Техника, этапы операции реконструкции латеральных связок голеностопного сустава с использованием аутосухожилия подошвенной мышцы
Добавил пользователь Евгений Кузнецов Обновлено: 21.11.2025

Внешние связки соединяют малоберцовую кость (Fibula) с пяточной и таранной костями. Межберцовый синдесмоз проходит между большеберцовой и малоберцовой костями. © Gelenk-Klinik
Реконструкция связок голеностопного сустава является операцией по лечению хронической нестабильности. Эта нестабильность приводит при малейших нагрузках к вывихам лодыжки. При этом наблюдается повышенная подвижность самого голеностопа, что является большей нагрузкой на суставный хрящ, что обычно, и приводит к его разрушению.
Как возникают травмы голеностопного сустава?
Причинами разрыва связок лодыжки зачастую являются падения либо травмы во время занятий спортом. Связки теряют свою стабилизирующую функцию, и пациенты больше не могут двигаться как раньше. Чаще всего повреждениям подвержены внешние связки. Передняя таранно-малоберцовая связка травмируется почти при всех повреждениях латеральных связок.
Такие факторы риска как лишний вес, неправильная обувь, а также плохая физическая подготовка могут спровоцировать разрыв либо растяжение.
Симптомы разрыва связок

Травмы внешних латеральных связок проявляются сильными болями и образованием гематом. © Leo, Fotolia
Если человек подворачивает ногу, то впоследствии возникшая боль в голеностопном суставе и отёчность являются типичными симптомами, которые принимают за простое растяжение и не обращаются к врачу. Также могут появиться гематомы по причине разрыва подкожных вен. Другими симптомами является боль в лодыжке и неспособность опираться на ногу. Как правило, травма приводит к снижению способности выдержать нагрузку, которое может сохраняться в течение нескольких дней, а иногда и недель.
Если пострадавший и вовсе не может стать на ногу то скорее всего произошел полный разрыв.
Как проводится диагностика?
Помимо специально подготовленных вопросов и обследования, рентген помогает специалисту Геленк Клиники исключить наличие костных повреждений. В данном случае необходимо учитывать не только переломы, но и разрывы с костными фрагментами либо травмы межберцового синдесмоза (костное сращение из соединительной ткани). Так как рентгенологическое исследование показывает состояние костных структур, но не отображает связки, мы рекомендуем сделать так называемый удерживаемый снимок, где врач обследует расслоение суставной щели по сравнению с противоположной стороной. Таким образом можно отличить простое растяжение от разрыва. Подобные записи изготавливаются при помощи специального опорного аппарата и стандартного осуществления давления. В отдельных случаях проводится дополнительное обследование. Пациента направляют на МРТ либо УЗИ. Эти методики могут также выявить и травмы мягких тканей.
Осложнения после травмы
Своевременная диагностика "свежих" травм и последовательное лечение обычно имеют хорошие прогнозы. Для заживления таких повреждений требуется как правило от четырёх до шести недель.
Однако проблемы вызывают, прежде всего, нестабильность связок в голеностопе, от которой конечность слабеет. Это означает, что человек может быстро подвернуть ногу. Примерно у 10% всех пациентов, страдающих травмами внешних связок, наблюдается хроническая нестабильность.
Повторяющиеся травмы способствуют деформациям суставного хряща. Так как суставный хрящ недолго способен выдерживать срезывающие нагрузки Вам стоит обратиться к врачам Геленк Клиники в Германии пока не образовался артроз.
Лечение голеностопного сустава после разрыва связок
Лечение зависит от степени повреждения. Если планируется эндопротезирование, то предварительно проводится осмотр лодыжки артроскопическим путем. Во время этой операции проверяется состояние хряща и удаляются остатки разорванной связки.
При разрыве связок применяются различные оперативные методы. Целью всех операций по восстановлению лодыжки является достижение его стабильности.
Как правило положительный результат достигается спустя примерно 6 недель. В течение этого времени пациенту нужно носить специальные ортезы для иммобилизации конечностей.
В Геленк Клинике применяются различные пластические методики. При пластике внешней связки её пытаются восстановить с помощью импланта из собственной ткани. Для этого используются остаточные элементы, части надкостницы латеральной лодыжки и ткани суставной капсулы. Если этих тканей недостаточно, то используются имплантаты сухожилий. Для этого изымаются части, проходящие в непосредственной близости от внешней связки, и затем пересаживаются в сустав.
Хирурги Геленк Клиники проводят восстановление голеностопного сустава при хронической нестабильности по методу Brostöm. При этом оставшиеся элементы служат для анатомического восстановления. Во время операции они собираются, а затем растягиваются, чтобы достичь первоначальной длины связок. Для обеспечения стабильности, части разгибательных сухожилий перемещаются в сторону латеральной лодыжки и сшиваются.
Возможные осложнения после реконструкции связок (анатомический метод):
- Снижение чувствительности внешней стороны стопы (макс. 2%), часто временно
- Инфекция (лечение с помощью антибиотиков, иногда хирургическое вмешательство) составляет менее 1%
- Снижение подвижности (около 2%)
- Возобновление нестабильности (часто после недавней травмы)
Как долго длится лечение в Геленк Клинике?
После операции для пациента изготавливается специальный ботинок. До заживления ран в течение 12 дней Вы должны ходить, опираясь на костыли. В течение последующих 3 недель Вы уже сможете передвигаться без костылей, но в специальном ботинке. Через 4 недели ботинок расслабляют так, что Вы сможете сгибать и разгибать ногу. После шести недель лечения возможно передвижение без ботинка. В это время необходимо пройти интенсивное лечение для восстановления мышц и подвижности ноги.
Сотрудники Геленк Клиники с удовольствием проконсультируют Вас по всем необходимым вопросам касательно стоимости операции и послеоперационного лечения.
Пластика связок голеностопного сустава

Ситуации, когда у человека разрываются связки голеностопного сустава, могут возникнуть в быту, в спорте, вследствие профессиональной травмы или несчастного случая. Эта патология составляет 15% всех случаев повреждения голеностопа. Если связки разорваны, первое, что назначается пациенту - это восстановительная физиотерапия. Однако это помогает, только если надрыв связок свежий. Суть восстановления заключается в том, чтобы заставить другие участки мускулатуры взять на себя функции поврежденной надрывом связки.
Оценить эффективность лечения можно спустя 2-3 месяца. Если нестабильность сустава не прошла, а перешла в хроническую форму, стоит задуматься об операции. Эффективным хирургическим методом в данном случае будет пластика связок голеностопного сустава, направленная на замену связки. Для этого используются собственные ткани пациента, поэтому операция отличается безопасностью и доступной стоимостью.
Причины разрыва связок голеностопа
Учитывая особенности функций голеностопа, повреждение связок может возникнуть в различных ситуациях. Как правило, к нему приводит падение, подворачивание стопы, резкий поворот. В этот момент сустав растягивается, и ткань связок надрывается. Частые причины растяжения сустава и порыва связок:
- Занятия спортом.
- Подворачивание стопы, например, на ступенях или скользкой дороге;
- Удар в голеностопную область.
Стопы подвержены нагрузкам каждый день, однако связки рвутся не ежедневно. Стоит выделить ряд провоцирующих факторов, при которых риск неприятности существенно повышается:
- Для женщин - высокие каблуки, на ступеньках, на скользкой тротуарной плитке - шансы вывихнуть ногу и поклонниц шпилек достаточно высоки.
- Ожирение - избыточный вес не причина для падения или травмы, но подвернув ногу, тучный человек с гораздо большей вероятностью заработает разрыв связок, из-за значительной нагрузки.
- Эндокринные нарушения, снижающие эластичность связок.
- Врожденные патологии строения стопы и голеностопа.
- Наличие старых травм и болезней сустава.
- Занятия спортом - прыжки в длину, в высоту, парашютный спорт.
Симптомы разрыва связок голеностопа
Поняв, что связки разорваны, нужно как можно скорее попасть в больницу, при этом снизив до минимума нагрузку на травмированную ногу. Как понять, что вы не просто неудачно упали, а порвали связки? В первую очередь нужно понимать, что порвать связки можно по-разному. В зависимости от того, насколько серьезной является проблема со связками, ортопеды выделяют следующие степени разрыва связок голеностопа:
- I степень - связки надорваны с некоторых местах, основная масса волокон в целости. Диагностика такой патологии основывается на визуальном осмотре и пальпации. Может быть незначительная отечность лодыжки. Пациент жалуется на умеренную боль, которая усиливается при движении или пальпации стопы. Двигательная активность сохраняется, но сопровождается дискомфортом.
- II степень - связка разорвана частично, но это не влияет на функциональность голеностопного сустава. Пальпация очень болезненна. Отечность распространяется с лодыжки на стопу и усиливается. Двигательная активность сопровождается болью и хромотой пациента.
- III степень - участок ноги в области голеностопного сустава сильно отекает, ощущается сильная боль, нога на сгибе покрывается сплошной гематомой. Могут быть видны кровоподтеки. Температура тела повышается. Стать на ногу и сделать шаг - невозможно. Двигательная активность - блокирована.
Диагностика разрыва связок голеностопа
Чтобы назначить правильно лечение или принять решение о необходимости пластики связок голеностопа, врач должен убедиться, что речь идет именно о разрыве тканей. В первую очередь проводится осмотр больного. Ортопед берет одной рукой голень травмированной ноги, а другой пробует сдвинуть в сторону стопу. Если разорваны латеральные связки, очевидной будет чрезмерная подвижность стопы.
Далее пациент отправляется на рентгенографическое обследование. Снимок нужно делать в двух проекциях. Диагностировать разрыв связок на рентгене можно только, если речь идет о третьей степени патологии. Если картина нечеткая, ортопед может назначить рентген под нагрузкой или артрографию для понимания состояния суставной капсулы.
Особенности пластики голеностопа
Цель операции - обеспечить суставу стабильность. Ведь растянутые связки - это не только дискомфорт, но и постоянный риск серьезной травматизации нестабильного голеностопного сустава.
Пластика голеностопных связок предполагает замену наружных связок тканями, взятыми с других участков. Операция проходит под общим наркозом. В зависимости от сложности разрыва может длиться 1-3 часа.
Связка восстанавливается хирургическим путем с использованием тканей поврежденной связки, надкостницы, тканей суставной капсулы, тканей соседних неповрежденных сухожилий. Некоторые ткани могут быть репозиционированы, для обеспечения суставу максимальной стабильности.
Реабилитационный период

На реабилитацию после операции потребуется определенное время. Первые три недели двигательная активность возможна только с костылями, нагрузка на оперированную ногу - исключена. Далее еще три недели пациент ходит самостоятельно, но его голеностоп зафиксирован в специальном жестком ботинке. Проверяя состояние прооперированных связок, врач определяет время, когда жесткую фиксацию можно убрать, оставить эластичный брейс и позволить пациенту сгибать и разгибать ногу в стопе.
Другой вариант реабилитации - более скор и технологичен. Он не предполагает использование костылей. В этом случае операционная техника предполагает установку специальных микрофиксаторов брейсов подкожно.
В реабилитационный период крайне важна правильная восстановительная терапия, лечебная физкультура, физиотерапевтические процедуры.
Где сделать пластику связок голеностопа в Москве?
Главная больница Москвы - ЦКБ РАН - приглашает пациентов, которые травмировали голеностоп и нуждаются в немедленной помощи и точной диагностике состояния. Также мы работаем с застарелыми травмами, когда физиотерапевтическое лечение не помогло, и наблюдается нестабильность сустава - приходите на консультацию ортопеда, чтобы узнать больше о хирургических методах решения проблемы. Пластика связок защитит сустав, обеспечит ему стабильность, вернет полную нормальную двигательную активность - без боли и ограничений!
Повреждения связочного аппарата голеностопного сустава (нестабильность голеностопного сустава)
Повреждения связок голеностопного сустава возникают в результате травмы - подворота стопы, часто - при занятиях спортом или в зимнее время, при гололеде. Болевых ощущений сразу может не возникнуть. Через короткое время или сразу после травмы появляется отек голеностопного сустава, его контуры сглаживаются, появляются подкожные гематомы (синяки). Иногда пациенты отмечают «щелчок» в момент травмы. Движение в голеностопном суставе вызывает острую боль, опереться на ногу практически невозможно.
Необходимо приложить холод и зафиксировать поврежденный сустав, затем обратится в лечебное учреждения, где вам выполнят рентгенографию голеностопного сустава. Часто этого бывает недостаточно и может потребоваться ряд дополнительных обследований, таких как ультразвуковое исследование сустава, магнитно-резонансная томография (МРТ) для оценки состояния мягкотканых структур (связок, сухожилий) голеностопного сустава.
Консервативное лечение повреждений связочного аппарата голеностопного сустава
Если связки пострадали частично, то речь, как правило, идет о консервативном лечении - ношении гипсовой либо полимерной повязки, специальных бандажей, ортезов. Назначаются курсы физиотерапевтического лечения и лечебной физкультуры.
Неэффективное и некорректное лечение данной патологии может привести к серьезным осложнениям, таким как артроз, хроническая нестабильность голеностопного сустава, хромота и другим
Оперативное лечение повреждений связочного аппарата голеностопного сустава
При неэффективности всех этих мер - сохранении боли, отека, чувства нестабильности в суставе, повторяющихся травмах, а также при полном повреждении наружного или внутреннего комплекса связочного аппарата голеностопного сустава показано оперативное лечение - восстановление связок (пластика связок) для профилактики вышеизложенных осложнений.
В зависимости от степени повреждения используют один из методов оперативного вмешательства:
- сшивание связок (если они на месте, но деформированы)
- периостальный клапан (если связки разорваны или не визуализируются)
- пересадка сухожилий и связок, использование подошвенного материала, или сухожилий для замены от 2-3 связок, при выполнении этих вмешательств, для фиксации используются абсорбирующиеся (рассасывающиеся) материалы
Операция выполняется под артроскопическим контролем (при помощи введенной в сустав видеокамеры осматривается его полость). Благодаря этому можно диагностировать и устранить проблемы не только с поврежденными связками, но и внутри сустава в ходе одного оперативного вмешательства.
Сразу после операции сустав фиксируют гипсовой повязкой, чтобы не подвергать его лишней нагрузке. Это приведет к скорейшему выздоровлению. Швы снимают на 12-14 сутки. После снятия швов возможно начало восстановительного лечения. Через 4 недели гипсовая повязка может быть заменена на полужесткий U-образный ортез для голеностопного сустава. Ходьба без костылей с полной нагрузкой на сустав возможна через несколько недель.
Восстановительное лечение после травм связочного аппарата голеностопного сустава
Продумать курс восстановительного лечения при подобных травмах очень важно для того, чтобы функция голеностопного сустава восстановилась в максимальном объеме. При выписке из стационара пациент получает подробный план восстановительных мероприятий.
Восстановительное лечение включает в себя курс физиотерапевтического лечения, ударно-волновую терапию, комплекс активных и пассивных упражнений, направленных на укрепление и растягивание мышц с частичной нагрузкой на сустав, и упражнений для разработки движений в суставе.
Кроме того, в ЦКБ РАН на базе отделения восстановительного лечения создана лаборатория биомеханики, в которой проходят реабилитацию пациенты после различных травм опорно-двигательного аппарата, в т.ч. профессиональные спортсмены. На ее базе исследуются различные параметры ходьбы, вырабатывается оптимальный план реабилитации в соответствии с полученными данными.
Аутопластика
Термин аутопластика объединяет целую группу хирургических пластических операций. Основная особенность - использование собственных тканей организма для ее проведения. Это могут быть органы или кожа пациента. Пересаженные ткани могут быть лишены питания или получать полноценное соединение с кровеносной системой. Во втором случае применяется микрохирургия. В основном процедура проводится с целью устранения крупных дефектов, последствия травм, ожогов, ран.
В каких случаях выполняется
Целью такой пластической операции является восстановление целостности тканей организма после повреждений, происхождение которых не играет роли. Это могут быть органы, части тела, суставы, чаще кожные покровы.
Проведение операции
Рассмотрим проведение артроскопической аутопластики связок коленного сустава. Необходимо заменить связки после их сильного повреждения. Это происходит путем аутопластики коленного сустава - максимально щадящего метода восстановления полноценной функции колена. Поврежденные волокна заменяются собственными тканями или искусственными заменителями.
Второй вариант предполагает использование не менее прочных протезирующих элементов. Замена происходит с использованием нескольких проколов, травматизация минимальна. Ход операции:
- Введение анестезии.
- Произведение нескольких проколов в поврежденной зоне.
- Введение инструментов и камеры (изображение с нее транслируется на экране).
- Анализ состояния сустава.
- Удаление поврежденных тканей.
- Корректировка мениска при необходимости.
- Пересадка трансплантата.
Процедура имеет минимум противопоказаний, не оставляет следов на коже. Связки для пересадки берутся из области бедра.
Реабилитация после аутопластики
Пациент направляется в палату сразу после операции. До четырех первых недель реабилитация проходит с фиксацией сустава. Проводится физиотерапевтическое лечение, которое ускоряет процесс восстановления. После этого пациенту необходимо носить ортез. Это нужно для защиты сустава, контроля состояния мышц, постепенного восстановления подвижности.
Полноценная ходьба разрешается примерно через месяц. Среди обязательных процедур в процессе восстановления:
- Упражнения.
- Компрессы.
- Растирание.
- Прогулки.
- Массаж.
Где сделать операцию?
Узнать больше о проведении аутопластики в ЦКБ РАН у врача-хирурга можно по телефону. Чтобы пройти осмотр и узнать больше, стоит записаться на прием к хирургу. Успех проводимых нами операций не зависит от степени повреждения и неизменно дает положительный результат.
Реабилитация голеностопного сустава: восстановление после травм, артродеза, эндопротезирования
По статистике, 54% переломов и переломо-вывихов голеностопного сустава случаются в молодом возрасте, когда человеку важно сохранять трудоспособность. Эти травмы относятся к тяжелым повреждениям опорно-двигательного аппарата. Даже при качественном лечении они приводят к инвалидности в 3-12% случаев. Поэтому восстановление функций голеностопного сустава требует тщательного подхода, индивидуального для каждого пациента.

С повреждениями связочного аппарата ситуация аналогична. Голеностоп часто травмируется у спортсменов и молодых, активных людей. У 30-50% из них несвоевременная диагностика или некачественное лечение приводит к хронической нестабильности голеностопного сустава. Она мешает вести активный образ жизни, а со временем и вовсе приводит к инвалидности.
Ранняя диагностика и качественное лечение помогают снизить риск инвалидизации. Более того, повреждения связок, вывихи и переломы гораздо легче лечить вначале, сразу после травмы. При этом шансы восстановить функции голеностопа гораздо выше. А само лечение и реабилитация - менее инвазивны и занимают меньше времени.
Поэтому после травмы лучше сразу же обращаться в хорошую клинику, где применяют самые эффективные алгоритмы диагностики и лечения.
Как восстановить функции голеностопа после травмы
Каким способом врачи будут проводить лечение - зависит от тяжести травмы и характера повреждения сустава. Ведь надрывы связок лечить гораздо легче, чем, к примеру, переломы со смещением или переломо-вывихи. С лечебной тактикой специалисты определяются лишь после обследования пациента, имея полное представление о его состоянии и тяжести травмы.
Для восстановления функций голеностопного сустава используют несколько способов:
- Консервативное лечение. Эффективно при легких травмах, которые не сопровождаются переломами, вывихами и полным разрывом связок. Функции голеностопа восстанавливают с помощью покоя, фиксации эластичным бинтом, обезболивающих и противовоспалительных препаратов, физиопроцедур и ЛФК.
- Гипсовая иммобилизация. Применяют в лечении переломов, при которых нет смещения костных отломком и нестабильности голеностопа. Гипс накладывают и при свежих разрывах и надрывах связок (не позже двух-трех месяцев после травмы). Также гипсовую иммобилизацию используют после остеосинтеза и скелетного вытяжения в качестве завершающего метода лечения.
- Закрытая репозиция с дальнейшей гипсовой иммобилизацией. Применяется при закрытых переломах со смещением. При сопутствующих подвывихах голеностопа ее не рекомендуют использовать из-за высокого риска неудовлетворительного исхода лечения.
- Открытая репозиция с фиксацией погружными конструкциями. Таким путем лечат все открытые и часть закрытых переломов. В некоторых случаях после операции сустав дополнительно фиксируют гипсом.
- Скелетное вытяжение и чрескостный компрессионный остеосинтез. Используются для лечения сложных и застарелых переломов в области голеностопного сустава. Проводится с помощью специальных аппаратов внешней фиксации.
- Хирургическое лечение. Проводится при застарелых повреждениях связок, посттравматическом остеопорозе, тяжелых переломах и переломо-вывихах. Позволяет восстановить функции голеностопа даже тогда, когда другими путями сделать это невозможно.
Иммобилизация голеностопа
При полных разрывах и значительных надрывах связок используют гипсовую иммобилизацию или аппараты внешней фиксации. Однако они эффективны только на ранних сроках, пока у человека не успела развиться нестабильность голеностопного сустава. При застарелых травмах, которым больше 2-3 месяцев, эти методы не дают ожидаемого результата.

Если у человека вовремя не обнаружили разрыв связок или он не получил качественного лечения, у него развивается нестабильность голеностопа. В таком случае восстановить функции сустава уже не поможет никакая иммобилизация. И чтобы вернуть трудоспособность, необходимо делать операцию.
Безоперационное лечение переломов
Консервативное лечение возможно лишь когда нет смещения костных фрагментов, а голеностопный сустав остается стабильным. В таком случае больному на 1-2 месяца накладывают гипсовую повязку или предлагают носить ботинок для реабилитационной ходьбы.
Несмотря на доступность и малотравматичность гипсовой иммобилизации она имеет ряд недостатков:
- ограничивает подвижность нижней конечности и затрудняет реабилитацию;
- нарушает периферическое кровообращение;
- вызывает необратимые изменения в нервно-мышечном аппарате голени и стопы.
Чтобы частично нивелировать вред длительной иммобилизации, со второго-третьего дня после наложения гипса человек начинает заниматься лечебной гимнастикой. ЛФК помогает снять отек, улучшить кровообращение в области голеностопа, укрепить мышцы стопы, голени и бедра. А это ускоряет восстановление и препятствует развитию посттравматического остеопороза.
После снятия гипса реабилитация продолжается в течение еще нескольких месяцев. В этот период больному назначают массаж, физиопроцедуры, лечебную физкультуру и т.д. Главная задача этих процедур - укрепить мышцы и связки, улучшить обменные процессы в тканях, нормализовать кровообращение и восстановить функции травмированного сустава.
Закрытая репозиция с дальнейшей гипсовой иммобилизацией
Это распространенный метод лечения, который применяют в основном при переломах лодыжек. Его суть заключается в ручной репозиции костных фрагментов и последующей фиксации голеностопа гипсовой повязкой. Данный метод доступный и малотравматичный, но имеет свои недостатки.

Длительная гипсовая иммобилизация нарушает трофику и ухудшает кровообращение в тканях конечности, вызывая необратимые изменения в нервах и мышцах голени, стопы, голеностопного сустава. Она не обеспечивает достаточно стабильную фиксацию и не гарантирует полную неподвижность отломков. Все это может привести к неправильному сращению костей и образованию ложного сустава.
При сопутствующих вывихах и подвывихах голеностопа закрытую репозицию рекомендуют не использовать. Причина - высокий риск неудовлетворительных результатов лечения.
Самые частые из них:
- послеоперационные контрактуры;
- ложные суставы;
- деформирующий артроз тяжелой степени.
Поэтому многие специалисты предпочитают иной подход к лечению переломов со смещениями. Пациентам трудоспособного возраста они рекомендуют выполнять открытую репозицию с фиксацией костных фрагментов металлоконструкциями. А больным старшей возрастной группы - репозицию под ЭОП-контролем и фиксацию спицами Киршнера.
Открытая репозиция с внутренней фиксацией
Метод применяют для лечения сложных переломов, когда невозможна ручная репозиция отломков и удержание их в нужной позиции с помощью гипса. Чтобы сопоставить костные фрагменты и надежно зафиксировать их, используют погружные элементы и конструкции:
- болты-стяжки;
- винты;
- болты с клеммами-накладками;
- спицы Киршнера;
- болты с гибкой тягой;
- лавсановые ленты и прочее.

Открытая репозиция обеспечивает одномоментное точное сопоставление отломков и их надежную фиксацию. После операции нередко сохраняется ранняя опороспособность конечности, что позволяет нагружать ее вскоре после операции. И тем не менее многие специалисты уверены, что ни один из методов открытой репозиции не может обеспечить полной неподвижности костных фрагментов. Поэтому после операции пациентам требуется дополнительная гипсовая иммобилизация.
Оперативное сопоставление и фиксация отломков имеет и другие недостатки:
- Травмирование мягких тканей в месте проведения хирургического вмешательства.
- Риск развития инфекционных осложнений.
- Вероятность вторичных смещений отломков из-за несостоятельности фиксаторов.
- Высокая частота развития псевдоартрозов.
В ряде случаев закрытые переломы лучше лечить путем скелетного вытяжения или чрескостного остеосинтеза. Эти методы исключают вмешательство травматолога в естественный процесс заживления. Регенерация ускоряется, поскольку врач не удаляет гематому и не повреждает мышцы, сосуды, надкостницу. А противопоставление отломков и растяжение мягких тканей дополнительно стимулирует регенеративные процессы.
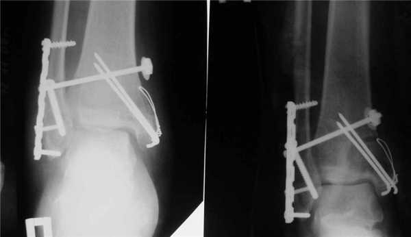
Чрескостный остеосинтез
Сегодня остеосинтез проводят с помощью шарнирно-дистракционных аппаратов и аппаратов для скелетного вытяжения. Методика позволяет надежно зафиксировать костные отломки, что создает идеальные условия для их сращения.

Главное преимущество чрескостного остеосинтеза в том, что он не требует открытого хирургического вмешательства. Недостаток - он не всегда позволяет сопоставить фрагменты костей. Поэтому чрескостный остеосинтез могут комбинировать с операцией. Сначала отломки соединяют хирургическим путем, а зачем кости дополнительно фиксируют аппаратом внешней фиксации.
Реконструктивные операции
С помощью реконструктивных операций лечат застарелые разрывы связок, которые сопровождаются нестабильностью голеностопа. Целостность связок восстанавливают хирургическим путем, после чего сустав фиксируют аппаратом Илизарова. При давности травмы менее 5 месяцев операцию часто делают путем артроскопии. А вот застарелые разрывы требуют открытой реконструкции.
Целостность связок могут восстанавливать:
- местными тканями;
- аллотканями;
- синтетическими эндопротезами.
Пластика местными тканями сопряжена с дополнительной травматизацией донорского участка, поэтому ее выполняют редко. Для восстановления связок чаще используют синтетические ткани или аллосухожилия.
Эндопротезирование и артродез
Операции на голеностопном суставе делают в основном при тяжелом посттравматическом остеопорозе, который сопровождается сильными болями и ограничением подвижности голеностопа.

Молодым пациентам чаще выполняют эндопротезирование - замену сустава искусственным эндопротезом. Такая операция позволяет полностью восстановить функции голеностопа. Когда сделать эндопротезирование нет возможности (пожилой возраст, наличие тяжелых сопутствующих заболеваний), больному выполняют артродез - обездвиживание сустава. К этой операции прибегают в крайнем случае.
- Разрывы связок и переломы голеностопа часто случаются в молодом возрасте. Они тяжело поддаются лечению и нередко приводят к инвалидности.
- Свежие травмы лечить намного легче. Чем раньше человек получит медицинскую помощь, тем выше шансы, что функции сустава восстановятся.
- Для лечения травм используют разные методы, начиная консервативным лечением и заканчивая хирургическим.
- Выбор метода лечения зависит от многих факторов. Играет роль тяжесть и давность травмы, нестабильность голеностопа, степень посттравматического остеопороза и т.д.
- Хирургическое вмешательство - радикальный метод лечения. Как правило, операцию делают тогда, когда восстановить функции сустава другими путями невозможно.
Читайте также:
