Смещение диска височно-нижнечелюстного сустава - лучевая диагностика
Добавил пользователь Дмитрий К. Обновлено: 30.10.2025
Кафедра стоматологии общей практики и анестезиологии ФПДО, кафедра ортодонтии и детского протезирования Московского государственного медико-стоматологического университета
Московский государственный медико-стоматологический университет
Алгоритм диагностики и лечения внутренних нарушений височно-нижнечелюстного сустава
Журнал: Российская стоматология. 2013;6(2): 20‑25
Бекреев В.В., Васильев А.Ю., Рабинович С.А. Алгоритм диагностики и лечения внутренних нарушений височно-нижнечелюстного сустава. Российская стоматология. 2013;6(2):20‑25. 
Bekreev VV, Vasil'ev AIu, Rabinovich SA. The algorithm for diagnostics and treatment of internal lesions in the temporomandibular joint. Russian Stomatology. 2013;6(2):20‑25. (In Russ.).
Цель исследования - оценка эффективности комплексного лечения пациентов с внутренними нарушениями височно-нижнечелюстного сустава (ВНЧС). Установлено, что при совместном участии ортодонта, стоматолога-ортопеда, челюстно-лицевого хирурга с использованием неинвазивных и малоинвазивных методов лечения, включающих применение каппы и гидравлического прессинга, в 78,9% случаев достигается репозиция суставного диска и восстановление функции ВНЧС.
Среди патологических процессов, возникающих в височно-нижнечелюстном суставе (ВНЧС), наиболее часто встречаются внутренние нарушения, которые, по данным различных авторов, наблюдаются у 70-89% больных, обращающихся к врачу-стоматологу с жалобами на нарушение функции этого сочленения [2]. «Внутренние нарушения ВНЧС» - собирательный термин, включающий состояния, при которых имеется патология мягкотканных элементов сустава (суставного диска, внутрисуставных связок, капсулы) и изменения их анатомических и функциональных взаимоотношений. Главными причинами внутренних нарушений ВНЧС являются нарушение окклюзии [1, 7] и неполноценность связочного аппарата ВНЧС [8]. Чаще всего при растяжении заднедисковой связки происходит переднее смещение суставного диска. При этом головка нижней челюсти во время открывания рта постоянно травмирует переднюю часть суставного диска и деформирует в виде его перегиба или сжатия [9]. Если в начальных стадиях внутренних нарушений при применении каппы достигается репозиция суставного диска, то в поздних стадиях при невправляемом смещении диска это часто практически невозможно. В таких случаях смещенный суставной диск при попытке воспроизведения движений нижней челюсти остается неподвижным, а взаимная травма элементов сочленения обусловливает развитие воспалительного процесса, дегенерацию диска, образование фиброзных спаек (склерозирование), вторичный остеоартроз [9].
Все это приводит к сращению диска с окружающими тканями, что значительно затрудняет репозицию суставного диска при лечении. Лечение с помощью каппы (окклюзионной шины), восстановлением нормальной окклюзии далеко не всегда приводит к нормализации положения суставного диска [11], а репонирование диска хирургическими методами без учета окклюзии часто приводит к рецидиву данной патологии. В связи с отсутствием общепризнанной классификации заболеваний ВНЧС и алгоритмов лечения внутренних нарушений ВНЧС у стоматологов любой специализации на амбулаторном приеме возникают определенные трудности как с диагностикой, так и с выбором методов лечения пациентов с данной патологией.
Цель исследования - изучение эффективности различных методов комплексного лечения пациентов с внутренними нарушениями ВНЧС для создания алгоритма их лечения с учетом индивидуальных особенностей течения заболевания.
Материал и методы
Проведено обследование и лечение 492 пациентов (398 женщин и 94 мужчин) в возрасте от 18 до 60 лет с внутренними нарушениями ВНЧС. Основными жалобами пациентов были ограничение открывания рта и боль при движениях нижней челюсти, щелканье и хруст в ВНЧС. При магнитно-резонансной томографии (МРТ) у них выявлены в различной степени дислокация суставного диска, его деформация и дегенерация. В начале лечения всем пациентам врачом-ортодонтом изготавливали индивидуальные мягкие миорелаксирующие каппы. В случаях недостаточной их эффективности с целью создания условий для вправления смещенного суставного диска применен ранее нами описанный метод гидравлического прессинга [3, 4]. Проводилась пункция верхнего или нижнего пространства пораженного ВНЧС, для его увеличения и расширения суставной щели вводилось от 0,7 до 1 мл 2% раствора лидокаина гидрохлорида. Объем пунктированного пространства ВНЧС при этом увеличивается и создаются условия, при которых с током введенного раствора диск занимает свое правильное положение по отношению к головке нижней челюсти. Число артропункций с целью гидравлической репозиции варьировало в зависимости от их эффективности от 4 до 6, по одной артропункции 1-2 раза в неделю. Контроль за положением суставного диска в процессе лечения осуществлялся сонографически [5]. Сонографическое исследование было проведено на аппарате HD 11XE («Philips») с использованием линейного датчика 12,0 Мг. Все артропункции проводились под контролем ультразвукового исследования (УЗИ), одновременно осуществлялась киносъемка изображения на мониторе аппарата УЗИ. Сонографическое исследование всем пациентам проводилось до артропункции, во время процедуры и сразу после нее, а также через неделю для определения стабильности полученных результатов. Кроме того, УЗИ осуществлялось перед применением каппы, после окончания ее применения, а также в качестве контроля ежемесячно в процессе ее ношения. В случаях неэффективности обоих методов лечения (гидравлического прессинга и применения каппы) с целью обеспечения подвижности суставного диска проводилась под общим обезболиванием операция лечебно-диагностической артроскопии ВНЧС по методикам, описанным в монографиях С.П. Сысолятина, П.Г. Сысолятина [10] и Н.Г. Коротких [6].
Результаты
При использовании каппы в течение 3-6 мес у 492 пациентов со смещением суставного диска произошла его репозиция у 277 (56,4%). Это сопровождалось исчезновением болей, восстановлением движений нижней челюсти в полном объеме, прекращением щелканья в суставе.
У многих пациентов эффект применения каппы был недостаточным (22,7%), или его не было совсем (20,9%). Характерно, что у всех этих больных, согласно данным МРТ, до начала лечения определялась вентральная дислокация суставного диска без репозиции, его деформация в виде сжатия и перегиба. Таким пациентам (213 человек) с целью репозиции суставного диска одновременно с использованием каппы применен метод гидравлического прессинга. Перед инъекцией обязательно проводилось УЗИ ВНЧС, и если в суставе обнаруживались признаки обострения хронического воспалительного процесса (рис. 1). Рисунок 1. При УЗИ выявлено снижение эхогенности диска и перифокальный отек прилежащих мягких тканей без четких контуров, что свидетельствует о наличии признаков синовита (пример 1). Рисунок 1. При УЗИ выявлено снижение эхогенности диска и перифокальный отек прилежащих мягких тканей без четких контуров, что свидетельствует о наличии признаков синовита (пример 2).
Артропункция проводилась только после его купирования, так как инъекция и введение раствора в таких случаях были бы дополнительной травмой и это могло негативно повлиять на течение воспалительного процесса в суставе. Обострение хронического воспалительного процесса в суставе при внутренних нарушениях лечится трудно, так как остается причина - постоянная травма смещенной части суставного диска головкой нижней челюсти при ее движениях, хотя пациенты по нашим рекомендациям значительно ограничивали жевательную нагрузку. Для уменьшения болевого синдрома одновременно с применением каппы пациентам назначались нестероидные противовоспалительные средства (НПВС). Учитывая необходимость курсового применения болеутоляющих препаратов, были выбраны НПВС, преимущественно действующие на ЦОГ-2, которые лучше переносятся при курсовом применении. При наличии у пациентов противопоказаний к применению НПВС назначались гомеопатические препараты. Кроме того, в составе комплексного лечения использовались физиотерапевтические процедуры (ультрафонофорез гидрокортизона, магнитотерапия), компрессы с 20% раствором диметилсульфоксида.
При этом наиболее эффективным оказалось одновременное применение комплекса лечебных мероприятий, включающих медикаментозное лечение и физиотерапию.
Хорошие результаты и положительная динамика при применении метода гидравлического прессинга на фоне использования каппы наблюдалась у 78,9% пациентов:
- нормализация положения диска, движение его в полном объеме - 26,3%;
- значительное улучшение положения диска - движение его в полном объеме - 39,9%;
- остается его переднее вправляемое смещение;
- улучшение положения диска, появление небольшой его подвижности, остается - 12,7%;
- невправляемое смещение диска;
- без изменений - 21,1%.
Во время проведения УЗИ на экране монитора во всех случаях хорошо визуализировались головка нижней челюсти, суставной диск, определялось его патологическое положение, измерялась степень смещения диска на всех этапах исследования. Следует отметить, что задние отделы суставного диска и головки нижней челюсти не всегда достаточно хорошо визуализировались, но, поскольку у всех наших пациентов наблюдалось переднее смещение суставного диска, контроль за нормализацией его положения был всегда возможен. После нескольких атропункций у 56 человек положение суставного диска нормализовалось, что подтверждается результатами УЗИ (рис. 2). Рисунок 2. Репозиция суставного диска ВНЧС у пациентов с невправляемым его смещением с помощью метода гидравлического прессинга под контролем УЗИ (пример 1). а — суставной диск смещен кпереди и деформирован. Рисунок 2. Репозиция суставного диска ВНЧС у пациентов с невправляемым его смещением с помощью метода гидравлического прессинга под контролем УЗИ (пример 1). б — после артропункции и гидравлической репозиции: суставной диск расправлен и равномерно распределен над головкой нижней челюсти. Рисунок 2. Репозиция суставного диска ВНЧС у пациентов с невправляемым его смещением с помощью метода гидравлического прессинга под контролем УЗИ (пример 2). а — суставной диск смещен кпереди и деформирован. Рисунок 2. Репозиция суставного диска ВНЧС у пациентов с невправляемым его смещением с помощью метода гидравлического прессинга под контролем УЗИ (пример 2). б — после артропункции и гидравлической репозиции: суставной диск расправлен и равномерно распределен над головкой нижней челюсти.
Клинически репозиция диска сопровождалась прекращением боли, восстановлением движений нижней челюсти в полном объеме. Все пациенты наблюдались у врача ортодонта или стоматолога-ортопеда, и им проводилось по показаниям соответствующее лечение. У 20 пациентов полученный результат закрепился, а у 3 больных случился рецидив смещения суставного диска: в одном случае пациентка без ведома врача прекратила носить лечебную каппу, в другом - длительно находилась в кресле стоматолога с широко открытым ртом во время лечения зубов, в третьем - рецидив произошел без видимых причин. Значительное улучшение в результате применения гидравлического прессинга получено у 85 больных. Пациенты отмечали прекращение болевых ощущений и восстановление объема движений нижней челюсти. Однако при осмотре у них имелась незначительная девиация нижней челюсти при широком открывании рта, а при УЗИ оставалась небольшая передняя дислокация суставного диска. Этим пациентам рекомендовано продолжать лечение у ортодонта или стоматолога-ортопеда с применением каппы. По данным УЗИ и клинически, положительная динамика отмечались у 27 больных. Пациенты отмечали уменьшение боли, увеличение степени открывания рта. Репозиция суставного диска или улучшение его положения в суставе при применении метода гидравлического прессинга, по-видимому, связаны с расширением суставной щели и созданием условий для возвращения смещенной и деформированной части суставного диска, разрушением отдельных спаек внутри сустава, а также с релаксацией латеральной крыловидной мышцы. Кроме того, возможно, жидкость (1% раствор лидокаина гидрохлорида), введенная в нижний отдел сустава, оказывает давление на поверхность диска, что способствует его перемещению. У 45 пациентов при применении гидравлического прессинга положительного результата получено не было. При первом УЗИ определялись смещение суставного диска и его полная неподвижность, при последующих УЗИ с артропункцией наблюдались лишь колебательные движения диска. В таких случаях имеются показания к хирургическому лечению.
В настоящее время наиболее безопасным и косметичным является хирургическое вмешательство в ВНЧС с помощью артроскопа. Показанием для лечебно-диагностической атроскопии явились значительное ограничение открывания рта, наличие болей в области сустава, отсутствие эффекта от консервативного лечения. Лечебно-диагностическая артроскопия проведена 18 пациентам. У всех больных обнаружен процесс склерозирования - были видны множественные фиброзные спайки, фиксирующие суставной диск к поверхности головки нижней челюсти или височной кости. Спайки обнаружены как в нижнем, так и в верхнем отделах сустава, но больше и чаще в нижнем. Надо отметить, что фиброзные спайки не визуализировались при МРТ и УЗИ. С помощью гидравлического воздействия жидкости для промывания полостей сустава (0,9% раствор натрия хлорида) и специальных инструментов обнаруженные спайки разрушены и удалены (рис. 3). Рисунок 3. Лечебно-диагностическая артроскопия. а — фиброзные спайки (1) между головкой нижней челюсти (2) и суставным диском (3). Рисунок 3. Лечебно-диагностическая артроскопия. б — удаление спаек с помощью инструмента (кусачек).
После вмешательства пациенты оставались на сутки под наблюдением врача в стационаре одного дня. В ближайшем послеоперационном периоде назначались антибиотики и обезболивающие средства. У всех оперированных пациентов после артроскопии положение суставного диска нормализовалось, но сразу после операции движения нижней челюсти в полном объеме отмечены только у 4 пациентов, а у остальных потребовались реабилитационное лечение, включающее физиопроцедуры и механотерапию. Косметических дефектов у пациентов после артроскопии не наблюдалось (рис. 4). Рисунок 4. Внешний вид области вмешательства через 36 сут (а)после артроскопии. Рисунок 4. Внешний вид области вмешательства через 60 сут (б) после артроскопии.
Все пациенты после гидравлического прессинга и артроскопии продолжали лечение у ортодонта или стоматолога-ортопеда с применением каппы, а в дальнейшем по показаниям проводилась нормализация окклюзии.

Вниманию специалистов предлагается разработанная нами схема диагностики и лечения пациентов с внутренними нарушениями ВНЧС (см. схему). Схема 1. Схема диагностики и лечения пациентов с внутренними нарушениями ВНЧС.
Лечение пациентов по изложенному алгоритму, несмотря на ограниченное число существующих методов репозиции суставного диска, показало более широкие возможности стоматологов в оказании помощи больным с данной патологией.
Выводы
1. Применение метода гидравлического прессинга в комплексном лечении пациентов с внутренними нарушениями ВНЧС даже при невправляемом смещении суставного диска в 78,9% случаев приводит к восстановлению или улучшению функции нижней челюсти и работы ВНЧС.
2. При значительном ограничении открывания рта у пациентов с хроническим вывихом суставного диска перед использованием каппы целесообразно применение метода гидравлического прессинга с целью получения большей подвижности суставного диска. Если эффективность каппы недостаточна, необходимо проведение повторного курса гидравлического прессинга.
3. Артроскопическое вмешательство при хроническом вывихе суставного диска ВНЧС может быть достаточно эффективно лишь при комплексном лечении, включающем применение каппы, метода гидравлического прессинга и механотерапии в послеоперационном периоде.
4. При недостаточном эффекте применения консервативных методов проведение артроскопического хирургического вмешательства при комплексном лечении приводит к восстановлению положения суставного диска и функции сустава.
5. На всех этапах лечения пациентов с внутренними нарушениями ВНЧС при обострениях воспалительного процесса показано применение НПВС.
Смещение диска височно-нижнечелюстного сустава - лучевая диагностика
Врач-рентгенолог, руководитель медицинского отдела по ЮФО рентгенодиагностических центров «Пикассо», ассистент кафедры лучевой диагностики КубГМУ, руководитель учебного центра «Пикассо» ЮФО.
Использование 
методов КЛКТ и МРТ в диагностике пациентов 
с заболеваниями ВНЧС
- размытость клинических признаков нарушения работы ВНЧС на ранних этапах развития;
- отсутствие обращений пациентов с дисфункцией ВНЧС к стоматологам до момента формирования острого болевого синдрома;
- стоматологи зачастую не уделяют должного внимания оценке состояния ВНЧС при осмотре пациентов или при анализе снимков зубочелюстной области;
- незнание стоматологами дополнительных методов диагностики, используемых для оценки анатомического состояния и функции ВНЧС;
- отсутствие алгоритмов диагностики и знаний по рентгеносемиотике заболеваний ВНЧС.
- неправильное положение головок ВНЧС при позиционировании пациента с использованием прикусной пластины;
- суммация окружающих костных тканей и невозможность оценки суставного пространства;
- отсутствие функциональных проб, таким образом, нет оценки ВНЧС в открытом положении рта.
На сегодняшний день золотым стандартом в диагностике ВНЧС является магнитно-резонансная томография (МРТ), в некоторых случаях для оценки костных элементов сустава применяется КЛКТ. Мультиспиральная компьютерная томография (МСКТ) применяется в условиях стационара и имеет преимущество перед КЛКТ лишь при дифференциальной диагностике смешанных по плотности изменений, например при подозрении на опухолевое поражение. 
Петросов Ю. А. 
Диагностика и ортопедического лечение заболеваний височно-нижнечелюстного сустава 
Краснодар: Совет. Кубань, 2007. — 
304 с.: илл. 
Рассмотрим возможности КЛКТ и МРТ в диагностике заболеваний ВНЧС и определим основные задачи использования этих методов.
КЛКТ, конусно-лучевая компьютерная томография, — томографический метод диагностики, основанный на использовании рентгеновского излучения. Сустав имеет костные и мягкотканные структурные элементы. Рентгеновские лучи активно задерживаются твердыми элементами сустава, поэтому подходят в качестве основного метода для оценки последних. Однако следует помнить, что различить мягкотканные элементы сустава рентгенографическими методами вообще и КЛКТ в частности невозможно. Для оценки и суждения об их вовлеченности в патологический процесс вы сможете использовать лишь косвенные признаки, такие как, например, ширина рентгеновской суставной щели. 
МРТ височно-нижнечелюстных суставов в диагностике заболеваний ВНЧС
Неотъемлемым компонентом стоматологического и, как следствие, общего здоровья, является нормальная функция височно-нижнечелюстных суставов (ВНЧС). На сегодняшний день распространенность заболеваний ВНЧС в популяции довольно высока.
Наиболее частая причина дисфункции ВНЧС - внутреннее повреждение и нарушение нормальных анатомических соотношений суставного диска и мыщелка нижней челюсти.
Клинически дисфункция проявляется как нарушение открывания рта, хруст при движении нижней челюсти, напряжение мышц головы, шеи, появление «триггерных точек», головная боль (причем боли могут быть такими сильными, что их часто путают с мигренью).
Точная локализация суставного диска очень важна в оценке повреждения ВНЧС и может быть легко определена с помощью метода МРТ.
При этом переднее смещение суставного диска определяется у 34% здоровых добровольцев, а нормальное положение суставного диска только у 16-23%.
На ранней стадии диск сохраняет свою форму. Со временем поврежденный диск деформируется.
Чаще деформация идет в виде утолщения задней зоны и истончения передней и промежуточной.
Каждое выполняемое исследование необходимо делать в 2-х положениях - с закрытым и открытым ртом.
Косо-сагиттальная проекция с закрытым ртом. Нормальный ВНЧС.

Суставной диск не дислоцирован, задняя его часть находится на 12 часах циферблата мыщелка.
Нормальная мобильность диска

Позиция с открытым ртом. Мыщелок сместился вентрально, на уровень суставной ямки. При этом суставной диск сохранил нормальное положение интерпозиции, не давая костным структурам напрямую контактировать друг с другом.
Смещения диска.
Выделяют переднее, передне-латеральное, передне-медиальное, латеральное, медиальное и заднее смещения; наиболее часто диагностируется переднее смещение диска.
Вывихи диска - фиксированный и перемежающийся (подвывих).
При фиксированном вывихе диск смещен кпереди от мыщелка и в положении открытого и при закрытом рте; при перемежающемся вывихе (подвывихе) диск смещен кпереди только при закрытом рте. При открывании рта диск возвращается в нормальное положение интерпозиции между мыщелком и суставным бугорком. При этом слышен характерный щелчок.
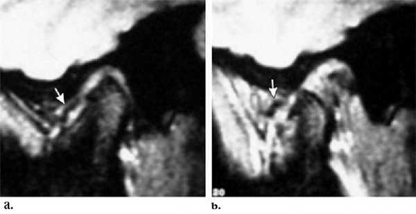
Перемежающийся (вправляемый) вывих /подвывих.

А. Закрытый рот. Переднее смещение диска. 
Б. Рот открыт. Диск вернулся в нормальное положение между мыщелком и височной костью.
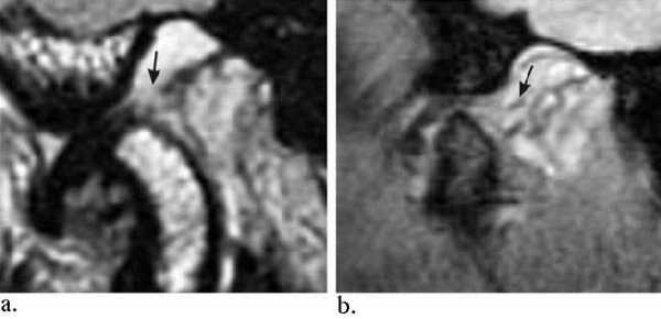
Фиксированный (невправляемый) вывих.

А. Рот закрыт. Переднее смещение диска. 
Б. Рот открыт. Диск продолжает оставаться смещенным.
«Застрявший» диск.

«Застрявший» диск. PD sag изображения с открытым (А) и закрытым (Б) ртом - задний край диска (стрелка) остается в нижнечелюстной ямке височной кости. По этой причине открывание рта сильно ограничено. Вероятная причина - образование спаек.
Заднее смещение диска.

Заднее смещение диска (составляет менее 0,01% всех патологий ВНЧС). 
А. Положение с закрытым ртом. Суставной диск сместился дорзально. 
Б.Положение с открытым ртом. Возвращение суставного диска на уровень мыщелка нижней челюсти. Движения челюсти очень ограничены в данном случае. 
Синовит.
Кроме патологии суставного диска, существуют и другие причины дисфункции височно-нижнечелюстного сустава.

Небольшое количество выпота в полости сустава.
Остеоартроз ВНЧС .

Рот закрыт. Определяется уплощение мыщелка нижней челюсти.
Патология позадидисковых тканей.

Оба изображения (разные пациенты) показывают разрыв волокон дорзальных (задних верхней и нижней диско-темпоральных) связок.
Травматические изменения.

Двусторонний перелом мыщелковых отростков, гемартроз, изменения крыловидных мышц.
У пациентов с клиническими проявлениями внутренних нарушений ВНЧС ведущим методом лучевого исследования является функциональная МРТ. Наиболее информативными являются Pd- и Т2*-взвешенные изображения в кососагиттальных плоскостях.
Другие статьи по теме
Что может послужить поводом для МРТ простаты и как подготовиться к этой. О чём расскажет МРТ простаты?
За что в организме человека отвечает поджелудочная железа? Как в диагностике её. МРТ поджелудочной железы: когда она необходима?
Надпочечники — это «фабрика» по производству гормонов. Нарушения в работе надпочечников могут. МРТ надпочечников: кому может понадобиться такая диагностика?
Алгоритм ультразвукового исследования височно-нижнечелюстного сустава у пациентов с окклюзионно-суставными проблемами
Внутренние нарушения височно-нижнечелюстного сустава (ВНЧС) — группа заболеваний, занимающих по распространенности первое место среди патологических процессов ВНЧС. Визуализация и объективная оценка ВНЧС необходимы для определения клинических предполагаемых нарушений структуры и функции сустава [3]. Роль классического рентгенологического исследования ограничена возможностью получения изображения только костных структур.
При традиционных рентгеновских методах исследования диск не обладает контрастностью и не поддается визуализации [6]. Вместе с тем костные изменения ВНЧС, как правило, появляются на поздних стадиях заболеваний, что не позволяет своевременно оценить характер и степень выраженности патологического процесса [1].
Широко используемая в современной клинике рентгеновская компьютерная томография позволяет детально оценить структуру костей, образующих ВНЧС, но чувствительность этого метода в диагностике изменений внутрисуставного диска слишком низка. На сегодняшний день наиболее точное описание положения диска и мягкотканных компонентов сустава обеспечивает магнитно-резонансная томография (МРТ), но этот вид исследования имеет ограниченное применение по ряду причин. [4].
Цель: разработать алгоритм ультразвукового исследования (УЗИ) ВНЧС в клинике ортопедической стоматологии с использованием специального устройства — позиционера ультразвукового датчика для дальнейших исследовательских работ, посвященных оптимизации лечения пациентов с окклюзионно-суставными проблемами.
Материалы и методы
Опираясь на результаты ранее проведенных исследовательских работ, мы попытались использовать полученный опыт для повышения точности измеряемых параметров анатомических элементов ВНЧС у пациентов с окклюзионно-суставными проблемами. С целью более точного воспроизведения выполняемых ультразвуковых сканов, для контроля положения отдельных костных и мягкотканных элементов сустава во время и после ортопедического лечения нами было предложено устройство для позиционирования ультразвукового датчика (патент на изобретение № 2336023).
Оборудование: использовался аппарат УЗИ с линейным датчиком 7,5—14 МГц, устройство для позиционирования ультразвукового датчика.
Методика: средствами УЗИ производилась визуализация головки, мениска, капсулярно-связочного и мышечного аппарата ВНЧС. Выделялись морфологические элементы, производилось определение размерных величин, определялась относительная эхогенность тканей, производилось сравнение аналогичных параметров обоих суставов, оценивалось функционирование сустава и отдельных его элементов в динамике.
Основные положения датчика в ходе исследования ВНЧС:
- Под углом 30—60º к Камперовской горизонтали. Используется при исследовании сустава в положении привычной окклюзии (рис. 1) .
- Вертикальное (под углом 90º к Камперовской горизонтали). Используется для исследования переднего и заднего полюсов суставной головки и определения ширины переднелатерального и заднелатерального отдела суставной щели (рис. 2) .
- Горизонтальное (параллельно Камперовской горизонтали). Используется при изучении латеральной крыловидной мышцы (рис. 3) .
Рис. 1. Положение ультразвукового датчика под углом 30—60º к Камперовской горизонтали
Рис. 2. Вертикальное положение ультразвукового датчика под углом 90º к Камперовской горизонтали
Рис. 3. Горизонтальное положение ультразвукового датчика параллельно Камперовской горизонтали
Алгоритм сонографического изучения височно-нижнечелюстного сустава.
Первичный анализ сонографического изображения сустава: в положении привычной окклюзии достигается наилучшая визуализация элементов сустава путем использования вышеописанных сканов. Сочетание полученных с помощью специального устройства-позиционера индивидуально подобранных углов наклона датчика протоколируется с целью обеспечения возможности сопоставления результатов в ходе повторных исследований сустава при аналогичных положениях датчика. Предлагаемое устройство существенно уменьшает проекционное несоответствие сонограмм, полученных в разное время, а также увеличивает диагностическую ценность метода.
Ход исследования
- В закрыто-ротовом положении:
- Оцениваются размеры и форма суставной головки (полукруглая, уплощенная, неправильной формы); относительная эхогенность верхней границы головки, соответствующей области кортикальной пластинки. Повышенная эхогенность говорит о наличии субхондрального склероза. Неровная граница говорит о наличии остеофитов. Прерывистая граница — о частичном разрушении кортикального слоя (остеоартроз) (рис. 4) .
- Определяются границы и форма суставного диска (овальная, вытянутая, двояковогнутая, неправильной формы). Оценивается сонографическая плотность, определяется толщина в трех измерениях (в переднем отделе, в средней части, в заднем отделе) (рис. 4) .
- Определение положения суставного диска относительно суставной головки: нормальное, смещение кзади, смещение кпереди, латеральное смещение.
- Проводится измерение латерального капсульно-мыщелкового пространства (между капсулой сустава и верхнелатеральной поверхностью головки сустава) (рис. 4) .
- Проводится измерение заднелатерального капсульно-мыщелкового пространства (рис. 5) . На заднелатеральной поверхности головки сустава могут быть видны остеофиты.
- Проводится измерение заднего капсульно-шеечного пространства (рис. 6) . Увеличение этого расстояния до 2,77±0,86 мм говорит о скоплении жидкости в полости сустава.
- Проводится оценка размеров, структуры и эхогенности биламинарной зоны (рис. 6) .
- Проводится измерение переднелатерального отдела суставной щели (рис. 7) .
- Измеряется толщина суставной капсулы.
Рис. 4а. Скан под углом 30—60º к Камперовской горизонтали
Рис. 4б. КЖ — кожа, подкожно-жировая клетчатка, поверхностная мышечно-апоневротическая система. ОКУ — околоушная слюнная железа. ЖМ — жевательная мышца: а — поверхностная часть, б — глубокая часть. Лат. КМ — латеральная крыловидная мышца: а — верхняя головка, б — нижняя головка. Д лат. — латеральный фрагмент суставного диска. Кап. лат. — латеральный фрагмент капсулы. Г в-лат. — верхнелатеральный фрагмент головки мыщелкового отростка. Тень от бугорка мыщелкового отростка. НХК — надкостнично-хрящевой комплекс
Рис. 5а. Фронтальный скан кзади от головки
Рис. 5б. КЖ — кожа, подкожно-жировая клетчатка, поверхностная мышечно-апоневротическая система. ОКУ — околоушная слюнная железа. Д з.-лат. — заднелатеральный фрагмент суставного диска. Кап. з.-лат. — заднелатеральный фрагмент капсулы. КМП з.-лат. — заднелатеральное капсульно-мыщелковое пространство. Г з.-лат. — заднелатеральный фрагмент головки мыщелкового отростка. Бил. з. — биламинарная зона. НЧ зад. К В — задний край ветви нижней челюсти
Рис. 6а. Капсульно-шеечное пространство
Рис. 6б. КЖ — кожа, подкожно-жировая клетчатка, поверхностная мышечно-апоневротическая система. ОКУ — околоушная слюнная железа. Д з.-лат. — заднелатеральный фрагмент суставного диска. Кап. з.-лат. — заднелатеральный фрагмент капсулы. КМП з.-лат. — заднелатеральное капсульно-мыщелковое пространство. Г з.-лат. — заднелатеральный фрагмент головки мыщелкового отростка. Бил. з. — биламинарная зона. НЧ зад. К В — задний край ветви нижней челюсти
Рис. 7а. Фронтальный скан кпереди от головки
Рис. 7б. КЖ — кожа, подкожно-жировая клетчатка, поверхностная мышечно-апоневротическая система. ОКУ — околоушная слюнная железа. Д пер.-лат. — переднелатеральный фрагмент суставного диска. Кап. пер.-лат. — переднелатеральный фрагмент капсулы. Пер-лат. КМП — переднелатеральное капсульно-мыщелковое пространство. Г пер.-лат. — переднелатеральный фрагмент головки мыщелкового отростка. Сух. ЛКМ (а и б) — сухожилия латерально крыловидной мышцы. Выр. дорс. К — дорсальный край вырезки нижней челюсти
- В положении максимально открытого рта:
- Оценивается положение головки в этой фазе относительно вершины суставного бугорка (не доходя вершины, на вершине, за вершиной) (рис. 8) .
- Положение суставного диска относительно головки (над диском, перед диском, за диском).
Рис. 8а. Траектория движения головки
Рис. 8б. КЖ — кожа, подкожно-жировая клетчатка, поверхностная мышечно-апоневротическая система. ОКУ — околоушная слюнная железа. ЖМ — жевательная мышца: а — поверхностная часть, б — глубокая часть. Лат. КМ — латеральная крыловидная мышца: а — верхняя головка, б — нижняя головка. Д лат. — латеральный фрагмент суставного диска. Кап. лат. — латеральный фрагмент капсулы. КМП лат. — латеральное капсульно-мыщелковое пространство. Г в.-лат. — верхнелатеральный фрагмент головки мыщелкового отростка. Стрелка повторяет траекторию движения головки мыщелкового отростка при открывании рта
- Анализ сонограммы в фазах открывания и закрывания рта:
- Наличие реципрокного щелчка и локализация места его возникновения (в пределах, за пределами суставной ямки).
- Амплитуда подвижности головки (рис. 8) .
- Измерение толщины латеральной крыловидной мышцы (рис. 9) .
Рис. 9а. Латеральная крыловидная мышца
Рис. 9б. КЖ — кожа, подкожно-жировая клетчатка, поверхностная мышечно-апоневротическая система. ОКУ — околоушная слюнная железа. ЖМ — жевательная мышца: а — поверхностная часть, б — глубокая часть. Лат. КМ — латеральная крыловидная мышца: а — верхняя головка, б — нижняя головка. Сух. верх. гол. ЛКМ — сухожилие верхней головки латеральной крыловидной мышцы. Сух. ниж. гол. ЛКМ — сухожилие нижней головки латеральной крыловидной мышцы
Визуализируются суставной и венечный отростки, латеральная крыловидная мышца. Измеряется поперечный размер латеральной крыловидной мышцы в наиболее широкой части.
- Оценка симметричности визуализируемых элементов сустава с обеих сторон.
В ходе исследования суставов определяется наличие или отсутствие признаков патологических изменений, в частности, внутренних нарушений ВНЧС. Диагноз ставится на основании анализа жалоб пациента, данных анамнеза, объективных и дополнительных методов исследования. В случае необходимости проводится дополнительные рентгенологические методы обследования или МРТ.
Вывод
Согласно полученным нами данным наблюдений в динамике, алгоритм ультразвукового исследования ВНЧС значительно оптимизирует лечение пациентов с окклюзионно-суставными проблемами по сравнению с другими методами:
- Отсутствие противопоказаний к использованию, в том числе многократному использованию.
- Исключение лучевой нагрузки.
- Высокая информативность результатов исследований в статике и динамике.
- Доступность в каждом лечебном учреждении.
- Более комфортный для пациента.
- Буланова Т. В. Магнитно-резонансная томография в диагностике изменений височно-нижнечелюстного сустава // Маэстро стоматологии. — 2003, № 4. — С. 39—46.
- Возможности ультразвукового исследования в контроле эффективности лечения подвывиха суставного диска височно-нижнечелюстного сустава / В. В. Бекреев, М. Е. Квиринг, С. А. Рабинович // Клиническая стоматология. — 2008, № 3. — С. 54—57.
- Опыт ультразвуковой диагностики функциональных нарушений височно-нижнечелюстного сустава у детей / В. А. Фанакин, М. Е. Дубровина, О. И. Филимонова // Уральский медицинский журнал. — 2010, № 8. — С. 49—51.
Возможности дентальной объемной томографии в диагностике заболеваний и повреждений височно-нижнечелюстного сустава
Симптомы заболеваний височно-нижнечелюстного сустава (ВНЧС) встречаются у 25-50 % населения и являются одной из наиболее частых причин обращения пациентов в стоматологические клиники (П. И. Ивасенко, М. И. Мискевич, Р. К. Савченко, Р. В. Симахов, 2007). Распространенность заболеваний височно-нижнечелюстных суставов (ВНЧС), по данным различных авторов (Е. А. Булычева, 2007; И. В. Потапов, 2008; Р. А. Фадеев, 2010), в последнее время неуклонно возрастает.
Это связано со сложностью клинической картины, нередко напоминающей симптомы неврологических и лор-заболеваний. Другим фактором, диктующим необходимость дальнейшего изучения патологии данной локализации, является высокая функциональная значимость височно-нижнечелюстного сочленения. Даже одностороннее повреждение ВНЧС, приводя к нарушению движения нижней челюсти, препятствует процессам жевания и речеобразования, выполнению медицинских манипуляций в полости рта (стоматологических, лор), проведению интубационного наркоза и т. д.
Очень важно, что заболевания ВНЧС развиваются довольно рано, часто в детском возрасте, при этом они причиняют больному ряд неудобств, а иногда физические страдания. Структурные изменения, происходящие в суставах, рассматриваются большинством авторов как вторичные, обусловленные мышечной дисгармонией. Височно-нижнечелюстные суставы — парные и представляют собой единую биологическую кинематическую систему.
Они построены симметрично по отношению друг к другу и связаны непарной нижней челюстью, поэтому движения в обоих суставах осуществляются синхронно. Повреждение или заболевание одного из суставов создает дополнительную функциональную нагрузку на другой сустав, что в конечном итоге приводит к перегрузке здорового сустава и развитию в нем патологических изменений. Кроме того, известно, что адаптационная способность к окклюзионным нарушениям у различных пациентов значительно варьируется.
Одни пациенты совершенно безболезненно адаптируются к выраженным нарушениям окклюзии, у других больных появляются серьезные симптомы мышечно-суставной дисфункции даже при незначительных расстройствах окклюзии (рис. 1). С проблемой диагностики и лечения различных заболеваний и повреждений височно-нижнечелюстного сустава в своей амбулаторной клинической практике постоянно сталкиваются врачи-стоматологи всех специальностей.
Рис. 1. Функциональное рентгенологическое исследование ВНЧС с открытым и закрытым ртом. Окклюзионно-артикуляционные нарушения, подвывих ВНЧС с двух сторон.
В настоящее время врачи-стоматологи, челюстно-лицевые хирурги и лор-врачи имеют возможность получать цифровое трехмерное изображение зубочелюстной системы и челюстно-лицевой области в процессе диагностического обследования благодаря совершенно новому аппарату — дентальному объемному томографу (рис. 2).
Рис. 2. Выполнение цифровой объемной томографии зоны правого ВНЧС на прицельном аппарате 3ДКТ фирмы Morita.
Инновационный метод лучевой диагностики — дентальная объемная томография (3ДКТ) на аппаратах типа 3 DX Accuitomo (Morita, Япония), GALILEOS ( Sirona , Германия), Picasso Pro ( Vatech , E — WOO , Южная Корея), PROMAX 3 D ( PLANMECA , Финляндия) — нашел широкое применение при выявлении различных заболеваний зубочелюстной системы, челюстно-лицевой области, верхнечелюстных, околоносовых пазух и височно-нижнечелюстных суставов во многих лечебных учреждениях России. С конца 2005 года по настоящее время на дентальных компьютерных томографах в клиниках, амбулаторно-поликлинических комплексах и диагностических центрах ГК «МЕДИ» прошли обследование более 15 500 пациентов различного возраста с заболеваниями и повреждениями зубочелюстной системы, челюстно-лицевой области, височно-нижнечелюстных суставов и верхнечелюстных пазух (рис. 11, 13, 17).
Рис. 11. Внешний вид цифрового объемного томографа фирмы Vatech, E-WOO. Рис. 13а. Ортопантомограмма ВНЧС с открытым и закрытым ртом, окклюзионно-артикуляционные нарушения, деформирующий артрозоартрит правого ВНЧС. Рис. 13б. Функциональное рентгенологическое исследование ВНЧС с открытым и закрытым ртом, окклюзионно-артикуляционные нарушения, деформирующий артрозоартрит правого ВНЧС. 
Рис. 17. 3ДКТ левого ВНЧС. Трехмерная объемная реконструкция левого ВНЧС. Оскольчатый перелом со смещением суставного отростка левого ВНЧС. 
Современные методы лучевой диагностики у пациентов в различных разделах стоматологии применяются с целью сокращения дозовых нагрузок и сроков обследования населения, назначения рационального плана и повышения качества лечения стоматологических заболеваний, наблюдения в динамике течения патологических процессов периодонта, пародонта и альвеолярных отростков челюстей. При обследовании на цифровом объемном томографе (3ДКТ) эффективная доза одного исследования минимальна: она составляет 30-42 мкЗв, для пациентов детского возраста — 11 мкЗв.
Большую диагностическую информацию дает данное трехмерное КТ-исследование (3ДКТ) при изучении височно-нижнечелюстных суставов (ВНЧС), в том числе в детском возрасте. В отличие от традиционных рентгеновских снимков по Шюллеру, трехмерная дентальная компьютерная томография позволяет определить патологию костной ткани на ранних стадиях.
Это обеспечивается не только визуальными и метрическими исследованиями суставных структур в трех взаимно перпендикулярных плоскостях с «пошаговым срезом» от 0,125 до 1,0 мм, но также возможностью суммирования трехмерной информации с представлением объемного изображения изучаемой области (рис. 3, 4).
Рис. 3. 3ДКТ левого ВНЧС (вариант нормы). Рис. 4а. Трехмерные объемные реконструкции левого ВНЧС. Рис. 4б. Трехмерные объемные реконструкции левого ВНЧС. 
Дентальная объемная томография дает возможность получить важнейшие показатели качественной и количественной оценки анатомических структур ВНЧС: форму суставной впадины, ее ширину, глубину и выраженность суставного бугорка, форму суставной головки и величину рентгеновской суставной щели между головкой и впадиной в ее переднем, среднем и заднем отделах (в трех проекциях) (рис. 6).
Рис. 6а. 3ДКТ ВНЧС с двух сторон, деформирующий артрозоартрит левого ВНЧС. Рис. 6б. 3ДКТ ВНЧС с двух сторон, деформирующий артрозоартрит левого ВНЧС. 
На основании анализа клинического материла нами разработаны алгоритмы рентгенологического обследования и методика выполнения исследования ВНЧС на дентальном объемном томографе. Обычно мы дополняли выполнение трехмерной дентальной компьютерной томографии ВНЧС с закрытым ртом (в состоянии окклюзии) функциональным исследованием ВНЧС, производимым на ортопантомографе, — зонография ВНЧС в боковой проекции в привычной окклюзии и при широко открытом рте пациента; в процессе лечения производили по показаниям зонограммы ВНЧС в боковой проекции в привычной окклюзии и с капой; ортопантомограммы до и после лечения (рис. 5).
Рис. 5а. Функциональное рентгенологическое исследование ВНЧС с открытым и закрытым ртом. Рис. 5б. 3ДКТ ВНЧС с двух сторон, окклюзионно-артикуляционные нарушения в зоне левого ВНЧС. Рис. 5в. 3ДКТ ВНЧС с двух сторон, окклюзионно-артикуляционные нарушения в зоне левого ВНЧС. 
При физиологической окклюзии суставные головки располагаются обычно в середине суставной впадины. При аномалиях окклюзии наблюдаются три основных положения суставных головок: они могут находиться в середине суставных ямок, смещены назад и вверх или вперед и вниз. Целью челюстно-лицевой ортопедии является реабилитация больных с дефектами зубочелюстной системы.
Наиболее характерными симптомами деформирующего артроза, которые выявляются на трехмерной дентальной КТ, являются сужение рентгеновской суставной щели, склероз и повышение интенсивности кортикальных замыкательных пластинок головки и заднего ската суставного бугорка. Нарушается функция сустава — экскурсия головки ограничена, реже возникают вправляющиеся вывихи и подвывихи. При деформирующем артрозе происходят изменение формы головки и суставного бугорка, уплощение, стирание головки по высоте, остроконечная, булавовидная деформация и образование экзофитов, уплощение или экзофитные образования на бугорке; все перечисленные рентгеновские признаки отчетливо визуализируются на трехмерном дентальном КТ ВНЧС с двух сторон при закрытом рте (рис. 7, 8).
Рис. 7а. 3ДКТ ВНЧС с двух сторон, деформирующий артрозоартрит правого ВНЧС. Рис. 7б. 3ДКТ ВНЧС с двух сторон, деформирующий артрозоартрит правого ВНЧС. Рис. 8а. 3ДКТ ВНЧС с двух сторон, ревматоидный артрозоартрит левого ВНЧС (асептический некроз суставной головки). 
Рис. 8б. 3ДКТ ВНЧС с двух сторон, ревматоидный артрозоартрит левого ВНЧС (асептический некроз суставной головки). 
Только магнитно-резонансная томография и ультрасонография позволяют визуализировать мягкотканные элементы ВНЧС и жевательные мышцы. При всех заболеваниях и функциональных нарушениях ВНЧС рентгенологическому исследованию должны подвергаться обязательно оба сочленения в разные фазы движения нижней челюсти. При этом рентгенологическое исследование пациентов начинается с выполнения ортопантомограммы и функционального исследования ВНЧС — зонограммы в боковой проекции в привычной окклюзии и при широко открытом рте пациента.
В дальнейшем определение алгоритма обследования и лечения пациентов детского и взрослого возраста в стоматологической клинике зависит от характера заболеваний и нарушений ВНЧС. При заболеваниях, связанных с поражением костных структур у пациентов любого возраста, мы рекомендуем выполнение трехмерной дентальной компьютерной томографии ВНЧС (с закрытым ртом, в состоянии привычной окклюзии). Применение диагностического алгоритма в каждом конкретном клиническом случае позволяет выбрать оптимальный метод лучевой диагностики, который сможет обеспечить получение достоверной информации и снизить вероятность диагностических ошибок (рис. 9, 10).
Рис. 9а. 3ДКТ ВНЧС с двух сторон, перелом суставного отростка со смещением суставной головки ВНЧС с двух сторон. Рис. 9б. 3ДКТ ВНЧС с двух сторон, перелом суставного отростка со смещением суставной головки ВНЧС с двух сторон. Рис. 10. 3ДКТ правого ВНЧС, хондроматоз (обызвествление) мягких тканей области правого ВНЧС. 
Алгоритмы обследования пациентов (любого профиля) в амбулаторной стоматологической клинике
Панорамная рентгенография всего зубного ряда (ортопантомограмма) всем первичным пациентам и в динамике после проведенного лечения (1 раз в два года).
2. Цифровая прицельная рентгенография зубов на радиовизиографе в стоматологических клиниках.
3. Трехмерная дентальная компьютерная томография (по назначению врача-стоматолога по клиническим показаниям по любой специальности):
верхнечелюстных и околоносовых пазух;
Трехмерная дентальная компьютерная томография височно-нижнечелюстных суставов выполняется при закрытом рте пациента (в состоянии привычной окклюзии); для оценки и интерпретации томограмм необходимо дополнять данное 3ДКТ-исследование ВНЧС функциональным рентгенологическим исследованием височно-нижнечелюстных суставов с открытым и закрытым ртом (выполняется на ортопантомографе).
Таким образом, применение широкого спектра различных методов лучевой диагностики позволяет своевременно и с минимальной лучевой нагрузкой на пациента детского и взрослого возраста определить диагноз, составить план лечения и проследить в динамике течение стоматологических заболеваний и повреждений зубочелюстной системы, челюстно-лицевой области и ВНЧС (рис. 12, 14, 15).
Рис. 14а. 3ДКТ зубочелюстной системы и челюстно-лицевой области в состоянии центральной окклюзии, трехмерные объемные реконструкции, окклюзионно-артикуляционные нарушения, деформирующий артрозоартрит правого ВНЧС. Рис. 14б. 3ДКТ зубочелюстной системы и челюстно-лицевой области в состоянии центральной окклюзии, трехмерные объемные реконструкции, окклюзионно-артикуляционные нарушения, деформирующий артрозоартрит правого ВНЧС. Рис. 14в. 3ДКТ зубочелюстной системы и челюстно-лицевой области в состоянии центральной окклюзии, трехмерные объемные реконструкции, окклюзионно-артикуляционные нарушения, деформирующий артрозоартрит правого ВНЧС. 
Рис. 14г. 3ДКТ зубочелюстной системы и челюстно-лицевой области в состоянии центральной окклюзии, трехмерные объемные реконструкции, окклюзионно-артикуляционные нарушения, деформирующий артрозоартрит правого ВНЧС. 
Рис. 14а. 3ДКТ зубочелюстной системы и челюстно-лицевой области в состоянии центральной окклюзии, трехмерные объемные реконструкции, окклюзионно-артикуляционные нарушения, деформирующий артрозоартрит правого ВНЧС. Рис. 14б. 3ДКТ зубочелюстной системы и челюстно-лицевой области в состоянии центральной окклюзии, трехмерные объемные реконструкции, окклюзионно-артикуляционные нарушения, деформирующий артрозоартрит правого ВНЧС. Рис. 14в. 3ДКТ зубочелюстной системы и челюстно-лицевой области в состоянии центральной окклюзии, трехмерные объемные реконструкции, окклюзионно-артикуляционные нарушения, деформирующий артрозоартрит правого ВНЧС. 
Рис. 14г. 3ДКТ зубочелюстной системы и челюстно-лицевой области в состоянии центральной окклюзии, трехмерные объемные реконструкции, окклюзионно-артикуляционные нарушения, деформирующий артрозоартрит правого ВНЧС. Рис. 15а. а. Ортопантомограмма; аномалия развития суставного и венечного отростков нижней челюсти с двух сторон. Рис. 15б. 3ДКТ зубочелюстной системы и челюстно-лицевой области (с прикусником), реконструкция по типу ортопантомограммы, трехмерные объемные реконструкции, аномалия развития суставного и венечного отростков нижней челюсти с двух сторон. 
Рис. 15в. 3ДКТ зубочелюстной системы и челюстно-лицевой области (с прикусником), реконструкция по типу ортопантомограммы, трехмерные объемные реконструкции, аномалия развития суставного и венечного отростков нижней челюсти с двух сторон. 
Заболевания височно-нижнечелюстного сустава составляют значительный процент от патологий зубочелюстной системы и представляют определенные трудности как на этапах диагностики, так и при проведении лечения. Заболевания височно-нижнечелюстного сустава начинаются с функциональных нарушений, диагностика которых с использованием общепринятых рентгенологических методов в некоторых случаях бывает затруднена. Методика цифровой объемной томографии (3ДКТ), проводимой при помощи различных видов прицельных и панорамных дентальных объемных томографов, значительно расширяет возможности лучевой диагностики в стоматологии, челюстно-лицевой хирургии и гнатологии.
Большую диагностическую информацию дает данное трехмерное КТ-исследование при изучении височно-нижнечелюстных суставов (ВНЧС). Нами обследовано более 370 пациентов с различными заболеваниями и повреждениями височно-нижнечелюстных суставов. Трехмерная дентальная компьютерная томография позволяет определить патологию костной ткани на ранних стадиях, выполнить визуальные и метрические исследования суставных структур в трех взаимно перпендикулярных плоскостях, провести линейные и угловые измерения, использовать денситометрию в условных единицах для оценки костной и мягкотканной плотности; также имеется возможность суммирования трехмерной информации с предоставлением объемного изображения изучаемой области (вращение и развороты на 90, 180, 360 ° ) (рис. 17).
Рис. 17. 3ДКТ левого ВНЧС. Трехмерная объемная реконструкция левого ВНЧС. Оскольчатый перелом со смещением суставного отростка левого ВНЧС.
Исследования на дентальном компьютерном томографе позволяют не только получить информацию о строении зубочелюстной системы, но и оценить состояние ВНЧС, костных и мягкотканных структур полости носа, верхнечелюстных и околоносовых пазух, клеток решетчатого лабиринта (рис. 16). В настоящее время по данным дентальной объемной томографии определены нормальные показатели анатомического строения ВНЧС у женщин и мужчин.
Рис. 16. Выполнение цифровой объемной томографии зубочелюстной системы и челюстно-лицевой области на аппарате 3ДКТ фирмы Planmeca.
Таким образом, дентальный объемный томограф является универсальным диагностическим аппаратом нового поколения с огромным потенциалом использования в различных областях стоматологии, челюстно-лицевой хирургии и оториноларингологии. При этом трехмерный дентальный компьютерный томограф — мощный инструмент, открывающий новую эпоху в дифференциальной диагностике патологических процессов челюстно-лицевой области, зубочелюстной системы и височно-нижнечелюстных суставов.
Читайте также:
