Рентгенограмма после операции по поводу травмы таза, тазобедренного сустава, бедра
Добавил пользователь Владимир З. Обновлено: 13.12.2025
Как показывают исследования, осложнения после эндопротезирования тазобедренного сустава развиваются у 1 % молодых людей и у 2,5 % пожилых пациентов. Несмотря на мизерную вероятность развития негативных последствий, они могут коснуться любого, а особенно тех, кто не соблюдал в строгости программу реабилитации.

Изображение положения эндопротеза в теле человека.
К осложнениям после эндопротезирования тазобедренных суставов приводят неправильный постоперационный уход и режим физической активности после выписки из стационара. Вторая причина это ошибки врача-хирурга. И третья, это неполноценное предоперационное обследование, в результате которого не были вылечены скрытые инфекции(гланды, цистит и т.д.) На успех лечения влияет квалификация медперсонала, где пациент получал высокотехнологичную медицинскую помощь - хирургическое и реабилитационное лечение.

Боль бывает разная, есть «хорошая» — после умеренных физических нагрузок. А есть «плохая», говорящая о проблемах которые нужно срочно диагностировать.
Статистика осложнений в процентах
Операция по установке протеза ТБС является единственным методом, который «ставит» пациента на ноги, избавляет от изнурительных болей и ограниченной трудоспособности, позволяет вернуться к здоровой физической активности. Неприятные патологические ситуации, связанные с имплантацией, возникают нечасто, о чем должен быть проинформирован пациент. Согласно проводимым рандомизированным контролируемым исследованиям, получены следующие данные:
- развивается примерно в 1,9 % случаев; - в 1,37 %;
- тромбоэмболия - в 0,3 %; возникает в 0,2 % случаев.
Они развиваются не по вине хирурга, а самого пациента, который не продолжил реабилитацию или не придерживался особенного физического режима уже по окончании восстановления. Ухудшение состояния происходит уже дома, когда нет того внимательного контроля со стороны врачей, что был в клинике.

Ни один специалист-ортопед даже с богатым и безупречным опытом работы, не может на 100 % предугадать, как поведет себя конкретный организм после таких сложных манипуляций на костно-мышечной системе, и дать пациенту полнейшую гарантию, что все пройдет гладко и без эксцессов.
Дифференцирование боли: норма или нет
Боли после эндопротезирования тазобедренного сустава будут наблюдаться в раннем периоде, ведь организм пережил серьезнейшую ортопедическую операцию. Болезненный синдром в течение первых 2-3 недель является естественной ответной реакцией организма на недавно перенесенную операционную травму, что не считается отклонением.
Пока операционная травма не заживет, мышечные структуры не придут в норму, пока кости вместе с эндопротезом не станут единым кинематическим звеном, человек будет испытывать какое-то время дискомфорт. Поэтому назначают хорошее обезболивающее средство, которое помогает и легче перенести раннюю болезненную симптоматику, и лучше сконцентрироваться на лечебно-реабилитационных занятиях.

Хорошо заживающий шов после операции. Он ровный, бледный и не имеет выделений.
Болевые ощущения должны быть дифференцированы и обследованы: что из них - норма, а что - реальная угроза. Это может сделать оперировавший хирург. Задача пациента - при любых некомфортных признаках оповещать врача-ортопеда.
Главные факторы риска
Хирургическое вмешательство, не исключает осложнения, причем серьезные. Особенно если были допущены ошибки в интра- и/или постоперационный период. Даже малые погрешности в ходе операции или в течение реабилитации увеличивают вероятность неудовлетворительной артропластики ТБС. Существуют еще факторы риска, которые повышают предрасположенность организма к послеоперационным последствиям и нередко становятся их причиной:
- преклонный возраст человека;
- тяжелое сопутствующее заболевание, например, сахарный диабет, артрит ревматоидной этиологии, псориаз, красная волчанка;
- любое предшествующее оперативное вмешательство на «родном» суставе, направленное на лечениедисплазий, переломов бедренной кости, коксартрозных деформаций (остеосинтез, остеотомия и пр.);
- реэндопротезирование, то есть повторная замена ТБС;
- локальные воспаления и гнойные очаги в анамнезе пациента.
Отметим, что после замены тазобедренных суставов осложнениям больше подвержены люди пожилых лет, а особенно те, кому за 60. У пожилых пациентов кроме основного заболевания, имеются сопутствующие патологии, которые могут усложнить течение реабилитации, например, снизить резистентность к инфекции. Имеются сниженный потенциал репаративно-восстановительных функций, слабость мышечно-связочной системы, остеопорозные признаки и лимфовенозная недостаточность нижних конечностей.

Пожилым людя сложнее восстанавливаться, но и это делается успешно.
Понятие и способы лечения последствий
Симптомы осложнения после эндопротезирования тазобедренного сустава для лучшего восприятия будут представлены ниже в таблице. Быстрое обращение к врачу при первых подозрительных признаках поможет избежать прогрессирования нежелательных явлений, а в отдельных ситуациях сохранить имплантат без ревизионной операции. Чем запущеннее станет клиническая картина, тем сложнее она будет поддаваться терапевтической коррекции.
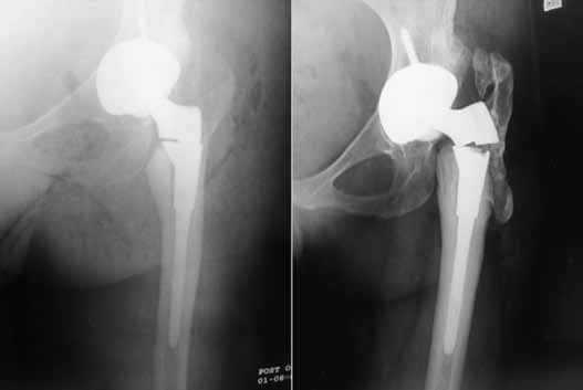
Вывихи и подвывихи эндопротеза
Негативный эксцесс возникает в первый год после протезирования. Это лидирующее по распространенности патологическое состояние, при котором происходит смещение компонента бедра по отношению к вертлужному элементу, вследствие чего наблюдается разобщение головки и чашки эндопротеза. Провокационный фактор - чрезмерные нагрузки, погрешности в подборе модели и установке имплантата (дефекты угла постановки), использование заднего хирургического доступа, травматизм.

Дислокация бедренного компонента на рентгене.
Парапротезная инфекция
Второе по частоте явление, характеризующееся активизацией тяжелых гнойно-воспалительных процессов в районе установленного имплантата. Инфекционные антигены заносятся интраоперационно через недостаточно стерильные хирургические инструменты (редко) или после вмешательства по кровеносному руслу перемещаются от любого проблемного органа, имеющего болезнетворно-микробную среду (часто). Плохая обработка раневой зоны или слабое заживление (при диабете) также способствует развитию и размножению бактерий.

Выделения из операционной раны это плохой сигнал.
Гнойный очаг пагубно воздействует на прочность фиксации эндопротеза, вызывая его расшатывание и нестабильность. Гноеродная микрофлора трудно поддается лечению и, как правило, предполагает снятие имплантата и проведение повторной установки спустя продолжительное время. Основный принцип лечения - тест на установление вида инфекции, долгая антибиотикотерапия, обильный лаваж раны антисептическими растворами.

Стрелками указаны зоны инфекционного воспаления, именно так они выглядят на рентгене.
Тромбоэмболия (ТЭЛА)
ТЭЛА - критическая закупорка ветвей или главного ствола легочной артерии оторвавшимся тромбом, который образовался после имплантации в глубоких венах нижней конечности из-за низкого кровообращения, ставшего следствием ограниченной подвижности ноги. Виновники тромбоза - отсутствие ранней реабилитации и необходимого медикаментозного лечения, длительное пребывание в обездвиженном состоянии.

С этим осложнением достаточно успешно работают на данном этапе развития медицины.
Перекрытие просвета легких опасно летальным исходом, поэтому больного немедленно госпитализируют в реанимационное отделение, где, учитывая тяжесть тромботического синдрома: введение тромболитиков и препаратов, уменьшающих свертываемость крови, НМС и ИВЛ, эмболэктомию и пр.
Перипротезный перелом
Это - нарушение целостности бедренной кости в зоне ножки при нестабильном и стабильном протезе, возникающее интраоперационно или в любой момент после операции (через несколько дней, месяцев или лет). Переломы чаще происходят по причине сниженной плотности костных тканей, но могут быть следствием некомпетентно произведенной разработки костного канала перед установкой искусственного сочленения, неверно выбранного способа фиксации. Терапия в зависимости от вида и тяжести повреждения заключается в использовании одного из методов остеосинтеза. Ножку, если на то заменяют на более подходящую по конфигурации.

Разрушение импланта происходит очень редко.
Невропатия седалищного нерва
Невропатический синдром - это поражение малоберцового нерва, входящего в структуру большого седалищного нерва, которое может быть спровоцировано удлинением ноги после протезирования, давлением образовавшейся гематомы на нервное образование, реже - интраоперационным повреждением вследствие неосторожных действий хирурга. Восстановление нерва выполняется посредством этиологического лечения оптимальным методом хирургии или при помощи физической реабилитации.

При работе неопытного хирурга есть риск травматизации бедренных нервов.
Симптоматика в таблице
Вывих (нарушение конгруэнтности) протеза
- Приступообразные боли, мышечные спазмы в ТБС, усиливающиеся при движениях;
- при статическом положении выраженность боли не такая интенсивная;
- вынужденное специфичное положение всей нижней конечности;
- со временем происходит укорочение ноги, появляется хромота.
Локальный инфекционный процесс
- Сильная боль, припухлость, покраснение и гипертермия мягких тканей над суставом, выделение экссудата из раны;
- повышение общей температуры тела, невозможность наступить на ногу из-за ощущения боли, нарушение двигательных функций;
- гнойное отделяемое из раны, вплоть до формирования свища, наблюдается в запущенных формах.
Тромбоз и ТЭЛА (тромбоэмболия)
- Венозный застой в больной конечности способен протекать бессимптомно, что может иметь непредсказуемый отрыв кровяного сгустка;
- при тромбозе в различной выраженности прослеживаются отек конечности, чувство распирания и тяжести, тянущие боли в ноге (усиливаются при нагрузке или изменении положения);
- ТЭЛА сопровождается отдышкой, общей слабостью, потерей сознания, а в критической фазе - посинением кожных покровов тела, удушьем, вплоть до смертельного исхода.
Перипротезный перелом кости
- Острый болевой приступ, быстро нарастающий местный отек, покраснение кожных покровов;
- хруст при ходьбе или прощупывании проблемного участка;
- сильные боли при движении с осевой нагрузкой, болезненность мягких структур при пальпации;
- деформация ноги и сглаженность анатомических ориентиров ТБС;
- невозможность активных движений.
Невропатия малого берцового нерва
- онемение конечности в районе бедра или стопы;
- слабость голеностопного отдела (синдром свисающей стопы);
- угнетение двигательной активности стопы и пальцев прооперированной ноги;
- характер, интенсивность и дислокация болей могут быть непостоянными.
Профилактические меры
Осложнения после протезирования тазобедренного сустава гораздо легче предупредить, чем потом заниматься трудоемким и продолжительным лечением, чтобы от них избавиться. Неудовлетворительное развитие ситуации может свести к нулю все старания хирурга. Терапия не всегда дает положительный эффект и ожидаемый результат, поэтому в ведущих клиниках предусмотрена комплексная периоперативная программа профилактики всех существующих последствий.

Инфекции лечатся антибиотиками, что само по себе достаточно вредно для организма.
На предоперационном этапе выполняется диагностика на предмет инфекций в организме, заболеваний внутренних органов, аллергии и пр. При обнаружении воспалительных и инфекционных процессов, хронических болезней в стадии декомпенсации операционные мероприятия не начнутся до тех пор, пока выявленные очаги инфекций не будут вылечены, венозно-сосудистые проблемы не сократят до допустимого уровня, а другие недуги не приведут в состояние стабильной ремиссии.

В настоящее время практически все импланты изготавливаются из гипоаллергенных материалов.
Если имеется предрасположенность к аллергическим реакциям, этот факт исследуется и берется во внимание, так как от него зависит выбор медикаментов, материалов эндопротеза и вида анестезии. На оценке состояния здоровья внутренних органов и систем, возрастных критериев и веса строится весь хирургический процесс и дальнейшая реабилитация. Чтобы минимизировать до предела риски осложнений после протезирования тазобедренных суставов, профилактику проводят до и в момент процедуры, после операции, включая отдаленный период. Комплексный профилактический подход:
- медикаментозная элиминация инфекционного источника, полная компенсация хронических недугов;
- назначение за 12 часов определенных доз низкомолекулярных гепаринов для предупреждения тромботических явлений, противотромбозная терапия продолжает осуществляться еще некоторый срок после хирургии;
- применение за пару часов до предстоящей замены ТБС и на протяжении нескольких дней антибиотиков широкого спектра действия, активных в отношении обширной группы болезнетворных микроорганизмов;
- безупречное в техническом плане проведение оперативного вмешательства, при этом с минимальной травматичностью, не допуская значительных кровопотерь и появления гематом;
- подбор идеальной протезной конструкции, которая полностью совпадает с анатомическими параметрами настоящего костного соединения, в том числе корректная ее фиксация под правильным углом ориентации, что в будущем гарантирует стабильность имплантата, его целостность и отличную функциональность;
- ранняя активизация подопечного с целью недопущения застойных процессов в ноге, атрофии мышц и контрактур, включение с первых суток занятий ЛФК и процедур физиотерапии (электромиостимуляция, магнитотерапия и пр.), дыхательной гимнастики, а также качественный уход за операционной раной;
- информирование больного обо всех возможных осложнениях, разрешенных и недопустимых видах физической активности, мерах осторожности и необходимости регулярно выполнять упражнения лечебной физкультуры.

Огромную роль в успешном лечении играет коммуникация пациента с медицинским персоналом. Именно это называется сервисом, ведь когда пациента полноценно инструктируют, то он лучше воспринимает процессы происходящие с его организмом.
Пациент должен осознавать, что не только от степени профессионализма докторов зависит итог операции и успешность восстановления, но и себя самого. После протезирования тазобедренного сустава обойти стороной нежелательные осложнения реально, но исключительно при безукоризненном соблюдении рекомендаций специалистов.
Асептический некроз тазобедренного сустава: симптомы, диагностика, лечение и последствия
Тазобедренный сустав - один из самых важных в опорно-двигательной системе. Удерживая вес всего тела, сустав выдерживает огромные перегрузки.

Так выглядит заболевание.
Он представлен шаровидной формой и позволяет использовать все оси движения: аддукцию и абдукцию (сагиттальная ось), сгибание и разгибание (фронтальная ось), пронацию и супинацию (вертикальная ось). Из-за своей подвижности сустав часто повреждается.
Строение тазобедренного сустава
Одним из наиболее опасных повреждений является аваскулярный некроз головки бедренной кости (АНГБК). Он представляет собой следствие грубого нарушения локальной микроциркуляции с развитием ишемии и некротизацией компонентов костного мозга головки бедренной кости. ДДИ становятся следствием перенесенных операций на тазобедренном суставе, травм в анамнезе, перенесенного остеомиелита бедренной кости, развитием эпифизарной и/или спондилоэпифизарной дисплазии.
Перечислим несколько причин расстройства сосудистого русла, ведущих к некрозу:
- повторные инфаркты на фоне тромбоза артерий;
- длительная недостаточность артериального кровоснабжения сустава;
- венозный стаз;
- сочетанное нарушение артериально-венозной сети.
В качестве факторов, провоцирующих такую ситуацию, указываются: врожденная гипоплазия сосудов тазобедренного сустава, нарушение нейрогуморальных механизмов регуляции, недостаточная васкуляризация головки бедра, связанная с анатомической и функциональной незрелостью сосудистой сети.

Кровоснабжение тазобедренного сустава
Нарушение питания костных компонентов тазобедренного сустава — распространения причина появления некротических изменений.
Симптомы и отличия от коксартроза
Симптоматика АНГБК определяется этапностью патологии. Начало отмечается бессимптомностью или незначительными болями без видимой причины. При этом сохраняется нормальный объем движения в суставе, болевые ощущения отмечаются при ротации бедра внутрь.
Прогрессирование болезни выражено приступообразными, тяжелыми болями. Такой симптом может свидетельствовать о наличии коллапса или перелома головки бедра, присущих завершающему этапу дегенеративных изменений. Они ведут к снижению объема движения и наличию постоянного болевого синдрома, крепитации и нестабильности головки бедренной кости.
Клиническая симптоматика АНГБК схожа с классической картиной коксартроза:
- боль в паху, которая проходит по переднебоковой поверхности бедра и иррадиирует в коленный сустав. Нагрузка эти ощущения только усиливает, с переходом боли в поясничную область. Они беспокоят человека всегда, даже ночами;
- объем движений в пораженном суставе заметно ограничен. Таким людям нужна помощь в самообслуживании;
- выраженная хромота со стороны больной ноги при ходьбе;
- быстропрогрессирующая гипотрофия мышечного каркаса бедра пораженной стороны;
- укорочение бедра.

Некроз правого тазобедренного сустава
Риск развития асептического некроза вследствие травмы
Одной из основных причин развития АНГБК являются переломы головки или шейки бедренной кости. Наибольший риск несет трансэпифизарный перелом (нарушение кровоснабжения проксимального фрагмента до 97,6%), субэпифизарный перелом (нарушение кровоснабжения проксимальных отделов головки до 97,4%), субкапитальный перелом (нарушение кровоснабжения до 92%).
Выделяют несколько разновидностей переломов:
Тип 1: абдукционный, субкапитальный, неполный перелом без смещения. Происходит он вследствие действия отводящих натяжений. Шейка и диафиз бедра при переломе направлены в сторону головки. Костные фрагменты крепко вклинены, и линия поверхности перелома приближена к горизонтальной. Нарушение кровоснабжения минимальные (до 10,2%). Прогноз на выздоровление хороший.

Слева-направо: субкапитальный, трансцервикальный, базисцервикальный переломы.
Тип 2: аддукционный, субкапитальный, полный перелом без смещения. Перелом расположен в вертикальной плоскости, проходит через шейку бедра. Трабекулы и нижний корковый слой разорваны, без смещения. Микроциркуляция нарушена на 23,6%. Прогноз благоприятный.
Тип 3: аддукционный перелом с неполным смещением костных структур. Он характерен варусной деформацией шейки бедра, но фрагменты остаются соединенными за счет задне-нижнего блока. Дистальный костный фрагмент - в положении наружной ротации и отведения с углом, открытым кпереди. Имеется оскольчатый перелом задней поверхности шейки. Трабекулы и нижний кортикальный слой разорваны. Нарушение васкуляризации достигает 42,8%. Риск развития асептического некроза.
Тип 4: аддукционный перелом с полным смещением. Головка лишается всех связей с синовиальной оболочкой капсулы, в результате чего фрагмент становится свободным. Нарушение кровоснабжения максимальное (54,4%). Риск образования асептического некроза повышенный.
Резюмируем: в случае потенциальной травмы тазобедренного сустава - необходимо обратиться в ближайший травмпункт и сделать рентгенограмму. Ранняя диагностика способна спасти сустав от разрушения и сохранить высокое качество жизни!
Диагностика
Ассоциация по изучению кровоснабжения костной ткани (Association Research Circulation Osseous) выделяет 4 стадии:
- Изменения в суставе на рентгенограмме отсутствуют.
- Демаркационный склероз головки бедренной кости без коллапса.
- На рентгеновских снимках заметен коллапс: IIIA - коллапс < 3 мм; IIIB - коллапс >3 мм.
- Дегенеративные изменения сустава.
Стадии АНГКБ по ARCO
Однако в России больше распространена классификация по пяти стадиям:
- рентгенологические признаки отсутствуют. На гистологическом препарате видны признаки некроза губчатого вещества головки и структур костного мозга. Клинически выражается ноющей болью и скованностью в суставе, нарастающей мышечной слабостью.
- множественные импрессионные переломы. На фоне некроза происходит множество микроскопических переломов. На рентгенограмме видно гомогенное затемнение бедренной кости, снижена ее высота, поверхности головки местами в виде уплотненных фасеток, суставная щель расширена. Данные МРТ исследования определяют некротический дефект в головке.
- образование секвестра. Суставная головка уплощена и имеет вид бесструктурных изолированных фрагментов с разной формой и размерами. Шейка кости укорачивается и утолщается, суставная щель расширяется еще больше.
- репаративная. Восстанавливается губчатое вещество головки бедренной кости. На рентгене секвестроподобных зон не заметно, тень головки обрисовывается, но с закругленными кистовидными просветлениями.
- вторичный деформирующий артроз. Начинает прослеживаться костная структура бедренной кости, в значительной степени измененная, конгруэнтность суставных поверхностей нарушена.

Болезнь в динамике.
Важно: коллапс головки бедренной кости происходит за невероятно короткий промежуток времени - 5 месяцев.
Исследование кровообращения головки бедренной кости
Применяют лазерную доплеровскую флоуметрию и микросенсорные преобразователи внутрикостного давления. Гистологическое исследование позволяет диагностировать болезнь, дифференцировать ее с другими патологиями и определять патогенетические пути развития процесса.
При прогрессировании заболевания структура кости подвергается изменению. В субхондриальной зоне и зоне некроза повышается активность остеокластов, а в зоне склероза наоборот растет активность остеобластов.
При АНГБК лабораторные показатели, такие как протромбиновое время, АЧТВ (активированное частичное тромбопластиновое время), бывают в норме. Однако в сравнении пациентов при нетравматическом некрозе и здоровых добровольцев выявлены значимые отклонения концентрации факторов свертывания в плазме крови.
У людей с АНГБК снижен уровень грелина, повышен уровень фактора Виллебранда, ингибитора активатора плазминогена-1 (PAI-1), С-реактивного белка, что свидетельствует о вовлечении этих факторов в механизм патогенеза.
Использование определенных лабораторных показателей, как маркеров, для диагностики АНГБК, является перспективным методом.
Лечение
Для каждой стадии по ARCO определена продолжительность течения каждого из них. Для I степени и II степени — до 6 месяцев, III - 3-6 месяцев и мгновенным переходом в IV стадию.
Раннее начало лечения, пока из симптомов выявляется только незначительный дискомфорт в околосуставной области с иррадиацией в область паха и коленный сустав - чрезвычайно важно.
Задачи в период лечения:
- Для пациентов, в анамнезе которых были травмы, интоксикации, находящиеся в группе риска (прием глюкокортикоидов, цитостатиков), использовать диагностический алгоритм АНГБК на ранних стадиях. Он включает ранние клинические проявления, информационный анализ кардиосигналов по системе «Скринфакс», МРТ/КТ, рентгенографию, лабораторные анализы маркеров метаболизма костной ткани, сцинтиграфию, рентгеновскую/ультразвуковую денситометрию.
- При помощи безоперационного метода лечения добиться улучшения обменных процессов в очаге поражения, регенерации элементов бедренной кости и восстановить функцию самого сустава.
С учетом того, что АНГБК - мультифакторная патология, необходимо использовать комплексный подход в диагностике, лечении и реабилитации, направленные на восстановление:
- оптимального функционирования всех систем и органов;
- микроциркуляторгого русла и показателей гемокоагуляции;
- нейрорегуляторных факторов;
- иммунных реакций;
- миодискоординатных процессов и биомеханики суставов.
Лечение стадий 1-2
Представляется наиболее эффективным для благоприятного прогноза. Самое главное условие успешного лечения - строгое соблюдение режима. Следует отказаться от вредных привычек (алкоголь и курение), избегать перегрузки и переохлаждения пораженного сустава.
Терапия направлена по нескольким направлениям: прием медикаментов, физиотерапия и ЛФК.
Препараты. При асептическом некрозе назначаются следующие группы лекарственных средств:
- Ингибиторы костной резорбции (бисфосфонаты). Они замедляют разрушение костной ткани, мешают сдавлению и деформации головки бедренной кости.
- Препараты кальция и витамина D. В виде активных форм они облегчают образование костных структур и их минерализацию. Доза подбирается индивидуально.
- Дополнительные источники минералов и фосфатов (оссеин-гидроксиапатит).
- Так как при АНГБК изменяются факторы свертывания крови, обязательно назначаются антиагрегантные препараты (курантил, дипиридамол, ксантинол).
- Нестероидные противовоспалительные препараты (НПВП). Обладают обезболивающим и противовоспалительным эффектом. Наиболее часто назначают препараты - ибупрофен, кетопрофен, диклофенак и их аналоги.
- Миорелаксанты для снятия мышечного напряжения вокруг сустава.
- Поливитаминные комплексы, хондропротекторы.
Физиотерапия. Основная задача - простимулировать кровоток в тканях и запустить/ускорить регенераторные процессы.
- а) гипербарическая оксигенация. Пациента помещают в барокамеру, где на него действует воздух, обогащенный кислородом, в условиях повышенного давления. Такая процедура улучшает кислородное питание поврежденного участка.
- б) ударно-волновая терапия (УВТ). Представляет собой действие звуковой волны. Производится точечно, непременно на место повреждения. Она эффективно воздействует на патологические ткани, мешающие заживлению больных суставов (кристаллы кальция или спайки). УВТ улучшает кровоснабжение обрабатываемой области и тем усиливает репаративный эффект.
- в) миостимуляция. Позволяет восстановить мышечный тонус при развивающейся гипотрофии, что часто встречается при АНГБК. Стимуляция снимает спазм окружающих сустав мышечных волокон и ускоряет локальный кровоток.
Лечебная физкультура
Начальный этап - разгрузка пораженного сустава. В этом случае пациенту подбираются костыли, ходьба на которых может занять до года.
Если после терапии болевые ощущения уменьшились, и маркеры костного обмена нормализовались - через 2-3 месяца костыли отменяют. Но не стоит торопиться. Разгрузка сустава позволит снять боль и предупредить дальнейшее разрушение головки бедренной кости. Щадящий режим ускоряет заживление, оно проходит быстрее и легче.
С другой стороны, пациенту необходимо ЛФК. Специальный набор упражнений позволит уменьшить боль и отечность сустава, увеличить его подвижность. Физические упражнения разработают не только сустав, но и окружающие его мышцы, предупреждая развитие гипотрофии.
Пациентам с ожирением рекомендуется сочетать упражнения со специально подобранной диетой. Такое сочетание позволит добиться лучших результатов.
Особенно следует подчеркнуть важность лечебной физкультуры на этапе реабилитации. Она поможет не только разработать прооперированный/замененный сустав, но и не допустить его нестабильность.
Лечение 3-4 стадий некроза
Если сустав уже перешел в эти стадии, то процесс разрушения головки бедра уже начался. ЛФК и физиотерапия остаются в том же ключе, что и при начальных стадиях, а медикаментозная терапия претерпевает изменения. Это связано с выраженным болевым синдромом, который пациенты уже не в силах терпеть. Назначают более сильные обезболивающие (диклофенак, трамадол).
Лечебное воздействие дополняют внутрисуставными инъекциями гиалуроновой кислоты и введение богатой тромбоцитами плазмы.
Гиалуроновая кислота - важный компонент синовиальной жидкости. Подобные инъекции улучшают амортизацию конгруэнтных поверхностей, облегчают их скольжение относительно друг друга.

PRP-терапия (введение богатой тромбоцитами плазмы) активизирует процессы заживления. Это молодое, но перспективное направление. Под действием тромбоцитов усиливается выработка коллагена (основной «строительный материал» хрящевой, соединительной и костной ткани). Происходит интеграция остеобластов, помогающих строить новую ткань, улучшается микроциркуляция за счет образования новых сосудов.
Важно: несмотря на широту возможностей современной медицины, консервативной лечение эффективно только на ранних стадиях. При первых признаках разрушения головки сустав восстановлению не подлежит.
В этой ситуации будет приниматься решение о хирургическом вмешательстве. Основные сочетания групп оперативных методик [14]:
- межвертельная корригирующая остеотомия;
- моделирование головки бедренной кости, в том числе с межвертельной корригирующей остеотомией;
- моделирование головки бедренной кости с аутопластикой, в том числе с межвертельной корригирующей остеотомией;
- субхондральная аутопластика головки бедренной кости, в том числе с межвертельной корригирующей остеотомией;
- сегментарная аутопластика головки бедренной кости, в том числе с межвертельной корригирующей остеотомией;
- реконструкция тазовых компонентов, а именно: остеотомия таза по Хиари, в том числе с межвертельной корригирующей остеотомией, надвертлужная ацетабулопластика, в том числе с межвертельной корригирующей остеотомией.
Ни одна операция не гарантирует полноценного выздоровления. Они уменьшают деструктивные процессы внутри сустава и снижают риск развития вторичного коксартроза.
Если не лечить
Асептический некроз головки тазобедренного сустава - тяжелая патология, которая сама не разрешится. Если оставить ситуацию без должного внимания, заболевание может привести к инвалидизации. В одном случае может развиться вторичный коксартроз, требующий замены сустава на протез (эндопротезирование тазобедренного сустава). Во время операции удаляется головка тазобедренного сустава вместе с частью бедренной кости и на их место ставится протез.
Замена сустава позволяет рассчитывать на благоприятный прогноз. Протез позволяет полностью восстановить утраченные функции.
Другим исходом заболевания может стать анкилоз - полная неподвижность в суставе. Происходит полная дегенерация хрящевого покрова суставных поверхностей с разрастанием соединительной фиброзной или костной ткани.
Инвалидность
АНГКБ сказывается на всех сферах жизни: здоровье, работоспособности, социализации. При длительном сроке заболевания на разных этапах консервативного лечения, пациенты были вынуждены сменить деятельность с повышенной физической активностью. Они выбирают профессии, не требующие длительного пребывания на «ногах», переездов и рядом с местом жительства.
Группа инвалидности таким людям определяется при проведении медико-социальной экспертизы в соответствии с Приложением к Приказу Минздрава РФ от 27.01.77 No 33 к Постановлению Минтруда и социального развития РФ от 27.01.1977 No 1: «Классификации и временные критерии, используемые при осуществлении медико-социальной экспертизы».
Инвалидность присваивается на основании выраженности заболевания и снижении качества жизни. Изменение уровня инвалидности осуществлялось только в случае хирургического вмешательства.
Иными словами, наибольшей эффективностью в лечении асептического некроза обладает хирургическое вмешательство. Несмотря на внушительность консервативных методов лечения, доказанная эффективность сомнительна.
Заключение
- АНГБК - тяжелое дегенеративно-дистрофическое заболевание с быстрым прогрессированием симптоматики.
- Консервативная терапия эффективна только на ранних этапах заболевания.
- Наиболее распространенный способ лечения — хирургический.
- Несерьезное отношение к сложившейся ситуации может привести человека к глубокой инвалидности.
Тазобедренный сустав: функциональные нарушения и лечение

Человеческое тело может регулировать свой центр тяжести во время любой деятельности благодаря противоположным силам агонистических и антагонистических мышц. Это помогает обеспечить функциональную стабилизацию суставов через динамическую стабильность (Page, 2010), и позволяет людям сохранять равновесие и выполнять энергоэффективные движения (Pizones, 2020). Время и активация динамических стабилизаторов являются наиболее важными факторами в достижении функциональной стабильности.
Когда тело нарушает равновесие, мышцы реагируют на это, противодействуя смещению центра тяжести. Однако если дисбаланс сохраняется, выполнение каждого движения требует больше энергии, что приводит к усталости, боли и мышечной слабости (Pizones, 2020). Термин «глобальные эффекты» относится к тому, что вся двигательная система компенсирует локальный недостаток стабилизации изменением паттернов движения (Page, 2010). Физические терапевты должны уметь определять, какие мышцы бедра задействованы в патологическом процессе и разрабатывать эффективные лечения для решения этих проблем (Mendis, 2020).
Мышцы бедра играют важную роль во время ходьбы и выполнения функциональных задач в положении стоя. Дисбаланс, слабость или атрофия определенных мышц бедра могут влиять на функцию тазобедренного сустава во время выполнения этих видов деятельности и привести к развитию глобальных последствий. Одно исследование показало, что слабость мышц проксимального отдела бедра вызывала боль в передней части колена (Ireland, 2003), и была связана с функциональной нестабильностью голеностопного сустава (Friel, 2006). Кроме того, мышцы с атрофией обеспечивают сниженную проприоцептивную обратную связь, что приводит к хронической боли и нарушению постуральной стабильности, а также к развитию компенсаторных движений (McPartland, 1997).
Роль врачей, лечащих пациентов с патологией тазобедренного сустава, заключается в назначении упражнений, направленных на эти дисфункциональные мышцы (Mendis, 2020).
«Я просто стараюсь придерживаться самых простых принципов. То, что я говорю своим пациентам, это то, что мы должны укрепить то, что ослаблено, и ослабить то, что напряжено. Потому что мы не хотим, чтобы другие мышцы работали сверхурочно». Rina Pandya.
Значение постуры
Постура — это относительное положение головы, плечевого пояса, позвоночника, таза, тазобедренных, коленных и голеностопных суставов относительно друг друга.
Для того, чтобы человек мог поддерживать вертикальное положение, каждый компонент его мышечно-скелетной системы должен быть идеально сбалансирован, требуя наименьшего количества усилий со стороны мышц. Человек может стоять на месте и ходить благодаря поясничному и шейному лордозу, грудному кифозу, правильному положению плечевого и тазового пояса, нижних конечностей.
Когда это не удается, неправильное положение элементов тела может привести к выраженным нарушениям равновесия и ходьбы (Hasegawa, 2017). Изменение постуры может быть вызвано мышечным напряжением или мышечной слабостью, например, изменения длины-натяжение сгибателей бедра и хамстрингов повлияет на положение таза. По словам Janda, «мышечный дисбаланс — это нарушение взаимосвязи между мышцами, склонными к напряжению или укорочению, и мышцами, склонными к ингибиции» (Page, 2010).
Плоскости движения

Движения тазобедренного сустава в различных плоскостях
Движения в тазобедренном суставе происходят в трех плоскостях:
- сгибание/разгибание в сагиттальной плоскости;
- отведение/приведение во фронтальной плоскости;
- наружная/внутренняя ротация в поперечной (горизонтальной) плоскости.
Сагиттальная плоскость
- Движение бедра при разгибании и сгибании можно оценить с помощью модифицированного теста Томаса и подъема прямой ноги (Rose-Dulcina, 2022).
- Тест подъема прямой ноги позволяет врачу оценить гибкость и эластичность хамстрингов.
- Модифицированноый тест Томаса является достоверным показателем флексионной контрактуры бедра, правда только в том случае, если во время тестирования контролируется движение пояснично-тазовой области (Vigotsky, 2016).
Фронтальная плоскость
- Функциональная роль мышц-абдукторов бедра заключается в обеспечении стабильности бедра во фронтальной плоскости во время фазы опоры на одну конечность в цикле ходьбы.
- Задняя головка большой приводящей мышцы помогает хамстрингам при разгибании бедра, в то время как другие приводящие мышцы помогают при сгибании бедра (Neumann, 2010).
Поперечная (горизонтальная) плоскость
- Когда тазобедренный сустав находится во флексии, следующие наружные ротаторы становятся внутренними ротаторами бедра: грушевидная мышца, задние волокна малой ягодичной мышцы, передние волокна большой ягодичной мышцы.
- Диапазон вращения бедра во время ходьбы варьируется от 2.8 до 11.8 градусов и имеет тенденцию быть наибольшим во время опоры на ногу (фаза середина опоры). Наименьший диапазон вращения бедра наблюдается в конце фазы опоры (Uemura, 2018).
- Внутренняя ротация бедра необходима для разгибания бедра в конце цикла ходьбы (Dawson, 2022).
Мышечный дисбаланс и нарушения постуры и ходьбы
Эффективная ходьба зависит от времени рекрутирования мышц и баланса (Page, 2010). Клиническая картина пациента позволяет определить, какая группа мышц слабая, напряженная или перенапряженная (Pandya, 2022). Однако для определения конкретных ограничений тазобедренного сустава требуется углубленная оценка амплитуды движения, силы, длины и координации мышц (Heino, 1990).
Чрезмерное сгибание бедра может быть вызвано контрактурой флексоров бедра и илеотибиального тракта, спастичностью флексоров бедра, компенсацией сгибания колена и дорсифлексии лодыжки, болью в тазобедренном суставе или компенсацией чрезмерной плантарной флексии в середине цикла ходьбы. Такие пациенты демонстрируют компенсаторное сгибание в сторону чрезмерного сгибания, чтобы сбалансировать смещенный центр тяжести («кренящаяся походка»). Во время фазы опоры пациент наклоняет туловище вперед или компенсирует это чрезмерным поясничным лордозом и передним наклоном таза (Pandya, 2022).
Ограниченный диапазон движения сгибания или разгибания бедра приводит к чрезмерному поясничному лордозу и ненормальному соотношению длины и напряжения между мышцами, выпрямляющими позвоночник и мышцами живота. Это приводит к «растяжени и слабости» мышц нижней части живота (Heino, 1990). Если есть подозрение на укорочение сгибателей бедра, клиницисты не должны разрабатывать упражнения на растяжение сгибателей бедра или укрепление мышц живота, основываясь только на наблюдении за постуральными отклонениями. По данным Heino (1990) не существует корреляции между амплитудой разгибания бедра, наклоном таза в положении стоя, поясничным лордозом в положении стоя и результатом тестирования мышц живота при опускании ног. Вместо этого для назначения наиболее подходящей программы упражнений требуется оценка подвижности суставов, длины мышц, силы и координации.
В тазобедренном суставе, пораженном остеоартритом, наблюдается уменьшение сгибания бедра в фазе переноса и разгибания бедра в фазе опоры, что вызывает чрезмерные движения в противоположной конечности (подъем бедра на здоровой стороне или «хождение на цыпочках» на пораженной стороне) (Malanga, 2022).
Слабые разгибатели бедра могут привести к увеличению бокового вращения бедра во время отталкивания в цикле ходьбы. Человек стремится сделать меньший шаг, чтобы уменьшить сгибание бедра, необходимое для первоначального контакта. Это уменьшает силу сокращения, необходимую для разгибателей. Походка становится более медленной, чтобы дать время для стабилизации конечностей, а компенсаторное избыточное заднее позиционирование туловища поможет сохранить положение таза по отношению к туловищу (Pandya, 2022). У пациентов может наблюдаться «кренящаяся походка» из-за слабости большой ягодичной мышцы (Page, 2010).
Дисбаланс или ригидность разгибателей бедра приводит к увеличению разгибания поясницы, и такой пациент будет демонстрировать передний наклон таза (Page, 2010). Тестирование ходьбы назад может помочь дифференцировать торможение или слабость большой ягодичной мышцы. Увеличение поясничного лордоза или переднего наклона таза указывает на недостаток разгибания бедра из-за слабости этих мышц.
Слабые сгибатели бедра могут привести к уменьшению длины шага. Походка, скорее всего, будет медленнее, что приведет к уменьшению расстояния между пальцами стоп и полом (Pandya, 2022), а также скольжению ими по полу в фазе переноса. Кроме того, туловище смещается в сторону переносимой ноги, а таз поднимается на стороне опорной ноги, и происходит циркумдукция ноги во время фазы переноса (Schafer, 2022).
Анталгическая походка характеризуется сокращением фаз опоры и переноса на пораженной стороне. Туловище быстро подается вперед с поднятием противоположного плеча в попытке выровнять распределение веса на конечность и уменьшить нагрузку на больную сторону (Pandya, 2022).
Слабость абдукторов бедра приводит к тому, что таз опускается на стороне переносимой ноги (на противоположной от опорной ноги стороне) или к чрезмерной ротации таза (Page, 2010). Это явление также известно как походка Тренделенбурга (Pandya, 2022).
Контрактура аддукторов бедра приводит к ножничной походке, которая характеризуется экстремальным приведением бедер с ударом коленями и бедрами или их перекрещиванием во время ходьбы. Антагонистические мышцы (абдукторы) в этом случае являются очень слабыми.
Слабость аддукторов бедра можно заметить по абдукции бедра во время касания пола пяткой в цикле ходьбы, а также по увеличению наружной ротации бедра в фазе середины опоры (Schafer, 2022).
Тугие или болезненные тазобедренные суставы могут проявляться ограниченным вращением бедра. В таких случаях походка становится асимметричной. Во время фазы переноса база расширяется, а фаза опоры сокращается на пораженной стороне. Чтобы уменьшить нагрузку на сустав, бедро удерживают во флексии, абдукции и наружной ротации. Имеет место компенсаторное сгибание колена и голеностопа.
Ограничение наружной ротации бедра приводит к его большей внутренней ротации во время ходьбы (Alves, 2021).
Увеличение внутренней ротации и аддукции бедра перегружает тазобедренный и коленный суставы и создает динамический вальгус колена (Alves, 2021).
Ограниченная внутренняя ротация уменьшает движение таза вперед во время фазы переноса, что укорачивает шаг. Наиболее распространенными компенсациями являются: гиперпронация стопы, вальгусная девиация колена, уменьшение длины шага, внешнее вращение стопы в конце фазы опоры и увеличение разгибания поясницы и колена (Dawson, 2022). При ограниченной внутренней ротации компенсаторное чрезмерное разгибание поясницы и гиперэкстензия колена могут привести к уменьшению разгибания бедра.
Функциональные тесты ходьбы
Можно выделить несколько инструментов оценки, направленных на оценку ходьбы, равновесия и трансферов. Нарушения в передвижении могут иметь физические, когнитивные и социальные последствия (Soubra, 2019). Физические терапевты должны выбрать наиболее подходящий инструмент оценки, который позволит им разработать план лечения и контролировать прогресс пациентов (VanSwearingen, 2001). Ниже приведены примеры функциональных тестов.
10-метровый тест ходьбы
Данный тест широко используется для оценки скорости ходьбы, общего состояния здоровья и функциональных способностей при многих заболеваниях, включая здоровых взрослых, детей с нервно-мышечными заболеваниями, гериатрических пациентов, пациентов с переломом бедра, черепно-мозговой травмой, болезнью Паркинсона (Lindholm, 2018) и некоторыми другими заболеваниями. В клинических и исследовательских условиях описаны различные методы проведения данного теста, включая старт из положения стоя, старт во время ходьбы, самостоятельно выбранный темп и быстрый темп.
6-минутный тест ходьбы
Это модифицированный тест для оценки физической работоспособности и мобильности в гериатрической популяции (Soubra, 2019). Данный тест изначально был представлен как тест на выносливость, но исследования показывают, что он также дает информацию о функциональной способности человека передвигаться (Harada, 1999). Также этот тест используется для оценки состояния сердечно-сосудистой и легочной систем, периферического кровообращения и реакции мышц на физическую нагрузку.
2-минутный тест ходьбы
Данный тест используется для оценки общей выносливости пациентов с респираторными заболеваниями, рассеянным склерозом, ампутацией нижних конечностей, муковисцидозом, черепно-мозговой травмой и другими неврологическими заболеваниями (Pandya, 2022). Он подходит пациентам со сниженной выносливостью.
Динамический индекс ходьбы
Tinetti
Оценка мобильности, ориентированная на производительность Tinetti (Tinetti-POMA), также известна как тест мобильности Tinetti. Это клинический тест для оценки равновесия и ходьбы у пожилых людей, как измерение нарушений подвижности и последствий терапевтических вмешательств (Soubra, 2019).
Тест «встань и иди»
Этот тест является показателем равновесия и способности ходить в гериатрической популяции. Он состоит из оценки ежедневных задач, включая стояние, ходьбу и повороты, поэтому часто используется в клинической оценке (Soubra, 2019). Было установлено, что он хорошо коррелирует с показателем баланса Berg, скоростью ходьбы и индексом Barthel.
Протоколы физической терапии, основанные на доказательствах
Научно-обоснованный обзор нейромышечных упражнений для бедер, направленных на устранение динамического вальгуса нижних конечностей (Ford, 2015).
- Момент абдукции колена непосредственно способствует динамическому вальгусу нижней конечности.
- Вальгус колена сам по себе может быть высоким предиктором травм передней крестообразной связки (ПКС).
- Момент наружной ротации бедра предсказывает риск повреждения ПКС у молодых спортсменов, вернувшихся в спорт после реконструктивной операции и реабилитации.
- Высокий момент абдукции колена был предиктивным как для пателлофеморальной боли, так и для повреждения ПКС у молодых спортсменок.
- После операции на ПКС важно обратить внимание на стабильность тазобедренного сустава.
Что лучше после операции по поводу перелома бедра, упражнения с отягощением, упражнения без отягощения или отсутствие упражнений (McCarthy, 2018)?
- Тип упражнений: Шаговые упражнения с отягощением и упражнения без отягощения, включая абдукцию, сгибание и разгибание в положении лежа (Pandya, 2022).
- Показатели результата: физическая работоспособность и подвижность.
- По истечении двух недель не было разницы в силе, ходьбе или функции между людьми, которые занимались в группе с отягощением и группе без отягощения.
- Через четыре месяца, при выполнении упражнений с отягощениями дома, наблюдалось улучшение в тестах на равновесие и способность ходить более самостоятельно, чем в группе без отягощений, но значительного снижения силы или функции отмечено не было.
Прогрессивная реабилитация после тотальной артропластики тазобедренного сустава: пилотное и технико-экономическое исследование (Madara, 2019).
Рентген костей таза

Таз представляет собой часть скелета, которая расположена в основании позвоночного столба. Он не только является опорой для внутренних органов, но и обеспечивает фиксацию к туловищу ног. Именно поэтому его здоровье играет немаловажную роль, а рентген костей таза является неотъемлемой составляющей диагностики при заболеваниях и травмах этой области.
Он является диагностическим высокоинформативным методом, позволяющим получить данные о состоянии костных структур и суставов таза, определить повреждения и патологии мягких тканей и внутренних органов. Рентгенографию широко применяют в поликлиниках, поэтому она является доступным методом, в том числе и в ценовом плане. Пройти рентген костей малого и большого таза можно в диагностическом центре многопрофильной клиники ЦЭЛТ. Мы располагаем современным оборудованием, а наши специалисты практикуют индивидуальный подход, что неизменно позволяет добиваться высокого качества рентгенографических снимков.
Диагностику проводят исключительно по назначению врача при наличии клинических проявлений, которые свидетельствуют о следующих патологических изменениях тазовых костей:
- Трещины, гематомы, ушибы, переломы, вывихи;
- Снижение плотности костных структур (остеопороз);
- Аномалии развития;
- Подвывихи и вывихи бёдер;
- Поражения суставов инфекционной природы, а также вследствие нарушения обменных процессов организма;
- Новообразования добро- или злокачественной природы;
- Метастатические очаги при новообразованиях, расположенных в других местах;
- Оценка эффективности лечебной тактики и необходимости её коррекции.
Современная медицина выделяет ряд состояний, при которых проведение рентгенографических исследований не рекомендуется. К ним относят:
- Беременность и период грудного вскармливания у женщин;
- Большую дозу облучения, полученную за последний год;
- Возраст пациента до 15-ти лет;
- Тяжёлое состояние пациента.
Несмотря на безопасность современных методик, принято считать, что даже минимальная доза облучения способна оказать негативное воздействие на пациентов, вышеперечисленных групп. В то же время при крайней необходимости (если это жизненно важно) рентгенографию всё же проводят.
Подготовка к рентгену костей таза
Подготовка к проведению процедуры требует от пациента исключения из рациона продуктов, способствующих газообразованию, проведению очистительной клизмы или приёму энтеросорбентов. Подготовительные мероприятия начинают за 72 часа до проведения диагностики. На этот период времени из рациона исключают молочные продукты, бобовые, свежие овощи и фрукты, а также чёрный хлеб. Диагностику проводят натощак: между последним приёмом пищи и процедурой должно пройти не менее двенадцати часов. Очистительную клизму делают вечером перед днём, когда будет проводиться исследование, и при необходимости — за два часа до него.
Рентгенография тазобедренного сустава
Тазобедренный сустав является сложным многоосным сочленением, которое выполняет сгибание/разгибание, отведение/приведение, пронацию и супинацию бёдер и принимает на себя серьёзную нагрузку. Любые нарушения в его функционировании не только приводят к серьёзному дискомфорту для человека, но и могут стать причиной развития серьёзных нарушений. Рентген тазобедренного сустава (ТБС) — это неинвазивный диагностический метод, ценность которого сложно переоценить.
Он нашёл широкое применение в разных областях медицины, включая травматологию, ревматологию, ортопедию, гнойную хирургию для диагностики заболеваний и последствий перенесённых травм, для определения объёма предстоящей операции или эффективности проведённого лечения. Процедура достаточно безопасна, высокоэффективна и проста, но при этом позволяет получить ценные данные о состоянии ТБС пациента.
Если не знаете, где сделать рентген тазобедренного сустава, но хотите быть уверены в том, что диагностика будет проведена на достойном качественном уровне, обращайтесь в диагностический центр многопрофильной клиники ЦЭЛТ.
Показания и противопоказания к рентгенографии тазобедренных суставов
Диагностику ТБС проводят при многих заболеваниях опорно-двигательного аппарата. Она позволяет выявить патологические состояния сустава, которые наступили вследствие:
- Перенесённых травм: вывихов, трещин и травм;
- Дегенеративно-дистрофического заболевания — остеоартроз;
- Отмирания костной ткани головки бедра — некроз;
- Новообразований костной ткани ТБС;
- Патологий воспалительной этиологии: артритов, остемиелита;
- Врождённых аномалий в виде гипоплазии или дисплазии;
- Нарушения обменных процессов, которые представлены такими заболеваниями, как остепороз и подагра.
Помимо этого, рентгенография таза и тазобедренных суставов проводится в рамках предоперационной подготовки с целью определить объём вмешательства и его тактику.
Несмотря на то, что доза облучения при проведении диагностики минимальна и не причиняет вреда человеческому организму, к процедуре прибегают только в крайних случаях — если:
- пациентка беременна или кормит грудью;
- больной находится в тяжёлом состоянии;
- если пациенту не исполнилось 15-ти лет;
- если пациента получил высокую дозу облучения за последние 12 месяцев;
- при заболеваниях щитовидной железы.
Что касается противопоказаний при использовании рентгеноконтрастных веществ, то они, помимо вышеперечисленного, заключаются в следующем:
- индивидуальная непереносимость составляющих контраста;
- тяжёлая почечная и печёночная недостаточность;
- непроходимость кишечника;
- нарушения свёртываемости крови; в тяжёлой форме.
Подготовка к рентгенографии тазобедренных суставов

Исследование ТБС с применением рентгена не требует от пациента специфической подготовки. Как и большинство исследований, в которых диагностируемая область расположена возле кишечника, подготовка направлена на снижение газообразования, поскольку газовые среды негативно влияют на качество визуализации. За несколько дней до проведения процедуры пациенту нужно исключить из рациона продукты, способствующие повышенному газообразованию, а также по рекомендации врача принимать активированный уголь или другие адсорбенты.
Проведение рентгенографии ТБС
Стандартная рентгенография тазобедренного сустава проводится в 2-х проекциях. Помимо прямой используют вспомогательную, которая может быть боковой или задней косой, предусматривающей отведение бедра. Выбор, в данном случае, зависит от целей исследования и характера нарушений у пациента.
Рентгенография тазобедренного сустава в прямой проекции
Пациент принимает положение лёжа на спине, выпрямив нижние конечности. Стопа со стороны поражения должны быть повёрнута кнутри. Такое положение тела пациента обеспечивает хороший обзор медиальной части шейки бедра и даёт возможность определить медиальные переломы.
Рентгенография ТБС в косой проекции
Пациент принимает положение лёжа на спине, поражённая конечность согнута в колене и повёрнута кнаружи при косой проекции. В случае, если имеется подозрение на перелом бедра, локализующийся в области шейки, косую проекцию не используют, поскольку она может привести к смещению отломков кости и усугубить ситуацию.
Рентгенография ТБС в боковой проекции
Пациент принимает положение лёжа на спине, поражённая конечность согнута в колене и бедре под углом 90°. Под пятку ставят специальную подставку, трубку рентгена располагают сбоку со стороны здоровой ноги.
Рентген ТБС в ЦЭЛТ
Обращение в ЦЭЛТ за рентгенографической диагностикой имеет ряд преимуществ, поскольку мы:
- гарантируем получение качественных снимков;
- предлагаем доступные цены на рентген тазобедренного сустава;
- располагаем современными рентгеновскими аппаратами;
- предлагаем услуги опытных рентгенологов со стажем работы от 15-ти лет;
- проводим процедуру максимально безопасно для пациента, соблюдая все нормы.
Читайте также:
