Техника латерального доступа к локтевой кости
Добавил пользователь Евгений Кузнецов Обновлено: 11.12.2025
Артроскопия - это хирургическая операция, применяемая для осмотра, диагностики и устранения проблем внутри сустава.
Слова «артроскопия» происходит от двух греческих слов: «артро» — сустав, и «скопео» — смотрю, и дословно означает «смотреть в сустав». Во время артроскопии локтевого сустава в него вводится небольшая камера, называемая артроскопом. Изображение с камеры передается на телеэкран, и под таким визуальным контролем хирург вводит в полость сустава миниатюрные хирургические инструменты, с помощью которых выполняет все необходимые манипуляции.
Поскольку и артроскоп, и инструменты достаточно тонкие, то и разрезы для введения этих инструментов очень маленькие, в отличие более значительных разрезов, используемых при традиционных открытых вмешательствах. После операции пациенты испытывают меньше болевых ощущений, быстрее восстанавливаются и возвращаются к привычному для них образу жизни.
Артроскопические вмешательства на локтевом суставе начали выполняться в 80-х годах прошлого века. Они подняли диагностику, лечение и реабилитацию после травм и заболеваний локтевого сустава на новый уровень, который раньше было сложно представить. Техника артроскопических вмешательств на локтевом суставе продолжает развиваться и по сей день. Ежегодно появляются новые методики лечения, разрабатываются и внедряются новый инструментарий и расходные материалы для артроскопии локтевого сустава.
Локтевой сустав - это сложный сустав, образованный тремя костями:
- Плечевая кость
- Локтевая кость
- Лучевая кость
Сочленяющие поверхности костей, образующих локтевой сустав, покрыты суставным хрящом, гладкая поверхность которого защищает кости от повреждения и служит естественным амортизатором, поглощающим приходящиеся на сустав нагрузки.
Вся остальная внутренняя поверхность сустава покрыта тонкой оболочкой, называемой синовиальной мембраной. В здоровом локтевом суставе эта мембрана продуцирует небольшое количество жидкости, которая смазывает суставной хрящ и обеспечивает беспрепятственное скольжение костей друг относительно друга при движениях в суставе.
С внутренней и наружной стороны кости, образующие локтевой сустав, удерживаются коллатеральными связками.
Сзади и спереди локтевой сустав окружен мышцами. Кроме того, в непосредственной близости к суставным поверхностям и капсуле в области локтевого сустава проходят три крупных нерва, которые во время артроскопических операций необходимо защитить.

Локтевой сустав образован тремя костями: плечевой костью и двумя костями предплечья - локтевой и лучевой. Эти кости удерживаются вместе мощными связками, предотвращающими развитие вывиха в суставе.
Основными движениями в локтевом суставе являются сгибание, разгибание и ротация предплечья (пронация - вращение кистью вниз, супинация - вращение кистью вверх).
Сгибание и разгибание осуществляется в области сочленения плечевой и локтевой кости, а ротация - за счет сочленения локтевой и лучевой кости, причем в последнем случае в этом участвуют мышцы и связки, расположенные ниже на предплечье и в области лучезапястного сустава.
Доктор может порекомендовать вам артроскопическое вмешательство в случаях, когда связанную с тем или иным состоянием боль в локтевом суставе не удается купировать консервативными мерами. Консервативное лечение включает покой, физиотерапию и ряд препаратов, в т.ч. применяемых в виде инъекций в сустав, способствующих купированию воспаления. Воспаление - это нормальная реакция организма на травму или заболевание. Воспаление в суставе вызывает появление отека, боли и ограничения движений.
Наиболее частыми причинами проблем с локтевым суставом являются травма, избыточная нагрузка или связанный с возрастом износ внутрисуставных структур локтевого сустава. Артроскопия локтевого сустава помогает устранить болезненные проявления многих состояний, при которых повреждаются суставной хрящ и мягкие ткани вокруг локтевого сустава. Также артроскопия может быть рекомендована для удаление свободных внутрисуставных фрагментов костей и хряща или удаления рубцовых тканей, ограничивающих движения в суставе.
Наиболее распространенные артроскопические вмешательства на локтевом суставе:
- Лечение т.н. «локтя теннисиста» (латерального эпикондилита)
- Удаление свободных внутрисуставных тел (фрагментов хряща или костных фрагментов)
- Релиз внутрисуставных спаек для увеличения объема движений
- Лечение остеоартроза (артрита вследствие износа суставного хряща)
- Лечение ревматоидного артрита (артрит воспалительной причины)
- Лечение рассекающего остеохондрита (повреждение головчатого возвышения суставного конца плечевой кости вследствие физических перегрузок, наблюдаемое у метателей и гимнастов)

На представленной рентгенограмме локтевого сустава в боковой проекции видны признаки тяжелого остеоартрита. Обратите внимание на массивные костные выросты, сформировавшиеся вокруг сустава. При артроскопии эти выросты можно удалить, а также удалить любые свободно лежащие в суставе фрагменты хряща.
При некоторых состояниях локтевого сустава до сих пор наиболее эффективными считаются открытые варианты хирургических вмешательств. К таким состояниям и операциям можно отнести:
- Локоть гольфиста (медиальный эпикондилит)
- Восстановление целостности коллатеральных связок
- Фиксация многих переломов в области локтевого сустава локтевого сустава
- Декомпрессия локтевого нерва
При некоторых вариантах хирургических вмешательств комбинируются артроскопические и открытые доступы. Например, при тяжелом варианте рассекающего остеохондрита свободный костно-хрящевой фрагмент можно удалить артроскопически, а костную пластику поврежденного участка суставного конца плечевой кости выполнить открыто.
Если вы относитесь к той или иной группе риска, перед операцией вы должны будете пройти более углубленное обследование. Не забудьте проинформировать хирурга о любых препаратах или пищевых добавках, которые вы принимаете постоянно. Прием некоторых из таких препаратов перед операцией придется приостановить.
Если вы практически здоровый человек, артроскопия у вас будет почти амбулаторной операцией. Это означает, что после операции вам не придется оставаться в больнице.
Сотрудники клиники заранее свяжутся с вами, чтобы проинформировать о важных деталях, связанных с предстоящей операцией. Строго следуйте их рекомендациям, особенно касающимся того, когда вам следует прибыть в клинику, когда перестать есть и употреблять жидкости.
Анестезия
Перед операцией вы встретитесь с анестезиологом, который расскажет вам о возможных вариантах анестезиологического обеспечения операции. Артроскопия локтевого сустава чаще всего выполняется в условиях общей анестезии, это означает, что во время операции вы будете спать.
Регионарная анестезия, при которой блокируются нервы, отвечающие за чувствительность в области локтевого сустава, при этих операциях используется редко, поскольку ее эффект продолжает намного дольше, чем длится операция. Это, конечно, позволяет избавить пациента от боли сразу после операции, однако не дает возможности хирургу оценить функцию нервов верхней конечности по завершении вмешательства и убедиться, что с ними все в порядке.
При необходимости подобного обезболивания регионарная блокада может быть выполнена в послеоперационной палате после того, как хирург проведет необходимое ему неврологического обследование.
Укладка пациента на операционном столе
В операционной вам скорее всего дадут наркоз и введут внутривенно антибиотик. Антибиотики перед операцией назначаются для снижения риска инфекционных осложнений.
На операционном столе вы будете лежать так, чтоб хирург легко можно ввести в локтевой сустав артроскоп и увидеть все, что ему необходимо. При таких артроскопических операциях наиболее часто используются два положения пациента: на боку и на животе. В любом из этих положений под все костные выступы вашего тела для профилактики сдавления подкладываются мягкие подушки.

Типичная укладка для артроскопии плечевого сустава. Плечо пациента удерживается с помощью специального фиксирующего устройства.
На верхнюю часть вашего плеча накладывается турникет, а рука фиксируется специальным удерживающим устройством, чтоб во время операции она оставалась неподвижной. Для снижения отека предплечья и кисти на них во время операции может быть наложена компрессирующая повязка. Хирургическая бригада обрабатывает кожу в области операции раствором антисептика и укрывает руку и верхнюю часть тела стерильным операционным бельем.
На коже хирурги обычно отмечают костные и другие ориентиры, а также точки для формирования артроскопических портов.

Небольшие черточки на коже - это точки формирования артроскопических портов.
Ход операции
Сначала хирург вводит в полость сустава жидкость, чтобы увеличить его объем. Это облегчает осмотр всех внутрисуставных образований локтевого сустава, а также позволяет снизить риск повреждения кровеносных сосудов и нервов, проходящих близи сустава. Затем хирург делает несколько небольших проколов для введения в сустав артроскопа и инструментов.
Через артроскоп в сустав постоянно подается жидкость, с помощью которой полость постоянно промывается и обеспечивается хороший обзор. Изображение от артроскопа передается на видеоэкран, на котором хирург наблюдает за всеми проводимыми манипуляциями. Перед проведением тех или иных манипуляций внутри сустава хирург сначала полностью осматривает сустав. При необходимости осмотра полости сустава целиком используются 5 или 6 отдельных артроскопических портов. При выявлении проблемы хирург через отдельные проколы введет в сустав инструменты для ее устранения. При артроскопических вмешательствах используются инструменты для удаления, захвата, иссечения различных образований, проведения шовных нитей и завязывания узлов. Во многих случаях используются т.н. шовные якори, с помощью которых те или иные структуры фиксируются к костям.

Во время артроскопии хирург вводит в полость локтевого сустава артроскоп и небольшие инструменты.
По окончании операции хирург может ушить края разрезов швами или сопоставить их стерильными полосками пластыря, поверх которых накладывается мягкая марлевая повязка. В зависимости от особенностей операции эта повязка может меняться на другую мягкую повязку, допускающую возможность движений в суставе, либо на гипсовую повязку для исключения движений и защиты вашего локтевого сустава.
Свободные костные фрагменты и остеофиты, удаленные во время артроскопии, выполненной по поводу дегенеративного поражения локтевого сустава.
Послеоперационный период
После операции перед выпиской домой вы 1-2 часа проведете в послеоперационной палате. Медицинские сестры будут следить за вашим состоянием и при необходимости выполнят обезболивание. При выписке вы получите инструкции, как действовать дальше, какие препараты принимать, нужно ли вам применять лед или возвышенное положение для локтя, как ухаживать за повязкой. Затем желательно, чтобы кто-либо отвез вас домой (самому за руль садится нельзя) и по крайней мере на одну ночь оставался с вами дома.
Восстановительный период после артроскопических вмешательств обычно короче, чем после открытых операций, однако все равно не стоит ожидать полного восстановления раньше, чем через несколько недель.
На протяжении по меньшей мере первой недели после операции вы будете испытывать в той или иной мере выраженные болевые или дискомфортные ощущения. При более или менее обширных вмешательствах, пусть даже артроскопических, полностью боль исчезнет только через несколько недель. Доктор скорее всего выпишет вам обезболивающие препараты, которые вы будете регулярно принимать первые несколько дней после операции. Дополнительно вам могут быть выписаны и другие препараты, например, средства для размягчения стула или противовоспалительные.
В первые 48 часов после операции рекомендуется прикладывать к локтевому суставу лед и держать руку в возвышенном положении. Это уменьшить выраженность отека и уменьшит боль. Возвышенное положение означает, что ваша рука, когда вы лежите, должна находиться выше уровня сердца. В зависимости от особенностей операции доктор может порекомендовать лед и возвышенное положение на более долгий период.
Вам скорее всего будет рекомендовано регулярно заниматься гимнастикой для пальцев и лучезапястного сустава для улучшения кровообращения в конечности и снижения отека. Для профилактики контрактуры локтевого сустава доктор может рекомендовать как можно раньше начать восстановление движений в локтевом суставе. Когда вы сможете начать такие упражнения, а также сроки возвращения в обычной повседневной активности, зависит от характера проведенной вам операции.
Уход за повязкой также определяется характером выполненного вмешательства, а также предпочтениями хирурга. В большинстве случаев послеоперационная повязка и/или шина снимаются через 2-3 дня после операции. В этот период не следует трогать повязку и необходимо держать ее в сухости. В некоторых случаях вам будет рекомендовано сделать перевязку только при первом послеоперационном визите в клинику.
Реабилитация
Реабилитация является важнейшим компонентом вашего скорейшего возвращения к повседневной жизни. Специальные упражнения помогут вам как можно быстрей восстановить силу мышц и подвижность локтевого сустава. В зависимости от особенностей выполненного вмешательства вам будет предложен индивидуальный план реабилитации.
В некоторых случаях доктор научит вас или кого-либо из членов вашей семьи основным упражнениями, которыми следует заниматься дома в первые дни после операции. В более сложных ситуациях для ускорения восстановления движений, силы мышц и функции локтевого сустава назначается реабилитационное лечение в специализированном центре. Характер и продолжительность лечения зависят от характера вашей проблемы и типа выполненной операции.
Возвращение за руль, к основным повседневным занятиям и работе также зависят от характера предстоящей вам операции, и эти вопросы следует обсудить с доктором до ее проведения.
Возможные осложнения
У большинства пациентов, перенесших артроскопию локтевого сустава, не бывает каких-либо осложнений, однако, как и при любая другая операция, артроскопия сопряжена с определенными рисками. Если осложнения и случаются, обычно они незначительны и хорошо поддаются лечению. Однако во многих исследованиях сообщается, что риски инфекции и повреждения нервов при артроскопии локтевого сустава выше по сравнению с артроскопией, например, плечевого и коленного суставов. Возможными проблемами при артроскопии могут быть инфекция, кровотечение, тромбозы и травмы кровеносных сосудов и нервов.
Перед операцией вы обязательно обсудите с хирургом риски возможных осложнений в вашем конкретном случае.
Каждый пациент индивидуален, поэтому и сроки реабилитации в каждом конкретном случае разные.
Если объем операции в вашем случае невелик, иммобилизация конечности в вашем случае может быть не нужна, а реабилитационный период у вас закончится достаточно быстро. Вы сможете вернуться к работе или учебе уже через несколько дней после операции.
При более сложных вмешательствах реабилитационный период удлиняется. Хирургические доступы при артроскопии локтевого сустава невелики, однако это не означает, что объем внутрисуставного вмешательства такой же небольшой. Полное восстановление может занимать несколько месяцев. Восстановление - это медленный процесс, и только четкое соблюдение рекомендаций хирурга и выполнение всех пунктов плана послеоперационной реабилитации позволит вам добиться желаемого результата.
Доступы к локтевому суставу
Задний поднадкостничный доступ по Фарабефу. Локтевой сустав.
Положение больного - на спине, рука на груди. Разрез длиной до 12 см проходит по заднесрединной линии плеча над вершиной локтевого отростка, идет далее по гребню локтевой кости книзу. Разрез может быть слегка выпуклым кнаружи, что позволяет избежать образования кожного рубца непосредственно над локтевым отростком. Трехглавую мышцу рассекают продольно вместе с надкостницей. Кость скелетируют поднадкостнично (рис. 1, а).
Задний оперативный доступ по Кемпбеллу. Локтевой сустав.
Положение больного - на спине, рука согнута и лежит на груди. Производят слегка изогнутый разрез кожи, затем из апоневроза трехглавой мышцы выкраивают треугольный лоскут, основание которого расположено у локтевого отростка. После отведения лоскута вниз волокна трехглавой мышцы раздвигают продольно (рис. 1, б). При этом открывается широкий доступ к задней поверхности локтевого сустава. Вскрытие капсулы сустава позволяет произвести необходимые манипуляции на суставных поверхностях плечевой, лучевой и локтевой костей. Сухожилие трехглавой мышцы ушивают при сгибании сустава, при этом его фактически удлиняют.
Задний трансолекраноновый оперативный доступ описал Kisselbaum (1952). Локтевой сустав.

Делают подковообразный разрез, выпуклая часть которого расположена в дистальном направлении. Оба вертикальных плеча разреза проходят у мыщелков плечевой кости, поперечная часть - на 2-3 см дистальнее суставной щели. После рассечения кожи и подкожной жировой клетчатки осторожно рассекают апоневроз и под защитой желобоватого зонда выделяют локтевой нерв. Обнаженный нерв анестезируют и отводят кнутри. С обеих сторон олекранона рассекают мягкие ткани и суставную капсулу. Локтевой отросток перепиливают ближе к основанию и вместе с мышцами отводят проксимально (рис. 1, в). При этом широко обнажаются дистальный отдел плечевой кости и элементы локтевого сустава. К недостаткам доступа относится необходимость выполнять остеосинтез: имеется также опасность развития остеоартрита.
1. Задние доступы к локтевому суставу.
а - по Фарабефу; б - по Кэмпбеллу; в - трансолекраноновый.
Широкий задний доступ по Брайену - Морри. Локтевой сустав.
Этот оперативный доступ к локтевому суставу используют при переломах мыщелков и дистального конца плечевой кости, переломах локтевого отростка, застарелых вывихах предплечья. В отличие от доступа по Кэмпбеллу в данном случае не рассекают сухожилие трехглавой мышцы. Положение больного - на здоровом боку. Срединный разрез кожи производят по задней поверхности плеча и предплечья на 9 см проксимальнее и 7 см дистальнее локтевого сустава. Выделяют локтевой нерв. Медиальную порцию трехглавой мышцы отделяют от плечевой кости в зоне разреза. Поверхностную фасцию предплечья рассекают дистально примерно на 6 см с внутренней стороны локтевого отростка. Периост и фасцию тщательно отделяют как единое целое, идя изнутри кнаружи. Сухожильные волокна, которые вплетаются в локтевой отросток, тщательно отделяют, чтобы не нарушить связь трехглавой мышцы с периостом и фасцией. Локтевой сустав при этом должен быть разогнут, чтобы уменьшилось натяжение трехглавой мышцы. По завершении отделения трехглавой мышцы от локтевого отростка оставшуюся часть разгибательного механизма отводят тупо. При необходимости обнажения головки лучевой кости производят дополнительный разрез и субпериостально отсепаровывают локтевую мышцу от проксимального конца локтевой кости. Заднюю часть капсулы локтевого сустава обычно отслаивают вместе с периостом и сухожилием трехглавой мышцы. Проксимальную часть локтевого отростка можно резецировать. При этом хорошо виден блок плечевой кости. По завершении операции трехглавую мышцу подшивают к проксимальному отделу локтевой кости. Затем ушивают остальные мягкие ткани.
Наружный доступ. Локтевой сустав.
Обнажают верхушку наружного надмыщелка и в параолекраноновой части разреза отыскивают межмышечное пространство между трехглавой мышцей, расположенной сзади, и длинным лучевым разгибателем запястья и плечевой мышцей - спереди. Обнаружив это пространство, проникают в него снизу вверх и таким образом обнажают наружный край плечевой кости. Манипуляции следует производить осторожно, чтобы не повредить лучевой нерв. Общее сухожилие мышц предплечья отделяют от наружного надмыщелка. Затем сухожилие отводят в дистальном направлении, после чего обнажают капсулу сустава (рис. 2).
Чрезнадмыщелковый наружный доступ по Гурьеву - Шестерне. Локтевой сустав.

В ЦИТО разработан и многократно применялся с хорошим результатом наружный чрезнадмыщелковый оперативный доступ к локтевому суставу. Доступ малотравматичен и обеспечивает широкий осмотр переднего отдела локтевого сустава, особенно если необходимо производить манипуляции на короновидном отростке.
2. Наружный доступ (а, б) к локтевому суставу.
Положение больного - на спине, рука - на столике. Разрез мягких тканей начинают на 6-8 см проксимальнее локтевого сустава и проводят по наружному краю сухожилия трехглавой мышцы. На уровне локтевого сустава (щели) разрез овально изгибают и проводят по контуру разгибателей кисти. Рассекают фасцию. Между волокнами плечелучевой и трехглавой мышц проникают до плечевой кости. Трехглавую мышцу отводят кзади, плечелучевую мышцу - кпереди и кнутри. Долотом отсекают наружный надмыщелок плечевой кости. Толщина фрагмента должна быть около 10 мм. Этот фрагмент вместе с прикрепляющимися к нему разгибателями кисти смещают кпереди и кнутри, постепенно проникая в локтевой сустав. При этом вместе с мягкими тканями смещаются глубокая ветвь лучевого нерва, срединный нерв и локтевая артерия. В результате этого открывается широкий доступ к головке лучевой кости, головчатому возвышению, лучевой вырезке локтевой кости, кольцевидной связке, короновидному отростку локтевой кости. Завершающим элементом операции является остеосинтез наружного надмыщелка плеча винтом Тер-Егиазарова.
Передний доступ. Локтевой сустав.
Передненаружный оперативный доступ. Локтевой сустав.
Положение больного - на спине, рука отведена. Кожный разрез начинают приблизительно на расстоянии 5 см над наружным надмыщелком, ведут по переднему краю плечелучевой мышцы и затем книзу на протяжении около 10 см, обходя снаружи локтевую ямку. Подкожные вены или рассекают между лигатурами, или мобилизируют и отводят. Затем рассекают фасцию и определяют передний край плечелучевой мышцы, который остается снаружи, и наружный край двуглавой мышцы, который остается внутри. Между этими мышцами проникают тупым путем вглубь, причем плечелучевую мышцу отводят кнаружи, а плечевую - кнутри, пока не дойдут до плечевой кости. На дне раны находится лучевой нерв. Его следует обнажить и отвести на резиновой держалке. После того как отведут кнутри двуглавую мышцу, под ней открывается наружная часть плечевой мышцы. Между этими мышцами проходит мышечно-кожный нерв, а ниже уровня сустава он выходит латеральнее сухожилия двуглавой мышцы. Рассекают надкостницу по ходу наружного края
плечевой мышцы, который поднимают вместе с надкостницей и отводят. При этом обнажается также передненаружная часть капсулы. Разрезав ее, проникают до наружного мыщелка плеча и головки лучевой кости (рис. 3). Доступ довольно травматичен.
3. Линия разреза при передненаружном доступе к локтевому суставу.
Внутренний чрезнадмыщелковый доступ. Локтевой сустав.
Положение больного - на спине, рука отведена и лежит на подставке. Производят разрез на протяжении 5 см в проксимальном и дистальном направлении от внутреннего надмыщелка. Локтевой нерв освобождают и отводят кзади на держалке. Надмыщелок вместе с прикрепленными к нему сухожилиями сгибателей отсекают и отводят книзу и кнаружи. Капсулу сустава вместе с волокнами мышц - сгибателей кисти и пальцев - смещают кнаружи и книзу. При этом обнажается дистальный отдел плечевой кости. Доступ позволяет сместить локтевую артерию и срединный нерв, не обнажая их. После манипуляций на элементах локтевого сустава рану ушивают. Требуется остеосинтез отсеченного внутреннего надмыщелка.
Доступ к головке лучевой кости. Локтевой сустав.

Положение больного - на спине, рука отведена, лежит на боковом столике, согнута в локтевом суставе и пронирована. Кожный разрез начинают со стороны наружного надмыщелка плечевой кости и ведут косо книзу и кнутри. Разрез кожи длиной приблизительно 10 см проводят от локтевого отростка по гребню локтевой кости. Кожу слегка отделяют, рассекают подкожную фасцию и надкостницу по линии кожного разреза. С медиальной стороны открываются косые волокна локтевой мышцы (m. anconeus). С другой стороны расположены волокна локтевого разгибателя запястья и супинатора. Их тоже отделяют субпериостально и отводят кнаружи. Распатор необходимо двигать сверху вниз по локтевой кости. Капсулу рассекают продольно и обнажают головку лучевой кости (рис. 4). При резекции головки лучевой кости следует осторожно обойти подъемником вокруг шейки лучевой кости и на этом уровне долотом произвести резекцию (рис. 5). Супинатор вместе с глубокой ветвью лучевого нерва остается вне операционного поля и нерв не травмируется.
4. Линия разреза при заднем доступе к головке лучевой кости.
5. Задний доступ к головке лучевой кости и верхней трети локтевой кости.
Доступ к головке лучевой кости по Каплану. Локтевой сустав.
Положение больного - на животе, рука, находящаяся в абдукционном положении, лежит на подставке. Кожу рассекают по латеральной стороне локтевой области, начиная на 2,5-3,5 см выше надмыщелка, разрез ведут вниз, приблизительно на 5 см ниже уровня локтевого сустава. Послерассечения кожи и фасции проникают между плечелучевой мышцей и длинным лучевым разгибателем запястья, который отводят в латеральном направлении. Под этим слоем мышц находится супинатор. Глубокую ветвь лучевого нерва, которая проходит через супинатор, берут на держалку. Капсулу сустава вскрывают непосредственно проксимальнее супинатора. В результате открывается доступ к головке лучевой кости (рис. 6). Доступ применяют, если необходимо произвести ревизию глубокой ветви лучевого нерва наряду с вмешательством на головке лучевой кости.
6. Доступ к головке лучевой кости по Каплану.
Т.А. Ревенко, В.Н. Гурьев, Н. А. Шестерня
Операции при травмах опорно-двигательного аппарата
Доступы к локтевой кости Доступы к венечному отростку локтевой кости
Доступы к венечному отростку локтевой кости отличаются сложностью благодаря тому, что он закрыт несколькими мышечными слоями, располагается внутри суставной капсулы и близко к нему расположен локтевой нерв и его ветви. Он может быть обнажен из доступов, предложенных для артротомии локтевого сустава.
Передний доступ
Спереди венечный отросток может быть обнажен из разреза над сухожилием двуглавой мышцы плеча (доступ для артротомии локтевого сустава Левена). Сухожилие двуглавой мышцы может быть смещено как кнаружи, так и кнутри. Однако И. М. Айзенштейн рекомендует отвести это сухожилие кнутри, тогда оно защитит расположенные поверх плечевой мышцы плечевую артерию и срединный нерв и отходящие от его медиальной поверхности мышечные ветви. Наружный кожный нерв предплечья легко удается сместить кнутри. Плечевую мышцу разделяют вдоль волокон до места ее прикрепления у основания венечного отростка, руку для этого необходимо согнуть в локте. Книзу разрез ограничен сухожилием двуглавой мышцы плеча. После продольного рассечения капсулы сустава обнажается суставная поверхность венечного отростка.
Внутренние доступы
С внутренней стороны венечный отросток можно обнажить внутренними доступами к локтевому суставу, рекомендованными Пайром, В. Ф. Войно-Ясенецким, Кро, Гютером. Эти доступы имеют между собой много общего. Доступ, предложенный И. М. Айзенштейном, для обнажения венечного отростка является модификацией внутренних доступов к локтевому суставу и дает наиболее широкое обнажение отростка.
Разрез кожи ведут на 1,5 см кпереди от внутреннего надмыщелка плеча через круглый пронатор параллельно оси плечевой кости. Срединный нерв при этом не повреждается, так как он расположен латеральнее, а при согнутом локте отходит вперед. После рассечения круглого пронатора рассекают плечевую мышцу и капсулу сустава. При таком доступе обнажается венечный отросток с 3 сторон.
К венечному отростку можно подойти также из переднего доступа к локтевой кости (стр. 53). Разрез кожи необходимо продлить несколько выше локтевого сгиба. Локтевой нерв приходится выделить и отвести кнутри вместе с локтевым сгибателем кисти.
От венечного отростка нужно отделить локтевую порцию круглого пронатора и пучки поверхностного сгибателя пальцев. Вслед за этим открывается возвратная локтевая артерия, которая лежит поперек раны у основания венечного отростка (рис. 30). Ее приходится перевязать и рассечь. После этого от основания венечного отростка отделяют сухожилие плечевой мышцы. Все эти мышцы отводят кнутри. Локтевая артерия и срединный нерв остаются вне поля операционного действия, так как они расположены латеральнее венечного отростка и отодвигаются вместе с сухожилием плечевой мышцы кнаружи.
Глубокий сгибатель пальцев легко удается сдвинуть от места его начала распатором вниз и кнутри. Однако это нужно делать с осторожностью, чтобы не повредить непостоянную соединительную ветвь между локтевым и срединным нервом, которая располагается поверх глубокого сгибателя. Вслед за этим пересекается капсула сустава. Венечный отросток из такого доступа широко обнажается вместе со своим основанием (рис. 31).
Остеосинтез при переломе локтевой кости
Переломы локтевой кости чаще всего происходят при прямой травме, то есть ударе в область средней её трети. Часто сопровождаются переломами лучевой кости, либо на том же уровне, либо в верхней или нижней её части. Изолированные переломы только локтевой кости могут лечиться консервативно при отсутсвии смещения или при наличии углового смещения до 15 градусов у детей не достигших скелетной зрелости (так как ось корректируется в процессе роста кости). В остальных случаях предпочтительно хирургическое лечение.
В настоящее время для остеосинтеза простых (поперечных и косых) переломов костей предплечья чаще всего используются различные модификации пластин с компрессирующими и блокируемыми отверстиями. Ниже мы рассмотрим методику выполнения остеосинтеза простого косого перелома локтевой кости при помощи пластины с угловой стабильностью 3,5 мм Synthes на 8 отверстий, кортикальных и блокируемых винтов.
Клинический пример хирургического лечения перелома локтевой кости.
Пациент П. 39 лет, получил перелом локтевой кости в результате прямой травмы (падение на бордюрный камень с упором на согнутую в локтевом суставе руку).
Обратился в РТП, была наложена гипсовая повязка, лечился консервативно.
Обратился на консультацию в К+31. С целью ранней реабилитации, активизации, профилактики замедленной консолидации и формирования ложного сустава, полного восстанволения функции конечности предложено оперативное лечение - открытая репозиция, остеосинтез перелома пластиной и винтами Synthes.

Пациент госпитализирован с приёма, проведено полное предоперационное обследование, операция выполнена в день обращения.
В случае простых переломов, где линия перелома образована 2 основными крупными фрагментами (возможно наличие небольшого количества мелких фрагментов не препятсвующих стабильной фиксации) выполняется остеосинтез при помощи пластины и винтов с достижением максимальной механической стабильности в зоне перелома и компрессии между собой отломков.
Такой остеосинтез был впервые предложен и претерпел дальнейшее широкое распространение благодаря международному сообществу травматологов - ортопедов AO\ASIF.
После выполнения стандартного доступа к локтевой кости, мобилизации костных отломков, осуществлена их репозиция при помощи костодержателей.

Пластина на локтевой кости может устанавливаться в трёх различных позициях, под локтевым сгибателем кисти, локтевым разгибателем кисти и между ними. Первые две позиции предпочтительнее, так как в третьем случае пластина будет пальпироваться непосредственно под кожей.

Выбор позиции зависит от морфологии перелома, то есть от того, где проходит его основная плоскость.
Метафизарная пластина Synthes позволяет создавать межфрагментарную компрессию как за счёт её предварительного сгибания так и при установке компрессирующего винта эксцентрично.

Вторым этапом устанавливается компрессирующий винт, ось проведения компрессирующего винта перпендикулярна плоскости перелома.
Компрессирующий винт создаёт дополнительную межфрагментарную компрессию. Он может быть проведён как через отверстие в пластине, так непосредственно через кость. В большинстве случаев удобнее проводить его непосредственно через кость, так легче добиться правильной оси его проведения - перпендикулярно плоскости перелома.
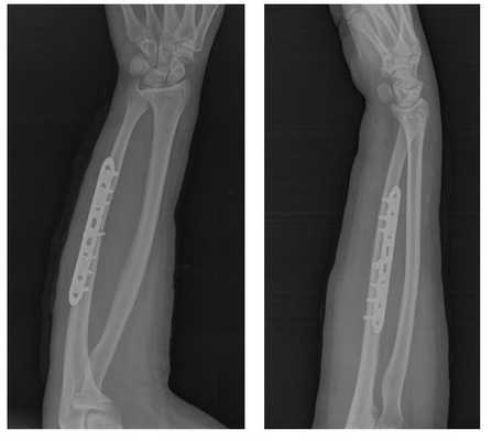
Окончательно остеосинтез выглядит на схеме так.

В операционной остеосинтез выглядит так.

На рентгенограммах после операции остеосинтез выглядит так.

Такой остеосинтез крайне надёжен и позволяет давать полную амплитуду движений непосредственно сразу после операции. С целью заживления послеоперационной раны и минимизации боли в раннем послеоперационном периоде (первые 2 недели после операци) рекомендуется ношение косыночной повязки и использование грелки со льдом местно по 20-30 минут до 5 раз в день.
После снятия швов можно использовать руку для бытовых нужд. Через 6 недель выполняется рентгенконтроль, при наличии признаков сращения нагрузка увеличивается до полной. Однако форсированные физические нагрузки противопоказаны до 3 месяцев после операции.
Удаление металлофиксаторов при диафизарных переломах костей предплечья не рекомендуется. В случае выраженного дискомфорта удаления не рекомендуется раньше 2 лет после операции в связи с высоким риском рефрактуры.
Артроскопия локтевого сустава
Весь контент iLive проверяется медицинскими экспертами, чтобы обеспечить максимально возможную точность и соответствие фактам.
У нас есть строгие правила по выбору источников информации и мы ссылаемся только на авторитетные сайты, академические исследовательские институты и, по возможности, доказанные медицинские исследования. Обратите внимание, что цифры в скобках ([1], [2] и т. д.) являются интерактивными ссылками на такие исследования.
Если вы считаете, что какой-либо из наших материалов является неточным, устаревшим или иным образом сомнительным, выберите его и нажмите Ctrl + Enter.
В последнее время широкое распространение и внедрение в клиническую практику получила артроскопия локтевого сустава. Помимо чисто диагностических целей (ревизия внутрисуставных структур, биопсия синовиальной оболочки и суставного хряща), выполняют различные оперативные манипуляции: удаление внутрисуставных тел, санацию очагов хондромаляции, артролиз и т.д.
Методика проведения артроскопии локтевого сустава
Предварительно проводят маркировку локтевого сустава при сгибании его до 90°: делают разметку латерального и медиального надмыщелков плечевой кости, головки лучевой кости и всех используемых артроскопических доступов.
Положение больного
Супинационная позиция. Положение больного - на спине, руку в плечевом суставе отводят до 90°. Дистальный отдел предплечья и кисть фиксируют таким образом, чтобы в случае необходимости можно было осуществить вытяжение через специальное, прикрепляющееся к операционному столу подвесное устройство с блоком и противовесом. При этом удерживают сгибание в локтевом суставе под углом около 90°.
Пронационная позиция. Положение пациента - на животе. Исследуемая рука свободно свисает с края операционного стола. В этом варианте подвесная система не нужна, плечо отведено до 90°, в локтевом суставе самопроизвольно устанавливается угол сгибания 90°. Под плечевой сустав и верхнюю треть плеча устанавливают короткую подставку с валиком.
В верхней трети плеча накладывают пневматический жгут. Максимальное давление - 250 мм рт.ст.
На первом этапе осуществляют максимальное наполнение полости локтевого сустава физиологическим раствором, что позволяет сместить нервные и сосудистые структуры кпереди и исключает возможность их повреждения. Наполнение сустава производится через прямой латеральный доступ, в нём же устанавливают постоянную канюлю для оттока. Топографически этот доступ располагается в центре так называемого треугольника Smith, образованного серединой головки лучевой кости, верхушкой локтевого отростка и латеральным надмыщелком плеча. Иглу вводят перпендикулярно поверхности кожи через мышцы и суставную капсулу. Обычно объём полости сустава составляет 15-25 мл. Признаком того, что сустав максимально наполнен, служит истечение жидкости из иглы под давлением. Рекомендуемое давление в полости сустава - до 30 мм рт.ст. При более высоком давлении может возникнуть наряду с перерастяжением капсулы и перерастяжение лучевого нерва.
Наиболее часто при артроскопии локтевого сустава используют три основных доступа: переднелатеральный, переднемедиальный и заднелатеральный. Остальные доступы считают добавочными и используют по мере необходимости. Недопустимо «слепое манипулирование» инструментами в полости сустава: это может привести к повреждению сосудисто-нервного пучка и/или суставного хряща даже при максимальном наполнении полости сустава.
Диагностическую артроскопию локтевого сустава начинают с переднего отдела. Это связано с тем, что максимальное расширение суставной полости возможно только при условии сохранения герметичности суставной капсулы, а при выполнении заднего доступа это условие уже не соблюдается - соответственно, нет максимального наполнения и перемещения нейрососудистых структур кпереди.
Переднелатеральный доступ. Согласно данным J.R. Andrews (1985), этот доступ расположен на 3 см дистальнее и на 1 см кпереди от латерального надмыщелка. В этом случае при введении троакар проходит вентральнее головки лучевой кости через короткий лучевой разгибатель кисти, всего в 1 см от лучевого нерва, расположенного кпереди. W.G. Carson (1991) определяет точку для этого доступа на 3 см дистальнее и на 2 см кпереди от латерального надмыщелка, вследствие чего ещё больше приближается к лучевому нерву. В эксперименте на трупных препаратах мы отработали оптимальную, на наш взгляд, точку для этого доступа: она расположена на 1 см дистальнее и на 1 см кпереди от латерального надмыщелка. В продольном направлении делают разрез кожи длиной 0,5 см. Оболочку артроскопа с тупым троакаром вводят строго по направлению к венечному отростку. Траектория проходит прямо, спереди головки лучевой кости, через короткий лучевой разгибатель и в 1 см от лучевого нерва. Артроскоп вводят при пронации предплечья, что уменьшает риск повреждения глубокой ветви лучевого нерва.
В первую очередь осматривают медиальный отдел капсулы сустава.
В части случаев можно отметить сморщивание и рубцевание медиального отдела капсулы сустава. При гипертрофии синовиальных ворсин, затрудняющей осмотр сустава, производят шейвирование синовиальной оболочки.
Затем артроскоп перемещают из медиального отдела в средний, а потом в латеральный отдел сустава. Последовательно осматривают блок плечевой кости, венечный отросток, головочку мыщелка плеча и головку лучевой кости. При осмотре этих структур обращают внимание на состояние хрящевого покрова, наличие очагов хондромаляции, их распространённость, глубину поражения хрящевой пластины, наличие остеофитов венечного отростка, его деформацию и соответствие блоку плечевой кости при сгибании и разгибании. Головочку мыщелка плеча осматривают спереди, головку лучевой кости - при ротационных движениях предплечья, что даёт возможность осмотреть примерно три четверти её поверхности.
Существует второй способ установки переднемедиального доступа. При этом артроскоп, введённый через переднелатеральный доступ, продвигают в нижнемедиальный отдел сустава. Затем артроскоп заменяют на длинный троакар, который упирается в медиальную стенку сустава, и снаружи в области выступающего конца троакара делают надрез кожи. На наш взгляд, второй способ имеет преимущества, так как полностью отсутствует риск повреждения суставного хряща при введении троакара. Кроме того, точка, выбираемая в полости сустава под контролем зрения, максимально удалена от передней поверхности сустава и, следовательно, от сосудисто-нервного пучка.
Во время артроскопии возможна инверсия, т.е. перестановка артроскопа и инструментов, так как лучшая визуализация синовиальной оболочки латерального отдела сустава, головочки мыщелка плеча и головки лучевой кости осуществляется из переднемедиального доступа.
Основным диагностическим доступом для заднего отдела сустава считают задне-латеральный доступ, локализованный на 3 см проксимальнее верхушки локтевого отростка, сразу же за латеральным краем сухожилия т. triceps. В зоне доступа проходят ветви заднего кожного нерва предплечья и латерального кожного нерва плеча. Для предупреждения их повреждения необходимо при выполнении доступа исключить использование острого троакара.
Второй способ установки заднелатерального доступа - по ходу суставной щели между прямым задним и среднелатеральным доступом. В этом случае артроскоп проходит в ямку локтевого отростка снизу вверх, что имеет свои преимущества для обзора. Инструментальным доступом тогда будет прямой задний. Посредством заднелатерального доступа можно визуализировать ямку локтевого отростка, верхушку локтевого отростка, заднелатеральную сторону плечелоктевого сочленения. При осмотре необходимо выполнять сгибательно-разгибательные движения в суставе, что позволяет более полноценно осмотреть эту зону.
Прямой задний доступ находится чуть латеральнее срединной линии, проходящей через локтевой отросток. Троакар проводят непосредственно через сухожилие трёхглавой мышцы по направлению к центру локтевой ямки. Этот доступ используют для установки артроскопа, тогда как инструменты проводят через заднелатеральный доступ.
После проведения артроскопии накладывают швы на кожные раны. Показана иммобилизация конечности - на косыночной повязке. На следующий день начинают активные движения в локтевом суставе.
Читайте также:
- Причины дальнозоркости. Что это за болезнь?
- Доминантные полушария при эпилепсии. Регионарная эпилептическая система
- История изучения канцерогенеза. Двухстадийный канцерогенез кожи.
- Диагностика плазмоцитомы и множественной миеломы на КТ, МРТ органов грудной клетки
- Влияние кальцитонина на концентрацию кальция в плазме. Регуляция концентрации кальция в крови
