Техника заднего доступа по Kocher-Langenbeck к тазобедренному суставу
Добавил пользователь Дмитрий К. Обновлено: 30.10.2025
Р.Я. ХАБИБЬЯНОВ
Республиканская клиническая больница МЗ РТ , г. Казань
Хабибьянов Ровиль Ярхамович
кандидат медицинских наук, заведующий научно-исследовательским отделом
Предложен малотравматичный доступ к заднему краю вертлужной впадины для репозиции и фиксации отломков ее верхнего и заднего отделов. Учтена особенность топографической анатомии ягодичной области. Описана техника оперативного вмешательства в зависимости от уровня перелома заднего края вертлужной впадины
Ключевые слова: таз, доступ, тазобедренный сустав, задний край вертлужной впадины.
R.YA. KHABIBYANOV
Republican Clinical Hospital of the Ministry of Health of the Republic of Tatarstan, Kazan
Operative treatment of fractures of the posterior border of cotyloid cavity
In this article is offered a low-impact access to the posterior border of cotyloid cavity for the reduction and fixation of bone fragments of its upper and posterior parts. Is considered a feature of topographic anatomy of the gluteal region. The operative technique depending on the level of fracture of the posterior border of cotyloid cavity is described.
Key words: pelvis, access, pelvis joint, posterior border of cotyloid cavity.
Переломы заднего края вертлужной впадины, как и чрезвертлужные в целом, в основном возникают при так называемой травме ускорения: ДТП, падение с высоты. Этой травме подвержена молодая трудоспособная часть населения [1, 2]. Переломы сопровождаются вывихами бедренной кости, смещениями фрагмента или фрагментов, разрушением суставных поверхностей и хряща, что является причиной развития в дальнейшем деформаций, деформирующего артроза и контрактур в тазобедренном суставе 3.
Наиболее частым повреждением тазобедренного сустава при травме ускорения является травматический вывих бедра. Однако, по нашим данным, изолированные вывихи встречаются в 12% случаев. В 57% вывихи бедра сопровождались переломами заднего или задне-верхнего отдела вертлужной впадины. Из этого числа в 20% случаев после вправления вывиха наблюдался его рецидив. Перелом переднего края вертлужной впадины — 0,7%. Остальные 31,3% — это изолированные переломы передней и задней колонны, переломы обеих колонн в различных комбинациях. Лишь в 3% случаев было сочетание вывиха бедра с легкой черепно-мозговой травмой.
Первичная клинико-рентгенологическая диагностика в условиях приемно-диагностического отделения основывается на особенностях вынужденного положения нижней конечности (крайне редко — обеих нижних конечностей), щадящем обследовании пострадавшего и данных обзорной рентгенографии таза. Первично в экстренном порядке под внутривенным наркозом, спинальной или эпидуральной анестезией производится вправление вывиха с проверкой стабильности во вправленном суставе. После этого производится окончательная диагностика повреждения тазобедренного сустава, которая включает рентгенографию в стандартных укладках (обзорная, косые запирательная и подвздошная проекции), компьютерную томографию. Эти исследования позволяют получить полную картину повреждений вертлужной впадины: характер перелома, размеры отломков, их расположение, в том числе в полости сустава или вне его, наличие очагов импрессии и компрессии, а также особенности дислокации головки бедренной кости, если таковая есть.
Для выбора того или иного вида лечения размеры отломков края вертлужной впадины имеют существенное значение. Краевые переломы шириной до 4-5 мм, как правило, бывают несмещенными или с незначительным смещением. Такая рентгенологическая картина не является показанием к остеосинтезу.
При ширине отломков более 5 мм (она достигает 30 мм и более) и после вправления вывихов смещение отломка или отломков сохраняется. Это проявление «шинирующего» эффекта коротких наружных ротаторов бедра и малой ягодичной мышцы для смещаемых отломков в процессе вывиха бедра. Наличие смещенного отломка или отломков заднего края вертлужной впадины является абсолютным показанием к открытой их репозиции и стабилизации. Причем репозиция должна быть анатомичной, и стабилизация производится с достаточной компрессией (при этом не допускать раскола отломка). В противном случае синовиальная жидкость сустава служит интерпонантом, что приводит к замедленному срастанию перелома или к формированию ложного сустава.
Как любая травма (ушибы, переломы), перелом заднего края вертлужной впадины сопровождается компенсированным или субкомпенсированным нарушением микроциркуляции артикулярных и параартикулярных тканей. Это определяет поиск малотравматичных хирургических доступов к заднему краю вертлужной впадины и задней колонне с учетом принципа достаточности для каждого конкретного случая.
Известный и достаточно широко используемый задне-наружный доступ к тазобедренному суставу по Кохер - Лангенбеку, в ряде случаев сопровождающийся остеотомией большого вертела, довольно травматичен и сопровождается кровопотерей до 700 мл.
С 1997 года нами используется хирургический доступ к заднему краю вертлужной впадины, отвечающий принципам анатомичности, соответственно, минимально травматичный и обеспечивающий достаточный обзор заднего края вертлужной впадины.
При планировании операции хирург должен на основании результатов рентгенологических исследований определить расположение отломка или отломков относительно легко определяемых анатомических образований, в рассматриваемом случае это большой вертел бедренной кости и дистальный отдел крестцово-подвздошного сочленения. Линия, соединяющая эти ориентиры, с некоторыми допущениями будет соответствовать верхнему краю грушевидной мышцы или надгрушевидному пространству. По результатам рентгенологических исследований отломок, лежащий на уровне и выше этой линии, относится к верхнему отделу задней стенки вертлужной впадины. Отломок, проецирующийся на проведенную линию и ниже ее, относится к средним и нижним отделам задней стенки.
Чаще встречаются переломы верхнего отдела заднего края впадины. Это объяснимо, поскольку положение в кресле автомобиля, особенно у пассажиров, обеспечивает сгибание нижних конечностей в тазобедренных суставах с углом 100-120 градусов. При переломах средних и нижних отделов заднего края угол сгибания в тазобедренном суставе составляет 90 градусов. Такие переломо-вывихи происходят преимущественно у водителей. Практически все пострадавшие не были пристегнуты ремнем безопасности.
В случае, когда отломок локализуется выше ориентирной линии (рис. 1а, 1б) разрез производится до фасции большой ягодичной мышцы непосредственно по этой линии или несколько выше от проекции основания крестцово-подвздошного сочленения до верхушки большого вертела.
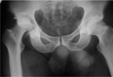
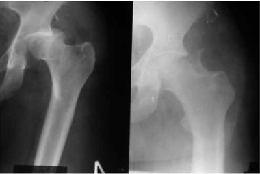
Обзорная рентгенограмма таза. Задне-верхний вывих бедра. Перелом верхнего отдела заднего края вертлужной впадины со смещением отломка.

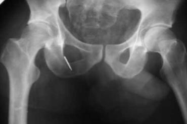
Обзорная рентгенограмма таза. Вправленный вывих бедра. Перелом верхнего отдела заднего края вертлужной впадины со смещением отломка

Фасция продольно волокнам мышцы вскрывается. Есть возможность пальпаторно определить наиболее выдающуюся часть отломка. Волокна мышцы тупо разводятся. В глубине раны располагается средняя ягодичная мышца или нижний ее край. Средняя ягодичная мышца с подлежащей малой отводится кверху, находящаяся глубже и ниже их грушевидная мышца — книзу. Отломок осматривается без нарушения его связей с капсульно-связочным аппаратом. Оценивается состояние хряща головки бедренной кости, хряща на отломке заднего края, полость сустава промывается, отломок устанавливается «зуб в зуб». Фиксация отломка винтом или винтами с допустимой компрессией, причем устанавливают их на максимально возможном по ситуации отдалении от субхондрального слоя. Проверка стабильности фиксации отломка. Рана ушивается.
Для ранней активизации больного операция заканчивается установкой аппарата внешней фиксации. Аппарат позволяет гарантированно стабилизировать тазобедренный сустав с заданной или регулируемой разгрузкой, что создает условия не только для срастания перелома, но и для расправления или восполнения участков импрессии или компрессии с восстановлением структуры субхондрального слоя (рис. 2, 3).
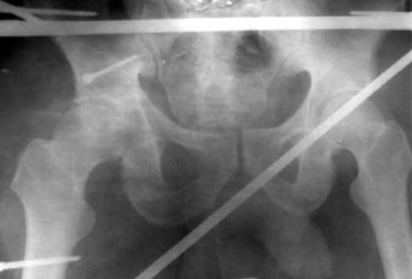
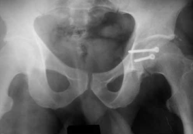
Обзорная рентгенограмма таза. Состояние после открытой репозиции и фиксации верхнего отдела заднего края вертлужной впадины винтом. Стабилизация и разгрузка тазобедренного сустава в аппарате внешней фиксации

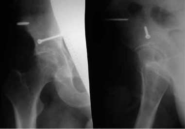
Рентгенография тазобедренного сустава в двух проекциях (прямая и аксиальная). Срок после оперативного лечения — 6 лет

В случае отказа больного от аппарата внешней фиксации или при противопоказаниях производится скелетное вытяжение сроком 3-4 недели. Когда отломок проецируется на уровне или ниже ориентирной линии (рис. 4), разрез производится на 1 см ниже ее. Также тупо разводятся волокна большой ягодичной мышцы.
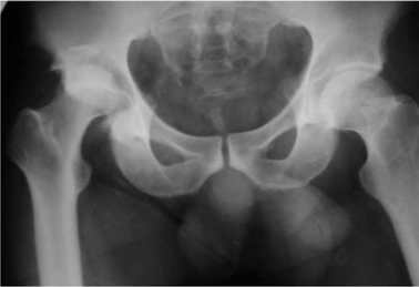
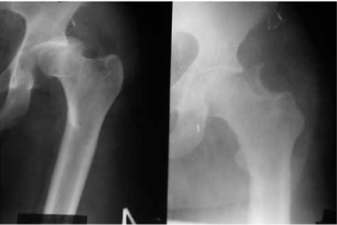
Рентгенография тазобедренного сустава до и после вправления. Перелом среднего отдела заднего края вертлужной впадины со смещением

Большая, средняя и малая ягодичные мышцы вместе с грушевидной отводятся кверху, верхняя близнецовая — книзу. Следует помнить о выходе из малого таза седалищного нерва под грушевидной мышцей в проксимальном ее участке. Также производится ревизия состояния хряща головки бедренной кости, отломка, установка его после промывания полости сустава, стабильная фиксация с элементами компрессии (рис. 5, 6).
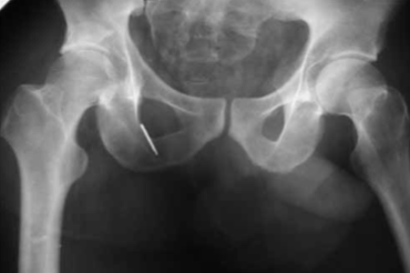
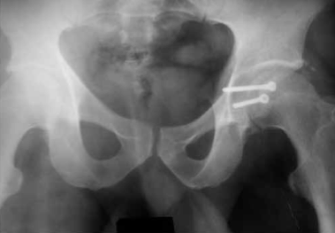
Обзорная рентгенограмма таза. Состояние после открытой репозиции и фиксации среднего отдела заднего края вертлужной впадины 2 винтом. Стабилизация и разгрузка тазобедренного сустава в аппарате внешней фиксации

Рентгенография тазобедренного сустава в двух проекциях (прямая и аксиальная). Срок после оперативного лечения — 3 года

Для улучшения обзора в ране, большей свободы манипуляций ассистент придает наружную ротацию конечности за счет удержания ее за голень в этом положении. За счет этого снижается степень натяжения коротких наружных ротаторов бедра. Ротацией бедра также исключают попадание в полость сустава фиксирующего винта. При работе в критической близости к седалищному нерву ассистент отслеживает двигательную реакцию стопы на раздражение наружной порции седалищного нерва, которую в дистальных отделах конечности представляет малоберцовый нерв.
Используя разработанный доступ к заднему краю вертлужной впадины, прооперированы 68 больных: 54 из них на сроках до 2 недель, 14 — на сроках 3-5 недель (в связи с поздним поступлением). Средняя кровопотеря составила 120 мл. Послеоперационные нейропатии малоберцового нерва наблюдались у 3 больных. После проведения реабилитационных курсов, включающих электролечение, иглорефлексотерапию, массаж ЛФК, медикаментозную терапию, неврологический дефицит на сроках 6-8 месяцев был устранен.
Отдаленный исход в виде коксартроза III ст. на сроках 2-6 лет наблюдался у 5 больных, причем 3 из них прооперированы на сроках 3-5 недель. У двоих был оскольчатый перелом верхнего отдела заднего края вертлужной впадины. В последующем им было проведено эндопротезирование тазобедренного сустава.
1. Ежов Ю.И., Смирнов А.А., Лабазин А.Л. Диагностика и лечение краевых переломов вертлужной впадины // Вестник травматол. и ортопедии. им. Н.Н. Приорова. — 2003. — № 3. — С. 72-74.
2. Van der Bosch E.W., Van der Kleyn R., Van Vugt A.B. // J. Trauma. — 1999. — № 4. — Р. 65-371.
3. Лазарев А.Ф., Костенко Ю.С. Большие проблемы малого таза // Вестник травматол. и ортопедии. им. Н.Н. Приорова. — 2007. — № 4. — С. 83-86.
4. Мицкевич В.А., Жиляев А.А., Попова Т.П. Распределение нагрузки на нижние конечности при развитии одностороннего и двустороннего коксартроза разной этиологии // Вестник травматол. и ортопедии. им. Н.Н. Приорова. — 2001. — № 4. — С. 47-50.
Прямой передний и задний доступы при эндопротезировании тазобедренного сустава
В этой статье я расскажу о двух основных доступах при эндопротезировании тазобедренных суставов: прямой передний доступ и минимально инвазивный задний доступ. Я расскажу о свойствах, различиях, преимуществам и недостатках каждого доступа.

Что такое доступ при эндопротезировании тазобедренного сустава?
Для начала, мы должны понимать что такое доступ при эндопротезировании тазобедренного сустава. Проще говоря, это хирургическая процедура, при которой хирург-ортопед определяет, где сделать надрез и путь, который он или она выбирает для того чтобы достигнуть ткани и кости поврежденного бедра, требующего замены тазобедренного сустава.
Хирург будет определять, какой подход лучше для вас после обследования. Он или она будет принимать это решение на основе вашего возраста, силы, анатомии и состояния здоровья. Только профессионально подготовленный хирург должен сообщить вам о доступе, который является правильным для Вас. Руководящие принципы, которые я представляю здесь, только для того чтобы рассказать вам о различных вариантах, доступных для вас, чтобы вы могли принять обоснованное решение.
Вы можете облегчить вас страх изучив информацию о ваших вариантах в отношении операции эндопротезирования тазобедренного сустава.
Я иногда думаю, что хирург-ортопед, выбирает тот доступ в эндопротезировании тазобедренного сустава, в котором он или она хорошо разбирается. Я знаю, что это сильное заявление, но хирург-ортопед строит свою практику вокруг сильной стороны. Большинство хирургов знают больше, чем один доступ, но большая часть их подготовки и опыта строится вокруг одного доступа.
- Каков его или ее опыт в данном доступе эндопротезирования?
- Сколько раз он или она делали эндопротезирование?
- Каков его или ее процент успеха?
- Есть ли кто-нибудь, кто может порекомендовать его или ее?
Сравнение прямого доступа и минимально инвазивного заднего доступа

Рис.2 Мини-инвазивный метод с задне-боковым доступом.
Перед тем как сравнить прямой доступ и менее инвазивный задний доступ эндопротезирования, вы должны понять одну вещь. Нет одного клинически доказанного лучшего доступа эндопротезирования. Риски и преимущества есть у каждого доступа.
Каждый подход имеет общий риск:
- Сгустки крови, ТГВ, PE;
- Инфекционное заболевание;
- Смерть; .
Минимально инвазивный задний доступ
Минимально инвазивный задний доступ выполняется в то время как пациент лежит на боку. Этот подход также известен как доступа Мура или Южный доступ. Он считается традиционным доступом эндопротезирования. Доступ выполняется сзади или позади тазобедренного сустава и дает очень хороший доступ к суставу.
Будьте осторожны, так как при старом методе такого доступа не использовали минимально инвазивные методы, которые включают большие разрезы и более длительное время восстановления. Если хирург хочет выполнить этот доступ, пожалуйста, убедитесь, что будет использоваться минимально инвазивный задний доступ.
- Разрезы — для заднего менее инвазивного доступа, делается разрез 4-6 дюймов. Кому-то, у кого уже были операции на бедре или при неправильной анатомии могут делаться более большие размеры.
- Удаление мышц — грушевидная мышца и восходящая ротационная мышца бедра отделяются от шарового тазобедренного сустава и возвращаются обратно ближе к концу операции. Эти мышцы заживают в течение 4-х — 6 недель после операции.
- Риск для иннервации — очень минимальный для доступа. Нет никакого риска по отношению к бедренному кожному нерву, который обеспечивает ощущения с внешней стороны бедра. Существует менее чем один процент риска по отношению к седалищному нерву, из-за стягивания ткани во время операции.
- Риск перелома — низкий для данного доступа. Затягивание или давление на бедренную кости мало.
- Интраоперационная визуализация хирурга — очень хорошая, поскольку доступ обеспечивает полную визуализацию всей части тазобедренного сустава. Так как она высокая, не требуется интраоперационный рентген. Задний мало инвазивный досуп — простой доступ и не является технически сложной задачей для хирурга.
- Риск расположения — выше, чем при прямом доступе, хотя он ниже 9%. Задние вывихи могут произойти, когда пациент наклоняется более чем на 90 градусов в тазобедренном суставе/талии после операции. Риск дислокации значительно ниже через два месяца после операции.
Большинству пациентов выполняется именно задний мало инвазивный доступ.
- Пребывание в стационаре — 2 — 3 дня, так же, как и при прямом переднем доступе
- Возврат к сидячей работе — 2 недели
- Возврат к физическому труду — 3 месяца
- Возвращение в спорт — 6 недель — 3 месяца
Преимущества заднего мало инвазивного доступа
- Универсальный подход
- Хороший доступ к вертлужной впадине
- Сохраняет мышцы отводящие бедро — среднюю ягодичную мышцу и малую ягодичную мышцу
- Минимизирует риск послеоперационной отводящей дисфункции
- Лучший при сложных деформациях протеза может быть выбрана во время операции
- Операции, как правило короче
- Нет ограничений на тип имплантата, который может быть использован
Недостатки заднего мало инвазивного доступа
- Больше рисков дислокаций
- Должны быть предприняты дополнительные меры предосторожности в течение процедуры
- — сидеть в высоком кресле
- — поднимать сиденье унитаза
- Боль при сидении на месте разреза
- Первые четыре недели реабилитации медленнее
- Ограничение вождения автомобиля — предлагается не водить машину в течение первых 4-х недель после операции
Прямой передний доступ

Прямой передний доступ или передний доступ выполняется в то время как пациент лежит на спине и доступ к суставу выполняется от передней части бедра. Этот доступ был впервые выполнен доктором Марион Смит-Петерсоном в 1939 году. Операция часто проводится с использованием хирургического стола под названием Hana®. Таблица позиционирует пациента и ногу, используя штиблеты, которые размещены на пациенте и прикреплены к столу. Это помогает предотвратить вывих бедра и помогает в визуализации хирурга.
- Разрезы — 4 — 6 дюймов, как правило, сделаны в самой передней части бедра.
- Удаление мышц — прямой передний доступ иногда называют мышце щадящей операцией, потому как мышцы не отсоединяются не присоединяются снова. Однако верхний внешний ротатор мышцы (грушевидной) является «отделен» и не может быть снова прикреплен во время процедуры. Так как существуют и другие дополнительные мышцы ротаторы, это не создает большой проблемы во время восстановления. Для того, чтобы уменьшить риск повреждения латерального кожного нерва бедра надрез перемещают больше в бок. Здесь разрез идет через напрягатель широкой фасции и портняжную мышцу.
- Риск для иннервации — гораздо более высокий риск повреждения бокового кожного нерва бедра с использованием прямого переднего доступа, за счет втягивания мышц во время операции. Этот нерв обеспечивает чувствительность или ощущения на боковой стороне бедра. Существует гораздо меньший риск для седалищного нерва, при использовании данного доступа.
Примечание: боковой кожный нерв бедра был поврежден во время моей операции, в которой использовали прямой передний подход. Вскоре после операции у меня не было никакой чувствительность сбоку моего бедра, и я мог бы опереться на что-то, используя мое бедро, и ничего не почувствовать. Я не мог почувствовать, есть ли что-то у меня в кармане брюк. Более года спустя, у меня все еще были онемения в ногах . Я был предупрежден об этом риске перед операцией, и подписал документ, в котором говорилось, что я понял риск операции. Я не чувствую, что это был огромный побочный эффект или осложнение операции, и это то, с чем я живу.
- Риск перелома — гораздо выше для переднего прямого доступа. Риск перелома бедра и лодыжки выше из-за размещения на столе. Риски переломов повышаются у пациентов с остеопорозом.
- Интраоперационная визуализация хирурга — прямой передний доступ является технически сложным и визуализация хирурга нарушается из-за мышечного вмешательства. Как уже отмечалось, специальная таблица, которая называется Hana® позволяет хирургу легко получить доступ к передней части бедра. Изогнутый бедренный имплантат используется в качестве прямого имплантата, его трудно разместить, не повредив отводящую мышцу. Рентгеновские лучи используются для улучшения визуализации хирурга, размещения имплантата и помогут повысить точность длины ног. — очень мала по сравнению с задним мало инвазивным доступом и обычно происходит в передней части бедра. Вывих может произойти из-за внешнего вращения ноги во время работы. Требуется очень мало мер предосторожности.
Пациентам, которым выполняется передний прямой доступ — пациенты без тазобедренных деформаций и сгибательных контрактур. Этот доступ хорошо делать людям с незначительным избыточным весом и не сильно накаченными ногами.
- Пребывание в стационаре — 2-3 дня, так же, как и при заднем малоинвазивном доступе
- Возврат к сидячей работе — 1 — 2 недели
- Возврат к физическому труду — 1 -3 месяца
- Возвращение в спорт — 1 — 3 месяца
Личная заметка, я только вышел на новую работу, за несколько месяцев до этого, и переехал в другой регион страны. Я чувствовал, что это не очень хорошо делать такую серьезную операцию и уходить на такой долгий срок с новой работы. У меня была сидячая офисная работа, и мой врач позволил мне возобновить мои трудовые обязанности через две недели после операции, до тех пор, я работал из дома.
Передний прямой доступ был привлекательным, так как я был в состоянии работать удаленно из моей квартиры, и мог вернуться к работе в течение четырех недель. При заднем малоинвазивном подходе восстановление заняло бы две недели или больше.
Недостатки переднего прямого доступа
Со слов моего хирурга, мне чуть не потребовалось переливание крови. Во время моего выздоровления в больнице, я чуть не упал в обморок на следующий день после операции. Я встал с кровати в больнице, чтобы сходить в ванну, с помощью моей трости. Я упустил трость и наклонился, чтобы поднять ее. В комнате все начало вращаться, и я чувствовал, что я сейчас упаду. К счастью, медсестра заметила меня, и вскоре у меня была команда из медсестер и врач по вызову, работающие на меня. Врачи называют это вазовагальный обморок: внезапное падение частоты сердечных сокращений и артериального давления, приводящего к потере сознания. Хирург позже сказал, что это было вызвано, тем, что я потерял много крови во время операции. Еще чуть-чуть и мне потребовалось бы переливание крови. В связи с этим, я должен был остаться в больнице на еще один день больше.
- Верхний внешний ротатор мышц (грушевидной) является «удаленной» (см мышцы).
- Рентгеновские лучи используются из-за отсутствия визуализации хирурга (это также указано в качестве преимущества).
- Доступ к бедренной кости ограничен.
Прямой передний доступ более технически требователен к ортопеду и хирургической команде и требует больше опыта для его выполнения. Хирург-ортопед должен быть обучен этому доступу, который требует большей подготовки, чем другие доступы. Многие эксперты отмечают, быстрое обучение является основным недостатком прямого переднего доступа.
Такой подход не подходит для пациентов с ожирением и тех, кто очень мускулистые. Операция — на 2-3 часа, дольше, чем при других доступах, что увеличивает риск операции под анестезией.
Преимущества прямого переднего доступа
Он менее агрессивен, чем другие подходы и обеспечивает хорошую визуализацию вертлужной впадины, однако иногда это тоже обсуждается. При новейшем мало инвазивном заднем доступе инвазия примерно одинакова.
Ограничения после операции — меньше ограничений после операции. Сразу же после операции при переднем прямом подходе, пациенты могут:
- свободно перемещать бедро
- скрещивать ноги
- ходить вверх вниз по лестнице
- водить машину
При других доступах, отделенные мышцы повторно подсоединяются к сухожилиям, оставляя слабое напряжение. Это приводит к повышенному риску вывиха сразу после операции. Ограничения или меры движения бедра до 90 градусов, и сгибание в талии (как при других доступах), не делаются при переднем прямом доступе. Хирург работает между большинством мышц, не снимая их. Это помогает предотвратить вывихи после того, как помещают протез. Поэтому меньше мер предосторожности необходимы для прямого переднего доступа.
При прямом переднем доступе снижаются риски послеоперационных вывихов и восстановление ускоряется. Через 2 месяца реабилитационный прогресс примерно одинакова. Существует большая стабильность после операции с использованием прямого переднего доступа. Пациенты могут поставить полный вес на имплантат из-за отсутствия мышечного отключения/повторного подсоединения.
Задний доступ при малоинвазивном протезировании тазобедренного сустава
Заднебоковой доступ в настоящее время все шире применяется при малоинвазивном эндопротезировании тазобедренного сустава. Исторически так сложилось, что риск первичного вывиха при заднебоковом доступе случается чаще, чем при применении переднего или бокового доступа. Техника выполнения малоинвазивного метода с применением заднего доступа направлена на минимальное повреждение мышц и суставной сумки.
Сохранение мышц неповрежденными, или, по крайней мере, малоповрежденными, снижает риск вывиха протеза и ускоряет процесс реабилитации и восстановления двигательной функции конечности. Приводимое описание хода операции направлено на выявление трудностей, связанных с малым разрезом и сохранением мышц и связок. Особое внимание уделено четырем позициям, которые позволяют поочередно напрягать и расслаблять мягкие ткани и минимизировать вмешательство.
Техника операции
Размещение пациента. (Installation du patient)
Пациент находится в положении лежа на боку. Две передние и задние опоры обеспечивают фиксацию таза. Третья опора поддерживает третью часть голени. Такое положение позволяет использовать четыре положения ноги при операции:

Оборудование. (Instrumentation)
Достаточно использовать стандартный инструментарий. Он включает рамку Шарли, ретрактор Хохманна и фрезы, чтобы обеспечить прямой доступ к вертлужной впадине. Иногда необходимо применение специальных инструментов, чтобы облегчить доступ. Например, иногда вертужный ретрактор Хохманна может быть заменен изогнутым ретрактором (Precimed). Доступ к бедренной кости осуществляется бедренным элеватором.
Нанесение маркеров для выполнения разреза. (Graphique de l’incision)

Нанесение ориентиров упрощает выполнение разреза. Верхний бугор большого вертела хорошо пальпируется, когда пациент находится в положении лежа на боку на плоской поверхности. От этого места наносятся две точки: первая на расстоянии 1 см располагается за бугром большого вертела, вторая — на расстоянии 10 см от вершины по оси бедренной кости. По линии, связывающей эти две точки делается разрез: 2 см ниже и 7 см выше от бугра вертела. 
Начало операции, разрез поверхности. (L’abord superficiel)

Голеностопный сустав помещается на опоре. Колено согнуто и повернуто вовнутрь. Поверхность кожи обрабатывают антисептиком и делают разрез. В разрезе видна большая ягодичная мышца. Таким образом открывают операционное поле. Большая ягодичная мышца рассекается атравматическим способом снизу вверх по направлению волокон. В нижней части разреза рассечение широкой фасции облегчает манипуляции. В рану вводится рамка Шарнли. Она будет держать края большой ягодичной мышцы в течении всей операции. Передний клапан рамки располагается по направлению большого вертела. 
Рассечение глубоких мышц. (L’abord musculaire profond)

Под поверхностным слоем видны только средняя ягодичная мышца, которая расположена сверху, и квадратная мыщца, расположенная снизу. В середине операционного пространства находится слой жировой ткани, который покрывает мышцы тазобедренного сустава. Обзор сверху улучшается с помощью распорок Фарабефа. Сверху вниз вставляют ретракторы Хохмана в нижнюю часть суставной капсулы, отодвигают наружные запирательные мышцы и квадратную мышцу бедра. Между этими ретракторами рассекают жировую ткань и обнажают тазобедренные мышцы. Рассечение начинают снизу вдоль большого вертела без вскрытия суставной капсулы. Нижняя близнецовая мышца толстая и мясистая, ее волокна отводят назад. Затем находят сухожилие внутренней запирающей мышцы и отводят его назад. Рассекают верхнюю близнецовую мышцу. 

Появляется мощное белое сухожилие грушевидной мышцы. Его поднимают над поверхностью суставной сумки с помощью ретрактора Фарабефа. Эта часть операции выполняется при отведенной ноге. 
Рассечение суставной сумки. (La section capsulaire)

Суставную сумку открывают Т-образным разрезом. Разрез начинают с заднебокового края вертлужной впадины, рядом с грушевидной мышцей. Разрез проходит по оси шейки бедра от зада к переду холодным скальпелем вблизи от седалищного нерва. Далее разрез продолжают в направлении перпендикулярном большому вертелу. Края раздвигают проволочными ретракторами. 
Сгибание бедра. (La luxation de hanche)

Бедро сгибают, отводят и поворачивают вовнутрь. Шейку бедра отсекают традиционным способом осциллярной пилой. Извлекают головку, раскачивая шейку с применением пинцета (щипцов) Фарабефа. 
Экспозиция вертлужной впадины. (L’exposition du cotyle)

Три ретрактора располагаются вкруговую и открывают доступ к вертлужной впадине. Каждый раз меняется положение ноги, что облегчает расположение каждого ретрактора. Изогнутый ретрактор устанавливается вслепую, ощупью. Его конец проталкивают вглубь вертлужной впадины, чтобы захватить край переднего рога после перфорации капсулы на уровне кости. 

Нога остается в отведенном положении. 
Сухожилие грушевидной мышцы и рассеченные края капсулы поднимают наверх. Это самый деликатный момент операции. Положение, при котором нога отведена, позволяет ослабить напряжение сухожилий. После отведения края суставной сумки обнажается вертлужная губа. Расчищается пространство между суставной капсулой и вертлужной губой. Фиксация осуществляется с помощью гвоздя Стенмана, который закрепляют 1-2 см выше вертлужной впадины.
Нога расположена на упоре и повернута вовнутрь. Ретракторы Хохмана располагают ниже заднего рога после перфорации суставной сумки. Гвоздь Стенмана, который устанавливается вертикально на заднем крае вертлужной впадины, обеспечивает необходимую защиту седалищного нерва.
Подготовка вертлужной впадины. (La preparation du cotyle)

После рассечения вертлужной губы вертлужную впадину фрезеруют стандартным способом. Ввод осуществляют между передним и нижним ретрактором. 
Установка вертлужной компоненты. (Mise en place du cotyle)

Закрепление вертлужной компоненты проводят тем же способом. Установленные проволочные ретракторы позволяют избежать интерпозиции. 
Экспозиция бедренной кости (L’exposition femoral)

При таком типе доступа работа с бедренной костью не представляет больших трудностей. Бедро остается повернутым вовнутрь, голеностоп поднят наверх, отведение ноги облегчает извлечение/удаление шейки бедра. Три ретрактора обеспечивают доступ по оси бедренной кости. 
Рамка Шарнли остается на месте. Элеватор располагают под шейкой бедра. При установке бедренной компоненты необходимо избегать контакта протеза с поверхностью кожи.
Уменьшение напряжения. (Reduction prothetique et contention posterieure)


Применение проволочных ретракторов снимает напряжение и позволяет избежать интерпозиции. Как только протез установлен, сухожилие грушевидной мышцы возвращают на место. Оно ложится наискосок по задней верхней части вертлужной компоненты протеза. 
Два края капсулы соединяют пересечением проволочных ретракторов. Клапан открывает заднюю часть разреза. Накладывают узловые швы по вертикальной части Т-образного разреза капсулы. Горизонтальную часть оставляют свободной (не зашивают).
Закрытие операционного поля. (Fermeture musculo cutanee)

Зашивают большую ягодичную мышцу. Кожу зашивают узловым швом. 
Первые публикации, посвященные эндопротезированию малоинвазивным доступом, вызвали довольно жаркие споры, аналогичные дискуссиям по поводу артроскопии в начале 80-х годов.
Противники метода отмечали, что вследствие малого разреза ухудшается визуальный контроль операции и повышаются риски осложнений, в частности, неправильное позиционирование протеза. Такие риски, действительно, существуют, и надо проявлять исключительную осторожность при использовании такого доступа.
Защитники метода отмечают, что при малоинвазивном методе восстановление двигательной функции происходит быстрее, хотя риски осложнений соизмеримы с теми, которые бывают при стандартном методе.
Существует большое количество публикаций, посвященных сравнительному исследованию стандартного и малоинвазивного доступов при протезировании суставов [Chimento et al (7), Ogonda et al (8), Nakamura et al (9)]. На данный момент нет объективных доказательств преимущества малоинвазивного доступа на основании таких показателей, как послеоперационные боли, потеря крови и скорость функционального восстановления.
Некоторая путаница создается при употреблении термина «малоинвазивный доступ». Иногда считается, что под малоинвазивным доступом подразумевается малый, по сравнению со стандартным методом, разрез, который используется как «мобильное окно» для проникновения в глубокие слои. Таким образом, в данной публикации мы сознательно ограничились возможным влиянием капсульных и мышечных элементов на вывих протеза.
По мнению вышеперечисленных авторов, восстановление суставной сумки является постулатом. Техника может быть различная: по мнению одних авторов нижнюю часть капсулы пришивают к верхней части [Goldstein et al (13), Swanson et al (15)] или к средней ягодичной мышце [Scott et al (10), Dixon et al (14)]. По мнению других авторов, необходимо полное зашивание капсулы и внешних ротаторов над большим вертелом [Mahoney et al (16)]. По отчетам всех исследователей вероятность вывиха составляла не более 1%.
Грушевидная мышца очень устойчива к механическим нагрузкам [Hitomi et al (18)]. Согласно биомеханическим исследованиям Snijders et al (18), на первом этапе операции при сгибании бедра на 90 и при последующем отведении ноги грушевидная мышца растягивается почти на четверть длины.
При разрезе сухожилия с последующим сшиванием контроль с применением радиомаркеров показывает, что швы расходятся в 90% случаев [Stahelin et al (20)]. Вероятность разрыва сухожилия уменьшается на 75% при прикреплении капсулы и сухожилия к вертелу [Stahelin et al (20)].
Минимальная травматизация грушевидной мышцы также играет существенную проприоцептивную роль при восстановлении ходьбы, и объясняет, в частности, возможность ходить с одной палкой и ходить вверх-вниз по лестнице четыре-пять дней спустя после операции.
Заключение
Для хирургов, которые привыкли к стандартному заднему доступу, использование малоинвазивного доступа предполагает ограниченный визуальный контроль через узкий разрез. Метод инсталляции и экспозиции компенсирует ограничения. Применение описанной в статье техники операции характеризуется максимальным сохранением мышечных элементов. Последовательное обучение позволит производить успешные замены сустава без риска возникновения осложнений. В случае возникновения трудностей на любом этапе процесс обучения может быть продлен.
К многочисленным преимуществам малоинвазивного метода относят снижение пост-оперативного болевого синдрома, уменьшение потерь крови и ускорение процесса реабилитации. Отметим также, что предлагаемый метод позволяет избежать осложнений в виде вывиха двойным путем: зашиванием суставной сумки и сохранением грушевидной мышцы.
Оперативное лечение переломов заднего края вертлужной впадины







Техника заднего доступа по Kocher-Langenbeck к тазобедренному суставу
2 1ФГБУ «Уральский научно-исследовательский институт травматологии и ортопедии им. В.Д.Чаклина Минздрава России»
Целью работы было улучшение результатов лечения пациентов с поперечно ориентированными и двухколонными переломами вертлужной впадины путем дифференцированного применения внутритазовых и внетазовых хирургических доступов, а также их комбинации. Представлен ретроспективный анализ лечения 84 пациентов с поперечно ориентированными и двухколонными переломами вертлужной впадины за период 2003-2014 гг. На клинических примерах продемонстрированы варианты клинических решений в зависимости от вида повреждения и имеющихся смещений, степени нестабильности, также наличия симультанных повреждений внутренних органов. Разработан алгоритм выбора хирургического подхода при лечении данных повреждений. Применение авторских методик позволяет проводить эффективное хирургическое лечение пациентов данной группы повреждений, достигать оптимального функционального результата послеоперационных исходов. Также в работе представлена статистика полученных осложнений.
1. Агаджанян В.В. К вопросу о тактике лечения больных с политравмой. Приглашение к дискуссии. /В.В.Агаджанян, А.А.Пронских// Политравма.2010. №1.С.5-8.
2. Анкин Л.Н. Политравма (организационные, тактические и методологические проблемы)/Л.Н.Анкин. М.:МЕДпресс-информ, 2004.С. 144-152.
3. Гиршин С.Г. Клинические лекции по неотложной травматологии/ С.Г.Гиршин. М.:Издательский дом «Азбука», 2004. 544 с.
5. Chen H.W. Surgical treatment of acetabular posterior wall fractures/ H.W. Chen et al.//Zhongguo Gu Shang. 2008/№21(9). Р.674-675.
Переломы костей таза встречаются в 7-10% случаев переломов костей скелета, а поперечно ориентированные и двухколонные переломы в совокупности составляют более 50% всех повреждений вертлужной впадины [1,2,3], и характеризуются локализацией очагов нестабильности, как в области передней, так и задней колонн, что обуславливает необходимость применения двух и более хирургических доступов для адекватной реконструкции сустава. Данные виды переломов сопровождаются значительной дисконгруентностью, абразивным и контузионным повреждением головки бедренной кости, которое, зачастую, манифестирует в отдаленные сроки в виде асептического некроза. Кроме того, любая хирургическая агрессия сопровождается риском нарушения кровоснабжения головки бедренной кости и фрагментов впадины. Это, в свою очередь, требует выбора правильного хирургического доступа или их рациональной комбинации [4,5].
Цель работы улучшение результатов лечения пациентов с поперечно ориентированными и двухколонными переломами вертлужной впадины.
Материал и методы в работе представлен ретроспективный анализ лечения 104 пациентов с поперечно ориентированными и двухколонными переломами вертлужной впадины пролеченных в МБУ ГБ №36 г. Екатеринбурга за период 2003-2014 г.г.
Наиболее часто применяемым внетазовым доступом при указанных повреждениях вертлужной впадины является задне-латеральный доступ Kocher-Langenbeck (рис.1а). При этом, область тазобедренного сустава становится достижима после разведения волокон большой ягодичной мышцы и мобилизации наружных ротаторов бедра, которая строго ограничена четырьмя мышцами, с обязательной диссекцией m. gemelius inferior и m.quadrates femoris, где расположена a. circumflexia posterior femoris, обеспечивающая до 90% кровоснабжения головки бедренной кости. В зоне доступа находятся верхне-ягодичный и нижне-ягодичный сосудисто-нервные пучки, половой, задний кожный бедренный и седалищный нервы (рис.1б). При этом после мобилизации и ретракции всех выше указанных структур зоны визуального и мануального контроля достаточно ограничены. Шевронная или переворачивающая остеотомия позволяет облегчить выполнение и расширить область манипуляций, за счет ослабления тяги ягодичных мышц (рис.2 а, б). Расширенный подвздошно-бедренный доступ обеспечивает полный обзор и пальпаторный контроль фрагментов впадины, протекция перфузии головки бедренной кости обеспечивается маргинальной мобилизацией задне-латерального мышечно-сухожильного комплекса вдоль гребня подвздошной кости. Однако, данный доступ сопряжен с тотальной девитализацией опорных фрагментов впадины и сопряжен со значительными трудностями репозиции, за счет медиальной дислокации феморо-ацетабулярного сегмента при положении пациента на противоположной половине тела. Для полной визуализации всех отломков вертлужной впадины, а также заведения репонирующих щипцов в подвздошную ямку, выполняется остеотомия передне-верхней, передне-нижней остей подвздошной кости, а также отсечение наружных ротаторов бедра.
 
 
Рис.1 а) доступ Kocher-Langenbeck; б) зона визуального и мануального контроля при задне-латеральном доступе.
Капсула рассекается при необходимости устранения импрессионных смещений и для удаления малых внутрисуставных фрагментов. Доступ травматичен и, в своей практике мы его не применяем. Трехлучевой доступ является модификацией задне-латерального. После выполнения шевронной остеотомии большого вертела и отведения ягодичных мышц, становится доступной область свода, передней стенки и колонны вертлужной впадины. Остеотомия передне-нижней и верхней остей позволяет позиционировать репонирующие щипцы внутритазово, однако для репозиции отломков крыла подвздошной кости, необходимо выполнение дополнительного подвздошного операционного окна (рис.2б). Как видно, любой внетазовый хирургический доступ к вертлужной впадине сопряжен с выделением важных анатомических образований, повреждение которых может привести как, к деваскуляризации костных структур и асептическому некрозу, так и неврологическому дефициту.
Внутритазовые доступы Подвздошно-паховый доступ (Letournel) обеспечивает полноценный визуальный и мануальный контроль над фрагментами, передней колонны и стенки впадины, а также той части задней колонны, которая представлена четырехгранной поверхностью. Доступ предусматривает формирование трех операционных окон: латерального, срединного и медиального. Дугообразный кожно-подкожный разрез распространяется от лобкового бугорка через передне-верхнюю ость (ПВО ПК) вдоль гребня подвздошной кости (рис. 3). По достижению фасции выделяются медиально - наружное паховое кольцо, латеральный кожный нерв бедра на 1 см кнутри от ПВО ПК (рис. 4). Рассечение стенок пахового канала и фасциальных перегородок сосудистой и мышечной лакун обеспечивает оптимальный визуальный и мануальный контроль над структурами вертлужной впадины (рис. 5). Основным недостатком является необходимость смещения подвздошных сосудов в ходе операции, что сопряжено с высоким риском повреждения последних.

 
Рис. 2 а, б. а) Схема шевронной и переворачивающей остеотомии большого вертела: 1 - шеврон, 2 - переворачивающая остеотомия; б) схема трехлучевого доступа в комбинации с подвздошным окном: 1- шевронная остеотомия, 2 - зона мануального контроля после выполнения трехлучевого доступа, 3- проекция подвздошного окна, 4- зона мануального и визуального воздействия при выполнении комплекса доступов.
Выделение сосудов с последующим их смещением при выполнении манипуляций сопряжены с риском повреждения последних (рис. 6), а также могут явиться причиной развития тромбоза вены в раннем послеоперационном периоде. Поэтому в своей практике данный доступ мы применяем крайне редко. В настоящее время наиболее часто нами используется комбинация модифицированного доступа Stoppa и латерального подвздошного окна. Последний начинали с дугообразного рассечения мягких тканей в проекции гребня подвздошной кости отступя на 1 см от передневерхней подвздошной ости для протекции латерального кожного нерва бедра. Далее осуществляли поднадкостничную мобилизацию подвздошной мышцы вплоть до крестцово-подвздошного сочленения (КПС), терминальной линии и передней колонны вертлужной впадины.
Медиальное окно начинали с поперечно ориентированного рассечения кожи и клетчатки отступя на 2 см проксимальнее симфиза, с последующим продольным рассечением листков апоневроза и разведением прямых мышц живота. После обнажения пространства Ретциуса осуществляли выделение симфиза и лонных костей. Для безопасного выполнения манипуляций в области передней колонны, стенки и четырехгранной пластинки осуществляли лигирование анастомоза «corona mortis» с последующим отведением подвздошных сосудов кнаружи и кпереди. Следует отметить, что данный анастомоз наблюдался нами в двух анатомических вариантах: соединяя с одной стороны запирательные сосуды, а с другой подвздошную вену и артерию - в первом, нижнюю надчревную артерию и вену - во втором случаях. Для ослабления тяги подвздошно-паховой мышцы и безопасного отведения сосудов конечность на стороне повреждения сгибали до 45° в коленном и тазобедренном суставах. При этом установка ретрактора на переднюю стенку впадины и в большое седалищное отверстие, обеспечивали полноценный доступ к нижней части передней колонны, четырехгранной пластинке, большой и малой седалищным вырезкам, вплоть до передней поверхности КПС. Однако, при выполнении манипуляций в данной области особое внимание следует уделять запирательному сосудисто-нервному пучку. После выполнения двухоконного доступа приступали к репозиции отломков, начиная с формирования единого костного блока из фрагментов крыла подвздошной кости при двухколонных переломах. Для фиксации использовали 3,5 мм винты и реконструкционные пластины. Расположение изогнутых ретракторов кнутри от терминальной линии, в совокупности с тракцией по оси шейки бедренной кости позволяли хорошо репонировать отломки задней колонны с последующей их фиксацией длинными винтами из подвздошной ямки (рис. 7). Поэтапное расположение репозиционных щипцов позволяли устранить смещения отломков обеих колонн и передней стенки впадины.
Читайте также:
