Синдром Альберс-Шенберга (Albers-Shenberg) - синонимы, авторы, клиника
Добавил пользователь Евгений Кузнецов Обновлено: 21.11.2025
Впервые болезнь описана в 1904 г. рентгенологом Альберс — Шенбергом. Заболевание редкое. В мировой литературе описано всего около 300 больных.
Сущность заболевания заключается в нарушении окостенения, выражающегося в увеличении количества компактного костного вещества.
Первичное губчатое вещество кости становится плотным, увеличивается его минерализация и обедняется структура. Повышенное производство кости идет в основном за счет эндостального и отчасти энхондрального роста. Количество остеобластов нормально или увеличено, в то время как остеокласты, способствующие рассасыванию кости, резко снижены в количестве вплоть до полного их отсутствия. Корковое вещество у больных в несколько раз толще, чем у здорового человека. Утолщение коркового вещества направлено в сторону костномозгового пространства, которое резко суживается. Вследствие гнперсклеротического процесса понижается кровоснабжение и иннервация костной ткани. Гистологически видно бессистемное, неправильное строение костного вещества.
Заболевание наследственное, носит доминантный характер. У половины больных выявляется кровное родство родителей. Формы болезни, развивающиеся в раннем детстве, могут передаваться и рецессивно.
Имеются описания мраморной болезни у плода, новорожденных и у детей раннего и старшего возраста. Болеют в равной степени мальчики в девочки. В часта случаев болезнь может наступать и спонтанно. Этиология врожденной мраморной болезни неизвестна. В патогенезе имеет значение преобладание работы остеобластов при резком снижении активности остеокластов. Большинство исследователей считают, что немаловажная роль принадлежит врожденной недостаточности мезенхимы, которая связывает избыточно качественно измененные минеральные вещества костей. Болезнь получила свое название в связи с бледно-серой окраской кости, напоминающей однородный мрамор. На местах энхондрального роста хрящ избыточно пропитывается известью, и зона предварительного обызвествления расширяется.
Клиническая картина очень разнообразна. Имеются формы, при которых наблюдаются только поражения скелета. Эти формы часто клинически не дают никаких симптомов и распознаются только рентгенологически при случайном обследовании. В противоположность этому имеются формы болезни с многочисленными патологическими симптомами, которые патогенетически тесно связаны с наследственными аномалиями костной ткани. При выраженных формах бальные обычно отстают в росте, они — пониженной упитанности, отмечается бледность кожных покровов и видимых слизистых оболочек. Иногда наблюдается гидроцефалия. Вследствие прогрессирующего гиперостоза и фиброзно-склеротических изменений костномозгового канала развивается тяжелая анемия с образованием миелоидной метаплазии в печени, селезенке н лимфатических узлах. Размеры печени н селезенки значительно увеличиваются. Разрастание остеоидной ткани в области отверстий черепа может сдавливать глазные нервы и вызывать слепоту, а также нистагм и паралич глазных мышц. При сдавлении нерва в области фалопиева канала возникают парезы лицевого нерва. Наблюдается также поражение внутреннего уха. Иногда удается пальпаторно определить колбообразное утолщение дистальных окончаний трубчатых костей. Хотя кость утолщена, более плотна и с трудом может быть распилена, она вслед-
етвии уменьшения эластичности склонна к переломам. Обычно при переломах в дальнейшем образуется костная мозоль и заживление, исключение составляют переломы шейки бедра, которые плохо поддаются лечению. Больные мраморной болезнью склонны к кариесу зубов и остеомиелитам нижней челюсти.
Рентгеновская картина мраморной болезни очень своеобразна. Больше всего поражается основание черепа, позвонки, ребра, проксимальные концы бедренных костей и дистальные берцовых костей. Menee изменены плечевые кости и фаланги. Эпифизы несколько утолщены. Метафизы более всего изменены и имеют булавовидную форму. Кости — плотны и непрозрачны. Костномозговой канал виден резко суженным. Иногда на фоне плотной мраморной кости имеются широкие поперечные светлые полосы нормального строения кости (С.
А. Рейнберт>. Полости и пазухи черепа полностью заращены. Турецкое седло уплощено; задняя его стенка булавовидно вздута. В телах позвонков темные полосы идут вдоль площадок, что особенно хорошо видно на боковых снимках позвоночника. Надкостница обычно не изменена.
Производимая у таких больных спленэктомии уменьшает анемию, увеличивает продолжительность жизни эритроцитов и нормализует количество тромбоцитов в крови.
При дифференциальном диагностике приходится иметь и виду миелофиброз, при котором черепные кости бывают нормальными или незначительно вовлечены в процесс; в детском возрасте сходные явления с мраморной болезнью могут наблюдаться при гипер- внтамнпозе D и Л. Для правильной диагностики имеет значение анамнез (передозировка витамина) и ранний возраст больного. Дифференциации требует также врожденный сифилис, при котором, кроме костных изменений, имеются и другие признаки сифилиса.
II рофилактика и лечение, Браки между родственниками особенно не желательны. При мраморной болезни спортивные игры, гимнастика на снарядах, езда на велосипеде, езда верхом и др. должны быть строго запрещены. Санации зубов должно быть уделено особое внимание, так как больные склонны к одонтогенной инфекции.
Не следует больным назначать лекарства, способствующие отложению извести в костях (витамин D1 рыбий жир, кальции и др.). При наличии у больных гемолитической анемии или тромбоцитопении с массивными кровотечениями показана спленэктомия. Специфическая терапия мраморной болезни отсутствует. Обычно применяется симптоматическое лечение. При тяжелых формах анемии показаны трансфузии крови или эритроцитарной массы.
Прогноз зависит от формы болезни; при доброкачественной — прогноз сравнительно удовлетворительный; при злокачественных формах дети погибают от сепсиса, остеомиелита нижней челюсти или от прогрессирующей анемии. Прогноз тем лучше, чем в более позднем возрасте возникает заболевание.
Для иллюстрации приводим собственное наблюдение.
Больной В. К·, 3 мес., поступил в клинику 2Ι/ΙΙ 1967 г. с диагнозом острого эритромиеиоза, рахита 1 степени, гипотрофии и врожденного стридора.
Ребенок от вторых родов. Из-за предлежания плаценты — кесарево сечение. Вес при рождении 3600 г. Родители здоровы. C 1 ¾ мес. стал бледным, плохо сосал грудь, В 2 мес, гос пита лизирован в ипфекционпую больницу по поводу «гриппа и гриппозной пневмонии». В больнице были выявлены изменения крови, и болезнь была расценена, как эритромиелоз. Больной был переведен в госпитальную педиатрическую клинику. При осмотре здесь общее состояние тяжелое, ребенок вял, резко истощен. Тургор тканей понижен. Тонус мышц нижних конечностей повышен.
Бледность кожных покровов и слизистых оболочек. Большой родничок: 2,5 X 3 см. Со стороны легких и сердца отклонений от нормы не обнаружено. Живот мягкий, безболезненный. Печень плотная, увеличена на 3,5 см ниже реберной дуги, селезенка — па I см ниже ребер. Вес 4390 г, рост 55 сл. Индекс упитанности Чулицкой 7 (норма—25). Исследование крови от 22/11 1967 г.: эр. 2 380 000, Ilb 44 ед., цветовой показатель 0,88 л, 17 700, б. 3,5, м 2, микромиелоблаеты 3, парамиелобласты 2, ю. 0,5, п. 3, с. 15, лимф. 56,5, мои. — 9, пл.
ил. — 1, лимф.-рет. 4,5, эритробласты 6,5, нормобласты 6,5. Анизоцитоз, полихромазия. РОЭ 3 лі.ч а 1 ч. Ретикулоцитов 52‰. Количество тромбоцитов 27 700 в I дни 3 . Время свертывания крови нормально. Длительность кровотечения 15 мин. Общий белок сын. кр. 6,0 г%, альбуминов 62,4%, глобулинов: CC1-5,8, (X2- 9,4, р — 1310, γ — 9,4, RW — отрицательная. Ca 9,2 мг%, P— 3,8 лг%. Стернальный пунктат получить не удалось. В моче время от времени появлялось небольшое количество белка, до 10 лейкоцитов н эритроцитов. Глазное дно нормально.
На серин рентгенограмм костного скелета обнаружено: значительное уплотнение костей основания черепа, повышенная плотность костей таза, нижних конечностей, ключиц и ребер. Избыточное разрастание остеоидной ткани в области ростковых зон и нарушение костеобразования в этих отделах. Заключение рентгенолога — мраморная болезнь.
Течение болезни злокачественное. Температура гсктпческая; рецидивирующий отит, бронхопневмония, резкая гипотрофия, пиурия. Ребенок скончался 17/1V— 1967 г.
Патологоапатомнческнй диагноз: мраморная болезнь. Осложнения: малокровие. Очаги экстрамедуллярного кроветворения в твердой мозговой оболочке, под периостом трубчатых костей π во внутренних органах. Двусторонняя очаговая пневмония. Суб- макеялит, истощение.
Синдром Альберс-Шенберга (мраморная болезнь)

Мраморная болезнь — редко встречающееся врожденное заболевание диспластического характера, проявляющееся диффузным остеосклерозом большинства костей скелета. Болезнь впервые описана немецким рентгенологом и хирургом Heinrich Ernst Albers-Schonberg в 1904 году. Заболевание встречается во всех возрастных группах, на всех континентах, в равной степени у мужчин и женщин.
Этиология неизвестна, в большинстве случаев мраморная болезнь носит семейный характер и передается из поколения в поколение. Описаны также спорадически возникающие случаи болезни.
При синдроме нарушается координация процессов костеобразования и развития сосудистой системы, патологическое разрастание костей вытесняет кроветворную ткань. Костномозговые полости резко уменьшаются или полностью облитерируются, что ведет к тяжелому, прогрессирующему нарушению кроветворения и смерти. В развитии болезни придается значение также гиперфункции паращитовидных желез, чрезмерно высокому содержанию в пище витамина Д (Меркулов И. П., 1971).
[banner_centerrs] [/banner_centerrs]
Выделяют две формы заболевания: аутосомно-рецессивную, или злокачественную, и аутосомно-доминантную, относительно доброкачественную.
Общими симптомами заболевания являются: чрезмерная ломкость костей с последующим быстрым срастанием отломков; вторичная анемия; увеличение печени, селезенки, лимфатических узлов; может быть гидроцефалия; повышение внутриглазного давления; различной степени отставание в физическом развитии; понижение слуха.
При этом заболевании уже у новорожденных имеется резкое снижение зрения или слепота из-за атрофии зрительных нервов, которая развивается в результате склеротического утолщения костей основания черепа и сужения отверстий и каналов, чаще зрительного. Больные мраморной болезнью дети долго не могут ходить, зубы у них появляются очень поздно, легко выпадают, поражаются кариозным процессом, который может осложниться остеомиелитом челюстей и некрозом, чаще нижней челюсти. Офтальмологическими симптомами являются уплощение глазниц и экзофтальм, косоглазие и нистагм, нарушение конвергенции, застойные диски, первичная или вторичная атрофия зрительных нервов.
Л. A. Дымшиц с соавторами описывает девочку 5 лет с экзофтальмом, полной атрофией зрительных нервов, рахитом, поражением зубов кариозным процессом и тапеторетинальной абиотрофией сетчатки.
Важнейшим для диагностики является рентгенологическое исследование, которое дает характерную картину изменений почти всех костей, в том числе и позвонков.
Более подробно о лечении, профилактике и восстановлении зрения Вы можете узнать из программы "Видеть Без Очков" от Майкла Ричардсона. Уникальная методика Естественного Оздоровления позволит Вам восстановить и улучшить Ваше зрение и здоровье до 100 или более процентов. Нажмите здесь, чтобы навсегда избавиться от болезней.
Свое название мраморная болезнь получила в связи с особой картиной рентгенограмм скелета, на которых обнаруживают необычно резкую плотность, гомогенность, бесструктурность костей, как будто они состоят из белого мрамора. Форма и размеры костей остаются нормальными. В костях черепа в первую очередь поражаются те, которые имеют хрящевое происхождение. Вместе со склерозом костной ткани отмечается сужение каналов черепных нервов, облитерируются придаточные пазухи носа. В теле позвонков центральная часть просветлена, а по ходу замыкающих пластинок образуются плотные широкие полосы.
Патологические переломы костей чаще возникают в подвертельной области бедренной кости, реже в других трубчатых костях и ребрах. Оскольчатые переломы встречаются редко, чаще плоскость перелома поперечная или косая. Дифференциальный диагноз в типичных случаях не труден. При маловыраженных или нетипичных рентгенологических изменениях дифдиагностику проводят с остеопойкилией, остеосклеротической анемией, остеомиелофиброзом, лейкозами, лимфогранулематозом, последствиями отравления свинцом, фосфором, особенно фтором, с некоторыми формами болезни Неджета, остеокластическими множественными метастазами, особенно рака предстательной железы. В детском возрасте остеосклероз может вызываться лекарственной терапией врожденного сифилиса, а также при гипервитаминозе «А» и «Д».
Лечение симптоматическое: препараты железа, кортикостероиды, повторные переливания крови, общеукрепляющее лечение. Улучшение временное.
Альберс-Шёнберга болезнь
Син.: остеопетроз; osteosclerosis fragilis generalisata; мраморная болезнь; синдром Генча - Ассманна.
Наследственное заболевание с аутосомным (мягкая форма) или рецессивным (злокачественная форма и медленно развивающаяся форма) типом передачи, характеризующееся диффузным повышением плотности костей, анемией и макроцефалией. Частота приблизительно 1:200.000 населения. Причиной развития болезни является патология остеокластов, вероятно аутоиммунной природы. Неврологическим проявлениями болезни могут быть параличи I, II, III, V, VII и VIII пар черепных нервов, нистагм и гидроцефалия.
Описаны три клинические формы заболевания:
детская злокачественная форма: проявляется в раннем детстве, без лечения заканчивается летальным исходом в течение нескольких лет. Кости патологически плотные, неспособные к ремоделированию. По мере их роста не создаётся достаточного пространства для развития костного мозга, что приводит к анемии, лейкопении и тромобоцитопении. Ребёнок склонен к кровотечениям, интеркуррентным инфекциям и патологическим переломам. Костные каналы, через которые проходят черепные нервы, становятся относительно малыми, вследствие чего развиваются поражения зрительных, глазодвигательным и лицевых нервов. Как правило, в течение последующих 20 лет больные умирают от инфекций или кровотечения.
медленно развивающаяся (промежуточная) форма: манифестирует на первом десятилетии жизни и характеризуется лишь некоторыми чертами злокачественной формы (анемия, дисплазия зубов, диспропорциональное теллосложение).
мягкая (аутосомно-доминантная) форма: характеризуется неизменённой продолжительностью жизни, но наличием большого числа ортопедических проблем. Именно эта форма в узком смысле, может называться болезнью Альберс-Шёнберга. Возможно развитие анемии лёгкой степени, паралича Белла и глухоты. Наиболее частыми симптомами заболевания являются патологические переломы с последующим развитием вторичных деформаций скелета (например, coxa vara). Довольно часто, вследствие нарушения васкуляризации костей и снижения иммунитета, развиваются остеомиелиты.
Рентгенологическая картина характеризуется диффузным тотальным уплотнением костей со специфическими изменениями позвонков, костей таза и метафизарных областей. Лабораторно - отмечается снижение уровня кальция и повышение уровня фосфора сыворотки крови.
Лечение проводится, как правило, только при злокачественных формах и включает назначение в высоких дозах 1,25-дигидроксилированного витамина D в сочетании с диетой с низким содержанием кальция (это стимулирует остеокласты). В тяжёлых случаях применяется аллогенная пересадка костного мозга от HLA-идентичных доноров или пересадка костного мозга от донора после курса терапии циклофосфамидом и тотального облучения организма. Применяется также терапия рекомбинантным гамма-интерфероном.
Альберса — Шенберга болезнь (Albers-Schonberg)
Синонимы: мраморная болезнь, семейный остеопороз, врожденный диффузный остеосклероз. Диффузный остеосклероз или остеопороз значительной части костного скелета. Патогенез не выяснен. У половины больных клинических симптомов нет, болезнь диагностируют случайно при рентгенологическом исследовании по поводу перелома. Это заболевание доброкачественное, наследуется доминантно. Пораженные кости отличаются большой ломкостью. Сущность патологических изменений заключается в утолщении коркового слоя костей и сужении костномозгового канала, прогрессирующем остеосклерозе, уплотнении с одновременной хрупкостью костей и анемией. Наиболее выражены изменения в зонах роста, где бывают, видны колбовидные вздутия. В костях черепа суживаются отверстия со сдавленней нервов, из-за чего наступает глухота и слепота. Смерть может наступить при явлениях нарастающей анемии или от септикопиемии, источником которой являются гнойные остеомиелиты, развивающиеся как следствие патологических переломов. Когда в процесс вовлекается миелогенная ткань, заболевание принимает злокачественный (по течению) характер, проявляющийся в грудном возрасте задержкой роста, спонтанными переломами, значительной анемией, увеличением печени и селезенки, слепотой, тяжелым остеомиелитом. Тип наследования аутосомно-рецессивный. Прогноз неблагоприятен. Смерть в раннем возрасте из-за недостаточности костного мозга и геморрагического синдрома. На рентгенограммах пораженные кости имеют бесструктурное, как бы мраморное изображение, костномозговые пространства сужены, остеосклероз выражен в области длинных трубчатых костей, позвонков, таза.
Выдающиеся медики Германии. Эрнест Альберс-Шенберг
В статье представлены сведения о жизни и научно-врачебной деятельности немецкого врача рентгенолога, первым указавшим на значение рентгеновских лучей в медицине.
Ключевые слова: Эрнест Альберс Шенберг, медицина, радиология.
The article presents information about the life and scientific and medical activities of the German radiologist, the first to point out the importance of X-rays in medicine.
Keywords : Ernest Albers Schoenberg, Medicine, Radiology.
Исследовать — значит видеть то, что видели все, и думать так, как не думал никто.
Альберт Сент-Дьёрди (1893-1986)
Альберс-Шенберг Генрих Эрнест (Heinrich Ernst Albers-Schönberg; 21 января 1865-4 июня 1921) — немецкий врач рентгенолог, профессор.

Альберс-Шенберг Генрих Эрнест
Генрих Эрнст Альберс-Шёнберг родился в семье гамбургского купца Августа Генриха Альберса-Шёнберга. Медицинское образование получил в университетах городов Тюбингена и Лейпцига. Будучи студентом, среди сокурсников пользовался уважением, ибо обладал хорошим чувством юмора и жизнерадостностью.
В 1891 году в Лейпциге под руководством профессора патологии и терапии Генриха Куршмана (Heinrich Curschmann, 28 июня 1846-6 мая 1910) защитил докторскую диссертацию [17]. На протяжении трех лет (с 1892 по 1894) трудился в качестве ассистента в больнице Гамбург-Эппендорф, а затем стал ассистентом [16] немецкого профессора гинекологии Пауля Цвайфеля (Paul Zweifel, 30 июня 1848-13 августа 1927) в Лейпцигском университете.
Переехав в Гамбург в качестве практикующего врача, в 1897 году совместно с терапевтом Георгом Дейке (1865-1938), ровесником по возрасту, поняв важность открытия 8 ноября 1895 года Вильгельмом Рентгеном (Wilhelm Röntgen, 27 марта 1845-10 февраля 1923) икс-излучения, основал рентгеновскую клинику, а позже был назначен заведующим радиологическим отделением больницы Святого Георга. В этом же году совместно с Георгом Дейке основал журнал «Fortschritte auf dem Gebiete der R'ntgenstrahlen».
В знак признания феноменального вклада в радиологию в 1919 году Альберс-Шёнберг был избран профессором и заведующим кафедрой радиологии вновь созданного Гамбургского университета.
Генрих Эрнст Альберс-Шёнберг оставил заметный след в медицине, а именно в рентгенологии. Им впервые были описаны рентгенологические проявления остеопетроза (лат. osteopetrosis), впоследствии названной «болезнью Альберса-Шёнберга». Остеопетроз (или мраморная болезнь) относится к группе редких наследственных заболеваний [11, 12, 15], которая проявляется диффузным уплотнением костей скелета и их ломкостью, а также нарушением костномозгового кроветворения.
В этиологической основе остеопетроза лежит генетический дефект, в доступной нам литературе описана мутация как минимум 8 генов [6]. В настоящее время различают аутосомно-рецессивную, аутосомно-доминантную, связанную с X-хромосомой и промежуточную формы остеопетроза [13, 14].
Заболевание приводит к утолщению костей, сужению, а у некоторых больных полному исчезновению костномозговых пространств [8].
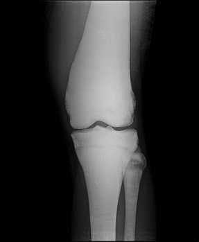
Остеопетроз описывается как синдром чрезмерной кальцификации костей, вызывающий мраморный вид с повышенной рентгенологической плотностью скелета (рис. 1, 2, 3).

Рис. 1. Перелом правой бедренной кости при мраморной болезни

Рис. 2. Рентгенограмма костей бедра и голени при мраморной болезни

Рис. 3. Рентгенография грудо-поясничного отдела позвоночного столба в боковой проекции при мраморной болезни
В 1907, 1909 и 1913 годах Альберс-Шёнберг был членом немецкого отделения Международного конгресса физиотерапии в Риме, Париже и Берлине. Во время Первой мировой войны он был консультантом Девятого армейского корпуса, за что был удостоен медали Красного Креста. Помимо этого, ему были вручены и академические награды университетов Вюрцбурга, Гейдельберга и Бреслау.
В начале триумфального шествия рентгеновского обследования в различных клиниках мира было мало информации об опасности радиации для человека. В 1908 году у Альберс-Шёнберга была диагностирована неоплазия, вызванная радиацией, в результате чего ему ампутировали правый средний палец кисти и левую руку. Кроме того, опухоль в грудной клетке и плече вызывали большую боль, игнорируя которую он продолжал разрабатывать практические методы реабилитации больных.
Альберс-Шёнберг умер 4 июня 1921 года в возрасте 56 лет от сердечной недостаточности и пневмонии.
Наиболее важные работы Альберс-Шёнберга касаются методов экспозиции рентгеновского излучения. Его главным творчеством является Die R'ntgentechnik, книга о радиографических методах исследования, предназначенная для врачей и студентов. Книга была переведена на итальянский и русский языки. Так, в частности, он доказал, что рентгеновское облучение пагубно отражается на репродуктивной функции кроликов. Это открытие способствовало развитию эффективных методов защиты от рентгеновских лучей и научных исследований в области стерилизации.
После описания Альберс-Шёнбергом клинических и рентгенологических проявлений остеопетроза, в различных странах мира [3, 4], в том числе и в нашей стране [1, 2, 5, 6, 7, 9, 10], началось его всестороннее изучение.
Читайте также:
- Лечение множественного рака толстой кишки. Прогноз при раке толстой кишки
- Болезни вилочковой железы у детей. Ангиокардиопатии у детей
- Псевдоишемические проявления нейроциркуляторной дистонии. ЛФК при ВСД по кардиальному типу
- Вас интересует мужчина Овен? Гороскоп совместимости с мужчиной Овном
- Простая мастэктомия
