Слои головного мозга при облучении. Изменения нервных волокон при лучевой болезни
Добавил пользователь Евгений Кузнецов Обновлено: 28.01.2026
Российский научный центр рентгенорадиологии, Москва, Россия
ФГБУ «Федеральный Центр травматологии, ортопедии и эндопротезирования» Минздрава России, Чебоксары, Россия
Российский научный центр рентгенорадиологии Минздрава РФ, Москва
Особенности проявления энцефалопатии, возникшей после химиотерапии онкологических заболеваний
Журнал: Журнал неврологии и психиатрии им. С.С. Корсакова. 2014;114(12): 84‑88
Цель исследования - изучение особенностей клинических проявлений и данных нейровизуализации при постхимиотерапевтической энцефалопатии (ПЭ). Материал и методы. Обследовали 27 пациентов, прошедших курсы химиотерапии (16 больных) или сочетанного фармакологического и лучевого лечения (11 больных) по поводу разных онкологических заболеваний. Результаты и обсуждение. Пациенты предъявляли жалобы на ухудшение памяти, замедление мыслительных процессов, умеренно выраженную головную боль, повышенную утомляемость, нарушение сна, повышенную раздражительность. В неврологическом статусе выявлялась разной степени выраженности рассеянная неврологическая симптоматика. Особенностью ПЭ является сочетание умеренно выраженного цефалгического синдрома с выраженной церебрастенией и рассеянной неврологической симптоматикой. При МРТ головного мозга при ПЭ выявляются единичные и множественные очаги глиоза в белом веществе головного мозга.
В процессе и после завершения лечения различными противоопухолевыми средствами пациенты часто отмечают изменение своего психического состояния. В этих случаях они предъявляют жалобы на усталость, эмоциональную лабильность и снижение настроения, тревожность, ухудшение памяти (вплоть до небольших провалов), трудности в концентрации внимания, периоды дезориентации во времени и пространстве. В зарубежной литературе в связи с этим появился термин «chemobrain» или «chemofog», который достаточно обоснованно критикуется за ненаучность и некорректность. В русском языке аналога этому термину нет и дословно он может быть переведен как «мозг после химиотерапии» («химиомозг»), к которому, естественно, могут быть отнесены все критические оценки. Однако он достаточно четко отражает наличие изменений центральной нервной системы на фоне и после лечения современными противоопухолевыми средствами, в частности цитостатиками. В нашей стране наиболее адекватным этой ситуации можно считать термин «постхимиотерапевтическая нейротоксичность» (ПН) или «постхимиотерапевтическая энцефалопатия» (ПЭ). Более точным является второй термин.
ПЭ представляет собой когнитивный дефицит, развивающийся после лечения цитостатиками и имеющий под собой определенные функциональные и морфологические изменения в центральной нервной системе. Она оказывает значимое влияние на качество жизни онкологических пациентов и их родственников. В настоящее время благодаря достижениям современной фармакологии в области лечения рака, онкологическое заболевание превращается в хроническое, выживаемость больных увеличивается год за годом. Поэтому все больше внимания специалистов привлекают проблемы побочных эффектов химиотерапии (ХТ), особенно отдаленных, с трудом поддающихся коррекции изменений нервной системы.

В табл. 1 приведены результаты исследования некоторых зарубежных авторов, касающиеся функции головного мозга на фоне лечения противоопухолевыми препаратами 2.
Дополнительно к данным, приведенным в табл. 1, можно отметить, что за последние 10 лет было выполнено еще несколько исследований 21, посвященных изучению влияния ХТ на когнитивные функции больных.
В большинстве из них было установлено, что перенесшие химиотерапию пациенты отличаются более низкими показателями при проведении когнитивных тестов по сравнению с контрольной группой. Так, в исследовании, проведенном J. Dietrich и соавт. в 2006 г. [25], было установлено, что такие цитостатики, как кармустин, цисплатин и цитарабин, в дозах даже меньших, чем требуется для уничтожения опухолевых клеток, ускоряют гибель и препятствуют делению клеток в центральной нервной системе у мышей.
Патогенез ПЭ находится в процессе изучения. В этой области активно применяются методы оценки структурных и функциональных изменений ткани головного мозга у пациентов, подвергшихся тому или иному воздействию. Речь идет о магнитно-резонансной томографии (МРТ), функциональной МРТ (фМРТ), электроэнцефалографии (ЭЭГ), а также позитронно-эмиссионной томографии (ПЭТ). Остановимся на соответствующих данных более подробно.
Структурные изменения ткани мозга после воздействия цитостатиков по данным МРТ включают изменения в белом веществе, которые в свою очередь коррелируют с изменениями объема серого вещества. Исследование M. Brown и соавт. [27] у 3 пациентов из 4 выявило прогрессирующее увеличение объема белого вещества (на 73-166 см 3 ) на протяжении всего курса лечения и 6-12 мес после его завершения. M. Inagaki и соавт. [28] определили уменьшение объема как серого, так и белого вещества в ключевых для когнитивного процесса локусах головного мозга (серого вещества оказалось недостаточно в правой префронтальной коре и парагиппокампальной извилине, белого - в обеих средних фронтальных извилинах, левой парагиппокампальной извилине, левом предклинье и правой поясной борозде). Авторы также установили сильную корреляционную связь между степенью потери белого и серого вещества и уровнем выполнения тестов на память и внимание. Еще одно исследование, проведенное B. McDonald [29], выявило изменения в объеме серого вещества не только в исследуемой группе через 1 мес после проведения ХТ, но и в контрольной, в которую были включены больные с онкологическим заболеванием, получившие хирургическое лечение, но не подвергавшиеся химиотерапии. Авторы высказали предположение, что осознание диагноза само по себе и в совокупности с операцией могло вызвать подобные изменения. Нужно отметить, что в отличие от исследуемой группы в контрольной группе отмечалось снижение объема серого вещества только в правой половине мозжечка.
Исследований с применением электроэнцефалографии при ПЭ немного. Так, два коллектива авторов 31 отметили появление аттенуированной волны Р300 в исследуемой группе. Они считают, что снижение амплитуды данной волны указывает на замедление ментальных процессов и коррелирует с большими трудностями при выполнении пациентом заданий.
При исследовании функции мозга с применением ПЭТ [33] была отмечена активация передней части фронтальной коры в условиях решения поставленной в ходе эксперимента задачи у людей, ранее получавших ХТ.
Авторы некоторых работ [34, 35] сделали вывод, что мозг пациента после ХТ вынужден затрачивать больше энергии для успешного решения задачи. Это в свою очередь ведет к более быстрому истощению и появлению ранней усталости мозга у пролеченных пациентов. Этот порочный круг может сохраняться всю оставшуюся жизнь, и, несмотря на полное физическое выздоровление, нарушать качество жизни больных, перенесших лечение цитостатиками.
Что касается исследований, выполненных методом фМРТ, то A. Saykin и соавт. [36] было установлено повышение активации задних фронтальных и париетальных областей и снижение билатеральной активности в передних фронтальных областях. В работе A. Kesler и соавт. [37] было выявлено, что мозгу, ранее подвергшемуся влиянию цитостатиков, требуется больше усилий для выполнения задания по сравнению с мозгом, такому воздействию не подвергавшемуся.
Появления острой, подострой или прогрессирующей энцефалопатии, перечисленные в табл. 2, как правило, развиваются после назначения высоких доз метотрексата, цитарабина, прокарбазина, ифосфамида, цисплатина, производных нитрозомочевины. Мозжечковые расстройства (атаксия, нистагм) могут осложнять введение цитарабина, прокарбазина, фторурацила, производных нитрозомочевины. Судорожный синдром (развитие эпилептических приступов) возможен после применения цисплатина, производных нитрозомочевины, ифосфамида, прокарбазина. Поражение черепных нервов с потерей слуха, зрения, обоняния, вкусовой чувствительности - как осложнение терапии цисплатином, винкристином, производными нитрозомочевины [58, 59].
Цель настоящей работы - изучение особенностей клинических проявлений и данных нейровизуализации при ПЭ.
Материал и методы
Были обследованы 27 пациентов, прошедших курсы ХТ и сочетанного химиолучевого лечения по поводу различных онкологических заболеваний. Возраст пациентов колебался от 21 года до 65 лет; мужчин было 15, женщин - 12.

Распределение больных по диагнозам представлено в табл. 3.
Для лечения основного заболевания у 16 больных проводилась ХТ, у 11 пациентов она сочеталась с лучевой терапией. При этом у 8 больных злокачественными лимфомами облучали лимфатические узлы шеи в суммарной очаговой дозе 30-36 Гр, и в зону облучения попадали базальные отделы головного мозга, частично продолговатый мозг; у остальных 3 больных головной мозг облучался только за счет рассеянного излучения (до 3% от очаговой дозы, составлявшей 50-70 Гр). У 4 больных раком простаты проводилась также длительная антиандрогенная гормональная терапия.
Результаты и обсуждение

После терапии пациенты жаловались на ухудшение памяти, замедление мыслительных процессов, умеренно выраженную головную боль, повышенную утомляемость, нарушение сна, повышенную раздражительность. Частота этих жалоб приведена в табл. 4. В неврологическом статусе выявлялась разной степени выраженности рассеянная неврологическая симптоматика.

МРТ головного мозга выполнена у 17 пациентов в сроки 1-5 лет после ХТ или химиолучевого лечения (табл. 5).
Кроме этого, у 6 больных наряду с глиозными очагами был выявлен лейкоареоз.

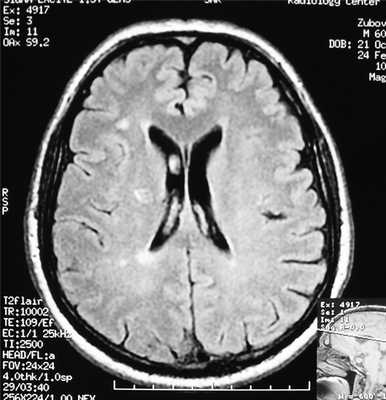
Как видно из табл. 5, в изученных случаях имелись только очаги глиоза, единичные или множественные (последние отражены на рисунке). Рисунок 1. Множественные очаги глиоза в белом веществе головного мозга на МР-томограмме пациента З., 47 лет. Напомним, что глиоз - это разрастание астроцитарной нейроглии с гиперпродукцией глиальных волокон, представляющее собой процесс ее заместительной гиперплазии в ответ на гибель нервных клеток. Этот процесс может развиваться при разных по генезу хронически протекающих очаговых или диффузных поражениях нервной системы.
Таким образом, ПЭ характеризуется рядом клинических особенностей: при умеренно выраженном цефалгическом синдроме определяются выраженная церебрастения и рассеянная неврологическая симптоматика. При этой симптоматике на МРТ головного мозга выявляются единичные и множественные очаги глиоза в белом веществе головного мозга.
Выявленные изменения требуют дальнейшего изучения на большем числе больных. При этом необходимо дифференцировать постлучевые и постхимиотерапевтические осложнения.
Радиационные поражения нервной системы
Радиационные поражения нервной системы - это группа патологий ЦНС, обусловленных воздействием различных форм ионизирующего излучения. Симптомы во многом зависят от поглощенной дозы и объема облученных тканей. В клинике могут превалировать астеновегетативный, менингеальный и интоксикационный синдромы, очаговая симптоматика, моторные и чувствительные расстройства, их комбинации. Диагностика основывается на анамнезе, результатах физикального, лабораторных, реже - аппаратных методов исследования. В ходе лечения применяются противорвотные, сосудистые, анальгетические, метаболические и гемостатические средства, плазмозаменители и препараты крови.
МКБ-10

Общие сведения
Радиационные поражения нервной системы - сравнительно редкая форма лучевой болезни (ЛБ). Низкий показатель заболеваемости обусловлен малой распространенностью потенциально опасных этиологических факторов и тем обстоятельством, что ярко выраженное поражение нервной системы возникает исключительно при сублетальных и летальных дозах облучения. На данный момент на территории бывшего СССР наиболее значимыми инцидентами, связанными с этими патологиями, являются аварии на ЧАЭС и атомных подводных лодках, непредвиденные обстоятельства при работе с радиоизотопными установками, во время которых, согласно статистическим данным, пострадало более 300 человек. Общемировой показатель находится в пределах от 20 до 200 случаев.

Причины
В основе этиологии радиационного поражения нервной системы лежит острое или хроническое воздействие ионизирующего излучения. Излучение может быть как внешним, так и внутренним - при попадании радиоактивных веществ внутрь с водой, продуктами питания или вдыхаемым воздухом, редко - путем всасывания через кожные покровы. К возможным причинам лучевого поражения ЦНС относятся:
- Непосредственная работа с радиоактивными веществами. В группу риска входят лица, трудящиеся на атомных электростанциях, в научно-исследовательских центрах и на производствах, использующих радиоактивные элементы, а также военные ученые, разрабатывающие ядерное оружие.
- Работа с медицинской аппаратурой. Включает медицинский персонал, работающий с компьютерными томографами и рентген-установками. Вероятность развития радиационного поражения ЦНС существует у врачей, проводящих лучевую терапию, и онкобольных пациентов, нуждающихся в подобном лечении.
- Пребывание в зараженной местности. В эту категорию включают людей, которые добровольно или при выполнении профессиональных обязанностей пребывают на территории с повышенным радиационным фоном - в зонах испытаний ядерного оружия, техногенных катастроф с участием радиоактивных элементов.
Механизм развития
Первичные изменения при радиационном поражении ЦНС в дозе до 50 Гр наблюдаются в синапсах, представлены «слипанием» медиаторных пузырьков, находящихся в терминальных отделах пресинаптической мембраны или в синаптической щели. Затем происходит набухание клеток нервной системы, пикноз мозжечковых зернистых клеток. В отдельных случаях эти изменения сочетаются с васкулитами, менингитами, воспалением сосудистого сплетения желудочков мозга и инфильтрацией гранулоцитами. Облучение головного мозга в дозе от 10 до 30 Гр ведет к ингибированию процессов окислительного фосфорилирования. Вероятно, это обусловлено острым недостатком АТФ, который при ЛБ расходуется на процессы репарации поврежденных ДНК.
Одномоментное облучение нервной системы в дозе, превышающей 50 Гр, оказывает прямое разрушающее воздействие на нейроны. Такая доза вызывает большое количество повреждений ядерного хроматина и избыточную активацию ферментов, отвечающих за репарацию ДНК. ДНК-лигазные реакции, протекающие в подобных условиях, характеризуются распадом АТФ до АДФ, который, в свою очередь, вместе с ферментом АДФ-трансферазой приводит к быстрому использованию всего внутриклеточного запаса НАД+. Последний в норме играет роль кофермента в процессе клеточного дыхания, распада глюкозы и обратного синтеза АТФ.
После радиационного поражения в структурах центральной нервной системы появляются признаки общего геморрагического синдрома. Морфологические характеристики процесса включают венозные застои и перерастяжения артериальных сосудов, провоцирующие выход плазмы за пределы кровеносного русла, лакунарные или обширные кровоизлияния в головной мозг. В паренхиматозных тканях ЦНС возникают воспалительные и дистрофически-некробиотические процессы. По мнению некоторых ученых, одну из ведущих ролей в развитии поражения нервной системы играет дисфункция гематоэнцефалического барьера вследствие отмирания эндотелиоцитов мозговых кровеносных сосудов.
Симптомы поражения НС
Признаки дисфункции нервной системы занимают существенную долю в симптоматике лучевой болезни только при условии одномоментного получения дозы ионизирующего излучения более 50 Гр или локального облучения области головы. В иных ситуациях они сочетаются с другими соматическими проявлениями, зависят от дозы и времени, прошедшего с момента воздействия. При ЛБ легкой и средней степени (доза - до 4 Гр) в клинической картине превалируют астенические и нервно-висцеральные симптомы. При тяжелой форме ЛБ (от 4-6 Гр и выше) в неврологическом статусе определяются общемозговые симптомы, менингеальный синдром, реже - очаговая симптоматика, нарушение координации.
Стадии
- На стадии первичной реакции у большинства больных отмечается общая слабость, повышенная утомляемость, апатия, головная боль, головокружение, бессонница, диарея, тошнота и рвота, реже - судороги. У некоторых пациентов выявляется болезненность при пальпации тригеминальных и сосудистых точек. Все вышеописанные проявления формируются в промежутке от 10 минут до 1 часа с момента поражения. Степень их выраженности и скорость возникновения напрямую определяются дозой излучения.
- Второй период - латентный или «мнимого благополучия». В нем наблюдается уменьшение интенсивности первичных симптомов без их полного исчезновения.
- Третья стадия - разгара. Она сопровождается резким усилением неврологического дефицита, формированием отека головного мозга, рассеянной симптоматикой нарушений ЦНС. Клинически сопровождается горизонтальным нистагмом, анизорефлексией, появлением патологических стопных и субкортикальных рефлексов, расстройствами функций черепно-мозговых нервов, дистонией скелетной мускулатуры, координаторными нарушениями. Зачастую этот симптомокомплекс сочетается с вегетативной дисфункцией: колебаниями артериального давления и температуры тела, гипергидрозом, гиперсаливацией.
- Последняя стадия - восстановления или стойких остаточных явлений - характеризуется крайне медленным улучшением общего состояния больного, исчезновением неврологической и интоксикационной симптоматики при сохранении вегетососудистых расстройств и астенического синдрома.
Радиационная астения
Может превалировать одна из типичных форм болезни. Радиационная астения имитирует симптомы невроза, проявляется слабостью, чрезмерной раздражительностью, утратой аппетита, тошнотой, реже - головокружением, эйфорией. В периоде разгара к ним может присоединяться гиперрефлексия, мышечная гипотония, тремор век, языка и верхних конечностей. Менингеальный синдром наблюдается у больных с тяжелыми формами лучевой болезни. При нем отмечаются нестабильные специфические симптомы Кернига и Брудзинского, гипотония скелетных мышц. Коматозная форма развивается при вовлечении в патологический процесс жизненно важных структур, отличается внезапным появлением чувства «горения» всего тела с последующей утратой сознания, сердечно-сосудистой и дыхательной недостаточностью.
Радиационная энцефалопатия
Радиационная энцефаломиелопатия может носить острый или хронический характер. В первом случае патология дебютирует атактическим синдромом, из-за чего возникает спутанность сознания, ярко выраженные менингеальные знаки. Характерная особенность - наличие очаговой симптоматики, определяющейся локализацией деструкции в ЦНС. Возможны внезапные потери сознания, многократная рвота, парезы и параличи, сочетающиеся с геморрагическим синдромом и гастроэнтероколитом. Хронический вариант этой энцефаломиелопатии может сопровождаться аналогичными симптомами, формирующимися на протяжении длительного времени.
Синдром радиационно-токсической энцефалопатии
Данная форма зачастую отмечается в период разгара и может иметь различные клинические формы. Ликвородинамическая отличается непостоянной общемозговой симптоматикой, очаговыми симптомами и когнитивными расстройствами. Гипертензионный вариант проявляется нарастающей цефалгией (в некоторых случаях - вплоть до рвоты), оболочечным синдромом, снижением рефлексов, психомоторным возбуждением. При эпилептической форме возникают приступы тонико-клонических или клонических судорог, опистотонус. Психотическая радиационная энцефалопатия характеризуется нарушением ориентации во времени и пространстве, зрительными и слуховыми галлюцинациями, кататоническим ступором.
Лучевая невралгия
Лучевая невралгия развивается при локальном поражении отдельных периферических нервов. Зачастую она комбинируется с эритематозным или буллезным дерматозом. Типичные проявления - парестезии по типу зуда, онемения, жжения и боли, носящие реактивный или спонтанный характер. Наблюдаются гипестезии, сухость кожи, локальный гипергидроз, алопеция, редко - отеки. Радиационная полиневропатия является результатом облучения нервных сплетений и сочетается с некрозом кожи, подкожной жировой клетчатки, мышц и фасций. Неврологически эта форма сопровождается трудно купируемым локальным болевым синдромом, гипестезией или анестезией, мышечными атрофиями, гипорефлексиями или арефлексиями, вегетативной дисфункцией в области иннервации пораженных нервов.
Осложнения
Через 1-2 месяца после фокального облучения головы может возникать ранняя радиационная энцефалопатия. Клинически она имитирует развитие новообразований головного мозга, после чего спонтанно регрессирует. Спустя 1-2 года после прохождения лучевой терапии может наблюдаться формирование позднего лучевого некроза. Его симптомы зачастую повторяют клинику заболевания, в связи с которым проводилась рентгенотерапия. Через 6 месяцев - 1 год вероятно появление симптомов церебральной атрофии, сопровождающейся когнитивными расстройствами, нарушением функций тазовых органов, ходьбы и другими проявлениями нормотензивной гидроцефалии.
При облучении области шеи выявляются миелопатии, проявляющиеся симптомом Лермитта, синдромом Броун-Секара. Поражение пояснично-крестцового отдела позвоночника характеризуется синдромом двигательного нейрона: фасцикуляциями, мышечными атрофиями, вялыми параличами иннервируемых областей. Отдаленными осложнениями, наблюдающимися спустя годы или десятилетия, являются дисфункции щитовидной и половых желез, гипоталамуса, новообразования ЦНС (глиомы, саркомы, шванномы, менингиомы), окклюзии артерий головного мозга. Последние становятся причинами транзиторных ишемических атак, инсультов.
Диагностика и обследование
Постановка диагноза поражения нервной системы при ЛБ проводится преимущественно на основе данных анамнеза и объективного обследования. К использованию рентгенологических методик прибегают только по жизненным показаниям, поскольку они способны усугубить течение радиационного поражения. Важнейшим аспектом является установление факта воздействия радиационного излучения на организм. Полная программа обследования включает в себя следующие пункты:
- Физикальное исследование. При общем осмотре оцениваются витальные функции, состояние кожных покровов, наличие трофических изменений и фасцикуляций, определяются мышечные атрофии, болезненность тех или иных участков тела. При изучении неврологического статуса врач акцентирует внимание на функции черепных нервов, мышечной силе и тонусе, объеме активных движений, тонусе сухожильных и периостальных рефлексов, наличии патологических рефлексов, участков гипестезии или анестезии.
- Лабораторные тесты. В общем анализе крови отмечается нейтрофильный лейкоцитоз с лимфопенией, которые сменяются лейкопенией, нейтропенией, тромбоцитопенией, анемическим синдромом, анизоцитозом и пойкилоцитозом, резким повышением СОЭ. Позднее в ОАК могут выявляться мегалоциты, мегалобласты, токсическая зернистость нейтрофилов, агранулоцитоз и панцитопения. Уровень лейкоцитов находится в прямой зависимости от тяжести лучевого поражения.
- Нейровизуализация. КТ или МРТ головного мозга, спинальных структур применяются с целью дифференциальной диагностики с другими потенциальными поражениями ЦНС при невозможности установить диагноз иным путем. Методики также информативны в случаях с атрофиями головного мозга, поскольку позволяют выявить расширение желудочков, лейкоареоз, спайки паутинной оболочки. При необходимости оценки уровня метаболизма глюкозы в ЦНС применяют ПЭТ-КТ.
Лечение радиационного поражения НС
Базовыми принципами лечения данной патологии являются раннее купирование неврологической симптоматики, профилактика вторичных осложнений, комплексность лечения с учетом стадии развития патологии. Рекомендуется использование различных терапевтических подходов в зависимости от места и времени, начиная с момента облучения. Таким образом, принято выделять следующие этапы оказания медицинской помощи:
- Доврачебная и первая медицинская помощь. Состоят из эвакуации больного из зоны радиационного загрязнения, первичной санитарной обработки пораженных участков тела, введения противорвотных и сердечно-сосудистых препаратов, анальгетиков, транквилизаторов, противосудорожных и других симптоматических средств, восстановления ОЦК.
- Медицинская стационарная помощь. Подразумевает коррекцию и дополнение лечения предыдущего этапа. На основании результатов лабораторных анализов могут назначаться антибиотики широкого спектра действия, мочегонные, гемостатики, плазмозаменители, растворы для коррекции электролитного спектра крови.
- Специализированная помощь. Проводится на протяжении всего периода лучевой болезни. С учетом состояния больного может выполняться переливание форменных элементов крови и плазмы, коррекция нарушений стволовых функций. При необходимости используются антибиотики, наркотические анальгетики, нейрометаболиты и витамины группы В.
- Период восстановления. Представлен физиотерапевтическими процедурами, направленными на устранение остаточных явлений, нормализацию кровоснабжения и метаболизма ЦНС. Включает различные виды массажа, лечебную физкультуру, магнитотерапию, санаторно-курортное лечение.
Прогноз и профилактика
Прогноз при ЛБ зависит от уровня полученной дозы, эффективности проведенного лечения и наличия у больного отягощающих факторов: артериальной гипертонии, сахарного диабета, других эндокринопатий. В тяжелых случаях при получении сверхвысоких доз развивается так называемая «смерть под лучом». Профилактика патологии основывается на полном исключении или нормализации условий облучения: соблюдении рекомендованной продолжительности рабочего дня и правил защиты (экранирование, индивидуальные дозиметры), ежегодное прохождение медицинской комиссии с оценкой пригодности к соответствующей профессиональной деятельности. В аварийных ситуациях применяется экстренная химиопрофилактика.
1. Военно-полевая и военно-морская терапия (часть 1: острая и хроническая лучевая болезнь). Учебно-методическое пособие / Эмануэль В.Л., Ловицкий С.В. - 2004.
3. Радиационные инциденты с неравномерным облучением человека / Соловьев В.Ю., Барабанова А.В., Бушманов А.Ю.// Саратовский научно-медицинский журнал - 2013 - Т.9, №4.
Лучевые реакции и повреждения
Лучевые реакции и повреждения - патологические изменения, возникающие в результате воздействия ионизирующей радиации при проведении лучевой терапии в ходе лечения онкологических заболеваний. Могут быть общими и местными, легкими и тяжелыми, острыми или отдаленными. Поражают различные органы и системы. Наиболее частым проявлением лучевых реакций становятся характерные воспалительные изменения. Симптомы определяются областью поражения. Диагноз выставляется с учетом анамнеза, данных осмотра, КТ, МРТ, УЗИ, рентгенографии и других методик. Лечение - противовоспалительная терапия, витаминотерапия, физиотерапия, анальгетики, иммуностимуляторы и другие средства.

Лучевые реакции и повреждения - обширная группа патологических состояний различных органов и систем, возникающих у онкологических больных на фоне лучевой терапии или через некоторое время после ее окончания. Рассматриваются как осложнения лучевой терапии. Различаются по степени выраженности, обратимости и необходимости проведения лечебных мероприятий. Лучевые реакции являются обратимыми патологическими процессами, проходят самостоятельно или после соответствующей терапии. Не оказывают отрицательного влияния на качество последующей жизни больных.
В отличие от лучевых реакций, лучевые повреждения относятся к категории необратимых изменений, однако могут в определенной степени компенсироваться после проведения лечения. Ухудшают состояние пациентов, могут становиться причиной инвалидности и негативно влиять на продолжительность жизни. Лечение лучевых реакций и повреждений осуществляют специалисты в сфере онкологии, гастроэнтерологии, дерматологии, урологии и других областей медицины (в зависимости от локализации патологического процесса).

Причины развития лучевых реакций
Вероятность возникновения лучевых реакций определяется дозой ионизирующего излучения, площадью облучения, временем облучения и уровнем радиочувствительности облучаемых тканей. Самой низкой толерантностью к облучению обладает костный мозг. Высокая радиочувствительность также выявляется у лимфатической системы, яичек и яичников, поэтому перечисленные органы и системы чаще всего страдают при проведении лучевой терапии. Кроме того, к числу часто встречающихся лучевых реакций относятся патологические изменения кожи, что обусловлено как ее достаточно высокой чувствительностью, так и попаданием кожных покровов в зону облучения при лечении большинства онкологических заболеваний.
К числу факторов, увеличивающих риск развития лучевых реакций, относятся повышенная индивидуальная радиочувствительность, ошибки при планировании и проведении лучевой терапии. Толерантность тканей к ионизирующему излучению может снижаться при кахексии, ожирении, аллергии, хронических воспалительных заболеваниях, болезнях кожи, сахарном диабете, диффузном токсическом зобе, гипокортицизме и болезнях почек. Вероятность возникновения лучевых реакций повышается в молодом и старческом возрасте, при переохлаждении, перегревании, чрезмерных физических нагрузках, травматических повреждениях, нарушениях целостности или нормального состояния кожи (при царапинах, расчесах, раздражении после использования местных препаратов раздражающего действия или проведения физиотерапевтических процедур).
Классификация лучевых реакций
Выделяют общие и местные лучевые реакции. При местных реакциях наблюдаются патологические изменения в области облучения, при общих страдают система кроветворения, ЦНС, сердечно-сосудистая система, другие органы и системы. Местные и общие лучевые реакции могут быть легкими и тяжелыми; острыми (наблюдающимися в течение нескольких дней или недель с момента облучения) и отдаленными (возникающими спустя месяцы и годы после окончания терапии). Различают четыре варианта лучевых реакций:
- Реакции, непосредственно связанные с облучением
- Отдаленные соматические реакции и поражения
- Генетические нарушения
- Тератогенные эффекты.
Генетические нарушения возникают в результате лучевого воздействия на яички или яичники. Проявляются внутриутробной смертью или врожденными пороками развития ребенка пациента (доминантная мутация) либо его потомков через несколько поколений (рецессивная мутация). Тератогенные эффекты отмечаются при проведении лучевой терапии в период беременности. Возможны аномалии развития конечностей, микроцефалия, гидроцефалия и другие врожденные уродства.
Виды лучевых реакций и повреждений
Общие лучевые реакции
Наиболее распространенной лучевой реакцией является так называемое лучевое «похмелье», которое проявляется слабостью, эмоциональной лабильностью, нарушениями сна, потерей аппетита, тошнотой, рвотой, учащением сердцебиения, гипотонией либо неустойчивостью АД. По анализам крови больных с этой лучевой реакцией определяются тромбоцитопения и лейкопения, иногда - в сочетании с анемией. Средствами профилактики являются белковая диета, обильное питье, употребление овощей и фруктов, прогулки, витамины, антиоксиданты и антигистаминные средства. Лечение лучевой реакции симптоматическое.
Реже возникает острая или хроническая лучевая болезнь, в развитии которой можно выделить четыре фазы: первичной общей реакции, мнимого благополучия, ярко выраженных симптомов и восстановления. Первая фаза проявляется слабостью, сонливостью, головной болью, тошнотой, рвотой, сухостью во рту, иногда - колебаниями пульса и АД с тенденцией к снижению. В фазе мнимого благополучия состояние больного улучшается, сохраняется лабильность пульса и артериального давления. В последующем наблюдаются прогрессирующие облысение, неврологические нарушения, лейкопения и другие изменения системы крови.
В фазе выраженных симптомов на первый план выходят поражения системы крови в сочетании со снижением иммунитета, инфекциями, геморрагическим синдромом и аутоинтоксикацией. Возникает клиническая картина, напоминающая септическое состояние. В фазе восстановления отмечается регрессия симптомов болезни. Лечение - дезинтоксикация, антибактериальная терапия, гемостатики, инфузионная терапия. В тяжелых случаях показана трансплантация костного мозга.
Лучевые реакции и повреждения кожи
Наиболее легким вариантом лучевой реакции кожи является эритема, сопровождающаяся зудом и локальной гиперемией. Выздоровление наступает самостоятельно. В качестве следующих стадий заболевания рассматривают сухой и влажный радиодерматит (лучевой дерматит). При сухом радиодерматите наблюдается гиперпигментация, выраженная гиперемия, отек, выпадение волос, шелушение и нерезкие боли. Как и эритема, данная лучевая реакция не требует проведения специальной терапии. Могут использоваться нейтральные растительные масла. При влажном радиодерматите к перечисленным выше симптомам добавляются отслойка эпидермиса и интенсивные боли. Лечение лучевой реакции - гормональные мази, мази с антибиотиками. В исходе наблюдаются атрофия кожи, исчезновение волос, нарушения пигментации и телеангиоэктазии.
К лучевым повреждениям кожи относятся лучевая язва и лучевой рак. Лучевая язва представляет собой дефект кожи с плотными приподнятыми бугристыми краями. Кожа вокруг язвы уплотнена. На дне язвы - фибрин, гной и некротические массы. В отличие от кожных лучевых реакций, самостоятельное выздоровление невозможно, наблюдается склонность к рецидивам. Возможна трансформация в лучевой рак. Лечение - как при влажном дерматите. При неэффективности консервативной терапии выполняют иссечение язвы и кожную пластику.
Лучевые реакции и повреждения легких и пищевода
Лучевые реакции и повреждения легких возникают при лучевой терапии онкологических заболеваний молочной железы, пищевода, легких и средостения. Могут быть острыми (пневмонит) или хроническими (пневмосклероз). При пневмонитах наблюдаются сухой кашель, одышка и гипертермия. На рентгенограммах определяется усиление легочного рисунка с последующим образованием очагов затемнения. Клинические проявления лучевой реакции исчезают через 1-2 недели, рентгенологические - через 2-3 месяца.
Пневмосклероз развивается через несколько месяцев после завершения курса лечения. Проявляется сухим кашлем, болями и нарастающей одышкой. Вызывает сердечно-легочную недостаточность. На рентгенограммах видны множественные линейные тени. Лечение пневмонита и пневмосклероза - антибиотики, противогрибковые средства, бронхолитики, антигемокоагулянты, витаминотерапия, ЛФК.
Лучевые реакции и повреждения пищевода возникают при тех же заболеваниях, что и аналогичные поражения легких. Проявляются болями при приеме пищи. Лечение - спазмолитики, масло облепихи и раствор новокаина внутрь.
Лучевые реакции и повреждения мочевого пузыря и прямой кишки
Поражения данной локализации возникают при лучевой терапии новообразований прямой кишки, шейки матки и мочевого пузыря. Лучевые реакции могут быть ограниченными или диффузными, развиваться в период проведения лучевой терапии или после ее окончания. Наиболее частым осложнением со стороны мочевого пузыря является цистит. Легкие формы цистита выявляются у большинства больных с неоплазиями мочевого пузыря и у 30-40% пациентов с опухолями близлежащих органов. Сопровождаются болями при мочеиспускании. Все проявления лучевой реакции редуцируются в течение нескольких недель. Тяжелые циститы встречаются реже, проявляются гематурией и резкой болезненностью. Склонны к продолжительному течению и рецидивированию, возможно сморщивание органа. Лечение - прием большого количества жидкости, дезинфицирующие препараты, мочегонные средства.
Самой распространенной лучевой реакцией прямой кишки является острый ректит, обычно возникающий перед завершением курса лечения. Наблюдаются ректальные кровотечения, при ректороманоскопии выявляются отечность и гиперемия слизистой. Все симптомы лучевой реакции исчезают через несколько недель. В тяжелых случаях развивается язвенный лучевой проктит, проявляющийся нарушениями стула, кровотечениями, примесями слизи и крови в кале, мучительными ложными позывами, интенсивными болями при дефекации и тупыми болями в остальное время. Отмечается склонность к хронизации и рецидивированию. Лечение лучевых реакций и повреждений прямой кишки - диетотерапия, клизмы, свечи с анальгетиками, антибактериальными и гормональными препаратами.
Лучевая болезнь
Лучевая болезнь - комплекс общих и местных реактивных изменений, обусловленных воздействием повышенных доз ионизирующего излучения на клетки, ткани и среды организма. Лучевая болезнь протекает с явлениями геморрагического диатеза, неврологической симптоматикой, гемодинамическими нарушениями, склонностью к инфекционным осложнениям, желудочно-кишечными и кожными поражениями. Диагностика основывается на результатах дозиметрического контроля, характерных изменениях в гемограмме, биохимических анализах крови, миелограмме. В острой стадии лучевой болезни проводится дезинтоксикация, гемотрансфузии, антибиотикотерапия, симптоматическая терапия.



Лучевая болезнь - общее заболевание, вызываемое влиянием на организм радиоактивного излучения в диапазоне, превышающем предельно допустимые дозы. Протекает с поражением кроветворной, нервной, пищеварительной, кожной, эндокринной и других систем. В течение жизни человек постоянно подвергается воздействию малых доз ионизирующего излучения, исходящего как от внешних (естественных и техногенных), так и внутренних источников, проникающих в организм при дыхании, потреблении воды и пищи и накапливающихся в тканях. Т. о., при нормальном радиационном фоне с учетом вышеназванных факторов суммарная доза ионизирующего излучения обычно не превышает 1-3 мЗв (мГр)/год и считается безопасной для населения. Согласно заключению Международной комиссии по радиологической защите, при превышении порога облучения более 1,5 Зв/год или однократном получении дозы 0,5 Зв может развиться лучевая болезнь.
Причины лучевой болезни
Лучевые поражения могут возникать вследствие однократного (либо кратковременного) облучения высокой интенсивности или длительного воздействия низких доз радиации. Высокоинтенсивное поражающее воздействие характерно для техногенных катастроф в атомной энергетике, испытаний или применения ядерного оружия, проведения тотального облучения в онкологии, гематологии, ревматологии и пр. Хроническая лучевая болезнь может развиваться у медицинского персонала отделений лучевой диагностики и терапии (рентгенологов, радиологов), больных, подвергающихся частым рентгенологическим и радионуклидным исследованиям.
Поражающими факторами могут выступать альфа- и бета-частицы, гамма-лучи, нейтроны, рентгеновские лучи; возможно одновременное воздействие различных видов лучевой энергии - так называемое смешанное облучение. При этом поток нейтронов, рентгеновское и гамма-излучение способны вызывать лучевую болезнь при внешнем воздействии, тогда как альфа- и бета-частицы вызывают поражение только при попадании внутрь организма через дыхательный или пищеварительный тракт, поврежденную кожу и слизистые оболочки.
Лучевая болезнь является результатом повреждающего воздействия, происходящего на молекулярном и клеточном уровне. В результате сложных биохимических процессов в крови появляются продукты патологического жирового, углеводного, азотистого, водно-солевого обмена, вызывающие лучевую токсемию. Поражающие эффекты, прежде всего, затрагивают активно делящиеся клетки костного мозга, лимфоидной ткани, желез внутренней секреции, эпителий кишечника и кожи, нейроны. Это обуславливает развитие костномозгового, кишечного, токсемического, геморрагического, церебрального и других синдромов, составляющих патогенез лучевой болезни.
Особенность лучевого поражения заключается в отсутствии в момент непосредственного воздействия тепловых, болевых и иных ощущений, наличии латентного периода, предшествующего развитию развернутой картины лучевой болезни.

Классификация
В основу классификации лучевой болезни положены критерии времени поражения и дозы поглощенной радиации. При однократном массивном воздействии ионизирующего излучения развивается острая лучевая болезнь, при длительном, повторяющемся в относительно малых дозах - хроническая лучевая болезнь. Степень тяжести и клиническая форма острого лучевого поражения определяются дозой облучения:
Лучевая травма возникает при одномоментном/кратковременном облучении дозой менее 1 Гр; патологические изменения носят обратимый характер.
Костномозговая форма (типичная) развивается при одномоментном/кратковременном облучении дозой 1-6 Гр. Летальность составляет 50%. Имеет четыре степени:
- 1 (легкая) - 1-2 Гр
- 2 (средняя) - 2-4 Гр
- 3 (тяжелая) - 4-6 Гр
- 4 (крайне тяжелая, переходная) - 6-10 Гр
Желудочно-кишечная форма является результатом одномоментного/кратковременного облучения дозой 10-20 Гр. Протекает с тяжелым энтеритом, кровотечениями из ЖКТ, лихорадкой, инфекционно-септическими осложнениями.
Сосудистая (токсемическая) форма манифестирует при одномоментном/кратковременном облучение дозой 20-80 Гр. Характеризуется тяжелой интоксикацией и гемодинамическими нарушениями.
Церебральная форма развивается при одномоментном/кратковременном облучении дозой свыше 80 Гр. Летальный исход наступает на 1-3 сутки после облучения от отека мозга.
Течение типичной (костномозговой) формы острой лучевой болезни проходит IV фазы:
- I - фаза первичной общей реактивности - развивается в первые минуты и часы после лучевого воздействия. Сопровождается недомоганием, тошнотой, рвотой, артериальной гипотонией и др.
- II - латентная фаза - первичная реакция сменяется мнимым клиническим благополучием с улучшением субъективного состояния. Начинается с 3-4 суток и продолжается до 1 месяца.
- III - фаза развернутых симптомов лучевой болезни; протекает с геморрагическим, анемическим, кишечным, инфекционным и др. синдромами.
- IV - фаза восстановления.
Хроническая лучевая болезнь в своем развитии проходит 3 периода: формирования, восстановления и последствий (исходов, осложнений). Период формирования патологических изменений длится 1-3 года. В эту фазу развивается характерный для лучевого поражения клинический синдром, тяжесть которого может варьировать от легкой до крайне тяжелой степени. Период восстановления обычно начинается спустя 1-3 года после значительного уменьшения интенсивности или полного прекращения лучевого воздействия. Исходом хронической лучевой болезни может являться выздоровление, неполное восстановление, стабилизация полученных изменений или их прогрессирование.
Симптомы лучевой болезни
Острая лучевая болезнь
В типичных случаях лучевая болезнь протекает в костномозговой форме. В первые минуты и часы после получения высокой дозы радиации, в I фазу лучевой болезни, у пострадавшего возникает слабость, сонливость, тошнота и рвота, сухость или горечь во рту, головная боль. При одномоментном облучении в дозе свыше 10 Гр возможно развитие лихорадки, поноса, артериальной гипотонии с потерей сознания. Из местных проявлений может отмечаться преходящая кожная эритема с синюшным оттенком. Со стороны периферической крови ранние изменения характеризуются реактивным лейкоцитозом, который на вторые сутки сменяется лейкопенией и лимфопенией. В миелограмме определяется отсутствие молодых клеточных форм.
В фазу кажущегося клинического благополучия признаки первичной реакции исчезают, и самочувствие пострадавшего улучшается. Однако при объективной диагностике определяется лабильность АД и пульса, снижение рефлексов, нарушение координации, появление медленных ритмов по данным ЭЭГ. Через 12-17 суток после лучевого поражения начинается и прогрессирует облысение. В крови нарастает лейкопения, тромбоцитопения, ретикулоцитопения. Вторая фаза острой лучевой болезни может продолжаться от 2-х до 4-х недель. При дозе облучения свыше 10 Гр первая фаза может сразу же перейти в третью.
В фазе выраженной клинической симптоматики острой лучевой болезни развиваются интоксикационный, геморрагический, анемический, инфекционный, кожный, кишечный, неврологический синдромы. С началом третьей фазы лучевой болезни наступает ухудшение состояния пострадавшего. При этом вновь усиливаются слабость, лихорадка, артериальная гипотензия. На фоне глубокой тромбоцитопении развиваются геморрагические проявления, включающие кровоточивость десен, носовые кровотечения, желудочно-кишечные кровотечения, кровоизлияния в ЦНС и пр. Следствием поражения слизистых оболочек служит возникновение язвенно-некротического гингивита, стоматита, фарингита, гастроэнтерита. Инфекционные осложнения при лучевой болезни чаще всего включают ангины, пневмонии, легочные абсцессы.
При высокодозном облучении развивается лучевой дерматит. В этом случае на коже шеи, локтевых сгибов, подмышечной и паховой области формируется первичная эритема, которая сменяется отеком кожи с образованием пузырей. В благоприятных случаях лучевой дерматит разрешается с образованием пигментации, рубцов и уплотнения подкожной клетчатки. При заинтересованности сосудов возникают лучевые язвы, некрозы кожи. Выпадение волос носит распространенный характер: отмечается эпиляция волос на голове, груди, лобке, потеря ресниц и бровей. При острой лучевой болезни происходит глубокое угнетение функции желез внутренней секреции, главным образом, щитовидной железы, гонад, надпочечников. В отдаленном периоде лучевой болезни отмечено учащение развития рака щитовидной железы.
Поражение ЖКТ может протекать в форме лучевого эзофагита, гастрита, энтерита, колита, гепатита. При этом наблюдается тошнота, рвота, боли в различных отделах живота, диарея, тенезмы, примесь крови в кале, желтуха. Неврологический синдром, сопутствующий течению лучевой болезни, проявляется нарастающей адинамией, менингеальной симптоматикой, спутанностью сознания, снижением мышечного тонуса, повышением сухожильных рефлексов.
В фазу восстановления постепенно улучшается самочувствие, и частично нормализуются нарушенные функции, однако длительное время у пациентов сохраняется анемия и астеновегетативный синдром. Осложнения и остаточные поражения острой лучевой болезни могут включать развитие катаракты, цирроза печени, бесплодия, неврозов, лейкемии, злокачественных опухолей различных локализаций.

Хроническая лучевая болезнь
При хронической форме лучевой болезни патологические эффекты разворачиваются медленнее. Ведущими являются неврологические, сердчно-сосудистые, эндокринные, желудочно-кишечные, обменные, гематологические нарушения.
Легкая степень хронической лучевой болезни характеризуется неспецифическими и функционально обратимыми изменениями. Больные ощущают слабость, снижение работоспособности, головные боли, нарушения сна, неустойчивость эмоционального фона. В числе постоянных признаков - снижение аппетита, диспепсический синдром, хронический гастрит с пониженной секрецией, дискинезии желчевыводящих путей. Эндокринная дисфункция при лучевой болезни выражается в снижение либидо, нарушениях менструального цикла у женщин, импотенции у мужчин. Гематологические изменения неустойчивы и не резко выражены. Течение легкой степени хронической лучевой болезни благоприятно, возможно выздоровление без последствий.
При средней степени лучевого поражения отмечаются более выраженные вегетативно-сосудистые расстройства и астенические проявления. Отмечаются головокружения, повышенная эмоциональная лабильность и возбудимость, ослабление памяти, возможны приступы потери сознания. Присоединяются трофические нарушения: алопеция, дерматиты, деформации ногтей. Сердечно-сосудистые нарушения представлены стойкой артериальной гипотензией, пароксизмальной тахикардией. Для II степени тяжести хронической лучевой болезни характерны геморрагические явления: множественные петехии и экхимозы, рецидивирующие носовые и десневые кровотечения. Типичными гематологическими изменениями выступают лейкопения, тромбоцитопения; в костном мозге - гипоплазия всех кроветворных ростков. Все изменения носят стойкий характер.
Тяжелая степень лучевой болезни характеризуется дистрофическими изменениями в тканях и органах, которые не компенсируются регенерационными возможностями организма. Клинические симптомы носят прогрессирующее развитие, дополнительно присоединяются интоксикационный синдром и инфекционные осложнения, в т. ч. сепсис. Имеют место резкая астенизация, упорные головные боли, бессонница, множественные кровоизлияния и повторные кровотечения, расшатывание и выпадение зубов, язвенно-некротические изменения слизистых, тотальное облысение. Изменения со стороны периферической крови, биохимических показателей, костного мозга носят глубоко выраженный характер. При IV, крайне тяжелой степени хронической лучевой болезни, прогрессирование патологических сдвигов происходит неуклонно и быстро, приводя к неминуемому смертельному исходу.
Диагностика лучевой болезни
Развитие лучевой болезни можно предположить на основании картины первичной реакции, хронологии развития клинических симптомов. Облегчает диагностику установление факта лучевого поражающего воздействия и данные дозиметрического контроля.
Степень тяжести и стадийность поражения можно определить по изменению картины периферической крови. При лучевой болезни отмечается нарастание лейкопении, анемии, тромбоцитопении, ретикулоцитопении, повышение СОЭ. При анализе биохимических показателей в крови обнаруживается гипопротеинемия, гипоальбуминемия, электролитные нарушения. В миелограмме выявляются признаки выраженного угнетения кроветворения. При благоприятном течении лучевой болезни в фазе восстановления начинается обратное развитие гематологических изменений.
Вспомогательное значение имеют другие лабораторно-диагностические данные (микроскопия соскобов язв кожи и слизистых, посев крови на стерильность), инструментальные исследования (ЭЭГ, электрокардиография, УЗИ органов брюшной полости, малого таза, щитовидной железы и др.), консультации узкопрофильных специалистов (гематолога, невролога, гастроэнтеролога, эндокринолога и др.).
Лечение лучевой болезни
При острой лучевой болезни больного госпитализируют в стерильный бокс, обеспечивая асептические условия и постельный режим. Первоочередные меры включают ПХО ран, деконтаминацию (промывание желудка, постановку клизмы, обработку кожи), введение противорвотных средств, устранение коллапса. При внутреннем облучении показано введение препаратов, нейтрализующих известные радиоактивные вещества. В первые сутки после появления признаков лучевой болезни проводится мощная дезинтоксикационная терапия (инфузии солевых, плазмозамещающих и солевых растворов), форсированный диурез. При явлениях некротической энтеропатии назначается голод, парентеральное питание, обработка слизистой полости рта антисептиками.
В целях борьбы с геморрагическим синдромом проводятся гемотрансфузии тромбоцитарной и эритроцитарной массы. При развитии ДВС-синдрома осуществляется переливание свежезамороженной плазмы, плазмаферез. В целях профилактики инфекционных осложнений назначается антибиотикотерапия. Тяжелая форма лучевой болезни, сопровождаемая аплазией костного мозга, является показанием к его трансплантации. При хронической лучевой болезни терапия носит, главным образом, симптоматический характер.
Прогноз лучевой болезни напрямую связан с массивностью полученной дозы радиации и временем поражающего воздействия. Больные, пережившие критический срок в 12 недель после облучения, имеют шансы на благоприятный прогноз. Однако даже при нелетальном лучевом поражении у пострадавших впоследствии могут возникать гемобластозы, злокачественные новообразования различной локализации, а у потомства выявляться различные генетические аномалии.
В целях предупреждения лучевой болезни лица, находящиеся в зоне радиоизлучения, должны использовать средств индивидуальной радиационной защиты и контроля, препараты-радиопротекторы, снижающие радиочувствительность организма. Лица, контактирующие с источниками ионизирующего излучения, должны проходить периодические медицинские осмотры с обязательным контролем гемограммы.
Читайте также:
