Туберкулез верхних дыхательных путей. Туберкулез носа
Добавил пользователь Владимир З. Обновлено: 11.12.2025
Изолированное поражение туберкулезом околоносовых пазух встречается редко, особенно у больных без иммунодефицита. Сложность установления диагноза зачастую связана с отсутствием настороженности в отношении туберкулеза у врачей нетуберкулезных медицинских организаций, в том числе у оториноларингологов и специалистов по лучевой диагностике, а также отсутствие патогномоничных КТ или МРТ признаков. В связи с этим в заключениях специалистов по лучевой диагностике нередко предполагается опухоль. Клиническое наблюдение, представленное в публикации, демонстрирует поражение туберкулезом верхнечелюстной пазухи у молодой женщины, находившейся на лечении в отделении оториноларингологии. Диагноз туберкулеза был установлен после операции - левосторонней гаймороэтмоидотомии по результатам патоморфологического исследования. В последующем больная продолжила лечение в национальном центре фтизиатрии, где ей был проведен курс химиотерапии, согласно рекомендациям ВОЗ для нерезистентных форм микобактерии туберкулеза с положительным эффектом. Пациент выписан домой с соответствующими рекомендациями.
1. Комарова Ж.Е., Чумаков Ф.И. Изолированный туберкулез верхнечелюстной пазухи и решетчатого лабиринта // Вестник оториноларингологии. - 2002. - № 2. - С. 49-51.
2. Чумаков Ф.И., Дерюгина О.В. Туберкулез носа и околоносовых пазух // Российская ринология. - 1996. - № 2. - С. 30-35.
3. Abid W., Gamra O.B., Ghorbal H., Beji I., Zribi S., Hriga I., Mbarek Ch. Extra nodal ENT tuberculosis // Egyptian Journal of Ear, Nose, Throat and Allied Sciences. - 2014. - Р. 1-4.
4. Kakeri A.R., Patel A.F.H., Walikar B.N., Milind V.W., Satish M.R. A case of tuberculosis of maxillary sinus // Al Ameen J Med Sci. - 2008. - № 1(2). - Р. 139-141.
5. Budu V.A., Bulescu I.A., Schnaider A., Popp C.G., Toma C.L., Mogoanta C.A., Muhlfay G. A rare case of concomitant tuberculosis of the nose, paranasal sinuses and larynx: clinical, histological and immunohistochemical aspects. A case report. Rom J Morphol Embryol. - 2015. - № 56(2 Suppl). - Р. 833-836.
6. Вознесенский А.Н. Туберкулез и волчанка верхних дыхательных путей // Руководство по оториноларингологии / Под ред. А.Г. Лихачева. - М.: Медгиз, 1963.- Т. 4. - С. 277.
7. Шилов В.П. Случай туберкулеза гайморовой пазухи // Вестн. оториноларингологии. - 1969. - № 2. - С. 95.
8. Page J.R., Jash D.K. Tuberculosis of the nose and paranasal Sinuses // J. Laryng. - 1974. - Vol. 88, № 6. - P. 579-585.
10. Абрамов В.В. Случай туберкулеза вернечелюстной пазухи // Журн. ушных, носовых горловых болезней. - 1939. - Т. 16, № 3. - С. 26.
11. Shukla G.K., Dayal D., Chabra D.K. Tuberculosis of maxillary sinus // The Journal of Laryngology & Otology. - 1972. - Vol. 86, Issue 7. - Р. 747-754.
Туберкулез - инфекционная болезнь, склонная к хронизации, вызываемая микобактериями туберкулеза (бацилла Коха, открытая в 1882 г.). По данным ВОЗ, во всем мире 1,7 миллиарда человек инфицированы микобактериями туберкулеза. Из них 20 миллионов болеют различными формами туберкулеза. Ежегодно регистрируются до 8 миллионов случаев впервые выявленного туберкулеза. Около 3 миллионов человек ежегодно умирают от этого заболевания. Заболеваемость внелегочными формами туберкулеза составляет 15-20 % от общего числа случаев заболевания [1].
Внелегочный туберкулез может поражать любой орган, включая плевру, кости и суставы, центральную нервную систему, желудочно-кишечный тракт, мочеполовую систему, область головы и шеи. Если врач не учитывает возможность появления туберкулеза вышеописанной локализации, то постановка диагноза может быть затруднена, что приводит к неадекватной терапии. В челюстно-лицевой области туберкулез встречается редко и может наблюдаться в глотке, в полости носа и околоносовых пазухах в различные возрастные периоды. Как правило, туберкулез в челюстно-лицевой области и глотке бывает вторичным и регистрируется при деструктивных и диссеминированных формах заболевания. Крайне редко туберкулез может носить изолированный характер.
Симптомы туберкулезного поражения околоносовых пазух не специфичны и нередко могут быть схожи с риносинуситами другой этиологии 4. Больные с туберкулезным поражением верхнечелюстной пазухи чаще всего предъявляют жалобы, характерные для хронического воспаления [10]. В наблюдении В.П. Шилова [7] пациентка жаловалась на постоянные гнойные выделения из правой половины носа со зловонным запахом, головную боль, преимущественно справа, ощущение распирания правой половины лица. Риноскопически: носовые ходы широкие, слизистая оболочка бледная, атрофичная, в нижнем носовом ходе покрыта корками. Носовые раковины атрофированы, под средней носовой раковиной определяется гной. По данным Page и Jash [8], у больной с туберкулезом носа и левой верхнечелюстной пазухи при передней риноскопии была выявлена полипозно-измененная слизистая оболочка в обеих половинах носа. При наличии деструкции стенок пораженного туберкулезом синуса он может симулировать новообразование [1].
Ввиду редкости такого проявления изолированного туберкулеза приводим собственное наблюдение поражения верхнечелюстного синуса.
Больная М., 27 лет поступила в ЛОР отделение Национального госпиталя 29.09.2016 г. с жалобами на затруднение носового дыхания и слизисто-гнойное отделяемое через левую половину носа, припухлость щеки слева. При риноскопии в полости носа, на фоне слизисто-гнойного отделяемого визуализируются бледного цвета патологические изменения по типу грануляционной ткани. Латеральная стенка полости носа слева, частично не прослеживается, а частично выбухает в полость носа в виде полуовала. Отмечается припухлость и болезненность при пальпации мягких тканей щеки слева. Носоглотка, ротоглотка и уши без особенностей. На рентгенограмме органов грудной клетки и средостения очаговых и инфильтративно-воспалительных изменений не выявлено. Со стороны лабораторных данных без патологических изменений.
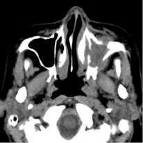
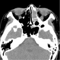
29.09.2016 г. была произведена мультисрезовая спиральная компьютерная томография челюстно-лицевой области. В верхнечелюстной пазухе, передних, средних клетках решетчатого лабиринта и лобной пазухе слева определяется гетерогенное патологическое содержимое, КТ-плотностью от +21,7 ед.Н. до +39,0 ед.Н., с четкими контурами, максимальным размером до 62,0х48,0 мм в поперечнике, на фоне которого визуализируются очажки кальцинации, а также неполностью лизированные костные фрагменты. Определяется остеодеструкция нижних отделов всех стенок верхнечелюстной пазухи, клеток решетчатой кости, а также передних отделов медиальной стенки орбиты слева. Остеодеструкция носит смешанный характер за счет инфильтративного остеолизиса и атрофии от давления. Частично сохранные стенки верхнечелюстной пазухи слева утолщены, в сравнении с контрлатеральной стороной (остеопериостоз). Через вышеперечисленные костные дефекты патологическое содержимое распространяется в одноименную полость носа, мягкие ткани щечной области, ретромаксилярное пространство, а также в передне-медиальные отделы орбиты. Носовая перегородка искривлена вправо. Носоглотка и другие околоносовые пазухи без особенностей.
Заключение: КТ-данные за гетерогенное остеодеструктивное объемное образование околоносовых пазух слева с интраорбитальным распространением (новообразование?). Описанные изменения представлены на рис. 1-2.

Рис. 1. На аксиальном КТ-срезе определяется объемное образование, вызывающее остеодеструкцию по смешанному типу всех стенок верхнечелюстной пазухи слева

Рис. 2. На аксиальном КТ-срезе выявляется патологическое содержимое в клетках решетчатого лабиринта слева с остеодеструкцией передних отделов медиальной стенки орбиты слева
21.10.2016 г. под эндотрахеальным наркозом была произведена левосторонняя гаймороэтмоидотомия. Объем левой верхнечелюстной пазухи составляет 12-14 см. Пазуха выполнена неоднородным патологическим содержимым. Медиальная стенка верхнечелюстной пазухи частично отсутствует, сообщается с полостью носа. В углах верхнечелюстной пазухи визуализируется умеренное количество ткани белесовато-серого цвета, творожистой консистенции, легко отделяется костной ложкой от стенок. Все патологическое содержимое удалено до здоровой кости. В полости носа также определяется патологическая ткань по типу инфекционной гранулемы. Вскрыты клетки решетчатой кости, которые также очищены от патологического содержимого. Весь удаленный во время операции материал отправлен на патоморфологическую верификацию. Произведена левосторонняя тампонада носа. Тампоны удалены на 2 сутки.
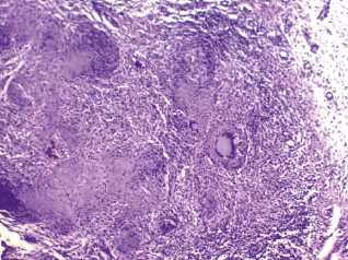
Микропрепарат: при гистологическим исследовании удаленного во время операции материала определяются множественные фрагменты некротических тканей с кровоизлияниями. Среди них обнаружены элементы слизистой оболочки, а также отёчной фиброзной ткани с формированием классических туберкулезных гигантоклеточных гранулём: в центре такой гранулёмы имеется очаг казеозного некроза, окруженный по периферии валом из эпителиоидных клеток и лимфоцитов с примесью макрофагов. Между эпителиоидными клетками и лимфоцитами располагаются гигантские клетки Пирогова - Лангханса. Также имеются эпителиоидноклеточные специфические гранулёмы. Заключение: полученная картина соответствует туберкулезу (рис. 3).

Рис. 3. Микроскопическая картина туберкулеза верхнечелюстного синуса. Окраска гематоксилином и эозином. Ув. 100
Консультация фтизиатра: учитывая данные гистологического исследования, пациента необходимо перевести в специализированную клинику для получения специфической терапии. Дальнейшее наблюдение и лечение проводилось в Национальном центре фтизиатрии. Пациент получала специфическое лечение в интенсивной фазе: изониазид, рифампицин, паразиамид этамбутол продолжительностью 3 месяца. В поддерживающей фазе: изониазид и рифампицин 5 месяцев, согласно рекомендациям ВОЗ для нерезистентных форм микобактерии туберкулеза. После проведенной терапии эндоскопический осмотр показал, что стенки постоперационной полости эпителизированы.
Особенностями данного наблюдения являются:
1) редкая локализация изолированного туберкулеза в околоносовых пазухах;
2) смешанный характер остеодеструкции пораженных стенок пазух с наличием остеопериостоза сохранившихся стенок, что может свидетельствовать о хроническом воспалительном процессе;
3) клинико-томографическую картину туберкулеза легко можно спутать с опухолевым поражением;
Проведенное хирургическое вмешательство по удалению изолированного туберкулеза околоносовых пазух и обеспечение адекватной специфической противотуберкулезной терапии позволило нам добиться излечения больного.
Туберкулёз носа
Чаще всего микробактерии туберкулёза попадают в нос по кровеносным и лимфатическим сосудам из очага, который располагается в лёгких, гортани или суставах. Контактный путь проникновения через трещины слизистой оболочки носа встречается крайне редко. Наиболее часто туберкулёз носа возникает у молодых женщин. Туберкулезный процесс носа может локализоваться:
- В преддверии (внутренняя поверхность крыльев) носа;
- Хрящевой части перегородки;
- В области передних концов нижней и средней носовых раковин.
Чаще всего поражается только одна половина носа. Клиническая форма туберкулёза ограниченная, инфильтративно-диффузная.
Патоморфологическим субстратом этого заболевания является инфильтрат, который является скоплением в подслизистом слое специфических бугорков. Туберкулёзный узелок - это скопление среди тонких соединительнотканных волокон различных клеток: мелких круглых, гигантских и эпителиоидных. В результате распада этих бугорков образуются творожистые язвы. Туберкулёзная язва представляет собой поверхностно расположенный дефект слизистой оболочки, дно которой покрыто грануляциями.
Клиническая картина
На начальной стадии заболевания симптомы выражены слабо. По мере того как увеличиваются инфильтраты, возникает затруднение при дыхании через нос. После того как инфильтраты распадутся и образуются язвы, появляются выделения, которые могут быть слизисто-гнойными, вязкими или чисто гнойными, а в некоторых случаях с примесью крови. При засыхании корок возникает затруднения носового дыхания и появляется зуд в носу. Если корки удалить с силой, оторвав их от слизистой оболочки носа, то может возникнуть носовое кровотечение и обнажается язва на слизистой оболочке, которая характерна для туберкулёзного процесса носа.
Диагностика
В случае если имеются туберкулезные очаги, поставить диагноз несложно. При туберкулезе носа поражается только хрящевая часть носовой перегородки, а при сифилисе страдает и костная. При сифилисе возникает запах из носа и достаточно сильные болевые ощущения в этой области, которых при туберкулезе не бывает. Отличить рак носа и туберкулез достаточно сложно, и в этом случае необходимо гистологическое исследование. Туберкулёмы носа довольно сложно отличить от саркомы, и точно поставить диагноз можно только после взятия биопсии и проведения гистологического исследования. Большую помощь при диагностике заболевания оказывает серологическая реакция Вассермана, а у детей реакция Пирке.
Лечение
Назначается как общее, так и местное лечение. При общем лечении применяют ПАСК, фтивазид, стрептомицин и другие лекарственные препараты. В качестве местного лечения используются прижигания инфильтратов и язв различными кислотами (трихлоруксусная кислота, 80% молочная кислота и другие). Внутрь назначают приём йодида на протяжении 4-8 недель.
Прогноз
Вполне благоприятный, но зависит от распространенности изменений в основном очаге. В некоторых случаях возможна перфорация передних отделов носовой перегородки.
- Авдеева С.Н. Распространённость заболеваний JlOP-органов среди городского населения на современном этапе / С.Н. Авдеева // Российская оториноларингология. 2006. - № 3(22). - С. 33-37.
- Бабияк В. И., Накатис Я.А. Клиническая оториноларингология. — СПб.: Гиппократ, 2005. 798 с.
- Блоцкий, А. А. Клиническая анатомия ЛОР-органов / А. А. Блоцкий, М. С. Плужников, С. А. Карпищенко. - СПб.: Эскулап, 2007. - 195 с.
- Гуров A.B. Фармакоэпидемиологический анализ амбулаторной практики антибактериальной терапии инфекций JIOP-органов / A.B. Гуров, A.B. Мужичкова // Вестник оториноларингологии. 2013. - № 1. - С. 77-80.
- Затолока П.А. Влияние патологии ЛОР органов на качество жизни человека / П.А. Затолока // Медицинский журнал: научно-практический рецензируемый журнал Белорус, гос. мед. ун-та. 2008. - № 4. - С. 25-30.
- Пальчун В. Т., Крюков А. И. Оториноларингология: руководство для врачей. — М.: Медицина, 2001. — 616 с.
- Шевригин, Б.В. Болезни уха, горла, носа / Б.В. Шевригин, Б.И. Керчев. - М.: ГЭОТАР-Медиа, 2002. - 476 с.
Информацию из данного раздела нельзя использовать для самодиагностики и самолечения. В случае боли или иного обострения заболевания диагностические исследования должен назначать только лечащий врач. Для постановки диагноза и правильного назначения лечения следует обращаться к Вашему лечащему врачу.
Туберкулёз глотки
Если распространение происходит гематогенным путем, то развивается милиарная (острая) форма туберкулеза. В ротоглотке слизистая оболочка нёбных дужек, мягкого неба и нёбных миндалин покрывается высыпаниями из милиарных бугорков, которые имеют вид серовато-желтоватых точек. Обычно этот процесс протекает со значительным повышением температуры тела. При этом слизистая оболочка выглядит умеренно отёчной, она гиперемирована и инфильтрирована. Такие высыпания на мягком нёбе не всегда указывают на развитие общего милиарного туберкулёза, но в некоторых случаях они могут быть его ранними признаками.
Если инфекция распространяется контактным путём, то возникают инфильтраты, но выраженных воспалительных изменений в организме не наблюдается. Инфильтраты обычно имеют разлитой характер, но в некоторых случаях бывают и ограниченными. При прогрессировании заболевания появляются язвы.
Довольно часто на стадии инфильтрации высыпания в области милиарных бугорков и специфические жалобы со стороны пациентов отсутствуют. К лор-врачу пациенты обращаются, как правило, при наступлении стадии изъязвления. Язвы, имеющие плоскую форму, могут располагаться на боковых валиках ротоглотки, передних и задних дужках, миндалинах, задней стенке глотки. Случаи поражения мягкого неба встречаются достаточно редко. Бледно-розовые язвы имеют неровные, подрытые края. Нередко на их поверхности имеется гнойный налёт, под которым находится дно язвы с вялыми грануляциями. Течение процесса имеет хронический характер. Язвы сливаются и очень быстро увеличиваются, иногда достигая обширных размеров и выделяясь на фоне анемичной (болезненно-бледной) слизистой оболочки. Глубокие изъязвления чаще всего наблюдаются на языке и задней стенке глотки. Слизистая оболочка дёсен и щёк поражается редко.
Характерными признаками туберкулёза глотки являются сильные болезненные ощущения при глотании воды или пищи, неприятный гнилостный запах из ротовой полости, который возникает как следствие присоединения вторичной инфекции. Эти симптомы обусловлены язвами, которые располагаются на нёбных дужках и слизистой оболочке задней стенки глотки. Язвы имеют бледно-розовую окраску, фестончатые неровные края и покрыты гнойным налётом, под которым находятся вялые и бледные грануляции.
Туберкулез глотки следует отличать от таких заболеваний, как сифилис, волчанка и рак глотки. На ранней стадии диагностика сильно затруднена. На более поздних этапах развития болезни поставить правильный диагноз помогает реакция Пирке, микроскопическое исследование грануляции, взятых из области язвы, а также общее обследование лор-пациента.
Помимо специфического для этого заболевания лечения язвы облучают тубусным кварцем, а полость рта полоскают ромашкой, шалфеем и 3-х процентной перекисью водорода. Для уменьшения болевых ощущений используют мазь с анестезином. Рекомендуется тёплая, жидкая пища, которая не оказывает раздражающего действия на слизистую оболочку глотки.
Если язвенные поражения глотки имеют небольшую площадь, то прогноз на выздоровление вполне благоприятный.
Туберкулез верхних дыхательных путей
Туберкулез полости рта и верхних дыхательных путей чаще бывает вторичным. Пути заражения туберкулезными бактериями этих органов следующие:
Патоморфологически различают две формы поражения: инфильтрат и язву. Инфильтрат бывает ограниченным и диффузным, редко опухолевидным. Туберкулезная язва обычно неправильной формы, неглубокая, с неровными краями, на дне ее - бледная грануляционная ткань. В зависимости от фазы воспалительного процесса возникают инфильтрация, распад, обсеменение и далее уплотнение, обызвествление и рассасывание.
Туберкулез носа первоначально чаще локализуется в передних отделах полости носа - в преддверии, на перегородке, слизистой оболочке носовых раковин. В начальной стадии заболевания наблюдаются обильные выделения из носа, образование корок и ощущение заложенности. Появляется узелковый инфильтрат, сравнительно быстро изъязвляющийся, нередко с формированием перфорации хрящевой части перегородки носа. При распаде инфильтратов и образовании язв наблюдается гнойное отделяемое с примесью крови. Риноскопически язвы определяются как дефект слизистой оболочки, на дне которого расположены вялые грануляции.
Диагностика не представляет затруднений при наличии у больного туберкулезного поражения легких, гортани, суставов. Дифференцировать необходимо с сифилитическим поражением носа (третичный сифилис). Для сифилиса характерно поражение не только хрящевого отдела перегородки носа, но и костного; при сифилисе возможно также поражение носовых костей (седловидный нос), что сопровождается выраженными болевыми ощущениями в области спинки носа. Определенную помощь в дифференциальной диагностике оказывает серологическая реакция Вассермана, реакция Пирке у детей. Инфильтрат в полости носа может иметь форму опухоли (туберкулема); для дифференцирования его с опухолевым (саркоматозным) процессом выполняются биопсия и гистологическое исследование.
Туберкулезные поражения в глотке разнообразны: от поверхностных ограниченных язвочек с незначительной инфильтрацией до обширного бугристого папилломатозного вида инфильтрата с характерными язвами. При язве появляется патогномоничный признак - резкая болезненность при глотании не только твердой пищи, но и воды. Присоединение вторичной инфекции приводит к возникновению неприятного гнилостного запаха изо рта. Туберкулезные язвы располагаются в основном на нёбных дужках и на слизистой оболочке задней стенки глотки, имеют неровные фестончатые подрытые края и бледно-розовую окраску; поверхность их довольно часто покрыта гнойным налетом, под которым определяются бледные, вялые грануляции. Язвы могут увеличиваться в размерах, захватывая большие участки слизистой оболочки, распространяясь в глубину.
Диагностика. В начале заболевания поставить диагноз относительно трудно. В первую очередь необходимо обращать внимание на состояние легких как место первичной локализации. Данное заболевание следует дифференцировать с сифилисом, раком. В более поздней стадии диагноз ставят на основании клинической картины, реакции Пирке, микроскопического исследования грануляций из области язвы и данных общего обследования больного.
Пресс-центр
Различают две формы туберкулез носа: первичную (волчанка и туберкулема) и вторичную (язвенно-казеозный туберкулез носа и костный туберкулез носа). Причина - микобактерии.
Туберкулезная волчанка носа относится к классу внелегочного туберкулеза с поражением кожи и подкожной клетчатки различной локализации.
Туберкулезная волчанка носа чаще болеют женщины (65%). Поражения носа составляют 63%, щек - 58%, ушных раковин и периокулярных поверхностей -14%, в 13% случаев поражается красная кайма губ.
Патогенез и патологическая анатомия
Туберкулезная волчанка носа возникает в результате распространения МБТ гематогенным и лимфогенным путем из эндогенных очагов в других органах. Иногда, обычно в детском возрасте, наблюдается экзогенное заражение, вызванное массивным инфицированием поврежденной кожи. Различают локализованные и диссеминированные формы туберкулеза кожи. Туберкулезная волчанка носа относится к локализованным формам и поражает кожу носа, его слизистая оболочка с распространением на слизистой оболочки полости рта. Первичным элементом является бугорок (2-3 мм в диаметре) - люпома округлой формы, с четкими границами, мягкоэластической консистенции, буровато-розовой окраски, безболезненная при пальпации. Выделяют плоскую и раннюю инфильтративную формы туберкулезной волчанки носа.
Плоская форма представляет собой инфильтрат, образованный при слиянии люпом, расположенный в дерме и почти не выступающий над уровнем кожи. Инфильтрат имеет четкие фестончатые края, окруженные каймой гиперемии. Его распространение происходит за счет формирования по периферии новых бугорков. Поверхность инфильтрата может быть покрыта серебристо-белыми чешуйками, бородавчатыми разрастаниями, эрозиями и язвами или иметь другие особенности.
Инфильтративная форма туберкулезной волчанки носа характеризуется поражением мягких тканей хрящевой части носа и носогубной области, в результате чего в дерме и подкожной клетчатке образуется инфильтрат с нечеткими границами и шелушением на поверхности. Заживление инфильтрата происходит с образованием глубокого обезображивающего рубца. При длительном существовании волчаночного очага или рубца возможна его малигиизация: появляется плотный болезненный розовато-синюшный инфильтрат с некрозом в центре, часто покрытый черной плотной коркой (lupus-carcinoma).
Излюбленной локализацией туберкулезной волчанки носа является лицо, главным образом кожа носа и щек, причем возникающая картина весьма характерна и представляет собой вид распластанной бабочки, «тело» которой расположено на спинке носа, «крылья» же - симметрично на щеках.
Клиническое течение и симптомы туберкулеза носа
Обычно больные обращаются за медицинской помощью тогда, когда болезнь приобретает достаточно явные признаки. В начальной стадии они предъявляют жалобы на зуд и жжение в области носа, на заложенность носа, частые носовые кровотечения, наличие корок в носовых ходах, которые могут распространяться на кожу входа в нос и на его поверхность. Слизистая оболочка носа бледная, атрофичная, покрыта корками, под которыми определяются мягкие узелки желтого цвета с фестончатыми краями, вокруг них видны изъязвления, легко кровоточащие при дотрагивании. Эти изъязвления приводят к обнажению хряща перегородки носа и его перфорациям с неровными краями, покрытыми грануляционной тканью, люпоидами и атрофичными рубчиками. Рубцовая ткань может образовывать внутриносовые синехии, стенозировать ноздри, притягивать кончик носа к верхней губе, придавая ему вид клюва попугая, а при деструктивно-некротических формах полностью разрушать опорные элементы внутреннего носа, искажать форму пирамиды, придавая ей вид «мертвой головы».
Клиническое течение туберкулезной волчанки носа носа длительное, продолжающееся многие годы, прерывающееся ремиссиями, иногда спонтанным выздоровлением, но чаще всего сопровождающееся распространением на слизистую облочку соседнинх дыхательных и пищепроводящих путей, лимфоидный аппарат, слуховую трубу, вплоть до среднего уха. Заболевание сопровождается региональным лимфоаденитом.
Особую клиническую форму туберкулезной волчанки носа представляет костный туберкулез пазушно-носовой системы. Эта форма туберкулезной волчанки носа характеризуется возникновением специфического периостита и остеита, вслед за которыми следуют так называемые холодные абсцессы, образующие свищи, казеозно-некротический распад тканей или образование псевдотуморалыюй туберкулемы, локализующейся чаще всего в области верхнего альвеолярного отростка. Больные предъявляют жалобы на боли в области основания пирамиды носа, собачьей ямки и надбровных дуг, в соответствии с тем, какая из воздухоносных систем поражена, - соответственно ячейки решетчатого лабиринта, верхнечелюстная или лобная пазуха.
В начальном периоде наблюдается побледнение кожи над пораженной областью, иногда - поднижнечелюстной лимфоадснит. На слизистой оболочке носа выявляются неизъязвленные туберкулезные узелки и инфильтраты. При эндоскопии верхнечелюстной или лобной пазухи с помощью универсального эндоскопа слизистая оболочка выглядит пятнистой с чередованием участков гиперемии и казеозных желтоватых налетов. Наличие этих изменений слизистой оболочки свидетельствует о переходе воспалительного процесса в зрелую стадию.
Зрелая стадия риносинусной формы волчанки характеризуется казеозно-некротическим распадом мягких и костных тканей пораженной области, образованием свищей и выделением из них гнойных и казеозных масс. Чаще всего поражается верхнечелюстная пазуха в области альвеолярного отростка. Возникающий здесь остеопериостит обладает экстенсивным ростом и сопровождается кровотечениями и невралгией второй ветви тройничного нерва. При лобной локализации волчанки остеит локализуется в области лобно-носового шва или в области решетчатой пластинки. При локализации в решетчатой кости процесс приобретает псевдотуморозную форму с образованием казеозных мае и свищей в области внутреннего угла орбиты или в решетчатой пластинке, что нередко приводит к грозному осложнению - туберкулезному менингиту. Поражение клиновидной пазухи характеризуется теми же изменениями, что и поражение решетчатой кости, в этом случае под угрозой поражения находятся зрительные нервы, пещеристый синус и гипофиз. Поражения околоносовых пазух сопровождаются гнойно-казеозными выделениями из носа.
Диагностика туберкулеза носа
Диагноз устанавливают на основании наличия полиморфных изменений СО носа и кожи лица, длительного и прогрессирующего течения, возможного наличия контакта с больным туберкулезом или собственного отдаленного очага инфекции.
Дифференциальная диагностика на начальных стадиях заболевания затруднительна, поскольку нередко местные проявления туберкулезной волчанки носа могут быть сходными с банальным дерматитом преддверия носа. На этих же стадиях туберкулезную волчанку носа следует дифференцировать от озены и так называемых пальцевых эрозий у детей. В зрелом состоянии туберкулезную волчанку носа следует дифференцировать от трофической язвы перегородки носа Гаека, третичного сифилиса, риносклеромы, лепры, грануляционной ткани, возникающей при инородных телах носа и ринолитиазе, доброкачественных опухолях, наконец, псевдотуморозную форму туберкулезной волчанки носа следует дифференцировать от злокачественной опухоли.
Лечение туберкулеза носа
Лечение туберкулезной волчанки носа - процесс длительный, не всегда эффективный. В основном применяют общепринятое общее противотуберкулезное лечение, которое сочетают с массивными дозами витамина D2, приемом витаминов А и С. Местно назначают мази с соответствующими антибиотиками, витаминизированные масла облепихи, шиповника, каротолина и др., протеолитические ферменты, кортикостероиды. При пышных туберкулемах проводят химическое их прижигание солями цинка, хрома, серебра, трихлоруксусной и молочной кислотами. Применяют также и различные физиотерапевтические средства (гальванокаустика, УФО, ионизирующие излучения, лазеротерапия), однако терапевтический эффект от применения этих методов нельзя считать достаточным.
Хирургическое лечение направлено в основном на иссечение рубцовой ткани и восстановление дыхательной функции носа, устранение косметических дефектов, например восстановление положения кончика носа. Однако любое хирургическое вмешательство, проводимое для устранения анатомических дефектов при туберкулезной волчанке носа, необходимо проводить лишь после стабилизации процесса или выздоровления.
Читайте также:
