной или злокачественной очень важно. И сделать это нужно как можно раньше, ведь раннее выявление и лечение рака легких существенно повышает вероятность полного излечения и, в итоге, выживания пациента.
Симптомы доброкачественной опухоли легких
Доброкачественные узелки и опухоли в легких обычно не вызывают никаких симптомов. Именно поэтому ни практически всегда диагностируются случайно во время рентгена грудной клетки или компьютерной томографии.
Однако они могут стать причиной следующих симптомов болезни:
- Охриплость;
- Непрекращающийся кашель или кашель с кровью;
- Одышка;
- Лихорадочное состояние, особенно если болезнь сопровождается пневмонией.
2. Причины доброкачественных опухолей
Причины того, почему появляются доброкачественные опухоли легких, мало изучены. Но в целом они часто появляются после таких проблем со здоровьем, как:
Воспалительные процессы, возникшие из-за инфекции:
- Грибковые инфекции - гистоплазмоз, кокцидиоидомикоз, криптококкоз, аспергиллез;
- Туберкулез
- Абсцесс легкого
- Пневмония
Воспаление, не связанное с инфицированием:
- Ревматоидный артрит;
- Гранулематоз Вегенера;
- Саркоидоз.
- Врожденные патологии, такие как киста легких и другие.
3. Виды опухолей
Вот некоторые из наиболее распространенных типов доброкачественных опухолей легких:
- Гамартомы. Гамартомы - это наиболее распространенный тип доброкачественной опухоли легких и одна из частых причин образования одиночных легочных узелков. Этот вид мароморовидной опухоли легких образуется из тканей оболочки легких, а также жировой и хрящевой ткани. Как правило, гамартома располагается на периферии легких.
- Бронхиальная аденома. Бронхиальная аденома составляет около половины всех доброкачественных опухолей легких. Она представляет собой разнородную группу опухолей, которые возникают из слизистых желез и протоков трахеи или крупных дыхательных путей легких. Слизистая аденома - один из примеров истинной доброкачественной бронхиальной аденомы.
- Редкие новообразования легких могут появляться в форме хондром, фибром, липом - доброкачественных опухолей легких, состоящих из соединительной или жировой ткани.
4. Диагностика и лечение
Диагностика доброкачественных опухолей легких
Помимо рентгеновского обследования и компьютерной томографии для диагностики опухолей легких, о которых мы уже говорили, диагностика состояния здоровья пациента может заключаться в контроле динамики развития опухоли в течение нескольких лет. Обычно такая практика используется, если размер узелка не превышает 6 мм и пациент не входит в группу риска по заболеванию раком легких. Если узелок остается того же размера, по крайней мере, два года, он считается доброкачественным. Это связано с тем, что доброкачественные опухоли легких растут медленно, если вообще растут. Раковые опухоли, напротив, удваиваются в размере каждые четыре месяца. Дальнейшее ежегодной наблюдение, по меньшей мере, в течение пяти лет поможет окончательно убедиться, что опухоль легких доброкачественная.
Доброкачественные узелки в легких обычно имеют гладкие края и более равномерный цвет по всей поверхности. Они более правильной формы, чем раковые узелки. В большинстве случаев для проверки скорости роста, формы и других характеристик опухоли (к примеру, кальцификации), достаточно рентгена грудной клетки или компьютерной томографии (КТ).
Но возможно, что Ваш врач назначит и другие исследования, особенно если опухоль изменила размер, форму или внешний вид. Это делается для того, чтобы исключить рак легких или определить основную причину появления доброкачественных узелков.
Для диагностики может потребоваться:
- Анализ крови;
- Туберкулиновые пробы, чтобы диагностировать туберкулез;
- Позитронно-эмиссионная томография (ПЭТ);
- Одноместное фото-излучение КТ (ОФЭКТ);
- Магнитно-резонансная томография (МРТ, в редких случаях);
- Биопсия - взятие образца ткани и дальнейшее его исследование под микроскопом, чтобы определить, является опухоль легких доброкачественной или злокачественной.
Биопсия может быть выполнена при помощи различных методов, например, аспирации иглой или бронхоскопии.
Лечение доброкачественных опухолей легких
Во многих случаях специфическое лечение доброкачественной опухоли легких не требуется. Тем не менее, удаление новообразования может быть рекомендовано в том случае, если:
- Вы курите, и узелок имеет большой размер;
- Проявляются неприятные симптомы заболевания;
- Результаты обследования дают основания полагать, что опухоль легких является злокачественной;
- Узелок увеличивается в размерах.
Если для лечения опухоли легких требуется операция, ее проводит торакальный хирург. Современные методики и квалификация торакального хирурга позволяют выполнить операцию с небольшими разрезами, и сокращают время пребывания в стационаре. Если удаленные узелок был доброкачественным, дальнейшее лечение не потребуется, за исключением тех случаев, когда наличие опухоли осложнялось другими проблемами, к примеру, пневмонией или обструкцией.
Иногда для лечения требуется более сложная инвазивная операция, в ходе которой удаляется узелок или часть легких. Какая именно операция будет необходима, решает врач, учитывая местоположение и тип опухоли.
Заболевания Первичное обследование- Анализы крови на онкомаркеры
- МРТ головы, позвоночника, органов малого таза, органов брюшной полости
- МСКТ органов грудной клетки
- МСКТ органов брюшной полости (виртуальная колоноскопия)
- Гастроскопия (возможность проведения под наркозом, биопсия)
- Колоноскопия (возможность проведения под наркозом, биопсия)
- Бронхоскопия (с биопсией)
- Сцинтиграфия (костей скелета, легких)
Если вы обнаружили у себя подобные симптомы, возможно, это сигнал заболевания, поэтому рекомендуем проконсультироваться с нашим специалистом.
Диагностика Наши цены- Консультация врача онколога, профессор - 10000 р.
- Онкомаркеры:
- ПСА (простатический специфический антиген) общий - 575 р.
- ПСА общий/ПСА своб.(отношение) - 1040 р.
- РЭА (раковый эмбриональный антиген) - 730 р.
- СА 15-3 - 780 р.
- СА 19-9 - 770 р.
- СА 125 - 740 р.
- UBC (антиген рака мочевого пузыря) - 1775 р.
- СА 72-4 - 1170 р.
- Cyfra 21-1 - 1220 р.
- NSE (нейрон-специфическая енолаза) - 1550 р.
- SCC (антиген плоскоклеточной карциномы) - 1550 р.
- НЕ 4 (секреторный белок эпидидимиса 4) - 1150 р.
- СА 242 - 900 р.
- Белок S 100 - 2475 р.
- CgA (хромогранин А) - 2490 р.
- МРТ (головы, позвоночника, органов малого таза. органов брюшной полости) один отдел на базе ЛПУ-партнера - от 6000 р.
- МСКТ органов грудной клетки на базе ЛПУ-партнера - от 6000 р.
- Гастроскопия (ЭГДС, эзофаго-гастро-дуоденоскопия) на базе ЛПУ-партнера без наркоза/с наркозом (во сне) - от 6000/10000 р.
- Колоноскопия на базе ЛПУ-партнера без наркоза/с наркозом (во сне) - от 12000/20000 р.
- ПЭТ-КТ на базе ЛПУ-партнера - от 35000 р.
- Сцинтиграфия костей скелета на базе ЛПУ-партнера - от 8000 р.
Мы стараемся оперативно обновлять данные по ценам, но, во избежание недоразумений, просьба уточнять цены в клинике.
Данный прайс-лист не является офертой. Медицинские услуги предоставляются на основании договора.
Доброкачественные опухоли и опухолеподобные образования костей лица. Другие болезни челюстей
Опухоль - патологические процессы, которые возникают в результате пролиферации собственных клеток организма, отличаются своей биологической сущностью и являются реакцией организма на различные повреждающие факторы внешнего и внутреннего характера. (И.Т. Шевченко)
Протокол "Доброкачественные опухоли и опухолеподобные образования костей лица. Другие болезни челюстей"
Код по МКБ-10:
D 16.4 - Доброкачественное образование костей лица
D 16.5 - Доброкачественное образование нижней челюсти
K 10.1 - Гигантоклеточная гранулема (остеобластокластома) цнтральная
K 10.8 - Другие уточненные болезни челюстей (фиброзная дисплазия)
K 01.0 - Ретинированные зубы
K 07.3 - Аномалии положения зубов
К 09.- - Кисты полости рта и челюстей (неодонтогенные, фоликулярные)

Автоматизация клиники: быстро и недорого!
- Подключено 300 клиник из 4 стран
- 800 RUB / 4500 KZT / 27 BYN - 1 рабочее место в месяц

Автоматизация клиники: быстро и недорого!
- Подключено 300 клиник из 4 стран
- 1 место - 800 RUB / 4500 KZT / 27 BYN в месяц
Мне интересно! Свяжитесь со мной
Классификация
Классификация первичных доброкачественных опухолей и опухолеподобных образований костей лица (Ю.И. Бернадский, 1983)
Группа опухолей и опухолеподобных образований
Опухоли
Опухолеподобные образования
Остеобластокластома (гигантоклеточная опухоль) центральная и периферическая
Гиперпаратиреодная фиброзная остеодистрофия
Неостеогенные и неодонтогенные
Одонтогенные кисты челюстей:
- первично одонтогенная киста
«Банальный» (негигантоклеточный) эпулид
Диагностика
Диагностические критерии
Жалобы и анамнез
Жалобы больных довольно однообразны - на наличие деформации лица за счет опухоли, рост опухоли, нарушение жевания, приема пищи, ограничение открывания рта, подвижность зубов, косметический дефект.
Из анамнеза: могут быть хронические воспалительные процессы, разного рода травмы, что могло быть причиной развития опухоли. Давность процесса, от нескольких месяцев до нескольких лет. Одни опухоли развиваются скоротечно, другие медленно, годами увеличиваются в размерах, что играет немаловажную роль в диагностике доброкачественных опухолей.
Физикальное обследование: доброкачественные опухоли развиваются, как правило, безболезненно, и привлекают к себе внимание, когда уже имеется более или менее выраженная деформация челюсти и изменение расположения зубов или нарушение носового дыхания при поражении переднего отдела верхней челюсти.
Припухлость, обусловленная местным увеличением объема кости, служит другим важным клиническим признаком. При поражении опухолью надкостница или кортикального слоя кости припухлость выявляется сравнительно рано. Значительно позже выявляется припухлость при локализации новообразования в толще кости, особенно на верхней челюсти. Кожа и слизистая оболочка альвеолярного отростка и тела челюсти, расположенная над опухолью обычно имеет нормальную окраску.
Пальпаторное исследование очага поражения должно уточнить консистенцию, поверхность, границы опухоли и ее отношение к окружаюшим тканям, зону и глубину инфильтрации, смещаемость, а также болезненность и местное повышение температуры. Бугристая поверхность как правило при фиброзной дисплазии, хондроме, остеобластокластоме. Мягкая тестоватая консистенция опухоли а также ее зыбление говорит о некостном происхождении опухоли. Пульсация при опухолях кости челюсти обнаруживается редко, наличие же ее говорит о сосудистом происхождении. Симптом пергаментного хруста, при истонченной кортикальной пластинки, встречается при кистозной форме остеобластокластомы.
Особое внимание обращаем на состояние зубов: их положение, подвижность, реакция на перкуссию, чувствительность. Нарушение правильного положения чаще бывает при остеобластокластоме, хондроме, фиброзной дисплазии, эозинофильной гранулеме.
Ограничение движения нижней челюсти, встречается при опухолевом поражении ветви и суставного отростка нижней челюсти.
Показатели лабораторных исследований не изменяются.
Рентгенологическая картина опухолевых поражений челюстных костей немногочисленна, это деструкция, деформация кости и периостальная реакция. Деструкция наблюдается в виде одиночного (фиброма, миксома, энхондрома, остеобластокластома, остеогенная саркома и др.) и множественных очагов (эозинофильная гранулёма, полиоссальная фиброзная дисплазия). Форма очагов деструкции может быть округлая, продолговатая, неправильная, очаги деструкции могут локализоваться в любом участке кости челюсти, располагаясь центрально или периферически.
Характер границ довольно типичен: так, остеома является прямым продолжением кортикального слоя и сливаясь с ним, располагается на поверхности кости. Очаг фиброзной дисплазии, располагаясь внутрикостно, имеет обычно четкую границу в виде склеротической каемки.
Для эозинофильной гранулёмы характерны многофестончатые «штампованные» границы.
Остеобластокластома в случае кистозной формы окружена со всех сторон зоной склеротической ткани, а при литической форме в направлении продолжающего роста границы теряют четкость.
Деформация кости проявляется вздутием, если новообразование находится внутри кости, утолщением за счет периостальных наслоений или в виде дополнительных образований, исходящей из кости (остеома, экхондрома). Однако патогномоничной для доброкачественной первичной костной опухоли челюстей не существует.
Гистологическая диагностика опухолей костей челюстей и лица обязательна.
Показание для консультации специалиста: онколога - при подозрении на малигнизацию опухоли или злокачественный характер опухоли; при наличии сопутствующей патологии. Консультация стоматолога, ЛОР врача, гинеколога - для санации инфекций носоглотки, полости рта и наружных половых органов; аллерголога - при проявлениях аллергии; нарушения со стороны ЭКГ и др. являются показанием для консультации кардиолога; при наличии вирусных гепатитов, зоонозных и внутриутробных и др. инфекций - инфекциониста.
Перечень основных диагностических мероприятий:
1. Общий анализ крови (6 параметров).
2. Общий анализ мочи.
3. Биохимический анализ крови.
4. Исследование кала на яйца глист.
5. Определение времени свертываемости капиллярной крови.
6. Определение группы крови и резус фактора.
7. Гистологическое исследование операционного материала.
8. Консультация врача анестезиолога.
10. Рентгенография челюстных костей в двух проекциях.
Перечень дополнительных диагностических мероприятий:
1. Компьютерная томография височно-нижнечелюстного сустава.
2. Панорамная рентгенография челюстей.
4. УЗИ органов брюшной полости.
Перечень минимальных обследований перед госпитализацией:
3. Бак. посев кала детям до 2 лет.
4. Рентгенография органов грудной клетки (у детей до 3 лет).
Дифференциальный диагноз
Доброкачественные опухоли костей лица
Злокачественные опухоли костей лица
Воспалительные заболевания костей челюсти
На припухлость, медленный рост, деформацию лица
На болезненную припухлость, увеличение в размерах, деформация лица
На болезненную припухлость, отек, деформация лица
Чаще медленно увеличивающаяся припухлость, иногда годами. Как правило, в начале заболевания не беспокоили, обращаются при появлении выраженной деформации лица
Начало заболевания чаще в течение 2-6 мес. Которое не беспокоило, после могут отмечаться боли, подвижность зубов, изъязвления слизистой над очагом поражения. Возможны ранее проведенные операции по поводу данного заболевания
В анамнезе ранее леченный или беспокоивший зуб, который был недолечен или больной не обращался к специалисту. Ранее перенесенный периостит челюсти
Безболезненное вздутие кости или образование с четкими границами, слизистая не изменена
Вздутие кости, болезненное при пальпации, возможны изъязвления слизистой над опухолью. Границы не четкие. Зубы подвижные
Муфтообразный инфильтрат, болезненный при пальпации, слизистая вокруг гиперемирована, пальпация резко болезненная. Зубы подвижные, перкуссия болезненная, гнойное отделяемое, свищ
Деструкция костной ткани с четкими, ровными краями
Границы опухоли нечеткие, фестончатые. Периостальная реакция
При острой форме остеомиелита могут не быть, при хронических формах деструкция кости с ровными краями, всегда есть причинный зуб
Лечение
Тактика лечения
Цель лечения: оперативное удаление патологически измененной костной ткани в пределах здоровых тканей.
Экскохлеация (выскабливание). Показанием к данной операции является четко ограниченные доброкачественные новообразования: эозинофильная гранулёма, очаговая форма фиброзной дисплазии, фиброма, остеобластокластома (кистозная, ячеистая и периферическая).
Резекция челюсти. Показанием являются опухоли склонные к рецидивированию (хондрома, миксома, литическая форма остеобластокластомы и др.). Необходимость резекции челюсти возникает и при обширном поражении челюсти доброкачественной опухолью. В таких случаях возможно проведение одномоментной костной пластики.
При сосудистых опухолях костей лица и полости рта перед основной операцией необходима перевязка наружной сонной артерии.
Немедикаментозное лечение: режим охранительный, полупостельный. Диета стол 1а, 1б.
Медикаментозное лечение: антибактериальная терапия с целью профилактики гнойно-воспалительных осложнений (линкомицин, цефалоспорины, макролиды, аминогликозиды). Инфузионная, симптоматическая, витамино-, гипосенсибилизирующая терапии. По показаниям трансфузия СЗП или эритроцитарной массы.
Профилактические мероприятия:
1. Соблюдение режима и диеты.
2. При обширных поражениях нижней челюсти с целью предупреждения патологического перелома необходимо шинирование.
3. Ортодонтическое и ортопедическое лечение по показаниям по месту жительства.
Дальнейшее ведение: реабилитация в условиях стоматологической поликлиники по месту жительства. Наблюдение и лечение у ортодонта по месту жительства. Диспансерное наблюдение у челюстно-лицевого хирурга по месту жительства. Занятия лечебной гимнастикой. Санация полости рта. Контрольная рентгенография челюстей.
Читайте также:
