Рентгенограмма, КТ, МРТ при опухоли оболочки нерва челюсти
Добавил пользователь Евгений Кузнецов Обновлено: 28.01.2026

Ведущим методом выявления патологических изменений в височно-нижнечелюстного сустава (ВНЧС) при различных видах поражения является лучевая диагностика:
Рентгенография и КТ дает возможность своевременно выявлять разнообразные патологии костей, зубов и челюсти. Однако следует отметить, что традиционные рентгенологические методики исследования в условиях естественной контрастности оказались малоинформативными в силу того, что наибольшую часть среди поражений ВНЧС занимают патологические изменения в его мягкотканных элементах (гнойные поражения нижней челюсти, кисты, флюсы, артрозы, некрозы). Визуализация данных патологий потребует проведения магнитно-резонансной томографии ВНЧС.
Что лучше выбрать для первичной диагностики височно-нижнечелюстного сустава?
Если у Вас стали возникать проблемы с закрытием рта, появился инородный звук при движении челюстью, есть неприятные ощущения в челюстных суставах, следует обратиться к челюстно-лицевому хирургу. Многие пациенты не уделяют должного внимания вышеперечисленным симптомам, считая их незначительными. Между тем, практически все эти симптомы говорят о возможном наличии серьезной патологии - дисфункции височно-нижнечелюстного сустава. К сожалению, медицинские специалисты вынуждены отметить, что слишком часто больные обращаются за медицинской помощью тогда, когда незначительные на первых порах симптомы уже развиваются в тяжелое заболевание, которое проявляется в невозможности пережевывать пищу из-за сильной боли и дискомфорта, смещении в сторону нижней челюсти, неправильных, зигзагообразных движениях челюсти при открывании рта. Подобные запущенные состояния лечить достаточно сложно. В некоторых случаях по результатам диагностики уже приходится прибегнуть к оперативному вмешательству, которого можно было бы избежать при своевременном прохождении томографии височно-челюстного сустава или КТ челюсти.
Часто компьютерная томография и МРТ суставов назначаются после того, как было проведено первичное рентгенологическое исследование. Если на полученных снимках лечащий врач обнаруживает подозрительную по его мнению зону, то дальше последует назначение на МРТ или КТ, которое позволят детально рассмотреть проблемный участок и поставить безошибочный диагноз.
Что входит в МРТ височно-нижнечелюстного сустава
В стандартный протокол МРТ височно-нижнечелюстного сустава входит обследование следующих структур:
- головка мыщелкового отростка
- нижней челюсти
- височная кость
- суставная щель
- костный мозг
- суставной диск
- видимые отделы околоносовых синусов.
Что входит в МСКТ челюсти
В стандартный протокол КТ челюсти входит обследование следующих структур:
КТ верхней челюсти
- адентия зуба
- лунка зуба
- альвеолярный отросток
- зубы
- шейка зуба
- периодонтальные щели
- парадонтальный карман
- слизистая оболочка
- правая верхнечелюстная пазуха
- жидкость в полости пазухи
- верхнечелюстная пазуха,
КТ нижней челюсти
- адентия зуба
- лунка зуба
- плотность кости
- альвеолярный отросток
- канал корня
- парадонтальный карман.
Диагностика дисфункции височно-челюстного сустава на КТ и МРТ
По статистике, дисфункция ВНЧС встречается в 80-85% случаев заболеваний челюсти. Наиболее частыми причинами, вызывающими эту болезнь, являются нарушения прикуса (в том числе, и по вине врачей-протезистов), сильное однократное перенапряжение жевательных мышц (например, при попытке откусить твердую еду), слишком высоко выступающая пломба на зубе, непроизвольный спазм челюстно-лицевых мышц при сильных физических нагрузках и стрессах. Все это способно нарушить синхронность работы височно-нижнечелюстных суставов. Также односторонние нагрузки на челюсть, когда по разным причинам приходится жевать только какой-то одной стороной челюсти, неизбежно приводят к смещению дисков и нарушению их правильного функционирования, сопровождающегося сильным болевым синдромом.
В медицинских центрах диагностика дисфункции височно-нижнечелюстного сустава осуществляется с помощью:
Пациентам с дисфункцией височно-челюстного сустава для уточнения характера дислокации суставного диска диагностику следует начинать с проведения МРТ, для уточнения степени вторичных изменений сустава дегенеративного характера целесообразно дополнительно использовать компьютерную томографию.
Что лучше - КТ или МРТ височно-нижнечелюстного сустава?
Однозначного ответа на это вопрос нет. Магнитно-резонансный томограф очень схож с аппаратом компьютерной томографии, но эти два вида диагностики отличаются по своим физическим принципам. При КТ аппарат задействует Х-лучи, и именно с помощью этих лучей и получаются снимки. МРТ аппарат не несет лучевую нагрузку, поскольку работает за счет эффекта резонанса магнитного поля.
В общем и целом, магнитно-резонансная томография позволяет рассмотреть любые отклонения от нормы в мягких тканях и хрящах, а КТ хорошо отображает костные структуры. Комбинированное применение этих двух методов томографии дает возможность врачам выявлять мельчайшие аномалии челюстных суставов в стадии их зарождения и оценить состояние соседних мягких структур.
| МРТ височно-челюстного сустава | КТ височно-челюстного сустава |
Так, пациентам с механическими повреждениями ВНЧС диагностику следует начинать с КТ для выявления патологических изменений костных элементов. Компьютерная томография позволяет установить зависимость характера дислокации обломков от локализации перелома, а при внутренних нарушениях - оценить тяжесть поражения костных структур за счет присоединения остеоартроза. При ревматоидном артрите компьютерная томография обеспечивает визуализацию протяженности и степени выраженности эрозивных и литических повреждений суставных поверхностей. Последующее использование МРТ показано при необходимости установления характера повреждения мягкотканных структур сустава. Магнитно-резонансная томография поможет определить характер дислокации суставного диска и его взаимоотношения с головкой нижней челюсти, разрыв диска и внутрисуставных связок, а также обнаружить гемартроз и синовит.
При артрите и артрозе необходимо одновременное комплексное применение МРТ и КТ для визуализации синовита, изменения суставного диска, а также для определения степени выраженности патологических изменений суставных поверхностей.
Противопоказания к МРТ
При МРТ исследовании на пациента действует магнитное поле, и все абсолютные противопоказания будут связаны с этим фактом:
Магнитное поле может привести в движение объекты, которым свойственно с ним взаимодействовать, это могут быть: клипсы на сосудах, металлоконструкции в любом участке тела. Поэтому если в организме установлен имплант, пациенту нужно будет предъявить документы, в которых указан состав материала. В случае, если это неферромагнитный материал (например, титан), проведение МРТ разрешено.
Магнитное поле может повлиять на работу электронных устройств: электокардиостимуляторы, инсулиновые помпы, слуховые протезы. Если в паспорте импланта не указано, что он совместим с МРТ, необходимо подобрать альтернативный метод диагностики.
Следует отметить, что иногда проведение МРТ не возможно в следующих случаях:
- вес пациента выше максимально допустимых параметров для конкретного аппарата (стол современного томографа чаще всего выдерживает вес до 120 кг);
- габариты пациента выше максимально допустимой величины для конкретного аппарата (современные магнитно-резонасные томографы чаще всего имеют диаметр трубы 60-70 см);
- у пациента сильная форма клаустрофобии;
- пациент не может сохранять неподвижность во время обследования.
Противопоказания к КТ
При КТ исследовании основным значимым фактором риска является наличие лучевой нагрузки на организм пациента. Она может варьироваться в зависимости от зоны сканирования, модели аппарата и протокола сканирования. Но она есть всегда. Поэтому:
КТ исследование не проводят беременным женщинам на любом сроке вынашивания.
Детям до 5 лет не желательно делать КТ, за исключение ситуации, где это необходимо по жизненным показаниям.
Следует отметить что иногда проведение КТ невозможно в следующих случаях:
Опухоли челюстей
Опухоли челюстей - новообразования челюстных костей, исходящие непосредственно из костной ткани или структур одонтогенного аппарата. Опухоли челюстей могут проявлять себя клинически болевым синдромом, деформацией кости, асимметрией лица, смещением и подвижностью зубов, нарушением функции ВНЧС и глотания, нередко - прорастанием в полость носа, верхнечелюстную пазуху, орбиту и т. д. Диагностика опухолей челюстей предполагает рентгенологическое обследование, КТ, сцинтиграфию; при необходимости консультации окулиста, отоларинголога, риноскопию. Лечение доброкачественных опухолей челюстей - только хирургическое (выскабливание, резекция фрагмента челюсти, удаление зубов); злокачественных - комбинированное (лучевая терапия и операция).
МКБ-10


Общие сведения
Опухоли челюстей - остеогенные и неостеогенные, доброкачественные и злокачественные новообразования челюстных костей. На долю опухолей челюстно-лицевой области приходится около 15% всех заболеваний в стоматологии. Опухоли челюстей могут возникать в любом возрасте, в т. ч. довольно часто они встречаются у детей. Опухоли челюстей разнообразны по своему гистогенезу и могут развиваться из костной и соединительной ткани, костного мозга, тканей зубного зачатка, околочелюстных мягких тканей.
По мере своего роста опухоли челюстей вызывают значительные функциональные нарушения и эстетические дефекты. Лечение опухолей челюстей представляет собой технически непростую задачу, требующую объединения усилий специалистов в области челюстно-лицевой хирургии, отоларингологии, офтальмологии, нейрохирургии.

Причины
Вопрос о причинности возникновения опухолей челюстей находится в процессе изучения. На сегодняшний день доказана связь опухолевого процесса со следующими состояниями:
- одномоментной или хронической травмой (ушибом челюсти, повреждением слизистой оболочки полости рта разрушенными кариесом зубами, зубным камнем, краями пломб, некорректно подогнанными коронками и протезами и пр.)
- длительно текущими воспалительными процессами (хроническим периодонтитом, остеомиелитом челюсти, актиномикозом, синуситами и т. д.)
- не исключается вероятность развития опухолей челюсти на фоне инородных тел верхнечелюстной пазухи: пломбировочного материала, корней зубов и пр.
- воздействием неблагоприятных физических и химических факторов (ионизирующего излучения, радиойодтерапии, курения и пр.).
Вторичные злокачественные опухоли челюстей могут являться метастазами рака молочной железы, предстательной железы, щитовидной железы, почки, результатом местного распространения рака языка и др. Рак челюсти может развиваться на фоне предраковых процессов - лейкоплакии полости рта, доброкачественных опухолей полости рта (папиллом), лейкокератоза и т. п.
Классификация
Среди опухолей челюстей различают одонтогенные (органоспецифические) новообразования, связанные с зубообразующими тканями, и неодонтогенные (органонеспецифические), связанные с костью. Одонтогенные опухоли челюстей, в свою очередь, могут быть доброкачественными и злокачественными; эпителиальными, мезенхимальными и смешанными (эпителиально-мезенхимальными).
- Доброкачественные одонтогенные опухоли челюстей представлены амелобластомой, обызвествленной (кальцифицирующейся) эпителиальной одонтогенной опухолью, дентиномой, аденоамелобластомой, амелобластической фибромой, одонтомой, одонтогенной фибромой, миксомой, цементомой, меланоамелобластомой и др.
- Злокачественные одонтогенные опухоли челюстей включают одонтогенный рак и одонтогенную саркому. К остеогенным опухолям челюстей относятся костеобразующие (остеомы, остеобластомы), хрящеобразующие (хондромы), соединительнотканные (фибромы), сосудистые (гемангиомы), костно-мозговые, гладкомышечные и др.
Симптомы опухолей челюстей
Доброкачественные одонтогенные опухоли челюстей
Амелобластома - наиболее частая одонтогенная опухоль челюстей, склонная к инвазивному, местно-деструирующему росту. Поражает преимущественно нижнюю челюсть в области ее тела, угла или ветви. Развивается внутрикостно, может прорастать в мягкие ткани дна полости рта и десны. Чаще проявляется в возрасте 20-40 лет.
В начальном периоде амелобластома протекает бессимптомно, однако по мере увеличения размеров опухоли возникает деформация челюсти, асимметрия лица. Зубы в области поражения часто становятся подвижными и смещаются, может отмечаться зубная боль. Опухоль верхней челюсти может прорастать в полость носа, гайморову пазуху, орбиту; деформировать твердое нёбо и альвеолярный отросток. Нередки случаи нагноения, рецидивирования и малигнизации амелобластомы. Клиническое течение таких опухолей челюсти, как амелобластическая фиброма и одонтоамелобластома, напоминает амелобластому.
Одонтома чаще возникает у детей в возрасте до 15 лет. Обычно опухоли имеют небольшие размеры, протекают бессимптомно, однако могут вызывать задержку прорезывания постоянных зубов, диастемы и тремы. Опухоли большой величины могут приводить к деформации челюсти, образованию свищей.
Одонтогенная фиброма развивается из соединительной ткани зубного зачатка; чаще возникает в детском возрасте. Рост опухоли медленный; локализация - на верхней или нижней челюсти. Одонтогенная фиброма обычно бессимптомна; в некоторых случаях могут отмечаться ноющие боли, ретенция зубов, воспалительные явления в области опухоли.
Цементома - доброкачественная опухоль челюсти, практически всегда спаянная с корнем зуба. Чаще развивается в области премоляров или моляров нижней челюсти. Протекает бессимптомно или с нерезко выраженной болезненностью при пальпации. Изредка встречается множественная гигантская цементома, которая может являться наследственным заболеванием.
Доброкачественные неодонтогенные опухоли челюстей
Остеома может иметь внутрикостный или поверхностный (экзофитный) рост. Опухоль может распространяться в верхнечелюстную пазуху, полость носа, глазницу; препятствовать припасовке зубных протезов. Остеомы нижнечелюстной локализации вызывают боль, асимметрию нижней части лица, нарушение подвижности челюсти; верхнечелюстной локализации - нарушения носового дыхания, экзофтальм, диплопию и другие нарушения.
Остеоид-остеома сопровождается интенсивным болевым синдромом, обостряющимся по ночам, во время приема пищи; асимметрией лица. При осмотре полости рта определяется выбухание кости (чаще в области премоляров и моляров нижней челюсти), гиперемия слизистой оболочки.
Остеобластокластома (гигантоклеточная опухоль челюсти) преимущественно встречается в молодом возрасте (до 20 лет). Развитие клинической картины характеризуется нарастанием боли в челюсти, асимметрии лица и подвижности зубов. Ткани над опухолью изъязвляются; образуются свищи; отмечается повышение температуры тела. Истончение кортикального слоя приводит к возникновению патологических переломов нижней челюсти.
Гемангиома челюсти сравнительно редко бывает изолированной и в большинстве случаев сочетается с гемангиомой мягких тканей лица и полости рта. Сосудистые опухоли челюстей проявляются повышенной кровоточивостью десен, кровотечениями из корневых каналов при лечении пульпита или периодонтита, из лунки при удалении зуба и пр. При осмотре может выявляться флюктуация, расшатанность зубов, синюшность слизистой оболочки.
Злокачественные опухоли челюстей
Злокачественные опухоли челюстей встречаются в 3-4 раза реже доброкачественных. При раке челюсти рано возникают боли, имеющие иррадиирующий характер, подвижность и выпадение зубов, возможны патологические переломы челюсти. Злокачественные опухоли челюстей разрушают костную ткань; прорастают околоушные и поднижнечелюстные железы, жевательные мышцы; метастазируют в шейные и поднижнечелюстные лимфоузлы.
Карцинома верхней челюсти может прорастать в глазницу, полость носа или решетчатый лабиринт. В этом случае отмечаются рецидивирующие носовые кровотечения, односторонний гнойный ринит, затруднение носового дыхания, головные боли, слезотечение, экзофтальм, диплопия, хемоз. При вовлечении ветвей тройничного нерва беспокоят оталгии.
Злокачественные опухоли нижней челюсти рано инфильтрируют мягкие ткани дна полости рта и щек, изъязвляются, кровоточат. Вследствие контрактур крыловидной и жевательной мышц затрудняется смыкание и размыкание зубов. Остеогенные саркомы отличаются стремительным ростом, быстро прогрессирующей инфильтрацией мягких тканей, асимметрией лица, нестерпимой болью, ранним метастазированием в легкие и другие органы.
Диагностика
В большинстве случаев опухоли челюстей диагностируются уже в поздних стадиях, что объясняется неспецифичностью симптоматики или бессимптомным течением, низкой онкологической настороженностью населения и специалистов (стоматологов, отоларингологов и др.). В выявлении опухолей челюстей могут помочь тщательный сбор анамнеза, визуальное и пальпаторное исследование мягких тканей лица и полости рта. Обязательным этапом диагностики является:
- Рентгенологическое обследование. Рентгенография и КТ челюстей, рентгенография и КТ придаточных пазух носа. Определенную диагностическую ценность может представлять сцинтиграфия, термография.
- Биопсия. При обнаружении увеличенных шейных или подчелюстных лимфоузлов выполняется пункционная биопсия лимфатического узла.
- Консультации смежных специалистов. При подозрении на злокачественную опухоль челюсти необходима консультация отоларинголога с проведением риноскопии и фарингоскопии; офтальмолога с комплексным офтальмологическим обследованием.
- Диагностические операции. В ряде случаев приходится прибегать к диагностической гайморотомии или диагностической пункции околоносовой пазухи с последующим цитологическим исследованием промывных вод. Окончательная гистологическая верификация осуществляется с помощью морфологического исследования биоптата.

Лечение опухолей челюстей
Лечение большей части доброкачественных опухолей челюстей - хирургическое. Наиболее оптимальным является удаление новообразования с резекцией челюстной кости в пределах здоровых границ; такой объем вмешательства позволяет предотвратить рецидивы и возможную малигнизацию опухоли. Зубы, прилегающие к опухоли, также часто подлежат экстракции. Возможно удаление некоторых доброкачественных опухолей челюстей, не склонных к рецидивированию, щадящим методом с помощью кюретажа.
При злокачественных опухолях челюстей используется комбинированный метод лечения: гамма-терапия с последующим хирургическим лечением (резекцией или экзартикуляцией челюсти, лимфаденэктомией, экзентерацией глазницы, операцией на околоносовых пазухах и пр.). В запущенных случаях назначается паллиативная лучевая терапия или химиотерапевтическое лечение.
В послеоперационном периоде, особенно после обширных резекций, больным может потребоваться ортопедическое лечение с помощью специальных шин, реконструктивные операции (костная пластика), длительная функциональная реабилитация для восстановления функций жевания, глотания, речи.
Прогноз
При своевременном и радикальном лечении доброкачественных одонтогенных и неодонтогенных опухолей челюстей прогноз для жизни хороший. В случае нерадикально выполненной операции или неправильной оценки характера опухоли есть вероятность рецидива или малигнизации. Течение злокачественных опухолей челюстей крайне неблагоприятное. При раке и саркоме челюсти пятилетняя выживаемость пациентов после комбинированного лечения составляет менее 20%.
МРТ зубов что показывает

Магнитно-резонансную томографию рекомендуют использовать для определения состояния рыхлых структур, клетки которых содержат большое количество воды. МРТ зубов практически не назначают по причине низкой информативности исследования в отношении твердых тканей (дентина, эмали).

Снимок МРТ правого височно-челюстного сустава
Метод основан на явлении магнитного резонанса. В ответ на направленное действие индукционного поля атомы водорода в диполях воды меняют положение. Чувствительные детекторы считывают отклик и передают информацию на компьютер для дальнейшей обработки. С помощью программного обеспечения полученные данные преобразуют в серию послойных изображений сканируемой зоны.
Делают ли МРТ зубов?
Магнитно-резонансную томографию челюстно-лицевой области назначают при наличии у пациента противопоказаний к рентгенографии и КТ. Методы, основанные на применении ионизирующего излучения, обладают большей информативностью в отношении зубов и костей.
Показаниями к проведению инструментального исследования челюстно-лицевой области служат:
- асимметрия лица, нарушения прикуса;
- зубная боль неясной этиологии;
- щелчки, хруст при открывании/закрывании рта;
- боль при жевании;
- кровоточивость десен;
- патологические пародонтальные карманы с гнойным отделяемым;
- наличие ретинированных зубов;
- нарушения речи, жевательной функции;
- травмы лица и височно-нижнечелюстного сустава (ВНЧС);
- патологическая подвижность зубов;
- парезы лица и пр.
Аппаратную диагностику используют в сложных случаях, когда другие методы оказываются малоэффективными.
При наличии у пациента коронок, штифтов и других конструкций, выполненных из металлов группы ферромагнетиков, МРТ зубов не назначают. Данное ограничение связано с физическими свойствами индукционного поля. Направленный импульс воздействует на ферромагнитные металлы, что приводит к возникновению неприятных ощущений во время процедуры и может вызвать поломку дорогостоящего диагностического оборудования.
Пациентам следует предупредить врача о наличии эндопротеза, желательно принести документы, где указаны материалы изготовления. Конструкции из титана, золота, серебра и других диа- и парамагнитных металлов, расположенные в зоне интереса, влияют на качество послойных изображений и способствует появлению артефактов на снимках.

Снимок МРТ височно-нижнечелюстного сустава
Магнитно-резонансная томография противопоказана пациентам с вживленными электронными приборами (кардиостимуляторами, инсулиновыми помпами и пр.). При наличии у больного татуировок, выполненных металлсодержащими красками, метод не используют.
Выбор способа диагностики стоматологических патологий зависит от клинической картины и имеющихся у пациента ограничений. Лечащий врач учитывает особенности течения процесса, состояние больного и решает, стоит ли делать МРТ зубов.
Какие заболевания челюсти выявляет МРТ?
Магнитно-резонансная томография позволяет диагностировать воспалительные, дегенеративные, дистрофические процессы. Метод применяют для определения характера кровоснабжения нижней, верхней челюсти и ВНЧС, уточнения локализации новообразований.
С помощью МРТ выявляют:
- прикорневые гранулемы, кисты;
- периоститы;
- абсцессы, флегмоны челюстно-лицевой области;
- доброкачественные и злокачественные опухоли;
- травматические повреждения мягких тканей лица и ротовой полости;
- остеомиелиты;
- врожденные и приобретенные аномалии строения челюстей и сочленений;
- нарушения прорезывания зубов;
- сосудистые заболевания;
- артрит, синовит височно-нижнечелюстного сустава;
- артроз;
- патологические состояния лицевых нервов (неврит, невралгия);
- миозиты и др.
В диагностике новообразований и для оценки состояния кровеносных сосудов челюстно-лицевой системы применяют МРТ с контрастным усилением. В качестве «окрашивающего» вещества используют раствор гадолиния. Препарат заполняет кровеносное русло и межклеточное пространство, визуализируя малейшие изменения сосудистой системы и показывая образования размером от 3 мм.
Как делают МРТ зубов?
Пациенту предлагают лечь на передвижной стол томографа, голову фиксируют при помощи валиков. Во время сканирования следует сохранять первоначальное положение тела, что позволит избежать появления дефектов на послойных изображениях.

Процедура МРТ на томографе закрытого типа
Защиту от шума работающего устройства обеспечивают наушники, в руке у пациента находится тревожная кнопка, при нажатии которой исследование будет приостановлено. Медицинский персонал располагается в соседнем помещении, связь с больным поддерживают через размещенный в трубе томографа микрофон.
Стол с обследуемым перемещается в широкий тоннель, где установлен генератор магнитного поля. Сканирование проводят в трех взаимно перпендикулярных плоскостях, на основании полученных снимков специалист может реконструировать 3D-модель ротовой полости и височно-нижнечелюстного сустава.
При использовании контрастного усиления сначала делают серию нативных снимков. Затем исследование приостанавливают, пациенту с помощью катетера, соединенного с автоматическим инъектором, вводят раствор гадолиния и продолжают сканирование.
Сеанс МРТ занимает от 15 до 20 минут. При использовании контраста процедура длится около получаса.
Расшифровка фото снимков МРТ зубов
Послойные фотографии позволяют оценить состояние рыхлых структур ротовой полости, челюстно-лицевой зоны, ВНЧС. Снимки МРТ не дают визуализации строения твердых тканей зуба. По результатам сканирования врач описывает:
- особенности прикуса;
- состояние мягкотканных структур полости рта;
- глубину пародонтальных карманов;
- расположение и размеры новообразований в области верхней и нижней челюсти;
- патологически измененные участки, воспалительные и деструктивно-дистрофические явления;
- ширину периодонтальной щели;
- степень атрофии альвеолярного отростка.
Пульпарная камера, корневые каналы слабо видны на снимках МРТ, особенно при наличии на зубах коронок и пломб.

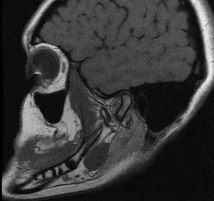
МРТ головы в сагиттальной и аксиальной проекциях, стрелка указывает на образование в области нижней челюсти
Рентген, МРТ или КТ челюсти - отличия исследований
Для обследования челюсти в арсенале врачей есть ряд аппаратных форм диагностики:
Каждый из видов обследования имеет свои преимущества, сильные и слабые стороны. В этой статье мы более детально разберем вопрос, что и когда лучше выбирать - МРТ, КТ или рентген челюсти.
Основное отличие рентгена, МРТ и КТ верхней и нижней челюсти заключается в способе получения изображения. КТ исследование и рентген - это рентгенологические обследования. Физика получения изображения здесь строится на использовании способности Rg лучей с разной скоростью проходить и задерживаться в тканях разной плотности. В магнитно-резонансной томографии принцип визуализации основывается на явлении ядерного магнитного резонанса, когда атомы водорода в клетках тканей под воздействием электромагнитного поля начинают совершать колебательные движения. Этот резонанс улавливает компьютер томографа, оцифровывает и строит трехмерные изображения тканей.
Отличия МРТ и КТ челюсти
КТ зубов и челюсти является приоритетной формой диагностики костей, поскольку в костных тканях рентгеновские лучи задерживаются в большем объеме. Если перед врачом стоит диагностическая задача оценить структуру зубов и челюсти, он выберет рентгенологические метод диагностики. КТ челюсти хорошо покажет травматические повреждения костей лица, остеонекроз, остеоартроз, остеоартрит, остеомиелит. МРТ челюсти фокусируется на качественной визуализации мягких тканей и состояния височно-нижнечелюстного сустава. С ее помощью можно хорошо оценить воспаления суставных тканей, дисфункции ВНЧС, новообразования. Поскольку в костных структурах содержится мало воды, добиться хорошего резонанса в них сложно, поэтому кости на МРТ снимках отображаются с наименьшей точностью.
Чем КТ челюсти лучше рентгена
КТ челюсти и рентген строят визуализацию на одном и том же принципе, однако точность обследования и уровень детализации на компьютерной томографии в разы выше, чем на рентгенограммах. В ходе рентгена челюсти аппарат посылает пучки рентгеновского излучения из одной точки. В результате есть возможность создать двухмерные изображения, на которых органы и структур накладываются друг на друга. Это снижает диагностическую точность исследования. В компьютерном томографе рентгеновские лучи посылаются несколькими излучателями, которые движутся по периметру кольца гентри. За счет такого конструктивного решения есть возможность получить множественные снимки исследуемых сегментов под разными ракурсами и на базе них выстроить детальную трехмерную объемную реконструкцию.
Когда назначают панорамное 3d КТ челюсти
Иногда пациент может запутаться в различиях в ряде рентгенологических обследований, которые назначают в стоматологии:
- панорамный снимки зубов;
- КТ зубов;
- 3d КТ обеих челюстей.
Панорамный снимок зубов или ортопантомограмма - это рентгенологическое обследование. С ее помощью врачи получают двухмерные изображения корней зубов. Данный вид диагностики чаще всего применяют при лечении сложных кариесов, протезировании, планировании имплантации.
КТ 3D снимок зубов выполняется на специальном аппарате, называемом конусно-лучевым компьютерным томографом. Конусно-лучевой компьютерный томограф (КЛКТ) представляет собой один из видов КТ оборудования, при котором выполняются множественные послойные снимки низкодозированным рентгеновским облучением в различных плоскостях. Преимущество 3D снимка зубов в получении изображения без искажений, а так же возможности детализированного просмотра зубов со всех сторон в трехмерной проекции.
КТ челюсти - это обследование на мультиспиральном компьютерном томографе (МСКТ). Задача этого сканирования в отображении состояния верхней и нижней челюсти, зубов, гайморовых пазух, челюстных суставов и прилегающих мягких тканей.
панорамный снимок зубов
Как делают КТ челюсти
КТ челюсти обычно проводят по направлению врача стоматолога, хирурга или ортопеда-травматолога. В клиниках ее могут осуществлять по следующим протоколам:
- КТ двух челюстей
- КТ верхней челюсти
- КТ нижней челюсти
- КТ челюсти с контрастом
Сделать данное обследование можно как взрослым, так и детям. Поскольку компьютерная томография сопряжена с лучевой нагрузкой, ее стараются не осуществлять детям до 3 лет. В более старшем возрасте ребенку это исследование проводят только при наличии направления от лечащего врача и не чаще одно раза в год. Взрослым пациентам компьютерное сканирование можно сделать как по личной инициативе, так и по направлению врача. Не осуществляют КТ только при беременности. Из-за лучевого облучения КТ во время вынашивания младенца опасно делать на любом сроке. Облучение вредно для здоровья малыша, поскольку может вызывать необратимые мутации и стать причиной выкидыша или замершей беременности.
Лучевая нагрузка при КТ челюсти
Уровень лучевой нагрузки на организм пациента при КТ челюсти зависит от:
В большинстве медицинских центрах Санкт-Петербурга такое сканирование осуществляют на мультиспиральных компьютерных томографах со срезовой мощностью не менее 16 срезов. Средняя доза облучения составляет 1-3 мЗв за сеанс сканирования.

- Винерский П.М. Профилактика осложнений при лечении переломов нижней челюсти в области угла // Стоматология: Респ. сб. Киев, 1990.-Вып.25. - С.70-72.
- Григорьянц А. A. Патогенез, диагностика и лечение гнойно-воспалительных осложнений при сочетанной челюстно-лицевой и черепно-мозговой травме (клинико-иммунологические и иммуногенетические аспекты): Дис. д-ра мед. наук. М, 1992. - 48 с.
- Гюльназарова С.В., Казак Л.А., Машинская Т.М. // Травматология, ортопедия, протезирование. 1991. - № 9. - С.21 -23.
- Кокоткина А.С. Особенности клиники и лечения больных с переломами нижней челюсти при пародонтозе: Автореф. дис. канд. мед. наук. -М., 1969.
- Колмакова А.А. Наружный внеочаговый компрессионный остео-синтез при переломах нижней челюсти (Экспериментально-клиническое исследование): Дис. .д-ра мед. наук. Ростов-на Дону, 1970. - 401 с.
- Кравцова Г.Н. Лечение больных с переломами нижней челюсти, осложненными травматическим остеомиелитом: Автореф. дисс. . канд. мед. наук. Омск, 1993. - 19 с.
- Оноприенко Г.А. Васкуляризация костей при переломах и дефектах. М: Медицина, 1995. - 220 с.
- Рабухина Н.А. Рентгенодиагностика некоторых заболеваний зубо-челюстной системы. М.'Медицина, 1974. 280 с.
- Рентгенодиагностика заболеваний челюстно-лицевой области: Руководство для врачей / Под ред. Н.А. Рабухиной, Н.М. Чупрыниной. М.: Медицина, 1991. - 368 с.
- Чудаков О.П., Бармуцкая А.З. Лечение травматических переломов нижней челюсти, осложненных травматическими остеомиелитами // 1-й Белорусский междунар. конгр. хирургов. Витебск, 1996. - С. 127-129.
Информационные статьи о диагностике

КТ челюсти (альтернативное название КТ верхней и нижней челюсти, КТ челюсти и гайморовых пазух, КТ зубов и челюсти) - это рентгенологическое обследование. Делают КТ двух челюстей обычно с использованием современного мультиспирального томографа со срезовыми возможности 16 срезов и выше.

При подозрении на коронавирус могут назначить сделать КТ легких. Стоит сразу сказать, что КТ при COVID-19 проводится не в поточном порядке. Томографию целесообразно применять в ситуации, когда заболевание развивается с осложнениями в виде воспаления легких. Легкая форма коронавируса обычно проходит без признаков пневмонии, и делать компьютерную томографию при таком течении болезни не целесообразно.

КТ и МРТ височно-челюстного сустава дает возможность своевременно выявлять разнообразные патологии костей, зубов и суставных тканей этой части челюсти. К таким болезням относят: остеомиелит, гнойные поражения нижней челюсти, флюсы, артрозы, некрозы. Если у Вас стали возникать проблемы с закрытием рта, появился инородный звук при движении челюстью, есть неприятные ощущения в челюстных суставах, следует обратиться к челюстно-
МРТ нижнечелюстного сустава, что показывает?

На МРТ представлен нормальный ВНЧС
Магнитно-резонансная томография - современный метод визуализации структур организма. На вопрос: «МРТ челюсти, что показывает?» - можно ответить, что она отражает не только состояние височно-нижнечелюстного сочленения, но и окружающих мягких тканей лица. Метод основан на взаимодействии магнитного поля и диполей воды. Интенсивность сигнала, поступающего обратно к датчикам, зависит от насыщенности тканей жидкостью. Компьютерная программа обрабатывает информацию, и специалисты получают снимок высокого разрешения с возможностью построения трехмерной модели.
Во время МРТ височно-нижнечелюстного сустава (ВНЧС) обследуемая область сканируется послойно. Толщина среза от 1 мм. Высокая разрешающая способность в полной мере отразит строение мягкотканных структур: капсулы, связок, внутрисуставного диска, жевательных мышц. Доктор оценивает функциональное состояния ВНЧС и отклонения от нормы:
- повреждение поверхностей хрящей;
- смещение положения внутрисуставного диска;
- скопление жидкости в полости ВНЧС;
- злокачественные и доброкачественные опухоли челюсти;
- артрит/артроз;
- разрывы связочного аппарата и другие изменения.
Томография ВНЧС с контрастированием позволяет более информативно оценить особенности опухолей, определить характер их роста и кровоснабжения.
Какой МРТ делают при дисфункции ВНЧС

Магнитно-резонансная томография ВНЧС - невправляемый вывих. Стрелкой указано хрящевое образование, которое остается смещенным при закрытом (a) и открытом (b) рте.
Височно-нижнечелюстное сочлененние образовано ямкой височной кости и головкой нижней челюсти. Внутри полости лежит хрящевой диск. Он делит пространство на две части и дает большую подвижность. Снаружи рассматриваемое анатомическое образование покрыто капсулой. Правый и левый ВНЧС являются парным комбинированным сочленением и двигаются одновременно.
Нарушение функции может проявляться такими симптомами:
- боль при жевании;
- щелчки и хруст при движении челюстей;
- ограничение подвижности;
- изменения артикуляции и др.
МРТ челюсти проводят, когда предшествующие методы диагностики оказались малоинформативны. Сначала выполняют рентген, однако даже в нескольких проекциях он не всегда выявляет причину патологии. МРТ височно-нижнечелюстного сустава помогает выяснить, что привело к развитию дисфункции.
Доктор увидит нарушения:
- вывих (в том числе неполный);
- гипермобильность диска;
- воспаление связок и сухожилий;
- артрит и остеомиелит;
- изменение суставной щели и пр.
Иногда выполнение нативных снимков достаточно. Но использование контрастных веществ усиливает исследование. Препарат распределяется из кровеносного русла в мягких тканях, и визуализация новообразований становится более четкой даже на ранних стадиях. Процент вымывания контраста поможет определить природу опухоли: доброкачественная или злокачественная. В совокупности раннее установление причины и, соответственно, диагноза поможет приступить к лечению заболевания в самые короткие сроки.
МРТ височно-нижнечелюстных суставов с функциональной пробой

На МРТ ВНЧС “застрявший диск” (a - открытый рот, b - закрытый). Стрелкой обозначена задняя поверхность хрящевого образования, которая вне зависимости от движений остается в нижнечелюстной ямке.
При поражении ВНЧС делаютя МРТ с функциональными пробами в следующих положениях: с закрытым ртом, приоткрытым и полностью открытым. Такой подход позволяет визуализировать весь процесс движения в различных проекциях. Используя полученные результаты, врач поймет, в какой момент происходит сбой.
В норме кости не соприкасаются, но патологическая подвижность диска приводит к трению и болезненным ощущениям. Последний может изменять положение в различных направлениях, наиболее распространено переднее смещение.
Примером еще одной патологии, которую помогают установить функциональные пробы, является фиксированный, перемежающийся вывих и подвывих. Специалист увидит на изображении с закрытым ртом смещение внутрисуставного образования, а в открытом состоянии оно вернется на место. Описанный результат будет свидетельствовать о перемежающемся вывихе челюстного сочленения.
Показания и противопоказания к МРТ челюстного сустава

На МРТ вправляемый вывих. Стрелкой указано внутрисуставное образование, которое смещено кпереди при сомкнутых челюстях (a) и возвращается на место в открытом положении (b).
Челюстно-лицевой хирург порекомендует проведение МРТ челюстного сустава при подготовке к нескольким процедурам:
- установке имплантатов;
- пластической операции;
- протезировании зубов.
Врач назначит обследование, когда есть такие признаки:
- болевые ощущения при жевании;
- асимметрия лица;
- покраснение и повышение температуры в области сочленения (воспалительные процессы);
- артроз;
- неправильный прикус;
- травмы нижней и верхней челюсти, операции в прошлом и др.
Показанием для использования контрастного вещества является подозрение на новообразование для лучшей визуализации мягких тканей (мышц, связок и пр.). Повторное обследование делаются, чтобы отразить динамику состояния и скорость восстановления после вмешательств.
МРТ челюсти обладает высокой информативностью, она безопасна в любом возрасте. Однако есть некоторые исключения. Сканирование не делают во время беременности в 1 триместре, а далее лишь по строгим показаниям. Детям выполнение возможно уже с 4 недель жизни. В диагностическом центре «МАГНИТ» при наличии направления ребенку делают МРТ с 5 лет, при введении контраста - с 12.
Вам откажут, если масса Вашего тела превышает 120 кг. Указанное ограничение связано с техническими особенностями аппарата: больший вес аппарат может не выдержать и сломаться.
МРТ верхнечелюстного сочленения нельзя делать в ситуациях, когда:
- установлен электрокардиостимулятор и иные приборы;
- есть металлические инородные тела не только в области лица, но и во всем организме (скобы, стенты, штифты и пр.);
- используются поддерживающие жизнь пациента системы (гемодиализ, искусственная вентиляция легких и т.п.).
Металлические предметы в теле не всегда являются препятствием к выполнению исследования. Если сплав немагнитный, он никак не повлияет на процесс.
Ограничениями к проведению усиленного сканирования являются:
- аллергические реакции на контрастный препарат;
- терминальная почечная недостаточность.
Нужно ли Вам обследование определит врач, он оценит наличие противопоказаний и обозначит сроки повторной явки, чтобы отследить динамику.
Как делают МРТ височно-нижнечелюстного сустава?

МР-снимок ВНЧС и анатомия сочленения
Перед МРТ не нужна специальная подготовка. Пациенту разрешено принимать пищу. В случае, если делается усиленное сканирование, легкий перекус за 40-45 минут поможет уменьшить признаки активации вегетативной нервной системы после введения препарата (повышенное отделение слюны, чувство жара, головокружение). Советуем подойти к кабинету за 10-15 минут, чтобы не торопясь снять все металлические предметы (серьги, заколки и пр.). Последнее нужно, чтобы изображения не исказились и были информативными.
Ребенку следует подробно описать процесс, какие звуки он услышит. В центре «МАГНИТ» один из родителей может находиться в помещении томографа в течение всей процедуры, чтобы общаться с малышом и успокаивать.
Обследование начинается с короткой подготовки-инструктажа, затем человека укладывают на передвижной стол. Пациента фиксируют ремнями, чтобы обеспечить полную неподвижность во время процедуры. Далее стол помещается внутрь кольца аппарата. Медицинские работники покидают помещение, но поддерживают связь с помощью радиопередатчика.
При МРТ с контрастом сначала делают нативный снимок челюстного сустава, после чего внутривенно вводят специальный препарат. Доза рассчитывается индивидуально по весу. Контрастное вещество, быстро уходя из кровеносного русла, распределяется в межклеточном пространстве. Усиленная томография более надежно выявит патологию мягких тканей и наличие опухолей.
В ограниченном пространстве может появиться чувство страха. Поэтому, если у Вас есть клаустрофобия, сообщите доктору перед тем, как делать процедуру. Специалисты подберут седативный или успокаивающий препарат. Можно выполнить МРТ и под наркозом, но только в условиях стационара больницы.
Что лучше МРТ или КТ челюсти?

МР-изображение ВНЧС. a, c, e - в открытом положении, b, d, f - в закрытом. Стрелками показано переднее смещение диска с редукцией (a,b,c,d), без редукции (e,f). Выявлен остеофит на мыщелке (e,f).
Однозначно ответить, какое из исследований лучше, нельзя. Методы могут дополнять друг друга. КТ нижней челюсти визуализирует костные структуры лицевого отдела черепа, в то время как МРТ используют для оценки мягких тканей. В обоих случаях получают послойные изображения изучаемой области, компьютер при необходимости преобразует их в 3D-модель.
В основе КТ лежит использование рентгеновских лучей. МРТ применяет магнитное поле. Сказанное означает, что человек во время компьютерной томографии нижней челюсти получает лучевую нагрузку. Однако оба сканирования безопасны. Определить, что нужно сделать, сможет врач. Он соотнесет диагностическую ценность, выпишет направление и даст комментарий относительно результатов.
Читайте также:
