Рекомендации по анализу рентгенограммы голени в ПЗ проекции
Добавил пользователь Владимир З. Обновлено: 22.01.2026
Рентген голени позволяет оценить состояние костей и, косвенно, окружающих их мягких тканей. Голень - участок ноги от пятки до колена. В ней располагаются две берцовые кости: большая и малая. Большая - вторая по величине после бедренной, отличается высокой прочностью. Малая значительно тоньше. Вместе они образуют пружинящую конструкцию, благодаря которой человек легко передвигается, опираясь на стопу.
Показания к рентгенографии голени
Рентген костей голени могут назначать врачи разных специальностей: ортопеды, травматологи, хирурги, онкологи, инфекционисты, дерматовенерологи.
Таблица 1. Врачи, назначающие рентгенографию
Повод сделать рентген голени
Травма, дискомфорт при движении, ограничение подвижности, удар ниже колена, при наличии боли, отёка, красноты, гематомы. Пациент не может опираться на ногу, а в момент травмы слышал хруст. Рентгенологический контроль при сращении переломов, для оценки эффективности проводимого лечения.
Разная длина правой и левой нижних счёт удлинения голеней, вальгусная (Х образная) деформация костей голени. конечностей , увеличение роста за или варусная (О-образная) деформация костей голени.
Диагностика гнойных и воспалительных изменений костной ткани: остеомиелита, периостита, абсцессов, секвестров. Выявление инородных тел в мягких тканях после травм, например, стекла или металлической стружки.
Подозрение на новообразование или метастазы в области голени.
Визуализация саблевидных голеней при врождённом сифилисе.
Противопоказания
Абсолютных противопоказаний к рентгену берцовых костей нет. Относительными могут быть беременность, период лактации. Однако в случае необходимости исследование проводится, при этом применяются повышенные меры защиты женщины от излучения.
Как проводится процедура
Рентгенографию голени проводит рентгенолаборант в специальном кабинете с экранированными стенами. Для исследования пациента просят обнажить ногу и разместиться на специальном столе.
Рентген голени делают в двух проекциях: прямой и боковой, часто с захватом голеностопных или коленных суставов, что позволяет точно определить локализацию патологического процесса. При необходимости врач-рентгенолог может назначить дополнительные проекции для уточнения выявленных изменений и проведения дифференциальной диагностики. Рентген большой берцовой кости и рентген малой берцовой кости проводятся одномоментно, так как они располагаются рядом друг с другом.
При рентгенографии костей голени можно диагностировать широкий спектр изменений: травматические повреждения костей - переломы, трещины, подвывихи, вывихи, инородные тела в кости и прилежащих мягких тканей, снижение плотности кости - остеопороз, или, наоборот, повышение костной плотности - остеосклероз; воспалительные, деструктивные изменения костей; можно выявить первичную опухоль в самой кости или заметить наличие вторичных костно-суставных нарушений, например, при метастатическом поражении, при туберкулезе, сифилисе. Врожденные или приобретенные костно-мышечные деформации. Косвенно, можно заподозрить травму связочного аппарата. На каждом снимке обязательно ставится пометка - снимок левой или правой голени сделан.
Как подготовиться к процедуре
Специальной подготовки к процедуре не требуется.
Преимущества рентгена голени в клинике «Семейный доктор»
В нашей клинике установлены современные цифровые рентгеновские аппараты, которые при минимальном облучении пациента делают качественные снимки высокой точности. Изображение сразу же сохраняется в электронном виде и его может просмотреть лечащий доктор. Пациент получает заключение врача-рентгенолога после того, как тот изучит снимок и сделает заключение. Результаты выдаются в бумажном виде или цифровом, могут быть продублированы на электронную почту.
Популярные вопросы
Сколько раз в год можно делать рентгенографическое обследование?
В карте пациента записывается полученная доза облучения. Врач-рентгенолог следит, чтобы суммарная доза не превышала предельно допустимую. Однако современные цифровые рентгенографы делают снимки с облучением в десятки раз меньшим, чем аналоговые рентгеновские аппараты. Поэтому превысить дозу практически невозможно, даже если вы будете делать снимки часто. Обычно рекомендуют делать не более 6 рентген-исследований в месяц, но врач может назначить больше - и это будет тоже безопасно.
Можно ли делать рентгенографию голени новорождённому?
Да, если врач посчитает, что это необходимо - нужно делать. Без назначения доктора, с профилактической целью или «на всякий случай» делать рентгенодиагностику нельзя.
Рентген голени: особенности, подготовка и проведение

Рентген голени - это лучевой, неинвазивный метод диагностики, используемый для выявления патологий костной ткани. Чаще всего необходимость в рентгене возникает в случаях перелома костей голени - большеберцовой и малоберцовой.
Данная диагностическая процедура отличается высокой информативностью, точностью, выполняется быстро - на подготовку, съёмку и расшифровку снимков уйдёт не более 15-20 минут. Это очень важно, особенно для такой области медицины, как травматология, где чаще всего приходится принимать оперативные решения по восстановлению здоровья пациента.
Показания для проведения
Рентгенографию голени могут проводить при наличии различных показаний и назначать её могут разные специалисты.
В травматологии
Переломы голени, стопы могут иметь весьма разнообразную локализацию, размер, сложность. Рентген поможет выявить особенности перелома, увидеть, есть ли осколки кости и как они расположены. Также рентген применяется уже после того, как сломанные кости соединили и загипсовали. В этом случае важно наблюдать в динамике, как происходит сращение костной ткани.
В онкологии
Онкологические очаги, как известно, могут возникать не только во внутренних органах или мягких тканях, но и в костной ткани. Чаще всего рак кости поражает области, расположенные рядом с коленным суставом, например голень. Стоит уточнить, что речь идёт о первичном раке, то есть о случаях, когда раковые клетки впервые зарождаются именно в кости, а не являются следствием метастазирования опухоли мягких тканей. Выделяют три основных вида онкологии, которые могут затронуть голеностопный сустав:
- Остеосаркома. Данная патология наиболее распространена, и в группу риска попадают в основном подростки, которые находятся в стадии активного роста и физического развития. Остеосаркома зарождается в новых, развивающихся костных тканях.
- Хондросаркома. Такая патология чаще зарождается в хрящах суставов и поражает людей в возрасте от 40 до 60 лет.
- Саркома Юинга. Это заболевание по большей части затрагивает детей младшего возраста. Характеризуется оно появлением небольших раковых очагов в костном мозге ребенка. Если такая патология выявляется на ранних стадиях, то она достаточно хорошо поддаётся лечению.
В гнойной хирургии
Кости голени могут поражать и гнойные заболевания. Наиболее распространённое из них - это остеомиелит. Такая патология может затрагивать все элементы кости: костный мозг, надкостницу и непосредственно костную ткань.
Остеомиелит бывает острым, то есть возникшим впервые, и хроническим. И в том, и в другом случае рентген голени помогает точно определить очаг патологии, оценить его размер, степень поражения кости. Также рентген необходим, если планируется операция на голени, направленная на устранение очагов остеомиелита.
Подготовка к рентгену голени
Рентгенография голеностопа не требует особой подготовки. Единственное, о чем нужно предупредить доктора, - это наличие металлических имплантатов в голеностопном суставе.
Что покажет рентген костей голени?

На снимке рентгена голени, как на черно-белом фото, видно расположение костей голеностопного сустава. Также визуализируется их соединение, хрящевая ткань. Переломы сустава будут визуализироваться как затемнения на белом фоне кости. Опухолевидные злокачественные новообразования также определяются как затемнения, но имеют нечёткие границы.
Иногда, чтобы наиболее чётко составить картину патологии, снимки голени делают сразу двух ног, даже если поражена только одна. При сравнении снимков, их симметрии бывает проще найти отклонение и поставить диагноз. Остеомиелит голени имеет особые признаки на рентгене:
- Утолщение кости в местах возникновения очага воспаления.
- На костях и на мышцах могут визуализироваться очаги некроза. Они выглядят как темные круги на кости или светлые - на мягких тканях, имеющие неправильную форму.
- На снимке при остеомиелите не визуализируется костномозговой канал.
Как проходит процедура?
Рентгенография голеностопа занимает мало времени и не требует специальной подготовки. Тело пациента, за исключением изучаемой области, в момент проведения съёмки должно быть защищено специальным фартуком, экранирующим ионизирующее излучение.
Проводят рентген голени в двух проекциях: прямой и боковой. Если этих проекций недостаточно для постановки диагноза, делают рентген в косых проекциях (под разными углами), а также рентген стопы с нагрузкой.
Расшифровка результатов
После проявления снимки нужно расшифровать. Для этого используются определённые показатели, которые сравниваются с нормативными значениями:
Рентген голени

В результате перехода к прямохождению ноги взяли на себя основную нагрузку. Нижние конечности (ноги) выполняют функцию опоры и движения человека. Каждая из двух ног человека состоит из 26 костей и, конечно, мышц. В строении нижних конечностей условно выделяют три основные части:
- бедро (бедренная кость и надколенник, защищающий коленный сустав);
- голень (большая и малая берцовые кости);
- стопы (состоят из множества мелких костей).
В связи со сложностью выполняемой функции и постоянными нагрузками, нижние конечности часто подвержены повреждениям как травматического характера, так и различного рода заболеваниям. Весьма эффективным способом подтвердить предварительный диагноз, основанный на клинических признаках и симптомах, является рентгенодиагностика.
В каких случаях будет назначен рентген нижних конечностей
Данный способ исследования является востребованным благодаря доступности и информативности. Также важным фактором является то, что цена рентгена ноги будет ниже, чем других способов неинвазивной диагностики. Обычно причиной рентген-обследования является направление специалиста: травматолога, хирурга, ортопеда, либо ревматолога. Объектами исследования могут выступать тазобедренный сустав, бедренная кость, коленный сустав, наколенник, кости голени, голеностопный сустав, стопа, пяточная кость, пальцы ног.Рентгенография ноги не является профилактической процедурой. Такое направление врач может выписать, если:
- имело место какое-либо механическое повреждение и необходимо подтвердить диагноз вывих, растяжение, разрыв сухожилий перелом;
- пациент жалуется на боли в нижних конечностях неясной этиологии;
- есть жалобы на затрудненность движения, ощущения онемения;
- наблюдается отечность нижних конечностей;
- прослеживается гиперемия кожных покровов ног (ноги);
- клинические признаки дают основания предположить развитие опухолевых процессов, и требуется первичная диагностика, чтобы уже в дальнейшем определить характер новообразования и способ лечения;
- необходимо исключить пороки развития костей и суставов нижних конечностей;
- имело место воздействие пониженных или повышенных температур и в результате есть признаки обморожения или ожогов (для определения степени повреждения кости);
- необходимо подтвердить диагноз плоскостопие;
- требуется визуализировать процесс срастания костей.
Как выполняется рентгенограмма в зависимости от объекта исследования области нижних конечностей
В зависимости от того, какой именно участок нижних конечностей исследуется, методика несколько различается. Кроме того, выбор методики основывается и на том, какой предварительный диагноз был поставлен на основании клинических данных.Исследование стопы чаще всего требуется при травмах. В таком случае рентген выполняется в положении на спине, ноги согнуты в коленях, подошвы упираются в плоскую поверхность.Часто причиной обращения к травматологу является перелом фаланг пальцев стоп. Специалист решит, нужно ли делать рентгенограмму одного, нескольких или всех пальцев. Обычно, если исследуют несколько фаланг, то делают снимок в двух проекциях - прямой и косой. В случае рентгенодиагностики одного пальца могут быть использованы 2 варианта совмещения проекций: прямая и косая; прямая и боковая.Если речь о повреждении голеностопного сустава, то лучше делать снимки в боковой проекции: пациент сидит, стопа - на подставке.Если нужно диагностировать плоскостопие, пользуются методом рентгенодиагностики с нагрузкой или без; проекция боковая - для продольного плоскостопия, прямая - для поперечного. Нагрузка предполагает, что пациент опирается всем своим весом на обследуемую стопу (стоит на ней), вторая нога согнута в колене.Определить патологии бедренной кости также можно с помощью рентгена, который может быть выполнен в прямой (обследуемый лежит на спине) и боковой (обследуемый лежит на боку, корпус и нога, которая снизу, отклонены назад) проекциях.
Насколько небезопасен рентген ног и как можно лечиться рентгеном
Всем известно о вреде ионизирующего излучения. Однако все зависит от степени излучения и суммарной лучевой нагрузке, ведь такое облучение имеет свойство накапливаться в организме. Именно поэтому после проведения каждой процедуры рентгенодиагностики в соответствующем листе учета ставится отметка о величине полученной дозы радиации. Среднестатистический человек, который несколько раз в год, обратившись в стоматологию, сделает рентген-снимок и пройдет плановую процедуру флюорографии, получит в сумме с естественным радиационным фоном облучение, равное приблизительно 15 мЗв. А дозу, составляющую менее 10 мкЗв, допускается вообще не учитывать.
Ограничение на проведение процедуры могут быть связаны с:
- тяжелым состоянием пациента, особенно если имеет место кровотечение;
- беременностью;
- возрастом младше 15 лет;
- значительной суммарной дозой облучения, полученной ранее.
Тем не менее, учитывая незначительную лучевую нагрузку рентгенодиагностики ног, информативность метода должна превалировать над стремлением избежать облучение.Последнее время благодаря разработке низкодозовой рентгенографической аппаратуры, такое распространенное заболевание, как костное разрастание на поверхности пяточной кости в виде шипа (клина), известное также под названием «пяточная шпора», эффективно лечится с помощью Х-лучей. Современные аппараты дают возможность, во-первых, снизить облучение, во-вторых, - воздействовать целенаправленно, то есть не затрагивая области других органов. Такой метод дает возможность очень быстро убрать болевой синдром и остановить патологические процессы. Доза получаемого облучения во время процедуры не превышает 10 мкЗв (0,01 мЗв).
Рентген нижних конечностей
В этом месяце жителям районов Савеловский, Беговой, Аэропорт, Хорошевский предоставляется скидка 5% на ВСЕ медицински.
Скидки для друзей из социальных сетей!
Эта акция - для наших друзей в "Одноклассниках", "ВКонтакте", "Яндекс.Дзене", YouTube и Telegram! Если вы являетесь другом или подписчиком стр.
Кисляков Андрей Вадимович
Высшая квалификационная категория
Комстачева Галина Александровна
Диагностика. МРТ и рентген
Мы в Telegram и "Одноклассниках"
Преимущества рентгена в нашей клинике
"Москва 24", телеканал (ноябрь 2016г.)
30 минут
Рентген нижних конечностей занимает 10-15 минут. Зависит еще от того, какая именно часть нижних конечностей в центре внимания. Например, рентген надколенника делается за несколько секунд, а обработка цифрового снимка и описание могут в целом занять 10-20 минут.
Нет боли
Анестезия не требуется
Подготовка не требуется
В отличие от некоторых других рентгенологических исследований, в данном случае подготовка не требуется.
Не требуется
Сохраняется
После исследования вы можете сразу приступать к работе, если, конечность, необходимость в рентгене не была связана с травмой.
Нет ограничений
Ноги, или нижние конечности, испытывают большую нагрузку с тех пор, как человек перешел к прямохождению. В связи с этим они подвержены как травмам, так и заболеваниям.
Причины, которые вызывают боли в нижних конечностях, очень многообразны. Только врач сможет установить точный диагноз на основании анамнеза (ваших жалоб).
Рентген нижних конечностей позволяет проверить целостность костей, выявить инфекцию, артрит, остеопороз и другие заболевания. Данное исследование назначают для оценки проведенного хирургического лечения, при подозрении на онкологию (например, остеосаркому) и развитие гнойного процесса.
Также боли в ногах могут указывать на:
Важно дифференцировать заболевание, чтобы как можно раньше начать лечение. В нашей многопрофильной клинике сообща работает целая команда специалистов, которая назначит вам все необходимые исследования. Рентгенологи, кардиологи, флебологи, травматологи-ортопеды - все специалисты клиники готовы вам помочь.
Противопоказания к рентгену:
- беременность;
- возраст;
- тяжелое состояние пациента.
Как проводится исследование?
Рентген нижних конечностей занимает 10-15 минут. Пациент располагается на столе в рентген-кабинете, рентгенолаборант согласно рентгенологическим укладкам фиксирует конечность.
Чаще всего рентген проводится при подозрении на перелом. Еще одна из самых распространенных причин для назначения рентгена стоп - подозрение на плоскостопие. Бывает продольное плоскостопие, а также поперечное.
При продольном плоскостопии вы можете наблюдать, как в виде «шишки» выпирает первый плюснефаланговый сустав пальца.
Наши врачи-травматологи и врачи-рентгенологи часто сталкиваются с таким явлением, как плоскостопие. Обычно рентгенологическая экспертиза плоскостопия проводится перед призывом на службу в армию. Рентгенография при подозрении на продольное плоскостопие проводится с нагрузкой в боковой проекции, на поперечное - также с нагрузкой в прямой проекции.
В некоторых случаях проводится рентген стоп с нагрузкой. Суть в том, что пациент переносит вес на исследуемую ногу, в результате на стопу оказывается повышенная нагрузка и она принимает форму, характерную для ходьбы. На снимке отображается стопа с учетом давления, поэтому на рентгенограмме лучше визуализируется плоскостопие.
Плоскостопие гораздо легче предупредить, чем лечить. Очень важно носить обувь, соответствующую размеру стопы.
Еще одна распространенная причина для обращения к врачу-травматологу - перелом фаланг пальцев. Хороший рентгенолог с легкостью определит, нужно ли делать рентгенограмму одного или нескольких пальцев и в каких проекциях.
Мы получаем четкие снимки благодаря нашему цифровому рентгенологическому аппарату GMM Opera T30csx (Italray Clinodigit Compact). Благодаря этому врач поставит вам точный диагноз и направит снимки травматологу-ортопеду.
Какие еще исследования мы проводим?
Рентгенография пяточной кости
Пяточная - самая большая кость стопы из всех. При ходьбе, беге и прыжках на нее приходится большая нагрузка, поэтому эта кость подвержена травматизму.
При различных заболеваниях и травмах может меняться форма и структура пяточной кости. Рентген - самый доступный и безопасный способ исследования костных и мягких тканей стопы. Мы выполняем рентгенографию пяточной кости в 1-й или 2-х проекциях.
При использовании цифрового рентгеновского оборудования рентгенолог имеет возможность увеличить снимки и рассмотреть все в подробностях. Специалист определяет, есть ли перелом, какого он вида: со смещением или без.
Врач-рентгенолог может обнаружить такое распространенное заболевание, как подошвенный фасциит (в народе его обычно называют пяточная шпора). Он развивается, когда вы носите неправильную обувь, из-за плоскостопия, развития артрита и артроза. Если пяточную шпору не лечить, заболевание может привести к таким осложнениям, как подпяточный бурсит (воспаление слизистых сумок) и фасциит (воспаление мышечной ткани стопы)!
Рентгенография коленного сустава
Рентген колена - исследование, позволяющее точно определить наличие патологий и травм в коленной области. Как и другой вид рентгена костей и суставов, исследование проводится для выявления травм, переломов и разрывов. При наличии открытого перелома рентгенолог смотрит, как расположены костные осколки.
Основные показания к рентгену надколенника:
- травмы самого надколенника, мениска, связочного аппарата;
- кровоизлияние в коленный сустав;
- вывихи суставов;
- переломы закрытого и открытого типа;
- подозрение на трещины костей.
Также рентген надколенника позволяет выявить опухоли и такие заболевания суставов, как ревматоидный артрит и артроз коленного сустава (гонартроз).
Артроз - это такое поражение (или истирание) коленного сустава, которое хорошо видно на рентгенограммах даже на начальных стадиях. А чем раньше обнаружишь заболевание, тем раньше можно начать лечение.
Процедура длится буквально несколько секунд, а обработка цифрового снимка и описание могут в целом занять 10-20 минут. Снимки делаются в нескольких проекциях, чтобы провести точную диагностику и назначить лечение.
Перед проведением процедуры на пациента надевается защитный фартук, а исследуемая область, напротив, обнажается.
Рентген тазобедренного сустава
Тазобедренные суставы - одни из самых крупных и сложно устроенных. Любые нарушения приводят к серьезному дискомфорту и могут стать причиной развития различных нарушений.
Рентген тазобедренных суставов обязательно проводят при переломах и вывихах. Исследование также назначается при болях в суставах и дискомфорте при движении.
Рентген позволяет выявить:
- опухоли в области сустава, а также метастазы в соседних областях;
- остеопороз, некроз головки тазобедренной кости;
- воспаления в суставе;
- артроз тазобедренного сустава (коксартроз) и др.
Рентген тазобедренных суставов - незаменимый неинвазивный метод исследования для травматологов и ревматологов. Исследование проводит при многих заболеваниях опорно-двигательного аппарата.
Обращайтесь к нам при любых патологиях и заболеваниях нижних конечностей! Цены на рентген уточняйте в соответствующем разделе.
Вы можете сделать рентген нижних конечностей и пройти другие рентгенологические исследования во многих частных клиниках. Выбирайте ту, где есть цифровое оборудование. Такую, как «МедикСити». В этом случае вы получите четкие, более информативные снимки.
Снимок в данной укладке применяют для диагностики различных заболеваний костей голени и при травмах.
Укладка больного для выполнения снимка. Больной лежит на спине. Ноги вытянуты. Используют кассету размером 24 х 30 см или 30 х 40 см, перекрывая ее вдоль листом просвинцованной резины. Кассету располагают в продольном положении под задней поверхностью голени с таким расчетом, чтобы на снимке получили отображение или оба (при использовании кассеты размером 30 х 40 см), или хотя бы один из метаэпифизов костей голени. Пучок рентгеновского излучения направляют на переднюю поверхность голени в центр кассеты (рис. 429).
Информативность снимка. На рентгенограмме видны обе берцовые кости, их диафизы и метаэпифизы. В области диафизов костей хорошо различаются мозговая полость и корковое вещество. На снимках проксимальных двух третей голени, выполненных на пленке размером 24 х 30 см, отображены головка малоберцовой кости, частично или полностью метаэпифиз большеберцовой кости, а также иногда рентгеновская суставная щель коленного сустава (рис. 430, а). На снимках дистальных двух третей голени выявляются дистальные метаэпифизы большеберцовой и малоберцовой костей, иногда медиальная и латеральная лодыжки и рентгеновская суставная щель голеностопного сустава (рис. 430, б).
СНИМОК ГОЛЕНИ В БОКОВОЙ ПРОЕКЦИИ
Укладка больного для выполнения снимка. Больной лежит на боку. Голень исследуемой конечности латеральной стороной помещают на кассету. При укладке больного нужно учитывать то, что толщина мягких тканей по передней и по задней поверхности голени неодинакова: в области икроножной мышцы она намного больше. Поэтому кости голени проецируются значительно ближе к передней поверхности, чем к задней. Пучок рентгеновского излучения направляют отвесно, в центр кассеты (рис. 431).

В случаях использования кассеты размером 30 х 40 см надо так рассчитать ее ориентацию на снимочном столе, чтобы после производства снимка в прямой проекции при укладке для выполнения снимка в боковой проекции голень передней поверхностью была бы обращена в сторону уже экспонированной части пленки. При этом мягкие ткани задней поверхности частично срезаются краем пленки. Такой вариант укладки удобнее при травмах, так как не требует приподнимать голень для выполнения второго снимка.
Рентгенография голени может быть выполнена в щадящем режиме горизонтально направленным пучком излучения (рис. 432).
Информативность снимка. На снимке голени в боковой проекции в зависимости от размера используемой пленки должны быть отображены либо оба метаэпифиза берцовых костей, либо только проксимальный или дистальный метаэпифизы.
На снимке проксимальных двух третей голени (на пленке размером 24 х 30 см) раздельно определяются диафизы берцовых костей, а проксимальные метаэпифизы наслаиваются друг на друга. Видна бугристость большеберцовой кости (рис, 433, а).
На снимке дистальных двух третей голени также диафизы костей видны раздельно, а изображение метаэпифиза малоберцовой кости полностью суммируется с изображением метаэпифиза большеберцовой кости и таранной костью. Видна рентгеновская суставная щель голеностопного сустава


УКЛАДКИ ДЛЯ РЕНТГЕНОГРАФИИ ГОЛЕНОСТОПНОГО СУСТАВА
СНИМКИ ГОЛЕНОСТОПНОГО СУСТАВА В ПРЯМОЙ ЗАДНЕЙ ПРОЕКЦИЙ
Назначение снимка. Снимок применяют во всех случаях заболеваний сустава и при травмах.
Укладка больного для выполнения снимка. Существуют два варианта укладки для выполнения снимка голеностопного сустава:
1. Снимок голеностопного сустава в прямой задней проекции без ротации стопы. Больной лежит на спине. Ноги вытянуты.
Сагиттальная плоскость стопы исследуемой конечности расположена перпендикулярно к плоскости стола, не отклонена ни кнутри, ни кнаружи. Кассету размером 18x24 см помещают под область голеностопного сустава с таким расчетом, чтобы проекция суставной щели, расположенной на 1 — 2 см выше нижнего полюса медиальной лодыжки, соответствовала бы средней линии кассеты. Пучок рентгеновского излучения направляют отвесно на центр проекции суставной щели голеностопного сустава (рис. 436, а).
2. Снимок голеностопного сустава в прямой задней проекции с ротацией стопы. Укладка отличается от предыдущей положением стопы, которую вместе с голенью ротируют на 15 — 20° кнутри. Положение больного, кассеты и центрация пучка рентгеновского излучения такие же, как и при укладке для снимка голеностопного сустава без ротации стопы
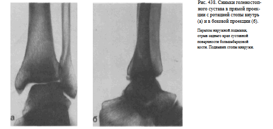
Информативность снимков. На снимках голеностопного сустава в прямой задней проекции выявляются дистальные отделы берцовых костей, медиальная и латеральная лодыжки, блок таранной кости и рентгеновская щель голеностопного сустава латерального отдела голеностопного сустава. Рентгеновская суставная щель на снимке голеностопного сустава с ротацией стопы выглядит в виде буквы «П», при этом ширина ее на всем протяжении одинаковая. Расширение латерального или медиального отдела суставной щели при наличии перелома лодыжек свидетельствует о подвывихе в суставе (рис. 438).


СНИМОК ГОЛЕНОСТОПНОГО СУСТАВА В БОКОВОЙ ПРОЕКЦИИ
Назначение снимка то же, что и снимка в прямой проекции.
Укладке больного для выполнения снимка. Больной лежит на боку.
Область голеностопного сустава латеральной поверхностью расположена на кассете. Стопу укладывают так, чтобы пятка плотно прилегала к кассете, что обеспечивает поворот стопы внутрь на 15 — 20°. Проекция суставной щели голеностопного сустава соответствует средней линии кассеты. Противоположная конечность согнута в коленном и тазобедренном суставах, перекинута вперед; бедро слегка приведено к животу. Пучок рентгеновского излучения направляют отвесно в центр кассеты через внутреннюю лодыжку (рис. 439).
Информативность снимка. На снимке выявляются дметальные отделы берцовых костей, проекционно накладывающиеся друг на друга, задний край суставной поверхности большеберцовой кости (так называемая «задняя лодыжка»; отрыв которой нередко имеет место при травмах), а также блок таранной кости, пяточная кость. При плотном прилегании наружной поверхности пятки к кассете сагиттальная плоскость стопы устанавливается под углом 15 — 20° к кассете, и на снимке достигается совпадение блоков таранной кости. В таких случаях рентгеновская суставная щель голеностопного сустава имеет форму правильной дуги равномерной ширины на всем протяжении (рис. 440).

Теги: берцовая кость
234567 Начало активности (дата): 29.12.2019 20:01:00
234567 Кем создан (ID): 989
234567 Ключевые слова: Берцовая кость, прямая проекция, боковая проекция, голеностоп
12354567899
Читайте также:
- Рентгенограмма, МРТ, УЗИ при ювенильном переломе дистального конца предплечья
- Имитация менделирующего наследования. Примеры
- Пример алкогольной гипертензии. Лечение гипертонии при алкоголизме
- Влагалищные выделения с неприятным запахом. В чем причина и как бороться рыбьим запахом?
- Антигенная структура листерий. Антигены листерий. Патогенез поражений листериями. Клинические проявления листериоза. Клиника листериоза. Проявления заражения листериями.
