Синовиальная саркома головы и шеи - лучевая диагностика
Добавил пользователь Евгений Кузнецов Обновлено: 22.11.2025
Саркомами называют опухоли, которые развиваются из клеток предшественниц соединительной ткани — мезодермы. Как и рак, они представляют собой злокачественные новообразования, но с той разницей, что источником раковой опухоли является эпителий, выстилающий внутренние органы и тело человека. Поэтому эти опухоли имеют привязку к конкретному органу, например, рак предстательной железы, рак молочной железы и др. Саркомы же развиваются из соединительной ткани и могут возникнуть в любом органе, где есть такие клетки, то есть фактически везде.
Виды сарком мягких тканей
Саркома мягких тканей — это собирательный термин, который объединяет большое количество злокачественных опухолей, среди которых наиболее часто встречаются следующие:
- — опухоль из гладкомышечных клеток.
- Рабдомиосаркома — опухоль из поперечно-полосатой мускулатуры.
- Липосаркома — злокачественная опухоль из жировой ткани.
- Ангиосаркома — злокачественное новообразование, произрастающее из ткани кровеносных сосудов.
- Фибросаркома — опухоль из фиброзной ткани.
Также саркомы мягких тканей принято разделять по степени злокачественности. Низкозлокачественные новообразования редко метастазируют, но склонны к упорному рецидивированию. Высокозлокачественные опухоли склонны давать метастазы гематогенным путем (с током крови), лимфатические узлы поражаются реже.

Стадии развития
Стадия саркомы мягких тканей определяется степенью злокачественности опухоли, ее размером и наличием метастазов.
- К 1 А стадии относят новообразования низкой степени злокачественности, размером менее 5 см, без метастазов в регионарных лимфатических узлы и отдаленных органах.
- 1 В стадия — опухоли низкой степени злокачественности, более 5 см без метастазов.
- 2А стадия — новообразования средней степени злокачественности, менее 5 см без метастазов.
- 2В стадия — новообразования средней степени злокачественности, более 5 см в наибольшем измерении, без метастазов.
- 3А стадия — саркомы высокой степени злокачественности, менее 5 см без поражения лимфатических узлов и внутренних органов.
- 3В стадия — саркомы высокой степени злокачественности, более 5 см без метастазов.
- 4 стадия — саркома любой степени злокачественности, любого размера при наличии поражения лимфатических узлов или метастазов во внутренних органах.

Факторы риска
В большинстве случаев, саркомы мягких тканей развиваются спонтанно, т. е. без видимых причин. Однако есть определенные обстоятельства, которые увеличивают вероятность развития данного заболевания:
- Воздействие химических канцерогенов, в частности гербицидов, хрорфенолов.
- Генетическая предрасположенность — нейрофиброматоз, синдром Ли-Фраумени, синдром Гарднера.
- Воздействие ионизирующего излучения, например, прохождение лучевой терапии.
- Иммунодефицитные состояния — иммуносупрессия после трансплантации органов, прохождение химиотерапии, СПИД.
- Некоторые виды сарком мягких тканей могут развиваться на фоне лимфостаза конечности.
Симптомы саркомы мягких тканей
На начальных этапах, саркома мягких тканей проявляется как безболезненная опухоль, которая медленно увеличивается в размерах. Может иметь капсулу, которая, впрочем, не мешает метастазированию. Также опухоль может иметь инфильтративный рост, в этом случае определить ее края проблематично.
При дальнейшем росте, симптоматика будет зависеть от локализации опухоли. Например, при саркомах матки будут кровотечения, при поверхностной локализации опухоль вызывает отечность и боли, при этом нарушается функция пораженного органа, например, руки или ноги.
Диагностика саркомы мягких тканей
В рамках диагностики саркомы мягких тканей проводится физикальное обследование, используются методы медицинской визуализации с последующим проведением биопсии и морфологического исследования полученного материала.
Обязательно проводится КТ или МРТ пораженной области. Во-первых, исследование помогает обнаружить опухоль, а во-вторых проконтролировать радикальность излечения.
Для постановки диагноза обязательно проводится морфологическое исследование фрагмента опухоли. Чтобы его получить, выполняют трепанбиопсию с помощью специальной толстой иглы под контролем УЗИ, или инцизионную биопсию, которая подразумевает хирургическое иссечение фрагмента новообразования. В ряде случаев, для уточнения типа саркомы необходимо более детальное исследование, тогда проводят иммуногистохимические и молекулярно-генетические анализы.
Для того чтобы установить степень распространения опухоли, проводят КТ грудной клетки, брюшной полости, а также ультразвуковое исследование лимфатических узлов.
Лечение саркомы мягких тканей
Выбор метода лечения саркомы определяется степенью ее злокачественности, местом расположения и наличием метастазов. Для лечения низкозлокачественных опухолей, лечение преимущественно хирургическое, в остальных случаях используются комбинированные методы, включающие облучение и химиотерапию.
Хирургическое лечение
При хирургическом лечении сарком используются следующие виды операций:
- Широкая местная резекция. Таким способом удаляются низкозлокачественные небольшие новообразования, располагающиеся в коже и подкожной клетчатке.
- Широкое иссечение. При таком вмешательстве саркома удаляется в пределах анатомической зоны, отступая от края новообразования не менее чем на 4-6 см.
- Радикальная органосохраняющая операция. При таком объеме вмешательства удаляется опухоль совместно с мышечными фасциями и неизмененными мышцами, которые отсекаются в месте их прикрепления. При вовлечении в процесс кровеносных сосудов, нервных стволов и костей, производят их резекцию с одномоментной пластикой кожным или кожно-мышечным лоскутом.
- Ампутации или экзартикуляции — удаление конечности или ее вычленение по линии суставной щели. Такие вмешательства проводятся при обширных местно-распространенных высокозлокачественных процессах с вовлечением магистральных кровеносных и нервных стволов на большом протяжении, а также костных структур и мышц.
Во время операции обязательно проводится интраоперационное срочное гистологическое исследование. При наличии злокачественных клеток в краях отсечения и при потенциальной возможности радикального удаления опухоли, выполняют реоперацию.
Лучевая терапия
Лучевая терапия применяется в рамках комбинированного лечения в предоперационном и/или послеоперационном этапе. В первом случае преследуется цель — уменьшение размера саркомы и создание условий для проведения радикального вмешательства. Во втором — уничтожение оставшихся злокачественных клеток. Чтобы воздействие на опухоль было равномерным, используются многопольные методики облучения.

Предоперационная лучевая терапия
При предоперационной ЛТ, границы полей облучения (ПО) должны выходить за размеры ткани опухоли минимум на 3-4 см. Если опухоль имеет большие размеры, производят облучение в пределах 10 см от ее края до достижения суммарной очаговой дозы 45-50Гр. Затем ПО сокращают до размеров новообразования.
Если опухоль располагается на конечности, есть вероятность развития остеолучевого некроза, мышечных контрактур и отеков. Чтобы этого избежать, рекомендуется облучать не более 2/3 окружности конечности, если это возможно. Минимальная толщина необлучаемых тканей в зоне предплечья составляет 2 см, на бедре 4 см, и на голени — 3 см.
Послеоперационная лучевая терапия
Послеоперационная лучевая терапия показана в следующих случаях:
- Высокая степень злокачественности саркомы по данным гистологического исследования.
- Нерадикально проведенная операция — наличие злокачественных клеток в краях отсечения при невозможности проведения реоперации.
- Вскрытие капсулы саркомы во время хирургического вмешательства.
Послеоперационную ЛТ начинают выполнять не позднее, чем через 4 недели после окончания хирургического лечения.
Если предоперацинная ЛТ не выполнялась, поля облучения включают в себя следующие области:
- Ложе опухоли.
- Ткани, которые располагаются на расстоянии 2 см от удаленной опухоли.
- Послеоперационный рубец.
Облучение проводят в суммарной очаговой дозе 60 Гр. Если была проведена нерадикальная операция, дозу увеличивают до 70 Гр. В аналогичном режиме проводят лучевую терапию при невозможности оперативного лечения.

Химиотерапия
Химиотерапия широко используется для лечения высокозлокачественных сарком мягких тканей. Как и при лучевой терапии, ее могут назначать на дооперационном и/или послеоперационном этапе. Неоадъювантная (предоперационная) ХТ призвана воздействовать на очаг опухоли, уничтожать микрометастазы и создать условия для органосохраняющего хирургического лечения. С этой целью проводят 2-3 курса химиотерапии с перерывом в 3-4 недели.
Послеоперационная ХТ может проводиться для уничтожения микрометастазов или уже визуализируемых метастазов. С этой целью выполняют 3-4 курса лечения. При химиотерапевтическом лечении сарком применяют различные комбинации следующих препаратов:
- Доксорубицин.
- Этопозид.
- Винкристин.
- Ифосфамид.
- Дакарбазин.
- Цисплатин и др.
Схема химиотерапии будет определяться морфологическим вариантом опухоли и ее чувствительностью к ранее проводимому лечению.
Прогноз выживаемости при саркоме мягких тканей
Прогноз выживаемости зависит от многих факторов:
- Степень злокачественности саркомы. Наиболее благоприятное течение у низкозлокачественных сарком без метастазов во внутренних органах и лимфоузлах.
- Размеры опухоли.
- Возможность проведения радикального лечения.
- Возраст больного. Наиболее благоприятные прогнозы у детей. У них полного выздоровления удается достичь в 60% случаев. Наименее благоприятные прогнозы у людей старше 60 лет.
При своевременном лечении начальных стадий низкозлокачественных сарком мягких тканей, удается достичь 5-летней выживаемости у половины больных. При 4 стадии процесса, этот показатель не превышает 10%.
Эффективных методов профилактики саркомы мягких тканей нет. Общие рекомендации являются стандартными — отказ от вредных привычек, ведение здорового образа жизни.
Синовиальная саркома головы и шеи - лучевая диагностика
Что такое щитовидная железа? Щитовидная железа - непарный эндокринный орган, по форме напоминающий бабочку. Он расположен в передней области шеи и состоит из.
Рак паращитовидных желёз
Что такое паращитовидные железы? Для нормального функционирования физиологических систем (нервной, мышечной), поддержания прочности костной ткани и множества.
Рак миндалины
Рак миндалины является широко распространенной формой рака ротоглотки, причем заболеваемость раком миндалины увеличивается ввиду возрастающей.
Метастатическое поражение шейных лимфатических узлов
Шейные лимфатические узлы являются частым местом метастазирования злокачественных опухолей, первичный очаг которых располагается в области головы и шеи. К ним.
Саркомы мягких тканей головы и шеи
Саркомы мягких тканей - разнородная группа злокачественных новообразований мягких тканей головы и шеи. Под мягкими тканями подразумеваются все анатомические.
Злокачественные опухоли слюнных желез
Опухоли слюнных желез являются относительно редкими заболеваниями и составляют до 5% среди всех опухолей головы и шеи, при этом большинство из них представляют.

Плоскоклеточный рак нижней челюсти
Заболевание развивается, когда опухоль локализуется на слизистой оболочке альвеолярного отростка или мягких тканях дна полости рта c переходом на.
Лучевая терапия опухолей головы и шеи: справляемся с осложнениями
Специалисты отделения опухолей головы и шеи НМИЦ онкологии имени Н.Н. Петрова подготовили ответы на самые частые вопросы пациентов, проходящих лучевую терапию.

Рак полости рта
Злокачественное новообразование представляет собой длительно незаживающую язву эпителиального слоя слизистой оболочки рта и ретромолярной.

Рак носоглотки
Злокачественная опухоль представляет собой разрастание эпителиальных клеток неороговевающего слоя органа. Строение полости Носоглотка - это полость.

Рак ротоглотки
Злокачественная опухоль образуется из неороговевающих клеток эпителия на участке от мягкого неба до подъязычной кости. Анатомическое строение Ротоглотка -.

Опухоли носа и придаточных пазух
Злокачественная опухоль представляет собой разрастание раковых клеток в тканях полости носа, а также его пазух. По мере прогрессирования заболевания поражаются.
Рак гортани
Заболевание характеризуется появлением злокачественного эпителиального новообразования, которое поражает разные отделы гортани. Образование способно к.

Рак губы
Представляет собой злокачественное новообразование, сформированное из многослойного плоского эпителия, находящегося в зоне красной каймы губ. Плоскоклеточный.

Рак языка
Рак языка представляет собой злокачественное новообразование, основой формирования которого являются эпителиальный клетки слизистой оболочки языка. Для этого.
Саркомы мягких тканей - разнородная группа злокачественных новообразований мягких тканей головы и шеи. Под мягкими тканями подразумеваются все анатомические образования, расположенные между кожей и костями скелета, подкожная жировая клетчатка, рыхлая жировая межмышечная прослойка, синовиальная ткань, поперечно-полосатые и гладкие мышцы.
Саркомы мягких тканей чаще встречаются у взрослых, чем у детей. Пик заболеваемости приходится примерно на 50-60 лет, но опухоль может возникнуть в любом возрасте. В структуре онкологической заболеваемости саркомы мягких тканей занимают 1%, из них на локализацию головы и шеи приходится 10%.
Следует выделить ряд особенностей сарком мягких тканей, к ним относятся:
- отсутствие истинной капсулы;
- склонность к прорастанию в близлежащие органы и ткани и последующему разрушению этих образований;
- рост с образованием нескольких опухолевых узлов.
Перечисленные признаки обуславливают нередкие местные рецидивы опухолей данной группы.
Причины развития
До сих пор неясно, почему возникают саркомы мягких тканей, однако были выявлены определенные факторы риска.
Генетическая предрасположенность
- невоидный базально-клеточный синдром (синдром Горлина);
- нейрофиброматоз (болезнь фон Реклингхаузена);
- туберозный склероз (болезнь Борневилля);
- синдром Гарднера;
- синдром Вернера.
Канцерогены
Риск развития ангиосарком значительно увеличивается при предшествующем контакте с феноксигербицидами (2,4-дихлорфеноксиуксусная кислота, 2,4,5-трихлорфеноксиуксусная кислота) и диоксинами.
Иммуносупрессия
Наиболее ярким примером является саркома Капоши у людей со СПИД, аутоиммунной гемолитической анемией и у перенесших трансплантацию органов.
Большинство пациентов приходят с жалобой на рост опухоли после перенесенной травмы или ушиба. Связь между травмой и развитием сарком мягких тканей отсутствует.
Классификация
Классификация по ткани, из которой происходит опухолевое образование:
- Жировая - липосаркома;
- Мышечная:
- исчерченная мышечная ткань - рабдомиосаркома,
- неисчерченная мышечная ткань - лейомиосаркома;
- Сосуды:
- кровеносные - гемангиосаркома,
- лимфатические - линфангиосаркома;
- Соединительная - фибросаркома;
- Синовиальная мембрана - синовиальная саркома;
- Нервная - нейрогенная саркома;
- Кожа - фибросаркома.

Симптомы
Клинические проявления и выраженность симптомов зависят от первичной локализации и размеров опухоли.
Чаще всего саркомы мягких тканей головы и шеи имеют бессимптомное течение.
- боль;
- парестезия - нарушение чувствительности вдоль хода периферических нервов, которое может проявляться жжением, онемением, покалыванием;
- параличи нервов;
- тризм - спазм жевательной мускулатуры, который характеризуется ограничением движений в височно-нижнечелюстном суставе;
- изъязвление слизистой оболочки;
- дисфония - явление, характеризующееся нарушением голосовой функции;
- дисфагия - нарушение глотания.
При расположении сарком мягких тканей рядом с носом может появиться заложенность носа, не проходящая на протяжении длительного периода.
Примеры сарком мягких тканей головы и шеи


Остеогенная саркома альвеолярного отростка верхней челюсти

Остеогенная саркома нижней челюсти

Плеоморфная саркома мягких тканей шеи справа
Диагностика
Диагноз устанавливается на основании гистологического исследования ткани опухоли.
Есть два метода получения материала для исследования:
- толстоигольная биопсия;
- открытая биопсия.
Биопсия должна быть выполнена в той локализации, которая во время операции будет входить в зону иссечения опухолевого образования.
- Осмотр: может наблюдаться бугристый округлый желтый или серый узел. Он может иметь разную плотность и консистенцию. Мягкие узлы - при липосаркомах, плотные - при фибросаркомах, желеобразные образования - при миксомах;
- Общий анализ крови с подсчётом лейкоцитарной формулы и количества тромбоцитов;
- Биохимический анализ крови с определением показателей функции печени, почек (включая электролиты); ;
- МРТ области головы и шеи;
- КТ лёгких;
- Ультразвуковое исследование;
- Радиоизотопное исследование костей скелета (при миксоидных липосаркомах);
- КТ головного мозга (при альвеолярной саркоме мягких тканей и гемангиоперицитоме).
Важно: с целью первичного обследования и уточнения стадии рутинное назначение ПЭТ не рекомендуется.
Лечение
К лечению пациента с саркомами мягких тканей головы и шеи требуется комплексный подход с привлечением ряда специалистов: морфолога, хирурга, лучевого диагноста, химиотерапевта, радиолога.
Хирургическое вмешательство является основным методом лечения пациентов с данной патологией.
Рост сарком мягких тканей происходит в капсуле, которая впоследствии отодвигает близлежащие ткани. Эта оболочка называется псевдокапсулой. Оперативное вмешательство подразумевает удаление псевдокапсулы единым блоком с отрицательными краями резекции без ее повреждения, так как нарушение целостности этого образования повышает риск рецидива опухоли.
В постоперационном периоде может проводится лучевая терапия для обеспечения местного контроля.
К дополнительным методам лечения можно отнести химиотерапию и лучевую терапию.
Предоперационая лучевая терапия дает значительные преимущества - улучшаются условия оперирования и уменьшаются размеры опухолевого образования.
Негативным моментом этого лечения является высокая частота послеоперационных осложнений инфекционного характера.
Химиолучевая терапия
Лечение, сочетающее химиотерапию с лучевой терапией, называется химиолучевой терапией.
Химиотерапия может улучшить эффективность лучевой терапии, поэтому иногда их применяют вместе. Это комбинация системной и местной терапии.
Лечение при распространенном процессе
Химиотерапия является основой лечения прогрессирующего заболевания, так как вводимые препараты попадают в кровоток и достигают раковых клеток по всему организму.
Наиболее распространенными химиотерапевтическими препаратами, применяемыми при саркомах мягких тканей, являются доксорубицин, трабектедин, гемцитабин, доцетаксел и паклитаксел. Эти препараты могут быть назначены отдельно или в комбинации.
Химиотерапия у больных с прогрессирующим течением заболевания должна быть основана на доксорубицине или эпирубицине, оба препарата принадлежат к антрациклинам. У пациентов с ангиосаркомой вместо доксорубицина может быть предложен паклитаксел или доцетаксел.
Добавление другого препарата(ов) к доксорубицину или эпирубицину может усилить эффект системного воздействия химиотерапии у некоторых больных. Этот выбор в первую очередь зависит от гистологического типа рака.
Если первая химиотерапия не дала ожидаемого результата, то может быть предложена другая химиотерапия. Выбор одного или нескольких препаратов будет зависеть от ранее применяемых препаратов, а также от гистологического типа опухоли. Препараты, которые можно рассматривать, включают ифосфамид, трабектедин, гемцитабин, доцетаксел и паклитаксел.
Таргетная терапия
Этот метод лечения работает путем связывания с определенным белком или структурой, участвующей в росте и прогрессировании опухоли. Побочные эффекты отличаются от традиционной химиотерапии и зависят от механизма действия препарата. Таргетными препаратами, одобренными для применения при саркомах мягких тканей в России, являются:
- пазопаниб - при саркомах мягких тканей, отличных от липосарком;
- иматиниб - при дерматофибросаркоме, когда требуется системная терапия.
Лучевая терапия может применяться для облегчения симптомов или предотвращения осложнений, например, в случае наличия костных метастазов.
Хирургия
Хирургическое лечение метастазов может быть рассмотрено в зависимости от их локализации и от анамнеза заболевания. Например, когда метастазы в легких появляются через длительное время после первоначального лечения и когда, по мнению хирурга, их можно полностью удалить.
Прогноз
Прогноз при саркомах мягких тканей головы и шеи во многом зависит от размера опухоли, первичной локализации, этиологии и наличия местных или отдаленных вторичных очагов злокачественного новообразования. При проведении ранних диагностических мероприятий и адекватной своевременной терапии прогноз благоприятный.
Список литературы:

Авторская публикация:
Миненков Н.В.
Клинический ординатор НМИЦ онкологии им. Н.Н. Петрова

Под научной редакцией:
Раджабова З.А.
Заведующий отделением опухолей головы и шеи
НМИЦ онкологии им. Н.Н. Петрова,
врач-онколог, научный сотрудник, кандидат медицинских наук, доцент
Что вам необходимо сделать
Если вы хотите узнать побольше о бесплатных возможностях ФБГУ НМИЦ онкологии им. Н.Н. Петрова Минздрава России, получить очную или заочную консультацию по диагностике и лечению, записаться на приём, ознакомьтесь с информацией на официальном сайте.
Если вы хотите общаться с нами через социальные сети, обратите внимание на аккаунты в ВКонтакте и Одноклассники.
Синовиальная саркома суставов: характеристика, клиника, диагностика и лечение
В онкологической практике злокачественные новообразования мягких тканей встречаются достаточно часто. Саркомы мягких тканей включают в себя злокачественные опухоли, локализующихся в синовиальных оболочках, жировой, мышечной, эпидермоидной тканей. Среди подобного рода сарком примерно в 5-10 % случаев встречается синовиальная саркома, которая по-другому называется злокачественной синовиомой или синовиобластической саркомой.
Что за патология
Согласно определению ВОЗ, синовиальная саркома представляет собой мезенхимальное веретеноклеточное злокачественное новообразование, в котором может присутствовать тканевой компонент с эпителиальной дифференцировкой и с наличием специфической хромосомной транслокации. Впервые этот термин появился ещё в 1895 году: он был введён немецким врачом Г. Симоном. С тех пор было описано несколько сотен случаев, которые вывели синовиальную саркому в самостоятельную нозологию.
Несмотря на своё название, происхождение злокачественной синовиомы из элементов синовиальной оболочки не было подтверждено. Есть мнение, что эта опухоль является вариантом первичной карциносаркомы. Кто-то из учёных считает, что она происходит из незрелых мезенхимальных клеток. Есть даже сведения, что опухоль может иметь нейроэктодермальную природу происхождения (из-за сходства экспрессии множества генов синовиальной саркомы со злокачественной опухолью, происходящей из оболочек нервных волокон). Как бы то ни было, исследования происхождения клеток этого новообразования продолжаются, а в классификации ВОЗ оно находится в разделе опухолей с неясной тканевой дифференцировкой.
Этиология и патологическая анатомия
Этиологические факторы синовиальной саркомы, как почти всех онкологических заболеваний, до конца не ясны. В качестве предполагаемых причин возникновения подобного рода сарком описываются предраковые состояния (шваннома, дисплазия прилежащих к опухоли тканей), постоянная сильная травматизация суставов, наличие инородных тел.
При микроскопическом исследовании биоптата типичной находкой будут веретенообразные клетки с железистоподобными структурами. По своим морфологическим характеристикам злокачественная синовиома чрезвычайно разнообразна: под микроскопом между малодифференцированными клетками округлой формы (или напоминающих эпителий) можно увидеть щели или полости, которые заполнены слизеподобными структурами. При преобладании сосочковых элементов наподобие синовиальных ворсинок, опухоль относят к волокнистой форме. Новообразование может иметь много железистых клеток, и тогда его называют целлюлярной синовиальной саркомой. Если же рассматривать данные ВОЗ, то её эксперты разделяют данную опухоль на монофазный веретенообразный и бифазный гистологические субтипы. Определение точного морфологического варианта новообразования имеет важное значение для дальнейшего прогноза.
Локализация и эпидемиология опухоли
Синовиальная саркома входит в число наиболее часто встречаемых злокачественных новообразований мягких тканей среди взрослого населения, а у детей она находится на втором месте (по встречаемости) после рабдомиосаркомы. Чаще опухоль обнаруживается у молодых людей в возрасте от 15 до 35 лет, реже — у пациентов до 50 лет. После этого возрастного порога она практически не встречается. Отмечается незначительное преобладание опухоли у мужчин.
Излюбленное место локализации синовиальной саркомы — мягкие ткани конечностей, причём в области суставов саркома локализуется в 40 % случаев. Наиболее часто поражается коленный сустав (30 % от всех суставных локализаций), затем — голеностопное сочленение, тазобедренный сустав, совсем редко — в суставах верхних конечностей. В большинстве случаев метастазы синовиомы (её злокачественной формы) обнаруживают в лёгких (60-80 %), в регионарных
лимфатических узлах (до 40 %), реже — в костях. Метастазирование опухоли происходит лимфогенным путём.
Клинические проявления
Симптоматика синовиальной саркомы начинается с возникновения болезненности в области поражённого сустава или мягких тканей. Если опухоль плотная, имеет кальцификаты, то болевой синдром более выражен, а при кистозном характере боль не столь заметна. При прогрессировании опухоли и вовлечении в онкологический процесс окружающих тканей (сосудов, синовиальных оболочек, костной ткани), боль нарастает. Она сопровождается ограничением объёма как активных, так и пассивных движений поражённого сустава.
При пальпации определяется плотное или мягкое (в зависимости от строения) образование, иногда без чётких границ. Диаметр опухоли варьирует в широких пределах: от 2-3 до 20 см. Довольно быстро нарастает общая симптоматика, характерная для ракового поражения любой локализации и генеза: периодическое повышение температуры тела, чаще до субфебрильных и фебрильных цифр, недомогание, слабость, потеря аппетита, снижение веса.

Саркома коленного сустава
Одним из самых первых и нередко главенствующих признаков саркомы коленного сустава является локальная боль. При быстром росте опухоли (а злокачественное течение саркомы чаще всего агрессивное) появляется деформация коленного сустава, которую можно различить визуально: появление бугра, покраснение, затем синюшность кожных покровов над местом поражения.
Нарушение функциональности усиливается по мере прогрессирования опухоли: снижается объём движений, человек начинает прихрамывать. Ограничение двигательной активности приносит только временное облегчение. Для саркомы характерен постоянный характер боли, особенно ночью. По мере охвата злокачественным процессом окружающих тканей, нарастает отёк, который часто «стекает» вниз по ходу кровеносных, лимфатических сосудов и нервов. Усиливающийся болевой синдром и невозможность купирования его ненаркотическими анальгетиками свидетельствуют о росте опухоли.
Саркома голеностопного сустава
По своим проявлениям данная локализация злокачественного процесса схожа с саркомой коленного сустава. Основными признаками являются боль, которая может иррадиировать в стопу и пальцы ног, а также быстрая потеря опорной функции поражённой нижней конечности. Цвет кожных покровов в области растущей опухоли изменяется, нарушаются трофические процессы, могут появиться некротические изъязвления.
Саркома локтевого сустава
Злокачественное новообразование данной локализации чаще всего появляется в процессе метастазирования других сарком. В начале заболевания постепенно развивается болевой синдром, можно визуализировать и пропальпировать припухлость. Из-за того, что в кубитальной области находится мощный сосудисто-нервный пучок, боль быстро приобретает острый, жгучий характер. При вовлечении в процесс сухожилий и синовиальной оболочки капсулы, нарушается двигательная функция локтевого сустава, затем нарастает онемение конечности и пальцев при поражении нервных волокон. Вовлечение в процесс костной ткани из-за агрессивности опухолевого роста ведёт за собой частое возникновение патологических переломов.
Саркома плечевого сустава
Данное образование также можно отнести к злокачественным опухолям вторичного генеза. Общая картина рака, локализующегося в плечевом суставе, аналогична вышеописанным изменениям: боль при движении рукой и в покое, припухлость, нарастающее онемение, жжение, быстрота течения и агрессивность злокачественного процесса.
Саркома мягких тканей
Довольно редко синовиальная саркома возникает изолированно в мягких тканях, причём чаще в этих случаях поражаются мышцы, жировая ткань. Данный вид саркомы характеризуется быстрым течением, агрессивностью процесса, неблагоприятным прогнозом и чрезвычайно низкой выживаемостью пациентов после проведения противоопухолевой терапии.
Диагностические методы
Поскольку начало синовиальной саркомы может маскироваться под ревматологические заболевания суставов, важно провести полный комплекс инструментальных и лабораторных исследований. Методы лучевой диагностики (рентгенологическое исследование минимум в двух проекциях и компьютерная томография) позволяют выявить очаги опухолевидного образования, наличие кальцификатов, которые часто располагаются в центральной части саркомы при её длительном течении. Во многих случаях на рентгенологических снимках обнаруживаются деструктивные процессы в прилежащих костных тканях.
Ангиография показывает патологическое разрастание сосудов в области поражения. Радиоизотопное исследование со стронцием может помочь определить точную локализацию новообразования и его границы, что имеет значение для определения объёма органосохраняющей операции.
Биопсия очага поражения поможет дифференцировать синовиальную саркому не только от других опухолей и неонкологических заболеваний, но и определить гистологический подтип рака.
Лечение синовиальной саркомы
Основным методом лечения опухоли остаётся радикальное хирургическое удаление. При этом проводится широкое абластичное иссечение с захватом здоровых тканей вокруг новообразования на протяжении минимум 2-4 см. При обширных поражениях часто приходится прибегать к экзартикуляции и ампутации конечностей. По мере расширения химиотерапии большее распространение получает абластичное удаление с частичным сохранением сосудов, нервов и сухожилий, особенно если опухоль располагается в области ладони и лучезапястного сустава, а пациенты отказываются от ампутации.
Лучевая терапия, проводимая в послеоперационном периоде, показывает лучшие результаты в плане снижения риска рецидивов, особенно при лечении прогностически неблагоприятной монофазной синовиомы. Химиотерапия также показана в послеоперационном периоде, однако её эффективность невелика при неоперабельных опухолях.
Для определения прогноза заболевания и выживаемости пациентов с саркомой используются несколько критериев:
- Клинический. 10-летняя выживаемость наблюдается почти в 90% случаев у пациентов моложе 25 лет, а при возникновении опухоли после 40 лет, этот показатель снижается до 25%. Также стоит оценивать размер: если первичная опухоль имеет размер до 5 см, то 5-летняя выживаемость достигает 90%, если более 5 см, то 5-летний рубеж переживают до 40% пациентов. Неблагоприятными клиническими факторами может быть мужской пол, глубокая локализация опухоли в мягких тканях, особенно нижней конечности.
- Биохимический. О высоком риске метастазирования и появления рецидивов синовиальной саркомы может свидетельствовать высокий уровень в крови эндостатина и VEGF (сосудистых факторов).
- Гистологический. По данным ряда авторов, бифазный гистологический тип более благоприятен в плане течения заболевания и чувствительности к лучевой и химиотерапии.
В «Евроонко» лечением синовиальной саркомы занимаются опытные врачи-онкологи. Благодаря использованию новейшего оборудования и современных стандартов лечения, в каждом случае нам удается достигать максимально возможного результата.
Саркомы мягких тканей
Понятие «саркомы мягких тканей» объединяет большое количество новообразований, различных по клиническим и морфологическим признакам. В связи с небольшим числом случаев заболеваний, разнообразием гистологических вариантов и локализацией сарком мягких тканей, определяющих биологическое поведение, клиническое течение и особенности лечения, все пациенты с данным заболеванием должны концентрироваться в отделении, занимающимся лечением сарком.
Что такое саркомы?
Саркомы мягких тканей - это злокачественные новообразования, которые возникают из мягких тканей. Они объединяются в одну группу ввиду сходства их гистопатологических характеристик и клинических проявлений, а также течения опухолевого процесса. Часто рецидивируют с ранним появлением гематогенных метастазов.
Статистика
0,2-2,6% — занимают в структуре онкозаболеваний злокачественные опухоли мягких тканей.
Локализация, % от всех случаев
Конечности — до 60%, в том числе руки — 46%, 13% - ноги.
Голова и шея — 5-10%
Забрюшинное пространство - 13-25%.
Выделяют опухоли и опухолеподобные образования следующих тканей и структур:
- фиброзной
- жировой
- мышечной
- лимфоидной
- синовиальной
- мезотелия
- кровеносных сосудов
- плюрипотентной мезенхимы
- эмбриональных структур.
Кроме этого рассматривают опухоли экстрагонадного зародышевого происхождения, опухоли неясного гистогенеза и неопухолевые или сомнительные опухолевые поражения.
Этиология и патогенез
Причины появления сарком мягких тканей не выявлены. Факторы, повышающие риск развития этой патологии:
- Болезнь Педжета (деформирующий остоз);
- Болезнь Рекленгхаузена (нейрофиброматоз);
- Синдром Гарднера (диффузный полипоз толстой кишки);
- Синдром Вернера (множественный эндокринный аденомтаоз);
- Прием анаболических стероидов.
Клиническое течение злокачественных опухолей мягких тканей характеризуется вариабельностью.
К общим признакам сарком мягких тканей относят частые местные рецидивы. Почему саркомы часто рецидивируют? Это объясняют следующими причинами:
- Отсутствие истинной капсулы;
- Склонность к инфильтративному росту;
- Мультицентричный рост.
Клинические симптомы сарком мягких тканей
Симптомы зависят от локализации опухоли. Чаще всего больные обращаются к врачу, обнаружив у себя безболезненную опухоль.
Выраженный болевой синдром наблюдается при поражении надкостницы и кортикального слоя кости, а также при сдавлении опухолью нервных стволов. Присоединение неврологической симптоматики и сосудистых расстройств возможно при сдавлении или прорастании опухолью магистральных сосудов и нервов.
Диагностика сарком мягких тканей
Диагностические исследования включают в себя:
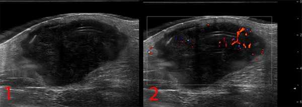
— Осмотр опытного специалиста, врача-онколога; На фото можно увидеть, как выглядит саркома мягких тканей:





— Рентгенологическое исследование. Позволяет визуализировать тень опухоли, деформацию прилежащих к опухоли фасциальных перемычек, выявить изменения в костях;
— УЗИ опухолей мягких тканей. Это метод диагностики как первичного очага, так и поражения региональных зон. Позволяет определить границы опухоли, связь с окружающими органами, структуру опухоли;

Рисунок №1. Саркома мягких тканей бедра. УЗ-картина в серошкальном и сосудистом режимах визуализации
— КТ первичной опухоли, органов грудной клетки и брюшной полости;
— МРТ первичной опухоли

Рисунок №2. Саркома мягких тканей верхней трети левого бедра
— Морфологическая верификация (пункционная биопсия, трепан-биопсия) является самым важным методом диагностики.
После получения результатов осмотра, лабораторной и инструментальной диагностики врач-онколог определяет тактику ведения пациента, согласно современным рекомендациям.
Общие принципы лечения сарком мягких тканей
Лечение сарком мягких тканей должно быть многокомпонентным. Для определения тактики лечения пациента собирается консилиум врачей.
Основной метод:
Дополнительные методы:
Предоперационная лучевая терапия в комбинации с хирургическим лечением позволяет снизить количество рецидивов за счет снижения злокачественного потенциала опухоли и уменьшение ее объема.
Применяется интраоперационная лучевая терапия, т.е. облучение опухоли во время операции с целью подавления субклинических очагов и наращивания лучевой дозы.
В комбинации с хирургическим лечением также применяется химиотерапия. Была отмечена тенденция к улучшению показателей выживаемости, однако данный метод не считается стандартом в лечении сарком мягких тканей.
Лечение после операции
Послеоперационная лучевая терапия выполняется с целью предупреждения развития рецидивов и диссеминирования заболевания.
Химиотерапия является основным методом лечения диссеминированного процесса при мягкотканых саркомах.
Саркома мягких тканей — прогноз выживаемости
Прогностические факторы тесно связаны со стадией болезни, радикализмом операции и морфологическим типом опухоли.
Процент выживаемости при саркомах мягких тканей зависит от размера опухоли, глубины поражения, степени злокачественности. Также очень важен такой фактор, как ответ опухоли на специальное лечение.


Авторская публикация:
ГАФТОН ИВАН ГЕОРГИЕВИЧ
врач-онколог
НИИ онкологии им Н.Н. Петрова
Если вам понравилась статья:
- оставьте комментарий ниже;
- поделитесь в социальных сетях через удобные кнопки:
Публикации по теме:
Методами терапии детей и подростков с мягкотканными саркомами и редкими опухолями мягких тканей являются операция ?, лучевая терапия ?, химиотерапия ?, либо комбинация этих видов лечения.
Набор методов лечения в том или ином случае зависит от анамнеза пациента и его особенностей, тактика лечения определяется лечащим врачом или консилиумом и является индивидуальной.
Читайте также:
- Оценка функции миокарда при нарушении проведения возбуждения по тканевой допплер-эхокардиографии
- Принятие решения о бесполезности лечения рака
- Оценка активности туберкулеза. Оперативная активность при туберкулезе
- Ку-лихорадка. Возбудитель ку-лихорадки. Эпидемиология ку-лихорадки. Клиника Q-лихорадки.
- Тракционная потеря волос и трихотилломания. Причины и диагностика
