Рекомендации по анализу рентгенограммы кисти в ЗП проекции
Добавил пользователь Евгений Кузнецов Обновлено: 09.01.2026
Рентген снимка кисти рук в Немецкой семейной клинике: исследование и расшифровка снимка.
Снимок кисти руки - это самое первое исследование внутренней структуры тела человека, которое было сделано путем проецирования степени ослабления Х-лучей в виде изображения на пленку. На тот момент Вильям Рентген еще не знал, что даже спустя два века такой способ диагностики будет самым информативным в случае травм и патологических изменений в суставах и костях. Кроме того, было обнаружено, что рентген кисти дает возможность достаточно точно определить анатомический возраст любого человека, а также его резервы роста.
Состояние суставов кисти руки может сказать специалисту о многом, в зависимости от того, какие суставы подверглись изменениям, от характера деструктивных изменений, от локализации патологий. Результаты рентгена могут служить важным показателем для постановки диагноза.
Рентген кисти руки: когда назначается и что показывает
Кости кисти представлены запястьем, пястью и пальцами. В роли связочного аппарата кисти выступает лучезапястный сустав, образованный лучевой костью.
Рентгенография кистей рук позволяет:
- проверить целостность суставов и костей;
- выявить очаги воспаления в костях (например, артрит);
- увидеть остеофиты;
- обнаружить некротические процессы костной ткани, эрозии суставов;
- выявить обызвествление мягких тканей
- определить костный возраст

Таким образом, на основании полученных рентгеновских снимков врач-диагност может поставить такие диагнозы:
- перелом, трещина;
- вывих;
- ревматоидный артрит;
- остеоартроз;
- артрит (воспаление суставов);
- системная красная волчанка;
- кальциноз
Кроме того, с помощью рентгена кисти можно определить структуру скелета. Дело в том, что в случае развития системного воспалительного (ревматического) заболевания первыми отреагируют именно суставы кистей рук. В данном случае рентгенограмма кисти поможет установить стадию воспалительного процесса по ряду сопутствующих явлений (утолщение суставов, кальцинаты, некроз костной ткани, остеолиз).
Наиболее распространённым диагнозом является перелом пальца или перелом кисти руки - более 30% всех переломов. Причем зачастую такая проблема случается у детей, на организм которых лучевая нагрузка крайне нежелательна. Поэтому родители сомневаются, нужно ли проводить процедуру рентгенографии, если существует достаточно клинических признаков перелома: отечность, синюшность тканей, деформация естественной формы, значительные болевые ощущения, усиливающиеся во время движения, ухудшение подвижности пальцев. По мнению специалистов, рентгенограмма все равно необходима для того, чтобы визуализировать взаимное расположение отломков костей и суставов, состояние близлежащих тканей. Тем более, что у переломов пальцев симптомы очень схожи с признаками вывиха или ушиба. Поэтому, чтобы не рисковать, а назначить адекватную и своевременную терапию, необходим рентген. Доза при таком виде рентгенодиагностики составит всего 0,001 мЗв, что соответствует дозе природного облучения, полученного менее чем в течение одного дня.
Противопоказания для рентгенодиагностики кистей рук
Данное лучевое исследование может быть проведено по экстренным показаниям даже беременным и кормящим женщинам. Сложности возникнут при рентгенодиагностике кистей рук пациентов, страдающих нервными расстройствами по причине неконтролируемости движений рук (для информативного снимка требуется абсолютная неподвижность).
Как уже было отмечено, на детей ионизирующее излучение оказывает влияние в большей степени. Однако когда речь идет о диагностировании переломов или вывихов, то врач может назначить данную процедуру. Учитывая, что степень лучевой нагрузки незначительна, родителям не стоит переживать. Однако, по возможности лучше снизить дозу радиации, обратившись в клинику, где оборудование позволяет делать цифровые рентгеновские снимки.
Преимущества рентгенодиагностики на цифровом оборудовании
Использование низкодозного цифрового оборудования имеет следующие преимущества, благодаря которым достигается значительное снижение лучевой нагрузки в сравнении с традиционным пленочным методом:
- в процессе не участвует рентгеновская пленка и химикаты;
- исследуемая зона четко ограничена - лучевой поток направлен исключительно на обследуемый участок;
- уменьшено время воздействия Х-лучей, необходимое для получения качественного изображения;
- четкость получаемых изображений исключает необходимость повторной рентгенографии, связанной с неинформативностью полученного изображения
В Немецкой клинике, благодаря использованию современного оборудования производства компании GE, достигается снижение лучевой нагрузки в сравнении с традиционным способом получения рентгенограммы практически на 40%. Даже исследование грудничков допустимо на таком оборудовании. Цена рентгена кисти руки на цифровом оборудовании вполне доступна.
Определение биологического возраста человека посредством рентгенографии

По степени окостенения (сформированности костей) можно определить биологический возраст человека. Применяется также название «костный возраст». Лучезапястный сустав и кисть состоят из большого количества мелких костей, которые с возрастом претерпевают изменения. Специалисты, зная определенную последовательность процесса окостенения, могут сделать вывод о биологическом возрасте человека.
Возможность определения «костного возраста» значимо для эндокринологии в целях диагностирования патологий роста детей (отставание в росте, либо наоборот), а также ряда хромосомных отклонений, опухолей яичников и надпочечников и других заболеваний. При подозрениях на дисфункцию паращитовидных желез, выраженную в нарушении обмена кальция и фосфора, рентгенодиагностика кисти руки также поможет определить причину и поставить диагноз.
Здоровье ребенка для любящих родителей - неоценимое достояние. И если что-то идет не так в процессе роста ребенка, то нужно обращаться к квалифицированным врачам. Немецкая клиника вот уже пятый год подряд занимает первое место в рейтинге молодых клиник в номинации «Педиатрия». В клинике работают врачи высокой квалификации, а диагностическое оборудование сделано производителем с мировым именем - GE. Обратившись сюда, вы несомненно получите консультацию грамотных специалистов.
Подготовка к процедуре
Никакой предварительной подготовки рентген кистей рук не требует. Главное - это снять металлические объекты, находящиеся в исследуемой области, и сохранять максимально неподвижное положение руки, чтобы снимок получился четкий и информативный.
Как проходит процедура рентгенографии
Рентгенограмма кисти получается следующим образом:
- пациент садится за стол;
- укладывает одну или обе руки ладонями вниз;
- насколько возможно выпрямляет пальцы и сводит их вместе;
- остается неподвижным в течение нескольких секунд пока происходит процесс рентгенографии.
Рентген пальцев производится таким же образом, однако пальцы не смыкаются. Рентгенограмма кисти может быть сделана как в одной проекции (чаще), так и в двух; пальцы всегда должны быть исследованы в двух проекциях.
Рентген кисти руки: подготовка к проведению, расшифровка и нормальные показатели

Рентген кисти рук - довольно распространённая диагностическая процедура, которую назначают для оценки состояния костей, выявления их патологий, повреждений и других отклонений. Рентген кисти - процедура неинвазивная, потому и безболезненная. Для её выполнения понадобится несколько минут. Лучевая нагрузка на организм человека при съёмке кисти минимальна, поэтому такое исследование допускается проводить несколько раз в год, если это необходимо.
Показания для проведения
В основном показаниями к рентгену кисти рук являются травмы, патологические процессы, которые влияют на функционирование руки и её форму (отклонение формы от нормы может быть видно невооруженным взглядом). Также рентген рекомендовано назначать в следующих случаях:
- болевые ощущения в кистях рук при движении и в состоянии покоя;
- деформации суставов;
- переломы, ушибы костей кисти;
- воспалительные заболевания костей кисти;
- доброкачественные и злокачественные новообразования;
- аномалии сустава, передающиеся наследственным путем.
Заболевания и травмы рук
Рентген кистей поможет выявить следующие заболевания рук:
- синовит - скопление жидкости в кистевых суставах;
- кальцификаты - первый признак артрита;
- тендинит и теносиновит - уплотнения и утолщения запястья, вызванные воспалением;
- остеопороз - истончение кортикального слоя диафиза короткотрубчатых костей;
- кисты - новообразования округлой формы, расположенные в центральном или субхондральном отделах костного эпифиза;
- остеофиты - костное разрастание края поверхности сустава в виде острого шипа.
Что покажет рентген костей кисти?
Травматические повреждения
В структуре кисти - довольно много мелкоразмерных костей. Потому и видов переломов кисти существует тоже много:
- открытый и закрытый;
- абсолютный разлом или трещина;
- множественный или изолированный;
- диафизарный (линия перелома располагается на теле кости), околосуставной (линия перелома - между концом кости и ее телом) и внесуставной (линия надлома - на конце кости);
- первичный (появляется при первичном травмировании в момент воздействия силы) и вторичный (смещение случается позже, в результате воздействия прикрепленных к сломанным костям мышц);
- стабильный (отломки остаются на прежнем месте) и нестабильный (случается вторичное смещение отломков).
Ревматические поражения
Рентген кистей рук при ревматоидном артрите - важная диагностическая процедура, которая позволяет точно выявить стадию развития заболевания. Главными рентген-признаками данной патологии являются припухлости мягких тканей сустава. Также об артрите свидетельствует незначительное сужение межсуставной щели и визуализируемый остеопороз. На более поздних стадиях развития патологии будут видны эрозии костей, которые имеют вид некрупных краевых дефектов в суставных концах костей. В эпифизах костей фаланг пальцев могут виднеться округлые просветления.
При проведении рентгена кистей рук с функцией увеличения изображения можно выявить нарушение целостности замыкающих пластинок уже на первых стадиях развития ревматоидного артрита. По мере прогрессирования заболевания будет наблюдаться ухудшение картины - сустав будет становиться всё уже, появятся очаги эрозии, станет ярче выраженность остеопороза. В результате разрушения суставных концов кости могут появиться подвывихи.
Подготовка к рентгену

Чтобы сделать рентген правой и левой кистей рук, предварительная подготовка не нужна. Перед процедурой надо снять кольца, браслеты, часы и расположить руки (или руку) на рабочем столе рентгеновского аппарата так, как скажет специалист-рентгенолог.
Для защиты от влияния ионизирующего излучения тех частей тела пациента, которые не участвуют в исследовании, используются специальные свинцовые фартуки или жилеты.
Как проходит обследование?
Для проведения рентгеновской съёмки пациента усаживают на стул рядом со столом рентгеновского аппарата. Руку нужно согнуть в локте, а кисть положить на стол. От того, насколько правильна будет произведена укладка кисти, зависит информативность получаемого снимка. На практике используется несколько вариантов укладки:
- Прямая проекция. Для такой съёмки кисть укладывается горизонтально, на стол - тыльной стороной или ладонью. Лучи рентгена будут проходить через кисть перпендикулярно кассете с плёнкой. На таком снимке будут определяться все кости запястья, за исключением гороховидной. Также будут видны лучезапястный сустав, пястные кости, запястно-пястные суставы, межзапястный сустав и фаланги пальцев.
- Боковая проекция. Для такой съёмки нужно расположить ладонь ульнарным краем на кассете. Большой палец при этом нужно слегка отвести вперёд. На таком снимке будут хорошо видны контуры костей запястья, пястные кости, фаланги. Такая проекция оказывается наиболее полезной в травматологии, когда нужно выявить смещения пястных костей.
- Косая тыльная проекция. Кисть нужно расположить так, чтобы её тыльная поверхность образовывала угол 45° с кассетой. Такой снимок покажет состояние трёхгранной кости, гороховидной, крючковатой, а также первой и пятой пястных костей.
- Косая ладонная проекция. Кисть располагается так, чтобы ладонная поверхность образовывала угол 45° с кассетой. На этом снимке будет видно ладьевидную, трапециевидную кости и кость-трапецию.
Расшифровка результатов

Расшифровку рентгена кистей рук делает специалист-рентгенолог сразу после завершения съёмки. Он оценивает взаимное расположение костей кисти, их соединение между собой, целостность. Также уделяется внимание оценке структуры и плотности костей.
Нормальные показатели
В норме кости кистей рук должны иметь однородную структуру. На снимках не должно быть затемнений на белых участках. Между костями должна присутствовать щель.
Если повреждению подверглась только одна кисть, для более точного диагностирования патологии могут сделать рентген и здоровой конечности. Так будет легче провести сравнение и выявить отклонения.
Противопоказания для проведения
Особых противопоказаний для рентгенографии кистей рук нет. С осторожностью стоит назначать данную процедуру беременным женщинам, а лучше перенести её на послеродовой период или заменить на МРТ.
Также не рекомендуется делать рентген детям в возрасте до 15 лет, если к тому нет серьезных показаний.
Снимок кистей рук: для чего делают, что показывает
Рентгенологическое исследование кистей рук является неинвазивным методом исследования внутренней структуры костных тканей. Пальцы считаются сложными анатомическими частями тела, состоящими из большого количества мелких костей, и выполняют крайне важную роль в привычном функционировании человека.
Наши руки каждый день подвергаются значительным механическим нагрузкам, поэтому неудивительно, что рано или поздно появляются какие-либо проблемы. Для получения точной картины их состояния необходимо сделать рентгеновский снимок кисти, на котором точно будут видны патологические процессы, переломы, вывихи и трещины. Именно своевременное использование современных диагностических методов предупреждает развитие тяжелых заболеваний.

Содержание
Что показывает рентгеновский снимок кистей рук?
Каждый день человеческий скелет подвергается интенсивным нагрузкам. Это один из провоцирующих факторов, наряду с травмами и инфекционными заболеваниями, который приводит к изменению структуры костной ткани. Кисти рук часто наиболее уязвимы перед нагрузками, что может привести к частичной или полной потере функциональности.
Для своевременной диагностики патологий используется рентген кисти человека. Суть этого метода предельно проста: пучки рентгеновских лучей проходят через предмет, оставляя контурный след на пленке. Степень отражения зависит от плотности, поэтому костные ткани видны лучше, чем мягкие.
Так что показывает рентген кисти? На снимке специалист может увидеть:
- Различные изменения в мышцах, сухожилиях и лимфатических узлах.
- Воспалительный процесс.
- Вывихи.
- Трещины, микротрещины и истончение костей.
- Общее состояние всех отделов кисти: фаланг пальцев, запястье и пясть.
Рентгеновский снимок кисти оказывается очень информативным именно в определении повреждений костных тканей. Если клинический случай требует более детальной диагностики мягких тканей, то врач может принять решение о проведении компьютерной томографии.
Показания к проведению процедуры
Рентген представляет потенциальную опасность для здоровья человека, поэтому снимок кисти не делается, если нет определенной симптоматики и жалоб со стороны пациента. Чаще всего, эта процедура проводится для диагностики воспалительных процессов и последствий после перенесенной травмы.
Что касается основных показаний, то они следующие:
- Ушибы, переломы и другие механические повреждения.
- Ревматизм.
- Остеомиелит.
- Артроз и артрит.
- Системная красная волчанка.
- Кисты и другие новообразования.
- Гиперемия костей.
- Боли разной интенсивности.
- Необходимость определения костного возраста.
Рентгеновский снимок кистей рук позволяет лечащему врачу поставить точный диагноз, ведь на нем четко видны любые деструктивные изменения в строении костной ткани. Кроме того, рентгенологическое исследование назначается в том случае, если ребенок отстает в физическом развитии.
Какие нарушения показывает снимок рентгена?
Мы уже рассказали о том, зачем делать рентген кистей рук - для своевременного выявления патологических процессов, постановки диагноза и назначения дальнейшего лечения. Вот основные нарушения, которые врач может увидеть на снимках:
- Синовит. Эта патология диагностируется по расширенной суставной щели. Суть этого заболевания заключается в скоплении жидкости в суставе.
- Кальцификаты. Эти образования указывают на развитие артрита кистей рук.
- Эрозия. Один из симптомов полиартрита. Его это нарушение диагностируется, то это значит, что болезнь уже перешла в хроническую стадию.
- Остеопороз. Диагностируется по истончению кортикального слоя короткотрубчатых костей. Также является симптомом полиартрита.
- Остеофиты. Это различные костные разрастания на поверхности самих суставов.
- Кисты. Эти новообразования чаще всего локализуются в центральном отделе костного эпифиза.

Основные противопоказания
Процедура рентгена предполагает воздействие на организм человека определенной доли облучения. Но если мы говорим об обследовании кистей рук, то эта доза минимальна, поэтому категорических противопоказания к проведению процедуры нет.
Врачи не рекомендуют делать рентген беременным и женщинам в период лактации. Доказано, что излучение может накапливаться в грудном молоке, что может негативно сказаться на здоровье малыша.
Определенным противопоказанием можно назвать детский возраст до 14 лет. Но если есть острая врачебная необходимость и существует реальный риск здоровью, то процедура проводится с учетом всех стандартных мер безопасности.
Четкость изображения на снимках зависит от соблюдения правил при проведении процедуры. Важно, чтобы пациент сохранял обездвиженность в течение нескольких секунд, что не всегда возможно при психических расстройствах.
Подготовка к рентгену
Для обследования состояния суставов кистей рук необходимо провести рентген, который необходим для постановки правильного диагноза. Чтобы результат был точным, важно соблюсти определенные правила при подготовке к процедуре. Если этим пренебречь, то снимки могут получиться нечеткими и никакой диагностической пользы в них не будет.
Вот основные моменты, которые нужно помнить:
- Нужно снять с себя все украшения и другие металлические предметы.
- Не снимать средства иммобилизации до конца процедуры.
- Соблюдать все требования специалиста, а также воздержаться от движений.
Особенности процедуры
Рентгенологическое обследование проводится в отдельном кабинете. Процедура проводится на специальной установке с расположением кисти на закрепленной площадке, которая и будет областью для сканирования. Остальная часть тела пациента, которая не обследуется, защищается при помощи свинцовой мембраны.
В нашем центре мы проводим рентген кисти только в прямой проекции.
Для пациента эта процедура абсолютно безболезненна. Она занимает не более 1-2 минут.

Опасно ли это?
Многие пациенты слышали об определенной дозе, которую получает человек во время рентгенологического обследования. Некоторые из них относятся к этой процедуре с опаской. Такие страхи оказываются абсолютно беспочвенными, если рассмотреть дозу, которую получает человек во время одной процедуры. Если мы говорим об обследовании запястья, то она составляет 0,2 мкЗВ. Это очень низкий показатель, если учитывать, что фоновое количество радиации, получаемое человеком ежедневно, составляет 10 мкЗВ.
Вред от рентгена возможен только при многократных процедурах и превышении дозы радиации, что часто бывает на старых рентгеновских аппаратах. Современная же аппаратура абсолютно безопасна для здоровья человека.
Эффективность проведения рентгена кистей рук при ревматоидном артрите
Ревматоидный артрит считается одним из наиболее распространенных патологий, поражающих кисти рук. Это аутоиммунное заболевание, характеризующееся поражением соединительной ткани. Если не проводить соответствующую терапию, то существует большой риск инвалидности человека. Поэтому крайне важно своевременное проведение рентгена кистей рук при ревматоидном артрите. Эта процедура позволяет выявить не только само заболевание, но и его стадию.
Он назначается при наличии следующей симптоматики:
- Скованность движений.
- Наличие покраснений и припухлостей.
- Ревматоидные узлы.
- Симметричное поражение суставов.
- Деформация кистей.
- Усиление болей именно в ночное время суток.
Где сделать рентген кистей рук в Санкт-Петербурге?
Сегодня мы рассмотрели, для чего делают рентген кистей и какие заболевания можно выявить с помощью этой процедуры. Если врач назначил вам это обследование, и вы хотите получить точные результаты максимально быстро, то вы можете воспользоваться услугами диагностического рентген-центра «ЛУЧ». У нас вы сможете пройти процедуру максимально быстро, ведь у нас нет очередей.
По вашему желанию, результаты могут быть пересланы по электронной почте или записаны на цифровой носитель. Для записи на прием звоните по телефону, указанному на сайте.
Рекомендации по анализу рентгенограммы кисти в ЗП проекции
Лента новостей → Мнение ревматолога о рентгенодиагностике суставных болезней

Актуальные вопросы рентгенологической диагностики болезней суставов. Взгляд ревматолога
Наиболее часто встречаемые ошибки, совершаемых при проведении рентгеновского обследования при ревматических заболеваниях. Часто встречаемые рентгенологические признаки поражения суставов и их интерпретации. Анализ опыта работы на консультативном ревматологическом приеме в областной клинической больнице.

Триполка Светлана Анатольевна, к.м.н., доцент кафедры терапии, ревматологии и клинической фармакологии ХМАПО, КУОЗ «ОКБ ЦЭМП и МК»
Общие сведения
В подавляющем большинстве случаев после анализа жалоб, анамнеза и данных осмотра больному поставлен тот или иной предварительный диагноз заболевания суставов и позвоночника. Однако, в последующем, он нуждается в подтверждении диагноза с помощью дополнительных методов исследования: инструментальных, лабораторных, реже морфологических. Золотым стандартом диагностики суставной патологии остается рентгенологическое исследование. Рентгенография представляет собой важный инструмент не только для диагностики того или иного артрита или артроза, но и для оценки прогрессирования заболевания и эффективности терапии.
Значительной части из обратившихся в областную больницу больных рентгенографическое исследование уже было проведено в лечебных учреждениях районов области и требовало интерпретации в условиях областной больницы. Необходимо отметить, что врачи терапевтической практики нередко руководствуются описательными составляющими рентгеновских снимков (протоколами), предоставляемыми им рентгенологами, и самостоятельно не оценивают те или иные рентгенологические изменения.
И хорошо, если эти протоколы готовит рентгенолог, подготовленный по вопросам артрологии и вертебрологии, но, исходя из собственного клинического опыта, зачастую в описании рентгенограмм рентгенологи не детализируют тех специфических изменений, которые позволяют ревматологу или терапевту провести дифференциальную диагностику изменений в суставах. В заключении рентгенолога достаточно частой является формулировка «признаки артрозаартрита», однако, для каждого вида артритов согласно данным литературы можно выделить свои специфичные признаки, позволяющие определить его нозологическую принадлежность.
Поэтому в данной статье хотелось бы остановиться на наиболее часто встречаемых ошибках, совершаемых при проведении рентгеновского обследования при ревматических заболеваниях и некоторых наиболее важных и часто встречаемых рентгенологических признаках поражения суставов и их интерпретации.
Самые частые ошибки рентгенолога
Анализируя опыт работы на консультативном ревматологическом приеме в областной клинической больнице, среди наиболее часто встречаемых ошибок при использовании рентгеновского метода диагностики хотелось бы выделить следующие:
- Неправильно выбранный объем обследования
- Неправильная укладка пациента при выполнении рентгенологического обследования
- Неправильная трактовка полученных результатов
Первым этапом рентгенологического обследования для врача общей практики должен бытьправильный выбор области исследования для ее проведения, а именно такой, рентгенологические изменения в которой наиболее информативны для диагностики того или иного заболевания.
К примеру, при повторных атаках подагрического артрита клиническая симптоматика в виде боли и отечности может быть наиболее выражена в голеностопных суставах, а плюсне-фаланговые суставы могут оставаться интактными, и частой ошибкой является проведение больному рентгенографии голеностопных суставов, которая в данной ситуации малоинформативна. Аналогичная тактика и в ситуации с подозрением на реактивный спондилоартрит или периферическую форму анкилозирующего спондилоартрита с поражением голеностопных суставов. Патогномоничные рентгенологические изменения необходимо выявлять в крестцово-подвздошных сочленениях и позвоночном столбе, а рентгенологических изменений в периферических суставах, особенно в начальной стадии болезни, может не быть.
Нужно отметить, что в целом проведение рентгенографии голеностопных суставов из-за ее крайне низкой информативности нужно проводить редко и по строгим показаниям в случаях изолированного поражения одного голеностопного сустава и подозрении на специфическую (туберкулезную, гонококковую) природу артрита. Этот дефект влечет за собой необоснованную лучевую нагрузку и дополнительные материальные затраты для больного при проведении повторных необходимых для уточнения диагноза исследований.
Чтобы помочь врачу терапевту правильно определиться с выбором зоны исследования, в качестве примера может помочь следующая таблица (Смирнов А.В., 2005 г.).
Таблица
Необходимый минимум рентгенологических обследований при ревматических болезнях

Зона обследования
Также хотелось обратить внимание на неправильно выбираемую зону обследования. Например, зачастую при наличии односторонних клинических изменений в одном пястно-фаланговом или плюсне-фаланговом суставе врачи ограничиваются рентгенографией исключительно этой области. Однако, именно характер патологических изменений в обеих кистях, их локализация и распространённость, анализ того какие группы суставов изменяются в самом начале заболевания должны обязательно учитываться при оценке рентгенограмм для того, чтобы правильно интерпретировать полученные данные и провести дифференциальный диагноз между различными ревматическими заболеваниями. Поэтому в ревматологической практике для уточнения диагноза необходимо проводить по показаниям либо прямую сравнительную рентгенограмму кистей с захватом лучезапястных суставов либо прямую сравнительную рентгенограмму стоп.
Исходя из нашего опыта, результаты рентгенографии нередко могут зависеть от техники и правильного позиционирования объекта съемки. В настоящее время требованием всех протоколов исследований является соблюдение максимально унифицированных условий проведения рентгенограмм кистей и стоп. Так для общей оценки поражения суставов необходимо снимать обе кисти или стопы на одной пленке, обязателен захват лучезапястного сустава. Требования к расположению пациента при рентгенографии кистей и стоп изложены в соответствующих руководствах по рентгенологии. Врачу общей практики при направлении к рентгенологу обязательно необходимо указывать, что больной направляется на сравнительную рентгенограмму кистей в прямой проекции с захватом лучезапястных суставов или на прямую сравнительную рентгенограмму стоп.
Наконец важным моментом является трактовка полученных результатов. О наиболее часто встречающихся в практике терапевта суставных синдромах и наиболее характерных рентгенологических изменениях, присущих им, в продолжении данной статьи.
Рентген мелких суставных кистей
Наиболее информативным и обязательным практически при всех проявлениях суставного синдрома является проведение рентгенологического обследования мелких суставов кистей и стоп, поэтому хотелось бы остановиться на патогномоничных изменениях, характерных для того иного проявления артрита, происходящих именно в кистях или стопах.
Для подагрического артрита характерно преимущественное поражение дистальных отделов стоп с преобладанием изменений в области I плюсне-фаланговых сочленений, реже изменения выявляются в мелких суставах кистей. При остром подагрическом артрите рентгенологические изменения, как правило, отсутствуют. Поэтому речь идет об изменениях, характеризующих хроническую стадию болезни. Типичным для хронического подагрического артрита является обнаружение узловых образований (тофусов) в костях в виде кистовидных просветлений и участков повышения плотности мягких тканей в области фаланг пальцев кистей и стоп. Деструкция костной ткани в виде эрозий, часто выявляемая при хроническом течении подагры, локализуется в основном на краях эпифизов костей и в дальнейшем распространяется на центральные отделы суставов.

Эрозии при подагрическом артрите имеют округлую или овальную форму, часто со склеротическим ободком. Склеротический ободок вокруг внутрисуставного тофуса создает типичный для подагрического артрита симптом «пробойника» (см. рис. 1).
В отличие от ревматоидного артрита и полиостеоартроза ширина суставной щели при подагре обычно сохраняется в норме даже в поздних стадиях заболевания. Также для хронической стадии, в отличие от ревматоидного артрита, не характерен остеопороз. Таким образом, I плюснефаланговый сустав наиболее характерная локализация при подагрическом артрите.

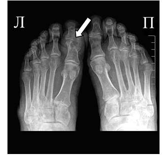
Рис. 2 Симптом «пробойника» в головках плюсневых костей обеих стоп в сочетании с вальгусной девиацией I плюсне-фаланговых суставов
Эрозии часто обнаруживаются в верхней и медиальной части плюсневой головки и часто в сочетании с вальгусной девиацией суставов. Типичным является асимметричность изменений (рис. 2).
Одним из главных отличительных признаков ревматоидного артрита (РА) от других заболеваний является симметричность изменений мелких суставах кистей и стоп, которые становятся суставами-«мишенями» в первую очередь и поэтому именно эти области изучаются для определения стадии заболевания. Наиболее часто используемой в повседневной практике рентгенологической классификацией является деление ревматоидного артрита на стадии по Steinbrocker в различных модификациях.
Основные симптомы
Основными рентгенологическими симптомами РА являются следующие: остеопороз, кистовидные просветления костной ткани (кисты), сужение суставной щели, эрозии суставов, костные анкилозы, деформации костей, остеолиз, вывихи, подвывихи и сгибательные контрактуры суставов. Рентгенологическая диагностика развернутых стадий РА, исходя из нашей практики, как правило, затруднений не вызывают.

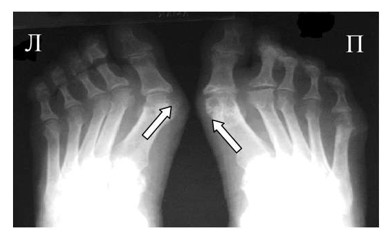
Рис. 3 Сочетание ревматоидного артрита и остеоартроза
Большинство ошибок встречаются при начальных стадиях, особенно при начале РА в пожилом возрасте и сочетании его с остеоартрозом (см. рис. 3). В этом случае для подтверждения диагноза РА и предупреждению случаев его гипердиагностики служит выявление симметричных эрозий в типичных для ревматоидного артрита суставах (запястья, плюснефаланговые, пястно-фаланговые).

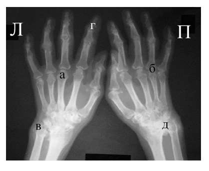
Рис. 4. Изменения кистей при ревматоидном артрите (а остеопороз, бсужение суставных щелей, в кистовидные просветвления, г костные эрозии, д анкилозирование)
Необходимо также помнить, что, как правило, при РА эрозии не предшествуют околосуставному остеопорозу, кистам и сужению суставных щелей. Имеет место последовательность развития стадий РА (см. рис. 4), в отличие от эрозивных артритов другого генеза (псориатического, серонегативного)
Костные анкилозы выявляются только в суставах запястий и во 2-5-м запястно-пястном суставах, редко в лучезапястных и суставах предплюсны. Никогда анкилозы не формируются в межфаланговых суставах кистей и стоп, в первых запястно-пястных и плюснефаланговых суставах. Анализируя сроки появления основных рентгенологических проявлений наиболее типичным по нашим данным и по данным других авторов [LandeweR.] является появление первых симптомов РА (околосуставного остеопороза и кистовидных просветлений) через несколько месяцев (до года) от начала заболевания, эрозии выявляют на 2-3 год от начала заболевания.
Какое значение для врача клинициста имеет скорость рентгенологической прогрессии у конкретного пациента? Выраженность деструкции в мелких суставах кистей и стоп является наиболее объективным маркером прогрессирования РА и/или недостаточной эффективности терапии, а появление эрозий в мелких суставах конечностей в первый год заболевания является предиктором неблагоприятного варианта развития болезни. Связь между скоростью нарастания деструкции и выраженностью и стойкостью воспалительной активности РА показана во многих исследованиях. Необходимо отметить, что у конкретного больного динамика рентгенологических изменений представляет собой не линейный процесс, а включает в себя эпизоды замедления и ускорения, связанные в том числе, и с активностью заболевания.
Для псориатического артрита, также поражающего мелкие суставы кистей, отличительным признаком от РА является отсутствие стадийности, поражение суставов, как правило, несимметрично, частые проявления артрита без околосуставного остеопороза, являющегося патогномоничным для РА. Изолированное поражение дистальных межфаланговых суставов кистей при отсутствии изменений в других мелких суставах кистей, осевое поражение 3-х суставов одного пальца.

Рис. 5 Множественный остеолиз и деструкции эпифизов костей с разнонаправленными деформациями суставов при псориатическом артрите.
При развернутой картине болезни деструкция концевых фаланг (акроостеолиз) и чашеобразная деформация проксимальной части фаланг пальцев кистей вместе с концевым сужением дистальных эпифизов симптом «карандаш в колпачке» (рис. 5), множественный остеолиз и деструкции эпифизов костей с разнонаправленными деформациями суставов (мутилирующий артрит).
Часто при псориазе рентгенологические проявления в мелких суставах кистей и стоп сочетаются с воспалительными изменениями крестцово-подвздошных сочленений сакроилиитами, обычно двусторонними асимметричными или односторонними.

Рис. 6 Сужение суставной щели, остеофиты и субхондральный остеосклероз, кистовидные просветления костной ткани, костные дефекты (псевдоэрозии), деформации эпифизов костей при остеоартрозе.
Среди обязательных диагностических критериев для верификации остеоартроза необходимо выделить сужение суставной щели, наличие остеофитов и субхондрального остеосклероза, вспомогательными являются кистовидные просветления костной ткани, костные дефекты (псевдоэрозии), деформации эпифизов костей (рис. 6), подвывихи и вывихи суставов, синовиты и обызвествленные хондромы.
Оценка рентгенологических стадий остеоартроза проводится по критериям, предложенным J.Kellgren, J. Lawrence в 1957 году.
Для серонегативных спондилоартритов более типичным является наличие эрозий суставных поверхностей в дистальных отделах стоп.

Рис. 7. Двусторонний сакроилиит у больного серонегативным спондилоартритом.
Околосуставной остеопороз в отличие от РА выявляется только в острую стадию артрита. Одна из основных локализаций, где развиваются костные пролиферации - это краевые отделы крестца и подвздошных костей (рис. 7).
Наиболее частыми проявлениями болезни Рейтера являются асимметричные артриты проксимальных межфаланговых суставов кистей (чаще 1 пальца), плюснефаланговых и проксимальных межфаланговых суставов, в отличие от псориатического артрита, поражающего дистальные межфаланговые суставы. Изолированные выраженные изменения в межфаланговом суставе 1-го пальца стопы предполагают в первую очередь диагноз реактивного спондилоартрита (болезни Рейтера) или псориатического артрита. Поражения пяточных костей обнаруживаются у 25-50%. Ахиллобурсит с наличием жидкости в слизистой сумке проявляется на боковой рентгенограмме пяточной кости затемнением, расположенным между верхней частью пяточной кости и ахилловым сухожилием. Таким образом, для диагностики и дифференциальной диагностики артритов принципиальное значение имеет раннее выявление патологических изменений в костях (кисты, эрозии). Выбор зоны для первичного обследования должен быть индивидуален, но рентгенография кистей или стоп является наиболее обоснованной, потому что позволяет наиболее рано и достоверно отличить изменения, характерные для того или иного заболевания суставов.
Рентген кисти
Рентген кисти — метод диагностики положения костей, травм, патологий, состояния суставов в области кисти руки человека. Метод рентгенодиагностики используют при подозрениях на артроз и ревматические болезни, в случае, когда пациент жалуется на болевые ощущения в суставах рук, при вывихах, переломах, подозрениях на трещину и других видах травм. Делают рентген кисти и для контроля над эффективностью лечения заболеваний суставов и костей.
Рентгенография остаётся самым простым, доступным и достоверным способом изучения состояния суставов, связок и костей кисти для оценки их анатомических изменений. Это возможность быстро и правильно поставить диагноз при травмах кисти. Оперативность, простота и удобство применения - это передвижной рентгенодиагностический аппарат, активно применяемый в столичном медицинском центре «Клиника К+31». Говоря простым языком - метод рентгенодиагностики - это фотографирование определённой части тела с помощью рентгеновского аппарата и излучаемых им лучей. На полученном снимке будет видно состояние суставов и костей.
- Преимущества рентгена кисти перед остальными методами
- Показания
- Противопоказания
- Подготовка к рентгенографии кисти
- Методика исследования
Преимущества рентгена кисти перед остальными методами
Рентген кисти при травмах этой части руки - единственный метод точно узнать, что с кистью - перелом, вывих или растяжение суставов. Прощупывание или даже компьютерная томография не дадут такого результата, как даст рентген. Магнитно-резонансная томография при травме кисти тоже неуместна, этот вид исследования показан при исследовании скорее сосудов, чем суставов и костей. Рентгенодиагностика - это доступный, недорогой вид обследования. Этот информативный и простой метод диагностики состояния кисти предпочитают в своей практике применять опытные травматологи и другие специалисты.
Современный рентген аппарат Luminos RF Classic в медицинском центре «Клиника К+31» снижает лучевую нагрузку по сравнению с традиционным рентген аппаратом в 2 раза. Для больше безопасности на пациентов центра перед процедурой рентгена надевают специальные фартуки, в составе которых есть свинец - защищающий от негативного воздействия рентгеновских лучей. То есть при рентгене кисти облучение (в допустимой норме) получит только та часть руки, которая фотографируется, а не вся рука и тем более - не всё тело.
Показания
Если вы ощущаете боль в кисти, когда рука находится в покое или во время движений кистью, если вы видите отёк кисти и вам трудно ею двигать, если вы ощущаете немоту в области кисти или просто слабость, невозможность ею двинуть, запишитесь на рентген кисти.
Показаниями к проведению рентгенографии кисти также служат:
- жалобы пациента на ноющую или острую боль в руке;
- травмы руки и кисти;
- инородные тела, попавшие в область кисти (колющие и режущие инструменты);
- артрозы и артриты кистевых суставов;
- новообразования костей кисти - прощупываемые и визуально видимые.
Показаниями к рентгену кисти служат также и системные заболевания:
- Склеродермия;
- Деформирующий остеоартроз;
- Псориатический артрит;
- Системная красная волчанка;
- Ревматоидный артрит.
Стали последнего заболевания устанавливаются только с помощью рентгена.
Противопоказания
Критическим показанием к рентгену кисти служит беременность пациентки. Еще одно противопоказание касается пациентов, страдающих хроническим артрозом. Регулярное прохождение ими рентгенографии способствует развитию этого заболевания и снижает иммунитет больного. Противопоказан рентген и женщинам, кормящим своих детей грудным молоком из-за возможного гормонального сбоя и как следствие - пропажи молока. Нельзя делать рентген и тем, у кого в просматриваемой области скелета, а именно - руки, есть металлические элементы. Тяжело больным пациентам, которым противопоказаны любые движения, тоже нельзя делать рентгеновские снимки. Так как вреда от такого рентгена будет больше, чем пользы.
Подготовка к рентгенографии кисти
Подготовка к рентгену кисти заключается в том, что пациент должен снять все металлические украшения с кисти рук (если они есть): браслеты, кольца, часы. На пациента надевается фартук, в составе которого есть свинец, дабы избежать попадания рентгеновских лучей на неподвергающуюся обследованию часть скелета пациента.
Методика исследования
Процесс диагностики заболеваний кисти, предусматривающий процедуру рентгена, происходит таким образом: пациент надевает защитный фартук; усаживается за стул; кладёт ладонью вниз больную руку (пальцы по возможности выпрямлены и сомкнуты) на специальный стол; кисть снимается в одной (иногда в двух) проекциях, пальцы и каждый палец по отдельности снимаются в двух проекциях. Процесс рентгенодиагностики занимает примерно 10 - 15 минут. Лаборант делает снимок в течение нескольких секунд - в это время нужно постараться не двигать рукой.
Уникальный ультрасовременный аппарат Luminos RF Classic, которым квалифицированные специалисты пользуются в медицинском центре «Клиника К+31» позволяет делать рентген кисти в разных проекциях, без изменения положения пациента. Это удобно не только медицинскому персоналу, но и для больного (минимум болевых ощущений).
Данный аппарат обеспечивает минимальную лучевую нагрузку благодаря большой степени чувствительности применяемых в медицинском центре кассет. Это снижает облучение практически в два раза по сравнению с традиционной рентгенографией в ближайшей поликлинике. Защита свинцово содержащего фартука еще больше снижает уровень облучения.
Читайте также:
- Разработка подводных дыхательных аппаратов. Физиологические требования к дыхательным аппаратам
- Советы при повреждении (травме) мочеиспускательного канала
- Топография прямой кишки. Прямая кишка. Строение прямой кишки.
- Классификация парезов и параличей лицевого нерва по House-Brackmann и Fisch
- Причины нежелательных реакций и побочных эффектов лекарств
