Рентгенограмма с изменением диафрагмы слева при ателектазе: описание, заключение
Добавил пользователь Евгений Кузнецов Обновлено: 02.11.2025
Когда заживление протекает неправильно, могут возникать рубцовые изменения, приводящие к тому, что орган не может функционировать в полном объеме.
Соответственно, фиброз легких представляет собой рубцовые изменения ткани легких. Количество клеток, способных насыщать кровь кислородом, уменьшается. Следовательно, снижается дыхательная эффективность — развивается дыхательная недостаточность, приводящая к интоксикации, сначала при нагрузке, при усугублении течения заболевания — в покое, а далее — даже во сне. Рубцовая ткань в легких не только обладает пониженными функциональными свойствами, но и служит прекрасной средой для развития присоединенных инфекций, например, таких как бактериальная (пневмококковая или стафилококковая) пневмония.
Фиброз легких — это исход воспаления тканей во время интерстициального (то есть с поражением межклеточной соединительной ткани) заболевания легких. К причинам развития подобного заболевания могут относиться травмы легких, высокая загрязненность окружающей среды, курение, вдыхание наркотических веществ, плесени, органической, асбестовой, кварцевой и угольной пыли, инфекционные, аутоиммунные, вирусные заболевания и их осложнения — бронхит, туберкулез, пневмония, COVID-19 и многое другое.
Еще недавно синонимом самих интерстициальных заболеваний был пневмофиброз, но, к счастью, было установлено, что не все варианты таких заболеваний легких являются фиброзирующими.
Самый сложный и практически не поддающийся лечению — первичный, или идиопатический фиброз легких — быстро прогрессирующее фиброзирующее заболевание легких, причина которого неизвестна.
Симптомы фиброза легких
Легочный фиброз характеризуется симптомами одышки и сухого кашля (редко продуктивного — с мокротой) при физической нагрузке, непрекращающейся болью в области грудной клетки, быстрой утомляемостью на фоне затрудненного дыхания, похудением без изменения диеты. При аускультации легких (выслушивании с помощью фонендоскопа) выявляются ранние (в фазе вдоха) инспираторные, то есть дыхательные хрипы, чаще всего локализующиеся в нижних задних зонах легких.
Фиброз может развиваться как в одном легком, так и в двух одновременно. Также возможны очаговая и тотальная формы фиброза. При тотальной форме зачастую требуется оперативное вмешательство, так как поражена большая часть легких. При очаговой форме изменения носят локальный характер.
КТ-диагностика фиброза легких
Золотой стандарт диагностики фиброза легких — компьютерная томография высокого разрешения. КТ-диагностика легочного фиброза позволяет достоверно выявить степень поражения легких, определить локализацию рубцовой ткани. Этот метод диагностики признан одним из самых чувствительных неинвазивных методов выявления легочного фиброза. Так, проведенные сравнительные исследования уже в 1990 году показали, что фиброз легких с помощью компьютерной томографии в режиме высокого разрешения (КТВР) был обнаружен в 91% случаев и только в 39% — с использованием рентгенографии органов грудной клетки.
При наличии фиброза легких в серьезной стадии на КТ виден паттерн (термин, принятый для обозначения патологических признаков в медицине) так называемого «сотового» легкого — это состояние видно на сканах как однотипные, расположенные в несколько рядов кисты, содержащие воздух, в пораженных частях одного или обоих легких. На ранних стадиях легочного фиброза подобная картина не наблюдается, поэтому потребовался поиск признаков на КТ, позволяющих выявить болезнь в ее начале. Одним из таких признаков оказалось наличие на снимках картины «матового стекла» — очагов незначительного уплотнения легочной ткани. Также специфические признаки фиброза у пациента можно обнаружить при проведении КТ легких с функциональными пробами. Так, один из признаков — субплевральное усиление периферического легочного интерстиция — ранее считался признаком отсутствия патологии. Подобные изменения практически невозможно отследить при помощи других методов аппаратной диагностики.
На данный момент точность методов КТ-диагностики растет благодаря введению новых протоколов исследований и тщательного изучения результатов многочисленных исследований. При этом ведущая роль в диагностическом процессе отводится врачу-рентгенологу, который трактует видимые изменения как легочный фиброз или его отсутствие. Поиск ранних лучевых признаков фиброзирующей болезни легких — ключевой момент для своевременного назначения противофибротической терапии.
Также именно мультисрезовая КТ при поставленном диагнозе используется для оценки скорости прогрессирования заболевания, выявления благоприятного и неблагоприятного типов фиброзных изменений, успеха лечения и правильности подбора терапевтический препаратов.
Схема описания рентгенограмм и рентгеноскопии органов грудной полости.
1) ФИО и возраст пациента.
2) Общая оценка рентгенограммы
Методика.
— рентгеноскопия
— рентгенография (обзорная, прицельная рентгенограмма).
— суперэкспонированная рентгенограмма.
— томограмма.
— бронхограмма.
— компьютерная томограмма.
— ангиограмма.
Указание исследуемых органов (органы грудной полости).
Проекция исследования (прямая, боковая, косая, латеропозиция).
Качество снимка (контрастность, резкость, жесткость лучей, правильность укладки).
3) Изучение легких.
Определение формы грудной клетки (обычная, в виде колокола, бочкообразная).
Оценка объема легких (не изменен, легкое или его часть увеличена, уменьшена).
Установление состояние легочных полей (прозрачны, затемнение, просветление).
Анализ легочного рисунка (не изменен, усилен, ослаблен, деформирован).
Анализ корней легких (структурность, ширина, расположение, увеличение лимфатических узлов, диаметр сосудов).
Функциональное состояние при рентгеноскопии (дыхательные движения ребер, диафрагмы, изменение легочного рисунка при дыхании)
Выявление и описание патологических синдромов.
1) Теневая картина
Затемнение.
Просветление.
2) Локализация
По долям
По сегментам.
3) Размеры в сантиметрах (указывается не менее двух размеров).
4) Форма
Округлая.
Овальная.
Неправильная.
Треугольная.
5) Контуры
Ровные или неровные
Четкие или нечеткие
6) Интенсивность
Слабая
Средняя
Высокая
Известковой плотности
Металлической плотности
7) Структура тени.
Однородная
Неоднородная
8) Функциональные признаки при рентгеноскопии
9) Изменение формы круглой тени при дыхании - при жидкостных образованиях (кистах).
10) Пульсация тени при сосудистых образованиях (аневризмах, ангиомах) и др.
11) Соотношение патологических изменений с окружающими тканями:
Усиление легочного рисунка в окружающих тканях
Ободок просветления вокруг круглой тени за счет оттеснения соседних тканей
Оттеснение или раздвигание бронхов или сосудов и т.д.
Очаги отсева.
4) Изучение органов средостения
1) Расположение
Не смещено
Смещено (в сторону патологических изменений в легких или в противоположную сторону).
2) Размеры:
Не увеличены
Расширены за счет левого желудочка или других отделов сердца;
Расширено вправо или влево в верхнем, среднем или нижнем отделах.
3) Конфигурация
Не изменена
Если изменена, то это может быть за счет объемных образований сердца, сосудов, лимфатических узлов и др.
4) Контуры.
Ровные
Неровные
5) Функциональное состояние при рентгеноскопии
Ритм сердечных сокращений
Толчкообразное смещение средостения при выдохе в сторону ателектаза и т.д.
5) Изучение стенок грудной полости.
1) Состояние синусов плевры
Свободны
Содержат жидкость
Имеют плевро-диафрагмальные спайки.
2) Состояние мягких тканей
Не изменены
Увеличены
Имеется подкожная эмфизема
Инородные тела и др.
3) Состояние скелета грудной клетки и плечевого пояса
Расположение костей
Форма
Контуры
Структура
Наличие сросшихся или несрохшихся переломов.
4) Состояние диафрагмы
Расположение обычное
Смещение проксимально на одно межреберье и т.д.
Купола имеют ровные контуры или деформированы плевродиафрагмальными спайками.
Подвижность диафрагмы при рентгеноскопии.
ЗАКЛЮЧЕНИЕ
РЕКОМЕНДАЦИИ об использовании дополнительных методик.
ОПИСАНИЕ дополнительных методик и методов подтверждение или уточнение описанной прежде картины, описание вновь выявленных патологических признаков.
ОКОНЧАТЕЛЬНОЕ ЗАКЛЮЧЕНИЕ (например, пневмоторакс, паренхиматозная пневмония, центральный экзобронхиальный рак без метастазов, периферический рак, эхинококк в невскрывшейся фазе или др)
Ателектаз
Ателектаз — это спадение всего легкого (коллапс) или его части вследствие нарушения вентиляции , обусловленной обтурацией бронха или сдавлением легкого .
Во многих случаях ателектаз является первым признаком рака легких, поэтому очень важно выявить специфичные для ателектаза и дисектаза изменения.
Ключевые изменения на рентгенограмме представлены ниже:
- Уменьшение легкого в объеме, как следствие подъем купола диафрагмы, смещение средостения в патологическую сторону, смещение горизонтальной и косой междолевой щели.
- Безвоздушный участок легкого с отсутствием вентиляции.

Долевой ателектаз.
Долевой ателектаз или коллапс доли является важной находкой на рентгенограмме органов грудной полости и имеет сравнительно небольшой дифференциальный ряд.
Наиболее частыми причинами ателектаза является:
- Бронхиальная карцинома у курящих.
- «Слизистая пробка» у пациентов на ИВЛ и астматиков.
- Неправильное положение эндотрахеальной трубки.
- Инородное тело (чаще у детей).
На схеме ниже представлены находки при долевом ателектазе различной локализации.
- ПВД — правое легкое верхняя доля.
- ЛВД — левое легкое верхняя доля.
- СрД — правое легкое средняя доля.
- ПНД — правое легкое нижняя доля.
- ЛНД — левое легкое нижняя доля.

Ателектаз верхней доли правого легкого.
Оцените ниже лежащие изображения, а после продолжите чтение.

- Трехгранное затенение.
- Подъем правого корня легкого
- Облитерация загрудинного пространства (указано стрелкой).
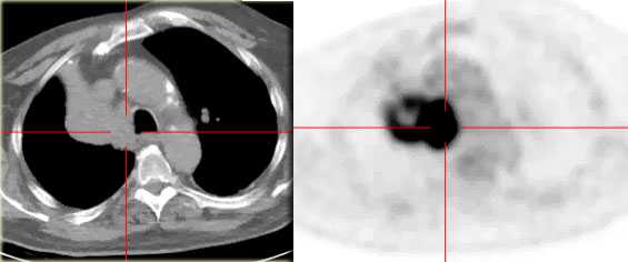
На ПЭТ/КТ визуализируется опухоль легкого с обструкцией правого верхнедолевого бронха, как следствие ателектаз верхний доли правого легкого.

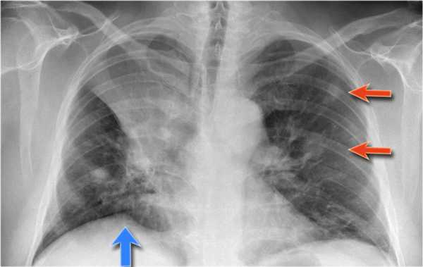
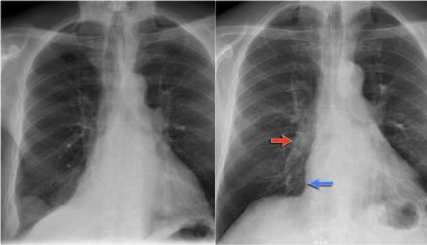
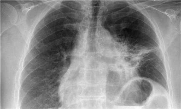
Также очень частым проявлением ателектаза является подъем диафрагмы, что хорошо визуализируется на ниже представленной рентгенограмме (указано синий стрелкой).

У данного пациента карцинома легкого с билатеральным метастазированием в легкие (указано красными стрелкам).
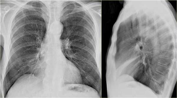
Ателектаз средней доли правого легкого.

- Симптом силуэта — нечеткие границы правых отделов сердца.
- Трехгранные изменения высокой плотности, визуализирующиеся на боковой рентгенограмме, являются результатом ателектаза средней доли правого легкого.
При ателектазе средней доли правого легкого подъем диафрагмы навсегда значительно выражен.
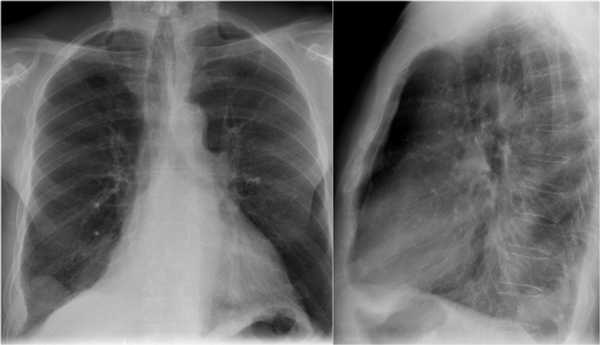
Ателектаз нижней доли правого легкого.
На нижепредставленой рентгенограмме пациента 70 лет, упавшего с лестницы, в плевральной полости определяется скопление жидкости, предположительно являющейся кровью.

Это ателектаз нижней доли правого легкого.
Обратите внимание на правую границу сердца. Правая междолевая артерия не видна потому, как она не окружена воздушной легочной тканью, а закрыта спавшейся нижней долей правого легкого.
Ниже представлены последующие рентгенограммы органов грудной полости того же пациента, на которых ателектаз разрешен.
Обратите внимание на правую междолевую артерию (красная стрелка) и границы правых отделов сердца (синяя стрелка).


- Минимальное уменьшение объема легкого без подъема левого купола диафрагма.
- В загрудинном пространстве визуализируются изменения высокой плотности, которые спавшейся верхней доли левого легкого.
- Корень левого легкого патологичен, что может соответствовать образованию, обтурирующее просвет бронха.
- Выше перечисленные находки наводят на мысль, что это ателектаз верхней доли левого легкого.
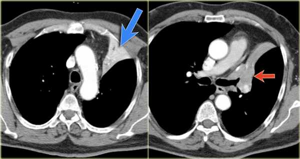
На КТ снимках синей стрелкой указан долевой ателектаз, а красной стрелкой опухоль, которая обтурирует левый верхний долевой бронх (центральный рак легкого.

Ателектаз верхней доли левого легкого с типичным симптомом воздушного серпа (Luftsichel sign — luft(air)+sichel(sickle)), обусловленный гипервентиляцией верхнего сегмента нижней доли левого легкого на фоне коллапса верхний доли левого легкого. Гипервентилируемый

сегмент визуализируется на прямой рентгенограмме от дуги аорты до апикальной части легкого.

- В левом легком патологические изменения высокой плотности с потерей силуэта контуров сердца.
- Высокое стояние диафрагмы левого легкого.
- Смещение вниз косой щели.
- Низкое расположение правого корня легкого.
Данные изменения характерны при тотальном ателектазе верхней доли левого легкого и частичный ателектаз правого легкого. Так контуры сердца справа хорошо визуализируются то, можно сказать, что частичный ателектаз не средней доли, а нижней доли правого легкого.

Оцените нижележащие ПЭТ/КТ изображения. Легочная карцинома обтурирующая левый верхнедолевой бронх и правый верхнедолевой бронх. Множественные метастазы в кости. Стрелкой указан метастаз в ребро.
Симптом воздушного серпа (luft sichel sign) — это симптом, который возможно встретить на рентгенограмме органов грудной полости при ателектазе верхней доли левого легкого.
Изменения на рентгенограмме обусловлены гипервентиляцией верхнего сегмента нижней доли левого легкого, который смещается к сзади и кверху, и тем самым располагается между коллабированной долей легких и средостением. На фронтальной рентгенограмме сегмент визуализируется от дуги аорты до апикальной части левого легкого.

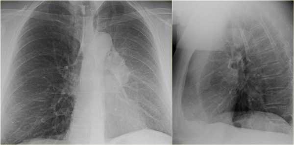
На рентгенограмме представлен тотальный коллапс верхней доли левого легкого. Обратите внимание на высокое стояние левого корня легкого. Спавшаяся верхняя доля левого легкого расположено позади грудины. В данном случае компенсаторная гипервентиляция нижней доли левого легкого повлияло на то, что позиция диафрагмы и средостения в норме.

Ателектаз нижней доли левого легкого


На рентгенограмме визуализируются изменения трехгранной формы высокой плотности, расположенные позади тени сердца, что хорошо выявляется на боковом снимке. На боковом снимке при оценке контура диафрагмы спереди назад определяется все менее четко. Исходя из названия раздела напрашивается диагноз — ателектаз нижней доли левого легкого. В норме прозрачность легкого внизу выше, а в нашем случае наоборот (синяя стрелка).
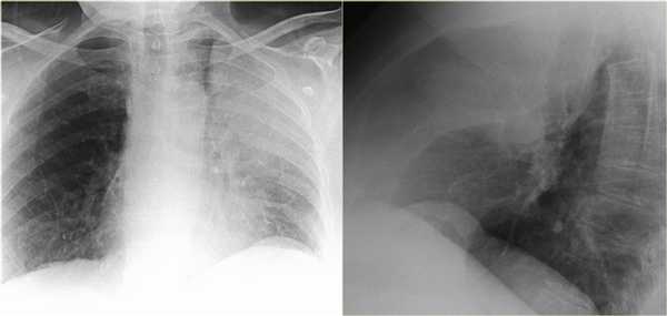
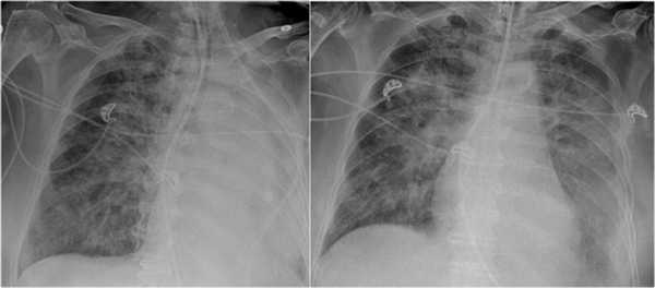
На рентгенограмме органов грудной клетки определяется тотальный ателектаз правого легкого со смещением средостения вправо. На втором снимке представлен тот же пациент, но после лечения. Легкое воздушное и положение средостения в норме. Распространенной причиной тотального ателектаза является неправильно установленная вентиляционная трубка, которая расположена слишком низко и тем самым обтурирует главный бронх.

На ниже представленном снимке представлен пациент с тяжелой бронхопневмонией и тотальным ателектазом. Причиной ателектаза явилось обтурация бронха слизью. После отсасывания мокроты аэрация левого легкого была восстановлена.

На ниже представленной рентгенограмме пациента с карциноматозом плевры левое легкое полностью компрессируется плевральной жидкостью (левый гемоторакс). В выше представленных случаях был обтурационный ателектаз, а в этом компрессионный, что лучше визуализируется на КТ (синяя стрелка). КТ данному пациенту также проводили по причине легочного эмболизма (красная стрелка).

Округлый ателектаз
- утолщение плевры
- образование, исходящее из плевры
- симптом хвоста кометы

Локальный плеврит является причиной утолщения плевры. Далее происходит инвагинация субплевральной легочной паренхимы с характерным дугообразным искривлением сосудов, и ателектаз принимает округлую форму. Симптом хвоста кометы — это симптом, который визуализируется в виде кометообразного хвоста из сосудов и воздухоносных путей, направленных к корню легкого.
На боковой рентгенограмме выявляется образование, которое исходит из плевры. На первый взгляд — это образование, исходящее из плевры.

Далее перейдите к оценки КТ-снимков.
На КТ четко выявлено, что это образование легкого. Для многих данные изменения на КТ заставили бы задуматься о раке легкого. Красной стрелкой указана утолщение плевры, а синими стрелками указаны сосуды вокруг данного образования, что называют хвостом кометы.
Всякий раз, когда встречается образование, сочлененное с плеврой, а также похожее на рак легкого, то не забудьте об округлом ателектазе.
Округлый ателектаз — это доброкачественные изменения, которые на последующих снимках не изменяются в размерах и чаще встречаются у пациентов, которые имели контакт с асбестом.

В левой нижней доле визуализируются изменения высокой плотности. На фронтальной рентгенограмме данное образование выглядит схоже с консолидацией так, как на боковой границы острые, то скорее это образование. Красной стрелкой указано утолщение плевры.

Несмотря на то, что легочный рак находится на вершине нашего дифференциального ряда, данные изменения характерны для округлого ателектаза, что хорошо визуализируется на КТ (утолщение плевры, овальная форма, симптом хвоста кометы).

Дисковидный ателектаз частая находка на рентгенограмме органов грудной полости, которая проявляется линейной тенью толщиной 1-3 мм в базальной части легких. Обычно данные изменения не имеют клинического значения и часто встречаются у пожилых и курящих пациентов. Также данные изменения встречаются у пациентов с плохим общим состоянии после полостных операций так, как им приходится дышать поверхностно.

Несмотря на то, что дисковидный ателектаз не специфичен для ТЭЛА ниже представлены рентгенограмма и КТ-снимок пациента с эмболией легочной артерии.


Ателектаз на фоне фиброза легочной паренхимы, который встречается на лучевой терапии и при хронических инфекциях таких, как туберкулез. Обратите внимание на снимок пациента, которому выполняли лучевую терапию по поводу рака легкого. Изменения высокой плотности с уменьшением в объеме легкого.
Ниже представлен снимок пациента с туберкулезом, на котором визуализируется ателектаз верхней доли правого легкого, а также обратите внимание на девиацию трахеи.
Ателектаз легкого
Ателектаз легкого - безвоздушность легочной ткани, обусловленная спадением альвеол на ограниченном участке (в сегменте, доле) или во всем легком. При этом пораженная легочная ткань исключается из газообмена, что может сопровождаться признаками дыхательной недостаточности: одышкой, болью в грудной клетке, цианотичным оттенком кожных покровов. Наличие ателектаза устанавливается по данным аускультации, рентгенографии и КТ легкого. Для расправления легкого может назначаться лечебная бронхоскопия, ЛФК, массаж грудной клетки, противовоспалительная терапия. В ряде случаев требуется хирургическое удаление ателектазированного участка.
МКБ-10
Общие сведения
Ателектаз легкого (греч. "ateles" - неполный + "ektasis" - растяжение) - это неполное расправление или тотальное спадение легочной ткани, приводящее к уменьшению дыхательной поверхности и нарушению альвеолярной вентиляции. Если спадение альвеол вызвано компрессией легочной ткани извне, то в этом случае обычно используется термин «коллапс легкого». В спавшемся участке легочной ткани создаются благоприятные предпосылки для развития инфекционного воспаления, бронхоэктазов, фиброза, что диктует необходимость применения активной тактики в отношении данной патологии. В пульмонологии ателектазом легкого могут осложняться самые различные заболевания и повреждения легких; среди них на долю послеоперационных ателектазов приходится 10-15%.

Причины
Ателектаз легкого развивается в результате ограничения или невозможности поступления воздуха в альвеолы, что может быть обусловлено целым рядом причин. Врожденный ателектаз у новорожденных наиболее часто возникает в связи с аспирацией мекония, околоплодных вод, слизи и т. д. Первичные ателектазы легкого характерны для недоношенных детей, у которых снижено образование или отсутствует сурфактант - антиателектический фактор, синтезируемый пневмоцитами. Реже причинами врожденных ателектазов становятся пороки развития легкого, внутричерепные родовые травмы, вызывающие угнетение дыхательного центра.
В этиологии приобретенных ателектазов легкого наибольшее значение принадлежит следующим факторам: закупорке просвета бронха, компрессии легкого извне, рефлекторным механизмам и аллергическим реакциям. Обтурационный ателектаз может возникать в результате попадания в бронх инородного тела, скопления в его просвете большого количества вязкого секрета, эндобронхиального роста опухоли. При этом величина ателектазированного участка прямо пропорциональна калибру обтурированного бронха.
Непосредственными причинами компрессионного ателектаза легкого, могут выступать любые объемные образования грудной полости, оказывающие давление на легочную ткань: аневризма аорты, опухоли средостения и плевры, увеличенные лимфоузлы при саркоидозе, лимфогранулематозе и туберкулезе и пр. Однако наиболее частыми причинами коллапса легкого становятся массивный экссудативный плеврит, пневмоторакс, гемоторакс, гемопневмоторакс, пиоторакс, хилоторакс. Послеоперационные ателектазы нередко развиваются после хирургических вмешательств на легких и бронхах. Как правило, они обусловлены повышением бронхиальной секреции и снижением дренажной функции бронхов (плохим откашливанием мокроты) на фоне перенесенной операционной травмы.
Дистензионные ателектазы легких вызваны нарушением растяжения легочной ткани нижних легочных сегментов вследствие ограничения дыхательной подвижности диафрагмы либо угнетения дыхательного центра. Участки гипопневматоза могут развиваться у лежачих больных, при заболеваниях, сопровождающихся рефлекторным ограничением вдоха (асците, перитоните, плеврите и пр.), отравлении барбитуратами и другими лекарственными средствами, параличе диафрагмы. В ряде случаев ателектаз легкого может возникнуть как следствие бронхоспазма и отека слизистой оболочки бронха при заболеваниях аллергической природы (астмоидном бронхите, бронхиальной астме и др.).
Патогенез
В первые часы в ателектазированном участке легкого отмечается вазодилатация и венозное полнокровие, приводящие к транссудации отечной жидкости в альвеолы. Происходит снижение активности ферментов эпителия альвеол и бронхов и протекающих с их участием окислительно-восстановительных реакций. Спадение легкого и нарастание отрицательного давления в плевральной полости вызывают смещение органов средостения в пораженную сторону. При выраженных нарушениях крово- и лимфообращения возможно развитие отека легких. Через 2-3 суток в очаге ателектаза развиваются признаки воспаления, прогрессирующие в ателектатическую пневмонию. При невозможности расправления легкого в течение длительного времени на месте ателектаза начинаются склеротические изменения с исходом в пневмосклероз, ретенционные кисты бронхов, деформирующий бронхит и бронхоэктазы.
Классификация
По происхождению ателектаз легкого может быть первичным (врожденным) и вторичным (приобретенным). Под первичным ателектазом понимают состояние, когда у новорожденного ребенка по какой-либо причине не происходит расправления легкого. В случае приобретенного ателектаза отмечается спадение легочной ткани, ранее уже участвовавшей в акте дыхания. Данные состояния необходимо отличать от внутриутробного ателектаза (безвоздушного состояния легких, наблюдаемого у плода) и физиологического ателектаза (гиповентиляции, имеющей место у некоторых здоровых людей и представляющей собой функциональный резерв легочной ткани). Оба этих состояния не являются истинным ателектазом легкого.
В зависимости от объема «выключенной» из дыхания легочной ткани ателектазы делятся на ацинозные, дольковые, сегментарные, долевые и тотальные. Они могут быть одно- и двусторонними - последние крайне опасны и могут привести к гибели больного. С учетом этиопатогенетических факторов ателектазы легких подразделяются на:
- обструктивные (обтурационные, резорбционные) - связанные с механическим нарушением проходимости трахеобронхиального дерева
- компрессионные (коллапс легкого) - вызванные сдавлением легочной ткани снаружи скоплением в плевральной полости воздуха, экссудата, крови, гноя
- контракционные - вызванные сдавлением альвеол в субплевральных отделах легких фиброзной тканью
- ацинарные - связанные с дефицитом сурфактанта; встречаются у новорожденных и взрослых при респираторном дистресс-синдроме.
Кроме этого, можно встретить деление ателектазов легких на рефлекторные и послеоперационные, развивающиеся остро и постепенно, неосложненные и осложненные, преходящие и стойкие. В развитии ателектаза легкого условно выделяют три периода: 1- спадение альвеол и бронхиол; 2 - явления полнокровия, транссудации и локального отека легочной ткани; 3 - замещение функциональной ткани соединительной, формирование пневмосклероза.
Симптомы ателектаза легкого
Яркость клинической картины ателектаза легкого зависит от скорости спадения и объема нефункционирующей легочной ткани. Одиночный сегментарный ателектаз, микроателектазы, среднедолевой синдром нередко протекают бессимптомно. Наиболее выраженной симптоматикой отличается остро развившийся ателектаз доли или целого легкого. При этом возникает внезапная боль в соответствующей половине грудной клетки, пароксизмальная одышка, сухой кашель, цианоз, артериальная гипотония, тахикардия. Резкое нарастание дыхательной недостаточности может стать причиной летального исхода.
Осмотр больного выявляет уменьшение дыхательной экскурсии грудной клетки и отставание пораженной половины при дыхании. Над очагом ателектаза определяется укороченный или тупой перкуторный звук, дыхание не прослушивается или резко ослаблено. При постепенном выключении легочной ткани из вентиляции симптомы выражены в меньшей степени. Однако в последующем в зоне гипопневматоза может развиться ателектатическая пневмония. Повышение температуры тела, появление кашля с мокротой, нарастание симптомов интоксикации свидетельствует о присоединении воспалительных изменений. В этом случае ателектаз легкого может осложниться развитием абсцедирующей пневмонии или даже абсцесса легкого.
Диагностика
Основу инструментальной диагностики ателектаза легкого составляют рентгенологические исследования, прежде всего, рентгенография легких в прямой и боковой проекциях. Для рентгенологической картины ателектаза характерно гомогенное затенение соответствующего легочного поля, смещение средостения в сторону ателектаза (при коллапсе легкого - в здоровую сторону), высокое положение купола диафрагмы на пораженной стороне, повышенная воздушность противоположного легкого. При рентгеноскопии легких на вдохе органы средостения смещаются в сторону спавшегося легкого, на выдохе и при кашле - в сторону здорового легкого. В сомнительных случаях данные рентгенографии уточняются с помощью КТ легких.

КТ органов грудной клетки. Ателектаз верхней доли правого легкого, обусловленный злокачественной опухолью правого верхнедолевого бронха
Для выяснения причин обструктивного ателектаза легкого информативна бронхоскопия. При длительно существующем ателектазе, для оценки степени поражения производятся бронхография и ангиопульмонография. Рентгеноконтрастное исследование бронхиального дерева выявляет уменьшение участка ателектазированного легкого и деформацию бронхов. По данным АПГ можно судить о состоянии легочной паренхимы и глубине ее поражения. Исследование газового состава крови выявляет значительное снижение парциального давления кислорода. В рамках дифференциальной диагностики исключаются агенезия и гипоплазия легкого, междолевой плеврит, релаксация диафрагмы, диафрагмальная грыжа, киста легкого, опухоли средостения, крупозная пневмония, цирроз легкого, гемоторакс и др.
Лечение ателектаза легкого
Выявление ателектаза легкого требует от врача (неонатолога, пульмонолога, торакального хирурга, травматолога) деятельной, активной тактики. Новорожденным с первичным ателектазом легкого в первые минуты жизни производится отсасывание содержимого дыхательных путей резиновым катетером, при необходимости - интубация трахеи и расправление легкого.
При обтурационном ателектазе, вызванном инородным телом бронха, для его извлечения необходимо проведение лечебно-диагностической бронхоскопии. Эндоскопическая санация бронхиального дерева (бронхоальвеолярный лаваж) необходима в том случае, если спадение легкого вызвано скоплением трудно откашливаемого секрета. С целью устранения послеоперационных ателектазов легкого показано проведение трахеальной аспирации, перкуторного массажа грудной клетки, дыхательной гимнастики, постурального дренажа, ингаляций с бронхолитическими и ферментными препаратами. При ателектазах легких любой этиологии необходимо назначение превентивной противовоспалительной терапии.
При коллапсе легкого, обусловленном наличием в плевральной полости воздуха, экссудата, крови и другого патологического содержимого, показано срочное проведение торакоцентеза или дренирования плевральной полости. В случае длительного существования ателектаза, невозможности расправления легкого консервативными методами, формирования бронхоэктазов ставится вопрос о резекции пораженного участка легкого.
Прогноз и профилактика
Успешность расправления легкого напрямую зависит от причины ателектаза и сроков начала лечения. При полном устранении причины в первые 2-3 суток прогноз в отношении полного морфологического восстановления участка легкого благоприятный. При более поздних сроках расправления легкого нельзя исключить развития вторичных изменений в спавшемся участке. Массивные или стремительно развившиеся ателектазы могут привести к смерти. Для профилактики ателектаза легкого важны недопущение аспирации инородных тел и желудочного содержимого, своевременное устранение причин внешнего сдавления легочной ткани, поддержание проходимости дыхательных путей. В послеоперационном периоде показана ранняя активизация больных, адекватное обезболивание, занятия ЛФК, активное откашливание бронхиального секрета, при необходимости - санация трахеобронхиального дерева.
1. Основные клинические синдромы при заболеваниях органов дыхания: Методическое пособие/ Павленко В.В. - 2008.
3. Восстановительная хирургия внутригрудных дыхательных путей: Практическое пособие/ Сачек М.Г., Аничкин В.В. - 1982.
Рентгенограмма с изменением диафрагмы слева при ателектазе: описание, заключение

Диафрагма (diaphragma от греч. — перегородка), или грудобрюшная преграда — это куполообразная перегородка, которая разделяет грудную и брюшную полости. Выделяют центральную сухожильную и краевую мышечную части диафрагмы. Сокращаясь и расслабляясь диафрагма принимает участие в акте дыхания.
Релаксация диафрагмы - одностороннее стойкое высокое расположение диафрагмы, сохраняющей свою непрерывность и прикрепление в обычных местах.
В основе заболевания — повреждение диафрагмального нерва, при котором диафрагма расслабляется и не сокращается (т.е. наступает её релаксация). Так как в брюшной полости положительное давление, а в грудной клетке в большей части отрицательное, то органы брюшной полости давят на релаксированный купол диафрагмы. Таким образом, купол диафрагмы поднимается выше обычного, сдавливая собой соответствующее легкое. Часто заболевание так и называют — релаксация купола диафрагмы.
При диафрагмальной грыже органы брюшной полости перемещаются в грудную клетку через образовавшийся дефект, слабую зону диафрагмы или через расширенное естественное отверстие диафрагмы. В отличие от грыж при релаксации диафрагмы имеется резкое истончение ее и отсутствие мышц в целом купоне диафрагмы или в какой-либо части. Этот участок или весь купол выпячивается высоко в грудную клетку вместе с прилежащими органами брюшной полости. Выраженные грыжевые ворота при этом отсутствуют, поэтому ущемление при этом заболевании невозможно.
Релаксация диафрагмы — причины
Наиболее частой причиной травмы диафрагмального нерва являются операции на органах средостения:
- маммарно-коронарное шунтирование;
- тимэктомия;
- удаление опухолей средостения;
- операции по поводу рака легкого с расширенной лимфаденэктомией;
- операции на диафрагме и другие.
Соответственно, основным методом профилактики является тщательная визуализация и предупреждение повреждений диафрагмального нерва во время операций на органах средостения.
На втором месте по частоте развития релаксации диафрагмы стоит травма груди и шеи. Повреждения диафрагмального нерва могут возникать при гематоме средостения, травме шейного отдела позвоночника, разрывах диафрагмы, в которые вовлечен диафрагмальный нерв.
Разделяют врожденную и приобретенную релаксации диафрагмы. Виды приобретенной:
- травматическая;
- вследствие воспалительных процессов;
- идиопатическая.
По расположению релаксация может быть:
- левосторонняя — релаксация левого купола диафрагмы;
- правосторонняя — релаксация правого купола диафрагмы.
Расслабление диафрагмы может быть полным (тотальным) или частичным (локальным).
Локальная релаксация диафрагмы
Частичная или локальная релаксация диафрагмы, как правило, наблюдается справа. Чаще всего ограниченная релаксация локализуется в передне-медиальном отделе диафрагмы справа, что может объясняться слабостью мышечных пучков, отходящих в этой области от задней поверхности грудины. Слева этот участок прикрыт париетальным листком перикарда и верхушкой сердца. При этом купол диафрагмы дугообразно выпячивается в сторону легкого, а печень деформируется, повторяя форму области релаксации.
Причиной ограниченной релаксации могут быть следующие заболевания:
- эхинококкоз печени и селезенки;
- поддиафрагмальный абсцесс;
- наддиафрагмальный осумкованный плеврит;
- кисты перикарда;
- базальная пневмония;
- ограниченная гипоплазия диафрагмы.
Главным признаком ограниченной релаксации является локальное дугообразное выпячивание передне-медиальной части диафрагмы и ее истончение на этом участке. Чаще заболевание протекает бессимптомно, реже больные предъявляют жалобы на боль в груди или в области сердца, кашель; могут встречаться и диспепсические явления.
Признаки релаксации диафрагмы
По клиническому течению релаксации диафрагмы выделяют 4 формы:
- бессимптомную;
- со стертыми клиническими проявлениями;
- с выраженными клиническими симптомами;
- осложненную (заворот желудка, язва желудка, кровотечение и др.).
Выраженность симптомов релаксации диафрагмы весьма различна - от полного отсутствия симптомов заболевания до значительных функциональных расстройств пищеварительной, дыхательной, сердечно-сосудистой и других систем.
Симптомы зависят от выраженности смещения диафрагмы и органов брюшной и плевральной полостей, а также от стороны поражения: наиболее выраженной, как правило, бывает левосторонняя релаксация. При этом из брюшной полости высоко вверх поднимаются желудок, толстая кишка, селезенка, реже - тонкая кишка. Смещенный вверх желудок претерпевает те же изменения положения, что и при диафрагмальной грыже - его большая кривизна поворачивается кверху и прилежит к диафрагме.
Наиболее характерные симптомы
- приступы боли и слабости;
- потеря массы тела;
- одышка;
- кашель;
- ощущение сердцебиения.
В каждом отдельном случае на первый план выступает определенная группа симптомов со стороны тех органов, функция которых наиболее нарушена. В зависимости от этого выделяют три основных синдрома:
- дыхательный,
- сердечно-сосудистый;
- пищеварительный.
У детей выделяют особую кардиореспираторную форму релаксации.
Дыхательный синдром проявляется одышкой после незначительной физической нагрузки, изменения положения тела и, что особенно характерно, после приема пищи. Частым проявлением дыхательного синдрома является раздражающий сухой кашель, также возникающий после приема пищи или изменения положения тела. Дыхательный синдром обусловлен выключением половины диафрагмы из дыхания, давлением ее на нижние отделы легкого.
Сердечно-сосудистый синдром связан со смещением сердца и характеризуется тахикардией, аритмией, ощущением сердцебиения и ангинозными болями. Он обусловлен смещением и ротацией сердца вследствие высокого стояния купола диафрагмы.
При пищеварительном синдроме отмечается:
- дисфагия (в том числе и пародоксальная);
- боли в эпигастрии и подреберье;
- чувство тяжести после еды;
- частые отрыжки;
- икота;
- изжога;
- урчание в животе;
- тошнота и рвота;
- метеоризм и запоры,
- дисфагия.
Причиной указанных жалоб является выпадение динамической функции диафрагмы, перегиб абдоминального отдела пищевода, заворот желудка с растяжением его и нарушением кровообращения, что может провоцировать развитие эрозивного гастрита, венозного стаза и язв. Осложнениями могут быть рецидивирующие желудочно-кишечные кровотечения; в литературе имеются даже описания случаев гангрены желудка.
ЭКГ. Инструментальные исследования дают возможность выявить нарушения функции внешнего дыхания, характерно значительное уменьшение ЖЕЛ. На электрокардиограмме у таких больных часто наблюдаются экстрасистолы, признаки замедления внутрижелудочковой проводимости и нарушения коронарного кровообращения.
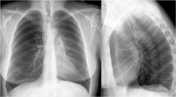
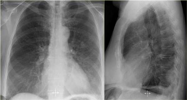
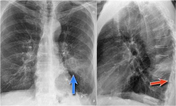
Рентген. Рентгенологическое исследование является решающим в диагностике релаксации, при этом определяются следующие симптомы:
- стойкое повышение уровня расположения соответствующего купола диафрагмы до 2 - 5 ребра;
- в горизонтальном положении диафрагма и прилежащие к ней органы брюшной полости смещаются кверху;
- контур диафрагмы представляет собой ровную, непрерывную дугообразную линию.
Нередко выявляется ателектаз нижних отделов легкого и смещение средостения.

Релаксация диафрагмы рентген (левый купол)
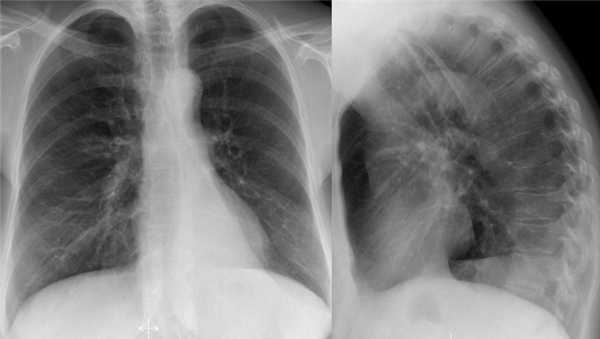
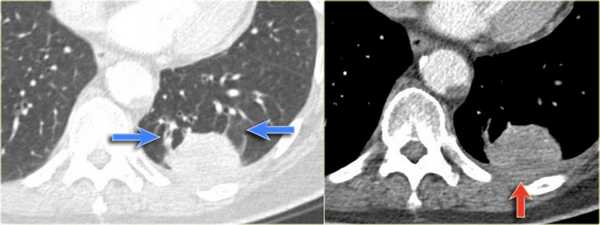
КТ. Наиболее информативным методом исследования является компьютерная томография, дающая полную информацию о степени релаксации и характере изменений органов грудной и брюшной полостей. Во всех случаях релаксации, даже при небольшой ее выраженности, наблюдается ателектаз и воспалительные изменения базальных сегментов легкого. С внедрением компьютерной томографии практически отпала надобность в остальных традиционных методах дифференциальной диагностики.

Релаксация правого купола диафрагмы на КТ
Лечение
Лечение релаксации диафрагмы только хирургическое.
Показанием к плановой операции является релаксация:
- сопровождающаяся болевым синдромом;
- сдавлением и уменьшением объема легкого с нарушениями функции дыхания;
- смещением средостения с нарушениями сердечно-сосудистой деятельности;
- высоким стоянием органов желудочно-кишечного тракта с нарушениями пищеварения.
Экстренные показания к операции возникают при завороте желудка, разрыве диафрагмы, остром желудочном кровотечении и других осложнениях.
Задачей хирургического вмешательства является восстановление исходного уровня стояния диафрагмы, в результате чего грудные и брюшные органы должны занять свое нормальное положение. Операция заключается в пластике диафрагмы собственными тканями или пластике сетчатым протезом.
Современным и перспективным направлением хирургии диафрагмы при ее релаксации являются торакоскопические и лапароскопические операции. Общеизвестные преимущества эндоскопических операций - прежде всего минимальное повреждение дыхательной мускулатуры грудной стенки.
В отделении торако абдоминальной хирургии и онкологии РНЦХ им. Петровского предпочтение отдается оперативному лечению диафрагмы из лапароскопического доступа. Опыт выполнения данных оперативных вмешательств из лапароскопического и торакоскопического доступов составляет более 10 лет.
Пластика диафрагмы проводится сетчатым протезом. Российский научный Центр хирургии является одним из основоположников хирургии диафрагмы с использованием синтетических протезов. Аллопластику (сетчатым протезом) диафрагмы применяют с 1951 г., у истоков создания метода стоял выдающийся отечественный хирург и основатель Центра хирургии, академик Б.В. Петровский.
Вас может заинтересовать: Хирургия диафрагмы, Грыжи диафрагмы.
Прогноз
Прогноз лечения благоприятный. Важно соблюдать рекомендации при выписке из стационара и исключения вредных социальных факторов. Выздоровление с восстановлением трудоспособности происходит через 1-2 месяца от операции.
Лечение в отделении торакоабдоминальной хирургии РНЦХ им. Петровского
Если Вы ищете клинику для лечения релаксации диафрагмы — обращайтесь в наш центр. Лечение в отделении торако-абдоминальной хирургии — это торакальные хирурги с огромным опытом работы, новейшее оборудование и комфортные условия стационара. Ознакомьтесь с отзывами пациентов нашего отделения.
Мы осуществляем лечение бесплатно по программе ОМС, ДМС и на коммерческой основе. Оказываем помощь в рамках высокотехнологичной медицинской помощи.
Релаксация диафрагмы МКБ 10 код: J98.6. Болезни диафрагмы.
Принимаем на лечение жителей всех регионов России. Узнайте подробности, как попасть на лечение в отделение торако-абдоминальной хирургии РНЦХ.
Для записи на консультацию позвоните по телефонам:
Отправьте заявку на консультацию, заполнив форму на нашем сайте и прикрепив необходимые документы.
Читайте также:
