Сбор анамнеза перед протезированием коронками. Рекомендации
Добавил пользователь Евгений Кузнецов Обновлено: 01.11.2025
Для восстановления отсутствующего зуба проводится стоматологическая имплантация, в рамках которой на место удаленной зубной единицы устанавливается специальный протез. Как показывает статистика, хирургические вмешательства по их вживлению заканчиваются успешно в подавляющем большинстве случаев. И шанс положительного исхода выше у тех, кто заранее подготавливается к данной процедуре. Поэтому важно понимать, что включает в себя проводимая перед имплантацией зубов подготовка к операции.
Консультация имплантолога перед операцией
В рамках консультации имплантолог собирает анамнез и проводит осмотр ротовой полости пациента, назначает рентген-диагностику. На основе полученных данных выписывает направления:
- на сдачу анализов (определяются в индивидуальном порядке);
- на прием к профильным специалистам;
- на санацию ротовой полости (лечение зубных патологий и удаление тех зубов, состояние которых не позволяет подготовить их к предстоящей операции);
- на корректировку уже имеющихся ортопедических конструкций;
- на процедуру костной пластики, если есть на то основания.
В ходе первой консультации обычно определяется примерный срок решения проблемы. Более точно временные рамки и стоимость операции определяются уже после того, как будет установлено, какие дополнительные процедуры придется проходить в процессе подготовки и что препятствует имплантации.
Этапы предоперационных мероприятий
В ходе подготовки к предстоящей операции происходит всестороннее изучение состояния организма пациента. Перед имплантацией надо исключить противопоказания к оперативному вмешательству, разобраться с острыми и хроническими болезнями, способными повысить риск развития осложнения (в том числе привести к отторжению импланта). Кроме того, имплантологу нужно определить характеристики окружающих оперируемый участок тканей, чтобы на основе полученных данных при необходимости назначить ряд дополнительных стоматологических процедур.
Сбор анамнеза
Первый этап подготовки к имплантации - это сбор анамнеза. Доктор задает ряд вопросов для выявления беспокоящих пациента симптомов, а затем просит заполнить специальную анкету. Таким образом можно определить наличие некоторых патологий, развивающихся в организме, аллергии, проблемы с иммунной системой, которые могут негативно повлиять на процессе приживления импланта. На основе собранного анамнеза врач выписывает назначения на дальнейшие обследования.
Визуальный осмотр
Визуальный осмотр в рамках подготовки к имплантации требуется для оценки челюстной системы пациента. Стоматолог осматривает ротовую полость, изучая состояние не только десен и зубов, но и языка. Оценивает функциональность челюстно-височного сустава, степень открытия рта, особенности прикуса. В некоторых случаях не обходится без консультаций других специалистов, например, ортопеда или ортодонта. Если ранее уже проводили имплантацию, доктор учитывает итог предыдущего вмешательства и состояние имеющегося импланта.
Рентген-диагностика

При подготовке к операции большое значение имеет рентген-диагностика, в ходе которой пациент получает панорамный снимок и проходит КТ челюстной кости. На основе результатов этих обследований составляется подробный план санации ротовой полости, подбираются импланты, выбирается метод имплантации.
Из снимков можно выяснить:
- объем, текущее состояние и структуру костной ткани;
- особенности размещения корней, нервов, а также гайморовых пазух;
- имеющиеся патологии в челюстной системе пациента;
- зоны атрофированной костной ткани;
- расположение очагов периодонтита.
Благодаря снимкам и визуальному осмотру удается дать полную оценку состоянию ротовой полости, что упрощает принятие большинства важных решений:
- возможность оперативного вмешательства;
- необходимость проведения костной пластики;
- какие импланты лучше поставить;
- каким протоколом воспользоваться.
Анализы и обследования

От результатов анализов и обследований, проведенных в процессе подготовки к имплантации зубов, зависит решение специалистов о возможности в ближайшее время произвести установку имплантов. Помешать этому могут как хронические болезни, так и бактериальные или вирусные инфекции. Как правило, в ходе подготовки к имплантации в первую очередь требуется сдать кровь для выявления ВИЧ и имеющихся антител, а также определения уровня свертываемости и резус-фактора.
Но, кроме того, может понадобиться и ряд дополнительных анализов, а именно:
- анализ крови на количество глюкозы - при наличии сахарного диабета;
- исследование уровня иммуноглобулинов;
- проверка состояние щитовидной железы, количества паратгормона и эстрогена эстрадиола (если обследуется женщина).
Кроме того, если у пациента имеются проблемы с сосудистой системой организма, придется также сходить на прием к кардиологу. В целом, перечень обязательных для посещения специалистов может отличаться в зависимости от результатов обследования пациента.
Не меньшего внимания к себе заслуживает и аллергия, для выявления которой положено сдавать аллергопробы. Некоторые компоненты распространенных медикаментозных средств, применяемых в процессе имплантации зубов, могут спровоцировать аллергическую реакцию. Такая диагностика способна свести риск к минимуму. В большинстве случаев при выявлении аллергии на какой-то препарат, его заменяют аналогом, но если сделать это не представляется возможным, такая ситуация считается противопоказанием для проведения операции.
Чтобы добиться максимальной достоверности анализов, незадолго до их сдачи нужно провести правильную подготовку. При аномальных значениях доктор откажется начинать имплантацию. Поэтому перед сдачей анализов нужно соблюсти ряд рекомендаций:
- кровь нужно сдавать утром и натощак;
- примерно за 4 часа до сбора анализов нужно хотя бы временно отказаться от курения, причем запрет касается как сигарет, так и вейпа;
- примерно за 2 дня до операции прекратить употребление алкогольсодержащих напитков
- отказаться от чрезмерных физических нагрузок;
- незадолго до сдачи анализов прервать прием медицинских препаратов за исключением случаев острой необходимости.
Несоблюдение этих рекомендаций негативно скажется на результатах, особенно анализе крови, что повлияет на качество диагностики.
Отдельно стоит упомянуть необходимость посещения ряда врачей-стоматологов, если в ходе диагностики были выявлены следующие проблемы:
- инклюзия зуба - требует обязательного лечения перед имплантацией (исправляется с помощью капы);
- плохое состояние ранее установленных ортопедических конструкций - проводится их полная замена;
- больные или разрушенные зубы - должны быть удалены;
- воспаление десен - выписывается ряд препаратов для лечения тканей.
Чистка зубов перед операцией
Перед операцией очень важно провести профессиональную чистку ротовой полости, чтобы добиться максимальной стерильности. В стоматологии этим занимается врач-гигиенист. Он должен удалить с поверхности эмали мягкий бактериальный налет, а также убрать зубной камень и полностью очистить пародонтальные карманы.
Рекомендации за 1 день до имплантации

В течение дня перед операцией необходимо придерживаться следующих рекомендаций:
- Не меньше трех раз в течение дня почистить зубы и прополоскать ротовую полость антисептическими препаратами.
- Исключить употребление лекарственных препаратов, кроме случаев острой необходимости. Дело в том, что компоненты некоторых медикаментов, задержавшиеся в организме пациента, могут повлиять на эффективность применяемых в ходе операции медикаментозных средств и привести к опасным последствиям при смешивании несочетаемых веществ.
- Исключить из рациона крепкое спиртное и алкогольсодержащие напитки. Алкоголь оказывает негативное воздействие на ткани и может усугубить воспалительные процессы, отсрочив имплантацию до решения данной проблемы.
- За 6-8 часов до начала операции нужно полностью отказаться от употребления какой-либо пищи, а за 3 часа до процедуры отказаться от воды.
- Отказаться от курения как минимум за 2 часа до имплантации, однако специалисты рекомендуют воздерживаться от сигарет и смесей дольше - на протяжении 10-12 часов до процедуры.
- Отказаться от посещения спортзала и больших физических нагрузок в целом, лучше в течение последнего дня перед операцией придерживаться полного покоя.
- Если ощущается напряжение, беспокойство и тревога, стоит пропить небольшой курс седативных препаратов, чтобы непосредственно перед имплантацией не случилась паническая атака в результате приступа дентофобии. Кроме того можно попросить уже в самой клинике седацию - легкий газ поможет снять напряжение и расслабиться (это не полноценный наркоз, а обычное успокоительное, которое снимет панику, не угнетая нервную систему).
- На процедуру стоит одеться в свободную одежду. Отказаться от каких-либо украшений и яркого макияжа. Имплантация может занять довольно много времени, поэтому лучше, чтобы пациент не испытывал дискомфорта.
Если строго придерживаться всех вышеописанных рекомендаций, то есть должным образом подготавливаться к операции, тогда можно будет избежать риска осложнений после процедуры, особенно это касается курения, алкоголя и гигиены полости рта. Важно создать максимально идеальные условия для скорейшего срастания костной ткани и приживления импланта.
Подготовка к протезированию зубов
Успех протезирования зависит от тщательной подготовки. Она состоит из разных этапов и, в зависимости от клинического случая, может проводиться за день, неделю или больше.
Правильная подготовка зубов к протезированию помогает врачу правильно спланировать лечение, избежать осложнений, обеспечить максимальную эстетику и функциональность ортопедической конструкции. Ниже подробно описан каждый этап подготовки к установке протеза.
- Основные этапы подготовки
- Подготовка зуба к протезированию коронкой
- Подготовка к съемному протезированию
- Подготовка к протезированию несъемными зубными мостами
- Подготовка к протезированию на имплантах
- Как выбрать стоматологию для протезирования
Основные этапы подготовки
Перед протезированием зубов пациент должен тщательно подготовиться, пройдя несколько этапов:
- консультативный;
- диагностический;
- терапевтический;
- хирургический;
- ортодонтический.

Осмотр и консультация
Все начинается с осмотра пациента в клинике. Он приходит на бесплатный осмотр и консультацию, знакомится с врачом. Сперва стоматологу необходимо установить доверительный контакт с пациентом.
Во время консультации стоматолог интересуется жалобами, проблемами со здоровьем, наличием противопоказаний к процедуре, собирает анамнез. Затем проводит осмотр, чтобы определить сложность клинической ситуации и расписывает план лечения.

Страх перед посещением стоматолога - вещь естественная. Однако беспокоиться не стоит. Если вы боитесь осуждения врача за плохое состояние полости рта - это напрасно. Подумайте о том, с каким количеством случаев он сталкивался до вас.
Еще один самый частый и сильный страх - боязнь сильной боли. Однако современная стоматология может лечить зубы абсолютно безболезненно. Для этого есть минимум 3 типа анестезии. Более того, современное клиническое оборудование с системой охлаждения значительно уменьшает болевые ощущения.
Диагностическая подготовка
Проводится с целью выявить состояние костной ткани и зубных корней, исключить противопоказания. Если вы лечите один зуб, будет достаточно прицельного снимка (рентген). Если врачу необходимо увидеть картину целиком, нужен обзорный снимок (ортопантомограмма). Перед имплантацией вас направят на компьютерную томографию.
Если перед установкой импланта показана костная пластика, необходимо сдать биохимический анализ крови. Это позволит узнать, есть ли у пациента диабет, проблемы со свертываемостью крови и прочие факторы, препятствующие операции.

Терапевтическая подготовка
Этап рассчитан на нормализацию состояния полости рта (санация). В подготовку входят:
Профессиональная чистка. Стоматолог удаляет зубной налет, зубной камень, отложения в десневых карманах. На этом этапе пациента консультируют по вопросам гигиены рта.
Лечение тканей пародонта. Если у пациента проблемы с деснами (гингивит, пародонтит), необходимо перед протезированием снять воспаление. На ранних стадиях заболевания врач обрабатывает зубодесневые карманы при помощи кюретажа - удаляет воспаленную ткань вокруг корня зуба. Чтобы купировать воспаление, назначаются медикаментозное лечение. Если зубная единица подвижна, ортопед укрепляет ее шинами.
Лечение кариеса и его осложнений (пульпита и периодонтита). Подразумевает удаление кариозных поражений, их возможных осложнений (например, перед имплантацией обязательно требуется сначала вылечить все кариозные зубы).
При пульпите и периодонтите проводится депульпирование зуба (удаление нерва), санация и пломбирование корневых каналов. Удаление нерва снижает риск:
- ожога пульпы и травмирования тканей на этапе препарирования;
- развития воспалительных процессов под протезом.
Препарирование. После подготовки корневых каналов и культи зуба врач препарирует твердые ткани зуба под коронку, мостовидный протез или виниры (люминиры). Процедура способствует повышению эстетики и надежному контакту протеза с зубами. Более того, исключает попадание пищи и бактерий под конструкцию, и как следствие, развитие воспалений.
Снятие зубных слепков. Будущий протез создают с учетом особенностей челюстной системы пациента.
Раньше слепки создавали из слепочной массы, которую пациенты держали во рту. Это вызывало дискомфорт и провоцировало рвотный рефлекс. В клинике Самсон-Дента слепки снимают путем сканирования полости рта и передачи данных в компьютер. Компьютерная программа воссоздает 3D-модель челюсти и распечатывает прототип оттиска на 3D-принтере.
Установка временных конструкций. Иногда при подготовке к несъемному протезированию может потребоваться временный протез. Врач устанавливает его, чтобы снизить дискомфорт, пока вы ходите без зубов.
Сточенную эмаль временный (адаптационный) протез защищает от бактериального воздействия, перепадов температур, попадания пищи до установки постоянного.
Адаптационную конструкцию устанавливают также при имплантации. Пациент носит ее до полного приживления импланта в челюстной кости. Потом переходят к постоянному протезированию.
Хирургическая подготовка
В сложных клинических случаях перед установкой коронок требуется более серьезная подготовка, которая включает некоторые хирургические операции:
- Удаление разросшихся тканей десны, поврежденных единиц, которые невозможно восстановить.
- Устранение корней моляров (в случае кисты, периодонтита, гранулемы), экзостозов (шиповидных выростов костной ткани).
- Удаление ретинированных, дистопированных зубов. Перед протезированием их удаляют, так как они негативно влияют на структуру зубного ряда: сдвигают его, провоцируют развитие воспалений, сокращают срок службы протезной конструкции.
Синус-лифтинг проводят при сильной атрофии челюстной ткани. Обычно процедуру проводят на верхней челюсти при продолжительном отсутствии одной или нескольких жевательных зубов.
Имплантация зубов. Установка импланта возможна по двухэтапному и одноэтапному протоколу. Во втором случае врач удаляет зубную единицу и сразу устанавливает имплант.

Ортодонтическая подготовка
Включает устранение вторичных деформаций, возникающих вследствие зубных дефектов. Процедуры этапа показаны пациентам с аномалиями прикуса и положения единиц, делающими невозможным зубное протезирование. В подготовку входит:
- Выравнивание зубного ряда (формы, наклона).
- Вытягивание ретинированных единиц - создание опоры для протезной конструкции.
- Создание пространства в полости рта для установки ортопедической конструкции.
В зависимости от клинической ситуации, для устранения дефектов ортодонт подбирает брекет-системы, каппы, трейнеры, виниры и т.д. Срок ношения ортодонтических изделий обусловлен индивидуальными особенностями пациента (максимум до двух лет).
Подготовка зуба к протезированию коронкой
Подготовка к установке коронки после консультации со стоматологом и обследования включает следующие этапы:
- Лечение зуба. На этом этапе проводится лечение кариеса, пульпита, периодонтита. Врач рассверливает зубную единицу, удаляет пораженные ткани, если необходимо, проводит депульпацию, обрабатывает и пломбирует зубные каналы.
- Подготовка коронковой части. Культя зуба восстанавливается пломбой, штифтом, культевой вкладкой. Если проводилось лечение корневых каналов, то пломбу ставят через несколько дней.
- Обточка и снятие оттисков. Зубная единица обтачивается, снимаются слепки с обеих челюстей для правильного соприкосновения единиц после крепления коронки.
- Установка коронки. Обычно ее устанавливают через неделю после снятия оттисков.

Подготовка к съемному протезированию
Этапы подготовки к установке съемного протеза после санации рта:
- Создание оттисков. По ним создается протезная конструкция с учетом особенностей челюстной системы пациента.
- Определение центрального соотношения - для нормальной функции жевания, речи.
- Выбор цвета искусственных единиц. Подбирается оттенок конструкции, схожий с цветом эмали пациента.
- Изготовление протеза - сроки индивидуальны.
- Примерка. Конструкцию не устанавливают, пока пациента полностью не устроит ее качество.
Подготовка к протезированию несъемными мостовидными протезами
Установка моста на опорных единицах зависит от их состояния. Если зубы живые, необходимо:
- депульпировать (удалить нерв);
- запломбировать каналы;
- сточить эмаль;
- снять слепок;
- установить коронку.
Если зуб мертв, но не разрушен (пломба надежно держится):
- снять пломбу;
- установить новую пломбу;
- снять слепок;
- установить мост.
При сильно разрушенной единице нужно:
- убрать старые пломбы, весь пломбировочный материал в зубных каналах;
- провести санацию корневых каналов (лечение кариеса и прочих заболеваний);
- проверить глубину каналов, перепломбировать их.
Пломба ставиться, если врач уверен, что ее достаточно для надежности зубной единицы. В противном случае ставиться пломба со штифтом или культевая вкладка по индивидуальному слепку.

Подготовка к протезированию на имплантах
Перед имплантацией зубов операцией пациенту необходимы:
3D-моделирование. Все данные переносятся в программу. Врач разрабатывает детальный макет челюстной системы, определяет количество имплантов и места вживления. Подбирает материал будущего протеза.

Панорамный снимок, КТ. Позволяют увидеть состояние челюстной системы, костной ткани, нервов, носовых пазух. На основании этого врач расписывает план лечения.
Фотометрия и кондилография (при частичной или полной адентии). У пациента берут фотопараметры с открытым, закрытым ртом, с улыбкой, без нее. Это необходимо для создания индивидуального протеза. Кондилография предоставляет данные о работе височно-челюстного сустава.
Анализы крови, мочи (не всегда). Необходимы для оценки вашего состояния здоровья, свертываемости крови, а также для выявления острых инфекций.
Санация полости рта. Перед установкой имплантов ротовая полость должна быть стерильной: лечится кариес, периодонтит. Купируется воспалительный очаг. Если зубы здоровы, обязательно проводится профгигиена рта.
Костная пластика (не всегда). Операция подразумевает наращивание кости в месте вживления зубных имплантатов для их полноценной работы. Проводится, если у пациента вследствие длительного отсутствия единиц сильно атрофировалась костная ткань.
Снятие слепков для временного протеза. После вживления имплантов устанавливают временную ортопедическую конструкцию. Она обеспечивает жевательную и защитную функции, сохраняет полноту зубного ряда, эстетику улыбки вплоть до установки постоянного протеза.
Как выбрать стоматологию для протезирования
Успешность протезирования зависит также от стоматологии. Выбор клиники - это самый первый этап перед протезированием, так как на результат лечения влияет квалифицированность ее врачей. Для выбора хорошей стоматологии рекомендуем:
- Побывать в нескольких клиниках. Многие консультируют бесплатно. Это неплохой способ узнать несколько независимых мнений врачей.
- Убедиться, что у стоматологии есть лицензии, сертификаты качества, а также разрешения на оказание дентальных услуг.
- Удостовериться, что стоматолог-ортопед клиники компетентен в оказываемых услугах. Информацию о квалификации врачей можно посмотреть на сайте клиники, в портфолио специалиста.
- Выбрать клинику, в которых есть все нужные специалисты (хирург, пародонтолог, ортодонт, имплантолог, стоматолог-терапевт). Важно, чтобы врачебная команда была в одном месте, взаимодействовала между собой.
- Заключить договор по оказанию лечения. В нем необходимо обозначить условия сделки, гарантии, цены, список услуг.
- Ознакомиться с оборудованием в клинике. Чтобы результат операции был положительным, нужна диагностическая цифровая техника, томографы, компьютеры с программами трехмерного моделирования.
В клинике «Самсон-Дента» работают врачи с большим опытом в зубном протезировании. Мы гарантируем нашим пациентам достойный результат операции по низким ценам, а также высокое качество сервиса, лечение современным оборудованием.
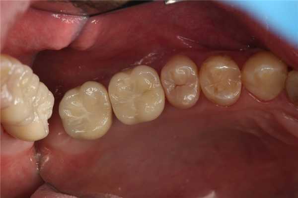
Сбор анамнеза перед протезированием коронками. Рекомендации
Стоматология:
Сбор анамнеза в ортопедической стоматологии - рекомендации
Составление полной истории болезни является определяющим фактором успешного ортопедического лечения.
В данном случае применяются обшие принципы написания истории болезни. При подготовке пациента к протезированию особенно важны следующие данные.
Жалобы пациента. Внешний вид, функционирование имеющихся или использовавшихся ранее протезов, связанные с ними жалобы пациентов, боль, тошнота (рвотные позывы), обусловленные протезами проблемы, возникающие во время еды.
Сведения об имевшихся ранее протезах. Возраст протезов? Насколько данные протезы подогнаны друг к другу? Когда впервые пациент начал носить протез? Сколько комплектов протезов пациент носил? Материал, из которого сделаны протезы?
Общий стоматологический анамнез. Наличие коронок, мостов, заболеваний периодонта (пародонта), осуществлялась ли ортодонтическая терапия, накладывались ли шины? Методы лечения, применявшиеся ранее по поводу данной жалобы.
Общий медицинский анамнез. Следует установить, в частности, не было ли у пациента страхов, боязни, депрессии, заболеваний сердца, нарушения мышечной деятельности.
Социальный анамнез. Определите, насколько пациент активен и может посещать врача для проведения соответствующих лечебных процедур.
Как ставят зубные импланты - этапы и сроки имплантации
По данным ВОЗ более чем у 60% населения планеты диагностирована частично или полностью беззубая челюсть. Лечение посредством установки импланта с последующим протезированием позволяет восстановить красивую улыбку и функциональность зубного ряда даже в самых сложных клинических случаях.
В этом материале расскажем о методиках имплантации зубов, как происходит первичная консультация и как врач составляет план лечения. Также распишем этапы установки имплантов, приведем исследования врачей-имплантологов, ответим на частые вопросы-пациентов.
- Основные понятия
- Требования и ограничения
- Базовые методики
- Особенности процедуры на верхней/нижней челюсти
- Как врач планирует процедуру?
- Этапы установки имплантата
- Возможные осложнения, риски
- Часто задаваемые вопросы
Что это такое?
Дентальная имплантация — это комплексная методика восстановления целостности зубного ряда. Благодаря высокой эффективности, процедура стала стоматологическим стандартом лечения частичной или полной адентии. Подход заключается в хирургическом вживлении имплантата в костную ткань челюсти в качестве замены корня зуба с последующей установкой протеза (заменяет коронковую часть).
Зубной имплант служит функциональной опорой для фиксации постоянной коронки, зубного моста или покрывного протеза в зависимости от клинической ситуации. Конструкция позволяет восстановить целостность ряда и жевательную функцию, останавливает постепенную атрофию костной ткани.
Эффективность лечения зависит от определения противопоказаний, предотвращения заболеваний ротовой полости, сборе информации и планирования операции врачом.
В стоматологии используют несколько методик установки имплантов. Ниже мы рассмотрим самые безопасные способы, а также возможные риски после вживления титанового стержня.
Показания и противопоказания
Перед хирургическим вмешательством врач проводит сбор анамнеза и аппаратное обследование полости рта. Показания к установке импланта — это клинические случаи вторичной адентии:
Нет одного зуба
Одиночные дефекты, когда отсутствует резец/клык в зоне улыбки или жевательный зуб (моляр/премоляр).
Метод лечения: установка импланта с постоянной коронкой, без препарирования соседних единиц.

Различают ограниченные включенные дефекты зубов посреди зубного ряда (с одной или двух сторон челюсти), а также концевые дефекты, когда отсутствуют заключающие ряд зубы (классификация Кеннеди).
Метод лечения: установка коронок на имплантах или мостовидный протез (протяженность до 5 единиц). Здоровые зубы сохраняются без съемного протезирования.

Полное отсутствие зубов с выраженным снижением высоты альвеолярных отростков.
Метод лечения: установка нескольких имплантов для надежной фиксации несъемного протеза (протокол All-on-4 или All-on-6).

- непереносимость съемного протезирования (аллергия на акрилат или выраженный рвотный рефлекс);
- отсутствие функциональной окклюзии (правильный межзубный контакт) с болью или дисфункцией ВНЧС.
Противопоказания к установке имплантов
Различают абсолютные противопоказания (установить имплантат категорически запрещено), а также относительные, когда необходимо соблюдать ряд условий.
- заболевания крови или кроветворной системы;
- заболевания ЦНС;
- онкология;
- заболевания иммунной системы;
- злокачественные опухоли;
- заболевания соединительной ткани;
- туберкулез и его осложнения;
- болезни слизистой оболочки полости рта (красная волчанка, пузырчатка, рецидивирующий стоматит и артрит);
- бруксизм, гипертонус жевательных мышц;
- сахарный диабет I типа.
Относительные
- неудовлетворительная гигиена полости рта;
- гингивит различной степени тяжести, воспаления десен;
- маргинальный периодонтит;
- артроз ВНЧС;
- аномалии прикуса;
- атрофия или дефекты мягкой ткани кости;
- вредные привычки (курение, алко/наркозависимость);
- беременность, период лактации.
Методы установки
Способы установки импланта отличаются по срокам проведения ортопедического этапа:
- Немедленная нагрузка — временная коронка устанавливается за один этап, сразу или через несколько дней после имплантации. Постоянный протез устанавливают после полной остеоинтеграции имплантата (3-6 месяцев).
- Поздняя нагрузка — означает, что протезирование зуба проводится на втором этапе операции, после полного приживления искусственного корня. До этого времени пациент ходит с заметным межзубным промежутком.
Ниже рассмотрим базовые методики имплантации.
Двухэтапная имплантация
Наиболее распространенная, классическая методика установки имплантата. Считается самой универсальной, так как может применяться практически в любой клинической ситуации.
- надежное приживление;
- минимальный риск отторжения и осложнений;
- более безопасно для курильщиков;
- лучший вариант если показано наращивание костной ткани.
- необходимо повторное хирургическое вмешательство;
- долгий процесс, от установки импланта до протезирования уходит до 6 месяцев.
Методика двухэтапной имплантации
Врач проводит разрез десны с отслоением слизистого лоскута. Формируется костное ложе с помощью направляющего канала. Внутрикостный стержень вкручивается вглубь ложа на 0,5-1,0 мм ниже альвеолярного отростка.
После введения стержня, в верхнюю часть вкручивается винт-заглушка для предотвращения врастания тканей в резьбовую часть. Лоскуты слизистой оболочки наглухо зашивают для защиты от попадания бактерий.

Под местной анестезией с помощью зонда определяют место внутрикостного элемента. Десна иссекается до 10 мм и через небольшое отверстие заглушку выкручивают, промывают резьбовой канал. Вкручивается формирователь десны и накладываются швы.
После формирования эстетичного десневого контура (до двух недель) формирователь десны заменяют на абатмент для дальнейшего протезирования.

Имплантация зубов в два этапа
Клинический случай №1


- Хирургический этап имплантации. У пациента был концевой дефект зубного ряда. После прокола десны было установлено два винтовых импланта, наглухо закрыты винтами-заглушками.
- Ортопедический этап. После приживления внутрикостного элемента, был установлен формирователь десны. После успешного формирования десневого края, установили две коронки.
Одноэтапная имплантация
Основное требование для успешной операции — высокая первичная стабильность. Имплантат устанавливается в один этап после разреза десневого лоскута в костное ложе. На внутрикостный элемент вкручивают формирователь десны, накладывают швы. Пока формируется десна пациенту устанавливают временный протез, чтобы он не ходил с беззубой челюстью.

Через две недели, когда сформирован контур десны, врач-ортопед приступает к протезированию. Для этого формирователь меняют на абатмент и коронку (через 2-6 недель).
- сокращение времени лечения;
- сохраняются контуры десны;
- возможность немедленной нагрузки протезом;
- минимальная травматичность.
- риск бактериальной инфекции;
- больше противопоказаний.
Не стоит путать одноэтапный метод с одномоментной имплантацией.
Одномоментная имплантация предполагает установку импланта непосредственно после удаления зуба. Может проводиться в один этап или классическим методом. Коронка устанавливается через 2-3 часа после вживления или в течение первых трех дней. Процедура несет дополнительные риски, почти всегда требуется костная пластика.
Мнение эксперта
Ковалёв Алан ВадимовичСтоматолог-ортопед, Хирург-Имплантолог, Пародонтолог
В клинике Самсон-Дента используем импланты для каждой базовой методики. Предлагаем пациентам премиальные системы Astra Tech (Швеция), а также эконом-сегмент от компаний Osstem (Южная Корея) и DIF (Израиль). Поможем выбрать лучший вариант, первая консультация и план лечения бесплатно.
Анатомические особенности
Перед планированием операции хирург-имплантолог должен учитывать анатомию челюсти, чтобы подобрать имплантат с необходимым диаметром, длиной и определить ориентацию при установке.
Верхняя челюсть
В большинстве случаев если высота костной ткани верхней челюсти менее 8 мм, проводится закрытый синус-лифтинг. После откидывания десневого лоскута стержень фиксируют в кортикальной пластинке (дистальный отдел) или в дне полости носа (передний отдел). Такое положение обеспечивает лучшую первичную стабильность.
Благодаря проведению разреза по альвеолярному гребню хорошо видно носонебный канал и срединный шов неба, что позволяет избежать повреждения носовой полости или гайморовых пазух.

Нижняя челюсть
Перед операцией определяют положение нижнечелюстного канала и лицевой вены. Травма вены может привести к повреждению сосудисто-нервного пучка, как следствие, к кровотечению и отеку. Повреждение альвеолярного нерва приведет к потере чувствительности (парестезия).
Во время процедуры аккуратно отслаивают десневой лоскут, не используют режущие инструменты вокруг нервов, препарирование прекращают за 2 мм до нерва.

Оценивается расположение, длина, наклон зубных единиц в месте планируемого ложа. Важно сделать прицельный снимок, чтобы определить направляющую ось и угол наклона стержня.
Если не сделать снимок повышается риск нарушения расстояния между стержнем и единицей. Это может привести к травме корня, периапикальных тканей, вплоть до потери зуба.

Костная ткань
Структура кости оценивается до операции, а также непосредственно в процессе установки имплантата. Количества и качество костной ткани влияет на первичную стабильность. При недостатке губчатого вещества во фронтальном отделе, ткань может перегреться, а в жевательном отделе будет минимальная стабильность стержня.
Процедура пройдет успешнее при наличии достаточного количества кости высокой плотности. Может потребоваться наращивание костной ткани.
Что учитывает врач перед имплантацией?
На первичном обследовании врач определяет условия для проведения имплантации. Планирование начинается с определения способа протезирования, количества/размера стержней, тактики хирургического и ортопедического этапа, показаний/противопоказаний, пожеланий пациента. Получение полной информации считается подготовительным этапом.
Осмотр полости рта
Во время обследования обращают внимание на:
- вид и протяженность зубного дефекта;
- состояние гигиены ротовой полости;
- качество здоровых единиц;
- тип прикуса;
- высоту альвеолярного гребня;
- состояние слизистой оболочки;
- расположение нижнечелюстного канала, носовой полости и пазух.
На основании беседы с пациентом врач выясняет показания для проведения операции, а также противопоказания. При сборе анамнеза учитывается:
- Срок и причина утраты зубов. Это поможет подобрать наилучший тип импланта. Если зуб отсутствовал долго, может потребоваться синус-лифтинг.
- Перенесенные или сопутствующие болезни. Могут служить противопоказанием к операции или требовать дополнительных мер предосторожности.
- Способ предшествующего протезирования. Если у пациента были съемные протезы.
Рентгенография
Для определения состояния костной ткани проводится пальпация альвеолярных отростков и назначается рентгенографическое обследование (панорамный снимок, ОПТГ). Это позволяет оценить высоту кости и расположение зубов, однако у ОПТГ есть искажения размеров до 20%. Поэтому дополнительно могут назначить компьютерную томографию (КТ) для получения трехмерного изображения строения челюсти.
- Ширина костной ткани в щечно-язычном отделе должна быть от 6 мм.
- Расстояние между зубными корнями не менее 8 мм.
- Оптимальная толщина кости на верхней/нижней челюсти 10 мм (в других случаях понадобиться оперативная подготовка).
Этапы установки имплантата
После первичной консультации врач составляет план лечения, назначает подготовительные процедуры:
- профессиональная гигиена полости рта — удаление налета и камня;
- устранение кариозных образований;
- санация ротовой полости — купирование очагов инфекции, лечение стоматологических болезней (пульпит, периодонтит, гингивит, пародонтит);
- антимикробная терапия — профилактика перед операцией;
- премедикация — подготовка к анестезии и хирургическому вмешательству;
- предоперационная диета.
По показаниям проводится закрытый синус-лифтинг, ретранспозиция нижнечелюстного нерва, применение костных трансплантатов.
За 40 минут до процедуры назначают антибиотики для снижения осложнений (рокситромицин или амоксициллин). Применять лекарства необходимо строго по назначению врача.
После вживления врач-ортопед снимает слепки челюсти. Постоянный протез устанавливается после полного приживления искусственного корня (до 6 месяцев). При процедуре установки импланта в один этап возможна фиксация временной ортопедической конструкции.
Осложнения после имплантации
В большинстве случаев риски обусловлены ошибками при планировании операции или во время хирургического вмешательства. Существует несколько видов осложнений:
- Во время операции (1% от всех случаев) .
Чаще всего являются следствием неправильного определения высоты кости, некорректного формирования ложа. Возможные осложнения:
- перегрев костной ткани;
- нарушение целостности слизистой оболочки;
- отсутствие первичной фиксации.
После операции возможны болевые ощущения, небольшое кровотечение, гематома, воспаление. Если болевые симптомы не проходят в течение 1-3 дней, обратитесь к врачу. Важно соблюдать все предписания, иначе может начаться расхождение швов, абсцесс, периостит.
К возможным последствиям относят проблемы с дикцией, периимплантит, мукозит, отторжение. Риск такой клинической ситуации 0,5-1%. Симптомы: воспаления, нагноения, резорбция кости. Лечение начинают с ультразвуковой чистки зубов, медикаментозной терапии, домашнего гигиенического ухода. Если лечение безуспешно, показано удаление и повторная установка имплантата.
Если произошла резорбция кости в области имплантата и показано его удаление, можно провести повторную имплантацию (реимплантацию). Реимплантация проводиться через пол года после первой операции, сочетается с направленной регенерацией костной ткани.
Вопросы пациентов
Операция проводится под местной анестезией, поэтому жалобы на боли не очень распространены. Если боль появилась сразу после имплантации — это воспалительный процесс, термическая травма или повреждение нерва. Однако в большинстве случаев боль купируется анальгетиками. Дополнительно дома можно провести полоскание теплым физраствором. Если болевой синдром не проходит в течение 2-4 дней, обратитесь к врачу. Если дискомфорт возник спустя месяцы после успешной установки, это симптомы периимплантита, потребуется стоматологическая помощь.
Как проводить уход после имплантации?
Чтобы реабилитация прошла успешно, важно соблюдать несколько требований:
- поддерживать высокий уровень гигиены (чистить зубы с осторожностью);
- жевать аккуратно, лучше на здоровой стороне;
- избегать резкой смены температура еды и питья;
- баня/сауна противопоказаны.
Ограничения снимаются в течение 2-3 недель после вживления стержня, а дальнейший уход заключается в поддержании домашней гигиены полости рта. Врачи рекомендуют дополнительные средства, такие как зубной ершик или ирригатор, а также проводить профессиональную чистку зубов раз в 6 месяцев.
Наша клиника предлагает провести первую консультацию о способах протезирования на имплантах бесплатно. Для записи заполните онлайн-заявку.
Как проходит диагностика перед протезированием зубов?

Перед протезированием зубов пациенту необходимо пройти ряд процедур, прежде чем специалист сможет определить, какой протез больше подходит, снимет слепки и перейдет к изготовлению конструкции. В основном выделяют несколько основных процедур, которые являются обязательными. Рассмотрим подробнее.
Что включает в себя диагностика?
Визуальный осмотр и санация полости рта

При диагностике специалисту необходимо убедиться, что на зубах нет кариеса. Для этого проводят гигиеническую чистку, чтобы удалить зубной налет. Под зубным камнем и налетом происходит процесс деминерализации эмали, что приводит к развитию кариеса и воспалению десны. После чистки зубов с помощью ультразвука врач может увидеть области эмали, которые были скрыты налетом. Если наблюдается патологический процесс, то назначается лечение зубов.
Санация включает в себя чистку зубов (обязательную процедуру перед протезированием), лечение кариеса, удаление разрушенных зубов, устранение воспалений, стоматита, грибка или травм.
Диагностика состояния костной ткани

Чтобы провести диагностику состояния челюсти, врач делает панорамный снимок (ортопантомограмму). На рентгеновском снимке ОПТГ можно увидеть расположение корней зубов, наличие гранулемы, кисты, проседание кости (уровень резорбции), высоту костной ткани. Перед установкой протеза это не менее важные показатели, как и диагностика кариеса, так как по состоянию кости можно определить, какой вид протеза можно установить. Наличие атрофии кости является противопоказанием к установке некоторых видов протезов.
Диагностика состояния прикуса и суставов
Для восстановления одной единицы ортопеду бывает достаточно убедиться, что в полости рта нет инфекций, которые бы могли вызвать осложнения. Однако, для восстановления нескольких зубов с помощью протеза важно не только восполнить эстетический дефект, но и функциональный. Поэтому врач оценивает состояние височно-нижнечелюстного сустава, прикус, движения челюсти, выявляет, как работает зубочелюстная система в динамике. Это позволяет правильно распределить нагрузку, определить места крепления, испытываемую нагрузку. Только при комплексном подходе можно собрать данные и изготовить надежный, функциональный и долговечный протез.
Для сбора данных используют такие приборы как артикулятор, анализаторы HIP-плоскости, лицевые дуги, окклюдаторы. Они относятся к классическим аналоговым аппаратам. При умелом обращении опытный специалист может эффективно использовать их для получения нужной информации. При использовании современной компьютерной техники врач тратит меньше времени, проводить диагностику легче, полученные данные сохраняются в программе. Цифровая диагностика все чаще используется в клиниках и имеет ряд преимуществ перед традиционными аппаратами. Цифровая техника собирает данные быстрее, мгновенно передает информацию, объединяет показания разных приборов в одну программу, позволяет проводить увеличение модели в несколько раз с высокой точностью, изготовление протеза более точное и быстрое при использовании CAD/CAM технологий.
Читайте также:
