Тактика при переломе соединяющих элементов мостовидных протезов. Рекомендации
Добавил пользователь Евгений Кузнецов Обновлено: 21.11.2025
1 ГБОУ ВПО "Нижегородская Государственная Медицинская Академия" Министерства здравоохранения Российской Федерации
В настоящее время частичная потеря зубов - самое распространенное стоматологическое заболевание, при котором на разных стадиях чаще всего применяются небольшие металлокерамические мостовидные протезы. Конструкции зависят от клинической картины: протяженности дефекта, состояния опорных и антагонирующих зубов, степени атрофии костной ткани в области отсутствующих зубов. В ходе исследования проведено изучение распределения напряженно-деформированного состояния в элементах металлокерамического мостовидного протеза (керамическая облицовка, металлический каркас, слой фиксирующего цемента) без дистальной опоры с одним искусственным зубом, а также в тканях препарированного опорного зуба, его периодонте и окружающей десне. Биомеханическое исследование посвящено сравнительному анализу влияния крепления зубного протеза на интенсивность напряжений как в самом протезе, так и его опорных тканях. Для сравнения и анализа работы системы «челюсть-зубы-протез» использовались две величины: интенсивность напряжений (или напряжение по Мизесу), характеризующее энергию изменения формы, и среднее (или гидростатическое) напряжение. Для оценки напряженного состояния хрупких сред, таких как цемент или керамика, применялся критерий максимальных растягивающих напряжений. Полученные данные свидетельствуют о неравномерном распределении напряжений и существенной функциональной перегрузке опорного зуба.

1. Арутюнов С.Д., ЕрошинВ.А., ПеревезенцеваА.А. Критерии прочности и долговременности временных несъемных зубных протезов // Институт стоматологии. - 2010. - №4. - С. 84-85.
2. Воложин А.И., Маркин В.А. Использование математической модели взаимодействия зубов и опорных тканей челюсти при протезировании металлокерамическими протезами // Труды 5-го съезда Стоматологической Ассоциации России.- Москва. - 1999.- С. 303-306.
3. Гажва С.И., Пашинян О.А. Анализ ошибок и осложнений при протезировании с применением несъемных ортопедических конструкций // Стоматология. - 2010. - Т. 89, №2. - С. 65-69.
4. Жулев Е.Н., Курякина Н.В., Митин Н.В. Ортопедическая стоматология. Фантомный курс: Учебник / Под ред. Е.Н.Жулева. - М.: ООО «Медицинское информационное агентство», 2011. - С. 720
5.Жулев Е.Н. Ортопедическая стоматология: Учебник. - М.: ООО «Медицинское информационное агентство», 2012. -С. 834
7. Коэн Майкл. Междисциплинарное планирование стоматологического лечения. Принципы, цели, практическое применение - ООО "Азбука стоматолога, 2012. -С. 327
Как известно, частичная потеря зубов является одним из наиболее распространенных стоматологических заболеваний. При частичной потере зубов включенные дефекты формируются в первую очередь в боковых отделах зубных рядов [4, 5].Клиническая картина у пациентов с включенными дефектами зубных рядов, обусловленных утратой части жевательных зубов, достаточно многообразна и зависит от многих факторов. Основными из них можно назвать следующие: количество утраченных зубов, вид прикуса, состояние твердых тканей и пародонта сохранившихся зубов, давность удаления зубов и т.д.[2, 5].
Для замещения дефектов зубных рядов небольшой протяженности особенно часто используют мостовидные протезы. Это обусловлено, во-первых, нежеланием большинства пациентов прибегать к съемным протезам, а во-вторых, высокой стоимостью протезирования на имплантатах.В настоящее время в клинике ортопедической стоматологии широко применяются металлокерамические мостовидные протезы, которые обладают хорошими эстетическими свойствами и достаточно высокой механической прочностью.Однако успех протезирования металлокерамическими протезами будет обеспечен при условии их правильного планирования и конструирования. При несоблюдении этих условий возникает ряд осложнений. Чаще всего это проявляется в возникновении трещин или сколов керамической облицовки, наблюдаются переломы металлического каркаса, которые служат поводом для снятия и переделки протезов [1,2, 7].
Выбор оптимальной конструкции мостовидного протеза во многом зависит от знания биомеханических основ распределения нагрузки при том или ином варианте его конструирования.Изучение вопросов эффективности ортопедического лечения дефектов зубного ряда и долговременности функционирования зубных рядов связано с необходимостью получения дополнительной объективной информации об исследуемой протезной конструкции и ее взаимодействиях с биологическими тканями зубочелюстной системы. Для решения проблем биомеханики, возникающих в ортопедической стоматологии, применяют методы математического моделирования, использующие возможности современной вычислительной техники [1, 3, 6, 7]. По данным Ряховского А.Н. особое место занимает метод математического моделирования,позволяющий построить и проанализировать биомеханические свойства протезных конструкций. Современное развитие вычислительной техники и методов создания математических моделей позволяет с большой точностью воспроизвести свойства биопрототипа. Это дает возможность моделировать и исследовать биомеханику зубных протезов в различных клинических ситуациях
Однако до настоящего времени остались нерешенными некоторые вопросы, связанные с применением несъемных протезов без дистальной опоры (консольные мостовидные протезы). Имеющиеся единичные публикации, посвященные данной проблеме, не позволяют определить врачебную тактику при ортопедическом лечении частичной потери зубов. Мостовидные протезы с односторонней опорой довольно часто используются для замещения небольших по протяженности дефектов зубного ряда, однако при неправильном их конструировании и несоблюдении принципов биомеханики приводят к функциональной перегрузке пародонта опорного зуба. Таким образом, недостаточное теоретическое освещение вопроса конструирования металлокерамических мостовидных протезов с односторонней опорой и отсутствие единой концепции их практического применения обусловило актуальность данного исследования.
Цель исследования: изучение интенсивности напряжений в металлокерамическом мостовидном протезе с односторонней опорой на один зуб.
Материалы и методы
Для достижения поставленной цели нами использовался метод математического моделирования и проводилось построение математической модели мостовидного протеза с односторонней опорой на один зуб. В качестве медиальной опоры был выбран первый премоляр, дистальная опора отсутствовала, а промежуточная часть была сконструирована по форме, аналогичной по форме и размерам второму премоляру. Построение расчетной конечно-элементной модели включало в себя следующие этапы:выбор и обоснование расчетной схемы;задание физических свойств сред;построение геометрической модели;создание конечно элементной сетки;задание граничных условий: условий закрепления, силовых воздействий.Математическая модель включала в себя челюстную кость, опорные зубы, периодонт и конструкцию протеза. Модель была выполнена геометрически подобной реальной системе. Физические свойства материалов и тканей, задаваемые в математической модели, приведены в таблице 1и были взяты из справочной литературы.
Виды починок съемных пластмассовых протезов
Съемные пластмассовые протезы имеют свойство ломаться. Происходит это из-за неаккуратного их использования пациентами или же по банальной случайности (выскальзывание из рук, например).Поломки протезов подразделяются на 3 группы, каждой починкой занимается зубной техник.
- линейный перелом: раскол пластмассового протеза на две части;
- выпадение искусственного зуба из протеза или удаление собственного зуба пациента;
- перелом кламмера (металлического крючка) в протезе.
Линейный перелом

Для того чтобы сделать починку протеза, зубной техник склеивает две его части супер клеем, замешивает гипс и изготавливает гипсовую модель по протезу. После кристаллизации гипса, протез снимается с модели, вновь раскрывается на две части, с протеза убирается толстый слой пластмассы по линии перелома. С помощью электромотора и диска на двух частях протеза делаются надрезы в виде елочки, и они вновь помещаются на гипсовую модель. Разводится пластмасса холодной полимеризации, после ее созревания она накладывается по линии перелома и разравнивается по толщине протеза. Модель помещается на 10-15 минут в холодную воду для окончания полимеризации пластмассы. По истечении времени внешняя и внутренняя поверхности протеза шлифуется с помощью фрез и полируется резинками и фильцей.
Выпадение искусственного зуба из протеза

Стоматолог-ортопед снимает слепок из полости рта пациента вместе с протезом и отдает в зуботехническую лабораторию. Зубной техник изготавливает по слепку гипсовую модель, на которой уже помещен пластмассовый протез. Его края при помощи фрезы немного шлифуются. По цвету и размеру подбирается искусственный зуб, разводится пластмасса, в нужной части ее созревания она накладывается на модель в область отсутствующего элемента. На тестообразную консистенцию ставится зуб, все края сглаживаются, протез помещается на 10-15 минут в холодную воду для полимеризации пластмассы. Спустя время, зубной техник обрабатывает и полирует место починки.
Перелом кламмера (металлического крючка)
В стоматологическом кабинете врач снимает с полости рта пациента слепок вместе с протезом и направляет его к зубному технику в лабораторию. Отливается гипсовая модель вместе с протезом. Техник удаляет сломанный кламмер из внутренней части протеза и сгибает новый по опорному зубу. После полимеризации пластмассы, она накладывается сначала на место выпиленного крючка, затем с внешней стороны протеза. Спустя небольшой промежуток времени, излишки пластмассы убираются фрезой на электромоторе, место починки обрабатывается и полируется, если это необходимо.
Перебазировка протеза

Существует еще один вид починки протеза под названием перебазировка. Она требуется, когда с момента изготовления протеза прошло свыше года-двух или при очень плохих условиях пациента во рту (при сильной атрофии альвеолярного отростка).
Перебазировка протеза производится двумя способами:
- непосредственно во рту пациента в стоматологическом кабинете;
- по протезу в зуботехнической лаборатории.
В первом случае стоматолог-ортопед накладывает специальную пластмассу на внутреннюю часть протеза и тут же прижимает его к полости рта пациента. Излишки пластмассы с внешней части протеза убираются, его края сглаживаются резинками. Перебазировка готова.
Вариант перебазировки протеза в лабораторных условиях занимает немного больше времени. Зубной техник по протезу пациента изготавливает гипсовую модель, покрывает ее изолирующим лаком, накладывает на внутреннюю часть протеза разведенную пластмассу холодной полимеризации и одевает протез на модель, прижимая его. После положенного срока полимеризации пластмассы ее излишки убираются, края протеза разглаживаются при помощи резинок и полируются фильцами. Работа передается стоматологу-ортопеду для ее припасовки в полость рта пациента.
Составные мостовидные протезы
Выбор методики стоматологической реставрации, как правило, обуславливается клиническими показаниями. В ортопедической практике нередко встречаются ситуации, когда опорные единицы, необходимые для установки мостовидных протезирующих конструкций, располагаются со значительным медиально-дистальным уклоном. В зависимости от стороны наклона, подобная ситуация может характеризоваться как конвергенция (отклонение к дефекту) или дивергенция (от него). Решить проблему позволяет использование составного протеза мостовидного типа.
Общее представление
Дивергенция и конвергенция опорных элементов - факторы, ограничивающие возможность установки классических протезов типа «мост». Проблема обуславливается дифференцированным положением единиц - устранить расхождение путем обычного препарирования невозможно, так как объем ткани, требующей удаления, слишком велик, и может привести к вскрытию камеры пульпы. Составные мостовидные протезы - модель, предусматривающая наличие специального сочленения, благодаря которому разместить систему можно даже на единицах, расположенных под углом друг к другу.
В качестве материала для изготовления подобных конструкций используется металл. Структура включает в себя несколько элементов:
- Промежуточную окклюзионную накладку, располагаемую над областью адентии;
- Устройства для фиксации, размещаемые на опорных единицах;
- Соединительный механизм, объединяющий элементы конструкции в систему.
Показания и противопоказания
Главным фактором, обуславливающим необходимость установки мостовидного протеза, является отсутствие нескольких элементов зубного ряда. Составные модели используются для замещения до 4-х фронтальных или до 3-х жевательных единиц - в ситуациях, когда взаимное расположение опорных зубов отличается на 20 и более градусов.
К числу медицинских противопоказаний, ограничивающих возможность применения методики, относятся те же факторы, что и при установке стандартных моделей:
- Увеличенная протяженность области адентии;
- Наличие системных патологий организма, запрещающих хирургическое вмешательство.
Кроме того, при оценке возможности установки учитываются:
- Соотношение длины корня и коронки опорных элементов (должно быть не менее 2:1);
- Наличие единиц, не подвергшихся депульпированию;
- Малые габариты или толщина стенки, ограничивающие возможность препарирования;
- Разный функционал элементов, располагающихся на опорных участках.
Итоговое решение принимается после комплексного обследования.
Конструктивные особенности
Специфика составных протезов заключается в наличии соединительного элемента, объединяющего две части, устанавливаемые в разном положении. Выделяют несколько разновидностей сочленения:
- Пазовое, предусматривающее наличие выступа и выемки на элементах;
- С использованием штифтов-фиксаторов, соединяющих части протеза;
- Кламмерное - с установкой опорных элементов на телескопическую коронку;
- С размещением внутренних коронок, выступающих базой для внешней части.
Несмотря на различный технический подход к конструированию, цель подобных устройств остается неизменной, и сводится к созданию параллельно установленной конструкции.
Методики изготовления
Для реставрации зубного ряда с использованием составных протезов мостовидного типа применяются такие методики, как:
- Разработка, созданная Ю.К. Курочкиным, основанная на использовании сочетания коронки и кламмера. При установке коронки на отклоненную единицу предусматривается наличие вертикальных пазов, параллельных положению второго зуба. Кламмер соединяется со средней частью, тогда как по другую сторону накладки располагается телескопическая коронка.
- Соединение элементов у опорной единицы. В этом случае применяются фиксаторы, одним из которых служит часть коронки, а вторым - соединительный элемент протеза. Конструкция закрепляется при помощи штифта.
- Моделирование внутренней коронки телескопического типа, дополняющей мостовидный протез, и обеспечивающей параллельную установку системы.
- Соединение элементов в срединной части конструкции - вариант, схожий со второй методикой, отличием которого является выбор места фиксации. Рекомендован при выявлении наклона обоих опорных элементов, однако осложняется выбором покрытия для области сочленения - как правило, для повышения прочности используются составы композитного или фотополимерного типа.
Преимущества
Реставрация обеспечивает ряд преимуществ, к числу которых относятся:
- Восстановление эстетики и функциональности челюстного отдела;
- Сокращенный период адаптации, не превышающий 7-10 дней;
- Комфорт ношения (в сравнении с иными съемными моделями);
- Прочность и надежность системы в эксплуатации;
- Доступная стоимость изготовления.
К числу недостатков относят потребность в наличии опорных элементов, препарирование, а также ограниченное распределение жевательной нагрузки.
Мостовидные протезы: виды коронок на зубы в ортопедической стоматологии с фото

Мостовидный зубной протез — это ортопедическая конструкция, которая используется для восстановления целостности рядов и замещения отсутствующих единиц. Технология успешно применяется в стоматологии десятки лет, поскольку позволяет вернуть эстетическую привлекательность улыбке и восстановить полноценное функционирование резцов, клыков и моляров. Изделия разных типов имеют свои особенности, преимущества и недостатки.
Мост на зубы: общие характеристики
С помощью протезирования решается ряд визуальных и функциональных стоматологических проблем. Название для установки выбрано не случайно, ведь принцип устройства напоминает инженерные сооружения. Искусственные коронки держатся на основе, а соседние неповрежденные резцы, клыки и моляры выступают в качестве опорных элементов.
Выбор подходящего типа конструкции зависит не только от финансовых возможностей и личных предпочтений пациента, но и от его анамнеза. Именно поэтому полноценное восстановление невозможно без тщательной диагностики, врачебного осмотра и подгонки готовой системы, созданной по слепкам, под нужные параметры.

Виды зубных мостовидных протезов
В современных стоматологических клиниках предлагают множество вариантов восстановления утраченных единиц с помощью протезирования мостами. Они отличаются по разным критериям:
- по способу изготовления - цельнолитые, адгезивные, штампованные, прессованные, комбинированные;
- по материалу - металлические, металлокерамические, керамические, пластиковые, из диоксида циркония и оксида алюминия;
- по методу крепления - замковые, адгезивные, на здоровых зубах, на имплантах.
Существует классификация и по назначению. Например, искусственные протезы бывают восстановительными, шинирующими, временными и постоянными.
Технология изготовления
Главным критерием выбора является количество времени, затраченного на создание конструкции по индивидуальным меркам конкретного пациента. Можно выделить 3 основные группы:
- Цельнолитые. Идеально прилегают к твердым и мягким тканям, герметичны. Таким образом возможно воспроизвести естественную форму с высокой точностью. Они прочны и долговечны. К минусам можно отнести необходимость шлифовки здоровых зубов, а также применение высокоточного литья и дороговизну производства.
- Адгезивные. Моделирование происходит непосредственно в ротовой полости. Это щадящая альтернатива предыдущему методу, когда отсутствует только один элемент. Шлифовать прилегающие коронки не нужно, пластинки приклеиваются к ним на специальный цементный состав.
- Штампованные. Устаревший вариант, от которого отказывается большинство врачей, потому что изделие много весит и нередко приводит к травмированию опор.

Материал для изготовления
От типа сырья, из которого изготавливаются изделия, зависит их долговечность, практичность и уход. В современных клиниках представлено множество вариантов на любой вкус и кошелек. Виды мостовидных протезов и их особенности (фото представлены в статье):
- Металлические. Активно использовались десятки лет назад, отливались из драгоценных металлов, золота и серебра. Отличаются высокой прочностью и доступной ценой. Однако у такого типа есть существенный недостаток: зубные ряды выглядят непривлекательно. Еще возможно повреждение опорных элементов.
- Металлокерамические. Основа состоит из сплава, которая дополнена вставками из керамики. Такой вариант считается идеальным при оптимальном соотношении стоимости и высокого качества. Цвет подбирается под оттенок эмали.
- Керамические. Отсутствует цельнометаллический литой каркас. Выглядят такие зубы довольно естественно, но не терпят сильного механического воздействия из-за хрупкости. При ношении нужно быть очень осторожными.
- Пластиковые. Применяются преимущественно как временные заменители постоянных изделий на период их изготовления в лаборатории. Производятся очень быстро, не вызывают аллергических реакций, мало весят, привлекательно выглядят, но служат непродолжительный срок.
- Из диоксида циркония. Цельнокерамические комбинированные мостовидные протезы зубов на такой основе — одни из самых современных. Они вбирают в себя все преимущества своих предшественников: небольшой вес, надежность, эстетическую привлекательность, гипоаллергенность, долгий эксплуатационный период.
- Из оксида алюминия. Недостаточно распространены, потому что имеют заоблачную цену. По долговечности, прочности, красоте и другим характеристикам зарекомендовали себя исключительно с положительной стороны.
Тип крепления
Конструкции крепятся разными способами, самые распространенные в стоматологии:
- Закрепление на здоровых единицах. Изделие состоит из коронок с отверстиями, предназначенными для зубов, и перемычек, которые их соединяют. Для прочности элементы делаются цельнолитыми. При выборе такого вида потребуется предварительное обтачивание и депульпирование. К последней процедуре стоматологи прибегают все реже, современные технологии позволяют в некоторых случаях пропускать этот этап.
- На имплантах. При выборе такого метода неповрежденные резцы, клыки и моляры остаются нетронутыми. Обтачивать и депульпировать их не будут. Однако стоимость лечения существенно возрастает.
- Адгезивный метод. Мост не надевается на опоры, а крепится к задней поверхности с использованием особых композитных составов.
- Замковое крепление. Это съемный мостовидный протез, который при необходимости можно самостоятельно открепить и вернуть на место. Обтачивание опорных коронок также не проводится.

Показания и противопоказания к установке
Процедура показана, когда у человека отсутствует один моляр или 1-4 передних резцов и клыков. При этом по бокам должны оставаться неповрежденные зубы, которые впоследствии будут выступать опорными элементами и выдерживать наибольшее давление при пережевывании пищи. Также без этого не обойтись, когда предыдущая конструкция пришла в негодность.
Несмотря на все достоинства ортопедического вмешательства, существует перечень случаев, когда оно противопоказано:
- отсутствие более 4 коронок;
- бруксизм (непроизвольный скрежет челюстями, который чаще всего наблюдается в ночное время суток);
- нарушения прикуса (перед протезированием придется пройти длительное ортодонтическое лечение);
- острая форма пародонтита или пародонтоза тяжелой степени;
- патологическая стираемость эмалевого слоя;
- болезни костной системы (например, остеомиелит);
- воспалительные процессы в ротовой полости;
- некачественная гигиена, препятствующая монтажу.
Кроме того, сюда же можно отнести общие противопоказания к оперативному вмешательству. Это проблемы со свертываемостью крови, аллергические реакции на компоненты препаратов, материалы изготовления, хронические заболевания при обострении, прием лекарственных средств, препятствующих тромбообразованию, психические нарушения.

Достоинства и недостатки зубных мостов
Преимущества мостовидных протезов в ортопедической стоматологии:
- Не нужно ждать, пока установленная конструкция приживется. То есть нет необходимости в остеоинтеграции, которая может продлиться до полугода. Получается, что адаптационный процесс длится довольно быстро (до 12 часов).
- Это наиболее экономичный вариант восстановления рядов при утрате отдельных единиц, чем имплантация.
- Современные технологии позволяют получать эстетически привлекательные искусственные зубы с полноценным функционированием. Скрытые элементы (крепления и др.) не видны окружающим, поэтому никто даже не заметит врачебного вмешательства.
- Процедура практически не имеет противопоказаний. Мост ставят и в том случае, когда невозможно вживление импланта.
- Сохраняется нормальная дикция.
- Необходимо обтачивать оставшиеся во рту соседние коронки. Очень часто стоматологи прибегают к депульпированию (удалению нерва, чистке и цементированию каналов).
- Нормальная нагрузка на челюстную кость не восстанавливается в полной мере. Когда человек пережевывает пищу, нагружаются опоры, центральная часть в этом практически не участвует. В результате возрастает риск атрофии костной ткани.

Установка зубного моста: этапы проведения процедуры
Процесс изготовления и монтажа конструкции несложен и не требует дополнительных действий, направленных на нарушение целостности мягких тканей, наложения швов и др. Адаптационный период проходит легко и безболезненно. Несмотря на простоту, врачу и пациенту придется пройти несколько последовательных шагов, прежде чем утраченные единицы будут полностью восстановлены. В среднем потребуется 3 посещения стоматологического кабинета.
Этап 0: санация полости рта перед процедурой
Если при первичном осмотре специалист предложил установить мостовидный протез, он должен внимательно осмотреть ротовую полость. Одним из главных условий назначения лечения является отсутствие кариозных поражений, воспалительных процессов и других стоматологических нарушений.
Длительность этого периода зависит от состояния твердых и мягких тканей. Если человек регулярно посещал клинику в профилактических целях, вполне вероятно, что потребуется провести обычную чистку без нанесения пломбировочного материала. При наличии запущенных заболеваний они должны быть пролечены, и только потом можно обращаться к ортопеду.
Этап 1: подготовка опорных зубов и изготовление мостовидного протеза
Когда стоматолог убедится, что все единицы полностью здоровы, выполняется подбор опоры. Элементы обтачивают, депульпируют, корни пломбируют.
С готовых креплений снимаются слепки. Они направляются в лабораторию зуботехникам.
Пока изготавливается постоянное изделие, пациенту придется носить временное на пластиковой основе. Это может занять 1-2 недели в зависимости от загруженности учреждения и сложности технологических процессов.

Когда собственных зубов не хватает, или они слишком плохого качества, их невозможно вылечить и нормально подготовить к процедуре, показана имплантация. Обычно вживляются две опорные точки.
Этап 2: установка несъемного протеза
При последнем посещении стоматологической клиники демонтируется пластмассовая конструкция, а на ее место устанавливается изготовленная в лабораторных условиях по слепкам. Ортопед проверяет, насколько плотно материал прилегает к поверхностям. Не должно быть препятствования смыканию челюстей и видимых цветовых перепадов, в противном случае искусственные участки будут бросаться в глаза.
Выполняется полноценная примерка, подгонка и фиксация. Для большей надежности наносится особый цемент.
Если клиент ощущает дискомфорт, протезирование не производится. Система демонтируется и возвращается в лабораторию для корректировки. При отсутствии неприятных ощущений лечение завершается.
Адаптация происходит еще в период ношения пластика. Это значит, что пациент уже через несколько часов сможет беспрепятственно вернуться к своему привычному образу жизни. Врач дает рекомендации по эксплуатации и уходу за изделием, назначает плановые осмотры и доводит другую важную информацию.
Виды мостовидных протезов

К сожалению, в мире вряд ли найдется хоть один человек, ни разу в жизни не столкнувшийся с зубной болью, кариесом или какой-либо другой стоматологической проблемой. Своевременное обращение к специалисту, а также регулярные профилактические осмотры, как правило, помогают избежать потери и вынужденного удаления зубов. Однако порой по той или иной причине, например, в результате травмы или осложненного кариеса наступает частичная адентия, или отсутствие одного или нескольких зубов. На протяжении многих десятилетий фиксация мостовидных протезов остается самым популярным решением подобной проблемы. Давайте разберемся, какие плюсы и минусы имеет зубной мост и насколько он эффективен.
Мостовидные протезы: показания к установке
Для начала определимся, что такое зубной мост. Мостовидные протезы зубов - это несъемная ортопедическая конструкция, состоящая из коронок на опорные зубы и одного, двух или максимум трех искусственных зубов между ними, надежно соединенных между собой и с опорными коронками. В редких случаях искусственных зубов может быть четыре, но, чем протяженнее конструкция, тем ниже ее прочность и выше риск повреждения. Прямым показанием к установке мостовидного протеза является отсутствие одного или нескольких зубов подряд и невозможность по той или иной причине (например, по состоянию здоровья или в силу финансовых обстоятельств) установить имплантат или имплантаты.
Зубные мосты делятся на виды по материалу и по способу изготовлению, по методу их установки и типу конструкции. В первую очередь, рассмотрим подробнее различие мостовидных протезов по материалу изготовления.
Мостовидные протезы из металлов и сплавов
Металлический мостовидный протез уходит в прошлое, хотя еще лет пятнадцать назад металл, особенно золото, был самым популярным материалом в ортопедии. С одной стороны, стоматологические металлы и сплавы очень прочные, им не страшны сколы и сильная жевательная нагрузка. Однако эстетические характеристики металлических ортопедических конструкций близки к нолю, а риск возникновения аллергической реакции, напротив, очень высок. Ко всему прочему, металлические мосты довольно тяжелые, в результате чего опорные зубы разрушатся намного быстрее, чем при использовании для изготовления мостов других материалов. Тем не менее, с появление диоксида циркония все перечисленные недостатки стали неактуальными.

Пластмассовые мостовидные протезы
Оговоримся сразу, что пластмассовые зубные мосты, как и другие ортопедические конструкции из пластмассы, в современной стоматологии используются исключительно в качестве временной меры. Например, в период изготовления постоянных конструкций из других материалов. Дело в том, что стоматологическая пластмасса, хоть и является гипоаллергенной и способна довольно хорошо имитировать цвет и прозрачность натуральной эмали, все же уступает по прочности всем другим материалам: и металлу, и керамике, и металлокерамике, а также подвержена изменению цвета под воздействием слюны и пищи. Пластмассовые мостовидные протезы изготавливаются в максимально короткие сроки и стоят относительно недорого, благодаря чему они доступны для временного применения, однако не подходят для длительного. И даже укрепление пластмассовой конструкции каркасом из металла продлевает срок ее службы весьма незначительно, а риск возникновения аллергической реакции увеличивает в разы.

Керамические мостовидные протезы
Керамические, или цельнокерамические, зубные мосты изготавливаются из специальной стоматологической гипоаллергенной керамики, способной идеально имитировать анатомическую форму зубов и максимально точно воспроизводить цвет и прозрачность эмали. Для изготовления зубных коронок керамика идеальна, а вот зубные мосты из нее, особенно длинные, заменяющие более одного зуба, уступают по прочности как металлическим, так и металлокерамическим.

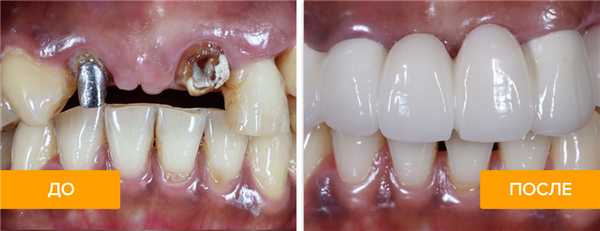
Металлокерамические мостовидные протезы
Оптимальным вариантом для протезирования зубов мостовидными протезами являются зубные мосты из металлокерамики. Они представляют собой все те же колпачки на опорные зубы в виде керамических коронок и керамические искусственные зубы между ними, однако опорные коронки имеют каркас из металла, а по всей протяженности зубного моста проходит металлическая балка, придающая всем элементам конструкции дополнительную прочность и надежно скрепляющая их между собой. Таким образом, металлокерамические зубные мосты сочетают в себе прочность металлических ортопедических конструкций и эстетику цельнокерамических.

Цельнолитые, штампованные и адгезивные зубные мосты
Как уже упоминалось выше, мостовидные протезы делятся на несколько видов не только по материалу изготовления, но и по способу. Скажем сразу, что на сегодняшний день самыми популярными, равно как и самыми прочными и эффективными, являются литые, или цельнолитые, зубные мосты. В отличие от штампованных, или паяных, мостов, представляющих собой несколько отдельных элементов (опорные коронки и искусственные зубы), спаянные друг с другом уже после изготовления, цельнолитые зубные мосты отличаются особой прочностью и надежностью. Что же касается адгезивным мостовидных протезов, они изготавливаются из композитных материалов, похожих на пломбировочные материалы, непосредственно в полости рта пациента и закрепляются на стекловолоконной дуге, установленной в пазах опорных зубов. Подобные конструкции значительно уступают по прочности и по эстетическим качествам, а также по сроку службы как литым, так и паяны мостам.

Несьемные и съемные мостовидные протезы
И последняя характеристика, по которой различаются зубные мосты, - это способ их установки, а точнее - принцип их соединения с десной. По этому принципу мостовидные протезы делятся на промывные, касательные и седловидные. Как явствует из названия, между промывным зубным мостом и десной имеется промывное отверстие, практически незаметное для глаза, но позволяющее промывать его при помощи ирригатора или же полоскания, а также сокращающее риск возникновения аллергии и натирания десны протезом. Касательный тип установки предполагает соприкосновение моста с десной только с одной стороны, что, опять же облегчает гигиену, зато делает мост внешне не отличимым от натуральных зубов, что особенно важно в зоне улыбки. Седловидные зубные мосты, как, опять же, понятно из названия, как бы «надеваются» на десну, обхватывая ее с обеих сторон. Это придает мосту дополнительную прочность, однако затрудняет гигиену и способно провоцировать натирание и раздражение слизистой.
Изготовление и установка мостовидных протезов
Установка зубных мостов делится на несколько этапов. В первую очередь, врач проводит предварительный осмотр, чаще всего включающий в себя рентгеновский снимок, на котором оценивает объем будущих работ и составляет смету. Порой требуется удаление поврежденных или разрушенных зубов, а в некоторых случаях и предварительное ортодонтическое лечение, так как нарушения прикуса являются одним из противопоказаний к установке зубных мостов. Далее стоматолог препарирует опорные зубы: депульпирует их при необходимости и обтачивает под коронки. После этого снимаются слепки, по которым зубной техник в зуботехнической лаборатории изготавливает несъемную конструкцию. Следующий этап - примерка и установка мостовидного протеза.

Срок службы зубного моста
Уход за любыми ортопедическими конструкциями включает в себя стандартную ежедневную гигиену полости рта, а также применение при необходимости дополнительных средств, как то: ирригаторы, ополаскиватели, специальные щетки и ершики. А вот от использования флосса, или зубной нити, в зоне установки зубного моста, скорее всего, придется отказаться. После установки мостовидного протеза лечащий врач даст вам подробные рекомендации по уходу за ним.
Мостовидный протез на имплантах
Конечно же, наиболее эффективным, надежным и эстетичным способом восстановления утраченных или отсутствующих зубов является установка зубных имплантов. В отличие от мостовидных протезов с опорой на собственные зубы пациента, дентальные имплантаты с установленными на них зубными мостами, полностью восстанавливают не только эстетику зубного ряда, с этим прекрасно справляются и зубные мосты, но и функцию траченных зубов.

Под функцией подразумевается полноценное участие в речи и процессе жевания, сопровождающееся правильным распределением нагрузки (чем, увы, не могут похвастаться мосты, у которых вся нагрузка приходится на опорные зубы), а также предотвращение убыли костной ткани, которая неизбежна при использовании мостовидных конструкций, так как искусственные зубы в них не имеют собственной опоры и не нагружают кость челюсти. Помимо прочего, имплантаты не требуют обточки соседних зубов, без чего, к сожалению, не обходится установка обычных зубных мостов.

Цена на зубной мост в Санкт-Петербурге
В стоимость мостовидного протеза входит снятие слепков, изготовление самой конструкции и ее установка. В зависимости от ценового уровня клиники, квалификации врача и материала изготовления протеза, зубной мост, состоящий из трех элементов - двух опорных коронок и одного искусственного зуба между ними, обойдется в среднем от 3 000 рублей до 20 000 рублей, верхняя же ценовая планка очень высока и может доходить до сотни тысяч. Итак, мостовидные зубные протезы уступают и по прочности и по эффективности зубным имплантатам, единственное их преимущество перед последними - это значительно более низкая стоимость. Однако срок службы мостовидных конструкций ограничен 1-15 годами, чем протяженнее конструкция, тем меньше этот срок, в то время как имплантаты служат своим владельцам всю жизнь и требуют только своевременной замены коронок. Таким образом, при пересчете на длительный срок стоимость имплантатов и мостов практически сравнивается.
Читайте также:
