Рентгенологические признаки поражения язычковых сегментов. Ателектаз язычка легкого
Добавил пользователь Евгений Кузнецов Обновлено: 09.01.2026
- Позвольте мне сразу перейти к следующей лекции и попросить Ирину Александровну рассказать о состоянии корней легких, о патологии лимфатических узлов. Все, что связано с этой проблемой. Пожалуйста, Ирина Александровна.
Ирина Александровна Соколина, кандидат медицинских наук, руководитель отделения лучевой диагностики Клиники пропедевтики имени Василенко ПМГМУ:
- Спасибо большое, Игорь.
Итак, сегодня мы с вами поговорим о рентгеноанатомии корней легких и о рентгенологическом синдроме изменения корней легких.
С точки зрения анатомии, корни легких представляют собой совокупность структур, которые расположены топографически определенным образом в воротах легких. Они включают в себя ряд анатомических элементов.
Это, прежде всего, легочная артерия, легочные вены, сопутствующие легочным артериям бронхи, лимфатические сосуды, узлы, клетчатка и листки плевры.
Надо сказать, что на большом протяжении указанные образования располагаются экстрапульмонально и на рентгенограммах могут быть скрыты тенью сердца, поэтому анатомически и рентгенологически понятие корня легкого несколько отличается.
С точки зрения рентгенологии, нормальный корень легкого на рентгенограммах, которые выполняются при правильной установке больного, представлен суммарной тенью крупных легочных сосудов.
Необходимо сказать - анализируя корень легкого, необходимо обращать внимание на установку пациента. Это должна быть правильная установка больного, которая определяется по симметричному расстоянию между остистыми отростками, которые мы видим, и грудинно-ключичными сочленениями. Небольшие повороты могут вызывать изменения отображения корня легкого и симулировать какие-то патологические состояния.
Корни правого и левого легкого в норме располагаются неодинаково. Правый корень представлен, как мы видим на рентгенограмме, дугообразно искривленной тенью средней плотности. Эта тень расширена в верхнем отделе и незначительно суживается книзу. Корень правого легкого располагается на уровне II ребра и II межреберья.
В основном корень правого легкого представлен нижней долевой легочной артерией и расположенным рядом с ним промежуточным бронхом. Он отчетливо виден при рентгенологическом исследовании в виде просветления.
Корень левого легкого чаще всего бывает прикрыт тенью сердца и виден у небольшого количества пациентов. В соответствии с анатомическими особенностями, корень левого легкого располагается на одно ребро выше корня правого легкого. Это необходимо помнить, анализируя рентгенограмму.
Это что касается расположения корней легких.
По структуре тень корня легкого в норме неоднородна, потому что представлена в основном сосудами, которые разветвляются на более мелкие ветви. Формируется неоднородность корня. Плюс корень легкого пересекается еще и бронхами. Это в норме создает неоднородность его структуры.
Наружные границы корня легкого представлены, как я уже говорила, расходящимися сосудистыми тенями. Направление артерий, как мы знаем, более вертикальное. Вены располагаются более горизонтально. Четкость контура на отдельных участках может быть не так выражена за счет наслоения просветления от бронхов.
Что касается деления корня на отделы: головка, тело и хвостовая часть. Оно сохраняет свою актуальность. Нижняя часть корня легкого (хвост) образована в основном мелкими разветвлениями сосудов уже сегментарных бронхов.
Что касается ширины корней легких. В основном ширина корня легкого определяется по правому корню. В норме она представляет собой ширину артериального ствола и промежуточного бронха. В норме, если брать эти две структуры, она не должна превышать 2,5 сантиметров.
Как правило, если мы будем измерять непосредственно только сосудистый ствол (то есть нижнюю долевую легочную артерию), то ширина ее не должна превышать 1,5, максимум 2 сантиметров.
Мы говорили о тех критериях, по которым мы оцениваем корень легкого при рентгенологическом исследовании. Расположение, структура, границы, четкость контуров и ширина корня.
В КТ изображении корни легких представляются на нескольких сканах. Мы анализируем их последовательно. Здесь хорошо выявляются бронхи, поскольку они воздухсодержащие, и прилежащие к ним сосудистые структуры.
Надо сказать, что дифференцировать сосудистые структуры от увеличенных лимфатических узлов, особенно если слабо выражена клетчатка средостения (это обычно встречается у детей, у молодых людей), практически невозможно. Дифференциальная диагностика между сосудистой патологией и увеличенными лимфатическими узлами или какими-то патологическими образованиями обычно проводится с применением внутривенного контрастирования. Оно позволяет нам различить эти структуры.
Что касается изменения корней легких. Под этим подразумевают любые отклонения от нормальной рентгенологической картины корней. Это может быть обусловлено различными патологическими состояниями. Чаще всего это увеличение лимфатических узлов.
К изменению корней легких могут приводить патологические состояния сосудов в виде аневризматического расширения или агенезии каких-то сосудистых элементов. Это поражения бронхов - в основном опухолевые. Изменение кровоснабжения в виде отека легких (расстройства обмена тканевой жидкости). Склеротические фиброзные процессы.
Все это может приводить к изменению расположения, величины, формы, структуры и плотности контуров корней легких.
Надо сказать, чтобы изолировано корень легкого менялся и вокруг не было каких-либо изменений - это встречается редко. В данном случае смещение корней легких обычно обусловлено изменением непосредственно объема легочной ткани.
Это может быть увеличение объема (мы видим на правом снимке), обусловленное буллезной эмфиземой. Изменение за счет буллы, которая смещает корень правого легкого. Какие-то фиброзные изменения могут приводить к смещению корней в ту или иную сторону.
Как правило, на причину такого смещения корней легких указывают те изменения легочной ткани, которые мы видим.
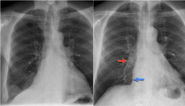
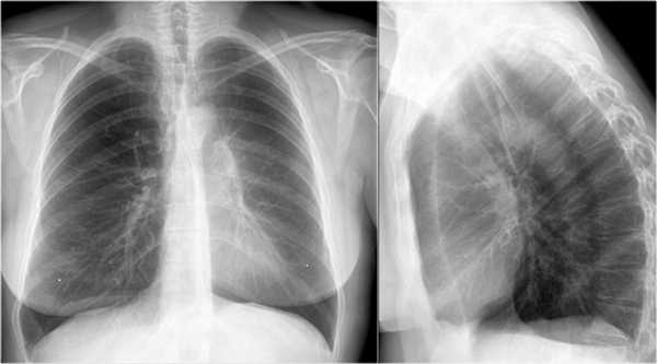
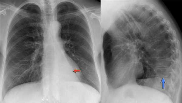
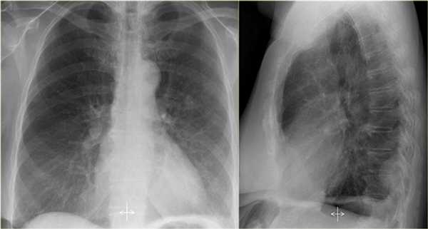
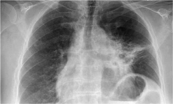
Но случаются ситуации, когда мы не видим никаких изменений, как на обзорной рентгенограмме в данном случае: практически легочные ткани. Но, посмотрите - корень левого легкого располагается на одном уровне с корнем правого легкого. Это позволяет нам предположить, нет ли тут какого-то процесса, который приводит к уменьшению объема.
На боковой рентгенограмме мы видим ателектаз язычковых сегментов, который в данном случае скрыт за тенью сердца. Именно этот процесс и вызывает смещение корня легкого.
Изменение структуры корня легкого проявляется обычно тем, что различные элементы в связи с отеком или фиброзом становятся плохо различимы. Это проявляется появлением однородности тени корня. В норме корень неоднородный. Он уплотняется, сосудистые структуры и отдельные элементы корня плохо дифференцируются.
Кроме того, нарастает интенсивность [тени] корня легкого. Просвет промежуточного бронха, который в норме, как мы видели, хорошо виден, утрачивает свою прозрачность. Становится завуалирован либо совсем не виден.
Повышение плотности корня легкого, как правило, обусловлено обызвествлением грудных лимфатических узлов, которое может иметь различную распространенность. Может быть скорлуповидным, глыбчатым, неравномерным, в виде тутовой ягоды.
Изменение контуров корней легких может быть нескольких видов. Чаще всего мы видим полициклические контуры корней легких, которые обусловлены в основном увеличенными лимфатическими сосудами.
Здесь представлен пациент с саркоидозом внутригрудных лимфатических узлов. Здесь двустороннее увеличение, расширение корней легких и полициклические контуры, которые образованы как раз увеличенными бронхопульмональными лимфатическими узлами.
Здесь может встречаться так называемый «симптом кулис», который обусловлен суперпозицией передней и задней группы бронхопульмональных лимфатических узлов.
Бугристые контуры корней легких встречаются преимущественно при опухолевых процессах. При этом также отмечается преимущественно одностороннее расширение корня легкого.
Нечеткие контуры корней легких, как правило, обусловлены отеком перибронховаскулярной ткани, который может возникать при различных застойных изменениях в легких. Могут возникать реактивно при воспалительных изменениях - за счет периваскулярного, перибронхиального отека или воспаления.
Тяжистые контуры обусловлены фиброзными изменениями за счет развития перигилярного фиброза. Причинами этого могут быть различные процессы.
Большое значение имеет, если мы говорим о синдроме изменения корней, расширение и деформация корня легкого. Сочетанный процесс с различными изменениями структуры его и границ. Здесь большое значение имеет - одностороннее или двустороннее расширение корней легких.
Одностороннее расширение и деформация корней легких обычно встречается при туберкулезном бронхоадените. Как правило, в этих случаях мы видим расширение корня, изменение его структуры, нечеткость границ. Эти изменения лучше всего выявляются при компьютерно-томографическом исследовании.
Надо сказать, что при любом подозрении на расширение корня легкого и для установления причины расширения корня легкого требуется в дальнейшем уточнение с помощью линейной томографии. Конечно, в настоящее время это компьютерная томография (лучше всего - с внутривенным контрастированием).
При компьютерно-томографическом исследовании туберкулез внутригрудных лимфатических узлов проявляется увеличением бронхопульмональных лимфатических узлов корня одного легкого и вышележащих лимфатических узлов средостения.
Подтверждают специфическую природу поражения лимфатических узлов с помощью внутривенного контрастирования (при этом происходит неравномерное накопление контрастного препарата), по капсуле лимфатического узла, фрагментарно. Это происходит за счет того, что в центре казеозные массы, которые не накапливают контрастный препарат. Инфильтрация перинодулярной клетчатки.
Туберкулезное поражение лимфатических узлов может сопровождаться различными нарушениями в легочной ткани: в форме сдавления бронхов, формирования ателектатических нарушений, диссеминации очагов отсева.
Конечно, туберкулез внутригрудных лимфоузлов - это первичный туберкулез. Он чаще встречается у детей. Но необходимо помнить о том, что и у пожилых людей также может наступать при неблагоприятных условиях реактивация старых туберкулезных очагов.
Здесь приведен пример пациента пожилого (81 года). Он поступил в клинику с такими жалобами на повышение температуры тела, одышку при физической нагрузке.
У него достаточно длительный анамнез. Начинается он с 1947-го года, когда он перенес пневмонию. Затем он обследовался в противотуберкулезных диспансерах, где диагноз туберкулеза был отвергнут. Проводилось обследование и лечение в стационаре по поводу бронхитов на протяжении последних лет.
Все равно нарастали слабость, кашель. В связи с вышеуказанными жалобами он поступил на обследование.
Из анамнеза жизни стоит отметить, конечно, что он перенес субтотальную резекцию желудка без применения химиотерапии. Наблюдается у онколога.
Мы видим его рентгенограммы за 2010-й год. Корень правого легкого расширен, уплотнен. Мы видим (неразборчиво термин, 15:29) изменения в переднем сегменте: уплотнение легочной ткани.
Он был дообследован с помощью линейной томографии. Мы видим проходимость всех бронхов. На этом этапе данных за туберкулезное поражение не наблюдалось.
Как раз на фоне ухудшения состояния, повышения температуры было проведено рентгенологическое обследование. В данном случае мы видим, что у корня легкого появилась нечеткость контуров, увеличение воспалительных изменений верхней доли правого легкого.
Посмотрите в динамике эти два снимка за 2010-й и 2011-й год. Здесь, конечно, четко видна на последнем снимке отрицательная динамика.
Чем это может быть обусловлено?
Первое, что приходит на ум, учитывая клинику такой картины, эти три процесса. Возможно, развитие пневмонии, центральный рак либо метастазы в лимфатические узлы в связи с тем, что у пациента была опухоль в анамнезе.
При проведении компьютерной томографии (мы не стали водить контраст - достаточно пожилой пациент) мы видим четко увеличенные лимфатические узлы, одностороннее увеличение лимфатических узлов.
В бифуркационной группе как раз неоднородная структура лимфатического узла.
В паратрахеальной - крупный лимфатический узел: полостное образование, которое оказалось бронхомодулярным свищом. Это было подтверждено при бронхоскопическом исследовании.
Ателектатические воспалительные изменения в верхней доле правого легкого и очаги обсеменения.
Дообследование пациента с помощью компьютерной томографии позволило установить правильный диагноз у пациента.
Но бывают сложные ситуации. Пациент 32-х лет, который был направлен к нам на компьютерную томографию (он ВИЧ-инфицирован несколько лет) для уточнения изменений в проекции корня левого легкого. Мы видим подозрение на патологическое образование в корне легкого: деформированы контуры.
При нативном исследовании видно, что отмечается локальное расширение аорты в области дуги. Но наряду с этим, посмотрите, выявляются увеличенные лимфатические узлы (они здесь показаны желтыми стрелками) в бифуркационной группе и трахеобронхиальной группе.
Размеры их - где-то до 1,5 сантиметров. Это пограничные размеры. Существует много дискуссий по поводу того, какие должны быть размеры лимфатических узлов.
После проведения внутривенного контрастирования мы четко видим аневризматическое локальное расширение дуги аорты.
Посмотрите, как лимфатические узлы (даже незначительно увеличенные) накапливают контрастный препарат: фрагментарно, по капсуле. Это позволило высказаться о том, что у пациента наряду с локальным расширением имеется и туберкулез внутригрудных лимфатических узлов.
Ему была назначена противотуберкулезная терапия. В динамике (мы видим здесь уже без контрастирования исследование) - уменьшение размеров лимфатических узлов и частичное обызвествление.
Одностороннее расширение и деформация корня легкого, помимо туберкулезного поражения, конечно, чаще всего встречается при опухолевых процессах. В данном случае не рентгенограмме мы видим расширение корня правого легкого, уплотнение корня правого легкого и тяжистые контуры.
При компьютерно-томографическом исследовании в корне правого легкого - большое узловое образование: перибронхиально-узловой рак. Наличие увеличенных лимфатических узлов. Изменения обусловлены опухолевым процессом.
Применение внутривенного контрастирования позволяет определить, прежде всего, стадию злокачественной опухоли, степень инвазии в крупные сосуды, в окружающие структуры. Это определяет тактику лечения пациента. В динамике наблюдения на фоне химиотерапии.
Двустороннее расширение и деформация корней легких обычно встречается при саркоидозе ВГЛУ. При этом мы видим двустороннее достаточно симметричное расширение корней с полицикличными контурами.
При компьютерно-томографическом исследовании лимфатические узлы имеют очень характерные черты. Определяется системное увеличение лимфатических узлов. Они имеют однородную структуру, четкие контуры, отсутствие изменений окружающей клетчатки.
Как правило, лимфатические узлы поражаются множественно - каждый в своей группе. Они очень редко приводят к сдавлению бронхов, к возникновению гиповентиляционных ателектатических изменений.
После контрастного усиления, в отличие от туберкулеза ВГЛУ, при саркоидозе они равномерно накапливают контрастный препарат всем объемом. Их плотность незначительно возрастает.
Надо сказать, что при хроническом течении саркоидоза наблюдается формирование кальцината. Сначала уплотнение лимфатического узла в центре, а затем отложение кальция. Раньше всегда считалось, что кальцинаты в лимфатических узлах - это прерогатива только туберкулеза. Нет. По нашим наблюдениям, все гранулематозные процессы могут сопровождаться отложением кальция во ВГЛУ.
При этом при саркоидозе мы видим, что кальцинаты, как правило, формируются и максимально выражены в центре лимфоузла, где в основном это воспаление, и вдали от бронхов.
Здесь приведены кальцинаты ВГЛУ. При силикозе характерны скорлупообразные кальцинаты, при саркоидозе и при туберкулезном поражении.
Двустороннее расширение и деформация корней легких может быть обусловлена не только увеличением лимфатических узлов, но и при легочной гипертензии. В данном случае у пациентки мы видим расширение корней легких и справа характерный симптом, который, кстати, редко встречается - сигарообразный контур.
При внутривенном контрастировании мы видим массивное поражение правой ветви легочной артерии, расширение легочной артерии. Это хроническое течение тромбоэмболии, поскольку мы видим реканализацию тромба. Выраженная двусторонняя гипертензия приводит к расширению корней легких.
Сужение корня легкого встречается крайне редко. В основном оно обусловлено агенезией легочной артерии. При этом рентгенологически отмечается повышение прозрачности одного из легочных полей, отсутствие нормального легочного рисунка и отсутствие собственной тени корня легкого. Это подтверждается (раньше при ангиопульмонографии) при КТ-ангиографии.
При сцинтиграфии этот случай. Мы видим полное отсутствие кровотока в правом легком.
В заключение мне бы хотелось сказать, что [тень] корней легких рентгенологически образуют бронхи и долевые сегментарные ветви легочной артерии, долевые и сегментарные бронхи, крупные вены.
Морфологической основой изменений корней легких является увеличение лимфатических узлов, патологические состояния сосудов, поражения бронхов, расстройства обмена тканевой жидкости, склеротические фиброзные процессы.
Синдром изменения корней легких включает любые отклонения от нормальной картины легких.
Компьютерная томография с внутривенным контрастированием в настоящее время является ведущим методом диагностики патологических изменений корня легкого.
Ателектаз легкого
Ателектаз легкого - безвоздушность легочной ткани, обусловленная спадением альвеол на ограниченном участке (в сегменте, доле) или во всем легком. При этом пораженная легочная ткань исключается из газообмена, что может сопровождаться признаками дыхательной недостаточности: одышкой, болью в грудной клетке, цианотичным оттенком кожных покровов. Наличие ателектаза устанавливается по данным аускультации, рентгенографии и КТ легкого. Для расправления легкого может назначаться лечебная бронхоскопия, ЛФК, массаж грудной клетки, противовоспалительная терапия. В ряде случаев требуется хирургическое удаление ателектазированного участка.
МКБ-10
Общие сведения
Ателектаз легкого (греч. "ateles" - неполный + "ektasis" - растяжение) - это неполное расправление или тотальное спадение легочной ткани, приводящее к уменьшению дыхательной поверхности и нарушению альвеолярной вентиляции. Если спадение альвеол вызвано компрессией легочной ткани извне, то в этом случае обычно используется термин «коллапс легкого». В спавшемся участке легочной ткани создаются благоприятные предпосылки для развития инфекционного воспаления, бронхоэктазов, фиброза, что диктует необходимость применения активной тактики в отношении данной патологии. В пульмонологии ателектазом легкого могут осложняться самые различные заболевания и повреждения легких; среди них на долю послеоперационных ателектазов приходится 10-15%.

Причины
Ателектаз легкого развивается в результате ограничения или невозможности поступления воздуха в альвеолы, что может быть обусловлено целым рядом причин. Врожденный ателектаз у новорожденных наиболее часто возникает в связи с аспирацией мекония, околоплодных вод, слизи и т. д. Первичные ателектазы легкого характерны для недоношенных детей, у которых снижено образование или отсутствует сурфактант - антиателектический фактор, синтезируемый пневмоцитами. Реже причинами врожденных ателектазов становятся пороки развития легкого, внутричерепные родовые травмы, вызывающие угнетение дыхательного центра.
В этиологии приобретенных ателектазов легкого наибольшее значение принадлежит следующим факторам: закупорке просвета бронха, компрессии легкого извне, рефлекторным механизмам и аллергическим реакциям. Обтурационный ателектаз может возникать в результате попадания в бронх инородного тела, скопления в его просвете большого количества вязкого секрета, эндобронхиального роста опухоли. При этом величина ателектазированного участка прямо пропорциональна калибру обтурированного бронха.
Непосредственными причинами компрессионного ателектаза легкого, могут выступать любые объемные образования грудной полости, оказывающие давление на легочную ткань: аневризма аорты, опухоли средостения и плевры, увеличенные лимфоузлы при саркоидозе, лимфогранулематозе и туберкулезе и пр. Однако наиболее частыми причинами коллапса легкого становятся массивный экссудативный плеврит, пневмоторакс, гемоторакс, гемопневмоторакс, пиоторакс, хилоторакс. Послеоперационные ателектазы нередко развиваются после хирургических вмешательств на легких и бронхах. Как правило, они обусловлены повышением бронхиальной секреции и снижением дренажной функции бронхов (плохим откашливанием мокроты) на фоне перенесенной операционной травмы.
Дистензионные ателектазы легких вызваны нарушением растяжения легочной ткани нижних легочных сегментов вследствие ограничения дыхательной подвижности диафрагмы либо угнетения дыхательного центра. Участки гипопневматоза могут развиваться у лежачих больных, при заболеваниях, сопровождающихся рефлекторным ограничением вдоха (асците, перитоните, плеврите и пр.), отравлении барбитуратами и другими лекарственными средствами, параличе диафрагмы. В ряде случаев ателектаз легкого может возникнуть как следствие бронхоспазма и отека слизистой оболочки бронха при заболеваниях аллергической природы (астмоидном бронхите, бронхиальной астме и др.).
Патогенез
В первые часы в ателектазированном участке легкого отмечается вазодилатация и венозное полнокровие, приводящие к транссудации отечной жидкости в альвеолы. Происходит снижение активности ферментов эпителия альвеол и бронхов и протекающих с их участием окислительно-восстановительных реакций. Спадение легкого и нарастание отрицательного давления в плевральной полости вызывают смещение органов средостения в пораженную сторону. При выраженных нарушениях крово- и лимфообращения возможно развитие отека легких. Через 2-3 суток в очаге ателектаза развиваются признаки воспаления, прогрессирующие в ателектатическую пневмонию. При невозможности расправления легкого в течение длительного времени на месте ателектаза начинаются склеротические изменения с исходом в пневмосклероз, ретенционные кисты бронхов, деформирующий бронхит и бронхоэктазы.
Классификация
По происхождению ателектаз легкого может быть первичным (врожденным) и вторичным (приобретенным). Под первичным ателектазом понимают состояние, когда у новорожденного ребенка по какой-либо причине не происходит расправления легкого. В случае приобретенного ателектаза отмечается спадение легочной ткани, ранее уже участвовавшей в акте дыхания. Данные состояния необходимо отличать от внутриутробного ателектаза (безвоздушного состояния легких, наблюдаемого у плода) и физиологического ателектаза (гиповентиляции, имеющей место у некоторых здоровых людей и представляющей собой функциональный резерв легочной ткани). Оба этих состояния не являются истинным ателектазом легкого.
В зависимости от объема «выключенной» из дыхания легочной ткани ателектазы делятся на ацинозные, дольковые, сегментарные, долевые и тотальные. Они могут быть одно- и двусторонними - последние крайне опасны и могут привести к гибели больного. С учетом этиопатогенетических факторов ателектазы легких подразделяются на:
- обструктивные (обтурационные, резорбционные) - связанные с механическим нарушением проходимости трахеобронхиального дерева
- компрессионные (коллапс легкого) - вызванные сдавлением легочной ткани снаружи скоплением в плевральной полости воздуха, экссудата, крови, гноя
- контракционные - вызванные сдавлением альвеол в субплевральных отделах легких фиброзной тканью
- ацинарные - связанные с дефицитом сурфактанта; встречаются у новорожденных и взрослых при респираторном дистресс-синдроме.
Кроме этого, можно встретить деление ателектазов легких на рефлекторные и послеоперационные, развивающиеся остро и постепенно, неосложненные и осложненные, преходящие и стойкие. В развитии ателектаза легкого условно выделяют три периода: 1- спадение альвеол и бронхиол; 2 - явления полнокровия, транссудации и локального отека легочной ткани; 3 - замещение функциональной ткани соединительной, формирование пневмосклероза.
Симптомы ателектаза легкого
Яркость клинической картины ателектаза легкого зависит от скорости спадения и объема нефункционирующей легочной ткани. Одиночный сегментарный ателектаз, микроателектазы, среднедолевой синдром нередко протекают бессимптомно. Наиболее выраженной симптоматикой отличается остро развившийся ателектаз доли или целого легкого. При этом возникает внезапная боль в соответствующей половине грудной клетки, пароксизмальная одышка, сухой кашель, цианоз, артериальная гипотония, тахикардия. Резкое нарастание дыхательной недостаточности может стать причиной летального исхода.
Осмотр больного выявляет уменьшение дыхательной экскурсии грудной клетки и отставание пораженной половины при дыхании. Над очагом ателектаза определяется укороченный или тупой перкуторный звук, дыхание не прослушивается или резко ослаблено. При постепенном выключении легочной ткани из вентиляции симптомы выражены в меньшей степени. Однако в последующем в зоне гипопневматоза может развиться ателектатическая пневмония. Повышение температуры тела, появление кашля с мокротой, нарастание симптомов интоксикации свидетельствует о присоединении воспалительных изменений. В этом случае ателектаз легкого может осложниться развитием абсцедирующей пневмонии или даже абсцесса легкого.
Диагностика
Основу инструментальной диагностики ателектаза легкого составляют рентгенологические исследования, прежде всего, рентгенография легких в прямой и боковой проекциях. Для рентгенологической картины ателектаза характерно гомогенное затенение соответствующего легочного поля, смещение средостения в сторону ателектаза (при коллапсе легкого - в здоровую сторону), высокое положение купола диафрагмы на пораженной стороне, повышенная воздушность противоположного легкого. При рентгеноскопии легких на вдохе органы средостения смещаются в сторону спавшегося легкого, на выдохе и при кашле - в сторону здорового легкого. В сомнительных случаях данные рентгенографии уточняются с помощью КТ легких.

КТ органов грудной клетки. Ателектаз верхней доли правого легкого, обусловленный злокачественной опухолью правого верхнедолевого бронха
Для выяснения причин обструктивного ателектаза легкого информативна бронхоскопия. При длительно существующем ателектазе, для оценки степени поражения производятся бронхография и ангиопульмонография. Рентгеноконтрастное исследование бронхиального дерева выявляет уменьшение участка ателектазированного легкого и деформацию бронхов. По данным АПГ можно судить о состоянии легочной паренхимы и глубине ее поражения. Исследование газового состава крови выявляет значительное снижение парциального давления кислорода. В рамках дифференциальной диагностики исключаются агенезия и гипоплазия легкого, междолевой плеврит, релаксация диафрагмы, диафрагмальная грыжа, киста легкого, опухоли средостения, крупозная пневмония, цирроз легкого, гемоторакс и др.
Лечение ателектаза легкого
Выявление ателектаза легкого требует от врача (неонатолога, пульмонолога, торакального хирурга, травматолога) деятельной, активной тактики. Новорожденным с первичным ателектазом легкого в первые минуты жизни производится отсасывание содержимого дыхательных путей резиновым катетером, при необходимости - интубация трахеи и расправление легкого.
При обтурационном ателектазе, вызванном инородным телом бронха, для его извлечения необходимо проведение лечебно-диагностической бронхоскопии. Эндоскопическая санация бронхиального дерева (бронхоальвеолярный лаваж) необходима в том случае, если спадение легкого вызвано скоплением трудно откашливаемого секрета. С целью устранения послеоперационных ателектазов легкого показано проведение трахеальной аспирации, перкуторного массажа грудной клетки, дыхательной гимнастики, постурального дренажа, ингаляций с бронхолитическими и ферментными препаратами. При ателектазах легких любой этиологии необходимо назначение превентивной противовоспалительной терапии.
При коллапсе легкого, обусловленном наличием в плевральной полости воздуха, экссудата, крови и другого патологического содержимого, показано срочное проведение торакоцентеза или дренирования плевральной полости. В случае длительного существования ателектаза, невозможности расправления легкого консервативными методами, формирования бронхоэктазов ставится вопрос о резекции пораженного участка легкого.
Прогноз и профилактика
Успешность расправления легкого напрямую зависит от причины ателектаза и сроков начала лечения. При полном устранении причины в первые 2-3 суток прогноз в отношении полного морфологического восстановления участка легкого благоприятный. При более поздних сроках расправления легкого нельзя исключить развития вторичных изменений в спавшемся участке. Массивные или стремительно развившиеся ателектазы могут привести к смерти. Для профилактики ателектаза легкого важны недопущение аспирации инородных тел и желудочного содержимого, своевременное устранение причин внешнего сдавления легочной ткани, поддержание проходимости дыхательных путей. В послеоперационном периоде показана ранняя активизация больных, адекватное обезболивание, занятия ЛФК, активное откашливание бронхиального секрета, при необходимости - санация трахеобронхиального дерева.
1. Основные клинические синдромы при заболеваниях органов дыхания: Методическое пособие/ Павленко В.В. - 2008.
3. Восстановительная хирургия внутригрудных дыхательных путей: Практическое пособие/ Сачек М.Г., Аничкин В.В. - 1982.
Ателектаз
Ателектаз — это спадение всего легкого (коллапс) или его части вследствие нарушения вентиляции , обусловленной обтурацией бронха или сдавлением легкого .
Во многих случаях ателектаз является первым признаком рака легких, поэтому очень важно выявить специфичные для ателектаза и дисектаза изменения.
Ключевые изменения на рентгенограмме представлены ниже:
- Уменьшение легкого в объеме, как следствие подъем купола диафрагмы, смещение средостения в патологическую сторону, смещение горизонтальной и косой междолевой щели.
- Безвоздушный участок легкого с отсутствием вентиляции.

Долевой ателектаз.
Долевой ателектаз или коллапс доли является важной находкой на рентгенограмме органов грудной полости и имеет сравнительно небольшой дифференциальный ряд.
Наиболее частыми причинами ателектаза является:
- Бронхиальная карцинома у курящих.
- «Слизистая пробка» у пациентов на ИВЛ и астматиков.
- Неправильное положение эндотрахеальной трубки.
- Инородное тело (чаще у детей).
На схеме ниже представлены находки при долевом ателектазе различной локализации.
- ПВД — правое легкое верхняя доля.
- ЛВД — левое легкое верхняя доля.
- СрД — правое легкое средняя доля.
- ПНД — правое легкое нижняя доля.
- ЛНД — левое легкое нижняя доля.

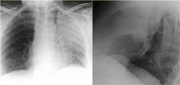
Ателектаз верхней доли правого легкого.
Оцените ниже лежащие изображения, а после продолжите чтение.

- Трехгранное затенение.
- Подъем правого корня легкого
- Облитерация загрудинного пространства (указано стрелкой).
На ПЭТ/КТ визуализируется опухоль легкого с обструкцией правого верхнедолевого бронха, как следствие ателектаз верхний доли правого легкого.

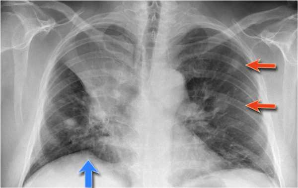
Также очень частым проявлением ателектаза является подъем диафрагмы, что хорошо визуализируется на ниже представленной рентгенограмме (указано синий стрелкой).

У данного пациента карцинома легкого с билатеральным метастазированием в легкие (указано красными стрелкам).
Ателектаз средней доли правого легкого.

- Симптом силуэта — нечеткие границы правых отделов сердца.
- Трехгранные изменения высокой плотности, визуализирующиеся на боковой рентгенограмме, являются результатом ателектаза средней доли правого легкого.
При ателектазе средней доли правого легкого подъем диафрагмы навсегда значительно выражен.
Ателектаз нижней доли правого легкого.
На нижепредставленой рентгенограмме пациента 70 лет, упавшего с лестницы, в плевральной полости определяется скопление жидкости, предположительно являющейся кровью.

Это ателектаз нижней доли правого легкого.
Обратите внимание на правую границу сердца. Правая междолевая артерия не видна потому, как она не окружена воздушной легочной тканью, а закрыта спавшейся нижней долей правого легкого.
Ниже представлены последующие рентгенограммы органов грудной полости того же пациента, на которых ателектаз разрешен.
Обратите внимание на правую междолевую артерию (красная стрелка) и границы правых отделов сердца (синяя стрелка).


- Минимальное уменьшение объема легкого без подъема левого купола диафрагма.
- В загрудинном пространстве визуализируются изменения высокой плотности, которые спавшейся верхней доли левого легкого.
- Корень левого легкого патологичен, что может соответствовать образованию, обтурирующее просвет бронха.
- Выше перечисленные находки наводят на мысль, что это ателектаз верхней доли левого легкого.
На КТ снимках синей стрелкой указан долевой ателектаз, а красной стрелкой опухоль, которая обтурирует левый верхний долевой бронх (центральный рак легкого.

Ателектаз верхней доли левого легкого с типичным симптомом воздушного серпа (Luftsichel sign — luft(air)+sichel(sickle)), обусловленный гипервентиляцией верхнего сегмента нижней доли левого легкого на фоне коллапса верхний доли левого легкого. Гипервентилируемый

сегмент визуализируется на прямой рентгенограмме от дуги аорты до апикальной части легкого.

- В левом легком патологические изменения высокой плотности с потерей силуэта контуров сердца.
- Высокое стояние диафрагмы левого легкого.
- Смещение вниз косой щели.
- Низкое расположение правого корня легкого.
Данные изменения характерны при тотальном ателектазе верхней доли левого легкого и частичный ателектаз правого легкого. Так контуры сердца справа хорошо визуализируются то, можно сказать, что частичный ателектаз не средней доли, а нижней доли правого легкого.

Оцените нижележащие ПЭТ/КТ изображения. Легочная карцинома обтурирующая левый верхнедолевой бронх и правый верхнедолевой бронх. Множественные метастазы в кости. Стрелкой указан метастаз в ребро.
Симптом воздушного серпа (luft sichel sign) — это симптом, который возможно встретить на рентгенограмме органов грудной полости при ателектазе верхней доли левого легкого.
Изменения на рентгенограмме обусловлены гипервентиляцией верхнего сегмента нижней доли левого легкого, который смещается к сзади и кверху, и тем самым располагается между коллабированной долей легких и средостением. На фронтальной рентгенограмме сегмент визуализируется от дуги аорты до апикальной части левого легкого.

На рентгенограмме представлен тотальный коллапс верхней доли левого легкого. Обратите внимание на высокое стояние левого корня легкого. Спавшаяся верхняя доля левого легкого расположено позади грудины. В данном случае компенсаторная гипервентиляция нижней доли левого легкого повлияло на то, что позиция диафрагмы и средостения в норме.

Ателектаз нижней доли левого легкого


На рентгенограмме визуализируются изменения трехгранной формы высокой плотности, расположенные позади тени сердца, что хорошо выявляется на боковом снимке. На боковом снимке при оценке контура диафрагмы спереди назад определяется все менее четко. Исходя из названия раздела напрашивается диагноз — ателектаз нижней доли левого легкого. В норме прозрачность легкого внизу выше, а в нашем случае наоборот (синяя стрелка).
На рентгенограмме органов грудной клетки определяется тотальный ателектаз правого легкого со смещением средостения вправо. На втором снимке представлен тот же пациент, но после лечения. Легкое воздушное и положение средостения в норме. Распространенной причиной тотального ателектаза является неправильно установленная вентиляционная трубка, которая расположена слишком низко и тем самым обтурирует главный бронх.

На ниже представленном снимке представлен пациент с тяжелой бронхопневмонией и тотальным ателектазом. Причиной ателектаза явилось обтурация бронха слизью. После отсасывания мокроты аэрация левого легкого была восстановлена.

На ниже представленной рентгенограмме пациента с карциноматозом плевры левое легкое полностью компрессируется плевральной жидкостью (левый гемоторакс). В выше представленных случаях был обтурационный ателектаз, а в этом компрессионный, что лучше визуализируется на КТ (синяя стрелка). КТ данному пациенту также проводили по причине легочного эмболизма (красная стрелка).

Округлый ателектаз
- утолщение плевры
- образование, исходящее из плевры
- симптом хвоста кометы

Локальный плеврит является причиной утолщения плевры. Далее происходит инвагинация субплевральной легочной паренхимы с характерным дугообразным искривлением сосудов, и ателектаз принимает округлую форму. Симптом хвоста кометы — это симптом, который визуализируется в виде кометообразного хвоста из сосудов и воздухоносных путей, направленных к корню легкого.
На боковой рентгенограмме выявляется образование, которое исходит из плевры. На первый взгляд — это образование, исходящее из плевры.

Далее перейдите к оценки КТ-снимков.
На КТ четко выявлено, что это образование легкого. Для многих данные изменения на КТ заставили бы задуматься о раке легкого. Красной стрелкой указана утолщение плевры, а синими стрелками указаны сосуды вокруг данного образования, что называют хвостом кометы.
Всякий раз, когда встречается образование, сочлененное с плеврой, а также похожее на рак легкого, то не забудьте об округлом ателектазе.
Округлый ателектаз — это доброкачественные изменения, которые на последующих снимках не изменяются в размерах и чаще встречаются у пациентов, которые имели контакт с асбестом.

В левой нижней доле визуализируются изменения высокой плотности. На фронтальной рентгенограмме данное образование выглядит схоже с консолидацией так, как на боковой границы острые, то скорее это образование. Красной стрелкой указано утолщение плевры.

Несмотря на то, что легочный рак находится на вершине нашего дифференциального ряда, данные изменения характерны для округлого ателектаза, что хорошо визуализируется на КТ (утолщение плевры, овальная форма, симптом хвоста кометы).

Дисковидный ателектаз частая находка на рентгенограмме органов грудной полости, которая проявляется линейной тенью толщиной 1-3 мм в базальной части легких. Обычно данные изменения не имеют клинического значения и часто встречаются у пожилых и курящих пациентов. Также данные изменения встречаются у пациентов с плохим общим состоянии после полостных операций так, как им приходится дышать поверхностно.

Несмотря на то, что дисковидный ателектаз не специфичен для ТЭЛА ниже представлены рентгенограмма и КТ-снимок пациента с эмболией легочной артерии.


Ателектаз на фоне фиброза легочной паренхимы, который встречается на лучевой терапии и при хронических инфекциях таких, как туберкулез. Обратите внимание на снимок пациента, которому выполняли лучевую терапию по поводу рака легкого. Изменения высокой плотности с уменьшением в объеме легкого.
Ниже представлен снимок пациента с туберкулезом, на котором визуализируется ателектаз верхней доли правого легкого, а также обратите внимание на девиацию трахеи.
Особенности формирования ателектазов
Игорь Евгеньевич Тюрин, профессор, доктор медицинских наук:
- Особенности формирования ателектазов.
Конечно, механизм закупорки бронха - от этого зависит дальнейшая его судьба. Почему. Потому что быстрая, мгновенная (в течение нескольких минут или даже секунд, или часов, может быть) полная обтурация просвета бронха приводит к формированию ателектаза в собственном прямом смысле этого слова. Воздух резорбируется из альвеол, и результатом этого становятся участки безвоздушной легочной ткани.
Особенность заключается в том, что в этом случае (когда в просвет бронха попадает инородное тело, и это тело как пробка полностью и сразу же закупоривает просвет бронха), в этом случае дистальнее места сужения обтурации в легочной ткани не успевает развиваться обтурационный пневмонит - вторичный воспалительный процесс. Как следствие этого, такой ателектаз может существовать многие месяцы, иногда даже годы - такие наблюдения описаны в литературе.
После того, как причина, вызвавшая такой мгновенный ателектаз, устраняется (скажем, из просвета бронха удаляется инородное тело), легочная ткань, как это ни парадоксально, расправляется. Восстанавливает свою воздушность и дальше функционирует так же, как и оставшаяся здоровая легочная ткань. Это, кстати сказать, один из возможных примеров экспериментального формирования ателектазов легочной ткани.
Он имеет ряд очень важных отличительных особенностей - мы о них чуть попозже поговорим. Но самое главное, что там возникают вторичные воспалительные процессы с соответствующими клиническими проявлениями.
Второе очень важное обстоятельство: степень обтурации просвета бронхов. Конечно, полная обтурация просвета бронхов теоретически должна была бы приводить к такому же полному ателектазу. Тем не менее, мы очень часто наблюдаем, что такой прямой зависимости не существует.
Мы можем наблюдать полную обтурацию бронха и воздушную легочную ткань без каких-либо признаков ателектаза. Это не является каким-то удивительным физиологическим феноменом, учитывая, что снабжение воздухом отдельных участков легочной ткани имеет очень много колотералей.
Еще раз повторю: это не имеет какой-то прямой зависимости. Так же как, на самом деле, не существует строгой последовательности в развитии ателектаза, как это часто описывалось раньше в учебниках. Сначала это частичный ателектаз или, как его иногда называют, гиповентиляция. Затем это так называемое обтурационное вздутие, потом полный ателектаз.
Очень часто мы наблюдаем смешение различных стадий, степеней нарушения бронхиальной проходимости. Поэтому нас больше интересует, в каком состоянии именно сейчас находится легочная ткань.
В чем особенность обтурационного пневмонита. Возникает при частичном нарушении бронхиальной проходимости. Характеризуется сочетанием ателектаза, хронического воспаления, пневмосклероза.
В этом важнейшая причина, которая нередко усложняет диагностику такого рода состояний, когда пациента с обтурационным ателектазом при наличии центрального рака подвергают антибактериальной терапии. Состояние несколько улучшается, воздушность легочной ткани несколько восстанавливается, но не полностью - а дальше этот процесс продолжает свое существование и не приводит к положительному результату.
Вот один из таких возможных вариантов обтурационного пневмонита. Инфильтративные изменения, которые локализуются, в данном случае, в верхней доле правого легкого - они формально совершенно никак не отличимы от верхнедолевой пневмонии. Но проблема в том, что сам по себе обтурационный пневмонит, несмотря на проводимое лечение, редко подвергается полному обратному развитию.
Когда мы наблюдаем этого пациента в динамике, мы видим, что изменения в легочной ткани остались, но стала очень хорошо видна причина, вызывающая такой вторичный воспалительный процесс. У этого пациента, конечно, это большое патологическое образование, которое располагается в корне правого легкого, в проекции верхнедолевого бронха. Суживает этот бронх и вызывает такой непрерывно рецидивирующий процесс в легочной ткани.
Если мы говорим об обтурационных пневмонитах, конечно, здесь принципиальное значение имеет компьютерная томография и вообще томографическое исследование. В случае уменьшения объема части легкого, как у этого пациента - а здесь совершенно очевидно уменьшение объема верхней доли правого легкого, неравномерное уплотнение части верхней доли. Но при томографическом исследовании мы видим сохраненные долевые сегментарные бронхи. Это позволяет отличить такое уменьшение объема верхней доли при воспалительном процессе (в данном случае это затяжная пневмония) от обтурационных пневмонитов, возникающих в результате сдавления или сужения крупных бронхов.
Диагностическая тактика в таких случаях. Мы видим затяжное течение пневмонии или, тем более, рецидивирующее течение пневмонии. При рентгеновском исследовании определяется выраженное уменьшение объема доли или сегмента и это не имеет тенденции к восстановлению, особенно в сочетании с расширением корня легкого.
Конечно, в этом случае бронхологическое исследование и компьютерная томография являются совершенно обязательными для оценки состояния долевых и сегментарных бронхов.
А также то, что я уже говорил в отношении нарушения бронхиальной проходимости и степени спадения легочной ткани. В этом случае вы видите практически полную обтурацию третьего сегментарного бронха. Второй сегментарный бронх на месте, он хорошо виден - направляющийся назад. А спереди культя квадратной формы за счет эндобронхиального образования третьего сегментарного бронха, которое полностью перекрывает просвет этого бронха.
Тем не менее, легочная ткань сохраняет свою воздушность, и ни на рентгенограммах, ни на компьютерных томограммах никаких признаков ателектаза здесь не возникает. Эта ситуация возникает не так часто, конечно, но в ней нет ничего экстраординарного. Это обычный физиологический механизм компенсаторной вентиляции отдельных участков легкого.
Если же говорить о причинах ателектаза и нашей возможности разграничивать эти причины каким-то образом с помощью методов лучевой диагностики - они здесь перед вами на слайде.
Конечно, самое частое - это новообразования. Злокачественные, значительно реже доброкачественные, опухоли. Кроме этого, рубцовая структура, посттуберкулезные, посттравматические инородные тела. В том числе бронхиолиты, возникающие у больных, перенесших туберкулез легких.
Это сдавление бронха извне. Обычно это бывает либо лимфатическими узлами средостения, либо (когда речь идет о нижней доле левого легкого) уплотненной расширенной аортой. Тогда возникает ателектаз нижней доли левого легкого - но это более редкая причина.
Конечно, самое частое - это новообразования. Я не буду возвращаться к новообразованиям обычным, с которыми мы часто встречаемся в нашей практике. Практически все примеры ателектазов, которые я сейчас показывал, так или иначе были связаны с первичными опухолями центральных бронхов (центральный рак) и формированием соответствующего ателектаза. То, что я хочу сейчас показать - наши возможности и наши ограничения в плане диагностики.
Можем ли мы каким-то образом определить морфологическую структуру патологического образования, которое закрывает просвет бронха и приводит к развитию ателектаза. К сожалению, в большинстве случаев нет. Поэтому распространенное заключение врачей-рентгенологов, когда они видят ателектаз и стеноз бронха, о том, что это рак легкого - оно формально не соответствует действительности.
Рак - это все-таки эпителиальная опухоль, исходящая из поверхности бронхиального дерева. Это все-таки морфологический диагноз. Тем не менее, бронхостеноз сам по себе может развиваться в результате множества других причин.
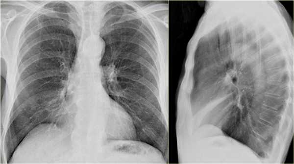
В ряде случаев мы очень хорошо можем найти эту причину, увидеть. Одно из редких наблюдений, но, как обычно, показывающее возможности лучевой диагностики. Классическая картина ателектаза средней доли правого легкого. Нелокализованное затенение в правом кардиодиафрагмальном углу и типичная треугольная тень в проекции средней доли на снимке в боковой проекции.
Что мы видим при компьютерной томографии. Жиросодержащее патологическое образование, которое полностью перекрывает просвет среднедолевого бронха. В этом случае, естественно, рентгенолог может практически морфологический диагноз установить, просто анализируя компьютерно-томографические снимки.
Естественно, в таких случаях можно и более красивое изображение получить с помощью, например, виртуальной бронхоскопии, как в этом случае. Убедиться в том, что это действительно стеноз крупного бронха, это патологическое образование. Но главное, что мы можем в этой ситуации увидеть саму причину и фактически определить морфологический характер.
Другая возможная ситуация, когда мы хорошо понимаем, о чем идет речь - это карциноиды. Это нейроэндокринные опухоли, часть из которых отличается исключительно высоким кровоснабжением. Они ведут себя как гиперваскулярные структуры при томографическом исследовании, при введении контрастных веществ, при ангиографических исследованиях.
В этой ситуации на обзорной цифровой рентгенограмме вы видите классическую картину ателектаза нижней доли левого легкого. В этом случае контур спавшей левой доли находится внутри от контура сердца. Естественно, исчезает нормальное изображение купола диафрагмы, реберно-диафрагмального синуса. А при томографическом исследовании - округлой формы с четкими контурами гиперваскулярное образование в корне левого легкого и типичный ателектаз нижней доли левого легкого с расширенными бронхами.
Еще раз повторю: карциноид. В этой ситуации, кончено, врач-рентгенолог может достаточно точно предположить, по крайней мере, морфологическую природу изменений в грудной полости.
С другой стороны, есть ситуации, когда мы совершенно лишены такой возможности. Я уже говорил о том, что чаще всего, конечно, эта злокачественная опухоль является раковой опухолью.
Метастазы в крупные бронхи выявляются не так часто. Но если они возникают, то рентгенологическая картина у больных, перенесших рак молочной железы, рак кишки, почки, меланому, оказывается практически неотличима от рентгенологической картины первичного рака легкого.
В этом случае наблюдаем картину формирования в течение нескольких месяцев полного ателектаза верхней доли левого легкого (здесь это хорошо показано стрелками).
При томографическом исследовании огромное патологическое образование, практически полностью обтурирующее просвет левого главного бронха. При этом, это рак прямой кишки, метастаз в левый верхнедолевой бронх. Это морфологически доказано. Не всякий ателектаз при не всяком злокачественном образовании является раковой опухолью.
Несколько слов о доброкачественных структурах и формировании обтурационных ателектазов при такого рода изменениях.
Рубцовые структуры, инородные тела бронхов, сдавления извне - это достаточно частые ситуации. В этом случае, конечно, формальная картина ателектаза должна сопровождаться еще дополнительными томографическими исследованиями.
Почему. Конечно, одной из очень частых причин в этой ситуации является туберкулез. Либо это обтурация бронхолитом. Либо это сдавление бронхов увеличенными лимфатическими узлами. Либо это последствия перенесенного туберкулеза, как в этом случае.
Суженный просвет среднедолевого бронха окружен частично обызвествленными лимфатическими узлами после перенесенного туберкулеза. Это классический синдром средней доли в результате перенесенного первичного туберкулеза легких. Очень важно, что в данном случае рентгенолог имеет возможность определить правильную топику этих изменений и их причину.
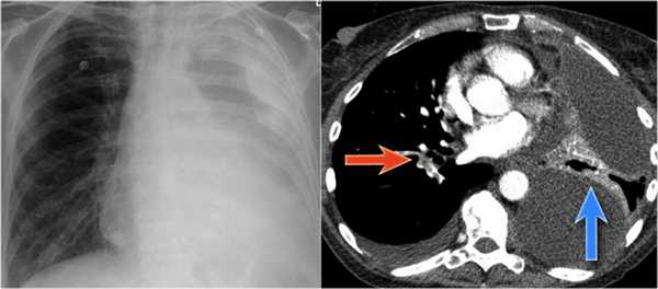
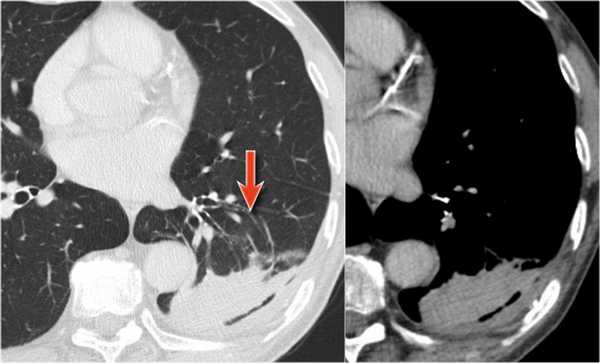
А с другой стороны, это выпадение казеозно-некротических обызвествленных масс из лимфатического узла. Бронхолиты, которые попадают в крупные бронхи, их обтурируют. В результате - ателектаз язычковых сегментов. Мы хорошо видим это рентгеноконтрастное инородное тело (в этом случае бронхолит) непосредственно в просвете язычкового сегментарного бронха. Это, конечно, отличает такие обтурационные ателектазы от злокачественных опухолей.
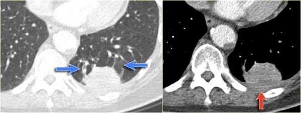
Так же как и при более совершенном техническом обеспечении, когда у нас в распоряжении есть многосрезовая компьютерная томография, здесь прекрасно виден бронхолит, который располагается в бронхе переднего сегмента (в третьем сегментарном бронхе). Он обтурирует просвет этого бронха, но опять (обратите внимание) не вызывает формирование ателектаза, а только уменьшение объема.
Конечно, классика жанра - это инородные тела бронхов. Особенно у детей, как в этом случае. Это куриная косточка, которая обтурирует просвет нижнедолевого бронха. В этом случае, конечно, рентгеноконтрастное инородное тело (кость) хорошо видно при рентгеновском томографическом исследовании. Хорошо понятно, что это такое.
Сложности возникают в тех ситуациях, когда это не контрастные инородные тела. Тогда их очень сложно отличить от новообразований и других причин, вызывающих сдавление бронхов.
Сдавление бронхов увеличенными лимфатическими узлами, которое наблюдается при злокачественных опухолях, при метастатических поражениях лимфатических узлов.
В этом случае - пример классического ателектаза верхней доли у ребенка, страдающего туберкулезом внутригрудных лимфатических узлов. На снимке в нижнем правом углу вы хорошо видите увеличенные лимфатические узлы в корне правого легкого.
Наконец, фиброателектазы. Своеобразное патологическое состояние, которое возникает в результате перенесенного воспалительного процесса. Рентгеновские признаки ателектазы в этом случае сочетаются с сохранением просвета крупного бронха. Фактически, это патологическое состояние, которое сочетает в себе признаки и фиброзных изменений в легочной ткани, и признаки ателектаза.
Принципиально важно определить и доказать, что уменьшение объема части легкого не связано с новообразованием, а в основе своей имеет перенесенный воспалительный процесс.
Здесь, конечно же, томографическое исследование, наряду с бронхологическим, позволяет очень точно оценить состояние долевых и сегментарных бронхов и на этом основании исключить наличие патологического образования.
Еще один очень важный элемент нарушений бронхиальной проходимости или ателектазов, типов ателектазов - так называемые круглые ателектазы. Я не буду сегодня показывать дисковидные ателектазы - я думаю, все это хорошо знают и понимают, как это выглядит. Но покажу своеобразный вид патологий легочной ткани, вид рефлекторных ателектазов. Они возникают, еще раз повторю, вследствие различных раздражающих факторов.
Типичная компьютерно-томографическая (иногда даже рентгеновская) картина. Она связана с формированием участка уплотнения в легочной ткани и очень характерным изменением сосудистого бронхиального рисунка в легочной ткани по типу хвоста кометы, направленного от корня легкого. Вы видите это на компьютерных томограммах.
Выглядит это вот таким образом на обзорной рентгенограмме - как сегментарный или субсегментарный ателектаз. А при томографическом исследовании, как я уже сказал, это достаточно характерная картина.
В заключение несколько слов о ретенционных кистах. Возникают при обтурации бронхов среднего калибра. Как правило, это все-таки бронхи дистальнее субсегментарных.
Обычно это результат туберкулеза бронхов, говорим мы и прежде всего ищем у таких пациентов посттуберкулезные изменения. Хотя ретенционные кисты или расширение бронхов в результате накопления там избыточного количества бронхиального секрета могут наблюдаться при множестве других патологических состояний. Там, где есть нарушение отхождения бронхиального секрета по бронхам.
Это могут быть и атрезия бронхов как врожденная патология. Это и бронхоэктазы с формированием ретенционных кист. Скажем, при бронхиальной астме, при аллергическом бронхолегочном аспергиллезе и целом ряде других патологических процессов. В том числе, как вы сейчас видели, и при обтурационных ателектазах внутри ателектозированной легочной ткани формально формируются такие расширенные бронхи по типу ретенционных кист.
Обычно они имеют типичную V-образную или Y-образную форму, острием обращенную в сторону корня легкого, а основанием в сторону висцеральной плевры. Иногда содержат обызвествления (обызвествленное содержимое, обызвествленная стенка бронхов) - тогда это очень важный критерий в смысле туберкулезного анамнеза у такого пациента. А также могут иметь жидкостную плотность при компьютерной томографии - тогда это, конечно, облегчает диагноз.
Классическая картина: неправильной формы патологическое образование, имеющее V-образную форму с двумя ответвлениями, острием обращенное к дренирующему бронху. При томографическом исследовании хорошо видны включения кальция в одну из стенок этого патологического образования.
Другой пример, когда обызвествлению подвергается, собственно, само содержимое ретенционной кисты. На рентгенограмме в боковой проекции прекрасно видна в передней части правого легкого V-образная крупная структура, состоящая как бы из двух рогов, острием обращенная в сторону корня легкого. Это прекрасно видно при томографическом исследовании.
В корне легкого огромный обызвествленный паратрахиальный лимфатический узел, полная обтурация субсегментарного бронха третьего сегмента. А также частично кальцифицированное казеозное содержимое этой ретенционной кисты, которая располагается в третьем бронхолегочном сегменте.
Но все-таки чаще мы видим не такие крупные ретенционные кисты, а более мелкие образования. Это важно, потому что в этой ситуации, конечно, речь идет о дифференциальной диагностике с периферическими образованиями в легких. Такими, как периферический рак или туберкулема.
Здесь ключевое значение, конечно, имеет форма таких ретенционный кист и их связь с бронхом. Повторяю еще раз: такая V-образна или Y-образная форма, в устье которой находится соответствующий бронх - это очень типичная картина, характерная для этих патологических состояний. При томографическом исследовании это видно очень хорошо.
Читайте также:
