Техника реконструкции повреждений кости Банкарта с фиксацией к анкеру при передней нестабильности плечевого сустава
Добавил пользователь Владимир З. Обновлено: 21.01.2026
Центральный научно-исследовательский институт травматологии и ортопедии им. Н.Н. Приорова Министерства здравоохранения и социального развития РФ, Москва
ФГАОУ ВО «Российский Университет Дружбы Народов», Москва, Россия
ФГБУ «НМИЦ ТО им. Н.Н. Приорова» Минздрава России, Москва, Россия
Тактика хирургического лечения посттравматических ложных суставов и дефектов диафиза плечевой кости
Журнал: Вестник травматологии и ортопедии им Н.Н. Приорова. 2019;(1): 35‑41
Актуальность. Переломы плечевой кости составляют от 5 до 8% от всех переломов костей скелета. Несращения их встречаются нечасто, однако в случае наличия инфекции, нарушенного кровоснабжения, при открытых, многооскольчатых переломах вторичное костное сращение может быть затруднено. В случае нарушенного местного репаративного потенциала выбор в пользу становится практически неизбежным. Цель исследования: определение показаний к кровоснабжаемой костной пластике при ложных суставах и дефектах плечевой кости и анализ ее эффективности. Пациенты и методы. В отделении микрохирургии и травмы кисти ФГБУ «НМИЦ ТО им. Н.Н. Приорова» в период с 2010 по 2017 г. было проведено оперативное лечение с использованием васкуляризованных костных трансплантатов 41 пациента с ложными суставами и дефектами плечевой кости. У 38 пациентов использовался васкуляризованный трансплантат из малоберцовой кости, у 3 — из медиального мыщелка бедренной кости. Во всех случаях применялся накостный остеосинтез пластиной. Оценка результатов проводилась на основании рентгенологического исследования и компьютерной томографии. Результаты. Консолидация перелома при кровоснабжаемой костной пластике была достигнута в 36 (88%) случаях в течение 4-6 мес: в группе с применением малоберцового трансплантата — в 33 случаях, в группе с применением трансплантата из мыщелка бедренной кости — у 3 пациентов. Заключение. Каждый ложный сустав плечевой кости имеет уникальный комплекс причин возникновения и требует индивидуализированного подхода. При длительно существующих посттравматических ложных суставах и дефектах плечевой кости кровоснабжаемая костная пластика является эффективным способом лечения. Конфликт интересов: не заявлен Источник финансирования: исследование проведено без спонсорской поддержки
Введение. Переломы плечевой кости составляют от 5 до 8% от всех переломов костей скелета [1]. Несращения их встречаются нечасто: накостный остеосинтез — в 5,5-8,7% случаев, блокируемый интрамедуллярный остеосинтез — в 3-5,6% [15]. Однако, несмотря на редкую встречаемость, они могут представлять значительные трудности для травматолога-ортопеда.
Существуют различные факторы, которые могут предрасполагать к несращению плечевой кости у пациента. Ожирение, остеопороз, алкоголизм, курение, сопутствующие заболевания могут увеличить частоту несращения, однако их невозможно скорректировать перед выполнением ревизионной хирургии [1]. Тем более что обычно у пациента имеется более одного фактора, приводящего к слабости репаративного потенциала при переломе плечевой кости [14].
Плохое качество кости, связанное с наличием у пациента остеоартрита или остеопороза может в дальнейшем компрометировать среду, необходимую для заживления перелома. В дополнение — рубцовые ткани, оставшиеся от предыдущих хирургических вмешательств, и близость сосудисто-нервных образований к медиальной стенке плечевой кости могут осложнить хирургический доступ к зоне несращения даже для опытного травматолога-ортопеда 7.
Описано много способов лечения ложных суставов плечевой кости, дающих различную вероятность успеха. Применяются открытая репозиция и внутренняя фиксация, интрамедуллярный остеосинтез, аппараты наружной фиксации, однако выбор оптимальной методики до настоящего времени остается предметом научных дебатов.
Частота сращения ложных суставов плечевой кости при использовании традиционных методик остеосинтеза в комбинации с использованием костных трансплантатов варьирует от 70 до 92% 3, однако в случае наличия инфекции, нарушенного кровоснабжения, при открытых, сегментарных или многооскольчатых переломах вторичное костное сращение может быть затруднено [7].
Распространенность костной консолидации при открытой репозиции и внутренней фиксации неинфицированного ложного сустава плечевой кости варьирует от 64 до 100% [11]. Присутствие инфекции часто ассоциировано со значительно более низкой вероятностью достижения костного сращения, ограничивает возможности хирургического лечения и приводит к ухудшению функциональных результатов [1, 4]. Лечение инфицированных ложных суставов, ложных суставов у пациентов с множеством предшествующих неудавшихся попыток оперативного лечения в анамнезе должно быть комплексным [15]. В таких ситуациях использование васкуляризованного костного трансплантата становится практически неизбежным, так как оно обусловливает большую вероятность успеха и ускорения репаративного процесса 15.
Дополнительным преимуществом васкуляризованного костного трансплантата является возможность его применения в сочетании с кожно-мышечным лоскутом для реконструкции сопутствующего мягкотканного дефекта.
Цель настоящего исследования — определение показаний к кровоснабжаемой костной пластике при ложных суставах и дефектах плечевой кости и анализ ее эффективности.
Материал и методы
В отделении микрохирургии и травмы кисти ФГБУ «НМИЦ ТО им. Н.Н. Приорова» в период с 2010 по 2017 г. было проведено оперативное лечение 41 пациента (19 мужчин, 22 женщины) с ложными суставами и дефектами плечевой кости с использованием васкуляризованных костных трансплантатов. Средний возраст пациентов составил 41 год (18-65 лет), средний период времени с момента травмы — 2 года и 4 мес (1-8 лет).
До поступления в НМИЦ ТО им. Н.Н. Приорова некоторые пациенты уже были оперированы с применением различных методик наружного и погружного остеосинтеза: среднее количество операций — 2,2 (2-7).

Кровоснабжаемый трансплантат из малоберцовой кости использовался у 38 (93%) пациентов, васкуляризованный трансплантат из медиального мыщелка бедренной кости — у 3 (7%) пациентов (рис. 1). Рис. 1. Распределение пациентов по типу васкуляризованного трансплантата.
Во всех случаях применялся накостный остеосинтез пластиной без контакта пластины с трансплантатом (мостовидная костная пластика).
Перед использованием лоскута из малоберцовой кости проводился тщательный костный и мягкотканный дебридмент.
При наличии показаний в раннем послеоперационном периоде проводилась ранняя хирургическая ревизия трансплантата, чтобы избежать нарушения в нем микроциркуляции.
Оценка результатов проводилась на основании данных рентгенологического исследования и компьютерной томографии.
Результаты

Консолидация перелома при кровоснабжаемой костной пластике была достигнута в 36 (88%) случаях в течение 4-6 мес (рис. 2): Рис. 2. Результаты оперативного лечения с использованием кровоснабжаемой костной пластикой. в группе применения малоберцового трансплантата консолидация была достигнута в 33 случаях, в группе трансплантата из мыщелка бедренной кости — в 3 случаях.
Клинический пример 1
Пациентка И., 34 лет.
Диагноз: последствия минно-взрывного ранения левого плеча с дефектом плечевой кости, мягких тканей, лучевого нерва. Остеомиелит.
На рис. 3-9 Рис. 3. Пациентка И., 34 лет. Внешний вид до операции. Рис. 9. Внешний вид и функция через год после операции. представлены все этапы обследования и лечения пациентки И.

Рис. 4. Рентгенограмма пациентки И. до операции.

Рис. 5. Пациентка И. Этапное оперативное вмешательство. а — замещение дефекта плечевой кости цементным спейсером; б — транспозиция торакодорсального лоскута в область мягкотканного дефекта плеча; в — послеоперационная рентгенограмма.

Рис. 6. Рентгенограммы пациентки И. после удаления цементного спейсера.

Рис. 7. Оперативное лечение пациентки И.: пластика левой плечевой кости свободным кровоснабжаемым трансплантатом из малоберцовой кости.
Клинический пример 2
Пациентка Н., 41 года.
Диагноз: ложный сустав левой плечевой кости.
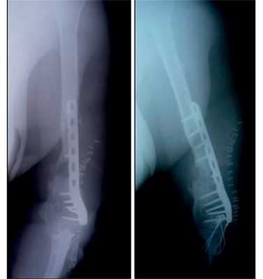
На рис. 10-14 Рис. 10. Рентгенограмма пациентки Н. до операции. Рис. 14. Внешний вид и функция пациентки Н. через 8 мес после операции. представлены этапы обследования и лечения пациентки Н.

Рис. 11. Пациентка Н. Оперативное лечение: резекция зоны ложного сустава левой плечевой кости, остеосинтез пластиной и винтами. Пластика свободным кровоснабжаемым трансплантатом из внутреннего мыщелка бедренной кости.

Рис. 12. Рентгенограммы пациентки Н. после операции.

Рис. 13. Рентгенограммы пациентки Н. через 8 мес после операции.
Васкуляризованные костные трансплантаты могут быть использованы при лечении посттравматических ложных суставов, аваскулярных некрозов, некрозов кости после лучевого поражения, остеомиелита, для реконструкции костного дефекта. Выбор вида костного трансплантата остается до настоящего времени неопределенным.
В последнее время трансплантат из мыщелков бедра используется для лечения тяжелых ложных суставов конечностей, не поддающихся другому лечению [15].
В противоположность васкуляризованному трансплантату из малоберцовой кости, трансплантат из медиального мыщелка бедренной кости меньше в размерах, более гибкий и может быть с легкостью встроен в дефект неправильной формы. Эластичность трансплантата допускает его более тугую укладку вокруг трубчатой кости. Это особенно удобно при малом размере дефекта, когда использование аутокости из крыла подвздошной кости или малоберцового трансплантата может быть проблематичным [13].
A. King и соавт. [13] достигли успехов в лечении 5 пациентов с ложными суставами плечевой кости с помощью васкуляризованного кортикопериостального трансплантата из медиального мыщелка бедренной кости. Средний срок достижения костной консолидации составил 7,5 мес, ревизионное вмешательство не потребовалось ни в одном случае. Все пациенты имели отличную функцию локтевого и плечевого суставов. Эти данные совпадают с нашими наблюдениями, однако показания к выбору методики требуют уточнения в дальнейших исследованиях.
Атрофические ложные суставы без значительного костного дефекта могут быть эффективно скорректированы при помощи васкуляризованного кортикопериостального трансплантата из медиального мыщелка бедренной кости [15].
Васкуляризованный трансплантат из малоберцовой кости имеет преимущества в случае больших костных дефектов, при нестабильности и инфицированности ложного сустава, особенно при наличии множественных неудавшихся попыток получить сращение другими способами, при атрофии костной ткани и повреждении окружающих мягких тканей. Использование васкуляризованного трансплантата из малоберцовой кости, как правило, приводит к заживлению перелома с хорошим восстановлением мягких тканей и разрешением хронической инфекции [15].
Заключение. Таким образом, при длительно существующих посттравматических ложных суставах и дефектах плечевой кости, при наличии двух и более оперативных вмешательств с неудовлетворительным результатом в анамнезе кровоснабжаемая костная пластика является эффективным способом лечения.
Каждый ложный сустав плечевой кости имеет уникальный комплекс причин возникновения и требует индивидуализированного подхода.
Артроскопия плечевого сустава
Среди них и самая первая , сделанная в Ленинграде в 1986 году, которую провел Кузнецов Игорь Александрович - ныне профессор травматологии и ортопедии главный врач СпортКлиники.
Плечевой сустав - подвижное соединение между лопаткой и плечевой костью. Это многоосное шаровидное сочленение позволяет совершать движения во всех плоскостях. При этом истинных связок не имеет и укреплен мышцами верхней конечности, что обуславливает высокую подвижность, но при этом большую подверженность вывихам. Вращательную манжету плеча образуют мышцы, непосредственно прилежащие к капсуле плечевого сустава, а именно, надостная, подостная, подлопаточная и малая круглая. Часть ее расположена по краю лопаточной впадины, в которой находится круглой формы головка плечевой кости. Эта часть хряща называется суставной губой. Таким образом, увеличивается площадь суставной поверхности и амплитуда движений. С одной стороны она стабилизирует сустав, с другой - является его уязвимой частью и нередко подвергается повреждениям. Частота травм данной локализации высока. Травматические повреждения, а также их последствия зачастую требуют хирургического лечения. Наиболее щадящим методом хирургического лечения является артроскопия.
Основные преимущества артроскопии
Артроскопия плечевого сустава - это современное хирургическое решение, альтернативное классической открытой хирургии. По своей частоте артроскопии плеча находятся на втором месте после коленного.
Так какие же можно выделить преимущества?
- Это малоинвазивный метод, что означает минимальные разрезы. Ровно такие, чтобы в полость сустава можно было ввести хирургические инструменты. А, значит, не остается крупного рубца на коже такой заметной области, как плечо. Снижается до минимума риск послеоперационных осложнений, связанный с травматизацией окружающих тканей.
- Точность диагностики благодаря современной оптике и увеличению изображения, передаваемого на экран, позволяет доктору максимально точно определить очаг патологии и сохранить здоровые ткани.
- Нет необходимости в длительном пребывании в стационаре. Пациентов, как правило, отпускают домой уже через несколько часов.
- Реабилитация после артроскопии протекает быстрее и легче по сравнению с классической.
Показания к проведению артроскопии.
Рассмотрим основные случаи, когда показана артроскопия плеча:
Повреждение Банкарта
Головка плечевой кости при избыточных нагрузках часто травмируется. Происходит отрыв ее части, что влечет нестабильность, вывихи, болевой синдром. Повреждение Банкарта - это разрыв суставной губы суставного отростка лопатки в передней ее части. Самая распространенная патология плеча. Наиболее часто встречается у теннисистов, гандболистов, волейболистов и т.д. Артроскопически выполняют фиксацию деформированного участка либо формируют валик из капсулы сустава, подшивая его к кости фиксаторами.
SLAP-повреждение
Характеризуется разрывом суставной губы в верхней ее части в области прикрепления сухожилия длинной головки двуглавой мышцы плеча. В группе риска, прежде всего, находятся спортсмены, занимающихся бросанием или подъемом тяжестей. В данном случае в ходе артроскопической операции выполняют не только восстановление, но и крепление сухожилия двуглавой мышцы.
Повреждение вращательной манжеты
Целостность вращательной манжеты необходима для стабильности сустава и сохранения его двигательной активности. Ее нарушение может быть вызвано травмами, вывихами или хроническим воспалительным процессом. Чем раньше произвести операцию в случае разрыва сухожилия мышцы, тем выше шансы для полного восстановления функций. Во время артроскопии поврежденное сухожилие натягивают и прикрепляют швом или фиксаторами. Наименее травматичным будет артроскопический оперативный доступ.
Субакромиальный инпинджмент-синдром
Вызывает защемление вращательной манжеты и других мягких тканей между головкой и акромиальным отростком лопатки при их соударении. На начальных стадиях синдрома, обратимого и не имеющего осложнений, проводят консервативную терапию. Оперативное лечение, как правило, включает сразу несколько манипуляций: резекцию края акромиона, дебридмент измененной субакромиальной сумки, релиз клювовидно-акромиальной связки и резекцию остеофитов. Все эти манипуляции наиболее часто проводят артроскопически, так как этот доступ малоинвазивный и эффективный.
Этапы артроскопии плечевого сустава.
На этапе подготовки к операции оценивается здоровье пациента на основании данных анамнеза, лабораторных исследований и, при необходимости, дополнительных методов диагностики. В отсутствии противопоказаний назначают дату хирургического вмешательства. Анестезия при артроскопии, как правило, местная (спинальная или проводниковая), благодаря чему снижается риск осложнений, возможных при наркозе. Используют задний и передний доступ к полости плечевого сустава, рука при этом находится в положении отведения. Инструменты вводятся в суставную полость через два маленьких разреза. Артроскоп позволяет визуализировать структуры внутри сустава, увеличенное их изображение выводится на экран. После оценки состояния, выявления патологических областей, принимается решение о необходимости тех или иных лечебных манипуляций, которые доктор осуществляет в ходе этой же операции. После пациента перевозят в удобную палату, где его могут навестить близкие. Домой можно отправляться уже через 3-4 часа после операции.
Реабилитация.
Травматизация окружающих сустав тканей при артроскопии минимальна, благодаря этому периферический отек и ограничение в движении после оперативного вмешательства менее выражены и «уходят» гораздо быстрее, чем после открытых операций. Вероятность инфекционных осложнений гораздо ниже, чем при артротомии, поэтому прием антибиотиков назначают крайне редко. В раннем периоде к суставу прикладывают холод, при необходимости пациенту назначают прием противовоспалительных обезболивающих средств. После снятия швов для скорейшего выздоровления и во избежание возможных осложнений наазначается курс реабилитационных мероприятий.
Врач-реабилитолог подбирает индивидуальную комфортную и максимально эффективную программу, которая может включать в себя:
- Лечебный массаж.
- Физиотерапию.
- Кинезиотерапию.
- Тейпирование, применение фиксаторов.
- Механотерапию.
При соблюдении всех рекомендаций уже через 1-2 месяца возможно возвращение к активной жизни и профессиональному спорту.
Лечение нестабильности плечевого сустава, повреждение Банкарта
Нестабильность плечевого сустава, вызванная травматическим повреждением суставной губы, относится к одной из наиболее распространенных причин болей в области плечевого сустава, особенно у молодых людей.
Суставная губа практически всегда повреждается при вывихах плеча (повреждение Банкарта /Bankart/). Кроме того подобные повреждения возникают и при занятиях различными видами спорта: падения, травмы, бросковых движениях, силовые нагрузки, нескоординированные движения.
При значительном дефекте суставной губы могут отмечаются повторные вывихи плеча (привычный вывих плеча), при менее значительном повреждении возникает чувство нестабильности сустава при определенных движениях и нагрузках, пощелкивание в суставе. Отмечается так называемый симптом "предчувствия боли", когда пациент знает, что при продолжении отведения, или вращения руки больше определенного градуса - возникнет боль.
В норме головка плеча удерживается в контакте с суставной впадиной лопатки за счет нескольких факторов: стабилизирующего действия суставной губы, капсулы сустава, связок, а так же за счет прижимающего действия окружающих мышц.
При повреждении Банкарта, происходит нарушение стабилизирующего действия суставной губы, капсулы сустава и нарушение центрации головки в суставе. Головка плеча получает возможность соскальзывать с суставной поверхности гленоида.
Нередко подобное повреждение сочетается с формированием хрящевого или костно-хрящевого дефекта в заднем отделе головки плеча (повреждение Хилл-Сакса / Hill-Sachs /). При отведении и ротации руки происходит соскальзывание головки в область дефекта, что сопровождается болью и щелчком в суставе.

Рисунок 1: Анатомия плечевого сустава.

Рисунок 2: Нормальное строение суставной губы.
![]() Рисунок 3: Повреждения возникающие при вывихе плеча. | ![]() Рисунок 4: Повреждение суставной губы и повреждение Хилл-Сакса сохраняющиеся после устранения вывиха плеча. |
Наиболее часто происходит повреждение суставной губы в переднем, переднее-нижнем отделе сустава (повреждение Bankarta). Существует несколько вариантов повреждения суставной губы, в зависимости от локализации повреждения и сопутствующего повреждения надкостницы, связок, хряща, костной ткани. Возможен отрыв суставной губы с участком костным фрагментом гленоида - костный Банкарт, повреждения суставной губы с надкостницей и капсулой сустава - GLAD, ALPSA, повреждение суставной губы в месте крепления сухожилия длинной головки бицепса - SLAP повреждения. отрыв капсулы сустава от головки плеча - HAGL, и тд.

Рисунок 5: Анатомический препарат с демонстрацией строения суставной губы.

Рисунок 6: Варианты повреждения суставной губы.
ОПЕРАЦИЯ БАНКАРТА
Для восстановления анатомии и стабильности сустава применяется операция по рефиксации суставной губы (операция Банкарта). В настоящее время эти операции преимущественно выполняются артроскопическим способом - "Артроскопическая пластика суставной губы". При повреждениях с костным дефектом края гленоидальной впадины (более 20%) - применяются операции, включающие костную пластику - операция Латерже ( операция Bristow-Latarget). При значительном повреждении Хилл-Сакса возможно выполнение дополнительной фиксации капсулы сустава к области дефекта (remplissage).
ОСНОВНЫЕ ЭТАПЫ ОПЕРАЦИИ БАНКАРТА.
Из стандартных артроскопических портов проводится осмотр плечевого сустава, уточняется локализация и характер повреждения суставной губы, сопутствующие повреждения. Важным этапом является полноценная мобилизация суставной губы, которая при застарелых повреждениях нередко фиксирована ниже края суставной поверхности гленоида.

Рисунок 7: Артроскопическая картина повреждения Банкарта.
Следующим этапом является очистка костной поверхности гленоида, для создания возможности приращения суставной губы к месту фиксации.
Затем, в крае гленоидальной впадины лопатки формируется несколько отверстий, в которые вводятся специальные якорные фиксаторы (на рисунках использован якорный фиксатор Y-KNOT 1,3 mm). Суставная губа прошивается, подтягивается и фиксируется к костному краю при помощи нитей, соединенных с якорными фиксаторами. Формируется своеобразный "валик" в области края гленоида. Это создает условия для приращения суставной губы к месту отрыва и восстановления стабильности сустава.
В настоящее время существует довольно большое количество различных якорных фиксаторов, отличающихся диаметром (1,3 - 3,5 мм), рассасывающимся(полимолочная кислота) , либо не рассасывающимся материалом (титан), количеством и типом нитей, а так же узловым, или безузловым методом фиксации нитей.
Я в своей практике преимущественно использую якорные фиксаторы производства ConMed Linvatec (USA), в том числе безузловые фиксаторы POPLOK® 3.5 MM (KNOTLESS) SUTURE ANCHORS, и новый "мягкий" якорь Y-KNOT™ 1.3MM ALL-SUTURE ANCHOR
Пример использование безузлового фиксатора POPLOK при восстановлении SLAP повреждения
![]() Рисунок 12: SLAP повреждение. | ![]() Рисунок 13: Фиксация при SLAP повреждении с помощью без узлового фиксатора PopLok. |
В послеоперационном периоде, при рефиксации суставной губы, назначается иммобилизация руки ортезной повязкой до 3 недель. Проводится лечебная физкультура, затем постепенное восстановительное лечение, по периодам. Лимфодренаж, статическое напряжение мышц, безболезненные движения кистью и в локтевом суставе (с первых дней после операции), пассивная разработка движений в суставе (с 3 недели), затем активные движения в суставе, постепенное восстановление полного объема движения и силы мышц, работа на координацию. Возвращение к полным нагрузкам и занятиям спортом возможно в сроки 4-6 месяцев после операции.
--// 05.2022 Узбекистан. Проведение показательных артроскопических операций на коленном и плечевом суставе. Институт ортопедии-травматологии, г.Ташкент. --// 05.2022 Выступление на 1 съезде травматологов-ортопедов Приволжского ФО, г.Нижний Новгород. --// Приглашенный эксперт 6 Международной образовательной школы "Артромастер" . г.Казань. 03.2022. Презентация авторской методики "Армирование плече-лопаточных связок при нестабильности плечевого сустава". -- //Выступление на конференции "Артромост" 2021, Москва. проведение матер класса -- //Ташкент, Самарканд / 11.2021. выступление на конференции и проведение показательных операций (см. репортаж на YouTub) -- //Евразийский ортопедический форум, онлайн клуб, вебинар 10.2021 "Первичный вывих плеча. Консервативное, либо оперативное лечение?" ---- // 05.2021 "Привычный вывих плеча, варианты продвинутых техник стабилизации". -- //Приглашенный эксперт, участие в форуме МРО РОРР "Онлайн диагностика 3.0" Москва. 04.2021. -- //Приглашенный эксперт 5 Международной образовательной школы "Артромастер" . г.Казань. 03.2021. -- На канале YouTube выложено новое видео "Артроскопический шов передней крестообразной связки" -- С января 2021 прием и оперативное лечение поровдятся на базе "Швейцарской университетской клиники" г.Москва.
Лечение передней нестабильности плечевого сустава. Повреждение Банкарта.
Наша клиника предлагает точную диагностику, всестороннее лечение и эффективную реабилитацию при повреждении Банкарта и других причинах нестабильности плечевого сустава.
Плечевой сустав является одним из наиболее подвижных в организме - он способен поворачиваться в различных направлениях. Человек может поднимать и опускать руку, осуществлять круговые движения, вперед и назад. Итогом чрезмерных нагрузок на этот сустав нередко становится его нестабильность. Это состояние характеризуется выходом головки плечевой кости из лопаточной суставной впадины (вывих). Оно наступает вследствие постепенной перегрузки или острой травмы. В результате подвергаются растяжению сухожилия мышц. К тому же повреждается хрящ, выстилающий впадину, а также расположенный по ее краю, так называемая суставная губа. Она наиболее подвержена травмам, иногда остающимся незаметными.
Однако вследствие ее повреждения возникает нестабильность сустава, способствующая дальнейшей травматизации и снижению его функции. Чаще всего, травма встречается в одном плече, однако иногда бывает и с двух сторон. В особенности последнее характерно для пациентов, обладающих слабой соединительной тканью, а также для профессиональных спортсменов, которые выполняют параллельные повторяющиеся упражнения верхними конечностями (например, для пловцов). Если разрыв хряща затрагивает переднюю часть суставной губы, то это состояние называют повреждением Банкарта. Это наиболее часто возникающая травма плеча, особенно среди профессиональных спортсменов (теннисистов, гандболистов).
Классификация
Принято классифицировать повреждение Банкарта по типу:
- Классический. Для него характерен полный отрыв передней части суставной губы от лопаточной кости. В момент травмы ощущается резкая боль, дискомфорт, слышен громкий щелчок.
- Костный. В этом случае разрыв сопровождается переломом в области края впадины, что требует незамедлительного хирургического вмешательства.
- Возможен неполный отрыв, в таком случае, при раннем хирургическом лечении фиксация поврежденного участка проходит наиболее удачно.
- Отрыв суставно-плечевой связки от головки плечевой кости, также вызывающий переднюю нестабильность.
Причины

Чаще всего нестабильность плечевого сустава возникает вследствие получения травмы, при которой имеет место также и дислокация кости плеча. К примеру, если произошло падение на руку или был мощный удар. Нередко, таким образом, травмируются футболисты, регбисты. Кроме того, болезнь может развиваться постепенно и обуславливаться многократными нагрузками при осуществлении постоянно повторяющихся одинаковых движений - при метании ядра, в плавании. Заболевание Банкарта случается и у людей с нарушенной биомеханикой, при неверно поставленной технике или игнорировании мер безопасности. К одной из распространенных причин врачи причисляют и врожденную дисплазию соединительной ткани или плечевого сустава.
Также есть ряд факторов, способствующих развитию недуга. В основном, речь идет о:
- постоянно происходящих подвывихах;
- несоблюдении рекомендаций при реабилитации после вывиха;
- чрезмерной нагрузке;
- дисбалансе выполняемых упражнений;
- неправильной технике;
- растяжении мышц;
- нарушении осанки;
- резких изменениях в тренировочной схеме;
- отказе от разминки перед упражнениями.
Симптомы
Повреждение Банкарта - травма с четкой симптоматикой. Прежде всего, пациент ощущает боль - сначала она может быть интенсивной, резкой или ноющей - это зависит от степени нарушения и степени разрыва суставной губы. Помимо болевого синдрома также отмечают снижение функциональности руки, возникновение при сгибании характерного хруста, утрату подвижности. Так как данный сустав - самый подвижный, то малейшая его дисфункция не останется незамеченной. Если не посетить специалиста сразу же, то с течением времени боль уменьшится, однако функциональность конечности станет хуже. Отсутствие вмешательства может обернуться негативными последствиями - осложнениями, которые потребуют гораздо более сложного и дорогостоящего лечения.
При всех видах нестабильности пациенты отмечают повторяющиеся щелчки при осуществлении самых обычных движений (поднятии и опускании, вращении руки). Также возможно уменьшение мышечной силы, слабость при ротации (в том числе, и в положении лежа). При пальпации будет явно чувствоваться болезненность. Также вероятно возникновение страха совершения бросков, чувства смещения сустава. Особо тяжелые ситуации сопровождаются периодическим онемением плеча продолжительностью от одной до десяти минут. Кроме того, больной может непроизвольно вызвать у себя дислокацию плечевой кости неосторожным поворотом или минимальным действием - например, переворотом на другой бок во время сна и даже обыкновенным зеванием.
Диагностика
Прежде всего, специалист осуществляет первичный осмотр, собирает анамнез. Требуется точно установить, в каком возрасте больной впервые столкнулся с вывихом, и в каком положении при этом располагалась конечность. Симптомы передней нестабильности чаще проявляются при отведении плеча, при его ротации, что же касается задней, то она выражена при приведении плеча в естественное положение - определяется сторона нестабильности посредством специальных тестов. В процессе диагностики оценивается состояние сосудов и нервов пораженной локации (так, например, у больных преклонного возраста, часты случаи нарушения работы сосудистой системы, ишемия).
К основным методам диагностики относят рентгенографию в различных проекциях, которую повторяют и после вправления (если это обычный вывих). Для выявления нарушения потребуется провести компьютерную или магнитно-резонансную томографию, которые также помогут определить наличие или отсутствие перелома. Однако, даже после МРТ и КТ клиническая картина может оставаться неясной. В этой ситуации будет назначена диагностическая артроскопия, которая даст 100% результат постановки верного диагноза, а также сделает реальным выявление поражений, которые невозможно определить общими клиническими методами. На сегодняшний день эта процедура является максимально эффективной и позволяет за один сеанс выяснить, имеется ли у больного повреждения Банкарта.
Лечение нестабильности плечевого сустава.

Золотым стандартом лечения повреждения является операция Банкарта. Она может быть осуществлена как посредством открытой хирургии, так и артроскопическим методом. Второй является предпочтительным в большинстве случаев, так как относится к малоинвазивным. В ходе манипуляции к суставной впадине фиксируется отделившаяся часть впадины, что повышает стабильность и предотвращает повторные вывихи и прочие схожие травмы. Перед проведением артроскопии проводится тщательная подготовка. На консультации со специалистом уточняется переносимость больным компонентов анестезии, сдаются анализы крови, мочи, коагулограмма. При плохой свертываемости крови пациенту назначаются специальные препараты. Сама процедура осуществляется не под общим наркозом, а с помощью местной (проводниковой) анестезии, что является весомым преимуществом перед классической хирургией. В процессе артроскопии врач осуществляет два-три небольших разреза для доступа к суставу, через которые вводит камеру, инструменты. На экран в режиме реального времени выводится изображение внутрисуставной полости, поэтому все манипуляции отчетливо видны и могут проводиться сразу же после постановки диагноза.
Если как диагностический метод артроскопия иногда уступает МРТ (в связи с тем, что МРТ не требует даже малоинвазивного вмешательства), то в качестве оперативной методики ей нет равных. Анатомическое строение плеча довольно трудное, и при проведении обычной операции неминуемо приходится повреждать окружающие проблемный участок ткани. Такая рана заживает очень долго и требует весьма серьезного подхода к реабилитационному периоду, не позволяя вести привычный образ жизни в течение долгих месяцев. О быстром возврате в спорт в такой ситуации и вовсе говорить не приходится. Раньше, когда артроскопия еще не была настолько распространена, то к хирургии прибегали только в крайнем случае - после длительного и безуспешного консервативного лечения. Сегодня же ситуация в корне изменилась - ее проведение не наносит человеку дополнительных травм, при ней исключается даже кровотечение, а это значит, что и реабилитация после артроскопии минимальна.
Подводя итог, следует выделить основные преимущества артроскопии:
- низкая травматичность благодаря малоинвазивности метода;
- минимизация возникновения осложнений;
- практически полное отсутствие косметических дефектов;
- быстрое восстановление после операции;
- высочайшая результативность диагностики;
- единовременное проведение анализа проблемы и самой операции.
Реабилитация
После артроскопии восстановление проходит действительно быстро, однако, не следует пренебрегать рекомендациями врача - только прислушавшись к ним можно возвратить себе утраченные функции в сжатые сроки. Возврат к полному диапазону движений руки происходит примерно через полтора месяца после проведения при условии выполнения всех предписаний доктора, посещения ЛФК, массажа и магнитотерапии (последнее - по необходимости). В зависимости от специфики деятельности возвращение в спорт допустимо примерно через три месяца. Процент рецидивов среди оперируемых достаточно низкий (порядка 5-7%).
Реабилитация после оперативного лечения нестабильности плечевого сустава
В нашей клинике Вы можете пройти комплексную реабилитацию после лечения нестабильности плечевого сустава.

Вывих плеча - одна из самых тяжелых спортивных травм. При грубом вправлении вывиха, без обезболивания; фиксации плеча бинтовой повязкой вместо гипсовой иммобилизации; ее сроке менее 3 недель и, главное, при отсутствии профессиональной реабилитации может развиться хроническая нестабильность плечевого сустава в виде повторяющихся подвывихов и вывихов. Особенно часто, в 80% случаев, привычный вывих плеча развивается после первичного вывиха у юных спортсменов.
Реабилитация в период иммобилизации (до 3 недель после операции).
Наши наблюдения показывают, что низкое качество реабилитации или ее отсутствие являются главными факторами риска рецидивных послеоперационных подвывихов или вывихов плеча. Реабилитация начинается немедленно после операции и идет параллельно с лечебными мероприятиями. Ее задачами являются купирование воспаления, содействие регенерации поврежденных тканей, стимуляция параартикулярных мышц ПС. Проводится криотерапия: холодовой пакет прикладывается к области операции на 15-20 минут 5-7 раз в день.
Для ускорения процессов репарации и предупреждения послеоперационных осложнений спортсмену даются особые препараты - энзимы - в первые две недели Флогэнзим, затем - Вобэнзим. Несколько раз в день пациент выполняет изометрические напряжения параартикулярных мышц длительностью 5-7 секунд, с паузами для расслабления в 3-4 секунды. Длительность упражнений для каждой мышечной группы (сгибателей, разгибателей, отводящих, приводящих и ротирующих плечо кнаружи и кнутри) - до утомления, степень напряжения максимальная, но не вызывающая боли. Упражнения выполняются с использованием упора локтем или кистью в руку инструктора ЛФК, самого пациента или любую твердую поверхность. Кроме того выполняются динамические упражнения - вращение надплечий и сведение лопаток, упражнения для кисти и пальцев.
Реабилитация после прекращения иммобилизации (4-8 недели после операции).
Задачами реабилитации является:
- Тренировка мышц-стабилизаторов ПС;
- Восстановление движений в ПС во всех плоскостях (сгибания, разгибания, отведения, приведения, внутренней и наружной ротации).
Главным средством реабилитации является кинезотерапия: лечебная гимнастика, упражнения с использованием тренажеров, физические упражнения в бассейне. Вспомогательными средствами - массаж и физиотерапия (миоэлектростимуляция, магнитотерапия). В первые дни зале ЛФК выполняются облегченные упражнения для ПС с постепенным увеличением амплитуды: качательные, отведение плеча со скольжением по гладкой панели и др. Движения плеча необходимо выполнять в сагиттальной, трансверзальной, фронтальной и ротационной плоскостях. Для ускорения восстановления движений постепенно добавляются упражнения с использованием тренажеров: на тренажере «штурвал» выполняются вращательные движения, мягко увеличивающие сгибание плеча ; на тренажере «лыжные палки» - отведение в трансверзальной плоскости; с помощью резиновых амортизаторов - отведение во фронтальной плоскости.
Техника ритмической стабилизации плечевого сустава.
Темп ликвидации контрактуры ПС должен быть не форсированным. Исключаются упражнения на растяжение, рывковые упражнения. С особой осторожностью выполняется наружная ротация., т.к. это движение является стрессовым для гленоида. Слабые, нетренированные мышцы являются фактором риска рецидивного вывиха плеча, поэтому так важно их укрепление в послеоперационном периоде. Особенно это актуально для спортсменов, особенно в видах спорта со стрессовыми нагрузками на ПС. Активными стабилизаторами плечевого сустава являются параартикулярные мышцы. Главные стабилизаторы плечевого сустава - подостная, большая и малая круглая, и подлопаточная мышцы, сухожилия которых, вплетаясь в капсулу ПС, образуют так называемую ротаторную манжету. Участвуют в стабилизации плечевого сустава также дельтовидная, двухглавая и трехглавая мышцы плеча.
Для тренировки силовой выносливости мышц выполняются динамические упражнения. Их рабочая амплитуда должна быть меньше максимально возможной на 5-100, чтобы не повредить хрящевую губу, капсулу и связки. Этот принцип соблюдается на протяжении всех дальнейших этапов реабилитации спортсмена. Уже в первые дни после прекращения иммобилизации выполняются упражнения для мышц ротаторов с малой амплитудой с эластичным резиновым бруском. Наиболее облегченный вариант наружной ротации с отягощением (гантель весом 1-2 кг) выполняется в и.п. сидя, в упоре локтем в бедро или в поверхность стола при минимальной амплитуде сгибания плеча. По мере увеличение амплитуды активных движений в ПС ротация плеча выполняется при его сгибании или отведении под углом 80-900, при этом плечо опирается на специальный валик. Возрастает также величина отягощения и сопротивления.
9-11 недели после операции.
Реабилитация после артроскопии плечевого сустава.
К 9-10 неделям амплитуда движений в ПС значительно увеличивается, что позволяет использовать более сложные и эффективные упражнения для тренировки мышц. С этой целью используют такие тренажеры как «трапеция», «вертикальный жим руками» и др. Для тренировки мышц ротаторной манжеты упражнения выполняются не только при сгибании и отведении, но также при разгибании плеча Упражнения делают с отягощением или с резиновым амортизатором. Такие движения как бросок мяча из-за головы в гандболе, или удар ракеткой по мячу в теннисе и бадминтоне невозможно выполнять при ослабленных мышцах лопаточной кости, поэтому необходимо тренировать переднюю зубчатую, большую и малую ромбовидные и трапецевидную мышцы, которые стабилизируют лопатку и контролируют согласованные ее движения с мышцами плечевого пояса.
Важную роль играют упражнения для развития проприорецепции , которая «руководит» сбалансированными действиями всего мышечного ансамбля. Это особенно важно для стабильности ПС при выполнении сложных по координации движений. При выполнении подобных упражнений стимулируются проприорецепторы, заложенные в ротаторной манжете. Примером такого упражнения является отжимание опоре руками на дестабилизирующую поверхность, например с помощью мини-тренажера БÓсу. Продолжается тренировка мышц плечевого пояса с помощью аналитического метода (раздельно для каждой мышцы или мышечной группы), а также для всего мышечного ансамбля плечевого пояса и межлопаточных мышц (например, подтягивание на перекладине). Вначале, около 7-10 дней выполняется подтягивание в смешанном висе, затем - в чистом висе.
12-15 недели после операции.
Это - заключительный период реабилитации, после завершения которого пациент или спортсмен может приступить к начальному этапу тренировки под руководством тренера. В программу реабилитации вводятся имитационные и вспомогательные упражнения, соответствующие специализации спортсмена. Большую роль играет проприоцептивный тренинг в реабилитации пациентов особенно в тех видах спорта, где ПС подвергается стрессовым нагрузкам, например в теннисе, бадминтоне, волейболе, единоборствах. Используются упражнения, улучшающие координацию мышц плечевого пояса и лопатки. Эти спортивно-ориентированные, имитирующие основные упражнения в том или ином виде спорта. Они выполняются в медленном или среднем темпе, с умеренными напряжениями мышц, с неполной амплитудой движений в ПС, поэтому они безопасны. Вместе с тем они обеспечивают согласованную работу всего мышечного ансамбля и способствуют психологической реабилитации спортсменов.

Критериями допуска спортсмена к начальному этапу тренировки являются:
- Отсутствие клинической симптоматики в покое и при выполнении специальных упражнений;
- Восстановление полного объема движений в ПС во всех плоскостях;
- Отсутствие атрофии мышц плечевого пояса;
- Срок не менее 3-4 месяцев после операции для видов спорта, не предъявляющих к ПС повышенных требования, таких как плавание, беговые виды легкой атлетики, велоспорт, лыжные гонки и пр.);
- Срок не менее 5-6 месяцев после операции для спортсменов моложе 25 лет и для видов спорта со стрессовыми нагрузками на ПС (единоборства, спорт «верхнего удара или броска» - теннис, волейбол, гандбол, бадминтон и пр.).
Допуску спортсмена к соревнованиям должен предшествовать период полноценной тренировки под руководством тренера сроком не менее 1-2 месяцев.
Цены на услуги реабилитации.
В данном разделе представлен частичный список цен на услуги отделения реабилитации.
Лечебная физкультура, массаж, физиотерапия, манипуляции
Тейпирование
Внимание! Цены представлены для ознакомления и не являются публичной офертой!
Читайте также:
- Общие сведения о лизосомальных болезнях накопления
- Исчезновение печеночной тупости. Причины исчезновения печеночной тупости при перкуссии
- Топография и анатомия связок, капсулы глаза (соединительной ткани глазницы)
- Обследование травмированного глаза. Оценка остроты зрения при травме
- Ультразвуковые преобразователи. Методы УЗИ исследования




