Рентгенограмма, КТ, МРТ, УЗИ при инвагинации кишечника
Добавил пользователь Евгений Кузнецов Обновлено: 02.11.2025
Что такое МРТ кишечника — это бесконтактный метод диагностики средних и конечных отделов пищеварительного тракта. Томография позволяет визуально оценить состояние органа, обнаружить воспалительные, дегенеративные процессы, опухоли. В отличие от эндоскопии, МРТ не создает дискомфорта, болевых ощущений, это полностью неинвазивная методика. Процедура хорошо переносится, может проводиться неоднократно, по потребности.
Магнитно-резонансная томография назначается в качестве основного или дополнительного метода диагностики болезней пищеварительного тракта.
Можно ли сделать МРТ кишечника
Несмотря на различные мнения, разногласия, ответ на вопрос, можно ли сделать мрт кишечника, положительный. Томография используется для диагностики прямой кишки, тонкого кишечника, толстой кишки. Единственная оговорка — орган представляет собой полую трубку, потому без специальных мер визуализируется плохо. Перед проведением процедуры нужна подготовка. Виден ли на МРТ кишечник, зависит от его содержимого. Потому до начала процедуры проводят очищение ЖКТ, применяют контрастирующие препараты.

При правильной подготовке, визуализация не представляет сложностей. Магнитно-резонансная томография назначается при подозрениях на воспалительные, дегенеративные, онкологические процессы, при наличии симптомов, происхождение которых не до конца понятно. Среди показаний к МРТ кишечника:
- Дискомфорт в животе. Боли, ощущение тяжести.
- Вздутие. Метеоризм неясного происхождения.
- Интенсивные боли в нижней части живота. Особенно у женщин. В рамках МРТ можно провести дифференциальную диагностику патологий ЖКТ и репродуктивных органов, органов малого таза помимо прямой кишки.
- Кровотечения из заднего прохода разной интенсивности. Также следы крови в стуле в виде ярких или темных прожилок.
- Тошнота, рвота, которые повторяются регулярно и точно не связаны с заболеваниями центральной нервной системы.
- Беспричинная потеря веса. Особенно, если пациент не следует строгой диете и не менял рацион.
- Подозрения на аутоиммунные процессы, болезнь Крона.
- Подозрительные находки по результатам первичного обследования (пальпации), проведенного ультразвукового исследования, рентгена.&
- МРТ проводят при подозрениях на рак толстого или тонкого отделов кишечника. Метод диагностики позволяет обнаружить онкологический процесс на ранних стадиях, когда опухоль можно полностью удалить. В рамках диагностики неопластических процессов назначают МРТ с контрастом.
- Томографию брюшной полости назначают в предоперационный период. Чтобы оценить текущее состояние, подготовиться к лечению, исследовать предстоящий масштаб работ.
- Оценка эффективности проведенного лечения. Это особенно актуально после удаления опухоли, при онкологии. Врач назначает исследование, чтобы проверить, насколько, в каких объемах удалось удалить образование, сохранились ли измененные клетки. Процедура проводится регулярно, каждые несколько месяцев, чтобы вовремя обнаружить рецидив патологического процесса. Исследование информативно и в рамках изучения эффективности лечения прочих расстройств. Не только злокачественных новообразований.

Обследование выявляет структурные изменения тонкой кишки, толстого кишечника.
Информативно ли МРТ кишечника
При достаточной подготовке, метод исследования не уступает эндоскопии и дает больше данных, особенно при онкологических процессах. В том числе, о локализации опухоли, степени ее прорастания сквозь ткани, воздействия на окружающие структуры, степени распространенности, наличии метастазов в регионарные лимфоузлы.
Диагностика показывает анатомическое состояние брюшной полости. Томография может определить заболевания и пороки средних, нижних отделов пищеварительного тракта:
- Инфекционные воспаления и их последствия: колиты разного происхождения.
- Спайки, фибриновые тяжи, которые образуются в ходе воспалительных процессов и мешают работе, проходимости кишечника. Спаечный процесс виден в деталях.
- Раковые заболевания, онкологические процессы. Методика покажет и стадию, и форму образования. Но точку в вопросе можно поставить только после лабораторной оценки. Морфологические, гистологические тесты прольют свет на строение неоплазии, степень злокачественности.
- Аутоиммунные воспаления. Болезнь Крона. МРТ желудка и кишечника показывает и само поражение, и его последствия.
- Травмы. От ушибов до разрывов тканей. МРТ дает увидеть степень поражения, точную локализацию патологического процесса. Магнитный резонанс визуализирует мягкие ткани в деталях, потому врач имеет возможность досконально изучить состояние органов ЖКТ и быстро разработать тактику терапии.
- Кровотечения. В результате травм, повреждений, диагностических и лечебных вмешательств. Также в качестве последствий хронических, острых заболеваний.
- Доброкачественные опухоли в кишечнике. Полипы прямой кишки, толстого кишечника, кисты (неопухолевые объемные образования, заполненные жидкостью).
- Врожденные аномалии. Дивертикулы и пр.
- Непроходимость.
МРТ при заболеваниях кишечника показывает отклонения от нормальной анатомии, структурные изменения. Если возникает необходимость оценить функциональные особенности, назначают другие инструментальные и лабораторные тесты.

Что проверяет МРТ кишечника — зависит от целей диагностики. Посредством томографии можно исследовать тонкий кишечник, двенадцатиперстную кишку, толстый кишечник, прямую кишку и задний проход. Исследование эффективно визуализирует ткани, в деталях показывает малейшие отклонения, главное — правильная подготовка к процедуре.
Как подготовиться к МРТ кишечника?
Подготовка к МРТ кишечника начинается за 3 дня до процедуры.
- За 3-е суток отказываются от продуктов, которые могут спровоцировать повышенное образование газов, метеоризм. В общем случае, речь идет о бобовых, кисломолочных продуктах, свежем хлебе и выпечке, горохе, капусте, луке, чесноке. Далее — нужно отталкиваться от индивидуальных особенностей организма, переносимости отдельных продуктов.
- Накануне исследования нужно сделать очистительную клизму (или микроклизму). Для освобождения от кишечного содержимого применяют и препараты, растворы для перорального приема. Вопрос, какой метод подойдет, лучше адресовать своему врачу.
- Накануне же врач назначает ветрогонный препарат Эспумизан, чтобы окончательно избавиться от газов на период диагностики. Это важно, поскольку специалисты смотрят на состояние кишечника, его стенок. При обилии газов структуру органа видно плохо.
- Перед тем как обследовать кишечник, нужно за 5-6 часов отказаться от еды. Томография делается натощак.
Пустой кишечник визуализируется недостаточно. Потому пациенту назначают специальный раствор на основе сорбитола, маннитола (1.5 литра). Гидро-МРТ может проходить и после прямого введения препарата в кишечник. В сложных клинических случаях контрастное вещество вводят еще и внутривенно, с помощью шприца или капельницы.
Информативно ли МРТ кишечника — зависит от качества подготовки. Правильные меры позволяют выставить или подтвердить диагноз с первой же процедуры.
Как делают МРТ кишечника?
Как проводится МРТ кишечника — определяет методика томографии, модификация способа. В общем случае, человек приходит в клинику, брюшную полость сканируют на протяжении получаса или более. Затем, пациент получает результаты на руки.
Более подробная схема, как проводят МРТ кишечника:
- Пациент подходит в клинику в назначенное время.
- Оставляет все запрещенные вещи в специально отведенном месте, хранилище. В перечень запрещенных предметов входят банковские карты, мобильные телефоны, любая электроника, металлические украшения и вещи (в том числе ремни, часы, очки). Они могут повлиять на работу аппарата или же выходят из строя сами.
- Врачи проводят последние подготовительные процедуры, если это нужно: вводят контраст на основе гадолиния. Количество препарата зависит от возраста, комплекции, веса пациента (объемы контраста для мужчины, женщины, детей будут отличаться).
- Пациент ложится на специальную кушетку.
- Стол задвигают, начинается обследование.
- Сколько времени делают томографию — зависит от клинических находок и самого процесса диагностики. От 20 до 40 минут с возможным увеличением длительности. Если есть вопросы и врач проверяет спорные находки. Время исследования определяется и способом контрастирования, введения препарата.
- Врачи изучают фото, изображения внутренних органов и описывают находки.
По окончании диагностики, пациент отправляется в коридор и ждет результатов. Протокол обследования, заключение врача-рентгенолога, снимки в напечатанном или электронном формате человек получает на руки. С итогами рекомендуется обращаться к врачу, который назначил процедуру.

При предполагаемой опухоли кишечника МРТ требует больше времени: до 40-60 минут, поскольку сканирование проводится в нескольких режимах. Диагностика дает сведения о размерах, локализации образования, ее структуре, степени кровоснабжения. Врач может предположить тип неоплазии, но точный ответ на вопрос врачи получают после лабораторной оценки образца тканей.
Как делают МРТ кишечника — определяют модификация метода, цели диагностики, особенности клинического случая.
КТ или МРТ кишечника?
МРТ и КТ — два бесконтактных метода визуализации тканей ЖКТ. Какое пройти — определяет клинический случай. Компьютерная томография как метод основана на влиянии рентгеновского излучения. Потому методика слабо визуализирует мягкие ткани. Используется для диагностики болезни Крона. В этом случае она сопоставима по эффективности с МРТ.
Магнитно-резонансную томографию можно проводить во всех остальных случаях. Поскольку методика основана на воздействии магнитного поля, ответе организма на стимуляцию, она визуализирует мягкие ткани в деталях, не несет опасности для здоровья, не создает нагрузки, может проводиться неоднократно и имеет большее разрешение. В основной части случаев показана именно МРТ. В сложных клинических случаях бывает, что проводят и КТ, и МРТ. Магнитный резонанс предоставляет основные сведения, а компьютерная томография уточняет характер опухоли, ее структуру, обнаруживает участки петрификации, что позволяет выставить точный, определенный диагноз.
Вопросы, как проводится МРТ кишечника, какую методику подобрать, какие дополнительные меры потребуются, остаются на усмотрение врача.
Томография — один из ключевых методов инструментальной диагностики. От того, что показывает МРТ кишечника, зависит тактика терапии, ее эффективность.
Инвагинация кишечника
Инвагинация кишечника - это внедрение одного участка кишечника в другой с возможным развитием непроходимости ЖКТ. Основным признаком патологии является внезапный интенсивный болевой синдром, который длится около 5 минут и повторяется через каждые 15-20 минут. Диагностика основана на характерной клинической картине, пальпации инвагината в межприступный период, данных УЗИ органов брюшной полости и рентгенологической диагностики. Лечение может проводиться консервативно (расправление инвагината с помощью баллона Ричардсона) или оперативно (лапаротомия с устранением внедрения кишечника).
Общие сведения
Инвагинация кишечника - разновидность кишечной непроходимости, заключающаяся во внедрении одного сегмента кишечника в просвет другого. Чаще всего (в 90% случаев) данное заболевание развивается у детей грудного возраста, обычно в 5-7 месяцев, в период введения прикормов. Распространенность патологии составляет 3-4 случая на 1000 грудных детей, причем чаще болеют мальчики.
Инвагинация кишечника, возникающая у детей старшего возраста, а также у взрослых, всегда имеет механические предпосылки. Факторами риска развития патологии являются грудной возраст, вирусные кишечные инфекции, протекающие с гипертрофией пейеровых бляшек (часто наблюдается при ротавирусной и аденовирусной инфекции), нерациональное введение прикорма, мужской пол, отягощенный семейный анамнез, а также плохие бытовые условия.
Причины
В большинстве клинических случаев не удается выяснить конкретную причину развития инвагинации кишечника, поэтому заболевание считается идиопатическим. Все причины данной патологии условно подразделяют на алиментарные и механические. Ведущая роль в формировании заболевания отводится нарушению пищевого режима у детей: несвоевременному введению прикорма, особенно в больших объемах, наличию в рационе слишком густой и грубой пищи. Патология может быть осложнением кишечных инфекций (вирусных и бактериальных), алиментарного гастроэнтерита, колита, инородных тел, туберкулеза кишечника или брюшины, энтероптоза и других заболеваний.
Механическими факторами, приводящими к внедрению одного участка кишечника в другой, являются полипы, дивертикул Меккеля, кисты кишечника; эктопическая поджелудочная железа; опухоли кишечника, в том числе липомы, лимфомы; кишечная форма аллергии; нарушения моторики различного генеза; муковисцидоз; хирургические вмешательства на органах желудочно-кишечного тракта и другие.
Патогенез
Независимо от конкретной причины патологического синдрома, патогенез всегда связан с нарушениями перистальтики кишечника. Большинство гастроэнтерологов и абдоминальных хирургов в настоящее время склоняются к единому мнению, что патофизиологической основой инвагинации кишечника в детском возрасте является преходящее изменение перистальтики с формированием участков спастических сокращений, способствующих образованию инвагинатов.
Употребление грубой пищи провоцирует судорожные сокращения гладкой мускулатуры кишечника с внедрением его участков, а дискоординация моторики усугубляет патологический процесс. Инвагинация приводит к непроходимости кишечника, развивается отек тканей, лимфостаз, венозный стаз. Артериальная ишемия является причиной некротических изменений кишечной стенки и кровотечения из ЖКТ. При отсутствии своевременного адекватного лечения возможна перфорация кишечника и развитие перитонита.
Классификация
В зависимости от причины развития выделяют первичную (видимый этиологический фактор отсутствует) и вторичную (имеется предшествующее поражение кишечника: опухоль, полипы и другое) инвагинацию. По локализации патологического процесса различают тонкокишечную, толстокишечную, тонко-толстокишечную, тонкокишечно-желудочную, а также инвагинацию петель кишечника через свищевые ходы или стомы.
Инвагинация, происходящая по направлению перистальтических волн, определяется как изоперистальтическая, или нисходящая; если происходит внедрение в обратном направлении - развивается антиперистальтическая, или восходящая инвагинация кишечника. Внедрение кишки может быть единичным и множественным (имеется несколько инвагинатов), простой (3-циллиндровый инвагинат) или сложной (5-, 7-циллиндровые инвагинаты).
Выделяют три варианта течения патологического процесса. Острая инвагинация (встречается в 95% случаев) представляет собой декомпенсацию моторики кишечника, возникающую вследствие различных факторов; может завершиться некрозом участка кишки. Рецидивирующая форма часто возникает у детей вследствие морфологической и функциональной незрелости кишечника; может быть ранней (в первые 3 суток после расправления) и поздней (неоднократно повторяется в более поздние сроки). Хронический вариант течения характеризуется длительно существующим заболеванием с неинтенсивными симптомами непроходимости кишечника.
Отдельной формой является абортивная или саморасправляющаяся инвагинация, которая протекает с компенсированным расстройством функций кишечника, типичными симптомами острой инвагинации, преимущественно регистрируется у пациентов, госпитализированных в ранние сроки от начала заболевания.
Симптомы инвагинации кишечника
Основным признаком заболевания является выраженный болевой синдром. Боль в животе в начале заболевания может быть приступообразной с интервалами от десяти до тридцати минут. Во время болевого приступа ребенок беспокойный, поджимает ноги к животу, кричит, плачет, кожные покровы могут быть бледными, покрытыми холодным потом. Малыш может отказываться от груди, соски. Приступ начинается всегда внезапно и так же внезапно прекращается.
Продолжительность боли обычно составляет около пяти минут, через пятнадцать - двадцать минут приступы повторяются (это соответствует волнам перистальтических сокращений кишечника). В межприступный период ребенок ведет себя обычно, спокойно играет, а после выраженной боли может быть заторможенным, уставшим. Характерной особенностью инвагинации кишечника является то, что живот при пальпации мягкий и незначительно болезненный (до наступления некротических изменений).
В некоторых случаях наблюдается диарея, вздутие живота. На начальных стадиях возможна рвота остатками пищи, при формировании непроходимости кишечника - каловыми массами. Через несколько часов от начала инвагинации появляется примесь крови в кале - испражнения приобретают вид «малинового желе».
Инвагинация кишечника у детей практически всегда протекает в острой форме, у взрослых может наблюдаться подострое и хроническое течение. Острая форма обычно развивается при тонкокишечной инвагинации, поскольку в этом случае быстро формируется непроходимость кишечника. Подострая форма более характерна для толстокишечной инвагинации - ввиду большего диаметра кишечника непроходимость может не сформироваться. Толстокишечная инвагинация характеризуется менее выраженной симптоматикой, болевой синдром не столь интенсивный.
Диагностика
При типичном течении диагностика инвагинации кишечника не вызывает сложностей. Консультация абдоминального хирурга позволяет заподозрить заболевание и определить характерные признаки. При пальпации живота в межприступный период определяется мягкоэластичное образование, чаще локализованное в правой подвздошной области, несколько болезненное. В поздние сроки (через 24 часа от начала заболевания) пальпация инвагината затруднительна в связи с развитием атонии кишечника. При илеоцекальной инвагинации определяется симптом Данса - западение правой подвздошной области. При низком расположении инвагината возможна его пальпация при ректальном исследовании и даже выпадение.
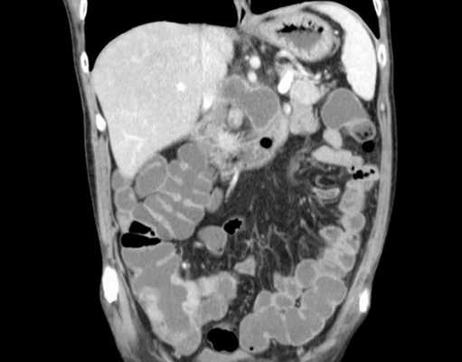
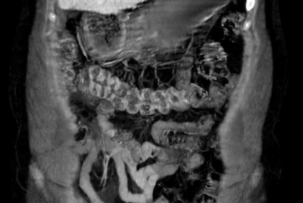
Для визуализации инвагината проводится УЗИ брюшной полости: определяется гипоэхогенное образование с участком гиперэхогенности в центральной части. Также может применяться ультразвуковая допплерография с целью оценки кровотока в сосудах брыжейки. Обзорная рентгенография брюшной полости обладает меньшей чувствительностью при обнаружении инвагината, но применяется как скрининговый метод исследования при острой боли в животе с целью исключения перфорации, обструкции.
Рентгенологические признаки могут быть весьма разнообразными: аномальное распределение газов, наличие уровней жидкости, расширение петель кишечника, пустые участки кишечника в области инвагината, а также кольцевидные чередующиеся участки затемнения и просветления. Более информативна рентгенография с контрастированием: определяется препятствие на пути контраста в виде полукруга или распределение бария наслаивающимися кольцами. С целью выяснения механических причин развития патологии может использоваться компьютерная томография.
При тяжелом течении инвагинации с формированием некроза кишечника определяются симптомы кишечного кровотечения, а также гиповолемии (сухость кожи, снижение артериального давления, олигурия). При лабораторных исследованиях специфические признаки не обнаруживаются. В общем анализе крови при перфорации и перитоните возможен лейкоцитоз, при гиповолемии - признаки гемоконцентрации. Биохимический анализ крови остается без изменений. В копрограмме (анализе кала) при ишемии участка кишечника определяется кровь и слизь.
Лечение инвагинации кишечника
Лечение пациентов проводится в стационаре. При идиопатической инвагинации у детей в возрасте 3-36 месяцев, в случае ранней госпитализации и отсутствия осложнений, возможно консервативное лечение. Это допустимо, если от начала заболевания прошло не более десяти часов. В таком случае во время диагностической рентгенографии проводятся и лечебные мероприятия: осуществляется нагнетание воздуха в кишечник при помощи баллона Ричардсона до полного расправления инвагината. Далее для отведения воздуха устанавливается газоотводная трубка.
После процедуры продолжается наблюдение в стационарных условиях отделения абдоминальной хирургии. Обязательно проводится контрольное рентгенконтрастное исследование. При своевременном обращении за медицинской помощью консервативное лечение эффективно в 60% случаев. В рамках медикаментозного лечения инвагинации кишечника проводится антибиотикотерапия, инфузионная терапия.
Если от начала выраженной симптоматики прошло более десяти часов, а также при наличии нейтрофильного лейкоцитоза в общем анализе крови, неэффективности консервативного лечения, признаках выраженного кишечного кровотечения, обезвоживании более 5% проводится хирургическое лечение путем лапаротомии. Производится устранение инвагинации, оценивается жизнеспособность кишечника, при необходимости его часть подлежит резекции.
Прогноз и профилактика
При своевременной госпитализации пациента и проведении адекватного лечения прогноз благоприятный. Возможно развитие таких осложнений, как рецидивирование инвагинации, перфорация кишечника с развитием перитонита, формирование внутренних грыж и спаек после оперативного лечения. Профилактика заключается в своевременном правильном введении прикорма (не ранее 6 месяцев, с постепенным введением новых блюд и плавным увеличением объемов пищи, приготовлении для прикорма гомогенных блюд), лечении новообразований кишечника.
Рентгенография брюшной полости
Пациенты, обратившиеся в нашу клинику и прошедшие исследования МРТ, рентген, ЭЭГ или РЭГ, могут получить первичную консультацию .
Скидки для друзей из социальных сетей!
Эта акция - для наших друзей в "Одноклассниках", "ВКонтакте", "Яндекс.Дзене", YouTube и Telegram! Если вы являетесь другом или подписчиком стр.
Житель района
В этом месяце жителям районов Савеловский, Беговой, Аэропорт, Хорошевский предоставляется скидка 5% на ВСЕ медицински.
Жукова Елена Николаевна
Высшая квалификационная категория
Кисляков Андрей Вадимович
Комстачева Галина Александровна
ITALRAY CLINODIGIT COMPACT - цифровой рентгеновский аппарат
Это компактная революционная система с инновационным плоскопанельным детектором позволяет провести исследования в цифровом формате с большим разрешением и получить качественные изображения.
Диагностика. МРТ и рентген
Мы в Telegram и "Одноклассниках"
Преимущества рентгена в нашей клинике
15 минут
Продолжительность самого исследования - от 1 до 10 минут. После этого проводится расшифровка, и тут же человеку выдаются снимки. Пациента записывают на 30 минут.
Нет боли
Требуется подготовка
За 2-3 дня до исследования соблюдайте диету. За 12 часов до рентгена нужно отказаться от приема твердой пищи, а за 2 часа до исследования - очистить кишечник (примерно так же, как при подготовке к гастроскопии).
Не требуется
Сохраняется
Нет ограничений
Рентгенография брюшной полости - это неинвазивный безболезненный метод исследования. Процедура выполняется без использования контрастного вещества и на 100% безопасна! Рентгенография позволяет увидеть общую картину состояния органов брюшной полости.
Если вас беспокоят вздутие живота, боли, запоры, тошнота - проконсультируйтесь со специалистом. Возможно, причину определят с помощью рентгена.
Кроме рентгенографии, существует еще и такое исследование, как рентгеноскопия. Рентгеноскопия - это исследование органов в режиме реального времени, которое позволяет оценить их работу в динамике. Основное отличие рентгенографии от рентгеноскопии в том, что такое наблюдение не проводится, делаются одномоментные фото. Однако в некоторых случаях, когда рентгенолог видит ясные снимки с просветлениями, контраст и не нужен.
Наши пациенты могут пройти контрастный рентген органов брюшной полости, и рентгенографию. Индивидуально определяется, какое именно исследование необходимо провести.
Традиционное исследование брюшной полости включает в себя просвечивание и серийную обзорную рентгенографию. В силу анатомических особенностей пищеварительной системы невозможно распознать заболевание только по снимкам, выполненным в стандартных проекциях.
Продолжительность самого исследования - от 1 до 10 минут. После этого проводится расшифровка, и тут же человеку выдаются снимки. Врач-рентгенолог составляет описание для врача, направившего пациента на рентген.
Обзорная рентгенография брюшной полости позволяет определить, что является причиной плохого самочувствия пациента: избыточные газы, жидкость в брюшной полости (кровотечения), инородные предметы. На снимках врач может увидеть повреждения, возникшие по разным причинам: воспаление, травму и др.
Что позволяет обнаружить исследование?
Наличие свободного газа при прободении полого органа и свободной жидкости
Нарушение целостности полого органа и является причиной наличия свободного газа. У здорового человека такое явление не встречается. Причиной часто становится язвенное поражение.
Прободение может появиться в любом полом органе, но наиболее часто оно встречается в желудке, 12-перстной кишке и кишечнике.
Основные причины прободения:
- разрушение стенок воспалительным процессом, некрозом или новообразованием (чаще всего - перфоративные язвы желудка и 12-перстной кишки);
- механическое нарушение стенок из-за огнестрельной или ножевой раны;
- нарушение целостности во время лечебной манипуляции (выскабливание матки, биопсия во время гастроскопии);
- разрыв стенки из-за нарастающего натяжения (когда скапливаются каловые массы, например).
Самый яркий симптом при прободении - боль. Кроме этого:
- рвота при развитии функциональной кишечной непроходимости;
- вздутие живота;
- сильная болезненность в момент перфорации язвы 12-перстной кишки или желудка, возникающая в эпигастральной области и правом подреберье и др.
К скоплению жидкости могут привести злокачественные опухоли: рак желудка, кишечника, поджелудочной железы. Иногда причиной становятся такие патологии, как панкреатит (воспаление в поджелудочной железе), перитонит (воспаление брюшины). Именно поэтому важно вовремя обратить внимание на тревожные симптомы и пройти обследование.
Перитонит может быть проявлением острого живота, явления, которое характеризуется сильными болями и патологическим напряжением брюшной стенки. Острый живот наблюдается при таких патологиях ЖКТ, как прободная язва желудка, аппендицит и другие. При таком состоянии требуются госпитализация и хирургическое вмешательство!
Кишечная непроходимость
При кишечной непроходимости пища не может пройти через кишечный тракт из-за механических преград или нарушений в работе кишечника.
Основные симптомы:
- вздутие живота;
- запор;
- распирающие боли в животе;
- тошнота.
Исследование на кишечную непроходимость проводится, если вас беспокоят вздутие живота, запоры и другие симптомы. Благодаря исследованию подтверждается или опровергается диагноз.
Непроходимость может быть следствием появления полипов, опухолей, нарушения моторики кишечника.
Раннее выявление признаков кишечной непроходимости позволяет вовремя начать лечение!
С помощью исследования кишечника специалист может обнаружить жидкости и газы, которые образуют «чаши» и «арки». На рентгенологическом снимке так называемые «чаши Клойбера» выглядят как газовые пузыри полукруглой формы. Картина чаши формируется, когда петля кишки содержит больше жидкости и небольшое количество газа, арки - наоборот. Чаша может трансформироваться в арку, а арка в чашу.
При кишечной непроходимости появляется сразу несколько чаш Клойбера, которые располагаются в центре брюшной полости, в районе петель тонкой кишки. На рентгенограмме это выглядит как вздутые участки кишки, заполненные жидкостью и газом.
Исследование пациента в вертикальном положении дает более четкую картинку, чем при боковом.
Также врач-рентгенолог может обнаружить инвагинацию кишечника - вид кишечной непроходимости, когда один участок кишки внедряется в просвет другой. Но такая патология характерна для маленьких детей.
Историческая справка
Немецкий рентгенолог Клойбер в 1919 году впервые опубликовал систематические рентгенологические наблюдения при острой кишечной непроходимости. В отличие от других, он не использовал контрастные вещества.
Современная рентгенодиагностика острой кишечной непроходимости основана, главным образом, на изучении скопления газов и жидкости в кишечнике. Они выглядят как светлые пятна на пленке. При такой ясной картине использование контраста излишне.
Забрюшинный абсцесс
Абсцесс обычно возникает после оперативного вмешательства или после травм. Заболевание чаще возникает у людей 20-40 лет.
Сначала симптоматика может отсутствовать. А затем возникает интоксикация, характеризующаяся тошнотой, ознобом. Неприятные ощущения возникают сначала при ходьбе, а потом и в состоянии покоя.
Противопоказания к проведению
Рентген - безопасное исследование, не имеющее абсолютных противопоказаний и позволяющее быстро получить четкие снимки внутренних органов. Однако лучевая диагностика противопоказана беременным женщинам и детям до 15 лет.
У нас исследования проводятся на цифровом рентген-аппарате Italray Clinodigit Compact последнего поколения. Снимки высокой четкости получаются буквально за 10-15 минут. Цифровые детекторы в 5 раз чувствительнее фотопленки.
Как проводят рентген?
Рентгенография брюшной полости проводится как в вертикальном, так и в горизонтальном положении (стоя и лежа). В некоторых случаях организм сканируют в двух проекциях, это позволяет лучше оценить состояние и структуру внутренних органов. Чтобы получить качественные снимки, необходимо соблюдать неподвижность.
Сделать рентгенографию брюшной полости в «МедикСити» вы можете каждый день с 9.00 до 21.00. Обращайтесь к врачу при проблемах с ЖКТ и не занимайтесь самолечением! Обзорный рентген брюшной полости позволяет быстро выявить патологию. Мы успешно проводим диагностику заболеваний желудка и других органов.
Перед записью на рентген рекомендуем проконсультироваться с врачом-гастроэнтерологом.
Что покажет КТ кишечник
КТ кишечника применяется для исследования толстого и тонкого кишечника, желудка, лимфатических узлов, соседних сосудов путем их сканирования с помощью рентгеновских лучей. В результате диагностики врач получает серию снимков, отображающих состояние органов ЖКТ по срезам. Метод относится к наиболее точным и высокоинформативным видам неинвазивного обследования и без внутреннего вмешательства в организм позволяет определить многие патологические процессы даже на начальном этапе, когда еще нет клинических признаков проявления недуга.
Компьютерная томография кишечника выполняется с помощью нескольких протоколов сканирования, позволяющих полностью или частично оценить определенные участки кишечника:
- или КТ прямой кишки - это процедура оценки последней части толстого кишечника; - это процедура оценки тонкого кишечника; позволяет частично оценить состояние двенадцатиперстной и ободочной кишки; позволяет частично оценить состояние прямой кишки.
Что покажет КТ кишечника
Компьютерная томография кишечника лучше всего предназначена для определения непроходимости кишки и выявления объемных образований и патологий всех стенок кишечника. Кроме того, данное исследование помогает определить воспалительные процессы и язвенные очаги. Лечащий врач может выдать пациенту направление на КТ обследование нужного участка кишечника для проведения дифференциальной диагностики:
- причин кровотечения и повреждения стенок тонкого и толстого кишечника;
- язвенных процессов и раздражений слизистой оболочки;
- стенозов и дивертикулита;
- воспаления тканевых слоев и колитов;
- объемных образований доброкачественного или злокачественного характера;
- аутоиммунных заболеваний с поражением ЖКТ, например, болезни Крона.
Также компьютерная томография назначается для оценки состояния пищеварительного тракта после травм и при попадании инородных тел внутрь в качестве экстренного метода диагностики. Данные МСКТ кишечника могут понадобиться и при планировании операционных вмешательств, например, резекции кишечника, чтобы точно визуализировать особенности анатомии и точно определить зону хирургического вмешательства.
КТ кишечника с контрастом
| Контрастирование | Вес пациента | Стоимость |
|---|---|---|
| Стоимость введения контрастного вещества | от 50 до 60 кг | от 3200 руб. |
| Стоимость введения контрастного вещества | от 60 до 70 кг | от 4000 руб. |
| Стоимость введения контрастного вещества | выше от 75 кг | от 5500 руб. |
Бесплатная консультация о диагностике
Если сомневаетесь, запишитесь на бесплатную консультацию.
Или проконсультируйтесь по телефону
Противопоказания
Беременность является абсолютным противопоказанием к любому КТ. Нежелательно делать компьютерную томографию маленьким детям из-за наличия лучевой нагрузки на организм. Пациентам с почечной недостаточностью перед применением контраста необходимо сделать анализ крови на креатинин. Если человек чувствителен к йоду, ему нужно сделать аллергические пробы для исключения непереносимости компонентов вещества. Иногда бывает трудно сделать качественную МСКТ полным пациентам. Большинство клиник осуществляют диагностику пациентам с весом только до 150 кг из-за пропускной способности томографа. Когда проведение КТ кишечника невозможно из-за противопоказаний или весовых ограничений, альтернативными методами сканирования будут МРТ кишечника и УЗИ на аппарате экспертного класса.
Подготовка
Качественная КТ кишечника требует подготовки, направленной на снижение подвижности органов пищеварительного тракта. Подготовительный этап начинается за 2-3 дня до исследования с перехода на питание, снижающее газообразование. Предварительно следует купить слабительные препараты для очистки кишечной полости, которую в день диагностики следует освободить от излишков кала. Компьютерная томография кишечника с контрастом требует проведения сканирования натощак с минимальной паузой в приеме пищи в 6 часов.
Перед заходом в комнату с томографом следует снять все металлические предметы и украшения. Одежда должна быть свободной. В некоторых клиниках предусмотрена выдача комплекта одноразовой одежды, который включен в цену обследования.
Процедура
Перед исследованием пациенту необходимо удобно расположиться на выдвижном столе аппарата. Затем кушетку перемещают в сканирующую часть томографа и запускают программу скрининга. Длительность процедуры КТ кишечника в среднем занимает несколько минут. При применении контрастирования продолжительность сканирования увеличивается до получаса. Результатов компьютерной томографии нужно будет подождать 30-40 минут, пока врач закончит процедуру расшифровки и описание томограмм. По итогам обследования пациент на руки получит письменное заключение врача и запись КТ снимков на электронном или пленочном носителе. С этими данными ему нужно записаться на консультацию к лечащему врачу, чтобы тот закончил процедуру диагностики и определился с планом лечения.
От чего зависит цена КТ кишечника с контрастом и без
Стоимость КТ тонкого или толстого кишечника зависит от:
- зоны сканирования - весь кишечник, толстая кишка и прямая кишка, тонкий кишечник;
- применения контрастного протокола;
- способа введения контраста;
- срезовой мощности томографа.
Полный перечень клиник, где можно сделать КТ кишечника, с точными адресами и ценами Вы сможете найти на портале Общегородского центра записи на диагностику. Мы также будем рады подсказать Вам, где можно сделать МСКТ любого участка кишечника недорого с максимальным учетом акций и скидок. Звоните, мы обязательно поможем!
КТ брюшной полости (часть пищевода, желудок, печень, желчный пузырь, поджелудочная железа, селезенка, тонкий кишечник)
КТ забрюшинного пространства (почки и надпочечники, мочеточники, мягкие ткани и лимфоузлы)
МРТ кишечника или колоноскопия что лучше?
Колоректальный рак входит в «тройку лидеров» среди самых распространенных онкологических заболеваний. В большинстве случаев злокачественная опухоль развивается на месте полипа, который считается фоном для появления онкогенных мутаций в клетках. Раннее обнаружение полипов - это реальный путь снижения заболеваемости раком толстой и прямой кишки. С решением этой задачи успешно справляется колоноскопия - эндоскопический метод осмотра слизистой толстой кишки. Исследование информативное, но при этом является инвазивным и может сопровождаться неприятными ощущениями. Современная медицина ищет способы преодоления подобного дискомфорта. Одним из вариантов, применимым в некоторых случаях, может считаться магнитно-резонансная томография. Давайте разбираться, может ли один метод заменить другой и что лучше - МРТ кишечника или колоноскопия?
Чем отличается МРТ кишечника от колоноскопии?
Колоноскопия - это визуальный осмотр слизистой толстой кишки, который проводится с помощью эндоскопа. Последний представляет собой тонкую трубку, на конце которой имеется видеокамера. Изображение, увеличенное в несколько раз, в режиме реального времени передается на экран. Специалист изучает строение слизистой и из мест, вызывающих наибольшее подозрение, может взять образец ткани для морфологического исследования.
Основными показаниями для проведения колоноскопии являются следующие ситуации:
- длительная диарея или хронический запор;
- наличие примеси гноя, слизи и крови в кале;
- стойкие боли в животе, дискомфорт и вздутие;
- профилактический скрининг пациентов старше 45 лет для раннего выявления доброкачественных и злокачественных изменений, которые протекают бессимптомно (пациентам с отягощенной наследственностью по раку кишечника обследование назначается в более раннем возрасте).

Колоноскопия незаменима в ранней диагностике доброкачественных и злокачественных новообразований, воспалений, эрозий и язв. Однако введение эндоскопа - процесс малоприятный и иногда несколько болезненный. Для того, чтобы уменьшить дискомфорт в современных условиях эндоскопическая диагностика толстой кишки проводится под седацией, которая предполагает введение успокоительных препаратов, погружающих человека в сон. Такая альтернатива традиционной эндоскопии отличается лучшей переносимостью, но некоторые пациенты все же отказываются и от этого способа. Возникает резонный вопрос - что можно сделать вместо колоноскопии? Один из вариантов - исследование, основанное на ядерно-магнитном резонансе.
МРТ кишечника - это неинвазивный метод визуализирующей диагностики. Аппарат генерирует магнитное поле, которое возбуждает атомы водорода. При переходе на более низкий энергетический уровень они излучают энергию, которая и приводит к формированию изображения. Сканирование проводится с шагом в 3-4 мм, что позволяет получить пространственную трехмерную модель. На основании анализа сканов врач делает предположение о характере патологического процесса и его распространенности. Таким образом, колоноскопия позволяет получить непосредственную «картинку» ad oculus, а МРТ - пространственную модель, разложенную по снимкам.
Что лучше МРТ или колоноскопия и можно ли вместо колоноскопии сделать МРТ кишечника?
Зная особенности этих 2 методов исследования, давайте детально разберем можно ли МРТ заменить колоноскопию? На самом деле, для первичного обнаружения опухоли колоректального сегмента кишки более информативна колоноскопия, которая позволяет взять образец ткани для гистологического исследования. В процессе магнитно-резонансной томографии такой возможности нет. Однако МРТ кишечника вместо колоноскопии может быть приемлема как метод скрининговой диагностики для тех пациентов, которые панически боятся проводить эндоскопическое обследование колоректального сегмента кишечника, или имеют противопоказания для введения эндоскопа.

Вместе с тем, при диагностированных с помощью колоноскопии опухолях МРТ с контрастированием входит в стандарт предоперационной диагностики. Метод позволяет обнаружить возможное распространение новообразования за видимые пределы, а также определить глубину инвазии рака. С помощью МРТ удается выявить онкологический отсев в ближайшие и отдаленные лимфатические узлы, а также в рядом расположенные структуры. Чем более полную диагностическую информацию получает врач на предоперационном этапе, тем более радикальным может стать лечение и тем ниже вероятность опухолевого рецидива.
Таким образом, ответ на вопрос, заменяет ли МРТ кишечника колоноскопию, скорее всего должен выглядеть так: заменяет, когда нет возможности провести эндоскопию, и дополняет, когда эндоскопия уже проведена и выявила отклонения.
Подготовка и особенности проведения колоноскопии
Качество диагностического исследования зависит от подготовленности пациента к процедуре. Визуализацию может затруднить наличие содержимого в просвете кишечника. Чтобы исследование было наиболее информативным и помогло в постановке правильного диагноза, к колоноскопии надо своевременно и правильно подготовиться.
За 3 дня до процедуры рекомендовано соблюдение диеты с минимальным содержанием клетчатки.
Важно максимально ограничить или полностью исключить:
- ржаной и отрубной хлеб;
- свежие и сушеные овощи, ягоды и фрукты;
- зелень и салаты;
- каши грубого помола;
- бобовые;
- орехи и семечки;
- газированные напитки.
- нежирный сыр и йогурт;
- яйца;
- гречневая каша;
- нежирная рыба и нежирное мясо в отварном виде;
- картофельное пюре;
- желе.
- Накануне исследования в первой половине дня желательно исключить твердую пищу в небольших количествах.
Во второй половине дня разрешено употреблять только неокрашенную жидкость: чистую воду без газа, соки, морсы, чай и бульон. Рекомендуется выпивать не менее 2 литров жидкости - чем больше, тем лучше. Важно! В течение 5 суток до процедуры рекомендуется воздержаться от употребления спиртосодержащих напитков, активированного угля препаратов, в составе которых имеется железо
В день исследования употребление пищи запрещено, т.к. колоноскопия проводится натощак (в кишечнике не должно быть содержимого).
Специальная подготовка
Накануне колоноскопического исследования важно макисмально очистить кишечника. Для этого применяются специальные препараты — Мовипреп (предпочтительнее, т.к. комфортнее переносится) или Фортранс.
Как принимать Мовипреп?
Подготовка может быть 2 видов - одноэтапной и двухэтапной, что зависит от того, когда планируется проведение колоноскопии.
Одноэтапная схема показана, если исследование будет выполняться в первой половине дня:
- Растворите 2 саше препарата в 2 литрах воды.
- Первый литр этого раствора принимайте с 19 до 20 вечера, второй литр - с 21 до 22 часов вечера.
Двухэтапная схема, если исследование планируется ближе ко второй половине дня.
- Растворите 2 саше препарата в 2 литрах воды.
- Первый литр этого раствора принимайте с 20 до 21 вечера, а второй литр - с утра перед обследованием с 6 до 7 часов.
После каждого приема Мовипрепа рекомендуется выпивать 0,5-1 литр чистой воды.
Как принимать Фортранс?
Одноэтапная подготовка показана, если исследование выполняется в первой половине дна.
- Последний прием пищи в 15.00 накануне исследования.
- Растворите 4 пакетика препарата в 4 литрах воды.
- Принимайте приготовленный раствор с 16.00 до 20.00 часов.
Двухэтапная подготовка показана, если исследование проводится во второй половине дня.
- Последний прием пищи в 16.00 накануне исследования.
- Растворите 2 пакетика препарата в 2 литрах воды. Раствор принимайте с 18.00 до 20.00 часов.
- Еще раз растворите 2 пакетика препарата в 2 литрах воды. Принимайте с 8.00 до 10.00 вечера в день исследования.
Подготовка и особенности проведения МРТ
Подготовка к МРТ кишечника на порядок проще, чем подготовка к колоноскопии, но вместе с тем и ценность диагностики ниже. Основными правилами подготовительного этапа являются:
- за 2 суток следует придерживаться правил питания, которые описаны выше (при этом разрешено употреблять любые жидкости за исключение спиртных напитков);
- при хронических запорах в течение 2 суток рекомендуется принимать слабительные препараты, которые ранее назначены врачом;
- вечером перед МРТ следует опорожнить кишечник при помощи клизмы или микроклизмы;
- перед магнитно-резонансной диагностикой разрешено принять легкий завтрак, особенно если пациент страдает сахарным диабетом;
- за 60 минут до сканирования необходимо выпить 1 литр воды комфортной для организма температуры;
- за 60 минут принимается спазмолитик (оптимальное средство и дозировку подскажет врач);
- за 30 минут следует выпить раствор Фортранс (1 пакетик растворить в 1 литре воды).
Полезная информация
В каких случаях целесообразно использование МРТ вместо колоноскопии?
МРТ рекомендуется включать в программу диагностики онкологического процесса. Метод позволяет оценить распространенность опухоли и обнаружить очаги отсева на удалении от первичного новообразования. МРТ также помогает обнаружить и другие патологии кишечника - стеноз, воспаление различной природы, в т.ч неспецифический язвенный колит и болезнь Крона. Магнитно-резонансная томография рекомендуется для оценки состояния кишечника при наличии противопоказаний к колоноскопии, таких как анальная трещина, обострение геморроя, некомпенсированные заболевания внутренних органов, кровотечение из кишки.
Можно ли сделать МРТ кишечника вместо колоноскопии?
Колоноскопия в отличие от МРТ является инвазивным методом диагностики, который позволяет наглядно визуализировать опухоль и получить образец ткани для гистологического исследования. Однако если по состоянию здоровья или внутренним предубеждениям пациент отказывается от колоноскопии, для скрининга колоректального может быть применена магнитно-резонансная томография.
Читайте также:
