Рентгенограмма, КТ при плохо отграниченных просветлениях челюсти
Добавил пользователь Евгений Кузнецов Обновлено: 06.01.2026
До недавнего времени лучевая диагностика в стоматологии рассматривалась как дополнительный метод обследования, то есть необязательный, без которого в принципе можно провести полноценное лечение. Однако в XXI веке ситуация кардинально изменилась, появились новые технологии, новые специальности и новые требования к обследованию и лечению пациентов. В настоящее время ни один цивилизованный стоматологический прием не обходится без детального радиодиагностического обследования пациента, и можно утверждать, что лучевая диагностика в стоматологии сейчас является одним из основных и наиболее востребованных методов исследования.
Главное отличие цифровой радиографии (радиовизиографии) от традиционной заключается в том, что в данном случае вместо пленки приемником изображения является сенсор, воспринимающий излучение и передающий информацию на компьютер. Оборудование, необходимое для радиовизиографии, последовательно состоит из источника излучения, устройства для считывания информации, устройства для оцифровывания информации и устройства для воспроизведения и обработки изображения.
В качестве источника излучения используются современные малодозовые генераторы с минимальным значением таймера, рассчитанные на работу в составе визиографического комплекса. Собственно визиограф состоит из сенсора, представляющего собой датчик на основе CCD- или CIMOS-матрицы, аналогово-цифрового преобразователя и компьютерной программы, предназначенной для оптимизации и хранения снимков.
Исходные цифровые снимки на первый взгляд могут несколько отличаться от привычных пленочных, поэтому нуждаются в обработке с использованием опций программного обеспечения. Наиболее качественным является тот снимок, который по визуальному восприятию наиболее близок к аналоговому, поэтому, даже несмотря на самые высокие технические характеристики визиографа, качество конечного изображения во многом зависит от возможностей программы и умения специалиста с ней работать.
Популярные методы лучевой диагностики
На сегодняшний день самым распространенным и востребованным в амбулаторной практике методом лучевого исследования является интраоральная радиография зубов, или внутриротовой снимок зуба. Иногда внутриротовые снимки зубов называют прицельными, что неправильно. Прицельным называется снимок, выполненный вне стандартной укладки, а стандартизированные исследования именуются соответственно методу позиционирования.
На терапевтическом приеме в процессе эндодонтического лечения должно быть сделано не менее трех внутриротовых снимков каждого исследуемого зуба:
- диагностический снимок необходим для оценки состояния тканей периодонта на момент обследования, постановки диагноза, определения количества и формы корней, направления каналов, выбора тактики лечения.
- измерительный снимок — снимок зуба на этапе лечения с введенными в каналы эндодонтическими инструментами с фиксированной стоппером длиной рабочей части или верификаторами после инструментальной обработки каналов. Если ортогональная проекция выполнена корректно, при условии точной калибровки программы визиографа и отсутствии проекционного искажения для резцов и премоляров некоторые измерения могут быть проведены по диагностической радиограмме. Для многокорневых зубов предпочтительно измерение длины каналов с помощью эндодонтических инструментов (рис. 1) , апекслокатора или по трехмерному снимку.
- контрольный снимок делается непосредственно после окончания эндодонтического лечения с целью определить, насколько качественно запломбированы корневые каналы, а также через определенное заданное время, дабы удостовериться в отсутствии или выявить наличие осложнений (рис. 2) . При исследовании многокорневых зубов и в случаях, когда имеется дополнительный канал, на снимке, выполненном с орторадиальным направлением луча (прямая проекция), корневые каналы часто накладываются друг на друга, что значительно затрудняет диагностику и может привести к ошибке в процессе лечения. Для получения раздельного изображения корневых каналов используется радиография с косым (эксцентрическим) направлением центрального луча (рис. 1) . Применительно к каждому конкретному случаю выбирается мезиальный или дистальный наклон (ангуляция) тубуса в горизонтальной плоскости (подробнее см.: Рогацкин Д. В., Гинали Н. В. Искусство рентгенографии зубов, 2007).
В идеале максимум информации о топографии корней и состоянии тканей периодонта может быть получен при проведении полипозиционной радиографии. В данном случае с диагностической целью делается три снимка — один в прямой, с орторадиальным направлением луча, и два в косой проекции — с дистально-эксцентрическим (рис. 1) и мезиально-эксцентрическим направлением луча (соответственно, прямая, задняя косая и передняя косая проекции).
Важнейшими аспектами успешной внутриротовой радиографии являются стандартизация и последовательная коррекция манипуляций. Под стандартизацией манипуляций подразумевается способность специалиста, проводящего лучевое исследование, выбрать оптимальный для каждого случая метод и сделать серию идентичных снимков вне зависимости от положения, состояния пациента и времени, отделяющего одно исследование от другого. То есть, если диагностический или измерительный снимок признан качественным, каждый последующий уточняющий и контрольный должны быть сделаны с теми же пространственными и техническими установками и каждое последующее изображение должно быть идентично предыдущему (рис. 1, 2) .
Рис. 1. Диагностический и измерительный снимки зуба 36, выполненные в прямой (а) и дистально-эксцентрической проекции (б). 36 — хронический апикальный периодонтит (К04.5) с характерными изменениями на мезиальном корне.
Рис. 2. Контрольный снимок непосредственно после лечения зубов 21, 22 (хронический периапикальный абсцесс в состоянии нагноения) (а) и отсроченный контрольный снимок через 5 месяцев после пломбирования канала (б), состояние репарации на этапе лечения.
Описание внутриротовых снимков
Во всем мире производством и описанием внутриротовых снимков зубов занимаются непосредственно сами врачи-стоматологи, поэтому каждый квалифицированный специалист обязан не только владеть основами техники позиционирования, но и знать алгоритм описания интраоральной радиограммы зуба (ИРЗ, IO dental radiograf). К сожалению, практикующие врачи не всегда логично интерпретируют изображение и используют некорректные обозначения. Например, такое расхожее выражение, как «разрежение костной ткани с четкими границами», уже содержит в себе три ошибки.
Во-первых, термин «разрежение», или рарефикация (от rare — редкий), подразумевает снижение плотности ткани за счет уменьшения количества твердой составляющей (декальцинации), но без разрушения основной структуры костной ткани. В классическом варианте рарефикация — это признак или характеристика остеопороза. В процессе развития, например, радикулярной кисты, да и в любых других периапикальных процессах кость в периапексе не сохраняется, она полностью разрушается, и, таким образом, термин «разрежение» абсолютно неверно характеризует имеющийся в периапексе патологический процесс.
Во-вторых, для описания формы двухмерной фигуры на рисунке следует использовать определение «контур», а не «граница». В-третьих, квалифицированное чтение снимка состоит из трех этапов — констатации, интерпретации и заключения. Под констатацией подразумевается фактическое описание двухмерного рисунка в режиме негативного изображения, полученного при исследовании. Интерпретация — это сопоставление полученных графических данных с клиническим опытом специалиста, на основе чего делается заключение, то есть ставится радиологический диагноз. Таким образом, определение «разрежение костной ткани с четкими контурами» подразумевает констатацию визуального обнаружения очага радиопросветления (радиолюценции) с четким контуром, что клинически соответствует деструкции костной ткани при наличии апикальной гранулемы или радикулярной кисты. Точно так же некорректным, например, является использование в описании определения «периодонтальная щель», поскольку такого анатомического образования не существует. Правильное название видимой на снимке структуры, окружающей корень, — пространство периодонтальной связки (periodontal ligamentum).
Кроме того, стоматологи традиционно «видят» только зону деструкции и совершенно не обращают внимания на зону интоксикации, представленную перифокальным остеосклерозом. Данный элемент изображения, представленный зоной уплотнения костной ткани по краю деструкции, указывает на наличие хронической интоксикации и очерчивает истинную протяженность патологического очага (рис. 3) . Перифокальный остеосклероз соответствует состоянию хронического абсцедирования и не встречается в случае наличия стерильных деструктивных процессов (доброкачественные опухоли, кисты различного генеза (рис. 4) , апикальных гранулем вне состояния нагноения (экзацербации).
Рис. 3. Внутриротовой снимок зуба 24, хронический периапикальный абсцесс (К04.6), визуально определяется зона деструкции костной ткани с характерным перифокальным склерозом.
Рис. 4. Внутриротовой снимок зуба 44, радикулярная киста (К04.7), воспалительная ремоделяция перифокальной костной ткани отсутствует (пояснение в тексте).
Подобных нюансов существует еще много, но если обобщить все вышесказанное и учесть определенные традиции описания снимка зуба, в качестве схемы можно рекомендовать следующие алгоритмы.
1. Пульпит.
1.1. На внутриротовом периапикальном снимке (как вариант, ИРЗ, интраоральная радиограмма зуба) зуба N патологические изменения костной ткани в области верхушки корня визуально не определяются (вариант: видимых патологических изменений нет).
1.2. Определяется расширение пространства периодонтальной связки в периапикальной области.
1.3. Расширение пространства периодонтальной связки с фрагментарной деструкцией (ремоделяцией, деформацией), замыкающей пластинки стенки альвеолы
в периапикальной области.
1.2.1. Тень пломбировочного материала в канале не прослеживается.
2. Острый и хронический апикальный периодонтит (К04.4; К04.5).
2.1. На внутриротовом периапикальном снимке зуба N патологические изменения костной ткани в области верхушки корня визуально не определяются.
2.2 . Определяется расширение пространства периодонтальной связки в периапикальной области.
2.3 . Расширение пространства периодонтальной связки на всем протяжении.
2.4 . Расширение пространства периодонтальной связки на всем протяжении, деструкция твердой пластинки альвеолы (lamina dura) в периапикальной области.
2.5. В периапикальной области определяется усиление плотности костного рисунка в виде перифокального остеосклероза без четких контуров, клинически соответствующее состоянию после эндодонтического лечения с остаточной интоксикацией.
2.6.1. В периапикальной области визуально определяется тень, соответствующая по плотности и конфигурации пломбировочному материалу.
2.6.2. Тень пломбировочного материала определяется в виде нескольких фрагментов (конгломерата), располагающихся в непосредственной близости к апексу (на удалении N мм).
2.6.3. Определяется в виде непрерывной линейной структуры, соответствующей по плотности и конфигурации фрагменту гуттаперчевого штифта (протяженность указывается).
2.7.1. Тень пломбировочного материала в канале не прослеживается.
2.7.2. Прослеживается на всем протяжении.
2.7.3. Прослеживается фрагментарно, радиологически апекс обтурирован.
2.7.4. Прослеживается фрагментарно, располагается пристеночно, тень пломбировочного материала неоднородна (другое), апекс не обтурирован.
2.7.5. Прослеживается от устья на протяжении ½ длины корня, просвет корневого канала в апикальной части корня визуально не определяется (не прослеживается).
2.7.6. Просвет корневого канала не прослеживается на всем протяжении корня.
2.7.7. В области средней трети корня визуально определяется тень металлической плотности, по конфигурации соответствующая фрагменту эндодонтического инструмента (каналонаполнитель? другое, протяженность фрагмента указывается).
3. Периапикальный абсцесс (К04.6-7), апикальная гранулема, радикулярная киста (К04.8).
3.1. В области верхушки корня визуально определяется деструкция (рациолюценция, радиопросветление) костной ткани без четких контуров, в виде участка сниженной плотности, с частичным сохранением характерного костного рисунка (протяженность указывается).
3.2.1. Определяется радиопросветление, соответствующее деструкции костной ткани, распространяющейся (например) от средней трети дистальной поверхности корня N на область межальвеолярной перегородки.
3.2.2. В области (например) средней трети корня определяется линейное снижение плотности рисунка с поперечной протяженностью, клинически соответствующее нарушению целостности твердых тканей корня (фрактура) без смещения фрагментов.
3.3. В области верхушки корня визуально определяется радиопросветление, соответствующее деструкции костной ткани, с четкими контурами округлой формы (протяженность указывается).
3.4. Очаг деструкции костной ткани с четкими контурами округлой формы (протяженность указывается), по контуру очага на всем протяжении определяется усиление плотности костного рисунка окружающей ткани в виде перифокального остеосклероза без четких контуров.
3.5. В просвете очага деструкции определяется тень, соответствующая по плотности и конфигурации фрагменту пломбировочного материала (гуттаперчевого штифта, фрагмента эндодонтического инструмента).
3.6. С четкими контурами округлой формы, с тенденцией распространения процесса в сторону периапикальной области такого-то зуба (указывается соседний зуб).
3.7. Распространяющееся на область межкорневой перегородки.
3.8. Визуально определяемая область просветления (деструкции) костной ткани частично (в полном объеме) проецируется на область альвеолярной бухты верхнечелюстного синуса (нижнечелюстного канала, грушевидного отверстия, другое).
3.9. Кортикальная пластинка нижней стенки верхнечелюстного синуса в области проекции радиопросветления сохранена на всем протяжении (прослеживается фрагментарно, не прослеживается).
3.10. Кортикальная пластинка нижней стенки верхнечелюстного синуса в области проекции деструкции сохранена на всем протяжении, отмечается изменение ее конфигурации и усиление плотности рисунка окружающих тканей, определяющееся как образование округлой формы, выступающее в просвет синуса.
Сведения об авторе
Рогацкин Дмитрий Васильевич, врач-рентгенолог ООО «Ортос», Россия, г. Смоленск
Rogatskin D. V., radiologist, LLC Ortos, Russia, Smolensk
Аннотация. Лучевая диагностика в стоматологии является одним из основных и наиболее востребованных методов исследования. В статье описываются популярные методы лучевой диагностики, приводится описание внутриротовых снимков а так же алгоритмов при конкретных клинических ситуациях.
Algorithm for intraoral radiation research and description of dental images
Annotation. Radiation diagnostics in dentistry is one of the main and most popular research methods. The article describes the popular methods of radiation diagnostics, provides a description of intraoral images as well as algorithms in specific clinical situations.
Ключевые слова: лучевая диагностика; радиовизиография; внутриротовой снимок.
Key words: radiation diagnostics; radiovisiography; intraoral image.
Рентген нижней и верхней челюсти взрослого человека: особенности, что показывает
Рентгенологическое исследование верхней и нижней челюсти

Рентгенологическое исследование - один из самых информативных и быстрых методов оценки состояния костной ткани верхних и нижних челюстей. Это неинвазивная процедура, которая не доставляет пациенту боли или дискомфорта. Рентген сегодня доступен - пройти его можно практически в любой поликлинике или больнице.
Когда делают рентген челюсти?
Точно сказать пациенту, нужно и можно ли ему делать рентген челюстей, должен его лечащий врач. Общими показаниями к такой диагностической процедуре являются:
- Подозрение на аномалии развития челюстей (в детском или взрослом возрасте). Это могут быть врожденные расщелины твердого/мягкого неба, нарушение роста и правильного развития, неправильный прикус.
- Подозрение на инфекционно-воспалительные и специфические патологии. К таким относят остеомиелит, периостит, сифилис, актиномикоз, туберкулез или некроз кости челюсти.
- Для выявления различных приобретенных дефектов, полученных в результате травмы или удаления онкологических образований.
- Подозрение на наличие ложного сустава.
- Подозрение на доброкачественное или злокачественное новообразование.
Что можно увидеть на снимках?
На рентгенологических снимках верхних и нижних челюстей можно увидеть следующее:
- дефекты - трещины, переломы, наличие или отсутствие костных осколков;
- патологические изменения костной ткани - очаги разрежения ткани, уплотнения, утолщения или истончения кортикальной пластинки;
- участки некроза - секвестры;
- склеротический процесс;
- различные периостальные наслоения, остеофиты (костные наросты);
- опухолеподобные новообразования.
Подготовка к процедуре
Рентген челюстей - процедура, не требующая специальной подготовки. Нужно будет только снять с себя все украшения, зубной протез (если это возможно и если он имеется).
Как выполняется процедура?
Рентген челюсти взрослого человека или ребенка - процедура несложная в исполнении. Делать её могут в разных проекциях, чтобы потом лучше рассмотреть строение костной ткани и точно поставить диагноз.
Рентген нижней челюсти
Чтобы получить общую информацию о состоянии нижней челюсти, выполняется рентген-снимок в прямой проекции. Он позволяет проводить первичную диагностику воспалительных, онкологических и травматических заболеваний. Пациента укладывают следующим образом: лежа на животе, лицом книзу, опираясь кончиком носа и лбом о кассету. Датчик рентгеновского аппарата устанавливается у затылочного бугра.
Снимок нижней челюсти в боковой проекции выполняют для оценки состояния тела, ветви и зубов нужной стороны. Пациент ложится на бок, щекой на кассету, расположенную под небольшим наклоном.
Для диагностики заболеваний нижней челюсти выполняются снимки и в аксиальной проекции. Пациент занимает позу лёжа на животе, максимально вытягивая голову подбородком вперед. К кассете при этом он прижимается передней поверхностью шеи и нижней челюстью.
Рентген верхней челюсти
Для оценки состояния костной ткани верхней челюсти и подбородочной области нижней челюсти выполняется носоподбородочная укладка. Для этого пациент ложится на живот, лицом книзу, опираясь кончиком носа и подбородком о кассету. Датчик устанавливается перпендикулярно кассете, делается 2 снимка - с открытым и закрытым ртом.
Панорамный снимок челюсти
Панорамный рентген-снимок, или ортопантомограмма, отображает полностью верхнюю и нижнюю челюсти в прямой проекции. На таком снимке можно увидеть практически все анатомические особенности зубочелюстной системы пациента, всевозможные новообразования, дефекты, переломы корней зубов и так далее. Ортопантомограмма позволяет выявить следующие патологии:
- поражение кариесом зубного корня;
- скрытые кариозные полости;
- кисты, гранулемы, опухоли;
- патологические изменения корней и околокорневого пространства.
Расшифровка результатов

Расшифровывает снимки рентгена челюсти взрослого человека обычно врач-рентгенолог. Также к этой работе могут привлекаться и другие специалисты: стоматолог, лицевой хирург, отоларинголог. Конкретные патологии верхней и нижней челюстей имеют определённые рентгенологические особенности:
Противопоказания
Рентгенография верхней и нижней челюсти противопоказана:
- Женщинам во время беременности. Отдельные виды рентгена, например цифровой, разрешают делать беременным женщинам только во втором триместре.
- Пациентам, у которых отмечается открытое кровотечение, например из дёсен.
- Пациентам в тяжелом состоянии.
Как часто можно делать рентген челюсти?
Чтобы ответить на вопрос о периодичности выполнения рентгенографии челюстей, нужно обратиться к нормативным документам, а именно к положениям СанПиНа. Там указано, что максимально допустимая доза облучения не должна превышать 150 мЗв в год. В переводе на более понятный язык, это примерно 500 снимков в год на радиовизиографе, 50 - на современном аппарате для внутриротовой рентгенографии или 80 цифровых ортопантомограмм.

Наши медицинские центры
- Взрослое отделение
- Диагностика
- Консультации
- Центр лечения боли
- Центр здоровья сердца
- Центр здоровья женщины
- Центр эндокринологии
- Детское отделение
- Массаж
- Нефрология
- Оториноларингология
- Офтальмология
- Эндокринология
Запись по ОМС на МРТ и КТ
Включить версию для слабовидящих?
Настоящим я даю своё согласие ООО «Диагностический центр «Энерго» (далее - Общество) (ИНН: 7810812758, юридический адрес - 196084, город Санкт-Петербург, ул. Киевская, д. 5 к. 4, помещ. 20-н), далее - «Оператор», и третьим лицам, осуществляющим обработку моих персональных данных по поручению Оператора, на обработку указанных сведений обо мне, в целях содействия в трудоустройстве.
Я соглашаюсь на сбор, запись, систематизацию, накопление, хранение, уточнение (обновление, изменение), извлечение, использование, передачу (предоставление, доступ), блокирование, удаление, уничтожение моих персональных данных, а также на осуществление любых других действий, предусмотренных действующим законодательством Российской Федерации, совершаемых с использованием средств автоматизации или без использования таких средств.
Настоящее согласие дано мною лично и добровольно. Настоящее согласие действует до момента его отзыва при отсутствии у Оператора других законных оснований для обработки персональных данных и может быть отозвано мной в любой момент в письменной форме путем направления уведомления Оператору по адресу, указанному выше.
Мы используем cookie-файлы, IP-адреса и данные об устройствах для аналитики, чтобы Ваше посещение сайта было удобным и персонализированным. Вы можете отключить cookie-файлы в настройках вашего браузера. Продолжая пользоваться нашим сайтом, Вы даете согласие на обработку перечисленных данных и принимаете условия Политики обработки и обеспечения безопасности ПДн.
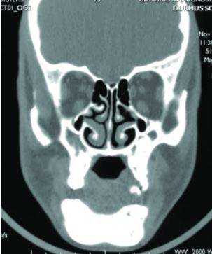
КТ челюсти

Компьютерная томография (КТ) челюсти - современный метод неинвазивной диагностики. Данная процедура проходит с помощью специального аппарата, который называется томограф, а также компьютерного оборудования, подключенного к устройству. Диагностика часто используется стоматологами, отоларингологами и челюстно-лицевыми хирургами.
Что такое КТ челюсти и что оно показывает
Компьютерный томограф представляет собой кольцо, через которое проезжает стол с лежащим на нем пациентом, когда делается серия последовательных снимков.
Компьютерная томография показывает все необходимые структуры:
тело и все четыре отростка верхней челюсти;
тело и ветви нижней челюсти;
прилегающие костные и полостные структуры - гайморовы пазухи, кости носа.

Вариант нормы на КТ челюсти
Мягкие ткани способны пропускать рентгеновские лучи, и на снимке они отображаются серыми оттенками. Плотные ткани, напротив, поглощают лучи, и на томограмме имеют белый цвет.
Интенсивность затемнения отдельных областей является основным диагностическим показателем, анализируя который, доктор сможет определить наличие или отсутствие патологий в вашем организме.
Показания к КТ челюсти
Компьютерная томография челюсти показывает состояние данного участка, и дает возможность определить патологические нарушения.
Диагностика этой области проводится:
при подготовке к трудным стоматологическим операциям (протезирование, установка имплантов), точный анализ строения челюстной кости дает возможность хирургу получить полное представление об анатомических особенностях пациента и выбрать подходящую тактику лечения, а также в процессе хирургического вмешательства предотвратить нежелательные осложнения;
при подозрении на новообразования (доброкачественные или злокачественные опухоли, а также кисты);
при аномалии развития костной системы области челюсти;
при воспалениях и гнойных заболеваниях;
при переломах и травмах лицевой части черепа.
КТ челюсти и гайморовых пазух
Иногда пациент обращается к стоматологу из-за проблем с зубами, а врач назначает КТ челюсти и гайморовых пазух. Не переживайте, это не попытка навязать дополнительные обследования - часто без сканирования смежных зон просто не обойтись.
Заболевания челюсти и гайморовых (верхнечелюстных) пазух связаны с особенностями их морфологического строения. Корни зубов моляров, а иногда и премоляров (4,5,6,7 и зубы мудрости) проникают в дно пазухи. Поэтому, при возникновении проблем с зубами, это сказывается на состоянии околоносовых пазух.

КТ челюсти и придаточных пазух
То есть ЛОР-заболевания могут быть тесно связаны со стоматологическими проблемами. И иногда требуется консультация двух специалистов: и стоматолога, и оториноларинголога.
Вследствие осложнений стоматологического лечения в пазухе носа могут быть инородные тела, остатки зубов, пломбировочный материал. Если такая неприятность возникла, то не обойтись без КТ, как челюсти, так и гайморовых пазух. Потребуется комплексная терапия - одновременное лечение и зубов, и синусов. В этой ситуации КТ дает панорамную картину, позволяет оценить масштабы проблемы и позволяет специалисту составить правильное лечение.
Отличие КТ челюсти от рентгена
Разница между этими методами инструментальной диагностики довольна большая. Бывают моменты, когда их отличия играют решающую роль в постановке корректного диагноза.
Полученный результат рентген-снимка оценивают исключительно в одной плоскости, что не дает развернутой картины происходящего. Костные образования могут заходить друг за друга, и рентгенолог не всегда может четко отличить накладывающиеся изображения.
КТ, напротив, дает объемную трехмерную модель органа, верхнюю и нижнюю челюсть можно оценить сразу в нескольких проекциях и посмотреть даже внутреннюю структуру костей.

Рентгеновский снимок челюсти
низкая стоимость процедуры - исследование часто можно сделать бесплатно в рамках программы ОМС;
широкая доступность - рентген выполняется практически в любой поликлинике;
легкость в исполнении - не требуется переквалификация специалистов, достаточно базового образования в области лучевой диагностики;
С компьютерной томографией челюсти все немного сложнее. Цены на эту услугу традиционно выше, что связано с большей сложностью оборудования и высокой квалификацией медицинского персонала. Относительно большая стоимость компенсируется информативностью диагностики - строение челюстей можно оценить со всех сторон, нет наложения и смазанности контуров, характерных для рентгенографии.
В медицинском центре “Магнит” в Санкт-Петербурге цены на КТ челюсти одни из самых лояльных в Санкт-Петербурге благодаря периодическому проведению акций на диагностику.
Противопоказания к КТ челюсти
Существует ряд противопоказаний, при которых не рекомендуется проводить процедуру.
К ним относятся:
вес более 150 кг или обхват более 150 см (аппарат рассчитан на нагрузку до 150 кг);
беременность (повышается риск развития пороков у плода);
период лактации (во время процедуры лучи непосредственно могут влиять на состав молока кормящей женщины);
тяжелые психические заболевания (во время процедуры человек должен находиться в состоянии покоя);
присутствие в зоне интереса металлических предметов, поскольку они могут понизить информативность результатов;
Проведение КТ челюсти в СПб
Компьютерная томография может проводиться двумя способами:
с использованием контрастного вещества;
без использования контрастного вещества.
В случае применения первого способа, перечень противопоказаний увеличивается:
заболевания мочевыделительной системы (почечная недостаточность) с повышением уровня креатинина - так как контраст выделяется почками, существует возможность возникновения тяжелых осложнений во время его выведения из организма;
сахарный диабет при приеме пероральных сахароснижающих препаратов (необходима консультация у лечащего врача-эндокринолога с коррекцией терапии перед проведением процедуры);
аллергия на йод, индивидуальная непереносимость;
Кормящим женщинам нужно помнить, что после контраста не следует сразу кормить грудью, надо сцеживать молоко не менее чем два кормления подряд, и подождать пока препарат полностью выделится из организма, чтоб не причинить вред ребенку.

Компьютерный томограф Сименс
С какой целью используют контрастное вещество
Контрастное вещество используют с целью улучшения расшифровки результатов. Препарат является непроницаемым для рентгеновского излучения: он помогает четче визуализировать структуру внутренних органов, тканей и патологических образований. Специальной подготовки перед проведением исследования нет.
При исследовании верхней и нижней челюсти, пациент должен находиться в неподвижном, расслабленном состоянии, в горизонтальном положении все время, сколько идет сканирование. Для того, чтобы предотвратить облучения других частей тела, его укрывают свинцовым халатом. Процедура безболезненная, длится совсем недолго (вместе с подготовкой около 10-15 минут). Пациент не чувствует никакого дискомфорта.
Томограф подключен к компьютеру, который считывает с него информацию. Последняя автоматически сохраняется в базу данных, и если произошла потеря бумажного экземпляра, ее с легкостью можно восстановить.
Результаты КТ
Результаты исследования расшифрует врач-рентгенолог, проводивший компьютерную томографию, а назначает лечение ваш лечащий доктор, который дал направление на процедуру.
После обследования пациент получает заключение врача-рентгенолога, а также CD-диск с записью всей процедуры и программой для его чтения.
Рентген, МРТ или КТ челюсти - отличия исследований

Для обследования челюсти в арсенале врачей есть ряд аппаратных форм диагностики:
Каждый из видов обследования имеет свои преимущества, сильные и слабые стороны. В этой статье мы более детально разберем вопрос, что и когда лучше выбирать - МРТ, КТ или рентген челюсти.
Основное отличие рентгена, МРТ и КТ верхней и нижней челюсти заключается в способе получения изображения. КТ исследование и рентген - это рентгенологические обследования. Физика получения изображения здесь строится на использовании способности Rg лучей с разной скоростью проходить и задерживаться в тканях разной плотности. В магнитно-резонансной томографии принцип визуализации основывается на явлении ядерного магнитного резонанса, когда атомы водорода в клетках тканей под воздействием электромагнитного поля начинают совершать колебательные движения. Этот резонанс улавливает компьютер томографа, оцифровывает и строит трехмерные изображения тканей.
Что входит в МСКТ челюсти
В стандартный протокол КТ челюсти входит обследование следующих структур:
КТ верхней челюсти
- адентия зуба
- лунка зуба
- альвеолярный отросток
- зубы
- шейка зуба
- периодонтальные щели
- парадонтальный карман
- слизистая оболочка
- правая верхнечелюстная пазуха
- жидкость в полости пазухи
- верхнечелюстная пазуха,
КТ нижней челюсти
- адентия зуба
- лунка зуба
- плотность кости
- альвеолярный отросток
- канал корня
- парадонтальный карман.
Что входит в МРТ височно-нижнечелюстного сустава
В стандартный протокол МРТ височно-нижнечелюстного сустава входит обследование следующих структур:
- головка мыщелкового отростка
- нижней челюсти
- височная кость
- суставная щель
- костный мозг
- суставной диск
- видимые отделы околоносовых синусов.
Отличия МРТ и КТ челюсти
КТ зубов и челюсти является приоритетной формой диагностики костей, поскольку в костных тканях рентгеновские лучи задерживаются в большем объеме. Если перед врачом стоит диагностическая задача оценить структуру зубов и челюсти, он выберет рентгенологические метод диагностики. КТ челюсти хорошо покажет травматические повреждения костей лица, остеонекроз, остеоартроз, остеоартрит, остеомиелит. МРТ челюсти фокусируется на качественной визуализации мягких тканей и состояния височно-нижнечелюстного сустава. С ее помощью можно хорошо оценить воспаления суставных тканей, дисфункции ВНЧС, новообразования. Поскольку в костных структурах содержится мало воды, добиться хорошего резонанса в них сложно, поэтому кости на МРТ снимках отображаются с наименьшей точностью.
Чем КТ челюсти лучше рентгена
КТ челюсти и рентген строят визуализацию на одном и том же принципе, однако точность обследования и уровень детализации на компьютерной томографии в разы выше, чем на рентгенограммах. В ходе рентгена челюсти аппарат посылает пучки рентгеновского излучения из одной точки. В результате есть возможность создать двухмерные изображения, на которых органы и структур накладываются друг на друга. Это снижает диагностическую точность исследования. В компьютерном томографе рентгеновские лучи посылаются несколькими излучателями, которые движутся по периметру кольца гентри. За счет такого конструктивного решения есть возможность получить множественные снимки исследуемых сегментов под разными ракурсами и на базе них выстроить детальную трехмерную объемную реконструкцию.
Когда назначают панорамное 3d КТ челюсти
Иногда пациент может запутаться в различиях в ряде рентгенологических обследований, которые назначают в стоматологии:
- панорамный снимки зубов;
- КТ зубов;
- 3d КТ обеих челюстей.
Панорамный снимок зубов или ортопантомограмма - это рентгенологическое обследование. С ее помощью врачи получают двухмерные изображения корней зубов. Данный вид диагностики чаще всего применяют при лечении сложных кариесов, протезировании, планировании имплантации.
КТ 3D снимок зубов выполняется на специальном аппарате, называемом конусно-лучевым компьютерным томографом. Конусно-лучевой компьютерный томограф (КЛКТ) представляет собой один из видов КТ оборудования, при котором выполняются множественные послойные снимки низкодозированным рентгеновским облучением в различных плоскостях. Преимущество 3D снимка зубов в получении изображения без искажений, а так же возможности детализированного просмотра зубов со всех сторон в трехмерной проекции.
КТ челюсти - это обследование на мультиспиральном компьютерном томографе (МСКТ). Задача этого сканирования в отображении состояния верхней и нижней челюсти, зубов, гайморовых пазух, челюстных суставов и прилегающих мягких тканей.
панорамный снимок зубов
Как делают КТ челюсти
КТ челюсти обычно проводят по направлению врача стоматолога, хирурга или ортопеда-травматолога. В клиниках ее могут осуществлять по следующим протоколам:
- КТ двух челюстей
- КТ верхней челюсти
- КТ нижней челюсти
- КТ челюсти с контрастом
Сделать данное обследование можно как взрослым, так и детям. Поскольку компьютерная томография сопряжена с лучевой нагрузкой, ее стараются не осуществлять детям до 3 лет. В более старшем возрасте ребенку это исследование проводят только при наличии направления от лечащего врача и не чаще одно раза в год. Взрослым пациентам компьютерное сканирование можно сделать как по личной инициативе, так и по направлению врача. Не осуществляют КТ только при беременности. Из-за лучевого облучения КТ во время вынашивания младенца опасно делать на любом сроке. Облучение вредно для здоровья малыша, поскольку может вызывать необратимые мутации и стать причиной выкидыша или замершей беременности.
Лучевая нагрузка при КТ челюсти
Уровень лучевой нагрузки на организм пациента при КТ челюсти зависит от:
В большинстве медицинских центрах Санкт-Петербурга такое сканирование осуществляют на мультиспиральных компьютерных томографах со срезовой мощностью не менее 16 срезов. Средняя доза облучения составляет 1-3 мЗв за сеанс сканирования.

- Винерский П.М. Профилактика осложнений при лечении переломов нижней челюсти в области угла // Стоматология: Респ. сб. Киев, 1990.-Вып.25. - С.70-72.
- Григорьянц А. A. Патогенез, диагностика и лечение гнойно-воспалительных осложнений при сочетанной челюстно-лицевой и черепно-мозговой травме (клинико-иммунологические и иммуногенетические аспекты): Дис. д-ра мед. наук. М, 1992. - 48 с.
- Гюльназарова С.В., Казак Л.А., Машинская Т.М. // Травматология, ортопедия, протезирование. 1991. - № 9. - С.21 -23.
- Кокоткина А.С. Особенности клиники и лечения больных с переломами нижней челюсти при пародонтозе: Автореф. дис. канд. мед. наук. -М., 1969.
- Колмакова А.А. Наружный внеочаговый компрессионный остео-синтез при переломах нижней челюсти (Экспериментально-клиническое исследование): Дис. .д-ра мед. наук. Ростов-на Дону, 1970. - 401 с.
- Кравцова Г.Н. Лечение больных с переломами нижней челюсти, осложненными травматическим остеомиелитом: Автореф. дисс. . канд. мед. наук. Омск, 1993. - 19 с.
- Оноприенко Г.А. Васкуляризация костей при переломах и дефектах. М: Медицина, 1995. - 220 с.
- Рабухина Н.А. Рентгенодиагностика некоторых заболеваний зубо-челюстной системы. М.'Медицина, 1974. 280 с.
- Рентгенодиагностика заболеваний челюстно-лицевой области: Руководство для врачей / Под ред. Н.А. Рабухиной, Н.М. Чупрыниной. М.: Медицина, 1991. - 368 с.
- Чудаков О.П., Бармуцкая А.З. Лечение травматических переломов нижней челюсти, осложненных травматическими остеомиелитами // 1-й Белорусский междунар. конгр. хирургов. Витебск, 1996. - С. 127-129.
Информационные статьи о диагностике

КТ челюсти (альтернативное название КТ верхней и нижней челюсти, КТ челюсти и гайморовых пазух, КТ зубов и челюсти) - это рентгенологическое обследование. Делают КТ двух челюстей обычно с использованием современного мультиспирального томографа со срезовыми возможности 16 срезов и выше.

При подозрении на коронавирус могут назначить сделать КТ легких. Стоит сразу сказать, что КТ при COVID-19 проводится не в поточном порядке. Томографию целесообразно применять в ситуации, когда заболевание развивается с осложнениями в виде воспаления легких. Легкая форма коронавируса обычно проходит без признаков пневмонии, и делать компьютерную томографию при таком течении болезни не целесообразно.

КТ и МРТ височно-челюстного сустава дает возможность своевременно выявлять разнообразные патологии костей, зубов и суставных тканей этой части челюсти. К таким болезням относят: остеомиелит, гнойные поражения нижней челюсти, флюсы, артрозы, некрозы. Если у Вас стали возникать проблемы с закрытием рта, появился инородный звук при движении челюстью, есть неприятные ощущения в челюстных суставах, следует обратиться к челюстно-
Рентгенография височно-нижнечелюстного сустава
Рентген височно-нижнечелюстного сустава представляет собой один из наиболее распространенных методов диагностики, который позволяет выявить переломы и смещения костей, воспалительные и патологические процессы. Это исследование предельно точно показывает взаиморасположение костных тканей и само строение ВНЧС.
Эта методика используется несколько десятков лет, но ее актуальность сохраняется и по сей день. Основным преимуществом рентгенограммы является передача четкого изображения состояния твердых структур исследуемой области. Работа аппарата основывается на фиксации уровня ослабления радиоактивных лучей, проходящих через твердые и мягкие ткани.

Содержание
Показания к проведению процедуры
Не существует строгой симптоматики, при появлении которой нужно незамедлительно идти на рентген. Если же у пациента начинаются проблемы с функционированием соединительного сустава и нижней челюсти, то это уже является весомым поводом для обращения к врачу.
Рентгенография височно-нижнечелюстного сустава назначается в следующих случаях:
- После перенесенных повреждений и травм.
- Подагра.
- Вывихи и подвывихи.
- Болезнь Бехтерева.
- Определение причины неправильного прикуса.
- Переломы.
- В качестве подготовительного мероприятия перед зубным протезированием и предстоящей хирургической операцией.
Помимо этого, проведение диагностики целесообразно в том случае, если есть подозрения на артрит височно-челюстного сустава. Об этом говорит следующая симптоматика:
- Дискомфорт и боль при разговоре и пережевывании пищи.
- Повышенная температура тела, что свидетельствует о наличии воспалительного процесса.
- Отечность в области сустава.
Рентген ВНЧС также является действенным методом при диагностике артроза височно-нижнечелюстного сустава. Это заболевание характеризуется патологическими изменениями, сопровождающимися деформацией самого сустава и болевыми ощущениями разной интенсивности. Если ситуация запущена, то возможно нарушение слуховой функции у пациента.

Основные противопоказания
Рентгенография ВНЧС не должна проводиться чаще 1-2 раз в год. Объясняется это тем, что во время процедуры человек получает определенную дозу облучения, которая не представляет опасности для его здоровья, если не превышать периодичность обследований.
Если говорить о других противопоказаниях, то многие врачи сходятся во мнении, что рентген не следует проводить беременным и детям. В этих случаях, диагностика сводится к использованию МРТ. В любом случае, решение принимает лечащий врач, поэтому он оценивает вероятный вред для плода и целесообразность проведения процедуры.
Что показывает снимок ВНЧС?
Снимок ВНЧС - это черно-белое графическое изображение, которое позволяет определить ширину суставной щели, соотношение всей костей, образующих сустав, а также определить имеющиеся патологические процессы.
Для взрослых пациентов лучше всего проводить обзорный метод рентгенографии при помощи дентального аппарата. Чтобы получить наиболее достоверную информацию, исследование проводится с закрытой и открытой челюстью.
Снимок височно-нижнечелюстного сустава показывает следующие результаты:
- В стоматологии оценивается причина неправильного прикуса, выявляются зубно-челюстные аномалии, а также исследуется общее состояние перед предстоящим зубным протезированием.
- Диагностика отита, гнойного паротита и остеомиелита.
- Выявление вывихов, подвывихов и переломов.

Опасен ли рентген для здоровья человека?
Рентгенологические методы исследования ВНЧС предполагают определенную дозу облучения, поэтому есть ряд противопоказаний к проведению данной процедуры. Что касается опасности для состояния здоровья, то в ходе одной процедуры, получаемая доза R-лучей минимальна, поэтому никак не влияет на организм. К числу относительных противопоказаний относится лишь беременность и возраст до 14 лет, но и в этом случае проведение процедуры возможно, если есть одобрение врача.
Когда мы говорим о вреде рентгена, мы в первую очередь подразумеваем обследования на старых аппаратах. Современная же стоматология шагнула далеко вперед, а доза облучения от современных рентгеновских аппаратов идентична той, что получает человек при перелете на самолете.
Что лучше - рентген, КТ или МРТ?
Функциональная рентгенография височно-нижнечелюстного сустава по-прежнему является одним из наиболее часто проводимых методов обследования в стоматологии, несмотря на появление более информативных методов, вроде компьютерной томографии и МРТ.
Говорить о том, какой из этих методов лучше, не совсем корректно. Тот же МРТ лучше сканирует внутренние органы, но не так информативен в обследовании костных тканей. Рентген же лучше подходит именно для исследования костей, поэтому актуальность этого метода по-прежнему сохраняется на высоком уровне.
Где можно сделать рентген ВНЧС в Санкт-Петербурге?
Если вам необходима рентгенограмма височно-нижнечелюстного сустава, то вы можете воспользоваться услугами диагностического центра «ЛУЧ». Современное оборудование и высокий профессионализм наших сотрудников позволяет получать снимки высокого качества, которые позволяют лечащему врачу своевременно поставить диагноз и назначить схему лечения.
Для записи на прием вам нужно оставить онлайн-заявку, либо связаться с нами по телефонам, указанным на сайте. Для удобства наших клиентов, результаты могут быть пересланы по почте, либо записаны на цифровой носитель.
Читайте также:
